e-journal - Implantológia 2023/2

Page 1

2023. VI. évfolyam

4. szám

E-JOURNAL IMPLANTOLÓGIA

A FOGÁSZAT INFORMÁCIÓS MAGAZINJA

„A parodontológiai kezelés általában komplex eljárás, amely összetett szemléletet kíván…”

4-es típusú implantátumbeültetés egyéni ínyformázóval

A sebészi technika és a PRF szerepe az alveoláris csont és a mukogingivális struktúrák megőrzésében III

Felső nagyőrlőfog pótlása implantátum és azonnali ideiglenes pótlás segítségével

www.dental.hu

A 10 éves Alpha Implant Kft. a hagyományos munkafolyamatok mellett a digitális workflow minden lépésére megoldást kínál. A digitális technika fejlődése a fogászati piacon is egyre nagyobb teret hódít. Ebben nyújt

segítséget a 6 lépésből álló Alpha Digital Workflow, amely az intraorál scanneléstől a kész fogmű behelyezéséig terjed. Ne zárja magát keretek közé, lépjen az Alpha Implant Kft.-vel a Digitális Szabadság Világába!

ÜDVÖZÖLJÜK
IMPLANTÁTUM
IRÁNYÍTOTT SEBÉSZET
A DIGITÁLIS SZABADSÁG VILÁGÁBAN!
PROTETIKAI FELÉPÍTMÉNYEK +36 1 353 9090 | info@alphaimplant.hu | www.alphaimplant.hu
INTRAORAL SCANNER CIRKON TÖMB
3D NYOMTATÓ REGIONÁLIS KÉPVISELŐ:

Tisztelt Olvasó!

2023-ra a fogászati szektor – reményeink szerint – fel tudja dolgozni a Covid-19 okozta nehézségeket, a háború mellett elszabaduló inflációt, és már tervezi az idei év fejlődési lehetőségeit. Mindanynyian abban bízunk, hogy időben alkalmazkodni tudunk majd a változásokhoz, és stabilan tudjuk vezetni a vállalkozásinkat!

A tavalyi év sokunk életében hozott különböző nehézségeket, mégis elmondhatjuk, hogy mindenképp jobb volt, mind a 2020-as és a 2021-es esztendő, amikor a létbizonytalanság, a járványtól való félelem uralta a napjainkat. Az idegenforgalom szépen megindult, de a korábbi számok, a vendégéjszakák még nem érik el a 2019-es év adatait. A nagy rendelők már próbálnak teljes kapacitással üzemelni, a fogtechnikai laborokban is visszatért a folyamatosság, a fogászati kereskedők jelentős része pedig jobb évet zárt 2022-ben, mint korábban.

A fogászati rendelők és fogtechnikai laborok az elmúlt 2-3 évben főleg a fejlesztéseket állították előtérbe, amelyhez számos pályázat és egyéb forrás is kedvező konstrukciókat kínált. 2023-ban – tudomásunk szerint – is lesznek új pályázati források, melyekről a kereskedelmi vállalatok részletesebb információkat tudnak adni. Az új források bevezetése idén már bizonyosan ismét növekedési spirálba helyezi majd ezt a szektort!

Az infláció elérte a fogászati ágazatot is, a vállalkozások az euro változásától, gyengülésétől függően azzal találkoznak, hogy az árak – a mindennapi élet mellett – itt is jelentősen és folyamatos változnak, emelkednek. A fogászati rendelők is kénytelenek az áraikat emelni, egyre több rendelő, ún. „piaci alapú” árképzést vezet be. A folyamat kimenetelét még nem lehet pontosan látni, a munkaerő fluktuációja, az Európai Unió áraihoz képest alacsony magyar fogászati beavatkozások értéke - jelenleg még nem érte el a drágulás csúcspontját. Az elmúlt időszakban számos újság, cikk foglalkozott a fogászati szektorban található extra drágulási folyamattal. Ez egyelőre - a hazai rendelőkben - még nem mutatott jelentős problémát, új hívószavakkal, sok marketing munkával, reklámmal most a magyar lakosságot kell határozottabban a rendelőkbe invitálni!

Idén már 23. éve nagy energiával szervezzük, és sok munkával készülünk az őszi Dental World Nemzetkö-

zi Kongresszus és Szakkiállítás sikeres lebonyolítására, melyen reméljük, hogy az egész fogászati szakma képviselteti majd magát! Nemzetközi szinten is ismert/elismert előadók, gyakorlat-orientált képzések, továbbá sok új élmény is várja majd a látogatókat, az érdeklődőket!

A kiadó bizakodva tekint a jövőbe, a megújult tartalmaink kapcsán sok pozitív visszajelzést kapunk, melyeket nagyon köszönünk! Az elmúlt években - a nehézségek ellenére is - növelni tudtuk a kiadványaink, a magazinjaink számát, nem csökkentve azok tartalmi minőségét. 2020 óta a tematikus e-Journalok is folyamatosan megjelennek, melyek egyfajta online könyvtárként is szolgálnak az olvasóinknak. A dental. hu oldalon díjmentesen elérhetőek a korábbi tematikus online lapszámaink is.

A mostani kiadványunkban általános fogorvosi eljárások mellett az implantológia témakörével foglalkozunk.

Jó olvasást kívánok!

Laczkó Tamás, felelős kiadó

3 VI. ÉVFOLYAM – 2023. 4. SZÁM

E-Journal VI. évfolyam, 2023. 4. szám

Kiadja: DP Hungary Kft.

1012 Budapest, Kuny Domokos u. 9.

Felelős kiadó: Laczkó Tamás

Főszerkesztő: Dr. Riba Magdolna

Előkészítés:

DP Hungary Kft., Sárközi András

e-mail: grafika@dental.hu

Információ, hirdetésfelvétel:

Bárdos Veronika, telefon: 06-30-472-0030, 06-1-793-1874

Az újság e-mail címe: info@dental.hu

Az újság internetcíme: www.dental.hu

Terjesztés: E-mail hírlevél formájában.

A tudományos közleményeket a szerkesztőség lektoroknak adja át véleményezésre. Közlés csak egyetértő lektori vélemény, illetve a javasolt módosítások elvégzését követően lehetséges.

A cikkek szerzői vállalják, hogy az általuk elküldött írás saját forrásból származik, illetve a felhasznált anyagokat (publikációkat, illusztrációkat, képeket stb.) mindenkor pontosan feltüntetik. Írásaiknak jogi és egyéb adatvédelmi kérdéseiben felelősséget vállalnak.

A német nyelvű szakmai cikkeink magyar fordítását az Oemus Media AG Kiadó engedélyével szerkesztettük lapunkba. A fel nem használt kéziratokat, fotókat nem őrizzük meg, és nem küldjük vissza.

A hirdetések tartalmáért nem vállalunk felelősséget. A gyártó, illetve forgalmazó cégek kérésére közzétett cikkeket keretbe foglalva közöljük és (x)-szel jelöljük, azok szakmai tartalmáért a szerkesztőbizottság nem vállal felelősséget.

4 Tartalom IMPLANTOLÓGIA „A parodontológiai kezelés általában komplex eljárás, amely összetett szemléletet kíván…” 8 4-es típusú implantátumbeültetés egyéni ínyformázóval 18 A sebészi technika és a PRF szerepe az alveoláris csont és a mukogingivális struktúrák megőrzésében III 26 A modifikált, koronálisan vagy laterálisan eltolt tunnel egyszerű vagy multiplex ínyrecessziók kezelésére 36 A periimplantáris szövetstabilitás és a páciens elégedettsége az azonnali implantátumbeültetés után az esztétikai területen 40 A kerámiából készült fogászati implantátumok osszeointegrációjának elősegítése 50 Felső nagyőrlőfog pótlása implantátum és azonnali ideiglenes pótlás segítségével 54 Az atrofizált maxilla 3D rekonstrukciója 60 Erős fogak és egészséges száj – meggyőző mosoly 72

ADENTALPRESSTEMATIKUSKIADVÁNYA

Nyomtatott magazinok

2022 / III.ÉVFOLYAM–ÁR:2500FT

DIGITÁLIS FOGÁSZAT

pot az orvoskamara kifejezésével élve: „irányítási-igazodási válság” –, amiben az egészségügy járvány eleje óta őrlődött két tárca között. Igaz, sokan csalódtak, hogy az új kormányban sem lesz egészségügyi minisztérium. Őket friss ágazati egyik első megszólalásakor azzal vigasztalta, hogy az egészségügy érdekérvényesítő képességét nem az önálló minisztérium erősíti, hanem a mi

niszter személye.

bilitás érzetét erősítheti, mivel

Tanulmányozd először az elméletet, aztán jöjjön a gyakorlat, mely belőle származik

„A helyreállító fogászat lett a szenvedélyem és a mindennapi munkám”

Hagyományos teljes fogsor hatékony átalakítása

Teljes ívű rehabilitáció primer vázra ragasztott lítium-diszilikát szekunder koronákkal

ESETISMERTETÉS ESETISMERTETÉS
PORTRÉ
INTERJÚ
Katona József hogy túl nagy változások nem vár-demi fejleményt azonban már tárca (EMMI) felszámolásával azniszter portfóliójába került. Ezzel megszűnhetett az az áldatlan álla-
-
-
őt „igen közelről”, az Országos Kórházi Főigazgatóság (OKFŐ) főigazgató-helyettesi székéből vette magakozásakor pedig azt hangsúlyozta: egészségügyben. Az első nagy léciklusban, most finomhangolásjövő szereposztásáról is: stratégioperatív végrehajtás az országos utóbbi poszton Jenei Zoltánnal indul óta tölti be hivatalt. Bemutatkozásakor azt jelezte az államtitkár: nyár közepéig elkészítik „stratégiai anyagaikat”, csak olyan megoldási javaslat kerülhet kormány elé, amit támogatnak szakmai szervezetek is. Így minden érdekelt reményekkel telve indulhatott nyaralni, bízva abban: számára is gyümölcsözően alakul majd az ágazat sorsa. A Magyar Orvosi Kamara (MOK) azonban semmit sem bízott a véletlenre. Amint felállt a kormány, egy 8 oldalas levélben részletezték belügyminiszter számára, hogy miben problémáit. Látleletükben egyebekutak szétzilálódtak, várakozási idők ellátások közel elérhetetlenné váltak,berhiány. Összességében úgy látják, hosszú, sem rövid távon nem tartszorgalmazták ajánlották hozzá a helyzet javítására egy, a 2011-es részletességű programot alkossanak. Az ellátási problémák nagyságának érzékeltetésére Kiss Zsolt Nemzeti Egészségbiztosítási Alapkezelő (NEAK) főigazgatója szolgált egészen meghökkentő adatokkal június elején. E szerint idén, az első negyedévben a kórházak közel negyedével, szakrendelők ötödével kevesebb beteget láttak el, mint a járvány előtti utolsó év megfelelő időszakában. A krónikus osztályok teljesítménye pedig korábbinak Mindez arra utal, hogy sok páciens be sem jut az ellátórendszerbe, kórházszövetség kongresszusának ma 19-31 százalékkal kapnak több indokolna. 3. oldal TUDOMÁNY ÉS KUTATÁS A fogászati implantológiát évtizedeken elérése vezérelte. kifejezés létrejöttét P. Branemarktól eredeztetik, aki elsőként írta le vitális csontszövet és vele kapcsolatba kerülő titániumból készült eszközök között megfigyelhető... GYAKORLÓ FOGORVOS AJÁNLJA Egy fogpótlás készítéséhez a fogorvos felpuhított viaszba haraptatja pácienst. harapás alapján készített fogpótlás nem csak fogak, a fogpótlás... IRÁNYVONALAK, ALKALMAZÁSOK A Cerec Accept programjának erőteljes szegmense status quo megvitatása. Mindannyian átéltük már, mindannyian éreztük már otthonosan magunkat benne. Velünk nyaralt a remény Új tanulmány szerint a nanorészecskék használata hatékonyabb módszer lehet a fogfehérítésre Anisha Hall Hoppe, Dental Tribune International A dél-koreai Sungkyunkwan Egyebizonyos típusú nanorészecskék lehetnek következő élenjáró megazért nem bíztak bennük, mert azkéről bebizonyosodott, hogy nem a fogfehérítést, és emellett antiremineralizációs tulajdonságokkalben alkalmazzák fogászatban, beleértve fogpótlást, helyreállító fogászatot és parodontológiát. A jelenleg klinikailag használt fogfehérítő szerek, mint például karbamid-peroxid és a hidrogén-peroxid, szabad gyökök keletkezése miatt potenciálisan kóros károsodást okozhatnak. Az áttekintés azt sugallja, hogy a nanorészecskék nemcsak akkor hasznosak, ha fehérítő termékekhez abrázió céljából adják őket, hanem fehérítőszerként alkalmazva még jobban működhetnek, mint meglévő termékek, mivel képesek elősegíteni remineralizációt, oxigénfajokat szabadítanak fel. A keletkező reaktív oxigénfajok oxid és az arany nanorészecskék nanorészecskék viszont hidroxiláttekintés beszámolt szerint hidrogén-perhatást fejtet ki, amikor arany nanorészecskéket használtak, valamint egy másik vizsgálatról, amely kimutatta, hogy az aranylata nem okozott biológiai problémákat vizsgált állatokban. A felülvizsgálat szerzői szerint szükség annak ellenőrzésére, hogy ezek nanorészecskék potenciálisan jelenthetnek-e toxicitási kockáA hosszú hullámhosszú fénnyel amelyről beszámoltak, azt sugallsza szén kompozitja jobb fehérítésiláltak nyilvánvaló toxicitást. Egy hanm-es diódalézerrel aktiválva egy amely titán-dioxid nanorészecskéket tartalmazott, ugyanolyan mértékű fehérítést biztosított, mint egy 35%-os hidrogén-peroxid-oldat. A csoport beszámolt hidroxiapatittal kapcsolatos kutatásról is, amelyről ismert, hogy fogak szilárdságát növeli azáltal, hogy apatitot ad demineralizált zománchoz. Az egyik tanulmány megállapította, hogy hidroxiapatit nanorészecskék fogkrém formájában javították fogak színét, egy másik pedig azt jelezte, hogy a hidroxiapatit nanorészecskéket tartalmazótonságosak. A tanulmány, amelynek címe: „Nanowhitening agents: Progress and perjúnius 15-i számában jelent meg, Forr s: www.dental-tribune.com Kép: Shutterstock/MarcinK3333 B 2022. - XViii é 3. szám The World‘s Dental Newspaper 2022 / XXVI. ÉVFOLYAM – 3. SZÁM A FOGÁSZAT INFORMÁCIÓS MAGAZINJA DENTAL HÍREK ÁRA: 2500 FT PORTRÉ „A tanulási folyamatnak soha nincs vége...” ÚJ GENERÁCIÓ „Csak komplexen kezelek egy problémát...” MED. DENT MED. DENT Kalcifikált felső metszőfog kiszámítható gyökérkezelése 3D-nyomtatott fúrósablon segítségével Szemfog és kisőrlő formázása kismetsző aplázia részárással történő kezelése során 2022 / XIX. ÉVFOLYAM – 3. SZÁM FOGTECHNIKA FOGTECHNIKUSOK SZAKMAI LAPJA ÁRA: 2500 FT Egyedi fogszínkulcsok a CAD/CAM fogpótlások színének meghatározásához A „Majesthetik” csodája – a munkamenet Makó János és Péry Eleonóra interjú –páratlan páros CÍMLAPSZTORI LABORATÓRIUM LABORATÓRIUM A kézművesség tisztelete AKIKTŐL TANULHATUNK 2022 XIX. ÉVFOLYAM – 2. SZÁM A DP HUNGARY TEMATIKUS KIADVÁNYA ÁRA: 2500 FT IMPLANTOLÓGIA INTERJÚ INTERJÚ INTERJÚ „Mindennek az alapja egy tökéletes team megszervezése és működtetése…” Fontos a rendszeres megújulás KERESKEDELMI HÍREK Nézzünk előre! „Én a szakterületek harmonikus együttműködésében hiszek…” Dental Hírek 4 szám/év Fogtechnika 4 szám/év Digitális Fogászat 1 szám/év Dental Tribune 4 szám/év Implantológia 3 szám/év bankkártyás fizetés esetén Szakkönyvek ajándékba! 2023-as éves, mind az öt magazinunkra történő előfizetés esetén választhat fogászati szakkönyveink közül egyet ajándékba 2023 DENTAL PRESS AKCIÓ!
Online magazinok Az előfizetéshez kattintson IDE! 16 újság + 16 e-Journal 45%41 000 Ft helyett 23 500 Ft

KEZELÉS

KOMPLEX ELJÁRÁS, AMELY ÖSSZETETT SZEMLÉLETET KÍVÁN…”

Dr. Windisch Péterrel beszélgettünk életének, munkásságának fontosabb eseményeiről

Dr. Windisch Péter Batthyány-Strattmann László díjas fogorvos, egyetemi tanár, a Semmelweis Egyetem Parodontológiai Klinikájának igazgatója, a Fog- és Szájbetegségek, a Parodontológia, a Konzerváló Fogászat és Fogpótlástan, valamint az Implantológia szakorvosa. A Magyar Parodontológiai Társaság elnöke, a Magyar Implantológiai Társaság vezetőségi tagja. A klinikai orvostudományok területén nemzetközileg elismert sikeres oktató és kutató, sokoldalú közéleti és szakmapolitikai tevékenység fűződik a nevéhez. 1990 óta fogorvosként és szakmai vezetőként dolgozik, jelentős publikációs és szakírói tevékenységet végez.

1982-ben felvételt nyert a Semmelweis Orvostudományi Egyetem Fogorvostudományi Karára. Az egyetemi évek során a fogorvoslás melyik szakterülete keltette fel legjobban az érdeklődését?

A fogorvosi pályát a viszonylagos függetlenség és a gyakorlatias szemlélet miatt választottam, annak ellenére, hogy ebben semmilyen fogorvos ismerős vagy családtag se nem segített, se nem volt példaképem (felmenőim között volt mérnök, tanár, orvos, de manuális szakmájú senki).

Az egyetemi képzés alapjai a Semmelweis Egyetemen mind a fogorvosi, mind az általános orvosi karon azok az alaptárgyak, amelyekben az egyetem a mai napig is nagyon erős: anatómia, biokémia, élettan, molekuláris és mikrobiológia. Nagyjából sejtettem, hogy milyen lesz ezeket a tárgyakat tanulni. Ide lehet még sorolni, más tárgyak között a kórbonctant, kórélettant és gyógyszertant is. Mindezek a tantárgyak olyan stabil orvosi alapismereteket tartalmaznak, hogy az egyetemen igazából nem is lehet velük eleget foglalkozni. Az ember már tanulás közben érzi, hogy ha a tudása itt bármelyik területen hiányos, vagy bizonytalan marad, az később az orvosi gyakorlatban komoly problémákat okozhat. Ezeknek az alaptárgyaknak a tanulása megerőltető volt, de jellegében nem tért el az addigi gimnáziumi tanulmányaimtól. Igazi meglepetést okozott azonban az első találkozás a fogászati szaktantárgyakkal. Fogászati előismeretek nélkül teljesen felfoghatatlan volt, hogy tulajdonképpen mi miért is történik. Emlékszem például a fogpótlástan tantárgyban a rengeteg pozitív/negatív forma minta/lenyomat viszonyaira: eleinte nehezen tudtam elképzelni ezek értelmét.

8 e-Journal IMPLANTOLÓGIA
„A PARODONTOLÓGIAI
ÁLTALÁBAN

Ennek megfelelően a gyakorlati képzés vizuális segédanyagok nélkül nem volt elég gyakorlatias, nem lehetett látni, megérteni az összefüggéseket.

De ma már ez megváltozott, az oktatás szemléltetése kulcsfontosságú lett.

Hosszú út vezet oda – velem legalábbis így volt, bár lehet, hogy ez másokra is vonatkozhat –, és csak évekkel később válik érthetővé, hogy azok a fogászati, gyakorlati lépések, amelyeket az egyetemen tanulunk és tanultunk, tulajdonképpen a hibalehetőségek kiküszöböléséről szólnak. Rengeteg szék mellett eltöltött idő után válik csak világossá, hogy a gyakorlati lépésekben mi az, ami mérföldkőnek számít. Ugyanakkor letisztul az is, hogy mi az, ami lényegtelen vagy túl bonyolult dolog volt – esetleg egy elavult, vagy akkor még megkerülhetetlen technológia miatt.

Talán csak a sebészet az egyetlen olyan szakterület, ahol az általános orvosi szemlélet a fogakkal kapcsolatos ismeretektől függetlenül, egyszerűen alkalmazható. Úgy gondolom azonban, hogy a valódi sebészeti ismeretekhez általános orvosi diploma is szükséges.

Hozzám minden bizonnyal a szájüregi kórképek gyógyulási képessége és bizonyos szájbetegségek kezelése/gyógyíthatósága állt legközelebb az egyetemi évek alatt. Ennek megfelelően már akkor is leginkább a parodontológia keltette fel az érdeklődésemet.

1987-ben fejezte be az egyetemet. Hogyan alakult utána az élete, merre indult „friss” diplomával a zsebében?

1987 gyakorlatilag még a régi világ utolsó olyan éve volt, vagy azok közé volt sorolható, amikor egy merev rendszer szerint kaptunk állásajánlatokat. Egész pontosan nem is voltak pályázható állások, hanem kiírtak egy, legfeljebb két budapesti állást, amelyeket aztán elvileg csak az évfolyamelső, vagy más szempontból évfolyamelsőként kezelt végzősök pályázhatták meg úgy, hogy esélyük is volt a sikerre. Ezt az egy vagy két, pályakezdők számára kiírt budapesti állást igyekezett mind a hetvenhat Semmelweis Egyetemen végzett friss fogorvos megpályázni.

Akkor azt gondoltam, hogy talán egy Pest közeli helyre helyettesítéssel azért el tudok jutni, hiszen a diplomám eredménye alapján nem az utolsók között végeztem. Az évfolyamon öten kaptunk egyetemi ajánlást, amelyet az első helyeken végzettek egy esetleges egyetemi állás betöltésére

kaptak, de ilyen egyetemi státusz nem volt. Így jellemzően mindenki helyettesítésekkel, különböző „kiskapukkal”, Budapest közelében elhelyezkedve próbált előbb vagy utóbb visszakerülni a fővárosba egy, már nem a pályakezdők számára meghirdetett munkahelyre.

Nagyon érdekes utólag, hogy „Budapest közeli hely” címén nekem egy záhonyi fogorvosi állást sikerült elintézni. Családi kapcsolatainknak köszönhetően Budapesttől a lehető legmesszebbre, több mint 300 km-re kezdtem el dolgozni. Ez szerencsére nem tartott sokáig, „hála” a kötelező sorkatonai szolgálatnak, mert a szeptemberben megszerzett friss állásomat október közepén már egyéves sorkatonai szolgálatra cserélhettem. Katonai szolgálatom idején a közöttünk évfolyamelsőként végzett Hermann Péter próbált segíteni, ő ajánlott a Parodontológia Osztály akkori vezetőjének. Sallay Kornélia egy hirtelen megüresedett állásra keresett pályakezdő fogorvost az osztályára. Ehhez szerencsére a végzéskor kapott egyetemi ajánlás is jól jött. Így lett állásom a Szájsebészeti Klinikán: a sorkatonai szolgálat kitöltése után végre sikerült igazán elhelyezkednem.

Természetesen a Szájsebészeti Klinika – mivel a mai Parodontológiai Klinika akkor még csak ennek egy osztálya volt – állandó ügyeleti rendszerben látta el a budapesti, éjszakai ambuláns és fej-nyak-sebészeti ügyelet szájsebészeti részét is. 1988 októberében kezdtem meg munkaviszonyomat, és emlékszem, hogy két hónappal később, december 24-én már engem jelöltek felvételes orvosnak, ami számomra több volt, mint kihívás. Borzasztó rettegéssel töltött el, hogy fej-nyaki sérültek bármilyen akut ellátását én lettem volna hivatott végezni. Ez az érzés azonban sokat segített, hogy fogorvosi diplomával a zsebemben a saját korlátaimat, lehetőségeimet és képességeimet jobban megismerjem, és a szakmák alá-fölé rendeltségi szintjét is átérezhessem. Véleményem szerint egy általános orvos és egy fogorvos között ténylegesen van egy szakmai határ. Ezt az akkori ügyeletekben nagyon is megértettem, megtapasztaltam, pl. amikor súlyosabb sérült ambuláns beavatkozást, vagy pedig a nagyműtőbe bejutva, egészen más mélységű műtéteket láttam. Saját korlátaink ismerete minden fogorvosnak nagyon is „illő és üdvös” lenne. Azóta is hálával tekintek azokra a képzett, idősebb szájsebészet klinikai kollégákra, akik engem segítettek, tanítottak.

A fent említettekből megismerve határaimat és képességeimet, fokozatosan olyan fogsebészeti esetek kezdtek érdekelni a klinika Parodontológiai Osztályán, amelyek vagy dentoalveoláris jellegű, vagy később kifejezetten parodontológiai, tehát ambulánsan elvégezhető, lokális érzéstelenítésben zajló fogászati műtétek voltak.

A 80-as évek vége nagy változást hozott, amikor az 1945-től fennálló, meglehetősen merev, felülről irányított rendszert egy új, lényegesen nyitottabb, látszólag külső korlátok nélküli struktúra váltotta fel. Ez az új szisztéma egy szabadabb, több opciót kínáló értelmiségi fejlődésnek is teret adott. Ilyen volt például az a lehetőség, hogy végre külföldi kongresszusi részvételt vagy egyénileg szervezett tanulmányutakat is szervezhessünk magunknak. Hihetetlen érdekes volt külföldön kurzusokat, képzéseket és nagy, magával ragadó előadókat látni. Ezzel együtt egy új, addig ismeretlen, számomra nagyon vonzó parodontológiai szakterület bontakozott ki: a regeneratív parodontális sebészet. Ennek az első úttörői Nyugat-Európában, baráti légkörben, anyagi ellen-

9 VI. ÉVFOLYAM – 2023. 4. SZÁM

szolgáltatás nélkül próbálták a véleményüket, kutatásaikat és ezek eredményeit közreadni, új sebészeti módszereiket bemutatni, továbbá a gyakorlati alkalmazásukat népszerűsíteni.

1997 óta a Parodontológiai Klinika a „második otthona”. Az itt töltött évek során milyen út vezetett az igazgatói kinevezéséhez?

Az új, regeneratív eljárások és a külföldre szervezett egyéni utak nagyon tanulságosak voltak. Akkor nem tudtunk még támogatást kapni. Amikor a klinikán megtudták, hogy külföldi tanulmányutakat tervezünk, először egyedül, majd dr. Kemper Róberttel, senki semmiben sem gátolt, sőt bátorított, ezt utólag is nagyon értékelem. Újabb külföldi tanulmányútra készülve, mindenki ajánlott lehetőségeket, mit érdemes megnézni, vajon merre lehetne szakmailag tovább gondolkodni. Inspiratív volt a légkör a Szájsebészeti Klinikán és a Parodontológiai Osztályon is. Gera professzor úr amerikai tapasztalatai, újszerű szemlélete is nagyon motiváló volt. Általánosságban érződött, hogy egy szájsebészeti intézetnek sokkal többirányú az érdeklődése, mint csupán a szűk szakterülete. Egyáltalán nem voltak behatárolva az egyéni lehetőségek, hogy ki milyen szakterületen képezheti magát, merre induljon el.

