e-Journal - Lézer 2023

Page 1

E-JOURNAL LÉZER A FOGÁSZATBAN

A FOGÁSZAT INFORMÁCIÓS MAGAZINJA

Tanos Ervin fizikus olyan unikális lágylézer-készülékeket talált ki, amelyek megkönnyítik a fogorvosok munkáját és a páciensek életét is

Szoftlézerek a klinikai gyakorlatban

Parodontális megbetegedések kezelése a modern technológiák együttes alkalmazásában rejlő szinergista hatások segítségével

Innovatív endodontia a SWEEPS technológiával

VI.
2023.
évfolyam 8. szám
www.dental.hu

VILÁGÁBAN!

A 10 éves Alpha Implant Kft. a hagyományos munkafolyamatok mellett a digitális workflow minden lépésére megoldást kínál. A digitális technika fejlődése a fogászati piacon is egyre nagyobb teret hódít. Ebben nyújt

segítséget a 6 lépésből álló Alpha Digital Workflow, amely az intraorál scanneléstől a kész fogmű behelyezéséig terjed. Ne zárja magát keretek közé, lépjen az Alpha Implant Kft.-vel a Digitális Szabadság Világába!

ÜDVÖZÖLJÜK
IMPLANTÁTUM IRÁNYÍTOTT SEBÉSZET
A DIGITÁLIS SZABADSÁG
SCANNER CIRKON
PROTETIKAI FELÉPÍTMÉNYEK +36 1 353 9090 | info@alphaimplant.hu | www.alphaimplant.hu
INTRAORAL
TÖMB
3D NYOMTATÓ REGIONÁLIS KÉPVISELŐ:

Tisztelt Olvasó!

2023-ra a fogászati szektor – reményeink szerint – fel tudja dolgozni a Covid-19 okozta nehézségeket, a háború mellett elszabaduló inflációt, és már tervezi az idei év fejlődési lehetőségeit. Mindanynyian abban bízunk, hogy időben alkalmazkodni tudunk majd a változásokhoz, és stabilan tudjuk vezetni a vállalkozásinkat!

A tavalyi év sokunk életében hozott különböző nehézségeket, mégis elmondhatjuk, hogy mindenképp jobb volt, mind a 2020-as és a 2021-es esztendő, amikor a létbizonytalanság, a járványtól való félelem uralta a napjainkat. Az idegenforgalom szépen megindult, de a korábbi számok, a vendégéjszakák még nem érik el a 2019-es év adatait. A nagy rendelők már próbálnak teljes kapacitással üzemelni, a fogtechnikai laborokban is visszatért a folyamatosság, a fogászati kereskedők jelentős része pedig jobb évet zárt 2022-ben, mint korábban.

A fogászati rendelők és fogtechnikai laborok az elmúlt 2-3 évben főleg a fejlesztéseket állították előtérbe, amelyhez számos pályázat és egyéb forrás is kedvező konstrukciókat kínált. 2023-ban – tudomásunk szerint – is lesznek új pályázati források, melyekről a kereskedelmi vállalatok részletesebb információkat tudnak adni. Az új források bevezetése idén már bizonyosan ismét növekedési spirálba helyezi majd ezt a szektort!

Az infláció elérte a fogászati ágazatot is, a vállalkozások az euro változásától, gyengülésétől függően azzal találkoznak, hogy az árak – a mindennapi élet mellett – itt is jelentősen és folyamatos változnak, emelkednek. A fogászati rendelők is kénytelenek az áraikat emelni, egyre több rendelő, ún. „piaci alapú” árképzést vezet be. A folyamat kimenetelét még nem lehet pontosan látni, a munkaerő fluktuációja, az Európai Unió áraihoz képest alacsony magyar fogászati beavatkozások értéke - jelenleg még nem érte el a drágulás csúcspontját. Az elmúlt időszakban számos újság, cikk foglalkozott a fogászati szektorban található extra drágulási folyamattal. Ez egyelőre - a hazai rendelőkben - még nem mutatott jelentős problémát, új hívószavakkal, sok marketing munkával, reklámmal most a magyar lakosságot kell határozottabban a rendelőkbe invitálni!

Idén már 23. éve nagy energiával szervezzük, és sok munkával készülünk az őszi Dental World Nemzetkö-

zi Kongresszus és Szakkiállítás sikeres lebonyolítására, melyen reméljük, hogy az egész fogászati szakma képviselteti majd magát! Nemzetközi szinten is ismert/elismert előadók, gyakorlat-orientált képzések, továbbá sok új élmény is várja majd a látogatókat, az érdeklődőket!

A kiadó bizakodva tekint a jövőbe, a megújult tartalmaink kapcsán sok pozitív visszajelzést kapunk, melyeket nagyon köszönünk! Az elmúlt években - a nehézségek ellenére is - növelni tudtuk a kiadványaink, a magazinjaink számát, nem csökkentve azok tartalmi minőségét. 2020 óta a tematikus e-Journalok is folyamatosan megjelennek, melyek egyfajta online könyvtárként is szolgálnak az olvasóinknak. A dental. hu oldalon díjmentesen elérhetőek a korábbi tematikus online lapszámaink is.

A mostani kiadványunkban általános fogorvosi eljárások mellett a lézer témakörével foglalkozunk.

Jó olvasást kívánok!

Laczkó Tamás, felelős kiadó

3 VI. ÉVFOLYAM – 2023. 8. SZÁM

E-Journal VI. évfolyam, 2023. 8. szám

Kiadja: DP Hungary Kft.

1012 Budapest, Kuny Domokos u. 9.

Felelős kiadó: Laczkó Tamás

Főszerkesztő: Dr. Gáspár Lajos

Előkészítés:

DP Hungary Kft., Sárközi András

e-mail: grafika@dental.hu

Információ, hirdetésfelvétel:

Bárdos Veronika, telefon: 06-30-472-0030, 06-1-793-1874

Az újság e-mail címe: info@dental.hu

Az újság internetcíme: www.dental.hu

Terjesztés: E-mail hírlevél formájában.

A tudományos közleményeket a szerkesztőség lektoroknak adja át véleményezésre. Közlés csak egyetértő lektori vélemény, illetve a javasolt módosítások elvégzését követően lehetséges.

A cikkek szerzői vállalják, hogy az általuk elküldött írás saját forrásból származik, illetve a felhasznált anyagokat (publikációkat, illusztrációkat, képeket stb.) mindenkor pontosan feltüntetik. Írásaiknak jogi és egyéb adatvédelmi kérdéseiben felelősséget vállalnak.

A német nyelvű szakmai cikkeink magyar fordítását az Oemus Media AG Kiadó engedélyével szerkesztettük lapunkba. A fel nem használt kéziratokat, fotókat nem őrizzük meg, és nem küldjük vissza.

A hirdetések tartalmáért nem vállalunk felelősséget. A gyártó, illetve forgalmazó cégek kérésére közzétett cikkeket keretbe foglalva közöljük és (x)-szel jelöljük, azok szakmai tartalmáért a szerkesztőbizottság nem vállal felelősséget.

4 Tartalom LÉZER A FOGÁSZATBAN Tanos Ervin fizikus olyan unikális lágylézer-készülékeket talált ki, amelyek megkönnyítik a fogorvosok munkáját és a páciensek életét is 8 Parodontális megbetegedések kezelése a modern technológiák együttes alkalmazásában rejlő szinergista hatások segítségével 16 Egy dilacerált gyökérrel rendelkező impaktálódott felső nagymetszőfog lézeres terápiával kiegészített orthodonciai kezelése 26 Innovatív endodontia a SWEEPS technológiával 34 Fotobiomoduláció 970 nm hullámhosszú lézerrel 44 Fogászati sebészeti dióda- lézer baktericid hatása 50 Soft-lézer terápiás eljárások helye, szerepe, evidenciái és új eszközei a fogászatban, szájsebészetben, implantológiában és az APDT kezelésekben 58 Okostelefonnal vezérelt, új generációs, nagy teljesítményű dióda fogászati lézer alkalmazása az implantológiában 68 Szoftlézerek a klinikai gyakorlatban 74 Erős fogak és egészséges száj – meggyőző mosoly 88

ADENTALPRESSTEMATIKUSKIADVÁNYA

Nyomtatott magazinok

2022 / III.ÉVFOLYAM–ÁR:2500FT

DIGITÁLIS FOGÁSZAT

pot az orvoskamara kifejezésével élve: „irányítási-igazodási válság” –, amiben az egészségügy járvány eleje óta őrlődött két tárca között. Igaz, sokan csalódtak, hogy az új kormányban sem lesz egészségügyi minisztérium. Őket friss ágazati egyik első megszólalásakor azzal vigasztalta, hogy az egészségügy érdekérvényesítő képességét nem az önálló minisztérium erősíti, hanem a mi

niszter személye.

bilitás érzetét erősítheti, mivel

Tanulmányozd először az elméletet, aztán jöjjön a gyakorlat, mely belőle származik

„A helyreállító fogászat lett a szenvedélyem és a mindennapi munkám”

Hagyományos teljes fogsor hatékony átalakítása

Teljes ívű rehabilitáció primer vázra ragasztott lítium-diszilikát szekunder koronákkal

ESETISMERTETÉS ESETISMERTETÉS
PORTRÉ
INTERJÚ
Katona József hogy túl nagy változások nem vár-demi fejleményt azonban már tárca (EMMI) felszámolásával azniszter portfóliójába került. Ezzel megszűnhetett az az áldatlan álla-
-
-
őt „igen közelről”, az Országos Kórházi Főigazgatóság (OKFŐ) főigazgató-helyettesi székéből vette magakozásakor pedig azt hangsúlyozta: egészségügyben. Az első nagy léciklusban, most finomhangolásjövő szereposztásáról is: stratégioperatív végrehajtás az országos utóbbi poszton Jenei Zoltánnal indul óta tölti be hivatalt. Bemutatkozásakor azt jelezte az államtitkár: nyár közepéig elkészítik „stratégiai anyagaikat”, csak olyan megoldási javaslat kerülhet kormány elé, amit támogatnak szakmai szervezetek is. Így minden érdekelt reményekkel telve indulhatott nyaralni, bízva abban: számára is gyümölcsözően alakul majd az ágazat sorsa. A Magyar Orvosi Kamara (MOK) azonban semmit sem bízott a véletlenre. Amint felállt a kormány, egy 8 oldalas levélben részletezték belügyminiszter számára, hogy miben problémáit. Látleletükben egyebekutak szétzilálódtak, várakozási idők ellátások közel elérhetetlenné váltak,berhiány. Összességében úgy látják, hosszú, sem rövid távon nem tartszorgalmazták ajánlották hozzá a helyzet javítására egy, a 2011-es részletességű programot alkossanak. Az ellátási problémák nagyságának érzékeltetésére Kiss Zsolt Nemzeti Egészségbiztosítási Alapkezelő (NEAK) főigazgatója szolgált egészen meghökkentő adatokkal június elején. E szerint idén, az első negyedévben a kórházak közel negyedével, szakrendelők ötödével kevesebb beteget láttak el, mint a járvány előtti utolsó év megfelelő időszakában. A krónikus osztályok teljesítménye pedig korábbinak Mindez arra utal, hogy sok páciens be sem jut az ellátórendszerbe, kórházszövetség kongresszusának ma 19-31 százalékkal kapnak több indokolna. 3. oldal TUDOMÁNY ÉS KUTATÁS A fogászati implantológiát évtizedeken elérése vezérelte. kifejezés létrejöttét P. Branemarktól eredeztetik, aki elsőként írta le vitális csontszövet és vele kapcsolatba kerülő titániumból készült eszközök között megfigyelhető... GYAKORLÓ FOGORVOS AJÁNLJA Egy fogpótlás készítéséhez a fogorvos felpuhított viaszba haraptatja pácienst. harapás alapján készített fogpótlás nem csak fogak, a fogpótlás... IRÁNYVONALAK, ALKALMAZÁSOK A Cerec Accept programjának erőteljes szegmense status quo megvitatása. Mindannyian átéltük már, mindannyian éreztük már otthonosan magunkat benne. Velünk nyaralt a remény Új tanulmány szerint a nanorészecskék használata hatékonyabb módszer lehet a fogfehérítésre Anisha Hall Hoppe, Dental Tribune International A dél-koreai Sungkyunkwan Egyebizonyos típusú nanorészecskék lehetnek következő élenjáró megazért nem bíztak bennük, mert azkéről bebizonyosodott, hogy nem a fogfehérítést, és emellett antiremineralizációs tulajdonságokkalben alkalmazzák fogászatban, beleértve fogpótlást, helyreállító fogászatot és parodontológiát. A jelenleg klinikailag használt fogfehérítő szerek, mint például karbamid-peroxid és a hidrogén-peroxid, szabad gyökök keletkezése miatt potenciálisan kóros károsodást okozhatnak. Az áttekintés azt sugallja, hogy a nanorészecskék nemcsak akkor hasznosak, ha fehérítő termékekhez abrázió céljából adják őket, hanem fehérítőszerként alkalmazva még jobban működhetnek, mint meglévő termékek, mivel képesek elősegíteni remineralizációt, oxigénfajokat szabadítanak fel. A keletkező reaktív oxigénfajok oxid és az arany nanorészecskék nanorészecskék viszont hidroxiláttekintés beszámolt szerint hidrogén-perhatást fejtet ki, amikor arany nanorészecskéket használtak, valamint egy másik vizsgálatról, amely kimutatta, hogy az aranylata nem okozott biológiai problémákat vizsgált állatokban. A felülvizsgálat szerzői szerint szükség annak ellenőrzésére, hogy ezek nanorészecskék potenciálisan jelenthetnek-e toxicitási kockáA hosszú hullámhosszú fénnyel amelyről beszámoltak, azt sugallsza szén kompozitja jobb fehérítésiláltak nyilvánvaló toxicitást. Egy hanm-es diódalézerrel aktiválva egy amely titán-dioxid nanorészecskéket tartalmazott, ugyanolyan mértékű fehérítést biztosított, mint egy 35%-os hidrogén-peroxid-oldat. A csoport beszámolt hidroxiapatittal kapcsolatos kutatásról is, amelyről ismert, hogy fogak szilárdságát növeli azáltal, hogy apatitot ad demineralizált zománchoz. Az egyik tanulmány megállapította, hogy hidroxiapatit nanorészecskék fogkrém formájában javították fogak színét, egy másik pedig azt jelezte, hogy a hidroxiapatit nanorészecskéket tartalmazótonságosak. A tanulmány, amelynek címe: „Nanowhitening agents: Progress and perjúnius 15-i számában jelent meg, Forr s: www.dental-tribune.com Kép: Shutterstock/MarcinK3333 B 2022. - XViii é 3. szám The World‘s Dental Newspaper 2022 / XXVI. ÉVFOLYAM – 3. SZÁM A FOGÁSZAT INFORMÁCIÓS MAGAZINJA DENTAL HÍREK ÁRA: 2500 FT PORTRÉ „A tanulási folyamatnak soha nincs vége...” ÚJ GENERÁCIÓ „Csak komplexen kezelek egy problémát...” MED. DENT MED. DENT Kalcifikált felső metszőfog kiszámítható gyökérkezelése 3D-nyomtatott fúrósablon segítségével Szemfog és kisőrlő formázása kismetsző aplázia részárással történő kezelése során 2022 / XIX. ÉVFOLYAM – 3. SZÁM FOGTECHNIKA FOGTECHNIKUSOK SZAKMAI LAPJA ÁRA: 2500 FT Egyedi fogszínkulcsok a CAD/CAM fogpótlások színének meghatározásához A „Majesthetik” csodája – a munkamenet Makó János és Péry Eleonóra interjú –páratlan páros CÍMLAPSZTORI LABORATÓRIUM LABORATÓRIUM A kézművesség tisztelete AKIKTŐL TANULHATUNK 2022 XIX. ÉVFOLYAM – 2. SZÁM A DP HUNGARY TEMATIKUS KIADVÁNYA ÁRA: 2500 FT IMPLANTOLÓGIA INTERJÚ INTERJÚ INTERJÚ „Mindennek az alapja egy tökéletes team megszervezése és működtetése…” Fontos a rendszeres megújulás KERESKEDELMI HÍREK Nézzünk előre! „Én a szakterületek harmonikus együttműködésében hiszek…” Dental Hírek 4 szám/év Fogtechnika 4 szám/év Digitális Fogászat 1 szám/év Dental Tribune 4 szám/év Implantológia 3 szám/év bankkártyás fizetés esetén Szakkönyvek ajándékba! 2023-as éves, mind az öt magazinunkra történő előfizetés esetén választhat fogászati szakkönyveink közül egyet ajándékba 2023 DENTAL PRESS AKCIÓ!
Online magazinok Az előfizetéshez kattintson IDE! 16 újság + 16 e-Journal 45%41 000 Ft helyett 23 500 Ft

Laczkó Tamás

TANOS ERVIN FIZIKUS OLYAN UNIKÁLIS

LÁGYLÉZER-KÉSZÜLÉKEKET TALÁLT KI, AMELYEK

MEGKÖNNYÍTIK A FOGORVOSOK

MUNKÁJÁT ÉS A PÁCIENSEK ÉLETÉT IS

Beszélgető társam Tanos Ervin, aki a lézer területén tevékenykedik immáron több, mint 40 éve. 1971-ben végzett az Eötvös Loránd Tudományegyetem fizikus szakán. Ettől kezdve 1989-ig a Villamosipari Kutató Intézetben dolgozott, ahol kezdetben ipari plazmák fizikájával, majd ezen plazmák tulajdonságainak optikai mérésével foglalkozott. 1976-tól a lézerlaboratórium csoportvezetője lett, 1983-tól az osztály tudományos osztályvezetőjének nevezték ki. A tárgykörben mintegy 40, részben önálló publikációja jelent meg. 1992 óta önálló vállalkozás keretében lézerdióda-alapú lézerkészülékeket fejleszt és gyárt gyógyászati célokra.

Legyen kedves, mondja el röviden szakmai életútjának kialakulását, hogy került a műszaki pályára, gondolta volna akkoriban, hogy lézer technológia lesz majd a fő tevékenysége?

Műszaki pályára úgy kerültem, hogy egészen kisgyermekkorom óta mindig is a műszaki dolgok érdekeltek. Minden olyan dolog, amit be lehet bizonyítani, ki lehet számolni, meg lehet mérni. Tehát az egyáltalán nem volt meglepetés, hogy műszaki pályára megyek. Kezdetben vegyész akartam lenni, de amikor megismerkedtem azzal, hogy a kémia milyen bonyolult, akkor inkább matematikus akartam lenni, aztán valamikor a gimnázium közepén áttértem a fizikára, és végül is ennél maradtam, így lettem fizikus. Természetesen eszembe nem jutott, hogy lézerekkel fogok foglalkozni. Mikor én egyetemre kerültem 1966-ban, a lézerek már bőven léteztek, de Magyarországon még inkább csak elbeszélés szinten tudtunk róluk, illetve már a Központi Fizikai Kutatóban volt ezzel foglalkozó részleg, de mi fizikusok még nagyon az elején jártunk ennek a témakörnek. Ahol dolgozni kezdtem, a Villamosipari Kutató Intézetben, ott ipari plazmák, nagyon magas hőmérsékletű gázok előállításával foglalkoztunk. Én a plazmák tulajdonságainak optikai alapú mérésével kezdtem foglalkozni, és ez vezetett el később a lézerek méréstechnikai alkalmazásához.

Aztán jött a rendszerváltás, és sajnos azt történt, hogy a Kutató Intézetet lényegében kihúzták alólunk. Akik tudtak valamit gyártani, azok önálló Kft-kbe kerültek. Mi meg, kutatók ottmaradtunk a nagy semmiben, és olyan válaszút elé állítottak minket, hogy vagy kimegyünk önálló Kft-be, és megélünk, ahogy tudunk, vagy mindenkinek felmondanak, és ezzel vége. Természetesen az elsőt választottuk. Szerencsére ismeretségi körömben akkor már előfordult, hogy láttam, hogy lézereket alkalmaznak egy-két menő kozmetikában. Az utolsó egy-két évben én elég közeli kapcsolatba kerültem a lézerdiódákkal, mert viszonylag gyorsan rájöttem, hogy ezekkel majdnem ugyanolyan jól lehet méréseket végezni, mint a szokványos gáz- vagy szilárdtest lézerekkel. Így aztán amikor önállóvá kellett válni, kézenfekvő volt, hogy az általam ismert lézerdiódákat a szintén általam ismert kozmetikai alkalmazásokra használjuk. Elkezdtem olyan lézereket fejleszteni, amelyeknek kifejezetten kozmetikai célja volt. Tulajdonképpen Magyarországon egy vetélytársunk volt abban az időben, a Magyar Optikai Művek lézerfejlesztői, akik hélium neon lézereket készítettek erre a célra. De a miénk olyan értelemben jobb volt, hogy körülbelül ugyanazt tudta a kozmetikában, mint a hélium neon lézer, miközben sokkal olcsóbb és egyszerűbb kezelést tett lehetővé.

Ekkor a lézereket még csak méréstechnikai célokra alkalmaztam. Ki is dolgoztunk egy-két olyan eljárást, ami viszonylag újdonság volt, még akár világszinten is mondhatnám újdonságnak. Persze nem Nobel-díj értékű dolgok voltak ezek, csak egy-egy jobbfajta méréstechnika.

Két nagy szerencsém volt. Az egyik, hogy nagyon hamar találkoztunk egy svájci lézerkereskedővel, aki eljött hozzánk megnézni, mit csinálunk. Nagyon tetszettek neki azok a száloptikák, amiket szintén a korábbi méréstechnikai háttérből hoztam a lézerdiódák alkalmazásához. Fejlesztettünk néhány olyan száloptikát, ami kifejezetten

8 e-Journal LÉZER A FOGÁSZATBAN

unikum volt ezen a területen. A svájci kereskedő nagyon gyorsan eljutott odáig, hogy az eddig Svájcban gyártott – és nyilván nagyon magas áron gyártott – és általa is forgalmazott lézerkészülékeket lecserélje az általunk gyártottakra. A másik nagy szerencsém ezzel a svájci partnerrel az volt, hogy ő nem csak egyszerűen kereskedett a lágylézerekkel, hanem nagyon komolyan vette ezt a területet, óriási szakirodalmat gyűjtött. Engem nagyon érdekelt, hogy mit is gyártunk, hogyan hat ez, hogyan működik, mi ennek az atomfizikai vagy a kémiai háttere. Ezért aztán nagyon sokat tanultam tőle, jónéhány könyvet kaptam ajándékba, cikkeket kaptam, ha valami érdekelt és írtam neki, akkor beszerezte nekem. Tehát majdnem az első pillanattól kezdve komoly tudományos megalapozottsága volt annak, amit mi csináltunk. Én mint fizikus, egyszerűen nem tudtam elfogadni, hogy hasraütésszerűen, valakinek a bemondása alapján elhiggyem, hogy a lézerterápia így, vagy úgy működik, és erre az akármilyen bemondásra hivatkozva kezdjek el készülékeket árulni. Ebben az időszakban történt, hogy dr. Gáspár Lajos fogorvos, elkezdett foglalkozni a lézerterápiával, és fantasztikus erővel, elszántsággal, energiával és türelemmel vetette bele magát abba, hogy a lézerek elterjedését, és az ezzel kapcsolatos oktatást, felvilágosítást elterjessze Magyarországon. Nagyon hamar összefutottunk, egész pontosan ő talált meg engem. Úgyhogy igen gyorsan abba a helyzetbe kerültem, hogy már nemcsak kozmetikusoknak, hanem orvosoknak is kellett lézert gyártani, amitől megmondom őszintén, eleinte borzasztóan féltem. Egyszerűen azért, mert ez egészségügy.

Tehát komolyan vettem, hogy mi van akkor, ha ártok, mi van akkor, ha rosszat csinálok, mi van akkor, ha valami elromlik, és bajt okoz? Úgyhogy nagyon-nagyon gondosan néztem utána mindig a szakirodalomnak.

A választott szakterületét milyen motivációk miatt választotta, hol szerezte be a megfelelő szakmai tudást, illetve hol és miként tudja azt permanensen kiegészíteni, bővíteni, hogy a gyártás, fejlődés konstans legyen?

Ezzel a háttérrel természetes volt számomra, hogy mindazokat a folyóiratokat, amiket a svájci partnerünk ajánlott vagy ismert, sőt adott esetben részt vett az alapításában vagy szerkesztésében, azokat én ismerjem, olvassam, kövessem. Ez a mai napig így van. Így szereztem meg az eredeti szakmai tudásomat. Azóta a folyamatos kiegészítésként, állandóan követem a szakirodalmat. Sőt, elég sok pénzt fizetek egy-egy cikkért, ami fontos lehet. Így lehet állandóan fejlődni, és így lehet elérni, hogy mi többé-kevésbé mindig valahol a világ élvonalában lévő, idevonatkozó tudással együtt fejlesszük a készülékeinket.

A gyártás fejlesztése meg egyszerűen úgy zajlik, hogy a nálunk dolgozó mérnökök, illetve technikusok szintén érdeklődők, követik a szakirodalmat, az új megoldásokat, az új eszközöket, és így van az, hogy mind a gyártásunk, mind a gyártás által megvalósított készülékeink folyamatosan tudnak fejlődni, folyamatosan tudjuk a beleépített tudást kiegészíteni. Én fizikus vagyok, tehát inkább az elméleti – a lézerterápiás és az optikai - hátterét adom ennek a munkának.

Piacra lépéskor már egyből fogászati célokra fejlesztett készüléket ,vagy más területről jött az ötlet, hogy a fogászati kezelésekre is alkalmas változat is legyen?

Nem fogászati célra kezdtünk el készüléket fejleszteni, hanem ahogy említettem, kozmetikai alkalmazásra. Később jöttek az orvosok nem is direktben hozzánk, hanem közvetítő cégen keresztül. Mivel Gáspár doktor fogorvos, szájsebész volt, nagyon gyorsan a fogászati területen – is – ott találtam magamat.

Amikor elkezdtem közvetlen kapcsolatba kerülni az orvosokkal, akkor vált fontossá számomra, hogy különböző hullámhosszúságú lézereket kell használni. Mert ha valaki egy lézerrel a szájban, a fülben vagy a csípőn, vagy a könyökön, vagy a térden dolgozik, az azt is jelenti, hogy különböző hullámhosszúságú lézereket kell használni. Ez egy nagyon fontos dolog, és sajnos ezt nagyon sok helyen nem tartják be a mai napig, nem is tudják igazán követni. Még azt is merem mondani, hogy egy csomó lézerárus nem is tudja, hogy mit jelent az, hogy a lézersugár hullámhossza.

