e-journal - Implantológia 2023/3

Page 1

2023. VI. évfolyam

11. szám

E-JOURNAL IMPLANTOLÓGIA

Vissza a jövőbe

A FOGÁSZAT INFORMÁCIÓS MAGAZINJA

www.dental.hu

Implantátum körüli lágyszövet defektus kezelése „kígyótechnikával”

Szóló foghiányok pótlása kerámiaimplantátumokkal

Azonnali implantáció- és restaurációkészítés –a pontosság új szintje

A periimplantitis kezelésének legújabb lehetőségei

A 10 éves Alpha Implant Kft. a hagyományos munkafolyamatok mellett a digitális workflow minden lépésére megoldást kínál. A digitális technika fejlődése a fogászati piacon is egyre nagyobb teret hódít. Ebben nyújt

segítséget a 6 lépésből álló Alpha Digital Workflow, amely az intraorál scanneléstől a kész fogmű behelyezéséig terjed. Ne zárja magát keretek közé, lépjen az Alpha Implant Kft.-vel a Digitális Szabadság Világába!

ÜDVÖZÖLJÜK
IMPLANTÁTUM
IRÁNYÍTOTT SEBÉSZET
A DIGITÁLIS SZABADSÁG VILÁGÁBAN!
PROTETIKAI FELÉPÍTMÉNYEK +36 1 353 9090 | info@alphaimplant.hu | www.alphaimplant.hu
INTRAORAL SCANNER CIRKON TÖMB
3D NYOMTATÓ REGIONÁLIS KÉPVISELŐ:

Tisztelt Olvasó!

2023-ra a fogászati szektor – reményeink szerint – fel tudja dolgozni a Covid-19 okozta nehézségeket, a háború mellett elszabaduló inflációt, és már tervezi az idei év fejlődési lehetőségeit. Mindanynyian abban bízunk, hogy időben alkalmazkodni tudunk majd a változásokhoz, és stabilan tudjuk vezetni a vállalkozásinkat!

A tavalyi év sokunk életében hozott különböző nehézségeket, mégis elmondhatjuk, hogy mindenképp jobb volt, mind a 2020-as és a 2021-es esztendő, amikor a létbizonytalanság, a járványtól való félelem uralta a napjainkat. Az idegenforgalom szépen megindult, de a korábbi számok, a vendégéjszakák még nem érik el a 2019-es év adatait. A nagy rendelők már próbálnak teljes kapacitással üzemelni, a fogtechnikai laborokban is visszatért a folyamatosság, a fogászati kereskedők jelentős része pedig jobb évet zárt 2022-ben, mint korábban.

A fogászati rendelők és fogtechnikai laborok az elmúlt 2-3 évben főleg a fejlesztéseket állították előtérbe, amelyhez számos pályázat és egyéb forrás is kedvező konstrukciókat kínált. 2023-ban – tudomásunk szerint – is lesznek új pályázati források, melyekről a kereskedelmi vállalatok részletesebb információkat tudnak adni. Az új források bevezetése idén már bizonyosan ismét növekedési spirálba helyezi majd ezt a szektort!

Az infláció elérte a fogászati ágazatot is, a vállalkozások az euro változásától, gyengülésétől függően azzal találkoznak, hogy az árak – a mindennapi élet mellett – itt is jelentősen és folyamatos változnak, emelkednek. A fogászati rendelők is kénytelenek az áraikat emelni, egyre több rendelő, ún. „piaci alapú” árképzést vezet be. A folyamat kimenetelét még nem lehet pontosan látni, a munkaerő fluktuációja, az Európai Unió áraihoz képest alacsony magyar fogászati beavatkozások értéke - jelenleg még nem érte el a drágulás csúcspontját. Az elmúlt időszakban számos újság, cikk foglalkozott a fogászati szektorban található extra drágulási folyamattal. Ez egyelőre - a hazai rendelőkben - még nem mutatott jelentős problémát, új hívószavakkal, sok marketing munkával, reklámmal most a magyar lakosságot kell határozottabban a rendelőkbe invitálni!

Idén már 23. éve nagy energiával szervezzük, és sok munkával készülünk az őszi Dental World Nemzetkö-

zi Kongresszus és Szakkiállítás sikeres lebonyolítására, melyen reméljük, hogy az egész fogászati szakma képviselteti majd magát! Nemzetközi szinten is ismert/elismert előadók, gyakorlat-orientált képzések, továbbá sok új élmény is várja majd a látogatókat, az érdeklődőket!

A kiadó bizakodva tekint a jövőbe, a megújult tartalmaink kapcsán sok pozitív visszajelzést kapunk, melyeket nagyon köszönünk! Az elmúlt években - a nehézségek ellenére is - növelni tudtuk a kiadványaink, a magazinjaink számát, nem csökkentve azok tartalmi minőségét. 2020 óta a tematikus e-Journalok is folyamatosan megjelennek, melyek egyfajta online könyvtárként is szolgálnak az olvasóinknak. A dental. hu oldalon díjmentesen elérhetőek a korábbi tematikus online lapszámaink is.

A mostani kiadványunkban általános fogorvosi eljárások mellett az implantológia témakörével foglalkozunk.

Jó olvasást kívánok!

Laczkó Tamás, felelős kiadó

3 VI. ÉVFOLYAM – 2023. 11. SZÁM

E-Journal VI. évfolyam, 2023. 11. szám

Kiadja: DP Hungary Kft.

1012 Budapest, Kuny Domokos u. 9.

Felelős kiadó: Laczkó Tamás

Főszerkesztő: Dr. Riba Magdolna

Előkészítés:

DP Hungary Kft., Sárközi András e-mail: grafika@dental.hu

Információ, hirdetésfelvétel:

Bárdos Veronika, telefon: 06-30-472-0030, 06-1-793-1874

Az újság e-mail címe: info@dental.hu

Az újság internetcíme: www.dental.hu

Terjesztés: E-mail hírlevél formájában.

A tudományos közleményeket a szerkesztőség lektoroknak adja át véleményezésre. Közlés csak egyetértő lektori vélemény, illetve a javasolt módosítások elvégzését követően lehetséges.

A cikkek szerzői vállalják, hogy az általuk elküldött írás saját forrásból származik, illetve a felhasznált anyagokat (publikációkat, illusztrációkat, képeket stb.) mindenkor pontosan feltüntetik. Írásaiknak jogi és egyéb adatvédelmi kérdéseiben felelősséget vállalnak.

A német nyelvű szakmai cikkeink magyar fordítását az Oemus Media AG Kiadó engedélyével szerkesztettük lapunkba. A fel nem használt kéziratokat, fotókat nem őrizzük meg, és nem küldjük vissza.

A hirdetések tartalmáért nem vállalunk felelősséget. A gyártó, illetve forgalmazó cégek kérésére közzétett cikkeket keretbe foglalva közöljük és (x)-szel jelöljük, azok szakmai tartalmáért a szerkesztőbizottság nem vállal felelősséget.

4 Tartalom IMPLANTOLÓGIA Vissza a jövőbe 8 Az alsó bölcsességfogak eltávolításának ideális időpontja 20 Implantátum körüli lágyszövet defektus kezelése „Kígyótechnikával” 24 Szóló foghiányok pótlása kerámiaimplantátumokkal 32 Az osszeointegráció támogatása kerámia implantátumok esetén 38 Azonnali implantáció- és restaurációkészítés – a pontosság új szintje 44 A periimplantitis kezelésének legújabb lehetőségei 50 Egy páciens több hagyományos fogászati implantátum elvesztését követő szájüregi rehabilitációja 58 Erős fogak és egészséges száj – meggyőző mosoly 68

ADENTALPRESSTEMATIKUSKIADVÁNYA

Nyomtatott magazinok

2022 / III.ÉVFOLYAM–ÁR:2500FT

DIGITÁLIS FOGÁSZAT

pot az orvoskamara kifejezésével élve: „irányítási-igazodási válság” –, amiben az egészségügy járvány eleje óta őrlődött két tárca között. Igaz, sokan csalódtak, hogy az új kormányban sem lesz egészségügyi minisztérium. Őket friss ágazati egyik első megszólalásakor azzal vigasztalta, hogy az egészségügy érdekérvényesítő képességét nem az önálló minisztérium erősíti, hanem a mi

niszter személye.

bilitás érzetét erősítheti, mivel

Tanulmányozd először az elméletet, aztán jöjjön a gyakorlat, mely belőle származik

„A helyreállító fogászat lett a szenvedélyem és a mindennapi munkám”

Hagyományos teljes fogsor hatékony átalakítása

Teljes ívű rehabilitáció primer vázra ragasztott lítium-diszilikát szekunder koronákkal

ESETISMERTETÉS ESETISMERTETÉS
PORTRÉ
INTERJÚ
Katona József hogy túl nagy változások nem vár-demi fejleményt azonban már tárca (EMMI) felszámolásával azniszter portfóliójába került. Ezzel megszűnhetett az az áldatlan álla-
-
-
őt „igen közelről”, az Országos Kórházi Főigazgatóság (OKFŐ) főigazgató-helyettesi székéből vette magakozásakor pedig azt hangsúlyozta: egészségügyben. Az első nagy léciklusban, most finomhangolásjövő szereposztásáról is: stratégioperatív végrehajtás az országos utóbbi poszton Jenei Zoltánnal indul óta tölti be hivatalt. Bemutatkozásakor azt jelezte az államtitkár: nyár közepéig elkészítik „stratégiai anyagaikat”, csak olyan megoldási javaslat kerülhet kormány elé, amit támogatnak szakmai szervezetek is. Így minden érdekelt reményekkel telve indulhatott nyaralni, bízva abban: számára is gyümölcsözően alakul majd az ágazat sorsa. A Magyar Orvosi Kamara (MOK) azonban semmit sem bízott a véletlenre. Amint felállt a kormány, egy 8 oldalas levélben részletezték belügyminiszter számára, hogy miben problémáit. Látleletükben egyebekutak szétzilálódtak, várakozási idők ellátások közel elérhetetlenné váltak,berhiány. Összességében úgy látják, hosszú, sem rövid távon nem tartszorgalmazták ajánlották hozzá a helyzet javítására egy, a 2011-es részletességű programot alkossanak. Az ellátási problémák nagyságának érzékeltetésére Kiss Zsolt Nemzeti Egészségbiztosítási Alapkezelő (NEAK) főigazgatója szolgált egészen meghökkentő adatokkal június elején. E szerint idén, az első negyedévben a kórházak közel negyedével, szakrendelők ötödével kevesebb beteget láttak el, mint a járvány előtti utolsó év megfelelő időszakában. A krónikus osztályok teljesítménye pedig korábbinak Mindez arra utal, hogy sok páciens be sem jut az ellátórendszerbe, kórházszövetség kongresszusának ma 19-31 százalékkal kapnak több indokolna. 3. oldal TUDOMÁNY ÉS KUTATÁS A fogászati implantológiát évtizedeken elérése vezérelte. kifejezés létrejöttét P. Branemarktól eredeztetik, aki elsőként írta le vitális csontszövet és vele kapcsolatba kerülő titániumból készült eszközök között megfigyelhető... GYAKORLÓ FOGORVOS AJÁNLJA Egy fogpótlás készítéséhez a fogorvos felpuhított viaszba haraptatja pácienst. harapás alapján készített fogpótlás nem csak fogak, a fogpótlás... IRÁNYVONALAK, ALKALMAZÁSOK A Cerec Accept programjának erőteljes szegmense status quo megvitatása. Mindannyian átéltük már, mindannyian éreztük már otthonosan magunkat benne. Velünk nyaralt a remény Új tanulmány szerint a nanorészecskék használata hatékonyabb módszer lehet a fogfehérítésre Anisha Hall Hoppe, Dental Tribune International A dél-koreai Sungkyunkwan Egyebizonyos típusú nanorészecskék lehetnek következő élenjáró megazért nem bíztak bennük, mert azkéről bebizonyosodott, hogy nem a fogfehérítést, és emellett antiremineralizációs tulajdonságokkalben alkalmazzák fogászatban, beleértve fogpótlást, helyreállító fogászatot és parodontológiát. A jelenleg klinikailag használt fogfehérítő szerek, mint például karbamid-peroxid és a hidrogén-peroxid, szabad gyökök keletkezése miatt potenciálisan kóros károsodást okozhatnak. Az áttekintés azt sugallja, hogy a nanorészecskék nemcsak akkor hasznosak, ha fehérítő termékekhez abrázió céljából adják őket, hanem fehérítőszerként alkalmazva még jobban működhetnek, mint meglévő termékek, mivel képesek elősegíteni remineralizációt, oxigénfajokat szabadítanak fel. A keletkező reaktív oxigénfajok oxid és az arany nanorészecskék nanorészecskék viszont hidroxiláttekintés beszámolt szerint hidrogén-perhatást fejtet ki, amikor arany nanorészecskéket használtak, valamint egy másik vizsgálatról, amely kimutatta, hogy az aranylata nem okozott biológiai problémákat vizsgált állatokban. A felülvizsgálat szerzői szerint szükség annak ellenőrzésére, hogy ezek nanorészecskék potenciálisan jelenthetnek-e toxicitási kockáA hosszú hullámhosszú fénnyel amelyről beszámoltak, azt sugallsza szén kompozitja jobb fehérítésiláltak nyilvánvaló toxicitást. Egy hanm-es diódalézerrel aktiválva egy amely titán-dioxid nanorészecskéket tartalmazott, ugyanolyan mértékű fehérítést biztosított, mint egy 35%-os hidrogén-peroxid-oldat. A csoport beszámolt hidroxiapatittal kapcsolatos kutatásról is, amelyről ismert, hogy fogak szilárdságát növeli azáltal, hogy apatitot ad demineralizált zománchoz. Az egyik tanulmány megállapította, hogy hidroxiapatit nanorészecskék fogkrém formájában javították fogak színét, egy másik pedig azt jelezte, hogy a hidroxiapatit nanorészecskéket tartalmazótonságosak. A tanulmány, amelynek címe: „Nanowhitening agents: Progress and perjúnius 15-i számában jelent meg, Forr s: www.dental-tribune.com Kép: Shutterstock/MarcinK3333 B 2022. - XViii é 3. szám The World‘s Dental Newspaper 2022 / XXVI. ÉVFOLYAM – 3. SZÁM A FOGÁSZAT INFORMÁCIÓS MAGAZINJA DENTAL HÍREK ÁRA: 2500 FT PORTRÉ „A tanulási folyamatnak soha nincs vége...” ÚJ GENERÁCIÓ „Csak komplexen kezelek egy problémát...” MED. DENT MED. DENT Kalcifikált felső metszőfog kiszámítható gyökérkezelése 3D-nyomtatott fúrósablon segítségével Szemfog és kisőrlő formázása kismetsző aplázia részárással történő kezelése során 2022 / XIX. ÉVFOLYAM – 3. SZÁM FOGTECHNIKA FOGTECHNIKUSOK SZAKMAI LAPJA ÁRA: 2500 FT Egyedi fogszínkulcsok a CAD/CAM fogpótlások színének meghatározásához A „Majesthetik” csodája – a munkamenet Makó János és Péry Eleonóra interjú –páratlan páros CÍMLAPSZTORI LABORATÓRIUM LABORATÓRIUM A kézművesség tisztelete AKIKTŐL TANULHATUNK 2022 XIX. ÉVFOLYAM – 2. SZÁM A DP HUNGARY TEMATIKUS KIADVÁNYA ÁRA: 2500 FT IMPLANTOLÓGIA INTERJÚ INTERJÚ INTERJÚ „Mindennek az alapja egy tökéletes team megszervezése és működtetése…” Fontos a rendszeres megújulás KERESKEDELMI HÍREK Nézzünk előre! „Én a szakterületek harmonikus együttműködésében hiszek…” Dental Hírek 4 szám/év Fogtechnika 4 szám/év Digitális Fogászat 1 szám/év Dental Tribune 4 szám/év Implantológia 3 szám/év bankkártyás fizetés esetén Szakkönyvek ajándékba! 2023-as éves, mind az öt magazinunkra történő előfizetés esetén választhat fogászati szakkönyveink közül egyet ajándékba 2023 DENTAL PRESS AKCIÓ!
Online magazinok Az előfizetéshez kattintson IDE! 16 újság + 16 e-Journal 45%41 000 Ft helyett 23 500 Ft

VISSZA A JÖVŐBE

Új gyakorlati implantológiai kurzus indul el decemberben a Semmelweis Egyetem Anatómiai, Szövet- és Fejlődéstani Intézet közreműködésével. Célja, hogy a mindennapi gyakorlatban felmerülő problémák megoldásához nyújtson kézzelfogható segítséget. Három fiatal orvos vállalkozott rá, hogy saját tapasztalataikat átadják egy olyan kétnapos képzés keretében, amely részben elméleti, de főleg gyakorlati ismereteket foglal magába, illetve megkísérel új ismereteket is a gyakorló orvos kezébe adni.

lástan, később a parodontológia, legutóbb pedig az új implantológia szakvizsgát tette le. Tavaly óta PhD hallgató, a Helyreállító Fogászati és Endodonciai Klinikán dr. Vág János vezetése alatt dolgozik egy kutatásban. Dr. Lendvai Dávid PhD, az Általános Orvostudományi Karon végzett, majd az Anatómiai Intézetben lett oktató és egyben kutató. Később, 2019-ben a fogorvosi diplomát is megszerezte, azóta magánrendelőben, fogorvosként is dolgozik. Ő úgy látja, hogy noha hárman három különböző helyről indultak el, egy ponton találkoztak. Mindhárman szeretnek oktatni, fejlődni és meglátták a lehetőséget az Anatómiai Intézet újonnan megnyílt sebészeti oktató műtőjében. Ezzel egy régi álom vált valóra. Egy multidiszciplináris műtő, amely azt jelenti, hogy különböző sebészeti szakmák kaphatnak teret, legyen az például a nőgyógyászat vagy az ortopédsebészet, szájsebészet. Mivel modern berendezésekkel szerelték fel – valódi műtőasztalokkal, korszerű digitális eszközökkel –, ezáltal alkalom nyílik valódi műtétek modellezésére. Erre azért van szükség, mert nagyon nagy az érdeklődés a klinikumban dolgozó, különböző szakmákat gyakorló kezdő, vagy tapasztalt orvosok részéről, hogy a saját tudásuk felelevenítése mellett egy magasabb szintre lépjenek.

Lényegében az anatómiai ismereteken alapuló sebészeti kurzusról van szó?

Ezzel a rendelőkben zajló mindennapi, rutin munkát kívánják segíteni, dr. Németh Bertalan 2010-ben végzett a Semmelweis Egyetem Fogorvostudományi Karán. A dentoalveoláris-sebészet és az orális implantológia szakorvosa, jelenleg több magánrendelőben dolgozik, illetve önkéntesen vesz részt az oktatómunkában az Arc-Állcsont-Szájsebészeti és Fogászati Klinikán, továbbá a Parodontológiai Klinikán, ahol kísérleti kutatóként tevékenykedik. 2021 óta ITI Fellow (International team for Implantology), amelyet rajta kívül csak 4 ember mondhat el magáról ma Magyarországon.

Dr. Berkei Gábor 2012-ben végzett, ugyancsak a Semmelweis Egyetemen, majd ezt követően a „magánszektorban” helyezkedett el, ahol rezidens éveit töltötte. Elsőként a fogpót-

Ennél sokkal többről van szó – világított rá Berkei doktor. A miénk erősen manuális szakma és a kurzusok során például disznófejeken van csak lehetőség gyakorolni egy-egy beavatkozást. Ez csak nyomaiban emlékeztet mindarra, amivel a klinikai szituációkban találkozhattunk. Most páratlan lehetőség nyílik arra, hogy emberi szöveteken, valós anatómiai viszonyok mellett tudjunk új műtéttípusokat elsajátítani.

A kurzus részét képezi az anatómia. Az erre a célra készített preparátumokon tanulmányozni lehet az erek, idegek helyzetét, lefutását, egymáshoz való viszonyait. Ezt követően – erre alapozva – történik maga a műtét. Csontpótlások, implantátumbehelyezés, lágyszövet-átültetés – főként ezek azok a beavatkozások, amelyeket el szeretnénk végezni. Ezek olyan komplexebb beavatkozások, amelyeket a hagyományos fogorvosképzés keretein belül nincs lehetőség elsajátítani, a végzést követően kell begyakorolni őket. Van, aki

8 e-Journal IMPLANTOLÓGIA

szerencsés és olyan helyen lesz rezidens, ahol van rá lehetősége, de sokan kurzusokon, könyvekből, cikkekből, vagy a saját és a pácienseik kárán tanulják ezeket a műtéttípusokat. Németh doktor szerint ez egy lehetőség arra, hogy a képzés leendő résztvevői néhány műtéttípust el tudjanak végezni ezeken a készítményeken és ne kövessenek el elkerülhető hibákat. Fontos kiemelnünk, hogy a preparátumok önkéntes felajánlásokból származnak. Vagy az elhunyt rendelkezett úgy még életében, hogy a teste oktatási célra felhasználható, vagy a hozzátartozók részéről történt a felajánlás. „Mortui vivos docent – A halottak tanítják az élőket”.

Ki a célközönség?

