e-Journal - Fogtechnika 2024/2

Page 1


E-JOURNAL FOGTECHNIKA

A FOGÁSZAT

Egy temesvári fiatalember sikertörténete, avagy út Romániából az Egyesült Államokba

Mindent 3D nyomtatva, nem?

Hivatások kombinálása az egészség érdekében

Gazdaságos út a digitális kivehető teljes lemezes fogpótláshoz

A VILÁG PIACVEZETO˝ SZÖGKORREKCIÓS CADCAM MEGOLDÁSA MINDEN IMPLANTÁTUM RENDSZERHEZ

KIZÁRÓLAGOS MAGYARORSZÁGI FORGALMAZÓ

Tisztelt Olvasó!

2024-re a fogászati szektor – reményeink szerint – fel tudta dolgozni a Covid-19 okozta nehézségeket, az elszabaduló inflációt, és már tervezi az idei év fejlődési lehetőségeit. Mindannyian abban bízunk, hogy megérkeznek az európai uniós források, újra indulnak a pályázatok, és stabilan tudjuk vezetni a vállalkozásinkat!

A tavalyi év sokunk életében hozott különböző nehézségeket, mégis elmondhatjuk, hogy mindenképp jobb volt, mind a 2020-2022 közötti időszak, amikor a létbizonytalanság, a járványtól való félelem uralta a napjainkat. Az idegenforgalom tavaly szépen megindult, 2024-ben a vendégéjszakák száma várhatólag el éri a 2019-es év adatait. A nagy rendelők már teljes kapacitással üzemelnek, a fogtechnikai laborokban is visszatért a folyamatosság, a fogászati kereskedők jelentős része pedig jobb évet zárt 2023-ban, mint a korábbi években.

A fogászati rendelők és fogtechnikai laborok az elmúlt években főleg a fejlesztéseket állították előtérbe, amelyhez számos pályázat és egyéb forrás is kedvező konstrukciókat kínált. 2024-ben – tudomásunk szerint – is lesznek új pályázati források, melyekről a kereskedelmi vállalatok részletesebb információkat tudnak majd adni. Az új források bevezetése idén már bizonyosan ismét növekedési spirálba helyezi majd ezt a szektort!

Az infláció elérte a fogászati ágazatot is, a vállalkozások az euro változásától, gyengülésétől függően azzal találkoznak, hogy az árak – a mindennapi élet mellett – itt is jelentősen és folyamatos változnak, emelkednek. A fogászati rendelők is kénytelenek az áraikat emelni, egyre több rendelő, ún. „piaci alapú” árképzést vezet be. A folyamat kimenetelét még nem lehet pontosan látni, a munkaerő fluktuációja, az Európai Unió áraihoz képest alacsony magyar fogászati beavatkozások értéke - jelenleg még nem érte el a drágulás csúcspontját. Az elmúlt időszakban számos újság, cikk foglalkozott a fogászati szektorban található extra drágulási folyamattal. Ez egyelőre - a hazai rendelőkben - még nem mutatott jelentős problémát, új hívószavakkal, sok marketing munkával, reklámmal most a magyar lakosságot kell határozottabban a rendelőkbe invitálni!

A kiadó bizakodva tekint a jövőbe, a megújult tartalmaink kapcsán sok pozitív visszajelzést kapunk,

melyeket nagyon köszönünk! Az elmúlt években - a nehézségek ellenére is - növelni tudtuk a kiadványaink, a magazinjaink számát, nem csökkentve azok tartalmi minőségét. 2020 óta a tematikus e-Journalok is folyamatosan megjelennek, melyek egyfajta online könyvtárként is szolgálnak az olvasóinknak. A dental. hu oldalon díjmentesen elérhetőek a korábbi tematikus online lapszámaink is.

A mostani kiadványunkban az általános fogorvosi eljárások mellett a fogtechnika témakörével foglalkozunk.

Tartalmas olvasást kívánok!

Laczkó Tamás, felelős kiadó

E-Journal VII. évfolyam, 2024. 10. szám

Kiadja: DP Hungary Kft. 1012 Budapest, Kuny Domokos u. 9.

Felelős kiadó: Laczkó Tamás

Főszerkesztő: Róth Lajos

Előkészítés:

DP Hungary Kft., Sárközi András e-mail: grafika@dental.hu

Információ, hirdetésfelvétel: Bárdos Veronika, telefon: 06-30-472-0030, 06-1-793-1874

Az újság e-mail címe: info@dental.hu

Az újság internetcíme: www.dental.hu

Terjesztés: E-mail hírlevél formájában.

A tudományos közleményeket a szerkesztőség lektoroknak adja át véleményezésre. Közlés csak egyetértő lektori vélemény, illetve a javasolt módosítások elvégzését követően lehetséges.

A cikkek szerzői vállalják, hogy az általuk elküldött írás saját forrásból származik, illetve a felhasznált anyagokat (publikációkat, illusztrációkat, képeket stb.) mindenkor pontosan feltüntetik. Írásaiknak jogi és egyéb adatvédelmi kérdéseiben felelősséget vállalnak.

A német nyelvű szakmai cikkeink magyar fordítását az Oemus Media AG Kiadó engedélyével szerkesztettük lapunkba. A fel nem használt kéziratokat, fotókat nem őrizzük meg, és nem küldjük vissza.

A hirdetések tartalmáért nem vállalunk felelősséget. A gyártó, illetve forgalmazó cégek kérésére közzétett cikkeket keretbe foglalva közöljük és (x)-szel jelöljük, azok szakmai tartalmáért a szerkesztőbizottság nem vállal felelősséget.

Szőnyi Balázs

EGY TEMESVÁRI FIATALEMBER SIKERTÖRTÉNETE, AVAGY ÚT ROMÁNIÁBÓL AZ EGYESÜLT ÁLLAMOKBA

Miladinov Milos nevét szerintem nem kell bemutatnom azoknak, akik komolyabban foglalkoznak a fogászati fotózással és a digitális technológiákkal. A Temesváron született fogtechnikus szakember világszerte az egyik legkeresettebb előadó a fogászati fotózás és a legújabb digitális technológiák bemutatásának a területén. Előadói karrierje során több mint tízezer embernek adta át tudását, többek között Magyarországon is telt házas képzéseket tartott. Több tízéves tapasztalatának köszönhetően megalkotta a Dentalpromaster márkacsaládot, mely márkanév alatt minőségi eszközparkot fejlesztett ki a fotózáshoz. A témában írt könyve, a „The Book by Miladinov Milos” világszerte bestseller lett, és talán a legrészletesebb szakirodalom, amit fellelhetünk a piacon. Sikereinek és tehetségének köszönhetően nem kevés gyártó, köztük a Cendrex Metaux, az Ivoclar Vivadent, a Medit, a Shera, az AFT, a Renfert, a Sagemax, az Exocad és az Asiga cégek véleményvezére és demonstrátora.

Kezdjük a karriered elejénél, mikor és hogyan döntötted el, hogy a fogtechnikusszakmát választod? Mi motivált, hogy magasabb szintre lépj?

A karrierem kezdetén egy véletlen kapcsán kerültem a fogtechnika világába. Nagyon szerettem alkotni, szobrászkodni és egy kedves barátom kérdezte, hogy miért nem megyek el fogtechnikusnak, ha már ilyen jó a kézügyességem? Mivel hasonló a művészetekhez és a művészi formavilág megalkotásához, így a művészeti iskola he lyett a fogtechnikusképzést választottam. Egész pontosan 1999-ben kezdtem el az iskolát a te mesvári Victor Babes Orvosi és Gyógyszerészeti

Egyetemen és 2002-ben vizsgáztam le. Zágrábban egy fogászati konferencián jártam 2012-ben, melyet az Ivoclar Vi vadent rendezett. Az egyik előadó Oliver Brix volt, aki gyönyörű munkákat készített, minden kit elvarázsolt a közönségben, és akkor tudatosult bennem, hogy nem csak a fogtech nikusok, hanem mi is művészek vagyunk, akik életeket változ tatnak meg és visszaad ják a mosolyt az em bereknek. Oliver Brix előadása nagyon inspiráló volt a számomra, ez

volt az a nap, ami mindent megváltoztatott, olyan szerettem volna lenni, mint ő. Ezért is kezdtem el a fogászati fotózást és ezért illesztettem be a mindennapi labormunkába, hogy ezzel is tanuljak a hibáimból és alaposabban átlássam a munkáimat. Így ez a technika még jobban hajtott a karrierem során, hogy szebb és jobb munkákat alkossak, amik segítségével végül magasabb szintre léphettem.

Minden országban más-más a képzési rendszer. Magyarországon sokféle próbálkozás volt az állami képzés mellett, de ezek nagy része már a múlté. Hogyan néz ki Romániában a

Romániában hároméves egyetemi képzés során lehet a szakmai tanulmányokat elvégezni, ami végén diplomát szerzel. Az iskolában nagyon jó elméleti oktatást kapsz, viszont mint sok országban hasonlóan a megfelelő szakmai tapasztalatot és gyakorlatot nem kapod meg, így az egyetem mellett önszorgalomból elmentem egy magánlaborba, ahol gyakorolhattam és fejlődhettem. Az iskola elvégzésével a „specialized dental technician” (szakosodott fogtechnikus) végzettséget szereztem

Szerintem mind dizájnban, mind technológiailag a laborod egyedülálló

nem csak a régióban, de véleményem szerint Európában is. Mikor nyitottad meg a saját laborodat, honnan jött a dizájn ötlete, és mikkel foglalkozik pontosan a hely?

Az első laboromat, amely feleakkora volt, mint az édesanyám nappalija 2003-ban nyitottam meg, nagyjából úgy nézett ki mint egy kis összedobott íróasztal, nagyon egyszerű volt, semmi extra. Majd 2013-ban megnyitottam az első oktatóközpontomat és a nagyobb méretű laboromat Temesváron, mely a saját házam mögött és a tetőterében lett kialakítva. 2016-ban megépült az új épület és komolyabb fejlesztéseknek köszönhetően létrejött az „Ugly Tooth Training Center” a világ egyik legjobb oktatási központja, ahová a lehető leghíresebb előadókat hívtam meg kurzusokat tartani. A résztvevők szinte a világ minden tájáról érkeztek tanulni hozzánk. A hely arculatát és dizájnját én magam terveztem meg, célom az volt, hogy mind a környezet és a bútorzat, valamint az eszközök inspirációt adjanak a munkához és a fejlődéshez.

Több cégnek is, köztük a most 100 éves Ivoclar, a Dél-koreai Medit, és a Wieland cég demonstrátora mellett a Sprintray cég oktatója és véleményvezére is vagy. Hogyan kezdtél el velük dolgozni? Milyen feladataid vannak véleményvezérként?

Véleményem szerint, hogy megtaláltak az említett cégek, akikkel együtt dolgozom vagy dolgoztam, az leginkább a közösségi média oldalaim menedzselésének köszönhető, ahova folyamatosan minőségi képeket teszek ki munkáimról. A képeim és munkáim alapján pedig ezek a nagy fogászati cégek felfigyeltek rám. Mivel a fogászatra és az online jelenlétre, főleg a közösségi média oldalaimra nagy hangsúlyt fektetek, ez sokat segít abban, hogy az emberek és a cégek megtaláljanak, és megmutathassam azt a minőségi fogászati fotózást, ami a szenvedélyem.

Demonstrátorként, sőt a Győztesek versenyén zsűriztél is, de többször jártál Magyarországon, nagyon jó baráti kap-

csolataid is kiépültek. Milyen élményeid vannak az országunkkal kapcsolatban? Mikor láthatunk a legközelebb itthon élőben?

Sokszor jártam Magyarországon, és rengeteg kedves barátom van az országban. Véleményem szerint Kelet-Európában itt a legjobb a gasztronómia, vagyis a legfinomabb ételek itt találhatóak nálatok. Sajnos nem tudom előre meg-

Prof. dr. Nagy Katalinnal a Symposium Szeged tudományos konferencián.

Az Ugly tooth fogászati labor és oktatási központ Temesváron.

mondani, mikor megyek legközelebb Magyarországra, mert most, hogy kiköltöztem Miamiba, a távolságok is megnőttek, és az időm minden részét a labor és az oktatási centrum beindítása teszi ki, de a jövőben mindenképpen szeretnék viszszatérni hozzátok.

Nagyon színvonalas és hiánypótló kurzusokat raktál össze. Nem csak a fogászati fotózás technikáit tanítod, de a vizuális identitást is, vagyis azt, hogy hogyan hozzanak létre a minőségi fotókból online tartalmat, hogyan legyen jobb a szakemberek jelenléte az online térben. Mi alapján raktad össze a saját képzéseidet? Mit tanulhatnak az általad szervezett tanfolyamokon a szakemberek?

Nos, igen, a fogászati fotózás mellett szerintem az egyik legfontosabb dolog, ami mellett nem mehetünk el manapság, az az, hogy hogyan készítsünk egy vizuális identitást, arculatot magunknak vagy éppen a cégünk számára. Ehhez nélkülözhetetlen a közösségi média felületünk megalkotása, azok menedzselése, valamint az ide tartozó tartalmak folyamatos gyártása. Közösségi oldalaink tartalmát pedig minőségi fogászati fotókkal célszerű feltölteni, mely lényegében mindent képvisel és tevékenységünket, munkánkat mutatja be, ez az alapja az egésznek. Ezt tanítom kb. 10 éve szerte a világon, immáron több mint 10 ezer ember előtt álltam már a pulpituson. Fogtechnikusoknak és fogorvosoknak is igyekszem átadni azt, hogy hogyan fényképezzenek úgy, hogy az kiemelje őket a tömegből. Hogyan dokumentálják eseteiket úgy, hogy azokból ne csak tanulni lehessen, hanem a közösségi média felületeken is kiemeljék anyaguk őket a többiek közül. A Hands On kurzusaim keretein belül A-tól Z-ig mindent megtanítok a szakembereknek, a fotózás alapjaitól a mesterszintig, a klinikai fogászati esetek dokumentálásán keresztül egészen a közösségi médián való kommunikációig, tehát összességében mindenre kitérünk.

A rengeteg külföldi képzés mellett 2013-ban nyitottad meg saját képzési centrumodat, az Ugly Tooth Studiót, hazádban, Romániában. Mikor és hogyan nyitottad meg a centrumot? Hány országból érkeznek tanulni hozzád, és pontosan miket tanítasz a számukra?

Ahogy korábban is említettem, az „Ugly Tooth Training Center” (Csúnya Fog Oktatásiközpont) Temesváron kezdődött el, akkor még egy kisebb teremben a házam tetőterében, majd 2016-ban egy új épületet építettünk speciálisan az oktatás és a labor számára. Rengetegen jöttek a világ minden tá-

járól, olyan távoli helyekről is, mint Alaszka, Korea, Ausztrália, Amerikai Egyesült Államok, vagy Kanada, de persze a legtöbb szakember főleg Európából érkezett. Ezért is volt nagy szerepe, hogy az USA-ba költöztünk, mivel a legtöbben külföldről érkeztek, és Amerikából érkezett a legtöbb megkeresés a kurzusok kapcsán. Az oktatóközpontba rendszeresen sokan jelentkeznek, de ha arányokat nézünk, azért azt sajnálattal állapíthatom meg, hogy az elmúlt 6-7 év során, a képzésre érkező eddigi 6-7 ezer fogászati szakemberből, nagyjából csupán csak 100-200 szakember volt román állampolgárságú.

2021 óta vagy a Romanian Society of Digital Dentistry elnöke. Pontosan mit takar ez a szövetség és mi a szakmai feladatod az elnökeként?

A Romanian Society of Digital Dentistry (Román Digitális Fogászati Szövetség) elnöki posztját 2021 óta töltöm be, viszont idén, 2023-ban lemondtam és ki is léptem, mivel az Amerikai Egyesült Államokba való költözés miatt, nem lenne időm ellátni feladataimat a szövetségben. Ezzel együtt az együttműködésünk is megszűnt Tomasso Porrá-val. Mi szerveztük az iDent-et, a legnagyobb konferenciát, ami a digitális fogászattal foglalkozik és amely egész Kelet-Európában a legnagyobbnak számított, a világ TOP 100 előadójának részvételével. Eddigi szakmai életünk során az egyik legnagyobb közös sikerünk ez volt.

Rengeteg féle fotós kiegészítőt és gépet árulsz a saját webshopodon, ezen eszközök nagy részét te magad fejlesztetted ki, vagy más gyártóktól szerzed be? A fényképezőgépeket milyen szempontok alapján választottad ki? Hogyan teszteled ezeket?

A fogászati fotográfiához igen széles termékkínálattal rendelkezünk, többek között a világ egyik első számú márkájának számító Dental Promaster-rel, amely a saját márkám és szinte minden termékét magam fejlesztettem ki. A termékek fejlesztése és gyártása digitális környezetben CAD/CAM technológiával történik, mely során a tapasztalati tudásom és visszajelzések alapján megtervezem a szoftveren keresztül az új termékeket, majd a validálás után hosszas tesztelés következik, és ha megfelelt a termék az elvárásoknak, akkor forgalomba is helyezzük. A Németországban megrendezett

A teljes DPM intraorális készlet.

kölni IDS vásáron saját standon mutattuk meg a Dental Promaster termékcsaládot, melynek nagy sikere lett.

A fogászati fotózás témájában írt könyved az egyik legkeresettebb a piacon. Nagyon színvonalasan raktad össze. Hogyan készült el a könyv, és miért érdemes akár egy technikusnak, akár egy fogorvosnak beszereznie?

A fogászati fotózásról írt könyvem azzal kezdődött, hogy egy rajongóm kért tőlem egy brosúrát, amiben leírom a fényképezőgép alapbeállításait különböző helyzetekben, pl. portréfotózás vagy intraorális fotózás során, vagy, hogy milyen szögekből érdemes a fotókat elkészíteni. Ezeket összeállítva elkezdtem írni, először két oldalt, majd hármat, végül már azt vettem észre, hogy több tíz oldalnyi anyagot összeraktam és megírtam, végül így készült el a 150 oldalas könyvem a témában. Az első kiadás 2014-ben jelent meg és világszer-

te elkezdtük forgalmazni, majd később készült egy frissített változat, mely már 320 oldalasra sikerült, és a The Book (A könyv) címet viselő anyag nagyon hamar bestseller lett. Többek között olyan témákat érint, mint a fotózáshoz javasolt gépek és eszközök, felszerelési javaslatok, beállítások, a fogászati fotózás folyamatai és technikái, valamint megjelenik benne a marketing és a közösségi média, a számítógépes utószerkesztés témája is. Alapvetően minden, amire szüksége van a fogászati szakembereknek a fotók elkészítéséhez, az ebben a könyvben megtalálható. Az egész szakmai életem tapasztalata adta az alapokat a könyvemhez, de a részletesebb és a mélyebb szakmai tartalomhoz és ahhoz, hogy a tartalom igazán alapos és felkészült tudást képviseljen, ahhoz az elmúlt 7 év felkészülése, kőkemény munkája és klinikai tapasztalata kellett igazán.

Miért javaslod a fogorvosoknak és a fogtechnikusoknak, hogy folyamatosan fotózzák munkáikat?

A legfontosabb, hogy aki belevág a fogászati fotózásba, az kizárólag szenvedélyből csinálja, melyet a szakma szeretete táplál. Meg kell értsük, hogy a fotózás az egyik legjobb tanárunk és a legjobb ellenségünk is egyben, mert a fotókon a legkisebb hibánk is jól látszik. A képek alapján pedig ezekből a hibáinkból nem csak tanulni tudunk, de ki is tudjuk javítani azokat, természetesen nem a photoshopban, hanem a munkánkon. Tehát, a fogászati fotózás legfontosabb része az előbb említett dolgok, de nem mehetünk el amellett sem, ami miatt mindenképp érdemes belevágnunk a fotózásba az a kommunikáció, mely kiemel minket a tömegből. Ezáltal több pácienst és megrendelőt vonzunk be a közösségi média csatornáin keresztül. Ez a két tényező a legfontosabb szempontja a fogászati fotózásnak. Természetesen a dokumentációhoz is egy remek eszköz, viszont a legújabb digitális technológiák (pl. az intraorális és arcszkennerek) átláthatóbbá teszik az eseteket, így a jövőben majd ennek a kiegészítője lehet a fotó és nem fordítva, mint jó pár évvel ezelőtt.

Tokina 100 mm atx-i f2.8 DSE Nikon gépekhez, speciálisan fogászati fotózáshoz ajánlva Miladinov Milos által.

Hihetetlen az a fejlődés, ami a fogászatban zajlik, nagyjából mondhatjuk, hogy a digitális technológia egyik nagykövete vagy. Szerinted hogyan néz ki a fogtechnika jövője? Ahogy említettem, a fogászat jövője nem el fog kezdődni, hanem most zajlik. Kb. 2017-ben indult be komolyabban, mikor az arc- és intraorál szkennerekről kezdtem el tanítani, és akkoriban már az úttörőnek számító arcszkennerek integrálva voltak az Exocad szoftverébe. Ráadásul, akkoriban még kevesen mondhatták el, hogy intraorális vagy épp arcszkennerrel rendelkeznek, mára viszont fordult a helyzet és szinte minden fogorvosi rendelőnek van ilyen eszköze vagy tervezi annak beszerzését. Emlékszem, mikor jó pár éve fogászati vásárokon, ahol jelen voltam mint oktató, a szakemberek nagy része nem igazán tudta, mi ez a technológia, vagy túl bonyolultnak látta és szkeptikusan állt a digitalizációhoz, ma meg már a többségüknek van, és tudja is használni, vagy be akarja ezeket az eszközöket szerezni és meg is akarja tanulni használatukat.