Nagyon jó kapcsolatom alakult ki több orvossal is, akik el tudták nekünk mondani, hogy ők konkrétan milyen fénytovábbító vagy lézersugártovábbító eszközt igényelnek. Volt olyan fogorvos doktornő, aki lerajzolta nekünk, hogy neki az lenne jó, ha ilyen hosszú, ennyi, ilyen ívben meghajtott száloptika tartó lenne. Mivel kevés információt tudtunk adni a lézereinkhez, elég gyorsan elkezdtem szervezni, hogy legyen egy magyar nyelvű szakkönyv, ami akkor még nem volt. Dr. Horváth Judittal közösen összehoztuk az első ilyet, az volt a címe, hogy „Diódalézer vademecum”. Ebben a könyvben sok minden benne volt arról, hogy hogyan kell a gyakorlatban alkalmazni a lágylézer-terápiát. A tartalmát dr. Hegyi Gabriella és dr. Nyitrai Tamás lektorálta. A későbbi kiadásokban már erősen bővült az írói gárda, elsőként dr. Kútvölgyi Ida (fogászat) és dr. Román Zoltán (gyerekgyógyászat) csatlakozott, majd később dr. Határ András (urológia), dr. Korchma Enikő (fogászat), dr. Mády Ferenc (traumatológia, spororvoslás), dr. Sandra Ferenc (mozgásszervi betegségek) is részt vett a munkában. Külön ki kell emelnem a biztonságtechnikai részt, melyet dr. Jung József fizikus írt, aki gyakorlatilag az egyetlen szakember, aki pontosan ismeri a lézerterápia biztonsági követelményeit.

A könyvet rövid időn belül újra, meg újra ki kellett adni, mert nagyon keresték. Ezek már bővített kiadások voltak, a szerzőgárda növekedésével együtt bővülő tartalommal.

Ennek folyományaként aztán 1-2 év múlva saját lézertanfolyamot is indítottunk, amit a Semmelweis Orvosi Egyetem Családorvos Tanszéke akkreditált.

Tudomásom szerint a jelenlegi vállalkozási forma két értelemben is családi, elmondaná kérem ezt az olvasóknak, hogy ez mit is jelent?

A Kutató Intézet privatizálása óta több lépcsőben változott meg a tevékenységem vállalkozási formája. 2012 végén családi céget alapítottunk, amiben benne volt a menyem, Tanosné Bojtos Júlia, aki most a Gyógylézer Család Kft. ügyvezetője, feleségem, dr. Horváth Judit, és én, ilyen értelemben lettünk családi vállalkozás. Másrészt viszont az Optikop lézerek egy lézercsaládot alkotnak, amelyet mi fejlesztünk és gyártunk, és ez is indokolja a Gyógylézer Család elnevezést. Ma már annak, aki ezzel a dologgal komolyan foglalkozik, világos, hogy nem az a fontos, hogy én milyen elektronikai köntösbe öltöztetem azt a lézersugarat kibocsátó egységet, milyen dobozba

9 VI. ÉVFOLYAM – 2023. 8. SZÁM

rakom stb. Fontos ez is a biztonság szempontjából, meg hogy stabil legyen stb., de igazából az a fontos, hogy melyek azok a hullámhosszok, amelyek hatnak a beteg szervezetére, vagy az elváltozásra, magyarul tényleg gyógyítanak. Ilyen értelemben családnak tekinthetek minden olyan lézert, ami a piros tartományban, mármint a látható pirosban, tehát a 635-640-670 nm-es piros tartományban bocsát ki lézersugarat, illetve a 760-840 közötti közeli infravörös tartományban. Itt több olyan hullámhossz is létezik, amelyet bizonyos biokémiai molekulák szelektíven nyelnek el, és ezzel mindenféle biokémiát lehet végezni, ami aztán jót tesz a szervezetnek. Tehát ettől lettek a mi lézereink lézercsalád.

Kérem ismertesse, az első készülék történetét, az első lágylézer-készülék bevezetése óta milyen technológia váltás történt?

Milyen készülékekkel egészült ki azóta a gyártás, mi most a legkelendőbb termékük?

Az első lágylézert, még talán 1989-ben készítettük, még kutatós koromban. Kezdetben volt a kisteljesítményű piros lézer, aztán lett a kisteljesítményű infralézer, aztán még egy változat, utána még egy változat, a teljesítmények folyamatos növelése mellett. Azóta a technológia drasztikusan megváltozott. Először megjelentek az egyre nagyobb teljesítményű és különböző hullámhosszokon sugárzó lézerdiódák. Magyarul: egyre jobban tudtunk idomulni ahhoz, hogy milyen területen, milyen hullámhosszt, milyen színt kívánt a gyógyászat.

A másik technológiai váltás elektronikai volt, mi az első mikroprocesszor vezérelte készülékünket valamikor a 90-es évek közepére készítettük el. Egy olyan lézerünk is van már, amelyik érintőképernyővel dolgozik, és most állítunk át további lézereket ilyen érintőképernyős üzemmódra.

A nagy újítás részünkről az volt, amikor kitaláltam, hogy az lenne a jó, hogy ha egy kezelőfejben benne lenne a piros lézer is, és az infralézer is. Ez volt kezdetben a Twiny nevű készülék. A probléma, amit meg kellett oldani, hogy a lézerdiódák igénylik, hogy kapjanak valami optikai irányítást a fényhez, mert eléggé széttartó a sugaruk, tehát azt össze kell szedni egy sugárba és ezen kívül meg kell oldani, hogy egyszerre, egy helyen jöjjön ki a két fény, mert annak van igazán értelme. Ezt azóta sem tudta senki megcsinálni ilyen kis méretben. Tulajdonképpen a fogorvosok kedvéért fejlesztettük, mivel azt olvastuk a szakirodalomban, hogy eredményesebb, ha egyszerre kezelnek a szájban a piros és infralézerrel. Mondok egy triviális példát: van egy gyökérgyulladás, fölötte gyulladt az íny, és ha én egyszerre kezelem a két gyulladást, az szinergikus eredményhez vezet, vagyis jobban gyógyul mindkét gyulladás, mintha külön-külön, akár egymás után csinálom meg a kezelést. Arról nem is beszélve, hogy a páciensnek fele annyi időt kell ebben az esetben nyitva tartania a száját. Mai napig is gyártjuk ezt a készüléket. Az alap kombinált készülékünk az kézilézer, tehát akkuról vagy elemről működik. Van ennek az asztali változata, ahol van egy külön vezérlődoboz, és arra lehet csatlakoztatni egy kombinált kezelőfejet (meg további két kezelőfejet), ez a Combi 5G nevű lézerünk. Tehát ezek a lágylézerek. Ezen kívül van a Tricombi lézerünk, ami a sebészeti lézert és egy ilyen kombinált lágylézert tartalmaz. Ezzel a készülékkel a fogorvosi rendelőben alkalmazott lézer kezelések teljes köre lefedhető. Mind a három készülék a maga nemében unikális.

Régóta járnak kiállítani a hazai fogászati szektorban, esetleg megpróbáltak termékeikkel megjelenni a nemzetközi piacon is?

A nemzetközi piacon az első perctől kezdve kint vagyunk. A svájci piacra ugyanannak a cégnek a mai napig szállítunk, bár már kevesebbet. Kezdetben évi 200-at, de akkor Európában voltunk tízen lézergyártók, most vagyunk körülbelül 200-an. Nyilván akkora a konkurencia, hogy a kereslet egy-egy készülék iránt már csökkent mindenhol. De ott vagyunk a nemzetközi piacon az első perctől kezdve, és a régi svájci kapcsolatunk a mai napig forgalmazza a készülékeinket, amire elég büszkék is vagyunk.

A fogászat különböző szakterületei óriási léptékben változnak az utóbbi években, évtizedekben is. Gondolom a lézer iparági fejlődése is rendkívüli volt. Mit gondol, ez a fejlődés elsősorban a páciensek életminőségének a javulását segíti, vagy főleg a fogorvosok munkáját könnyíti?

Azt nyugodtan mondhatjuk, hogy a páciensek élete is könnyebb lett a lézerek fejlődésével, az életminőségük javult, hiszen a teljesítmények növekedése következtében már nem tart olyan sokáig a lézeres kezelés, vagyis kevesebb időt kell a fogorvosi székben tölteni. Ezen túlmenően a jó hullámhosszok használata hatásosabbá tette a kezeléseket. És nem utolsósorban a fájdalom mértékén is jelentősen lehet csökkenteni, ami ugye tudjuk, hogy a fogorvostól félő emberek körében a legnagyobb problémát jelenti. Ezzel persze a fogorvosok munkája is könnyebb lett, hiszen, ha gyorsabban végez, akkor ugyanannyi idő alatt több kezelést is tud elvégezni.

A lézeres kezelés elsősorban a fogászati esztétikai kezeléseket segíti vagy más területeken is hódít már?

A lágylézer biológiai hatása miatt nagyon sokoldalúan alkalmazható a mindennapi fogorvosi gyakorlatban. Azok a fogorvosok, akik használják a lézereinket, szinte folyamatosan dolgoznak vele.

A legfontosabb azonban, hogy a lágylézer kezelés javítja a páciens életminőségét és megkönnyíti, felgyorsítja a fogorvos munkáját. Tehát ebben az értelemben nem az esztétika az elsődleges terület a lézer kezelések esetében. Egyébként van egy nyolc részből álló mini videósorozatunk, ami pont arról szól, hogy a fogorvosok hányféleképpen, milyen sokrétűen, és szerteágazóan tudják használni a lézerkezelést. Akit érdekel, az meg tudja nézni a QR-kód leolvasásával.

Elmesélné kérem, hogy szabad idejében mivel tölti szívesen az idejét, van esetleg hobbija?

Régen bridzseltem, és ez egy nagyon-nagyon erős elfoglaltságot jelentett, egy héten legalább 2-3 estét lefoglalt. De ha egy estét foglalt le, akkor is este 8-tól éjjel 2-ig. Szóval elég sok időt vett igénybe. Manapság már nem bridzselek, a korom miatt sem, és elhalt ez a dolog bennem, nem vagyok már annyira motivált. Úgyhogy maradt az egyetlen hobbim, az olvasás. Rengeteget olvasok.

10 e-Journal LÉZER A FOGÁSZATBAN

Kiváló társ a gyógyításban

Combi Laser

808 nm és 660 nm

Fogorvosoknak kifejlesztett kombinált lágylézer külön-külön és egyszerre is működtethető piros-és infradiódával.

TriCombiLaser

980 nm - 808 nm - 660 nm 3 az egyben sebészeti és kombinált lágylézer

IMPLANTÁTUM FELSZABADÍTÁS (zárt lebenynél)

Vágás

Vérzéscsillapítás

LEBENYKÉPZÉS SEBÉSZETI DIÓDALÉZERREL

Vágás

Vérzéscsillapítás

4

TRANSZGINGIVÁLIS BEHATOLÁS

Vérzéscsillapítás (ha szükséges)

Műtéti terület és környező régió nyirokutak lágylézer kezelése (gyulladás– és fájdalomcsökkentés)

Posztoperatív lágylézer kezelés Felületes és mély kezelések Duzzanat-, gyulladásés fájdalomcsillapítás 1 2 3

UTÓGONDOZÁS

PREMEDIKÁCIÓ

Preoperatív biostimuláció Mikrocirkuláció fokozása

Posztoperatív lágylézer kezelés Felületes és mély kezelések Duzzanat-, gyulladásés fájdalomcsillapítás

www.gyogylezer.hu
2023. OKTÓBER 12-13-14. „Találkozzunk Európa fogászati eseményén Budapesten dentalworld.hu
Dr. Arthur Volker Egyesült Államok Dr. Daniel C. Neves Brazília Dr. Marco Mailonio Olaszország Prof. dr. Mutlu Özcan Svájc Dr. Nuno Pinto Portugália Dr. Joseph Choukroun Franciaország Danielle Rondoni Olaszország
Dental World Nemzetközi Fogászati Kiállítás & Konferencia 2023. október 12–13–14. Budapest, Hungexpo Jelentkezzen most: dentalworld.hu
Dr. Francesco Amato Olaszország
XXIII.
Dr. Ruth Perez Alfayate Spanyolország Dr. Alain Simonpieri Franciaország Dr. Byron Tsivos Egyesült Királyság
30% Early Bird kedvezmény 2023. július 31-ig 24 kreditpont
Dr. Jordi Manauta Olaszország

Élményhelyszínek a Dental World kiállításon

Élő műtétek

2023-ban is a Dental World egyik kiemelkedő rendezvénye lesz az Implantológia Show az „Élő műtétek” bemutatásával. Jövőre is az üvegfalú „látványműtőben” felkért orvosok végzik majd egy-egy páciens nyilvános kezelését. A rutinszerűen alkalmazott műtéti technikák mellett új eljárásokat is bemutatnak az implantológia repertoárjából.

Fogorvos/Fogtechnikus tanulóverseny

Az orvosi verseny résztvevői az ország négy, fogorvosi képzést nyújtó egyeteméről érkeznek, ahol belső versenyeken választják ki azt az egyetemenként 3-3 indulót, akik a Dental World-ön mérik össze tudásukat. Minden versenyző ötöd éves egyetemi hallgató, és nyereményük többek közt egy út Leuven-be, a GC központjába. A fogtechnikus tanulók részére 2023-ban már 12. alkalommal megrendezésre kerülő Győztesek Versenyére a Protetika Verseny győztese, az Országos Mintázó Verseny legjobbjai és az Ipartestület által rendezett Kerámiás Verseny helyezettjei kapnak személyes meghívást. A 12 magyar tanuló számára az idei évben is nagy kihívás a szakma egésze előtt, a Dental World szakkiállításon bemutatni képességeiket, szakmai elhivatottságukat.

2023-ban ismét a kiállító tér sugárútján kap helyet a Live Demo.

4 különböző programot szervezünk az alábbi témakörökben:

• Endodontia&Esztétika

• MicroWorld&Lézer

• Fogtechnika

• Oralszkenner

AlphaBio Buborék bár

Flexi kávézó

Dental Lounge

Várjuk szeretettel 2023-ban is!
Live Demo

Dental World Kongresszusok

3 napos konferenciák:

Digitális Fogászati Kongresszus: 35 000 Ft (teljes ár: 50 000 Ft)

Prevenciós, Földvári Imre Kongresszus: 18 000 Ft (teljes ár: 28 000 Ft)

Praxismenedzsment Kongresszus: 18 000 Ft (teljes ár: 28 000 Ft)

Vegye

Early Bird 30% kedvezménnyel!*

*A kedvezmény 2023. július 31-ig érvényes

Platina szponzor:

meg most kongresszusi jegyét a dentalworld.hu oldalon
ESZTÉTIKA • ENDODONTIA • ORTHODONTIA • IMPLANTOLÓGIA KONGRESSZUSI JEGYÁRAK 1 VÁLASZTOTT KONGRESSZUS: esztétika / implantológia / endodontia / orthodontia ALL ACCESS mind a 4 témakörű kongresszusra belépést biztosít KEDVEZMÉNYES ÁRAK HATÁRIDEJE EARLY BIRD 2023. 07. 31-ig 70 000 Ft 105 000 Ft LATE BIRD 2023. 08. 31-ig 80 000 Ft 120 000 Ft LAST MINUTE 2023. 09. 30-ig 90 000 Ft 135 000 Ft TELJES ÁR 2023. 10. 01-től 100 000 Ft 150 000 Ft

PARODONTÁLIS MEGBETEGEDÉSEK KEZELÉSE A MODERN TECHNOLÓGIÁK EGYÜTTES ALKALMAZÁSÁBAN REJLŐ

SZINERGISTA HATÁSOK SEGÍTSÉGÉVEL

A digitális technológiák fejlődése, valamint a szájsebészetben végbement forradalmi változások kivételes lehetőséget jelentenek azoknak a fogorvosoknak, akik fejleszteni és szélesíteni szeretnék az általuk elvégezhető beavatkozások körét (1. ábra).

A pácienseink számára a lehető legoptimálisabb terápiás lehetőség felajánlása révén tudunk megfelelni azoknak az etikai elveknek, amelyeket az egészségügyi, és ezen belül a fogászati tevékenységek végzése megkövetel. A mindennapi munkánk során célunk az olyan beavatkozások elvégzése, amelyek végeredménye jól megjósolható, és amelyek segítségével rövid idő alatt, minimál invazív módon kevesebb kellemetlenséggel járó eredményeket biztosítunk. Ezek megegyeznek az upto-date technológiával támogatott fogászatban megfigyelhető vezérelvekkel, amelyek arra irányulnak, hogy a lehető legmegfelelőbb módon kielégítsék a páciensek igényeit, csökkentsék az őket ért kellemetlenségek mértékét, és növeljék az elégedettségüket.

A

Annak érdekében, hogy bemutassuk, miként lehet az elérhető technológiák alkalmazásával a fogászati ellátás színvonalát növelni, az alábbiakban egy a parodontális betegségek kezelésére szolgáló speciális beavatkozás, a lézeres, teljes száj dezinfekciós protokoll elvégzésének a menetét ismertetjük.

A jelenleg általánosan elfogadott LAFMD protokoll az alábbi 4 szakaszból épül fel:

1. szakasz: – 0,2%-os klórhexidin-diglükonát (CHX) oldattal történő öblögetés;

szervezeti felépítés

Alkalmazott tudás Hírnév ismertség kapcsolati háló személyes kapcsolatok

Lexikális ismeretek ismeretek kihasználása

posztgraduális képzés graduális képzés

Technológiai fejlesztések

16 e-Journal LÉZER A FOGÁSZATBAN
A standard lézeres, teljes száj dezinfekciós protokoll (laser-assisted full-mouth disinfection protocol -LAFMD) bemutatása
1. ábra: A fogorvosi tevékenység hatékonyságának növelése a technológiai fejlesztések felhasználásával. fogorvosi tevékenység hatékonyságának növelése és kulturális hatások

– ultrahangos gépi depurátorral történő fogkőeltávolítás;

– a fogak felszínének homokfújó készülékkel történő megtisztítása.

2. szakasz (az 5 mm-es vagy annál nagyobb parodontális tasakoknak megfelelően):

– mély depurálás ultrahangos gépi vagy kézi eszközökkel;

– a fogak felszínének homokfújó készülékkel történő megtisztítása;

– lézeres fertőtlenítés;

– a tasakok 1%-os CHX zselével történő feltöltése;

– lézeres fájdalomcsillapítás elvégzése.

3. szakasz:

– fotodinámiás kezelés elvégzése;

– a tasakok antibakteriális hatású oldattal történő feltöltése;

– biostimuláció.

4. szakasz:

– a páciens kooperációs hajlamának ellenőrzése, szükség esetén motiválása és az utógondozás megszervezése.

A parodontális megbetegedések prevalenciája alapján, ez az elváltozás a 6. leggyakoribb betegség a Földön. A betegségre vonatkozó 2018-as klasszifikáció szerinti felosztásnak megfelelően, a betegség 4 különböző szakaszát tudjuk megkülönböztetni. A szakirodalomban jelenleg elérhető adatok alapján, mind a 4 szakaszra vonatkozóan, a 35-44 éves korosztály 70%-a, a 45-80 éves korosztály 90%-a és a 18-34 éves korosztály 4%-a a betegség valamelyik stádiumában szenved.

Annak ellenére láthatjuk ezeket a kimagasló értékeket, hogy a parodontális elváltozások kezelése a fogorvosi rendelőkben folyó mindennapi munka jelentős részét teszi ki. A parodontális elváltozások kezelésére szolgáló beavatkozások elsődleges célja, hogy segítsen meg -

17 VI. ÉVFOLYAM – 2023. 8. SZÁM
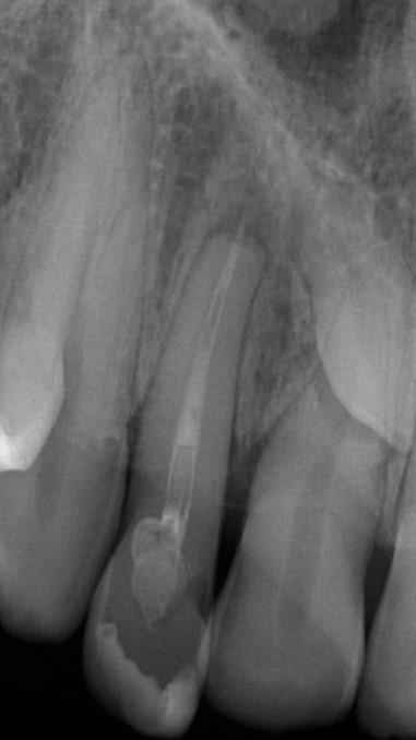
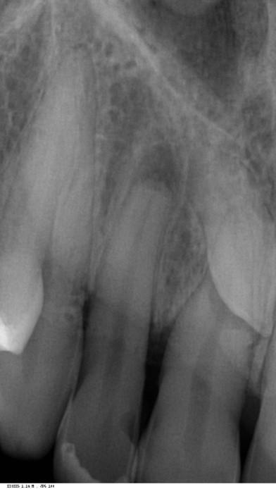
2. ábra: A páciens számára a kezelés minden szakasza során bemutatásra kerülnek az intraorális szkenner segítségével készült felvételek. 3. ábra: Radiológiai felvételek. – 4. ábra: Parodontális szondával történő tasakmérés. 5. ábra: Egy háromdimenziós modell segítségével megfelelő információkkal látjuk el és motiváljuk a pácienst.

szüntetni a betegséget kísérő gyulladásos állapotot. Ez a gyulladás szoros összefüggést mutat olyan szisztémás betegségek kialakulásával, mint a diabetes mellitus, a kardiovaszkuláris rendszer megbetegedései, de egyéb krónikus megbetegedések megjelenésében is szerepet játszik.

A LAFMD egy olyan minimál invazív, nem-sebészi terápiás protokoll, amely alkalmas több parodontális megbetegedés kezelésére. A protokollt a szakirodalomban jelenleg elérhető tudományos kísérletek eredményeinek felhasználásával állították össze. A protokollnak megfelelő kezelés elvégzése során, több különböző technológia alkalmazásából fakadó előny is kihasználásra kerül. A protokoll szakszerű megvalósításához egy fogorvos és egy dentálhigiénikus együttes munkája szükséges.

A protokollt a kialakult parodontális megbetegedés mértékének, valamint a páciens életkorának és egészségi állapotának megfelelően alkalmazzuk.

A LAFMD protokoll alkalmazása

A parodontális elváltozások kezelésének elengedhetetlen része, hogy a páciens a kezelés teljes ideje alatt megfelelően együttműködjön a beavatkozásokat végző fogorvossal, és pontosan kövesse az utasításait. A megfelelő kooperáció elősegítése érdekében javasoljuk, hogy a kezelés minden fázisában egy intraorális szkenner (pl.: Condor; Biotech Dental) segítségével készült, 3 dimenziós modell segítségével ismertessük a páciensünkkel a szájüregi státuszának aktuális állapotát (2. ábra)

Az első találkozás alkalmával a kezelést igénylő terület állapotát egy intraorális szkenner segítségével rögzítjük. Ez a képalkotó eljárás kiegészíti azokat az általánosan alkalmazott vizsgálatokat, mint a radiológiai képalkotás (3. ábra) és a parodontális státuszfelvétel (4. ábra), továbbá hozzájárul a pontos diagnózis felállításához.

A szájüregi státuszról készült digitális 3 dimenziós modell bemutatása, továbbá a látottak részletes megbeszélése révén tudjuk a pácienseinket a leghatékonyabb módon motiválni. A páciensek kooperációját rendkívüli mértékben javítja, hogy ha a kezelési terv egyes lépéseinek megvalósítása után mindig bemutatjuk az aktuálisan elért eredményeinket, és ezáltal számára is jól láthatóvá és jól értelmezhetővé válik a kezelések célja.

Első szakasz

A LAFMD kezelés első szakaszának célja a parodontális megbetegedések elődleges etiológiai faktorainak – a biofilmnek és a fogkőnek – mechanikai módszerekkel történő eltávolítása. A parodontális elváltozások kezelésének előkészítésére a hagyományosan alkalmazott – ultrahangos gépi depurátorral és antibakteriális hatású szájvizekkel történő – kezelés után kerül sor a fogak felszínének homokfújó készülékkel történő megtisztítására.

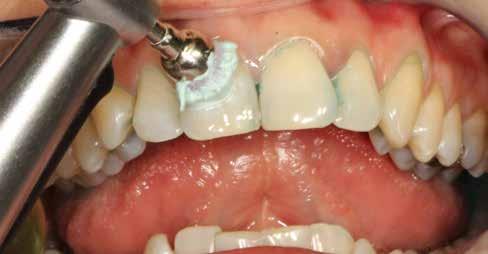
A cikk szerzőjének rendelőjében végzett kezelések során egy AIR-FLOW Master Piezon homokfújó készüléket (EMS; 6. ábra) és 0,3% klórhexidint tartalmazó erythritol port (AIR-FLOW PLUS powder, EMS; 14 μm-es átlagos szemcseméret) használnak a subgingiválisan elvégzett homokfújás során. A beavatkozás elvégzéséhez egy speciális thermoplasztikus elasztomerből készült, egyszer használatos csőrt alkalmaznak (7. ábra)

A levegő-por keverék az előbb említett csőrből horizontális irányban távozik, míg a folyadék a csőr végén elhelyezke-

18 e-Journal LÉZER A FOGÁSZATBAN
6. ábra: AIR-FLOW Master Piezon készülékkel végzett subgingivális homokfújás. 7. ábra: A beavatkozás során egy speciális termoplasztikus elasztomerből készített, egyszer használatos végződést alkalmazunk. 8. ábra: A készülékhez tartozó ultrahangos depurátor segítségével folytatjuk a kezelést.

dő nyílásból lép ki, és a fogak felszínének mechanikus módszerekkel történő tisztításával egyidejűleg, 5 má sodpercen keresztül a parodontális tasakot is átöblíti. Miután a AIR-FLOW Master Piezon készülékkel törté nő homokfújást befejeztük, megkezdjük az ugyaneh hez a készülékhez tartozó, ultrahangos depurátorral történő kezelést (8. ábra). A fent említett beavatkozá sokat általában helyi érzéstelenítés alkalmazása nélkül végezzük el.

