1. szám

1. szám
FOGÁSZAT
„A komplex esetek magas színvonalú ellátása ma már csak interdiszciplinárisan, csapatmunkában képzelhető el”
Frontrégióban végzett azonnali implantáció socket-shield technikával
4-es típusú implantátumbeültetés egyéni ínyformázóval
A periimplantáris szövetstabilitás és a páciens elégedettsége az azonnali implantátumbeültetés után az esztétikai területen
alphaimplant.hu
A fogászati szektor az idei esztendőben – reményeink szerint – már fel fogja dolgozni a Covid-19 okozta súlyos problémákat, az ukrán háború miatt kialakult nehézségeket, a korábbi években elszabaduló inflációt, és már tervezi a fejlődés aktuális lehetőségeit. Mindannyian abban bízunk, hogy megérkeznek az európai uniós források, újra indulnak a pályázatok, és stabilan tudjuk vezetni a vállalkozásainkat!
A tavalyi év sokunk életében hozott különböző gondokat, de mégis elmondhatjuk, hogy jobb volt, mind a 2020-2022 közötti időszak, amikor a létbizonytalanság, a járványtól való félelem uralta a napjainkat. Az idegenforgalom tavaly szépen megindult, 2024-ben a vendégéjszakák száma elérte a 2019-es adatokat. A nagy rendelők már teljes kapacitással üzemelnek, a fogtechnikai laborokban is visszatért a folyamatosság, a fogászati kereskedők jelentős része pedig jobb évet zárt 2024-ben, mint a korábbi esztendőkben.
A fogászati rendelők és fogtechnikai laborok elsősorban a fejlesztéseket állították előtérbe, amelyhez számos pályázat és egyéb forrás is kedvező konstrukciókat kínált. 2025-ben – tudomásunk szerint – lesznek új pályázati források, ezekről a kereskedelmi vállalatok részletesebb információkat tudnak majd adni. Az új források bevezetése idén remélhetőleg ismét növekedési spirálba helyezi majd ezt a szektort!
Az infláció elérte a fogászati ágazatot is, a vállalkozások az euró változásától, gyengülésétől függően azzal találkoznak, hogy az árak – a mindennapi élet mellett – itt is jelentősen és folyamatosan változnak, emelkednek. Így a fogászati rendelők is kénytelenek az áraikat emelni, egyre több rendelő, ún. „piaci alapú” árképzést vezet be. A folyamat kimenetelét még nem lehet pontosan látni, a munkaerő fluktuációja, az Európai Unió áraihoz képest alacsony magyar fogászati beavatkozások értéke - jelenleg még nem érte el a drágulás csúcspontját. Az elmúlt időszakban számos újság, cikk foglalkozott a fogászati szektorban található extra drágulási folyamattal. Ez egyelőre – a hazai rendelőkben – még nem mutatott jelentős problémát, új hívószavakkal, sok marketing munkával, reklámmal most a magyar lakosságot kell határozottabban a rendelőkbe invitálni!
A kiadó bizakodva tekint a jövőbe, a megújult tartalmaink kapcsán sok pozitív visszajelzést kapunk, melyeket nagyon köszönünk! Az elmúlt években –a nehézségek ellenére is – növelni tudtuk a kiadványaink és a magazinjaink számát, nem csökkentve azok tartalmi minőségét. 2020 óta a tematikus e-Journalok is folyamatosan megjelennek, melyek egyfajta online könyvtárként is szolgálnak az Olvasóinknak. A dental.hu oldalon díjmentesen elérhetőek a korábbi tematikus online lapszámaink is.
A mostani kiadványunkban az általános fogorvosi eljárások mellett kiemeltebben az implantológia témakörével foglalkozunk.
Tartalmas olvasást kívánok!
Laczkó Tamás, felelős kiadó
komplex esetek magas színvonalú ellátása ma már csak interdiszciplinárisan,
A sebészi technika és a PRF szerepe az alveolaris csont és a mucogingivális struktúrák megőrzésében II.
A sebészi technika és a PRF szerepe az alveoláris
A periimplantáris szövetstabilitás és a páciens elégedettsége az azonnali implantátumbeültetés után
E-Journal VIII. évfolyam, 2025. 1. szám
Kiadja: DP Hungary Kft. 1012 Budapest, Kuny Domokos u. 9.
Felelős kiadó: Laczkó Tamás
Főszerkesztő: Dr. Sidó Levente
Előkészítés:
DP Hungary Kft., Sárközi András e-mail: grafika@dental.hu
Információ, hirdetésfelvétel: Bárdos Veronika, telefon: 06-30-472-0030, 06-1-793-1874
Az újság e-mail címe: info@dental.hu
Az újság internetcíme: www.dental.hu
Terjesztés: E-mail hírlevél formájában.
A tudományos közleményeket a szerkesztőség lektoroknak adja át véleményezésre. Közlés csak egyetértő lektori vélemény, illetve a javasolt módosítások elvégzését követően lehetséges.
A cikkek szerzői vállalják, hogy az általuk elküldött írás saját forrásból származik, illetve a felhasznált anyagokat (publikációkat, illusztrációkat, képeket stb.) mindenkor pontosan feltüntetik. Írásaiknak jogi és egyéb adatvédelmi kérdéseiben felelősséget vállalnak.
A német nyelvű szakmai cikkeink magyar fordítását az Oemus Media AG Kiadó engedélyével szerkesztettük lapunkba. A fel nem használt kéziratokat, fotókat nem őrizzük meg, és nem küldjük vissza.
A hirdetések tartalmáért nem vállalunk felelősséget. A gyártó, illetve forgalmazó cégek kérésére közzétett cikkeket keretbe foglalva közöljük és (x)-szel jelöljük, azok szakmai tartalmáért a szerkesztőbizottság nem vállal felelősséget.
Laczkó Tamás
Dr. Nagy Pállal beszélgettem tanulmányairól, pályakezdéséről és további terveiről
Dr. Nagy Pál parodontológus és implantológus szakorvos, a Semmelweis Orvostudományi Egyetem Fogorvostudományi Kara Parodontológiai Klinikáján egyetemi adjunktus, 2021 óta a PhD tudományos fokozat birtokosa. Parodontológiai kutatásainak köszönhetően az IADR Karring-Nyman SUNSTAR Guidor Award 2020 nyertese, a hazai és külföldi konferenciák gyakori előadója.
Kedves Pál! Ha jól tudom, szüleid is fogorvosok, az ő példájuk, a családi beszélgetések is motiváltak a pályaválasztásban?
Valóban, a szüleim fogorvosok, de érdekes módon, amikor gimnazistaként pályaválasztás előtt álltam, még fogalmam sem volt, milyen irányba szeretnék elindulni. A szüleim azt
tanácsolták, hogy talán jobban járnék, ha nem a fogorvosi szék mellett tölteném az életem, hanem inkább olyan pályát választanék, mint az ügyvédi vagy mérnöki, amely szerintük szintén szép szakma. Úgy éreztem azonban, hogy egy „szárazabb” terület nem igazán illene hozzám, mindenképp olyan hivatást kerestem, amely lehetőséget ad a kreativitás kibontakoztatására, és ahol napi szinten új kihívásokkal találkozhatok. Végül úgy döntöttem, követem a családi példát, hiszen a szüleim is megtalálták a helyüket ebben a szakmában, és a testvérem is ezt választotta. Szerencsére nem bántam meg, sőt, ma sem tudnék jobbat elképzelni!
Az egyetemi évek során a fogorvoslás melyik szakterülete keltette fel elsősorban az érdeklődésed? Bekapcsolódtál az ott folyó különböző tudományos tevékenységekbe, esetleg a diákköri munkába?
Bevallom, kicsit rendhagyó voltam ezen a téren. Az egyetemi évek alatt elsősorban a versenysport motivált, abban szerettem volna kiemelkedőt nyújtani. Bár kiváló tanuló voltam, inkább kötelességtudatból tanultam, mintsem valamelyik szakterület iránti szenvedélyből. Emiatt nem kapcsolódtam be különösebben a tudományos diákköri munkába, bár egy rektori pályamunkámmal sikerült díjazást nyernem. A diplomáig nem volt határozott elképzelésem arról, melyik szakterület vonz leginkább. Ugyanakkor volt egy megérzésem, hogy a sportban szerzett fegyelmem és koncentrációs képességem jól hasznosulhat majd a sebészi területen.
2008-ban „Summa cum laude” eredménnyel szerezted meg diplomádat. Miként alakult az életed már diplomával a zsebedben?
Határozott elképzelésem volt, hogy szakvizsgát szerezzek, így már a diploma megszerzése utáni hónapban jelentkeztem az egyetem államilag támogatott rezidensképzési programjába. Bár nem végeztem tudományos diákköri munkát,
úgy éreztem, jó esélyeim vannak, hiszen az évfolyamon a második legjobb átlagot értem el. Végül a parodontológia szakterület mellett döntöttem, ahol abban az évben három, államilag finanszírozott hely volt, és pont az évfolyam három legjobbját vették fel a Klinikára. Egy év rezidensi munka után két évet kihagytam, mert szerettem volna kijutni az olimpiára. Bár ez sajnos nem sikerült, így utána teljes erőbedobással a szakmai fejlődésre koncentráltam.
Először (2013) a parodontológiai szakvizsgád szerezted meg. E szakterületen belül elsősorban milyen problémák megoldása vonzott, illetve milyen inspirációkat szereztél?
A parodontológia különösen komplex esetekkel hoz szembe, ami nagyon vonzóvá tette számomra ezt a területet. A klinikán gyakran találkozunk igazán „hardcore” esetekkel, ráadásul sok páciens sajnos már előrehaladott állapotban érkezik, ez részben a lakosság hozzáállásának, részben az ellátórendszer hiányosságainak köszönhető. Rezidensként sokszor olyan érzésem volt, mintha egyenesen a mély vízbe dobtak volna, hiszen az előrehaladott fogágybetegségekkel küzdő páciensek kezeléséhez gyakran nem elegendő a tisztán parodontológiai ellátás, számos esetben szükség van interdiszciplináris megközelítésre is. Ilyenkor szóba jöhet fogszabályozás a patológiás fogvándorlás miatt, implantáció a foghiányok pótlására, vagy parodontális szemléletű fogpótlás készítése. Ez az átfogó szemlélet és a sokrétű tudás teszi igazán különlegessé a parodontológiát.
Gera professzor úr, aki annak idején a klinikát vezette, rendkívül inspiráló hatással volt rám. A páciensekhez való hozzáállása, mély elméleti tudása és a szakma iránti alázata mindannyiunk számára példát jelentett. Idősebb kollégáimtól tanultam meg az evidencián alapuló terápiák jelentőségét, és azt is, milyen fontos a szakirodalom rendszeres tanulmányozása. Windisch professzor úrnak köszönhetem, hogy elindultam a kutatások irányába, ez szintén új perspektívákat nyitott meg számomra.
Mikor határoztad el, hogy az implantológiai szakvizsgádat is megszerzed, és ezen a szakterületen szeretnél elsősorban gyógyítani?
Bár nem minden parodontológus foglalkozik dentális implantológiával, a két szakterület szinte elválaszthatatlan egymástól. A fog és az implantátum körüli gyulladások etiológiája sok hasonlóságot mutat, és a klinikán gyakran találkozunk periimplantitiszes esetekkel, ez felkeltette az érdeklődésemet a megelőzés iránt. Azóta is egyik kedvenc érdeklődési területem a periimplantális marginális csontstabilitás kérdése. Érdekesség, hogy amikor 2019-ben hivatalosan is megalakult ez a szakirány, Windisch professzor úr támogatásával azon első szakemberek és oktatók körébe kerültem, akik automatikusan megkapták a szakvizsgát.
Mikor döntöttetek arról, hogy testvéreddel együtt (dr. Nagy Zsolt fogorvos - a szerk.) megalapítjátok a Differental Fogorvosi Rendelőt, melyet „okosrendelőnek” is neveztek? Mit takar pontosabban ez a megnevezés?
A diplománk megszerzése óta élt bennünk a vágy a testvéremmel, hogy egyszer közös „családi” rendelőt nyithassunk, de indulótőkénk eleinte nem volt. Közel 8-9 évig dolgoztunk másodállásban magánrendelőkben, hogy megvalósíthassuk ezt az elképzelést. 2015-ben, családilag vásároltuk meg az ingatlant, és végül 2017 elején nyitottuk meg a Differental Fogorvosi Rendelőt.
Célunk volt, hogy valamilyen módon megkülönböztessük magunkat, innen ered a „Difference” elnevezés is. A Differental név gyakorlatilag a „difference” és a „dental” szó összevonásából jött létre.
Törekszünk arra, hogy a legújabb technológiai fejlesztéseket kihasználva a modern fogászat élvonalában járjunk. Az „okos” kifejezés részben a rendelő technológiai felszereltségére utal: rendelkezünk 3D nyomtatóval, intraorális szkennerrel, marógéppel, digitális állkapocsmozgás-regisztráló készülékkel, CBCT-vel és navigált implantátumbeültetési lehetőséggel. Célunk, hogy ezeket az eszközöket minél hatékonyabban beépítsük a mindennapi munkafo-
lyamatainkba, így biztosítva a páciensek számára a legkorszerűbb ellátást.
A gyógyító munkád során milyen esetek megoldásával foglalkozol elsősorban?
Parodontológus szakorvosként elsősorban az előrehaladott fogágybetegségben szenvedő páciensek ellátását igyekszem biztosítani. Ez sokszor magába foglalja az implantológiai ellátást, illetve a parodontális szemléletű protetikai munkát is. Sokszor elkerülhetetlen az ilyen páciensek fogszabályozó vagy endodonciai ellátása, illetve bizonyos esetekben esztétikai szemléletű előretervezés is, ezért ilyenkor segítséget kérek az ebben jártas szakorvos kollégáimtól. Komplex esetek magas színvonalú ellátása ma már csak interdiszciplinárisan, csapatmunkában képzelhető el.
Folytatod jelenleg is a korábban elkezdett kutatásaidat? Korábban 3-4 klinikai kutatásba „vágtam bele”, és ezeknél a klinikai rész mindegyik alkalommal lezárult; a legtöbb kutatásnál már a statisztikai elemzés is elkészült, néhány esetben pedig a publikáció is megvan. Azokat a projekteket, amelyek még nem zárultak le, igyekszem befejezni. Jelenleg is vezetek egy kutatást, de már csak témavezetőként veszek részt benne, a klinikai kivitelezést lelkes kollégáim végzik. A kutatói munka sok otthoni „irodai” munkát igényel, amire a klinikán sajnos ritkán jut idő. Jelenleg újabb kutatást nem tervezek indítani, mivel nemrégen született kisbabánk, így most az apai teendők élveznek prioritást. Az élet szépsége, hogy mindig új kihívásokkal szembesít minket!
Megszerzett tudásod és tapasztalataidat gyakran megosztod egyetemi oktatóként és különböző konferenciák előadójaként is. Hallhatnánk erről részletesebben?
A szakvizsga megszerzése után, ha az ember a klinikán marad, szinte automatikusan „belecsöppen” az oktatói világba, és idővel előadói feladatokat is kap. Első konferenciai szereplésemre a klinikai kutatásaim eredményeinek a bemutatásával került sor. Windisch professzor úr rengeteg energiát fektetett a posztgraduális továbbképzések megszervezésébe, és jelenleg évente tartunk egy intenzív, egyhetes parodontológiai és implantológiai kurzust magyar és angol nyelven, amelynek oktatói csapatába én is tartozom. Egyéb konferenciamegjelenéseim többnyire céges meghívásoknak köszönhetők. Emellett a 11 napos, modulokra bontott AIC Implantológia kurzus előadói gárdájába is bekerültem, ez szintén megtiszteltetés számomra. Nemzetközi publiká-
ciómnak köszönhetően nemzetközi színtéren is lehetőségem nyílt előadni.
Szerinted a mesterséges intelligencia és a digitalizálás további fejlődése jelentős változásokat hozhat a fogorvoslás területén is?
A mesterséges intelligencia és a digitalizáció már most is jelentős előnyöket nyújt a fogorvosi gyakorlatban. Az ideális végállapot előre tervezhetősége, a precizitás növelése és a műhibák minimalizálása nem csak a sikerarányt javítja, hanem a fogművek élettartamát is növeli. A technológiai fejlődés előtt ugyanakkor hazánkban két akadály áll. Egyrészt sok rendelő nem engedheti meg magának a magas anyagi befektetést, másrészt ezeknek a rendszereknek a klinikai munkafolyamatokba történő integrálása jelentős időráfordítást is igényel. A digitális munkafolyamatok és a mesterséges intelligencia valóban hatékonyabbá tehetik a munkánkat, de alkalmazásuk komoly tanulási görbét jelent, és nem helyettesítheti az orvos szakértelmét sem. Ez utóbbira mondok egy példát:
a mesterséges intelligenciát már diagnosztikai szoftverekben is alkalmazzák, például röntgenképeken felismeri a léziókat, de az elváltozásokat végső soron nekünk kell jóváhagynunk vagy korrigálnunk.
Ez hozzájárul a mesterséges intelligencián alapuló rendszer fejlődéséhez, ez viszont nem nélkülözheti a megfelelő elméleti háttér meglétét.
Mi tartasz orvosi hivatásod legfontosabb feladatának?
Nem feltétlenül a betegellátást tartom orvosi hivatásom legfontosabb feladatának. Hiszek abban, hogy nem leszek kevesebb attól, ha a megszerzett tudásomat másokkal is megosztom. Szívesen adom át azt, amit tudok, és nem tartok attól, hogy ezáltal csökkenne a pácienseim száma. Ezért érzem az oktatást a legfontosabb küldetésemnek. Célom emellett, hogy egy jelentős publikációval nyomot hagyjak egy rangos nemzetközi szaklapban. Ha az égiek is úgy akarják, és mellém áll egy kis szerencse, bízom abban, hogy ez a cél hamarosan elérhető közelségbe kerül!
Köszönöm a sok információt adó beszélgetést, és kívánom, hogy a céljaid hamarosan „elérhető közelsége” kerüljenek!
DR. PIOTR PUCHAŁA
DR. PEDRO MOURA
DR. BARTHA FERENC
DR. FÓRIS ANDRÁS
DR. GERLÓCZY PÁL
PROF. BULENT KURTIS
DR. BAJUSZ ÖRS
DR. MANDEL IVÁN
DR. GÖTZ GERGELY
DR. MUSTAFA AL-QASSAB
DR. MOLNÁR BÁLINT DR. KISS VIVIEN
DR. NAGY ÁRPÁD
DR. BODROGI ATTILA
DR. BENYŐCS GERGELY
DR. YOSEF MARKOSZ
MÁRCIUS 15-IG
Dr.
Markgruber Bence, dr. Kemper Róbert
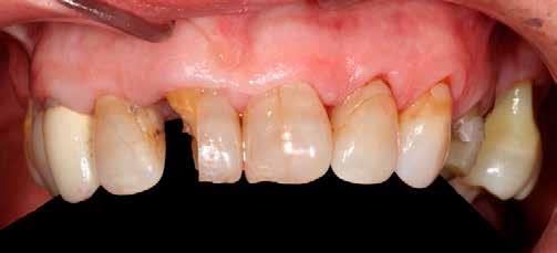
A felső frontrégió helyreállítása mind sebészi, mind protetikai szempontból kihívást jelentő feladat. A funkció és a megfelelő esztétikai eredmény elérése már a tervezés első pillanatától kiemelkedő fontossággal bír, az implantológia utóbbi évtizedekben tapasztalt fejlődése azonban egyre jobb és kiszámíthatóbb alternatívákat kínál. Jelen esetbemutatásunkban egy korábbi balesetben sérült, jobb felső nagymetsző fog helyreállítását szeretnénk ismertetni, egyéves utánkövetéssel.
A korai harmicas éveiben járó hölgy rendelőnkbe érkezésének oka a jobb felső nagymetsző fog bizonytalan érzkenysége, elmondása alapján gyermekkorában trauma érte a felső frontrégiót. A frakturált klinikai koronákat kompozittöméssel helyreállították, egyéb kezelést akkor nem tartottak szükségesnek. Az utóbbi hónapokban tapasztalt érzékenység miatt kereste fel rendelőnket. A klinikai vizsgálat (1. és 2. kép) és a CBCT felvétel (3. kép) alapján diagnosztizált külső gyökérreszorpció megoldására a fog eltávolítását, implantátum
behelyezését, majd csavarozott rögzítésű, cirkónium-dioxid vázas, kerámialeplezésű korona készítését terveztük [1., 5., 6., 8.].