A fogászat jövője, ami napjainkban zajlik, a 3D technológia, ami szerintem az egyik

legjobb eszköze lesz a digitális fogászatnak. El fogunk oda jutni, hogy az erre a célra készült legfejlettebb rezinekkel és gépekkel, nagyon jó és szép rétegezési technika mellett fogjuk tudni kinyomtatni a végső restaurációt.

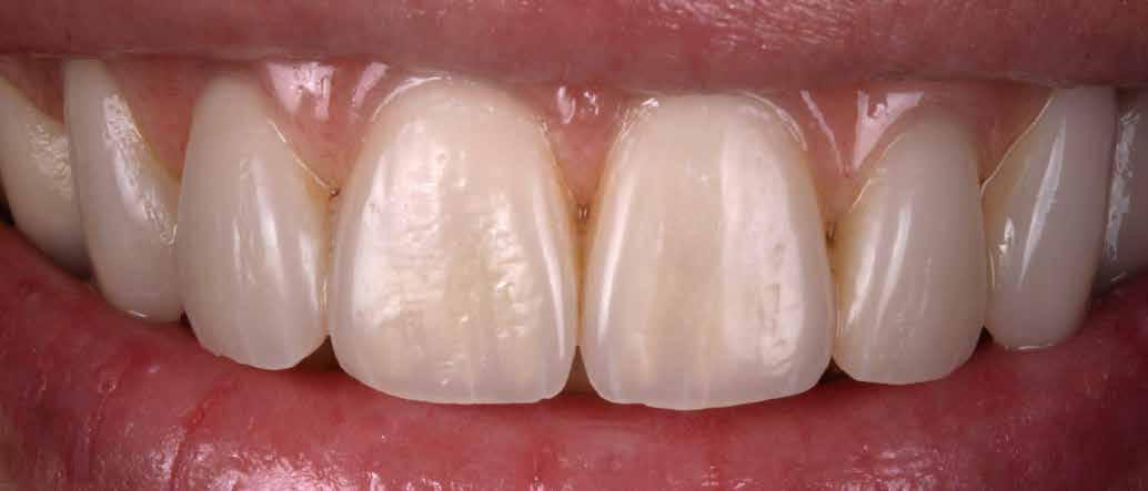
Legvégül kivesszük a kész munkát egyenesen a gépből, de természetesen ennek teljes kivitelezéséig azért még várnunk kell pár évet. A technológia már itt van, de még fejlődnie kell kicsit az anyagoknak. Ugyanakkor pl. a marógépek és a 3D nyomtatók már régóta velünk vannak, a szakmánk részei.

Hogyan került az életedbe Miami, és hogy áll a költözés?

Saját labort nyitsz az USA-ban?

Miami az egyik kedvencem a világon, és nagyon fontos helyszín számomra, mert itt zajlott az első képzésem az Államokban, amit dr. Javier Vasquez szervezett. Mindig meleg és jó idő van, ami nagyon kellemes a mindennapokban és kiváló körülménye-

ket ad a horgászathoz is. Nagyon sok román honfitársam él itt, és sok a spanyol ajkú ember is, akik között nagyon jól érzem magam. Nagy lökést adott a költözéshez és nagyon tetszett, hogy a marketing őshazájában élhetek, aminek főleg a fogászatban hatalmas szerepe van napjainkban, és ez jó hatással van a fogászati fotózásra is. A fogászati fotózást nagyon szeretem és itt szinte egy alap elvárás, így mindennap élhetek ennek a szenvedélyemnek is. Meg természetesen a pénz… mert legyünk őszinték, a pénz mindenkinek fontos és csábító. Emiatt ez is egy jó indok volt a költözéshez, mivel jóval több pénzt tudok keresni itt, mint amit Európában valaha is kereshettem volna. Fura dolog ez, 2003-ban megnyitottam a labort Temesváron és most jó 20 évvel később pedig Miamiban is felépült a saját labor, így akár mondhatjuk is, hogy ez egy 20. évfordulós esemény. Nem csak fogászati labor, hanem oktatási központ is épült ezzel együtt, így már itt, az Egyesült Államokban is biztosítani tudjuk a professzionális oktatást a szakemberek részére. Sokan szerették volna, hogy ideköltözzek és ezáltal színvonalas oktatást és munkát hozzak, így végül megcsináltam. Ám emellett számos oka volt a költözésnek, ide tartozott a pandémia és az Ukrajnában kitört háború is, amely miatt úgy éreztem, hogy érdemes költözni, és persze végül kiderült, hogy nagyon jó és okos döntés volt.

Térjünk vissza kicsit rád. Mivel foglalkozol a szabadidődben, ha időd engedi? Hol látod magadat 5 vagy 10 év múlva? Szabadidőmben szeretek a gép előtt dolgozgatni, grafikát és tartalmat készíteni a közösségi oldalaimra. Az első számú hobbim a horgászat, és itt Floridában, ahol most élek kiváló helyek vannak a pecázásra, így jelenleg úgy érzem, a legjobb helyen vagyok, ahol együtt van a digitális fogászat, a fogászati fotózás és a hobbim is. Van egy 7 éves tervem, amikor betöltöm az 50. életévemet szeretném befejezni a labormunkát és visszafogni picit az oktatást, ezáltal több időt szánni magamra és a családomra. Szeretek utazni és világot látni a feleségemmel és a családommal, erre szeretnék több időt fordítani majd, valamint az említett hobbimra is szeretnék majd több időt fordítani a jövőben. Persze, ezek voltak a hosszú távú terveim, a rövid távú tervek között elsősorban a Miamiban felépített laborom és oktatóközpontom áll, ezek menedzselése és persze a munka. A kemény munka majd meghozza a gyümölcsét, és akkor tényleg több időt fordíthatok a családomra és a hobbimra.

Örömmel értesítjük, hogy a Dental-Trade csoport lett

a DIO implantátumok új,

kizárólagos Magyarországi forgalmazója!

Mostantól a fogászati ipar legfrissebb innovációi közvetlenül elérhetők kínálatunkban.

Büszkék vagyunk arra, hogy a DIO implantátumok kiváló minőségű, csúcstechnológiás termékeit az Önök szolgálatába állíthatjuk.

Miért válassza a DIO implantátumokat?

• Innováció és fejlett technológia:  A legmodernebb technológiával készült DIO implantátumok hosszú távú megbízhatóságot és kiváló funkcionális eredményeket nyújtanak.

• Kiváló minőség, kedvező ár: Széles választék és nagy magyarországi raktárkészlet biztosítja, hogy prémium termékeink mindenki számára elérhetők legyenek.

• DIONavi:  Navigált implantálás fúrósablonnal, amely a digitális, navigált fogászatban a koreai márkák közül piacvezető technológiát képvisel. A sablont Koreában tervezik meg, és akár 24 órán belül legyártják, körhíd esetén 36 órán belül.

• Egyedi UV Active technológia: Az UV Active implantátum egy teljesen egyedi technológia, amely különleges hidrofil tulajdonságokkal rendelkezik, és egyedülálló a piacon.

• Rendszeres kurzusok:  A DIO Implant Academy és a DIO Digital Academy keretében folyamatos képzéseket kínálunk Magyarországon is.

• Fedezze fel alkatrészek, tartozékok és felépítmények széles választékát: a tradicionális analógoktól a digitális workflow-ig a scanbodykkal.

• Szállítás: magyarországi raktárkészlet biztosítja, hogy termékeink azonnal szállíthatóak legyen Önnek.

Miért válassza a Dental-Trade-et?

• Szakértelem és tapasztalat: Magasan képzett szakembereink mindig készen állnak, hogy segítsenek a legmegfelelőbb megoldások megtalálásában.

• Kiemelkedő ügyfélszolgálat: Ügyfeleink elégedettsége a legfontosabb számunkra, ezért mindenkit személyre szabott figyelemben részesítsük.

• Gyors és megbízható szállítás:  Rendeléseit gyorsan és megbízhatóan szállítjuk, így Önnek soha nem kell várnia a szükséges termékekre.

Csatlakozzon a fogászati forradalomhoz a Dental-Trade és a DIO implantátumok révén!

Tapasztalja meg a különbséget, amit a minőség és az innováció hozhat mindennapi fogászati gyakorlatába.

Lépjen kapcsolatba velünk még ma, és tudjon meg többet a DIO implantátumok előnyeiről!

Dental-Trade Cégcsoport– Az innováció és a minőség találkozása!

1078 Budapest, Marek József u. 31. +36 1 333 6700, +36-70 3600 780 info@dentaltrade.hu

dioimplanthungary.com

PORTRÉ „A páciens panasza az elsődleges, törekedjenek azt lehetőleg gyorsan és humánusan megoldani…”

ÚJ GENERÁCIÓ

„A folyamatos tanulás és kutatás kulcsfontosságú a szakmai fejlődésben”

MED. DENT

Interdiszciplináris fogászati kezelés myofunkcionális készülék, alignerek és protetikai ellátás alkalmazásával

MED. DENT Abradált frontfogakkal rendelkező felnőtt páciens interdiszciplináris kezelése

CÍMLAPSZTORI

Florin Stoboran egy világhírű fogtechnikus mester román és magyar vérrel

FOGTECHNIKUSOK SZAKMAI LAPJA Életet lehelni monolit megoldásokba

Egy labortulaj, aki mert változtatni, és sikeres lett! LABORBEMUTATÓ LABORATÓRIUM

LABORATÓRIUM

A leplezőkompozitok (analóg) világa

ANNYIRA HAMIS, HOGY MÁR IGAZI!

Andreas Leimbach szenvedélyes híve a teleszkópkoronás pótlásoknak. Meglátogattuk a fogtechnikusmestert laboratóriumában, és decemberi füzetünkben bemutattuk a „teleszkópok urának” csodás birodalmát.

Az „annyira hamis, hogy már igazi” mottó nyomán csodálatos restaurációk születnek Weissenhornban. Ebből nyújtunk most kóstolót. Andreas Leimbach képgalériája jól szemlélteti, lehetséges kivehető teleszkópos munkát úgy elkészíteni, hogy a „klasszikus fogsor” fel sem ismerhető.

Egy tipp azoknak, akik bepillantást nyernének a teleszkópspecialista mindennapi munkájába, illetve hasznosítani szeretnék az ő tapasztalatait ezen a területen: Andreas Leimbach – a Neuer Merkur Kiadóval közös – webinar-sorozatot indít! Ráadásul Björn Pfeifferrel, Christian von Bukowskival és Giuliano Moustakissal közösen online tanfolyamot indítottak 2021-ben, amely tökéletes belépő a digitalizáció világába.

Információ: www.andreasleimbach.com

Teleszkópmunkák a legfinomabbak közül

Andreas minden rekonstrukción elgondolkodik, analóg és digitális tervezést is végez. Andreas sebesen útközben…

Forrás: Das Dental Labor 2023/1

Christof Hafermann (Németország)

MINDENT 3D NYOMTATVA, NEM?

Ma már a mindennapok gyakorlatába tartozik a korona- és hídvázak 3D nyomtatása fémporból, vagy a minták és lenyomatkanalak 3D nyomtatása műanyagból. De kombimunka is elkészíthető kizárólag

3D nyomtatók segítségével? Mi lehetséges már technológiailag, hol a határ? Megfelel az eredmény a minőségi és esztétikai követelményeknek? Az itt ismertetésre kerülő cikkben Christof Hafermann válaszol ezekre a kérdésekre, felkeltve olvasóink érdeklődését a 3D nyomtatási ismereteik szélesítése iránt, illetve inspirálva őket a technológia használatára.

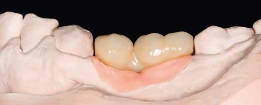
1–2. képek: Kiindulási helyzet.

3. kép: Új teleszkópos fogpótlás az 16, 15, 13, 23 és 27 fogakra.

Teleszkópos munka, élő eset bemutatásával ismertetem, mi az, ami már lehetséges. A munkaasztal-szkenneren kívül bevetésre került a digitális munkafolyamatok során egy intraorális szkenner (IOS) is. A 3D nyomtatású testek gyártása a laboratóriumban LCD- és DLP nyomtatókkal történt. A fémes komponenseket szelektív lézerolvasztásos (SLM) technológiával készíttettük.

4. kép: Intraorális szkennelés Würzburgban, a Biebl&Knapp rendelőben.

Kiindulási helyzet

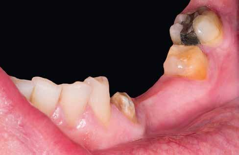
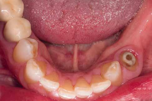
A páciens látlelete a következő:

• krónikus általános parodontitis

• a 24-től terjedő parodontális fekély

• hatástalan kapcsos felső fogpótlás (1-2. képek)

Terápia

A kezelőorvos (dr. Werner Knapp, Würzburg) ennek alapján a következő terápiát javasolta:

• a 24-es fog extrakciója, illetve az 12 és 22 fogak extrakciója előrehaladott szövetveszteség okán

• szisztematikus parodontitis-terápia

• új, teleszkóp-elhorgonyzású felső fogpótlás az 16, 15, 13, 23 és 27 fogak felhasználásával (3. kép)

Az IOS adatok felhasználása, mintanyomtatás

A digitális lenyomatvételt (4. kép) követően a primer részek előállításához a CAD szoftverben vágatlan fogívet szegmensekre osztottuk, és a pontosság ellenőrzésére csonkokat generáltunk (5-6. képek). Az ebből nyert STL-adatállományt virtuálisan illesztettük a 3D nyomtató építőasztalára (7. kép), és a Bego cég VarseoWax Model segítségével Anycubic Photon Mono X LCD-nyomtatóval kinyomtattuk a mintákat (8. kép)

Primerkorona tervezés

A 0°-os, egymással szemben legalább két 3 mm-es magasságú felületet felmutató primer koronákat ismét a CAD szoftverrel terveztük meg (9. kép). A gyártás a Bego CAD/ CAM gyártóközpontjában, Brémában, SLM-eljárással történt, Wirobond C+ (Bego) ötvözetből.

Egyéni kanál

A mesterminta készítéséhez szükség volt hagyományos lenyomatra is, mert nincs gyakorlati megoldás a primer koronák szájbéli pozíciójának intraorális szkenneléssel történő digitális rögzítésére. Ehhez egyéni kanalat készítettünk. Lemásoltuk a CAD-konstrukció adatállományát, és illesztettük a preparációs szkennelést. Ezzel további beolvasást tettünk feleslegessé, nem kellett megvárnunk a primerek elkészültét.

A minta darabolása nem volt lehetséges. Mivel a nyomtatás nem szükséges, el is hanyagoltuk (10. kép)

A lenyomatkanál (11. kép) Varseo S DLP-nyomtatóval készült, VarseoWax Tray (Bego) anyagból, nyomtatva (12. kép)

A közben megérkezett primer koronák a minta csonkjaira voltak passzíthatók (13. kép)

Köztes

állapot

A különböző minták, a primerek és az egyéni kanál elkészítése 3D nyomtatással nem okozott eddig problémát (14. kép)

5–6. képek: Kész intraorális szkennelések.
8. kép: Nyomtatott minták.
7. kép: Az STL-adatok illesztése (nesting) a Photon Workshop 64-be.
9. kép: A primerek tervezése.

Próba és gyűjtőlenyomat

Mint föntebb említettem, nincs gyakorlati megoldás primerek szájban rögzített helyzetének digitális beolvasására. A primer koronák belső felülete nem szkennelhető. A mesterminta ezért nem készülhet teljesen digitálisan. DE: célunk az volt, hogy mindent nyomtassunk! Ezért a hagyományos lenyomatot beolvastuk az asztali szkennerben (15. kép), majd a mintát VarseoWax Model (Bego) anyagból kinyomtattuk. Ha a kritikus területeket (16. kép) még egyszer pontosítva beolvassuk, az eljárással nagyon jó eredményt érhetünk el! Ez még engem is meglepett (17. kép). A párhuzamosan, szuperkemény gipszből hagyományosan készített mintához képest nem volt szignifikáns különbség.

Harapásregisztrátum

Az asztali szkennerrel készített adatállomány alapján létrejött minták további feldolgozásra kerültek, hogy harapás-

10. kép: Kanálminta.
11. kép: Kanáltervezés.
12. kép: A kinyomtatott egyéni kanál.
13. kép: A leszállított primerek.

regisztrációs eszközt gyárthassunk. Az Appliance Designer segítségével sínszerűséget konstruáltunk (18.1 kép)

A VarseoWax Surgical Guide (Bego) anyagból nyomtatott regisztrációs eszközre (18.2 kép) kb. 1 mm viaszt helyeztünk a szabad harapásrögzítéshez (19. kép)

Utólag nézve ez a lépés tisztán az ellenőrzést szolgálta, hiszen az IOS rendszer harapásregisztrációja nagyon megbízhatóan működik.

A kezelőorvosnak lehetősége van ezzel a labor számára kiegészítő információk közlésére, amelyek IOS-rendszerben nem lehetségesek – pl. középvonal, ajaktelítettség, mosolyvonal (20-21. képek)

A szkennelés előtt a párhuzamosra összefrézelt koronákat (22. kép) hajszálvékonyan lefújtuk szkenn-spray-vel (23. kép) . Ehhez a Helling 3D Laser Scanning Spray-t használtuk.

Minden egy tervben

A digitális megrendelőlapra a szoftverben anatómiailag redukált Wirobond C+ hibrid szekundervázat írtunk be,

14. kép: A minták, a primerek és az egyéni kanál mind 3D nyomtatással készültek.
16. kép: Kritikus területek.
18.1 kép: A harapásregisztráló tervezése.
15. kép: A gyűjtőlenyomat a szkennerben.
17. kép: A nyomtatott mesterminta.

18.2 és 19. ábra: A VarseoWax Surgical Guide (Bego) anyagból nyomtatott regisztrációs eszközre kb. 1 mm viaszt helyeztünk a szabad harapásrögzítéshez.

20–21. képek: A kezelőorvos kiegészítő információkat közölhet a laborral, amelyek IOS-rendszerben nem lehetségesek – pl. középvonal, ajaktelítettség, mosolyvonal.

egyidejűleg a VarseoSmile Crown plus-t választva. Így készült az anatómiai forma, összekötve az abból következő vázformával. Egy időben generáltuk a leplezőhéjakat is. Meglehetősen igényes tervezés (24. kép) lehetséges. A szekunder struktúra gyártásához Wirobond C+ Hybrid (Bego) anyagból a Bego CAD/CAM központjába küldtük a megrendelést.

23. kép: A mesterminta a primerekkel az asztali szkennerben. – 24. kép: Minden egyben tervezve.

22. ábra: A megmunkált primerek.

25. kép: A leplezőhéjakat a laborban nyomtattuk Varseo XS nyomtatóval.

27. kép: A súrlódó elemeknek előkészített hely.

A leplezőhéjak nyomtatása

A leplezőhéjakat a laboratóriumban nyomtattuk, VarseoSmile Crownplus (Bego) anyagból, Varseo XS (Bego) 3D nyomtatóval (25. kép).

Kidolgozás

A váz passzításához csak enyhe gumizásra és a még oxidréteggel rendelkező felület kidolgozására volt szükség (26.kép)

A csúszási súrlódással működő kiegészítő elemeknek előkészített területet (27. kép) a készrevitel során műanyag töltötte fel, de ki is blokkolhatók, így megakadályozva a nemkívánatos feltöltést.

Az illeszkedést ellenőrizendő a kinyomtatott héjakat a mintára helyeztük. Manuális passzítás nem volt szükséges, mert ez már korábban megtörtént digitálisan.

A színkülönbség, ami a szemfognál jól megfigyelhető, eltűnik, amint a váz összekötésbe kerül a leplezőhéjakkal (28-29. képek)

Az esküvő

A váz és a leplezés összeragasztása előtt opákereztük a vázat. A héjakat duál-kompozittal ragasztottuk helyükre. Nekünk bevált a visio.link (Bredent) bond, és a combo.lign (Bredent) anyag kombinációja (30-31. képek)

A kidolgozás a hagyományos, előregyártott leplezésekéhez hasonlóan történt. Itt is csak minimális megmunkálás volt szükséges (31.1 és 31.2 képek)

kép: Kidolgozott váz.

28–29. képek: A leplezőhéjak illeszkedésének ellenőrzése.

30–31. képek: A felragasztott héjak.

Ha mégis több élt szeretnénk látni, bármikor kiegészíthetjük a munkát primer és kompozit segítségével. A felhasznált 3D nyomtató alapanyagban vannak kerámiaszemcsék, így nagyszerű kötődést produkál.

26.

Vörös esztétika és próba

A műíny részeket a próbához viaszból mintáztuk meg (32. kép). A kivitelezést hagyományosan, műanyagból végeztük. E komponensek 3D nyomtatása még nem lehetséges, illetve egyelőre nem lenne kifizetődő.

A Tervezés során lehetséges aktiváló segédelemek beépítése. Ha a későbbiek során a súrlódás gyengül, lehetséges kiegészítésképpen (tulajdonképpen aktiválásként –a ford.) behelyezni ezeket a súrlódó elemeket.