A nemzetközi szakirodalomban olvasható eredmények egyértelműen alátámasztják, hogy az előbbiekben ismer tetett beavatkozások elvégzésével sokkal hatékonyabban tudjuk a fogágybetegségek kialakulását elősegítő etiológiai faktorokat kontrollálni, továbbá így sokkal jobban meg tudjuk óvni a gyökércementet, mivel ez az eljárás nem igényli a kézi kürettkanalak kifejezett használatát.

Második szakasz

Abban az esetben, ha előrehaladott állapotban lévő fogágybetegség kezelését végezzük, azaz 5 mm-es, vagy annál nagyobb tasakmélységet mértünk, akkor a számunkra kívánatos változások elérése érdekében egy második tisztítási fázis elvégzésére is szükség van. Ehhez egy 980 nm-es hullámhosszon, 10 W-os teljesítmény mellett alkalmazott diódalézert is használhatunk, amely nem csak szájsebészeti célú alkalmazásra, hanem a parodontális elváltozások kezelésére is alkalmas lehet.

A második szakaszban a protokollnak megfelelően végzett kezelés során egy PRIMO diódalézert (MEDENCY, 9. ábra) alkalmazunk. A beavatkozás során 10 mm hosszú 400 μ széles, egyszer használatos fényvezető szálakat használunk. A készüléket az alábbi paramétereknek megfelelően állítjuk be: pulzus modalitás 30/70; 2,4 W teljesítmény; 25 másodperc működési idő. Ezek a beállítások szükségesek ahhoz, hogy a gyökérfelszínt nagy mélységben is meg tudjuk tisztítani, és a

19 VI. ÉVFOLYAM – 2023. 8. SZÁM
9. ábra: A PRIMO lézerkészüléket kezelés második szakaszában, a mély parodontális tasakok ellátása során alkalmazzuk. 10. a–b ábrák: A lézerkészülék beállításai a gyökérfelszín tisztítása és a gyulladásos szövetek eltávolítása során alkalmazott paramétereknek megfelelően. 12. ábra: A 10%-os povidon-jód oldattal feltöltött tasakba bevezetésre kerülő fényvezető szál. 11. ábra: A PRIMO lézerkészülék beállításai a fájdalomcsillapító hatással járó kezelés során alkalmazott paramétereknek megfelelően.

tasak belső falán lévő gyulladásos sarjszövetek eltávolításra kerüljenek (10. a–b ábra)

A rendelkezésre álló szakirodalom szerint a lézerek bakteriosztatikus, baktericid és antitoxikus hatással rendelkeznek.

A diódalézerek alkalmazása esetén szignifikánsan nagyobb mértékben csökken a baktériumok száma, mint amikor a kezelés során nem alkalmaznak lézereket. Lézerek alkalmazása esetén a kezelt esetek 96,6%-ánál megfigyelhető volt a vérzési index javulása, míg a hagyományos módszerekkel kezelt páciensek esetében csupán a betegek 66,7%-ánál lehetett ugyanezt megfigyelni. A parodontális tasakok mélysége ugyancsak szignifikánsabb mértékben csökkent lézerek alkalmazása esetén.

A kürettáláson kívül a diódalézerek alkalmazása is elősegíti a parodontális tasakokban megfigyelhető gyulladás mértékének a csökkenését. Ezen felül a kürettálással együtt alkalmazott diódalézeres terápia a tasakokban megtalálható baktériumok számának csökkentése révén is hozzájárul a szövetek gyorsabb regenerációjához.

Már több különböző tanulmány is alátámasztja, hogy a 980 nm-es hullámhosszon, 10 W-os teljesítmény mellett alkalmazott diódalézerek használatát követően, egyre pontosabban lehet a kezelések végeredményét megjósolni. Továbbá azt is leírták, hogy az ultrahangos és homokfújó készülékkel történő tisztítás és a diódalézerek együttes alkalmazásával sokkal ha-

tékonyabban tudjuk a parodontális megbetegedéseket kezelni, és sokkal jobb prognózist tudunk elérni. Ezáltal meg tudjuk akadályozni az állapot további romlását, továbbá tapadásnyereséget, valamint a tasakok csökkenését tudjuk elérni.

Ebben a fázisban a 980 nm-es hullámhosszon alkalmazott diódalézerek hatásának fokozása érdekében 1%-os klórhexidine zselét juttatunk a tasakokba.

A diódalézer széles körű felhasználhatósága lehetővé teszi, hogy a kezelést végző fogorvos további két, előre beállított programot is használhasson. Az egyik célja a fájdalom csillapítása, a másik pedig biostimuláló hatással rendelkezik. Mindkét üzemmód kifejezetten hasznos lehet egy, a szervezetet rendkívüli módon igénybe vevő és kimerítő kezelés végén.

A fájdalomcsillapító hatással rendelkező üzemmódot általában a sarjszövetek nagy mélységben történő eltávolítását követően alkalmazzuk. A hatás elérése érdekében egy speciális toldalékot csatlakoztatunk a PRIMO lézer berendezésünkhöz. és az energiát folyamatos üzemmódban, 60 másodpercen keresztül 2 W-os teljesítmény mellett adjuk le (11. ábra).

Harmadik szakasz

A harmadik szakasz célja, hogy a tasakban visszamaradt bakteriális flóra aktivitást hatékonyabban tudjuk kontrollálni. Kísérletes vizsgálatok eredményei bizonyítják, hogy sebészi módszerekkel történő kürettálással és gyökérsimítással, kizárólag mechanikai módszerekkel nem lehet teljes mértékben

20 e-Journal LÉZER A FOGÁSZATBAN
14. a ábra: A lézerrel végzett biostimuláció során készült felvétel. 15. ábra: A kezelés harmadik szakaszának befejezésekor látható klinikai állapot: megfigyelhető a tasakmélység csökkenése, valamint a gyulladásos tünetek hiánya. 14. b ábra: A lézerkészülék beállításai a biostimulációs kezelés során alkalmazott paramétereknek megfelelően. 13. ábra: A lézerkészülék beállításai a fotodinámiásfototermikus kezelés során alkalmazott paramétereknek megfelelően.
A new flexibility mindset A new stability mindset A new esthetic mindset

16.

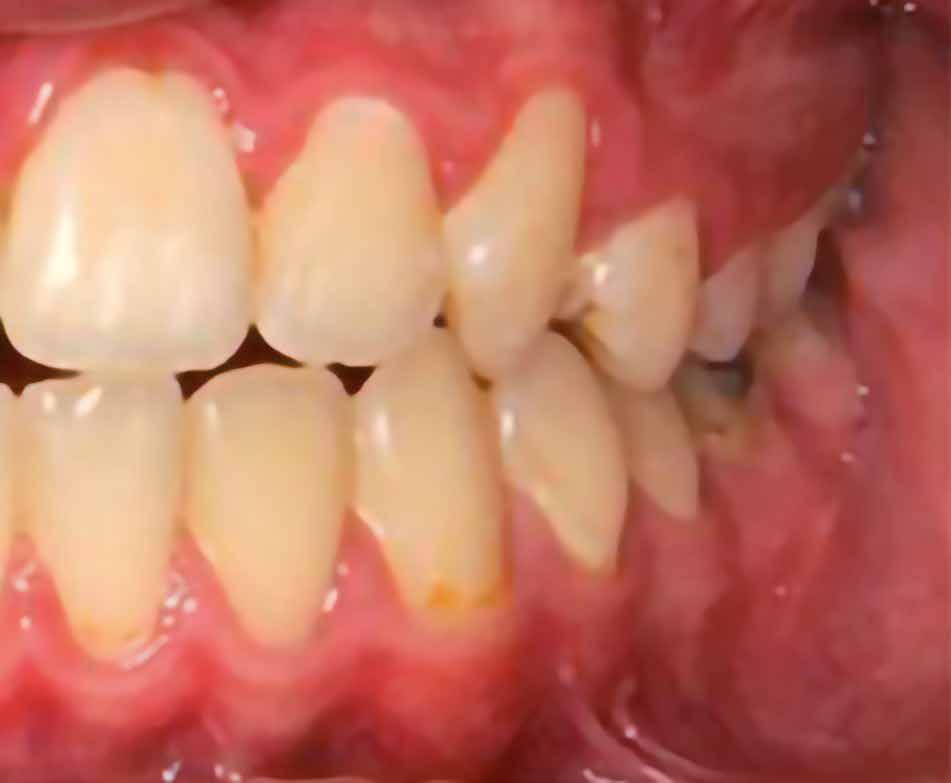
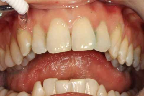
A kezelés befejezésekor látható állapot: stabil lágyrészviszonyokat és a vérzés hiányát figyelhetjük meg.

megszüntetni a parodontális megbetegedések kialakulását elősegítő etiológiai faktorokat. A fotodinámiás kezelések hatékonysága az utóbbi időben – a lézerek felhasználásával kapcsolatos gyakorlati eredmények és új ismeretek alkalmazása útján – jelentős mértékben javult.

A baktericid hatással rendelkező fotodinámiás-fototermikus kezeléseket, a helyileg alkalmazott antibakteriális hatású gyógyszerek felhasználásával egészítik ki. A PRIMO lézerkészülékhez csatlakoztatott fényvezető szál tasakba történő bevezetése előtt a tasakokat 10%-os povidon-jód oldattal töltik fel (12. ábra). A berendezést tasakonként 30 másodpercen keresztül használják az alábbi paraméterek mellett: 50/50 pulzus modalitás és 2 W-os leadott teljesítmény (13. ábra)

Ennek a beavatkozásnak az a célja, hogy az alkalmazásával szignifikáns mértékben csökkentsük a tasakokban jelenlévő baktériumok számát. A lézerek alkalmazásának nagyon fontos szerepe van a fibroblastok és a gingivális hámtapadás regenerációjának elősegítésében. A szakirodalomban találhatunk néhány vizsgálatot, amelyek eredményei azt bizonyítják, hogy a lézerek nem-sebészi célú alkalmazásával meg tudjuk változtatni a gingivális fibroblasztok aktivitását, ami a növekedési faktor mRNS-ének termeléséhez vezet. Az ilyen célú felhasználás révén elő tudjuk segíteni a parodoncium regenerációját. A szövetek hatékonyabb gyógyulásának további elősegítésének érdekében a kezelést biostimulációval folytatjuk. Ezt egy a lézerhez csatlakoztatható speciális toldalék segítségével végezzük el. A lézert 60 másodpercen keresztül 1 W-os teljesítmény mellett alkalmazzuk (14. a–b ábra). A LAFMD protokoll kifejezett mértékben alkalmas a parodontális betegségek egy speciális formájának, a peri-implantitisnek a kezelésére.

Tudományos eredmények igazolták, hogy jobb rövid távú eredményeket lehet elérni a peri-implantitis kezelése során, ha olyan kezelési protokollokat alkalmazunk, amelyek magukba foglalják a diódalézerek alkalmazását. Azok a protokollok, amelyekben nem szerepelt diódalézerrel végzett kezelés, kevésbé voltak hatékonyak. Ennek megfelelően a peri-implantitissel érintett területek fertőtlenítése és kezelése során, a cikkünkben leírt kezelési protokoll alkalmazása hasznos segítséget jelenthet a terápia során. Mivel a protokoll elvégzését követően 6 hónappal végzett vizsgálatok a bakteriális flóra részleges rekolonizációját igazolták, ezért a

A végső állapotról készült színes, háromdimenziós modell segítségével növelhetjük a páciens motivációját az utógondozás során.

protokoll szerinti kezelések elvégzését évente két alkalommal javasoljuk a pácienseink számára.

A kezelés e szakaszának a befejezésekor a gyulladásos tünetek hiánya, a csökkenő tasakmélység és a szondázást követő vérzés megszűnése megfelelő bizonyítékul szolgálhat az eddig elvégzett beavatkozások hatékonyságára (15. ábra). A páciensek idővel képesek lesznek ennek az állapotnak a fenntartására, ha a fogorvosok által adott instrukcióknak megfelelően végzik a napi szájhigiénés tevékenységüket, és ha ebben megfelelően támogatják őket.

Negyedik szakasz

A kezelés negyedik, és egyben végső szakasza során, a terápia sikeressége szempontjából rendkívül fontos szerepe van a páciens kooperációs készségének. Nagyon fontos, hogy minden páciensünk számára egyedileg határozzuk meg az utógondozás menetét és a kontrollok gyakoriságát.

Ebben a fázisban alapvető fontosságú, hogy bemutassuk a páciensnek a kezelés során elért eredményeket, mivel ezzel tudjuk őt leginkább arra motiválni, hogy fenntartsa az elért, megfelelő szájhigiéniás állapotot, továbbá, hogy rendszeresen megjelenjen a jövőben tervezett kontrollvizsgálatokon. A megfelelően kivitelezett LAFMD protokoll befejezésekor, a páciensünk is megfigyelheti, hogy sem gyulladásos tüneteket, sem vérzést nem tapasztal, valamint érezheti a lágyrészek stabilitásából és a megfelelő szájhigiéniás státuszból fakadó előnyöket (16. ábra). A Condor intraorális szkennerel készített színes, háromdimenziós modellek kiválóan alkalmasak a szájüregi státusz bemutatására, továbbá a páciens hatékony motivációjának elősegítésére.

Megbeszélés

A LAFMD protokoll egy kiváló példa arra, hogy miként tudja a legmodernebb technológiákat felhasználó protokoll hatékonyan elősegíteni egy gyakorló fogorvos mindennapi munkáját. Az alkalmazásával – minimál invazív, kis kellemetlenséggel járó, nem-sebészi módszerek segítségével – a pácienseinknek jól megjósolható végeredménnyel járó terápiás lehetőségeket tudunk felajánlani. A modern fogorvosi ellátás ezt a szemléletet képviseli, és ezt igyekszik nap mint nap megvalósítani. Forrás: Laser; 2018,4 10-14.

22 e-Journal LÉZER A FOGÁSZATBAN
ábra: 17. ábra:
ARANY MUNKÁIT RENDELJE MEG A SCHULZE LABORTÓL! Több mint 100 éves tapasztalat! INLAY, ONLAY ARANY KERÁMIA ARANY LEMEZ ARANY KOMBINÁLT MUNKA LEMEZ ARANYOZÁS GALVÁN MUNKÁK KESZÍTÉSE ELÉRHETŐSÉG: +36 20 366 10 80 schulzefogtechnika@gmail.com ...és ami mögötte van biztos megoldás a fogászati szakma elérésére

A lágyrészekkel fedett fogak sebészi felszabadítása

gyorsítására alkalmazott alacsony energiájú lézeres terápia fogak kezelése céljából alkalmazott terápia kimenetelére.

gyökerekkel rendelkező fogak esetében. Ez a megközelítés

A kiegészítő kezelés révén a parodontális szövetek egészsége, az esztétikai megjelenés is kedvezőbb lehet. Ez a hatás

felszabadítása során alkalmazott lézerek, továbbá a fogmozgatás terápia kombinálása kedvező hatással lehet az impaktált kimenetelére. Ez különös mértékben igaz lehet a dilacerált megközelítés jelentősen javíthat az eset várható prognózisán. egészsége, az okkluzális viszonyok minősége, valamint hatás még látványosabb lehet fiatal páciensek esetében.

EGY DILACERÁLT GYÖKÉRREL RENDELKEZŐ IMPAKTÁLÓDOTT

FELSŐ NAGYMETSZŐFOG LÉZERES TERÁPIÁVAL

KIEGÉSZÍTETT ORTHODONCIAI KEZELÉSE

Bevezetés

Már a vegyes fogazattal rendelkező páciensek körében is gyakran találkozhatunk impaktálódott fogakkal. Ebben a korban legtöbbször a felső metszőfogak impakcióját figyelhetjük meg. A frontfogak előtörése során előforduló diszkrepanciák a későbbiekben súlyos esztétikai problémák kialakulásához vezethetnek. Ennek a cikknek az a célja, hogy bemutassa egy impaktálódott felső középső metszőfog lézerrel asszisztált sebészi feltárását, továbbá az azt követő sikeres orthodonciai mozgatását. A cikknek ugyancsak célja, hogy felhívja a figyelmet az impaktálódott felső középső metszőfogak ellátásának fontosságára, valamint, hogy rámutasson a lézeres sebészi feltárásra, valamint a fogmozgatás gyorsaságára gyakorolt pozitív hatásaira.

Esetbemutatás

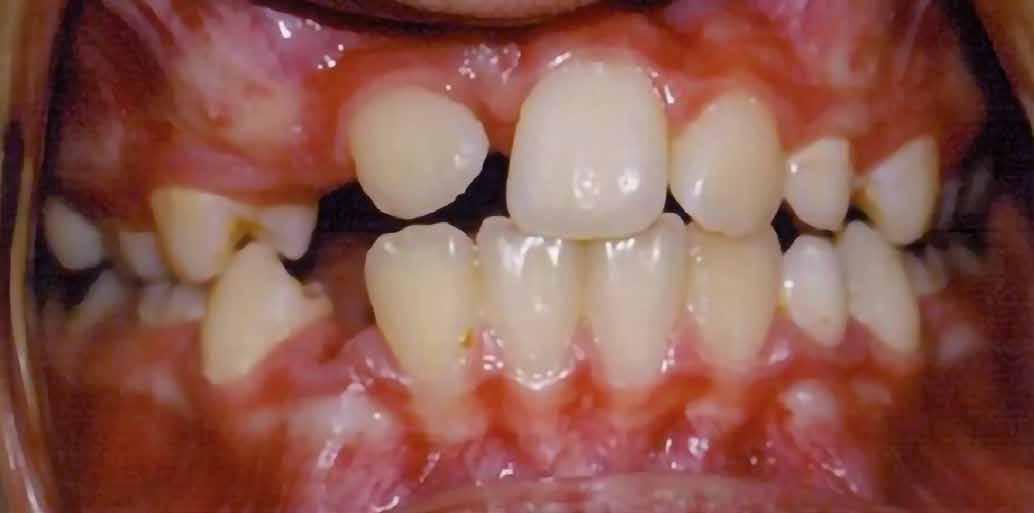
A 10 éves férfi páciens a felső frontfogai késői/nem megvalósuló előtörése miatt kereste fel a rendelőnket. A klinikai és a radiológiai vizsgálat során a jobb felső nagymetszőfog impakcióját észleltük (1. ábra). A fog horizontális tengelyállással és dilacerált gyökérrel rendelkezett. A felső dentális középvonal a fogak vándorlása miatt jelentős mértékben elcsúszott. A bal felső kismetszőfog is rendkívül kedvezőtlen pozícióba került.

A kezelés

A kezelés első lépéseként az összes maradó fogra breketteket rögzítettünk. A felső fogív nivellálása, a ferde tengelyállá-

26 e-Journal LÉZER A FOGÁSZATBAN
Dr. Kazem Dalaie, dr. Samin Ghaffari, dr. Mazir Mir (Irán, Németország) 1. a ábra: Az intraorális felvételen jól látható a jobb felső nagymetszőfog lehetséges impakciójára utaló foghiány.
27 VI. ÉVFOLYAM – 2023. 8. SZÁM
1. b ábra: A panoráma röntgenfelvételen megfigyelhető a teljes impakcióban lévő jobb felső nagymetszőfog. 1. c ábra: A CBCT felvétel is igazolja a jobb felső nagymetszőfog impakcióját.

sok korrigálása, valamint az impaktálódott fog előtöréséhez szükséges hely megteremtését követően, egy merev acél ív segítségével stabilizáltuk a fogakat. Ezt követően elvégeztük a jobb felső nagymetszőfog sebészi feltárását. A fog koronáját csupán lágyrész borította, ezért nem volt szükség a csontállomány elvételére. A felszabadítás során egy 975

nm-es hullámhosszon pulzáló üzemmódban alkalmazott lézert használtunk (LaserHF standard, Hager & Werken). A teljesítménye 3 W, az aktív ciklus-idő 50%-os, a vezetőszál átmérője pedig 0,4 mm volt (2. ábra). A lézert 150 másodpercen keresztül alkalmaztuk. A fogat borító lágyrészek eltávolítását követően egy láncos brekettet rögzítettünk a metszőfog bukkális felszínére. A műtétet követően nem tapasztaltunk vérzést, nem alakult ki oedema, valamint a páciens sem számolt be fájdalom vagy bármely egyéb kellemetlenség fennállásáról. A felszabadítást követően a páciens minden hónapban háromszor jelent meg a felszabadított területre ránövő lágyrészek és az íny lézeres eltávolítása céljából. A beavatkozások során ugyanazt a lézer készüléket használtuk, mint amivel a felszabadítást végeztük. Közvetlenül a felszabadítást követően megkezdtük a fog finom extrudálását a láncos breketthez kötött füzérgumi segítségével.

28 e-Journal LÉZER A FOGÁSZATBAN
2. ábra: Az impaktált fog lézerrel asszisztált sebészi feltárása. 3. ábra: A kezelés megkezdését követő 15. hónapban megfigyelhető a sikeres felszabadítást, fogmozgatást és pozicionálást követően látható állapot.
R

A 975 nm-es hullámhosszt elsősorban sebészi beavatkozások végzése során alkalmazzák. Az ezzel a hullámhosszúsággal rendelkező lézersugarak csak kis mélységben képesek a lágyrészeket penetrálni, valamint hagyományosan nem ezeket szokták biostimuláció során használni. Ugyanakkor minden sebészi célra alkalmazott lézer körül megfigyelhetünk egy csökkenő intenzitással (azaz fényerővel) rendelkező gyűrűt, amely perifériáján biostimulációs hatások is létrejöhetnek. Az alacsony energiájú lézeres terápia (low-level laser therapy; LLLT) során a lézeres fejet a lágyszövetektől nagyobb

távolságban vezetve, az alábbi paraméterek mellett alkalmaztuk: pulzus üzemmód, 100 mW teljesítmény, 660 nm-es hullámhossz. A lézeres fejen lévő nyílás nagysága 0,125 mm2 volt (0,4 mm átmérő). A biostimuláció során egy megközelítőleg 7 cm2-es területet világítottunk meg a kérdéses fog vesztibuláris és palatinális oldalának megfelelően. A megvilágítás időtartama minden találkozó során 150 másodperc volt. A leadott energia 15 J, az energiasűrűség pedig 17J/ cm2 körül mozgott. A lézeres terápiát a kívánt fogpozíció eléréséig minden hónapban megismételtük. Ez a folyamat

30 e-Journal LÉZER A FOGÁSZATBAN
4. a ábra: A CBCT felvétel igazolja, hogy a jobb felső nagymetszőfog megfelelő pozícióba került. Az ínyszél lefutása kedvező, a fog gyökere körül elfogadható mennyiségű csontállomány ábrázolódik, valamint a gyökérfelszívódás mértéke sem túl kifejezett.
YOUR WORLDWIDE NO.1 REFERENCE UNIQUE BIOFUNCTIONALITY OUTSTANDING QUALITY 1,2 > Strictly controlled raw material selection > Cutting-edge production > Quality management of the final product References ISO 13485 certificate, research and development 2 ISO 9001 certificate, multi site quality management www.geistlich-pharma.com/en/about-us/geistlich/ about-geistlich/quality/
PRODUCT
IS IN OUR HANDS alphaimplant.hu More details about our products: www.geistlich-biomaterials.com
FROM A TO Z: THE WHOLE
KNOWLEDGE

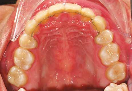
6 hónapon keresztül tartott. Ennek megfelelően a fog körül található szövetek a felszabadítás, valamint a havi kontrollok során 975 nm-es (több mint 25 J/cm2 energiasűrűség) és 660 nm-es hullámhosszúságú (12–18 J/cm2 energiasűrűség) lézersugarakkal is megvilágításra kerültek. Az impaktálódott fogat megközelítőleg 7 hónap alatt tudtuk megfelelő pozícióba mozgatni (3. ábra). Az orthodoncia kezelés aktív szakasza 18 hónapon keresztül tartott. A fogívek végső nivellálását és a fogak végleges pozícióba rendezését 0.018 × 0.025-ös acélívekkel végeztük.

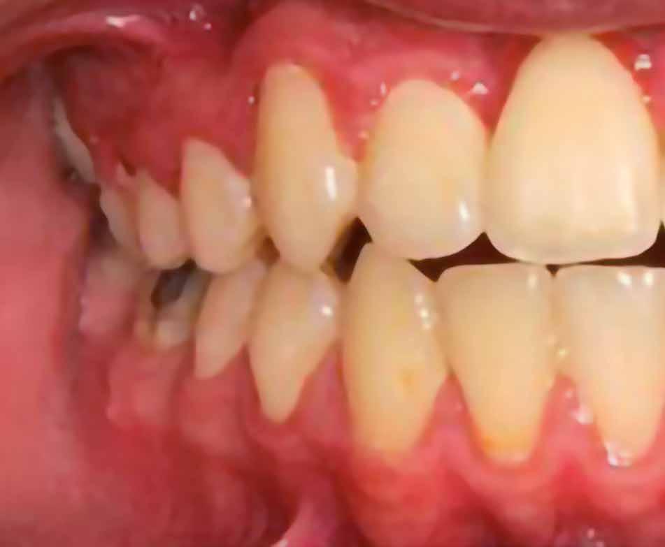
A kezelés befejezésekor a páciens mosolya drámai mértékben javult, továbbá a frontfogak elhelyezkedése és az ínyszél lefutása is szemmel látható módon kedvezőbbé vált (4. ábra). A kezelés végén készült CBCT felvétel nem mutatta

csontfelszívódás jelenlétét, és csupán minimális mértékű gyökérfelszívódás bekövetkezését igazolta.

Összefoglalás

A lágyrészekkel fedett fogak sebészi felszabadítása során alkalmazott lézerek, továbbá a fogmozgatás gyorsítására alkalmazott alacsony energiájú lézeres terápia kombinálása kedvező hatással lehet az impaktált fogak kezelése céljából alkalmazott terápia kimenetelére. Ez különös mértékben igaz lehet a dilacerált gyökerekkel rendelkező fogak esetében. Ez a megközelítés jelentősen javíthat az eset várható prognózisán. A kiegészítő kezelés révén a parodontális szö-

32 e-Journal LÉZER A FOGÁSZATBAN
4. b ábra: A panoráma röntgenfelvétel is alátámasztja a CBCT felvételen látottakat. 4. c ábra: Az intraorális felvételen megfelelő fogpozíciók és kedvező ínyszéli lefutás ábrázolódik.

A lézerrel asszisztált felszabadítás előtt készített felvétel.

periapikális felvétel.

felvétel.

vetek egészsége, az okkluzális viszonyok minősége, valamint az esztétikai megjelenés is kedvezőbb lehet. Ez a hatás még látványosabb lehet fiatal páciensek esetében.