A tíz évvel ezelőtt még csak az állatkísérletekben leírt, azóta azonban már humán kutatásokban is vizsgált és napjainkban már széleskörűen alkalmazott, socket-shield technika alkalmazását tartottuk a legjobb választásnak [2., 4., 7.]. Az azóta megjelent szakirodalmi adatok alapján, a fent említett módszer alkalmas a bukkális oldal kemény- és lágyszöveti kontúrjának megőrzésére, a funkció mellett a megfelelő esztétikai eredmény elérésére is [3.].
A socket-shield technika lényege az azonnali implantációt megelőző részleges fogeltávolítás. Dekoronálást követően a megmaradt gyökér több darabban kerül eltávolításra, azonban a bukkális
4. a–c képek: A fog dekoronálása.
5. a–e képek: Részleges extrakció.
igen vékony (0,5-1,5 mm), bukkális köteges csont (bundle bone) lebomlásához vezetne a periodontális ligamentumok felől megszűnő vérellátás miatt.
A teljes palatinális gyökérrészlet és az apex eltávolítása után a megmaradt bukkális dentinfalat kb. 0,75-1 mm-re elvékonyítva, továbbá a koronális dentinszélt csontszintig preparálva készül el a megmaradó foggyökér-részlet. Az összes endodontális maradvány (pulpa, illetve esetleges gyökértömés), valamint az apex teljes mértékű eltávolítása kulcsfontosságú az implantátum sikeres osszeointegrációja szempontjából.
A részleges extrakció befejezése után következhet az implantátumágy preparálása a gyártó utasításai szerint (6.
falat mint „pajzsot”, meg kell őrizni, ezzel megelőzhető a bukkális csontfal egyébként fiziológiás reszorpciója (4. és 5. kép). A sebészi technika különös körültekintést követel meg, nehogy a bukkális „gyökérpajzs” megmozduljon, ezzel a bukkális oldalon megmaradt periodontális ligamentumok sérülését kockáztatnánk, amely az esetenként
kép). A bemutatott esetben Nobel Replace CC 4,3x13mm implantátumot helyeztünk be, amely a bukkális oldalon direkt kontaktusba került a megmaradt foggyökérdarabbal (7. kép). Az alveolus oldalfalai és a körszimmetrikius implantátum közötti hézag kitöltésére bovin eredetű xenograftot (Creos S xenogain) használtunk (8. kép). A hasonló
szakirodalmi esetismertetések zománcmátrix derivátum (Straumann Emdogain) használatáról is beszámolnak, ám ennek alkalmazása nem konzekvens, az ismertetett esetben eltekintettünk ettől [4.].
A behelyeztt implantátum primer stabilitását megfelelőnek ítéltük (kb. 40 Ncm) az azonnali terheléshez (9. kép). Az extrakciót megelőző szituációs lenyomat alapján gyári, titán, ideiglenes abutment felhasználásával, a szék mellett készített, csavaros rögzítésű, azonnali akrilát ideiglenes koronával láttuk el, melyet 20 Ncm nyomatékkal rögzítettünk (10. kép). Az azonnali terhelés szabályainak megfelelően, az ideiglenes korona nem volt kontaktusban a szomszédos és az antagonista fogakkal.
10. c–d képek: A kész ideiglenes korona.
11. kép: A 6 hónapos kontroll felvétele.
12. kép: A 6 hónapos intraorális kontrollröntgen felvétele.
Miközben a fogászatban felgyorsult a technológiai fejlődés, a rágószerv funkcionális zavarára (craniomandibuláris diszfunkció), gyógyítására és megelőzésére nem születtek érdemi válaszok.
Ezt a hiányt igyekszem pótolni A FIATALÍTÁS FOGÁSZATI KEZELÉSSEL című digitális könyvemmel.
Ötven éves kutatómunkám és gyakorlati tapasztalatom azt mutatja, hogy a sikertelen fogászati kezelések leggyakoribb oka a hibás harapás okozta ízületi fej kényszerhelyzet.
Az állkapocsízület kezelése tipikusan a legkevésbé értett téma, mégis remélem, hogy könyvem elolvasása után összeáll a puzzle-kép és Ön megkapja a kulcsot az eredményesebb gyógyításhoz.
Rendelje meg A FIATALÍTÁS FOGÁSZATI KEZELÉSSEL című digitális könyvet!
Ára: 18 000 Ft
Tartalom:
1. fejezet Bevezetés
2. fejezet A harapás tudományának története
3. fejezet Élettani és anatómiai összefüggések
4. fejezet Rutin fogászati gyakorlat
5. fejezet Az általam végzett gyakorlat
6. fejezet A harapás mérése
7. fejezet Mechanikus axiográfia
8. fejezet Becsiszolás
9. fejezet A megfiatalítás esztétikai feltétele
10. fejezet Még néhány gondolat
11. fejezet Magamról
12. fejezet Utószó
Függelék
A Centrocc-módszer gyakorlata
Dr. Fehér Tibor (Centrocc Professional)
A könyv megvásárolható dental.hu webshopjában +36-30-472-0030, info@dental.hu
a–c képek: Egyéni lenyomati fej készítése.
13. d kép: Egyéni lenyomati fej.
15. kép: Cirkónium-dioxid vázpróba, in situ.
A 2020 januárjában elkezdett kezeléssorozat befejezését az év márciusában, hazánkba is begyűrűző Covid-19 pandémia késleltette, így kb. 6 hónap gyógyulás után láttunk hozzá az emergencia profil és a gingivális zenit ideiglenes koronával történő formázásához (11. és 12. kép). A 3 hetente végzett apró alakításokkal sikerült megfelelő ínyprofilt kialakítani, a „rózsaszín esztétika” a páciens számára is megfelelő volt. A bal felső nagymetsző fog meziális kompozit tömés cseréjét követően, individualizált nyitott kanalas lenyomati fejet készítettünk: az akrilát ideiglenes korona profilját átlátszó szilikonnal lemásoltuk, majd a körszimmetrikus gyári lenyomati fej és az ideiglenes korona kontúrja közötti hézagot folyékony kompozittal töltöttük ki (13. kép). Az így készített egyéni lenyomati fejjel vettünk lenyomatot a végleges, kerámialeplezésű cirkónium-dioxid vázas, átmenő csavaros rögzítésű koronához. (A fogtechnikai munkát Nébl Péter fogtechnikusmester készítette.), (14., 15., 16 és 17. képek).
14. kép: Kétfázisú, egyidejű nyitott kanalas lenyomat (Aquasil Ultra+ - Dentsply Sirona).
16. a–b képek: A kész munka gipszmintán.
A kész korona átadásakor a páciens elégedett volt az esztétikával, az azóta eltelt évben rendszeres kontrollokon jelent meg, melyek során meggyőződtünk a kemény- és lágyszövetek stabilitásáról (18. és 19. képek).
Új dimenzió a CBCT, a fogászati röntgenek és a kefalometriai felvételek diagnosztikájában a MESTERSÉGES
INTELLIGENCIA erejével csak a VIP DENTALBAN!
Dentális státusz elemzése mesterséges intelligencia által CBCT felvételen.
Panorámaröntgen elemzése mesterséges intelligencia által.
Kefalometriai elemzés és pontbejelölés mesterséges intelligencia által.
Legyen az Ön rendelője a fogászati ellátás innovatív központja, és velünk együtt biztosítsa a legmagasabb szintű diagnosztikai szolgáltatást az MI által támogatott elemzésünkkel.
4,8-as átlag
19. kép: Intraorális kontroll röntgen felvétele 1 évvel az átadás
A fent bemutatott, „socket-shield” technikával végzett esethez hasonló, speciális esetek ellátása jelenleg is zajlik a rendelőnkben. Tény, hogy az indikációs kör szűk mivolta miatt ritkán alkalmazható, azonban egyre gyarapodó tapasztalataink szerint ezekben a különleges helyzetekben biztonságos, kiszámítható módszer a frontrégió implantátummal történő pótlására.
[1] Ahangari Z, Nasser M, Mahdian M, Fedorowicz Z, Marchesan MA. Interventions for the management of external root resorption. Cochrane Database Syst Rev. 2015 Nov 24;2015(11):CD008003. doi: 10.1002/14651858. CD008003.pub3. PMID: 26599212; PMCID: PMC7185846.
[2] Bäumer D, Zuhr O, Rebele S, Schneider D, Schupbach P, Hürzeler M. The socket-shield technique: first histological, clinical, and volumetrical observations after separation of the buccal tooth segment – a pilot study. Clin Implant Dent Relat Res. 2015 Feb;17(1):71-82. doi: 10.1111/cid.12076. Epub 2013 Apr 30. PMID: 23631704.
[3] Gluckman H, Salama M, Du Toit J. A retrospective evaluation of 128 socket-shield cases in the esthetic zone and posterior sites: Partial extraction therapy with up to 4 years follow-up. Clin Implant Dent Relat Res. 2018 Apr;20(2):122-129. doi: 10.1111/cid.12554. Epub 2017 Nov 26. PMID: 29178381.
[4] Hürzeler MB, Zuhr O, Schupbach P, Rebele SF, Emmanouilidis N, Fickl S. The socket-shield technique: a proof-of-principle report. J Clin Periodon-
tol. 2010 Sep;37(9):855-62. doi: 10.1111/j.1600-051X.2010.01595.x. PMID: 20712701.
[5] Ne RF, Witherspoon DE, Gutmann JL. Tooth resorption. Quintessence Int. 1999 Jan;30(1):9-25. PMID: 10323155.
[6] Patel S, Kanagasingam S, Pitt Ford T. External cervical resorption: a review. J Endod. 2009 May;35(5):616-25. doi: 10.1016/j.joen.2009.01.015. PMID: 19410071.
[7] Schwimer C, Pette GA, Gluckman H, Salama M, Du Toit J. Human Histologic Evidence of New Bone Formation and Osseointegration Between Root Dentin (Unplanned Socket-Shield) and Dental Implant: Case Report. Int J Oral Maxillofac Implants. 2018 Jan/Feb;33(1):e19-e23. doi: 10.11607/jomi.6215. PMID: 29340355.
[8] Trope M. Luxation injuries and external root resorption--etiology, treatment, and prognosis. J Calif Dent Assoc. 2000 Nov;28(11):860-6. PMID: 11811235.
Dr. Sidó Levente1,3, dr. Bögi Krisztina1,2,3
Alveolus prezerváció PRF Sticky Bone™ segítségével (PRF Sticky Bone™ +A-PRF/S-PRF)
A magazin 2021/ XVIII. évfolyam 1. számában megjelent „A sebészi technika és a PRF szerepe az alveolaris csont és a mukogingivális struktúrák megőrzésében I. – Alveolus prezerváció PRF segítségével” című közleményünkben már hangsúlyoztuk a csapatmunka és protetikai szemléletű, „visszafelé” tervezés fontosságát a fogászati-szájsebészeti gyakorlatban, kiemeltük a természetes szöveti struktúrák megőrzésének jelentőségét. A kemény- és lágyszövetek prezervációjával a későbbi munkafolyamatok egyszerűbbé válnak, magas szintű funkcionális és esztétikai eredmény érhető el. Implantológiai szempontból különösen fontos a megfelelő csontkínálat, és a megfelelő állapotú gingivális szövet.
Az említett előző közleményünkben ismertetett módszer (alveolus prezerváció natív PRF segítségével) egyszerű, jól kiszámítható és megbízható eljárás a csonttal minden oldalról körülvett posztextrakciós területek augmentációjára. Klinikai gyakorlatunkban a natív PRF használatát elsődlegesen ezen indikáció alapján végezzük. Munkánk során gyakran találkozunk azonban több, alveolaris csontfal hiányával járó defektussal. Ezekben az esetekben az alveolus prezerváció elvégzésére PRF Sticky Bone™ eljárást alkalmazunk.
A posztextrakciós alveolaris szövethiány kialakulásának hátterében több tényező szerepel. A paro- és peridontális kórfolyamatok már akkor kemény- és lágyszöveti hiány vagy defektus kialakulásához vezethetnek, amikor a fog még az anatómiai helyén található. A prezervációs szemlélet nélkül végzett extrakciós és szkulpciós beavatkozások gyakran okoznak szövethiányt, vagy annak mértékét jelentősen növelik. A fog eltávolítása során kiemelt jelentőségű a bukkális csont megőrzése, emellett törekednünk kell mindenfajta csontveszteség minimalizálására is. Ennek érdekében a klasszikus, extrakciós és szkulpciós technikákat módosítani kell: ajánlott a foggyökerek intraalveoláris darabolással történő eltávolítása, vagy részleges
eltávolítása a socket shield technika (1) elveinek megfelelően. Törekedni kell az alveolaris struktúrák vérellátásának megóvására (a lebenyképzés lehetőség szerinti mellőzésével vagy jelentős minimalizálásával), továbbá a lágyrészek megtámasztására (2). Utóbbi szempontjából kiemelkedő jelentőségű lehet az azonnali implantáció (3) és az azonnali – akár implantátumon vagy természetes fogakon rögzített – ideiglenes pótlás készítése, esetleg socket plug technika (4) alkalmazása. Nagy jelentősége van az időtényezőnek is: a fogak eltávolítását követően az első hetekben az alveolus jelentősen kollabál, ezt követően lassú involúciós atrófián megy keresztül (5, 6, 7, 8, 9, 10, 11, 12, 13, 14).
Az alveolus prezerváció megfelelő kivitelezésének első lépése a fog eltávolítása oly módon, amely az alveolaris struktúrák megőrzését célozza. Második lépés a csont-augmentáció elvégzése. Ha a beavatkozás nem vagy nem megfelelően célozza a kemény- és lágyszövetek prezervációját, a csontosodás elősegítését vagy annak irányítását, akkor gyakran előfordul, hogy a gyógyulási idő letelte után nem lesz megfelelő csontkínálat. Az esetek egy részében alveolus prezerváció elvégzése nélkül is marad akkora csontvolumen, amely lehetővé teszi az implantátum behelyezését, de gyakran protetikailag előnytelen pozícióba. A keményszöveti hiánnyal gyakran összefüggést mutat a lágyszöveti hiány, a feszes íny megszűnik. A protetikai szempontból rossz pozíciójú implantáció, valamint a szövethiány rontja a funkcionális és esztétikai eredményt, továbbá a hoszszú távú sikerességet is. Sok esetben azonban olyan mértékű lehet a csont volumenében tapasztalt deficit, hogy az implantátum beültetésére nincs lehetőség, ilyenkor csont augmentációs műtét végzése szükséges, amely jelentős megterheléssel, költségekkel, időveszteséggel és számos szövődménnyel járhat.
Fontos kérdés, hogyan tudjuk a csontosodást elősegíteni, valamint megőrizni a mukogingivális szövetek integritását, megfelelő struktúrát kialakítva. A csontosodás elősegítésére és irányítására számos hagyományos sebészi eljárás és csontpótló anyag áll rendelkezésünkre. Ezeknél a legtöbb
(1)AquaDent Fogászat, (2)Cranium-B Fogászat, (3) Precedent Fogászat
esetben lebenyképzés és az íny per primam zárása szükséges, ami nem csak az alveolaris csont vérellátását zavarja meg, de a vesztibulum szűkülését és a feszes íny megszűnését is eredményezheti. Az utóbbi években egyre szélesebb körben terjedt el a PRF technika, aminek napjainkban az irányított csontregenerációban világszerte elismert szerepe van, emellett a PRF membránok alkalmazásával mukogingivális sebészeti szempontból is figyelemre méltó előnyökkel jár (15). Több nemzetközi közlemény a módszer kiszámíthatóságát és megbízhatóságát igazolja. Ezen eredmények alapján a trombocitában gazdag fibrin (Platelet Rich Fibrin, PRF) kiválóan alkalmas az extrakciós csontsebek kezelésére (16, 17, 18, 19). Hazánkban e módszer még nem terjedt el széles körben, ezért tartjuk esetismertetésünket közlésre érdemesnek.
A 68 éves nőpáciens, panaszt (fájdalom, ráharapási érzékenység) okozó bal oldali felső, első kisőrlő foga miatt jelentkezett rendelőnkben. Az általános anamnézisben említést érdemlő betegség, műtét nem szerepel. Az elvégzett klinikai és radiológiai vizsgálatok (1., 2. ábra) endo-parodontális érintettséget igazoltak, vertikális fraktúra gyanújával. A fog harmadfokban mozgatható volt, a bukkális oldalon 14 mm-es tapadásveszteséggel. A reménytelen parodontális prognózis a fog eltávolításának abszolút indikációját jelentette. Hídpótlás készítéséhez a szemfog előkészítése lett volna szükséges, illetve csak vegyesen rögzített (implantátum-fog) hídpótlás készítése lett volna lehetséges. Figyelembe véve a szemfog anyagának védelmét, parodontális állapotát (a szemfognál is észlelhető volt tapadásveszteség, noha a fog stabil volt) és azt a tényt, hogy a szakirodalomban nem találtunk egyértelmű ajánlást vagy vizsgálatot, amely megbízhatóan alátámasztaná az ilyen státuszban fogon és implantátumon vegyesen rögzített protetikai megoldás hosszú távú megfelelőségét, a preoperatív konzultáció során, a pácienssel egyeztetve a hídpótlás készítését elvetettük, és implantációs fogpótlás készítése mellett döntöttünk. A protetikai szemléletű,
„visszafelé” tervezés elveit követtük a hosszú távú funkcionális, esztétikai siker és szöveti stabilitás elérése érdekében. Ezek alappillére az implantátum megfelelő pozicionálása, amelyre akkor nyílik lehetőségünk, ha a fog eltávolítását követően megfelelő mennyiségű és minőségű csontkínálattal rendelkezünk. A páciens kivizsgálása és megfelelő előkészítése után, a fog eltávolításával egy időben PRF Stikcy Bone™ segítségével kivitelezett alveólus prezerváció mellett döntöttünk, a megfelelő mennyiségű és minőségű csontos és mukogingivális gyógyulás elősegítése érdekében. A PRF készítmény mennyiségét, minőségét, kezelhetőségét és hatékonyságát jelentősen befolyásolják a páciens laborértékei, ezért a PRF csont augmentáció esetén, a műtétet megelőzően mindig laborvizsgálatot végzünk (hemoglobin: 134 g/liter, hematokrit: 0,43, fehérvérsejt: 6,6 G/ liter, CRP: 3,60 mg/liter, vércukor: 5,2 mmol/liter, összkoleszterin: 7,00 mmol/liter, triglicerid: 1,28 mmol/liter, HDL koleszterin: 1,02 mmol/liter, LDL koleszterin: 4,8 mmol/ liter), D3-vitamin: 117,5 nmol/liter).