Készrevitel

Mint kiderült, a PMMA és a nyomtatott minta között bond nélkül is kiváló ragasztás jön létre, bár ezt ebben az esetben nem akartuk kihasználni. Ugyan izoláltunk, de ehhez speciálisan erre kifejlesztett izolálót kell használni. Na, ez nem ilyen volt.

Sok fáradsággal, de le tudtuk választani a mintát a munkáról (33. kép)

A digitális eljárásnak köszönhetően – az adatállomány mentésre került – gyorsan új mintát nyomtathattunk, és be tudtuk fejezni a munkát (34. kép)

Összefoglalás

A végeredményre pillantva nem láttam az eredményt befolyásoló különbséget egy hagyományos eljárással készített megoldáshoz képest. A munka időközben több mint fél éve szájban van, eddig hiba nélkül funkcionál. Esztétikailag biztos, hogy van még feljebb, de hát ezen lehet segíteni. A jövőben biztosan lehetséges lesz a leplezőhéjak vagy fogsorfogak színátmenetes nyomtatása. Azonban látható, ösz-

31.1
31.2
32. kép: Vörös esztétikai próba.
34. kép: Befejezve.
33. kép: Készrevitel akadályokkal.

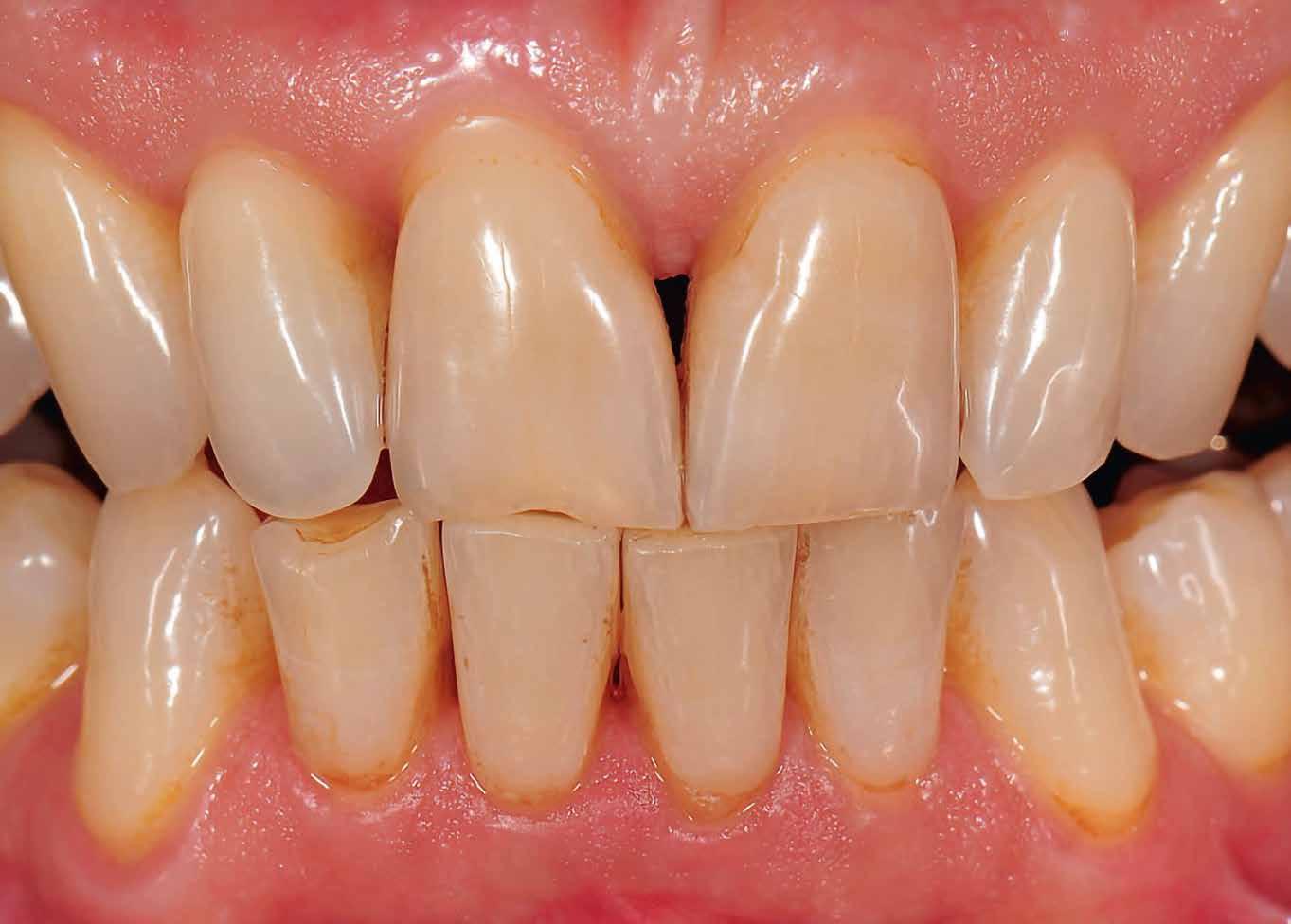
35–36. képek: Előtte - utána.

szetett pácienseset megoldása tisztán 3D nyomtatással ma már nem fikció (36. kép)

A digitális eljárás során, ha kellő gyakorlatot szerzünk, az időmegtakarítás kiemelkedő. A kihívások egyik legfontosabbja a szakember hiánya, ami persze igencsak foglalkoztat bennünket. A jövőben még sokkal többet alapozunk a gépi gyártásra, hogy egyáltalán elkészíthessük a megrendeléseket.

A fentiekben ismertetett eljárás fémlemezzel kombinálva is megvalósítható. Időközben összes lemezünket a PC-n készítjük, és a Bego-nál gyártatjuk SLM-eljárással, rugókemény Wironium RP ötvözetből. A lemezek magas

fényre polírozva, tökéletes illeszkedéssel érkeznek meg a laborba. Ha a jövőben a leplezőhéjak, és a fogsorfogak is pontosan és utócsiszolás nélkül elkészíthetőek lesznek 3D nyomtatóval, a kapcsos fémlemez készítése is mulatság lesz.

Aki ma még nem nyomtat, azonnal lásson hozzá; aki már műveli, hozzon ki még többet belőle! A fogászati 3D nyomtatás már nem a pepecselő feltalálók számára megoldás, hanem megbízható mindennapi technika, hatalmas potenciállal. A jövő additív!

Forrás: Das Dental Labor 2022/11

A TERMÉSZETES FOGAK SZÍNÁTMENETE ÉS AZOK INTELLIGENS UTÁNZÁSA

2. rész

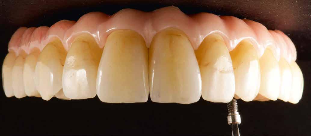
A kerámia rekonstrukciós technikák lehetővé teszik a legmagasabb esztétikai elvárások teljesítését és a legtermészetesebbnek tűnő betegrehabilitációt. A leplezett vagy monolitikus anyagként használt cirkónium-dioxid kiváló mechanikai tulajdonságaival kiemelkedik a fogászati kerámiák közül. Biokompatibilis és az indikációk széles körét lefedi. A transzlucens cirkónium-dioxid szerkezetek kombinációja a 3D szilikátkerámia glazúrpasztákkal ma elterjedt kivitelezési mód, és a monolitikus rekonstrukciók között klasszikusnak számít. Különösen a hátsó területen a digitálisan létrehozott funkcionális morfológiát alkalmazzuk, és a manuális munkát a minimálisra csökkentjük. Egy másik lehetőség a még természetesebb megjelenés elérésére az úgynevezett kerámia mikrorétegezéssel történő esztétikai individualizálás. Ezt elsősorban az elülső területen alkalmazzák, itt új sztenderdet állít fel.

Az esztétikus eredményhez vezető sikeres út a CAD-szoftverben kezdődik. Az anatómia és a morfológia leképezése során találkozik a forma és a funkció. A megfelelő anyagválasztás az előállítás fontos lépése a CAM-folyamatot megelőzően. A végeredményt illetően a színérték és a fényerő szempontjából már itt meg van határozva az irány. A kibővített színezőfolyadék-koncepcióval a cirkónium-dioxid szerkezetek a szinterezés előtt színezhetők a hatékony kontrasztok és színátmenetek elérése érdekében.

Monolitikus és mikrorétegezés

A színes árnyalatokat 3D-s glazúrpasztával festik, majd égetik. Nagy előny, hogy a szín már az égetés előtt látható és megítélhető. Ez a kiégetett eredmény most vagy a monolitikus végeredmény vagy az esetlegesen kibővített mikroréteg-változat színalapja. Ugyanakkor az alapul szolgáló cirkónium-dioxid szerkezet is különösen fontos. Jó kiindulópontot jelentenek a mai előszínezett blankok, amelyek közvetlenül a szinterezési folyamat után színátmenetet mutatnak a nyaki területről a metszőfogak incizális zónája felé. A modern, többgenerációs cirkónium-oxidok különböző áttetszőségi szintekkel ugyanabban a korongban már természetesebb szintre emelik ezt az alapanyagot.

Színező folyadékok

A színező folyadékok használata további lehetőséget kínál a cirkónium-dioxid szerkezetek színezésére, hogy azok a természetes fogakra hasonlítsanak. Ezeket a szinterezés előtt a színérték, a színárnyalat és az incizális hatás szerint alkalmazzák. A cirkónium-dioxid szerkezeteket egyenként kezelik a különböző színű folyadékokkal, ami lehetővé teszi az összes szín költséghatékony előállítását, rendkívül kevés blokk vagy korong felhasználásával. Például minden színt elő lehet állítani egy olcsó fehér cirkónium-dioxidból készült blankból. Az előre színezett többrétegű blankok színárnyalata és színértéke is növelhető ezekkel a folyadékokkal, valamint hatékony a természetes hatások létrehozásában.

A folyadékkészlet A-tól D-ig minden „Body” árnyalatot tartalmaz, amely megfelel a Vita® Shade Guide rendszernek. A kiegészítő „Cervical” és „Effect” árnyalatok lehetőséget nyújtanak egyéni hangsúlyok beállítására, például fokozott színárnyalatot a nyaki területekhez, valamint kékes vagy lilás árnyalatokat az incizális részhez. Az ínyterületek rekonstrukciója esetén a színező folyadék az

A cirkónium-dioxidból készült restauráció karakterizálásának szakaszai

4.ábra: A Lustre Pastes ONE alkalmazása. A természetes fogak színátmenete nagyon egyszerűen utánozható.

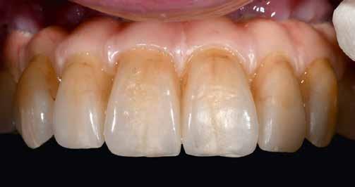
6. ábra: Balra: A szinterezett monolitikus cirkónium-dioxid koronák, Jobbra: Természetes modell.

5. ábra: A cirkónium-dioxid koronák Initial Zirconia Coloring Liquid-del színezve a szinterezés előtt.

7. ábra: Balra: A végeredmény Initial Lustre Pastes ONE égetéssel, Jobbra: Természetes fogak.

8. ábra: Fehér cirkónium-dioxid híd savazás után. – 9. ábra: Piros és fehér területek külön-külön színezve Initial Zirconia Coloring Liquid használatával. – 14. ábra: Az eredmény a szinterezés után a legegyszerűbb merítési technikával: egyetlen merítés a Body folyadékba.

egyetlen lehetőség a cirkónium-dioxid hidak vöröses árnyalatú előszínezésére. A műínyterületek fontos szerepet játszanak, különösen a nagy függőleges anyagveszteségek, például az implantátum szuprastruktúrák esetében. A magas mosolyvonal gyakran kihívást jelent, mivel igyekszünk megfelelni a páciens igényeinek.

A különböző színeknek az adott zónához való pontos hozzárendelése mellett két másik színezési lehetőség is rendelkezésre áll. Az incizális területet a CL-N folyadékba lehet áztatni, és a kitűzött V-árnyalat Body folyadékába való további merítés után az incizális területen nagyon könnyen létrehozható egy kontrasztos világosabb harmad. Vagy, mint a legegyszerűbb verzió, a cirkónium-dioxid szerkezetet egyetlen, a megfelelő Body árnyalatú folyadékba lehet meríteni.

Initial IQ Lustre Pastes ONE

Az Initial IQ Lustre Pastes ONE egy használatra kész 3D glazúrpaszta, amelyet a szinterezett cirkónium-dioxid vá-

zakra visznek fel, és a cirkónium-dioxidnak adják meg az utolsó simítást a monolitikus restaurációk véglegesítéséhez. Az erősen fluoreszcens L-NFL (Lustre Neutral Fluo) egy kristálytiszta paszta, amely kompenzálja a cirkónium-dioxid nem fluoreszcens tulajdonságát. Az L-A, L-B, L-C és L-D paszták az A-D csoportok Vita célárnyalatainak 1-4 közötti beállítására szolgálnak. Így az összes kulcsfontosságú árnyalat reprodukálható ezzel a négy pasztával.

A természetes fogak incizális hatása utánozható például az L-4 (sötétszürke), L-5 (világoskék), L-6 (sötétkék), L-12 és L-OP (opál) színnel. Az L-9 (narancssárga) paszta alkalmas az okkluzális felületek diszkrét színezésére, hogy a hátsó korona barázdái kissé színesebb megjelenésű legyen. A kompatibilis Spectrum Stains Kit különböző kombinációi révén a színválaszték végtelen.

A megfelelő színpaszták az ínyterületeken is használhatók, a vöröses-rózsaszíntől a sötét ibolyaszínig, a nyálkahártya különböző zónáinak ábrázolására. A kapcsolódó íny világos színű területei (G-35 | Intensive Cream; G-23 | Base Light) és a sötétvörös alveoláris nyálkahártya (G-36 | Intensive Red; G-24 | Base Dark), valamint a szabad ínynek a foghoz való

10-11. ábra: szinterezett cirkónium-oxid híd ínypótlással. – 12. ábra: CL-N folyadékkal incizálisan impregnálva.

13. ábra: A szinterezés utáni eredmény, világosabb színnel az incizális él felé

15. ábra: Lustre Paste Gum árnyalatok felvitele az íny területére.

17. ábra: A Lustre Paste égetése után. Háromdimenziós szín- és incizális hatások, valamint különböző ínyterületek a kiégetés után. – 18. ábra: A SQIN kerámiák vékony rétegű felvitele.

finom átmenete (G-34 | Intensive Violet) élénk megjelenést kölcsönöz ezeknek a területeknek.

Initial IQ SQIN

A monolitikus lehetőségek gyakran korlátokba ütköznek, különösen a mesterséges fogíny kialakításakor. A tisztán glazúrpasztával festett íny általában nem felel meg az általános elvárásoknak, inkább színalapozásra és belső karakterizációra szolgál. Ezért az égetett Lustre Paste tetejére

16. ábra: Az égetés előtt különböző Lustre Paste lazúr pasztákat alkalmaztak.

vékonyan speciális, GUM-árnyalatú kerámia SQIN rétegek kerülnek, amelyek az utolsó esztétikai simítást adják. Az SQIN mikrorétegű kerámiával való kombináció végül kiteljesíti a koncepciót a rendkívül esztétikus restaurációk elkészítéséhez.

Az áttetsző SQIN anyagok különösen hatékony módszert jelentenek a természetes fogak mélységének elérésére az elülső fogaknál, ami az esztétika szempontjából a legfontosabb terület.

Kis erőfeszítéssel olyan eredményeket érhet el, amelyekhez általában megerőltető, többrétegű módszerekre van szükség. Ezt az új kerámiafejlesztést figyelemre méltó homogenitás és kiváló szinterezhetőség jellemzi. Így egyetlen kerámiaégetéssel elérhető a végeredmény.

Konklúzió

Az Initial Zirconia Coloring Liquid rugalmas megoldást kínál a cirkónium-dioxid szerkezetek egyedi színezésére és a monolitikus változatok alapjának megteremtésére, akár gazdasági, akár esztétikai szempontból.

19. ábra: Végeredmény: Lustre-Pastes ONE és SQIN (ONE SQIN koncepció) segítségével véglegesített cirkónium-dioxid híd.

A Lustre Pastes ONE pasztákkal kombinálva a természetes fogak színátmenete az elkészítési folyamat bármely szakaszában utánozható.

A ONE SQIN koncepcióval rendkívül esztétikus eredmények érhetők el nagyon rövid idő alatt, a kerámia új generációjának felhasználásával.

A háromdimenziós hatás minimális rétegvastagsággal érhető el, ezáltal biztosítva a restauráció stabilitását és biztonságát.

A cikk először a Get Conneted portálon jelent meg 2024. 09. 26-án

A cikk első része a Fogtechnika e-journal 2021/1 számában jelent meg

Zirconia Coloring Liquid Személyre szabott, az Ön igényei szerint!

Gyorsabb, kiszámíthatóbb és individualizált

követve a IQ filozófiát

Kisebb készlet, nagyobb nyereség Hozzon létre minden árnyalatot gyorsan és egyszerűen csökkentett készlettel

Fesse vagy merítse Két lehetőség, igénye szerint

Az Initial Zirconia Coloring Liquid rendszer 12 vízbázisú színezőfolyadékból és 4 marking színből áll, az „IQ filozófiát” követve a természetes fogszínek és hatások szinterezés előtti reprodukálására. Egyszerűen vigye fel a folyadékokat a monolitikus vagy anatómiailag redukált pótlásra a marás után festési vagy ha merítési technikát használ.

GC EUROPE N.V. info.hungary@gc.dental https://www.gc.dental/europe/hu-HU

KIEGÉSZÍTETT VALÓSÁG A KÉPZÉSBEN

Így válik láthatóvá a tanulás

1. rész

A Virtoon cég AR oktatószoftverével agyműködéshez igazított, gyakorlatorientált tanulás valósítható meg. Az AR rövidítés az „Augmented Reality”, németül „Erweiterten Realität” kifejezés kezdőbetűiből áll össze – jelentése kiegészített valóság. E technológia segítségével a fogtechnikai tananyag életre kelthető a valós környezetben. A mottó: csodálkozni, felfedezni, kipróbálni. Csak egy okostelefon vagy egy tablet szükséges az alapvető kompetenciák elsajátításához, amely a gyakorlati eljárások biztonságos és tiszta kivitelben történő bemutatásával történik. Robert Zivkovic ismerteti a folyamatot.

Hol a probléma? Jaj! Mind kevesebb fiatal érdeklődik a kézművesség iránt. Ez nem csak a kézműveseknek fáj, gazdasági szempontból is végzetes hatású. Hiányzó szakképzett munkaerő, képzések felhagyása, felkészületlen kezdők csökkentik az ügyfelek bizalmát, és rontják a nemzetközi versenyképességet. Csalódás, stressz, betegségek a következmények, amelyek nem csak az üzemeket és a szociális rendszert terhelik, hanem az egész társadalmat. Sajnos ráadásul nem

is ez az egyetlen probléma. Az ügyfelek magas elvárásai, a hihetetlen idő- és pénzügyi nyomás sok fogtechnikust késztet csúcsteljesítményre. Emellett még úgy képezni, hogy az átfogó, mindenre kiterjedő tudást adjon – egetverő nehézségeket okozhat, nem is mindig megvalósítható. A tanítók és tanoncok körében egyaránt erősödik a stressz. Igen sok képzőhely gondolkozik már azon, hogy felhagyjon tevékenységével. A következmény: hiányzó utánpótlás!

1. kép: Az AR szoftver képernyőképe (screenshot), fogfelállítás rendszer alapján.

Hogy látja mindezt az utánpótlás?

Ha Frank, a kezdő autószerelő-tanuló nem ismeri fel a hibajelenséget, és szükségtelenül épít be alkatrészeket, vagy ha Paul, a vízszerelő nem tudja, hogy miért nem használhatja ugyanazt a csavarhúzót az ivóvíz- és szennyvízvezetékek szereléséhez, nem csak szükségtelen költségei lesznek az ügyfélnek, hanem egészségügyi veszélyekkel is számolhat. Hasonló történeteket sok kézműves szakmából is mesélhetnénk, hiszen a stresszes munkanapok során rengeteg információ marad el útközben. A fogtechnikából is ismerünk példákat, amelyek a kezelőorvos vagy a páciens bosszúságára szolgáltak. De ismerik ezeket kiképzendő tanulóink is? Sok tanonc nem érzi magát kellően felkészült-

nek, de beletörődik ebbe. Kezdő szakmunkásként aztán óriási ráfordításokkal kell kiküszöbölniük vagy megszüntetniük a hibákat és hiányosságokat, beszerezni a hiányzó kompetenciát. Gyakran el sem jutnak odáig, ami aztán egyetlen értelmes alternatívaként a szakmaváltást engedi meg.

Hol az igazi kihívás?

A fogtechnikai képzést attraktívabbá kell tenni. A fiatalok már hosszú ideje nem a régi szabályok szerint tanulnak. A frontális oktatást még elviselik, de az oktató szakkönyvek és szakirodalom elolvasásától sokaknak már meredezik a szőr a tarkóján. Ha elmúlik a kezdeti lelkesedés, a legizgalmasabb téma is hamar lekerül az asztalról. A tanulás szenvedéssé válik. Szomorú ebben a bevált módszerek, technikák és kompetenciák ismeretének elvesztése. A mai fiataloknak ingerekre, átlátható struktúrákra és azonnali viszszajelzésre van szüksége. Rá kell csodálkozniuk a tananyagra, hogy örömmel tanuljanak. Ráadásul előrelépésüket és hiányosságaikat azonnal láthatóvá kell tenni, a tanerő terhelésének csökkentése mellett. A gyorsan változó szakmai körülményeknek megfelelően kell oktatni, ez magától értetődik. E fő feladatok megvalósítása áll az itt vázolandó AR fejlesztésének hátterében.