( A cikk megírása során felhasznált szakirodalmi hivatkozások teljes jegyzéke elérhető szerkesztőségünkben.)

Forrás: Ortho 2021;2 6-11

33 VI. ÉVFOLYAM – 2023. 8. SZÁM
5. a ábra: 5. b ábra: A végső állapotról készült 5. c ábra: A végső állapotról készült

INNOVATÍV ENDODONTIA A SWEEPS TECHNOLÓGIÁVAL

Tippek és trükkök

A hagyományos endodontiai kezelés különböző fázisokon alapul, amelyek a pulpa és a periapikális terület akut vagy krónikus gyulladásának megszüntetését eredményezik (1. táblázat) [1-3]. A terápia különböző fázisai a következők:

- az endodontikus tér kezdeti tisztítása,

- a gyökércsatornák kialakítása az irrigánsok bejuttatásához megfelelő méretűre,

- az endodontikus tér végleges tisztítása és 3D fertőtlenítése, valamint

- az endodontikus tér 3D-s lezárása, valamint az endodontia utáni tér és a korona helyreállítása a terápia lezárásaként.

Korábban nem kezelt Korábban kezelt

Tünetmentes irreverzibilis pulpitis

Tüneti irreverzibilis pulpitis

Tünetmentes apikális parodontitis

Tünetmentes apikális parodontitis

Tüneti apikális parodontitis Tüneti apikális parodontitis

1. táblázat: Az endodontiai patológia diagnosztikai osztályozása [1-3].

A tisztítási és alakítási fázisok két különböző típusú tisztítást foglalnak magukban: a kémiai tisztítást, amelyet különböző öblítőoldatokkal végeznek, és a mechanikai tisztítást, amelyet a gyökércsatornákat alakító endodontiai eszközökkel végeznek. Számos tanulmány azonban kimutatta a vizsgált műszerek nem teljes hatását, amelyek a csatorna felszínének 35%-át vagy annál nagyobb részét változatlanul hagyták [4-6]. Ennek megfelelően az endodontikus tér hatékony átmosása határozza meg a terápia sikerét. A formázási fázisban a kézi irrigálást vég- vagy oldalnyílású tűvel ellátott fecskendővel végezzük, váltakozva a különböző méretű reszelőket használó műszeres kezeléssel. A baktériumterhelés csökkentése mellett az irrigálószerek a végső aktivált irrigációs protokollt megelőző reszelés során kenőanyagként is működnek. E cikk célja, hogy bemutassa az endodontiai terápia innovatív logikáját a legújabb, legmodernebb SWEEPS (shock wave enhanced emission photoacoustic streaming) lézertechnológia alkalmazásával.

Öblítő oldatok az endodontia területén

Az endodontia során különböző irrigáló oldatokat használnak a mikroorganizmusok elpusztítására, a szerves kompo-

nensek (pulpa maradványok és kollagén) feloldására, valamint a szervetlen komponensek (meszesedés és törmelék) kelátképzésére és eltávolítására [7]. A kenetréteg szerves és szervetlen komponensekből egyaránt áll. Nincs azonban olyan irrigáló oldat, amely az összes ideális tulajdonsággal rendelkezik [7]. A hatékony irrigációs megközelítés a különböző irrigáló oldatok használatának meghatározott váltakozó sorrendjén alapul, a terápia előtt, alatt és végén. A hozzáférési üreg kialakítása után a gyökérkezelés a pulpakamra és a csatornák tisztításával kezdődik, antibakteriális és pulpaoldó hatású irrigálószerrel.

Nátrium-hipoklorit

A nátrium-hipoklorit (NaOCl, 1-6 %) a fő irrigálószer, amelyet az endodontia területén használnak, magas baktericid aktivitása és a pulpaszövetet feloldó hatása miatt [7]. A nagyobb NaOCl-koncentrációval gyorsabb baktériumterhelés-csökkentés érhető el; azonban minél koncentráltabb a NaOCl-oldat, annál sűrűbb, ami a nedvesítő képesség csökkenését eredményezi. A NaOCl-t ma is az endodontia arany standard oldataként ismerik el, mivel a terápia kezdeti és végső fázisától kezdve alkalmazzák [7] A NaOCl jelentős biológiai toxicitási kockázatot jelent a periapikális szövetekre nézve, amikor nyomás alatt nyomják át a gyökércsatorna nyílásán [8]. A magasabb koncentrációk esetén az eredmény jelentősen rosszabb.

EDTA

A gyökérkezelés során gyakran alkalmaznak kelátképző oldatokkal, például etiléndiamintetraecetsavval (EDTA, 1517%) történő öblítést. NaOCl-lal váltakozva, például meszes csatornák esetében és a kezelés végén, az EDTA megtisztítja a csatornafalakat a törmeléktől és a műszeres kezelés során keletkezett kenetrétegtől, közvetlenül a végső fertőtlenítés előtt. Az EDTA enyhén irritáló, de nem toxikus a periapikális szövetekre.

Klórhexidin

A klórhexidin (2%) jó antibakteriális tulajdonságokkal rendelkezik, de nem képes feloldani a pulpaszövetet. Ez azt sugallja, hogy csak egy kiegészítő végső dekontaminációs lépésben használható, mivel egyedülálló szubsztantív tulajdonsága miatt tartós reziduális antimikrobiális hatást tehet lehetővé. Fontos, hogy a NaOCl és a klórhexidin közötti kölcsönhatást megelőzzük azáltal, hogy az oldatok között a csatornákat desztillált vízzel öblítjük, hogy elkerüljük a fogat elszíneződő, potenciálisan mutagén vegyületeket tartalma-

34 e-Journal LÉZER A FOGÁSZATBAN
Drs Giovanni Olivi, Linhlan Nguyen, Matteo Olivi & Jason Pang (Olaszország, Ausztrália)

XP-endo Finisher

Self-Adjusting File

táblázat: Irrigálószerrel való keverési technikák.

Hand dynamic

Sonic

Multi-sonic

Ultrasonic

Laser-activated irrigation (PIPS* and SWEEPS**)

EndoVac

* PIPS = fotonok által indukált fotoakusztikus áramlás. ** SWEEPS = lökéshullámmal erősített emissziós fotoakusztikus áramlás.

zó csapadékok képződését [9, 10]. A szerves szövetek feloldására való képtelensége magyarázza a periapikális szövetekre gyakorolt toxicitás hiányát is [11, 12].

Egyéb megoldások

Más kémiai oldatokat is vizsgáltak és használtak az endodontia területén. Ezek közül a hidrogén-peroxid, a jód, a citromsav, az ózon (gáz) és az ózonozott víz áll rendelkezésre, de egyik sem bizonyította a korábban említett NaOCl és EDTA oldatoknál jobb tulajdonságait és eredményeit. Az EDTA plusz Cetavlon és a doxiciklin, citromsav és egy mosószer keveréke olyan új oldatok, amelyek különböző komponenseket, felületaktív anyagokat és antibiotikumokat kombinálnak, amelyek nagyon hatékonyak és szélesebb körű hatásúak lehetnek. A nanorészecskék kísérleti alkalmazása szintén nagyon ígéretes.

Irrigálószer-aktiválási technikák

A kezdeti öblítési fázis és a formázás alatti öblítés egy olyan fecskendővel történik, amelynek vég- vagy oldalsó nyílású tűje csak a középső harmadig képes a csatornán áthaladni. Ezért figyelembe kell venni, hogy a kézi irrigálás hatékonysága meglehetősen korlátozott; ezért a kezelés végén kiegészítő, aktív és dinamikus irrigálást (2. táblázat) javasolunk a dentális falak tisztításának és az endodontikus rendszer mély dekontaminációjának biztosítására [13]. A különböző aktiválási módszerek között találunk olyan rendszereket, amelyek az irrigáló oldatokat melegítik, vagy amelyek az oldatokat pozitív vagy negatív apikális nyomással, keveréssel aktiválják.

Melegítés

A NaOCl 180 °C-on történő csatornán belüli melegítésével kapcsolatos pásztázó elektronmikroszkópos vizsgálatok bebizonyították, hogy ez a módszer hatékonyabb a csatornafalak tisztítására, mint a csatornán kívüli, 50 °C-on történő melegítés, amely nagyobb mennyiségű törmeléket és széles körben eloszló kenetréteget hagyott maga után [14] Más vizsgálatok arról számoltak be, hogy a NaOCl 1 %-os koncentrációja 60 °C-ra melegítve jelentősen hatékonyabb volt, mint 5,25 %-os koncentrációja 20 °C-on. A magasabb hőmérsékletre melegített, alacsonyabb koncentrációjú NaOCl alkalmazásának előnye kettős hatáshoz kapcsolódhat: azonos hatékonyság és kisebb szisztémás toxicitás, mint a nem melegített, magas koncentrációjú NaOCl esetében [15]

Agitációs technikák

Az agitációnak a szöveti oldódásra gyakorolt hatása azonban nagyobbnak bizonyult, mint a hőmérsékleté, és a folyamatos agitáció a leggyorsabb szöveti oldódást eredményezte [16].

A különböző agitációs rendszerek hatékonyságát összehasonlítva De Gregorio és munkatársai az irrigálószer korlátozott behatolását találták az oldalsó csatornákba egy apikális negatív nyomású irrigációs rendszer használatával, míg a passzív ultrahangos irrigálás az irrigálószer lényegesen nagyobb behatolását mutatta az oldalsó csatornákba [17].

Mindazonáltal ésszerű lehet a két technika kombinálása, a fűtött NaOCl használata és az előnyben részesített módszerrel történő agitálás.

Lézerrel aktivált öntözés a SWEEPS segítségével

A lézeraktivált öntözés és a SWEEPS-technológia fizikai koncepcióit már ismertettük e magazin egy korábbi számában (4/2019) [18]. A SWEEPS egyik nagy előnye az összes többi aktiválási technikával szemben a mélyreható hatékonysága. Az összes többi technikával ellentétben a SWEEPS hatása nem korlátozódik a hegy környékére, mint az ultrahangos irrigálás esetében, hanem a gyökércsatorna-rendszer távolabbi régióiban is hatékony [19, 20]. Ezért a SWEEPS-nek csak a hegynek a hozzáférési üregben való elhelyezésére van szüksége ahhoz, hogy az irrigálószer egyszerre áramoljon az egész endodontikus térbe. Ez eltér más technikáktól, amelyeknél a gyökércsatornák előkészítése után tűt vagy hegyet/reszelőt vagy szondát kell bevezetni az egyes csatornák apikális harmadáig vagy annál tovább az irrigáláshoz. Így a SWEEPS a terápia kezdeti fázisától egészen a végső fázisig használható, lehetővé téve a baktériumterhelés fokozatos csökkentését, mielőtt bármilyen reszelőt használnának. A SWEEPS hatékonysága és eredményessége az endodontikus oldatok kémiai aktiválásán alapul az agitáció révén, [21, 22] ami javítja az irrigánsok baktériumölő és szövetoldó képességét, valamint a gyökércsatorna falának tisztítását szolgáló mechanikus öblítőhatáson [23, 24].

A kutatók a SWEEPS kettős modalitást hatékonyabbnak találták, mint az egy impulzusos SSP (super-short pulse; PIPS, photon-induced photoacoustic streaming) modalitást [2528]. A SWEEPS kettős impulzusos modalitást alkalmazva a második lézerimpulzus által generált második buborék hirtelen tágulása további nyomást gyakorol az első buborékra, ami annak heves összeomlásához vezet, amelynek során lökéshullámok keletkeznek a nagyon kis csatornákban is. Továbbá lökéshullámokat bocsátanak ki az összeomló másodlagos kavitációs buborékok, amelyek a lézerrel aktivált irrigálás során a csatorna teljes hosszában természetes módon

35 VI. ÉVFOLYAM – 2023. 8. SZÁM
2. Kemomechanikai rendszerek Túlnyomásos rendszerek Alulnyomásos rendszerek

1. ábra: A 12. fog - a röntgenfelvételen nagyméretű periapikális elváltozás látható. A tünetmentes fogat ISO 25/.06 TF Adaptive reszelővel (Kerr Dental) preparáltuk. – 2. ábra: A 12. fog gyökércsatornájának tömését ásványi trioxid aggregátummal (ENDOSEAL MTA, Maruchi) végeztük. Figyeljük meg az apikális elágazás lezárását, ami az apikális terminus hatékony tisztítása és dekontaminálása miatt lehetséges. A gyógyulás 12 hónap elteltével csaknem teljes volt. – 3. ábra: 33. fog - a páciensnél egy bukkális sinus traktus volt látható, amely röntgenfelvételen a 32. és a 33. fog közötti területnek felelt meg. A CBCT és a röntgenfelvétel nagyméretű periradikuláris elváltozást mutatott, különösen a disztális oldalon. A preparálást 20/,07v ProTaper Gold (F1; Dentsply Sirona) készülékkel végeztük. – 4. ábra: A 33. fog gyökércsatorna obturációját sealer és hordozó alapú guttapercha (AH Plus és Thermafil, Dentsply Sirona) segítségével végeztük. A hat hónappal a műtét után végzett röntgenellenőrzés azt mutatta, hogy több oldalsó csatorna feltöltődött, és a gyógyulási folyamat folyamatban van.

keletkeznek [25-29]. A másodlagos kavitációs buborékok összeomlásuk során a csatornafalak közvetlen közelében vannak, nyírófeszültséget és örvényes áramlásokat generálva, amelyek képesek eltávolítani a törmeléket, a kenetréteget és a biofilmet a gyökércsatorna felszínéről, valamint a fel nem fedezett és műszerrel nem rendelkező anatómiai területekről, például az isztmuszokból, az oldalsó csatornákból, a hurkokból és a ramifikációkból, ezáltal tovább fokozva a tisztítási és dekontaminációs mechanizmust (1-4. ábra). A gyökércsatorna mentén létrejövő fokozott nyomás következésképpen az irrigálószereknek a dentinális tubulusokba való behatolásának mélységét is növeli [25-28].

Klinikai protokollok

A beteg megfelelő drapériázása vízálló melltartóval a ruházat védelme érdekében erősen ajánlott. Minden esetben

(tünetmentes és tüneti) helyi érzéstelenítést végzünk, hogy elkerüljük a kezelés során a belső nyomás kellemetlen érzését. Ezután fogászati gátat helyezünk fel, és a teljes izoláció biztosítása érdekében a fogó alá egy folyékony gátat zárunk (5. ábra). Okklusális vagy proximális szuvasodás vagy hibás tömés esetén a szuvas szövet és a tömés teljes eltávolítását kell elvégezni, majd a teljes fogkorona kompozit rekonstrukcióját; ez az előzetes lépés kötelező a szivárgás és az újrafertőződés minimalizálása érdekében. Ezenkívül a jó marginális tömítés megakadályozza az irrigálószer extrudálását a lézerrel aktivált irrigálás során.

A hozzáférési üreg előkészítése

5. ábra: A SWEEPS megfelelő szigetelése fontos. A gátfogó alatt egy folyadékgátat reteszeltek. A maxilláris első moláris hagyományos hozzáférési üregének preparálását hengeres vagy kerek gyémántfúróval végeztük nagyítás mellett (4,5-6,0 x).

Ezen a ponton a hozzáférési üreget egy kis keményfém, vagy hengeres vagy kerek gyémántfúró segítségével nagyítás mellett (4,5-6,0 x) megnyitjuk. A hagyományos hozzáférési üreg előkészítése a centralitás és koncentricitás törvényeit követve célszerű (5. ábra) [30]. Több tanulmány is bizonyította, hogy az ultrakonzervatív „ninja” hozzáférési üreg előkészítése nem hasznos a törésszilárdság és az eredeti csatorna anatómia megőrzése szempontjából a formázás során a hagyományos hozzáférési üreg előkészítéséhez képest, különösen az apikális szinten. Továbbá, a standardizált hozzáférési üreg előkészítése tanácsos, ha az X-SWEEPS modalitást választjuk a lézerrel aktivált irrigáláshoz. A jövőbeni publikációkban ezt a témát részletesen ki fogjuk fejteni, hogy megállapíthassuk a standardizált hozzáférési üreg-előkészítési térfogat mellett alkalmazandó helyes lézerbeállításokat. Bármilyen patológiáról legyen is szó, a koncepció a gyökércsatorna alakításának minimalizálása, az endodontikus tér tisztításának és dekontaminációjának optimalizálása a SWEEPS kemo-mechanikus öblítésének kihasználásával. A fő különbség a tünetmentes és a tüneti pulpitisz és az apikális parodontitis terápiája között a hosszabb vagy rövidebb NaOCl SWEEPS-aktivált kezdeti öblítési fázisban van. A retreatment szintén tartalmaz néhány különbséget a kezdeti

36 e-Journal LÉZER A FOGÁSZATBAN
1 2 3 4
powered by TM Launch! Empowering Predictability and Performance in Immediacy KIZÁRÓLAGOS MAGYARORSZÁGI FORGAL MAZÓ alphaimplant. hu

fázisban alkalmazott energiában, amikor a tömőanyagot el kell távolítani.

Tünetmentes és tünetmentes irreverzibilis pulpitis

Irreverzibilis pulpitisz esetén a pulpa visszafordíthatatlanul gyulladt, akut tünetekkel vagy anélkül. A páciens életkora és a műtét előtti röntgenfelvétel információt ad egy esetleges éretlen csúcsról; ez az állapot ellenjavallt a teljes erejű SWEEPS-öblítésre, és óvatosabb beavatkozást és az alkalmazott energia csökkentését javasolja (erről bővebben később). A pulpakamra megnyitása után túlzott vérzés jelentkezhet, ami gyulladt pulpaszövet jelenlétére utal a kamrában és a gyökércsatornákban. Ebben az esetben egy látogatásos kezelés javasolt. A kezelés NaOCl-öblítéssel kezdődik fecskendővel (3-5 ml) és egyidejű aktiválással Er:YAG lézerrel (2940 nm; LightWalker AT, Fotona), a kétimpulzusos (25 μs du-ration) Auto-SWEEPS modalitással 30-40 másodpercig. Az irrigálást követő nyugalmi idő 1-2 percre meghosszabbítható, hogy a NaOCl-pulpa nagyobb mértékű feloldódását tegye lehetővé. Lapos vagy radiális végű SWEEPS hegyet (400 μ) használunk. A pulpaszövetben a gyulladás különböző fokozatait (szintjeit) lehet kimutatni, egészen a kezdeti nekrotikus degenerációig. Ebben a szakaszban fontos mérlegelni, hogy maga a pulpaszövet megakadályozza-e az irrigálószer extrudálását, így a teljes teljesítményű Auto-SWEEPS aktiválás (20 mJ 15 Hz-en és 0,6 W-on) elvégezhető a pulpa majdnem teljes feloldódásáig, amit a vérzés fokozatos csökkenése jelez. A fog típusától és állapotától függően ez a kezdeti fázis egygyökerű fogak esetében két-három, premolárisok és molárisok esetében pedig akár három-négy cikluson keresztül is megismételhető.

A kezdeti öntözési fázis szintén csökkenti a baktériumterhelést. A hozzáférési üreget most már nagyítással (6-10x) lehet megfigyelni, hogy az összes csatornanyílást megtaláljuk. Ha nem minden nyílás látható, az ultrahangos hegyek használatával könnyen felfedezhetők a pulpakamra meszesedés alatt rejtőző nyílások. Ezek általában a szögeknél, a padló-fal találkozásánál és a gyökérfejlődési fúziós vonalak végpontjánál találhatók. Ezután a nyílások előfúvása és a csatornák koronális harmadának megnagyobbítása lehetővé teszi a csatornákhoz való könnyű és közvetlen hozzáférést. Ezt követően kézzel vagy speciális rotációs műszerekkel közvetlen siklóutat alakítunk ki az apikális harmadig, a csúcsponttól 3-4 mm-re. Ez a kézi vagy rotációs műszeres lépés törmeléket és dentinforgácsokat eredményez, amelyeket Auto- SWEEPS NaOCl öblítéssel kell eltávolítani, ismét 30-40 másodpercig, majd 30 másodperc nyugalmi idő következik. Ezen a ponton egy kis rozsdamentes acél kézi reszelő (ISO 06-10) használata ajánlott, karbamid-peroxidot vagy EDTA-t tartalmazó krémmel a kenés és a szövetek eltömődésének elkerülése érdekében, amikor a reszelőt az anatómiai nyíláshoz csúsztatjuk a csatorna feltérképezése és az anatómiai hossz meghatározása céljából (6. ábra). Hangsúlyozni kell, hogy ekkorra a pulpaszövet nagy részét már feloldotta a NaOCl, és az előző fázisok helyes követése esetén nagyon nehéz a pulpamaradványok vagy törmelék eltávolításának lehetősége az elérhetetlen anatómiai területeken belül. A baktériumterhelés is nagymértékben csökken, így a baktériumok apikális szállítása minimális vagy hiányzik. Az elektronikus apex lokátor használata és a

6. ábra: Az üreg hozzáférésének előkészítése után a SWEEPS segítségével lézerrel aktivált NaOCl-öntözést végeznek a hozzáférési üregben. Ezután karbamid-peroxidot tartalmazó kenőgélt helyezünk a reszelőre (vagy az üregbe), hogy kenjük és elkerüljük a szövetek eltömődését, amikor a reszelőt az apikális szűkülethez csúsztatjuk. (Dr. Giovanni Olivi jóvoltából)

röntgenfelvételek megerősítése biztosítja a fog anatómiai hosszának ellenőrzését.

Az apikális szűkítéshez különböző megközelítések alkalmazhatók: az anatómiai hosszúságra vagy 1 mm-rel rövidebbre dolgozhatunk, hogy elkerüljük az apikális nyílás megnagyobbodásával járó esetleges túlinstrumentálást. Ez az egyik oka az esetleges extrúziónak a kezelés végén (7. ábra). Ekkor a csatornák minimálisan előkészíthetők. Mivel a SWEEPS technológiánál nem szükséges a hegyet a csatornába helyezni, nem szükséges a csatornákat nagy méretben előkészíteni. Ez konzervatívabb és biomimetikusabb eredményt eredményez: 20/,06 és 25/,06 elegendő a hermetikus apikális obturációhoz. Ezt a két vagy három mechanikus előkészítési lépést mindig Auto-SWEEPS NaOCl-öblítéssel és az apikális anatómiai szűkületnél használt kisebb első eszközzel (ISO 06 vagy 08) történő újrakötéssel váltogatjuk, hogy biztosítsuk az apikális átjárhatóságot és eltávolítsuk az instrumentálás során keletkezett esetleges dentális dugókat (8. ábra).

Tünetmentes és tünetmentes apikális parodontitisz

A krónikus patológia évekig tünetmentesen és hőmérséklet-túlérzékenység nélkül is fennállhat, és a diagnózis alkalmanként, radiográfiai ellenőrzéssel végzett szűrővizsgálatok során felállítható. A minimális lamina dura dilatatiótól a nagyobb periapikális radioluolens léziókig terjed. Ha tüneteket mutat, a fog fájdalmas tompa fájdalommal, szakaszos fájdalommal, ínyérzékenységgel, amely érintésre fájdalmas lehet, akár kínzó fájdalommal is járhat fellángolás esetén, esetleges bukkális duzzanattal és esetlegesen látható bukkális sinus traktussal, és a fog ütögetésre érzékeny. Gyakrabban előfordul, hogy az ilyen fogat már korábban fogászati kezelésnek vetették alá, például teljes koronát vagy mély restaurációt kapott, visszatérő szuvasodással vagy anélkül, és kezeletlen mély szuvasodással (üreggel) rendelkezhet, amely a pulpakamrába nyúlik. Ebben az esetben a szuvasodás eltávolítása és az üregtömés rekonstrukciója előzetesen a korábban említett módon történik.

38 e-Journal LÉZER A FOGÁSZATBAN

H1 a vezetéknélküli okoslézer

3év garancia

• 10 W folyamatos teljesítmény (810/980nm)

• Magyar nyelvű kezelési menü

• 2K ultra HD érintőképernyő

• Készüléken lejátszható oktató videók

• 45 előre beállított kezelési eljárás

• Vezeték nélküli készülék és lábkapcsoló

• WiFi kapcsolat, gyári szoftver frissítés

• 16 Gb adattárolás

• 3 év készülék garancia

• 5 év dióda garancia

• Sebészeti, implant beavatkozások

• Parodontális tasak kezelés

• Endodoncia, gyökércsatorna sterilizálás

• Biostimuláció, sebek gyógyítása

• Afta, herpesz, gyulladások kezelése

• Vérzésmentes operációs terület

• Fájdalommentes beavatkozás

• Dentint is érintő mélyfehérítés

Szett tartalma:

• PIOON H1 készülék

• Sebészeti kézidarab

• Biostimulációs vég

• Fogfehérítő vég

• 200 µm, 300 µm és 400 µm üvegszál

• 3 db védőszemüveg

• AJÁNDÉK! HeyDent fogfehérítő szett

Telefon: 06-20/9464-350

Üzleteink: 4400 Nyíregyháza, Szegfű u. 54/c

Bemutatóterem: 1037 Budapest, Bécsi út 314/c

Web: www.dentalmode.hu, e-mail: info@dentalmode.hu

Endodonciás, parodontológiai, sebészeti, terápiás beavatkozások és fogfehérítés egy készülékkel
1
665 000 Ft helyett 1 399 000 Ft

7. ábra: Az apikális nyílás megnagyobbodásával járó esetleges túlinstrumentálás elkerülése érdekében a szerzők azt javasolják, hogy az anatómiai hossznál 1 mm-rel rövidebbre dolgozzunk.

8. ábra: A kisebb első eszközzel (ISO 06 vagy 08) történő újbóli behatolás az apikális anatómiai szűkületig (munkahossz + 1 mm) történik az apikális átjárhatóság biztosítása és az instrumentálás során keletkezett esetleges dentinális dugók eltávolítása érdekében. Az utolsó millimétert a SWEEPS csak megtisztítja és fertőtleníti. (Dr. Giovanni Olivi jóvoltából).