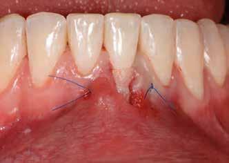
A foggyökér óvatos, atraumatikus eltávolítását követően excochleáltuk a parodontális és periapikális gyulladásos folyamatok eredményeként jelen lévő sarjszövetet. Az alapos tisztítás és a bukkális csontfal hiánya miatt indokolt membrántechnika megfelelő kivitelezése céljából mukoperioszteális lebenyt képeztünk, a lebeny tervezésénél arra törekedtünk, hogy az a lehető legkisebb méretű legyen és a második kisőrlő fog helyén lévő implantátum hámtapadását ne érintse, illetve, hogy lehetővé tegye a szemfog parodontális kezelését is (3., 4. ábra). Az alveoláris csont megőrzésének és regenerációjának segítése céljából a fog eltávolításával egy időben alveólus prezervációt végeztünk Stikcy Bone™ és PRF membránok segítségével, melyek előállításánál követtük a J. Choukroun által megadott vérvételi és centrifugálási protokollt (20). Kizárólag Process for PRF Duo Quattro System eszközöket, centrifugát, vérvételi egységet és csöveket, a membránok előállításához PRF Box-ot használtunk. Az A-PRF és S-PRF csöveket a PomPac eljárásnak megfelelően 4 °C-ra előhűtöttük. A Stikcy Bone™ készítmény előállításához Purgo™ xenografot használtunk. Az alveolust a grafttal feltöltöttük, tömörítő műszerrel enyhe kompreszsziót, illetve vertikális irányban 10 százaléknyi túlkompen-
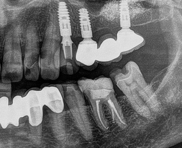
zációt alkalmaztunk (5., 6. ábra). Ezt követően a palatinális marginális gingivát óvatosan alápreparálva a bukkális defektust, valamint az okkluzális felszínt keresztirányban A-PRF membránokkal borítottuk (7. ábra). A mukogingivális lebenyt – annak megnyújtása nélkül – a helyére fektettük és varratokkal rögzítettük, per primam sebzárást nem végeztünk (8., 9. ábra). A varratokat 2 hét után távolítottuk el, a varratszedésig a sebgyógyulás támogatására per os 1000 mg/nap C- és 12 000 NE/nap D-vitamint adtunk (20). A műtéti beavatkozást 24 hét gyógyulási időszak követte, melynek során sem helyi, sem gyógyszeres kezelés nem történt, az esztétikum javítása érdekében a páciens ideiglenes kivehető fogpótlást használt. A csontos gyógyulás ellenőrzése és az implantáció tervezése céljából állcsonti CT felvételt készítettünk, illetve lenyomatvételt végeztünk. A CT felvételen tökéletes csontos gyógyulást észleltünk, az alveolaris csont volumene teljes mértékben megtartott volt (10. ábra), a klinikai kép is ennek megfelelően alakult (11., 12. ábra) A Trishape Implant Studio™ a korábbi csont augmentáció területén, a felső állcsontnál áltagosnak számító D2-D3 csontminőséget jelzett (13. ábra). A lenyomat alapján készített gipszmodellt szkennelve virtuális mintát nyertünk. A CBCT felvétel és a virtuális modell adatait a Dual Scan protokoll (21) elveinek megfelelően használtuk fel az implantációs sablon (New Age Dental Kft, Nemeskéry Károly) készítéséhez (14., 15., 16. ábra). Az implantátum (Ankylos C/X A11) behelyezése teljesen navigált módon, 35 Ncm primer stabilitással történt (17., 18. ábra). Az implantátumra a fogtechnikus (D1 Dental Kft., Garamvári Csaba) által előzetesen elkészített csavarozott, ideiglenes fogpótlást rögzítettünk a gyártó által előírt 15 Ncm-es nyomatékkal, az ideiglenes korona az okklúzióban és artikulációban nem vett részt (19., 20., 21. ábra). A front- és prémoláris régióban, amennyiben lehetséges, mindig nyílt gyógyulási protokollt választunk, azonnali ideiglenes restaurátumot készítve, így biztosítva elegendő időt a lágyrészek maturációjához (23, 24, 25, 26, 27). A kontrollvizsgálatok során havonta ellenőriztük az ideiglenes fogpótlás és az implantátum stabilitását, valamint a lágyrészek állapotát, korrekciós beavatkozás vagy az ideiglenes korona emergencia-profiljának változtatása nem volt szükséges (22. ábra). Két hónapos terhelésmentes időszakot követően, csont-tréninget alkalmaztunk részleges terheléssel, a teljes terhelést a hatodik hónap végére értük el, és megkezdtük a definitív protetikai ellátást. Az ideiglenes restaurátum eltávolításakor az alveoláris struktúrák tökéletes gyógyulását észleltük, a páciens ínye békés, reakciómentes volt, megfelelő mennyiségű keratinizált, feszes ínnyel rendelkezett (23. ábra). Az implantátum stabilitása Periotest-tel -8 értékű volt. Cerec Omnicam rendszerrel digitális lenyomatot vettünk (24. ábra), és a fogtechnikus (Prodont Silver Kft., Panyi János) által ragasztott, csavarozott hibridkerámia koronát készíttettünk nem indexált Ankylos C/ titanium-base fej felhasználásával, amelyet az előírás szerinti 15 Ncm-es nyomatékkal rögzítettünk (25., 26 ábra), majd ellenőriztük az okklúziót és az artikulációt (27. ábra). A beavatkozást követően 6 hónappal az alveoláris struktúrák stabilak, a röntgenfelvételen a csontállomány megtartott, a beteg panaszmentes, rágó funkciója kifogástalan, az esztétikai eredménnyel teljes mértékben elégedett (28., 29., 30. ábra)
A fog eltávolításának indikációja
A bukkális csontállomány teljes felszívódását és a fog jelentős mobilitását okozó előrehaladott parodontális folyamat a fog eltávolításának abszolút indikációját jelenti, különösen akkor, ha azzal egy időben periapikális elváltozást észlelünk, és a fog repedésének a gyanúja is fennáll. Tapasztalataink szerint ilyen esetben a fog megtartását célzó regeneratív kezelésektől hosszú távú siker nem várható, az adekvát oki terápia a fog eltávolítása.
Atraumatikus extrakciós technika és a vérellátás megóvása A csontmennyiség megőrzésének alapja az atraumatikus, minimálinvazív extrakciós technika alkalmazása. Klinikai gyakorlatunkban minden fog eltávolításánál a rendelkezésre álló alveoláris csont teljes megkímélésére törekszünk, különösen akkor, ha a fog eltávolítását indokoló patológiás folyamat következtében a fogmedernyúlványt érintő csonthiánnyal állunk szemben. Ilyen szituációban gyakran nem lehetséges a lebenyképzés elkerülése, csak a lebeny méretének és a feltárás mértékének redukálására törekedhetünk, annak érdekében, hogy mérsékeljük az alveoláris csont és a csontpótlásra használt graft vérellátási zavarát (28, 29, 30, 31). A fogmedernyúlvány csontvesztesége egyúttal lágyrész veszteséget is eredményez, mivel az atrófizált alveoláris csontot kisebb volumenű íny fogja fedni. Amennyiben a kemény- és lágyszöveti struktúrák védelmére és megőrzésére nem törekszünk, az ínyszövet – különös tekintettel a feszes ínyre – relatív hiánya a másodlagos augmentációs műtét során problémát jelent, a beavatkozás sikerét veszélyezteti, és gyakran korrekciós lágyrészműtétet tesz szükségessé.
A per primam sebzárás elkerülése PRF használatával
A legtöbb rutinszerűen alkalmazott, hagyományos csont augmentációs technika esetében elengedhetetlen a graft, illetve az alkalmazott barrierek felett a teljes sebzárás. Ha az ilyen jellegű csontpótlást a fog eltávolításával egy időben végezzük, szükséges a fog helyének megfelelő, anatómiai ínyhiány pótlásának megoldása. Erre lágyrész átültetéssel (FGG, CTG technikák) vagy az ínylebeny nyújtásával van lehetőségünk. Előbbi esetben mindig számítanunk kell erős panaszokra (fájdalom, étkezési nehézség) a vételi helyen, illetve esetenként számolnunk kell donorhelyi morbiditással is. Ha a primer sebzárás során a lebenynyújtást hagyományos módszerrel végezzük el, az a legtöbb esetben a vesztibulum szűkülését és/vagy a feszes, keratinizált gingiva megszűnését eredményezi és korrekciós műtét elvégzése válhat szükségessé. A PRF membrántechnika alkalmas a posztextrakciós sebek fedésére, per primam sebzárás nélkül. Az A-PRF, illetve S-PRF membránok 14-21 napon át megfelelő barrierfunkcióval rendelkeznek, valamint a gyógyulási folyamat során átépülve elősegítik a keratinizált ínyszövet kialakulását.
A csontpótlás időzítése
Célunk mindig a meglévő csont megőrzése, ezért törekedni kell arra, hogy a csont augmentáció a fog eltá -
volításával egy időben történjen. Ezzel egyrészt csökkentjük a páciens műtéti terhelését (eggyel kevesebb műtét), másrészt megelőzzük az alveoláris csont elvesztését, amelynek visszaépítése gyakran nehézséggel jár.
A laborvizsgálat jelentősége Az oszteogenetikus folyamatokat a helyi tényezőkön kívül a páciens általános állapota is jelentősen befolyásolja, ezért fontosnak tartjuk préoperatív laboratóriumi vizsgálatok elvégzését (32). A páciensnél fennálló akut, szisztémás gyulladás, fertőzés (emelkedett Fvs, CRP), anyagcserezavar (magas vércukor- és koleszterinszint) a sebgyógyulást akadályozhatja, infekcióra hajlamosít. Eltérő laboratóriumi leletek esetében a beteg általános állapotának rendezése után végezhető el az augmentációs beavatkozás. Kiemelt figyelmet érdemel a szérum D3-vitamin szintje, melynek alacsony értéke szintén kedvezőtlenül befolyásolhatja a sebgyógyulást és csontregenerációt (33, 34).
PRF használatának indikációja
Számos vizsgálat, többek közt randomizált kontroll-tanulmányok számolnak be a PRF kedvező hatásairól az alveoláris csont és lágyszöveti regeneráció kapcsán (35, 36, 37, 38). Ebben jelentős szerepet játszanak a centrifugálás során fokozatosan kialakuló, háromdimenziós fibrinhálóban elhelyezkedő trombociták, leukociták, progenitor sejtek, valamint az általuk közel 2 héten át termelt növekedési faktorok, különböző citokinek (39, 40, 41). A PRF Stikcy Bone™ módszer előnye, hogy a hozzáadott xenograft volumenstabilizáló és oszteokonduktív hatását egyidejűleg használjuk ki. Az eljárás során autológ szövetet használunk, melyet minimál-invazív beavatkozással nyerünk, egyszerű lépésekből álló protokoll alapján állítjuk elő. Biztonságos és sikeres alkalmazása azonban megfelelő gyakorlatot és öszszehangolt műtéti csapatmunkát igényel.
Az implantáció időzítése
A PRF Sticky Bone™ alveólus prezervációt követően a felső állcsontba 6, az alsó állcsontba 3 hónappal ültetünk implantátumokat. Ezzel szemben, egyes irodalmi ajánlások PRF+A-PRF/S-PRF technika alkalmazása esetén az implantátumok korábbi beültetésének lehetőségét írják le (42, 43, 44). A gyógyulási idő PRF segítségével történő lehetséges redukálásának kérdése további vizsgálatokat igényel.
A navigált implantátumbehelyezés és azonnali ideiglenes korona
A navigált implantátumbehelyezéssel és a protetikai szempontból ideális implantátum-pozíció elérésén túl célunk az azonnali ideiglenes restaurátum készítése is volt. Az implantátumon rögzített, azonnali ideiglenes korona lehetőséget nyújt a lágyrészek megtámasztására, továbbá a definitív protetikai ellátáshoz szükséges emergencia profil alakítására, emellett egyúttal jelentősen javítja a páciens komfortját. Hangsúlyozni kívánjuk, hogy amennyiben az implantátum behelyezésével egy időben ideiglenes koronát adunk át, a csontminőségtől függetlenül, mindig a következő alapelveket követjük:
1. Az ideiglenes korona és az ideiglenes implantátum-felépítmény is fémmentes, kompozíciós anyagból készül;
2. Az ideiglenes korona az ideiglenes implantátumfelépítménnyel a technikus által összeragasztott, az így kapott restaurátum csavarral mikromozgás mentesen rögzített;
3. Az ideiglenes korona átadáskor az okklúzióban, artikulációban nem vesz részt;
4. A páciens gondos felvilágosítása a restaurátum terhelhetőségéről és tisztításáról;
5. Rendszeres kontrollvizsgálat.
A megfelelő lágyszöveti és csontos gyógyuláshoz elengedhetetlen, hogy az ideiglenes pótlás mozgás- és mikromozgás-mentesen legyen rögzítve az implantátumhoz, ezért szóló foghiányok pótlására a Morse-kónusszal rendelkező implantátum rendszereket tartjuk megfelelőnek, ahol kiemelt jelentőségű a kúp angulációjának értéke (22). A csavarral rögzített ideiglenes szuprastruktúra-korona komplex eltávolíthatósága lehetővé teszi az emergenciaprofil alakítását: a gingivális felszínen hígan folyó, kompozit tömőanyaggal elvégzett kontúrozással és a kontaktpont-alveoláris
csontszél távolságának változtatásával (44) hatni tudunk a lágyrészek megtámasztására és maturációjára. Klinikai gyakorlatunkban a felső állcsontba helyezett, azonnali restaurátummal ellátott, legalább 35 Ncm primer stabilitással rendelkező implantátumok esetében – két hónap terhelésmentes időszakot követően – részleges terhelést alkalmazunk és a teljes terhelést a hatodik hónap végére érjük el.
Az előre elkészített csavarozott ideiglenes korona és definitív csavarozott korona készítésének jelentősége Az implantációs protetikai restaurátumok átadását követően gyakran alakul ki gyulladásos folyamat a koronák ragasztása során a gingiva alá kerülő, illetve a nem eltávolított anyagmaradványok következtében. Ez megtörténhet ideiglenes és végleges koronák esetében is. Bármilyen alapos is a ragasztást követő tisztítás, csak abban az esetben lehetünk teljesen biztosak benne, hogy nincs reziduális anyag az íny alatt, ha a ragasztási folyamat nem intraorálisan történt. Az implantátum beültetésével egy időben, a Scutan-módszerrel történő ideiglenes korona készítését nem javasoljuk izolálási, sterilitási problémák, illetve a kemény- és lágyszövetek fokozott terhelése miatt. Az ilyen eljárással készített ideiglenes restaurátumok pontossága és felületi struktúrája, valamint az ideiglenes ragasztóanyag-maradványok jelenléte is problémákat okozhat. Klinikai gyakorlatunkban kizárólag a technikus által készített, valamint az ideiglenes felépítményhez a laborban ragasztott vagy csavarozott ideiglenes implantátumon rögzített koronákat alkalmazunk, és arra törekszünk, hogy a definitív protetikai ellátásunk is csavaros retenciójú legyen.
A csapatmunka jelentősége
Az elmúlt évtizedek kutatásai és fejlesztései oly mértékben bővítették szakmai ismereteinket és technológiánkat, hogy napjainkban különlegesen fontossá vált a kollegiális és interdiszciplináris együttműködés.
A PRF technika dentoalveoláris sebészeti alkalmazása jól példázza mindezt, hiszen a megfelelő eredmény eléréséhez nélkülözhetetlen a megfelelő előkészítés, kiemelt jelentőségű a PRF centrifugátum és a membránok előírás szerinti elkészítése, az adekvát sebészi technika alkalmazása, amelyek jellemzően túlmutatnak az egy kézben öszszefogható tevékenység lehetőségein.
PORTRÉ „A páciens panasza az elsődleges, törekedjenek azt lehetőleg gyorsan és humánusan megoldani…”
ÚJ GENERÁCIÓ
„A folyamatos tanulás és kutatás kulcsfontosságú a szakmai fejlődésben”
MED. DENT
Interdiszciplináris fogászati kezelés myofunkcionális készülék, alignerek és protetikai ellátás alkalmazásával
MED. DENT Abradált frontfogakkal rendelkező felnőtt páciens interdiszciplináris kezelése
CÍMLAPSZTORI
Florin Stoboran egy világhírű fogtechnikus mester román és magyar vérrel
FOGTECHNIKUSOK SZAKMAI LAPJA Életet lehelni monolit megoldásokba
Egy labortulaj, aki mert változtatni, és sikeres lett! LABORBEMUTATÓ LABORATÓRIUM
LABORATÓRIUM
A leplezőkompozitok (analóg) világa
Dr. Tepper Gábor, dr. Christian Jarry (Ausztria)
Biztosan az arcüregemelés a legjobb megoldás?
A fogatlan állcsont implantációs pótlással történő rehabilitációja egy megbízható és széleskörűen elfogadott kezelési eljárás [1]. Az atrófiás maxilla esetében az implantátum behelyezését olyan tényezők nehezíthetik meg, mint például a fogvesztést követő csontfelszívódás, a sinus maxillaris kiterjedése, valamint az anatómiai variációk. Az irányított csontregeneráció (arcüregemelés), amely az arcüreg nyálkahártyáját természetes barrierként használja, mára rutineljárássá vált a csontmennyiség növeléséhez [2].
Sinus lift során, az arcüreg-nyálkahártya iatrogén eredetű perforációja az egyik leggyakoribb intraoperatív komplikációnak számít, átlagban az esetek 20%-ánál bekövetkezik [3,4], és megnöveli az esélyét az esetleges posztoperatív arcüreggyulladásnak, amely vagy a csontpótló bakterális kontaminációja, vagy a graft arcüregbe kerülése miatt alakul ki. Számos tényező járul hozzá egy esetleges perforáció kialakuláshoz, mint például a nem megfelelő sebészi tapasztalat, a vékony sinus membrán [5,6], illetve a komplex arcüreg morfológia [7], ezért a megfelelő kezelési eljárás kiválasztása kulcsfontosságú.
A sinus lift műtét gyakran indokolt annak érdekében, hogy megfelelő méretű és megfelelő tengelyállású implantátumokat helyezhessünk be a maxilla hátsó részébe [8]. A kezdeti leírások szerint az implantátumok axiális irányú terhelése a természetes fogak terhelésére irányuló teóriákon alapult, ahol a cél, hogy az erők a fog hossztengelyére koncentrálódjanak. Az implantátumok esetében ez irreleváns, mivel az
összetett nyomó-, feszítő- és nyíró-erők makroszkópikusan jelen vannak az implantátum minden egyes meneténél [9].
Az elmúlt évtizedekben a fogászati implantátumok ipara rengeteget fektetett a kutatásba és a fejlesztésbe, hogy olyan, kevésbé invazív kezelési lehetőségeket tudjanak alkalmazni, amelyek alternatívát kínálnak az olyan páciensek kezelésére, akiknél a csont mennyisége és minősége nem megfelelő. Ezzel egy időben számos klinikus felismerte, hogy a csontpótlás sokkal nagyobb morbiditással, többletköltséggel és hosszabb kezelési idővel jár, ebből fakadóan az alternatív kezelést kezdték előnyben részesíteni [10,11,12].
Az alábbi esetnél egy olyan pácienst szeretnénk bemutatni, akinél a csontmennyiség nem volt megfelelő a maxilla hátsó részén, ennek következtében a kezelést rövid implantátummal, továbbá a tuber területére behelyezett ferde implantátummal végeztük. Ez egy pácienscentrikus alternatív kezelési eljárás, annak érdekében, hogy az arcüregemelés elkerülhető legyen.
Esetbemutatás
Kiindulási szituáció
Egy 49 éves, nem dohányzó, egészséges férfi páciens jelentkezett a rendelőnkben hiányzó 2.6-os és 2.7-es foggal, valamint azzal a panasszal, hogy már lassan egy hete, lüktető fájdalmat érez a 2.5-ös fogánál. Megoldást keresett a hiányzó fogak pótlására is. Klinikai intraorális vizsgálat alapján a 2.5-ös fogon egy sérült fémkerámia korona volt,
és jelentős mobilitással rendelkezett. A radiológiai vizsgálat után egyértelműen látszódott, hogy a fogon még nem végeztek gyökérkezelést. A 2.6-os és 2.7-es fogaknak megfelelő területen az arcüreg kiterjedése jelentős volt, vertikális csontmennyiség szignifikánsan csökkent (1. és 2. ábra).
A tervezés
A páciensnek két kezelési lehetőséget ajánlottunk fel: Első lehetőség: A 2.5-ös fognál a korona eltávolítása, gyökérkezelés, gyökércsapos felépítés és új korona készítése. A 2.6-os és 2.7-es régiónál külső sinus lift és csontpótlás (bovin eredetű xenograft), majd 6 hónapos gyógyulás. 2.6-os és 2.7-es fogak helyére implantátum behelyezés, 12 hét gyógyulási idő a fogpótlás elkészítéséig. Második lehetőség: A 2.5-ös fog eltávolítása és azonnali implantáció. A 2.6-os fog helyére egy rövid implantátum behelyezése. A 2.7-es fog helyére egy implantátum behelyezése ferdén a tuberbe, hogy maximalizáljuk az elhorgonyzását, 6 hét gyógyulási idő a fogpótlás elkészítéséig.
Mivel a páciens anamnézisében krónikus és visszatérő arcüreggyulladás szerepelt, azt az opciót, amelyben arcüregemelést végeznénk, elvetettük. A kezelés összes költségét, a műtétek számát, valamint a teljes kezelési időt figyelembe véve, a páciens a második opció mellett döntött.
A sebészi fázis
Helyi érzéstelenítésben a 2.5-ös fog mentén intraszulkuláris metszést végeztünk, hogy minimalizáljuk a lágyszövetet érő traumát az extrakció során. Ezt követően kresztális metszést végeztünk a 2.5-ös fog disztális részétől egészen a tuber végéig, és a teljes vastagságú lebenyt preparáltuk, hogy feltárjuk az állcsontgerincet.