A 90-es évek külföldi útjainak lett az eredménye, hogy sikerült egy új kutatási területet kialakítanunk a dániai Århus-ban, együttműködve Karring professzor ottani posztdoktori diákjaival, például Anton Sculean -nal, aki azelőtt a budapesti egyetem hallgatója volt. Antont itt még mint gyakorlatvezetője ismertem meg, de ő azóta már a Berni Egyetem tanszékvezető professzora Svájcban.

Århusban közös humán kísérletsorozatot terveztünk, ami 1996-ban, az első etikai engedéllyel kezdődött el. Ezeken az egymást követő kutatásokon dolgoztunk közel másfél évtizedig, vagy talán még tovább is. Különböző regeneratív anyagokkal elért eredményeink, továbbá az eközben alkalmazott műtéti eljárásokból írt publikációk képezték az alapját a saját tudományos munkámnak is. Ez egy nagy, többfázisú, kiterjedt kutatómunka volt, amelynek a lényege a regeneratív lehetőségek anyagtól függő vagy anyagtól független feltérképezése és egyes adott szövetek olyan újraépítése vagy gyógyítása volt, ahol az eredeti szövetekkel közel azonos morfológiájú és funkciójú szövetek tudnak majd kialakulni.

Munkánk lényegét, vagyis a valódi változások igazolását a betegekről a regeneratív műtétek után levett szövettani minták szolgáltatták, amelyek a betegekben bekövetkezett gyógyulás mértékéről, milyenségéről tanúskodtak. A később megírt PhD dolgozatomnak is ezek a vizsgálatok adták az alapjait. Valójában addigra, a tézisek benyújtásáig már messze több publikációm született az eredményeinkből, mint amennyi egy PhD disszertáció összeállításához szükséges lett volna.

Több mint 30 éve rendkívül sok szinten oktatói tevékenységet is végez. Lehet rangsorolni egyáltalán, hogy oktató munkájának mely területét érzi a legfontosabbnak, illetve melyik áll legközelebb Önhöz?

Fiatal pályakezdő orvosként nekem igen nagy kihívást és nehézséget jelentett a közel velem egykorú, vagy csak egy-két évvel fiatalabb, már majdnem végzett orvosoknak gyakorlatokat tartani, a betegeken kezeléseket bemutatni. Az első megmérettetés tehát a gyakorlatok megfelelő vezetése és irányítása volt. Mostanáig hasznosnak tekintem, hogy betegek didaktikus kezelését mások előtt, vagy a kezelés részlépéseire orvostanhallgatókat bevonva, őket irányítva kell a beteg és a hallgató részére egyaránt hatékonynak és meggyőzőnek lenni.

Később, előadásokon azt éreztem, hogy a meggyőző képesség és a kézzelfogható tudás átadásának a képessége fontos egy szélesebb hallgatóközönség számára is. Sajnos a mi generációnk nem lett megfelelően felkészítve a külföldi kongresszusokon történő szereplésre. Retorikai, idegen nyelvi előadói hiányosságaink, hiányzó önbizalmunk nem tette lehetővé, hogy idegen szakmai fórumokon rutinos előadókká válhassunk.

Az oktatás helyét idővel egyre jobban a saját kutatási témám művelése, az újra képződő szövetek mennyiségének, minőségének vizsgálata, továbbá az ilyen irányú gyakorlati tapasztalatok megszerzése vette át. Számomra ez egyre érdekesebbnek bizonyult, és ez az érdeklődésem a mai napig töretlenül fennmaradt. Úgy érzem, hogy ebben a témakörben megannyi kérdés továbbra is nyitott a betegek megfelelő kezelése szempontjából. Ennek megfelelően, ezeknek az ismereteknek a megszerzése, a kellő rutinból levonható öszszefüggések, következtetések megfogalmazása és átadása a graduális oktatás helyett, valójában a posztgraduális okta-

10 e-Journal IMPLANTOLÓGIA
A gyakorlatvezetés, ha kellő beleélési képességgel és a hallgatók motiválásával történik, közvetlen sikerélményt ad. Ezt a mai napig nagyon fontosnak tartom!

tásban értelmezhető és teljesíthető ki igazán. Hozzátenném azonban, gyakran érzékelem, hogy azok az esetek, amelyeken a problémafelvetést vagy a megoldást szeretném bemutatni, nem feltétlenül érthetőek az alapképzésben részt vevő hallgatók számára. Ezek a kérdések inkább a posztgraduális oktatásban résztvevőknek érdekesek. Valószínűleg ez több mint 30 év távlatából rendjén is van így. Szerencsés esetben az oktatás piramisszerűen épül fel. Ma már nem a graduális oktatásnak kellene a fő működési területemnek lennie. Számos külföldi szereplés után sikerül képet alkotnom, hogy mi számít fontosnak a szakmán belül, és mi az, amire mindig érdeklődés jelentkezik, akár teljesen más rendszerben, más kultúrkörben szerzett diploma esetén is. Ezekből a tapasztalatokból lehet igazán gyakorlati szempontból látni, hogy a parodontális kezelésben oktatható szinten is mi számít igazán fontosnak, átadható tudásnak. Ha van ilyen üzenet, a letisztult ismeretek egyre kevésbé igénylik a szereplési képességet, előadói tehetséget, az előadott anyag önmagában is hat. Az itthoni előadások, tantermi órák is változatlanul fontosak, elszomorít azonban, amikor azt tapasztalom, hogy egy külföldön sikerrel megtartott előadás itthon csak egykét hallgató előtt zajlik.

2003-ban szerezte meg PhD fokozatát, melynek témájáról, kutatómunkájáról részben már hallhattunk. A későbbiekben folytatódtak ezek a kutatások?

A PhD értekezésem alapját a fent említett kutatások adták, amelyek a regeneratív műtéteket követő szöveti gyógyulást vizsgálták a humán hisztológia tükrében. Addigra már Anton Sculean-nal közösen számos – a PhD tézisek követelményein túlmutató, impact faktorban mérve azoknál már fajsúlyosabb – publikációnk jelent meg. Ezekben én főleg a gyakorlati tapasztalatokat, a betegkezelésekből leszűrhető, tényszerű változásokat értékeltem, Toni pedig az elméleti, tudományos távlatokat elemezte, és a kutatásunk következő feladataira való továbblépésre összpontosított.

A PhD kutatások nem fejeződtek be a disszertációm megszületésével. A védésem után tovább folytak a kutatások, újabb gyakorlati, klinikai hangsúlyú publikációk születtek, és így tovább bővült a publikációs listám is. Később ez a kutatássorozat adta a habilitációs dolgozatomnak az alapját.

Napjainkban a fogászat mely szakterületének a kérdései, megoldási lehetőségei foglalkoztatják elsősorban?

Természetesen a kutatási érdeklődésem ma sem csökken, sőt egyre inkább klinikai problémákra vagy gyakorlati, kezelési szempontból jelentős esetekre keresem a választ. Mit lehet gyorsabban, egyszerűbben vagy akár komplikáltabban, több lépcsőben, de biztosan, lépésenként felépítve, a lehetőségekhez képest a beteg saját fogaira építkezve elvégezni, és ezzel elérni, hogy ideális gyógyulást biztosítsunk?

A parodontológiai kezelés általában komplex eljárás, amely összetett szemléletet kíván: a konzerváló fogászati kezelés, a gyökérkezelés, az egyedi fogászati restauráció, a fogpótlástani nagyobb rehabilitációk, orthodontiai kezelések, szájsebészeti és parodontológiai beavatkozások, valamint elő- és utókezelések egymásra épülő rendszere. Ezen belül minden gyakorlati rész, lépés változatlanul érdekel.

Sajnos, még mindig aktuális probléma – hiszen a betegek általában későn kerülnek orvoshoz –, hogy a gyulladásos fog-

betegségek kezelésének eredményét hogyan lehet viszonylag egyszerű eszközökkel, 20-30 éven keresztül is fenntartani, ténylegesen gyógyult állapotot elérni.

Úgy látom, hogy a mai gyakorló fogászatban kényszerűségből még mindig a protetika dominál: a kemény és lágy szövetek egészségének együttes helyreállítási lehetőségeit még nem ismerjük kellően. Szerintem ezek a modern, regeneratív fogászati kezelés fontos kérdései. A rózsaszín-fehér esztétikum javításának kulcsa a rózsaszín esztétikum javulása, a fogíny gyógyulása lesz, és ezzel a végső ellátás is sokkal egyszerűbb fogpótlástani korrekciót igényel majd. Remélhetőleg ezzel a fogpótlás egyre inkább a páciens saját fogaira, esetleg implantátumokra építkezhet, a kemény és lágyszöveti kedvezőtlen adottságokat nem a fogpótlástan feladata lesz kompenzálni, pl. műínnyel.

Ma már a Parodontológiai Klinikán habilitációk és PhD-k sorozata mutatja, hogy válaszokat keresünk ezekre a gyakorlati problémákra, és új klinikai megoldásokból sematikusan reprodukálható kezeléseket tervezünk. Az eredményeket összehasonlítjuk kontrollként más műtéti beavatkozásokkal, és az így kapott adatokat publikáljuk. A pusztán elméleti jellegű kérdések vizsgálata nem csak számomra, de azt gondolom, hogy az egész klinika számára is az érdeklődésünktől valamivel távolabb helyezkedik el.

Rendkívül sokoldalú közéleti tevékenységet végez. Felsorolni is nehéz lenne, milyen fórumokon, különböző hazai és nemzetközi szervezetek munkájában vesz részt. Nem lehet könnyű a rangsorolás, de ezek közül melyik területet érzi a legfontosabbnak, illetve a lehetőségeihez mérten a leghatékonyabbnak?

Miután tanszékvezető lettem, igen nagy lelkesedéssel próbáltam a lakosság számára a fogápolás, illetve az egészséges száj megőrzésének a jelentőségét hangsúlyozni a rádióban és a televízióban. Igyekeztem kidomborítani, hogy hány fogászati kezelés lenne elkerülhető, ha a páciens jobban odafigyelne a helyes szájápolásra. A rendszeres fogmosás, szájápolás sokszorosan számít, hiszen nem biztos, hogy bármilyen, akár ideális minőségben is elvégzett fogászati beavatkozás ugyanazt a funkciót, esztétikumot tudná biztosítani, mintha az eredeti szövet egészségét őriztük volna meg. A gyulladásos fogászati betegségek elkerülése, időbeni feltérképezése, a korai felismerés és a prevenció nagyon nehezen tanítható és értelmezhető hozzáállás az egész magyar lakosság számára, ami sajnos fölöttébb nehezen változik. A fiatal fogorvos kollégák már sokkal nyitottabbak, fogékonyabbak a parodontológiai kérdésekre. Ők már jobban átérzik az egészséges fogágy jelentőségét, de ez sajnos a lakosság többségéről még nem mondható el. A népszerűsítő feladatoknak, közéleti szerepvállalásoknak ezért nagyon nagy a jelentőségük. Rendkívül fontos lenne egyszerűen és közérthetően elmagyarázni a helyes szájápolást, továbbá az egészséges szövetek megőrzésének jelentőségét a lakosság, az átlagemberek számára.

Az oktatáson, kutatáson kívül a betegellátás is rendkívül fontos része az életének. A gyógyító munkájának rendkívül „sűrű” hétköznapjai hogyan telnek?

Gyógyító munkát végzek mindennap, amióta az egyetemet elvégeztem. Mind a gyógyító, mind a mindennapi kutatói

12 e-Journal IMPLANTOLÓGIA

és gyakorlati munkám a betegeim panaszainak ellátásából áll: az időm legnagyobb részében ezt végzem a klinikán és a magánpraxisomban is.

Az általam kialakított kezelési modellek jelentősen merítenek a praxisomban elvégzett műtétek és magas szintű egyéni beavatkozások eredményeiből, tapasztalataiból és viszont: ezek a módszerek szervesen táplálkoznak az egyetemi kutatásokban szerzett eredményeinkből. Az egyetemi tág szakmai fórumon és az ottani innovatív kutatási lehetőségekből szerzett tudás, kiegészítve a magánpraxisban adott önállósággal és tervezhetőséggel, sokkal mélyebb következtetések levonására ad lehetőséget. A gyakorlati tapasztalat, kombinálva a napi rutinnal és a letisztult egyetemi látásmóddal, sokat segített a fogorvosi fejlődésemben. A már kiforrott kezelési módszerek más orvosok posztgraduális oktatásba is beilleszthetők, és kurzusokon is lehet tanítani őket.

Az évek során több helyen és többféle módon elismerték munkájának értékét. Megkapta a Körmöczi pályadíj első fokozatát (1999), a Kiváló TDK-nevelő elismerést (2013), majd 2020-ban a Batthyány-Strattmann László díjat. Ezt a kitüntetést csak olyan személyek kaphatják, akik az egészségügyben hosszú évtizedeken át kiemelkedő teljesítményt nyújtottak. A díj átvétele után melyek voltak az első gondolatai?

Úgy érzem, számomra ezek a díjak nem pontosan ugyanazt jelentik, mint mások számára. A délelőtt és délután betegkezeléssel eltöltött idő például a magánélet kárára is zajlik. Talán létezik olyan elismerés, amely különösen közel állhat valakinek a habitusához, aránytalan életviteléhez.

Amikor akár az egyetemen, akár a magánrendelőben dolgozom – de nem otthon vagyok –, az érdeklődésemet kizárólag az tölti ki, hogy a betegek konkrét problémáiban hogyan lehetne jobbat, kedvezőbbet nyújtani. Munkaidőm nagy részében, a páciensek panaszait hallgatva, rajtuk próbálok segíteni. Minden esetben igyekszem a lehetőségekhez képest a legtökéletesebb eredményt és a legteljesebb gyógyulást elérni, ha kell, akár többéves kezeléssorozat árán is. Külön örömmel tölt el, ha a végeredmény funkcionálisan és esztétikailag is tükrözi a beteg elvárásait.

Ezek fényében úgy érzem, hogy a betegekért végzett munka és erőfeszítés alapján a Batthyány-Strattmann díj ezt a szemléletet tükrözi, ezért áll hozzám közel. Amíg a munkámat végzem, szeretnék a díj névadójához legalább részben felnőni.

Az igen zsúfolt hétköznapok mellett jut idő a családjára, a közös programokra?

Sajnos a fent említett feladatok mellett a családomra leginkább csak a hétvégéken, illetve családi utazásokon jut időm. Minden évben igyekszünk együtt elmenni síelni, nyáron pedig sok időt töltünk a Balatonnál. Feleségemmel öt gyermekünk van, akik közül a legidősebb fiú először Angliában, most pedig a Semmelweis Egyetem Általános Orvosi Karán, a második lányom pedig a Fogorvosi Karon tanul. A legidősebb lányom Amerikában végzett egyetemet, gazdasági tudásával nagyon sokat segít nekem, a legkisebb lányom pedig az édesanyját követi a jogi pályán. A másik fiam, a legkisebbik még gimnazista, emellett versenyszerűen vízilabdázik. A választásban mindenki teljesen szabad kezet kapott, de jólesik, hogy ketten is az orvosi pályát választották.

Professzor Úr! Köszönöm ezt a sok információt adó beszélgetést! Kívánjuk, hogy eddigi szándékának megfelelően, a lehetőségekhez képest „a legtökéletesebb eredményt és a legteljesebb gyógyulást” továbbra is érje el a betegeinél!

14 e-Journal IMPLANTOLÓGIA
2023. OKTÓBER 12-13-14. „Találkozzunk Európa fogászati eseményén Budapesten dentalworld.hu

Vegye meg most kongresszusi jegyét Ultra Early Bird kedvezménnyel!*

1 témakörű kongresszus: 50 000 Ft

(esztétika, implantológia, endodontia, orthodontia) – Teljes ár: 100 000 Ft

All access: 75 000 Ft

(mind a négy témakörű kongresszusra belépést biztosít) – Teljes ár: 150 000 Ft

*A kedvezmény 2023. április 15-ig érvényes.

DENTAL
XXIII.
WORLD
Dr. Giovanni Olivi Olaszország Danielle Rondoni Olaszország Dr. Marco Mailonio Olaszország Dr. Francesco Amato Olaszország Dr. Andres Pascual Spanyolország Dr. Peter Vaughan Ausztrália Dr. Matthew Vaughan Ausztrália Dr. Joseph Choukroun Franciaország Dr. Nuno Pinto Portugália Dr. Giedré Kobs Litvánia Prof. dr. Mutlu Özcan Svájc Dr. Mile Churlinov Észak-Macedódina Dr. Ruth Perez Alfayate Spanyolország Dr. Maciej Czerwiński Lengyelország Dr. Andrea Franzo Olaszország Dr. Filipa de Almeida Portugália

4-ES TÍPUSÚ IMPLANTÁTUMBEÜLTETÉS EGYÉNI ÍNYFORMÁZÓVAL

Egy teljesen digitális protetikai munkafolyamat

Bevezetés

Az implantáció egy biztonságos és megbízható módszer a hiányzó fogak pótlására. Az elmúlt néhány évben az implantológia jelentős fejlődésen ment át a bioanyagok, a kezelési technikák, illetve a kapcsolódó fogászati eszközök terén. Az implantológia digitalizációja is kiemelkedő előrelépéseket mutat. A fogorvos már a műtét elvégzése előtt képes előre megtervezni

és vizualizálni a kívánt eredményt, ezáltal hatékonyabb az orvos–páciens közötti kommunikáció, illetve a páciens könynyebben dönt a kezelés mellett. A kiszámíthatóság javításának másik szempontja, hogy a kezelés tervezése során kiemelt jelentőséget tulajdonítsunk a lágyszöveteknek. Az implantátumbeültetés hosszú távú sikere számos tényezőtől függ, többek között az implantátum körüli szövetek egészségétől. Mindent meg kell tenni a megfelelő implantátum körüli zárás érdekében. A következő esetleírás a lágyszövetmenedzsment és a teljesen digitális protetikai munkafolyamat kombinációját mutatja be 4-es típusú implantátumbeültetés során.

Preoperatív helyzet

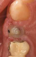
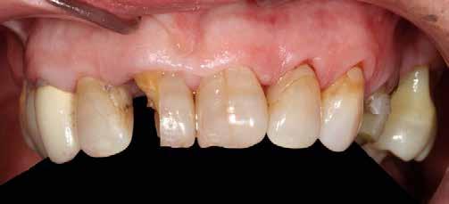
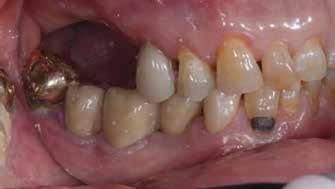
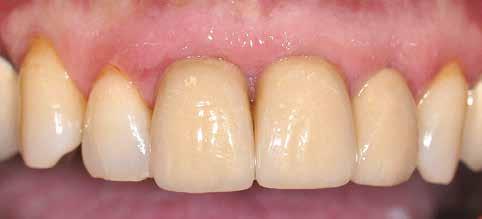
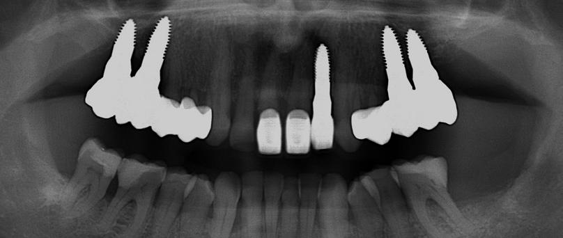
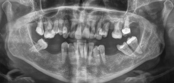
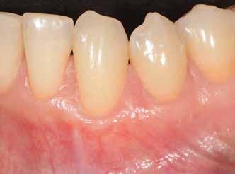
Egy fiatal páciens jelentkezett nálunk, akinek eltörött a szabad véggel rendelkező hídja (1. ábra). A hiányzó, első premoláris fog esetén implantációs pótlást javasoltunk. A csontállomány értékeléséhez CBCT-vizsgálatot végeztünk, és az elemzéséhez NNT Viewert (NewTom) használtunk, és copaSKY 4×10 mm-es (bredent medical) implantátumot választottuk a fog pótlásához

18 e-Journal IMPLANTOLÓGIA
Dr. Nagy Pál
1 3 4 5 6 7 2
1. ábra: Műtét előtti fogászati panorámafelvétel, amelyen a hiányzó felső állcsont jobb első premolárisát és a szabad véggel rendelkező hidat láthatjuk. — 2. ábra: Az implantátum méreteinek megtervezése CBCT-vel. 3. ábra: Bukkális lágyrészdefektus. — 4. ábra: A biológiai szélesség értékelése a vertikális lágyszövetvastagság alapján. 5. ábra: Palatinális „tekercslebeny” – Palatal roll flap. — 6. ábra: Bredent medical copaSKY 4x10 implantátumbeültetés. 7. ábra: Szubkresztális implantátumbeültetés a várható biológiai szélességnek megfelelően.

8. ábra: Egyéni ínyformázó titánbázison, tulipán alakú emergenciaprofillal. — 9. a. ábra: A sebzárás okkluzális nézete.

bukkális nézete.

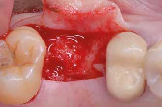
(2. ábra). A lágyszövetek értékelése Seibert szerinti I. osztályú csontdefektust állapított meg (3. ábra), ezért a beavatkozáskor palatinális „tekercslebenyt” preparáltunk (palatal roll flap), és implantációt végeztünk, hogy kompenzálni tudjuk a bukkális lágyszövet-behúzódást. Megmértük a vertikális lágyszövetvastagságot, és úgy terveztük, hogy a szubkresztális implantátum beültetése összhangban legyen a biológiai szélesség kialakulásával a transzgingivális gyógyulási periódus alatt (4. ábra)

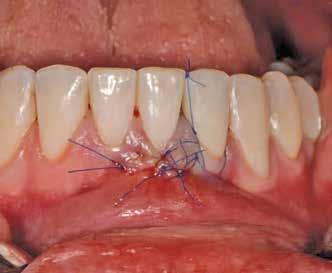
Sebészeti eljárás

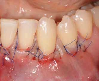
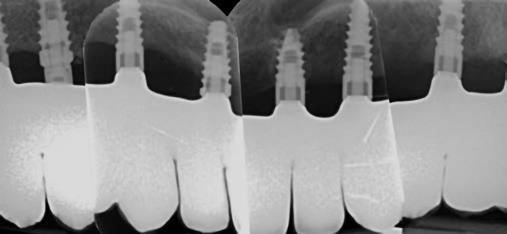
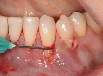
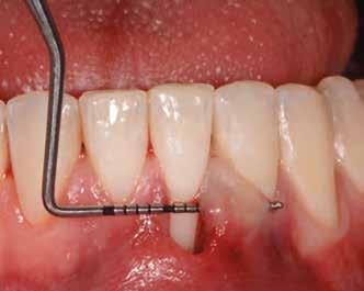
Az eljárást helyi érzéstelenítés mellett végeztük (4%-os articaine-hidroklorid 1:100 000 adrenalinnal). Papillakímélő, U alakú palatális bemetszést végeztünk, teljes vastagságú nyálkahártyalebeny preparálás történt, a lebenyt bukkálisan feltekertük (5. ábra). A lebeny bukkálisan feltekert részén de-epitelizációt végeztük el, amellyel kompenzálni tudtuk a bukkális lágyszöveti defektust. Szakaszos előfúrást végeztünk, és a bredent copaSKY 4x10 implantátumot 30 Ncm behajtási nyomatékkal helyeztük be (6. ábra). Az implantátumot 1 mm-re szubkresztálisan helyeztük be, hogy később szélesebb emergenciaprofilt tudjunk kialakítani (7. ábra). Az egyedi ínyformázó úgy készült, hogy kompozitot vittünk fel a titánbázisra, és így formáztuk a lágyszöveteket a transzgingivális gyógyulási fázis során (8. ábra). Az egyéni ínyformázó tulipán formájú, hogy kialakítsa a kívánt emergenciaprofilt. A lágyszövetet feszülésmentesen zártuk #6/0 nem felszívódó, monofil fonallal (Optilene, B. Braun Deutschland; 9. a–b. ábra). Posztoperatív röntgenfelvétel készült, ami alapján az implantátum a szomszédos fogakkal párhuzamos elhelyezést mutatott (10. ábra). Posztoperatív utasításokat adtunk a páciensnek a műtéti terület körüli szájhigiénia fenntartása érdekében. A beavatkozást követő egy héttel a varratokat eltávolítottuk, és a kezelt terület kielégítő gyógyulást mutatott (11. ábra). A 4 hónap utáni késleltetett terhelést a páciens kívánsága szerint terveztük.

Protetikai eljárás

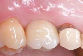
A teljesen digitalizált protetikai munkafolyamat során az Exocad szoftver segítségével (exocad) egy hibrid, csavarrögzített, cirkónium monolit koronát gyártottunk le copaSKY

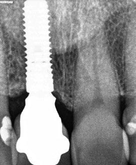
10. ábra: A műtét utáni radiológiai felvétel.

11. ábra: Varrateltávolítás egy hét után, kielégítő gyógyulás látható.

12. a. ábra: Biológiai szélesség 5 mm.

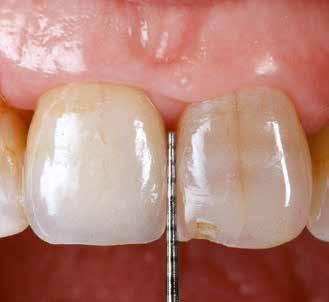
12. b. ábra: Okkluzális nézet négy hónappal a műtét után, amely megfelelő bukkális lágyszövetvastagságot mutat.

13. ábra: Négy hónap elteltével a szájüregben látható marginális zenit megmaradt.

14. ábra: Egészséges implantátum körüli lágyrészgallér.

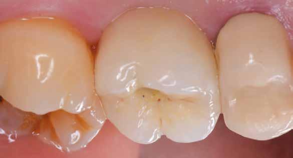
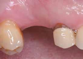
uni.fit titánalapra (bredent medical). Az implantátum körül a bukkális lágyszövet megfelelő vastagságot és kedvező ínykontúrt mutatott (12. a–b. ábra). Az egyedi ínyformázó eltávolítása után egészséges implantátum körüli lágyrészgallér

19 VI. ÉVFOLYAM – 2023. 4. SZÁM
9. b. ábra: Feszülésmentes zárás
8 9a 9b 10 12a 13 11 12b 14

értünk el (19. ábra). Az okkluzális nyílást tefloncsíkkal és kompozittal zártuk (20. ábra). Mindezek után, posztoperatív kontroll röntgenfelvétel készült, amely a pótlás megfelelő illeszkedését mutatta (21. ábra). A hat hónapos utánkövetés során jól megfigyelhető a teltebb lágyszöveti profil és a megtartott kresztális csontszint (22–24. ábra)

Megbeszélés

17.

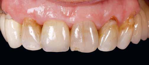
koronán végzett korrekció. A marginális íny és a PMMA „pszeudo–zománc–cement” határa között minimális rést látunk. Ennek az az oka, hogy a lágyrész már összezsugorodott az ínyformázó eltávolítása és az első vizsgálat elvégzése között. Ezt a technikus könnyen korrigálta a korona megnagyobbításával.