A hozzáférési üreg létrehozásakor a kamra és a csatornák általában üresek, pulpaszövet nélkül. Néha, különösen a molárisoknál, a pulpa állapota csatornánként eltérő lehet. Egyesek minimális vérzéssel jelentkezhetnek. Duzzanat és periapikális tályog esetén genny folyhat ki a fogból a nyílásból a csatornanyílásokba. A kezelés két-három ciklusnyi sóoldatos öblítéssel (3-5 ml fecskendővel) és egyidejű Er:YAG lézerrel (2940 nm; LightWalker AT) történő aktiválással kezdődik, a kétimpulzusos (25 μs időtartamú) Auto- SWEEPS modalitással 30-40 másodpercig, 20 mJ és 15 Hz frekvencián. Ez a sóoldattal történő előzetes öblítés a kezdeti tisztító és antibakteriális hatás mellett [33] segít tesztelni az apikális szűkület átjárhatóságát az alkalmazott nyomásra. Gyakran előfordul, hogy a krónikus periapikális gyulladás az apikális szűkület megnagyobbodásához vezethet, így előfordulhat az irrigálószer extrúziója, különösen az ISO 40-50-nél nagyobb apikális szűkület esetén. Ezután a NaOCl-öblítést az Auto-SWEEPS aktiválja, alacsony energiájú, 10 mJ, 15

Hz-es frekvencián 30 másodpercre, hogy megkezdődjön a csatornák dekontaminálása és kenése, mielőtt az ISO 10 kézi reszelőt használnánk a csatorna feltárására és az átjárhatóság és az anatómiai hossz ellenőrzésére. Amint az apikális átjárhatóság és a munkahossz megállapításra került, az Auto-SWEEPS által aktivált új NaOCl-öblítést kell elvégezni. A 20 mJ-ról 15 vagy 10 mJ-ra csökkenthető energiakibocsátás lehetővé teszi az apexre irányuló áramlási nyomás csökkentését. A kétimpulzusos Auto-SWEEPS modalitás azonban a 10 mJ és 20 mJ közötti különböző impulzusenergiák esetén szinte állandó áramlási sebességet eredményezett az egyimpulzusos SSP modalitással összehasonlítva, ami az Auto-SWEEPS nagyobb biztonságát jelzi az impulzusenergiától függetlenül [29].

Továbbá a nyomás hatékonysága nagyobb a kisebb átmérőjű szálhegyek esetében (400 vs. 600 μ), és a radiális végű szálhegyek kissé kevésbé hatékonyak a nyomás előállításában a hengeres végűekhez képest [28]. Az egyszerűsítés érdeké-

9. ábra: A tüneteket mutató maxilláris második premoláris periapikális elváltozást mutatott a röntgenvizsgálaton. A bukkális és palatális csatornák preparálását 25/,08v ProTaper Gold (F2) készülékkel végeztük a röntgenfelvételen látható apexhez képest 4 mm-re. A 10-es méretű kézi eszközt a csúcspont 2 mm-es távolságáig használtuk.

10. ábra: A meszes csatornák akadályozták az apikális szűkület átjárhatóságát. A 15 %-os EDTA-oldat teljes teljesítményű Auto-SWEEPS (40 mJ, 15 Hz) aktiválása képes volt áthatolni az elzáródáson, hogy megtisztítsa és fertőtlenítse a konfluens íves csatornák utolsó 2 mm-ét. Az obturációt Thermafil és AH Plus tömőanyaggal végeztük.

40 e-Journal LÉZER A FOGÁSZATBAN
7 8 9 10

ben nagyobb apikális méret esetén javasolt az Auto-SWEEPS modalitást nagyobb méretű (600 μ), lehetőleg radiális végű véggel (X-Pulse) használni. Az energia és a hegy kiválasztásának ilyen kezelése lehetővé teszi a kezdő felhasználók számára, hogy óvatosan dolgozzanak a megváltozott apikális anatómia esetén. Ha az apikális nyílás nagyobb, mint ISO 40-50, egy egyszerű művelet, amely lehetővé teszi a nem kívánt irrigáns extrúzió ellenőrzését, a különböző kaliberű (ISO 40-től ISO 100-ig) különösen sima tűreszelő használata. Az apikális vég lezárja a csatorna apikális nyílását, míg laterálisan az összes irrigálószer végigáramlik a csatornán.

Meszes csatornák

Néha a harmadlagos dentin képződése miatt csatornaszűkületeket és meszesedéseket találhatunk, amelyek akadályozzák a csatorna átjárhatóságát (9. és 10. ábra). Több gyökérrel rendelkező fog esetén egy másik csatorna is hozzáférhető lehet, és a szokásos protokollt lehet alkalmazni a gyökércsatorna tömésének befejezéséig (11-13. ábra). Egy külön ülésben a kalcifikált csatornát EDTA-oldattal öblítjük, amelyet teljes teljesítményű Auto- SWEEPS aktivál és kényszerít 40 mJ és 15 Hz mellett (14. és 15. ábra). Az egy impulzusos USP üzemmód (25 μs) is hatékonyabb lehet a nyomásfejlesztés szempontjából. Megjegyzendő, hogy ha a csatornát meszesedés akadályozza, miközben a többi csatornát már előkészítettük reszelővel, ez az eljárás nagyobb energiával nagyon biztonságos. Ebben az esetben EDTA-t használunk

a dentin kelátképzésére és lágyítására, de néha vékony, merev ultrahangos hegy használata szükséges a meszesedés visszahúzásához a koronális harmadban. A középső és az apikális harmadban lévő elzáródás áthidalására EDTA géllel ellátott rozsdamentes acél kézi reszelőket lehet használni.

Végleges öntözési protokoll

Az előkészítés végén és a végső öblítési protokoll előtt a gyökércsatorna-rendszer már megtisztításra és fertőtlenítésre került a kezelés kezdetétől alkalmazott SWEEPS protokollal. További kutatásokra van szükség a SWEEPS tisztító képességének és nyomásfejlesztésének bejelentett hatékonyságának és eredményességének megerősítéséhez a dekontamináció tekintetében. Több kutató is újból beszámolt a PIPS alkalmazásával végzett SSP modalitás kiváló dekontaminációs eredményeiről [34-36]. Ezért ezt a bizonyítékokon alapuló protokollt alkalmazzuk a végső NaClO fertőtlenítéshez (16. ábra).

Folytassa a választott csúcsméret és forma (lapos vagy radiális végű) használatát:

– Két ciklusban 30 másodperces EDTA (15-17%) fecskendővel történő öblítést végeznek, amelyet a hozzáférési üregbe juttatnak, és az Auto-SWEEPS 20 mJ és 15 Hz-es frekvenciával aktivál. Nyitott apex esetén az energia 15 vagy 10 mJ-ra csökkenthető. Minden egyes ciklust 30 másodperces nyugalmi idő követ, hogy az oldat reagálhasson a dentin falán. Ekkor a guttapercha pontokat a hossz és az

41 VI. ÉVFOLYAM – 2023. 8. SZÁM
labor@dentartttechnik.hu www.dentarttechnik.hu +36 30 682 3827 Virtuális tervezés Ti és CoCr 3D nyomtatása Egyéni implantátumok Egyedi titán zsaluhálók Csontpótlás Csontpótlás eszközei Implantológiai fúrósablonok Műtéti segédeszközök 9024 Győr, Csokonai u. 10. Impl lantológiában és csontpótlásban az első!

11. ábra: Tüneteket okozó maxilláris első zápfog nagy meziookkluzális szuvasodással és nagy periapikális lézióval.

12. ábra: A gyökércsatorna-preparációt 25/,06 ProTaper

Next X2-vel (Dentsply Sirona) végeztük a bukkális csatornákban és 40/,06 X4-gyel a palatális csatornában, amely már meglévő apikális reszorpciót mutatott. Az obturációt EndoSequence BC Sealerrel (Brasseler) és guttaperchával végeztük. Az első és a második meziobukkális csatorna az apikális harmadban egyetlen nagyobb csatornává egyesült.

13. ábra: A három hónappal a műtét után végzett röntgenvizsgálat azt mutatta, hogy a gyógyulás gyorsan haladt.

14. ábra: A röntgenfelvételen mély disztális szuvasodás látható, nagy periapikális elváltozással a 47. számú tüneti fogon. A mandibuláris moláris fog tipikus C-alakú csatornát mutatott, és ISO 25/.06 TF Adaptive reszelővel preparálták.

15. ábra: Az Auto-SWEEPS (20 mJ, 15 Hz) 4 %-os NaOCl és 15 %-os EDTA oldat ak-tivációja képes volt feloldani a szövetet és a törmeléket a komplex radikuláris anatómiából, lehetővé téve a tömítőanyag (EndoREZ, Ultradent) számára a teljes endodontikus tér kitöltését (öt hónapos posztoperatív röntgenfelvétel).

apikális méret kalibrálása után lehet tesztelni. Ellenőrizni kell az apikális súrlódást és a retentiót, és szükség esetén módosítani kell. Ez az egyszerű művelet a kézdinamikai hatásával hozzájárul az irrigálás hatékonyságához.

– A csatornák öblítésére a végső fertőtlenítés előtt egy 30 másodperces, desztillált vízzel (vagy közvetlenül a 0/1es lézerpermetből származó vízzel) végzett egy ciklusban történik a csatornák öblítése.

– Három ciklus 30 másodperces NaOCl (legalább 5%-os) irrigálást végeznek egy fecskendő segítségével, amelyet a hozzáférési üregbe juttatnak, és az SSP aktivál 20 mJ és 15 Hz mellett. Az egyes ciklusok utáni nyugalmi idő szükség esetén (akut fertőzés) 30 másodperctől 120 másodpercig könnyen meghosszabbítható. Az energia 15 vagy 10 mJra csökkenthető, hogy elkerülhető legyen az extrúzió kockázata. Ha az apikális méret nagyobb, mint az ISO 40-50, egy vékony, sima, azonos apikális főméretű reszelőt kell választani az apikális terminus elzárására, mielőtt a fertőtlenítési ciklusok megkezdődnek.

16. ábra: SWEEPS végső öblítési protokoll: a terápia végén a végső öblítési protokoll két ciklus 17 %-os EDTA-t tartalmaz, amelyet az Auto-SWEEPS aktivál egyenként 30 másodpercig és 30 másodperces nyugalmi időt, majd ezt követi a SWEEPS által aktivált desztillált vízzel történő öblítés 30 másodpercig, majd három ciklus 5 %-os NaOCl-t, amelyet az USP/SSP aktivál egyenként 30 másodpercig és legalább 30 másodperces nyugalmi időt. A protokollt egy utolsó desztillált vizes öblítés zárja le.

- Az obturálás előtt a csatornákat lézerrel felkavart desztillált vízzel kell öblíteni, és steril papírhegyekkel kell szárítani.

Gyökértömés

A végleges obturáció a szokásos módon végezhető el. A korábban hozzáférhetetlen endodontikus területek jobb kitöltése érdekében azonban folyékony tömítőanyag használata ajánlott, amelyek tisztítását és dekontaminálását a SWEEPS tette lehetővé. Ezenkívül a teljes 3D obturációhoz a hordozó alapú guttapercha és a meleg vertikális kondenzáció bevált kombinációja ajánlott.

Következtetés

Az Er:YAG lézer in vivo, nagyon alacsony energiával, az innovatív kétimpulzusos SWEEPS technológiával kombinálva lehetővé teszi a már hatékony SSP eljárás (PIPS) további optimalizálását a gyökérkezelés során a mindennapi gyakorlatban. A lézerrel aktivált tisztítás és szennyeződésmentesítés előnyében a hagyományos kemomechanikus előkészítéssel szemben fontos szerepet játszik az a képesség, hogy az irrigánsok közvetlenül a gyökérkezelés megkezdésekor hatékonyan aktiválhatók. A SWEEPS elősegíti a lökéshullám energiát a gyökércsatorna-rendszer tisztítására és fertőtlenítésére, kevesebb reszelővel, mint amennyire a hagyományos gyökérkezelés során szükség van. A SWEEPS elősegíti a folyadékáramlást a teljes gyökércsatorna-rendszerben, még azokon a mikroszkopikus területeken is, amelyeket a hagyományos kezelések nem érnek el. A SWEEPS kemomechanikus öblítő hatása a hagyományos öblítési módszerekhez képest kiváló tisztító és fertőtlenítő hatást fejt ki, csökkentve a csatorna alakításának szükségességét, és lehetővé téve az új folyékony tömítőanyag és guttapercha háromdimenziós obturálását az endodontikus térben. Ily módon a gyökércsatorna-előkészítés mérete minimalizálható, így több fogszerkezetet lehet megőrizni anélkül, hogy az irrigálószerek hatékony hatása elveszne.

Forrás: Laser 2020/2

42 e-Journal LÉZER A FOGÁSZATBAN
11 12 13 14 15

Lightwalker®

A sokoldalú kemény- és lágyszöveti fogászati lézer, amely előtt nincs akadály!

Er:YAG és Nd:YAG

kezelések:

. Konzerváló fogászat

. Endodoncia

. Parodontális kezelések

. Lágyszövet sebészet

. Implantológia

. Esztétikai kezelések

. Fotobiomoduláció

+ opcionálisan:

. Bőrrejuvenáció

. Egyéb bőrgyógyászati kezelések

. Horkolás kezelés

SkyPulse®

Modulárisan bővíthető lézerek új generációja

Er:YAG kezelések:

. SSP és SWEEPS Endodoncia

. Parodontológia

. Periimplantitisz

. Caries eltávolítás

. Fognyakérzékenység csökkentés

. Kerámia eltávolítás

Új, Forradalmi

Adaptív strukturált impulzus Technológia

+ dióda lézer kezelések:

. Lágyszövet alakítás

. Orális léziók, herpes, aphthae

. Biomoduláció

. Fotodinámiás terápia

. Intraorális fotokoaguláció

Érdeklődni az

info@fotonadental.hu e-mail címen vagy a +36 30/499 4474-es telefonszámon lehetséges.

www.fotonadental.hu

FOTOBIOMODULÁCIÓ 970 NM HULLÁMHOSSZÚ LÉZERREL

Klinikai esetleírás

Az eset vázlata

Egy 16 éves férfi páciens II. osztályú I. osztály malokklusióval jelentkezett, bukkálisan elhelyezkedő bal felső állkapocs szemfoggal, amelyet egy rövid gyökerű bal felső első premolárral transzponáltak (1. a és b ábra). A fogszabályozó kezelési terv a bal és a jobb első premoláris és a visszamaradt bal felső állkapocs első szemfog eltávolítását tartalmazta az

5,5 mm-es túlnyúlás csökkentése és a felső és alsó állkapocs fogazat igazításának javítása érdekében.

A 0,022 x 0,028 hüvelyk méretű réses zárójelekkel ellátott fém fix fogszabályozó készülékeket ragasztották fel, és elvégezték a kezdeti kiegyenlítést és igazítást. A kezdeti térzárás során csúszó mechanikát alkalmaztunk. A térzárási szakasz végén azonban a bal felső állcsont és a bal oldalsó metszőfog közötti utolsó 1,5 mm-es tér a bal felső állcsont és a bal oldalsó metszőfog kö-

44 e-Journal LÉZER A FOGÁSZATBAN
1. a ábra: Kezdeti klinikai helyzet. – 1. b ábra: Kezdeti röntgenfelvétel. 2. ábra: Röntgenfelvétel, amelyen a bal felső állcsont és a bal oldalsó metszőfog közötti utolsó 1,5 mm-es tér látható.

BIOLASE

- 16 m

- 10 W-os kimen

- 940 nm-es üzemi frekvencia

- Folyamatos és moduláltpulzáló üzemmód

- Orvos barát menü

- Vezeték nélküli lábpedál

BIOLASE Epic H / Higiénikusok részére/ Epic Laser Technology legújabb innovációja, amelyet a higiénikusok terveztek, higiénikusok számára

Bevált klinikai protokollok

- Pocket Therapy-t

- Perio Debridement-et

Medi-Cont Kft. GYŐR Medi-Cont Kft. SOPRON Tel: +36 96/516-360 Tel: +36 99/523-170 Email: info@medi-cont.hu Email: sopron@medi-cont.hu

zött állónak és nehezen zárhatónak bizonyult (2. ábra). Egy éven keresztül mind a power chain, mind a hurok mechanikát alkalmaztuk a TMA ívhuzalon, mégis megmaradt a fogak közötti rés.

Lézeres beavatkozás

Jelenleg a diódalézerek hullámhossza 445 nm (látható kék szín) és 980 nm (közeli infravörös) között mozog. E hullámhosszak optikai tulajdonságai miatt elsősorban a hemoglobin és a melanin nyeli el őket. E két kromofór abszorpciós együtthatójának változása határozza meg a hullámhossz behatolási mélységét a fogászati alveoláris csontba. Mivel a kék (445 nm) és a vörös (660 nm) hullámhosszakat a melanin és a hemoglobin sokkal jobban elnyeli, az abszorpció elsősorban a nyálkahártya felszínén történik. A vastagabb alveoláris csontban viszonylag kisebb az abszorpció, mint a közeli infravörös hullámhossz esetén.

Az alacsony szintű vagy alacsony intenzitású lézerterápia alkalmazása a fotobiomodulációban (PBM) ismert a gazdaszervezet gyulladásos válaszának modulálásáról. A mitokondriumokban lévő citokróm C a kék, vörös és infravörös fényspektrum elsődleges fotoreceptora (kromofórja). A nem termikus fotokémiai kölcsönhatás közvetlen hatással van a mitokondriumok aktiválódására a proliferációban, az ATP-termelésben, az ingerlékeny sejtek akció-potenciáljában, a limfociták primingjében, valamint a limfokinek, citokinek és neurotranszmitterek pro-produkciójában. A NADPH-oxidáz aktiválása reaktív oxigénfajokat generál, amelyek nitrogén-oxidot hoznak létre a vazo-dilatációhoz. A gyulladásos folyamat kémiai mediátorai, mint az interleukin-10, az interleukin-4 és a szuperoxid-dizmutáz, megnövekednek, míg a gyulladáskeltő faktorok, mint a tumor nekrózis faktor alfa (fájdalommal kapcsolatos) és az interferon gamma csökkennek.

Az ödémára gyakorolt ezen hatások eredményeként kisebb térfogatú ödéma alakul ki, ami megakadályozza a sejtpusztulást és lehetővé teszi az idegsejtek jobb regenerálódását.

A PBM csontra gyakorolt hatásai serkentik az oszteoblasztok proliferációját, differenciálódását és szintézisét; növelik az alkalikus foszfatáz aktivitását; fokozzák a sejtadhéziót; fokozzák a csont remodellingjét és turnoverét; és fokozzák az angiogenezist. A PBM a sejteket fibroblaszt növekedési faktor termelésére is készteti a sebgyógyulás serkentése érdekében.

Lézer és a választott hullámhossz

A SiroLaser Blue diódalézer (Dentsply Sirona) 445, 660 és 970 nm-es hullámhosszúságú lézerekből áll. A 970 nm-es hullámhosszt választottuk a készülékben elérhető teljesítménybeállítás miatt. Ezt a hullámhosszt a csontsejtek aktiválására alkalmaztuk, és így a fogmozgás felgyorsítását céloztuk meg.

Az eset kezeléséhez használt diódalézert a következő paraméterekre állítottuk be:

- Hullámhossz: 970 nm

- Működési mód: folyamatos hullám

- Teljesítmény: 200 mW

- Szálméret: 8 mm-es többcsúcsú szál

- Fluencia: 0,4 J/cm2

- Expozíciós idő: 20 másodperc

- Dózis pontonként: 8 J/cm2

Kezelési eljárás és besugárzási technika

A besugárzott területek a maradék interradicularis tér bukkális és palatális oldala, valamint a bal felső állkapocs szemfogának és a bal felső állkapocs oldalsó metszőfogának csúcsa voltak. A multihegyet a besugárzás során enyhe nyomással a nyálkahártyával érintkezve helyeztük el. Az eljárást kéthetes időközönként megismételtük.

Eredmény és megbeszélés

Az első diódalézeres alkalmazást követő egy hónap elteltével a rést zártnak találták (3. ábra), és az esetet egy maxilláris rögzített lingualis retentorral debondálták és tartották meg (4. ábra). A PBM hullámhossza, paramétere és besugárzási módszere sokféle lehet a fogszabályozó fogmozgás gyorsításában. A szövetek összetétele és a páciens életkora szintén befolyásolja a PBM-terápia eredményét.

Következtetés

A 970 nm-es dióda hullámhossz alkalmazása képes volt segítséget nyújtani a bal felső állkapocs szemfogának és a bal oldalsó metszőfogának nehéz ortodontiai mozgatásában.

Forrás: Laser 2020/2

46 e-Journal LÉZER A FOGÁSZATBAN
3. ábra: Klinikai helyzet egy hónappal az első diódalézer alkalmazása után. 4. ábra: Okkluzális nézet: az esetet debondálták és egy maxillárisan rögzített lingualis retainerrel tartották.

KAVOSZ SZÉCHÉNYI LÍZING MAX+

• 5 % fix kamatozás

• 2,5 % szerződéskötési díj

• Önerő 30 %

A-dec 500

Prémium kategóriás alsó/felső karos kezelőegység

5 É V GARANCIA

2003 ÓTA FOLYAMATOSAN ELNYERTE A LEGJOBB KEZELŐEGYSÉG FŐDÍJAT

Csak az a gyártó ad 5 év garanciát a termékére, aki biztos a gyártmánya minőségében

DELUXE vezérlés, 8+4 LED páciens lámpa, NSK NLZ LED-es mikromotor www.a-dec.com/virtual-tour www.dent-east.hu

Az A-dec kezelőegységek szervizeléséhez a vételár mindössze átlagosan 1,97%-át teszi ki az évente vásárolt alkatrész. Ebben az A-dec páratlan.

A-dec 230

Felsőkaros kezelőegység, DELUXE vezérlés, 8+4 LED vagy 4 LED páciens lámpa, NSK NLZ LED-es mikromotor

A-dec 200

Kompakt alsókaros kezelőegység

DELUXE vezérlés, 8+4 LED vagy 4 LED páciens lámpa, NSK NLZ LED-es mikromotor

A-dec/NSK elektromos, nyomaték szabályozott LED-es, ENDO funkciós mikromotor, rpm 100-40000
ÚJ MEGKÖZELÍTÉS! Dr. Faluhelyi Péter egynapos ergonomiai tréningje – ajándék a gép mellé
Keressen bennünket! Telefon: 06 20 943 8109 • 06 20 929 0701 • 06 20 922 8508 E-mail: mail@dent-east.com
„Amit ma megvehetsz, ne halaszd holnapra”
Ügyintézést biztosítunk

Ezzel a technikával a baktériumok és a baktérium endotoxinok, A lézeres tasakkezelés után 12 hónappal radiológiailag

Periimplantitis kezelése során kedvezőek a tapasztalatok és a csontfelszín decontamináció, a bioüveggel történő

endotoxinok, valamint a tasakhám eliminálását el lehet érni. radiológiailag is értékelhető a csontapposítió egyes esetekben.

tapasztalatok a nyitott kürett, a diódalézeres implantátum történő defektusfeltöltés és a membrán alkalmazásával

FOGÁSZATI SEBÉSZETI DIÓDALÉZER BAKTERICID HATÁSA

Az új technikai megoldások révén évről évre a fogászati sebészeti diódalézer-berendezések egyre fejlettebbek, komputervezéreltek lettek, hasonló menürendszer található bennük, mint a komputerekben, az okostelefonokban és egyéb high-tech eszközökben.

A fogászati nagy teljesítményű lézersugár képes áthaladni 1 mm vastagságú dentinrétegen, és a mögötte levő ös zszes típusú baktérium elpusztítására képes. Ez azt jelenti, hogy ez a lézersugár nem csak a lézerrel kezelt gyökércsatorna belsejét képes sterillé tenni, hanem az 1 milliméteres hengerpalást mentén a fertőzött dentintubulusokat is. A parodontális tasak kezelésében pedig a lézeres, zárt kürett olyan dekontaminációt eredményez, melynek segítségével steril viszonyok teremthetőek a tasakban, a baktériumok elpusztíthatóak, a tasakhám eliminálható, a gyökérfelszín biokompatibilissé, desenzibilizálttá válik.

Ezt a felismerést – majd azon lézer paraméterek megtalálását, melyek nem károsítják a baktericidhatás közben a dentint és más élő szöveteket – követően került be a klinikai gyakorlatba a baktericidhatásokkal dolgozó diódalézer.

Az Európai Fogászati Laser Társaság (ESOLA) felmérése szerint a fogorvosok rendkívül széles repertoárban, sokféle célra használják a lézereket. A sebészi lézerrel rendelkező megkérdezettek több mint 20%-a, elsősorban parodontológiai, több mint 20%-ban sebészi célokra használja, 17%-a endodontiai célokra, 12%-a főleg gyermekfogászati célokra, 10%-a fehérítésre, továbbá 10%-a elsősorban a kemény szövetek megmunkálására. A legtöbben egyszerre több célra is alkalmazzák.

Mind a gyökérkezelésben, mind pedig a parodontális tasakok és a periimplantitis kezelésében döntő jelentőségű, hogy a dióda sebészi lézerekkel a baktériumok és a baktérium endotoxinok, valamint a tasakhám eliminálását lehet elérni ezzel a technikával. Vizsgálták számos kísérletben az Acti-

50 e-Journal LÉZER A FOGÁSZATBAN
Dr. Gáspár Lajos, dr. Tóth-Gáspár Máté 1. ábra: Dentintubulusokban a coccusok nagy számban találhatóak ( Moritz és Gutknecht felvétele). 3. ábra: A dentintubulusok képe lézeres decontamináció után (Stabholcz felvétele). 2. ábra: Baktériumok a dentintubulusokban (Adam Stabholcz, Jeruzsálem felvétele). 4. ábra: Baktériumok a dentintubulusokban (Stabholcz felvétele).

nobacillus actinomycetemcomitans, a Porphyrimonas gingivális, a Prevotella intermedia, a Bacteroides forsythus, továbbá a Treponema denticola számát kezelés előtt és után. A lézerkezelést követően az anaerobokat 96,6%-ban, az aerobokat 100%-ban pusztította el a lézersugár. Ezen vizsgálatok a bécsi egyetemen és az aacheni egyetemen folytak még a 90-es években, prof. Moritz és prof. Gutknecht vezetésével.

Ezt követően a Jeruzsálemi Hadassa Hospital Egyetemi Fogorvostudományi Kar dékánja, prof. Adam Stabholcz végzett számos kutatást a dentintubulusokban található baktériumok lézeres elpusztítására vonatkozóan (ISLD Kongresszus Aachen, Németország – 2018. október 1-2-3. Plenáris előadás). (1–5. a–b ábrák)

A sebészi diódalézerek működése

Az alkalmazandó paramétereket a modern berendezések felajánlják. Ha kiválasztjuk a kívánt kezelési típust, például a „parodontális beavatkozások” csoporton belül a „tasakkezelés” feliratot, és ráklikkelünk az érintőképernyőn, akkor megjelennek az ajánlott paraméterek, így a szálvastagság, a teljesítmény, az üzemmód (folyamatos, ismétlő, szaggatott stb.) és egyéb információk. Ezek az átlagos esetekre vonatkoznak, és ha az általunk végzendő beavatkozás nem tér el a normális átlagtól, akkor csak az „ok” vagy „enter” felirat vagy szimbólum érintésével már el is fogadtuk a ke-

zelési adatokat, és a lábpedálra lépve indulhat a beavatkozás.