A 2.5-ös fog mentén periotómot haszáltunk, hogy átvágjuk a periodontális rostokat, így a fogat kilazítottuk, hogy ezzel is csökkenthessük a fogó által végzendő laterális mozgások szükségességét, illetve hogy a környező csontot is a legnagyobb mértékben megőrizzük. Nem volt elég csont (anélkül, hogy perforálnánk az arcüreg alapját) ahhoz, hogy abban stabilizáljuk az implantátumot, úgy döntöttünk, hogy behelyezünk egy ∅ 5.0 x 12 mm-es Straumann® BLX implantátumot közvetlenül az alveolusba, előfúrás nélkül. Az implantátum menetkialakítása lehetővé tette, hogy a kézidarabbal behajtva, 25 Ncm-es nyomatékot érjünk el, majd racsnis nyomatékkulcs segítségével juttattuk a végső pozíciójába, 80 Ncm-es behajtási nyomatékot mérve (3. és 4. ábrák).
A 2.6-os fog helyén egy 6 mm mély furatot készítettünk a gyártó előírása szerint, a puha csont protokoll lépéseit követve. Egy ∅ 5.0 mm × 6 mm Straumann® BLX implantátumot helyeztünk be 50 Ncm-es behajtási nyomatékkal (5. ábra)
A 2.7-es fog helyénél egy disztális irányú, 14 mm mély, ferde előfúrást végeztünk, elkerülve a sinus maxillarist a tuber csontkínálatának felhasználásával. Egy ∅ 5.0 mm x 14 mm Straumann® BLX implantátumot helyeztünk be, 50 Ncm-es behajtási nyomatékkal (6. ábra) Mind a három implantátumba gyógyulási csavar került, ezzel elkerültük az újabb sebészi beavatkozás szükségességét. Tovafutó varrattal zártuk a sebet az ínyformázó csavarok körül (7. és 8. ábrák).
3. ábra: Straumann® BLX implantátum ∅ 5.0 mm x 12 mm – készen a behelyezésre a 2.5-ös fog helyére.
4. ábra: A végső behelyezési nyomaték 80 Ncm volt a nyomatékkulcs alapján.
5. ábra: Straumann® BLX implantátum ∅ 5.0 mm x 6 mm – készen a behelyezésre a 2.6-os fog helyére.
A fogpótlás készítésének lépései
Hathetes gyógyulás után a lágyszövetek kiválóan gyógyultak, és minden implantátum megfelelően osszeointegrálódott, amelyet a radiológiai vizsgálat is megerősítetett (9. és 10. ábra).
6. ábra: Straumann® BLX implantátum ∅ 5.0 mm x 14 mm – készen a behelyezésre a 2.7-es fog helyére.
Nyitott kanalas lenyomatvételi fejeket csatlakoztattunk az implantátumokhoz, és elasztomer lenyomat-anyagot fecskendeztünk köréjük és a lenyomatkanálba, hogy egyfázisú lenyomatot vegyünk. A minta laboratóriumi elkészítését követően a kimart vázra kerámia leplezés került, amelyet megfelelő festéssel tettek még természetesebbé. Ezt követően a pótlást közvetlenül az implantátumokhoz csatlakoztattuk, majd ellenőriztük a kontaktpontot és az okklúziót. Minden csavart 35 Ncm-es nyomatékra húztunk, majd a csavarnyílásokat teflonszalaggal és fényre kötő kompozittal zártuk (11. ábra).
7. ábra: RB/WB gyógyulási csavarok a helyükön, egyfázisú műtét. 8. ábra: Tovafutó varratok.
9. ábra: Radiológiai vizsgálat a 6. hét után.
A végső röntgenfelvételen láthatjuk az osszeointegrálódott implantátumokat, valamint a stabil kresztális gerincet az azonnal behelyezett, a rövid és a ferde, a tuberben elhorgonyzott implantátum körül (12. ábra).
A páciens teljesen elégedett volt az esztétikai és a funkcionális eredménnyel is, továbbá lenyűgözte a kezelés rövidsége, valamint a minimálisan invazív megoldása.
Az orvos számára továbbra is nagyon fontos, hogy elsajátítsa és elvégezze a sinus lift műtéti technikáit, hogy képes legyen azoknak a pácienseknek a kezelésére, akiknél ez a maxilla hátsó régiójában feltétlenül indokolt. A sinus lift nagyfokú kézügyességet igényel, hogy elkerülhető legyen a leggyakoribb szövődmény, amely az arcüreg nyálkahártyájának az átszúrását vagy szakadását jelenti. Napjainkban a szakirodalom az összes eset 25–50%-ánál számol be sinus-membrán-perforációról a laterális ablakkal végzett sinus lift műté-
1. Moreno Vazquez JC, Gonzalez de Rivera AS, Gil HS, et al: Complication rate in 200 consecutive sinus lift procedures: Guidelines for prevention and treatment. J Oral Maxillofac Surg 72:892,2014
2. Watzek G, Weber R, Bernhart T, et al: Treatment of patients with extreme maxillary atrophy using sinus floor augmentation and implants: Preliminary results. Int J Oral Maxillofac Surg 27:428, 1998
3. Pjetursson BE, Tan WC, Zwahlen M, Lang NP: A systematic review of the success of sinus floor elevation and survival of implants inserted in combination with sinus floor elevation. J Clin Periodontol 35(8 suppl):216, 2008
4. Chiapasco M, Zaniboni M: Methods to treat the edentulous posterior maxilla: Implants with sinus grafting. J Oral Maxillofac Surg 67:867, 2009
5. Wen S-C, Lin Y-H, Yang Y-C, Wang H-L: The influence of sinus membrane thickness upon membrane perforation during transcrestal sinus lift procedure [published online ahead of print May 29, 2014]. Clin Oral Implants Res. http://dx.doi.org/10.1111/clr.12429.
6. Pommer B, Unger E, Sütö D, et al: Mechanical properties of the Schneiderian membrane in vitro. Clin Oral Implants Res 20:633, 2009
7. Zijderveld SA, van den Bergh JP, Schulten EA, ten Bruggenkate CM: Anatomical and surgical findings and complications in 100 consecutive maxillary sinus floor elevation procedures. J Oral Maxillofac Surg 66:1426, 2008
8. Esposito M, Grusovin MG, Rees J, Karasoulos D, Felice P, Alissa R, Worthington H, Coulthard P. Effectiveness of sinus lift procedures for dental im-
10. ábra: Lágyszövetek a hat hét gyógyulást követően.
11. ábra: Az elkészült híd a szájban – okkluzális nézet.
tek során, melynek következménye a csontpótló anyag elvesztése, valamint az ezt követő arcüreggyulladás lehet [12]. Napjainkban, amikor már a könnyű megoldások mindenki számára elérhetőek, a páciensek hatékony, minimális traumával járó, és nem utolsósorban megfizethető megoldásokat keresnek az interneten elérhető információk alapján. Az orvosi vizitek számának és időtartamának csökkentése, különösen a világjárvány idején, valamint a sebészeti beavatkozások minimalizálása további előnyökkel is jár [13].
12. ábra: A végső radiológiai vizsgálat megerősítette az osszeointegrációt és a pótlás optimális illeszkedését.
plant rehabilitation: a Cochrane systematic review. Eur J Oral Implantol. 2010 Spring;3(1):7-26. PMID: 20467595.
9. Lin WS, Eckert SE. Clinical performance of intentionally tilted implants versus axially positioned implants: A systematic review. Clin Oral Implants Res. 2018 Oct;29 Suppl 16:78-105. doi: 10.1111/clr.13294. PMID: 30328193.
10. Atieh MA, Zadeh H, Stanford CM, Cooper LF. Survival of short dental implants for treatment of posterior partial edentulism: a systematic review. Int J Oral Maxillofac Implants. 2012 Nov-Dec;27(6):1323-31. PMID: 23189281.
11. Guljé FL, Raghoebar GM, Vissink A, Meijer HJA. Single crown restorations supported by 6-mm implants in the resorbed posterior mandible: A five-year prospective case series. Clin Implant Dent Relat Res. 2019 Oct;21(5):1017-1022. doi: 10.1111/cid.12825. Epub 2019 Jul 28. PMID: 31353837; PMCID: PMC6899810.
12. Thoma DS, Zeltner M, Hüsler J, Hämmerle CH, Jung RE. EAO Supplement Working Group 4 - EAO CC 2015 Short implants versus sinus lifting with longer implants to restore the posterior maxilla: a systematic review. Clin Oral Implants Res. 2015 Sep;26 Suppl 11:154-69. doi: 10.1111/clr.12615. Epub 2015 May 21. PMID: 25997901.
13. Nolan, P.J., Freeman, K. and Kraut, R.A. (2014) Correlation between Schneiderian Membrane Perforation and Sinus Lift Graft Outcome: A Retrospective Evaluation of 359 Augmented Sinus. Journal of Oral and Maxillofacial Surgery, 72, 47-52.
K AVOSZ SZÉCHÉNYI MAX lízing, 3,5%%-os fix kamatozással, kevés mellékköltséggel. Ügyintézést biztosítunk.
Érdeklődni telefonszámokon: 06 20 929 0701, 06 20 943 8109, vagy mail@dent-east.com mailen
3D CBCT szkenner
Páratlanul vékony – 75 µm - 150 µm* – szeletvastagságok, kisebb sugárterheléssel
FOV térfogatok: 4x4/5x5/6x6 cm, 5x8 cm, 8x5/10x5/12x5 cm, 8x8/10x10 cm, 12x10 cm, 16x6 cm, 16x10 cm, 16x12 cm, 16x17 cm
• 5 az 1-ben:
• Fogászati, arc-, és szájsebészeti, orthodontiai, fül-orr-gégészeti vizsgálatokhoz
• Ultra éles panoráma felvételek
• CS MAR – mesterséges intelligenciával támogatott fém műtermék szűrés
•120 kV a jobb képminőségért, kisebb sugárterheléssel
•CAD/CAM kompatibilis, teljesen nyitott, stl, Pal formátum
•Dicom kompatibilis
3D CBCT szkenner
• 4 az 1-ben:
•Fogorvosok, szájsebészek, implantológusok részére
•Teljes digitális panoráma program, tűéles képekkel
• FOV térfogatok: 4x4 / 5x5 / 8x5 / 8x9 / 12x5 / 12x10 cm
•A létező legvékonyabb szeletvastagság: 75 µm - 150 µm
• CS MAR
• CAD/CAM kompatibilis
CS 2200
A Carestream 8000-es családja – 8100, 8100SC, 8100SC 3D, a CS 8200 3D valamint a CS 9600 gépek teleröntgen kiegészítéssel szállíthatók.
A leggyorsabb telefelvételek, rövid exponálási idők segítik a hatékony munkát.
Képméretek: 26x24 cm, 18x24 cm, 18x18 cm
Telepprogram: koponya, standard, oldalirányú felvétel, frontális AP és PA, kézfej Autotracing fogszabályozási segédeszközként használható pontfelismerő rendszer Két szenzor jobb, mint egy! Második beépített szenzorral készülnek a telefelvételek. www.dent-east.com
Intraorális falikar, szuperszép képminőséggel a 300 kHz-nak köszönhetően
Automatikus expozíciós timer
CS 3700 orálszkenner
RVG 6200 S-1 RVG 5200 S-1
Direkt digitalizáló szenzor.
Valós felbontása: 24 vp/mm
Direkt digitalizáló szenzor.
Valós felbontása: 16 vp/mm
CS 2100
Intraorális falikar, szuperszép képminőséggel a 300 kHz-nak köszönhetően Félautomata expozíciós timer.
Gyors szkennelési idő Kisméretű fej Nagyfokú precizitás Full HD képek
Azonnali képmegjelenítés. Minden intraorális röntgengéppel kompatibilis.
CS 3800 orálszkenner
Vezetéknélküli kivitel Ultrakönnyű Még precízebb, még gyorsabb. Megnövelt mélységélesség
ScanFlow Prémium kevés lépésből álló gyors munkafolyamatú szoftver. Teljesen nyitott rendszer: .stl, Pal, minden applikációhoz
Dr. Nagy Pál
1. ábra: Műtét előtti fogászati panorámafelvétel, amelyen a hiányzó felső állcsont jobb első premolárisát és a szabad véggel rendelkező hidat láthatjuk. — 2. ábra: Az implantátum méreteinek megtervezése
3. ábra: Bukkális lágyrészdefektus. — 4. ábra: A biológiai szélesség értékelése a vertikális lágyszövetvastagság alapján.
Az implantáció egy biztonságos és megbízható módszer a hiányzó fogak pótlására. Az elmúlt néhány évben az implantológia jelentős fejlődésen ment át a bioanyagok, a kezelési technikák, illetve a kapcsolódó fogászati eszközök terén. Az implantológia digitalizációja is kiemelkedő előrelépéseket mutat. A fogorvos már a műtét elvégzése előtt képes előre megtervezni
és vizualizálni a kívánt eredményt, ezáltal hatékonyabb az orvos–páciens közötti kommunikáció, illetve a páciens könynyebben dönt a kezelés mellett. A kiszámíthatóság javításának másik szempontja, hogy a kezelés tervezése során kiemelt jelentőséget tulajdonítsunk a lágyszöveteknek. Az implantátumbeültetés hosszú távú sikere számos tényezőtől függ, többek között az implantátum körüli szövetek egészségétől. Mindent meg kell tenni a megfelelő implantátum körüli zárás érdekében. A következő esetleírás a lágyszövetmenedzsment és a teljesen digitális protetikai munkafolyamat kombinációját mutatja be 4-es típusú implantátumbeültetés során.
Egy fiatal páciens jelentkezett nálunk, akinek eltörött a szabad véggel rendelkező hídja (1. ábra). A hiányzó, első premoláris fog esetén implantációs pótlást javasoltunk. A csontállomány értékeléséhez CBCT-vizsgálatot végeztünk, és az elemzéséhez NNT Viewert (NewTom) használtunk, és copaSKY 4×10 mm-es (bredent medical) implantátumot választottuk a fog pótlásához
5. ábra: Palatinális „tekercslebeny” – Palatal roll flap. — 6. ábra: Bredent medical copaSKY 4x10 implantátumbeültetés. 7. ábra: Szubkresztális implantátumbeültetés a várható biológiai szélességnek megfelelően.
8. ábra: Egyéni ínyformázó titánbázison, tulipán alakú emergenciaprofillal. — 9. a. ábra: A sebzárás okkluzális nézete. 9. b. ábra: Feszülésmentes zárás bukkális nézete.
(2. ábra). A lágyszövetek értékelése Seibert szerinti I. osztályú csontdefektust állapított meg (3. ábra), ezért a beavatkozáskor palatinális „tekercslebenyt” preparáltunk (palatal roll flap), és implantációt végeztünk, hogy kompenzálni tudjuk a bukkális lágyszövet-behúzódást. Megmértük a vertikális lágyszövetvastagságot, és úgy terveztük, hogy a szubkresztális implantátum beültetése összhangban legyen a biológiai szélesség kialakulásával a transzgingivális gyógyulási periódus alatt (4. ábra)
Az eljárást helyi érzéstelenítés mellett végeztük (4%-os articaine-hidroklorid 1:100 000 adrenalinnal). Papillakímélő, U alakú palatális bemetszést végeztünk, teljes vastagságú nyálkahártyalebeny preparálás történt, a lebenyt bukkálisan feltekertük (5. ábra). A lebeny bukkálisan feltekert részén de-epitelizációt végeztük el, amellyel kompenzálni tudtuk a bukkális lágyszöveti defektust. Szakaszos előfúrást végeztünk, és a bredent copaSKY 4x10 implantátumot 30 Ncm behajtási nyomatékkal helyeztük be (6. ábra). Az implantátumot 1 mm-re szubkresztálisan helyeztük be, hogy később szélesebb emergenciaprofilt tudjunk kialakítani (7. ábra). Az egyedi ínyformázó úgy készült, hogy kompozitot vittünk fel a titánbázisra, és így formáztuk a lágyszöveteket a transzgingivális gyógyulási fázis során (8. ábra). Az egyéni ínyformázó tulipán formájú, hogy kialakítsa a kívánt emergenciaprofilt. A lágyszövetet feszülésmentesen zártuk #6/0 nem felszívódó, monofil fonallal (Optilene, B. Braun Deutschland; 9. a–b. ábra). Posztoperatív röntgenfelvétel készült, ami alapján az implantátum a szomszédos fogakkal párhuzamos elhelyezést mutatott (10. ábra). Posztoperatív utasításokat adtunk a páciensnek a műtéti terület körüli szájhigiénia fenntartása érdekében. A beavatkozást követő egy héttel a varratokat eltávolítottuk, és a kezelt terület kielégítő gyógyulást mutatott (11. ábra). A 4 hónap utáni késleltetett terhelést a páciens kívánsága szerint terveztük.
A teljesen digitalizált protetikai munkafolyamat során az Exocad szoftver segítségével (exocad) egy hibrid, csavarrögzített, cirkónium monolit koronát gyártottunk le copaSKY
10. ábra: A műtét utáni radiológiai felvétel.
11. ábra: Varrateltávolítás egy hét után, kielégítő gyógyulás látható.
12. a. ábra: Biológiai szélesség 5 mm.
12. b. ábra: Okkluzális nézet négy hónappal a műtét után, amely megfelelő bukkális lágyszövetvastagságot mutat.
13. ábra: Négy hónap elteltével a szájüregben látható marginális zenit megmaradt.
14. ábra: Egészséges implantátum körüli lágyrészgallér.
uni.fit titánalapra (bredent medical). Az implantátum körül a bukkális lágyszövet megfelelő vastagságot és kedvező ínykontúrt mutatott (12. a–b. ábra). Az egyedi ínyformázó eltávolítása után egészséges implantátum körüli lágyrészgallér
15. ábra: Az intraorális szkennelést több lépésben végeztük, hogy regisztráljuk az íny lefutását, illetve a scanbody segítségével meghatározzuk az implantátum pozícióját.
16. ábra: Az elkészült ideiglenes PMMA korona.