Az ajtó mindenki számára nyitva áll – adta meg a választ Berkei doktor. Az OFTEX rendszerében, szabadon választható kurzusként került meghirdetésre, most folyik a képzés akkreditáltatása. Továbbképzési pontokat kaphatnak érte, akik elvégezték. A mi kurzusunk tehát végzett fogorvosoknak szól, elsősorban olyanoknak, akiknek már van némi sebészeti tapasztalata. A közeljövőben megjelenünk azokon a közösségi oldalakon, amelyeket fogorvosok használnak. A képzés első alkalommal 2023. december 9–10-én, hétvégén, szombaton és vasárnap lesz, még van elég időnk az ismertté tételére. A két napon két külön tematika szerint oktatunk. A képzés főbb témái az arcüregemelés, az állcsontgerinc vastagítása (laterál augmentáció), illetve az azonnali implantáció. Mindegyik előtt lesz egy rövid elméleti összefoglaló, amelyet hosszabb gyakorlati foglalkozás követ. Ezen mi végzünk bemutató műtétet, majd lépésről lépésre segítünk a résztvevőknek elvégezni egy adott beavatkozást. A főbb témák egymáshoz kapcsolódnak.

Idejön valaki két napra. Végigcsinálja. Ez elegendő ahhoz, hogy már biztonsággal nyúljon egy ilyen feladatnál a beteghez, vagy inkább még vissza kellene jönnie kétszer-háromszor?

Ez olyan, mint az autóvezetés – vette át a szót Németh doktor. Amikor megszerezzük a jogosítványt, jó, ha az ember az elején szerez bizonyos tapasztalatot, gyakorlatot. A műtőben viszont csak akkor lesz igazán magabiztos, amikor már kellő számú műtétet megcsinált. Mi a kezdő lépéseknél fogunk tudni segítséget nyújtani. Pont akkor, amikor az orvosnak a legnagyobb szüksége van rá. Dr. Berkei Gábor és dr. Lendvai Dávid is egyetért; nem árt, ha valaki visszajön, mert tervezünk más tematikájú képzéseket is.

Pont az lenne az egésznek az esszenciája – szólt közbe dr.

Lendvai Dávid –, hogy egy állati eredetű készítményen a különböző szövetek, mint a csont vagy a nyálkahártya ugyan hasonlóak, mint az emberen, az anatómiai szituációk azonban meg sem közelítik az emberi szájüreg morfológiai viszonyait. A résztvevők teljes egészében szövetazonos műtéti helyzettel állnak majd szemben, anatómiailag azonos preparátumokkal fognak találkozni. Ez a kurzus valójában gyakorlatot ad. A kurzus végeztével írásbeli vizsgát kell tenniük és igazoló oklevelet kapnak. A két nap alatt lesz lehetőségünk arra is, hogy a résztvevők elméleti és gyakorlati tudását felmérjük, ezáltal segítsük a további fejlődést. Mint korábban említettük, bárki jelentkezhet, ám leginkább azok számára lesz hasznos, akiknek van már némi tapasztalata az implantológia, vagy a csontpótlások terén. A fiatal generáci-

ót képviseljük, ezért szeretnénk kötetlen hangulatot teremteni, ahol mindenki nyugodtan bármelyikünktől kérdezhet, mi pedig a legjobb tudásunk szerint igyekszünk majd a kérdéseikre válaszolni, illetve a kurzus után is szeretnénk ezt fenntartani, a résztvevők bátran kereshetnek minket, ha van valamilyen kérdésük vagy kételyük.

Maradjunk még egy kicsit a csontpótlásoknál, annak számos lehetősége van, kezdve mondjuk a saját vérből történő csontpótlással. Kadáveren hogyan lehet pótlást elvégezni?

Saját és állati eredetű csontpótlókat is használunk – mondta el Berkei Gábor doktor –, gyakorolunk különböző membrántechnikákat, sinus lift eljárást, amely az arcüreg membránja alá történő csontpótlás. Németh Bertalan úgy látja, a praxis során a csontbeültetéseknél gyakran történik olyan komplikáció, amelynek következtében végül sikertelen lesz a beavatkozás. Vannak olyan tippek, trükkök, tapasztalati háttértudás, amely segíthet abban, hogy például egy csontpótlással ellátott területet úgy tudjunk saját nyálkahártyával fedni, hogy az a későbbiekben ne nyíljon szét. Lebenyképzést, varrástechnikákat tudunk gyakorolni, ezek mind olyan apróságok, amelyek elősegítik a beavatkozás sikerességét.

Esett szó már az implantációról. Ennek gyakorlásához implantátumokra van szükség. Nyilván lesz támogató, de az implantátumok között van differencia. Nem jár ez azzal a veszéllyel, hogy aki itt gyakorolt, csak egy bizonyos típust tud majd használni?

Az implantológia alapjai – jobb esetben – minden implantátum rendszernél azonosak. Ha ezeket a műtéti alapokat elsajátítjuk, akkor azt adaptálni tudjuk más rendszerekre is. A protokollok ugyanazok az implantáció vagy a csontpótlás terén, egy-két apró, technikai különbség van, például, hogy hol, melyik fúrót használjuk. Ezt a kurzust hárman együtt tartjuk, a feladatok megoszlanak. Így külön hangsúlyt kap az anatómia, a különböző képletek, idegek, az arcüreg morfológiája. Gábor fog inkább az arcüregről beszélni, magam a laterális augmentációról, az implantációról pedig megosztva szólunk. Egy alkalommal tizenöt résztvevőre számítunk. Az elméleti bevezetőt és a gyakorlati bemutatót követően, személyesen segítünk a gyakorlati munkafolyamatok lépéseiben, például javíthatjuk, ha valaki valamit nem jól vagy nem megfelelő eszközzel csinál.

Annyiban valóban különleges lesz a kurzus, hogy különös figyelmet fordítunk az anatómiai ismeretekre. A világ minden részén szerveznek tanfolyamokat, de csak kevés van, ahol olyan szakember is rendelkezésre áll, aki anatómusként és fogorvosként is dolgozik. Olyan speciális készítményeken történhet az adott beavatkozás, amelyek messzemenően hasonlítanak az élő szövetekre. Az ereket kontrasztanyaggal töltjük fel, azért, hogy jól kirajzolódjanak azok a területek, ahol egy műtét során kellő elővigyázatossággal kell operálni. Konzisztenciájában is visszaadja az eredeti szövetek textúráját, nyújthatóságát. Mindhárman követjük a „modern irányvonalakat”, amelyeket a kétnapos képzés alatt át kívánunk ültetni a gyakorlatba. Teljesen valós műtéti élményt, a gyógyító munkában közvetlenül felhasználható tapasztalatokat fog adni ez a kurzus – zárta a beszélgetést dr. Lendvai Dávid.

10 e-Journal IMPLANTOLÓGIA

Empowering Predictability

KIZÁRÓLAGOS MAGYARORSZÁGI FORGALMAZÓ alphaimplant.hu powered by TM Launch!
Immediacy
and Performance in
2023. OKTÓBER 12-13-14. „Találkozzunk Európa fogászati eseményén Budapesten dentalworld.hu
Dr. Arthur Volker Egyesült Államok Dr. Daniel C. Neves Brazília Dr. Marco Mailonio Olaszország Prof. dr. Mutlu Özcan Svájc Dr. Nuno Pinto Portugália Dr. Joseph Choukroun Franciaország Danielle Rondoni Olaszország
XXIII. Dental World Nemzetközi Fogászati Kiállítás & Konferencia 2023. október 12–13–14. Budapest, Hungexpo Jelentkezzen most: dentalworld.hu
Dr. Francesco Amato Olaszország Dr. Ruth Perez Alfayate Spanyolország Dr. Alain Simonpieri Franciaország Dr. Byron Tsivos Egyesült Királyság
20% Late Bird kedvezmény 2023. szeptember 3-ig 24 kreditpont
Dr. Jordi Manauta Olaszország

Implantológia Kongresszus

2023. október 12., csütörtök

09.30–09.45 Dr. Sidó Levente, dr. Németh Zsolt: Megnyitó

09.45–10.45 Dr. Michaela von Geijer (Svédország): Utak az implantátum sikeréhez

A páciensek azt hihetik, hogy az implantátumok könnyű megoldást jelentenek a hiányzó fogakra, de az implantátum körüli betegségek előfordulása egyre gyakoribb és világszerte jelentős problémává válik. Klinikusként felelősségünk, hogy hozzájáruljunk a betegek fogászati implantátumokkal kapcsolatos ismereteinek bővítéséhez, hogy javítsuk az implantátumok egészségét és hozzájáruljunk az egészségesebb implantátumokhoz. Az előadásokon tippeket és tanácsokat kaphat arra vonatkozóan, hogyan javíthatja a fogászati implantátumokkal rendelkező betegek szájüregi egészségét.

Tanulási célok:

- Legyen tisztában a periimplantáris betegségek gyakoriságával, kialakulásával és kockázati tényezőivel.

- Legyen képes felismerni és megkülönböztetni a peri-mucositist és a peri-implantitist

- Legyen képes hatékony karbantartó látogatások megtervezésére és végrehajtására

- Legyen képes a páciens otthoni ápolási rutinját úgy alakítani, hogy javítsa a plakkok ellenőrzését az implantátumok körül.

- Segítsen a pácienseknek kiválasztani és használni az adott implantátum kialakításánál hatékony szájhigiéniai termékeket.

10.45–12.15 Dr. Matteo Basso (Olaszország): Mikrobiom, a diszbiózis és az antiszeptikumok szerepe hogyan védheti az implantátum gyógyulását és megtartását?

A szájüregi biofilm szerepét az utóbbi időben sokat vitatják, és kezelését tulajdonképpen a sikeres implantátumgyógyulás és a hosszú távú periimplantáris egészségmegőrzés kulcsának tekintik. A szájüregi mikroorganizmusok adhéziójának, fejlődésének és anyagcseréjének egyensúlyának megőrzése a foglepedékben hatékony megközelítést jelent a nyálkahártya-gyulladások ellen, az erős antiszeptikumok aszpecifikus, destruktívabb hatása helyett, amelyek továbbra is ideálisak az aktív sebészeti terápiákhoz, de túl agresszívek és nem szelektívek a szájüregi karbantartó programokhoz. Még a klórhexidint is figyelembe véve, amelyet az összes legújabb nemzetközi protokoll még mindig az arany standard antiszeptikumnak tekint, számos szempontot kell értékelni azzal kapcsolatban, hogy a különböző kémiai oldatok hogyan hathatnak a mikrobiótára és a beteg sejtjeire a gyógyulási fázisban. Az előadás célja, hogy bemutassa és megvitassa a legújabb koncepciókat és kutatásokat a szájüregi kezelés új szerepéről. A szájüregi mikrobióta szerepének új szerepét a periimplantációs betegségek kialakulásában, figyelembe véve a következő szempontokat

a) az implantátumpatológiák különböző szakaszaihoz kapcsolódó specifikus patológiai „szignatúrák”, a beültetéstől a hosszú távú fenntartásig, és

b) az új antiszeptikus készítmények hatékonyan elősegíthetik a klinikai sikert.

12.15–13.45 Ebédszünet

13.45–15.15

Prof. dr. Mihai Juncar (Románia): Azonnali implantátumok beültetése – indikációk és korlátok

Napjainkban a fogászat egyik alapvető eleme az implantációs protetikai rehabilitáció, mely számtalan előnnyel jár. A rehabilitáció e módszerének egyik hátránya azonban az az idő, amelyet a páciensnek várnia kellett attól a pillanattól kezdve, hogy megtudta, hogy egy fogat ki kell húzni, s amíg az implantátummal támogatott fogkoronát megkapta. E hiányosság ellensúlyozására különböző sebészeti technikák jelentek meg, amelyek lehetővé teszik a fogászati implantátumok behelyezését közvetlenül a foghúzás után, és a fogászati implantátumgyártók olyan implantátumrendszerek kifejlesztésére törekedtek, amelyek a foghúzás után azonnal behelyezhetők, és ideális esetben protetikai eszközökkel is terhelhetők. Nem szabad azonban elfelejtenünk, hogy minden kezelési lehetőségnek vannak bizonyos korlátai és egyértelmű indikációi, és ezek be nem tartása a kezelés kudarcához vezet, ami időbe, erőfeszítésbe és pénzügyi forrásokba kerül. Ezen az előadáson a fogászati implantátumok behelyezésének fő lehetőségeit fogjuk megvitatni a foghúzástól a fogászati implantátum behelyezéséig eltelt idő szerint. Azt is megvizsgáljuk, hogy az egyes fogászati implantátumok behelyezési idejének milyen indikációi vannak, és mi történik, ha ezeket az indikációkat nem tartjuk be. A cél az, hogy tanuljunk a hibákból, és megértsük, mi okozhatja azt. Továbbá, hogy tudatosan tudjunk dönteni, és a lehető legjobban kontrollálni tudjuk a hibát.

15.15–17.15 Dr. Fomina Antonina (Oroszország):

Biomateriálok

A-tól Z-ig:

a tudománytól a napi gyakorlatig

Az esztétikai területen fontos, hogy az implantátum körüli lágy és kemény szövetek a lehető legnagyobb stabilitást kapják. Az implantátum körüli térfogathiány nemcsak az esztétikai eredményt, hanem az implantátum stabilitását és sikerét is veszélyeztetheti. Az előadás végig vezeti a résztvevőket a csontregenerációtól az implantátum beültetéséig, miközben bemutatja a Geistlich teljes regenerációs palettáját is.

23

KAVOSZ SZÉCHÉNYI LÍZING MAX+

• 5 % fix kamatozás

• 2,5 % szerződéskötési díj

• Önerő 30 %

A-dec 500

Prémium kategóriás alsó/felső karos kezelőegység

5 É V GARANCIA

2003 ÓTA FOLYAMATOSAN ELNYERTE A LEGJOBB KEZELŐEGYSÉG FŐDÍJAT

Csak az a gyártó ad 5 év garanciát a termékére, aki biztos a gyártmánya minőségében

DELUXE vezérlés, 8+4 LED páciens lámpa, NSK NLZ LED-es mikromotor www.a-dec.com/virtual-tour www.dent-east.hu

Az A-dec kezelőegységek szervizeléséhez a vételár mindössze átlagosan 1,97%-át teszi ki az évente vásárolt alkatrész. Ebben az A-dec páratlan.

A-dec 230

Felsőkaros kezelőegység, DELUXE vezérlés, 8+4 LED vagy 4 LED páciens lámpa, NSK NLZ LED-es mikromotor

A-dec 200

Kompakt alsókaros kezelőegység

DELUXE vezérlés, 8+4 LED vagy 4 LED páciens lámpa, NSK NLZ LED-es mikromotor

A-dec/NSK elektromos, nyomaték szabályozott LED-es, ENDO funkciós mikromotor, rpm 100-40000
ÚJ MEGKÖZELÍTÉS! Dr. Faluhelyi Péter egynapos ergonomiai tréningje – ajándék a gép mellé
Keressen bennünket! Telefon: 06 20 943 8109 • 06 20 929 0701 • 06 20 922 8508 E-mail: mail@dent-east.com
„Amit ma megvehetsz, ne halaszd holnapra”
Ügyintézést biztosítunk

Implantológia Kongresszus

2023. október 13., péntek

09.30–09.45 Dr. Sidó Levente, dr. Németh Zsolt: Megnyitó

09.45–11.00 Dr. Yoav Leiser (Izrael): Fejlett protokoll az azonnali terheléshez minden csonttípusnál és magasságnál

A bemutatott előadás az implantátumok helyreállításának protokolljára összpontosít a 10 mm feletti és 1 mm közötti csonttérfogatokban. Az azonnali implantációt és terhelést is áttekintjük a maradék csonttérfogat több lehetőségében.

A hangsúlyt a különböző sebészeti technikákra helyezzük, amelyek szükségesek ahhoz, hogy a sebész képes legyen a teljes állkapocs azonnali terhelésére és rehabilitációjára.

11.00–12.00 Dr. Joseph Choukroun (Franciaország): PRF és oszteoimmunológia

Az oszteoimmunológia az a modern tudomány, amely az immunrendszer csontanyagcserére, de minden szövetgyógyulási jelenségre gyakorolt hatását mutatja be. A csontgyógyulás ugyanis immunreakcióval kezdődik: gyulladással, amelyet a gyulladásos citokinek felszabadulása vált ki. Ezek a citokinek felelősek az angiogenezisért, amely aktiválja a csontkallusz kialakulását. A csontsejtek viselkedése az immunrendszer működésétől függ, amely az oxidánsok szintjétől függ. Az oxidánsok magas szintű termelődését oxidatív stressznek nevezik, ez vezet az immunrendszer összeomlásához, ami olyan járulékos hatásokkal jár, mint a fertőzés, a remodelling leállításával a csont felszívódása, vagy a fibrointegráció. Ez a helyzet például cukorbetegeknél, dohányosoknál, penicillinre allergiás betegeknél vagy krónikus gyulladásos betegségeknél. A kedvező csontanyagcsere szükségszerűen megköveteli az oxidatív stressz csökkentését különböző megoldásokkal, például megfelelő D-vitamin-pótlással, az LDL-koleszterinszint csökkentésével vagy egyéb megfelelő immunstimulánsok. Az antibiotikum-profilaxist is felül kell vizsgálni, hogy jelentős immunstimuláló tulajdonságokkal rendelkező antibiotikumokat alkalmazzunk. A PRF-nek immunfunkciója is van: csökkenti a gyulladásos szintet és növeli a helyi antioxidánsokat. Könnyű bizonyítani, hogy a periimplantitis egy immunbetegség, amely csontvesztést okoz az implantátum körül, amelyet az oxidatív csont stressz vált ki.

12.00–13.00 Dr. Jerome Surmenian (Franciaország): Hogyan teszi az oszteoimmunológia kiszámíthatóvá és reprodukálhatóvá a sikert a GBR-ben?

A regeneratív sebészetben a siker elérése a páciens gyógyulási potenciáljának javítását és a megfelelő sebészeti megközelítést jelenti a legkompatibilisebb biomasszával. A kiszámítható és reprodukálható siker elérése protokollok alkalmazását jelenti. Az osteoimmunológiai protokoll klinikai alkalmazását, valamint a sebészeti protokollt részletesen bemutatjuk, és a résztvevőknek készen kell állniuk arra, hogy azt azonnal alkalmazhassák a napi gyakorlatukban.

13.00–14.00 Ebédszünet

14.00–15.30

Dr. Francesco Amato (Olaszország): Egyetlen fog implantátumpótlása az elülső zónában egészséges vagy veszélyeztetett helyeken: minimálisan

invazív sebészeti megközelítés és innovatív protetikai protokollok

Az előadás témája az elülső állkapocs zónában az egyetlen fog implantációs pótlása egészséges vagy súlyosan veszélyeztetett helyeken egyaránt: Milyen kezelési protokollt kell helyesen alkalmazni az ideális esztétikai eredmény elérése érdekében, minimálisan invazív megközelítéssel? Három különböző klinikai forgatókönyv kerül ismertetésre: 1 típus: Klinikai esetek, amikor a recipiens terület lágy- és keményszövetei épek. 2. típus: Klinikai esetek, amikor a lágyszövetek jelen vannak, de a recipiens terület keményszövetei sérültek. 3. típus: Klinikai esetek, amikor a lágyszövet és a recipiens hely keményszövete is sérült. A diagnózist, a kezelési tervet, az időzítést és a kezelési lehetőségeket minden egyes kategória esetében megvitatjuk, a következőkre összpontosítva: Az implantátum kiválasztása, a kemény- és lágyszövetek kezelése, mind a sebészeti, mind a lágyszöveti kezelés, protetikai kezelés, különböző augmentációs eljárások, a graft típusa, valamint az ideális fogpótlás elkészítésének innovatív technikái, ideiglenes restauráció szöveti alátámasztására és kondicionálására az optimális esztétikai eredmény elérése érdekében, még a veszélyeztetett implantátumhelyek esetében is. Elemzésre kerülnek az egyes kezelési irányvonalak előnyei és hátrányai. A klinikai tapasztalatokat és a bizonyítékokon alapuló döntéseket a szakirodalom támogatásával kombináljuk annak érdekében, hogy a klinikus gyakorlati útmutatást kapjon a kiszámítható eredmények eléréséhez.

15.30–17.00 Dr. Alain Simonpieri (Franciaország): A csontkezelés az azonnali terhelés sikerének kulcstényezője

Főbb kihívások:

- Függőleges csontszint biztosítása: A függőleges dimenzió eléréséhez szükséges tényezők meghatározása

- Megfelelő lágyrészek elérése: Vastagság és papillák

Biotípus javítása: Lágyszöveti vaszkuláris túlfolyás

Átültetés ragadós csonttal

- Hogyan segíthetjük a beteg immunrendszerét osteo-immunológiai protokollokkal?

Lágyrészek kezelése: Lappkezelés, lágy kefélés, varratok (apikális matrac) Implantátum behelyezése: Előkészítés, tengely (gyors útmutató), mélység, a gallérok szimmetriája (gallér vonalvezetése), átmérő, szám..., sub-crestal elhelyezés, gallér vonalvezetése. Biológiai szabályok

- A beteg biológiai értékelése

- Hogyan javítható a beteg immunrendszere?

- Nem gyulladáscsökkentő hatású biomatériák használata

- Prf és ragadós csont előkészítés

Az esztétikai eredmények eléréséhez szükséges tényezők meghatározása

Az ideiglenes restauráció lenyomata és szerepe

23

STRAUMANN® BLX IMPLANT SYSTEM

Confidence beyond Immediacy.