A berendezések menürendszere lehetővé teszi, hogy „saját” paramétereket állítsunk be, vagyis egyes, az átlagos esetektől eltérő módszert, mely nekünk bevált beállíthassunk, és elmentve a menürendszerbe az bármikor csak egy gombnyomásra előjön és azonnal újra alkalmazható.

A készülékek egyre praktikusabb kivitelét teszik lehetővé az új technikai megoldások (6. ábra)

A tudományos és klinikai tapasztalatok arra utalnak, hogy a fogászati alkalmazások döntő többségénél a 980 nm-es és a 810 nm-es lézerek a leginkább használhatóak. Az optimális paraméterek megtalálása, a lehető legjobb abszorpció lehetővé teszi, hogy a fény abszorbciója több mint tízszerese, mint a régebbi lézertípusoké volt. Vagyis ugyanaz a közölt teljesítmény hatásosság szempontjából tízszeres lehet, mint a régebben favorizált hullámhosszé. Máris érthetővé válik, hogy mi az oka annak, hogy húsz évvel ezelőtt a fogászati lézerek magasabb teljesítmény kategóriákban dolgoztak, mint a maiak. Felmerülhet a kérdés, hogy a 2-3 W-os teljesítmény is alkalmas megfelelő hatékonysággal a kezelésekre? Igen, az új technikai megoldások ezt is biztosítják (7. ábra)

SOLASE lézer

A SOLASE – 808 nanométer és SOLASE-976 nanométer típusú lézerberendezés az új fejlesztések terméke. A berendezés kifejlesztésében a telekommunikációs, komputertechnikai és lézercégek tevékenysége révén alakult ki együttműködés azzal a céllal, hogy minőségben felső kategóriás, de árban alsó kategóriás lézert hozzanak létre.

A típuscsaládnak 2 tagja van.

A 808 nanométeres hullámhosszúságú és a 976 nanométeres hullámhosszúságú

10 Wattos teljesítményű diódát tartalmaz, vezeték nélküli megoldású, lábkapcsolóval és akkumulátorral került felszerelésre. Mindkettő menürendszere megegyezik, 25 különböző kezelési program található benne, 5 különböző szakterületre vonatkozó leírással együtt: sebészet, parodontológia, endodontia, esztétika, biomoduláció. Hagyományos szálvastagsággal dolgozik 200-300400 mikron, és a berendezéshez 5 féle kézidarabot gyártanak. Litium újratölthető akkumulátorról, valamint hálózati

51 VI. ÉVFOLYAM – 2023. 8. SZÁM
5. a. ábra: Dentintubulusok lézeres kezelés előtt (Stabholcz felvétele). 5. b ábra: Dentintubulusok lézeres decontamináció után (Stabholcz felvétele). 6. ábra: Solase készülék 200-300-400 mikronos kézidarabbal. – 7. ábra: Kényelmes lézeralkalmazás vezetékek nélkül - bluetooth kapcsolat a lábpedállal, a mobiltelefonnal, akkumulátorról működés.

220 Voltról is működtethető. Különlegesen kompakt méret: 138x142x168 mm és 1,3 kg súly.

Beépített applikációk, továbbá kezelési kézikönyv, protokollok, videók, illusztrációk találhatóak a berendezésben.

Biztonságos használat, jelszóval és kóddal védett berendezés. Felhőbe letölthető anyagok.

Automata iniciálási rendszer, offline módon való használat lehetősége, adatok távolról is lekérhetőek a készülékről. Páciensadatok rögzítése lehetséges. A berendezésben rögzíthetőek a kezelés adatai, paraméterei, feljegyzések, fotók, videók, kezelés előtti és utáni adatok. A készülék a legutóbbi használati paramétereket megőrzi, lehetőség van a saját kezelési beállítások megőrzésére (8. ábra)

Diódalézer-alkalmazási protokollok és technikák

Az endodontiai beavatkozásoknál a szaggatott üzemmódban alkalmazott diódalézer segítségével ideális eszközhöz jutottunk, de kisebb teljesítmény esetén folyamatos üzemmódban is alkalmazható. A kezelések gyorsan és igen hatékonyan elvégezhetők. Az esetek döntő többségénél a 200 mikronos szállal a gyökércsatorna sterilizálható, a gyökértömés azonnal, sokszor egy ülésben megoldható.

A diódalézerrel végzett gyökércsatorna-kezelés során a felszíni réteg (smear layer) eltávolítása történik, valamint a dentin-csatornák végeinek lezárása.

A lézersugár a gyökércsatorna falában 1000 mikrométer mélységbe behatol, az ott levő mikroorganizmusokat és azok termékeit képes elpusztítani. Ennél mélyebbre a baktériumok nem hatolnak, így a lézer nemcsak a gyökércsatornát magát, hanem az 1000 mikron mélységű csatorna felszíni rétegből is eliminálja a kórokozókat.

Ugyancsak jól képes az oldalcsatornákba, elágazásokba, ramifikációkba is behatolni, illetve azokat lezárni. A csatornában 6, leg gyakrabban előforduló baktériumfaj vizsgálata során in vivo és in vitro bizonyítást nyert a diódalézer kiváló bactericid hatása. Ez meghaladja a 99%-ot, vagyis jó közelítéssel a lézer sterilizálni képes a gyökércsatorna belsejét, valamint az 1 mm vastagságú csatornafalat is.

Az osteoblast stimuláció a lézerezés során kifejtett soft lézerhatáson alapul. Ez mintegy a sebészi lézer mellékhatásaként jelentkezik. Az oxidatív foszforiláció, a DNS szintézis és több más igazolt biokémiai folyamat serkentésével az osteoblastok aktivitását, csonttermelő, csont újratermelő képességét és tevékenységét kifejezetten fokozza.

Az apicális terület lezárására, megolvasztására is képes a megfelelő paraméterekkel rendelkező lézersugár. Ezt in vitro fuchsine oldatba mártott extrahált fogakon is bizonyították azzal, hogy a lézerkezelt gyökércsatornájú fogak csatornájába az apexen keresztül nem jutott át a festékoldat (9. a–10. b ábrák)

A lézerrel asszisztált gyökérkezelés

A gyökércsatorna-rendszer feltárása, a preparációs technika lehet manuális, valamint gépi mechanikus eszközökkel végzett egyaránt. Ugyancsak lehetséges egyes típusú lézersugarakkal is az üregrendszer feltárása, a későbbi tömés előtt a gyökércsatorna kitisztítása, megfelelő tágasságú és alakú üreg előkészítése.

A munkához a rendelkezésre álló adatok alapján meghatározzuk a csatornák számát, alakját, hozzávetőleges hosszát. A túltágítás elkerülése érdekében inkább 1-2 mm-rel rövidebb

52 e-Journal LÉZER A FOGÁSZATBAN
8. ábra: A lézeres gyökérkezeléskor spirálisan végigkezeljük a gyökércsatorna falát. – 9. a ábra: Jobb felső 2-es fog gyökércsúcsi felritkulással. – 9. b ábra: Ca(OH)2 és 3 alkalom diódalézeres gyökérkezelés után, a gyökércsúcsi folyamat regressziója 3 hét alatt.

táv tágítására törekszünk majd. A kofferdam izolálást követően megkezdődik a tényleges gyökércsatorna-kezelés.

1. A bejárati üreg preparálása

A bejárati üreg preparálása során az anatómiai viszonyok függvényében olyan bejáratot képezünk ki, hogy megfelelő feltételeket biztosítson a kezeléshez. A premoláris és moláris területen a rágófelszín felől, a frontfogaknál az orális felszín felől tudjuk a legkedvezőbb bejáratot megközelíteni. Gömbfúróval alakítjuk ki a bejárat megfelelő mélységét, majd a csatornabejáratot, a felszínt csak szinte érintve, nyomás alkalmazása nélkül. A bejárat nehéz megtalálása esetén methylénkék festék segítségével előbbre juthatunk.

2. A gyökércsatorna preparálása

A Német Konzerváló Fogászati Társaság 1999-es definíciója szerint a gyökércsatorna preparálása tartalmazza a pulpaszövetek, a baktériumok és a fertőzött szövetek eltávolítását, a gyökércsatorna kiterjesztését és formázását.

Megkülönböztetünk biomechanikai preparációt (a tisztított műszerekkel tárjuk fel a csatornát, kiterjesztjük és formázzuk, a műszereket rendszeresen fertőtlenítő oldatokban tartjuk), míg a chemomechanikai módszer esetén a csatornát öblítjük, így ezzel semlegesítjük a baktériumokat, azok toxinjait és a széteső anyagokat. A preparálás mind kézi mind gépi eszközökkel végezhető.

3. A lézerkezelés

A mindennapi gyakorlatban elterjedt és bevált lézerrel asszisztált gyökérkezelés során a gyökércsatorna feltárása rutin esetben valamelyik mechanikus eljárással történik. A preparálás során az elérendő cél az apicális régió feltágítása 35-40-es méretre, a lézer fiberszál megfelelő alkalmazása ezt megkívánja.

A megfelelő feltárás, az öblítések befejeztével a csatornába steril papírpoint helyezünk, kiszárítjuk azt. A munkahosszat átvisszük a lézerszálra is, gumistop segítségével bevezetjük a csatornába, és a lézert aktiválhatjuk. Külön figyelmet kell fordítanunk, hogy az apicális terület közelében elkerüljük a túlmelegedést, vagyis a lézerrel végzett túl hosszú időtartamú kezelést. A lézerszálat az apextől elindulva a koronális irányba folyamatosan, körkörös mozgást végezve kifelé húzzuk a koronális részig. Ezt az eljárást háromszor végezzük. A lézerkezelés befejeztével a csatornát célszerű megtömni calcium-hydroxiddal, majd lezárni ideiglenes tömőanyaggal, mely megakadályozza a szájüreg felől a bakteriális inváziót. Kevéssé fertőzött esetekben, egy ülésben a végleges gyökértömés elkészíthető, közepesen fertőzött vagy erősen váladékozó csatornák esetén kb. 3 nap múlva ismételt lézerkezelést célszerű végezni. Általában a második – vagy harmadik – kezelést követően a gyökércsatorna klinikailag sterilként kezelhető, és a végleges töméssel ellátható.

Az első lézeres kezelést követően azok a baktériumok, melyek mélyebben elhelyezkedve nem kaptak még teljes pusztulásukhoz elegendő intenzitású lézerfényt (a szóródás során gyenge intenzitású fény jut a helyszínre), a sejtmembrán-károsodásnak megfelelő reakciót mutatnak. Nem pusztulnak el, csupán károsodnak, a következő fertőtlenítő öblítés és a lézeres kezelés hatása már kumulálódva elegendő a teljes mértékű elpusztításukhoz.

4. Gyökértömés

A végleges gyökértömésre – ha egyéb sürgető tényező nem áll fenn – biztonságos módon 2-3 lézeres kezelés után (3 napos intervallumokkal) kerülhet sor. Extrém nehéz esetekben ennél több lézerkezelés is szükséges

53 VI. ÉVFOLYAM – 2023. 8. SZÁM
10. a ábra: 41-es fog periapicális elváltozása. 10. b ábra: Lézeres gyökérkezelés, gyökértömés után 1 éves kontroll.

lehet, egyszerű esetekben pedig sokszor egy kezelés is elegendő.

A tágítás függvényében választunk guttapercha point, a mester point sealerbe mártjuk, majd a teljes munkahosszban elhelyezzük. Lateral kondenzációs technikával további pointokat helyezünk el. Forró excavatorral levágjuk a túlérő guttapercha részeket. A koronai részben felmelegített műszerrel verticális irányú condenzációt végzünk.

A lézerek hatása a gyökércsatorna kezelésében

A nagy teljesítményű lézerek hatása négy fontos területen nyilvánul meg: felszíni réteg eltávolítása, bactericid hatás, osteoblast stimuláció, apex zárás.

1. Felszíni réteg eltávolítása

A diódalézerrel végzett gyökércsatorna-kezelés során a felszíni réteg (smear layer) eltávolítása (leégetése, elpárologtatása) történik, valamint a dentincsatornák végeinek lezárása (leolvasztása).

2. Bactericid hatás

A lézersugár a gyökércsatorna falában 1000 mikrométer mélységbe behatol, az ott levő mikroorganizmusokat és azok termékeit képes elpusztítani. Ennél mélyebbre a baktériumok nem hatolnak, így a lézer nem csak a gyökércsatornát magát, hanem az 1000 mikron mélységű csatorna felszíni rétegből is eliminálja a kórokozókat. Ugyancsak jól behatol az oldalcsatornákba, az elágazásokba, az ampullákba, ramifikációkba is, illetve azokat képes lezárni is. A hat csatornában leggyakrabban előforduló baktériumfaj vizsgálata során in vivo és in vitro bizonyítást nyert a diódalézer kiváló bactericid hatása. Ez meghaladja a 99%-ot, vagyis jó közelítéssel a lézer képes sterilizálni a gyökércsatorna belsejét, valamint az 1 mm vastagságú csatornafalat is. A lézersugár ráadásul képes behatolni az oldalcsatornákba, a ramifikációba is, valamint le is zárja a dentincsatornák végeit is. Számos vizsgálat bizonyítja, hogy a különböző kémiai fertőtlenítő szerek általános hatásmélysége 100 mikron a gyökércsatorna falában, ennyi a behatolási mélység a dentintubulusokban. Eszerint az akár 1000 mikronra behatoló baktériumok jelentős része kizárólag öblítéssel nem távolítható el, nem pusztítható el.

Baktériumok révén a gyökércsatorna-flóra proteolyticus és fibrinolyticus enzimeket tartalmaz. Ezek okozzák a szövetfeloldódást, csontfelszívódást, plasma proteinek csökkenését. A toxicus anyagok felelősek az endotoxin, leukotoxin hatásokért, valamint megfigyelhető, hogy cytokinek keletkezése is bekövetkezik.

3. Osteoblast stimuláció

Az osteoblast stimuláció a lézerezés során kifejtett soft lézerhatáson alapul. Ez mintegy a sebészi lézer mellékhatásaként jelentkezik. Az oxidatív foszforilá-

ció, a DNS szintézis és több más igazolt biokémiai folyamat serkentésével az osteoblastok aktivitását, csonttermelő, csont újratermelő képességét és tevékenységét kifejezetten fokozza.

4. Apex zárás

Az apicális terület lezárására, megolvasztására is képes a megfelelő paraméterekkel rendelkező lézersugár. Ezt in vitro fuchsine oldatba mártott extrahált fogakon is bizonyították azzal, hogy a lézerkezelt gyökércsatornájú fogak csatornájába az apexen keresztül nem jutott át a festékoldat.

Világszerte a dióda sebészi lézerek általában 2-3 W teljesítménnyel, 0,1-0,6 sec impulzusokkal, köztük ugyanekkora szünetekkel használatosak. A száloptika rendszerint 200 mikron vastagságú, de használatos 180 mikronos és 300 mikronos szál is, a csatorna mérete és a gyártó cég függvényében.

A sikeres endodontiai kezelés záloga a megfelelő preparáció, a baktériumok eliminálása a csatornarendszerből, valamint a megfelelő gyökértömés. Ebben a lézereknek meghatározó szerep jutott.

Parodontális tasakok és periimplantitis kezelése lézerrel

Az igazi, széles körben elterjedt technika a parodontális tasakok kezelése, továbbá az utóbbi 5 évben a periimplantitis esetében is igen hatékony. Itt a diódalézerek játszanak vezető szerepet (11. ábra)

Mint ismeretes, a fogágybetegségek és a periimplantitis kialakulásában és progressziójában kiemelkedő, kulcsszerepet játszanak a baktériumok és azok toxinjai. A különböző típusú lézerek számos kísérleti vizsgálat tapasztalatai szerint alkalmasak arra, hogy jelentősen csökkentsék a periodontopathogén baktériumok számát. Mind az in vitro, mind az in vivo vizsgálatok rámutatnak arra, hogy különösen az egyre több antibiotikum-rezisztens törzs jelenléte miatt, a lézeres alternatív kezelésnek egyre nagyobb jelentősége lehet.

Már 20 évvel ezelőtt Moritz és mtsai (J. Clin Laser Surg Med, 1997. 15- 3337), (Laser Surg Med 1998. 22- 302311) diódalézer segítségével kifejezett baktériumszám-csökkenést értek el a parodontális tasakokban az Actinobacillus actinomycetecomitans, a Prevotella intermedia és a Porphyromonas gingivális esetén. Ugyancsak megfigyelték a diódalézer gyulladást csökkentő hatását, és a parodontális tasak letapadásának elősegítését is (12. a–b ábrák)

54 e-Journal LÉZER A FOGÁSZATBAN
11. ábra: Parodontális kezelés.

SiroLaser Xtend

SAFE LASER TRADE KFT. 1139 Budapest, Kartács utca 8. 4/4 Információs telefon: +36 70 381 0181,+36 70 676 0181 Információs e-mail: info@safelaser.eu, safelaser.hu

2600
Tel.:
fax:
Mobil:
e-mail:
SIROLaser
Blue ORTHOPHOS SL Bemutatóterem – szerviz és cégközpont:
Vác, Szélső sor 43.
+ 36 27 502 800,
+ 36 27 502 801
+ 36 30 932 1676
jozsef.kovacs@sirona.hu, www.globdent.hu

13. a ábra: A 2.2-es fog helyén levő periimplantitis kezelés előtt (prof. Gutknecht esete)

13. b ábra: A 2.2-es fog helyén levő periimplantitis kezelés előtt (prof. Gutknecht esete)

A baktériumok és ezek toxinjai az immunsejteket stimulálják, amelyek különböző gyulladással kapcsolatos mediátorok termelését eredményezik, mint az interleukin, a növekedési faktor, a prostaglandinok. Ezek érintkezve a gyökérfelszínnel, szerepet játszanak a gyulladás kialakulásában. A baktériumok és toxinjaik eltávolítása, szintjének csökkentése így közvetlenül és közvetve is a fogágy gyulladásának a csökkenését eredményezi.

A parodontális tasakok kezelésének fő célja a gyulladás csökkentése, valamint az új tapadás létrehozásának elősegítése. Ebben kiemelt szerepet játszik a gyökérfelszín, mely a parodontális regeneráció alappillére. Csak megfelelően bio-

kompatibilis felszín esetén lehetséges a jó tapadás létrejötte. A gyökérfelszín kezelésében, a regenerációhoz szükséges állapot létrehozásában fontos szerepet játszhatnak a lézerek. Szintén két évtizeddel ezelőtt Gutknecht (Lasertherapie in der zahnarztlichen Praxis, Quintessenz Verlag, Berlin, 1999.1-255) foglalta össze a parodontális lézeralkalmazás legfontosabb, három évtizedes eredményeit, valamint öszszehasonlította többféle lézertípus és többféle kezelési technika alkalmazásának a lehetőségét és eredményességét. A legfontosabb, ma is érvényes alapelvek lefektetése fűződik ehhez a munkához (13. a–b ábrák)

Parodontológiai és a periimplantáris

lézeralkalmazás hatásai

Ezzel a technikával a baktériumok és a baktérium endotoxinok, valamint a tasakhám eliminálását el lehet érni.

A lézeres tasakkezelés után 12 hónappal radiológiailag is értékelhető a csontapposítió egyes esetekben. Periimplantitis kezelése során kedvezőek a tapasztalatok a nyitott kürett, a diódalézeres implantátum és a csontfelszín decontamináció, a bioüveggel történő defektusfeltöltés és a membrán alkalmazásával (14. a–b ábrák)

(A Gáspár Medical Centerben 20 éves tapasztalatok halmozódtak fel a dióda sebészi lézerek alkalmazásáról, elsősorban a parodontális tasakok és a periimplantitis kezelésében.)

56 e-Journal LÉZER A FOGÁSZATBAN
12. a. ábra: Lézeres tasakkezelés a 1.2-es fogon. 12. b. ábra: A tasak mélysége röntgenfelvételen a 1.2-es fogon. 14. a ábra: A 3.5-ös fog körüli periimplantitis. 14. b ábra: A 3.5-ös fog a diódalézer-kezelés és Activioss csontfeltöltés után.

A magabiztos mosolygás nem csak álom!

Vágj bele a láthatatlan fogszabályozásba

és mosolyogj bátran!

Mosolyogj felszabadultan!

Hogy mi szól a ClearCorrect mellett?

kényelmes

hatékony

víztisztán áttetsző, vagyis

teljesen láthatatlan

fémmentes

könnyű tisztítani

Láthatatlan Egyszerű használat Kényelmes
Látogasson el weblapunkra a QR kód segítségével ACC017/it/00 04/19

Máté

SOFT-LÉZER TERÁPIÁS ELJÁRÁSOK HELYE, SZEREPE, EVIDENCIÁI ÉS ÚJ ESZKÖZEI A FOGÁSZATBAN, SZÁJSEBÉSZETBEN, IMPLANTOLÓGIÁBAN ÉS

AZ APDT KEZELÉSEKBEN

Hat évtizeddel a lézerek felfedezését és az első készülék megépítését követően a fogászatban, szájsebészetben, implantológiában és az APDT kezelésekben az in vitro és klinikai vizsgálatok irodalmi adatainak ezrei bizonyítják ezek jótékony hatásait a sztomatológia különböző területein.

2020-ra világszerte a modern rendelők széria-felszerelésévé váltak a soft-lézerek. Ha röviden áttekintjük az elmúlt két évtized nemzetközi irodalmát ebben a témakörben, három nagy témacsoportban találjuk a tudományos közlemények sokaságát. Az egyik csoport az általános sztomatológiai soft-lézer hatások elméleti és klinikai kutatási eredményeit közli, a másik a csontosodás és az implantátumok rögzülésének eredményeit taglalja, a harmadik pedig az APDT (Antimikrobiális Photo DinamikusTerápia) egyes jellemzőit gyűjti össze.

Jelen közleményben röviden áttekintjük a fontosabb eredményeket, eljárásokat és evidenciákat ezen a három területen, valamint a legújabb berendezéseket is bemutatjuk.

A kisteljesítményű (soft) lézerek alkalmazása bevált eljárás a különböző sebgyógyulási folyamatok serkentésében, a gyulladásos reakciók csökkentésében, valamint a fájdalommal járó kórképek kezelésében. Ezen ismert hatások a szájüregben elősegítik mind a parodontális kórképek kezelését (így bevált a gingivitis, parodontitis kezelésében), mind pedig az egyes szájbetegségek gyorsabb gyógyulását (herpes, aphtha, stomatitis stb.). Ugyancsak előnyös alkalmazása olyan műtét utáni állapotokban, amikor a gyógyulási folyamatok felgyorsítása fontos az eljárás sikeressége szempontjából, így különösen implantátumok behelyezését követően, csontpótlás után, egyéb szájsebészeti beavatkozások gyógyulási periódusában.

A soft-lézerek szájüregi alkalmazása során két hullámhoszsz-csoport alkalmazása terjedt el. Az egyik a piros színtartományba tartozó 630 nm - 670 nm hullámhosszúságú lézerek, melyek elsősorban a felszíni, másodsorban - kellő telje-

sítmény esetén - a mélyebb területek kezelését egy időben teszik lehetővé. Kiváló hatásuk a sebgyógyulási folyamatok gyorsításában, mind a nyálkahártya, mind a csontosodás vonatkozásában tapasztalható. Az infra tartományba tartozó lézerek között a mélyebb hatású 780-980 nm közötti hullámhosszak alkalmazása elsősorban a fájdalomcsillapítás és az ízületi eltérések kezelésében előnyös, valamint a csontgyógyulásban és az implantátumok osseointegrációjának támogatásában.

Az utóbbi években a 100-150 mW teljesítményű 650-660 nm-es lézerfényt adó lézerceruzák megjelenése 3 cm-es hatásmélységükkel jelentősen előtérbe került, részben a kiváló nyálkahártya sebgyógyítást gyorsító, sebzáródást elősegítő hatás miatt, részben az implantológiában való széles körű alkalmazhatósága révén. Ugyancsak páratlan előnye a parodontális kórképek kezelésében a methylénkék festékkel és e lézerrel végezhető antimikrobialis fotodinamikus terápia. Ezzel nem csak az ínytasakok hatásos kezelése, hanem a periimplantitisben való alkalmazhatósága is igen hasznos eljárássá teszi.

Az infra tartományba tartozó 780-980 nm közötti lézerek között a ceruzaméretben megjelentek az 500 mW-os, majd legújabban az 1800 mW-os berendezések, melyek már 8-10 cm mélységben is rendkívül hatásosak. Különösen a csontpótlás, az implantátumok beültetését követő folyamatok, valamint az állkapocs-ízületi kórképek területén értek el ezekkel kiváló eredményeket.

A magyar világszabadalomnak számító SAFE lézer technológia pedig új távlatokat nyitott a soft-lézer kezelésben, mivel szemüveg nélküli használata sokkal biztonságosabbá, egy-

58 e-Journal LÉZER A FOGÁSZATBAN

szerűbbé és gyorsabbá tette rendelői alkalmazását. Szintén új utakat jelent ez a technológia abban is, hogy a rendelők a betegeik számára - a régebben fennállt szemre való veszély nélkül - rendelkezésre bocsáthatják a lézerkészülékeket otthoni használatra, például, amikor herpest kell néhány napon át kezelni, vagy a műtéteket követően, különösen pedig az implantátumok alkalmazását és a csontpótlást követő periódusban. A betegek nagyobb kezelési periódust igénylő esetekben (sinus liftek, nagyobb csontaugmentációs esetek stb.) meg is vásárolhatják, és betanítás után otthonukban is használhatják a lézereket a hosszú hónapokig tartó gyógyulási periódusban. Mivel ezek a SAFE lézer eszközök nagyon sokféle célra használhatóak, el tudják látni az „orvos a családban” funkciót, amikor a térdízületi, derékfájást, csí-

Fájdalomszindrómák között a trigeminus neuralgia, atípusus arcfájdalom, postoperatív, posttraumás fájdalom eseteiben – a gondos diagnózist követően – a hagyományos terápiát kisteljesítményû lézerkúrával kiegészítve – vagy esetenként önállóan is – a fájdalomrohamok száma és a fájdalom erőssége jelentősen mérsékelhető.