17. ábra: PMMA koronán végzett korrekció. A marginális íny és a PMMA „pszeudo–zománc–cement” határa között minimális rést látunk. Ennek az az oka, hogy a lágyrész már összezsugorodott az ínyformázó eltávolítása és az első vizsgálat elvégzése között. Ezt a technikus könnyen korrigálta a korona megnagyobbításával. 16 17
volt megfigyelhető (13–14. ábra), ezen kívül közvetlenül a műtét előtt intraorális vizsgálatot végeztünk a lágyszöveti profil megállapítása érdekében. Ezt követte a scanbody behelyezése, így digitális lenyomat készült az implantátum pozíciójáról (15. ábra). Ugyanezzel a technikával rögzítettük az antagonista fogívet és a harapást is. Az így kapott STL-fájlokat digitálisan továbbítottuk a fogtechnikai laboratóriumba. A titánalapra PMMA ideiglenes koronát készítettünk a proximális és marginális illeszkedés ellenőrzése érdekében, valamint a megfelelő harapás elérése céljából (16–17. ábra) Miután az összes igazítás elkészült, ismételt vizsgálatot végeztünk. A végleges hibrid csavarrögzítésű, teljes kontúrú cirkóniumkoronát titánalapon erősen polírozott szubgingivális résszel készítettük el, és 25 Ncm nyomatékra húztuk (18. ábra). Kiváló árnyalategyezést és klinikai eredményt
értünk el (19. ábra). Az okkluzális nyílást tefloncsíkkal és kompozittal zártuk (20. ábra). Mindezek után, posztoperatív kontroll röntgenfelvétel készült, amely a pótlás megfelelő illeszkedését mutatta (21. ábra). A hat hónapos utánkövetés során jól megfigyelhető a teltebb lágyszöveti profil és a megtartott kresztális csontszint (22–24. ábra)
A késleltetett implantátumbeültetés egyik kihívása az extrakció utáni gerincatrófia kompenzálása. A horizontális és vertikális csontveszteség mértéke a foghúzást követő két éven belül akár a 60%-ot is elérheti, nagy része a foghúzást követő első hat hónapjában következik be [2]. A jelen esettanulmány egy kiszámítható lágyrészkezelési technikát mutat be, amelyet egyidejű implantátumbeültetéssel végeztünk. Módosított palatális „tekercslebeny” (rollflap) technikát alkalmaztunk a bukkális defektus kompenzálására és a megfelelőbb lágyszöveti kontúr elérése érdekében. A szabad szubepitheliális kötőszövet a grafttal ellentétben, a nyeleslebenynek köszönhetően nemcsak a gerincvolumennek jelent jobb vaszkularizációt, hanem megvastagítja a felszabadított implantátum körüli marginális gingivát is. A biotípus váltás vastagabb implantátum körüli nyálkahártyát hoz létre, és stabilabbá teheti a periimplantáris szöveteket [3]. Ez a megközelítés azért is előnyösebb, mivel nincs második donorterület, vagy nyílt seb, amely további fájdalmat és kellemetlenséget okozhatna a páciensnek a gyógyulási szakaszban. Mivel az implantátum beültetésével egyidejűleg történik, elkerülhető a további lágyszövet-augmentációs műtét. Ez javítja a páciens kényelmét és pozitív fogászati élményt biztosít. Szubkresztális implantátumbeültetést alkalmaztunk a transzgingivális gyógyulás során bekövetke-
18. ábra: Végleges, hibrid, csavaros rögzítésű, monolit cirkóniumkorona titánalapon, fényezett ínygallérral.
ző biológiai szélességnövekedés kompenzálása érdekében. Nagyon fontos a szuprakresztális lágyszövet vastagsága az implantátummal történő pótlás körül, mivel ez közvetlenül befolyásolja az implantátum körüli zárást, és végső soron a terápia hosszú távú sikerét. Az implantátum körüli csont és lágyszövet közötti kapcsolat megsértése lehet az egyik oka a korai kresztális csontvesztésnek [4]. Az implantátum körüli marginális csontvesztés egyrészről befolyásolhatja a hosszú távú esztétikai eredményt a csontvesztést követő ínyreceszszió miatt, illetve a későbbi implantátum körüli fertőzés kezdeti kiváltó tényezője lehet. Az egylépcsős, transzgingivális protokoll kiszámíthatóbb a kétlépcsős technikához képest, mert olyan előnyökkel jár, mint például kevesebb időt tölt
19. ábra: A végleges korona bukkális képe, amely kiváló színárnyalatot és kontúrokat mutat.
az orvosi székben a beteg, illetve érettebb lágyszövet alakul ki, mivel nincs szükség további sebészeti beavatkozásra [5]. Ami a transzgingivális gyógyulást illeti, az egyedi ínyformázó előnyösebb a végleges helyreállításhoz szükséges kedvező lágyszöveti profil elérése érdekében. Az elvesztett foghoz hasonló architektúra kialakítása a marginális gingiva szintjén, valamint az implantátum felé szűkülő emergenciaprofil segítik ennek elérését. Az egyedi ínyformázó fő előnye az előre kialakított ínykontúr, amely meghatározza a jövőbeli pótlás helyes megjelenési profilját, olyan esetben, amikor az azonnali ideiglenes pótlás nem lehetséges [6]. Összefoglalva, az alábbi esettanulmányban alkalmazott lágyszövet-kezelési eljárások a következőket tartalmazzák:
BioGaia Prodentis® ORÁLBIOTIKUM
Innovatív terápiás lehetőség szájüregi betegségek kezelésében
Javasolt:
antibiotikum mellé
szájsebészeti beavatkozások idején
professzionális tisztítást követően
általános szájvíz helyett
Hatóanyaga: L. reuteri Prodentis© probiotikus, humán eredetű baktériumkombináció. Hatékonyságát és biztonságosságát 63 klinikai vizsgálat igazolja a következő indikációkban:
plakk-képződés
gingivitis
periimplantáris mucositis
parodontitis
halitosis
szájüregi Candidafertőzés
Tájékoztató egészségügyi szakemberek részére. Lezárás dátuma: 2024. augusztus 8. 2024/PD/16
20. ábra: Kompozittal zárt okkluzális nyílás.
21. ábra: Röntgenfelvétel a végleges korona felhelyezése után.
használatát, és jobb kommunikációt tesznek lehetővé a fogtechnikai laborral [10]. Ebben az esetben egy hibrid csavarrögzített pótlást terveztünk és kiviteleztünk. Egy átfogó áttekintés, amely a csavarozható és ragasztott koronák klinikai jelentőségére összpontosított a döntéshozatalban, azt állapította meg, hogy a csavaros rögzítésű pótlás kevesebb biológiai szövődményt mutat, illetve előnye, hogy könnyen javítható anélkül, hogy károsítaná az ínyformázót és a koronát [11]. A cementtel rögzített korona eltávolítása még mindig nagyobb kihívást jelent és kevésbé kiszámítható, mint egy csavaros pótlásé [11]. Így a csavarozható pótlás leegyszerűsíti a kezelést, amennyiben a jövőben bármilyen komplikáció lépne fel. A cement kifolyása és az implantátum körüli mucosa alatt maradása mikrobiális kolonizációt és az implantátum körüli szövetek károsodását eredményezheti. A csavarrögzített pótlásokkal könnyebben megoldható a szájhigiénia, és egyszerűbben elvégezhetők a fenntartó kezelé-
22. ábra: A hat hónapos utánkövetés: kiváló emergenciaprofil. — 23. ábra: A hat hónapos utánkövetés: a lágyszövetek jelentősen megvastagodtak. — 24. ábra: Hat hónapos utánkövetési röntgenfelvétel; a kresztális csontállomány megtartott.
„tekercslebeny” (roll flap), szubkresztális implantátumbehelyezés a biológiai szélesség megtartása érdekében és az egyedi ínyformázó. Az alkalmazott implantátumrendszert az egyedülálló osseo-connect felület (OCS) miatt választottuk ki, valamint azért, mert az implantátum nyaka támogatja a lágyszöveti zárást, megelőzve a bakteriális beszivárgást, ami védi az implantátumot. A homokfúvott és maratott felület elősegíti a gyors csontosodást. Az implantátum gyökér formájú (tapered), és dupla önvágó kompressziós menettel rendelkezik, amelyek fontosak a magas primer stabilitás eléréséhez. A copaSKY implantátumrendszer platform switchinget alkalmaz a kresztális csontvesztés minimalizálása érdekében, mivel ez kulcsfontosságú az implantátum hosszú távú sikeréhez és stabilitásához. Az önmetsző kettős menet gyorsabb implantátumbehelyezést biztosít alacsonyabb hőtermelés és csontkondenzáció mellett [7]. A homokfúvott és savmaratott, önmetsző menettel ellátott, cilindrikus és egyben gyökér formájú hibrid kialakítású implantátumok statisztikailag nagyobb behelyezési és eltávolítási nyomatékot mutatnak az esztergált implantátumokhoz képest, valamint jobb primer stabilitás érhető el velük [8]. Teljesen digitális protokollt követtünk a végleges pótlás elkészítéséhez. Az intraorális szkennerek olyan eszközök, amelyeket a közvetlen optikai lenyomatok rögzítésére használnak a fogászatban [9]. Az intraorális szkennerek jelenlegi szakirodalmának áttekintése után arra a következtetésre jutottunk, hogy ezek az eszközök időhatékonyak, csökkentik a páciensek kellemetlen fogászati élményeit, kiküszöbölik a gipszmodellek
sek [12]. A végleges pótláshoz polírozott, teljes kontúrú (full contour) cirkóniumkoronát használtunk. A réteges cirkóniumkoronákban a leplezőkerámia hosszan tartó kopás után berepedezést vagy akár leválást mutat, ami a helyreállítás meghibásodását eredményezi [13]. A monolit koronák CAD/ CAM technológiával készülnek, nagy a hajlítószilárdságuk és törésállóságuk, nagyobb, mint az alumínium-oxid alapú kerámiakoronáké [14].
A precizitásra és tökéletességre való törekvés az implantációs fogászat fejlődéséhez vezetett. A korszerű technikák és anyagok a fogászatban a gyors digitalizációval párosulva javították a páciensek élményét a megnőtt kényelem, a rövidebb kezelési idő és a kiszámíthatóbb eredmények által. A digitális munkafolyamatok minimalizálják a fogorvos, illetve a fogtechnikai labor által esetlegesen okozott manuális és technikai hibákat. Mivel rengeteg implantátumgyártó cég áll rendelkezésre, kulcsfontosságú, hogy olyat válasszunk, amelyik teljesen digitális munkafolyamat lehetőségeket kínál az implantációs fogászatban mind a sebészeti, mind a protetikai szempontok tekintetében. Az implantátum körüli lágy- és keményszövetek jól lefektetett biológiai alapelvei alapján végzett holisztikus kezeléstervezés kiváló esztétikai eredményeket hoz, és hosszú távú sikerhez vezet.
Forrás: Implants 2022/1.
A bukkális csontállomány teljes felszívódását és
parodontális folyamat, a fogak eltávolításának abszolút
ilyen esetben a fogak megtartását célzó regeneratív
az adekvát oki terápia
a fogak jelentős mobilitását okozó előrehaladott abszolút indikációját jelenti. Tapasztalataink szerint regeneratív kezelésektől hosszú távú siker nem várható, terápia a fog eltávolítása.
Dr. Sidó Levente1,3, Dr. Benyőcs Gergely1,3, Dr. Mócz András1,3, Dr. Bögi Krisztina1,2,3
Alveolus prezerváció PRF segítségével (PRF Sticky Tooth +A-PRF/S-PRF)
Bevezetés
A posztexrakciós alveoláris csonthiányok és az azzal korreláló lágyrészdefektusok megelőzésében kiemelt szerepe van a természetes szöveti struktúrák megőrzésének. A kemény- és lágyszövetek prezervációjával a későbbi munkafolyamatok egyszerűbbé válnak, magas szintű funkcionális és esztétikai eredmény érhető el. A hosszú távú, szöveti stabilitás alapja a gondos protetikai szemléletű, „visszafelé” tervezés. Az alveoláris csonthiányok megelőzésére és/vagy korrigálására, a csontosodás elősegítésére és irányítására számos anyag és módszer ismert. Ezeknél a legtöbb esetben lebenyképzés és az íny per primam zárása szükséges, amely nemcsak az alveoláris csont vérellátását zavarhatja meg, de a vesztibulum szűkülését és a feszes íny megszűnését is eredményezheti. Emiatt gyakran szükséges az optimális lágyrészmenedzsment megvalósítására kiegészítő beavatkozás. Az utóbbi években egyre szélesebb körben terjedt el a PRF technika, amelynek napjainkban az irányított csontregenerációban világszerte elismert szerepe van, emellett a PRF membránok alkalmazása mukogingivális sebészeti szempontból is figyelemre méltó előnyökkel jár (1). Több nemzetközi közlemény a módszer kiszámíthatóságát és megbízhatóságát igazolja. Ezen eredmények alapján a trombocitában gazdag fibrin (Platelet Rich Fibrin, PRF) kiválóan alkalmas a posztextrakciós csontsebek kezelésére (2, 3, 4, 5). A posztextrakciós alveoláris szövethiányok kialakulásának hátterében több tényező is szerepelhet. A paro- és periodontális kórfolyamatok már akkor kemény- és lágyszöveti hiány vagy defektus kialakulásához vezethetnek, amikor a fog még az anatómiai helyén található. A prezervációs szemlélet nélkül végzett extrakciós és szkulpciós beavatkozások gyakran okoznak szövethiányt, vagy annak mértékét jelentősen növelik. A fog eltávolítása során kiemelt jelentőségű a bukkális csont megőrzése, emellett törekednünk kell mindenfajta csontveszteség minimalizálására. Ennek érdekében a klasszikus, extrakciós és szkulpciós technikákat módosítani kell: ajánlott a foggyökerek intraalveoláris darabolással történő eltávolítása, vagy
részleges eltávolítása, a socket shield technika (6) elveinek megfelelően. Törekedni kell az alveoláris struktúrák vérellátásának megóvására a lebenyképzés lehetőség szerinti mellőzésével, vagy annak jelentős minimalizálásával és a lágyrészek megfelelő megtámasztására (7). Utóbbi szempontjából kiemelkedő jelentőségű lehet az azonnali implantáció (8) és az azonnali – akár implantátumon vagy természetes fogakon rögzített – ideiglenes pótlás készítése, esetleg socket plug technika (9) alkalmazása, illetve bizonyos esetekben szükséges lehet lebenyképzésre és extraalveoláris csontaugmentációra, amelynek segítségével a lágyrészek számára jó vérellátást biztosító trabekuláris csontréteg képződését indukálhatjuk. Nagy jelentősége van az időtényezőnek is: a fogak eltávolítását követően az első hetekben az alveolus jelentősen kollabál, ezt követően lassú involúciós atrófián megy keresztül (10, 11, 12, 13, 14, 15, 16, 17, 18, 19).
Az alveolus prezerváció natív PRF segítségével egyszerű, jól kiszámítható és megbízható eljárás csonttal minden oldalról körülvett posztextrakciós területek augmentációjára. Munkánk során gyakran találkozunk azonban egy vagy több alveoláris csontfal hiányával járó defektussal. Ezekben az esetekben az alveolus prezerváció elvégzésére a PRF Sticky Bone™ eljárást alkalmazhatunk, amelynek lényege, hogy a trombocitában gazdag fibrin készítményt xenografttal keverjük és az augmentációt az így kapott agyagszerű anyaggal végezzük el. Az 1. táblázat (20) mutatja be a napjainkban leggyakrabban használt csontpótlók típusait, azonfelül a legfontosabb szempontokat, amelyekre kiválasztásuknál figyelemmel kell lennünk, illetve amelyek alapján felhasználhatóságukat és tulajdonságaikat értékelhetjük. Az irodalmi adatok és tapasztalataink alapján az autológ graftok és eljárások használatával kiemelten jó, biológiailag megfelelő és aktív gyógyulási eredményre számíthatunk. Az autológ csontgraftok pozitív tulajdonságai mellett számolnunk kell gyakorlati hát(1) AquaDent Fogászat, (2) Cranium-B Fogászat, (3) Precedent Fogászat
Típus Származás Antigénstruktúra Keresztfertőzés Osteoindukció
Osteokondukció Mennyiség Tárolás Ár Egyéb
Autograft Saját Megfelelő Nincs Van Van Korlátozott Nem lehetséges vagy korlátozott Műtéti idő? Donorhelymorbiditás
Allograft Azonos faj Eltérő lehet Lehet Nincs Van Korlátlan Tárolható Közepes Jogi szempontok
Xenograft Más faj Eltérő Lehet Nincs Van Korlátlan Tárolható Közepes Jogi szempontok
Alloplasztikus graft Szintetikus Nincs Nincs Nincs Van Korlátlan Tárolható Kedvezőbb
Sterilizálhatóság Kötőszövetes reakció 1. táblázat
rányokkal is: az autograft nem áll korlátlan mennyiségben rendelkezésünkre, tárolása hosszú távon nem kivitelezhető, kinyerése a műtéti idő növekedésével jár, valamint használata esetén mindig számolnunk kell donorhelyi morbiditással, utóbbival pedig mindenképpen sérül a „nil nocere” alapelv és a minimálinvazivitás elve. Az allograftok alkalmazásának vitathatatlan előnyei mellett gondolnunk kell az esetlegesen eltérő antigén-struktúrára, a keresztfertőzés elvi lehetőségére, a gyártási technológia következményeként esetlegesen hiányzó oszteoinduktív hatásra és jogi szempontokra, amelyek hátrányt jelenthetnek. Az egyszerű felhasználhatóság, tárolhatóság és jó oszteokonduktív tulajdonságok mellett a hosszú távú klinikai tapasztalatok és a szövettani vizsgálatok (21, 22) a xenograftok és alloplasztikus anyagok esetében kérdéseket vetnek fel a behelyezett anyagok átépülésével kapcsolatban. Eltérő véleményekkel és eredményekkel találkozhatunk az újonnan képződő csont minőségét és biológiai tulajdonságait illetően, illetve gyakrabban láthatunk idegentest-reakciót és/vagy kötőszövetes gyógyulást. Oszteoinduktív hatással sem rendelkeznek, a xenograftok esetében az antigénstruktúra biztosan eltérő és keresztfertőzés is előfordulhat, használatuknak bizonyos esetekben jogi korlátai lehetnek. Az allograftok előnyös tulajdonsága, hogy keresztfertőzést nem okoznak, viszont megfelelő antigénstruktúrával sem rendelkeznek. Az előzőekből következik, hogy az ideális csontpótló anyag tulajdonságai a következők: megfelelő antigénstruktúrával rendelkezik, nem okoz keresztfertőzést, oszteokonduktív és oszteoinduktív hatása egyaránt van, kinyerése nem okoz donorhelyi morbiditást, felhasználása nem vet fel jogi kérdéseket, emellett kellő volumenstabilitással bír. Figyelembe véve a csontpótló anyagok négy fő csoportjának legfontosabb jellemzőit, az ideális megoldás egy olyan autológ készítmény, amely mindezen tulajdonságokkal egyszerre rendelkezik. Az irodalomban számos olyan közleményt olvashatunk, amelyek a foganyag autológ graftként történő használhatóságát írják le (23, 24). Csontaugmentáció céljára felhasználható, a természetes fogakból származó anyag kinyerése összetett folyamat, a fogak megfelelő darabolásával, őrlésével, majd az őrlemény megfelelő kezelésével valósítható meg. Ennek kivitelezésére a Tooth Transformer™ berendezést használhatjuk (25, 26). Az őrleményt trombocitában gazdag fibrinnel egyesítve, a PRF Sticky Bone™ készítményhez hasonló, ám tisztán autológ anyagot, az úgynevezett PRF Sticky Tooth csontpótlót hozhatunk létre (27).
Az alveolus prezerváció megfelelő kivitelezésének első lépése a fog eltávolítása, az alveoláris struktúrák minél tökéletesebb megőrzésével. Második lépés a csont augmentáció elvégzése. Ha a beavatkozás nem vagy nem megfelelően célozza a kemény- és lágyszövetek prezervációját, a csontosodás elősegítését vagy annak irányítását, a gyógyulási idő letelte után nem lesz megfelelő csontkínálat. Az esetek egy részében alveolus prezerváció elvégzése nélkül is marad akkora csontvolumen, amely lehetővé teszi az implantátum behelyezését, de gyakran protetikailag előnytelen pozícióba. A keményszöveti hiánnyal összefüggést mutat a lágyszöveti hiány, a feszes íny megszűnik. A protetikai szempontból rossz pozíciójú implantáció, valamint a szövethiány rontja a funkcionális és esztétikai eredményt és a hosszú távú siker arányát. Más esetben olyan mértékű a csont volumenében tapasztalt deficit, hogy az implantátum beültetésére nincs lehetőség, ilyenkor csont augmentációs műtét végzése szükséges, amely jelentős megterheléssel, költségekkel, időveszteséggel és számos szövődménnyel járhat.
Az 50 éves nőpáciens az alsó és felső állcsont területén egyaránt panaszt (fájdalom, ráharapási érzékenység) okozó, harmadfokban mozgatható fogak miatt jelentkezett rendelőnkben. Az általános anamnézisben említést érdemlő betegség, műtét nem szerepelt. Az elvégzett klinikai és radiológiai vizsgálatok (1–2. ábra) alapján fogai reménytelen parodontális státusúnak bizonyultak, hosszú távon sem megtartásuk, sem protetikai célú felhasználásuk nem volt lehetséges. A parodontális prognózis a fogak eltávolításának abszolút indikációját jelentette. Ezáltal mindkét állcsontban teljes foghiány kialakulásával kellett számolnunk. A protetikai szemléletű, „visszafelé” tervezés elveit követtük a hosszú távú funkcionális, esztétikai siker és szöveti stabilitás elérése érdekében: mindkét állcsontban overdenture típusú fogpótlás készítése mellett döntöttünk. A megfelelő implant-protetikai rehabilitáció alapja az implantátumok megfelelő pozicionálása. A korábbi parodontális kórfolyamat következtében a processus alveolarisokat érintő eredendő csontdeficittel kellett számolnunk, amelyet tovább súlyosbíthatott volna a hagyományos extrakciós technikát követő involúciós atrófia. Ezért a páciens kivizsgálása és megfelelő előkészítése után a fog eltávolításával egy időben PRF
Sticky Tooth segítségével kivitelezett alveolus prezerváció mellett döntöttünk, a megfelelő csontos és mukogingivális gyógyulás minőségi és mennyiségi elősegítése érdekében. A PRF készítmény mennyiségét, minőségét, kezelhetőségét és hatékonyságát jelentősen befolyásolják a páciens laborértékei, ezért kezelési protokollunk szerint a műtétet megelőzően minden esetben laborvizsgálatot végzünk (hemoglobin: 134 g/liter, hematokrit: 0,43, fehérvérsejt: 6,6 G/liter, CRP: 13,60 mg/liter, vércukor: 6,2 mmol/liter, összkoleszterin: 7,00 mmol/liter, triglicerid: 1,08 mmol/liter, HDL koleszterin 2,57 mmol/liter, LDL koleszterin 1,12 mmol/liter), D3 vitamin: 117,5 nmol/liter).