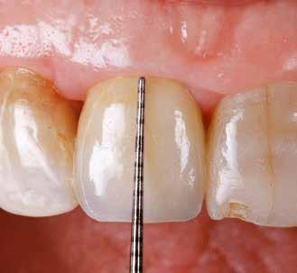
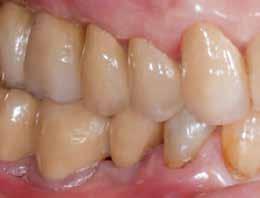
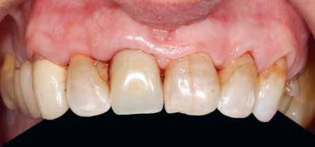
volt megfigyelhető (13–14. ábra), ezen kívül közvetlenül a műtét előtt intraorális vizsgálatot végeztünk a lágyszöveti profil megállapítása érdekében. Ezt követte a scanbody behelyezése, így digitális lenyomat készült az implantátum pozíciójáról (15. ábra). Ugyanezzel a technikával rögzítettük az antagonista fogívet és a harapást is. Az így kapott STL-fájlokat digitálisan továbbítottuk a fogtechnikai laboratóriumba. A titánalapra PMMA ideiglenes koronát készítettünk a proximális és marginális illeszkedés ellenőrzése érdekében, valamint a megfelelő harapás elérése céljából (16–17. ábra) Miután az összes igazítás elkészült, ismételt vizsgálatot végeztünk. A végleges hibrid csavarrögzítésű, teljes kontúrú cirkóniumkoronát titánalapon erősen polírozott szubgingivális résszel készítettük el, és 25 Ncm nyomatékra húztuk (18. ábra). Kiváló árnyalategyezést és klinikai eredményt

A késleltetett implantátumbeültetés egyik kihívása az extrakció utáni gerincatrófia kompenzálása. A horizontális és vertikális csontveszteség mértéke a foghúzást követő két éven belül akár a 60%-ot is elérheti, nagy része a foghúzást követő első hat hónapjában következik be [2]. A jelen esettanulmány egy kiszámítható lágyrészkezelési technikát mutat be, amelyet egyidejű implantátumbeültetéssel végeztünk. Módosított palatális „tekercslebeny” (rollflap) technikát alkalmaztunk a bukkális defektus kompenzálására és a megfelelőbb lágyszöveti kontúr elérése érdekében. A szabad szubepitheliális kötőszövet a grafttal ellentétben, a nyeleslebenynek köszönhetően nemcsak a gerincvolumennek jelent jobb vaszkularizációt, hanem megvastagítja a felszabadított implantátum körüli marginális gingivát is. A biotípus váltás vastagabb implantátum körüli nyálkahártyát hoz létre, és stabilabbá teheti a periimplantáris szöveteket [3]. Ez a megközelítés azért is előnyösebb, mivel nincs második donorterület, vagy nyílt seb, amely további fájdalmat és kellemetlenséget okozhatna a páciensnek a gyógyulási szakaszban. Mivel az implantátum beültetésével egyidejűleg történik, elkerülhető a további lágyszövet-augmentációs műtét. Ez javítja a páciens kényelmét és pozitív fogászati élményt biztosít. Szubkresztális implantátumbeültetést alkalmaztunk a transzgingivális gyógyulás során bekövetke-

20 e-Journal IMPLANTOLÓGIA
15. ábra: Az intraorális szkennelést több lépésben végeztük, hogy regisztráljuk az íny lefutását, illetve a scanbody segítségével meghatározzuk az implantátum pozícióját. 16. ábra: Az elkészült ideiglenes PMMA korona.
16 17
ábra: PMMA

ző biológiai szélességnövekedés kompenzálása érdekében. Nagyon fontos a szuprakresztális lágyszövet vastagsága az implantátummal történő pótlás körül, mivel ez közvetlenül befolyásolja az implantátum körüli zárást, és végső soron a terápia hosszú távú sikerét. Az implantátum körüli csont és lágyszövet közötti kapcsolat megsértése lehet az egyik oka a korai kresztális csontvesztésnek [4]. Az implantátum körüli marginális csontvesztés egyrészről befolyásolhatja a hosszú távú esztétikai eredményt a csontvesztést követő ínyreceszszió miatt, illetve a későbbi implantátum körüli fertőzés kezdeti kiváltó tényezője lehet. Az egylépcsős, transzgingivális protokoll kiszámíthatóbb a kétlépcsős technikához képest, mert olyan előnyökkel jár, mint például kevesebb időt tölt

az orvosi székben a beteg, illetve érettebb lágyszövet alakul ki, mivel nincs szükség további sebészeti beavatkozásra [5]. Ami a transzgingivális gyógyulást illeti, az egyedi ínyformázó előnyösebb a végleges helyreállításhoz szükséges kedvező lágyszöveti profil elérése érdekében. Az elvesztett foghoz hasonló architektúra kialakítása a marginális gingiva szintjén, valamint az implantátum felé szűkülő emergenciaprofil segítik ennek elérését. Az egyedi ínyformázó fő előnye az előre kialakított ínykontúr, amely meghatározza a jövőbeli pótlás helyes megjelenési profilját, olyan esetben, amikor az azonnali ideiglenes pótlás nem lehetséges [6]. Összefoglalva, az alábbi esettanulmányban alkalmazott lágyszövet-kezelési eljárások a következőket tartalmazzák:

21 VI. ÉVFOLYAM – 2023. 4. SZÁM
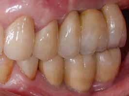
18. ábra: Végleges, hibrid, csavaros rögzítésű, monolit cirkóniumkorona titánalapon, fényezett ínygallérral.
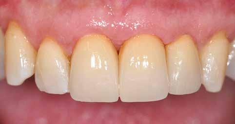
ARANY MUNKÁIT RENDELJE MEG A SCHULZE LABORTÓL! Több mint 100 éves tapasztalat! INLAY, ONLAY ARANY KERÁMIA ARANY LEMEZ ARANY KOMBINÁLT MUNKA LEMEZ ARANYOZÁS GALVÁN MUNKÁK KESZÍTÉSE ELÉRHETŐSÉG: +36 20 366 10 80 schulzefogtechnika@gmail.com
19. ábra: A végleges korona bukkális képe, amely kiváló színárnyalatot és kontúrokat mutat.

„tekercslebeny” (roll flap), szubkresztális implantátumbehelyezés a biológiai szélesség megtartása érdekében és az egyedi ínyformázó. Az alkalmazott implantátumrendszert az egyedülálló osseo-connect felület (OCS) miatt választottuk ki, valamint azért, mert az implantátum nyaka támogatja a lágyszöveti zárást, megelőzve a bakteriális beszivárgást, ami védi az implantátumot. A homokfúvott és maratott felület elősegíti a gyors csontosodást. Az implantátum gyökér formájú (tapered), és dupla önvágó kompressziós menettel rendelkezik, amelyek fontosak a magas primer stabilitás eléréséhez. A copaSKY implantátumrendszer platform switchinget alkalmaz a kresztális csontvesztés minimalizálása érdekében, mivel ez kulcsfontosságú az implantátum hosszú távú sikeréhez és stabilitásához. Az önmetsző kettős menet gyorsabb implantátumbehelyezést biztosít alacsonyabb hőtermelés és csontkondenzáció mellett [7]. A homokfúvott és savmaratott, önmetsző menettel ellátott, cilindrikus és egyben gyökér formájú hibrid kialakítású implantátumok statisztikailag nagyobb behelyezési és eltávolítási nyomatékot mutatnak az esztergált implantátumokhoz képest, valamint jobb primer stabilitás érhető el velük [8]. Teljesen digitális protokollt követtünk a végleges pótlás elkészítéséhez. Az intraorális szkennerek olyan eszközök, amelyeket a közvetlen optikai lenyomatok rögzítésére használnak a fogászatban [9]. Az intraorális szkennerek jelenlegi szakirodalmának áttekintése után arra a következtetésre jutottunk, hogy ezek az eszközök időhatékonyak, csökkentik a páciensek kellemetlen fogászati élményeit, kiküszöbölik a gipszmodellek

használatát, és jobb kommunikációt tesznek lehetővé a fogtechnikai laborral [10]. Ebben az esetben egy hibrid csavarrögzített pótlást terveztünk és kiviteleztünk. Egy átfogó áttekintés, amely a csavarozható és ragasztott koronák klinikai jelentőségére összpontosított a döntéshozatalban, azt állapította meg, hogy a csavaros rögzítésű pótlás kevesebb biológiai szövődményt mutat, illetve előnye, hogy könnyen javítható anélkül, hogy károsítaná az ínyformázót és a koronát [11]. A cementtel rögzített korona eltávolítása még mindig nagyobb kihívást jelent és kevésbé kiszámítható, mint egy csavaros pótlásé [11]. Így a csavarozható pótlás leegyszerűsíti a kezelést, amennyiben a jövőben bármilyen komplikáció lépne fel. A cement kifolyása és az implantátum körüli mucosa alatt maradása mikrobiális kolonizációt és az implantátum körüli szövetek károsodását eredményezheti. A csavarrögzített pótlásokkal könnyebben megoldható a szájhigiénia, és egyszerűbben elvégezhetők a fenntartó kezelé-

sek [12]. A végleges pótláshoz polírozott, teljes kontúrú (full contour) cirkóniumkoronát használtunk. A réteges cirkóniumkoronákban a leplezőkerámia hosszan tartó kopás után berepedezést vagy akár leválást mutat, ami a helyreállítás meghibásodását eredményezi [13]. A monolit koronák CAD/ CAM technológiával készülnek, nagy a hajlítószilárdságuk és törésállóságuk, nagyobb, mint az alumínium-oxid alapú kerámiakoronáké [14].

Konklúzió

A precizitásra és tökéletességre való törekvés az implantációs fogászat fejlődéséhez vezetett. A korszerű technikák és anyagok a fogászatban a gyors digitalizációval párosulva javították a páciensek élményét a megnőtt kényelem, a rövidebb kezelési idő és a kiszámíthatóbb eredmények által. A digitális munkafolyamatok minimalizálják a fogorvos, illetve a fogtechnikai labor által esetlegesen okozott manuális és technikai hibákat. Mivel rengeteg implantátumgyártó cég áll rendelkezésre, kulcsfontosságú, hogy olyat válasszunk, amelyik teljesen digitális munkafolyamat lehetőségeket kínál az implantációs fogászatban mind a sebészeti, mind a protetikai szempontok tekintetében. Az implantátum körüli lágy- és keményszövetek jól lefektetett biológiai alapelvei alapján végzett holisztikus kezeléstervezés kiváló esztétikai eredményeket hoz,

hosszú távú sikerhez vezet.

Forrás: Implants 2022/1.

22 e-Journal IMPLANTOLÓGIA
és 20. ábra: Kompozittal zárt okkluzális nyílás. 21. ábra: Röntgenfelvétel a végleges korona felhelyezése után.
20 21 22 23 24
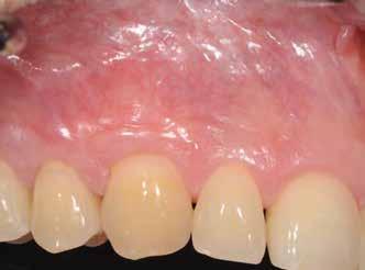
22. ábra: A hat hónapos utánkövetés: kiváló emergenciaprofil. — 23. ábra: A hat hónapos utánkövetés: a lágyszövetek jelentősen megvastagodtak. — 24. ábra: Hat hónapos utánkövetési röntgenfelvétel; a kresztális csontállomány megtartott.
TUDOMÁNY - TAPASZTALAT - INNOVÁCIÓ
-ÓTA A MAGYAR FOGORVOSLÁS SZOLGÁLATÁBAN DENTISYSTEM.HU
1983

A bukkális csontállomány teljes felszívódását és

parodontális folyamat, a fogak eltávolításának abszolút

ilyen esetben a fogak megtartását célzó regeneratív az adekvát oki terápia

a fogak jelentős mobilitását okozó előrehaladott abszolút indikációját jelenti. Tapasztalataink szerint regeneratív kezelésektől hosszú távú siker nem várható, terápia a fog eltávolítása.

A SEBÉSZI TECHNIKA ÉS A PRF SZEREPE AZ ALVEOLÁRIS CSONT ÉS A MUKOGINGIVÁLIS STRUKTÚRÁK MEGŐRZÉSÉBEN III

Alveolus prezerváció PRF segítségével (PRF Sticky Tooth +A-PRF/S-PRF)

Bevezetés

A posztexrakciós alveoláris csonthiányok és az azzal korreláló lágyrészdefektusok megelőzésében kiemelt szerepe van a természetes szöveti struktúrák megőrzésének. A kemény- és lágyszövetek prezervációjával a későbbi munkafolyamatok egyszerűbbé válnak, magas szintű funkcionális és esztétikai eredmény érhető el. A hosszú távú, szöveti stabilitás alapja a gondos protetikai szemléletű, „visszafelé” tervezés. Az alveoláris csonthiányok megelőzésére és/vagy korrigálására, a csontosodás elősegítésére és irányítására számos anyag és módszer ismert. Ezeknél a legtöbb esetben lebenyképzés és az íny per primam zárása szükséges, amely nemcsak az alveoláris csont vérellátását zavarhatja meg, de a vesztibulum szűkülését és a feszes íny megszűnését is eredményezheti. Emiatt gyakran szükséges az optimális lágyrészmenedzsment megvalósítására kiegészítő beavatkozás. Az utóbbi években egyre szélesebb körben terjedt el a PRF technika, amelynek napjainkban az irányított csontregenerációban világszerte elismert szerepe van, emellett a PRF membránok alkalmazása mukogingivális sebészeti szempontból is figyelemre méltó előnyökkel jár (1). Több nemzetközi közlemény a módszer kiszámíthatóságát és megbízhatóságát igazolja. Ezen eredmények alapján a trombocitában gazdag fibrin (Platelet Rich Fibrin, PRF) kiválóan alkalmas a posztextrakciós csontsebek kezelésére (2, 3, 4, 5). A posztextrakciós alveoláris szövethiányok kialakulásának hátterében több tényező is szerepelhet. A paro- és periodontális kórfolyamatok már akkor kemény- és lágyszöveti hiány vagy defektus kialakulásához vezethetnek, amikor a fog még az anatómiai helyén található. A prezervációs szemlélet nélkül végzett extrakciós és szkulpciós beavatkozások gyakran okoznak szövethiányt, vagy annak mértékét jelentősen növelik. A fog eltávolítása során kiemelt jelentőségű a bukkális csont megőrzése, emellett törekednünk kell mindenfajta csontveszteség minimalizálására. Ennek érdekében a klasszikus, extrakciós és szkulpciós technikákat módosítani kell: ajánlott a foggyökerek intraalveoláris darabolással történő eltávolítása, vagy

(1)

részleges eltávolítása, a socket shield technika (6) elveinek megfelelően. Törekedni kell az alveoláris struktúrák vérellátásának megóvására a lebenyképzés lehetőség szerinti mellőzésével, vagy annak jelentős minimalizálásával és a lágyrészek megfelelő megtámasztására (7). Utóbbi szempontjából kiemelkedő jelentőségű lehet az azonnali implantáció (8) és az azonnali – akár implantátumon vagy természetes fogakon rögzített – ideiglenes pótlás készítése, esetleg socket plug technika (9) alkalmazása, illetve bizonyos esetekben szükséges lehet lebenyképzésre és extraalveoláris csontaugmentációra, amelynek segítségével a lágyrészek számára jó vérellátást biztosító trabekuláris csontréteg képződését indukálhatjuk. Nagy jelentősége van az időtényezőnek is: a fogak eltávolítását követően az első hetekben az alveolus jelentősen kollabál, ezt követően lassú involúciós atrófián megy keresztül (10, 11, 12, 13, 14, 15, 16, 17, 18, 19).

Anyag és módszer

Az alveolus prezerváció natív PRF segítségével egyszerű, jól kiszámítható és megbízható eljárás csonttal minden oldalról körülvett posztextrakciós területek augmentációjára. Munkánk során gyakran találkozunk azonban egy vagy több alveoláris csontfal hiányával járó defektussal. Ezekben az esetekben az alveolus prezerváció elvégzésére a PRF Sticky Bone™ eljárást alkalmazhatunk, amelynek lényege, hogy a trombocitában gazdag fibrin készítményt xenografttal keverjük és az augmentációt az így kapott agyagszerű anyaggal végezzük el. Az 1. táblázat (20) mutatja be a napjainkban leggyakrabban használt csontpótlók típusait, azonfelül a legfontosabb szempontokat, amelyekre kiválasztásuknál figyelemmel kell lennünk, illetve amelyek alapján felhasználhatóságukat és tulajdonságaikat értékelhetjük. Az irodalmi adatok és tapasztalataink alapján az autológ graftok és eljárások használatával kiemelten jó, biológiailag megfelelő és aktív gyógyulási eredményre számíthatunk. Az autológ csontgraftok pozitív tulajdonságai mellett számolnunk kell gyakorlati hát-

26 e-Journal IMPLANTOLÓGIA
Dr. Sidó Levente1,3, Dr. Benyőcs Gergely1,3, Dr. Mócz András1,3, Dr. Bögi Krisztina1,2,3 AquaDent Fogászat, (2) Cranium-B Fogászat, (3) Precedent Fogászat

Típus Származás Antigénstruktúra Keresztfertőzés Osteoindukció Osteokondukció Mennyiség Tárolás Ár Egyéb

Autograft Saját Megfelelő Nincs Van Van Korlátozott Nem lehetséges vagy korlátozott Műtéti idő? Donorhelymorbiditás

Allograft Azonos faj Eltérő lehet Lehet Nincs Van Korlátlan Tárolható Közepes Jogi szempontok

Xenograft Más faj Eltérő Lehet Nincs Van Korlátlan Tárolható Közepes Jogi szempontok

Alloplasztikus graft Szintetikus Nincs Nincs Nincs Van Korlátlan Tárolható Kedvezőbb

1. táblázat

rányokkal is: az autograft nem áll korlátlan mennyiségben rendelkezésünkre, tárolása hosszú távon nem kivitelezhető, kinyerése a műtéti idő növekedésével jár, valamint használata esetén mindig számolnunk kell donorhelyi morbiditással, utóbbival pedig mindenképpen sérül a „nil nocere” alapelv és a minimálinvazivitás elve. Az allograftok alkalmazásának vitathatatlan előnyei mellett gondolnunk kell az esetlegesen eltérő antigén-struktúrára, a keresztfertőzés elvi lehetőségére, a gyártási technológia következményeként esetlegesen hiányzó oszteoinduktív hatásra és jogi szempontokra, amelyek hátrányt jelenthetnek. Az egyszerű felhasználhatóság, tárolhatóság és jó oszteokonduktív tulajdonságok mellett a hosszú távú klinikai tapasztalatok és a szövettani vizsgálatok (21, 22) a xenograftok és alloplasztikus anyagok esetében kérdéseket vetnek fel a behelyezett anyagok átépülésével kapcsolatban. Eltérő véleményekkel és eredményekkel találkozhatunk az újonnan képződő csont minőségét és biológiai tulajdonságait illetően, illetve gyakrabban láthatunk idegentest-reakciót és/vagy kötőszövetes gyógyulást. Oszteoinduktív hatással sem rendelkeznek, a xenograftok esetében az antigénstruktúra biztosan eltérő és keresztfertőzés is előfordulhat, használatuknak bizonyos esetekben jogi korlátai lehetnek. Az allograftok előnyös tulajdonsága, hogy keresztfertőzést nem okoznak, viszont megfelelő antigénstruktúrával sem rendelkeznek. Az előzőekből következik, hogy az ideális csontpótló anyag tulajdonságai a következők: megfelelő antigénstruktúrával rendelkezik, nem okoz keresztfertőzést, oszteokonduktív és oszteoinduktív hatása egyaránt van, kinyerése nem okoz donorhelyi morbiditást, felhasználása nem vet fel jogi kérdéseket, emellett kellő volumenstabilitással bír. Figyelembe véve a csontpótló anyagok négy fő csoportjának legfontosabb jellemzőit, az ideális megoldás egy olyan autológ készítmény, amely mindezen tulajdonságokkal egyszerre rendelkezik. Az irodalomban számos olyan közleményt olvashatunk, amelyek a foganyag autológ graftként történő használhatóságát írják le (23, 24). Csontaugmentáció céljára felhasználható, a természetes fogakból származó anyag kinyerése összetett folyamat, a fogak megfelelő darabolásával, őrlésével, majd az őrlemény megfelelő kezelésével valósítható meg. Ennek kivitelezésére a Tooth Transformer™ berendezést használhatjuk (25, 26). Az őrleményt trombocitában gazdag fibrinnel egyesítve, a PRF Sticky Bone™ készítményhez hasonló, ám tisztán autológ anyagot, az úgynevezett PRF Sticky Tooth csontpótlót hozhatunk létre (27).

Sterilizálhatóság Kötőszövetes reakció

Az alveolus prezerváció megfelelő kivitelezésének első lépése a fog eltávolítása, az alveoláris struktúrák minél tökéletesebb megőrzésével. Második lépés a csont augmentáció elvégzése. Ha a beavatkozás nem vagy nem megfelelően célozza a kemény- és lágyszövetek prezervációját, a csontosodás elősegítését vagy annak irányítását, a gyógyulási idő letelte után nem lesz megfelelő csontkínálat. Az esetek egy részében alveolus prezerváció elvégzése nélkül is marad akkora csontvolumen, amely lehetővé teszi az implantátum behelyezését, de gyakran protetikailag előnytelen pozícióba. A keményszöveti hiánnyal összefüggést mutat a lágyszöveti hiány, a feszes íny megszűnik. A protetikai szempontból rossz pozíciójú implantáció, valamint a szövethiány rontja a funkcionális és esztétikai eredményt és a hosszú távú siker arányát. Más esetben olyan mértékű a csont volumenében tapasztalt deficit, hogy az implantátum beültetésére nincs lehetőség, ilyenkor csont augmentációs műtét végzése szükséges, amely jelentős megterheléssel, költségekkel, időveszteséggel és számos szövődménnyel járhat.

Esetismertetés

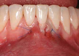
Az 50 éves nőpáciens az alsó és felső állcsont területén egyaránt panaszt (fájdalom, ráharapási érzékenység) okozó, harmadfokban mozgatható fogak miatt jelentkezett rendelőnkben. Az általános anamnézisben említést érdemlő betegség, műtét nem szerepelt. Az elvégzett klinikai és radiológiai vizsgálatok (1–2. ábra) alapján fogai reménytelen parodontális státusúnak bizonyultak, hosszú távon sem megtartásuk, sem protetikai célú felhasználásuk nem volt lehetséges. A parodontális prognózis a fogak eltávolításának abszolút indikációját jelentette. Ezáltal mindkét állcsontban teljes foghiány kialakulásával kellett számolnunk. A protetikai szemléletű, „visszafelé” tervezés elveit követtük a hosszú távú funkcionális, esztétikai siker és szöveti stabilitás elérése érdekében: mindkét állcsontban overdenture típusú fogpótlás készítése mellett döntöttünk. A megfelelő implant-protetikai rehabilitáció alapja az implantátumok megfelelő pozicionálása. A korábbi parodontális kórfolyamat következtében a processus alveolarisokat érintő eredendő csontdeficittel kellett számolnunk, amelyet tovább súlyosbíthatott volna a hagyományos extrakciós technikát követő involúciós atrófia. Ezért a páciens kivizsgálása és megfelelő előkészítése után a fog eltávolításával egy időben PRF

27 VI. ÉVFOLYAM – 2023. 4. SZÁM

Sticky Tooth segítségével kivitelezett alveolus prezerváció mellett döntöttünk, a megfelelő csontos és mukogingivális gyógyulás minőségi és mennyiségi elősegítése érdekében. A PRF készítmény mennyiségét, minőségét, kezelhetőségét és hatékonyságát jelentősen befolyásolják a páciens laborértékei, ezért kezelési protokollunk szerint a műtétet megelőzően minden esetben laborvizsgálatot végzünk (hemoglobin: 134 g/liter, hematokrit: 0,43, fehérvérsejt: 6,6 G/liter, CRP: 13,60 mg/liter, vércukor: 6,2 mmol/liter, összkoleszterin: 7,00 mmol/liter, triglicerid: 1,08 mmol/liter, HDL koleszterin 2,57 mmol/liter, LDL koleszterin 1,12 mmol/liter), D3 vitamin: 117,5 nmol/liter).

A fogak eltávolítása és az alveoláris csont megőrzésének és regenerációjának segítése céljából elvégzett augmentáció altatásban történt. Óvatos, atraumatikus extrakciót követően eltávolítottuk a parodontális és periapikális gyulladásos folyamatok eredményeként jelen lévő sarjszövetet. A bukkális csontfal hiánya és a tervezett vertikális augmentáció miatt indokolt membrántechnika megfelelő kivitelezése céljából a felső állcsonton mukoperioszteális lebenyt képeztünk (3–4. ábra). Az alveolus prezervációt Sticky Tooth, PRF és titánerősítésű teflon (PTFE-Ti) membránok segítségével végeztük el, a J. Choukroun által megadott vérvételi és centrifugálási protokoll (28) elveinek betartásával: kizárólag Process for PRF Duo Quattro System eszközöket, centrifugát, vérvételi egységet és csöveket, a membránok előállításához PRF Boxot használtunk. Az A-PRF és S-PRF csöveket a PomPac eljárásnak megfelelően 4 Celsius-fokra előhűtöttük. Az eltávolított fogak makroszkópos tisztítását és darabolását nagy fordulattal (300 000 RPM) fogászati turbinába helyezett gyémántfúróval végeztük, majd Tooth Transformer™ berendezéssel, annak gyári reagens rendszerével kezelt őrleményt nyertünk. A Sticky Tooth készítmény előállítása a PRF készítmény és az őrlemény

28 e-Journal IMPLANTOLÓGIA
1. 3. 5. 8. 2. 4. 6. 7.

KIVÁLÓSÁG AZ AZONNALISÁGBAN

Straumann® TLX Implantátum rendszer Az ikonikus Tissue Level és az azonnali terhelés találkozása

AZONNALI TERHELÉS PROTOKOLOKRA KIFEJLESZTVE

Kúpos forma az optimális primer stabilitásért

A PERIIMPLANTÁRIS EGÉSZSÉG

FENNTARTÁSA

Kevesebb megtapadó baktérium és egyszerűbb

tisztíthatóság

EGYSZERŰSÉG ÉS HATÉKONYSÁG

Egyfázisú folyamat, amely szöveti szintű restaurátumot és jobb szék melletti időkihasználást tesz lehetővé

A Straumann TLX implantátum rendszer kialakításánál számításba vették a keményés lágyszövet gyógyulás kulcsfontosságú elemeit.

Az implantátum-felépítmény kapcsolat távolabb került a csonttól, ezzel jelentősen csökkentve a gyulladás, valamint a csontreszorpció esélyét.

Keresse helyi Straumann képviselőjét vagy látogasson el a www.starumann.com/tlx oldalra!

60/40 arányú keverésével történt (5–7. ábra), A-PRF és A-PRF/S-PRF membránokat készítettünk (8. ábra). Az alveólusokat a grafttal feltöltöttük, a felső front régióban vertikális augmentációt végeztünk a tervezett alveoláris csontmagasság elérésének céljából (9–10. ábra). A vertikális augmentáció támogatására titán mikrocsavarokkal rögzített, titánerősítésű teflonmembránokat alkalmaztunk, amelyekre egy rétegben A-PRF membránokat, és egy rétegben A-PRF/S-PRF membránokat helyeztünk. Az alsó állcsont esetében vertikális augmentáció nem volt szükséges, célunk az alveoláris kemény- és lágyszöveti struktúrák prezervációja volt, a graftot csak PRF memb-

ránokkal fedtük. A PRF membránok külön rögzítést egyik állcsont esetében sem kaptak (11–12. ábra). A mukogingivális lebenyt – annak megnyújtása nélkül – a helyére fektettük és varratokkal rögzítettük, per primam sebzárást nem végeztünk. A varratokat 2 hét után távolítottuk el, a varratszedésig a sebgyógyulás támogatására per os 1000 mg/nap C- és 12 000 NE/nap D-vitamint adtunk (28).