System overview

Implantológia Kongresszus

2023. október 14., szombat

09.30–09.45 Dr. Sidó Levente, dr. Németh Zsolt: Megnyitó

09.45–11.15 Dr. Andres Pascual La Rocca (Spanyolország): Szövetregeneratív megközelítés sertéseredetű

acelluláris bőrmátrix

felhasználásával – jelenlegi koncepciók és alkalmazási javallatok

A megelőzés és a társadalmi tudatosság ellenére a szájüreg betegségei, a fogszuvasodás és a fogágybetegségek még mindig nagyon gyakoriak. A következmények közé tartoznak a különböző szövődmények, amelyek fogvesztéshez vezethetnek. A fogászat fejlődése és az új technológiák alkalmazása jobb eredményeket tett lehetővé e kórképek kezelésében. Így a lágy- és keményszöveti regeneráció területe a rekonstrukció során kihívást jelentett és jelent a szakemberek számára. A múltban az autograftokat használták standard kezelésként, de a forrás és a donorhelyek korlátozásokkal járnak. Emiatt a pácienséhez hasonló tulajdonságokkal és eredményekkel rendelkező biokompatibilis anyagok kifejlesztése folyamatosan fejlődött. A különböző eredetű, pl. emberi vagy állati eredetű bőrmátrixok kiváló eredményeket mutattak. A közelmúltban sertéseredetű bőrmátrixokon olyan módosításokat végeztek, amelyek jobb tulajdonságokat eredményeztek, és a páciens saját szövetének felhasználásához hasonló optimális eredményeket tesznek lehetővé. Az előadásban ismertetésre kerülnek ennek az újszerű membránnak a fő indikációi, és számos olyan klinikai helyzet kerül bemutatásra, amelyekben kiváló eredményeket értek el az alkalmazásával.

11.15–12.30 Dr. Stefan Röhling (Svájc): Front fogak implantációja: a kétrészes kerámia implantátumokkal történő esztétikai rehabilitáció Ezen az előadáson a kerámiaimplantátum-specialista, dr. Stefan Röhling nemcsak a kerámiaimplantátumok szakszerű kezelését mutatja be releváns klinikai esetek segítségével, hanem a kerámiaimplantátumok legújabb generációjával kapcsolatos aktuális tudományos tényeket is ismerteti.

12.30–13.45 Ebédszünet

13.45–15.00

Dr. Michael Ainsworth (Egyesült Királyság): A csontpótlás forradalmasítása: mire van szüksége a szervezetnek a gyógyuláshoz?

Dr. Ainsworth a modern alloplasztikus anyagok használatáról fog beszélni, és arról, hogy ezek hogyan forradalmasítják a fogászati piacot, a testtel való együttműködést vizsgálva a gazdaszervezet gyógyulásának optimalizálása érdekében. A cél az, hogy a fogorvosnak a legjobb eszközöket adjuk a kezébe az elveszett csont formájának és funkciójának helyreállításához, hogy pontosan ugyanazt a szövetet, egészséges csontszövetet adhassuk vissza pácienseinknek, amely képes újjáalakulni és alkalmazkodni az átvivő okkluzális erőkhöz. Ezek a koncepciók az orvostudomány területéről származnak, ahol kiterjedt kutatások folynak a gazdaszövet eredeti állapotának visszaállításának fontosságáról. A betegek ezt részesítik előnyben (nincs állati, emberi donoranyag, nem marad a helyén hosszú távon maradék anyag), valamint optimális a fiziológiájuk szempontjából, mivel a csont élő szövet. Az esetek variációjával együtt a résztvevők láthatják a legújabb kutatásokat a varratszedés technikájáról és arról, hogy hogyan működik jól az alloplasztikus anyagokkal, hogy segítse a csont stabilitását. Továbbá, megvizsgálják a klinikai kihívásokat és a lehetséges megoldásokat a varratszedési technika alkalmazása során.

15.00–16.15 Dr. Andy Boiangiu (Izrael): Teljes állcsont- és komplex rehabilitáció

23

Dental World Kongresszusok

Digitális Fogászati Kongresszus: 25 000 Ft (teljes ár: 50 000 Ft)

Prevenciós, Földvári Imre Kongresszus: 18 000 Ft (teljes ár: 28 000 Ft)

Praxismenedzsment Kongresszus: 34 900 Ft (teljes ár: 49 900 Ft)

Late Bird 20% kedvezménnyel!*

*A kedvezmény 2023. szeptember 3-ig érvényes

Platina szponzor:

Vegye meg most kongresszusi jegyét a dentalworld.hu oldalon
ESZTÉTIKA • ENDODONTIA • ORTHODONTIA • IMPLANTOLÓGIA KONGRESSZUSI JEGYÁRAK 1 VÁLASZTOTT KONGRESSZUS: esztétika / implantológia / endodontia / orthodontia ALL ACCESS mind a 4 témakörű kongresszusra belépést biztosít KEDVEZMÉNYES ÁRAK HATÁRIDEJE LATE BIRD 2023. 09. 03-ig 80 000 Ft 120 000 Ft LAST MINUTE 2023. 09. 30-ig 90 000 Ft 135 000 Ft TELJES ÁR 2023. 10. 01-től 100 000 Ft 150 000 Ft
3 napos konferenciák:

AZ ALSÓ BÖLCSESSÉGFOGAK

ELTÁVOLÍTÁSÁNAK IDEÁLIS IDŐPONTJA

A praxisunkban nap mint nap szembesülünk a bölcsességfogak okozta panaszokkal. Úgy gondolom, hogy ennek a témakörnek van egy olyan szegmense, mely nem kap elég figyelmet, pedig a pácienseink életét és a saját munkánkat is nagyban meg tudnánk könnyíteni.

Mindenki tisztában van azzal, hogy a mandibulában sajnos nagyon ritkán van akkora helykínálat, hogy a bölcsességfogak a megfelelő pozícióban előtörhessenek. A többi fog kifejlődése után, az adott fogív hossza sokszor már nem engedi meg, hogy az utolsóként fejlődő bölcsességfogak is elférhessenek. Az utolsó molárisok, növekedésük befejeztével, számtalan variációban, a normálistól eltérő helyzetbe kerülhetnek, emiatt több probléma is kialakulhat. Ha a korona nem teljesen hozzáférhető, és emiatt plakkretentív területek jönnek létre, akkor caries és pericoronitis alakulhat ki. A második molárist a bölcsességfog meziális irányba tolhatja, illetve annak disztális gyökerét traumatizálhatja. A TMI-t is túlterhelheti, ha az occlusiot kórosan befolyásoló helyzetbe kerül.

Mi lehet az ideális megoldás? Napjainkban az a protokoll, hogy a már kialakult probléma miatt döntünk a bölcsességfogak eltávolításáról. A tünetek jelentkezése a legtöbb esetben nem kamaszkorban, nem a fogak gyökereinek teljes kifejlődése előtt történik, hanem később, amikor a gyökérfejlődés sajnos már befejeződött.

A fogak fejlődési üteme nagy szórást mutat, így mindenkinél egyéni az az életkor, amikor az optimális idősávban tudunk

operálni. A két legfontosabb tényező, amit sebészeti szempontból figyelembe kell venni, a gyökér helyzete a nervus alveolaris inferiorhoz képest, illetve a korona mandibula felszínéhez viszonyított pozíciója.

Általában a csíra növekedésével a gyökér egyre közelebb kerül az ideghez, közben a korona egyre jobban felemelkedik a csontfelszín irányába. Az idő előrehaladtával bekövetkező változások az első tényezőt tekintve folyamatosan veszélyesebbé, a másodikat számításba véve viszont folyamatosan könnyebbé teszik a fog eltávolítását. Ideális esetben, ezeket mérlegelve választunk időpontot. A túl későn elvégzett műtéteknél magasabb a kockázata a nervus alveolaris inferior sérülésének, a túl korai beavatkozások esetén viszont nagyon mélyről kell eltávolítani a fogat, így a feltárásához több csontot kell preparálni.

Saját gyermekeimnek már kb. 10 éves korukban készítettem OPT-ket a bölcsességfogak helyzetének ellenőrzése céljából. Mindkettejüknek 60-70°-os szögben mezioanguláltak a fogaik, tehát biztos, hogy nem fognak normál pozícióban az erupciós síkig emelkedni, ezért az eltávolításuk indokolt. Ezzel addig várok, amíg egyrészt a lehető legkisebb prepa-

20 e-Journal IMPLANTOLÓGIA
A CT metszetekben a 48-as gyökerei körbeölelik a canalis mandibularist, amelyet piros nyíllal jelöltünk a fotókon.

rációval tudom felszabadítani a koronát, másrészt, hogy a gyökerek 1-2 mm-nél ne kerüljenek közelebb a canalishoz. A fejlődési ütemüket követve, előreláthatólag kb. 15-16 éves korukra érik el a fogaik ezt az állapotot.

Az elmúlt 25 évben több ezer ilyen műtétet végeztem. Sajnos gyakran találkozom olyan esetekkel, amikor komoly fejtörést okoz a problémák megoldása.

Szeretnék mutatni néhány ábrát az egyik bonyolult esetről, a közelmúltból. A CT-n látszik, hogy a három gyökér teljesen „körbenőtte” az ideget. Van olyan frontális metszeti kép, ahol csak a gyökerek vannak a nervus körül, ezen a szakaszon egyáltalán nincs meg a csontos fala a canalisnak. Szeparációs technikával, viszonylag könnyen, minimális traumával, szövődménymentesen sikerült eltávolítani a fog minden részét. A várakozásnak megfelelően, a beteg nem számolt be paraesthesiáról.

Alapos kivizsgálással, részletes tervezéssel, óvatos műtéti technikával még ilyen, extrém esetekben is sikeresen, szövődménymentesen meg lehet oldani a komplikált helyzeteket. Jobb lenne azonban, ha a műtét időpontjának helyes megválasztásával elkerülhetőek lennének ezek a magas rizikójú beavatkozások.

A terápiás lehetőségek között felmerült a dekoronálás lehetősége is, erről konzultáltunk a pácienssel a műtét előtt. Az utóbbi időben megjelent statisztikák ezt a műtéti technikát a legtöbb esetben sikeresnek értékelték, de konszenzus ezt a módszert nem övezi, a szakma nem ezt tartja az ideális megoldásnak. Sokszor a betegek is nehezen fogadják el, pe dig gyakran előfordul, hogy nincs más alternatíva. A páci

ensemmel is azt a közös döntést hoztuk, hogy a teljes fogat eltávolítjuk.

Ideális lenne, ha az ehhez hasonló extrém sebészi-anatómiai állapot kialakulásának megelőzése érdekében nem várnánk meg a gyökérfejlődésnek azt a stádiumát, amikor az ennyire szoros kapcsolatba kerül az ideggel.

Véleményem szerint, azoknál a bölcsességfogaknál, ahol egyértelmű, hogy később nem tudnak megfelelő pozícióba jutni, az lenne az optimális protokoll, ha fiatalabb korban, még a gyökér teljes kifejlődése előtt kerülne sor a műtétre, mert ezzel biztosan megelőzhetnénk az ideget érintő traumát. Szerintem nekünk, akik fogászattal foglalkozunk és pácienseink bizalmát élvezzük, el kell mondanunk a kamaszoknak és a szülőknek, hogy ha az ideális műtéti időpontról lekésünk, akkor később komoly problémákkal nézhetünk szembe. Legnagyobb szerepe ebben a gyermekfogorvosoknak, az iskolafogászati szolgálatot teljesítő kollégáknak és az orthodontusoknak van. Tájékoztatás hiányában mindannyian felelősek vagyunk azokért a szövődményekért, amiket a „bent felejtett nyolcasok”, illetve azok nem ideális időben történő eltávolításaik okoznak.

A magam eszközeivel évtizedek óta küzdök azért, hogy ez a fontos probléma ne csak a szakmai köztudatban, hanem jóval szélesebb körben is nagyobb hangsúlyt kapjon. Csapatommal, többek között dr. Csernyik Orsolya és dr. Bukovenszki Tamás kollégáimmal, akik orthodonciával és dentoalveoláris sebészettel foglalkoznak, sokat dolgozunk azon, -

Dolgozz velünk digitálisan !

Több mint 30 éves szakmai tapasztalat

Minden ami virtuális tervezés Küldje el a lenyomtatot akár intraoral scan formájában és mi megtervezzük illetve legyártjuk a kívánt fogpótlást !

cirkónium-dioxid, PEEK, lítium-diszilikát, PMMA, kompozit

Minden ami 3D nyomtatás

Az általunk vagy az Ön által tervezett vázakat, lemezeket 3D nyomtatással készítjük el !

CoCr és Ti 3D nyomtatása

Teljeskörű support Precíziós utómunkálat

Minőség, pontosság, szakértelem. A fogtechnikai újdonságok úttörői !

21 VI. ÉVFOLYAM – 2023. 11. SZÁM
www dentarttechnik hu labor@dentarttechnik.hu +36 30 682 3827 dentarttechnik

Az implantátum körüli lágyszövet defektusok teljes rehabilitációját

lágyszövet augmentációval. A javasolt módosított, nyelezett Kígyó

lágyszöveteken, mind szélesség, mind vastagság tekintetében az eredmény.

rehabilitációját sikeresen elérhetjük egy második műtéttel elvégzett

Kígyó lebeny technika jelentősen javított az implantátum körüli

egy, kettő és öt évvel a műtét után is egyaránt tartós maradt eredmény.

tekintetében

IMPLANTÁTUM KÖRÜLI LÁGYSZÖVET DEFEKTUS KEZELÉSE

„KÍGYÓTECHNIKÁVAL”

Az implantátum körüli lágyszövet defektusok (papilla hiánya, csökkent lágyszövettérfogat, ínyrecesszió, dehiszcencia, színeltérés) kialakulása viszonylag gyakori komplikációnak számít és befolyásolja az implantátum hosszú távú stabilitását, valamint az esztétikai eredményt (1, 2). Számos tényező befolyásolhatja az ilyen defektusok kialakulását. Csontvesztés a faciális falon, illetve a vékony biotípus elősegítheti egy esetleges implantátum körüli recesszió kialakulását (3). A két milliméternél vékonyabb lágyszövet pedig fokozottabb marginális csontvesztést okozhat (4, 5), amelynek következményeképpen az implantátum szabaddá válhat. Ha az ínyrecesszió mellett nem elegendő a keratinizált íny mennyisége, úgy nehezebb azt megfelelően tisztítani, ami gyulladáshoz és esztétikai problémákhoz vezethet (6). Lágyszövet augmentációt alkalmazhatunk az implantátum felszabadításakor, azonnali implantációval együtt, papillák rekonstrukciójához, keratinizált ínyszélesítéshez, biotípus vastagításhoz és a gerinckontúr helyreállításához egyaránt (7).

Egyre nagyobb az igény az implantátum körüli lágyszövet defektusok kezelésére, mivel azonnali implantáció után gyakran alakulhat ki ínyrecesszió, a szövetek átépülése miatt. Vékony lágyszövet (< 2 mm) esetén szürkésen áttűnhet az implantátum vagy a felépítmény, illetve a lágyszövet hegesen gyógyulhat, ami egyaránt lágyszövet-korrekciót tehet szükségessé (8, 9, 10).

Számos sebészi technikát, valamint sebészi és protetikai módszerek kombinációját leírtak már az ilyen defektusok kezelésére. Sok érvet találhatunk, amely az implantátum felszabadításakor (second-stage surgery) a periimplantáris nyálkahártyán végzett beavatkozások mellett szól. Az irodalmi áttekintés leszögezi, hogy esztétikai régióban, illetve a megfelelő plakk-kontroll érdekében szükséges a keratinizált íny regenerációja, hogy az implantátum körüli szövetek stabilitása biztosított legyen (11). A lebeny kialakítása a következőktől függ: az ínyrecesszió kiterjedése, a vesztibulum mélysége, a nem elmozduló nyálkahártya szélessége és az interproximális szövetek térfogata (1). A klasszikus sebészi módszereknél általában apikálisan vagy laterálisan eltolt lebenyeket használunk az implantátum felszabadításakor. Ezeket a technikákat kombinálhatjuk szabad ínylebeny (free gingival graft) átültetéssel, amikor a keratinizált mukóza szélessége minimális. Az apikálisan eltolt lebeny vagy vesztibulumplasztika kombinálása szabad ínylebennyel vagy szubepiteliális kötőszöveti grafttal az egyik legjobban kutatott technika. Az eredmények alapján 1,15 ± 0,81 mm és 2,57 ± 0,50 mm közötti keratinizált ínyszélesség nyerhető, valamint megfelelően fedhető a szabaddá vált implantátumfelszín (12). A keratinizált íny szélesítéséhez apikálisan eltolt lebeny kollagén mátrixszal kombinálva kisebb morbiditást jelent és a műtét ideje is rövidebb, illetve szinte ugyanolyan hatékony, mint a szabad ínylebennyel végzett műtétek (13). Szuprakresztális és/vagy dehiszcencia típusú defektusok esetén is alkalmazhatóak a szabad autológ epiteliális graftok (14). Az autológ graftot alkalmazó módszerek sokkal hatékonyabbak az implantátum körüli lágyszövet-vastagításban és az esztétika javításában, mint a graft nélküli eljárások (15, 16). Egy szisztematikus irodalmi áttekintés megállapította, hogy az ínyvastagításra alkalmazott autológ graftok jelentősen csökkentik a marginális csontvesztést hosszú távon, valamint apikálisan eltolt lebennyel kombinálva megnövelik a keratinizált íny szélességét, ami jobb szondázási vérzésindexet eredményez és a marginális csontszintváltozás sem lesz annyira drasztikus (17). Az imént leírt technikákkal kiváló eredmény érhető el az implantátumok körül, azonban figyelembe kell vennünk a velük járó morbiditást (seb a donorterületen, ami leggyakrabban a szájpadlást jelenti), a dinamikus lágyszöveti változásokat (recidíva) és a hosszabb gyógyulási időt. Ezekkel a technikákkal kompenzálható a volumenveszteség és kezelhetők a kisebb recessziók, azonban kevésbé egyértelmű mélyebb vagy nagyobb recessziók és a papillavesztések kezelése (1). Ezeket a nehézségeket elkerülhetjük nyeles epitelizált vagy nyeles kötőszöveti lebenyekkel kollagén mátrix alkalmazásával vagy anélkül (18). A

24 e-Journal IMPLANTOLÓGIA
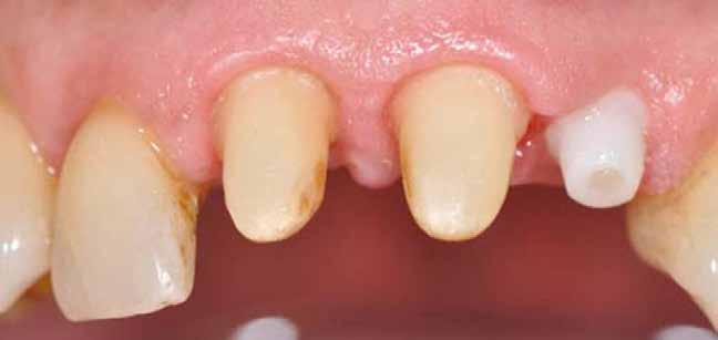
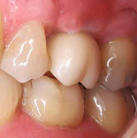
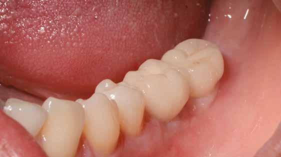
1. ábra: A műtét előtti szituáció, megfigyelhető az implantátumok közötti konkáv terület, ahova könnyen beragad az ételmaradék, és könnyen kialakul a periimplantitis.

nyelezett lebeny technikák egy viszonylag új, minimálinvazív eljárásnak minősülnek. Ilyen műtétet el lehet végezni az implantációkor vagy a felszabadításkor, egy vagy több implantátum esetén is és front- vagy hátsó területen egyaránt (18). A nyelezett lebeny azoknál az eseteknél javasolt főleg, ahol már volt valamilyen sikertelen implantációs kezelés, illetve teljesen fogatlan pácienseknél, ahol több implantátum mellett is szükséges kötőszövet-átültetést végezni (18). Pandolfi leír egy módosított lebenykialakítást (ómega görgetett borítéklebeny), ahol kombinálja a görgetett lebenyt a módosított zsebtechnikával, hogy korrigálja a helyi horizontális gerincdefektust, és hogy megnövelje az implantátum körüli lágyszövet vastagságát (20). Ezzel az eljárással elkerülhető az autológ kötőszövetvétel, így nincs szükség donorterületre, azáltal, hogy az implantátum feletti szuprakresztális kötőszövetet használjuk fel. Tabanella leír egy bukkális nyelezett lebeny technikát, ami mind front-, mind moláris területen használható legalább két szomszédos implantátum esetén (18). Ez a technika egy lingválisan/palatinálisan vezetett parakresztális metszéssel indul, majd egy-egy paraszulkuláris metszéssel folytatódik meziálisan és disztálisan.

Ezután félvastag lebenyt preparálunk, amit apikálisan eltolunk, így a szövettöbblet egy kissé felgyűrődik, ezáltal vastagítva a bukkális szövetet.

Moreno Rodriguez és Caffesse egy ún. laterális elforgatott lebenyt javasol a defektusok fedésére (21). A technika magába foglalja egy recipiens terület kialakítását a bukkális

defektustól apikálisan, ezt követően az ettől disztálisan és kresztálisan lévő keratinizált ínyt forgatjuk be kb. 90 fokkal (diszto-palatinális irányból), majd rögzítjük az implantátum bukkális oldalán (21, 22). Az alábbi írás célja, hogy bemutasson egy új sebészi eljárást, a „Kígyó” módosított nyelezett lebenyt, az implantátum körüli lágyszövet-kondicionálásra osszeointegrálódott implantátumok körül, a mandibula hátsó részén.

Esetleírás

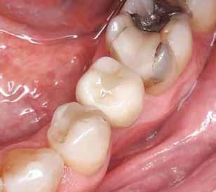
Egy 47 éves páciens jelentkezett nálunk egy alsó, hátsó foghiánnyal, ahol jelentős csontfelszívódást tapasztaltunk a moláris fogak korábbi eltávolítása miatt (1. ábra). Két implantátum körül is volt ínyrecesszió, illetve a keratinizált íny mennyisége minimális volt (kevesebb, mint 1 mm). 4 hónappal az implantációt követően ínykorrekciót végeztünk.