A fogak eltávolítása és az alveoláris csont megőrzésének és regenerációjának segítése céljából elvégzett augmentáció altatásban történt. Óvatos, atraumatikus extrakciót követően eltávolítottuk a parodontális és periapikális gyulladásos folyamatok eredményeként jelen lévő sarjszövetet. A bukkális csontfal hiánya és a tervezett vertikális augmentáció miatt indokolt membrántechnika megfelelő kivitelezése céljából a felső állcsonton mukoperioszteális lebenyt képeztünk (3–4. ábra). Az alveolus prezervációt Sticky Tooth, PRF és titánerősítésű teflon (PTFE-Ti) membránok segítségével végeztük el, a J. Choukroun által megadott vérvételi és centrifugálási protokoll (28) elveinek betartásával: kizárólag Process for PRF Duo Quattro System eszközöket, centrifugát, vérvételi egységet és csöveket, a membránok előállításához PRF Boxot használtunk. Az A-PRF és S-PRF csöveket a PomPac eljárásnak megfelelően 4 Celsius-fokra előhűtöttük. Az eltávolított fogak makroszkópos tisztítását és darabolását nagy fordulattal (300 000 RPM) fogászati turbinába helyezett gyémántfúróval végeztük, majd Tooth Transformer™ berendezéssel, annak gyári reagens rendszerével kezelt őrleményt nyertünk. A Sticky Tooth készítmény előállítása a PRF készítmény és az őrlemény 60/40 arányú keverésével történt (5–7. ábra), A-PRF és A-PRF/S-PRF membránokat
készítettünk (8. ábra). Az alveólusokat a grafttal feltöltöttük, a felső front régióban vertikális augmentációt végeztünk a tervezett alveoláris csontmagasság elérésének céljából (9–10. ábra). A vertikális augmentáció támogatására titán mikrocsavarokkal rögzített, titánerősítésű teflonmembránokat alkalmaztunk, amelyekre egy rétegben A-PRF membránokat, és egy rétegben A-PRF/S-PRF membránokat helyeztünk. Az alsó állcsont esetében vertikális augmentáció nem volt szükséges, célunk az alveoláris kemény- és lágyszöveti struktúrák prezervációja volt, a graftot csak PRF membránokkal fedtük. A PRF membránok külön rögzítést egyik állcsont esetében sem kaptak (11–12. ábra). A mukogingivális
lebenyt – annak megnyújtása nélkül – a helyére fektettük és varratokkal rögzítettük, per primam sebzárást nem végeztünk. A varratokat 2 hét után távolítottuk el, a varratszedésig a sebgyógyulás támogatására per os 1000 mg/nap C- és 12 000 NE/nap D-vitamint adtunk (28).
A fogak eltávolítását és az egy idejű augmentációt a felső állcsontban 193 nap, az alsó állcsontban 84 nap gyógyulási időszak követte, amelyek során sem helyi, sem gyógyszeres kezelés nem történt, az esztétikum javítása érdekében a páciens ideiglenes kivehető fogpótlást használt, az alsó provizórium stabilizálásának érdekében a két alsó második moláris fogat csak a definitív fogpótlás készítése során távolítottuk el.
A gyógyulási időszakot követően a csontos gyógyulás ellenőrzése és az implantáció tervezése céljából állcsonti CT-felvételt készítettünk . A CT-felvételen tökéletes csontos gyógyulást észleltünk, az alveoláris csont volumene teljes mértékben megtartott, a vertikális augmentáció a tervezettnek megfelelő eredményű volt (13–15. ábra) , a klinikai kép is ennek megfelelően alakult, optimális mennyiségű keratinizált ínnyel és azt adekvát sebészi technika eredményeképpen megtartott vesztibulummal (16–17. ábra) . Az alsó és felső állcsontba 4-4 darab Bredent COPA Sky implantátumot ültettük, D1-D2 csontminőség mellett, 35 Ncm primer stabilitást mértünk. Nyílt gyógyulási protokollt alkalmazva az ínyformázókat is behelyeztük, amelyek körül az ínyt csomós öltésekkel zártuk (18–20. ábra) . Amennyiben lehetséges, mindig nyílt gyógyulási protokollt választunk, így biztosítva elegendő időt a lágyrészek maturációjához (29). Kiemelendő, hogy az irodalmi adatoknak (30, 31, 32) és saját tapasztalatunknak megfelelően az íny biotípusának jelentős, pozitív irányú változását észleltük. Az implantátumokra 180 nap gyógyulási időszakot követően (minden implantátum stabilitása Periotesttel –8-as értékű volt) hagyományos lenyomatvételi módszer és egyéni értékű artikulátor használatával a fogtechnikus (D1 Dental Kft., Garamvári Csaba) overdenture típusú fogpótlást készített (21. ábra)
A protetikai rehabilitációt követően 9 hónappal az alveoláris struktúrák stabilak, a röntgenfelvételen a csontállomány megtartott, a beteg panaszmentes, rágó funkciója kifogástalan, az esztétikai eredménnyel teljes mértékben elégedett (22–23. ábra)
A fogak eltávolításának indikációja
A bukkális csontállomány teljes felszívódását és a fogak jelentős mobilitását okozó előrehaladott parodontális
folyamat, a fogak eltávolításának abszolút indikációját jelenti. Tapasztalataink szerint ilyen esetben a fogak megtartását célzó regeneratív kezelésektől hosszú távú siker nem várható, az adekvát oki terápia a fog eltávolítása.
A PRF Sticky Tooth módszer indikációja, értékelése
Számos vizsgálat, többek közt randomizált kontrolltanulmányok számolnak be a PRF kedvező hatásairól az alveoláris csont és lágyszöveti regeneráció kapcsán (34, 35, 36, 37). Ebben jelentős szerepet játszanak a centrifugálás során fokozatosan kialakuló háromdimenziós fibrinhálóban elhelyezkedő trombociták, leukociták, progenitor sejtek, valamint az általuk közel 2 héten át termelt növekedési faktorok, különböző citokinek (38, 39, 40). A PRF Sticky Tooth módszer előnye, hogy a hozzáadott sajátfog-őrlemény volumenstabilizáló és oszteokonduktív hatását a PRF csontregenerációra gyakorolt pozitív effektusait egyidejűleg használjuk ki. Az eljárás során autológ szöveteket használunk, amelyeket minimál invazív beavatkozással (vérvétel), illetve a műtét elkerülhetetlen részét képező és egyúttal az oki terápiát jelentő lépéséből (extrakciók) nyerünk, és amelyekből egyszerű folyamatokból álló protokoll alapján biológiailag aktív csontpótló anyagot állítunk elő. Biztonságos és sikeres alkalmazása azonban megfelelő gyakorlatot és összehangolt műtéti csapatmunkát igényel. Tapasztalataink szerint a PRF Sticky Tooth módszer a rutinszerűen végzett intraorális csontaugmentációs eljárások (alveolus prezerváció, horizontális és vertikális augmentációk, sinus maxillaris elevatio stb.) esetében sikerrel alkalmazható. Kiváló autológ csontpótlási módszer, a töltőanyag nagyfokú biológiai megfelelősége és a PRF kedvező oszteoimmunológiai hatásai (1, 34, 35, 36, 37, 38, 39, 40) miatt az eredeti állcsonti struktúrához hasonló, trabekuláris csontszövet képződésére számíthatunk (27, 33). Az indikációs területet szűkíti azonban, hogy a kivitelezéshez megfelelő mennyiségű és minőségű természetes foganyag szükséges, azaz egyrészt rendelkeznünk kell a tervezett augmentáció 18. 19. 20.
volumenének megfelelő őrleménnyel, másrészt lényeges elvárás az eltávolított fogszövetek baktériummentessége is. Tehát azokban az esetekben, ahol nem történik extrakció, vagy a csontpótlás dimenziójához képest kevés alkalmas foganyag áll rendelkezésre, illetve, ha a foganyag baktériumokkal kontaminált (például erősen destruált fogak/visszamaradt foggyökerek, vagy régi, inkomplett gyökértöméssel ellátott, fertőzött dentinállományú fogak) a módszer nem alkalmazható. A korábban eltávolított és hosszú távon tárolt foganyag felhasználhatósága számos kérdést vet fel, ezeknek elemzése jelen közleménynek nem célja. Gyakorlati tapasztalatunk szerint az őrlemény elkészítése (tisztítás, darabolás, a Tooth Transformer™ üzemideje) időigényes, összesen 30–50 perc, amely a műtéti idő jelentős növekedésével jár. Ambuláns beavatkozások esetén megoldás lehet a műtét megszakítása, majd folytatása, azonban altatásos beavatkozásnál erre nincs lehetőség.
Atraumatikus extrakciós technika, a vérellátás megóvása
A csontmennyiség megőrzésének alapja az atraumatikus, minimál invazív extrakciós technika alkalmazása. Klinikai gyakorlatunkban minden fog eltávolításánál a rendelkezésre álló alveoláris csont teljes megkímélésére törekszünk, különösen akkor, ha a fog eltávolítását indokló patológiás folyamat következtében a fogmedernyúlványt érintő csonthiánnyal állunk szemben. Ilyen szituációban gyakran nem lehetséges a lebenyképzés elkerülése, csak a lebeny méretének és a feltárás mértékének redukálására törekedhetünk annak érdekében, hogy mérsékeljük az alveoláris csont és a csontpótlásra használt graft vérellátási zavarát (41, 42, 43, 44, 45, 46, 47, 48). A fogmedernyúlvány csontvesztesége egyúttal lágyrészveszteséget is eredményez, mivel az at-
rófizált alveoláris csontot kisebb volumenű íny fogja fedni. Amennyiben a kemény- és lágyszöveti struktúrák védelmére és megőrzésére nem törekszünk, az ínyszövet – különös tekintettel a feszes ínyre – relatív hiánya a másodlagos augmentációs műtét során problémát jelent, a beavatkozás sikerét veszélyezteti és gyakran korrekciós lágyrészműtétet tesz szükségessé.
A gingiva biotípusának megváltoztatása
Amennyiben a lebenyképzés nem elkerülhető vagy szükséges az egyébként vékony biotípusú íny megváltoztatása, a PRF technika alkalmazása segítségünkre lehet. A PRF Sticky Bone™ vagy PRF Sticky Tooth módszerekkel kiváló keringésű, trabekuláris csontszövet képződését érhetjük el, akár a buccalis kortikális külső oldalán is. Ezt kiegészítve megfelelő PRF membrán- és varrattechnikák alkalmazásával a mukoperioszteális lebeny megnyújtását is elkerülhetjük. Mindezek eredményeképpen a csontvolumen növelése mellett lehetőségünk van a gingiva biotípusának irányított pozitív megváltoztatására is kötőszöveti vagy szintetikus graftok használata nélkül (30, 31, 32, 33).
A per primam sebzárás elkerülése PRF használatával
A legtöbb rutinszerűen alkalmazott, hagyományos csontaugmentációs technika esetében elengedhetetlen a graft, illetve az alkalmazott barrierek felett a teljes sebzárás. Amennyiben az ilyen jellegű csontpótlást a fog eltávolításával egy időben végezzük, szükséges a fog helyének megfelelő, anatómiai ínyhiány pótlásának megoldása. Erre lágyrészátültetéssel (FGG, CTG technikák) vagy az ínylebeny nyújtásával van lehetőségünk. Előbbi esetben mindig számítanunk kell pana -
szokra (fájdalom, étkezési nehézség) a vételi helyen, illetve esetenként számolnunk kell donorhelyi morbiditással is. Amennyiben a primer sebzárást lebenynyújtás segítségével végezzük el, az a legtöbb esetben a vesztibulum szűkülését és/vagy a feszes, keratinizált gingiva megszűnését eredményezi és korrekciós műtét elvégzése válhat szükségessé. A PRF membrántechnika alkalmas csontaugmentációs területek fedésére per primam sebzárás nélkül. Az A-PRF, illetve S-PRF membránok 14–21 napon át megfelelő barrierfunkcióval rendelkeznek, valamint a gyógyulási folyamat során átépülve elősegítik a keratinizált ínyszövet kialakulását.
A csontpótlás időzítése
Célunk mindig a meglévő csont megőrzése, ezért törekedni kell arra, hogy a csontaugmentáció a fog eltávolításával egy időben történjen. Ezzel egyrészt csökkentjük a páciens műtéti terhelését (egygyel kevesebb műtét), másrészt megelőzzük az alveoláris csont elvesztését, amelynek visszaépítése gyakran nehézséggel jár.
A laborvizsgálat jelentősége
Az oszteogenetikus folyamatokat a helyi tényezőkön kívül a páciens általános állapota is jelentősen befolyásolja, ezért fontosnak tartjuk preoperatív laboratóriumi vizsgálatok elvégzését (49). A páciensnél fennálló akut, szisztémás gyulladás, fertőzés (emelkedett fehérvérsejt-szám, CRP-érték), anyagcserezavar (magas vércukor-, és koleszterinszint) a sebgyógyulást akadályozhatja, infekcióra hajlamosít. Eltérő laboratóriumi leletek esetében a beteg általános állapotának rendezése után végezhető el az augmentációs beavatkozás. Kiemelt figyelmet érdemel a szérum koleszterin D3-vitamin szintje, amelyeknek nem megfelelő értéke szintén kedvezőtlenül befolyásolhatja a sebgyógyulást és csontregenerációt (50, 51, 52).
Az implantáció időzítése
A PRF Stickly Tooth alveolus prezervációt követően a felső állcsontba 6, az alsó állcsontba 3 hónappal ültetünk implantátumokat (53). Ezzel szemben egyes irodalmi aján -
lások PRF+A-PRF/S-PRF technika alkalmazása esetén az implantátumok korábbi beültetésének lehetőségét írják le (53, 55).
A csapatmunka jelentősége
Az elmúlt évtizedek kutatásai és fejlesztései oly mértékben bővítették szakmai ismereteinket és technológiánkat, hogy napjainkban különlegesen fontossá vált a kollegiális és interdiszciplináris együttműködés. A PRF Sticky Tooth technika dentoalveoláris sebészeti alkalmazása jól példázza mindezt, hiszen a megfelelő gyógyeredmény eléréséhez nélkülözhetetlen a megfelelő előkészítés, kiemelt jelentőségű a sajátfog-őrlemény, a PRF centrifugátum és membránok előírás szerinti elkészítése és az adekvát sebészi technika alkalmazása, amelyek jellemzően túlmutatnak az egy kézben összefogható tevékenység lehetőségein.
Program:
PRF & Osteo-immunology –the latest news
Date: 25th October 2025.
Venue: Courtyard Marriott Hotel
Address: 1088 Budapest, József krt. 5.
• Basics of PRF: concept, content, clinical applications.
• Indications: soft tissue management, bone augmentation, alveolar management
• Latest PRF updates and protocols: A-PRF, S-PRF, i-PRF, Sticky Bone with PomPac and PomSwing
• Relevance of protocols with the low speed centrifugation concept (LSCC)
• Indications and instructions for use : Use of new instruments: PomPac, PomSwing, PomCol.PomPress
• Sticky Bone. Preparation, manipulation.- Bone grafts and PRF.
• Presentation of clinical cases and protocols according to indications.
• Applications of PRF in bone augmentation, sinus lift and immediate loading
• Biological factors for long-term success: Osteo-immunology, Immune supplementation, vitamin D, cholesterol, biomaterials
• The role of tension and pressure in vascularization.
• Causes of PRF failure
• Biological management of soft and hard tissue
• Peri-implantitis and bone loss: physiological approach. Prevention and solutions
Hands-on:
PRF clots & membranes, Sticky Bone with PomPac, PomCol & PomSwing
Attendance fee:
650 € + 27% VAT (including full day, all inclusive catering)
Registration: dental@harmonycom.hu || +36-30-942-7560 || harmonycom.hu
Bank Accounts:
HUF Unicredit Bank Hungary Zrt. 10918001-00000052-82710005
EUR Unicredit Bank Hungary Zrt. IBAN HU20 1091 800100000052-82710043 Swift BACXHUHB
KIZÁRÓLAGOS MAGYARORSZÁGI FORGALMAZÓ
Kónuszos felépítmény kapcsolat
Kisebb mikromozgás
Erősebb és egyenletesebb csatlakozás
Platform switching
Prof. dr. Anton Sculean (Svájc)
Az ínyrecessziók megbízható fedése sokszor kifejezetten nagy kihívást jelent a klinikusok számára.
A tunnel technikák kifejlesztésével ma már olyan eredményeket érhetünk el, amelyekről nem is álmodtunk volna pár évvel korábban. Az alábbi klinikai eseteken keresztül szeretnénk bemutatni a sebészi technikát és az MCAT és LVT-vel (Módosított koronálisan eltolt tunnel – Modied coronally advanced tunnel és laterálisan zárt tunnel – laterally closed tunnel) elérhető eredményeket, legyen szó akár szóló, akár multiplex recesszióról, mind az alsó, mind a felső állcsonton.
Ínyrecessziónak nevezzük a gyökérfelszín szabaddá válását a zománc-cement határtól (cementoenamel junction – CEJ) apikálisan. Lehet izolált vagy generalizált, előfordulhat fiataloknál és időseknél is egyaránt, a szájhigiéniától függetlenül.
Az ínyrecesszió kialakulását számos tényező elősegítheti, mint például csontos dehiszcencia jelenléte, amelyet csak vékony gingiva fed, továbbá ilyen faktor lehet a marginális ínyhez közel tapadó frenulum labiale vagy buccale. Ezek akadályozhatják a sikeres és atraumatikus plakk kontrollt, nehezítve a megfelelő tisztítást, ami miatt könnyen kialakul ínygyulladás vagy gyökércaries és következményes csontés tapadásveszteség. Ezenkívűl emiatt előfordulhat fognyaki érzékenység, illetve esztétikai problémákat is okozhat a pácienseknek.
Ortodonciai kezeléshez is gyakran társulhat ínyrecesszió, ezenkívül a szájban található testékszerek (ajak vagy nyelv) viselésének következményeként is kialakulhat. Az elsődleges javallatok az ínyrecesszió terápiájában főleg esztétikai meg-
fontolásúak, illetve a szájhigiénia javítása, valamint a nyaki érzékenység orvoslása. Szóló vagy multiplex recessziók megbízható, előre látható fedése kifejezetten nagy kihívást jelenthet az orvosnak.
Módosított, koronálisan eltolt tunnel (Modied coronally advanced tunnel – MCAT) és laterálisan zárt tunnel (laterally closed tunnel – LCT)
A tunnel technika variációi közé tartozik a módosított, koronálisan eltolt tunnel (MCAT) és a laterálisan zárt tunnel (LCT). Mindkét eljárásnál mucoperioszteális lebenyt képzünk, az alagút lebenyt koronálisan vagy laterálisan eltoljuk minden-
4. ábra: 3.1-es fog meziális papillája alatti tunnel (1. ábrán szereplő eset). — 5. ábra: 3.1-es fog disztális papillája alatti tunnel (1. ábrán szereplő eset). — 6. ábra: 3.3-as fog meziális papillája alatti tunnel (2. ábrán szereplő eset).
7. ábra: 3.3-as fog disztális papillája alatti tunnel (2. ábrán szereplő eset). 8. ábra: A teljesen mobilizált tunnel lebeny eltolható meziálisan vagy disztálisan, a 3.1-es fogon található recesszió felé, mindenféle feszülés nélkül (1., 4. és 5. ábrákon szereplő eset). — 9. ábra: A hialuronsav alkalmazása a sebgyógyulás elősegítésére (2., 6. és 7. ábrákon szereplő eset).
féle feszülés nélkül, és a graftot vagy lágyszövetpótlót fedjük vele (Sculean, 2018; Sculean és Allen, 2018; Sculean és mtsai., 2014, 2016, 2017).