A fogak eltávolítását és az egy idejű augmentációt a felső állcsontban 193 nap, az alsó állcsontban 84 nap gyógyulási időszak követte, amelyek során sem helyi, sem gyógyszeres kezelés nem történt, az esztétikum javítása érdekében a páciens ideiglenes kivehető fogpótlást használt, az alsó

30 e-Journal IMPLANTOLÓGIA
9. 11. 13. 16. 10. 12. 14. 17. 15.

provizórium stabilizálásának érdekében a két alsó második moláris fogat csak a definitív fogpótlás készítése során távolítottuk el.

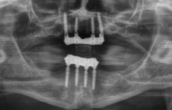
A gyógyulási időszakot követően a csontos gyógyulás ellenőrzése és az implantáció tervezése céljából állcsonti CT-felvételt készítettünk. A CT-felvételen tökéletes csontos gyógyulást észleltünk, az alveoláris csont volumene

Fergeteges

teljes mértékben megtartott, a vertikális augmentáció a tervezettnek megfelelő eredményű volt (13–15. ábra), a klinikai kép is ennek megfelelően alakult, optimális menynyiségű keratinizált ínnyel és azt adekvát sebészi technika eredményeképpen megtartott vesztibulummal (16–17. ábra). Az alsó és felső állcsontba 4-4 darab Bredent COPA Sky implantátumot ültettük, D1-D2 csontminőség mellett,

AKCIÓ!

Sertés eredetű xenograft – magas biokompatibilitás!

Kis szemcseméret: 0,25–1 mm

BG-A25: 0,6 cc (0,25 g)

BG-A05: 1,2 cc (0,50 g)

BG-A10: 2.4 cc (1 g)

BG-A20: 4,8 cc (2 g)

Nagy szemcseméret: 1–2 mm

BG-B05: 1,8 cc (0,50 g)

BG-B10: 3,6 cc (1 g)

KETTO ˝T FIZET, HÁRMAT KAP azonos kiszerelés esetén, vagy 20% kedvezmény vegyes kiszerelés esetén, min. 3 doboz, egyideju˝ vásárlásakor!

Termékeink folyamatosan új gyártásból érkeznek, 2027–2028. évi lejárattal.

06 30 942 7560 dental@harmonycom.hu www.harmonycom.hu

31 VI. ÉVFOLYAM – 2023. 4. SZÁM
19.
18.
20. 21. 22.

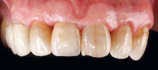
35 Ncm primer stabilitást mértünk. Nyílt gyógyulási protokollt alkalmazva az ínyformázókat is behelyeztük, amelyek körül az ínyt csomós öltésekkel zártuk (18–20. ábra) Amennyiben lehetséges, mindig nyílt gyógyulási protokollt választunk, így biztosítva elegendő időt a lágyrészek maturációjához (29). Kiemelendő, hogy az irodalmi adatoknak (30, 31, 32) és saját tapasztalatunknak megfelelően az íny biotípusának jelentős, pozitív irányú változását észleltük. Az implantátumokra 180 nap gyógyulási időszakot követően (minden implantátum stabilitása Periotesttel –8-as értékű volt) hagyományos lenyomatvételi módszer és egyéni értékű artikulátor használatával a fogtechnikus (D1 Dental Kft., Garamvári Csaba) overdenture típusú fogpótlást készített (21. ábra)

A protetikai rehabilitációt követően 9 hónappal az alveoláris struktúrák stabilak, a röntgenfelvételen a csontállomány megtartott, a beteg panaszmentes, rágó funkciója kifogástalan, az esztétikai eredménnyel teljes mértékben elégedett (22–23. ábra)

Megbeszélés

A fogak eltávolításának indikációja

A bukkális csontállomány teljes felszívódását és a fogak jelentős mobilitását okozó előrehaladott parodontális folyamat, a fogak eltávolításának abszolút indikációját jelenti. Tapasztalataink szerint ilyen esetben a fogak megtartását célzó regeneratív kezelésektől hosszú távú siker nem várható, az adekvát oki terápia a fog eltávolítása.

A PRF Sticky Tooth módszer indikációja, értékelése Számos vizsgálat, többek közt randomizált kontrolltanulmányok számolnak be a PRF kedvező hatásairól az alveoláris csont és lágyszöveti regeneráció kapcsán (34, 35, 36, 37). Ebben jelentős szerepet játszanak a centrifugálás során fokozatosan kialakuló háromdimenziós fibrinhálóban elhelyezkedő trombociták, leukociták, progenitor sejtek, valamint az általuk közel 2 héten át termelt növekedési faktorok, különböző citokinek (38, 39, 40). A PRF Sticky Tooth módszer előnye, hogy a hozzáadott sajátfog-őrlemény volumenstabilizáló és oszteokonduktív hatását a PRF csontregenerációra gyakorolt pozitív effektusait egyidejűleg használjuk ki. Az eljárás során autológ szöveteket használunk, amelyeket minimál

invazív beavatkozással (vérvétel), illetve a műtét elkerülhetetlen részét képező és egyúttal az oki terápiát jelentő lépéséből (extrakciók) nyerünk, és amelyekből egyszerű folyamatokból álló protokoll alapján biológiailag aktív csontpótló anyagot állítunk elő. Biztonságos és sikeres alkalmazása azonban megfelelő gyakorlatot és összehangolt műtéti csapatmunkát igényel. Tapasztalataink szerint a PRF Sticky Tooth módszer a rutinszerűen végzett intraorális csontaugmentációs eljárások (alveolus prezerváció, horizontális és vertikális augmentációk, sinus maxillaris elevatio stb.) esetében sikerrel alkalmazható. Kiváló autológ csontpótlási módszer, a töltőanyag nagyfokú biológiai megfelelősége és a PRF kedvező oszteoimmunológiai hatásai (1, 34, 35, 36, 37, 38, 39, 40) miatt az eredeti állcsonti struktúrához hasonló, trabekuláris csontszövet képződésére számíthatunk (27, 33). Az indikációs területet szűkíti azonban, hogy a kivitelezéshez megfelelő mennyiségű és minőségű természetes foganyag szükséges, azaz egyrészt rendelkeznünk kell a tervezett augmentáció volumenének megfelelő őrleménnyel, másrészt lényeges elvárás az eltávolított fogszövetek baktériummentessége is. Tehát azokban az esetekben, ahol nem történik extrakció, vagy a csontpótlás dimenziójához képest kevés alkalmas foganyag áll rendelkezésre, illetve, ha a foganyag baktériumokkal kontaminált (például erősen destruált fogak/ visszamaradt foggyökerek, vagy régi, inkomplett gyökértöméssel ellátott, fertőzött dentinállományú fogak) a módszer nem alkalmazható. A korábban eltávolított és hosszú távon tárolt foganyag felhasználhatósága számos kérdést vet fel, ezeknek elemzése jelen közleménynek nem célja. Gyakorlati tapasztalatunk szerint az őrlemény elkészítése (tisztítás, darabolás, a Tooth Transformer™ üzemideje) időigényes, összesen 30–50 perc, amely a műtéti idő jelentős növekedésével jár. Ambuláns beavatkozások esetén megoldás lehet a műtét megszakítása, majd folytatása, azonban altatásos beavatkozásnál erre nincs lehetőség.

Atraumatikus extrakciós technika, a vérellátás megóvása

A csontmennyiség megőrzésének alapja az atraumatikus, minimál invazív extrakciós technika alkalmazása. Klinikai gyakorlatunkban minden fog eltávolításánál a rendelkezésre álló alveoláris csont teljes megkímélésére törekszünk, különösen akkor, ha a fog eltávolítását indokló patológiás folyamat következtében a fogmedernyúlványt érintő csonthiánnyal állunk szemben. Ilyen szituációban gyakran nem lehetséges a lebenyképzés elkerülése, csak a lebeny méretének és a feltárás mértékének redukálására törekedhetünk annak érdekében, hogy mérsékeljük az alveoláris csont és a csontpótlásra használt graft vérellátási zavarát (41, 42, 43, 44, 45, 46, 47, 48). A fogmedernyúlvány csontvesztesége egyúttal lágyrészveszteséget is eredményez, mivel az atrófizált alveoláris csontot kisebb volumenű íny fogja fedni. Amennyiben a kemény- és lágyszöveti struktúrák védelmére és megőrzésére nem törekszünk, az ínyszövet – különös tekintettel a feszes ínyre – relatív hiánya a másodlagos augmentációs műtét során problémát jelent, a beavatkozás sikerét veszélyezteti és gyakran korrekciós lágyrészműtétet tesz szükségessé.

32 e-Journal IMPLANTOLÓGIA
23.

A gingiva biotípusának megváltoztatása

Amennyiben a lebenyképzés nem elkerülhető vagy szükséges az egyébként vékony biotípusú íny megváltoztatása, a PRF technika alkalmazása segítségünkre lehet. A PRF Sticky Bone™ vagy PRF Sticky Tooth módszerekkel kiváló keringésű, trabekuláris csontszövet képződését érhetjük el, akár a buccalis kortikális külső oldalán is. Ezt kiegészítve megfelelő PRF membrán- és varrattechnikák alkalmazásával a mukoperioszteális lebeny megnyújtását is elkerülhetjük. Mindezek eredményeképpen a csontvolumen növelése mellett lehetőségünk van a gingiva biotípusának irányított pozitív megváltoztatására is kötőszöveti vagy szintetikus graftok használata nélkül (30, 31, 32, 33).

A per primam sebzárás elkerülése PRF használatával

A legtöbb rutinszerűen alkalmazott, hagyományos csontaugmentációs technika esetében elengedhetetlen a graft, illetve az alkalmazott barrierek felett a teljes sebzárás. Amennyiben az ilyen jellegű csontpótlást a fog eltávolításával egy időben végezzük, szükséges a fog helyének megfelelő, anatómiai ínyhiány pótlásának megoldása. Erre lágyrészátültetéssel (FGG, CTG technikák) vagy az ínylebeny nyújtásával van lehetőségünk. Előbbi esetben mindig számítanunk kell panaszokra (fájdalom, étkezési nehézség) a vételi helyen, illetve esetenként számolnunk kell donorhelyi morbiditással is. Amennyiben a primer sebzárást lebenynyújtás segítségével végezzük el, az a legtöbb esetben a vesztibulum szűkülését és/vagy a feszes, keratinizált gingiva megszűnését eredményezi és korrekciós műtét elvégzése válhat szükségessé. A PRF membrántechnika alkalmas csontaugmentációs területek fedésére per primam sebzárás nélkül. Az A-PRF, illetve S-PRF membránok 14–21 napon át megfelelő barrierfunkcióval rendelkeznek, valamint a gyógyulási folyamat során átépülve elősegítik a keratinizált ínyszövet kialakulását.

A csontpótlás időzítése

Célunk mindig a meglévő csont megőrzése, ezért törekedni kell arra, hogy a csontaugmentáció a fog eltávolításával egy

Irodalom

1. Choukroun J., Miron R.J. Platelet Rich Fibrin: A Second-Generation Platelet Concentrate. In: Platelet Rich Fibrin in Regenerative Dentistry Eds Miron RJ, Choukroun J. Wiley Blackwell, Oxford 2017

2. Stumbras A., Kuliesius P., Januzis, G., Juodzbalys, G.: Alveolar Ridge Preservation after Tooth Extraction Using Different Bone Graft Materials and Autologous Platelet Concentrates: a Systematic Review J Oral Maxillofac Res. 2019 Jan-Mar; 10(1): e2. Published online 2019 Mar 31. doi: 10.5037/ jomr.2019.10102

3. Girish Kumar N., Chaudhary R., Kumar I., Arora SS., Kumar N., Singh H.: To assess the efficacy of socket plug technique using platelet rich fibrin with or without the use of bone substitute in alveolar ridge preservation: a prospective randomised controlled study.,Tissue Eng Part A. 2014 Feb;20(3-4):874-82.

4. Ouyyamwongs, W., Leepong, N., Suttapreyasri, S.: Alveolar Ridge Preservation Using Autologous Demineralized Tooth Matrix and Platelet-Rich Fibrin Versus Platelet-Rich Fibrin Alone: A Split-Mouth Randomized Controlled Clinical Trial., Implant Dent. 2019 Oct;28(5):455-462.

5. Mudalal, M., Sun, X., Li, X. & Zhou, Y.: The evaluation of leukocyte-platelet rich fibrin as an anti-inflammatory autologous biological additive., Saudi Med J. 40(7), 657–668 (2019).

időben történjen. Ezzel egyrészt csökkentjük a páciens műtéti terhelését (eggyel kevesebb műtét), másrészt megelőzzük az alveoláris csont elvesztését, amelynek visszaépítése gyakran nehézséggel jár.

A laborvizsgálat jelentősége

Az oszteogenetikus folyamatokat a helyi tényezőkön kívül a páciens általános állapota is jelentősen befolyásolja, ezért fontosnak tartjuk preoperatív laboratóriumi vizsgálatok elvégzését (49). A páciensnél fennálló akut, szisztémás gyulladás, fertőzés (emelkedett fehérvérsejt-szám, CRP-érték), anyagcserezavar (magas vércukor-, és koleszterinszint) a sebgyógyulást akadályozhatja, infekcióra hajlamosít. Eltérő laboratóriumi leletek esetében a beteg általános állapotának rendezése után végezhető el az augmentációs beavatkozás. Kiemelt figyelmet érdemel a szérum koleszterin D3-vitamin szintje, amelyeknek nem megfelelő értéke szintén kedvezőtlenül befolyásolhatja a sebgyógyulást és csontregenerációt (50, 51, 52).

Az implantáció időzítése

A PRF Stickly Tooth alveolus prezervációt követően a felső állcsontba 6, az alsó állcsontba 3 hónappal ültetünk implantátumokat (53). Ezzel szemben egyes irodalmi ajánlások PRF+A-PRF/S-PRF technika alkalmazása esetén az implantátumok korábbi beültetésének lehetőségét írják le (53, 55).

A csapatmunka jelentősége

Az elmúlt évtizedek kutatásai és fejlesztései oly mértékben bővítették szakmai ismereteinket és technológiánkat, hogy napjainkban különlegesen fontossá vált a kollegiális és interdiszciplináris együttműködés. A PRF Sticky Tooth technika dentoalveoláris sebészeti alkalmazása jól példázza mindezt, hiszen a megfelelő gyógyeredmény eléréséhez nélkülözhetetlen a megfelelő előkészítés, kiemelt jelentőségű a sajátfog-őrlemény, a PRF centrifugátum és membránok előírás szerinti elkészítése és az adekvát sebészi technika alkalmazása, amelyek jellemzően túlmutatnak az egy kézben összefogható tevékenység lehetőségein.

6. Gluckman, H.: What is the Socket-Shield Technique? A Case Report. https:// howardgluckman.com/what-is-the-socket-shield-technique-a-case-report 2021

7. Zitzmann, NU, Marinello, CP, Berglundh, T.: The ovate pontic design: a histologic observation in humans. J Posthet Dent 2002; 88(4): 375–380

8. Gluckman, H.: Controversies Surrounding Delayed vs. Immediate Implant Placement: Is There No Middle Ground? Dental XP 2012

9. Valavanis K., Tzovairis A., Vergoullis I., Young-Hyun K., Ra-Hyeon W., Yong- Suk M., Dong-Seok S., Rikame VB., Horowitz RA., Doshi YS., Iskaros M., Rusi S.: Cervical Socket Plug Technique, JIACD, 2020

10. Hansson, S., Halldin A.: Alveolar ridge resorption after tooth extraction: A consequence of a fundamental principle of bone physiology, J Dent Biomech. 2012; 3: 1758736012456543;

11. Schropp L., Wenzel A., Kostopoulos L., et al.: Bone healing and soft tissue contour changes following single-tooth extraction: a clinical and radiographic 12-month prospective study. Int J Periodontics Restorative Dent 2003; 23: 313–323;

12. Botticelli D., Berglundh T., Lindhe J.: Hard-tissue alterations following immediate implant placement in extraction sites. J Clin Periodontol 2004; 31: 820–828;

33 VI. ÉVFOLYAM – 2023. 4. SZÁM

13. Araújo MG., Lindhe J.: Dimensional ridge alterations following tooth extraction. An experimental study in the dog. J Clin Periodontol 2005; 32: 212–218

14. Atwood DA., Willard AC.: Clinical, cephalometric, and densitometric study of reduction of residual ridges. J Prosthet Dent 1971; 26: 280–295

15. Pietrokovski J., Massler M.: Alveolar ridge resorption following tooth extraction. J Prosthet Dent 1967; 17: 21–27

16. Hawkins CH., Sterret JD., Murphy HJ., Thomas JC.: Ridge contour related to esthetics and function. J Prosthet Dent 1991; 66: 165–168.

17. Schropp L., Wenzel A., Kostopoulos L., Karring T.: Bone healing and soft tissue contour changes following single-tooth extraction: A clinical and radiographic 12-month prospective study. Int J Perio Rest Dent 2003; 23(4): 313–323.

18. Tan WL., Wong TL., Wong MC., Lang NP.: A systematic review of post-extractional alveolar hard and soft tissue dimensional changes in humans. Clin Oral Implants Res 2012; 23 (5): 21.

19. Weng D., Stock V., Schliephake H.: Are socket and ridge preservation techniques at the day of tooth extraction efficient in maintaining the tissues of the alveolar ridge? Eur J Oral Impl 2011; 4 (Suppl): S59-S66.

20. Foitzik, C., Findeisen, O.: Csont vagy csontpótló anyag? Csontpótlás az implantológiában: pp.158–167

21. Vance, GS.; Greenwell, H., Miller, RL., Hill, M., Johnston, H., Scheetz, JP.: Comparison of an Allograft in an Experimental Putty Carrier and a Bovine-Derived Xenograft Used in Ridge Preservation: A Clinical and Histologic Study in Humans, International Journal of Oral & Maxillofacial Implants. Jul/ Aug2004, Vol. 19 Issue 4, 491–497.

22. Athanasiou, VT.,, Papachristou, DJ.,, Panagopoulos, A., Saridis A., Scopa, CD., Megas, P.: Histological comparison of autograft, allograft-DBM, xenograft, and synthetic grafts in a trabecular bone defect: an experimental study in rabbits, Med Sci Monit 2010; 16(1): BR24-31

23. Calvo-Guirado, JL.,, Maté-Sánchez de Val, JE., Ramos-Oltra, ML., Pérez-Albacete Martínez, C., Ramírez-Fernández, MP., Maiquez-Gosálvez, M., Gehrke, SA., Fernández-Domínguez, M., Romanos, GE., Delgado-Ruiz RA.: The Use of Tooth Particles as a Biomaterial in Post-Extraction Sockets. Experimental Study in Dogs, Dent. J. 2018, 6(2), 12

24. Cervera-Maillo, JM., Morales-Schwarz, D., Morales-Melendez, H., Mahesh, L., Calvo-Guirado, JL.: Autologous Tooth Dentin Graft: A Retrospective Study in Humans, Medicina 2022, 58(1), 56

25. Minetti, E., Berardini, B.,, Trisi, P.: A New Tooth Processing Apparatus Allowing to Obtain Dentin Grafts for Bone Augmentation: The Tooth Transformer, The Open Dentistry Journal, 2019, vol13, pp.6–14

26. Minetti, E., Palermo, A., Ferrante, F., Schmitz, JH., Lung Ho, HK., Dih Hann, SNg., Giacometti, E., Gambardella, U., Contessi, M., Celko, M., Ballini, A., Mortellaro, C., Trisi, P., Mastrangelo, F.: Autologous Tooth Graft after Endodontical Treated Used for Socket Preservation: A Multicenter Clinical Study, Appl. Sci. 2019, 9(24), 5396

27. van Orten, A., Goetz, W., Bilhan, H.: Tooth-Derived Granules in Combination with Platelet-Rich Fibrin („Sticky Tooth”) in Socket Preservation: A Histological Evaluation, Dent. J. 2022, 10(2), 29

28. Choukroun, J: PRF Mesterkurzus Budapest 2020. február 21–22.

29. Enkling, N., Jöhren, P, Klimberg, T., Mericske-Stern, R., Jervøe-Storm, PM., Bayer, S., Gülden, N., Jepsen, S.: Open or submerged healing of implants with platform switching: a randomized, controlled clinical trial, J Clin Periodontol;. 2011 Apr;38(4):374-84

30. Dayoub, S., Al-Qershi, M: The Role of Platelet-Rich Fibrin in Increasing the Gingival Thickness and Modifying the Thin Gingival Biotype: A Comparative Clinical Split Mouth Study, Dental Hypothesis, 2019, 10(2), pp. 34-39

31. Kavi, S., Panchal, A., Shah, R., Gandhi, .R, Shah, K., AcharyaI, D.: A New Approach for Increasing the Gingival Thickness by Using Injectable Platelet Rich Fibrin (i-PRF) – A Clinical and Radiographic Study, International Journal of Scientific Research, 2021, 10(01), pp.37-39

32. Ozsagir, ZB., Saglam, E., Sen, BY., Tunali, M., Choukroun, J.: A new method to enhancing gingival biotype: injectable-platelet rich fibrin (I-PRF), 2018 J Clin Periodontal.45:247

33. Sidó, L., Bögi, K.: PRF (Platelet Rich Fibrin) eljárással végzett processus alveolaris prezerváció és processus alveolaris rekonstrukciós műtétek hatékonyságának retrospektív vizsgálata – folyamatban lévő kutatás, előzetes eredmények

34. Cortese, A., Pantaleo, G., Borri, A., Caggiano, M., Amato, M.: Platelet-rich fibrin (PRF) in implant dentistry in combination with new bone regenerative technique in elderly patients, International Journal of Surgery Case Reports Vol 28, 2016 Pages 52–56

35. Simonpieri, A,, Del Corso, M,, Vervelle, A,, Jimbo, R,, Inchingolo, F,, Sammartino, G,, et al.: Current knowledge and perspectives for the use of platelet-rich plasma (PRP) and platelet-rich fibrin (PRF) in oral and maxillofacial surgery part 2: bone graft, implant and reconstructive surgery., Curr Pharm Biotechnol. 2012;13:1231–1256.

36. Strauss, FJ., Stähli, A., Gruber, R.: The use of platelet-rich fibrin to enhance the outcomes of implant therapy: A systematic review Clin Oral Implants Res 2018 Oct, 29 Suppl 18 (Suppl Suppl 18):6–19.

37. Miron, RJ., Zucchelli, G., Pikos, MA.,, Salama, M., Lee, S., Guillemette, V., Fujioka-Kobayashi, M., Bishara, M., Zhang, Y., Wang, HL., Chandad, F., Nacopoulos, C., Simonpieri,A., Aalam, AA., Felice P.,, Sammartino, G., Ghanaati, S., Hernandez, MA., Choukroun, J.: Use of platelet-rich fibrin in regenerative dentistry: a systematic review, Clin Oral Investig 2017 Jul;21(6):1913–1927.

38. Jee, YJ.: Use of platelet-rich fibrin and natural bone regeneration in regenerative surgery, J Korean Assoc Oral Maxillofac Surg, 2019 Jun, 45(3) 121–122.

39. Ehrenfest DMD.,, Del Corso, M., Diss, A., Mouhyi, J., Charrier, JB.: Three-Dimensional Architecture and Cell Composition of a Choukroun’s Platelet-Rich Fibrin Clot and Membrane, Journal of Periodontology 2010 Apr;81(4): 546-55.

40. Wang, Z., Mudalal, M., Sun, Y., Liu, Y., Wang, J., Wang, Y., Sun, X., Zhou, Y.: The Effects of Leukocyte-Platelet Rich Fibrin (L-PRF) on Suppression of the Expressions of the ProInflammatory Cytokines, and Proliferation of Schwann Cell, and Neurotrophic Factors, www.nature.com//articles/ s41598-020-59319-2: 2421 (2020)

41. Petrungaro, PS.: Replacing the Natural Tooth System in the Esthetic Zone: Flapless Implant Placement and Simultaneous Restoration to Preserve Tissue Contours and Guarantee Esthetics, Dental XP, 2010

42. Barone A., Borgia, V., Covani, U., Ricci M., Piattell, A., Lezzi, G: Flap versus flapless procedure for ridge preservation in alveolar extraction sockets: a histological evaluation in a randomized clinical trial, Clin Oral Implants Res. 2015 Jul;26(7):806-13

43. Sidó, L.: Flapless immediate implant placement with or without a surgical guide, Dental World 2020, online lecture

44. Sidó, L.: Alveolus prezervációs technikák, Dentium Akadémia 2022, online lecutre

45. Greenstein, G., Cavallaro, J.: Managing the buccal gap and plate of bone: Immediate dental implant placement, (72-7).Dent Today. 2013;32(3):70

46. Mehta, H., Shah, S.: Management of Buccal Gap and Resorption of Buccal Plate in Immediate Implant Placement: A Clinical Case Report, Journal of International Oral Health 2015; 7(Suppl 1):72–75

47. Job, S., Bhat, V., Naidu, EM.: In vivo evaluation of crestal bone heights following implant placement with ‘flapless’ and ‘with-flap’ techniques in sites of immediately loaded implants. Indian J Dent Res. 2008;19(4):320–5

48. Sidó, L.: PRF augmentációs technikák, Dentium Akadémia 2022, online lecutre

49. Nagy-Csoma, L., Iványi, D., Kivovics, P., Németh O.: Laborvizsgálat jelentősége implantációs betegeknél, Fogorvosi Szemle 114. évf. 1.sz. 2021. 9–14.

50. Choukroun, J., Khoury, G., Khoury, F., et al.: Two neglected biologic risk factors in bone grafting and implantology: high low-density lipoprotein cholesterol and low serum vitamin, D. J Oral Implantol. 2014;40:110–114.

51. Mangano, FG. Ghertasi-Oskouei, S., Paz, A., et al.: Low serum vitamin D and early dental implant failure: Is there a connection? A retrospective clinical study on 1,740 implants placed in 885 patients. J Dent Res Dent Clin Dent Prospects. 2018;12:174–182.

52. Sidó, L.: PRF augmentációs technikák, Dentium Akadémia 2022, online lecutre

53. Lee CT., Chuang SK., Stoupel J.: Survival analysis and other clinical outcomes of immediate implant placement in sites with periapical lesions: systematic review, Int J Oral Maxillofac Implants. 2015

54. Suttapreyasri, S., Leepong, N.: Influence of platelet-rich fibrin on alveolar ridge preservation, J Craniofac Surg. 2013 Jul;24(4):1088–94.

55. Azangookhiavi H., Ghodsi S., Jalil F., Dadpour Y.: Comparison of the Efficacy of Platelet-Rich Fibrin and Bone Allograft for Alveolar Ridge Preservation after Tooth Extraction: A Clinical Trial., Front Dent. 2020 Jan;17(1):1-6

34 e-Journal IMPLANTOLÓGIA

WS-75 L

› Sebészeti könyökdarab 20:1

› LED+ fény

› Szétszerelhető

EM-19 LC Erőteljes, fényes sebészeti motor.

Piezomed Plus Modul SA-435

› Fényes kézidarab

› Automata eszköz felismerés

-33%

Vezeték nélküli lábpedál S-NW

Vezérelje az Implantmed Plus és a Piezomed modul készülékeket egy, közös lábkapcsolóval.

Implantmed

Plus SI-1023

› Menetvágó funkció

› Implantációs adatok dokumentációja pen-drivera

› Nyomaték szabályozás 5 és 80 Ncm között

Osstell Beacon

Az implant stabilitás és az osszeointergritás könnyű mérése, egyszerű csatlakoztathatóság az Implantmedhez.