Ezt a feladatot céloztuk meg

A játszva tanulás a tanulás legtermészetesebb formája. Ez a siker kulcsa. Ahol az érdeklődést fel tudjuk kelteni öröm és csodálkozás segítségével, ott játszva tanulunk, és jelentősen javul a bevésődés is. Ha ráadásul a hibázás lehetősége is megengedett, gyorsan fogunk haladni, és sok minden meg is marad a fejünkben. Több mint három évvel ezelőtt kezdtük el Manuel Jancec programozó és én az AR oktatószoftver fejlesztését. A legnagyobb kihívás az volt, hogy olyan szoftvert fejlesszünk, amely a pedagógiai, pszichológiai és agykutatási ismereteket is magába foglalja. Így érhetünk el olyan kiegészítő ingersorozatot, amely alkalmas utánpótlásunk képzésére.

Az

AR oktatószoftver a képzés észszerű kiegészítője

Az AR oktatószoftverek használatával a tanulók saját tempójukban haladhatnak a képzés során. Önállóan, felelősséggel és

öntudatosan dolgozhatják át magukat az AR szoftveren, amely elkíséri őket a gyakorlati munka során. Megerősíti a tanoncok hatékony önállóságát, ami pozitív hatással lesz önbizalmukra és motivációjukra. Az önkéntes versenyszerű megmérettetés és az elért tudásfokozatokért begyűjthető kitüntetések is szárnyaltatják a motiváltságot, növelik a lelkesedést. A tartalmak úgy épülnek egymásra, hogy megfeleljenek a laboratóriumban található munkakörülményeknek, és az előírásoknak is. A kiképzendő alanyok a tudásközlés alatt tehermentesítve vannak, igény esetén a tudáshiányok célzottan pótolhatók. Minden oktatási lépés és adat finoman kidolgozott, csak így érhető el a siker. Azonnali visszajelzés és az elsajátított anyag kikérdezése mélyítik el a megértést, és gondoskodnak arról, hogy a tanuló maradjon a labdánál. Az AR oktatószoftvert jelenleg sikeresen alkalmazzák a stuttgarti régió HWK oktatóakadémiáján a vállalaton kí -

2. kép: Screenshot – fogfelállítás rendszer alapján.
3. kép: Screenshot – kapocsfajták.

MULTY PLATFORM SYSTEM SPM Tökéletes protekiai elemek az összes jelentős implantációs rendszerhez

FENNTARTHATÓSÁG

Folyamatosan törekszünk arra, hogy a munkafolyamatok, a gyakorlat, a termelési folyamatok esetében csökkentsük az ökölógiai lábnyomunkat.

PRECIZITÁS

Német mérnökök és fogászati szakemberek kéz a kézben dolgoznak együtt, hogy tökéletes protetikai rendszert biztosítsunk.

CSAPATMUNKA

A teljes csapatmunka a háttérben, biztosítja a legkisebb részletre is odafigyelve, hogy minden tökéletesen működjön.

vüli képzésben, a szövetségi államok közötti alkalmazás opciójával. A teljes lemezes kivehető fogpótlások rendszerhez kötött fogfelállításán kívül a fémlemezek, a fréz- és csúsztatómunkák készítése (1–5. képek) is támogatottak az AR oktatószoftverrel. Már az első néhány próbálkozás meggyőzi a tanárokat és tanulókat a hasznáról. A meglepően pozitív eredmények között első helyre kívánkozik a produktív, önálló munkavégzés.

Fejlesztésünket a gépjármű-, a vízszerelési, valamint a fűtő- és klímatechnikában is használják. Például a 6. képen látható a dinamikus futómű, a 7. képen a gázfúvókás égő oktatási segédanyaga – de sok mást is tartalmaz a rendszer.

A digitalizáció az utolsó és egyetlen kiút? Nem, hiszen tanulók és oktatók nélkül nem sikerülhet teljes értékűvé tenni az oktatást.

Utánpótlásunknak példaképekre van szüksége, akik felkeltik csodálatukat és szakmába vetett hitüket.

A tanulás nem lehet véletlen műve – gondoskodhatunk arról, hogy működjön is. Csak némi bátorságra és készenlétre van szükség, hogy eltérjünk a megszokástól. Csak a bevált és az új kombinációja segítségével hozhatunk létre hosszú távon működő utánpótlást.

GYORSASÁG

A következő részben megismerhetik, hogyan lehet az Augmented Reality segítségével rendszerszerűen elsajátítani a teljes alsó-felső fogfelállítást.

Idő- és pénzmegtakarítás a fogtechnikusok, a fogorvos és a teljes páciens kezelés-folyamat számára.

Forrás: Das Dental Labor 2022/11

4–5. képek: Screenshot – fémlemez.
6. kép: Screenshot – futómű.
7. kép: Screenshot – gázfúvókaégő.

MPS

MULTY PLATFORM SYSTEMS

Kiváló minőségű protekiai elemek minden ismert implantációs rendszerhez

PIACVEZETŐ MÁRKAKOMPATIBILIS

GYÁRTÓ

Az összes ismert implantátum rendszerrel kompatibilis.

MADE IN GERMANY Tradicionálisan magas minőség.

GYORSASÁG

Idő- és pénzmegtakarítás a fogtechnikusok és a fogorvosok számára.

PRECIZITÁS

Német mérnökök és fogászati szakemberek dolgoznak együtt, hogy tökéletes protetikai rendszert alkossanak.

Ha jól beállítva, pontosan éget a kályha, olyan eredményünk sem kell dolgozni. Tanács: az idősebb fogak kicsit fogak erősebben strukturáltak. Folyamatosan készítek megfigyelhető

eredményünk lesz, amelyet égetés után szinte ki kicsit jobban igénybe voltak véve, ellenben a fiatal készítek fekete-fehér fotókat is, ezeken jobban megfigyelhető a felszín

GAZDASÁGOSSÁG, ESZTÉTIKA ÉS TERMÉSZETES FOGAK PÉLDAKÉPPEN

Esztétikus eredményt elérni, de gazdaságosan dolgozni – a következő években egyre inkább ez lesz a fő szabály. Axel Seeger bemutatja, hogyan tud kiválasztott anyagaival és termékeivel kiváló eredményekre jutni.

A megfelelő anyagokkal és helyes technikával kiemelkedő eredményt érhetünk el (1–5. képek) Fontos: a forma, a forma, és még egyszer a forma; aztán a felszín. Persze bizonyos tapasztalatra is szükség van. A szükséges fúró- és csiszolókészlet abszolút áttekinthető. Ezzel időt takarítunk meg, hiszen nem kell állandóan fúrót cserélni, a raktárkészlet is csökken. A teljes készlet összesen nyolc eszközből áll (6–7. képek).

Most tehát koncentráljunk a felület páciensnek megfelelő kidolgozására. A megfelelő festékek és glazúrmassza alkalmazásával jó eredményeket érhetünk el – a kevesebb több

(8. kép). Elengedhetetlen egy jó kályha, ami a gazdaságosságra koncentrál, tökéletesen és egyszerűen kezelhető, és kiemelkedően éget – ezt nyújtja a Dekema Austromat 220as (9–11. képek)

Ha jól beállítva, pontosan éget a kályha, olyan eredményünk lesz, amelyet égetés után szinte ki sem kell dolgozni. Tanács: az idősebb fogak kicsit jobban igénybe voltak véve, ellenben a fiatal fogak erősebben strukturáltak. Folyamatosan készítek fekete-fehér fotókat is, ezeken jobban megfigyelhető a felszín (12–14. képek).

1. kép: Természetes fogak.

2–4. képek: Festett példák.
5. kép: Fiatal és öreg.
6. kép: Fúrókészlet.
8. kép: Festékesdoboz.
9. kép: Dekema Austromat 220.
7. kép: Kidolgozott frontfogak.

10–11. képek: Égetés utáni példák.

kép: Axel Seeger munkamódszeréről többet tudhatnak meg könyvéből: „Make it your own monolithic way”.

Forrás: Das Dental Labor 2023/1

13. kép: Kiindulási helyzet.
14. kép: Végeredmény.
12. kép: Monolit teljes szanálás.
15.

SZÓRÓANYAG – TULAJDONSÁGOK ÉS FELHASZNÁLÁS FOGÁSZATI TERÜLETEN

Mielőtt leplezünk, ragasztunk vagy rögzítünk egy restaurációt, a felületét kezelni kell. Gyakran kerül szóba ennek kapcsán a kémiai és/vagy mechanikai kötés. A kémiai kötés kiegészítő adhezív rendszerek használatával (bond, szilán, primer) keletkezik, míg a mechanikai kötés közvetlen összefüggésben áll a felületnagyobbodással.

A restaurációs anyag keménységétől függően különböző felületi érdességet érhetünk el. A durvasági fok eléréséhez általában szóróanyagot – üveggyöngyöt vagy alumínium-oxidot használunk (1–4. képek)

A szóróanyagot hozzá való finom fúvókás szórógéppel, meghatározott nyomással, megfelelő távolságból alkalmazzuk. A finomszemcsés szóróanyagok szemcsemérete mikron területen mozog, így a tüdőbe kerülhetnek, ezért a teljes folyamat alatt elszívást kell alkalmazni.

A szóróanyagok négy fontos tulajdonságát emeljük ki, amelyek döntően befolyásolják a felület megmunkálását:

Szemcsenagyság

A szemcsenagyság (50 mikron–250 mikron) befolyásolja a becsapódási erőt. Minél nagyobb a szemcse, annál nagyobb a becsapódási erő, ami által nagyobb érdesség érhető el. A szemcsenagyságot a gyártási eljárás határozza meg.

Forma

A szemcseformák a kerektől a szögletesig terjednek, de kevert formák is léteznek. A szögletes szemcsék gyorsan tisz-

Lépjen be a frézelés új korszakába! Öttengelyes száraz frézelés a legmagasabb szinten

Nem szükséges sűrített levegő a használatához, ennek köszönhetően maximális szabadságot élvezhet a gép telepítésénél, ezen felül az üzemeltetési költségek is csökkennek.

Az E5 nyílt rendszerű architektúrája megkönnyíti a belépést a digitális fogpótlások gyártásának folyamatába és tökéletesen beleillik a gyártási láncba. A mellékelt Dental CAM szoftverrel azonnal lehet kezdeni a munkát.

Három egyszerű lépés: kicsomagolás, bekapcsolás, frézelés

A csupán 43 kg-ra optimalizált súlyú gép kompromisszumok nélküli, kiváló minőségű ipari alkatrészekből épül fel.

Az E5 különleges újítása, hogy nincs szükség külső sűrített levegő csatlakozásra, sem beépített kompresszorra. Ezt a szabadalom alatt álló AIRTOOL rendszer teszi lehetővé.

A nagyfrekvenciás orsó nagy fordulatszámának köszönhetően az AIRTOOL turbinalapátjai erős légáramlatot produkálnak, ami elfújja a port és a forgácsot, amit az elszívó elszív.

Az E5 nem csak köralakú tömbök befogadását teszi lehetővé. Megfelelő tartóval 6 különböző méretű blokkot is el lehet helyezni.

Automatikus szerszámcserélés 16 standardszerszámhoz és 1 AIRTOOL-hoz. Kompakt kialakítása ellenére az E5 bőségesen elegendő munkaterületet biztosít, ahol kényelmesen lehet a munkadarabokat rögzíteni és a szerszámokat elhelyezni.

2024. 12. 20-ig

títanak, és áttörik a vékony rétegződéseket. A lekerekített szemcsék simább felszínt hoznak létre, és alkalmasak tömörítésre. A szemcseforma a szóróanyaggyártás során alkalmazott aprítási módszertől függ.

Keménység

A szemcse keménysége a felület profilmélységére van kihatással. Minél keményebb a részecske, annál jelentősebb a felületről az anyageltávolítás, és annál jobban igénybe veszi a felületet a megmunkálás; a felületi profil mélyebb lesz. A szóróanyagokat gyakran a Mohs-keménységgel jellemzik. A Mohs-keménység az ásványi anyagok összehasonlítását jellemzi. Minél nagyobb a Mohs-féle keménység, annál keményebb az ásvány. A szokásos szóróanyagok, mint pl. az üveggyöngy, 5,5-6 Mohs-keménységűek (550–800 HV), az alumínium-oxid 9 Mohs (2000 HV).

Sűrűség

A szóróanyag sűrűsége szintén a profilmélységre hat. Mély profilt magas specifikus sűrűségű szóróanyaggal tudunk ki-

alakítani. Minél nagyobb a szemcse sűrűsége, annál kevésbé deformálódik el a felületre becsapódáskor. Így a szemcse kevesebb energiája nyelődik el, nő az anyageltávolítás mértéke.

A fogászati területen leggyakrabban alumínium- és szilícium-oxidokat használunk szóróanyagnak. A szilícium-oxidot gyakran üveggyöngy néven említjük.

Az alumínium-oxid alkalmazása a felszínen abrazív hatást fejt ki, amellyel érdességet tudunk elérni. A szemcsék gyakran igen hegyesek (1. kép). A csekély szilárdságú restaurációkra történő alkalmazás során (mint pl. a szilikátkerámiák) óvatosan, csekély nyomással kell dolgozni, hogy ne sérüljön a felszín.

Az üveggyöngyöt a felület tömörítésére használjuk. A szemcsék legtöbbször gömbölyűek (3. kép). Minél kisebbek a szemcsék, annál simább lesz a felszín. Az üveggyöngy felületre fúvásával közel olyan felületi értékeket érhetünk el, mint polírozással. Ennek ellenére sem elhagyható a felület polírozása, hogy megakadályozzuk a plakk-lerakódást, nyelvvel érezhető felületi érdesség kialakulását.

A megfelelő szóróanyag típusát, a nyomás nagyságát, a szórás távolságát a mindenkori restaurációs anyag felhasználási útmutatójában találjuk meg.

Forrás: Das Dental Labor 2023/1

1. kép: Alumínium-oxid.
2. kép: Üveggyöngy.
3. kép: Dióhéj.
4. kép: Agglomerált alumínium-oxid szemcsék.

3 év szavatosság

14 egyedi gyanta

40+ kompatibilis nyomtató

HIVATÁSOK KOMBINÁLÁSA

AZ EGÉSZSÉG ÉRDEKÉBEN

A biológiai orvoslás a pácienst helyezi a középpontba a mindenkori fogorvosi és fogtechnikai eljárások és az azokból képzett konzekvenciák vonatkozásában. Időközben már bizonyított tény, hogy az emberi testbe helyezett fém jelenléte a legrövidebb időn belül a vérképben is kimutatható. Éppen ebben rejlenek a fogászatban, különösen az implantológiában nagy veszélyek. Mert ha még olyan nagy értékűek is a felhasznált anyagok, akkor is találhatók a tiszta titán felszínén is mikroszennyeződések. A fémek oldódhatnak a nyálban, lenyelhetők, a későbbiekben megváltoztathatják sejtjeink szerkezetét, ami elviselhetetlenséghez, autoimmun betegséghez vezethet. Dr. Dr. Michael Rak Bernriedből, illetve az augsburgi Highfield/Design cég Norbert Wichnalek vezette fogtechnikuscsoportja kifejlesztett egy olyan eljárásmódot, ami felel ezekre a kihívásokra, és a lehető legkevésbé terhelő módon látja el a pácienseket.

Dr. Dr. Michael Rak rendelőjében nem csak üres szó, hogy az ember áll a fogászati történések központjában. Minden a biológiai fogorvoslás terápiája körül forog. Az augsburgi Highfield/Design cég Norbert Wichnalek vezette fogtechnikuscsoportja évek óta foglalkozik a páciensek fémmentes megoldásokkal történő ellátásával. Ezeket erősítették Dr. Dirk Duddeck berlini CleanImplant Alapítványának tanulmányai is. Dr. Duddeck szerint sem a CE tanúsítvány, sem a mégoly neves és nagy gyártó sem tudja garantálni, hogy az implantátumokon ne legyen idegen részecske. Majd 15 éve vizsgál steril csomagolású implantátumokat pásztázó elektronmikroszkóppal. Ezalatt 300 különböző implantátumot vizsgált 200 gyártótól, alaposan analizálva azokat. A 2017 és 2019 közötti vizsgálat, amelyet a berlini Charité Egyetemmel együttműködésben folytatott, megmutatta, hogy szinte minden harmadik, tiszta környezetben kicsomagolt és PEM vizsgálatnak alávetett implantátumminta jelentős szennyezéseket tartalmaz. A steril implantátumfelszínen vas, króm, molibdén, réz, ón, volfrám és nikkel, valamint szerves szenynyeződés is kimutatható volt, még műanyagok jelenléte is. A szennyeződések az implantátumfelszínen, különösen a szerves anyagok jelenléte a gyártási és csomagolási eljárás alatt azt a gyanút ébresztik, hogy fennáll a dentális implantátum nem megfelelő csontosodásának veszélye, illetve felelős lehet a korai csontosodási fázis csontveszteségéért is. 2017 óta a CleanImplant Alapítvány bevezetett egy nemzetközileg elismert vizsgálati eljárást, aminek eredményeképpen a tiszta felszín és megfelelő klinikai dokumentáció esetén elérhető a „Trusted Quality Mark” (megbízható, minőségi gyártmány – a ford.) kitüntetés. Néhány hónap alatt több mint 125 ezer fogorvos csatlakozott a Facebook-on a CleanImplant Alapítvány minőségi kezdeményezéséhez. Azóta is havonta több mint ezer felhasználó keres megbízható információkat a nem terhelő implantátumrendszerekről a projekt honlapján. Az itt bemutatásra kerülő pácienseset megoldása során a szintén

„Trusted Quality Mark”-kal kitüntetett SDS implantátumokat használták – nem véletlenül – Dr. Dr. Michael Rak rendelőjében. A szerzők még egy lépéssel tovább mentek, és a kezelés neuralgikus pontjain a plazmakezelést is alkalmazták.