Sebészi technika

Helyi érzéstelenítést végeztünk a műtéti területen artikain és 1:100 000 adrenalin segítségével. A recipiens területet előkészítettük, élesen disszekciót végeztünk, hogy egy izomtapadástól mentes periosteum ágyat képezhessünk. Ettől disztálisan két párhuzamos parakresztális metszést végeztünk egy 15C-s szikepengével, majd a metszéseket egy

25 VI. ÉVFOLYAM – 2023. 11. SZÁM
2–5. ábra: A metszések és a deepitelizáció. – 6–9. ábra: Félvastag lebeny. – 10. ábra: A nyelezett ínylebeny „bepróbálása”.

horizontális metszéssel kötöttük össze (2–5. ábra). A metszések hosszát és a köztük lévő távolságot minden esetben a lágyszövet augmentációhoz szükséges keratinizált szövet határozza meg. A lebeny deepitelizációját egy 15C-s szikepengével végeztük (6. ábra). Ezt követően félvastag lebenyt preparáltunk (7. ábra). A lebenyt apikálisan, az alapjáról belső, felületes metszéssel felszabadítottuk, hogy passzívan áthelyezhessük és rögzíthessük, feszülés nélkül. Meziális irányba 180 fokkal átforgattuk (8–9. ábra). A meziális papillát alagúttechnikával (tunnelling technique) készítettük elő a graft befogadására (10. ábra). Az így kialakított lebenyt a recipiens ágyban rögzítettük az újonnan kialakított vesztibulum alapjánál 5-0 nem felszívódó PTFE (Coreflon, IMPLACORE) varratokkal. A graftot behajtottuk az ínyszél alá és meziális oldalon rögzítettük PTFE varratokkal (11–14. ábra)

A műtétet követően napi kétszeri, 0,12%-os klórhexidin tartalmú szájvízzel történő öblögetést javasoltunk a páciensnek, két héten keresztül. Gyulladáscsökkentésre 8 óránként 400 mg Ibuprofént javasoltunk, három napon keresztül. A páciens elmondása szerint sem fájdalmat, sem különösebb diszkomfortot nem tapasztalt. Ezt követően, további 4 héten keresztül, 0,2%-os klórhexidin tartalmú szájvízzel történő öblögetést javasoltunk a betegnek és instruáltuk, hogy lehetőleg ne mossa fogkefével az érintett területet. A varratokat egy héttel később távolítottuk el. A donor és a recipiens terület – 10 nappal a műtétet követően – kiválóan gyógyult (15–16. ábra). Az ezt követő kontrollokat a következő időpontokban ejtettük meg: kettő, illetve négy héttel a műtét után, majd három, hat és tizenkét hónappal később, ezt követően pedig félévente (17–20. ábra). Minden kontroll alkalmával professzionális fenntartó kezelést végeztünk a területen.

Klinikai mérések

Implantátum körüli szondázási mélységet mértünk az interproximális oldal középső pontjánál, a legmagasabb értéket figyelembe véve az ínyszél és a periimplantáris sulcus alja között. Az implantátum körüli lágyszövet bukkális vastag-

11. ábra: A Kígyó lebeny (varratok disztális részén).

12. ábra: A graftot a meziális oldalon rögzítettük PTFE varrattal.

13. ábra: A graft az ínyszél alá húzva.

14. ábra: Közvetlenül a műtét utáni kép, az utolsó öltések lenyomják a lebenyt, hogy ne maradjon szabad terület.

15. ábra: Tíz nappal a műtét után készült kép, kiválóan gyógyult mind a donor, mind a recipiens terület.

ságát egy ISO #15-ös endodonciai fájllal mértük 2 mm-re a marginális ínyszéltől meziálisan, disztálisan, illetve az implantátum tengelyében (mint referenciapont). A keratinizált íny szélességét parodontológiai szondával regisztráltuk a kiindulás és a kontrollvizsgálatok alatt. A méréseket elvégeztük a műtét előtt, közvetlenül utána, 4 héttel később, majd egy és két év elteltével. A klinikai paramétereket (keratinizált íny szélessége, lágyszövet volumen és recessziófedés) regisztráltunk a kiinduláskor és az utánkövetés időpontjai alatt. Kiinduláskor a feszes íny szélessége minimális volt (1 mm). A keratinizált ínyszélesség terén négy hétnél 2 mm-t sikerült nyerni, egy évnél 3 mm-t és öt év alatt 5 mm-t. A recessziót 100%-osan sikerült fedni 4 hét után, és ez nem változott sem egy év, sem öt év után.

Megbeszélés

A kutatások az implantátumok körüli lágyszövetek egészségére fókuszálnak, mivel kulcsfontosságú a megfelelő feszes ínyszélesség és a megfelelő ínyvastagság a biológiai komplikációk és a marginális csontvesztés megelőzésében (4, 5). Nem elmozduló, feszes szövetek szükségesek az implantátum körül, hogy ne alakulhasson ki periimplantitis és megtartható legyen a csontszövet (24, 25). Az implantátumok körüli lágyszövetek kondicionálására szolgáló technikák javasoltak azokban az esetekben, ahol bizonyos tényezők (konvex pótlás-implantátum kontúr, vékony íny, 3 mm-nél nagyobb implantátum platform-csontszint távolság, interproximális szövetvesztés, nem optimálisan pozicionált implantátum) befolyásolhatják a szövetek stabilitását (1). Az implantátum körüli lágyszövet hiányok kezelésével kapcsolatban nem sok irodalmi bizonyíték áll rendelkezésre (1.). Keratinizált ínyszélesítés területén egy szisztematikus áttekintés az apikálisan eltolt félvastag lebennyel és szabad ínylebeny átültetéssel végzett technikát hasonlította össze a szubepiteliális kötőszöveti grafttal vagy xenogén lágyszövetpótló anyaggal (12). Ugyanez az áttekintés átlag 28,0% és 96,3%-os recessziófedést írt, amikor koronálisan eltolt

26 e-Journal IMPLANTOLÓGIA

lebenyt szubepiteliális kötőszöveti grafttal vagy allogén lágyszövetpótló anyaggal alkalmaztak, illetve félvastag lebennyel és szubepiteliális kötőszöveti grafttal végzett műtét esetén (12).

A klasszikus apikális vagy laterálisan eltolt lebeny technika (epitelizált grafttal kombinálva) megbízhatósága ellenére számos komplikációt jelentettek (graft elhalás, zsugorodás, recesszió recidívája) (17). Ezenfelül a kötőszöveti graftot vagy kollagén mátrixot alkalmazó technikák is eredményezhetnek mobilis implantátum körüli szöveteket, ezáltal veszélyeztetve a implantátum és a körülötte lévő szövetek stabilitását, ami biológiai komplikációkhoz vezethet (26).

Ezek a lágyszövet-korrekciós technikák többnyire invazív jelleggel és morbiditással bírnak, ezért számos nyelezett lebeny technikát javasolnak különböző szituációban. Ezeket általában esetleírások kapcsán láthatjuk sematikus ábrázolással szemléltetve (18, 20–22).

Moreno Rodriguez és mtsai. az esetbemutatást egy kísérleti tanulmánnyal ötvözték (22). A tesztcsoportban olyan páciensek szerepeltek, akik a felső állcsontba már korábban kaptak implantátumokat és valamilyen lágyszövet defektussal (keratinizált íny hiánya vagy 2 mm-nél kisebb ínyvastagság és/ vagy szélesség) rendelkeztek az osszeointegrálódott implantátumok körül és a plakk és vérzési index 30% alatti volt. A kutatók átlagosan 1,37 mm-es bukkális tapadás nyereségét, 3,06 mm-es lágyszövet-vastagodást és 4,69 mm-es keratinizált ínyszélesítést jelentettek. Más kutatók is alkalmaztak nyelezett lebeny technikákat olyan pácienseknél, ahol az ínyvastagság és/vagy szélesség nem érte el a 2 mm-t. Eredményeik alapján mind a keratinizált ínyszélességben, mind az

ínyvastagságban legalább 2 mm-t sikerült nyerniük (18, 20).

A rövid és középtávú eredményeket figyelembe véve, egy tanulmány javulást mutatott be az első három hónap alatt a lágyszövet térfogat és a keratinizált íny esetében, azonban az 1 éves kontrollon 42,4%-os térfogatveszteséget regisztráltak (14). Szisztematikus irodalmi áttekintések nem találtak elegendő adatot azzal kapcsolatban, hogy melyik technika lenne a legideálisabb vagy milyen lebenyt és graftot kellene alkalmazni lágyszövet augmentációhoz (15–17, 27).

A Kígyótechnika abból az elhatározásból született, hogy a lehető legkisebb traumával járó módszert ajánlhassunk pácienseink részére, akik vékony, sérülékeny implantátum körüli lágyszövettel rendelkeznek. Én mindig is úgy gondolok mind a kezelési tervre, mind a kezelésre, mintha én magam lennék a páciens, és ha én lennék a páciens, szeretném, ha lehetőleg csak egy műtéten kellene átesnem, ami nem jár nagy fájdalommal és minél gyorsabban gyógyul a műtét után. A Kígyótechnikának pontosan ezek az előnyei, és van még egy további előnye: csak egy sebbel jár, nem pedig kettővel. Látva az augmentálandó terület melletti keratinizált szövet mennyiségét és minőségét, azon gondolkodtam, hogy miért vennék szövetet a szájpadlásból, amikor a közvetlenül rendelkezésre álló szövetet is felhasználhatom az augmentációhoz. Amikor a palatumból veszünk valamilyen graftot, annak mindig megszakítjuk a vaszkularizációját, ezzel szemben a Kígyó graft mindig vaszkularizált marad, ami jelentősen csökkenti a graftelhalás kockázatát. A disztális donorterület – ahonnan a lebenyt leválasztjuk az alapjáról – biztosítja a recipiens terület augmentációjához szükséges keratinizált szövetet és kötőszövetet (28).

28 e-Journal IMPLANTOLÓGIA
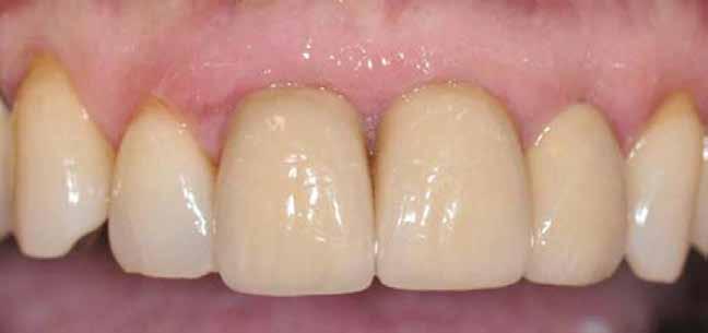
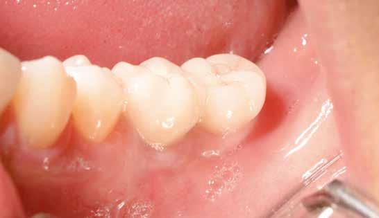
16. ábra: Klinikai kép az implantátumok körüli lágyszövetről a végleges pótlásátadás után. – 17. ábra: Klinikai kép az implantátumok körüli lágyszövetről egy évvel az átadást követően. – 18. ábra: Klinikai kép az implantátumok körüli lágyszövetről két évvel az átadást követően. – 19. ábra: Klinikai kép az implantátumok körüli lágyszövetről öt évvel az átadást követően.

A lebeny 180 fokos elforgatásával mobilizáljuk azt anélkül, hogy csökkenne a vesztibulum mélysége vagy az izmokat akadályoztatnák, mindez alatt a meziális implantátum körüli terület vérellátása akadálytalan (22). A félvastag lebeny technika biztosítja a flexibilitást, ami által megnövelhető a lágyszövet térfogata, és segít egy esetleges implantátum

körüli áltasak kialakulásában, ami bakteriális kolonizáció kockázatát hordozná magával (18).

A páciens mobilis implantátum körüli lágyszövettel rendelkezett, a keratinizált íny szélessége kevesebb volt, mint 1 mm és a nyálkahártya vastagsága nem érte el a 2 mm-t. Az ínyszél az implantátum platform vonalában volt. Az alábbi műtéti technikával jelentős javulást sikerült elérnünk az implantátum körüli lágyszövetek minőségében és a nem elmozduló keratinizált szövet szélesedett 4 mm-rel. A Kígyótechnikánál alkalmazott elforgatott lebeny a szabad keratinizált íny lebeny előnyeivel növeli a nem elmozduló nyálkahártya szélességét az implantátum körül. Biztosítja továbbá a jó vérellátást és a nyeles lebeny stabilitását, ami kisebb mértékű zsugorodást eredményez, mint egy szabad lágyszövet lebenyátültetésnél (29).

Konklúzió

Az implantátum körüli lágyszövet defektusok teljes rehabilitációját sikeresen elérhetjük egy második műtéttel elvégzett lágyszövet augmentációval. A javasolt módosított, nyelezett Kígyó lebeny technika jelentősen javított az implantátum körüli lágyszöveteken, mind szélesség, mind vastagság tekintetében egy, kettő és öt évvel a műtét után is egyaránt tartós maradt az eredmény. Az előnyei a következők: nincs szükség második sebre (távoli donorterületre), jobb a vaszkularizáció, nincs nekróziskockázat, gyorsabb a gyógyulás mind a donor, mind a recipiens területen, nincs nagyobb fájdalom vagy diszkomfort. Hosszú távú utánkövetéses, randomizált kontrolltanulmányokra van szükség ahhoz, hogy megállapítsuk, hogy valóban egy tartós, megbízható módszerről van szó.

Forrás: Implants 2022/4

30 e-Journal IMPLANTOLÓGIA
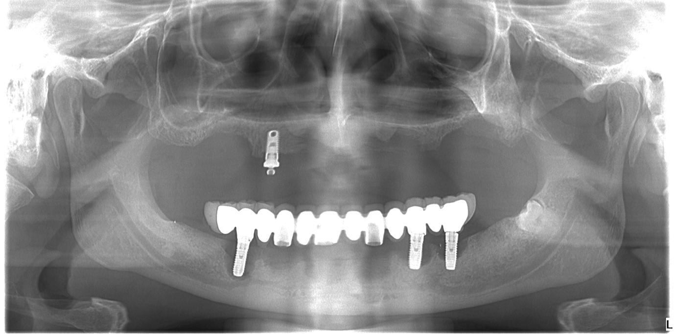
20–22. ábra: 2017-es, 2019-es és 2022-es panorámaröntgen-felvételek.

Őszi Akció!

A S 2 0 0 E W I R E L E S S I N T R A O R Á L I S S Z K E N N E R

L e g k i s e b b , l e g k é z r e á l l ó b b , l e g k ö n n y e b b , f e l h a s z n á l ó b a r á t v e z e t é k n é l k ü l i i n t o r a o r á l i s s z k e n n e r

N A G Y F O K Ú P O N T O S S Á G

A l e g k o r s z e r ű b b k é p p r o c e s s z o r n a k é s a l g o r i t m u s o k n a k k ö s z ö n h e t ő e n 2 0 m i k r o m é t e r e s f e l b o n t á s , g y o r s é s p o n t o s k é p a l k o t á s , g y o r s v e z e t é k n é l k ü l i k é p á t v i t e l , t ö k é l e t e s s z í n h ű s é g

G Y E R M E K É S F E L N Ő T T

S Z K E N N E R F E J E K

A n e h e z e n h o z z á f é r h e t ő , k i s m é r e t ű t e r ü l e t e k e n a s z k e n n e r s z a b a d a b b a n m o z g a t h a t ó , g y o r s a b b é s m ű t e r m é k - m e n t e s k é p a l k o t á s t b i z t o s í t v a

S Z O F T V E R B E É P Í T E T T

M E S T E R S É G E S I N T E L L I G E N C I A

A f e l h a s z n á l ó t e c h n i k á j á t t a n u l v a e g y r e g y o r s a b b é s p o n t o s a b b k é p a l k o t á s t b i z t o s í t

A J Ö V Ő R E H A N G O L T S Z O F T V E R

M A G Y A R N Y E L V E N

S z k e n n e l é s i , s z e r k e s z t é s i , o n l i n e m o d e l l m e g j e l e n í t é s i f u n k c i ó i n k í v ü l f e l h ő a l a p ú t á r o l á s é s m e n e d z s m e n t F o l y a m a t o s a z e g y e s m u n k a f o l y a m a t o k k i e g é s z í t ő m o d u l j a i n a k a f e j l e s z t é s e , a z i p a r á g i g y á r t ó k k a l t ö r t é n ő e g y ü t t m ű k ö d é s k ö r e b ő v ü l , n ö v e k v ő k o m p a t i b i l i t á s

ŐSZI AKCIÓ!

4. 715. 000 Ft + Áfa

Most a rendszert kiszolgálólaptoppal!

G Y O R S

2 0 m p a l a t t t e l j e s f o g í v ! 6 0 m p - e s t e l j e s s z k e n n e l é s ( a l s ó, f e l s ő f o g í v , h a r a p á s r e g i s z t r á c i ó )

D U O S Z K E N

K ö n n y e n v á l t h a t a f o g í v e k k ö z ö t t , m i n d k é t o l d a l o n k é z r e -

á l l ó g o m b o k k a l , A S Z K E N N E R F E J Á T F O R D Í T Á S A N É L K Ü L !

K A L I B R Á C I Ó M E N T E S

N i n c s s z ü k s é g d r á g a k a l i b r á c i ó s e s z k ö z ö k r e , p r o c e d ú r á r a , a z e s z k ö z é s a m u n k a f o l y a m a t o k t e r v e z é s e k o r e z f i g y e l e m b ev é t e l r e k e r ü l t M i n d i g é s a z o n n a l h a s z n á l h a t ó

E G É S Z N A P O S T Ö L T Ö T T S É G

V I L Á G Ú J D O N S Á G !

C s a t l a k o z ó m e n t e s ( i n d u k c i ó s ) t ö l t é s

A k á r 2 ó r a f o l y a m a t o s s z k e n n e l é s ( 6 0 e s e t s z k e n n e l é s e ) e g y e t l e n t ö l t é s s e l G y o r s a l v ó m ó d b a k a p c s o l á s , m a j d ü z e m k é s z á l l a p o t A t ö l t ő b e n t a l á l h a t ó t a r t a l é k a k k u m u l á t o r r a l b á r m i k o r t o v á b b d o l g o z h a t

H I G I É N I K U S H A S Z N Á L A T

N e m s z ü k s é g e s a s z k e n n e l é s f o l y a m á n P C - v e l é r i n t k e z z e n , a s z k e n n e r g o m b j a i v a l a f o l y a m a t o k v e z é r e l h e t ő k , a d i g i t á l i s l e n y o m a t a s z k e n n e r m o z g a t á s á v a l f o r g a t h a t ó C s a t l a k o z ó n é l k ü l g y o r s a n , k ö n n y e n f e r t ő t l e n í t h e t ő k é z i d a r a b f e l ü l e t

1122 Budapest, Ráth György utca 60. +36 30 475 4140 | +36 30 475 4142
info@bardecokft.hu www bardecokft hu I N N O V A T I O N T A K E S F L I G H T

SZÓLÓ FOGHIÁNYOK PÓTLÁSA

KERÁMIAIMPLANTÁTUMOKKAL

Esetbemutatások

ni allergiás reakciókat igazoltak, és 0,6%-os prevalenciáról számoltak be (5). Azt is figyelembe kell venni, hogy az elmúlt években nőtt a fémmentes implantátumot igénylő betegek száma. Az első kerámiaimplantátumok több mint 40 éve érkeztek a piacra (6). Alumínium-oxidból készültek, amelyek kedvezőtlen terhelés esetén hajlamosak voltak a törésre, így már nem kaphatók a piacon (7). Újabban ittrium-tetragonális cirkónium-oxid polikristályt (Y-TZP) használnak a kerámiaimplantátumok gyártásához. Nagy törésállóság, alacsony rugalmassági modulus, alacsony plakk-affinitás és magas biokompatibilitás jellemzi (8, 9).

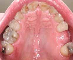
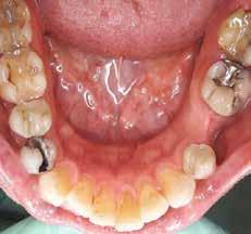
a–d. ábra: Műtét előtti állapot mind a négy páciensnél.

Bevezetés

A fogászati implantátumok hozzájárulnak pácienseink életminőségének javításához. Az implantátumok anyaga továbbra is IV-es típusú titán, amely igazolt mechanikai és biológiai tulajdonságokkal rendelkezik (1). Ennek ellenére ez az anyag is okozhat komplikációkat. Az ilyen fémimplantátumok használata során esztétikai korlátokba ütközhetünk, kiváltképp olyan esetben, ha az elülső régióban alkalmazzuk őket, különösen vékony biotípusú pácienseknél. Példaként említhető a fémes szegély lehetséges megjelenése ínyrecesszió esetén, illetve az implantátum körüli nyálkahártya áttetszősége miatt szürkés elszíneződést mutathat (2, 3). Különböző vizsgálatok titánrészecskékre adott immunológiai reakciókról is beszámoltak, amelyek biológiai szövődményekhez vezettek (4). Más vizsgálatok titánnal szembe-

Az alábbi – négy esetből álló – sorozatban a CERALOG rendszert (BioHorizons Camlog) alkalmaztuk, és szóló foghiányok kerültek ellátásra. A CERALOG implantátumok Y-TZP-ből készülnek (10). A CERALOG rendszer minden szükséges elemet biztosít ahhoz, hogy bármilyen típusú pótlás megtartását lehetővé tegye ezeken az implantátumokon, az egyedi koronáktól a teljes ívre kiterjedő pótlásokig.