Sebészeti kocsi 3 dugaljjal.

Sebészeti torony „MINDEN EGYBEN“ WORKFLOW-kocsi

Piezosebészet és implantológia egy készülékben.

12.687€

18.993 €

Budapest Breznó-köz 11 t +36 1 788 53 91 info@fejerfog.hu www.fejerfog.hu

Ajánlat érvényessége 2023. január 1-től 2023. február 28-ig. Esetleges nyomdai hibákért felelősséget nem vállalunk. Az árak tartalmazzák a 27% Áfát.

#whdentalwerk wh.com

A MODIFIKÁLT, KORONÁLISAN VAGY LATERÁLISAN ELTOLT

TUNNEL EGYSZERŰ VAGY MULTIPLEX ÍNYRECESSZIÓK

KEZELÉSÉRE

Az ínyrecessziók megbízható fedése sokszor kifejezetten nagy kihívást jelent a klinikusok számára. A tunnel technikák kifejlesztésével ma már olyan eredményeket érhetünk el, amelyekről nem is álmodtunk volna pár évvel korábban. Az alábbi klinikai eseteken keresztül szeretnénk bemutatni a sebészi technikát és az MCAT és LVT-vel (Módosított koronálisan eltolt tunnel – Modied coronally advanced tunnel és laterálisan zárt tunnel – laterally closed tunnel) elérhető eredményeket, legyen szó akár szóló, akár multiplex recesszióról, mind az alsó, mind a felső állcsonton.

Ínyrecessziónak nevezzük a gyökérfelszín szabaddá válását a zománc-cement határtól (cementoenamel junction – CEJ) apikálisan. Lehet izolált vagy generalizált, előfordulhat fiataloknál és időseknél is egyaránt, a szájhigiéniától függetlenül. Az ínyrecesszió kialakulását számos tényező elősegítheti, mint például csontos dehiszcencia jelenléte, amelyet csak vékony gingiva fed, továbbá ilyen faktor lehet a marginális ínyhez közel tapadó frenulum labiale vagy buccale. Ezek akadályozhatják a sikeres és atraumatikus plakk kontrollt, nehezítve a megfelelő tisztítást, ami miatt könnyen kialakul ínygyulladás vagy gyökércaries és következményes csontés tapadásveszteség. Ezenkívűl emiatt előfordulhat fognyaki érzékenység, illetve esztétikai problémákat is okozhat a pácienseknek.

Ortodonciai kezeléshez is gyakran társulhat ínyrecesszió, ezenkívül a szájban található testékszerek (ajak vagy nyelv) viselésének következményeként is kialakulhat. Az elsődleges javallatok az ínyrecesszió terápiájában főleg esztétikai meg-

fontolásúak, illetve a szájhigiénia javítása, valamint a nyaki érzékenység orvoslása. Szóló vagy multiplex recessziók megbízható, előre látható fedése kifejezetten nagy kihívást jelenthet az orvosnak.

Módosított, koronálisan eltolt tunnel (Modied coronally advanced tunnel – MCAT) és laterálisan zárt tunnel (laterally closed tunnel – LCT)

A tunnel technika variációi közé tartozik a módosított, koronálisan eltolt tunnel (MCAT) és a laterálisan zárt tunnel (LCT). Mindkét eljárásnál mucoperioszteális lebenyt képzünk, az alagút lebenyt koronálisan vagy laterálisan eltoljuk minden-

36 e-Journal IMPLANTOLÓGIA
1 2 3
1. ábra: Izolált RT2 recesszió a mandibula front területén, műtét előtti kép. — 2. ábra: Többszörös, egymás melletti RT1 recesszió az alsó állcsonton, műtét előtti kép. — 3. ábra: Többszörös, egymás melletti RT1 recesszió a felső állcsonton, műtét előtti kép.

4. ábra: 3.1-es fog meziális papillája alatti tunnel (1. ábrán szereplő eset). — 5. ábra: 3.1-es fog disztális papillája alatti tunnel (1. ábrán szereplő eset). — 6. ábra: 3.3-as fog meziális papillája alatti tunnel (2. ábrán szereplő eset).

féle feszülés nélkül, és a graftot vagy lágyszövetpótlót fedjük vele (Sculean, 2018; Sculean és Allen, 2018; Sculean és mtsai., 2014, 2016, 2017).

Sebészi módszerek és eredmények

Klinikai esetek és eredmények alapján az alábbi cikk bemutatja az egyszerű és multiplex ínyrecessziók kezelését mindkét állcsonton (1–3. ábra). Mindkét eljárásnál először letisztítjuk az exponálódott gyökérfelszíneket és gyökérsimítást végzünk, hogy eltávolítsuk a biofilmet és az esetleges fertőzött réteget. Ezt követi egy intraszulkuláris metszés a recesszió területén. A bukkális lágyszövetet (a feszes ínyt és a mozgatható nyálkahártyát) leválasztjuk speciális tunnel késekkel, majd mobilizáljuk a mucogingivális határon túlig (mucoperioszteális preparáció). A papillákat alápreparáljuk és mobilizáljuk, egy úgynevezett tunnel lebenyt képzünk (4–8. ábra). A zománc-cement határig, illetve attól koronálisabban, vagy a recessziótól laterálisan történő tunnel lebeny mobilizálásának érdekében, a frenulum tapadást belülről leválasztjuk szike vagy egy éles kürett segítségével. Mély recesszió esetén, regeneratív anyagokat mint zománc-mátrix proteint vagy hialuronsavat alkalmazhatunk a gyökérfelszínen, hogy segítsük a parodontális sebgyógyulást és regenerációt (9. ábra) (Sculean és Allen, 2018; Sculean és mtsai., 2014, 2016; Guldener és mtsai., 2020; Lanzrein és mtsai., 2020). A maximális stabilizáláshoz egy szubepitheliális kötőszöveti graftot vagy lágyszövetpótló anyagot helyezünk az alagútba, egyszerű csomós vagy matrac öltések segítségével, és rögzítjük a megfelelő fog zománc-cement határának szintjében cirkumdentális öltésekkel (10–12. ábra)

Végül a tunnel lebenyt visszahelyezzük koronálisabban vagy laterálisabban, és stabilizáljuk a fogak felett, vagy a korábban összesínezett kontaktpontoknál felfüggesztett varratok segítségével (13-15. ábra)

Szövődmények elkerülése

A mucoperioszteális preparációnak köszönhetően a lebeny perforációjának vagy nekroziásnak kockázata minimális, ilyen jellegű komplikáció általában a nagyon vékony lágyszövettel rendelkező pácienseknél fordul elő. A vertikális és papilláris metszések elkerülése biztosítja a mucoperiosztális lebeny megfelelő vérellátását. A tunnel feszülésmentes koronális vagy laterális irányú eltolása lehetővé teszi a lágyszöveti graft teljes vagy részleges fedését, javítva ezáltal a vérellátását és a túlélés esélyét.

A laterálisan zárt tunnel (LCT)

Az LCT az MCAT egy variációja és elsősorban a mandibula mély, izolált RT1-es és RT2-es ínyrecesszióinak kezelésére javasolt, ahol a lebeny koronális áthelyezése kifejezetten nehéz a labiális ligamentumokból és izmokból eredő húzóerők miatt (Sculean és Allen, 2018). Az LCT preparációja megegyezik az MCAT-éval, azzal a különbséggel, hogy a sebszéleket két oldalról zárjuk egyszerű csomós öltések és dupla hurok öltések segítségével, hogy fedjük a graftot és a recessziót (4.,5. és 8. ábra). Szóló és többszörös Miller osztályozás szerint I-es, II-es és III-as ínyrecesszióknál (jelen jelölés szerint: RT1-es és RT2-es recessziók) átlagosan 83–

37 VI. ÉVFOLYAM – 2023. 4. SZÁM
4 7 5 8 6 9
7. ábra: 3.3-as fog disztális papillája alatti tunnel (2. ábrán szereplő eset). 8. ábra: A teljesen mobilizált tunnel lebeny eltolható meziálisan vagy disztálisan, a 3.1-es fogon található recesszió felé, mindenféle feszülés nélkül (1., 4. és 5. ábrákon szereplő eset). — 9. ábra: A hialuronsav alkalmazása a sebgyógyulás elősegítésére (2., 6. és 7. ábrákon szereplő eset).

10. ábra: A graftot bevezettük az alagútba és a 3.1-es fog felett rögzítettük cirkumdentális öltésekkel (1., 4., 5. és 8. ábrákon szereplő eset). — 11. ábra: A megfelelő hosszúságú és szélességű szubepitheliális kötőszöveti graft megfelelő megtámasztást ad a papilláknak és megerősíti a bukkális lágyszövetet (2., 6., 7. és 9. ábrákon szereplő eset). — 12. ábra: A graftot bevezettük az alagútba és a 32,33 és 44-es fogak felett rögzítettük cirkumdentális öltésekkel (2., 6., 7., 9. és 11. ábrákon szereplő eset).

13. ábra: A 3.1-es fognál lévő recesszió és graft feletti feszülésmentes laterális zárás (1., 4., 5., 8. és 10. ábrákon szereplő eset). 14. ábra: Feszülésmentes recesszió fedés grafttal a 3.2, 3.3 és 4.4-es fogaknál, cirkumdentális öltésekkel (2., 6., 7., 9., 11. és 12. ábrákon szereplő eset). — 15. ábra: Feszülésmentes recesszió fedés grafttal a 1.4, 1.4 és 1.5-ös fogaknál, cirkumdentális öltésekkel (2. ábrán szereplő eset).

16. ábra: Egy évvel a kezelés után, egyértelműen látszik a megfelelő gyökérfedés és az optimális színárnyalat, valamint vastagság (1. ábrán látható a kiindulás). — 17. ábra: A 2. ábrán látható ínyrecesszió kezelésének eredménye 1 évvel a műtét után. Kiváló gyökérfedés, optimális színárnyalat és megfelelő vastagság. — 18. ábra: A 3. ábrán látható ínyrecesszió kezelésének eredménye 5 évvel a műtét után. Stabil, teljes gyökérfedést sikerült elérni, mindemellett a gingiva természetes színt mutat.

96%-os fedés érhető el, amennyiben MCAT és LCT eljárásokat szupepitheliális kötőszöveti grafttal kombináljuk (16–18. ábra). Friss publikációk, 5–10 éves utánkövetés során, stabil eredményekről számolnak be (18. ábra). Azt is bebizonyították, hogy MCAT segítségével kiváló eredmények érhetőek el olyan esetekben is, amikor a fogakon koronák találhatóak. A kezeléssel átlagosan 92,62%-os gyökérfedést sikerült elérni egy évvel a műtét után (Sculean és mtsai., 2017).

Sebészi technika és eredmények

Összefoglalásképpen: mind az MCAT, mind az LCT jó vaszkularizációt biztosít a koronálisan vagy laterálisan eltolt

lebenynek és az alatta lévő graftnak, ezáltal elősegítve a sebgyógyulást és a műtét kimenetelét. A vertikális metszések elkerülésével javul a műtéti terület véráramlása, ami hegmentes gyógyulást és optimális esztétikai eredményt von maga után. Ennek ellenére vertikális segédmetszés nélkül is teljes, feszülésmentes mobilizáció és a recesszió teljes fedése érhető el az MCAT segítségével. Hosszú távú eredményt legjobban szubepitheliális kötőszöveti graft vagy kollagénalapú lágyszövetpótló anyag alkalmazásávál érhetünk el. Ez megerősíti a lebenyt és védi az alatta lévő coagulumot (Cosgarea és mtsai., 2020; Sculean, 2018).

Forrás: EDI Journal 2022/1.

38 e-Journal IMPLANTOLÓGIA
10 13 16 11 14 17 12 15 18

IPS

MEDENTIKA IMPLANTÁTUMOK MÁR MAGYARORSZÁGON IS ELÉRHETŐ

Magas Precizitású Implantációs RendszerInnovatív Komponensek

Medentika®

ÉLETHOSSZIG TARTÓ GARANCIA

PIACVEZETŐ

MÁRKAKOMPATIBILIS

GYÁRTÓ

Az összes ismert implantátum rendszerrel kompatibilis.

MADE IN GERMANY Tradicionálisan magas minőség.

GYORSASÁG

Idő- és pénzmegtakarítás a fogtechnikusok és a fogorvosok számára.

PRECIZITÁS

Német mérnökök és fogászati szakemberek dolgoznak együtt, hogy tökéletes protetikai rendszert alkossanak.

A PERIIMPLANTÁRIS SZÖVETSTABILITÁS ÉS A PÁCIENS ELÉGEDETTSÉGE AZ AZONNALI IMPLANTÁTUMBEÜLTETÉS UTÁN AZ ESZTÉTIKAI TERÜLETEN

Egy folyamatban lévő prospektív vizsgálat 3 éves nyomon követése

A foghúzás után a gerinc horizontális és vertikális csökkenésével kell számolni. Az azonnali implantátum-beültetés és az ideiglenes fogpótlás olyan életképes kezelési lehetőség, amely segíthet minimalizálni ezeket a változásokat. Jobban megfelelhet a páciens kezeléssel kapcsolatos elvárásainak, csökkentve az időt és az invazivitást. Ennek a prospektív vizsgálatnak a célja, az esztétikai zónában behelyezett egyszeri azonnali implantátumokat körülvevő kemény- és lágyszövetek stabilitásának értékelése, valamint a páciensek elégedettségének felmérése. Összesen 16 implantátumot helyeztek be, és 15-öt tudtak értékelni a 3 éves utánkövetéskor. Ezen időszak után radiográfiai és klinikai adatokat rögzítettünk. A 3 év elteltével némi marginális csontszintcsökkenést észleltek, de ez statisztikailag nem volt szignifikáns. A lágyrészek 3 ponton mérve stabilitást és még jobb pozíciókat mutattak a végleges restauráció beültetésének napjához képest. A betegek elégedettségét a módosított Oral Health Impact Profile (OHIP–14) kérdőív segítségével elemezték, és magas elégedettségi értékekről számoltak be. Egy precíz sebészeti és protetikai protokoll végrehajtása, amikor azonnali implantátumot helyeznek friss extrakciós üregbe, valószínűleg magas túlélési és sikerességi arányokat eredményez, kiváló pácienselégedettséggel párosulva. A 3 éves utánkövetés után kedvező eredmények mutatkoztak. (Int J Periodontics Restorative Dent 2020;40:731-739. doi: 10.11607/prd.4411).

A fogvesztés után az alveoláris csont fiziológiás összeomlása elkerülhetetlen. Ez az összeomlás homorúságot eredményez a gerinc kontúrjának bukkális részén, ami nehézségekhez vezethet az implantátumok ideális elhelyezésében, vagy esztétikai problémákat okoz, ha az implantátumokat az elülső területre helyezik. A gerinc előre kiszámíthatóbb átalakítása érdekében, késleltetett implantátum-beültetési módszereket javasoltak, amelyek alapvetően a foghúzástól az implantátum behelyezéséhez szükséges újrabeültetési eljárásig tartó 6–8 hetes gyógyulási időszakot foglalnak magukban. Az ilyen megközelítés célja, hogy elegendő lágyszöveti érést érjenek el ahhoz, hogy az implantátumot körülvevő beültetett területet első alkalommal le lehessen fedni. A foghúzás utáni azonnali kezelési protokollokat dokumentálták azzal a céllal, hogy minimalizálják a térfogatvesztés mennyiségét és a kezelési időt. A szakirodalomban a socket preservation vagy a regeneratív eljárásokkal kombinált azonnali implan-

tációs terápia olyan klinikai eljárásokként szerepel, amelyekkel ez a cél elérhető. Foghúzás és helyreállítás esetén a páciensek elvárása az, hogy a legrövidebb, kevésbé invazív és a legolcsóbb kezelést alkalmazzuk, úgy tűnik, az azonnali implantációs technika megfelel ezeknek az elvárásoknak. A betegközpontú eredményeket, mint például a kapott kezeléssel való elégedettséget, a klinikusoknak fontos figyelembe venniük, és olyan terápiát kell alkalmazniuk, amelyekkel jobb klinikai eredményeket és a betegek legnagyobb elégedettségét érhetik el. Számos elégedettségi kérdőívet javasoltak, és az Oral Health Impact Profile (OHIP) kérdőívet gyakran dokumentálták. Az OHIP–14 kérdőív adaptációját végezték el, és hogy a beteg számára egyszerűbbé tegyék a kitöltést, az eredeti 49 kérdésből összesen 14-et tettek fel, 4 válaszlehetőséggel.

A tudományos szakirodalomban megjelent eredmények szerint a friss foghúzási üregekbe azonnali implantátumok alkalmazása nagyon eltérő eredményeket hozhat. Az azonnali implantátumok hosszú távú túlélése bizonyítottan kiváló, de vannak aggályok az esztétikai szövődményekkel kapcsolatban, amelyek veszélyeztethetik a kezelés sikerét, mint például az arc ínyszövetek vándorlása.

Ennek a folyamatban lévő prospektív vizsgálatnak a célja, hogy egy prospektív, egykaros vizsgálatból származó, azonnali implantátumok 1 és 3 éves követési adatainak összehasonlító értékelését nyújtsa, elemezve a sikerességi arányt, a lágy- és keményszöveti változásokat, valamint a páciensek elégedettségét.

Anyagok és módszerek

Sebészeti eljárás

Tizenöt beteg 16 egyszeres implantátumot kapott, amelyeket közvetlenül a foghúzás után helyeztek be a maxilla esztétikai területére (második premoláris a második premolárishoz). A következő kizárási kritériumokat alkalmaztuk:

– 20 és 75 év közötti egészséges alanyok

– Páciensek, akiknek az elülső régióban (15. fogtól a 25. fogig; FDI pozíció) egyetlen foguk van

– Ép foghüvelyfalak foghúzás után

– Dehiszcencia hiánya a bukkális csont legkoronálisabb

4 mm-ében

40 e-Journal IMPLANTOLÓGIA

1. ábra: (a) Kiindulási helyzet. (b) Atraumatikus foghúzás és lebeny nélküli implantátumbeültetés és (c) bukkális rés kitöltése alloplasztikus anyaggal. (d) Azonnali ideiglenes rögzítés adhezív protézissel. (e és f) Röntgenfelvételek az üreg lezárásáról. (g) Lágyszöveti gyógyulás 10 hét után.

– Közepesen vastag lágyszöveti biotípussal rendelkező betegek

– Elegendő apikális csont az implantátum megfelelő rögzítéséhez/elsődleges stabilitásához (4-5 mm).

Az alábbi jellemzőkkel rendelkező betegeket kizárták a vizsgálatból:

– Akut fertőzés jelenléte

– Sérült bukkális csontfal foghúzás után

– Lehetetlen megfelelő implantátummal elsődleges stabilitást elérni a natív csontban

– Az implantátum behelyezéséhez vagy a csont regenerálásához szükséges lebeny hiánya

– Napi 10 cigarettánál többet szív el egy nap

– Daganatellenes kemoterápia vagy sugárkezelés az előző évben

– Hajlandóság hiánya a beleegyező nyilatkozat aláírására.

A fogakat atraumatikusan húzták ki elevátorok és csipeszek segítségével. Az alveoláris falak a foghúzás előtt és után is épek voltak. A Bone Level Roxolid SLActive implantátumokat (Institut Straumann) metszés nélkül helyezték be. Az implantátum felszíne és a bukkális alveoláris csont belső fala között keletkezett rést alloplasztikus anyaggal (Vivoss, Straumann) töltöttük ki (1. a–c ábra). Membránokat vagy varratokat nem használtunk.

Protetikai eljárás

A műtét napján ideiglenes, rögzített, ragasztott fogpótlást vagy kivehető ideiglenes fogpótlást helyeztek be. Az ideiglenes protézis típusát az okkluzális viszonyok alapján határozták meg. Az ideiglenes fogpótlás kritikus kontúrjának kialakításakor nagy körültekintéssel jártak el, és megpróbálták lemásolni a kihúzott fog kontúrját. Ezzel sikerült elérni a fogágy optimális lezárását, elkerülve a graftanyag szenynyeződését vagy a szájüregbe történő vándorlását (1. d–f ábra). Mivel nem használtunk kötőszöveti graftot, továbbá a Cardaropoli és munkatársai által a foghúzási helyeken történő szöveti éréssel kapcsolatban megállapítottak alapján, az implantátumokat a 6–10 hetes gyógyulási időszakot követően feltártuk, és lenyomatokat vettünk a végleges koronához (1. g ábra). Egyedi cirkónium-dioxid felépítményt (CARES cirkónium-dioxid felépítmény, Institut Straumann) készítettek. Amikor a csavar kiemelkedése a bukkális vagy az inciszális felszínen volt, a testre szabott felépítményt az implantátumhoz csavarozták, és a teljes kerámiakoronát retrakciós zsinór segítségével cementálták be, hogy elkerüljék a szubgingivalis cementextrúziót (2. ábra). Azokban az esetekben, amikor a csavar kilépése az okkluzális vagy palatális felületen volt, egy okkluzális lyukkal ellátott teljes kerámiakoronát cementáltak extraorálisan RelyX Unicemmel (3M ESPE), és mindkét elemet együtt csavarozták az implantátumhoz (3. ábra).

41 VI. ÉVFOLYAM – 2023. 4. SZÁM
1a 1c 1e 1f 1b 1d 1g

Utóértékelés

A betegeket a végleges korona behelyezését követően évente egyszer visszahívták kontrollvizsgálatokra, amelyek során klinikai és röntgenfelvételeket végeztek.

Klinikai értékelés

A plakkindexet és a szondázási vérzést rögzítettük. Az implantátum beültetése után 3 évvel (T3) (2. c ábra) min -

den egyes helyről három függőleges mérést végeztünk az okk luzális síkból a meziális papillához, a zenithez és a disztális papillához parodontális szondával, és összehasonlítottuk az 1 év múlva (T2) végzett azonos mérésekkel (4. ábra). Ezek a távolságok az implantátummal támogatott restaurációt körülvevő lágyszövetek stabilitását, vagy migrációját írják le a végleges korona behelyezésétől (T1) a 3 éves követésig (T3). Ha a T2 és T3 mérések közötti különbség negatív értéket eredményezett, az a lágyrészek koronális előretörésének felelt meg. A statisztikai szignifikanciát Brunner–Langer- teszt tel értékeltük.

Röntgenvizsgálat

A marginális csontszint (MBL) változását az 1 és 3 éves standardizált periapikális digitális röntgenfelvételek (Kodak RVG 6200, Carestream Dental) összehasonlításával értékeltük.

Az MBL-t az implantátum válla és az első látható csontimplantátum érintkezés közötti távolságnak tekintettük. A méréseket a meziális és a disztális oldalon végeztük 150%-os képnagyítás után egy képelemző program (ImageJ,

42 e-Journal IMPLANTOLÓGIA
1.51-es 2. ábra: (a) Végleges koronacementálás és (b) kezdeti helyzet a végleges cementálás után. (c) Arcfelvétel a 3 éves után-követéskor. 3. ábra: (a) A cirkónium-dioxidból készült egyedi felépítményre cementált definitív teljes kerámiakorona és (b) csavarral rögzítve, a bal alsó állcsonti második premoláris helyén.
2a 2c 3a 4a 4b 4c 3b 2b
4. ábra: Klinikai mérés milliméterben a (a) meziális papillánál, (b) zenitnél és (c) disztális papillánál.

KAVOSZ SZÉCHÉNYI LÍZING MAX+

• 5 % fix kamatozás

• 2,5 % szerződéskötési díj

• Önerő 30 %

A-dec 500

Prémium kategóriás alsó/felső karos kezelőegység

5 É V GARANCIA

2003 ÓTA FOLYAMATOSAN ELNYERTE A LEGJOBB KEZELŐEGYSÉG FŐDÍJAT

Csak az a gyártó ad 5 év garanciát a termékére, aki biztos a gyártmánya minőségében

DELUXE vezérlés, 8+4 LED páciens lámpa, NSK NLZ LED-es mikromotor www.a-dec.com/virtual-tour www.dent-east.hu

Az A-dec kezelőegységek szervizeléséhez a vételár mindössze átlagosan 1,97%-át teszi ki az évente vásárolt alkatrész. Ebben az A-dec páratlan.

A-dec 230

Felsőkaros kezelőegység, DELUXE vezérlés, 8+4 LED vagy 4 LED páciens lámpa, NSK NLZ LED-es mikromotor

A-dec 200

Kompakt alsókaros kezelőegység

DELUXE vezérlés, 8+4 LED vagy 4 LED páciens lámpa, NSK NLZ LED-es mikromotor

A-dec/NSK elektromos, nyomaték szabályozott LED-es, ENDO funkciós mikromotor, rpm 100-40000
ÚJ MEGKÖZELÍTÉS! Dr. Faluhelyi Péter egynapos ergonomiai tréningje – ajándék a gép mellé
Keressen bennünket! Telefon: 06 20 943 8109 • 06 20 929 0701 • 06 20 922 8508 E-mail: mail@dent-east.com
„Amit ma megvehetsz, ne halaszd holnapra”
Ügyintézést biztosítunk

verzió, National Institutes of Health) segítségével (5. ábra), a Buser és munkatársai által leírtak szerint.

A beteg elégedettségének értékelése

Két héttel a kezelés befejezése után a pácienseket megkérték, hogy töltsék ki az OHIP–14 kérdőívet, hogy mennyire elégedettek a kapott kezeléssel. A kis OHIP–14 szám a betegek nagyfokú elégedettségéhez kapcsolódik. A legrosszabb esetben a pontszám elérheti a maximális 56 pontot.

Eredmények

Leíró elemzés

Egy beteg az 1 éves utánkövetés előtt elhunyt, a 15 beültetett implantátumból 14-et tudtak újraértékelni az 1 és 3 éves utánkövetéskor. Az implantátumok követési ideje 32 hónap és 53 hónap közé tehető, így átlagban 39 hónappal számolhatunk. A 3 év elteltével valamennyi implantátum továbbra is oszteointegrált és működőképes volt, ami 100%-os imp-

lantátumtúlélési arányt jelent. A betegek demográfiai adatait és a kezelés részleteit az 1. táblázat tartalmazza.

Klinikai eredmények

Minden betegnél megfelelő Plaque Index-pontszámot mutattak ki, és a szondázáskor nem volt vérzés. A lágyrészek értékelésénél a három vertikális klinikai mérés összehasonlítása a T2 és T3 időpontban kisebb eltéréseket mutatott. A vertikális lágyrész-remodelling 0,5 mm–1 mm között mozgott (2. táblázat).

A legmagasabb átlagérték a meziális papilla esetében volt, ahol 0,14 ± 0,57 mm (átlag ± SD) lágyrész-migrációt észleltünk (P = .740). Ezen a ponton a lágyrészek -0,29 ± 0,32 mm-t változtak T1 és T2 között (P = .002). Összességében -0,14 ± 0,50 mm lágyrész-gyarapodást figyeltünk meg T1 és T3 között (P = .162). A zenitben a lágyrészek 0,11 ± 0,45 mm-es javulását tapasztaltuk T2 és T3 között (P = .067). T1 és T2 között -0,14 ± 0,36 mm-es változást tapasztaltunk a lágy tis-sue-ban (P = .083). Összességében -0,25 ± 0,58 mm lágyrész-gyarapodás volt megfigyelhető a T1 és a T3 között (P = .01). A disztális papillánál pontosan ugyanezeket az értékeket tapasztaltuk a T2 és a T3 között (0,11 ± 0,45 mm; P = .061). A T1 és T2 között -0,21 ± 0,43 mm különbség volt megfigyelhető (P = .086). Összességében a T1 és T3 között -0,32 ± 0,54 mm lágyrész-gyarapodás volt megfigyelhető (P = 0,010).