Klinikai esetek és eredmények alapján az alábbi cikk bemutatja az egyszerű és multiplex ínyrecessziók kezelését mindkét állcsonton (1–3. ábra). Mindkét eljárásnál először letisztítjuk az exponálódott gyökérfelszíneket és gyökérsimítást végzünk, hogy eltávolítsuk a biofilmet és az esetleges fertőzött réteget. Ezt követi egy intraszulkuláris metszés a recesszió területén. A bukkális lágyszövetet (a feszes ínyt és a mozgatható nyálkahártyát) leválasztjuk speciális tunnel késekkel, majd mobilizáljuk a mucogingivális határon túlig (mucoperioszteális preparáció). A papillákat alápreparáljuk és mobilizáljuk, egy úgynevezett tunnel lebenyt képzünk (4–8. ábra). A zománc-cement határig, illetve attól koronálisabban, vagy a recessziótól laterálisan történő tunnel lebeny mobilizálásának érdekében, a frenulum tapadást belülről leválasztjuk szike vagy egy éles kürett segítségével. Mély recesszió esetén, regeneratív anyagokat mint zománc-mátrix proteint vagy hialuronsavat alkalmazhatunk a gyökérfelszínen, hogy segítsük a parodontális sebgyógyulást és regenerációt (9. ábra) (Sculean és Allen, 2018; Sculean és mtsai., 2014, 2016; Guldener és mtsai., 2020; Lanzrein és mtsai., 2020). A maximális stabilizáláshoz egy szubepitheliális kötőszöveti graftot vagy lágyszövetpótló anyagot helyezünk az alagútba, egyszerű csomós vagy matrac öltések segítségével, és rögzítjük a megfelelő fog zománc-cement határának szintjében cirkumdentális öltésekkel (10–12. ábra)
Végül a tunnel lebenyt visszahelyezzük koronálisabban vagy laterálisabban, és stabilizáljuk a fogak felett, vagy a korábban összesínezett kontaktpontoknál felfüggesztett varratok segítségével (13-15. ábra)
A mucoperioszteális preparációnak köszönhetően a lebeny perforációjának vagy nekroziásnak kockázata minimális, ilyen jellegű komplikáció általában a nagyon vékony lágyszövettel rendelkező pácienseknél fordul elő. A vertikális és papilláris metszések elkerülése biztosítja a mucoperiosztális lebeny megfelelő vérellátását. A tunnel feszülésmentes koronális vagy laterális irányú eltolása lehetővé teszi a lágyszöveti graft teljes vagy részleges fedését, javítva ezáltal a vérellátását és a túlélés esélyét.
Az LCT az MCAT egy variációja és elsősorban a mandibula mély, izolált RT1-es és RT2-es ínyrecesszióinak kezelésére javasolt, ahol a lebeny koronális áthelyezése kifejezetten nehéz a labiális ligamentumokból és izmokból eredő húzóerők miatt (Sculean és Allen, 2018). Az LCT preparációja megegyezik az MCAT-éval, azzal a különbséggel, hogy a sebszéleket két oldalról zárjuk egyszerű csomós öltések és dupla hurok öltések segítségével, hogy fedjük a graftot és a recessziót (4.,5. és 8. ábra). Szóló és többszörös Miller osztályozás szerint I-es, II-es és III-as ínyrecesszióknál (jelen jelölés szerint: RT1-es és RT2-es recessziók) átlagosan 83–
10. ábra: A graftot bevezettük az alagútba és a 3.1-es fog felett rögzítettük cirkumdentális öltésekkel (1., 4., 5. és 8. ábrákon szereplő eset). — 11. ábra: A megfelelő hosszúságú és szélességű szubepitheliális kötőszöveti graft megfelelő megtámasztást ad a papilláknak és megerősíti a bukkális lágyszövetet (2., 6., 7. és 9. ábrákon szereplő eset). — 12. ábra: A graftot bevezettük az alagútba és a 32,33 és 44-es fogak felett rögzítettük cirkumdentális öltésekkel (2., 6., 7., 9. és 11. ábrákon szereplő eset).
13. ábra: A 3.1-es fognál lévő recesszió és graft feletti feszülésmentes laterális zárás (1., 4., 5., 8. és 10. ábrákon szereplő eset). 14. ábra: Feszülésmentes recesszió fedés grafttal a 3.2, 3.3 és 4.4-es fogaknál, cirkumdentális öltésekkel (2., 6., 7., 9., 11. és 12. ábrákon szereplő eset). — 15. ábra: Feszülésmentes recesszió fedés grafttal a 1.4, 1.4 és 1.5-ös fogaknál, cirkumdentális öltésekkel (2. ábrán szereplő eset).
16. ábra: Egy évvel a kezelés után, egyértelműen látszik a megfelelő gyökérfedés és az optimális színárnyalat, valamint vastagság (1. ábrán látható a kiindulás). — 17. ábra: A 2. ábrán látható ínyrecesszió kezelésének eredménye 1 évvel a műtét után. Kiváló gyökérfedés, optimális színárnyalat és megfelelő vastagság. — 18. ábra: A 3. ábrán látható ínyrecesszió kezelésének eredménye 5 évvel a műtét után. Stabil, teljes gyökérfedést sikerült elérni, mindemellett a gingiva természetes színt mutat.
96%-os fedés érhető el, amennyiben MCAT és LCT eljárásokat szupepitheliális kötőszöveti grafttal kombináljuk (16–18. ábra). Friss publikációk, 5–10 éves utánkövetés során, stabil eredményekről számolnak be (18. ábra). Azt is bebizonyították, hogy MCAT segítségével kiváló eredmények érhetőek el olyan esetekben is, amikor a fogakon koronák találhatóak. A kezeléssel átlagosan 92,62%-os gyökérfedést sikerült elérni egy évvel a műtét után (Sculean és mtsai., 2017).
Összefoglalásképpen: mind az MCAT, mind az LCT jó vaszkularizációt biztosít a koronálisan vagy laterálisan eltolt
lebenynek és az alatta lévő graftnak, ezáltal elősegítve a sebgyógyulást és a műtét kimenetelét. A vertikális metszések elkerülésével javul a műtéti terület véráramlása, ami hegmentes gyógyulást és optimális esztétikai eredményt von maga után. Ennek ellenére vertikális segédmetszés nélkül is teljes, feszülésmentes mobilizáció és a recesszió teljes fedése érhető el az MCAT segítségével. Hosszú távú eredményt legjobban szubepitheliális kötőszöveti graft vagy kollagénalapú lágyszövetpótló anyag alkalmazásávál érhetünk el. Ez megerősíti a lebenyt és védi az alatta lévő coagulumot (Cosgarea és mtsai., 2020; Sculean, 2018).
Forrás: EDI Journal 2022/1.
Dr. Ernest Lucas Taulé (Spanyolország)
Egy folyamatban lévő prospektív vizsgálat 3 éves nyomon követése
A foghúzás után a gerinc horizontális és vertikális csökkenésével kell számolni. Az azonnali implantátum-beültetés és az ideiglenes fogpótlás olyan életképes kezelési lehetőség, amely segíthet minimalizálni ezeket a változásokat. Jobban megfelelhet a páciens kezeléssel kapcsolatos elvárásainak, csökkentve az időt és az invazivitást. Ennek a prospektív vizsgálatnak a célja, az esztétikai zónában behelyezett egyszeri azonnali implantátumokat körülvevő kemény- és lágyszövetek stabilitásának értékelése, valamint a páciensek elégedettségének felmérése. Összesen 16 implantátumot helyeztek be, és 15-öt tudtak értékelni a 3 éves utánkövetéskor. Ezen időszak után radiográfiai és klinikai adatokat rögzítettünk. A 3 év elteltével némi marginális csontszintcsökkenést észleltek, de ez statisztikailag nem volt szignifikáns. A lágyrészek 3 ponton mérve stabilitást és még jobb pozíciókat mutattak a végleges restauráció beültetésének napjához képest. A betegek elégedettségét a módosított Oral Health Impact Profile (OHIP–14) kérdőív segítségével elemezték, és magas elégedettségi értékekről számoltak be. Egy precíz sebészeti és protetikai protokoll végrehajtása, amikor azonnali implantátumot helyeznek friss extrakciós üregbe, valószínűleg magas túlélési és sikerességi arányokat eredményez, kiváló pácienselégedettséggel párosulva. A 3 éves utánkövetés után kedvező eredmények mutatkoztak. (Int J Periodontics Restorative Dent 2020;40:731-739. doi: 10.11607/prd.4411).
A fogvesztés után az alveoláris csont fiziológiás összeomlása elkerülhetetlen. Ez az összeomlás homorúságot eredményez a gerinc kontúrjának bukkális részén, ami nehézségekhez vezethet az implantátumok ideális elhelyezésében, vagy esztétikai problémákat okoz, ha az implantátumokat az elülső területre helyezik. A gerinc előre kiszámíthatóbb átalakítása érdekében, késleltetett implantátum-beültetési módszereket javasoltak, amelyek alapvetően a foghúzástól az implantátum behelyezéséhez szükséges újrabeültetési eljárásig tartó 6–8 hetes gyógyulási időszakot foglalnak magukban. Az ilyen megközelítés célja, hogy elegendő lágyszöveti érést érjenek el ahhoz, hogy az implantátumot körülvevő beültetett területet első alkalommal le lehessen fedni. A foghúzás utáni azonnali kezelési protokollokat dokumentálták azzal a céllal, hogy minimalizálják a térfogatvesztés mennyiségét és a kezelési időt. A szakirodalomban a socket preservation vagy a regeneratív eljárásokkal kombinált azonnali implan-
tációs terápia olyan klinikai eljárásokként szerepel, amelyekkel ez a cél elérhető. Foghúzás és helyreállítás esetén a páciensek elvárása az, hogy a legrövidebb, kevésbé invazív és a legolcsóbb kezelést alkalmazzuk, úgy tűnik, az azonnali implantációs technika megfelel ezeknek az elvárásoknak. A betegközpontú eredményeket, mint például a kapott kezeléssel való elégedettséget, a klinikusoknak fontos figyelembe venniük, és olyan terápiát kell alkalmazniuk, amelyekkel jobb klinikai eredményeket és a betegek legnagyobb elégedettségét érhetik el. Számos elégedettségi kérdőívet javasoltak, és az Oral Health Impact Profile (OHIP) kérdőívet gyakran dokumentálták. Az OHIP–14 kérdőív adaptációját végezték el, és hogy a beteg számára egyszerűbbé tegyék a kitöltést, az eredeti 49 kérdésből összesen 14-et tettek fel, 4 válaszlehetőséggel.
A tudományos szakirodalomban megjelent eredmények szerint a friss foghúzási üregekbe azonnali implantátumok alkalmazása nagyon eltérő eredményeket hozhat. Az azonnali implantátumok hosszú távú túlélése bizonyítottan kiváló, de vannak aggályok az esztétikai szövődményekkel kapcsolatban, amelyek veszélyeztethetik a kezelés sikerét, mint például az arc ínyszövetek vándorlása. Ennek a folyamatban lévő prospektív vizsgálatnak a célja, hogy egy prospektív, egykaros vizsgálatból származó, azonnali implantátumok 1 és 3 éves követési adatainak összehasonlító értékelését nyújtsa, elemezve a sikerességi arányt, a lágy- és keményszöveti változásokat, valamint a páciensek elégedettségét.
Sebészeti eljárás
Tizenöt beteg 16 egyszeres implantátumot kapott, amelyeket közvetlenül a foghúzás után helyeztek be a maxilla esztétikai területére (második premoláris a második premolárishoz). A következő kizárási kritériumokat alkalmaztuk:
– 20 és 75 év közötti egészséges alanyok
– Páciensek, akiknek az elülső régióban (15. fogtól a 25. fogig; FDI pozíció) egyetlen foguk van
– Ép foghüvelyfalak foghúzás után
– Dehiszcencia hiánya a bukkális csont legkoronálisabb 4 mm-ében
1. ábra: (a) Kiindulási helyzet. (b) Atraumatikus foghúzás és lebeny nélküli implantátumbeültetés és (c) bukkális rés kitöltése alloplasztikus anyaggal. (d) Azonnali ideiglenes rögzítés adhezív protézissel. (e és f) Röntgenfelvételek az üreg lezárásáról. (g) Lágyszöveti gyógyulás 10 hét után.
– Közepesen vastag lágyszöveti biotípussal rendelkező betegek
– Elegendő apikális csont az implantátum megfelelő rögzítéséhez/elsődleges stabilitásához (4-5 mm).
Az alábbi jellemzőkkel rendelkező betegeket kizárták a vizsgálatból:
– Akut fertőzés jelenléte
– Sérült bukkális csontfal foghúzás után
– Lehetetlen megfelelő implantátummal elsődleges stabilitást elérni a natív csontban
– Az implantátum behelyezéséhez vagy a csont regenerálásához szükséges lebeny hiánya
– Napi 10 cigarettánál többet szív el egy nap
– Daganatellenes kemoterápia vagy sugárkezelés az előző évben
– Hajlandóság hiánya a beleegyező nyilatkozat aláírására.
A fogakat atraumatikusan húzták ki elevátorok és csipeszek segítségével. Az alveoláris falak a foghúzás előtt és után is épek voltak. A Bone Level Roxolid SLActive implantátumokat (Institut Straumann) metszés nélkül helyezték be. Az implantátum felszíne és a bukkális alveoláris csont belső fala között keletkezett rést alloplasztikus anyaggal (Vivoss, Straumann) töltöttük ki (1. a–c ábra). Membránokat vagy varratokat nem használtunk.
Protetikai eljárás
A műtét napján ideiglenes, rögzített, ragasztott fogpótlást vagy kivehető ideiglenes fogpótlást helyeztek be. Az ideiglenes protézis típusát az okkluzális viszonyok alapján határozták meg. Az ideiglenes fogpótlás kritikus kontúrjának kialakításakor nagy körültekintéssel jártak el, és megpróbálták lemásolni a kihúzott fog kontúrját. Ezzel sikerült elérni a fogágy optimális lezárását, elkerülve a graftanyag szenynyeződését vagy a szájüregbe történő vándorlását (1. d–f ábra). Mivel nem használtunk kötőszöveti graftot, továbbá a Cardaropoli és munkatársai által a foghúzási helyeken történő szöveti éréssel kapcsolatban megállapítottak alapján, az implantátumokat a 6–10 hetes gyógyulási időszakot követően feltártuk, és lenyomatokat vettünk a végleges koronához (1. g ábra). Egyedi cirkónium-dioxid felépítményt (CARES cirkónium-dioxid felépítmény, Institut Straumann) készítettek. Amikor a csavar kiemelkedése a bukkális vagy az inciszális felszínen volt, a testre szabott felépítményt az implantátumhoz csavarozták, és a teljes kerámiakoronát retrakciós zsinór segítségével cementálták be, hogy elkerüljék a szubgingivalis cementextrúziót (2. ábra). Azokban az esetekben, amikor a csavar kilépése az okkluzális vagy palatális felületen volt, egy okkluzális lyukkal ellátott teljes kerámiakoronát cementáltak extraorálisan RelyX Unicemmel (3M ESPE), és mindkét elemet együtt csavarozták az implantátumhoz (3. ábra).
2. ábra: (a) Végleges koronacementálás és (b) kezdeti helyzet a végleges cementálás után. (c) Arcfelvétel a 3 éves után-követéskor.
den egyes helyről három függőleges mérést végeztünk az okk luzális síkból a meziális papillához, a zenithez és a disztális papillához parodontális szondával, és összehasonlítottuk az 1 év múlva (T2) végzett azonos mérésekkel (4. ábra). Ezek a távolságok az implantátummal támogatott restaurációt körülvevő lágyszövetek stabilitását, vagy migrációját írják le a végleges korona behelyezésétől (T1) a 3 éves követésig (T3). Ha a T2 és T3 mérések közötti különbség negatív értéket eredményezett, az a lágyrészek koronális előretörésének felelt meg. A statisztikai szignifikanciát Brunner–Langer- teszt tel értékeltük.
3. ábra: (a) A cirkónium-dioxidból készült egyedi felépítményre cementált definitív teljes kerámiakorona és (b) csavarral rögzítve, a bal alsó állcsonti második premoláris helyén.
4. ábra: Klinikai mérés milliméterben a (a) meziális papillánál, (b) zenitnél és (c) disztális papillánál.
Utóértékelés
A betegeket a végleges korona behelyezését követően évente egyszer visszahívták kontrollvizsgálatokra, amelyek során klinikai és röntgenfelvételeket végeztek.
Klinikai értékelés
A plakkindexet és a szondázási vérzést rögzítettük. Az implantátum beültetése után 3 évvel (T3) (2. c ábra) min -
Röntgenvizsgálat
A marginális csontszint (MBL) változását az 1 és 3 éves standardizált periapikális digitális röntgenfelvételek (Kodak RVG 6200, Carestream Dental) összehasonlításával értékeltük. Az MBL-t az implantátum válla és az első látható csontimplantátum érintkezés közötti távolságnak tekintettük. A méréseket a meziális és a disztális oldalon végeztük 150%-os képnagyítás után egy képelemző program (ImageJ, 1.51-es
5. ábra: Periapikális röntgenfelvétel (a) standard nagyításban és (b) ×150-es nagyításban a marginális csontszint méréséhez.
verzió, National Institutes of Health) segítségével (5. ábra), a Buser és munkatársai által leírtak szerint.
A beteg elégedettségének értékelése
Két héttel a kezelés befejezése után a pácienseket megkérték, hogy töltsék ki az OHIP–14 kérdőívet, hogy mennyire elégedettek a kapott kezeléssel. A kis OHIP–14 szám a betegek nagyfokú elégedettségéhez kapcsolódik. A legrosszabb esetben a pontszám elérheti a maximális 56 pontot.
Leíró elemzés
Egy beteg az 1 éves utánkövetés előtt elhunyt, a 15 beültetett implantátumból 14-et tudtak újraértékelni az 1 és 3 éves utánkövetéskor. Az implantátumok követési ideje 32 hónap és 53 hónap közé tehető, így átlagban 39 hónappal számolhatunk. A 3 év elteltével valamennyi implantátum továbbra is oszteointegrált és működőképes volt, ami 100%-os imp-
lantátumtúlélési arányt jelent. A betegek demográfiai adatait és a kezelés részleteit az 1. táblázat tartalmazza.
Klinikai eredmények
Minden betegnél megfelelő Plaque Index-pontszámot mutattak ki, és a szondázáskor nem volt vérzés. A lágyrészek értékelésénél a három vertikális klinikai mérés összehasonlítása a T2 és T3 időpontban kisebb eltéréseket mutatott. A vertikális lágyrész-remodelling 0,5 mm–1 mm között mozgott (2. táblázat).
A legmagasabb átlagérték a meziális papilla esetében volt, ahol 0,14 ± 0,57 mm (átlag ± SD) lágyrész-migrációt észleltünk (P = .740). Ezen a ponton a lágyrészek -0,29 ± 0,32 mm-t változtak T1 és T2 között (P = .002). Összességében -0,14 ± 0,50 mm lágyrész-gyarapodást figyeltünk meg T1 és T3 között (P = .162). A zenitben a lágyrészek 0,11 ± 0,45 mm-es javulását tapasztaltuk T2 és T3 között (P = .067). T1 és T2 között -0,14 ± 0,36 mm-es változást tapasztaltunk a lágy tis-sue-ban (P = .083). Összességében -0,25 ± 0,58 mm lágyrész-gyarapodás volt megfigyelhető a T1 és a T3 között (P = .01). A disztális papillánál pontosan ugyanezeket az értékeket tapasztaltuk a T2 és a T3 között (0,11 ± 0,45 mm; P = .061). A T1 és T2 között -0,21 ± 0,43 mm különbség volt megfigyelhető (P = .086). Összességében a T1 és T3 között -0,32 ± 0,54 mm lágyrész-gyarapodás volt megfigyelhető (P = 0,010).
Radiográfiai eredmények
A T2 és T3 radiográfiai méréseket a 3. táblázat mutatja. A mesialis oldalon az MBL 1 év után 0,18 ± 0,48 mm, 3 év után pedig 0,35 ± 0,59 mm volt. A disztális oldalon az MBL 1 év után 0,26 ± 0,54 mm, 3 év után pedig 0,40 ± 0,80 mm volt. Az MBL tehát a 3 év alatt nőtt, 0,17 ± 0,53 mm-rel mesialisan (P = .073) és 0,14 ± 0,31 mm-rel distalisan (P = .060), de statisztikailag nem volt szignifikáns.