Esetek bemutatása

Az alábbi esettanulmányhoz négy pácienst választottunk ki (1. táblázat). Minden esetben egy, vagy több fog pótlására volt szükség, amelyhez kerámiaimplantátumokat használtunk. Valamennyi páciens általános egészségügyi állapota jó volt.

Vizsgálatok

A pótlásra szoruló fogat, vagy fogakat minden esetben legalább egy évvel a fogpótlást megelőzően eltávolítottuk. Ezen esetek egyikében sem végeztünk alveolus vagy állcsontgerinc prezervációt az eltávolítás során, illetve minden páciens jó szájhigiéniával rendelkezett. Egy kivételével minden páciensnél radiológiai analízist végeztünk CBCT-vel,

32 e-Journal IMPLANTOLÓGIA
amelyet
Prof. Curd Bollen, prof. Paul Tipton (Egyesült Királyság)
1. eset
1a 1c 1b 1d Nem Életkor (évek) Egészségügyi állapot Dohányzás Periodontális állapot Foghiány Eset 1 Férfi 52 ASA I Nem Egészséges #35 Eset 2 Férfi 43 ASA I Nem Egészséges #25 & 26 Eset 3 Férfi 57 ASA I Nem Egészséges #16 & 26 Eset 4 Férfi 61 ASA I Nem Egészséges #26 1. táblázat: A páciensek adatai.
1.
(a). 2. eset (b). 3. eset (c). 4. eset (d).
Dr. Geninho Thomé Neodent Founder and Scientific President Matthias Schupp CEO of Neodent & EVP LATAM Straumann Dr. Sérgio Bernardes New Product Development & Clinical Practice Director Dr. Párkányi László elo˝adó Dr. Heintz Renáta elo˝adó Dr. Alessandro Perucchi elo˝adó Dr. Cristian Scognamiglio elo˝adó

digitális implantátumtervezés követett (SICAT és Sidexis, mindkettő Dentsply Sirona; 1. ábra).

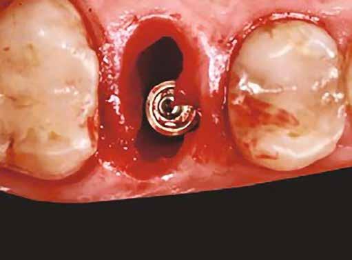
A sebészeti eljárás

Mind a hat implantátum esetén kétlépcsős műtétet végeztünk. Minden sebészeti eljárást bódítás, illetve preoperatív szisztémás antibiotikus terápia nélkül végeztünk. A négy eset közül kettőnél leukocitában és vérlemezkében gazdag fibrint (L-PRF) alkalmaztunk a beavatkozás során (IntraSpin, BioHorizons; 2. táblázat). Minden esetben a pontos CERALOG menetvágási (maximum 15 ford./perc) és fúrási (maximális fúrási fordulatszám: 550–800 ford./perc) protokollt követtük. Az összes implantátumot manuálisan helyeztük be 35 Ncm maximális nyomatékkal. Az implantátumokba PEEK zárócsavar került (2. ábra). A lágyszövetet atraumatikus, felszívódó varrattal, szorosan zártuk/összevarrtuk. A műtétek után szövődmények nem jelentkeztek. A pácienseket arra kértük, hogy a műtét utáni héten naponta kétszer öblögessenek klórhexidinnel (PERIO-AID, 0,05%, DENTAID). Az alsó állcsontnál három hónapos, a felső állcsontnál öt hónapos gyógyulási időt vettünk figyelembe. Három hónap (1. eset) és öt hónap (2., 3. és 4. eset) elteltével a műtétek második stádiumát helyi érzéstelenítés mellett végeztük. A gyógyu-

lási csavarokat (PEEK titáncsavarral) maximum 15 Ncm-rel húztuk meg (3–6. ábra). Az összes implantátum kiváló stabilitást mutatott (a mérésekhez Periotestet használtunk, a Medizintechnik Gulden jóvoltából), és teljesen osszeointegrálódott. Ezt a radiológiai vizsgálatok is megerősítették.

Digitális intraorális scan

Egy héttel a második műtét után intraorális szkennelést végeztünk Medit i500 scannerrel (Medit), a gyártó szkennelési protokollját követve (7. ábra). A gyógyulási csavarok eltávolítása után CERALOG scanbodykat (PEEK-titánötvözet csavar) helyeztünk el az implantátumokba. A fogszín meghatározását digitálisan, a Rayplicker (Borea) segítségével végeztük. A protetikai pótlás tervezéséhez poliphenilszulfon felépítményeket alkalmaztunk. Minden koronát digitálisan rendeltünk ugyanabból a fogászati laboratóriumból, és kerámiakoronákat választottunk minden esetben.

A koronák átadása

Átlagosan két héttel a szkennelés után a koronákat felhelyeztük, PEEK felépítményeket használtunk. Az összes koro-

34 e-Journal IMPLANTOLÓGIA
2a 3a 4a 2b 3b 4b 2c 2d Pozíció Implantátum átmérő Implantátum hossz L-PRF Behelyezési nyomaték Eset 1 #35 4 mm 12 mm Nem 35 Ncm Eset 2 #25 4 mm 12 mm Nem 30 Ncm #26 4 mm 8 mm Nem 25 Ncm Eset 3 #16 4 mm 8 mm Igen 25 Ncm #26 4 mm 10 mm Igen 30 Ncm Eset 4 #26 4 mm 10 mm Igen 30 Ncm
2. a–d ábra: PEEK zárócsavarok az implantátumokba helyezve, 1. eset (a). 2. eset (b). 3. eset (c), 4. eset (d). 3. a–b ábra: Röntgenfelvételek három hónap után (a) és a gyógyulási csavarok behelyezve (b, 1. eset). 4. a–b ábra: Röntgenfelvételek öt hónappal később (a) és a gyógyulási csavarok behelyezve (b, 2. eset). 2. táblázat: Az implantátum tulajdonságai.
TUDOMÁNY - TAPASZTALAT - INNOVÁCIÓ
-ÓTA A MAGYAR FOGORVOSLÁS SZOLGÁLATÁBAN DENTISYSTEM.HU
1983

5.

Röntgenfelvételek öt hónappal később (a) és a gyógyulási csavarok behelyezve (b és c, 3. eset).

6. a–b ábra: Röntgenfelvételek öt hónappal később (a) és a gyógyulási csavarok behelyezve (b, 4. eset).

7. a–d ábra: Digitális intraorális szkennelések az implantátum felszabadítása után. 1. eset (a). 2. eset (b). 3. eset (c), 4. eset (d).

na csavarozhatóan készült el. Mivel a négy páciens szigorúan a bioholisztikus megközelítés mellett döntött, a hat titán felépítménycsavart hat aranycsavarra (Holisticor csavarok) cseréltük ki. Ezeket az aranycsavarokat maximum 15 Ncm nyomatékkal húztuk meg. Titáncsavarok használata esetén legfeljebb 25 Ncm nyomatékot kell alkalmazni. A cég ajánlásának megfelelően az összes csavart legalább 5 perc elteltével újra meghúztuk a megfelelő nyomatékkal (15 Ncm). A csavarokat PTFE szalag védte, a fennmaradó csavarnyílásokat a cirkóniakoronával megegyező színű kompozitanyaggal fedtük. Az okklúziót ellenőriztük, és szükség esetén beállí-

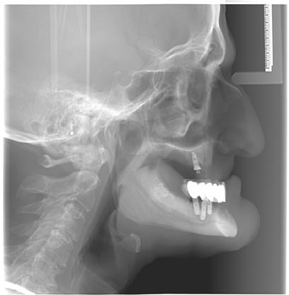
8. a–b. ábra: Végső röntgenfelvétel az implantátum helyzetéről (a) és a szájon belüli végső szituáció az 1. esetről (b).

Végső röntgenfelvétel az implantátum helyzetéről (a) és a szájon belüli végső szituáció a 2. esetről (b).

ábra: Végső röntgenfelvétel az implantátum helyzetéről (a) és a szájon belüli végső szituáció a 3. esetről (b és c).

36 e-Journal IMPLANTOLÓGIA
a–c ábra: 9. a–b. ábra:
5a 5b 5c 6a 6b 7a 7b 7c 7d
10. a–c.

tottuk (az okklúziós koncepciók alapján az implantációs pótlások nem voltak vezető fogak, és csak könnyű érintkezéseket alakítottunk ki, amelyeket artikulációs papírral ellenőriztünk). A páciensek instrukciókat kaptak a megfelelő szájhigiénére vonatkozóan, összpontosítva a fogköz kefékkel történő tisztítására. Végső kontroll röntgenfelvétel készült. A PEEK felépítmény nem radioopák, így az implantátum és a korona közötti távolság könnyen meghatározható a röntgenfelvételen: a felépítmény megfelelően illeszkedik az implantátumban, ha az implantátum válla és a korona alsó széle közötti rés 0,55 mm a röntgenfelvételen (8–11. ábra)

Összegzés

Minden páciens elégedett volt a kezelés eredményével, a funkcionális és az esztétikai eredmény egyaránt kielégítő volt. Az egyetlen megjegyzés – a teljes kezelés hosszú időtartama – a felső állkapocs esetében volt. A meghosszabbított, öt hónapos csontintegrációs periódus miatt, a teljes

eljárás több mint hat hónapig tartott. A kezelő szemszögéből a gyártó szigorú előírásainak betartása mellett nem volt jelentős különbség a titánimplantátumok használatához képest. A felső és alsó állcsont fogainak pótlásában a CERALOG implantátumok megfelelő és stabil alternatívának tűnnek a titánimplantátumokkal szemben.

Forrás: EDI Journal 2022/2

37 VI. ÉVFOLYAM – 2023. 11. SZÁM
ARANY MUNKÁIT RENDELJE MEG A SCHULZE LABORTÓL! Több mint 100 éves tapasztalat! INLAY, ONLAY ARANY KERÁMIA ARANY LEMEZ ARANY KOMBINÁLT MUNKA LEMEZ ARANYOZÁS GALVÁN MUNKÁK KESZÍTÉSE ELÉRHETŐSÉG: +36 20 366 10 80 schulzefogtechnika@gmail.com
11. a–b. ábra: Végső röntgenfelvétel az implantátum helyzetéről (a) és a szájon belüli végső szituáció a 4. esetről (b).

AZ OSSZEOINTEGRÁCIÓ TÁMOGATÁSA KERÁMIA IMPLANTÁTUMOK ESETÉN

A hagyományos szájsebészetben és implantológiában nagy hangsúlyt fektetünk az implantátumok megfelelő gyógyulására, illetve hogy a csont- és lágyszöveteket megőrízzük, vagy egy esetleges augmentációhoz megfelelő feltételek álljanak rendelkezésre. Hagyományosan a csontképződés négy lehetséges mechanizmusát különböztetjük meg: oszteoindukció (növekedési faktorok), oszteokondukció (csontpótló anyagok, amelyek egy vázat biztosítanak a csontosodáshoz), oszteogenezis, valamint irányított szövetregeneráció (membránok, héjtechnika stb.) (1).

A biológiai fogászatban a funkcionális orvostudományból és táplálkozástudományból szerzett tapasztalatainkra és tudásunkra támaszkodunk, és célzott mikrotápanyag-terápiákat alkalmazunk a tervezett műtétek előtti szisztémás előfeltételek megteremtésére, valamint az azt követő csont- és szövetregenerációhoz.

Lokális előfeltételek

Az intelligens csont- és lágyszöveti regeneráció helyi előfeltételei közé tartozik a műtéti terület dekontaminálása (és a helyi növekedési faktorok (IGF–1, oszteoblasztok, plazmafehérjék stb.) aktiválása fúrással, illetve vérző pontok biztosításával a csontregeneráció stimulálásához, valamint fontos az olyan intelligens bioanyagok használata, mint például a vérlemezkében gazdag fibrin membránok (PRF), amelyek javítják az extracelluláris mátrixot, és optimalizálják a csont- és lágyszöveti állapotot.

Az olyan mikroinvazív technikák, mint például a piezosebészet, ózon alkalmazása, navigált implantátumbehelyezés és modern képalkotási technológiák (mint például a cone beam komputertomográfia, CBCT) óriási előrelépést hoztak a fogászatban. A tendencia egyértelműen az esztétika és az egészség felé mutat. A kerámia implantátumok korántsem számítanak tabutémának, mi több, az implantológia jövőjét jelentik. Ennek ellenére a sebészek mindössze körülbelül egy százaléka helyez be kerámia implantátumot. Tízéves klinikai tapasztalat alapján (több mint 4000 behelyezett kerámia implantátummal) a szerző nyugodtan állíthatja, hogy több sebészeti, de különösen szisztematikus, áttekintő publikációkból származó adatra van szükség a még nagyobb gyógyulási ráta eléréséhez.

A kerámia implantológiában fontos beépíteni a funkcionális orvoslás, a táplálkozás és a mikrotápanyagokról

38 e-Journal IMPLANTOLÓGIA
1. ábra: A csontgyógyulási protokoll (Bone Healing Protocol) áttekintése. 2. ábra: A műtét előtt készült panorámaröntgen-felvétel.

szerzett ismereteket, hogy felkészítsük a szervezetet az „átalakítási fázisra”, ezért nagy hangsúlyt fektetünk pácienseink életmódjának javítására. Mind a műtéti beavatkozás szisztémás előkészítése, mind a célzott nyomonkövetés rendkívül fontos.

Intelligens csont- és lágyszövetkezelés

Szisztémás előfeltételek: változtatások az adott étrenden. A nem megfelelő étrend, amely cukrot, gabonát, finomított főzőolajokat, hagyományos tejtermékeket („a négy fő betegség kórokozója”) tartalmaz, elősegíti a szervezet általános hajlamát gyulladásos reakciókra, illetve makro- és mikrotápanyag-hiányosságokat idéz elő. Ez azt jelenti, hogy nem lesz elegendő fehérje és aminosav, zsírban oldódó A-, D 3-, E- és K-vitaminok, vízben oldódó C-, illetve B-vitaminok és ásványi anyagok, mint például a cink és a magnézium, valamint egészséges omega-3 és omega-6 zsírsavak, amelyek helyes diéta esetén a szövet és csont felépítését, továbbá a regenerálását szolgálják (2). Célunk a páciensek minél hatékonyabb felkészítése a műtétre. A középpontban a megfelelő makrotápanyagok biztosítása és a stresszfaktorok elkerülése áll. Szigorúan kerülni kell a „négy alapbetegség okozóját”. Több mint száz évvel ezelőtt dr. Weston Price különböző népcsoportoknál végzett kutatást. Kutatásait a „Táplálkozás és fizikai degeneráció” című könyvében dokumentálta (3). Azok az emberek, akik megfelelő étrendet követtek, gyakorlatilag immunisak voltak a fogszuvasodásra. Utódaik, akik már korábban is iparilag feldolgozott élelmiszereket fogyasztottak, már a tápanyaghiány miatti degeneráció jellegzetes jeleitől szenvedtek. A szövetek (csontok, lágyszövetek, izmok stb.) felépítésének legfontosabb makrotápanyaga a fehérje.

Fehérjék és aminosavak –az élet építőkövei

Húsz emberi fehérjét alkotó aminosav létezik, de csak nyolcat szükséges étrend -

39 VI. ÉVFOLYAM – 2023. 11. SZÁM
3. ábra: Intraorális helyzet a műtét előtt. 4. ábra: Felkészülés az implantátum behelyezésére. 5–6. ábra: A pótlás átadása után közvetlenül.

del biztosítani. Ezek az ún. esszenciális aminosavak: izoleucin, leucin, lizin, metionin, fenilalanin, treonin, triptofán és valin. A szervezet ebből a nyolc aminosavból bármilyen fehérjét képes felépíteni – feltéve, hogy elegendő nyersanyag áll rendelkezésére. Számos tanulmány kimutatta a kapcsolatot, miszerint a fehérjék és aminosavak hiánya kapcsolatban áll a nem megfelelő csontképződéssel, a csökkent csontsűrűséggel, illetve a törések késleltetett gyógyulásával. Minél idősebbek a páciensek, annál szignifikánsabb az összefüggés. Dayer és munkatársai (2006) egy állatkísérletben azt állapították meg, hogy a titán implantátumok kevésbé könnyen csontosodtak be fehérjehiányos patkányokban (< 1 g/ttkg) (4, 5). Az implantátumnak a patkány csontjából hat-nyolc hét elteltével történő eltávolításához szükséges nyomaték körülbelül 43%-kal alacsonyabb volt fehérjehiányos patkányokban, mint azoknál az állatoknál, amelyek tápláléka elegendő fehérjét tartalmazott (= 1 g/testtömeg-kg) (4). Hannan és munkatársai A Framingham Osteoporosis Studyban részt vevő 391 nő és 224 férfi adatai alapján, négy év alatt egyértelmű összefüggést találtak a csontvesztés és az elégtelen állati fehérjebevitel között (6). Minél nagyobb a fehérjehiány, annál kifejezettebb a csonttömeg vesztesége combcsontban és gerincben. A többlet fehérje csontgyógyulásra gyakorolt negatív hatását nem figyelték meg (6).

Következésképpen, a fő hangsúly a megfelelő fehérjebevitelen van. Mivel az akut regenerációs fázisban makro- és mikrotápanyag-hiány nem fordulhat elő, napi 1,5-2 g/ttkg fehérjebevitelt javasolunk. A szervezet lúgosításához minden étkezéshez ajánlott egy adag zöldség fogyasztása. Egészséges zsírok, mint az omega-3 és egy változata az egyszeresen telítetlen és többszörösen telítetlen zsírsavaknak is fontos, hogy a táplálkozásunk része legyen. A kollagénporok, az es zszenciális aminosavak, a csontlevesek és a fehérjeturmixok megkönnyítik a páciensek napi fehérjeszükségletének kielégítését (7–17). Praxisunkban a páciensek szisztémás támogatása célzott táplálkozással és a megfelelő tápanyag-kiegészítőkkel mára bevett gya -

korlattá vált, a sikeres sebészeti kezelés létfontosságú feltétele.

Mikrotápanyagok

A csontgyógyulási protokoll (Bone Healing Protocol) alapja a nagy dózisú D 3-vitamin. A műtét előtt megmérjük a beteg vérének D 3-vitaminszintjét. Az optimumon tartás érdekében legalább 60 ng/ml preoperatív szintre törekszünk (18). Számos tanulmány kimutatta, hogy a D 3-vitamin kritikus tényező a csontok állapotában (19–23). Ez a vitamin két olyan enzimet aktivál, amelyek kritikusak a csont mineralizációjához: az oszteokalcint (BGP) és a mátrix Gla proteint (MGP). Ahhoz, hogy a kalcium által az artériák elmeszesedése elkerülhető legyen, ezeket az enzimeket egy másik fontos kofaktor, a K 2-vitamin (MK-7) aktiválja (24). Egy másik kofaktor a magnézium, amely több mint 400 anyagcsere-folyamatban vesz részt (25). A cink egyaránt részt vesz az immunrendszeren belül a D 3-vitamin receptor aktiválásának kofaktoraként (26). A bór nyomelem megduplázza a D 3-vitamin felezési idejét (27). Mivel a mikrotápanyagok szinergikusan működnek, nem lehet hiány B-vitaminokból, C-vitaminból vagy emésztőenzimekből, valamint az omega-3 zsírsavakból a posztoperatív időszakban.

Összegzés

A fogászatban a klasszikus sebészeti mesterség mellett a funkcionális orvoslás és a táplálkozástudomány tapasztalatait is hasznosítjuk. Ezzel támogatjuk a szervezet saját gyógyító erejét, és biztosítjuk a jobb szövetés csontgyógyulást, és ezáltal természetesen a kerámia implantátumok jobb integrációját is. Az eredmény: kevesebb kudarc, egészségesebb és boldogabb páciensek!

(Az irodalomjegyzék szerkesztőségünkben elérhető.)

Forrás: EDI Journal 2022/2

40 e-Journal IMPLANTOLÓGIA
7. ábra: Röntgenfelvétel a behelyezett pótlással.

WS-75 L

› Sebészeti könyökdarab 20:1

› LED+ fény

› Szétszerelhető

EM-19 LC

Erőteljes, fényes sebészeti motor.

Piezomed Plus Modul SA-435

› Fényes kézidarab

› Automata eszköz felismerés

-33%

Vezeték nélküli lábpedál S-NW

Vezérelje az Implantmed Plus és a Piezomed modul készülékeket egy, közös lábkapcsolóval.

Implantmed Plus SI-1023

› Menetvágó funkció

› Implantációs adatok dokumentációja pen-drivera

› Nyomaték szabályozás 5 és 80 Ncm között

Osstell Beacon

Az implant stabilitás és az osszeointergritás könnyű mérése, egyszerű csatlakoztathatóság az Implantmedhez.

Sebészeti kocsi 3 dugaljjal.

Sebészeti torony „MINDEN EGYBEN“ WORKFLOW-kocsi

Piezosebészet és implantológia egy készülékben.

12.687€

18.993 €

Budapest Breznó-köz 11 t +36 1 788 53 91 info@fejerfog.hu www.fejerfog.hu

Ajánlat érvényessége 2023. január 1-től 2023. február 28-ig. Esetleges nyomdai hibákért felelősséget nem vállalunk. Az árak tartalmazzák a 27% Áfát.