Radiográfiai eredmények

A T2 és T3 radiográfiai méréseket a 3. táblázat mutatja. A mesialis oldalon az MBL 1 év után 0,18 ± 0,48 mm, 3 év után pedig 0,35 ± 0,59 mm volt. A disztális oldalon az MBL 1 év után 0,26 ± 0,54 mm, 3 év után pedig 0,40 ± 0,80 mm volt. Az MBL tehát a 3 év alatt nőtt, 0,17 ± 0,53 mm-rel mesialisan (P = .073) és 0,14 ± 0,31 mm-rel distalisan (P = .060), de statisztikailag nem volt szignifikáns.

Table 1 Patient Demographics and Treatment Characteristics

táblázat: A betegek demográfiai és kezelési jellemzői. MH = kórtörténet; AP = korábbi apikális patológia; PP = ideiglenes protézis; DP = végleges protézis; S = csavarozott; C = cementált. A dohányosok napi < 10 cigarettát fogyasztottak. Az „Idő” oszlop a végleges restauráció beadásának időpontjára

MH = medical history; AP = previous apical pathology; PP = provisional prosthesis; DP = definitive prosthesis; S = screwed; C = cemented. Smokers consumed < 10 cigarettes per day. The “Time” column pertains to time of definitive restoration delivery.

44 e-Journal IMPLANTOLÓGIA
736 Patients’ Satisfaction Results ridges.16,17 One goal of immediate implant protocols is minimizing the ate provisional crown following the emergence profile of the extracted
5. ábra: Periapikális röntgenfelvétel (a) standard nagyításban és (b) ×150-es nagyításban a marginális csontszint méréséhez.
Implant Age, ySexSmokerMH Position (FDI)AP Diameter, mm Length, mmPPDPTime, d 1 60 F NoNo22No3.312Maryland S 91 2 64 M NoNo12No3.312Maryland S 85 3 32 F Yes No14No4.112Maryland S 113 4 49 F Yes No15No4.110Maryland S 71 5 49 F Yes No25No4.112Maryland S 71 6 59 M NoNo25No4.112Maryland S 95 7 64 F NoNo11No4.114Maryland C 105 8 45 M Yes No24No4.112Maryland S 117 9 64 F NoNo23No4.112Removable C 89 1054 F NoNo25No4.110Maryland S 119 1164 M NoNo12 Yes 3.312Maryland C 95 1266 F NoNo25No4.112Maryland S 85 1367 F NoNo15No4.110Removable S 98 1433 F NoNo25No4.114Maryland S 71 1557 F NoNo22No3.312Maryland S 101 1654 F Yes No14 Yes 4.110Maryland S 87
5a 5b
1. vonatkozik.

results were platforms shifted to the the socket.26

Cooper et al24

results were platforms shifted to the the socket.26

Cooper et al24 diameter reported.

diameter reported.

55 implants extraction sockets, in diameter.

missing in studies et al13 but understand these differences, since to play an appearance of recession.26

used in the or 3.3 mm, always taken the palatal socket. Caneva reducing the and shifting into a more position would inbetween the margin and the interface, conseappearance of study, favorable present after The MBL valcomparable to the Testori et al28 or same implant clinical valtwo periods T1–T2 and investigation, papilla was but after 3 in a better the day of

55 implants extraction sockets, in diameter. missing in studies et al13 but understand these differences, since to play an appearance of recession.26 used in the or 3.3 mm, always taken the palatal socket. Caneva reducing the and shifting into a more position would inbetween the margin and the interface, conseappearance of study, favorable present after The MBL valcomparable to the Testori et al28 or same implant clinical valtwo periods T1–T2 and investigation, papilla was but after 3 in a better the day of

Table

Table 2 Differences of Measurements in the Mesial Papilla, Gingival Zenith, and Distal Papilla Between T2 and T3

bukkális csont közötti rés kitöltése bioműanyaggal, valamint az ideiglenesség. Ezeket a szempontokat figyelembe kell venni a gerinc összeomlásának minimalizálása érdekében, amint azt Tarnow és munkatársai, illetve Degidi és munkatársai nemrégiben végzett tanulmányai is bizonyították. Fontos, hogy a rést csontpótló bioanyaggal töltsük ki, és a kihúzott fog kimeneti profilját követően azonnali ideiglenes koronával zárjuk le a tok bejáratát. Jelen tanulmányban egy ideiglenes fogat (tapadó vagy kivehető) gondosan adaptáltunk a tok lezárására, amely tartalmazza az alloplasztikus bioanyagot, továbbá megőrzi a lágyszöveti architektúrát. Bár a rövid és középtávú implantátum-beültetést vizsgáló tanulmányok többnyire sikerességről számolnak be, a hoszszú távú tanulmányok eltérő eredményeket mutatnak.

2. táblázat: A meziális papilla, gingivális zenit és a disztális papilla méréseinek különbségei a T2 és a T3 között.

Differences were calculated by subtracting T2 measurements from T3 measurements.

T2 = 1 éves követés; T3 = 3 éves követés; M = meziális papilla; GZ = gingivális zenit; D = disztális papilla. A különbségeket a T2 mérések és a T3 mérések kivonásával számították ki.

Table 3 Radiographic Measurements on Standardized Periapical Radiographs at Mesial and Distal Aspects at T2 and T3

T2 = 1-year follow-up; T3 = 3-year follow-up; MT2 = mesial measurement at T2; DT2 = distal measurement at T2; MT3 = mesial measurement at T3; DT3 = distal measurement at T3.

3. táblázat: Radiográfiai mérések a standardizált periapikális röntgenfelvételeken a meziális és a disztális oldalon T2 és T3 időpontban.

T2 = 1 éves követés; T3 = 3 éves követés; MT2 = meziális mérés T2-ben; DT2 = disztális mérés T2-ben; MT3 = meziális mérés T3-ban; DT3 = disztális mérés T3-ban.

QUINTESSENCE PUBLISHING CO, INC. PRINTING OF THIS DOCUMENT IS RESTRICTED TO PERSONAL USE ONLY. REPRODUCED OR TRANSMITTED IN ANY FORM WITHOUT WRITTEN PERMISSION FROM THE PUBLISHER.

A betegek elégedettségi eredményei

Minden beteg kitöltötte az OHIP–14 kérdőívet. A 6. ábra összefoglalja a betegek válaszait. A betegek 73,3%-a említette a táplálékbevitellel kapcsolatos nehézségeket, ugyancsak gyakori volt a beszéd közben a kiejtés bizonyos mértékű megváltozása (46,7%), az aggodalom (26,7%) vagy az idegesség (33,3%).

Megbeszélés

Humán szövettani vizsgálatok arról számoltak be, hogy a friss foghúzási üregekbe ültetett implantátumok osszeointegrációja hasonló a gyógyult gerincekbe ültetett implantátumokéhoz. Az azonnali implantációs protokollok egyik célja a foghúzást követő dimenzióváltozások minimalizálása, továbbá ennek következtében a stabil periimplantáris kemény- és lágyszöveti architektúra elérése. Az ilyen protokollok különböző szempontokat vesznek figyelembe, mint például a helyes 3D implantátumpozíció, az implantátum geometriája, a bukkális csont jelenléte, az implantátumnyak és a

A hasonló azonnali implantációs protokollok eredményei közötti különbségek további vizsgálatot igényelnek. A korábban említett tanulmányok némelyikéből hiányzik például a felhasznált implantátumok geometriájának és méreteinek leírása. Evans és Chen publikációjában a sikertelen eredmények a szélesebb implantátumplatformokkal (4,8 mm), és a tok bukkális rekeszébe eltolt implantátumokkal voltak összefüggésben. Csak Cooper és munkatársai tanulmányában közölték az implantátum átmérőjét. Értékelésükben a friss extrakciós üregekbe ültetett 55 implantátum közül 25 implantátum átmérője 5 mm volt. Ez az információ hiányzik Cosyn és munkatársai, illetve Kan és munkatársai tanulmányaiból, de hasznos lenne a fent említett különbségek megértéséhez, mivel úgy tűnik, hogy az implantátum átmérője fontos szerepet játszik a kellemetlen arcszöveti recesszió megjelenésében. A jelen tanulmányban használt implantátum-átmérők 4,1 vagy 3,3 mm-esek voltak, illetve mindig nagy gondot fordítottak arra, hogy az implantátumot a tok palatális rekeszébe helyezzék be. Caneva és munkatársai arra a következtetésre jutottak, hogy az implantátum átmérőjének csökkentése, és az implantátum helyzetének palatálisabb vagy lingválisabb pozícióba való áthelyezése mérsékli a távolságot a vestibuláris ínyszegély és az implantátum protézisfelülete között, következésképpen csökkenti az arcbőr recessziójának megjelenését.

Jelen vizsgálatban a 3 éves utánkövetés után kedvező radiológiai eredmények születtek. A kapott MBL-értékek öszszehasonlíthatóak a Testori és munkatársai vagy Buser és munkatársai által ugyanezen implantátumrendszer alkalmazásával közölt értékekkel.

A jelen vizsgálatban a két mért időszakban (T1–T2 és T1–T3 között) kapott klinikai értékek elemzésekor 1 év után a meziális papilla hanyatlása volt kimutatható, 3 év után azonban a papilla a végleges restauráció napjához képest jobb helyzetben volt. A T2–T3 között stabil helyzetet találtunk. A T1–T3 mérések közötti általános különbséget úgy kell értelmezni, hogy a meziális papilla a 3 év alatt megmaradt. A zenitnél és a disztális papillánál kapott eredmények arra utalnak, hogy a végleges restauráció napja és a 3 évvel későbbi időpont között jelentős javulás következett be.

A páciensek elégedettségét illetően kevés kérdőívet publikáltak a fogászat területén, és ezek használata is ritkán fordul elő. Schropp és munkatársai 2003-ban a vizuális analóg skála (VAS) segítségével arra a következtetésre jutottak, hogy az azonnali implantációs kezelésen átesett betegek csoportja szignifikánsan elégedettebb volt, mint a korai implantátum-beültetéssel kezelt betegek. A jelen vizsgálatban használt elégedettségi kérdőív az OHIP–14 volt, amelyet az egyik leggyakrabban használnak, és a VAS-kérdőívvel ösz-

46 e-Journal IMPLANTOLÓGIA
737
Volume 40, Number 5, 2020
Implant M, mm GZ, mm D, mm 1100 21 –0.5 0 30 –0.5 0 40 –1 –0.5 5000 6010 7 0.5 0 –0.5 8–––9 0.5 0 0.5 10 0.5 0 0.5 11 0.5 0 0.5 12 –0.5 0 –1 13 000 14 –0.5 0 –0.5 15 –1 –0.5 –0.5 Average 0.14 ± 0.57–0.11± 0.45–0.11± 0.45 T2 = 1-year follow-up; T3 = 3-year follow-up; M = mesial papilla; GZ = gingival zenith; D = distal papilla. Differences were calculated by subtracting T2 measurements from T3 measurements. Table 3 Radiographic Measurements on Standardized Periapical Radiographs at Mesial and Distal Aspects at T2 and T3 ImplantMT2, mmDT2, mmMT3, mmDT3, mm 1 0.801.470.702.32 20000 30 0.680.781.56 40000 50000 60000 70000 80 1.90 90000 10 1.681.461.921.66 11 0000 12 00 1.11 0 13 0000 14 0000 15 00 0.33 0 Average 0.18 ± 0.480.26 ± 0.540.35 ± 0.590.40 ± 0.80 T2 = 1-year follow-up; T3 = 3-year follow-up; MT2 = mesial measurement at T2; DT2 = distal measurement at T2; MT3 = mesial measurement at T3; DT3 = distal measurement at T3. QUINTESSENCE PUBLISHING CO, INC. PRINTING OF THIS DOCUMENT
Volume 40, Number 5, 2020 737
IS RESTRICTED TO PERSONAL USE ONLY. REPRODUCED OR TRANSMITTED IN ANY FORM WITHOUT WRITTEN PERMISSION FROM THE PUBLISHER.
Implant M, mm GZ, mm D, mm 1100 21 –0.5 0 30 –0.5 0 40 –1 –0.5 5000 6010 7 0.5 0 –0.5 8–––9 0.5 0 0.5 10 0.5 0 0.5 11 0.5 0 0.5 12 –0.5 0 –1 13 000 14 –0.5 0 –0.5 15 –1 –0.5 –0.5 Average 0.14 ± 0.57–0.11± 0.45–0.11± 0.45 T2 = 1-year follow-up; T3 = 3-year follow-up; M = mesial papilla; GZ = gingival zenith; D = distal papilla.
2 Differences of Measurements in the Mesial Papilla, Gingival Zenith, and Distal Papilla Between T2 and T3
ImplantMT2, mmDT2,
mmDT3, mm 1 0.801.470.702.32 20000 30 0.680.781.56 40000 50000 60000 70000 80 1.90 90000 10 1.681.461.921.66 11 0000 12 00 1.11 0 13 0000 14 0000 15 00 0.33 0 Average 0.18
mmMT3,
± 0.480.26 ± 0.540.35 ± 0.590.40 ± 0.80

Legyen Ön is a VIP Dental partnere!

Szeretne folyamatos, kiszámítható és tervezhető, passzív bevételre szert tenni?

Mit nyújtunk?

Közel 20 éves szakmai tapasztalatot a fogászat, mind a fül-orr-gégészet területén.

Legmodernebb, digitális rendszerű csúcstechnológiás gépekkel a legmagasabb minőségű tűéles felvételeket.

Páciensközpontú szemléletünknek köszönhetően gyors és precíz ügyintézést, az ország 4 frekventált helyén lévő centrumainkban. (4,8 google értékelés több, mint 1000 páciens visszajelzése alapján)

Negyedéves legális pénz visszafizetést a páciens forgalom után, vagy bónuszpontokat, amit beválthat bármilyen fogászati eszközre amire csak szüksége van!

Folyamatos CBCT képzéseket!

Orvoslátogatóink bármikor felkeresik Önt, amennyiben gondjuk lenne.

4,8-as átlag

Mit jelent ez nekünk?

Örömünkre szolgál, hogy folyamatosan Önnel együtt fejlődhetünk és kamatoztathatjuk szakmai tudásunkat.

Amennyiben felkeltettük érdeklődésüket, és szeretnének partnerünkké válni, vagy már partnerünk, de nincs még szerződése, kérem keressen engem bizalommal az alábbi elérhetőségemen: iroda@vipdental.hu

Tisztelettel

Vékony
Tibor ügyvezető
www.vipdental.hu info@vipdental.hu
Budán, Pesten, Székesfehérváron, Debrecenben
Tel: 0613361168

1. Kiejtés

2. Ízérzékelés

3. Fájdalom

4. Étkezés

5. Aggodalom

6. Idegesség

7. Étrend

8. Az étkezés megszakítása

9. Pihenés

10. Szégyenérzet

11. Ingerlékenység

12. Munka

13. Életminőség

14. Alkalmatlanság

szehasonlítva nagyobb standardizáltságot kínál. A jelen tanulmány eredményei alapján a szerzők megerősíthetik, hogy az azonnali implantátumokkal (lebeny nélküli műtéttel és azonnali ideiglenes restaurációval) végzett kezelés magas páciensi elégedettséget eredményez. Az OHIP–14 kérdőív megválaszolása után kapott átlagérték (3,2 a maximális 56ból) a legrosszabb lehetséges eredmény jelzésére szükséges pontok 5,7%-át jelenti, ami a 0%-tól 100%-ig terjedő skálán 94,3%-os általános elégedettségként értelmezhető.

the OHIP-14 of a maximum 5.7% of cate the which can general to 100%. These those concluded who applied In more with a generally burden fied: worrying to a lesser diet and One this study ple. This clinical setting tigator (A.B.P.). and a larger tribute to this investigation.

ték. Hosszabb távú eredmények és nagyobb mintanagyság hozzájárulna a vizsgálat eredményeinek megerősítéséhez.

Conclusions

Következtetések

Ezek az eredmények hasonlóak az Esposito és munkatársai által megállapítottakhoz, akik VAS-kérdőívet alkalmaztak. Több olyan kérdést azonosítottak, amelyek általában nagyobb gyakorisággal jelentenek terhet a betegek számára: aggodalom vagy idegesség, kisebb mértékben az étrend megváltoztatása és az étkezések megszakítása.

A vizsgálat egyik fő korlátja a kis betegminta. Ezt a vizsgálatot a vizsgálatvezető (A.B.P.) klinikai környezetében végez-

final restoration. Between T2–T3, a stable situation was found. The overall difference between T1–T3 measurements has to be interpreted as maintenance of the mesial papilla during the 3 years. The results obtained at the zenith and the distal papilla suggest that there has been a significant improvement between the day of final restoration and 3

undergoing immediate implant treatment were significantly more satisfied than patients undergoing treatment with early implant placement. The satisfaction questionnaire used in the present study is the OHIP-14. This questionnaire is one of the most frequently used, offering greater standardization in comparison to the VAS questionnaire.9 According

A pontos sebészeti és protetikai protokoll alkalmazása az azonnali implantátumok friss extrakciós üregekbe történő beültetésekor, az esztétikai zónában magas túlélési és sikerességi arányokat, valamint kiváló páciensi elégedettséget eredményezhet. A 3 éves utánkövetés után kedvező eredmények mutatkoztak. A jobb megértés, a stabil és kiszámítható esztétikai eredmények elérése érdekében az új vizsgálatoknak tartalmazniuk kell az alkalmazott azonnali implantátumok jellemzőivel, az igénybe vett klinikai protokollokkal, és a bukkális csont 3D-s értékelésével kapcsolatos összes információt, egy legalább 5 éves követési időszak után.

The application gical and placing extraction zone may success

up, favorable For to achieve

48 e-Journal IMPLANTOLÓGIA
6. ábra: Az OHIP–14 kérdésekre adott betegelégedettségi válaszok százalékos megoszlása (összegezve).
Gyakran 738
Soha Ritkán Alkalmanként
satisfaction.
53.3 46.7 80 100 100 100 100 100 100 100 93.3 80 26.7 66.7 73.3 13.36.7 6.7 6.7 13.3 13.3 13.3 20 20 60 6.7
Fig 6 Percentage distribution of patient satisfaction responses to the OHIP-14 questions (summarized).
1. Pronunciation
2. Taste
3. Pain 4. Eating
5. Worry
6. Nervousness
7. Diet
8. Interruption of meals 9. Relax 10. Shame 11. Irritability
12. Job
0% 25% 50% 75% 100% Never Rarely Occasionally Often
13. Life in general 14. Inability

Empowering Predictability

KIZÁRÓLAGOS MAGYARORSZÁGI FORGALMAZÓ alphaimplant.hu powered by TM Launch!
Immediacy
and Performance in

A KERÁMIÁBÓL KÉSZÜLT FOGÁSZATI IMPLANTÁTUMOK

OSSZEOINTEGRÁCIÓJÁNAK ELŐSEGÍTÉSE

Bevezetés

A hagyományos szájsebészeti és orális implantológiai szemlélet az implantátumok eseménytelen gyógyulására, valamint az ehhez – az implantátumok osszeointegrációjához szükséges lokális körülményekhez –, tehát a megfelelő minőségű és mennyiségű csont- és lágyrészvolumen biztosítására helyezi a hangsúlyt. Ezen filozófia követői ritkán fordítják a figyelmüket a szájüreg határain kívül eső állapotokra és körülményekre. Csontpótló beavatkozások végzése esetén hagyományosan négy különböző módszer közül választhatunk a hiányzó csontvolumen pótlása során: az osszeoindukció (növekedés faktorok), az osszeokondukció (a „csontpótló anyag” helyfenntartó szerepet tölt be és vázként szolgál az új csontállomány kialakulása számára), a disztrakciós oszszteogenezis és az irányított csontfelépítés (Guided Bone Regeneration, GBR).

A biológiai fogorvoslásban a funkcionális medicina gyakorlása során megszerzett ismereteket és tapasztalatokat ötvözünk olyan faktorokkal, mint például a megfelelő tápanyagok biztosítása. Erre jó példa lehet, amikor a tervezett implantológiai beavatkozások és az azt követő kemény- és lágyszöveti regeneráció sikerességét célzott mikronutriens bevitellel akarjuk fokozni. Ebben az esetben a gyógyulást elősegítő szisztémás feltételek rendezésével akarjuk a beavatkozások sikerességét elősegíteni.

Lokális faktorok

Az „intelligens” kemény- és lágyszöveti regenerációhoz szükséges körülmények közé tartozik a műtéti terület fertőtlenítése (lehelet, nyál), a lokális növekedési faktorok (IGF1, oszteoblasztok, plazmaproteinek) a csontállomány megfúrásával és részleges dekortikálásával (megpontozásával) történő aktiválása, és a csontállomány intelligens bioanyagok alkalmazásával (PRF-membrán) történő stimulációja. Az intelligens bioanyagok alkalmazása esetén az extracelluláris mátrix erősebb lesz és ennek eredményeként ideálisabb kemény- és lágyszöveti helyzet kialakulására számíthatunk. A minimálinvazív technikák alkalmazása (piezzo sebészet), az ózon használata, a navigált implantátumbehelyezés lehetősége, a CBCT-felvételek által biztosított részletgazdag

képi információk elérhetősége lényeges fejlődést hozott a fogorvostudomány területére. A jelenlegi trendek egyértelműen az esztétika és az egészség felértékelődésének irányába mutatnak. Manapság már a kerámiaimplantátumok használata sem számít tabunak. A kerámiából készült implantátumok napjainkban már az implantológia jövőjét jelentik. Mindezek ellenére a jelenleg operáló sebészek kevesebb

50 e-Journal IMPLANTOLÓGIA
1. ábra: A Csontregenerációt elősegítő protokoll (Bone Healing protokoll) áttekintése. 2. ábra: Kiindulási panorámaröntgen.

mint egy százaléka alkalmazza ezeket az implantátumokat. Jelen cikk szerzője saját tízéves tapasztalatára alapozva (ez idő alatt megközelítőleg 4000 darab kerámiából készült implantátumot helyezett be) kijelentheti, hogy a magas sikerességi arány eléréséhez tisztában kell lennünk a műtéti területre vonatkozó sebészi és a páciens általános egészségi állapotára vonatkozó szisztémás információkkal. A kerámiaimplantátumok behelyezését követően a műtéti terület gyulladásmentesen gyógyul. Azonban ez a jelenség további kérdéseket vet fel. Gyakorlatilag senki sem rendel-

kezik teljes körű ismeretekkel a szervezetben lezajlódó biokémiai folyamatokkal kapcsolatban. A kerámiaimplantológia területén fontos, hogy a funkcionális medicinából származó táplálkozással és mikronutriensekkel kapcsolatos ismereteket is felhasználjuk annak érdekében, hogy felkészítsük a szervezetet az osszeointegrációhoz szükséges „átépülési fázis” során jelentkező kihívások leküzdéséhez. Következésképpen kiemelt figyelmet fordítunk a pácienseink életvitelére, továbbá a páciensek szervezetének szisztémás műtéti előkészítésére is legalább akkora figyelmet kell fordítani, mint a műtétet követő célzott utógondozás megszervezésére.

Intelligens kemény- és lágyrész menedzsment

Szisztémás feltételek: A műtéti előkészítés és a megfelelő táplálékbevitel biztosítása. A káros táplálékok bevitele, amelyek cukrot, búzát, finomított étolajat és hagyományos tejtermékeket is tartalmaznak („CORE FOUR-Krankmacher“), a különböző ételintoleranciák jelentős mértékben fokozzák a szervezetben kialakuló gyulladásos válaszreakciók intenzitását. A nem megfelelő táplálkozás esetén ugyanígy kialakulhat a mikro- és makronutriensek hiánya. Ide soroljuk a fehérje és aminosav deficitet, a zsírban oldódó D-, E-, K-, A-, valamint a vízben oldódó B- és C-vitaminok, valamint a cink, a magnézium, az Omega-3 és Omega-6 zsírsavak hiányát. Ezek a tápanyagok és nyomelemek ugyanúgy elengedhetetlenek a kemény- és lágyszövetek megfelelő regenerációjához. A célunk, hogy a pácienseinket a lehető legjobban felkészítsük a műtéti beavatkozás elviselésére. A műtéti előkészítés során főként a megfelelő makronutriensek biztosítására és a lehető legtöbb stresszfaktor kiiktatására fókuszálunk. Az előbbiekben említett négy káros alapanyagot (cukor, búza, finomított étolaj, tej és tejtermékek) pedig lehetőség szerint kerülni kell.

Dr. Weston Price közel 100 évvel ezelőtt több népcsoport egészségi állapotát és táplálkozási szokásait is vizsgálta. A vizsgálatának eredményeit az általa megírt könyvben publikálta (Nutrition and Physical Degeneration). A megfigyelései szerint azokat az embereket, akik a test szükségleteinek megfelelően étkeztek, gyakorlatilag elkerülték a betegségek. Viszont az utódaiknál, akik már ipari módszerekkel feldolgozott élelmiszereket is fogyasztottak, már az immunrendszer és a test degenerációjára utaló jeleket lehetett megfigyelni. Ennek a jelenségnek a hátterében azt vélelmezte, hogy ezek az emberek már nem jutottak hozzá megfelelő mennyiségben bizonyos tápanyagokhoz. Véleménye szerint az emberi test felépítésében (csontállomány, lágyrészek, izmok stb.) résztvevő legfontosabb makronutriensnek a különböző fehérjék számítanak.

Fehérjék és aminosavak –az élet építőelemei

Annak ellenére, hogy az emberi testben található fehérjék felépítésében 20 különböző aminosav vesz részt, közöttük csupán nyolc olyan van, amelyet kizárólag a táplálkozás során tudunk felvenni.

51 VI. ÉVFOLYAM – 2023. 4. SZÁM
Ezeket esszenciális aminosavaknak ne- 3. ábra: A kiindulási állapotról készített szájüregi felvételek. 4. ábra: Az implantátumokon rögzülő fogpótlások elkészítése előtt készített felvételek. 5. és 6. ábra: Az implantátumokon rögzülő fogpótlások átadását követően készített felvételek.

vezzük. Az izoleucin, a leuin, a lizin, a metionin, a fenilalanin, a treonin, a triptofán és a valin azok az építőelemek, amelyeket esszenciális aminosavként tartunk számon. Amennyiben ezek az aminosavak kellő mennyiségben rendelkezésre állnak, úgy az emberi szervezet képes ezekből az összes emberi testben található fehérje felépítésére.