Table 1 Patient Demographics and Treatment Characteristics
1 60 F NoNo22No3.312Maryland
2 64 M NoNo12No3.312Maryland
3 32 F Yes No14No4.112Maryland
4 49 F Yes No15No4.110Maryland
5 49 F Yes No25No4.112Maryland
71 6 59 M NoNo25No4.112Maryland
7 64 F NoNo11No4.114Maryland
9 64 F NoNo23No4.112Removable
1054 F NoNo25No4.110Maryland
1266 F NoNo25No4.112Maryland
1367 F NoNo15No4.110Removable
1433 F NoNo25No4.114Maryland
1. táblázat: A betegek demográfiai és kezelési jellemzői. MH = kórtörténet; AP = korábbi apikális patológia; PP = ideiglenes protézis; DP = végleges protézis; S = csavarozott; C = cementált. A dohányosok napi < 10 cigarettát fogyasztottak. Az „Idő” oszlop a végleges restauráció beadásának időpontjára vonatkozik.
results were platforms shifted to the the socket.26 Cooper et al24 diameter reported. 55 implants extraction sockets, in diameter. missing in studies et al13 but understand these differences, since to play an appearance of recession.26 used in the or 3.3 mm, always taken the palatal socket. Caneva reducing the and shifting into a more position would inbetween the margin and the interface, conseappearance of
results were platforms shifted to the the socket.26 Cooper et al24 diameter reported. 55 implants extraction sockets, in diameter. missing in studies et al13 but understand these differences, since to play an appearance of recession.26 used in the or 3.3 mm, always taken the palatal socket. Caneva reducing the and shifting into a more position would inbetween the margin and the interface, conseappearance of study, favorable present after
study, favorable present after The MBL valcomparable to the Testori et al28 or same implant
The MBL valcomparable to the Testori et al28 or same implant clinical valtwo periods T1–T2 and investigation, papilla was but after 3 in a better the day of
clinical valtwo periods T1–T2 and investigation, papilla was but after 3 in a better the day of
Table 2 Differences of Measurements in the Mesial Papilla, Gingival Zenith, and Distal Papilla Between T2 and T3 Implant
Table 2 Differences of Measurements in the Mesial Papilla, Gingival Zenith, and Distal Papilla Between T2 and T3
Implant
bukkális csont közötti rés kitöltése bioműanyaggal, valamint az ideiglenesség. Ezeket a szempontokat figyelembe kell venni a gerinc összeomlásának minimalizálása érdekében, amint azt Tarnow és munkatársai, illetve Degidi és munkatársai nemrégiben végzett tanulmányai is bizonyították. Fontos, hogy a rést csontpótló bioanyaggal töltsük ki, és a kihúzott fog kimeneti profilját követően azonnali ideiglenes koronával zárjuk le a tok bejáratát. Jelen tanulmányban egy ideiglenes fogat (tapadó vagy kivehető) gondosan adaptáltunk a tok lezárására, amely tartalmazza az alloplasztikus bioanyagot, továbbá megőrzi a lágyszöveti architektúrát. Bár a rövid és középtávú implantátum-beültetést vizsgáló tanulmányok többnyire sikerességről számolnak be, a hoszszú távú tanulmányok eltérő eredményeket mutatnak.
T2 = 1-year follow-up; T3 = 3-year follow-up; M = mesial papilla; GZ = gingival zenith; D = distal papilla. Differences were calculated by subtracting T2 measurements from T3 measurements.
Average 0.14 ± 0.57–0.11± 0.45–0.11± 0.45
T2 = 1-year follow-up; T3 = 3-year follow-up; M = mesial papilla; GZ = gingival zenith; D = distal papilla. Differences were calculated by subtracting T2 measurements from T3 measurements.
2. táblázat: A meziális papilla, gingivális zenit és a disztális papilla méréseinek különbségei a T2 és a T3 között. T2 = 1 éves követés; T3 = 3 éves követés; M = meziális papilla; GZ = gingivális zenit; D = disztális papilla. A különbségeket a T2 mérések és a T3 mérések kivonásával számították ki.
Table 3 Radiographic Measurements on Standardized Periapical Radiographs at Mesial and Distal Aspects at T2 and T3 ImplantMT2,
Table 3 Radiographic Measurements on Standardized Periapical Radiographs at Mesial and Distal Aspects at T2 and T3
ImplantMT2, mmDT2, mmMT3, mmDT3, mm
= mesial measurement at T2; DT2 = distal measurement at T2; MT3 = mesial measurement at T3; DT3 = distal measurement at T3.
T2 = 1-year follow-up; T3 = 3-year follow-up; MT2 = mesial measurement at T2; DT2 = distal measurement at T2; MT3 = mesial measurement at T3; DT3 = distal measurement at T3.
3. táblázat: Radiográfiai mérések a standardizált periapikális röntgenfelvételeken a meziális és a disztális oldalon T2 és T3 időpontban. T2 = 1 éves követés; T3 = 3 éves követés; MT2 = meziális mérés T2-ben; DT2 = disztális mérés T2-ben; MT3 = meziális mérés T3-ban; DT3 = disztális mérés T3-ban.
A betegek elégedettségi eredményei
Minden beteg kitöltötte az OHIP–14 kérdőívet. A 6. ábra összefoglalja a betegek válaszait. A betegek 73,3%-a említette a táplálékbevitellel kapcsolatos nehézségeket, ugyancsak gyakori volt a beszéd közben a kiejtés bizonyos mértékű megváltozása (46,7%), az aggodalom (26,7%) vagy az idegesség (33,3%).
Humán szövettani vizsgálatok arról számoltak be, hogy a friss foghúzási üregekbe ültetett implantátumok osszeointegrációja hasonló a gyógyult gerincekbe ültetett implantátumokéhoz. Az azonnali implantációs protokollok egyik célja a foghúzást követő dimenzióváltozások minimalizálása, továbbá ennek következtében a stabil periimplantáris kemény- és lágyszöveti architektúra elérése. Az ilyen protokollok különböző szempontokat vesznek figyelembe, mint például a helyes 3D implantátumpozíció, az implantátum geometriája, a bukkális csont jelenléte, az implantátumnyak és a
A hasonló azonnali implantációs protokollok eredményei közötti különbségek további vizsgálatot igényelnek. A korábban említett tanulmányok némelyikéből hiányzik például a felhasznált implantátumok geometriájának és méreteinek leírása. Evans és Chen publikációjában a sikertelen eredmények a szélesebb implantátumplatformokkal (4,8 mm), és a tok bukkális rekeszébe eltolt implantátumokkal voltak összefüggésben. Csak Cooper és munkatársai tanulmányában közölték az implantátum átmérőjét. Értékelésükben a friss extrakciós üregekbe ültetett 55 implantátum közül 25 implantátum átmérője 5 mm volt. Ez az információ hiányzik Cosyn és munkatársai, illetve Kan és munkatársai tanulmányaiból, de hasznos lenne a fent említett különbségek megértéséhez, mivel úgy tűnik, hogy az implantátum átmérője fontos szerepet játszik a kellemetlen arcszöveti recesszió megjelenésében. A jelen tanulmányban használt implantátum-átmérők 4,1 vagy 3,3 mm-esek voltak, illetve mindig nagy gondot fordítottak arra, hogy az implantátumot a tok palatális rekeszébe helyezzék be. Caneva és munkatársai arra a következtetésre jutottak, hogy az implantátum átmérőjének csökkentése, és az implantátum helyzetének palatálisabb vagy lingválisabb pozícióba való áthelyezése mérsékli a távolságot a vestibuláris ínyszegély és az implantátum protézisfelülete között, következésképpen csökkenti az arcbőr recessziójának megjelenését.
Jelen vizsgálatban a 3 éves utánkövetés után kedvező radiológiai eredmények születtek. A kapott MBL-értékek öszszehasonlíthatóak a Testori és munkatársai vagy Buser és munkatársai által ugyanezen implantátumrendszer alkalmazásával közölt értékekkel.
A jelen vizsgálatban a két mért időszakban (T1–T2 és T1–T3 között) kapott klinikai értékek elemzésekor 1 év után a meziális papilla hanyatlása volt kimutatható, 3 év után azonban a papilla a végleges restauráció napjához képest jobb helyzetben volt. A T2–T3 között stabil helyzetet találtunk. A T1–T3 mérések közötti általános különbséget úgy kell értelmezni, hogy a meziális papilla a 3 év alatt megmaradt. A zenitnél és a disztális papillánál kapott eredmények arra utalnak, hogy a végleges restauráció napja és a 3 évvel későbbi időpont között jelentős javulás következett be.
A páciensek elégedettségét illetően kevés kérdőívet publikáltak a fogászat területén, és ezek használata is ritkán fordul elő. Schropp és munkatársai 2003-ban a vizuális analóg skála (VAS) segítségével arra a következtetésre jutottak, hogy az azonnali implantációs kezelésen átesett betegek csoportja szignifikánsan elégedettebb volt, mint a korai implantátum-beültetéssel kezelt betegek. A jelen vizsgálatban használt elégedettségi kérdőív az OHIP–14 volt, amelyet az egyik leggyakrabban használnak, és a VAS-kérdőívvel ösz-
Pronunciation
1. Kiejtés
2. Ízérzékelés
Taste
3. Fájdalom
Pain
4. Étkezés
Eating
5. Aggodalom
Worry
Nervousness
6. Idegesség
7. Étrend
Diet
8. Az étkezés megszakítása
Interruption of meals
9. Pihenés
Relax
10. Szégyenérzet
Shame
11. Ingerlékenység
Irritability
12. Munka
Job
13. Életminőség
Life in general
Inability
14. Alkalmatlanság
6. ábra: Az OHIP–14 kérdésekre adott betegelégedettségi válaszok százalékos megoszlása (összegezve).
szehasonlítva nagyobb standardizáltságot kínál. A jelen tanulmány eredményei alapján a szerzők megerősíthetik, hogy az azonnali implantátumokkal (lebeny nélküli műtéttel és azonnali ideiglenes restaurációval) végzett kezelés magas páciensi elégedettséget eredményez. Az OHIP–14 kérdőív megválaszolása után kapott átlagérték (3,2 a maximális 56ból) a legrosszabb lehetséges eredmény jelzésére szükséges pontok 5,7%-át jelenti, ami a 0%-tól 100%-ig terjedő skálán 94,3%-os általános elégedettségként értelmezhető.
ték. Hosszabb távú eredmények és nagyobb mintanagyság hozzájárulna a vizsgálat eredményeinek megerősítéséhez.
clinical tigator and
Ezek az eredmények hasonlóak az Esposito és munkatársai által megállapítottakhoz, akik VAS-kérdőívet alkalmaztak. Több olyan kérdést azonosítottak, amelyek általában nagyobb gyakorisággal jelentenek terhet a betegek számára: aggodalom vagy idegesség, kisebb mértékben az étrend megváltoztatása és az étkezések megszakítása.
A vizsgálat egyik fő korlátja a kis betegminta. Ezt a vizsgálatot a vizsgálatvezető (A.B.P.) klinikai környezetében végez-
final restoration. Between T2–T3, a stable situation was found. The overall difference between T1–T3 measurements has to be interpreted as maintenance of the mesial papilla during the 3 years. The results obtained at the zenith and the distal papilla suggest that there has been a significant improvement between the day of final restoration and 3
undergoing immediate implant treatment were significantly more satisfied than patients undergoing treatment with early implant placement. The satisfaction questionnaire used in the present study is the OHIP-14. This questionnaire is one of the most frequently used, offering greater standardization in comparison to the VAS questionnaire.9 According
A pontos sebészeti és protetikai protokoll alkalmazása az azonnali implantátumok friss extrakciós üregekbe történő beültetésekor, az esztétikai zónában magas túlélési és sikerességi arányokat, valamint kiváló páciensi elégedettséget eredményezhet.
A 3 éves utánkövetés után kedvező eredmények mutatkoztak. A jobb megértés, a stabil és kiszámítható esztétikai eredmények elérése érdekében az új vizsgálatoknak tartalmazniuk kell az alkalmazott azonnali implantátumok jellemzőivel, az igénybe vett klinikai protokollokkal, és a bukkális csont 3D-s értékelésével kapcsolatos összes információt, egy legalább 5 éves követési időszak után.
tribute this investigation. Conclusions The application gical placing extraction zone may success satisfaction. up, favorable For
Ennek a könyvnek a kiadásával célkitűzésünk volt áttekinteni fogászati implantológiában hagyományosan alkalmazott csontmegmunkáló eljárásokat (kézi eszközök, forgóeszközök), összehasonlítva őket az új (piezo, lézer, mágneses kalapács /magnetic mallet = MM) módszerekkel, valamint bemutatni a csontpótló anyagokat és köztük az újnak számító BoneAlbumint.
Mind a mágneses kalapács, mind a BoneAlbumin a nemzetközi irodalomban is rendkívül újnak számít, egyelőre kevés vagy egyáltalán nincs sokéves tapasztalat, így fontos, hogy az eddigi ismereteket, technikákat, az elért eredményeket kellő kritikával, önkritikával kezeljük, és reálisan próbáljuk helyüket és szerepüket meghatározni a fogászati implantológiában.
Dr. Gáspár Lajos
Könyvem megszületését elsősorban dr. Forrai Judit professzor asszonynak köszönhetem. Az ő inspirálására született meg ez a történeti visszatekintés. 2014 februárjában a Semmelweis Egyetem Népegészségügyi Intézetének a tantermében megalakult a Magyar Orvostörténeti Társaság részeként a Fogászattörténeti Kör. Az alakuló ülésen érdekes előadások hangzottak el, majd azok befejeztével Forrai Judit tanárnő felkért, hogy tudnék-e az őszi program keretében a fogászati implantológia történetéről előadást tartani. Természetesen szívesen elvállaltam. Az orvoslás, a fogorvoslás történeti vonatkozásai mindig is érdekeltek, és a fogorvostan-hallgatóknak az érzéstelenítésről, az implantológiáról szóló előadásaimban állandóan próbáltam történeti vonatkozásokat is beépíteni. Engem elsősorban a gyógyító eljárások fejlődése érdekelt. Mi volt a régi gyógymódok – az akkori ismeretek szerinti – élettani, patológiai vagy akár vallási háttere?
Dr. Divinyi Tamás
A fogászat és különösen az implantológia fejlôdése az elmúlt évtizedekben az érdeklődés középpontjába került. Magyarországon napjainkban évi közel 60 000 darab fogászati implantátumot helyeznek be, ami mintegy évi 12 milliárd forint forgalmat generál az orvosi és fogtechnikai költségekkel együtt.
Az Implant Index című kézikönyv nemcsak a tudományos és szakmai ismeretek jelentős lexikális anyagát összegzi, hanem talán elsőként mutatja be az implantológiai piac jellemző vonásait, gazdasági elemzéseket, múltra, jelenre és jövőre vonatkozó adatokat, fejlődési tendenciákat. Ugyancsak új témának számít az implantációs betegek gondozását bemutató fejezet is. A könyv fejezeteiben először az adott témakör rövid, áttekintő bevezetésére kerül sor, majd ezt követi a lexikális ismeretanyag táblázatokban, majd elsősorban a mindennapi gyakorlatot segítő írások, cikkek következnek.
Dr. Gáspár Lajos és dr. Toldi Ferenc
Az implantológia a fogorvostudomány egyik legintenzívebben változó, fejlődő szakterülete. A foghiányok pótlásának szándéka - valamilyen csontba épített eszköz, anyag segítségével - több évezredes múltra tekint vissza. Az implantációs kísérletek azonban hosszú időn át - a nem megfelelő biológiai, anyagtani stb. feltételek hiánya miatt- többnyire nem jártak sikerrel. A nagy „előrelépést" a 20. század, annak is különösen a második fele hozta meg. Ezekben az évtizedekben számtalan próbálkozásról, kísérletről olvashattak az érdeklődők a hazai és a nemzetközi szakirodalomban egyaránt. A dentális implantológia mára már a fogorvoslás nélkülözhetetlen területe lett. A mindennapi gyakorlatban szükség van az ismeretek permanens bővítésére, frissítésére, hiszen egyre újabb és újabb implantációs rendszerek, fejlesztések, eszközök és eljárások megjelenésével szembesülnek - szinte naponta - a szakemberek.
Dr. Urbán István
A száj és a fogak nemcsak a táplálkozás és az emberi kommunikáció fontos részei, de esztétikai szempontból is jelentős szerepük van. Az egészséges fogak és fogíny egészségünk meghatározó elemei, a hibátlan, derűs mosoly pedig minden egyén kívánsága.
Az íny leggyakoribb gyulladásos megbetegedése a gingvitis vagy fogínygyulladás, mely legtöbbször a rossz szájhigiénia következményeként jön létre. A begyulladt és vérző fogíny a rossz lehelet mellett a betegség első jele. A gingvitist tehát gyógyítani kell, mert különben a gyulladás előrehaladott állapotában a gyulladt íny gócként szerepel, mely gócbetegségeket okozhat.
Az egészséges ember szájában folyamatosan jelen vannak mikroorganizmusok, amelyek szaporodása az íny gyulladásához vezet, és idővel a fogágy többi része is érintett lesz, paradontitis jelentkezhet. A tasakok mélyebbek lesznek, ezért a gyulladás ráterjed a mélyebb paradontális szövetekre is. A fogágygyulladás következtében a fogakat rögzítő szövetek elbomlanak, a betegség pedig átterjedhet az állkapocs csontszövetére is. Ennek együttes következménye, hogy a fog tartószerkezete meggyengül, elbomlik, így a fogak meglazulnak, majd kihullanak.
A hialuronsav a fogágy kötő- szövetének fontos kompo- nense
A hialuronsav a szervezet természetes anyaga és az egészséges fogíny fontos komponense. Alkalmazása a fogászatban: – csökkenti a szájnyálkahártya-irritációt
– megvéd a fertőzésektől
– felgyorsítja a sebgyógyulást és szövetregenerációt
– csökkenti a fogínyvérzést, a foggyulladást és a duzzanatot
A kutatások kimutatják, hogy a hialuronsav fogászati alkalmazása jelentős mértékben hozzájárul az ínybetegségek megakadályozásában és gyógyításában.
Ínybetegségek megelőzése és gyógyítása hialuronsavval
A gyógyszertárakban és speciális üzletekben különböző formákban és kiszerelésben már 3 éve kapható a Gengigel, ami az egyedüli hialuronsav-alapú készítmény.
A termékcsalád használata egyszerű, gyermekek, terhes nők és cukorbetegek egyaránt használhatják. A hialuronsav tartalma miatt hatékony megoldás az alábbiakra:
– ínyvérzés
– gingivitis (fogínygyulladás)
– parodontitis (fogágybetegség)
– megsértett íny (sebészeti beavatkozás, foghúzás, fogpótlás után)
– korona, híd, fogprotézisek miatt irritált szájnyálkahártya
Ezen tulajdonságai alapján bátran állíthatjuk, hogy a Gengigel az egészséges fogíny receptje.
(X)
Forrás: Medis sajtóanyag
Hialuronsav
gél/szájöblögető oldat/szájspray/baby gél
nagyi protézis által irritált íny, fogágygyulladás
anyu ínyvérzés és afták
csillapítja a vérzést elősegíti a sebgyógyulást a szájüregben elősegíti a szövetregenerációt csökkenti a duzzanatokat védi a szájnyálkahártyát a fertőzésektől
jani sérült íny
misike a fogzás időszakában
Viz Dental Implant Kft. 1052 Bp., Váci utca 23. 1. em. 1/a Tel.:/fax: 06-1-318-4939, E-mail: office@vizdental.hu, www.vizdental.hu
SGS International Ltd. European Logistic Center 1047 Budapest, Károlyi István u. 1–3.
Tel.: +36 1 328 0427
Fax: +36 1 348 0428
E-mail: info@sgs-dental.com www.sgs-dental.com
ai_hird_47x69.indd
Implant Solution
Tel.: 06-20-326-0579
e-mail: info@implantsolution.hu Web: www.cowellmedi.hu
Dent-East Kft. 1112 Budapest, Rétkerülő út 51 www.dent-east.com • mail@dent-east.com
klinikai tapasztalat és tudományos háttér. Folyamatos fejlesztés 16 éve. A LEGINNOVATÍVABB, PIACVEZETŐ
Kompressziós és bikortikális egyfázisú implantátumok választhatóan multiunit fejjel. Csavarozható stégekhez, overdenture felépítményekhez. Azonnali implantáció és azonnali terhelés meghatározott szakmai protokoll szerint. Folyamatos, többlépcsős kurzusok, praxistréning, felhasználótalálkozók. ISO, CE, nemzetközi klinikai tapasztalat és tudományos háttér. Folyamatos fejlesztés 16 éve.
CS 3700 CAD/CAM a piacvezető oralkamera Szkennelés kompromisszum nélkül Kompressziós
Bővebb felvilágosítás és
web: www.sofortimplant.com