#whdentalwerk wh.com

Az alábbiakban leírt munkamenet számos előnnyel jár, beleértve

kezelési időt és a meglévő szövetek

A sikeres kimenetel a felsorolt követelmények szigorú betartásától

evidenciaszintű tudományos tanulmány szükséges, hogy

beleértve a maximális elégedettséget a páciens részéről, rövidebb szövetek optimális megőrzését.

betartásától és a megfelelő tapasztalattól függ. Számos magas megerősítsük és konszolidáljuk ezeket az eredményeket.

AZONNALI IMPLANTÁCIÓÉS RESTAURÁCIÓKÉSZÍTÉS –A PONTOSSÁG ÚJ SZINTJE

A páciensek egyre inkább keresik a rövidebb és kevésbé invazív kezeléseket. Ezt friss kutatások és prospektív analízisek (1) is megerősítik, felhívva a figyelmet arra, hogy a hatékony, azonnali implantációra és restaurációra egyre nagyobb az igény. Rengeteg információ elérhető az interneten, ezért a páciensek manapság sokkal jobban informáltak a lehetséges kezelési opciókról. Az alábbi cikkben két fogorvos, Markus Sperlich és Mathias Sperlich átbeszélik az azonnali implantáció koncepcióját.

Azonnali implantáció –klinikai esetsorozat

Egy esetsorozatban 20 reménytelen prognózisú fogat távolítottunk el és azonnali implantációt végeztünk Straumann BLX implantátumok segítségével, amelyeket előre legyártott CAD/CAM koronákkal láttunk el közvetlenül az implantáció után. A műtétek előtt háromdimenziós, préoperatív tervezést végeztünk, minden esetben a SMOP Swissmedia tervezőrendszer segítségével (1. ábra), hogy meghatározzuk a protetikai szempontból ideális implantátumpozíciót az azonnali restaurációhoz. A sebészi sablont megterveztük és a szuprastruktúra dimenziót meghatároztuk a felépítmény geometriája alapján. A leendő implantátumpozíciók STL-adatát az SMOP háromdimenziós tervezőszoftverrel készítettük el és importáltuk a CAD-szoftverbe (exocad). Ezt követően a megfelelő restaurációkat legyártottuk (CAM) az exocad tervek alapján. Minden esetben csavarozható, akrilát szólókoronákat gyártottunk le a műtét előtt.

Klinikai munkamenet

Az azonnali implantáció- és azonnali restaurációkészítés implantológiai koncepciója rendkívül előnyös, ugyanis a páciens pszichésen sem szenved akkora sérülést, és a szöveteket is sokkal jobban meg lehet tartani. Ez a módszer jelentősen lerövidíti a kezelést és a költségeket is csökkenti (2). A kezelés minimálinvazív, csökkenti a gyógyulási időt és gyors rehabilitációt tesz lehetővé, ezáltal jobb lesz a páciensek életminősége is. A kezelési eljárás jelentősen csökkenti a csontban a fogeltávolítást követően létrejövő dimenzionális változásokat (3–4).

Kezdésnek atraumatikusan eltávolítottuk az érintett fogakat (3. ábra), ezt követően előkészítettük az alveolust és azonnali implantációt végeztünk a megfelelő implantátummal (4. ábra). Amennyiben a behajtási nyomaték nagyobb volt, mint 35 Ncm, az implantátumra azonnal felcsavaroztuk az előre legyártott csavarozható koronát. Ehhez a beavatkozáshoz az előfeltételek: sértetlen posztextrakciós alveolus, egészséges lágyszövetek, gyulladásmentes környezet, valamint együttműködő páciens (5). A háromdimenziós tervezés nélkülözhetetlen az alább bemutatott munkamenet kivitelezéséhez (6–8). Csak a sablon által vezetett implan-

44 e-Journal IMPLANTOLÓGIA
1. ábra: Háromdimenziós implantátumpozíció-tervezés a SMOP Swissmedia szoftverrel.
A new flexibility mindset A new stability mindset A new esthetic mindset

tátumbehelyezés teszi lehetővé, hogy a vertikális magasság és az implantátum belső kapcsolatának orientációja megegyezzen a digitális tervezéssel. Ezért a TorcFit kapcsolattal rendelkező Straumann BLX implantátumot pontosan úgy kell behelyezni, ahogy azt terveztük. A H07/H09/H11 behelyezőeszközök (5–6. ábra) speciálisan a mi praxisunkban lettek kifejlesztve, hogy meghatározzák a megfelelő vertikális implantátumpozíciót a sebészi sablon perselyeinek stop magassága által, valamint az angulációt és TorcFit belső kapcsolat megfelelő állását a pozicionálómarkerek segítségével (7. ábra). Az alábbi eljárás segítségével a későbbiekben kevesebb korrekcióra, becsiszolásra szorul az ideiglenes pótlás, ezáltal nincs szükség a műtéti terület mechanikai és kémiai manipulációjára, amely segíti a kezdeti zavartalan gyógyulást. A behelyezett korona felületét a laboratóriumban kialakított végső polírozott textúra adja (8.

ábra), a pácienst megkíméljük az egyéb, protetikai beavatkozásoktól (9). A következő paraméterek kulcsfontosságúak a siker érdekében (10): a páciensek megfelelő kiválasztása, a csont minősége és mennyisége, az implantátum dizájnja, 35 Ncm-nél nagyobb behajtási nyomaték (11), H07/09/H11 behelyezőeszközök és természetesen megfelelő sebészi tapasztalat. A digitális munkamenethez alapvető feltétel a digitális tervezés, amint azt bemutattuk (7).

Az előre legyártott pótlások sikeressége

Az alábbiakban bemutatott esetsorozatnál az előre legyártott pótlások illeszkedési pontossága elérte a 95%-ot, ahol bármilyen intraoperatív módosítás, alakítás vagy becsiszo-

46 e-Journal IMPLANTOLÓGIA
2. ábra: Az előre legyártott pótlás tervezése az exocad szoftverben. 3. ábra: Atraumatikus fogeltávolítás. 4. ábra: Azonnali implantáció.

70 FPS

Nincs több vezeték

Vezetékektől mentes, a szkennelés bármilyen szögben kényelmes. Az approximális területek könnyedén, korlátok nélkül szkennelhetők.

Hosszú üzemidő, mégis könnyű Kiemelkedő akkumulátoros üzemidő, a hosszantartó szkennelésekhez az Ön kényelme érdekében.

Gyors és pontos

Akár 70 FPS szkennelési sebesség. Megtapasztalhatja a Medit legkelendőbb modelljének elképesztően egyenletes és gyors szkennelési teljesítményét. Élvezze az i700w gyors sebességét vezeték nélkül, hibátlanul.

Erőteljes hardver találkozik a sokoldalú szoftverrel

Kényelemre optimalizálva. Nemcsak hardveres szempontból, hanem szoftveresen is. Az i700w vezeték nélküli szkenner a MEDIT legújabb technológiáit tartalmazza.

Ügyfélszolgálat

Cégünk személyreszabott kurzusokat, ingyenes ügyfélszolgálatot, távszervizt és cseredarabot kínál felhasználóink számára

9400 Sopron, Faller Jenő u. 5 | Tel.: 99/508-698 | Fax: 99/508-696 iroda@dentalplus.hu | www.dentalplus.hu BCW Irodaház . 1113 Budapest, Nagyszőlős u. 11-15. / I. emelet (Budapesti bemutatótermünkben előzetes egyeztetés alapján tudjuk fogadni Önöket!)

lás vált szükségessé, azt sikertelenségnek vettük. Az implantátumok sikerességi aránya 100%-os volt 18 hónap után (9–10. ábra). A előre legyártott azonnali pótlások protetikai sikerességi aránya 90%-os volt. Két esetben a korona levált a felépítményről az első hat hónap során. Egy összefoglaló elemzésben a szerzők összehasonlították a különböző implantátumbehelyezési és terhelési protokollokat (12). A cikkben az azonnali implantáció és azonnali terhelés 98,4%-os

sikerességi aránnyal szerepel. A hagyományos protokollok, ahol a késői implantációt hagyományos késői terhelés követi, a sikerességi arány 97,7%. Meg kell jegyeznünk azonban, hogy a szisztematikus áttekintésbe bevont cikkek között a bizonyítékok szintjében néha lényeges különbségek voltak, amikor az egyes protokollokat összehasonlították. Az azonnali implantáció adatai klinikailag dokumentált adatokra korlátozódtak.

48 e-Journal IMPLANTOLÓGIA
5–6. ábra: H07/H09/H11 behelyezőeszközök (prototípusok). 7. ábra: A TorcFit belső kapcsolat pozicionálás a H07 behelyezőeszköz segítségével.
5 6 7
8. ábra: Az előre legyártott 25 CAD/CAM korona.

Konklúzió

Az alábbiakban leírt munkamenet számos előnnyel jár, beleértve a maximális elégedettséget a páciens részéről, rövidebb kezelési időt és a meglévő szövetek optimális megőrzését.

A sikeres kimenetel a felsorolt követelmények szigorú betartásától és a megfelelő tapasztalattól függ. Számos magas evidenciaszintű tudományos tanulmány szükséges, hogy megerősítsük és konszolidáljuk ezeket az eredményeket.

Forrás: EDI Journal 2022/2

Kompatibilis implantfejek különböző implantációs rendszerekhez

Önthető fejek akár 25°-os változatban is!

+36 70 384 0366

ONLINE RENDELÉS AZONNAL WEBSHOPBÓL

49 VI. ÉVFOLYAM – 2023. 11. SZÁM
9. ábra: Különböző stádiumnál készített röntgenfelvételek. 10. ábra: Kontroll 18 hónappal később.

Prof. Lisa JA Heitz-Mayfield, Perth (Ausztrália)

A PERIIMPLANTITIS KEZELÉSÉNEK LEGÚJABB LEHETŐSÉGEI

A periimplantitis kezelése a periodontitis kezelésének alapelvei szerint történik, és három fázist foglal magában (1. ábra): a szisztémás, a korrekciós és a támogató fázist (9).

Anamnézis/megállapítások

A kezelést általában csak különböző iatrogén tényezők (pl. csavarok meglazulása, cementfelesleg, rossz illeszkedés stb.) figyelembevétele után kezdik meg.

Az aktív beavatkozás előtt ajánlott figyelembe venni a további kockázati tényezőket is (29, 30): rossz szájhigiénia, a plakk-kontrollt korlátozó protézisek, dohányzás és alkoholfogyasztás, parodontális betegségek, szisztémás betegségek (pl. cukorbetegség), amelyek hajlamosíthatnak a periimplantitis kialakulására.

Szisztémás fázis – higiéniai fázis

A higiéniai fázis célja a megfelelő plakk-kontroll elérése. A pácienst instruálni kell a helyes szájhigiéniai technikára (30).

A megfelelő szájhigiéne elérése gyakran nehezen kivitelezhető a pótlások miatt, ezért különösen fontos az egyéni igényeknek megfelelő, személyre szabott kezelés (9). A betegség progressziójának megelőzése érdekében a patogén mikroflórát is csökkenteni kell. A hozzáféréstől és a betegség mértékétől függően a fogkőeltávolítás is hatékonyan eltávolíthatja a bakteriális biofilmet és a fogkövet az implantátum felszínéről (9).

Általánosságban elmondható, hogy a periimplantáris gyulladások szisztematikus terápiájának korrekciós fázisa nem kezdhető meg addig, amíg a szájhigiénia és a plakk-index (PI) értéke nem stabil, <1 (9).

Korrekciós fázis –nem-sebészeti kezelés

A sebészi beavatkozást megelőzheti a nem-sebészi előkezelés, amelyet megfelelő eszközökkel, például műanyag, szén- vagy titánkürettekkel, levegőporos fúvóeszközökkel (Airflow), ultrahangos eszközökkel, fotodinamikus terápiával vagy Er:YAG lézerrel végezhetünk (9, 30). A szisztémásan

50 e-Journal IMPLANTOLÓGIA
EXPLANTÁCIÓ 7 TÁMOGATÓ FÁZIS FENNTARTÓ TERÁPIA 6 4 ÚJRAÉRTÉKELÉS KORREKCIÓS FÁZIS NEM-SEBÉSZETI KEZELÉS INTRAOPERATÍV ÚJRAÉRTÉKELÉS 3 SZISZTÉMÁS FÁZIS HIGIÉNIAI FÁZIS 2 DIAGNÓZIS ELŐREJELZÉS ANAMNÉZIS/ MEGÁLLAPÍTÁSOK 1 KORREKCIÓS FÁZIS SEBÉSZETI KEZELÉS 5a > RESZEKTÍV 5b > REGENERATÍV 1.
J, Peri-implant Infection című könyvből adaptálva: Etiológia, diagnózis és kezelés.
ábra: Döntési fa. A Schwarz F & Becker

vagy lokálisan alkalmazott antibiotikumokkal, valamint helyi antiszeptikumokkal (pl. klórhexidin) történő egyidejű kezelés előnyös lehet mind a szondázási vérzés, mind a tasak mélységének csökkentése szempontjából (31, 32).

Újraértékelés

Az implantátum körüli szövetek állapotának újraértékelése a nem-sebészi előkezelést követő 1–2 hónapon belül ajánlott (30). Az enyhébb fokú periimplantitis egyes esetei a nem-sebészeti kezelést követően megszűnhetnek, de a legtöbb esetben a korrekció csak megállíthatja, vagy a legjobb esetben is csak lassíthatja a betegség előrehaladását. A csontdefektustól és az implantátum osszeointegrációjától függően, a betegek folytathatják a fenntartó terápiát, de lehetséges, hogy sebészeti kezelésre, esetleg az implantátum eltávolítására szorulnak.

Korrekciós fázis – sebészeti kezelés

Ha a periimplantitis az újraértékelés idejére nem szűnt meg, sebészeti beavatkozás javasolt. Ha a nem-sebészi kezelés nem segítette elő az osszeointegrációt az exponált implantátumhelyeken, sebészeti beavatkozásokra lehet szükség a periimplantáris tasak újrafertőződési kockázatának minimalizálása érdekében, amely vagy reszekciós műtéttel, vagy regeneratív, csontpótló eljárásokkal érhető el (9).

Irányelvként: az iniciális kezelési fázisnak a szondázási vérzés jelentős csökkenését, valamint a gennyesedés megszűnését kell eredményeznie. Ennek megfelelően a sebészeti kezelés nem javasolható mindaddig, amíg a kezelésnek ez az elsődleges célja nem érhető el (9).

A műtéti eljárás első lépése és egyik fő célja, hogy hozzáférést biztosítson a fertőzött implantátum felületének a tisztításához és a fertőtlenítéséhez. A sebészi kezelés magában foglalja a teljes nyálkahártyalebeny kiemelését és a gyulladásos, granulációs szövet eltávolítását, hogy lehetővé váljon az implantátum felületének alapos fertőtlenítése (30).

A biofilmet és a fogkövet el kell távolítani, hogy csökkenjen a betegség további progressziójának vagy az újrafertőződés-

KÜRETTEK* VAGY AIRFLOW**

nek a kockázata (33). Az implantátum felületének fertőtlenítésére a következő technikák javasoltak: helyileg alkalmazott vegyszerek, sóoldattal vagy antiszeptikummal átitatott géz, kézi eszközök, levegőporos fúvóeszközök (Airflow), Er:YAG lézer, fotodinamikus terápia és az implantátum felületének módosítása (2. ábra), (30). Eddig egyetlen felületi fertőtlenítési módszer sem bizonyult a legjobbnak (34, 35).

Reszektív megközelítés

A sebészi reszektív terápia koncepciója a hiperplasztikus vagy patológiás periimplantáris tasakok méretének csökkentéséből vagy a tasakok megszüntetéséből áll, amelyek ellenálltak az iniciális kezelésnek, és/vagy túl nehezen voltak elérhetők a páciens számára a megfelelő szájhigiénia érdekében (9). A reszektív kezelés a csontdefektus csökkentésére irányuló csontplasztikával és a nyálkahártyaperem apikálisan történő újrapozicionálásával érhető el, ezáltal növelve a tisztítható felületet (36). Egyes klinikusok implantoplasztikát végeznek, kisimítva és polírozva az összes szuprakresztális vagy transzmukozális implantátumfelületet. Ez az eljárás csökkenti a lepedék felhalmozódását, és megkönnyíti a páciens szájhigiénéjét. Két tanulmány is kimutatta, hogy a reszektív műtét és az implantoplasztika kombinációja 3 év alatt klinikai és radiológiai javulást eredményez (37, 38).

Mivel a reszektív műtét az íny jelentős apikális elmozdulásával és az implantátum endoszteális részének feltárásával jár, alkalmazása a nem esztétikai zónára korlátozódhat (9). Nem szabad elfelejteni, hogy az implantátumok bármilyen manipulációja érvénytelenítheti a gyártó garanciáját, és csak a teljes implantátum elvesztésének utolsó alternatívájaként jöhet szóba.

Regeneratív megközelítés

A szisztematikus parodontális terápiához hasonlóan a periimplantitis regeneratív kezelését nem szabad fontolóra venni, amíg az iniciális terápia nem csökkenti az akut gyulladás jeleit (9). A regeneratív terápia két fő célja a periimplantáris csont regenerációja és az implantátum új osszeointegrációja. Preklinikai vizsgálatok kimutatták, hogy az implantátumfelszín

51 VI. ÉVFOLYAM – 2023. 11. SZÁM
ANTIBIOTIKUMOS
OSZCILLÁLÓ TITÁNKEFE ER:YAG LÉZER IMPLANTOPLASZTIKA
KEZELÉS
A képek Prof. F. Schwarz jóvoltából készültek A képek Dr. J.-L. Giovannoli jóvoltából készültek A képek Prof. F. Schwarz jóvoltából készültek A képek Prof. F. Schwarz jóvoltából készültek A képek Prof. A. Sculean jóvoltából készültek A képek Prof. F. Schwarz jóvoltából készültek 2. ábra: Technikák az implantátum felületének dekontaminálására: * pl. műanyag, szénszál; ** pl. nátrium-bikarbonát vagy glicinpor.

reosszeointegrációja lehetséges a regeneratív megközelítést követően, de a valódi (szövettani) reosszeointegráció embereken történő bizonyítása még várat magára (39). A szisztematikus irodalmi áttekintés szerint a periimplantitis-defektusok sebészeti kezelési módokat követő defektusfeltöltése csontpótló anyagok egyidejű behelyezésével lehetséges (40). Ha a periimplantitis-defektusok feltöltése szükséges, a natív csont ásványi anyag kollagénmembránnal vagy anélkül történő alkalmazása hosszú távon jelentős klinikai javulást eredményezett (3. ábra), (41–44). A Geistlich Bio-Oss® röntgen alapján stabilabb csontosodást biztosít, mint az autogén csont (45), és egy nemrégiben készült áttekintés szerint a membránok használata hatékonyabb lehet (4. ábra), (46). A kezelés eredményét azonban nagyban befolyásolja a beteg szisztémás egészségi állapota, a defektus jellemzői, az implantátum felszíne és az alkalmazott csontpótló anyag (46). Egyes klinikusok a regeneratív és reszektív megközelítéseket kombinálják. Matarasso és mtsai. kimutatták, hogy a kombinált regeneratív és reszektív megközelítés 12 hónap után pozitív eredményeket hozott a tasakmélység csökkenése és a röntgenfelvételen látható defektuskitöltés tekintetében (36). Az íny apikális pozicionálása ellensúlyozható egyidejű lágyszöveti augmentációval, kötőszöveti graft (50) vagy sertés kollagénmátrix – Geistlich Mucograft® (51) – segítségével, hogy az anterior zónában esztétikus eredményt érjenek el.

A zárt, csonton belüli defektusok, ahol a csontfalak maradványai támogatják a csontpótlást, alkalmasabbak a regeneratív megközelítésre, mint a nem zárt defektusok (47).

Támogató fázis –fenntartó terápia

Az utolsó kezelési fázisban egy személyre szabott, fenntartó és ápolási program kerül kidolgozásra. Rendszeres klinikai

ellenőrzés ajánlott, amely szükség szerint megfelelő röntgenvizsgálattal egészíthető ki. A szupportív, fenntartó terápiát, beleértve a hatékony szájhigiéne fenntartását és a biofilm szakszerű eltávolítását, rendszeresen – általában 3–6 havonta – kell biztosítani, a szájüregi egészségi állapot és a kockázati profil függvényében. A legfontosabb szempontok közé tartoznak a dohányzási szokások, a parodontális állapot, a cukorbetegség és a szájhigiénés anamnézis (30).

Explantáció

A klinikus az implantátum eltávolítását a periimplantitis kezelésének minden szakaszában megfontolhatja (30). Az implantátum eltávolítására vonatkozó döntésnek az abszolút vagy a relatív tüneteken kell alapulnia (5. ábra), (9).

Abszolút tünetek Relatív tünetek

Az implantátum mobilitása az alveoláris csont előrehaladott reszorpciója miatt.

– Az implantátum hoszszának kétharmadánál nagyobb csontvesztés;

– Hengeres implantátumok;

– Terápiarezisztens periimplantáris gyulladások;

– Implantátumok orvosilag veszélyeztetett betegeknél (pl. daganatok, biszfoszfonát-asszociált medication-related stb.).

5. ábra: Abszolút és relatív tünetek az implantátum eltávolításáról.