Számtalan olyan tanulmányból tudnánk idézni, amelyben rámutatnak a renyhe csontregeneráció, a csökkent csontvolumen, valamint a csonttöréseket követő lassú gyógyulás és a fehérje- vagy aminosav-deficit közti összefüggésekre. A páciensek életkorának növekedésével ezek az összefüggések még szorosabbá válnak. Dayer és mtsai. már egy 2006-ban végzett állatkísérlet eredményeként leírták, hogy a titánból készült implantátumok osszeointegrációja zavart szenved a fehérjedeficittől (< 1g/testsúlykilogramm) szenvedő patkányokban. A megfelelő fehérjebevitellel rendelkező patkányokhoz képest (=1g/testsúlykilogramm) a fehérjehiányos patkányokban 43%-kal kisebb erővel tudták az implantátumokat a behelyezésüket követően 6-8 héttel eltávolítani. Hannan és mtsai. 4 éves időtartam alatt 391 női és 224 férfi páciens adatai vizsgálták. A vizsgálat alanyai a Framingham Osteoporosis kutatási programban vettek részt. A vizsgálatuk során megállapították, hogy a vizsgált páciensek által felvett táplálékban található állati eredetű fehérjék hiánya és a csontveszteség mértéke között közvetlen összefüggés áll fent. Minél nagyobb volt az állati eredetű fehérjék hiánya, annál nagyobb mértékű csontveszteség alakult ki a combcsontnak és a gerincoszlopnak megfelelően. Ugyanakkor nem találtak negatív összefüggést a fokozott proteinbevitel és a csontgyógyulás üteme között. Következésképpen a megfelelő mennyiségű fehérjebevitel biztosítását helyeztük az általunk végzett terápia középpontjába. Mivel fontos, hogy a gyógyulási időszak alatt mind a makro-, mind a mikronutriensek megfelelő mennyiségben rendelkezésre álljanak, ezért azt javasoljuk, hogy a napi fehérjebevitel mértéke érje el az 1,5-2 g/testsúlykilogrammos értéket. Annak érdekében, hogy a testet megfelelő mértékben lúgosítsuk, minden egyes étkezés során egy adag zöldség elfogyasztását javasoljuk, ugyanígy az egészséges zsírsavak sem hiányozhatnak. Az Omega-3 és más egyszeresen vagy többszörösen telítetlen zsírsavak a napi táplálékbevitel elengedhetetlen részét képezik. A napi fehérjeszükséglet biztosításában jelentős szerepet játszanak a kollagénporok, az esszenciális aminosavak, a csontleves és a fehérje shake-

ek fogyasztása. A rendelőnkben hagyománya van a páciensek általános állapotának a táplálékbevitel korrekciójával történő optimalizálásának. Véleményünk szerint a megfelelő tápanyagok biztosítása elengedhetetlen a sebészi beavatkozások sikerének biztosításához, ezért a páciens táplálkozásának rendezésére mint a sebészi protokollunk egyik fontos részére tekintünk.

Mikronutriensek

Az általunk alkalmazott „Csontregenerációt elősegítő protokoll” (Bone Healing protokoll) alapjául a nagy mennyiségben bevitt D3-as vitamin szolgál. A sebészi beavatkozások elvégzése előtt vért veszünk a páciensektől, és laboratóriumi vizsgálatok segítségével ellenőrizzük a D3-as vitamin vérben található koncentrációját. Az optimális regeneráció biztosítása érdekében célunk a legalább 60 ng/ml-es koncentráció elérése. Számtalan vizsgálat eredménye igazolta, hogy a megfelelő mennyiségben rendelkezésre álló D3-vitamin elengedhetetlen a csontállomány és a fogat alkotó keményszövetek regenerációjához.

A D3-vitamin fontos szerepet tölt be két, a csontállomány mineralizációjáért felelős enzim aktiválásában (osteokalcin (BGP), mátix-gla-protein (MGP)). Annak érdekében, hogy ne történjen meg a kálcium artériák lumenén belül történő lerakódása, egy további kofaktor jelenlétére is szükség van az előbbiekben felsorolt enzimek aktiválásához. Ez a K2-vitamin (MK-7). A magnézium szintén egy fontos kofaktornak számít, nagyjából 400 különböző anyagcsere-folyamatban vesz részt. A cink a megfelelő immunműködés fenntartásában és kofaktorként a D3-vitamin receptor aktiválásában is részt vesz. A bór (nyomelem) pedig megduplázza ennek a receptornak a fél életidejét. Mivel a mikronutriensek által modulált folyamatok között szinergia áll fent, ezért a különböző B-vitaminoknak, a C-vitaminnak és az Omega-3-as zsírsavaknak megfelelő mennyiségben kell rendelkezésre állniuk a gyógyulási fázis során.

Összefoglalás

A sebészi beavatkozások sikerét a fogorvosi beavatkozásoknál megszokott rendkívül precíz manuális készségek biztosításán kívül a funkcionális medicinából származó ismeretek felhasználásával és a táplálékbevitel optimalizálásával akarjuk tovább növelni. Ezáltal tovább tudjuk erősíteni az egyes páciensek gyógyhajlamát, és optimálisabb körülményeket biztosítunk a kemény- és lágyszövetek gyógyulásához. Ennek eredményeként sokkal jobb eredményekre számíthatunk a kerámiaimplantátumok behelyezését követően lezajló gyógyulási időszak alatt. Az erőfeszítéseink eredményeként lényegesen kisebb a szövődmény kialakulásának az esélye, ami végső soron a pácienseink egészségének, boldogságának és megelégedettségének növekedéséhez vezet.

Forrás: Cosmetic Dentistry 2021; 3 6-8

52 e-Journal IMPLANTOLÓGIA
7. ábra: A fogpótlások átadását követően készített panorámaröntgen.
Önthető fejek akár 25°-os változatban is! ONLINE RENDELÉS AZONNAL WEBSHOPBÓL Kompatibilis implantfejek különböző implantációs rendszerekhez +36 70 384 0366 ...és ami mögötte van biztos megoldás a fogászati szakma elérésére

FELSŐ NAGYŐRLŐFOG PÓTLÁSA IMPLANTÁTUM ÉS AZONNALI IDEIGLENES PÓTLÁS SEGÍTSÉGÉVEL

A hiányzó fogak pótlására szolgáló implantátumok bevezetése teljesen átformálta a protetikai eljárásokat. Azáltal, hogy lehetőség nyílik a hiányzó fog rögzített pótlással történő helyettesítésére, nem a szomszédos fogakon támaszkodik a pótlás. Az implantációs fogászat korszakának kezdetén, a kétlépcsős eljárásokat a műtét napjától a terhelésig tartó három-hat hónapos várakozási idő követte [1]. Annak érdekében, hogy a páciensek számára jobb kezelési élményt érhessünk el, fejlődött a gyártási technológia, in-

novatív eljárások jöttek létre, illetve a klinikai és preklinikai vizsgálatok révén sikerült a biológiai tudástárat is bővíteni. Az implantátumok azonnali terhelése ma már elterjedt kezelési eljárásnak számít, és gyakran alkalmazzák az elülső maxilláris régióban. A fogászati implantátumok ideiglenes pótlásokkal egyidejű beültetése azonban a hátsó régióban is előnyökkel járhat, ideértve a rágási funkció helyreállításához szükséges idő csökkenését [1]. Ehhez elengedhetetlen a kezelés kockázatának mérlegelése és egy hatékony kezelési terv kialakítása. Döntő fontosságú a páciens egészségi állapotának, a rendelkezésre álló csontállomány és lágyszövetek, illetve az elérni kívánt fogformának elemzése, valamint a páciens szükségleteinek és elvárásainak figyelembe vétele. A következő esetleírásban egy felső őrlőfog pótlását mutatjuk be, amelyet az új Straumann TLX implantátummal végeztünk azonnali ideiglenes pótlással a már teljesen gyógyult kezelési területen (International Team for Implantology 4-es típusú implantátumbeültetés).

Kiindulási helyzet

Egy egészséges, nem dohányzó, 40 éves nőpáciens a hiányzó felső őrlőfoga miatt jelentkezett a klinikánkon. Legfőbb panasza az volt, hogy problémát okozott számára az evés, ez rontotta az életminőségét, valamint a rágófunkció mielőbbi helyreállítására vágyott. A konzultáció során kiderült, hogy a pótolandó fogat több hónappal ezelőtt, egy vertikális törés következtében vesztette el. Ez a COVID-19 korlátozások alatt történt, ezért a páciens nem részesülhetett teljes körű kezelésben. Az intraorális vizsgálat igazolta, hogy hiányzik a jobb felső őrlőfog. A páciens parodontális állapota egészséges volt, szájhigiéniáját jónak minősítettük (1. és 2. ábra). A preoperatív CBCT-vizsgálat elegendő vertikális és horizontális csontállományt mutatott az implantátumbeültetéshez a kezelendő területen #16, illetve a környező anatómiai képletek károsodásának veszélye sem állt fenn (3. ábra)

Kezelési terv

A protetika által meghatározott tervezéshez elengedhetetlen a páciens, a fogpótlást végző szakorvos és a fogtechnikus közötti megfelelő kommunikáció. A konzultációt követően a páciens implantátumbeültetés és ideiglenes pótlás mellett döntött. A klinikai és radiográfiai vizsgálatok alapján a gyógyult terület alkalmasnak bizonyult az implantátum beülte-

54 e-Journal IMPLANTOLÓGIA
1-2. ábra: A páciens parodontális állapota, látható a hiányzó felső, jobb egyes nagyőrlő. 3. ábra: Preoperatív CBCT felvétel, mely elegendő vertikális és horizontális csontállományt mutat.

4.

után láthatóvá vált csont a kezelni kívánt területen #16. — 5. ábra: Teljes implantátumhosszban (10 mm) történő preparálás pilot fúró (2,2 mm átmérő) segítségével. — 6. ábra: A második fúró használat közben (2,8 mm).

7-8. ábra: A pin behelyezése. — 9. ábra: A megfelelő profilfúró használata. — 10-12. ábra: Straumann TLX implantátum behelyezése az optimális primer stabilitás elérése érdekében.

téséhez. Ezen túlmenően a CBCT-vizsgálat kimutatta, hogy nincs szükség csonpótlásra. Ezért egy Straumann TLX Regular TorcFit (RT) Standard Plus Roxolid implantátumot (3,75 × 10,00 mm) terveztünk azonnali ideiglenes pótlással, amenynyiben a primer stabilitás sikeresen biztosított. A kezelésnél alkalmazott implantátumrendszer olyan, gyökér formájú tissue level implantátumokat tartalmaz, amelyeket magas primer stabilitásra és azonnali terheléses eljárásokra terveztek.

Anyagok és módszerek

Helyi érzéstelenítőként 4%-os artikaint használtunk tonogénnel. A gerinc közepén vezetett kresztális és intraszulkuláris metszéseket ejtettünk vertikális segédmetszés nélkül. Lebenyt preparáltunk, hogy a kezelt terület, az 1.6-os fognak megfelelő csont szabaddá váljon (4. ábra). A gyártó műtéti protokollja szerint az implantátumot a protetika által meg-

55 VI. ÉVFOLYAM – 2023. 4. SZÁM
ábra: A lebenyképzés
4 7 10 5 8 11 6 9 12
13-18. ábra: Egyenes, ideiglenes titánfej és az előre kiválasztott műfog a mintán.

19. ábra: Egyszerű csomós öltések az implantátum körül. — 20. ábra: A pótlás okkluzális képe. — 21-22. ábra: Scan body az implantátumhoz csatlakoztatva. — 23. ábra: A fémmentes pótlást az RT Variobase felépítményre ragasztottuk. 24. ábra: A pótlás a felépítményhez cementezve. — 25-26. ábra: A pótlás a helyén.

nek megfelelően. Az ideiglenes pótlás kialakításához egyenes ideiglenes titán műcsonkot és a minta alapján előre kiválasztott fogat használtunk (13-18. ábra) Az ideiglenes titánfelépítményt egy koronggal redukáltuk, hogy az antagonistával történő érintkezést elkerülhessük. Az előre kiválasztott fogat előkészítettük, hogy illeszkedjen a műcsonkhoz, és folyékony kompozittal rögzítettük. A végső kontúrozást és a polírozást dr. Cristiane Juchem végezte. 5-0 nejlon egyszerű csomós varratokat alkalmaztunk az implantátum körüli zárásra (19. és 20. ábra). A műtét után fájdalomcsillapítót írtunk fel, és egy héttel későbbre terveztük az első kontrollt és a varrateltávolítást.

segítségével.

határozott pozícióba helyeztük be. Az implantátumváll és a szomszédos fog között legalább 1,5 mm távolságot hagytunk.

Az implantátum önmetsző tulajdonsága miatt az implantátumágy nem ígényelt különösebb előkészítést. A fúrókat az óramutató járásával megegyező forgásirányban, szakaszos fúrási technikával és előhűtött (5°C) steril sóoldattal használtuk. Ehhez először a hegyes előfúró segítségével (átmérő: 1,6 mm) megjelöltük az implantátum helyét, ezután pilot fúrót (átmérő: 2,2 mm) alkalmaztunk teljes implantátumhoszszig (10,0 mm; 5. ábra). A csontsűrűséget az előfúráskor ellenőriztük, ezt követően egy második fúrót (átmérő: 2,8 mm) használtunk (6. ábra). Majd egy orientációs pint helyeztünk el, hogy ellenőrizzük az oszteotómia 3D helyzetét és az előkészítés mélységét (7. és 8. ábra) Ezen túlmenően, mivel az implantátum behelyezését kissé mélyebbre terveztük, a megfelelő profilfúrót alkalmaztuk (9. ábra) Az implantátumot sebészeti racsni segítségével helyeztük be 35 Ncm-t meghaladó nyomatékkal, így optimális primer stabilitást értünk el (10-12. ábra)

A protetikai eljárás

Mivel elértük az optimális primer stabilitást, folytathattuk az ideiglenes pótlás elkészítését a páciens eredeti kérésé-

Az utánkövetési időpontokat a műtét utáni 30-adik és 60-adik napra terveztük. Két hónapos gyógyulási idő után egy monotípus scan bodyt csavartunk az implantátumba, és digitális lenyomatot vettünk Virtuo Vivo intraorális szkenner segítségével (Straumann) (21. és 22. ábra). A CAD feldolgozáshoz a coDiagnostiX szoftvert (Dental Wings) használtuk, majd egy fémmentes pótlást (cirkónia) cementeztünk (RelyX U200, 3M) az RT Variobase felépítményre (átmérő: 5 mm, magasság: 6 mm; Straumann) a csavarral rögzített pótlásnál. A felépítmény magassága ennek megfelelően lett beállítva (23. és 24. ábra). Az implantátum gyártójának ajánlásai szerint a pótlást 35 Ncm nyomatékkal húztuk meg (25. és 26. ábra). Végül a csavarnyílást kompozittal zártuk (27. ábra)

Eredmények

Egyetlen fog pótlása a hátsó régióban azonnali terheléssel számos kihívást von maga után. Az egyik legfontosabb tényező, hogy tisztában legyünk vele, hogy az adott személy esetén lehetséges-e ezen kezelés elvégzése, ebben pedig a páciens kiválasztása döntő szerepet játszik. Ebben az esetben a páciens kérésének megfelelően rövid időn belül jó és kiszámítható eredményeket kaptunk. A Straumann TLX implantátumrendszer azonnali terhelést tesz lehetővé, ami esetünkben egészségi, esztétikai és funkcionális szempontból is nagy elégedettséget hozott.

Forrás: Implants 2022/1.

56 e-Journal IMPLANTOLÓGIA
19 23 20 24 21 25 22 26
27. ábra: A csavarnyílás zárása kompozit

Kónuszos felépítmény kapcsolat

Kisebb mikromozgás

Erősebb és egyenletesebb csatlakozás

Platform switching

KIZÁRÓLAGOS MAGYARORSZÁGI FORGALMAZÓ
www.alphaimplant.hu

A GBR által mind horizontálisan, mind vertikálisan

arcüregemeléssel, GTO és mp3 csontpótlókkal

rekonstrukcióját sikerrel

vertikálisan nyerhetünk csontot, ezt kétoldali

csontpótlókkal kiegészítve, az atrofizált maxilla

sikerrel végezhetjük el.

AZ ATROFIZÁLT MAXILLA 3D REKONSTRUKCIÓJA

A graftban bekövetkező térfogatváltozások

A fogak implantátummal történő pótlása mára egy elterjedt eljárásnak számít [1]. Az implantációs pótlások pedig alternatívát nyújtanak a hagyományos hidakkal, illetve a kivehető fogsorral szemben a részben, illetve teljesen fogatlan páciensek esetén. A maxilla hátsó része azonban rendszerint kihívást jelent a sebészek számára a fogeltávolítást követő csontfelszívódás miatt [2–3]. Mi több, a maxilla főleg szivacsos csontból áll, ami az egyik legkevésbé sűrű struktúra a szájüregben [4]. Az atrófia kompenzálására és a csonttérfogat növelésére különféle technikákat fejlesztettek ki [5]. Az arcüregemelés egy kiszámítható és jól dokumentált módszer a csontvolumen növelésére az olyan implantátumbeültetések esetén, amelyek a maxilla hátsó régióját érintik [6–7]. Az arc üregemelés során akár a csontminőség is javulhat, mivel a csontpótló anyag sűrűbb csontállományt eredményez. Szabványos arcüregemelés módszere során az íny feltárásával a felső állcsont külső falán csontablakot preparálunk és azon keresztül az arcüreg nyálkahártyáját

óvatosan megemeljük. Az így keletkezett teret a nyálkahártya alatt csontpótló anyaggal töltjük fel. A csontképződést alapul véve már 1980 óta kimutatható, hogy a módszer kiszámítható és biztonságos, illetve alacsony szövődményarányt, és magas implantátumbeültetési sikerességet [8–9] lehet általa elérni, függetlenül az adott kresztális csontmagasságtól [10].

A kisebb-nagyobb horizontális csontdefektusok helyreállítására az irányított csontregeneráció (guided bone regeneration – GBR) kínál lehetséges megoldást, a csont eredeti architektúráját csontpótló és az azt védő, stabilizáló barrier membrán segítségével lehet helyreállítani [11]. Legújabban már az ún. penge vastagságú állcsontgerincet is helyre lehet állítani felszívódó membránnal végzett GBR műtéttel [12–14]. A PASS ( P rimary wound closure – primer zárás, A ngiogenesis – angiogenezis, S pace maintenance – helyfenntartás és S tability of the blood clot – a vérrög stabilitása) elv továbbra is a siker kulcsát jelenti a GBR technikánál [15].

60 e-Journal IMPLANTOLÓGIA
Dr. Livio Lo Faro, dr. Francesco Giachi Carù, prof. Tiziano Testori (Olaszország) 1. ábra: Kiindulási helyzet. 3. ábra: A csontablak kialakítása piezo készülékkel. 2. ábra: Kiindulási röntgen. 4. ábra: Az arcüreg nyálkahártyájának leválasztása.

Az arcüregemelés és a horizontális augmentáció kombinálása, a részlegesen fogatlan páciensek esetén megfelelő hosszú távú implantátumtúlélést eredményez [16–18].

A GBR-nél és az arcüregemelésnél többféle anyagot vizsgáltak, de eddig nem sikerült konszenzusra jutni, hogy bármelyik anyag sokkal jobb lenne, mint a többi. Az alábbi cikk célja, hogy bemutassa, a különböző módszerek kombinációjával, a csontpótlók megfelelő alkalmazásával és a lágyszövet korrekciójával hogyan tudjuk helyreállítani a maxilla eredeti formáját rögzített implantációs pótlással. Mindazonáltal vizsgálhatjuk a csontpótlóban bekövetkező térfogatváltozásokat az idő múlásával.

1. eset: Arcüregemelés és

késleltetett implantáció

Egy 50 éves hölgy jelentkezett teljes felső fogsor rehabilitációra a Lake Como Institute-nál (Olaszország). Alapos klinikai és radiológiai vizsgálat (hagyományos és CBCT szken) után az összes fog reménytelen prognózisúnak bizonyult (1–2. ábra) . A páciens teljes felső állcsont rehabilitációt szeretett volna, lehetőleg rögzített pótlással. A kezelési terv az alábbi lépéseket foglalta magában: az ös zszes megmaradt fog eltávolítása, kétoldali arcüregemelés első, laterális augmentációval, implantátum behelyezése második laterális augmentációval, majd az implantátu -

mok felszabadítása lágyrészkorrekcióval. A fogak eltávolítását követően a páciens egy teljes, lemezes fogpótlást kapott. A fogak eltávolítása után 4 hónapos rehabilitációs idő következett, hogy megfelelően gyógyulhasson a terület. Az ideiglenes fogsort kétszer béleltük alá ezen időszak alatt, hogy tökéletes illeszkedést biztosítsunk.

A kétoldali sinus lift előtt újabb klinikai és radiológiai vizsgálatot végeztünk, hogy megnézzük, mennyire lesz nehéz a beavatkozás [19]. Helyi érzéstelenítést (4%-os artikain 1:100 000 adrenalinnal) követően a fogatlan állcsontgerinc mentén két kresztális metszést ejtettünk. Divergáló segédmetszésekkel egészítettük ki a szemfogaknak és a tubereknek megfelelő területen, majd két, teljes vastagságú lebenyt preparáltunk, hogy bukkálisan hozzáférhessünk az arcüregek laterális falához. Két laterális csontablakot preparáltunk, piezo készülék segítségével (3. ábra) . Különös figyelmet fordítottunk arra, hogy óvatosan válasszuk le a sinus nyálkahártyát, hogy elkerüljünk egy esetleges perforációt [20]. Speciális sinus kanalakat használtunk, addig végeztük a leválasztást, amíg az implantátumokhoz kellő magasságot el nem értük (4. ábra) . A tuberbe egy kollagén szivacsot helyeztünk, hogy megemelve tartsuk a nyálkahártyát és mikrofuratokat készítettünk, hogy fokozzuk a vaszkularizációt, ezáltal a csontregenerációt. Ezt követően egy kollagén mátrixban lévő heterológ „sticky bone” („ragadós csont”) csontpótlót (OsteoBiol GTO, Tecnoss)

61 VI. ÉVFOLYAM – 2023. 4. SZÁM
5. a–b. ábra: A kollagenizált sticky bone csontpótló behelyezése az arcüregbe a jobb oldalon (a) és az előre hidratált heterológ csontpótló a bal oldalon (b). 6. ábra: A kollagén membrán rögzítése minicsavarokkal. 7. a–b. ábra: Az első horizontális augmentáció eredménye a jobb oldalon (a) és a bal oldalon (b).

helyeztünk közvetlenül a jobb oldali arcüregben kialakított helyre (5. a. ábra) és egy előre hidratált heterológ csontpótlót (OsteoBiol mp3, Tecnoss) a bal oldali sinusba (5. b ábra) , mindkettőt tömörítettük. A kollagén membránt (OsteoBiol Evolution, Tecnoss) mikrocsavarokkal rögzítettük az ablakok felett (6. ábra) , a jobb oldalon egy réteg csontpótlót vittünk fel a sinus bukkális falára a horizontális atrófia kompenzálása végett, majd a membránt ráhajtottuk a palatinális falra. Varrás előtt PRF membránokat helyeztünk a területre, hogy védjük a régiót és fokozzuk a gyógyulást. Mindkét oldalon per primam sebzárást végeztünk. A nagyon kevés vertikális csontkínálat miatt, három hónapot vártunk az implantációval. CBCT-vizsgálatot végeztünk, hogy megnézzük a csontosodás állapotát és két további mérést végeztünk mindkét oldalon, hogy legyen egy kiindulási pont a későbbi, a csontpótlókban bekövetkező térfogatváltozások követéséhez. A páciens három hónap után visszatért egy CBCT-vizsgálatra, hogy eldöntsük, vajon a gyógyulás optimális volt-e ahhoz, hogy implantátumokat helyezzünk be. Sajnos egészségügyi okok miatt elhalasztotta

a műtétet. Amikor 3 hónappal később visszatért, egy újabb CBCT-felvételt készítettünk, hogy megvizsgáljuk a további bioanyagokban bekövetkező térfogatváltozásokat és megtervezzük az implantációt.

Teljes vastagságú lebenyt preparáltunk, hogy megnézzük a korábbi augmentációnk eredményét, mind a jobb (7. a. ábra) , mind a bal oldalon (7. b. ábra) . Nyolc darab implantátumot raktunk be és egy újabb réteg csontpótlót (GTO) helyeztünk fel bukkálisan mindkét oldalon. A kollagénes sticky bioanyag tulajdonságainak köszönhetően nem volt szükséges előtte hidratálni, mivel odatapadt, ahová helyeztük, ezáltal nem kockáztattuk, hogy egyes szemcséket elvesztünk az eljárás alatt (8. a–b. ábra) . A csontpótlót ezután mindkét oldalon membránnal (OsteoBiol Evolution) fedtük és zártuk a sebet.

Négy hónappal később a pácienst előjegyeztük az utolsó műtétre: az implantátum-felszabadításra. Ezelőtt egy utolsó CBCT-felvételt készítettünk, hogy ellenőrizzük az implantátumok helyzetét, és hogy a megemelt arcüreg fala milyen viszonyban van a behelyezett implantátu-

62 e-Journal IMPLANTOLÓGIA
8. a–b. ábra: Második horizontális augmentáció a jobb oldalon (a) és a bal oldalon (b) az implantátum behelyezve. 9. ábra: Lebeny az implantátumok felszabadításához. 10. ábra: Félvastag lebeny a felszabadításkor a behelyezett ínyformázókkal. — 11. ábra: Varratok az utolsó műtétnél.

70 FPS

Nincs több vezeték

Vezetékektől mentes, a szkennelés bármilyen szögben kényelmes. Az approximális területek könnyedén, korlátok nélkül szkennelhetők.

Hosszú üzemidő, mégis könnyű Kiemelkedő akkumulátoros üzemidő, a hosszantartó szkennelésekhez az Ön kényelme érdekében.

Gyors és pontos

Akár 70 FPS szkennelési sebesség. Megtapasztalhatja a Medit legkelendőbb modelljének elképesztően egyenletes és gyors szkennelési teljesítményét. Élvezze az i700w gyors sebességét vezeték nélkül, hibátlanul.

Erőteljes hardver találkozik a sokoldalú szoftverrel

Kényelemre optimalizálva. Nemcsak hardveres szempontból, hanem szoftveresen is. Az i700w vezeték nélküli szkenner a MEDIT legújabb technológiáit tartalmazza.

Ügyfélszolgálat

Cégünk személyreszabott kurzusokat, ingyenes ügyfélszolgálatot, távszervizt és cseredarabot kínál felhasználóink számára

9400 Sopron, Faller Jenő u. 5 | Tel.: 99/508-698 | Fax: 99/508-696 iroda@dentalplus.hu | www.dentalplus.hu BCW Irodaház . 1113 Budapest, Nagyszőlős u. 11-15. / I. emelet (Budapesti bemutatótermünkben előzetes egyeztetés alapján tudjuk fogadni Önöket!)

mokhoz képest. Az implantátum-felszabadítással egy időben a keratinizált íny és a vesztibulum helyreállítását is terveztük. Ezúttal félvastag lebenyt preparáltunk, ezt palatinális irányból kezdtük (9. ábra) , hogy felfedjük a zárócsavarokat, de a kötőszövetet meghagyjuk az implantátumok körül. A zárócsavarokat eltávolítottuk és a megfelelő magasságú gyógyulási csavarokat behelyeztük (10. ábra).