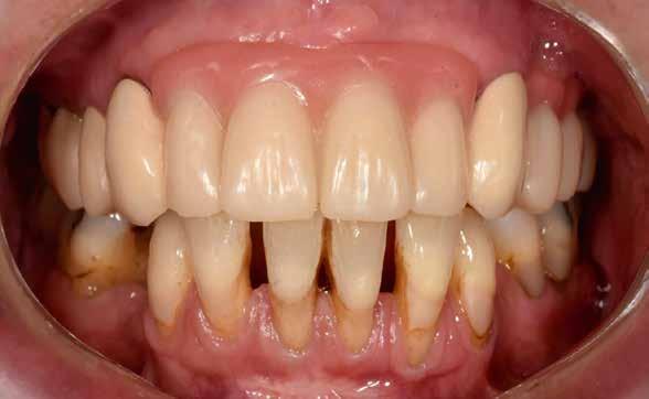
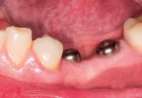
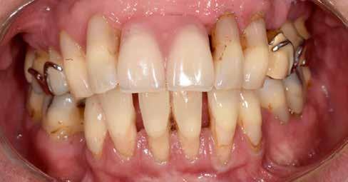
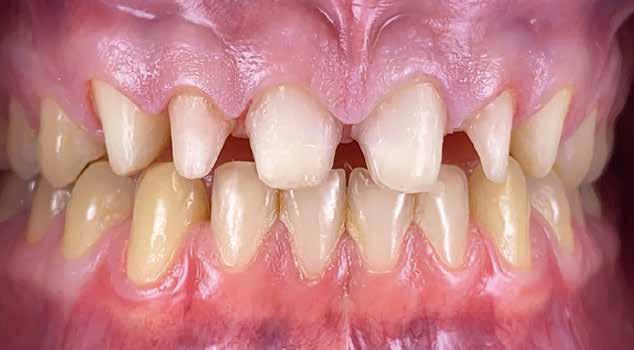
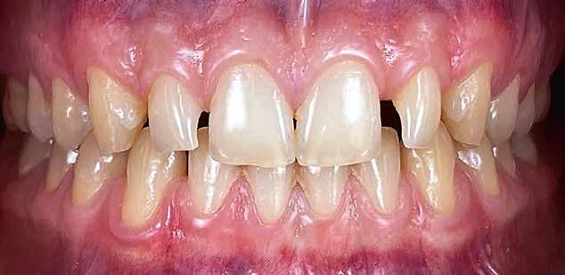
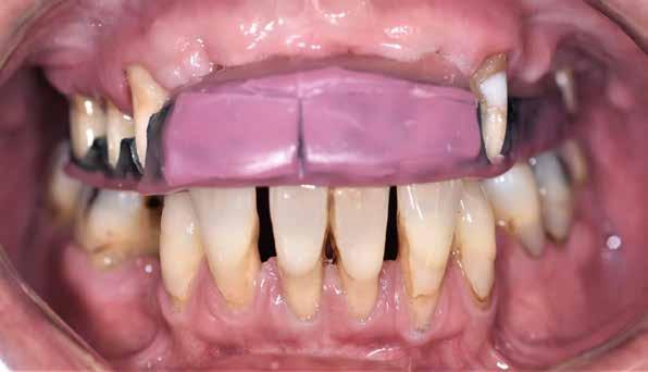
Az eset

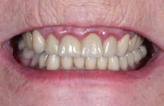
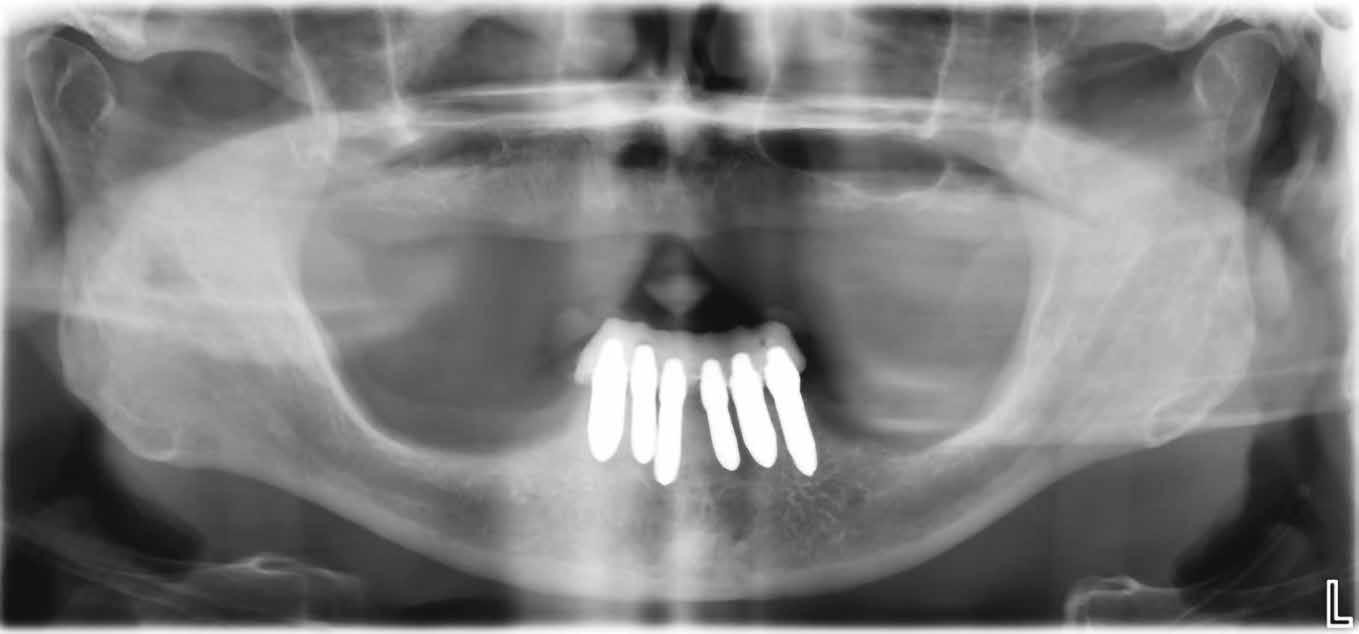
A 75 éves páciens új fogsorokat szeretett volna. Felül nem kielégítő teljes lemezes kivehető fogsora volt, alul pedig szintén nem megfelelő részleges fogsora, néhány devitális, apikális oszteolízist és masszív szekunderkárieszt felmutató mutató maradék frontfogon. Az endodonciai beavatkozást a páciens elutasította. Ehelyett kerámiaimplantátumokra alapozott kezelést kívánt. Az úr általános egészségi állapotában panaszok mutatkoztak. A CMD-index nem volt számottevő. A DVT-vizsgálat (1. kép) alapján megállapítható a 42-es fog decens apikális oszteolízise, számottevő vertikális és horizontális csontveszteség a rágóterületen, valamint az

1. kép: Kiindulási helyzet: az OPG hat devitalizált alsó frontfogat ábrázol, részleges apikális oszteolízissel, szekunderkáriesszel, horizontális csontfelszívódással a rágóterületen.

2. kép: 6 egyrészes SDS kerámiaimplantátum azonnal behelyezve az extrakciót követően.

3. kép: A laborkészítésű formát felhasználva alakították ki az ideiglenest.

4. kép: Kontrollfelvétel: a posztoperatív helyzet az ideiglenessel a hat implantátumon.

FDOK/NICO értelmében HU alapján mért erőteljes csontsűrűség-csökkenés mutatkozik az 18, 17, 13, 23, 27 és 28 fogak régiójában.

Terápia és implantáció

Az operatív beavatkozás előtt a behelyezett fogsorokkal és azok nélkül is beszkennelték az intraorális szituációt, valamint elkészítették a fogsorok digitális másolatát. Ezután óvatosan kihúzták a maradék fogakat, és mindent előkészítettek az azonnali implantációhoz, amelynek során 6 egyrészes SDS kerámiaimplantátumot terveztek behelyezni a meglévő alveolusba a 34-43 közötti területre. Közvetlenül a behelyezést megelőzően a szék mellett még egyszer megtisztították Diener Denta Plas plazmakészülékkel (lásd 49. kép) az implantátumokat, a lehető legteljesebb csírátlanítás – így a páciens csíraterhelésének minimalizálása – érdekében (2. kép) Az alveolus ózonos tisztítását követően behelyezték a hat egyrészes SDS kerámia-implantátumot, A-PRF (saját vérlemezkében gazdag – a ford.) membránokkal megsegítve. A laborkészítésű előre mintázott elemek alapján azonnali ide-

iglenes került az implantátumokra (3. kép), majd röntgennel újólag ellenőrizték a létrejött helyzetet (4. kép)

Szilárd – folyékony –gázszerű – plazma!

A plazma a gázok, mint az argon, vagy hélium molekulái áram vagy hő hatására negatív töltésű elektronokra és pozitív töltésű ionokra hasadása. A hidegplazma a környezetében erősen redukáló nitrogén vagy oxigén szabad gyököket és UV-sugárzást hoz létre. E reaktív anyagok behatolnak a baktériumokba és az emberi sejtekbe, mert az egyidejűleg létrejövő elektromágneses mező lyukakat tép a sejtfalon. A baktériumok hamarabb elpusztulnak, mint a sejtek, mert örökítő anyagukat nem védi a sejtmag. Rövid behatás esetén az emberi sejtek nem károsodnak2. A 2022-es álláspont szerint a gyógyászati felhasználásban két plazmahatást használunk ki:

1. a mikroorganizmusok, köztük a multirezisztens kórokozók inaktiválása

2. a sejtnövekvés és mikrocirkuláció stimulálása, amely által a roncsolt szövet regenerálódik 3

5–6. képek: A gyógyulási fázist követően az egyrészes implantátumokat csonkszerűvé alakították.

7–12. képek: A digitális lenyomatvétel. A harapást a régi fogsorokra alapozták, a digitális lenyomat arcbeolvasás után, virtuálisan készült. Miután a páciens így gyakorlatilag heti hét napon át 24 órát is „ülhetett” a laborban, időfüggetlen arcanalízist készíthettünk, a fogakat pedig annak alapján állíthattuk fel. A két alsó stéget „visszafelé” tervezéssel valósítottuk meg.

A hideg légköri plazma ózon, töltött atomok, molekulák és elektronok, valamint UV-sugárzás és elektromos mezők komplex keveréke. A komponensek szinergikusan hatnak a kezelt szöveten, egy sor pozitív hatást kiváltva. A sebgyógyulási folyamat során a pre- és posztoperatív, illetve a krónikus sebeknél, valamint a bőrmegbetegedések kezelése során a hidegplazma alkalmazása javítja a vérellátást, csökkenti a baktériumok számát, és javítja a bőr regenerálódását4. A plazma hatásmechanizmusainak kombinálása erőteljes antibakteriális hatású és gyorsítja a sebgyógyulást5

Plazma a fogászati kezelésben

A fogászatban a természetes ózongázt egészségre ártalmatlan koncentrációban, gyógyászati céllal, a baktériumok és vírusok elpusztítására használják6. Takao és mtsai 2020as kísérlete tanúsítja, hogy a plazma további pozitív hatással alkalmazható az implantáció során. Megvizsgálták hideg atmoszférikus plazma használatát, illetve annak hatását Na-

no-ZR-implantátumokra. A plazma alkalmazása az implantátumfelszín érdességét nem befolyásolja, de szuper-hidrofília érhető el7. Így a teljes osszeointegráció feltételei javíthatók a plazmával végzett felületaktiválással8. A hidrofil felszínen javul a lágyszövet-regeneráció, az első, kritikus implantátumintegrációs fázisban biztosabbá válik a lágyszöveti záródás 9

Arcszkennelés a fogpótlás készítéséhez

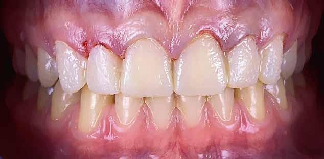
A megfelelő, 3,5 hónapos gyógyulási fázist követően, az implantátumok környezete tökéletes, irritációmentes képet mutatott (5–6. képek). A szituációt így intraorálisan be lehetett olvasni, digitalizálni, majd ezen adatállománnyal a pácienst elküldhették Norbert Wichnalek laboratóriumába. A harapást a régi fogsorok segítségével rögzítették, majd arcszkennelés és virtuális digitális lenyomatvétel következett. A páciens gyakorlatilag virtuálisan minden porcikájával ott volt a laborban. Első lépésben következett az így időben

13–15. képek: A stégeket a Vita ultrakemény YZ-T anyagából

16–18. képek: Időközben az egyedi virtuális fogpróbát műínnyel is kiegészítettük.

nem behatárolt arcelemzés, a fogakat fel lehetett állítani analóg helyzet- és pozícióhelyesen, korrigálva a front kedvezőtlen esztétikáját, meghosszabbítva a felső frontokat (711. képek). A két alsó stég tervezésére a „visszafelé tervezés” (backward-planning – a ford.) elvét alkalmaztuk (12. kép). A stégeket a Vita ultrakemény YZ-T anyagából martuk (13–15. képek). A frézelés közben a virtuális fogpróbát kiegészítettük a műínnyel (16–18. képek). A digitális harapási segédelemeket kinyomtattuk fehér műanyagból 3D nyomtatóval (19–22. képek). A digitális mintákat csak a rendelői ellenőrzés segítségeképpen nyomtattuk ki, mivel remekül szolgálták a stégek biztonságos szállítását és a tervezett restauráció képének bemutatását a megfelelő harapásban (23–29. képek) Az okklúzió minimális korrigálása után összefogták a harapásban a regisztrátumokat, majd a 3D nyomtatású segéd-

elemek visszakerültek a laborba (30. kép). A stégvázak pozícióját szituációs-funkciós lenyomattal rögzítették. A további rendelői fázisokban ellenőrizték az alsó-felső fogpróbákat. Újra kontrollálták az okklúziót, finoman beállították, és újra rögzítették. Következhetett a készrevitel.

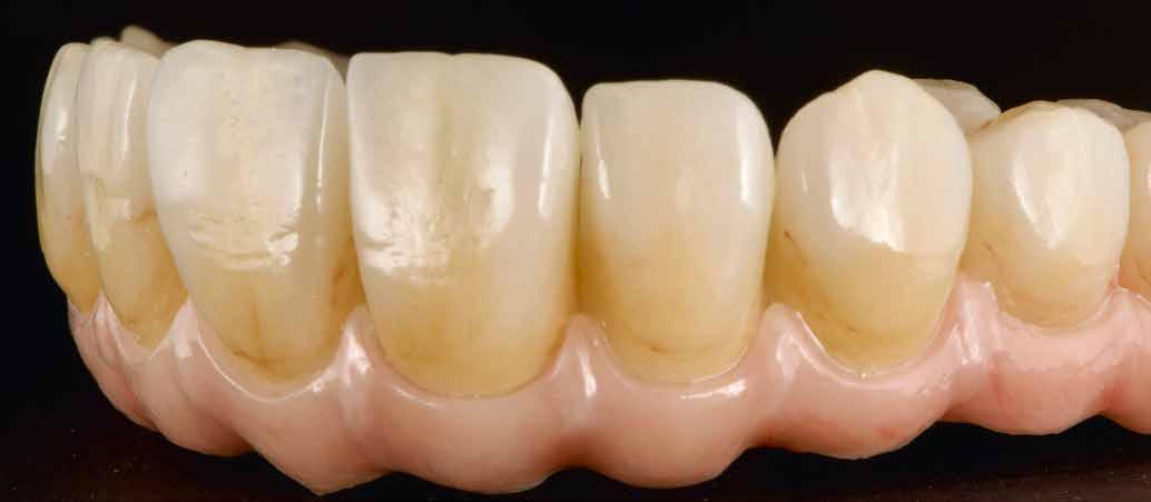
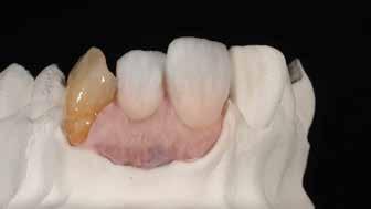
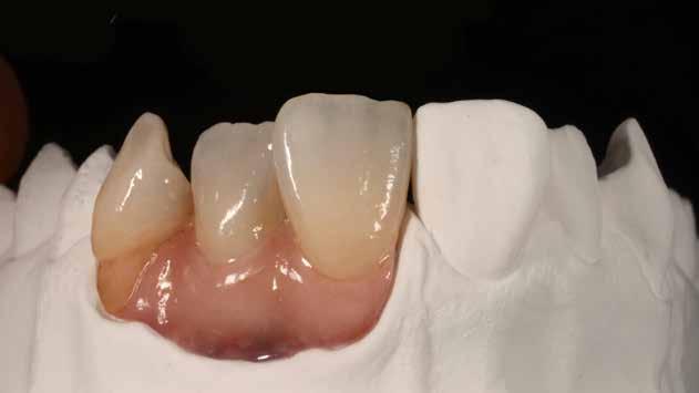
A kívánalmak szerint alul teleszkópos, cirkónium-dioxid stégre támaszkodó PEEK-vázas fogsor, felül teljes kivehető lemezes PMMA-fogsor készült.

A végleges munka készrevitele

A nyomtatott fogsorokat fizikai gyűjtőlenyomatként használtuk, az egyéni kanál helyett. Ez időt és erőforrást

martuk ki.

19–22. képek: A digitális fogsorokat fehér műanyagból, 3D nyomtatóval nyomtattuk.

23. kép: A szinterezett stégek.

takarított meg. Először kikerestük az analóg illeszkedő Vita Physiodens-sorozatú fogakat, és foganként, egyenként behelyettesítettük a nyomtatottak helyére (31-39. képek) . Szintereztük a kimart stégeket, majd magas fényre políroztuk őket (40.-41. képek) . A fogfelállításról szilikonblokkot vettünk (42.kép) . Az anatómiailag kicsinyített PEEK-váz tervezéséhez a fogakat bazálisan megcsiszoltuk, rögzítettük a blokkban, majd beszkenneltük. A beolvasott blokk a fogakkal segítette a vázredukció tervezését: annyi stabilitás, amennyi csak lehetséges egy plaszto-elasztikus vázanyaggal (43–46. képek) . Persze a poliéter-éterketon (PEEK) nagy teljesítményű műanyagra gondoltunk ezzel. A teljes biztonság érdekében a stégek végeire frikciós (csúszási súrlódást kihasználó – a ford.) segédelemek számára terveztünk befogadó fészkeket (47–48. képek) . A PEEK-váz sima felszínét – a kompozittal való biztos kötésére előkészítendő – behelyeztük

a vázakat a Diener Denta Plus plazmakészülék vákuumkamrájába, oxigén-nitrogén gázkeverékbe (49–50. képek) . Ez az eljárás csodálatosan retentív felszínt hoz létre a PEEK-vázon (51–53. képek) . Így előkészítve egyesítjük a blokkban rögzített gyári fogakat Vita VM CC műanyag segítségével a PEEK vázzal (54–58. képek) . A felső fogsor-alaplemezt rózsaszínű PMMA-ból készítettük, majd a két ötös között ezt redukáltuk az egyéniesítéshez (59. kép) . A munkát a Vita Akzent festékekkel és Vita VM LC gingivamasszákkal fejeztük be (60–66. képek) . A segédelemek befogadó helyeit műanyaggal töltöttük fel, amit igény esetén könnyen el lehet majd távolítani, így behelyezhetők lesznek a cirkonoxid-műanyag frikciós segédelemek (67–70. képek) . Végül a teljes szerkezetet a „Highfield-Clean-Prostethics” tisztítási elvének megfelelően (71. kép) plazmával fertőtlenítve csomagoltuk és küldtük a rendelőbe.

24–29. képek: A digitális mintákat az ellenőrzéshez fizikailag is kinyomtattuk, mert kiválóan megfeleltek az elkészült stégek szállítására a rendelőbe.

30. kép: Az okklúzió minimális korrekcióját követően a rendelőben újólag rögzítették a harapást, majd a 3D harapásregisztráló fogsorok visszakerültek a laborba. A stégek pozícióját funkciós lenyomatban rögzítették. A következő ülésben a viasz fogpróbát ellenőrizték szájban. Újra rögzítették a tovább finomított okklúziót.

31–39. képek: Következhetett a készrevitel. A kívánalmak szerint alul teleszkópos, cirkónium-dioxid stégre súrlódással illeszkedő PEEK-vázas fogsor, felül teljes kivehető lemezes PMMA-fogsor készült. Először kikerestük az analóg illeszkedő Vita Physiodens-sorozatú fogakat, és foganként, egyenként behelyettesítettük a nyomtatottak helyére.

Plazma a fogtechnikai laboratóriumban

A plazma lehetővé teszi nagy teljesítményű műanyagok, mint pl. a PEEK, más anyagokkal (pl. cirkónium-dioxid) való szilárd kötésének biztosítását. A felületek aktiválása és savazása oxigén-argon gázkeverékkel sok esetben a primer alkalmazását is feleslegessé teszi. Az oxigéngyökök növelik a felületi feszültséget, az argonatomokkal való bombázás pedig mikro-homokfúvási hatást gyakorol, ami topográfiailag nanoméretekben megváltoztatja a felszínt, és retenciós alapot képez. Ha nincs kötésjavító anyag, minimalizálhatjuk az allergiás páciensekre leselkedő veszélyeket. Az alacsony nyomású plazmával elért ionbesugárzás fizikai és kémiai folyamatokat indukál nanoméretben a szervező szen ynyezőanyagok eltávolításában. A baktériumokat, vírusokat megöli. A plazma alkalmazása – a szigorított törvényi háttérrel együtt – a higiénia menedzselését hatékonyabbá teszi a laboratóriumban és a rendelőben is. A felépítmények, minden protetikai fej és szuprakonstrukció, fogpótlások, fogtechnikai segédelemek, hidak, fogsorok, sínek és fogszabályozó készülékek fertőtleníthetők alacsony nyomású plazmával. Ez a javításokra, a gombás fertőzést mutató éppen hordott pótlásokra,

40–41. képek: A kimart stégek.

42. kép: A fogfelállításról szilikonblokkot vettünk. Az anatómiailag kicsinyített PEEK-váz tervezéséhez a fogakat bazálisan megcsiszoltuk, rögzítettük a blokkban, majd beszkenneltük.

43–46. képek: A beolvasott blokk a fogakkal segítette a vázredukció tervezését: annyi stabilitás nyerhető így, amennyi csak lehetséges egy plaszto-elasztikus vázanyaggal.

47–48. kép: A Juvora-PEEK-ből mart, még nem kivágott vázak. Mindkét stég végén felvevőhelyeket alakítottunk ki csúszási súrlódással működő segédelemek utólagos beépítéséhez.

49–50. képek: A PEEK-váz sima felszínének előkészítése a biztonságos kötéshez a gyári fogakkal. Ehhez saját Diener Denta Plus plazmakészülékünk vákuumkamráját használtuk speciális, újra reprodukálható programmal irányítva, oxigén-argon hatásnak kitéve a vázakat. Így savazott, csodálatosan retentív felszínt kaptunk.

51. kép: Különböző PEEK-váz felszínek összehasonlítása: kezeletlen…

52. kép: …110 mikronos aluoxiddal lefújt…

53. kép: …oxigén-argon kombinációval plazmakezelt.

54.
55.

54–58. kép: Az időközben készített szilikonblokk segítségével egyesítettük a gyári fogakat a Vita VM CC műanyaggal és a vázzal.

59. kép: A felső teljes lemezes kivehető fogsort rózsaszínű PMMA-ból készítettük, a két ötös közötti egyéniesítéshez redukálva a gingivarészeket.

60–66. képek: Vita Akzent festékekkel és Vita VM LC gingivamasszákkal vittük készre a fogsort.

Scan body
Titán felépítmény
Csavarozható megoldás

67–68. képek: A segédelemek illesztési fészkeit műanyaggal töltöttük fel, ami igény esetén könnyen eltávolítható…

69–70. képek: ..és behelyezhetők a cirkonoxid-műanyag frikciós segédelemek.