Ha az eltávolításról szóló döntés megszületett, számos további tényezőt, például az implantátum geometriáját, átmérőjét, hosszát és a meglévő osszeointegráció mértékét kell figyelembe venni. A geometriai formától és a meglévő

CAL GAIN (MM)

Geistlich Bio-Oss® + Geistlich Bio-Gide®

NHA (nanokristályos hidroxiapatit)

A TASAKMÉLYSÉG (PD) HOSSZÚ TÁVÚ NYOMONKÖVETÉSE PD (mm)

Csontátültetések vagy csontpótló anyagok

Graftok + membránok

CAL GAIN (mm)

3. ábra: A Geistlich Bio-Oss® és Geistlich Bio-Gide® sebészeti regeneratív kezelés 4 év alatt nagyobb PD csökkenést és CAL növekedést eredményezett, mint az NHA (53).

4. ábra: Egy nemrégiben készült áttekintés megállapítása szerint: a regeneratív megközelítés hatékonyabb lehet a membránok esetében (46). A periimplantitisre vonatkozó tudományos bizonyítékok még mindig korlátozottak. 21 tanulmányt (8 RCT) tekintettek át.

52 e-Journal IMPLANTOLÓGIA
3 4 5 6 7 8 Alaphelyzet 6 hónap 2 év 4 év
0 0.5 1.0 1.5 2.0 2.5 3.0
YOUR WORLDWIDE NO.1 REFERENCE UNIQUE BIOFUNCTIONALITY OUTSTANDING QUALITY 1,2 > Strictly controlled raw material selection > Cutting-edge production > Quality management of the final product References ISO 13485 certificate, research and development 2 ISO 9001 certificate, multi site quality management www.geistlich-pharma.com/en/about-us/geistlich/ about-geistlich/quality/
PRODUCT
IS IN OUR HANDS alphaimplant.hu More details about our products: www.geistlich-biomaterials.com
FROM A TO Z: THE WHOLE
KNOWLEDGE

osszeointegráció mértékétől függően az implantátumokat ki lehet hajtani. Más esetekben speciális, explantációs eszközöket kell alkalmazni, és gondoskodni kell a megmaradó alveoláris csont megőrzéséről (9).

A feltárást csontpótlás kísérheti, az új implantátum behelyezéséhez szükséges alveoláris gerinc előkészítése érdekében (9).

A regeneratív periimplantitis kezelése

A páciens szájüregi egészségi állapotának a felmérése (1 táblázat).

Kockázati tényezők: túl sok cementet tartalmazó kötőanyag szubmukozálisan.

Implantátum hely: 2.1; Straumann, lágyrész-szint, átmérő: 4,1 mm, hossz: 10 mm, Standard Plus, nyaki rész 1,8 mm. Gyógyszeres kezelés: Amoxicillin 500 mg és Metronidazol 400 mg naponta háromszor 7 napig.

A műtét után klórhexidin szájöblítés (0,2%) történt naponta kétszer 1 percig, 4 héten keresztül, majd 6 hónapos fenntartó gondozás.

Célok

1. Az implantátum funkciójának fenntartása.

2. A periimplantáris gyulladás megszüntetése.

3. Az implantátum körüli intraosszeális defektus regenerálása.

4. A periimplantáris gyulladás kiújulásának megelőzése érdekében sebészi hozzáférést terveztek a röntgenfelvételen jól látható, felesleges rögzítőcement eltávolítására.

Összefoglalás

A regeneratív kezelést követő 3 hónap után a gyulladás megszűnt. A kezelés előtt a középső periimplantáris nyálkahártyán észlelt, sinus felőli szivárgás megszűnt. A klinikai vizsgálat 12 hónap múlva a periimplantáris szondázási mélység csökkenését mutatta, a periimplantáris gyulladás megszűnésével együtt.

Anyagválasztás:

Geistlich Bio-Oss csontpótló granulátum (méret: 0.25–1 mm), Geistlich Bio-Gide membrán (méret: 13 mm x 25 mm).

54 e-Journal IMPLANTOLÓGIA
A PERIIMPLANTITIS DIAGNÓZISAKOR SEBÉSZETI KEZELÉS UTÁN Parodontális / szájüregi egészség Fogazat / szájüreg állapota Jó Jó Parodontális állapot Egészséges Egészséges Periimplantáris állapot Vérzés az implantátum vizsgálatakor (BOP) Igen Nem Tályogképződés Igen Nem Fogíny index 3 0 Plakk index 1 0 Tasakmélység 9 mm 4 mm
1. táblázat 1 évvel a kezelés utáni állapot. A kezelés előtti állapot.

Sertés

Kis

BG-A25:

BG-A05:

BG-A10:

BG-A20:

Nagy szemcseméret: 1–2 mm

BG-B05: 1,8 cc (0,50 g)

BG-B10:

Fergeteges
eredetű xenograft – magas biokompatibilitás! AKCIÓ!
szemcseméret: 0,25–1 mm
0,6 cc (0,25 g)
1,2 cc (0,50 g)
2.4 cc (1 g)
4,8 cc (2 g)
˝T FIZET, HÁRMAT KAP azonos kiszerelés esetén, vagy 20% kedvezmény vegyes kiszerelés esetén, min. 3 doboz, egyideju˝ vásárlásakor! 06 30 942 7560 dental@harmonycom.hu www.harmonycom.hu Termékeink folyamatosan új gyártásból érkeznek, 2027–2028. évi lejárattal. ...és ami mögötte van biztos megoldás a fogászati szakma elérésére
3,6 cc (1 g) KETTO

6. ábra: Klinikai helyzet a kezdeti vizsgálat során. 9 mm mély periimplantáris szondázási mélység, szondázási vérzéssel. Az arc periimplantáris nyálkahártyáján sinus felőli szivárgás figyelhető meg. A periimplantitis diagnózisának felállítása előtt körülbelül 4 évvel, amikor a pácienst kezelésre utalták, cementált fogpótlást helyeztek el ezen a Straumann lágyrész-szintű implantátumon.

7. ábra: Röntgenfelvétel a marginális csontszintekről az implantátumnál a kezelés előtt. Meziális és disztális csontvesztés figyelhető meg, amely az implantátum második menetéig terjed. Figyelje meg az implantátum disztális felszínén lévő radioopak anyagot (felesleges rögzítőcement)! Figyelje meg a 11-es fog meziális felszínén lévő fogkövet is!

8. ábra: A csonton belüli defektus palatinális nézete. Vegyük észre, hogy a szájpadlás felőli csontfal ép, így ez a defektus alkalmas a regenerációra!

9. ábra: Felvétel az implantátumról és a csontdefektusról a lebenyképzés után, az implantátum és a korona felszínén lévő felesleges rögzítőcement eltávolítása előtt.

10. ábra: A gyulladásos granulációs szövet eltávolítása és az implantátum felületének dekontaminálása után a defektus csonton belüli részét Geistlich Bio-Oss® granulátummal töltjük fel. Megjegyzendő, hogy a korona kontúrja és marginális illeszkedése nem ideális, azonban a páciens nem kívánta a korona eltávolítását.

11. ábra: Az augmentált területet a Geistlich Bio-Gide® natív kollagénmembránnal fedjük be.

12. ábra: Posztoperatív nézet a varratszedés után. A mukoperioszteális lebeny lezárása a membrán fedésére és a varratok elhelyezése.

13. ábra: Klinikai helyzet 4 hónappal az implantátum regeneratív sebészeti kezelése után.

14. ábra: A 12 hónappal a műtét után készült ellenőrző röntgenfelvétel stabil csontszintet mutat, a defektus teljesen feltöltődött.

A hivatkozott irodalomjegyzék listája szerkesztőségünkben elérhető. Forrás: Peri-Implantitis Treatment Concepts – Geistlich Biomaterials

56 e-Journal IMPLANTOLÓGIA
6. 8. 10. 12. 13. 14. 7. 9. 11.

EGY PÁCIENS TÖBB HAGYOMÁNYOS

FOGÁSZATI IMPLANTÁTUM

ELVESZTÉSÉT KÖVETŐ SZÁJÜREGI REHABILITÁCIÓJA

Absztrakt

A hagyományos fogászati implantátumok mellett kialakuló periimplantáris gyulladás (periimplantitis) megelőzése még mindig egy megoldásra váró – sőt lehet, hogy megoldhatatlan – problémát jelent, amely sajnálatos módon egyre nagyobb számú pácienst érint. A periimplantitis (PI) kialakulását követően rövid idő alatt jelentős mennyiségű csontpusztulás megy végbe. Jelenleg nem áll rendelkezésünkre egyetlen olyan terápiás módszer sem, amely segítségével a PI kezelhető lenne. Ettől a problémától szenvedő páciensek fogászati ellátását végző orvosok csupán „végig tudják kísérni” a betegeiket a „hosszú, lefelé vezető úton”. Ez a „probléma” általában egészen addig szokott fennállni, amíg az érintett implantátumok (főként a páciensek kérésére) eltávolításra nem kerülnek.

Ebben a cikkben be kívánjuk mutatni, hogy miként lehetséges a már több hagyományos fogászati implantátum elvesztésén átesett páciens fogászati rehabilitációját – akár néhány

nap alatt – a Corticobasalis® implantátumok segítségével megoldani. A Corticobasalis® implantátumok alkalmazásával járó helyreállító kezelések során, a specifikus képzésben részesült, valamint megfelelő engedélyek birtokában lévő orvosok, akár azonnali megterhelést is alkalmazhatnak. Kulcsszavak: periimplantitis, csontlebontódás, terápia, azonnali funkcionális megterhelés

Bevezetés

A hagyományos fogászati implantológia területén a periimplantitis kialakulása továbbra is egy megoldhatatlannak tűnő problémát jelent, amely sajnálatos módon egyre nagyobb számú pácienst érint. A hagyományos kétrészes implantátumokat gyártó cégek az utóbbi években már a „különböző immunológiai okokkal” próbálják magyarázni ennek a „betegségnek” a kialakulását, de azt a tényt rendszeresen figyelmen kívül hagyják, hogy a behelyezésre kerülő kétrészes implantátumok az esetek nagy részében túl nagy át-

58 e-Journal IMPLANTOLÓGIA
Prof. dr. Olga Šipić (Szerbia) és prof. dr. Stefan Ihde (Németország) 1. ábra: A kiindulási állapotról készített panorámafelvétel. Mindkét állcsont jelentős mértékben károsodott (kráterszerű csontpusztulás jelei láthatóak, valamint az egymással érintkező csontkráterek miatt horizontális/generalizált csontpusztulás észlelhető). A csontpusztulás egyértelműen a behelyezett kétrészes implantátumok mellett kialakult periimplantitis következtében alakult ki. A periimplantitissel érintett implantátumokat már sokkal korábban el kellett volna távolítani.

2. a. ábra: Az oldalirányú röntgenfelvételen (teleröntgen) Angel Class III. állcsontrelációs helyzet látható.

2. b. ábra: Az implantátumokon rögzülő hídpótlás eltávolítása után egyértelművé vált, hogy a 6 évvel ezelőtt behelyezett hat darab implantátum közül hármat – az eredeti hídpótlás megtartása mellett – már korábban eltávolítottak. A megmaradt három implantátum eltávolítása is már hosszú idő óta szükségessé vált, de feltételezhetően a kezelőorvos mindent megtett azért, hogy a garanciális időszak lejártáig az eredeti pótlás a páciens szájában maradjon. A felső állcsontba helyezett hét implantátum is sikertelennek bizonyult. Összességében a páciens 6 év alatt 13 implantátumot vesztett el. Az ehhez hasonló esetek jól árnyalják azokat a statisztikai adatokat, amelyeket a nagy implantátumgyártó cégek az implantátumaik „sikerességével” kapcsolatban rendszeresen közzétesznek. Ezekben a közleményekben mindig kiváló hosszú távú (azaz 10 évet meghaladó) sikerességről olvashatunk. Úgy tűnik, hogy a szakirodalomban leírtakat is fenntartásokkal kell kezelnünk…

mérővel és hosszal rendelkeznek, valamint azt is, hogy az implantátumok megmunkált (és behelyezéskor csontszint alá süllyesztett) felszínét a baktériumok a csontleépülés kezdetét követően azonnal kolonizálják. Tehát a periimplantitis tulajdonképpen egy krónikus opportunista fertőzés, amely kialakulását követően csupán az érintett „fertőzött” implantátumok eltávolítása után van esély a gyógyulásra vagy a regenerációra. 1, 2

A periimplantitis kialakulására utaló jeleket általában az implantátumok behelyezését követően 2-3 évvel lehet megfigyelni, tehát jóval az implantátumok „osszeointegrációjának” befejezését követően. 3 Azokban az esetekben, ahol egy állcsontba több mint 5 darab hagyományos implantátumot helyeztek, gyakran úgynevezett gyorsan „progrediál”, avagy „rapid” periimplantitist lehet megfigyelni. Ezeknek a helyzeteknek a 80%-ában már 12 hónap után észlelhetővé válnak a periimplantáris gyulladás jelei. A periimplantitis ilyen nagy mértékű megjelenésének az az oka, hogy az ekkora darabszámban behelyezett implantátumok miatt, az átlagoshoz képest sokkal nagyobb mértékű csontátépülés és csontleépülés (amely tulajdonképpen csontmennyiség és elhelyezkedés optimalizáció) fog bekövetkezni. Ezek a folyamatok az átlagoshoz képest sokkal gyorsabban és sokkal nagyobb területet érintve zajlanak le. 4

Annak ellenére, hogy a vonatkozó szakirodalomban viszonylag gyakran találkozhatunk az előbbiekben említett adatokkal, továbbra sem látunk arra utaló jeleket, hogy a hagyományos fogászati implantológia művelőinek egy része nyitott lenne új implantológiai módszerek, például a Corticobasalis® implantátumok alkalmazásának megismerésére és elsajátítására. Több olyan nagy elemszámú tanulmány is publikálásra került, amelyben leírják, hogy a Corticobasalis® implantátumok alkalmazása esetén nem alakul ki periimplantáris gyulladás. 5, 6, 7, 8 Ezek az implantá-

tumok alkalmasak az azonnali megterhelés elviselésére, és a használatuk esetén nincs szükség bonyolult és költséges csontpótló beavatkozások végzésére. A fentieket összegezve kijelenthetjük, hogy ezeknek az implantátumoknak az alkalmazása számtalan előnnyel jár, míg a használatukból fakadó jelentős hátrányt nem tudunk megemlíteni. Az alábbiakban bemutatjuk, hogy hogyan lehetséges egy egyszerű eljárás alkalmazásával néhány nap alatt egy periimplantitis miatt jelentős mértékben destruált csontállománnyal rendelkező páciens fogazatát helyreállítani.

Anyag és módszer

Egy 45 éves férfi páciens fogászati ellátás céljából kereste fel a klinikánkat. Elmondása szerint rendszeresen dohányzott, és évek óta periimplatáris gyulladástól szenved. A korábban behelyezett implantátumok nagy része már eltávolításra került, azonban az eddigi kezelőorvosa 3 darab implantátumot továbbra is az alsó állcsontjában hagyott. Az állapot fenntartásával a megmaradt implantátumok kifejezett mértékű károsodást okoztak az állcsontokban, amelyért az eddigi kezelőorvosnak kell a felelősséget viselni.

Nagy kiterjedésű csontkráterek, kifejezett csontleépülés, Angel Class III.-as állcsontrelációs helyzet

Ezek a tényezők mind nehézséget jelentettek a páciens ellátása során (1., 2. a–b. ábra). A páciens meglévő implantátumainak eltávolításával egy időben a felső állcsontba 10, az alsó állcsontba pedig 7 darab Corticobazális implantátum került behelyezésre (3. ábra). Ezt követően mindkét állcsontról lenyomatot vettünk és az állcsontrelációs helyzetet is rögzítettük. A harapási magasság meghatározása során a vonatkozó középértékekből indultunk ki.

59 VI. ÉVFOLYAM – 2023. 11. SZÁM

3. a ábra: A beavatkozás során BCS (egyrészes Corticobazális implantátumok) és TGP Uno (egyrészes polírozott felszínnel rendelkező kompressziós csavarimplantátumok) implantátumok kerültek behelyezésre. Az implantátumok beültetése során a vonatkozó konszenzuslevélben leírt aktuális behelyezési protokollt követtük. 9

3. b ábra: Az implantátumok behelyezését követően készített intraorális felvétel. A Corticobazális implantátumok beültetése során elkerültük azokat a területeket, ahol a meglévő implantátumok eltávolításra kerültek.

Eredmények

A fogpróbát követően mindkét állcsontot egy-egy ragasztással rögzülő cirkónium körhíddal láttuk el. A hídpótlások végleges rögzítés során Fuji Plus ragasztócementet használtunk.

A behelyezett pótlások segítségével harapásemelést végeztünk. Ennek hatására az ANB szög nagysága csökkent és az alsó és felső ajak alátámasztottsága jelentős mértékben javult (4. ábra)

hálás volt a beavatkozást végző sebésznek és a fogpótlások elkészítését végző protetikusnak. A teljes kezelés befejezése mindössze 3 napot vett igénybe.

Megbeszélés

MEDENTIKA IMPLANTÁTUMOK MÁR MAGYARORSZÁGON IS ELÉRHETŐ SPI

A páciens már a fogpótlások átadásának napján képessé vált a fiziológiás rágófunkció elvégzésére, amelyért rendkívül

Magas Precizitású Implantációs RendszerInnovatív Komponensek

A cikkben bemutatott eset ellátása során Corticobasalis implantátumok és kompressziós csavarimplantátumok is behelyezésre kerültek. A rendelkezésre álló megmaradt csontmennyiség lehető legjobb kihasználása érdekében kellett a két különböző implantátumtípus egyidejű felhasználására törekedni (gyártó: Simpladent GmbH, CH-8737 Gommiswald, Svájc). Mindkét implantátumtípus 2 mm hoszszúságú polírozott nyakkal rendelkezik. Ez a polírozott nyaki rész a behelyezést követően keresztülhalad, és ezáltal érintkezésbe kerül a nyálkahártyával. Az implantátumok kialakításának köszönhetően kiegészítő csontpótló beavatkozás végzése nélkül képesek voltunk implantátumot helyezni az összes kívánt pozícióba. A két különböző típusú implantátum eltérő módon rögzül a csontállományban. A Corticobasalis implantátumok az állcsontok második vagy harmadik kortikális csontlemezében kerülnek elhorgonyzásra, tehát tulajdonképpen részlegesen vagy teljesen penetrálják ezeket a kemény csontlemezeket. A behelyezésük során a beavatkozást végző sebésznek a fiziológiás atrófiás folyamatok által nem érintett csontterületeket kellett az implantátumok elhorgonyzására felhasználnia. Ezzel szemben a kompressziós csavarimplantátumok részben a szivacsos csontállomány tömörítése, és részben a kortikális csontlemezben történő elhorgonyzás révén kerülnek rögzítésre. Mindkét implantátum alkalmas az azonnali megterhelés elviselésére, ezért megfelelő körülmények esetén a behelyezést követő néhány napon belül átadható a kész fogpótlás.

PRECIZITÁS

Német mérnökök és fogászati szakemberek dolgoznak együtt, hogy tökéletes protetikai rendszert alkossanak.

4. ábra: A fogpótlások átadását követően készült teleröntgen-felvételen jól megfigyelhető, hogy az ajkak alátámasztottsága kedvezőbbé vált, valamint, hogy a harapási magasságot is jelentős mértékben megnöveltük. Ennek hatására az arcprofil kifejezetten kedvezőbbé vált. A kiindulási állapothoz képest bekövetkezett változások egyből megmutatkoznak, ha összehasonlítjuk a 2. a és 4. ábrákon látható felvételeket.

GYORSASÁG

Idő- és pénzmegtakarítás a fogtechnikusok és a fogorvosok számára.

Összefoglalás

MADE IN GERMANY Tradicionálisan magas minőség.

PIACVEZETŐ MÁRKAKOMPATIBILIS GYÁRTÓ

A periimplantitis egy kedvezőtlen és súlyos következményekkel járó gyulladásos elváltozás, amely az esztergált felszínű hagyományos, kétrészes implantátumok mellett

Az összes ismert implantátum rendszerrel kompatibilis.

60 e-Journal IMPLANTOLÓGIA
®aktinedeM ÉLETHOSSZIG TARTÓ ANCIARAG

IPS

MEDENTIKA IMPLANTÁTUMOK MÁR MAGYARORSZÁGON IS ELÉRHETŐ

Magas Precizitású Implantációs RendszerInnovatív Komponensek

Medentika®

ÉLETHOSSZIG TARTÓ GARANCIA

PIACVEZETŐ

MÁRKAKOMPATIBILIS

GYÁRTÓ

Az összes ismert implantátum rendszerrel kompatibilis.

MADE IN GERMANY Tradicionálisan magas minőség.

GYORSASÁG

Idő- és pénzmegtakarítás a fogtechnikusok és a fogorvosok számára.

PRECIZITÁS

Német mérnökök és fogászati szakemberek dolgoznak együtt, hogy tökéletes protetikai rendszert alkossanak.

5. ábra: A fogpótlások átadását követően készült intraorális felvétel. A felső fogak jóval a felső állcsontgerinc előtt helyezkednek el. A fogpozíciók meghatározása során arra is tekintettel kellett lenni, hogy az alsó és felső frontfogak ne érintkezzenek okklúzió, protúzió vagy rágómozgások során. Az ezen fogfelállítás hátterében lévő elveket Ihde és Ihde közleményében olvashatjuk. 10

szokott esetenként kialakulni. Célszerű ezen implantátumok használatát elkerülni, mivel a periimplantáris gyulladás megjelenését követően nem tudunk semmi olyat tenni, amely megállíthatja vagy visszafordíthatja ezt a folyamatot, és ez az elváltozás kifejezett mértékű csontpusztuláshoz, továbbá az implantátum elvesztéséhez vezet.