A lebenyt zártuk, az összes keratinizált szövetet a vesztibuláris oldalra tolva, mindeközben a palatinális oldalt hagytuk, hogy másodlagosan gyógyuljon (11. ábra) . Nyolc héttel később a szövetek teljes gyógyulását követően lenyomatot vettünk és egy ideiglenes pótlást készítettünk a páciensnek. Négy hónappal később a szövetek teljes érését követően újabb lenyomatvétel következett, a laborban elkészült a végleges pótlás, amit át is adtunk (12. a–b. ábra)

Eredmények

Az utolsó sebészi lépés előtt (implantátum-felszabadítás) a CBCT megmutatta az implantátum pontos pozícióját és

az új arcüreg alapmagasságát. A sinus lift sikeresnek bizonyult ahhoz, hogy megfelelő körülmények mellett helyezhettük be az implantátumokat. Négy hónapos gyógyulást követően a CBCT alapján mindkét oldal szépen gyógyult. A gyógyulási időszak alatt nem volt semmilyen váratlan esemény, nem volt panasz, fájdalom, és nem volt gyulladásra utaló jel. Ugyanezt a pozitív eredményt támasztják alá az időnként készített kontroll radiológiai felvételek. Az összes mérést két táblázatba gyűjtöttük ös zsze, attól függően, hogy melyik bioanyagot használtuk és annak térfogata mennyit változott az idő függvényében. Az augmentált arcüregek magassága hasonló ütemben csökkent. A posztoperatív és a gyógyulást követő CBCT között (harmadik, illetve a hatodik hónap) eltelt idő alatt a jobb oldali arcüregben, ahol GTO-t használtunk, a magasság 22,20 mm-ről 15,61 mm-re (29,7%-os térfogatcsökkenés), majd 12,88 mm-re csökkent (42,0%-os térfogatcsökkenés), illetve 21,61 mm-ről 15,40 mm-re (29,7%os térfogatcsökkenés), majd 13,20 mm-re (38,9%-os térfogatcsökkenés) csökkent. Hasonlóan a bal oldali arcüregben, ahol mp3-at alkalmaztunk 21,80 mm-ről 17,60 mm-re (19,3%-os volumencsökkenés), majd 14,60 mm-re (33,0%-os térfogatcsökkenés), valamint 25,50

64 e-Journal IMPLANTOLÓGIA
12. a–b ábra: Intraorális fotó (a) és periapikális röntgenek (b) a végleges pótlásról. 1. táblázat
OsteoBiol GTO Első mérés Második mérés Műtét után 22,20 mm 21,61 mm 3 hónapos gyógyulás 15,61 mm 15,40 mm 6 hónapos gyógyulás 12,88 mm 13,20 mm Felszabadításkor (10 hónap után) 9,63 mm 9,60 mm %-os zsugorodás 3 hónap után 6,59 mm (22,20–15,61 mm; 29,7%) 6,21 mm (21,61–15,40 mm; 29,7%) %-os zsugorodás 6 hónap után 9,32 mm (22,20–12,88 mm; 42,0%) 8,41 mm (21,61–13,20 mm; 38,9%) %-os zsugorodás 10 hónap után 12,57 mm (22,20–9,63 mm; 56,6%) 12,10 mm (21,61–9,60 mm; 55,6%) OsteoBiol mp3 Első mérés Második mérés Műtét után 21,80 mm 25,20 mm 3 hónapos gyógyulás 17,60 mm 17,82 mm 6 hónapos gyógyulás 14,60 mm 14,82 mm Felszabadításkor (10 hónap után) 10,81 mm 10,83 mm %-os zsugorodás 3 hónap után 4,20 mm (21,80–17,60 mm; 19,30%) 7,38 mm (25,20–17,82 mm; 29,30%) %-os zsugorodás 6 hónap után 7,20 mm (21,80–14,60 mm; 33,00%) 10,38 mm (25,20–14,82 mm; 41,20%) %-os zsugorodás 10 hónap után 10,99 mm (21,80–10,81 mm; 50,41%) 14,37 mm (25,20–10,83 mm; 57,02%)
2. táblázat

mm-ről 17,82 mm-re (29,3%-os volumencsökkenés), majd 14,82 mm-re (41,2% térfogatveszteség). Az adatokból látszik, hogy így is elégséges volt a csonttérfogat az implantátumok behelyezéséhez. Fontos tudnunk, hogy a csont remodelling (átépülés) nem ér véget az implantátum behelyezését követően sem. Amikor az utolsó CBCT készült, 10 hónap gyógyulást követően (a felszabadítás előtt), további reszorpciót figyeltünk meg az implantátumok vége körül, ez 55% körüli felszívódást jelentett (1–2. Táblázat). Mindazonáltal elismerendő, hogy a bioanyagokkal mennyire jól sikerült a gerinc magasságának visszaállítása, valamint a GTO még a gerinc szélességét is helyreállította. Ezeknek a csontpótlóknak a morfológiája nagyon hasonlít a természetes csontéhoz. Valójában nehéz volt elkülöníteni a behelyezett csontpótlót a páciens saját csontjától. Azonban ki kell emelnünk, hogy a GTO egy kicsivel nagyobb reszorpciót mutatott, mint az mp3, feltehetőleg a magasabb kollagéntartalommal hozható összefüggésbe.

2. eset: Arcüregemelés egyidejű implantációval

Az alábbi pácienst szintén a Lake Como Insitute-ba utalta egy kolléga, a kérés a fogatlan maxilla hátsó részének helyreállítása volt, lehetőleg rögzített pótlás segítségével. Alapos klinikai vizsgálatot (13. a–c. ábra) és CBCT szkent (14. a–b. ábra) követően elkezdődhetett a tervezés. A páciens szerette volna, ha minél kevesebb műtéten kell átesnie és minél rövidebb a teljes kezelés időtartama. Kétoldali arcüregemelést, kétoldali laterális augmentációval és egyidejű implantációval terveztünk. Az eljárás hasonló volt, mint az első páciensnél: a két teljes vastagságú lebeny preparálása két vertikális segédmetszéssel, hogy feltárjuk az arcüreg laterális falát, majd két csontablak preparálása piezo készülék segítségével. A sinus membránokat leválasztottuk és megemeltük figyelve arra, hogy elkerüljük egy esetleges perforáció kialakulását.

66 e-Journal IMPLANTOLÓGIA
13. a–c ábra: Kiindulási fotók. 14. a–b. ábra: Digitális implantátumtervezés: kétdimenziós (a) és háromdimenziós (b) nézet. 15. ábra: Az implantátumok behelyezése. 16. ábra: A kötőszöveti graft a perioszteumhoz történő rögzítése varratokkal, a gyógyulási csavarok behelyezése.

DIFFERENTIATE YOUR PRACTICE NEODENT®

DIGITAL
SOLUTIONS
Grand Morse® Connection

Két kollagén szivacs került a disztális recessusokba, hogy megemelve tartsák a nyálkahártyát a hátsó részen, ez segítette az implantátumok előfúrását. A bioanyagot (GTO) behelyeztük az ablakokon keresztül és tömörítettük. Az implantátumokat beraktuk, mivel ennél az esetnél magasabb reziduális csontmagasság állt rendelkezésre (15. ábra) , majd egy réteg csontpótló segítségével igyekeztünk kompenzálni a horizontális atrófiát. A bioanyag stabilizálásához két rétegben használtunk kollagén membránt (Evolution), majd egy utolsó réteg L-PRF (leukocyte- and platelet-rich fibrin – fehérvérsejtben és vérlemezkében gazdag fibrin) membránnal fedtük, hogy szebb lágyszöveti gyógyulást kapjunk. A sebet zártuk, majd kontroll CBCT-felvételt készítettünk, hogy megvizsgáljuk a vertikális és horizontális augmentáció fokát. A pácienst előjegyeztük az utolsó műtétre, 4 hónap múlva. A felszabadításkor két félvastag lebenyt képeztünk, feltárva az alatta lévő implantátumokat, majd kötőszöveti graftot vettünk, vékonyítva a palatinális lebenyeket. Az implantátumok zárócsavarjait kicseréltük ínyformázó csavarokra, majd a kötőszöveti graftot a vesztibuláris oldalra helyeztük, hogy tovább vastagítsuk a gerincet (16. ábra) . Még egy pluszrétegként egy L-PRR is került a gyógyulási csavarok köré, majd a lebenyt zártuk. Ezután a páciens visszakerült a beküldő orvoshoz a kezelés befejezésére.

Eredmény

Az implantátumok és a lágyszövet probléma nélkül gyógyultak, a páciens mindösszesen két műtéten esett át. Az implantátumok 5 évvel az átadás után is stabilnak bizonyultak (17. a–c. ábra)

Megbeszélés

A két eset bemutatja, hogy milyen opciók léteznek az implantáció tökéletes időzítéséhez az első műtétet (arcüregemelés) követően (vagy azzal egy időben). A koncepció része, hogy ne hagyjuk, hogy a csontpótló túl nagy átépülésen menjen keresztül, hogy könnyebb legyen az implantátumok behelyezése és megfelelő hosszúságú implantátumokkal megfelelő implantátumkorona arányt érhessünk el. Talán, ahogy az a két táblázatban látszik, négy hónap után lenne optimális behelyezni az implantátumokat, mivel a csontpótlók is úgy viselkednek, mint a saját csont: amennyiben nincsenek stimulálva, okkluzális erők által a remodelling következtében csökkenhet a mennyiségük. Ezzel ellentétben, amikor az implantátu -

mokat az arcüregemeléssel egy időben helyezzük be, az implantátumok úgy viselkednek, mint a sátortartó oszlopok és megfelelő megtámasztást biztosítanak a Schneider membránnak, és feltartóztatják a fiziológiás csontfelszívódást. Ezért, amikor csak lehetséges, a legjobb kezelési opció, ha az implantátumokat egy időben helyezzük be az arcüregemeléssel. A fogatlan maxilla számos anatómiai és fiziológiai korláttal rendelkezik, ilyen a spongiosus alveoláris csont hiánya és az arcüregek fokozott pneumatizációja. Ezen tényezők igen megnehezíthetik a kezelést. Az alábbi két esetnél a külső arcüregemelést sikeresen elvégeztük GTO vagy mp3 csontpótlók segítségével. Ezekkel az anyagokkal megnövelhető a vertikális csontmagasság, valamint a horizontális csontszélesség, és lehetővé válik az implantátumok behelyezése. A pótlás átadásakor kontroll panorámaröntgen készült, amin jól látszódott, hogy az implantátumok apexei körül új csont képződött. Fontos kiemelni, a GBR és az arcüregemelés segítségével végzett augmentáció előnyeit más kezelési stratégiákkal szemben (pl. autológ csontblokk átültetés): nincsen donorterület, ahol komplikációk léphetnek fel, nincs szükség kórházi ellátásra és kevesebb a posztoperatív panasz. A jelenlegi eredmények alapján, amelyek megegyeznek korábbi tanulmányokéval [21–22], csakúgy, mint azt, ahogy a szisztematikus áttekintések [23–24] is bizonyítják, az implantátumok túlélési ideje, és a marginális csont szintje augmentált csont és saját csont esetén igen hasonló. Ugyanezt az eredményt figyelték meg augmentált arcüregek esetén is [7].

Konklúzió

A GBR által mind horizontálisan, mind vertikálisan nyerhetünk csontot, ezt kétoldali arcüregemeléssel, GTO és mp3 csontpótlókkal kiegészítve, az atrofizált maxilla rekonstrukcióját sikerrel végezhetjük el. Az így megemelt arcüregek morfológiája igen hasonló a természetes arcüregekéhez, a csontosodás az implantátumok vége körül hasonló megjelenést mutat, mint a páciens saját csontja. Úgy tűnik, hogy az implantátumok behelyezéséhez az optimális időpont (amennyiben egyszerre nem végezhető el) 4 hónap körül van, ezáltal biztosítható, hogy minél kevesebb graft szívódjon fel. A marginális csont a teljesen rekonstruált maxilla esetén minimális változást mutatott. A megfelelő képzés kemény- és lágyszövet augmentáció terén elengedhetetlen ahhoz, hogy sikeres eredményt érhessünk el, és elkerüljük a lehetséges szövődményeket.

Forrás: EDI Journal 2022/1.

68 e-Journal IMPLANTOLÓGIA
17. a–c ábra: Klinikai és radiológiai utánkövetés 5 évvel később.

Teljes szájrehabilitáció 72 óraalatt

▶ Egyfázisútechnika

▶ Azonnaliterhelésesprotokoll

▶ Egyedülállóprimerstabilitás

▶ Azegyetlentökéletesimplantátum-felépítmény „kapcsolat”–nincsmikromozgás

▶ Polírozottfelszín–nincstöbbéperiimplantitis

▶ Csontpótlásmentes,apáciensszámáraisigazán egyszerű,gyors, költséghatékonyimplantológia*

*Aköltséghatékonyság aztfejeziki,hogyazonoshatásosság(eredményesség)milyenköltséggel(ráfordítással) érhetőel.Aleginkábbköltséghatékonyazazeljárás,technológia,amelyikalegkisebbráfordítássalalegnagyobb eredménytériel.Azaz egészségügyitechnológia tekinthetőköltséghatékonynak,amelyazakárszűkösenrendelkezésreállóerőforrásokbólalehetőlegtöbb egészség-nyereséget termeli,illetveaztalegkisebberőforrás felhasználássalállítjaaztelő. (Azegészségügyifogalomtáralapján.)

sofortimplant sofortimplant sofortimplant ihdedental SofortimplantKft. | H–9400Sopron,Deákkútiút16. | +36703640600 info@sofortimplant.com | sofortimplant.com

Könyvajánlataink

A Legfelsőbb Bíróság Polgári Kollégiuma az orvosi műhiba perek gyakorlatának á�ekintésérő szóló összefoglaló jelentésében rögzíte�e, hogy az élet, tes� épség és egészség sérelme mia� indíto� orvosi kártérítési perekben a bekövetkeze� hátrányokat, káros eredmény mia� érvényesíte� nem vagyoni kárigényeket a károsult vagy a saját egészségromlása, vagy saját jogán a hozzátartozójának halála, egészségkárosodása mia� érvényesí� azzal, hogy ezek a károsult esetében együ� is jelentkezhetnek. Ténybeli alapja lehet a szélesen ve� gyógyítás (orvoslás) során bekövetkeze� valamely hiba: általában a diagnosz�kus tévedés következményei, kezelési, műté� hiba akár tevőleges, akár mulasztásos magatartással, a tájékoztatás elmaradása vagy elégtelensége.

Magyarországon a műhibaperek során megítélt összegek folyamatosan emelkednek. A nyilvánosságra hozo� legmagasabb kártérítés eddig 55 millió forint volt, de folyamatban van olyan per is, amelynek tétje meghaladja a 80 millió forintot. A kérdésben érinte� jogászok véleménye szerint az oly sokat emlegete� 1997-es Egészségügyi Törvény hatályba lépése óta az orvosi felelősséggel kapcsolatos perek kétharmadát a betegek nyerik. Megjegyzendő hogy 2008-hoz képest 10%-kal nő� a műhibaperek száma, amely most 151, a folyamatban lévő ügyek vonatkozásában pedig 467 eljárásról beszélhetünk. (Forrás: EBF) Ezen ügyek megközelítőleg 17%-a tekintetében beszélhetünk ún. fogorvosperekről. Napjainkban az egészségügyi szolgáltatóknak – beleértve az intézményeket és a magánpraxist folytató orvosokat – egyre inkább számolniuk kell azzal a lehetőséggel, hogy a beteg vagy hozzátartozója, ha nem elégede� az ellátással, bíróság elő� keresi az igazát. Büntetőeljárás orvossal szemben ugyan lényegesen ritkábban indul, azonban ez talán még nagyobb lelki megterhelést jelent az érinte� orvos számára. A jogi helyzet �sztázására, a releváns szabályozás és a fogorvosi tevékenységet érintő űhibaperek bemutatására és értelmezésére hivato� a Fogorvosperek című kötet, amelyet közérthető megközelítése mia� elsősorban fogorvosok, szájsebészek, de jogászok, illetve a jog iránt érdeklődők is haszonnal forgathatják.

Csak természetesen

FOGORVOSPEREK

Hajdu Zoltán Fogászat és esztétika Dr Forrai Judit Fejezetek a fogorvoslás
és eszközeinek történetébôl
A
FOGORVOSPEREK Ifj. dr. Lomnici Zoltán 4000 Ft 3500 Ft 3500 Ft 3500 Ft 3500 Ft A FOGÁSZATI IMPLANTOLÓGIA története Magyarországon Dr. Divinyi Tamás Fogaszati implantologia tortenete terv.indd 1 1750 Ft 3500 Ft 5000 Ft 2500 Ft 2500 Ft DP Hungary Kft. 1012 Budapest, Kuny Domokos u. 9. Tel.: +36 30/472 0030, 06-1-793-1874 www.dental.hu Megrendelés: www.dental.hu/webshop Róth Lajos Fogpótlás.tan update 8750 Ft
szerző

Ennek a könyvnek a kiadásával célkitűzésünk volt áttekinteni fogászati implantológiában hagyományosan alkalmazott csontmegmunkáló eljárásokat (kézi eszközök, forgóeszközök), összehasonlítva őket az új (piezo, lézer, mágneses kalapács /magnetic mallet = MM) módszerekkel, valamint bemutatni a csontpótló anyagokat és köztük az újnak számító BoneAlbumint.

Mind a mágneses kalapács, mind a BoneAlbumin a nemzetközi irodalomban is rendkívül újnak számít, egyelőre kevés vagy egyáltalán nincs sokéves tapasztalat, így fontos, hogy az eddigi ismereteket, technikákat, az elért eredményeket kellő kritikával, önkritikával kezeljük, és reálisan próbáljuk helyüket és szerepüket meghatározni a fogászati implantológiában.

Dr. Gáspár Lajos

Könyvem megszületését elsősorban dr. Forrai Judit professzor asszonynak köszönhetem. Az ő inspirálására született meg ez a történeti visszatekintés. 2014 februárjában a Semmelweis Egyetem Népegészségügyi Intézetének a tantermében megalakult a Magyar Orvostörténeti Társaság részeként a Fogászattörténeti Kör. Az alakuló ülésen érdekes előadások hangzottak el, majd azok befejeztével Forrai Judit tanárnő felkért, hogy tudnék-e az őszi program keretében a fogászati implantológia történetéről előadást tartani. Természetesen szívesen elvállaltam. Az orvoslás, a fogorvoslás történeti vonatkozásai mindig is érdekeltek, és a fogorvostan-hallgatóknak az érzéstelenítésről, az implantológiáról szóló előadásaimban állandóan próbáltam történeti vonatkozásokat is beépíteni. Engem elsősorban a gyógyító eljárások fejlődése érdekelt. Mi volt a régi gyógymódok – az akkori ismeretek szerinti – élettani, patológiai vagy akár vallási háttere?

A fogászat és különösen az implantológia fejlôdése az elmúlt évtizedekben az érdeklődés középpontjába került. Magyarországon napjainkban évi közel 60 000 darab fogászati implantátumot helyeznek be, ami mintegy évi 12 milliárd forint forgalmat generál az orvosi és fogtechnikai költségekkel együtt.

Az Implant Index című kézikönyv nemcsak a tudományos és szakmai ismeretek jelentős lexikális anyagát összegzi, hanem talán elsőként mutatja be az implantológiai piac jellemző vonásait, gazdasági elemzéseket, múltra, jelenre és jövőre vonatkozó adatokat, fejlődési tendenciákat. Ugyancsak új témának számít az implantációs betegek gondozását bemutató fejezet is. A könyv fejezeteiben először az adott témakör rövid, áttekintő bevezetésére kerül sor, majd ezt követi a lexikális ismeretanyag táblázatokban, majd elsősorban a mindennapi gyakorlatot segítő írások, cikkek következnek.

Dr. Gáspár Lajos és dr. Toldi Ferenc

Az implantológia a fogorvostudomány egyik legintenzívebben változó, fejlődő szakterülete. A foghiányok pótlásának szándéka - valamilyen csontba épített eszköz, anyag segítségével - több évezredes múltra tekint vissza. Az implantációs kísérletek azonban hosszú időn át - a nem megfelelő biológiai, anyagtani stb. feltételek hiánya miatt- többnyire nem jártak sikerrel. A nagy „előrelépést" a 20. század, annak is különösen a második fele hozta meg. Ezekben az évtizedekben számtalan próbálkozásról, kísérletről olvashattak az érdeklődők a hazai és a nemzetközi szakirodalomban egyaránt. A dentális implantológia mára már a fogorvoslás nélkülözhetetlen területe lett. A mindennapi gyakorlatban szükség van az ismeretek permanens bővítésére, frissítésére, hiszen egyre újabb és újabb implantációs rendszerek, fejlesztések, eszközök és eljárások megjelenésével szembesülnek - szinte naponta - a szakemberek.

A FOGÁSZATI IMPLANTOLÓGIA története Magyarországon Dr. Divinyi Tamás Fogaszati implantologia tortenete terv.indd 1 2016. 04. 22. 11:56

ERŐS FOGAK ÉS EGÉSZSÉGES SZÁJ – MEGGYŐZŐ MOSOLY

A száj és a fogak nemcsak a táplálkozás és az emberi kommunikáció fontos részei, de esztétikai szempontból is jelentős szerepük van. Az egészséges fogak és fogíny egészségünk meghatározó elemei, a hibátlan, derűs mosoly pedig minden egyén kívánsága.

Nem csak a fogak fájnak

Az íny leggyakoribb gyulladásos megbetegedése a gingvitis vagy fogínygyulladás, mely legtöbbször a rossz szájhigiénia következményeként jön létre. A begyulladt és vérző fogíny a rossz lehelet mellett a betegség első jele. A gingvitist tehát gyógyítani kell, mert különben a gyulladás előrehaladott állapotában a gyulladt íny gócként szerepel, mely gócbetegségeket okozhat.

Az egészséges ember szájában folyamatosan jelen vannak mikroorganizmusok, amelyek szaporodása az íny gyulladásához vezet, és idővel a fogágy többi része is érintett lesz, paradontitis jelentkezhet. A tasakok mélyebbek lesznek, ezért a gyulladás ráterjed a mélyebb paradontális szövetekre is. A fogágygyulladás következtében a fogakat rögzítő szövetek elbomlanak, a betegség pedig átterjedhet az állkapocs csontszövetére is. Ennek együttes következménye, hogy a fog tartószerkezete meggyengül, elbomlik, így a fogak meglazulnak, majd kihullanak.

A hialuronsav a fogágy kötő- szövetének fontos kompo- nense

A hialuronsav a szervezet természetes anyaga és az egészséges fogíny fontos komponense.

Alkalmazása a fogászatban:

– csökkenti a szájnyálkahártya-irritációt

– megvéd a fertőzésektől

– felgyorsítja a sebgyógyulást és szövetregenerációt – csökkenti a fogínyvérzést, a foggyulladást és a duzzanatot

A kutatások kimutatják, hogy a hialuronsav fogászati alkalmazása jelentős mértékben hozzájárul az ínybetegségek megakadályozásában és gyógyításában.

Ínybetegségek megelőzése és gyógyítása hialuronsavval

A gyógyszertárakban és speciális üzletekben különböző formákban és kiszerelésben már 3 éve kapható a Gengigel, ami az egyedüli hialuronsav-alapú készítmény.

A termékcsalád használata egyszerű, gyermekek, terhes nők és cukorbetegek egyaránt használhatják. A hialuronsav tartalma miatt hatékony megoldás az alábbiakra:

– ínyvérzés

– gingivitis (fogínygyulladás)

– parodontitis (fogágybetegség)

– megsértett íny (sebészeti beavatkozás, foghúzás, fogpótlás után)

– korona, híd, fogprotézisek miatt irritált szájnyálkahártya

Ezen tulajdonságai alapján bátran állíthatjuk, hogy a Gengigel az egészséges fogíny receptje.

Forrás: Medis sajtóanyag

72 e-Journal IMPLANTOLÓGIA
(X)

Hialuronsav

Az egészséges fogíny receptje

Az egészséges fogíny receptje

Az egész csalàd számára

gél/szájöblögető oldat/szájspray/baby gél

■ csillapítja a vérzést

■ elősegíti a sebgyógyulást a szájüregben

■ elősegíti a szövetregenerációt

■ csökkenti a duzzanatokat

■ védi a szájnyálkahártyát a fertőzésektől

misike a fogzás időszakában

Gengigel spray 4490 Ft Gengigel az első fogaktól 4490 Ft Gengigel szájvíz 5290 Ft Gengigel first aid 5200 Ft smile shopszájápolás mindenkinek DP Hungary Kft. 1012 Bp., Kuny Domokos u. 9. Tel.: +36 30/472-0030 www.dental.hu, info@dental.hu Emmi-Dent Platinum ultrahangos fogkefe 67 990 Ft Emmi Dent Whitening fogkrém 3090 Ft AKCIÓ! Gengigel prof mellé ajándék 1 db First Aid 34 990 Ft Gengigel gél 4490 Ft

Dent-East Kft. 1112 Budapest, Rétkerülő út 51 www.dent-east.com • mail@dent-east.com

A LEGINNOVATÍVABB, PIACVEZETŐ AZONNAL TERHELHETŐ IMPLANTÁTUM GYÁRTÓ

a piacvezető oralkamera

A LEGINNOVATÍVABB, PIACVEZETŐ AZONNAL TERHELHETŐ IMPLANTÁTUM GYÁRTÓ

A LEGINNOVATÍVABB, PIACVEZETŐ

AZONNAL TERHELHETŐ IMPLANTÁTUM GYÁRTÓ

KOS

Azonnali implantáció és azonnali terhelés meghatározott szakmai protokoll szerint.

Folyamatos, többlépcsős kurzusok, praxistréning, felhasználótalálkozók. ISO, CE, nemzetközi klinikai tapasztalat és tudományos háttér.

Sofortimplant Egészségügyi Kft. H–9400 Sopron, Deákkúti út 16. tel.: +36 70 36 40 600 fax: +36 70 900 3518 email: sofortimplant@gmail.com web: www.sofortimplant.com KOS PLUS BCS MU KOS MU KOS BCS R R www.alphaimplant.hu A MINO˝SÉG A SIKER GARANCIÁJA 5/7/15 9:24 AM Telefon: +36 70 670 6875 shop.bionika.hu BIONIKA AZ IMPLANTOLÓGIÁBAN Viz Dental Implant Kft. Nobel Biocare Magyarország Kft. 1117 Budapest, Office Garden I, Alíz utca 1. Tel.: (06 1) 279 3379 Dio Implant Kft. 06-20-326-0579 info@dioimplant.hu ethoss.hu Straumann GmbH Magyarországi Fióktelepe 1016 Budapest, Hegyalja út 7–13. COMMITED TO SIMPLY DOING MORE FOR DENTAL PROFESSIONALS TRY IT. LOVE IT. BUY IT. Sanitaria Kft. 1024 Budapest, Rómer Flóris u. 34. Tel.: (+36-1) 336-0884, Fax.: (+36-1) 336-0860 E-mail: shop@sanitaria.hu, Honlap: www.sanitaria.hu www.imegagen.hu Kérje kedvezményes START csomagunkat! megagen 05.indd Sanitaria Kft. 1024 Budapest, Rómer Flóris u. 34. Tel.: (+36-1) 336-0884 E-mail: shop@sanitaria.hu Honlap: www.sanitaria.hu

R R

Kompressziós és bikortikális egyfázisú implantátumok

PLUS BCS MU KOS MU
KOS
KOS BCS
Bővebb felvilágosítás és információ: Sofortimplant Egészségügyi Kft. H–9400 Sopron, Deákkúti út 16. tel.: +36 70 36 40 600 fax: +36 70 900 3518
PLUS BCS MU
Kompressziós és bikortikális egyfázisú implantátumok választhatóan multiunit fejjel. Csavarozható stégekhez, overdenture felépítményekhez. Azonnali implantáció és azonnali terhelés meghatározott szakmai protokoll szerint. Folyamatos, többlépcsős kurzusok, praxistréning, felhasználótalálkozók. ISO, CE, nemzetközi klinikai tapasztalat és tudományos háttér. Folyamatos fejlesztés 16 éve. MU KOS
KOS
BCS R
Kompressziós és bikortikális egyfázisú implantátumok választhatóan multiunit fejjel. Csavarozható stégekhez, overdenture felépítményekhez.
Folyamatos fejlesztés 16 éve.
Bővebb felvilágosítás és információ:

Turn static files into dynamic content formats.

Create a flipbook
Issuu converts static files into: digital portfolios, online yearbooks, online catalogs, digital photo albums and more. Sign up and create your flipbook.