71. kép: A kész munka rendelőbe szállításra előkészítve, a Highfield-Standard-Plasma tisztító koncepció szerint.

műanyag fogsorokra, részleges kivehető fogpótlásokra, és implantátumos munkákra is érvényes 10

Behelyezés a rendelőben

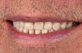
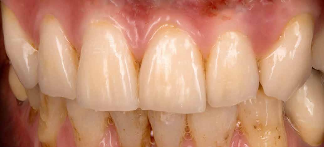
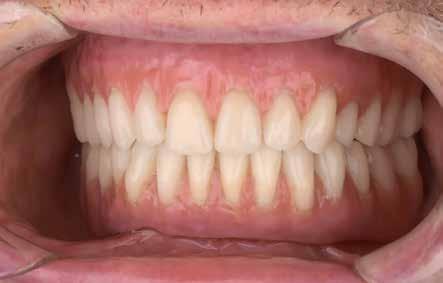
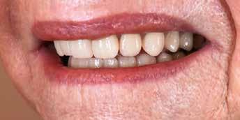
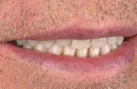
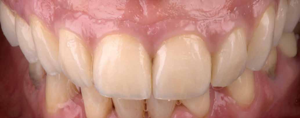
Amint megérkezett a végleges pótlás a laboratóriumból a rendelőbe, a stégek felkerültek az implantátumokra (72–73. képek). Ketac Zem-mel ragasztották be őket. Ezt követően kerültek szájba a kivehető fogsorok, még egyszer optikailag ellenőrizve a korrekt illeszkedést. Jó látni, milyen harmonikusan illeszkedik a természetes környezetbe minden. A front optimalizált esztétikája is jól érvényesül (74–81. képek). A tökéletes illeszkedést végül röntgenképpel is ellenőrizték (82.kép).

72–74. kép: A stégeket Ketac Zem-mel szilárdan beragasztották, és röntgennel ellenőrizték a tökéletes illeszkedést.

...és ami mögötte van biztos megoldás a fogászati szakma elérésére

75–82. képek: A behelyezett munkák harmonikusan illeszkednek a természetes környezetbe, a páciens láthatóan elégedett volt az eredménnyel.

Összefoglalás

2013 óta már ismertette Luigi Canullo munkatársaival a felépítmények előkezelését. Ebben két felépítmény-előkészítő eljárás klinikai eredményét hasonlították össze, mielőtt behelyezték azokat a páciens szájába. Az egyik során forró vízgőzzel készítettek elő, a másikban argon-plazmareaktorral. Két évvel később a vízgőzzel előkészített fejeket alkalmazó csoportban szignifikánsan magasabb periimplantáris csontleépülés mutatkozott, mint a plazmakezelésen átesetteknél11. A Német Fogászati Kezelések Higiéniai Munkacsoportja (DAHZ) állásfoglalásában feltették a kérdést, vajon Canullo és munkatársai vizsgálatában a mért értékek esetleg nem mikrobiológiai kontamináció, hanem a plazmakezelés nyomán létrejött felületi elváltozás eredményei-e, amely egy stabilabb periimplantáris szöveti kapcsolódást eredményezett12. A plazmára alapozó felületváltoztatások

az 1960-as évek óta használatosak a bioreleváns felületoptimalizálásra és -kialakításra. Így a gyógyászati termékek, mint az implantátumok biokompatibilitása, illetve biofunkcionalitása javítható. A laboranyagok és készülékek, amelyeket pl. sejtkultiválásra vagy biológiai folyadékok elemzésére alkalmaznak, a plazmakezelés által nyerik el kívánt funkcionalitásukat (d’Agostino és mtsai. 2005). További, ugyancsak a 60-as évek óta intenzíven kutatott terület a plazma mikroorganizmusokra kifejtett inaktiváló, illetve ölő hatása. A bevált és elfogadott fertőtlenítő eljárások, amelyek magas hőmérséklet, radioaktív sugárzás vagy nagy reaktivitású, legtöbbször mérgező kemikáliák alkalmazásán alapulnak, sok termék és felhasználási módozat esetében nem használhatók a higiéniában és gyógyászatban. A plazma itt is sokat ígérő alternatíva – ráadásul időközben ismertté vált, hogy a plazma nem csak a vírusokat és baktériumokat inaktiválja és öli meg, hanem a szerves anyagokat is tökéletesen eltávolítja. Ez az utóbbi években újonnan felfe-

dezett, egyes fertőzéstovábbító proteinek vonatkozásában (pl. prionok), amelyek a hagyományos fertőtlenítő módszerekkel nem eltávolíthatók, teljesen új perspektívákat nyit a plazmafelhasználásra a higiénia és fertőzéskontroll területén. Emellett szól az is, hogy eddig nem ismertettek ellenállóvá válásra utaló eredményeket a mikroorganizmusok vonatkozásában a plazmakezelés után. A plazma a multirezisztens mikroorganizmusokkal szemben is hatásos (Moreau és mtsai. 2008; Daeschlein és mtsai. 2012, 2014)13. Az is ismert, hogy az implantátumok kezelése bizonyos plazmákkal a tisztítás, fertőtlenítés és sterilizálás mellett felületi modifikációt is eredményez, amelynek hatása jobb interakcióhoz vezet a környező szövetekkel (csont-

Irodalomjegyzék

1 pip – Praktische Implantologie und Implan-tatprothetik, Ausgabe 3/2020, S. 92

2 https://m.thieme.de/viamedici/klinik-fae-cher-dermatolo -

vagy lágyszövet). Vagyis segíti a csontosodást, beépülést. Ilyen hatást több, az implantátumok argonplazma kezelését tárgyaló tanulmány is ismertet. Feltételezhető, hogy a felépítmények felszínének ilyetén módon történő megváltoztatása (Canullo és mtsai. kísérlete szerint) pozitív hatással lesz a sebgyógyulásra14 Canullo pozitív eredményei, Dr. Dirk Duddeck tanulmányai, valamint a plazmakezelés minden ismert előnye ahhoz vezetett, hogy együttesen amellett hoztunk döntést, nem csak teljesen elkerüljük a fémek használatát, hanem minden gyógyászati terméket, amely emberi testben kerül alkalmazásra, alaposan megtisztítunk és fertőtlenítünk plazmával.

Forrás: Das Dental Labor 2022/12

8 https://www.zmk-aktuell.de/fachgebiete/implantologie/story/ per-plasma-aktivierung-verbessert-actilink-die-voraussetzungen-fuer-osseointegration-__10705.html https://www.dimagazin-aktuell.de/implanto-logie/weichgewebsmanagement/story/das-prf-konzept-im-praktischen-einsatz__7671.html 10 www.plasma.com/niederdruckplasma-zahntechnik-dentalmedizin/ www.dahz.org/faq/muessen-implantat-abutments-sterilisiert-werden

Metelmann HR, Woedtke T, Weltmann KD, Plasmamedizin – Kaltplasma in der medi-zinischen Anwendung, 2016, Springer-Verlag Berlin Heidelberg www.dahz.org/faq/muessen-implantat-ab-utments-sterilisiert-werden

VITA LUMEX AC

univerzális megoldás a tökéletes esztétikához

LUMEX

Rendkívül precízen mintázható magasfokú stabilitásának köszönhetően, amit a kerámia részecskék ideális szemcseméret-eloszlásából eredő, nagyon jó fogazottság tesz lehetővé

Az ENAMEL-masszák természetes transzlucenciája gondoskodik a tökéletes és ideális fényáteresztésről

Az OPAL TRANSLUCENT-masszák ragyogó, opalizáló fényjátékot tesznek lehetővé

A FLUO INTENSE-masszák hozzájárulnak a természetes fluoreszcencia helyreállításához

A bemutatott eset jól példázza, mennyire fontos fogpótlás a páciens életkora, esztétikai kívánalmai, gazdasági

és felhasználható anyagok sokfélesége párosulva a lehetővé teszik, hogy szinte minden páciensnek egyedi

eljárásokkal, mint a mikrorétegzés is szép, hosszú

fogpótlás előállítása során a specifikus tényezők – mint pl. gazdasági lehetőségei – figyelembe vétele. Az eljárások

a különböző mechanikai és optikai tulajdonságokkal egyedi megoldást kínálhassunk. Egyszerűsített, hatékony hosszú élettartamú restaurációk készíthetők.

CIRKÓNIUM-DIOXID FEDŐFOGSOR HATÉKONYAN

Implantátum-megtámasztású fedőfogsorok, cover-denture-k már évtizedek óta sikeresen készülnek. Míg a statikai és funkcionális szempontból bevált kívánalmak változatlanok maradtak, az utóbbi években megváltozott a felhasználható alapanyagok választéka. A fémötvözeteken kívül fémmentes anyagok is rendelkezésre állnak – nagy teljesítményű kompozitok, nagy szilárdságú cirkon-oxidok, mint a Kuraray Noritake KATANA anyaga. Ráadásul a készítési módozatot a páciens egyéni kívánalmaihoz lehet igazítani. Szerzőnk olyan gyártást mutat be, amely hatékonyan vezet jó esztétikai eredményre.

1. kép: KATANA Zirconia HTML Plus váz az implantátum-megtámasztású fedőfogsorhoz.

Kivehető fogpótlás elhorgonyzása implantátumokon rengeteg kihívást állít a protetikai munkacsoport elé. A diagnosztikától a tervezésen át (backward-planning – visszafelé tervezés – a ford.) a sebészi és gyógyulási fázis, majd a készrevitel – hosszú az út, ami határozott, biztonságos, megbízható koncepciót kíván meg. Cikkünkben a finálé – a protetikai ellátás, az elkészítés – áll a fókuszban. Az eredmény az implantátum-megtámasztású fedőfogsor.

A kivehető, implantátum-rögzítésű restauráció a páciens számára kedvezőbb szájhigiéniát, javíthatóságot és kiegészíthetőséget ajánl. A betegek mégis gyakran előítélettel rendelkeznek a kivehetővel szemben. Félnek az esztétikai behatároltságtól. Sokan döntenek kimerítő implantológiai beavatkozás mellett, és úgy gondolják, a kivehető pótlás nem felel meg igényeiknek. Megfelelő javaslatokat várnak, nagy értékű protetikai restaurációt. Olyan koncepciót szeretnének, amelynek szereplői a kezelés során flexibilisen cselekednek. Döntő kritériumokká válnak a funkcionalitás, a szubjektív esztétikai érzés, a kezelésbiztonság és a gazdasági lehetőségek is. Az optikai eredményt a rózsa- és fehér esztétika együttese adja. A forma- és felületkialakítás, a fényoptika – mind lényeges tényezők. Közben pedig meg kell őrizni a megfelelő szilárdságot is. Ilyenkor a cirkónium-dioxid a megfelelő anyag. Pácienseseten keresztül mutatjuk be a teljes kerámia fedőfogsor készítését. Vázalapanyagunk a

KATANA cirkónium-dioxid, leplezéshez a Cerabien ZR CZR kerámiát használtuk – mindkettő Kuraray Noritake termék. Minden páciens egyedi. Klinikai háttér, funkcionális követelmények, esztétikai kívánalmak befolyásolják a protetikai kezelési tervet. A pótlandó fogak számával arányosan nő az egyedi kivitelezés fontossága – a restauráció befolyása az esztétikára és életminőségre annál nagyobb, minél kiterjedtebb a hiány. Ma már teljes fogatlanság esetén is megfelelő anyagok és technológiák állnak rendelkezésre a páciens-specifikus ellátáshoz.

Csikorgató páciens

A bemutatásra kerülő esetben teljes felső restaurációt kellett kínálnunk. Az állcsontba öt implantátum került beültetésre. Az idősebb férfi bruxizmusban és propriocepcióban szenvedett, ami külön kihívást jelentett. A fedőfogsor készítése során figyelembe kellett venni a redukált szenzibilitást. Anyagkiválasztás és tervezés különös gondosságot igényelt, hogy minden ellen tudjon állni a kontrollálatlan rágóerőnek. Igen átgondoltan kellett cselekedni. Mivel a fogpótlás technikai komplikációi könnyebben javíthatók, mint a biológiaiak, a fedőfogsort nem lehetett teljesen merevnek, törhetetlennek tervezni. Sokkal inkább az egyszerű cserélhetőségre és az elemek javíthatóságára koncentráltunk.

Teljes kerámia: kétrészes fogsortervezés

A megoldás a kétrészes terv volt. A teljes kerámia fedőfogsorhoz kerámiakoronák kombinációját választottuk cirkonoxid-vázzal. A váz anyaga a KATANA Zirconia HTML Plus volt (1. kép). Ez a cirkonoxid egységesen magas, 1150 MPa-os hajlítószilárdságú, predesztinált a nagy fesztávolságú restaurációkhoz. Az egyes koronákat KATANA Zirconia YML-ből martuk, ez olyan cirkónium, ami megfelelő szilárdság mellett transzlucencia és szín területén kiemelkedő. Segítségével monolitrestaurációk is megvalósíthatók. A hatékony ügymenet érdekében a rágófogakat monolitkoronáknak terveztük. A hat frontfogon cut-back-et (vissza-

vágás – a ford.) alkalmaztunk, amelyre aztán mikrorétegzés került CERABIEN CZR leplezőkerámiával (Kuraray Noritake).

A leplezéshez egyedi sémát készítettünk, grafikailag is felvázolva azt (2. kép). Az ilyen színtérkép egyszerűsíti a rétegzést és célorientált leplezést tesz lehetővé.

Rétegzési séma a mikroleplezéshez

A frézelt sapkák egyéniesítése a frontfogak területén Internal Stain (belső festék – a ford.) Cervical 1, Greyish Blue, Dark Grey és A+ masszákkal kezdődött. A fogformát ezután cervikálisan LTO (Luster) és némi CCV-3 (Clear Cervical) anyaggal, míg me-

3. kép: A KATANA Zirconia YML, mikrorétegzett frontkoronák a vázon.

2. kép: Színtérkép a mikrorétegzéshez.
4. kép: A váz az egyéniesített gingivával.
6. kép A kész fedőfogsor természetes, életkornak megfelelő optikai hatással
5. kép: Egyesével ragasztjuk a koronákat a vázra.

7.

A fedőfogsor előkészítve az implantátumokra csavarozáshoz.

8–9. képek: A becsavarozott fogpótlás a páciens szájában természetes hatást kelt, esztétikus.

A páciens funkcionális problémáit figyelembe vettük.

ziálisan és disztálisan LT Natural anyaggal egészítettük ki. A szemfogaknál az LTO helyett LT1-et (Aqua Blue) használtunk. A rágókat folyékony CERABIEN CZR FC pasztákkal véglegesítettük.

A rétegzett koronák a fronton egyedinek, az életkornak megfelelő hatásúnak bizonyultak. A monolitterületek is élőek voltak.

A koronák illeszkedésének ellenőrzése után a műínyrészeket CERABIEN ZR Tissue kerámiával egyéniesítettük (3–4. képek) Végül az egyes koronákat a vázra ragasztottuk, anélkül, hogy a csavarhornyokat befedtük volna (5–7. képek). A fedőfogsor a próba során kitűnően, feszülésmentesen illeszkedett az implantátumokon (8–9. képek). Rögzíteni lehetett a csavarokkal, majd kompozittal zárták a hornyokat. A fogpótlás készítése során a funkcionális paramétereknek (bruxizmus) ugyanolyan nagy figyelmet szenteltünk, mint az esztétikai kívánalmaknak. Ha javításra lesz szükség, a rágóterületi monolitkoronák is egyszerűen javíthatók, vagy cserélhetők, akárcsak a frontterületiek – anélkül, hogy az egész munkát cserélni kellene.

Összefoglalás

A bemutatott eset jól példázza, mennyire fontos fogpótlás előállítása során a specifikus tényezők – mint pl. a páciens életkora, esztétikai kívánalmai, gazdasági lehetőségei – figyelembe vétele. Az eljárások és felhasználható anyagok sokfélesége párosulva a különböző mechanikai és optikai

tulajdonságokkal lehetővé teszik, hogy szinte minden páciensnek egyedi megoldást kínálhassunk. Egyszerűsített, hatékony eljárásokkal, mint a mikrorétegzés is szép, hosszú élettartamú restaurációk készíthetők.

Forrás: Das Dental Labor 2022/10

kép:
10. a és b ábrák: A felhasznált anyagok: CERABIEN ZR és KATANA Zirconia HTML Plus

Knezović

dr. Mirko Soldo (Horvátország)

MAGAS ESZTÉTIKUMÚ HÉZAGZÁRÁS

EGYEDI PRÉSKERÁMIÁVAL

A fogszínű kerámiahéjakkal, minimálinvazív, adhezív technikát alkalmazó beavatkozás a modern fogpótlástan eredményei közé tartozik. A bemutatásra kerülő eset lépésről lépésre szemlélteti, hogyan látható el a front területén kedvezőtlen színhatású, diasztémás fogakkal rendelkező fiatal páciens.

A kiindulási helyzet a felső fronton: többszörös diasztéma, mikrodontia és elfordult kismetszők

A biztos kommunikáció és a szisztematikus előrehaladás érdekében mockup készült a páciens szájában.

A viaszmintázatról készített szilikonblokk orientál, és biztonságot nyújt a preparáció közben.

A megfelelő kerámiaanyag és az illeszkedő fogtechnikai gyártástechnika kiválasztása voltak a döntő faktorok a héjakkal történő magas esztétikájú fogpótlás elkészítéséhez. A speciális eset elemzése, a kezelési eredmény meghatározása, a tökéletes szín kiválasztása, illetve az optimális adhezív protokoll betartása ugyancsak kiemelkedő fontosságúak voltak. A cikk bemutatja, hogyan érhetjük el – előre meghatározhatóan – többszörösen diasztémás fogaknál a magasság-szélesség, a forma, a pozíció és a szín természetesnek ható harmóniáját. A restauráció anyagaként cirkóniumdioxid-erősítésű lítiumdiszilikát préskerámiát (VITA AMBRIA) használtunk, VITA LUMEX AC leplezőkerámiával kombinálva (mindkettő a VITA Zahnfabrik, Bad Säckingen, Németország gyártmánya). Az eredmény színhű, magas esztétikájú teli-kerámia munka.

A klinikai eset

A 25 éves páciens általánosan elégedetlen volt mosolyával, felső frontfogai megjelenésével. Ráadásul igen magas esztétikai elvárásokat támasztott. A klinikai vizsgálat látlelete többszörözött, egyenetlen diasztémát mutatott az esztétikus zónában, mikrodontia és az ahhoz tipikusan kapcsolódó elfordult kismetszők kíséretében. A metszőélek és a szemfogak hegyei enyhén abradáltak voltak, a jobb oldalon valamivel erősebben. Mindenesetre az élek transzlucenciája ezzel teljesen eltűnt. Szituációs lenyomatok készültek, hogy diagnosztikai mintákkal meghatározhassuk a felső és alsó frontfogak egymáshoz viszonyított helyzetét. Így megállapíthatóvá vált, vajon megoldható-e a rések zárása fogszabályozással. Mivel ez nem jöhetett számításba, az esztétikus zóna kerámiahéjakkal történő rehabilitációja mellett döntöttünk.

Fogszín és kommunikáció

A VITA Easyshade V spektrofotométerrel történő színmeghatározás bizonyítottan pontosabb, mint a szemmel végzett. A tö-

A preparáció eredménye a simítás és lenyomatvétel előtt.

A preparáció a próbát és a telikerámia héjak beragasztását megelőzően.

A nagy esztétikájú héjak adhezív rögzítése után tapasztalható természetes szín- és fényjáték.

kéletesség érdekében minden felső és alsó frontfogon hárompontos mérést végeztünk a cervikális, központi és éli részen. Az adatok alapján a 2M2 VITA SYSTEM 3D-MASTER alapszín mutatkozott megfelelőnek. Ez megfelel a hagyományos VITA classical A1-D4 kulcs szerinti A2-es színnek. A felső szituációs mintán teljes esztétikai viaszmintázatot készítettünk, idealizált morfológiával. Ezt részlegesen lemintáztuk szilikonblokkal, annak érdekében, hogy folyékony kompozittal feltöltve és a szájba visszahelyezve a páciens számára is láthatóvá és érzékelhetővé tegyük a tervet. Az eredményt megtanácskoztuk, csiszolással és folyékony kompozittal történő kiegészítésekkel vittük véghez a szükséges változtatásokat. Miután minden beavatott elégedett volt az eredménnyel, az idea-

lizált helyzetről újabb lenyomatot vettünk, majd mock-up preparációt végeztünk. Így minimálinvazív módon, a lehető legkevesebb élő foganyagot eltávolítva készítettük elő a fogakat, az adhezív ragasztásra leginkább ajánlott zománcterületen maradva. Ezt követően precíziós alsó-felső lenyomatokat vettünk, és a szilikonblokk segítségével az ideiglenes is elkészült.

Munkafolyamatok a laboratóriumban

A természetes fogak megjelenését utánzandó, VITA AMBRIA üvegkerámia prés-vázakat választottunk, hogy megfelelhessünk a fiatal páciens nagyon magas esztétikai elvárásainak. Az anyagválasztás előrevetíti a színmegvalósítás VITA skála szerinti sikerét, valamint a robusztusságot, a szép megjelenést a transzlucencia, opaleszcencia és fluoreszcencia által. A mestermintákat beszkenneltük, a vázakat virtuálisan a CAD-szoftverben terveztük, majd viaszból kimartuk. Ezeket beágyaztuk, kiégettük, és VITA AMBRIA A2 tömbökből VITA VACUMAT 6000 MP kályhában préseltük. A kidolgozott vázakat VITA LUMEX AC-val lepleztük, ami egyedi, mégis a választott szín területén maradó, színhű fénydinamikát kölcsönzött a héjaknak. Az első dentinégetéshez A3,5 és A3 színű opákdentint, A3 és A2 színű dentint, valamint transzlucens, opál-transzlucens és mamelon effektmasszákat rétegeztünk. A második égetés során a light és clear élmasszákat hordtuk fel. A kidolgozás után, a fényégetés során a VITA AKZENT PLUS Glaze LT porral glazúroztunk.