Még a kifejezett mértékű periimplantitistől szenvedő pá-

Irodalomjegyzék

1. Stefan Ihde, Antonina Ihde, Olga Sipic, Łukasz Pałka . Peri-Implantitis: a new definition proposal based on unnatural spatial arrangement and late mechanical coupling between two cortical bone layers during osseointegration phase. Part I Appl. Sci. 2022, 12, x. https://doi.org/10.3390/xxxxx www

2. Ihde, S.; Ihde, A.; Sipic, O.; Pałka, Ł. Peri-Implantitis: A New Definition Proposal Based on Unnatural Spatial Arrangement and Late Mechanical Coupling between Two Cortical Bone Layers during Osseointegration Phase Part II. Appl. Sci.2022,12,5589. https://doi.org/10.3390/app12115589

3. Derks, Schaller, et al Peri-implantitis - onset and pattern of progression J Clin Periodontol 2016 Apr;43(4):383-8. doi: 10.1111/jcpe.12535. Epub 2016

4. Passoni et al Does the number of implants have any relation with PI disease? J Appl Oral Sci; 2014;22(5): 403-8; http://dx.doi.org/10.1590/1678775720140055

5. Dobrinin O., Lazarov A, Konstantinovic V.K., et al. Immediate-functional loading concept with one-piece implants (BECES/BECES N /KOS/ BOI) in the mandible and maxilla- a multi-center retrospective clinical study. J. Evolution Med. Dent. Sci. 2019;8(05):306-315, DOI: 10.14260/jemds/2019/67

6. Pałka Ł, Lazarov A. Immediately loaded bicortical implants inserted in fresh extraction and healed sites in patients with and without a history of periodontal disease. Ann Maxillofac Surg 2019;9:371-8.

ciensek azonnali implantológiai ellátása is lehetséges, ha a beavatkozások során polírozott felszínű kortikális csontállományban elhorgonyzott implantátumok kerülnek alkalmazásra, és a behelyezésüket a vonatkozó 16 sebészeti protokollal összhangban végezzük.

Forrás: Dentalist (Serbian Chamber Journal) (X)

7. Lazarov A. Immediate functional loading: Results for the concept of the Strategic Implant® . Ann Maxillofac Surg 2019;9:78-88.

8. Gosai H., Anchilla Sonal, Kiran Patel, Utsav Bhatt, Phillip Chaudhari, Nisha Grag. Versatility of Basal Cortical Screw Implants with Immediate Functional Loading J. Maxillofac. Oral. Surg. 2021, https://doi.org/10.1007/s12663021-01638-6

9. Konszenzuslevél a kortikobazális implantátumok behelyezésére javasolt 16 különböző sebészi eljárásról (16 Approved Methods of Implant Placement for Corticobasal Implants) https://www.implantfoundation. org/en/consensus-16-approved-methods-2021-menu-en. Megnyitva: 2022.08.03. 17:22

10. Ihde S., Ihde A. Cookbook Mastication, 6th english Editions 2022, International Implant Foundation Publishing, Germany, ISBN 978-3-945889-23-7

11. Jon Jureidini, Leemon B. McHenry, The illusion of evidence based medicine the bmj | BMJ 2022;376:o702 | doi: 10.1136/bmj.o702

12. Abhishare Reddy N., et al. Goodbye Osseointegration (Statement published through the International Implant Foundation, Munich), CMF Impl Dir 2022, 16: 3 – 11

13. Richard Horton Offline: What is medicine’s 5 sigma? www.thelancet.com Vol 385, p 1380

62 e-Journal IMPLANTOLÓGIA

Teljes szájrehabilitáció 72 óraalatt

▶ Egyfázisútechnika

▶ Azonnaliterhelésesprotokoll

▶ Egyedülállóprimerstabilitás

▶ Azegyetlentökéletesimplantátum-felépítmény

„kapcsolat”–nincsmikromozgás

▶ Polírozottfelszín–nincstöbbéperiimplantitis

▶ Csontpótlásmentes,apáciensszámáraisigazán egyszerű,gyors, költséghatékonyimplantológia*

*Aköltséghatékonyság aztfejeziki,hogyazonoshatásosság(eredményesség)milyenköltséggel(ráfordítással) érhetőel.Aleginkábbköltséghatékonyazazeljárás,technológia,amelyikalegkisebbráfordítássalalegnagyobb eredménytériel.Azaz egészségügyitechnológia tekinthetőköltséghatékonynak,amelyazakárszűkösenrendelkezésreállóerőforrásokbólalehetőlegtöbb egészség-nyereséget termeli,illetveaztalegkisebberőforrás felhasználássalállítjaaztelő. (Azegészségügyifogalomtáralapján.)

sofortimplant sofortimplant sofortimplant ihdedental SofortimplantKft. | H–9400Sopron,Deákkútiút16. | +36703640600 info@sofortimplant.com | sofortimplant.com
Róth
Fogpótlás.tan update KÖNYVAJÁNLÓ 6 fejezet 49 szakmai cikk 388 oldal 1980 színes kép Megrendelhető a www.dental.hu weboldalon vagy az info@dental.hu e-mail címen A könyv ára: 12 500 Ft DP Hungary Kft. 1012 Budapest, Kuny Domokos u. 9., tel.: 06-30-472-0030
Lajos

Legyen Ön is a VIP Dental partnere!

Szeretne folyamatos, kiszámítható és tervezhető, passzív bevételre szert tenni?

Mit nyújtunk?

Közel 20 éves szakmai tapasztalatot a fogászat, mind a fül-orr-gégészet területén.

Legmodernebb, digitális rendszerű csúcstechnológiás gépekkel a legmagasabb minőségű tűéles felvételeket.

Páciensközpontú szemléletünknek köszönhetően gyors és precíz ügyintézést, az ország 4 frekventált helyén lévő centrumainkban. (4,8 google értékelés több, mint 1000 páciens visszajelzése alapján)

Negyedéves legális pénz visszafizetést a páciens forgalom után, vagy bónuszpontokat, amit beválthat bármilyen fogászati eszközre amire csak szüksége van!

Folyamatos CBCT képzéseket!

Orvoslátogatóink bármikor felkeresik Önt, amennyiben gondjuk lenne.

4,8-as átlag

Mit jelent ez nekünk?

Örömünkre szolgál, hogy folyamatosan Önnel együtt fejlődhetünk és kamatoztathatjuk szakmai tudásunkat.

Amennyiben felkeltettük érdeklődésüket, és szeretnének partnerünkké válni, vagy már partnerünk, de nincs még szerződése, kérem keressen engem bizalommal az alábbi elérhetőségemen: iroda@vipdental.hu

Tisztelettel

Vékony
Tibor ügyvezető
www.vipdental.hu info@vipdental.hu
Budán, Pesten, Székesfehérváron, Debrecenben
Tel: 0613361168

Könyvajánlataink

A Legfelsőbb Bíróság Polgári Kollégiuma az orvosi műhiba perek gyakorlatának á�ekintésérő szóló összefoglaló jelentésében rögzíte�e, hogy az élet, tes� épség és egészség sérelme mia� indíto� orvosi kártérítési perekben a bekövetkeze� hátrányokat, káros eredmény mia� érvényesíte� nem vagyoni kárigényeket a károsult vagy a saját egészségromlása, vagy saját jogán a hozzátartozójának halála, egészségkárosodása mia� érvényesí� azzal, hogy ezek a károsult esetében együ� is jelentkezhetnek. Ténybeli alapja lehet a szélesen ve� gyógyítás (orvoslás) során bekövetkeze� valamely hiba: általában a diagnosz�kus tévedés következményei, kezelési, műté� hiba akár tevőleges, akár mulasztásos magatartással, a tájékoztatás elmaradása vagy elégtelensége.

Magyarországon a műhibaperek során megítélt összegek folyamatosan emelkednek. A nyilvánosságra hozo� legmagasabb kártérítés eddig 55 millió forint volt, de folyamatban van olyan per is, amelynek tétje meghaladja a 80 millió forintot. A kérdésben érinte� jogászok véleménye szerint az oly sokat emlegete� 1997-es Egészségügyi Törvény hatályba lépése óta az orvosi felelősséggel kapcsolatos perek kétharmadát a betegek nyerik. Megjegyzendő hogy 2008-hoz képest 10%-kal nő� a műhibaperek száma, amely most 151, a folyamatban lévő ügyek vonatkozásában pedig 467 eljárásról beszélhetünk. (Forrás: EBF) Ezen ügyek megközelítőleg 17%-a tekintetében beszélhetünk ún. fogorvosperekről. Napjainkban az egészségügyi szolgáltatóknak – beleértve az intézményeket és a magánpraxist folytató orvosokat – egyre inkább számolniuk kell azzal a lehetőséggel, hogy a beteg vagy hozzátartozója, ha nem elégede� az ellátással, bíróság elő� keresi az igazát. Büntetőeljárás orvossal szemben ugyan lényegesen ritkábban indul, azonban ez talán még nagyobb lelki megterhelést jelent az érinte� orvos számára. A jogi helyzet �sztázására, a releváns szabályozás és a fogorvosi tevékenységet érintő űhibaperek bemutatására és értelmezésére hivato� a Fogorvosperek című kötet, amelyet közérthető megközelítése mia� elsősorban fogorvosok, szájsebészek, de jogászok, illetve a jog iránt érdeklődők is haszonnal forgathatják.

Csak természetesen

FOGORVOSPEREK

Hajdu Zoltán Fogászat és esztétika Dr Forrai Judit Fejezetek a fogorvoslás
és eszközeinek történetébôl
A
FOGORVOSPEREK Ifj. dr. Lomnici Zoltán 4000 Ft 3500 Ft 3500 Ft 3500 Ft 3500 Ft A FOGÁSZATI IMPLANTOLÓGIA története Magyarországon Dr. Divinyi Tamás Fogaszati implantologia tortenete terv.indd 1 1750 Ft 3500 Ft 5000 Ft 2500 Ft 2500 Ft DP Hungary Kft. 1012 Budapest, Kuny Domokos u. 9. Tel.: +36 30/472 0030, 06-1-793-1874 www.dental.hu Megrendelés: www.dental.hu/webshop Róth Lajos Fogpótlás.tan update 8750 Ft
szerző

Ennek a könyvnek a kiadásával célkitűzésünk volt áttekinteni fogászati implantológiában hagyományosan alkalmazott csontmegmunkáló eljárásokat (kézi eszközök, forgóeszközök), összehasonlítva őket az új (piezo, lézer, mágneses kalapács /magnetic mallet = MM) módszerekkel, valamint bemutatni a csontpótló anyagokat és köztük az újnak számító BoneAlbumint.

Mind a mágneses kalapács, mind a BoneAlbumin a nemzetközi irodalomban is rendkívül újnak számít, egyelőre kevés vagy egyáltalán nincs sokéves tapasztalat, így fontos, hogy az eddigi ismereteket, technikákat, az elért eredményeket kellő kritikával, önkritikával kezeljük, és reálisan próbáljuk helyüket és szerepüket meghatározni a fogászati implantológiában.

Dr. Gáspár Lajos

Könyvem megszületését elsősorban dr. Forrai Judit professzor asszonynak köszönhetem. Az ő inspirálására született meg ez a történeti visszatekintés. 2014 februárjában a Semmelweis Egyetem Népegészségügyi Intézetének a tantermében megalakult a Magyar Orvostörténeti Társaság részeként a Fogászattörténeti Kör. Az alakuló ülésen érdekes előadások hangzottak el, majd azok befejeztével Forrai Judit tanárnő felkért, hogy tudnék-e az őszi program keretében a fogászati implantológia történetéről előadást tartani. Természetesen szívesen elvállaltam. Az orvoslás, a fogorvoslás történeti vonatkozásai mindig is érdekeltek, és a fogorvostan-hallgatóknak az érzéstelenítésről, az implantológiáról szóló előadásaimban állandóan próbáltam történeti vonatkozásokat is beépíteni. Engem elsősorban a gyógyító eljárások fejlődése érdekelt. Mi volt a régi gyógymódok – az akkori ismeretek szerinti – élettani, patológiai vagy akár vallási háttere?

A fogászat és különösen az implantológia fejlôdése az elmúlt évtizedekben az érdeklődés középpontjába került. Magyarországon napjainkban évi közel 60 000 darab fogászati implantátumot helyeznek be, ami mintegy évi 12 milliárd forint forgalmat generál az orvosi és fogtechnikai költségekkel együtt.

Az Implant Index című kézikönyv nemcsak a tudományos és szakmai ismeretek jelentős lexikális anyagát összegzi, hanem talán elsőként mutatja be az implantológiai piac jellemző vonásait, gazdasági elemzéseket, múltra, jelenre és jövőre vonatkozó adatokat, fejlődési tendenciákat. Ugyancsak új témának számít az implantációs betegek gondozását bemutató fejezet is. A könyv fejezeteiben először az adott témakör rövid, áttekintő bevezetésére kerül sor, majd ezt követi a lexikális ismeretanyag táblázatokban, majd elsősorban a mindennapi gyakorlatot segítő írások, cikkek következnek.

Dr. Gáspár Lajos és dr. Toldi Ferenc

Az implantológia a fogorvostudomány egyik legintenzívebben változó, fejlődő szakterülete. A foghiányok pótlásának szándéka - valamilyen csontba épített eszköz, anyag segítségével - több évezredes múltra tekint vissza. Az implantációs kísérletek azonban hosszú időn át - a nem megfelelő biológiai, anyagtani stb. feltételek hiánya miatt- többnyire nem jártak sikerrel. A nagy „előrelépést" a 20. század, annak is különösen a második fele hozta meg. Ezekben az évtizedekben számtalan próbálkozásról, kísérletről olvashattak az érdeklődők a hazai és a nemzetközi szakirodalomban egyaránt. A dentális implantológia mára már a fogorvoslás nélkülözhetetlen területe lett. A mindennapi gyakorlatban szükség van az ismeretek permanens bővítésére, frissítésére, hiszen egyre újabb és újabb implantációs rendszerek, fejlesztések, eszközök és eljárások megjelenésével szembesülnek - szinte naponta - a szakemberek.

A FOGÁSZATI IMPLANTOLÓGIA története Magyarországon Dr. Divinyi Tamás Fogaszati implantologia tortenete terv.indd 1 2016. 04. 22. 11:56

ERŐS FOGAK ÉS EGÉSZSÉGES SZÁJ – MEGGYŐZŐ MOSOLY

A száj és a fogak nemcsak a táplálkozás és az emberi kommunikáció fontos részei, de esztétikai szempontból is jelentős szerepük van. Az egészséges fogak és fogíny egészségünk meghatározó elemei, a hibátlan, derűs mosoly pedig minden egyén kívánsága.

Nem csak a fogak fájnak

Az íny leggyakoribb gyulladásos megbetegedése a gingvitis vagy fogínygyulladás, mely legtöbbször a rossz szájhigiénia következményeként jön létre. A begyulladt és vérző fogíny a rossz lehelet mellett a betegség első jele. A gingvitist tehát gyógyítani kell, mert különben a gyulladás előrehaladott állapotában a gyulladt íny gócként szerepel, mely gócbetegségeket okozhat.

Az egészséges ember szájában folyamatosan jelen vannak mikroorganizmusok, amelyek szaporodása az íny gyulladásához vezet, és idővel a fogágy többi része is érintett lesz, paradontitis jelentkezhet. A tasakok mélyebbek lesznek, ezért a gyulladás ráterjed a mélyebb paradontális szövetekre is. A fogágygyulladás következtében a fogakat rögzítő szövetek elbomlanak, a betegség pedig átterjedhet az állkapocs csontszövetére is. Ennek együttes következménye, hogy a fog tartószerkezete meggyengül, elbomlik, így a fogak meglazulnak, majd kihullanak.

A hialuronsav a fogágy kötő- szövetének fontos kompo- nense

A hialuronsav a szervezet természetes anyaga és az egészséges fogíny fontos komponense.

Alkalmazása a fogászatban:

– csökkenti a szájnyálkahártya-irritációt

– megvéd a fertőzésektől

– felgyorsítja a sebgyógyulást és szövetregenerációt – csökkenti a fogínyvérzést, a foggyulladást és a duzzanatot

A kutatások kimutatják, hogy a hialuronsav fogászati alkalmazása jelentős mértékben hozzájárul az ínybetegségek megakadályozásában és gyógyításában.

Ínybetegségek megelőzése és gyógyítása hialuronsavval

A gyógyszertárakban és speciális üzletekben különböző formákban és kiszerelésben már 3 éve kapható a Gengigel, ami az egyedüli hialuronsav-alapú készítmény.

A termékcsalád használata egyszerű, gyermekek, terhes nők és cukorbetegek egyaránt használhatják. A hialuronsav tartalma miatt hatékony megoldás az alábbiakra:

– ínyvérzés

– gingivitis (fogínygyulladás)

– parodontitis (fogágybetegség)

– megsértett íny (sebészeti beavatkozás, foghúzás, fogpótlás után)

– korona, híd, fogprotézisek miatt irritált szájnyálkahártya

Ezen tulajdonságai alapján bátran állíthatjuk, hogy a Gengigel az egészséges fogíny receptje.

Forrás: Medis sajtóanyag

68 e-Journal IMPLANTOLÓGIA
(X)

Hialuronsav

Az egészséges fogíny receptje

Az egészséges fogíny receptje

Az egész csalàd számára

gél/szájöblögető oldat/szájspray/baby gél

■ csillapítja a vérzést

■ elősegíti a sebgyógyulást a szájüregben

■ elősegíti a szövetregenerációt

■ csökkenti a duzzanatokat

■ védi a szájnyálkahártyát a fertőzésektől

misike a fogzás időszakában

Gengigel spray 4490 Ft Gengigel az első fogaktól 4490 Ft Gengigel szájvíz 5290 Ft Gengigel first aid 5200 Ft smile shopszájápolás mindenkinek DP Hungary Kft. 1012 Bp., Kuny Domokos u. 9. Tel.: +36 30/472-0030 www.dental.hu, info@dental.hu Emmi-Dent Platinum ultrahangos fogkefe 67 990 Ft Emmi Dent Whitening fogkrém 3090 Ft Gengigel prof 34 990 Ft Gengigel gél 4490 Ft

Dent-East Kft. 1112 Budapest, Rétkerülő út 51 www.dent-east.com • mail@dent-east.com

A LEGINNOVATÍVABB, PIACVEZETŐ AZONNAL TERHELHETŐ IMPLANTÁTUM GYÁRTÓ

a piacvezető oralkamera

A LEGINNOVATÍVABB, PIACVEZETŐ AZONNAL TERHELHETŐ IMPLANTÁTUM GYÁRTÓ

A LEGINNOVATÍVABB, PIACVEZETŐ AZONNAL TERHELHETŐ IMPLANTÁTUM GYÁRTÓ

Azonnali implantáció és azonnali terhelés meghatározott szakmai protokoll szerint.

Folyamatos, többlépcsős kurzusok, praxistréning, felhasználótalálkozók. ISO, CE, nemzetközi klinikai tapasztalat és tudományos háttér.

R R

KOS

Sofortimplant Egészségügyi Kft. H–9400 Sopron, Deákkúti út 16. tel.: +36 70 36 40 600 fax: +36 70 900 3518 email: sofortimplant@gmail.com web: www.sofortimplant.com KOS PLUS BCS MU KOS MU KOS BCS R R www.alphaimplant.hu A MINO˝SÉG A SIKER GARANCIÁJA 5/7/15 9:24 AM BIONIKA shop.bionika.hu +36 70 670 6875 CE Egyedit, gyorsan, kiváló minőségben. Viz Dental Implant Kft. Nobel Biocare Magyarország Kft. 1117 Budapest, Office Garden I, Alíz utca 1. Tel.: (06 1) 279 3379 Dio Implant Kft. 06-20-326-0579 info@dioimplant.hu ethoss.hu Straumann GmbH Magyarországi Fióktelepe 1016 Budapest, Hegyalja út 7–13. COMMITED TO SIMPLY DOING MORE FOR DENTAL PROFESSIONALS TRY IT. LOVE IT. BUY IT. Sanitaria Kft. 1024 Budapest, Rómer Flóris u. 34. Tel.: (+36-1) 336-0884, Fax.: (+36-1) 336-0860 E-mail: shop@sanitaria.hu, Honlap: www.sanitaria.hu www.imegagen.hu Kérje kedvezményes START csomagunkat! megagen 05.indd Sanitaria Kft. 1024 Budapest, Rómer Flóris u. 34. Tel.: (+36-1) 336-0884 E-mail: shop@sanitaria.hu Honlap: www.sanitaria.hu

Kompressziós és bikortikális egyfázisú implantátumok

PLUS BCS MU KOS MU
KOS
KOS BCS
Bővebb felvilágosítás és információ: Sofortimplant Egészségügyi Kft. H–9400 Sopron, Deákkúti út 16. tel.: +36 70 36 40 600 fax: +36 70 900 3518 KOS PLUS BCS MU
MU
Kompressziós és bikortikális egyfázisú implantátumok választhatóan multiunit fejjel. Csavarozható stégekhez, overdenture felépítményekhez. Azonnali implantáció és azonnali terhelés meghatározott szakmai protokoll szerint. Folyamatos, többlépcsős kurzusok, praxistréning, felhasználótalálkozók. ISO, CE, nemzetközi klinikai tapasztalat és tudományos háttér. Folyamatos fejlesztés 16 éve. R
KOS BCS
Kompressziós és bikortikális egyfázisú implantátumok választhatóan multiunit fejjel. Csavarozható stégekhez, overdenture felépítményekhez.
Folyamatos fejlesztés 16 éve.
Bővebb felvilágosítás és információ:

Turn static files into dynamic content formats.

Create a flipbook
Issuu converts static files into: digital portfolios, online yearbooks, online catalogs, digital photo albums and more. Sign up and create your flipbook.