A temporomandibularis ízületi kórképek – arthrósis, arthritis okozta panaszok – posttraumás ízületi fájdalmak, reflektorikus szájzár és egyéb folyamatok eseteiben elsősorban a fájdalom gyors megszüntetésével, a gyakran fennálló szájzár oldásával lehetővé válik a sztomatológiai szanáció, majd a hagyományos és a lézerterápiás kezelés a panaszok jelentős mérséklődéséhez vezethet. Reflektórikus szájzár lézersugárral sok esetben azonnal - 2-3 perc alatt - oldható.

Dentális eredetű gyulladásokban, periodontitis, gyökérkezeléshez kapcsolódó panaszok, periostitis, lymphadenitis, osteomyelitis, phlegmone eseteiben a gyulladásos jelenségek - hagyományos módon kezelve, és közben lézert is kiegészítésképpen alkalmazva - gyorsabban és sokkal mérsékeltebb fájdalomtól és oedemától kisérve gyógyulnak.

Nyálmirigybetegségek, asyália, syaloadenitis, syaloadenosis esetében a bevált, ismert eljárásokat lézerkezelés kúrával egészíthetjük ki, és a nyáltermelés serkentése, a fájdalom és egyéb panaszok mérséklődése tapasztalható sok esetben.

Tapasztalható a soft-lézer haemostatikus hatása, kisebb szivárgó vérzések csillapításában segít.

pőproblémát stb. okozó kórképeket kezelhetik ezekkel ma a betegek is, mint a bőr-, az allergiás vagy a fül-orr-gégészeti betegségeket, a különböző háztartási balesetek sérüléseit vagy a sportsérüléseket.

Általános soft-lézer hatások a sztomatológiában

A soft-lézerek alapvető hatásai a fájdalomcsillapítás, gyulladáscsökkentés és a biostimuláció, valamint a sebgyógyulási folyamatok gyorsítása. A leggyakrabban alkalmazásra kerülő korszerű dióda-lézer kiszorította a korai időszakban elterjedt Helium-Neon-lézereket a mindennapos sztomatológiai praxisból.

Szájnyálkahártya betegségek közül a herpes, az aphta, a nem gyógyuló nyálkahártya fekélyek, krónikus gyulladásos jelenségek, sztomatitis a leggyorsabb eredményt mutatják.

A lézerterápia gyors hámosodást eredményez, a gyógyulási idő általában a felére lerövidül.

Parodontális kórképek közül a parodontitis, a gingivitis, a fogak előtörését, a fogszabályozást kísérő jelenségek, a tasakok hagyományos vagy lézersebészeti kezelése kiegészítve soft-lézerrel gyors sebgyógyuláshoz, csontregenerációs folyamatok megindulásához, a gyulladás gyors szanációjához vezet.

Csontgyógyulási folyamatok serkentése, szájsebészeti csontműtétek (resectió, cystectómia, implantatió, extractió, dentoalveolaris műtétek stb.) után azonnal lézerterápiát alkalmazva a postoperatív oedema és a fájdalom csökken, majd a műtét utáni 2-4 napban tovább alkalmazva a hámosodás, a sebgyógyulás felgyorsul, és a varratszedés 2-3 nappal hamarabb elvégezhető. A szövődmények száma jelentősen – mintegy 30-50%-kal - csökken.

Fontos, hogy a soft-lézerterápiát gondos vizsgálat, pontos diagnózis előzze meg, a legtöbb esetben a hagyományosan bevált gyógymódok kiegészítésére, kombinált kezelés részeként, esetenként pedig önállóan is alkalmazható.  Az utóbbi évek irodalmi adatai között számos vizsgálat bizonyítékait megtalálhatjuk a soft-lézerek objektív hatásosságára vonatkozóan. Petri és mtsai in vitro vizsgálataiban, sejtkultúrában 17 napon át végeztek lézerbesugárzást. Szignifikáns osteoblast aktivitás-fokozódást mutattak ki infra lézer besugárzás hatására az osteoblasztokon titanium felszínén. Obradovic és mtsai vizsgálataikban a soft-lézerek hatását vizsgálták a csont gyógyulására és a bioanyagok osseointegrációjára. Kiterjedt a vizsgálat a csontregenerációra, a parodontális regeneratióra is. Az irodalmi áttekintésből azt a következtetést tudták levonni, hogy a soft- lézerek egyre jelentősebb szerepet játszanak, és hatékonyságuk evidenciává vált világszerte a kísérletes és klinikai vizsgálatokból nyert eredmények alapján, elsősorban a parodontális és a csontregenerációs kezelések során a bioanyagok osseointegrációjában.

In vitro vizsgálatokban Stein és mtsai egyértelműen bizonyították, hogy 632 nm-es piros lézerrel kezelve a humán osteoblastok proliferációja és differenciálódása szignifikánsan fokozódik a kontrollhoz viszonyítva. Már a 2. és a 3. napon

59 VI. ÉVFOLYAM – 2023. 8. SZÁM
1. ábra: SAFE-lézer 150 piros fényű lézerberendezés szájüregi alkalmazásra alkalmas száloptikával.

egyértelmű különbség mutatkozott az in vitro vizsgált eredményekben, vagyis a soft-lézer hatása 24-48 órával a besugárzást követően a csontképződés serkentésében nyilvánult meg. 31-58%-kal magasabb csontsejtmennyiséget, fokozott csontsejtosztódást követően magasabb oszteoblast darabszámot számláltak a lézerrel végzett kezelések hatására a kontrollhoz képest. A csontsejtek differenciálódásában és maturációjában, az elcsontosodás mértékében is kifejezett különbséget találtak. Ez utóbbit az alkalikus foszfatáz, valamint osteopontin és a csont sialoprotein mennyiségének kimutatásával bizonyították. Ez utóbbiak mennyisége szignifikánsan magasabb volt a sejtekben, ami kifejezetten a lézer besugárzás hatására történt csontosodást igazolta. Fakrazad és mtsai. a dentoalveoláris sebészeti beavatkozások utáni komplikációk kezelésében vizsgálták a softlézerek hatását. Kiemelték, hogy a műtétek után azonnal, majd 1-2 héten át alkalmazott sof-lézer kezelés jelentősen csökkenti a műtét utáni fájdalmat, ödémát, valamint a gyulladásos szövődmények számát. Vizsgálták impaktált bölcsességfog eltávolítás, parodontális műtétek esetén is, a dentális implantátumok behelyezését követően, endodontiai sebészetben és a gyökércsúcs-reszekciók alkalmával. Konklúzióként megállapítják, hogy az in vitro, valamint a rendkívül szerteágazó klinikai vizsgálatok egyértelműen a soft-lézerek kedvező hatását bizonyítják a fájdalomcsillapításban, a sebgyógyulás gyorsításában, a csontosodásban, az osseointegráció elősegítésében, a parodontális sebészeti beavatkozások és az endodontiai sebészeti beavatkozások eseteiben. Woodruff és mtsai a sebgyógyulás kérdésének az irodalmi meta-analízisét végezték el. 24 nagyszámú esetet elemző tanulmány adatai alapján megállapították, hogy a sebgyógyulás serkentésére a soft-lézerek hatása kifejezetten, szignifikánsan pozitív. Mind az állatkísérletekben, mind a klinikai alkalmazásban azonos eredményt tudtak összesíteni. Pozitív volt az eredmények összesítése a gyulladás csökkentésében, a kollagén szintézisben, a sebek szakítószilárdságának növekedésében, a sebgyógyulás idejének csökkenésében, a seb méretének csökkenésében.

Weber és mtsai. az autológ csont beépülést vizsgálták infra-lézer besugárzás hatására patkányokon. Szignifikáns csontbeépülés gyorsulását találták az infra-lézer (830 nm) besugárzása hatására.

Setiner és mtsai az állkapocs-ízületi diszfunkció betegség kezelésében vizsgálták az infralézer hatását, placebo kontrollált kettős vak vizsgálati módszerrel, 39 beteg esetében. A betegek egyik részét naponta kezelték, összesen 10 alkalommal, a másik csoportban placebo lézert alkalmaztak. Statisztikailag értékelték a maximális szájnyitás mértékének, a fájdalomnak, a rágási nehézségnek a változását. Szignifikáns pozitív különbséget mértek mindhárom paraméter esetén a lézerrel kezelt csoportban, a placebóhoz képest.

Az újabb irodalmi adatok egyértelműen a piros tartományba, valamint az infra tartományba tartozó soft-lézerek megfelelő indikációs körökben és megfelelő kezelési paraméterek melletti alkalmazását egyértelműen és tudományosan bizonyítottnak, mint a sztomatológiai evidenciák körébe tartozó eszközét és módszerét kezelik.

Soft-lézerek alkalmazása az implantológiában

Az implantológiai beavatkozások a fogászat, a szájsebészet egyik legnagyobb odafigyelést igénylő, magas fokú felkészültséget és jelentős rizikót jelentő tevékenységei. A műtétet megelőzően végzett kezelések kapcsán, az előkészítő fázisban a soft-lézerek alkalmazása segíti az extractiós sebek, a korrekciós műtétek, a csontpótlás gyorsabb gyógyulását, a megfelelő szájhigiénia kialakítását és fenntartását. Esélyteremtő hatása van a sikeres eljáráshoz, a beteget folyamatosan ösztönzi a rendszeres soft-lézer kezelés alkalmazása, hogy gondos és következetes látogató legyen a rendelőben, és nagy figyelmet fordítson a higiéniára.

Az implantológiaműtét, majd az inyformázó behelyezése után, a minél gyorsabb és szövődménymentesebb lágyrészés csontgyógyulás rendkívül fontos. A rendszeres soft-lézer kezelés ápoló hatása nagyon megkönnyíti a - rendszerint sorozat-beavatkozásokon áteső - páciensek jó szájállapotának a fenntartását. Segíti az ideiglenes pótlások körüli szövetek jó kondíciójának a kialakulását.

Az oslói egyetem kutatói (Khadra és mtsai.) nyulak tibiáján vizsgálták a titán implantátumok csontosodását 8 héten keresztül, kettős vak kísérleti összeállításban. A 8 hét letelte után mérték az implantátumok rögzítettségének erejét, valamint röntgen microanalízist végeztek. A rögzítettség tekintetében az infrasoft-lézerrel kezelt esetekben 14,35 Newton, míg a nem kezelteknél 10,27 Newton rögzítő erőt mértek átlagban. A titánfelszínen a kalcium és foszfor microanalízis eredménye a lézerezett felszíneken 0,037 volt, míg a kezeletlen esetekben 0,034. A norvég szerzők egyértelműen bizonyítottnak látják, hogy 8 hét alatt az infra tartományú soft-lézerrel kezelt titánimplantátumok csontosodása, rögzítettségének mértéke, valamint a felszínén a foszfor és kalcium mennyisége - vagyis az implantátum és a csont közötti integráció mértéke - szignifikánsan magasabb a soft-lézer besugárzás hatására.

Osztrák kutatócsoport (Jakse és mtsai) juhokon végzett kétoldali sinus liftet crista iliacából vett saját csont átültetésével. Ezt követően 4 héttel, illetve 12 héttel implantátumokat ültettek be. 16 héttel a második műtét, vagyis az implantáció után, vizsgálták az eredményt. A lézerkezelést piros lézerrel végezték (75 mW, 680 nm, 4 Joule/cm2). Mind a 4., mind a 12. héten vett csontbiopsziák szövettani eredményei azt mutatták, hogy a lézerrel kezelt oldalon szignifikánsan kifejezet-

60 e-Journal LÉZER A FOGÁSZATBAN
2. ábra: SAFE-lézer 500-as infra-lézer berendezés.

tebb volt a csontosodás előrehaladása, mint a kezeletlenen. Ugyancsak az implantátum-csont rögzítettség tekintetében is szignifikánsan erősebb rögzülést találtak a lézerrel kezelt oldalon. Evidenciaként megállapították, hogy a soft-lézer kezelés mind a sinus liftek esetén a csontosodás felgyorsulását, mind pedig az implantátumok osseoiontegrációját szignifikánsan növeli.

Campagna és mtsai Brazíliában nyulak tibiáján vizsgálták az implantátumok stabilitását 660 nm piros lézer besugárzás hatására, majd anélkül a 15-30-45. napon. Megállapították, hogy a 15. és a 30. napon kifejezett szignifikáns különbség volt stabilitásban a lézerrel kezelt esetekben, a 45. napra a különbség megmaradt a lézeres csoport javára, de a mértéke csökkent. Kiemelik a vizsgálat konklúzióját, hogy különösen az implantációt követő első hónapos időszakban kifejezett a soft-lézer csontosodást és osseointegrációt fokozó hatása. Morales és mtsai szintén Brazíliában klinikai vizsgálatban betegeken vizsgálták az infra-lézer hatását az implantátumok stabilitására. 30 beteg mandibulájába mindkét oldalon helyeztek be implantátumokat. A vizsgálat során resonancia frekvencia analízissel (RFA) vizsgálták az implantátum stabilitását. Az egyik oldalt lézerrel kezelték (830 nm, 86 mW, 92 Joule/cm2, 3 sec/pont, 20 pont/kezelés), a másik oldalon ugyanilyennek látszó módon, de placebo lézerrel. Az első lézerkezelés azonnal a műtét után történt, utána pedig 2 naponta, 14 napon keresztül.

Az implantátumok stabilitását mérték kezdetkor, majd a 10. napon, majd 3-6-9-12 hét múlva. A kezdeti stabilitás 65-84 között volt, átlaga 76. A legmagasabb értékeket a 10. napon mérték a lézerrel kezelt oldalon, a legalacsonyabbakat a 6., héten mindkét csoportban. A vizsgálat szerint az első 10 napban a kezdeti primér stabilitás elősegítésében szignifikáns az infra-lézer hatása.

Az utóbbi évek kísérletes kutatásai, valamint a tudományos klinikai eredményei, a randomizált kettős, vak vizsgálati eredményei egyértelműen igazolják, hogy a soft-lézerek alkalmazása mind a lágyrészek gyorsabb gyógyulása, mind a csontosodási folyamatok és az implantátumok osseointegrációjának serkentése szempontjából hatékony eszközök.

Különösen jelentősek a csontpótló anyagok gyorsabb és tökéletesebb beépülésére, valamint az implantátumok első 10 napban történő stabilitásának erősítésére vonatkozó újabb eredmények.

Soft-lézer alkalmazása az APDT kezelésekben

A 650-660 nm hullámhosszúságú, piros színű kisteljesítményű lézer fénye és a methylenkék oldat együttes alkalmazása, enyhébb esetekben képes a sebészi laserekhez hasonlóan, a tasakokban a kórokozók elpusztítására.

A Gáspár Medical Centerben (akkori nevén az Ecto Derma Polyklinikán) az APDT-t 2006 júliusában vezettük be. Elsősorban parodontitis, periimplantitis kezelésében alkalmazzuk. Az antimikrobiális fotodinamikus terápia kivitelezéséhez szükség van fényérzékenyítő anyagra, (megfelelő hullámhosszúságú) lézerfényre és oxigén-szabadgyökök keletkezésére. A megelőző tennivalók során a fotodinamikus kezelést gondos vizsgálat, orthopantomograph röntgenfe-

lvétel, parodontális diagnózis felállítása, továbbá alapos subgingivális depurálás előzi meg. A gyakorlati klinikai alkalmazás első lépésében a terület megtisztítása történik: a fogkövek, a lepedék, a biofilm eltávolítása. Szükség esetén a művelet ismételhető, mindaddig, míg megfelelő higiénés állapotot nem érünk el.

Ezt követi a mikroorganizmusok megfestése a kezelt területen (festékoldat fecskendezése a tasakok területére vagy az egyéb kezelendő területre). A közepesen híg oldatot fecskendőből juttatjuk a tasakokba, illetve a kezelendő területre. 1-2 perc várakozás elegendő, hogy a mikroorganizmusok felvegyék a festéket. A metilénkék és toluidinkék festékek leginkább elterjedtek, valamint a malachitzöld oldat. A klinikán fotoszenzibilizátorként rutinszerűen a 0,01%-os metilénkék oldatot használjuk.

A kísérletes és klinikai vizsgálatok azt mutatják, hogy a kék festékekhez a 630–665 nm közötti lézerek a leginkább alkalmasak. A fotoszenzibilizátor aktiválása energiafüggő folyamat, amelyet fizikai és optikai tulajdonságok határoznak meg. A festék megvilágítását olyan fénnyel kell végezni, amely a fotoszenzibilizátorban maximálisan abszorbeálódik. A megvilágításnál arra kell törekedni, hogy a lézerfényt bevezessük a kezelendő területre, ha lehetséges, direkt a tasakba. A lézerhatás 1-2 percig tart. A lézerfényt egyenletesen osztjuk el a kezelendő területen, parodontális tasak kezelése esetén, 6 szextánson: minden érintett fog körül 3–5 J/cm2 vagy 3–5 J/pont dózist jelent.

A gerjesztett állapotban lévő festékmolekula átadja energiáját a környezetében lévő oxigénmolekulának. Ily módon erősen toxikus szabad gyökök keletkeznek, és bekövetkezik a baktériumsejtfal oxidatív degenerációja, ezáltal a baktériumok elpusztítása.

Az eljárás során keletkező toxicitás szigorúan helyben zajlik (legfeljebb 1-2 mm távolságig), környezeti vagy távolabbi hatása nincs. A megvilágítási idő a 150 mW-os SAFE-lézerrel 8 másodperc foganként. Kezelés végén körkefével esetlegesen eltávolítjuk a festék maradékait.

A parodontopátiák kezelése a jövőben a fogorvosok tevékenységének egyre nagyobb hányadát fogja kitenni, mivel egyrészt növekedik azoknak a pácienseknek a száma, akik idős korukra is megőrzik fogaikat, másrészt jelentősen növekszik a parodontális gyulladásban szenvedő fiatalok és középkorúak száma is. Az implantátumok egyre szélesebb körben való elterjedése kapcsán várhatóan növekedni fog a periimplantitisek száma is. Németországban évente közel

61 VI. ÉVFOLYAM – 2023. 8. SZÁM
3. ábra: SAFE-lézer 1800-as lézerberendezés.

1 millió implantátumot helyeznek be, ebből kb. 40%-ban fordul elő a mucositis és a periimplantitis. Olaszországban évente 800 ezer dentális implantációról számolnak be, szintén 35-42% mucositissel és periimplantitissel, melyek kezelése fáradságos, és sajnos, sokszor eredménytelen. Napjainkban a parodontopátiák kezelésében előkelő helyet foglalnak el az antibiotikumok, de hatásuk az esetek döntő részében átmeneti vagy nem kielégítő.

A parodontopátiák és a periimplantitis kezelését célzó, hagyományos módon történő sebészi beavatkozás eredménytelenségének okai összetettek. Hosszú távú hatékonysága meglehetősen korlátozott, emiatt elterjedtsége is csekély. Az APDT óriási előnye ezzel szemben, hogy nem alakul ki mellékhatás, de rezisztencia sem. Ezen kívül - annak köszönhetően, hogy nem fajtaspecifikus - a parodontális tasakban, illetve a periimplantitises területen lévő kevert infekción is úrrá tud lenni. Több vizsgálat is kimutatta, hogy a festékanyag alkalmazása mellékhatásmentes, és fájdalom sem keletkezik. Az APDT hatására az összes vizsgált kórokozó tekintetében szignifikáns számcsökkenés következett be, ez az eljárás a parodontális betegségek és a periimplantitis kezelésére alkalmas, hatékony, széles körben biztosítható, és nagyon jó eredménnyel használható módszer.

Anton Sculean munkacsoportjában Wagenpfeil és mtsai a periimplantitis közepes és súlyos eseteinek zárt kezelésében vizsgálták az APDT alkalmazását. 16 páciens esetében egyik csoportban közepesen súlyos, 5 mm-es, illetve egy másik csoportban súlyos, 8 mm-es defektust kezeltek. A vizsgálatokat 2 hét, 3 hónap és 6 hónap múlva végezték, sulcus vérzési indexet, tasakmélység indexet, továbbá a tapadásveszteség mértékét, az implantátum és a fix mucosa távolságot mérték. Az eredmények között megállapították, hogy 3 hónap múlva a vérzési indexben és a klinikai tapadásveszteség mértékében szignifikáns volt a javulás. A súlyos csontveszteség esetén az eredmények kevéssé voltak kedvezőek, míg a kisebb, 5 mm-es csontveszteség esetén jó eredményt láttak. Konklúzióként megállapították, hogy az APDT kezelés az 5 mm-esnél nem nagyobb periimplantitis esetén alkalmas a további csontveszteség megállítására. A súlyosabb, 8 mmes csontveszteség esetén a sebészi megoldásokat ajánlják, az 5 mm-es esetekben az APDT-t.

Anton Sculean munkacsoportjában Arweiler és mtsai 6 hónapos követéses vizsgálatban követték agresszív periodontitis esetén

az APDT kezelés, valamint amoxicillin és metronidazol hatását. Céljuk az volt, hogy a nem sebészi APDT-t és antibiotikus kezeléseket hasonlítsák össze. 36 beteg esetén 6 mm-nél mélyebb tasakot kezeltek subgingivális depurálással, majd az egyik csoportot antibiotikummal kezelték, a másik csoportban 2 esetben APDT-t alkalmaztak. A plakk indexet, vérzési indexet, a gingiva recessiót, és a tapadásveszteséget vizsgálták kiinduláskor, majd 6 hónap múlva. Mindkét csoportban szignifikáns javulást regisztráltak valamennyi paraméter esetén.

Sculean munkacsoportjában Christodoulides és mtsai randomizált klinikai tanulmányban vizsgálták a parodontális terápiában az APDT kezelés hatását, annak klinikai és mikrobiológiai eredményeit. 24 krónikus periodontitisben szenvedő beteg esetén szubgingivális depurálást és egy APDT kezelést, a másik csoportban csak szubgingivális depurálást végeztek. 3, majd 6 hónap múlva vizsgálták újra a betegeket. Parodontális indexeket és mikrobiológiai tesztet végeztek. A vérzési indexben láttak szignifikáns különbséget az egyszer kezelt APDT-s csoportban a kontrollhoz képest.

Alwaeli és mtsai az APDT kezelés hosszú távú vizsgálatát végezték randomizált klinikai vizsgálatban,

62 e-Journal LÉZER A FOGÁSZATBAN
krónikus perio- 4. a–c ábrák: APDT kezelés krónikus periodontitis kezelésében: 4. a ábra: APDT kezelés során kék festék bejuttatása a tasakokba. 4. b ábra: APDT lézer megvilágítás. 4. c ábra: APDT körkefés festékeltávolítás. 4. d ábra: APDT hyaluronsav alkalmazása.

dontitisben. Legalább 4 mm-es tasakokkal rendelkezett az a 16 páciens, akiket 3-6-12 hónap múlva vizsgáltak. Kifejezett szignifikáns különbséget találtak a parodontológiai paraméterekben. A tasakmélység jelentős csökkenését látták az APDT csoportban.

Sculean munkacsoportjában Schar és mtsai periimplantitisben vizsgálták az APDT kezelés hatását. 40 páciens esetén 4-6 mm-es periimplantáris tasakkal APDT-vel, majd anélkül kezelték a hagyományos gyógymódokkal együtt. A 3 és 6 hónap múlva vizsgált paraméterek esetén az APDT kezelés statisztikailag szignifikáns pozitív hatását tudták regisztrálni. Megállapítják, hogy önmagában az APDT kezelés nem elegendő a periimplantitis kezelésére, de más eljárásokkal együtt alkalmazása hatékonyan segíti a gyógyulást.

Costa és mtsai a baktérium resistencia értékelésével, valamint a vírusfertőzésekre kifejtett APDT hatás tanulmányozásával foglalkoztak. Vizsgálataikkal bizonyították, hogy az APDT kezelések alternatív terápiaként alkalmazhatóak a szájüregi vírusfertőzések során.

Silva és mtsai. kutyákon vizsgálták - kísérleti körülmények között - gyökérkezelés és APDT kezelés alkalmazását. A gyökérkezelést követően 3 hónappal, az APDT kezelések szignifikánsan pozitív hatását tudták megállapítani a periapicális térre vonatkozóan.

Noavaes és mtsai. agressive periodontitisben, mikrobiológiai módszerekkel vizsgálták az APDT hatását. Szubgingivális depurálást, továbbá az APDT kezelést követően 90 nap múlva végezték a vizsgálatokat. Megállapították, hogy a szubgingivális depuráslással és az APDT-vel más-más baktériumcsoportot tudtak eliminálni, illetve hangsúlyozták, hogy a két eljárás együttes alkalmazása a jelenleg ismert egyik leghatékonyabb eljárás az agressziv periodontitisben.

Az APDT kezelést egyhetes különbséggel - a Gáspár Medical Center protokollja szerint - 3 alkalommal végezzük egy kezelési periódusban, a komplex kezelés részeként. Ez elsősorban a krónikus periodontitis, periimplantitis esetén, de kiterjedt különböző szájüregi bakteriális, gomba- és vírusos kórképek esetén is bevált és hatásos eljárás. Anton Sculean

– a világszerte elismert vezető parodontológus – és munkacsoportja kiterjedt kísérletes – és klinikai tudományos vizs-

gálatok sorozatával bizonyította az eljárás hatékonyságát a krónikus periodontitis és periimplantitis során. Ezzel az APDT kezelés is bevonult - ezekben a kórképekben - az evidenciák közé.

A SAFE-lézer technológia

A SAFE lézerek magyar világszabadalomként, a 4/2009.(III. 17.) EüM rendelet alapján, a II. orvostechnikai osztályba tartozó orvostechnikai eszközök. Az MSZ EN ISO 13485:2012 szabvány és a 4/2009. (III. 17) EüM rendeletben meghatározott minőségirányítási rendszerrel rendelkezik. EK tanúsítvány száma: 144446-13-08-16. Tanúsító szervezet: CE

63 VI. ÉVFOLYAM – 2023. 8. SZÁM
5. a–d ábrák: APDT kezelés periimplantitis esetén: 5. a ábra: Periimplantitis röntgenképen. 5. b ábra: Kékfestés. 5. c ábra: Lézeres megvilágítás piros lézerrel. 5. d ábra: Hyaluronsavas kezelés.

Certiso Orvos- és Kórháztechnikai Ellenőrző és Tanúsító Kft. (NB 2409).

A Gáspár Medical Centerben a SAFE-lézer család 3 tagját alkalmazzuk fogászati, szájsebészeti, implantológiai és APDT célokra.