Behelyezés és összefoglalás

A klinikai próba során ellenőriztük a héjak statikus és dinamikus funkcióját, az elért színhatást, valamint a restauráció relációját a lágyszövethez. A szemfogak hosszát minimálisan redukáltuk, majd políroztuk e felszíneket. A beragasztáshoz a VITA ADIVA FULL-ADHESIVE rögzítőrendszer színben illeszkedő 2M2 kompozitját választottuk, elkerülendő a színhatás bármilyen negatív befolyásolását. Az eset bemutatja, mennyire fontos a színhűség az alkalmazott színkulcs, a váz- és leplezőanyag, valamint a rögzítőkompozit között – csak így lehet szisztematikusan elérni és garantálni az előzetesen megcélzott és megígért eredményt. A páciens mind funkcionális, mind esztétikai szempontból teljesen elégedett volt a kezelés eredményével.

Forrás: Das Dental Labor 2022/12

GAZDASÁGOS ÚT A DIGITÁLIS

KIVEHETŐ TELJES LEMEZES FOGPÓTLÁSHOZ

Darius Northey: „Mielőtt betagozunk egy új digitális munkamenetet, fontos – megfelelő időt ráfordítva – a gyártó támogatását igénybe venni.”

Aki digitális labort vezet, tudja: a gépeknek működniük kell, hogy az amortizáció és az érték-kihasználtság érvényesülhessen a fogpótlás CAD/CAM-támogatású előállítása során. Persze gyakran kísérletezünk, próbálkozunk, folyamatosan finomítjuk a digitális eljárásokat. A végén azonban minden új digitális technológia kapcsán kőkemény döntést kell hozni, alkalmazzuk-e. A művészi megvalósítás és a jól végzett munka öröme mellett labortulajdonosként racionális üzletembernek is kell lennünk. Mit hoz akár a legszebb munka is, ha nem gazdaságos? A fő irányvonal manapság a rögzített pótlások CAD/CAM támogatású gyártása. De mi a helyzet a fogsorokkal? Darius Northey fogász és rendelőtulajdonos az ausztráliai Buderimből is küszködött a betagozással. Üzletemberi megítéléséből még hiányzott az utolsó, döntő részlet. A VITA VIONIC VIGO foggarnitúrát kifejezetten a digitális ügymenethez fejlesztették. Ez az a hiányzó kirakósdarabka, ami gyakorlatban is alkalmazhatóvá teszi a nyílt CAD/CAM rendszerekkel történő digitális teljes lemezes fogsorkészítést. Az ő mottója: kicsomagolni, beragasztani, kész! A VITA VIONIC VIGO fogakkal szerzett tapasztalatairól folytattunk beszélgetést, ami analóg csatlakozási felület a digitális protetika evolúciójában.

Milyen ökonómiai nézőpontokat kell figyelembe vennünk, ha digitális úton szeretnénk teljes lemezes kivehető fogsorokat készíteni?

Darius Northey: A hard- és szoftverek bekerülési költségét figyelembe kell venni, és megfelelő mennyiségű helyre is szükség lesz a laboratóriumban. Ha elég a páciens, és kellő igény is mutatkozik, akkor a digitális fogsorkészítés mindenképpen idő- és költségmegtakarítást eredményez, ami gyorsan túlnő a kezdetben szükséges invesztálás keretein. Természetesen nagyon praktikus az adatállományok rendelőből laborba kerülésének költségmentes módozata. Még jobb, ha a felszerelés már amúgy is rendelkezésre áll: a VITA

VIONIC VIGO foggarnitúra minden általánosan használt nyitott fréz- és 3D-nyomtatórendszerben használható.

Mi jelenleg a digitális munkamenet alapja a teljes fogsorok készítésében?

Darius Northey: Manapság még bejáratott módszer a precíz analóg készítésű minták és harapás-regisztrátumok digitális adatállománnyá alakítása (magyarul a szkennerrel történő beolvasás – a ford.). Ha nem süllyedt a harapás, és a fogfelállítás rendben van, a Copy-Denture technikával a régi fogsorok is felhasználhatók lenyomatkanálként és virtuális orientáció-

ra. Az intraorális szkennelés is folyamatosan fejlődik, így a jövőben várhatóan további analóg előkészítő lépések eshetnek ki.

Milyen lehetőségek léteznek manapság anyag szempontból az alaplemezek CAD/ CAM támogatású gyártására?

Darius Northey: A CAd-szoftverben történő tervezést követően a próbához a monoblokk viaszból kifrézelhető, vagy akár nyomtatható is. Már lehetséges additív eljárással akár a végleges alaplemezt is kinyomtatni, vagy szubsztraktív módon polimerkorongból kimarni. Ezáltal sok manuális lépés elmarad, ami szignifikánsan csökkenti a ráfordított időt, és költségeket

Kiindulási helyzet az elszíneződött fogsorokkal, élettelennek ható fogakkal.
A régi fogsorokat egyéni kanálnak, harapás-regisztrátumnak és a fogfelállítás szituációs alapjának is használhatjuk.
A mesterminta alapján készített virtuális felső minta.

A mesterminta alapján készített virtuális alsó minta.

Az artikulációban beszkennelt másolatok felhasználása a virtuális mintázás során.

A beolvasott régi fogsorok segítségével a középvonal és az okklúziós sík is meghatározható volt.

A virtuális minták térbeli elhelyezkedése egymáshoz képest.

is. Ráadásul a meglévő adatállomány alapján a fogsor gombnyomásra újrakészíthető is lesz.

Milyen akadályokat kell legyőzni a teljes fogsor digitális gyártása során?

Darius Northey: Bizonyosan nagy hiba, ha egyszerre foglalkozunk a piacon található összes rendszerrel. Ez gyors frusztrációt okoz. Mielőtt betagozunk egy új digitális munkamenetet, fontos – megfelelő időt ráfordítva – a gyártó támogatását igénybe venni. Az első munkák gyakorlatba tétele során megfelelő időtartamot kell hagyni, hogy ne időszűkében kelljen kivitelezni a folyamatokat. Az, hogy a technológia lehetővé teszi, hogy produktívabban és gyorsabban dolgozzunk, nem jelenti egyben azt is, hogy ez rögtön az elejétől így lesz.

Milyen döntő előnyt jelent a VITA VIONIC VIGO fogak alkalmazása a digitális munkamenetben?

Darius Northey: A fogakat korábban szubsztraktív módon – az okkluzális viszonyokból kiindulva – passzítani kellett az alaplemezhez. A fogak alaplemezben történő helyes pozicionálása és rögzítése sok rendszerben fékezte a teljes munkamenetet. A VITA VIONIC VIGO fogakkal most olyan eszköz van a kezemben, amelyet kifejezetten a digitális munkamenethez fejlesztettek ki. Bazálisan és körkörösen már meg vannak rövidítve. A virtuális fogfelállítás során az alkalmazott elmélet szerint érintkeznek az okkluzális felszínek, így a fogak érintetlenül, pontosan és stabilan illeszthetők az alaplemezbe.

Mi a gyári fogak különlegessége? Le tudná írni a felhasználást?

Darius Northey: Az előkondicionált fogakat egyszerűen egyenként ki kell venni a csomagolásból, és egy hajszálvékony réteg VITA VIONIC BOND ragasztóval az alaplemezbe ragasztani. A fogak egyértelmű, precíz behelyezhetősége gyorsabbá és biztonságossá teszi a laborban a készrevitelt. A kötés valóban stabil, kevés javítással számolok. Emellett a garnitúra a gyári fogak összes előnyével rendelkezik. A páciens nem szenved semmilyen esztétikai vagy funkcionális hátrányt.

Mit tanácsol kollégáinak, gondolkozzanak-e el a digitális fogsorkészítésen?

Darius Northey: A legjobb ötlet, amit adhatok, hogy ne adják meg magukat a kezdeti frusztrációnak. A fogsorok analóg készítését is évekig tanultuk. Ne higgyék azt, minden megy majd magától. Fordítsanak időt kollégáik kikérdezésére is. A beállításoknak stimmelniük kell. Néha annyira megbíztam a szoftverben, hogy nem a korrekt ragasztási hézagot adtam meg, vagy hibásan választottam fogformát. Ez persze anyag- és időpazarláshoz vezetett. Egyébként meg élvezzék az utazást a VITA VIONIC VIGO fogakkal a digitális fogsorkészítés világában.

A mintaelemzés digitális változata a CAD-szoftverben.

A VITA VIONIC VIGO foggarnitúrát gombnyomásra a kívánt elmélet szerint állíthatjuk fel.

A frontfelállítás változtatásai során is behívhatjuk segítségként a régi fogsorokat.

Az alaplemez konstruálása előtt kiblokkoljuk az alámenő részeket.

Az optimalizált tervezésnek és az elő-kondicionálásnak köszönhetően a VITA VIONIC VIGO fogak egyszerűen kicsomagolhatók és rögzíthetők.

A kész felső terv az alaplemez additív elkészítését megelőzően.

A kész alsó terv az alaplemez additív elkészítését megelőzően.

A behelyezett fogsorok teljesen természetes hatásúak.

Forrás: Das Dental Labor 2022/10

AZ ALPHA IMPLANT KFT. MÁR 15 ÉVE AZ ÖN MEGBÍZHATÓ PARTNERE

A minőség a siker garanciája

SZUPRAKONSTRUKCIÓ MINŐSÉGI

CÉLJA – KÍVÁNSÁGOK ÉS A VALÓSÁG

A kívánság és a valóság a protetikában is gyakran távol áll egymástól. Plasztikus gyakorlati eset segítségével – 34-37-es hídkonstrukció lazult le – ismerteti Klaus Ohlendorf a cementezett és csavarozott szuprastruktúrák előnyeit és hátrányait.

1. kép: A 34-es fog maradéka nem képes a négytagú hídkonstrukció hosszú távú szilárd rögzítésére.

2. kép: A 37-es csonk túl alacsony a négytagú hídkonstrukció hosszú távú szilárd poszterior rögzítésére.

A páciens 34-37-es hídjának kilazulása miatt kereste fel a rendelőt. Új, hosszú távon használható megoldást szeretett volna, lehetőleg fémmenteset.

A fog-, illetve csonkhelyzet vizsgálata

A 34-es csonk csapos felépítést kapott. A csonk nagyon alacsony, erősen kúpos formája, a gyökércsap rövidsége volt tapasztalható. A 37-es fog is alacsony, túlzottan kúpos formájú volt. A négytagú híd tartós rögzülése így kezdettől fogva erősen megkérdőjelezhető volt. A cementkioldódáshoz a csont transzverzális deformációja is hozzájárult. Ennek következtében a csonkok nem megfelelő retenciója miatt a visszaragasztás nem volt ajánlatos (1-2. képek)

Tervek átgondolása

Először arra gondoltak, a 33-as fog bevonásával még egy pillérrel egészítik ki a rögzítőzónát. De ez nem volt jó ötlet. A szemfog egészséges, nem volt kizárható a marginális parodoncium szubgingivális preparáció miatt fellépő károsodásának, illetve a pulpa károsodásának veszélye sem. Ráadásul a fog kopása miatt az építési magasság is csökkent, ami a horgonykénti felhasználást megkérdőjelezte.

3. kép: Állapotfelmérés, kezelési terv.

Terápia

Első lépésben kicserélték a 38-as fog amalgámtömését kompozitra. Ezután teljes kerámiakoronákat készítettek a 34 és 37-es fogakra, majd adhezíven rögzítették azokat.

Sebészeti fázis

A 35, 36 régióba implantátumokat ültettek be. A 35-ös régióba 3,8 mm-es átmérőjű, a 36-os régióba 4,3 mm-es átmérőjű került. Mindkettő 11 mm hosszú (4. a és b képek). A tervezett koronák építési magassága a premolárisnál 5, a molárisnál 6 mm.

Az implantológiai beavatkozás költségei 2082,44 eurót tettek ki.

A szuprakonstrukció elkészítése

Öt hónap után következett a végleges pótlás elkészítése. Az első lépés a vázpróba volt. Ezt követte a sínezett koronák csavaros rögzítése.

A négy fog fogtechnikai munkálatainak költsége 2162,14 euró volt.

4. a ábra: A teljes kerámiakoronák adhezív módon rögzítve a 34 és 37 fogakon. – 4. b: A kezelés lefolyása során készített röntgenkép.

5. kép: A koronák közötti gingivális tisztítás nem biztosított. Sajnos a teljes gingivális interproximális területet feltöltötték kerámiával, mint az a 7a képen lingválisan is látható. A 34, 35, 36 és 37 koronák között vertikális rés mutatkozik. Nincs approximális érintkezés. A páciens jelezte is, a húsrostok nagyon nehezen eltávolíthatók erről a területről.

6. kép: A szennyeződésmaradványok ellenállnak az adekvát tisztításnak.

Páciens a rendelőben

A munka behelyezését követően a páciens felkereste a rendelőt, mert elégedetlen volt az implantátumok körüli tisztítási lehetőségekkel. A releváns területek nehezen hozzáférhetők voltak. Az internetes utánkeresései megerősítették abban, hogy az implantátumos pótlások hosszú távú sikerességének egyik kulcsa a maga a páciens által végzett alapos tisztítás. A kezelőorvos azon a véleményen volt, hogy a szuprakonstrukció korrekt manuális eljárással biztosítja a gingivális tisztítás lehetőségét. A páciens ezek után elkérte a munkamintákat. Mindenképpen szeretett volna még egy véleményt beszerezni a fogpótlásról.

A szuprakonstrukció ellenőrzése

A négytagú protetikai ellátás ellenőrzése során a következőket tapasztaltuk:

Szekunder összekötés a 35 és 36 koronák között

A sínezés ebben az esetben kontraindikált, mert ezáltal az implantátum körüli tisztítás interdentális kefével a páciens számára nem lehetséges. A meziálisan és disztálisan határoló koronák gingivális-interproximális területének szakszerű

higiéniája sem biztosítható (5. kép). A szuprakonstrukció sikeres tisztításának többek között a megfelelő módon kialakított emergenciaprofil is előfeltétele. Az adott eset csak nagyon korlátozott interdentális kefés tisztítást tesz lehetővé (6. kép)

Okkluzális fogkapcsolatok

A fogak közötti kapcsolatok ellenőrzése során feltűnt, hogy lingválisan hiányzott az érintkezés az antagonista fogakkal. Nem volt felismerhető az okklúziós koncepció (7. a és b képek).

Anatómiai kialakítás

A koronarekonstrukciók kialakításának fontos célja a szemben lévő állcsont információinak befogadása és figyelembe vétele a koronák formájának meghatározásakor. A bemutatott esetben ez nem történt meg. A 35-36-os sínezett korona pótlás anatómiai formáit nem alakították az okkluzális törvényszerűségek szerint (8. kép)

Túlterjesztés

A 35-ös fogat lingválisan a nyelvtér erős beszűkítésével alakították ki (10. kép). Ezt a páciens nyelve mozgatása során zavarónak találta. A régi, kiesett híddal történő összehasonlítás jól megmutatja a 35-ös nagyságbeli különbségét (11. kép).

7. a és b képek: A szuprakonstrukció lingvális oldalán extrém okklúzió-hiány mutatkozik. A 37-es korona mezio-lingvális csücske sem érintkezik az antagonistával.

8. kép: Az anatómia kialakítása nem hasonlít az ellenoldalhoz, de a korábbi hídpótláshoz sem – lásd a 9-11. képeket is. 9. kép: Az alsó szituációs minta jól szemlélteti, nincs hasonlóság a két oldal anatómiai formakialakítása között.

10–11. képek: A koronakonstrukció lingvális lefutása –a páciens szűkítést érzett. Jobbra a régi híd, balra az új pótlás látható. Feltűnő a 37-es koronák különbözősége is.

A szuprakonstrukció másodszori elkészítése

A másodlagos sínezés elhagyása a koronáknál optimalizálja a gingivális tisztítási lehetőséget (12–13. képek). Ebben a régióban a szájban általában nem okoz esztétikai hátrányt a tisztítási lehetőségek nagyvonalú kialakítása. Ráadásul a szomszédos fogak gingivális területei is jobban tisztíthatóvá váltak. A fogformákat anatómiailag is jelentősen javítottuk. A

páciens kellemesebb érzést tapasztal azok nyelvvel történő tapintása során. A 35-ös fog harmonikusan illeszkedik a sorba, nem zavarja többé a nyelv haladását (14. kép). A koronák interproximális érintkezését megfelelő, 8 mikronos fóliával optimalizáltuk minden oldalon. Az okkluzális kontaktpontokat kialakítottuk, statikailag és dinamikailag is ellenőriztük.

A ragasztott és csavarozott

szuprastruktúrák előnyei és hátrányai

Cementezett szuprastruktúrák előnyei:

• passzív illeszkedés (feszülésmentes illeszkedés, a cementréteg kiegyenlíti a csekély, gyártási eljárásból származó pontatlanságot)

• kedvező funkció és esztétika

• a különböző implantátumtengely-állások, az anguláció kiegyenlítése

• ideiglenes ragasztás esetén eltávolítható

• a ragasztott implantátum-koronák és hidak approximális kontaktok szempontjából könnyebben behelyezhetők, mint a csavarozottak. A 4-6 fokos csonkpreparáció következtében nagyobb a behelyezés során a játéktér.

• a rágófelszínek kialakítása optimális (nincs zavaró csavarhorony)

• a fogorvostól nem igényel további ráfordítást (okkluzális/ palatinális utómunkálatok)

6 fejezet 49 szakmai cikk 388 oldal 1980 színes kép

Róth Lajos

12–13. képek: Az első (felül) és a második (alul) szuprakonstrukció direkt összehasonlítása gingivális tisztíthatóság szempontjából. A második munkát a mintán és szájban is alaposan ellenőriztük végleges behelyezés előtt.

14. kép: A 35-ös fog harmonikusan illeszkedik a sorba. A ragasztott korona csavarozás nélkül, és a szögtört felépítmény jelentősen csökkentette a korona lingvális kiterjesztésének szükségességét.

15. kép: Az emergenciaprofil újraképzése interdentális kefével történő tisztításhoz.

A cementezett szuprastruktúrák hátrányai:

• a szubgingivális cementmaradványok nem mindig észrevehetők

• magasabb időráfordítás

• nem lehet levenni a pótlást

• a szövetre gyakorolt nyomás nehezíti a behelyezést

Az okkluzális csavarrögzítésű szuprastruktúrák előnyei:

• egyszerű levétel (megkönnyíti a javítást és tisztítást)

• a szövetre kifejtett nyomás a behelyezés során a csavar fokozatos meghúzásával ellenőrzötten szabályozható. Az emergenciaprofil kialakítását az egyedi koronaforma végzi.

Az okkluzális csavarrögzítésű szuprastruktúrák hátrányai:

• az okkluzális csavarhorony esztétikailag és funkcionálisan hátrányos lehet

• nincs feszülésmentes illeszkedés, különösen ha több csavar rögzít egy testet

• az implantátumtengelyek eltérésének nehézkes kiegyenlítése

• az implantátum pozicionálása erőteljesen behatárolt

• a csavarrögzítés transzverzális helyzete esetén relatív nehezen lehet hozzáférni a csavarbemenethez

• a rések miatt szagképződés valószínű

• olyan implantátumoknál, amelyek belső geometriája párhuzamos falú elfordulásgátlást biztosít, csekély eltérés lehet csak a korona/híd és az approximális kontaktpontok behelyezési iránya között. A kúpos implantátumilleszkedések esetén a vertikális véghelyzet gyakran csak a definiált nyomatékú becsavarozás során érhető el. Az erőteljes approximális kontaktpont kialakítása így igencsak időigényes a többszöri ki- és becsavarozás miatt.

• belső elfordulásgátlással ellátott hídpótlások a behelyezési irány miatt nehezen realizálhatók

• magas költségek a technikailag nehéz előállítás miatt

Forrás: Das Dental Labor 2022/10

Irodalomjegyzék

Herzklotz I, Kunz A, Beuer F: Verschraubt oder zementiert – ist das die Frage? Quintessenz 2017;68(9): Seite 1 f

Rathe F, Schlee M: Implantatgetragene Restaurationen – zementieren oder verschrauben? Quintessenz 2013; 64: Seite 1503 f

Sínezett vagy nem sínezett koronák egymás mellett lévő implantátumok esetén Kell az egymás mellett lévő implantátumokra készülő koronákat sínezni vagy nem kell? Ennek eldöntésében döntő szerepe van a korona- és az implantátumhossz/magasság viszonyának. A szabály: ha a korona/implantátum magasság aránya nagyobb vagy egyenlő, mint 0,8 (pl. 8 mm magas korona, 10 mm hosszú implantátum), akkor össze kell kötni a koronákat; kisebb arány esetén (pl. 8 mm magas korona, 13 mm-es implantátumhossz) lehetséges külön készíteni a koronákat, aminek sok előnye van (gyártás, illeszkedés, javítás és egyéb; Kirsch 1999).

A sínezett szuprakonstrukciók retenciós felszínt kínálnak a mikroorganizmusoknak, amelyek nehezen eltávolíthatók. A periimplantáris gyulladások fő okai a baktériumtelepek. Ezért a primer vagy szekunder implantátumsínezést a páciensszituációtól kell függővé tenni, az előnyök és hátrányok egyedi értékelésével. A sínezett implantátumstruktúrák feszülésmentes illeszkedésének kialakítása sokkal nehezebb, mint a természetes pilléreknél, mivel a mozdíthatatlan implantátumok nem képesek kiegyenlíteni a gyártás során elkerülhetetlenül fellépő csekély pontatlanságokat – a természetes fogak képesek erre.

FUTURA

FUTURA BASIC

KÉTFÉLE ANYAG | SZÁMOS INDIKÁCIÓ

FUTURA BASIC HOT ÉS COLD AKRILÁTOK

Út a Jövő Felé! Esetbemutatás a BIONIKA digitális fogtechnikájában

A digitális technológia rohamos fejlődése az elmúlt években forradalmasította a fogászat és a fogtechnika területét. Az intraorális szkennerek, a CAD/CAM rendszerek és a 3D nyomtatás alkalmazása jelentősen megváltoztatta a hagyományos munkafolyamatokat, lehetővé téve a pontosabb, gyorsabb és költséghatékonyabb megoldásokat. A BIONIKA időben felismerte a digitális technológiában rejlő lehetőségeket, amit napi szinten alkalmaz a DentCAM Frézközpontban.

Az esetbemutatás előzménye

Egy hölgy páciens 35 és 36-os foghiánnyal kereste fel a Miskolcon praktizáló Dr. Skapinyecz Tibor doktor urat. Az előzetes panorámaröntgen és CT felvétel készítése után megtörtént az implantáció. A mandibulába lateral régióba 2 darab, CORTILOG PCL implantátum került behelyezésre, amely a BIONIKA által fejlesztett és gyártott CORTILOG implantátumcsalád egyik tagja. A CORTILOG PCL implantátum öt különböző átmérőjű (∅3.3, ∅3.8, ∅4.3, ∅5.0, ∅6.0) implantátumot foglal magába, melyek átlagos, valamint az átlagosnál vékonyabb és vastagabb csontállomány esetén egyaránt alkalmazhatók. A lapos platform, a „cső-a-csőben” kapcsolat és az elfordulásgátlásról gondoskodó három cam egyaránt olyan jellemzők, melyek népszerűvé teszik a CORTILOG Implantátumrendszer ezen tagját.

Digitális tervezés a DentCAM Frézközpontban

A könnyű kezelhetőség végett az implantátumokra 2 darab csavarral rögzíthető korona került megtervezésre. A lenyomatvétel és a mintakészítés analóg eljárással történt. Miután a gipszmodellek beérkeztek a BIONIKA Frézközpontjába, fogtechnikus kollégánk megkezdte a fogmű tervezését. A munkához a BIONIKA által fejlesztett és gyártott titán bázisok kerültek felhasználásra.

Az Exocadben a megfelelő geometria-könyvtár és fogformák kiválasztása és finomítása után az okklúziót a lehető legpontosabban kellett beállítani, mivel anatómiai fogformák készültek. A tervezést követően, a kész STL fájl PreForm szoftverbe történő importálása után, az aktív funkcióval ellátott felületek elkerülésével elhelyezésre kerültek a supportok, majd megkezdődhetett a kivitelezés.

A mester minta
Exocadben átmenőcsavaros, anatómikus koronák tervezése

3D nyomtatás a BIONIKA Frézközpontban

A fogmű legyártása egy Formlabs Form 3 resines 3D-s nyomtatón történt meg, amelyhez Permanent Crown resin került felhasználásra, amely szintén a Formlabs terméke. A Permanent Crown Resin egy fogszínű, kerámiát tartalmazó, biokompatibilis műgyanta, amelyből 3D nyomtatással készítenek végleges koronákat, betéteket, héjakat, in- és onlay megoldásokat. Ez az anyag számos előnnyel rendelkezik. Magas szilárdsága révén hosszú távú stabilitást biztosít, esztétikai tulajdonságai miatt természetes megjelenést ad a fogpótlásoknak. A Permanent Crown Resin alacsony vízfelvételi képességének és sima felületének köszönhetően az ebből készült pótlások kevésbé hajlamosak az öregedésre és az elszíneződésre, továbbá a plakkok sem halmozódnak fel rajtuk. Hosszú távon megőrzik esztétikus megjelenésüket és higiénikus állapotukat. A VITA által megadott árnyalatoknak megfelelően elérhető A2, A3, B1, C2 színekben. Páciensünk esetében A2-es színű anyag került felhasználásra.

A nyomtatást és a 10 perces izopropil-alkoholos fürdőt követően - a technológiai utasításnak megfelelően - polimerizálni kellett az anyagot, amely ezen folyamat alatt érte el biokompatibilitását. A polimerizálás során keletkezett finom fehér réteget 50 mikronos üveggyönggyel, 2 bar nyomással kellett eltávolítani. Ezt követően a BIONIKA titán bázisok csatlakozási pontjait kellett ellenőrizni. Mivel a 3D nyomtatók nehezen kezelik a koncentrikus köröket, óvatosan, a platformot elkerülve, gyémántcsiszolóval kellett finomítani a felületen. Miután a koronák sikeresen illeszkedtek a felépítményekre, ellenőriztük és finomhangoltuk az okklúziót. Ezután a felületek homogénebbé tétele érdekében egy újabb gyöngyfújási folyamat következett. A koronák végül polírozás útján érték el fényes kinézetüket. Utolsó lépésként egy ultrahangos mosás és egy gőzborotvával történő tisztítás következett, amit a

szárítás után egy újabb, végleges polimerizálási folyamat követett. Az elkészült koronák rákerültek a titán bázisokra, amelyek csavarozás útján kerültek rögzítésre az implantátumokra.

Azóta a páciens elégedetten használja az új fogpótlását, ami jelentősen javította a mindennapi komfortérzetét. Ennek köszönhetően újra önfeledten élvezheti kedvenc ételeit, mindenféle kellemetlenség nélkül.

A BIONIKA Frézközpont digitális megoldásai

A DentCAM Frézközpontunk fő irányvonala a CAD/CAM technológia által biztosított precizitás. Bár laborunkban továbbra is jelen van a manuális, analóg szakma, egyre inkább előtérbe helyezzük a digitalizált fogtechnikai folyamatokat. A számítógéppel támogatott tervező és gyártő (CAD/CAM) rendszerek lehetővé teszik a fogtechnikusok számára, hogy a páciensek fogainak és szájképleteinek digitális lenyomatai alapján tervezzenek és készítsenek különféle koronákat, hidakat, csavaros rögzítésű és ideiglenes fogpótlásokat. A Frézközpontban használt 3D nyomtatási technológia lehetővé teszi a fogpótlások és protézisek közvetlen előállítását digitális tervek alapján. Kiemelt figyelmet fordítunk arra, hogy naprakészek legyünk a legújabb fejlesztések és alkalmazási lehetőségek terén. Ezért kollégáink rendszeresen részt vesznek szakmai képzéseken, hogy biztonsággal elsajátítsák és alkalmazzák az új technológiákat.

A BIONIKA Frézközpont tapasztalt szakemberei kiváló minőségű és ár-érték arányú koronákat, hidakat, egyedi felépítményeket, implantátumokra épülő pótlásokat, stégeket, inlay-t és inlay elhorgonyzású hidakat terveznek. Ezen munkák elengedhetetlen eszközei a CAD/CAM elemek, amelyek széles körben elérhetők a BIOINKA kínálatában.

TITÁN BÁZIS

A titán bázis (másnéven cirkon alap) a modern CAD-CAM technológiához köthető csavarral rögzülő felépítmény. A titán bázis az implantátum és a fogmű közötti precíz kapcsolatot biztosítja, abban az esetben, ha a fogmű alapanyaga nem ad megfelelő stabilitást. Felhasználását tekintve jellemzően cirkon fogsoroknál, illetve koronáknál alkalmazzák, melyeket fogászati cement segítségével erősítenek a titán bázisokra. A felépítménynyel összeragasztott fogművet egy fejcsavarral lehet az implantátumhoz rögzíteni. A fogtechnikus kollégák főként azért kedvelik a BIONIKA titán bázisokat, mivel ezek a gyors és pontos munkavégzést tesznek lehetővé. A fogmű titán bázisra történő ragasztása már a fogtechnikai laborban megtörténik, ami kifejezetten előnyős a fogorvos számára, hiszen neki már nem kell a fogászati cementtel bajlódnia. A titán bázisok alkalmazása a páciensek számára is kedvező, hiszen ezek a fogmű esetleges sérülése esetén könnyedén javíthatók.

A Flexi bázis névre elkeresztelt lépcsőzetes kialakítású felépítmény a hagyományos titán bázis speciális, egyik oldalán metszett verziója. A metszett kialakítás egy gömb torx végű csavarhúzóval kombinálva lehetővé teszi a fejcsavar ferde irányú becsavarását. A felépítmény bordázott kialakítása hozzájárul a fogászati cement megfelelő tapadásához. A Flexi bázisok legnagyobb előnye, hogy az implantátum tengelyéhez képest akár 30°-os szögkorrekciót is lehetővé tesznek. Ezt a megoldást főleg olyan esetekben alkalmazzák, amikor az implantátumok elhelyezkedése nem ideális, így szükség van a csavar irányának módosítására. A BIONIKA által gyártott Flexi bázisok implantátum és multi-unit szintű változatban egyaránt elérhetők, valamint pozícionált és nem pozícionált kialakításban is kérhetők.

CIRKON FEJEK (titán alappal)

A titán alappal rendelkező BIONIKA cirkon fejek, a legkiválóbb minőségű, elefántcsont színárnyalatú cirkon tömbökből készülnek, melyek csavarozott és cementezett fogpótlások elkészítéséhez egyaránt alkalmasak. A BIONIKA cirkon fejek egyenes és szögdöntött változatban is kérhetők, továbbá pozicionált és nem pozicionált kivitelben is elérhetők.

CSŐFEJ

A csőfej egy cirkon alap alternatíva, amely az implantátum és a fogmű közötti precíz kapcsolatot biztosítja. Funkcióját tekintve megegyezik a titán bázissal és a cirkon alappal, azzal a különbséggel, hogy a csőfejek nagyobb fejhosszal rendelkeznek. Ezen fejek a korona méretéhez igazítva méretre szabhatóak. A lépcsős kivitel ferde irányú (paracentrikus) csavarozásra is lehetőséget nyújt, ezáltal könnyedén korrigálható az állcsont tulajdonságaiból adódó szögeltérés.

SCANBODY

A BIONIKA által gyártott scanbody fejek (digitális lenyomati fejek) olyan 3D szkenneléshez szükséges CAD/ CAM elemek, amelyek a szájban lévő implantátumok 3D-s helymeghatározására szolgálnak. A BIONIKA scanbody-kat a fogorvosok és fogtechnikus kollégák egyaránt előszeretettel használják. A fogorvosok jellemzően a rendelőben intraorális szkennerrel, míg a fogtechnikusok asztali szkenner segítgetésével szkennelhetik be ezeket a laborban. Az általunk fejlesztett scanbody-k homokszórt felületének köszönhetően nem reflektálják a fényt, az optikai és az intraorális scannelés során. A scanbody-kat a protetikai csavarokhoz használt csavarhúzóval lehet rögzíteni, így nincs külön behajtóra szükség. A BIONIKA kínálatában megtalálható átmenőcsavaros scanbody-k implant és multi-unit szintű változatban egyaránt elérhetőek.

Scanbody a gipszmintában

Ha Önnek sincs ideje a hosszadalmas fogművázak elkészítésére, vagy nem rendelkezik megfelelő technológiával, akkor válassza a BIONIKA DentCAM Frézközpont szolgáltatásait, ahonnan kiváló minőségű pótlásokat kap kézhez. Frézközpontunk átvállalja az idő és energiaigényes fogművázak elkészítését, ezáltal Önnek több ideje jut az egyéb elfoglaltságaira. Csapatunk elkötelezett amellett, hogy minden szakember számára a legjobb megoldást nyújtsa, a legújabb fejlesztésekkel és szakmai hozzáértéssel. Lépjen kapcsolatba velünk még ma, és tapasztalja meg, hogyan támogathatjuk Önt a legmodernebb digitális fogtechnikai megoldásokkal.

Flexi bázis Titán bázis
Csőfej
Scanbody

TERMÉKÚJDONSÁGOK

Az AI két perc alatt tervez síneket

A PROMADENT cég szoftverfejlesztői (Nienhagen) új applikációjukat FREEFORM márkanév alatt jelenttették meg a piacon. A program a mesterséges intelligenciát (AI-Artificial Intelligence) használja arra, hogy intraorális szkenner-adatállományra vagy digitális gipszmintára nyomtatható vagy marható sínkonstrukciókat (1–3. képek) tervezzen.

A FREEFORM fő funkciója, hogy integrált AI támogatással – amit itt az „iAD” (integrated Auto-Design) rövidítéssel jelölnek – egy kattintásra automatikusan gyártson klasszikus harapásemelő és korrekciós síneket. Vagy akár iAW (integrated Auto-Assistance-Workflow) és File Watching (mappafelügyelet) mellett. A FREEFORM tartalmaz automatikus széli görbe számítást is, amely az egyes fogakat ínyszéli rajzolatuk alapján ismeri fel. A behelyezési irányt is automatikusan állapítja meg, kiblokkolva az alámenős részeket (2. kép). A korrekciós sínek tervezése a dinamikus okklúzió figyelembevételével történik, teljes egészében az AI által. Így a felhasználó átlagosan kb. két percet kell fordítson a munkára.

A szoftver ezen felül széles körű passzítási lehetőséget kínál a páciensek egyedi igényeihez illeszkedő gyártmány elkészítéséhez. Ez a sín formájának illesztésétől a virtuális artikulátor beállításáig – pl. harapásemeléshez –, a Bennett-szög meghatározásától a fejecspálya dőlésszögének beállításáig terjedhet. A manuális tervezés és az AI támogatás kombinációja számtalan lehetőséget nyit a mérték után készített sínek azonos minőségben történő, gazdaságos gyártására.

Kimberly Krüger, a PROMADENT CEO-ja szerint: „Sínkészítő szoftverünk forradalmasítja a fogtechnikai munkamódszert. Versenytársainktól eltérően teljes ellenőrzéssel szállítjuk AI-tervezőszoftverünket, később felmerülő költségek nélkül – nincs „pay per unit” (fizess tagonként – a ford.), vagy havi kötelező licencdíj. Az applikáció a BISS Dental Software Suite egyedülálló, önálló megoldásaként hozzáférhető. Természetesen rendelkezésre állnak különböző bérleti megoldások is, hogy rugalmasan alkalmazkodjunk az igényekhez, de az installálás mindig lokális, sohasem felhőn keresztül történik.”

www.promadent.de

1. kép: Sínnyomtatás.
4. kép: Automatikusan elhelyezett csap.
5. kép: Korrekciós falak szemfogvezetéssel. 6. kép: Virtuálisan becsiszolt korrekciós sín.
2. kép: Sín marása.
3. kép: Kész FREEFORM sín.

kidolgozó eszközök és anyagok a legnagyobb választékban, a legkedvezőbb áron. Raktárról azonnal szállítunk. Viszonteladóknak nagy kedvezmények.

3D lézerszínterezett vázak

több

• Gyorsan tökéletes minőségben • Remanium star anyagból

• Anger matricák, ideiglenes koronák, fényvezető ék;

• ASA műszerek, egyszer használatos eszközök;

• CMS polimerizációs lámpa

• FKG orthodonciai eszközök;

• DTS színes műanyag lenyomatkanalak

www.ivoclarvivadent.com

• L&M kiskészülékek

• ORO CLEAN fertőtlenítőszerek;

Ivoclar Vivadent AG Bendererstr. 2

• MEDEX önelőhívós röntgenfilm

• PROMEDICA cementek, tömőanyagok, alábélelők, kerámiajavító;

• SHOFU cementek, tömőanyagok, csiszolók

• SURE DENT papírcsúcs és guttapercha

• SS White koronafelvágó, karbid- és gyémántfúrók;

• TIDI védőmaszkok

• WHITEWASH fogkrém, fogkefe, fogfehérítő

• ZHERMACK A- és C-szilikon, alginát lenyomatanyagok. Közvetlenül az importőrtől:

HERBODENT Kft.

✉ 1025 Bp., Szépvölgyi út 52. % 325-7129

%/fax 325-7220, mobil: 30/203-6957, 30/241-5737 e-mail: herbodent@herbodent.hu, www.herbodent.hu

Egyre több amely egy megbízható náról, inly/onlay-ről,

Kft.

Könyvajánlataink

Csak természetesen

Fogászat és esztétika

A fogpótlások elkészítése mindig összetett feladatnak számított. Szakmai szempontok az elsődlegesek: stabilitás, funkció, illeszkedés, biológiai és kémiai megfelelőség. A fogorvos és a fogtechnikus is törekszik munkája során, hogy legjobb tudását, széleskörű ismereteit a lehető leghasználhatóbb, a páciens számára sikert garantáló formában építse be az elkészülő fogműbe. Tervezés, kivitelezés csakis akkor lehet sikeres, ha mindketten jól képzettek és felkészültek a szakmai munkában.

És mit észlel első sorban a páciens, a beteg? Az esztétikai megjelenést. Sőt, ma már gyakran azért megy a páciens a fogorvoshoz, hogy változtassa meg mosolyát. Nem azért, mert fáj a foga, vagy laikus szemmel is látható defektusai lennének. Mindannyian érezhetjük – fogorvos, asszisztens, fogtechnikus és páciens –, hogy nehezen megfogható, szakmai nyelvezettel nem minden esetben definiálható területről van szó. Az „esztétikus” mást jelent mindanynyiunk számára, még akkor is, ha látszólag egyről beszélünk. A páciens esetleg hófehér, szabályos fogakat ért alatta. A kezelőorvos hibátlan, korhoz illő megjelenést. A fogtechnikus természetes, a páciens típusára, korábbi megjelenésére jellemző fogakat készítene. Igazán jó, természetes, esztétikus restaurációt készíteni nem csak szakma – művészet is.

E könyv megismertet minket olyan emberekkel, akik technikai felszerelést, technológiát és kézügyességet ötvözve kifejezésre tudják juttatni művészi érzéküket. Mindannyiunk, a páciens, a kezelő-csapat és a fogtechnikus számára is érzékelhetően. Végül is ez a cél. Forgassák bizalommal, és ügyeljenek a részletekre.

Hasznos időtöltést kíván a szerkesztő: Hajdu Zoltán Technikai információk: méret: A4 • terjedelem: 291 oldal • kötés: keménytáblás • nyomás: színes, ofszet

Vizsga - sokaknak idegeskedést, félelmet, önbizalomhiányt okoz a szó. Nem egyszerű megfelelni mások elvárásainak, különösen, ha megítélésüktől sok függ későbbi életünkben.

Tovább bonyolódik a helyzet, ha gyakorlati vizsgáról van szó. Itt már a kézügyesség is számít, nem csak a megjelenés, a tudás – be kell bizonyítanunk, képesek vagyunk adott folyamatok elvégzésére. Mindezt idegen helyen, új, számunkra barátságtalan eszközökkel, többedmagunkkal, meghatározott időre... Könnyen belátható, miért remeg egy-egy vizsgázó keze.

A fogtechnika, mint hivatás, különlegesen összetett. Sokoldalú, több más szakmát felölelő ismeret együttesére van szükség – elméletben és gyakorlatban egyaránt.

A szerzők képzettségük és tapasztalataik alapján ismerik mind a szakmai, mind az emberi oldal nehézségeit, buktatóit. Könyvük célja a -segítségnyújtás. A cím - ,,Átrágtuk” - jól jellemzi hozzáállásukat: lelkiismeretesen, értelmezve, bemutatva.

Rendszerezett, intenzív előkészületeket biztosítanak. Bemutatják az adott munkafolyamatokat, lépésről lépésre. Szöveggel és képpel is bizonyítják számtalan vizsga rengeteg diákjának ismeretét, megfigyelését.

Megmutatják, előre jelzik, hol várható probléma - s segítenek azt már előre elkerülni. Felsorolják, és a gyakorlatban is demonstrálják, hogyan, mit kell csinálni, mire kell felkészülni -· sőt, a végeredmény objektív bemutatása bizonyosságot ad a felhasználóknak gyakorlás közben.

Kitérnek nem csak a feladatokra - még a szerszámok, anyagok, eszközök összeállításában is segédkezet nyújtanak. A könyv kihagyhatatlan segédeszköz minden leendő és gyakorló fogtechnikus számára - bepillantást nyújt a német szakmai vizsga anyagába, minőségébe is. A briliáns képek és utalások még az esetleg hozzá nem értők számára is egyértelműek. Forgassuk minél többen, minél többet!

Hasznos olvasást és jó szórakozást kíván a szerkesztő: Hajdu Zoltán Technikai információk: méret: B5 • terjedelem: 160 oldal • kötés: keménytáblás • nyomás: színes, ofszet

Hajdu Zoltán

Turn static files into dynamic content formats.

Create a flipbook
Issuu converts static files into: digital portfolios, online yearbooks, online catalogs, digital photo albums and more. Sign up and create your flipbook.