A Safe-lézer 150-es készülék hatása a bőrfelszínhez vagy a szájnyálkahártyához közeli, kb. 3 cm mélységig érvényesül, ezért a felszínhez közeli elváltozások, gyulladások, fájdalmak gyógyításában van jelentős szerepe. A Safe-laser 150 egy sokoldalú használatra tervezett lágy-lézer készülék, számos kiegészítővel, így többfajta kezelést tesz lehetővé:

Bőrfelületre helyezve általános lézerként használható; Sugárszűkítővel orrnyílás bevilágítására is alkalmas (sugárszűkítő tartozék); Száloptikával a fül és a száj kezelhető hatékonyan (külön rendelhető); Kozmetikai kezelővel a speciális krémeket hatékonyan lehet a bőrbe juttatni (külön rendelhető); Teljesítmény: 150 mW folytonos (szórt sugárzás); Hullámhossz: 660 nm (piros fény); AA – elemes (tartozék) vagy akkumulátoros működés; Rendelhető kiegészítő száloptika (1 db sugárszűkítő tartozék).

A Safe-laser 500 Infra infravörös (808 nm-es) fénye sokkal mélyebb rétegekben nyelődik el, mint a piros fényű lézereké (biológiai hatása akár 8 cm mélységben is érvényesül), így kiválóan használható pl. mozgásszervi betegségek terápiájában, ahol fájdalomcsillapító, gyulladáscsökkentő hatása van, és gyorsítja az izmok, inak, ízületek gyógyulását. Nagyobb dózis esetén az ízületi porcfelszínek és a porcok regenerálására is alkalmas.

Fogászati kezelések, műtétek után segíti a hatékonyabb, a csontban lejátszódó gyógyulást. Implantátumok és csontpótló anyagok beültetésénél gyorsítja a csontosodási folyamatokat.

Teljesítmény: 500 mW folytonos (szórt sugárzás); 1-es osztályú lézergyártmány; Hullámhossz: 808 nm (infravörös) + 4 db 630 nm LED; Akkumulátoros működés. Fogászati betegségek, gyulladások hatékonyan kezelhetők akár az arcon keresztül (kívülről), akár a száloptika segítségével is (szájon belül). Fogászati kezelések, szájsebészeti műtétek, fogbeültetés után a lágy- és csontszövet gyógyulását egyaránt felgyorsítja. Fog implantátumok körül segíti a csontosodást és a hámtapadást (csontosodási fázis). Műtétek után lerövidül a gyógyulási idő, hamarabb lehet a varratokat eltávolítani. Szájzár esetén, az állkapocs ízületén végzett néhány perces Safe-lézer kezelés után az izom lazul, a szájzár pár perc alatt oldódik, a gyulladás csökken.

A 8 cm-nél mélyebben fekvő kezelendő réteget jobban el lehet érni, ha a Safe-laser 500 Infra kezelőfejét kissé belenyomjuk a szövetekbe. Ha pl. nyílt seb miatt a lézert nem lehet ráhelyezni a bőrfelületre, akkor a lehető legközelebb kell tartani (max. 0,5 cm), ebben az esetben viszont a kezelési időt pontonként 1 perccel meg kell hosszabbítani, hogy a gyógyuláshoz szükséges megfelelő energiamennyiség bejusson a szervezetbe!

A Safe Laser 500 Infra fényét a testszövetek kevésbé nyelik el, így mélyebb rétegek kezelését is el lehet vele végezni (biológiai hatása akár 8 cm mélységben is érvényesül). Ezért kiválóan használható pl. mozgásszervi betegségek terápiájában, ahol fájdalomcsillapító, gyulladáscsökkentő hatása van, és gyorsítja az izmok, inak, ízületek gyógyulását. Hasonlóan mély hatása révén hatásos az implantológiai alkalmazása, ahol az állcsontok belsejében levő szöveti struktúrák is jól kezelhetőek, akár az arcbőrön keresztül is.

Professzionális felhasználóknak készült a Safe-laser 1800, amelynek infravörös (808 nm-es) fénye sokkal mélyebb rétegekben nyelődik el, mint a piros fényű lézereké (biológiai hatása akár 10 cm mélységben is érvényesül).

Így kiválóan használható mélyen, a csontban zajló folyamatok kezelésére, akár csontpótlás vagy implantátumbeültetés esetén, ahol a csontosodást serkenti, vagy a mozgásszervi betegségek terápiájában, ahol fájdalomcsillapító, gyulladáscsökkentő hatása van, továbbá gyorsítja az izmok, inak, ízületek gyógyulását. Nagyobb dózis esetén az ízületi porcfelszínek és a porcok regenerálásra is alkalmas.

Fogászati kezelések, műtétek után segíti a hatékonyabb gyógyulást.

Teljesítmény: 1800 mW folytonos (szórt sugárzás); 1-es osztályú lézergyártmány; Hullámhossz: 808 nm (infravörös) + 1 db 630 nm LED; Nagy kezelőfelület: 12,5 cm2; Akkumulátoros működés.

A SAFE-lézer technológia, miután lehetővé teszi, hogy a berendezéseket ne csak orvosok, asszisztensek, szájhigiénikusok, hanem a betegek is alkalmazhatják, elterjedt új lehetőség a fogorvosi rendelők részére a SAFE-lézerek bérlése vagy bérbe adása a pácienseknek otthoni használatra is. Orvosi utasítások és kontroll alatt alkalmazhatja a készüléket otthonában, a betegeknek nem szükséges alkalmazásához a tanfolyam elvégzése. Napi néhány perc kezelés elegendő a kívánt lokális és szisztémás hatás eléréséhez.

(A közleményben szereplő hivatkozott irodalom a szerzőknél rendelkezésre áll.)

64 e-Journal LÉZER A FOGÁSZATBAN
6. ábra: Methylénkék oldat SAFE-lézer 150 piros lézerhez - APDT kezelés. 7. ábra: A SAFE lézer 1800-as kezelő felülete 5-ször nagyobb a SAFE-lézer 500-nál.
Szak mai és kereskedelmi képviselet: VaLiD Dental Medical Kereskedőház Kf t. 1083. Bp., Szigony u. 41. | +36-1/210-0185 | dental@valid.hu | ww w.valid.hu

Excisios és incisiós bipopszia, nyálkahártya alatt levő fogak feltárása, gingivoplastica, haemostasis és coagulatio, implantátum feltárás, lágyrészek és növedékek kimetszése, lézeres lágyrész courettage, pulpectomia és gyökércsatorna kezelése, gingiva hyperplasia redukciója, tasakok lézer kezelése, sulcus decontaminatio, herpes, afta,

feltárása, fibroma eltávolítás, frenulectomia, frenotomia, gingivectomia, abscessusok incisiója, parodontális tasakok kezelése, gyulladásos courettage, leukoplakia kezelése, körülmetszés, papilloma eltávolítás, redukciója, koronahosszabbítás a lágyrészek kezelésével, parodontális afta, gyulladásos elváltozások kezelése, vestibulumplastica.

OKOSTELEFONNAL VEZÉRELT, ÚJ GENERÁCIÓS, NAGY TELJESÍTMÉNYŰ DIÓDA FOGÁSZATI LÉZER ALKALMAZÁSA

AZ IMPLANTOLÓGIÁBAN

Az implantáció a fogászat egyik olyan csúcstechnológiája, melyet a medicina más csúcstechnológiái, mint a lézer, a képalkotó eljárások, a robottechnika egyre hatásosabban támogatnak.

Az új generációs fogászati lézerkészülék fejlesztésében megtalálhatóak már a mobiltelefonos applikáció, a kezelési protokollok, a beteg kezelésének nyilvántartása, továbbá a lézeralkalmazások az implantológiában, a gyökérkezelésben, a parodontális tasakok esetén, a lágyrészek kezelésében, a fogfehérítésben és a soft-lézer terápiában.

A lágyrészek sebészetének számos területén, most már közismert módon kedvezőbb feltételek között alkalmazhatóak a lézerek, mint a hagyományos sebészi eszközök. Egyre több fogorvosi rendelőben megtalálható a soft-lézer alkalmazása, mely különösen segíti az implantológiai munkát. A kis teljesítményű lézerek rendkívüli előnyöket, gyorsabb és kedvezőbb gyógyulást biztosítanak a dentális implantáció előtti, alatti és utáni periódusban, valamint az APDT-ben (Anti Mikrobiális Photo Dinamikus Terápia).

A sebészi lézeralkalmazás körülményeinek kutatása során ma már rámutattak arra is, hogy a sebészi alkalmazás közben is ér-

vényesül a „soft lézerhatás”, mely mind a hámosodás, a csontosodás és az osszeointegráció folyamatát is stimulálja.

Ez a lézerek jövőjét és még szélesebb körű elterjedését jelenti.

Különösen nagy lendületet adott a fogászati lézeralkalmazás elfogadottságának, hogy a témára vonatkozó módszerek bekerültek az evidenciák közé. Így világossá vált, hogy egyre szélesebb indikációs körben, nemzetközi szervezetek által igazoltan, hatékonyan alkalmazhatóak a lézerek az implantológiában is.

Életünk egyre meghatározóbb eszközévé váltak a telekommunikációs eszközök. Az okostelefonok szinte éjjel-nappal nálunk vannak, és egyre több hasznos tevékenységet tudunk ezekkel elvégezni. Elérkezett az idő, hogy a sebészi lézerek vezérlését, kezelését, beállításait, memóriáját a fogorvos már a saját okostelefonjáról tudja irányítani.

68 e-Journal LÉZER A FOGÁSZATBAN
1. ábra: Solase készülék a mobiltelefonnal elhelyezhető a lengőasztalon. 2. ábra: Sebészi kézidarabok 200-300400 mikrométeres szállal.

A nagy teljesítményű (sebészi) dental dióda lézerek új generációja inkább hasonlít egy iPod-ra (így a SOLASE is), mint valami klasszikus, orvosi terápiás berendezésre. A sebészeti lézerberendezés érintőképernyőjén – vagyis a saját telefonunkon – olyan applikációk hívhatóak elő, melyek tartalmazzák a kezelések paramétereit, a kezelések vezérlését, a használati útmutatót, a kézikönyvet, az illusztrációkat, sőt videó-demonstrációt is tud a készülék lejátszani. „Felhőben” elmenthetőek a beteg adatai, a kezelés paraméterei, és ezek az adatok akár távolról is lekérhetők. Megjelent a vezeték nélküli technológia, nincs vezeték már a lábpedálhoz sem, és a hálózati áramhoz sem köti elektromos kábel a készüléket.

A leginkább használatos 200-300-400 mikronos lézerszálak vagy kezelővégek egyaránt alkalmazhatóak. A berendezéshez már 5-féle kézidarab használható a lágyrész-sebészetben, a gyökérkezelésben, a parodontális tasak kezelésében, a fogfehérítésben és az implantológiában. A készülék akkumulátorról működik 2 üzemórát, de lehetséges hálózati kábelről is üzemeltetni.

Az új generációs berendezés első beüzemelése során a gyártó cég által megadott applikációt letöltjük az internetről a saját okostelefonunkra. Bluetooth-kapcsolatot létesít a lézer és a telefonunk, majd a telefonunk átveszi a lézerberendezés vezérlését. Megjelenik az alkalmazási körök listája, ebből kiválasztjuk a beteg számára megfelelőt, a felajánlott lézer-paraméterekkel. A vezeték nélküli, szintén Bluetooth lábpedált a fogorvosi szék közelében helyezzük el, a kisméretű lézert rátehetjük a fogorvosi egységkészülék lengőasztalára. Nem szükséges 220 voltos áram sem, mivel akkumulátorról üzemel. Kiválasztjuk a kezeléshez ajánlott vastagságú lézerszálat vagy a kezelő kézidarabot, és a telefonunkról elindítjuk a kezelést.

Mint tudjuk, a fogorvosok világszerte rendkívül széles repertoárban, sokféle célra használják a lézereket, elsősorban parodontológiai és lágyrészsebészeti, továbbá endodontiai, gyermekfogászati célokra, valamint fogfehérítésre is. A lézerek ma már világszerte a fogorvosi rendelők szériafelszereléseivé váltak, és különösen az implantológiai alkalmazásokban történt jelentős fejlődés.

A fogászati dióda lézerek működésének jellemzői

Az orvos feladata a diagnózis felállítása, majd ezt követően a lézeres fogászat szakmai szabályainak megfelelő kezelést, az alkalmazandó paramétereket a modern berendezések felajánlják. A szakma szabályainak jelentős része beépítésre került a fogászati dióda lézerek vezérlésébe, menürendszerébe. Ha kiválasztjuk a kívánt kezelési típust, például a „parodontális beavatkozások” csoporton belül a „tasakkezelés” feliratot, és ráklikkelünk az érintőképernyőn, akkor megjelennek az ajánlott paraméterek, így a szálvastagság, a teljesítmény, az üzemmód (folyamatos, ismétlő, szaggatott stb.), valamint egyéb információk is. Ezek az átlagos esetekre vonatkoznak, és ha az általunk végzendő beavatkozás nem tér el az átlagtól, akkor csak az „ok” vagy „enter” felirat, vagy a

szimbólum érintésével már el is fogadtuk a kezelési adatokat, és indulhat a beavatkozás.

A berendezések menürendszere lehetővé teszi, hogy „saját” paramétereket állítsunk be, pl. olyan átlagos esetektől eltérő módszert, mely nekünk már bevált, ez a menürendszerbe elmentve bármikor, csak egy gombnyomásra előjön, és azonnal újra alkalmazható.

A készülékek egyre praktikusabb kivitelét lehetővé teszik az új technikai megoldások. A nagy lépések között a hűtési rendszer megoldása biztosította, hogy egyre kisebb méretű fogászati dióda lézer került kifejlesztésre. A készülék felszínének egyre nagyobb részét az érintőképernyő foglalja el, eltűntek a mechanikus gombok, szinte minden feladatot az érintőképernyőről tudunk megoldani. Sőt, már az érintőképernyő is eltűnt, mert ezt a szerepet a fogorvos mobiltelefonja vette át. A tenyérben elférő készülékek alig foglalnak helyet, akár a fogászati lengőasztalon is elférnek, mivel nem nagyobbak 20 x 20 x 20 cm-nél. Súlyuk alig haladja meg az 1 kg-ot, és jelentős fejlődést jelent az akkumulátorral történő működtetés lehetősége is, mely nagyfokú mozgásszabadságot ad a rendelőn belül, illetve a fogorvosi szék mellett, elkerülve a hálózati áramcsatlakozó okozta korlátokat. Az új megoldások között a vezeték nélküli lábpedál is jelentős könnyebbséget jelent.

A kézidarabok, a kezelővégek, az optikai szálak folyamatos fejlesztése egyre praktikusabbá teszik a dióda lézerek alkalmazását, és az évekkel ezelőtt, főleg a kezdőknek problémát jelentő „technikai nehézségek” ma már szinte teljesen eltűnnek.

A tudományos és klinikai tapasztalatok arra utalnak, hogy a fogászati alkalmazások döntő többségénél a 980 nm-es és a 810 nm-es lézerek a leginkább használhatóak. Az optimális paraméterek megtalálása, a lehető legjobb abszorpció lehetővé teszi, hogy a fény abszorpciója több mint tízszerese, mint a régebbi lézertípusoké volt. Ugyanaz a közölt teljesítmény hatásosság szempontjából tízszeres lehet, mint a régebben favorizált hullámhosszé. Máris érthetővé válik, hogy mi az oka annak, hogy húsz évvel ezelőtt a fogászati lézerek magasabb teljesítmény kategóriákban dolgoztak, mint a maiak. Sokszor akár a 2-3 wattos teljesítmény is alkalmas megfelelő hatékonysággal a kezelésekre, mert az új technikai megoldások ezt is biztosítják.

Számos berendezés különböző paraméterekkel rendelkezik, az egyes tudományos kutatási csoportok sok esetben ugyanazon kezelés kivitelezésére eltérő eljárási protokollokat ajánlanak.

SOLASE-808 és SOLASE-976

új generációs fogászati

dióda nagy teljesítményű lézer

A SOLASE-808 nanométer és SOLASE-976 – nanométer típusú lézerberendezés az új fejlesztések terméke. A berendezés kifejlesztésében a telekommunikációs, a komputertechnikai és a lézer cégek tevékenysége révén alakult ki az együttmű-

69 VI. ÉVFOLYAM – 2023. 8. SZÁM

ködés azzal a céllal, hogy minőségben felső kategóriás, de árban alsó kategóriás lézert hozzanak létre.

A típuscsaládnak 2 tagja van.

A 808 nanométeres hullámhosszúságú és a 976 nanométeres hullámhosszúságú

10 wattos teljesítményű diódát tartalmaz, vezeték nélküli megoldású lábkapcsolóval és akkumulátorral került felszerelésre. Mindkettő menürendszere megegyezik, 25 különböző kezelési program található benne, 5 különböző szakterületre vonatkozó leírással együtt: sebészet, parodontológia, endodontia, esztétika, biomoduláció. Hagyományos szálvastagsággal dolgozik (200-300-400 mikron), és a berendezéshez 5-féle kézidarabot gyártanak. Lítium újratölthető akkumulátorról, valamint hálózati 220 voltról is működtethető. Különlegesen kompakt méret: 138 x 142 x 168 mm, 1,3 kg súly.

Beépített applikációk: kezelési kézikönyv, protokollok, videók, illusztrációk a berendezésben.

Biztonságos használat, jelszóval és kóddal védett berendezés. Felhőbe letölthető anyagok, automata iniciálási rendszer, offline módon való használat lehetősége, az adatok távolról is lekérhetőek a készülékről. A berendezésben rögzíthetőek a kezelés adatai, paraméterei, feljegyzések, fotók, videók, kezelés előtti és utáni adatok. A készülék a legutóbbi használati paramétereket megőrzi, lehetőség van a saját kezelési beállítások megőrzésére.

Implantológiai és fogászati kissebészeti lézer beavatkozások (minor dental surgery)

Az implantológiai és kissebészeti lágyrész-beavatkozások csoportjába tartozó műveleteket a fogorvosok megfelelő

elméleti és gyakorlati felkészülés után könynyűszerrel és rendkívül széles alkalmazási körben tudják végezni. Az igazán napi rutin keretébe tartozó fogászati munkákat ún. „lézerrel asszisztált módon” kivitelezve, de más területeken is a sztomatológiai munkájuk gyorsabb, biztosabb, esztétikailag és funkcionálisan eredményesebb lesz.

A napi rutinban leggyakrabban alkalmazható kissebészeti beavatkozások:

Gingivectomia esetén - akár a természetes fogak, akár az implantátumok közelében - lézerrel a nemkívánatos ínyrészeket koaguláció segítségével vértelenné tesszük, majd a „megfőzött” szöveteket pontosan és kíméletesen eltávolítjuk, ún. „kaparó” mozdulattal. Az íny kontúrjai a szükségletnek megfelelően alakíthatóak. A vérzés elkerülhető a folyamatos koagulációs hatással. Az átfőzött részek lekaparása után a következő sáv jól áttekinthető, és a szem kontrollja mellett kezelhető. A művelet jól hozzáférhető a vestibuláris oldalon, de könnyű a kezelés a palatinális vagy linguális felszíneken is.

Hasonló a kivitelezési technika a korona hosszabbítása során - akár a természetes fogak, akár az implantátumok esetén -, amikor a páciens esztétikailag kedvezőtlen rövid, elsősorban frontfogakkal rendelkezik, és a lágyrészek kontúrálásával a klinikai korona hossza növelhető, mely kedvező esztétikai összhatással járhat.

Az implantátumok feltárása az implantátumot fedő lágyrészek átkoagulálásával, majd a megfőzött szövetek letörlésével, lekaparásával - vérzés nélkül kivitelezhető. A megfelelő lágyrészek eltávolítását követően a záró csavart kicsavarjuk, majd az ínyformázó behelyezhető. Esetenként, amennyiben pontos kontúrokat tudunk kialakítani, kis kompromisszummal lenyomat vételére is azonnal van lehetőség.

Az implantológiai és kissebészeti beavatkozások között előforduló átmetszések érintik a felső és alsó ajak frenulumokat, a nyelv frenulumot, valamint a különböző helyeken előforduló nyálkahártyahúrokat. Ezeket sokszor elegendő spray- vagy kenőcsérzéstelenítéssel ellátni, majd a szövetek folyamatos húzása mellett a lézerrel átvágjuk a szöveteket. A kialakult sebfelület nem vérzik, koagulált fehérje réteg fedi, és biztosítja a zavartalan sebgyógyulást.

A fogászati kezelések során keletkező kisebb vérzések koagulálására alkalmas a dióda lézer. Így akár a fogeltávolítást követően keletkező kisebb vérzés (pl. ínyszél vérzése) csillapításában is hathatós segítséget nyújt.

70 e-Journal LÉZER A FOGÁSZATBAN
4. ábra: Kényelmes lézeralkalmazás vezetékek nélküli Bluetooth kapcsolattal, vezérlés a saját mobiltelefonról. 5. ábra: Szoft lézer kézidarab.

Az alább felsorolt lágyrészelváltozások esetén előnyös a dióda lézer alkalmazása:

papilloma, mucocele, fibroma, frenulectomia, haemangioma, teleangiectasia, granuloma fissuratum, vestibulumplastica, ranula, lipoma, verruca, pyogen granuloma, epulis, leukoplakia, cheilitis, terhességi epulis, lipoma, naevus intradermalis, operculectomia, gingiva hyperplasia.

Lézerek alkalmazása az implantológiában:

• Preoperatív beavatkozások;

• Preprotetikai lézeres beavatkozások;

• Az implantátum feltárása;

• Soft lézer terápia;

• A periimplantitis lézeres kezelése.

Az implantáció kockázatai között feltárt számos tényező hatásosan, gyorsan és a beteg számára kevés kellemetlenséggel kezelhető a dióda lézerekkel. A fogpótlásokhoz vett lenyomat esetén a preparált szél határán levő lágyrészek jól konturált vonalai segítik a precíz munkát, a konzerváló fogászati beavatkozásokhoz a megfelelően előkészített vérzéstől mentes ínyszél fontos.

Az implantátumok hosszú idejű és zavartalan funkcióban maradásának fontos feltétele, hogy a beültetés eredményét veszélyeztető kockázatokat a minimálisra csökkentsük. Az implantátum behelyezése előtti időszakban a jobb körülmények biztosítása és a nagyobb sikeresség érdekében számos előkészítő beavatkozásra van szükség.

Az egyik legalapvetőbb feltétel a kifogástalan szájhigiéne kialakítása és fenntartása. A betegek döntő többsége szenved parodontális problémáktól, éppen emiatt vesztik el nagyrészt a fogaikat, ezért szorulnak implantációs fogpótlásra. Ha a saját fogak elvesztését eredményező gyulladásos folyamatok az implantátum behelyezésekor és azt követően is fennállnak, akkor reálisan arra lehet számítani, hogy az implantátumokkal a páciens hamarosan hasonló helyzetbe jut, mint a saját fogaival. Elsősorban a parodontális tasakok kezelése okoz sok gondot. Ebben a diódalézerek által biztosított eredmények rendkívül nagy előrehaladást jelentenek. A lézeres baktériumelimináláshoz, a tasakhám eltávolításához, a steril felszínek biztosításához a lézer olyan alapot nyújt, hogy a gyulladásos folyamat megszüntetése mellett jelentős tapadásnövekedésre, az

osteoblastok stimulációja révén pedig csontappozícióra is esélyt ad.

A dióda fogászati lézerek segítségével néhány pillanat alatt el lehet végezni pl. a frenulumok átmetszését, a hyperpla-

71 VI. ÉVFOLYAM – 2023. 8. SZÁM
6. a-b-c ábra: Zavaró lágyrészek a stég alatt, eltávolítás dióda lézerrel. 7. ábra: Biostimulációs kezelés implantációs műtét után a sebgyógyulás gyorsítására.

siák megszüntetését, vagy a nyálkahártya-elváltozások eltávolítását. A maradék fogazat megfelelő állapotának és a szájüreg jó higiénés viszonyainak biztosítása a fogászati kezelések hosszú távú sikerességének elengedhetetlen alapfeltétele.

A dióda fogászati lézerek a fogimplantáció kockázatainak csökkentésében kiemelten fontos szerepet töltenek be.

FDA által jóváhagyott sebészi dióda lézeres beavatkozások:

Excisios és incisiós bipopszia, nyálkahártya alatt levő fogak feltárása, fibroma eltávolítás, frenulectomia, frenotomia, gingivectomia, gingivoplastica, haemostasis és coagulatio, implantátum feltárás, abscessusok incisiója, parodontális tasakok kezelése, gyulladásos lágyrészek és növedékek kimetszése, lézeres lágyrész courettage, leukoplakia kezelése, körülmetszés, papilloma eltávolítás, pulpectomia és gyökércsatorna kezelése, gingiva hyperplasia redukciója, koronahos zszabbítás a lágyrészek kezelésével, parodontális tasakok lézer kezelése, sulcus decontaminatio, herpes, afta, gyulladásos elváltozások kezelése, vestibulumplastica.

Az új technikai megoldások évről évre mind hatékonyabbá, mind könnyebben kezelhetővé teszik a fogászati dió -

da lézereket. A felhalmozódott több évtizedes, tudományos elméleti és klinikai tapasztalat egyre világosabban kirajzolja azokat az alkalmazási paramétereket, módszereket, kiegészítő eszközöket, technikai megoldásokat, melyek egyre tökéletesebb lehetőségeket biztosítanak a fogorvosi praxisok számára. A fogászati dióda lézer berendezések komputervezéreltek, hasonló menürendszerrel, mint a komputerekben, az okostelefonokban és egyéb high-tech eszközökben. Sőt, ma már a fogorvos saját okostelefonjával irányíthatja, a betegek adatait tárolhatja, kezelési módszereit dokumentálhatja. Így a nagy teljesítményű dióda fogászati lézer az eddiginél még inkább a fogorvosi rendelők valódi szériafelszerelésévé válhat.

72 e-Journal LÉZER A FOGÁSZATBAN
8. a–b–c ábra: Frenulum átmetszése dióda lézerrel. 9. a–b ábra: Implantátum felszínének decontaminációja dióda lézerrel, periimplantitis kezelése során.

STRAUMANN® BLX IMPLANT SYSTEM

Confidence beyond Immediacy.

System overview

SZOFTLÉZEREK A KLINIKAI GYAKORLATBAN

A szoftlézerek az orvosi szakterületek egész sorával kerültek kapcsolatba a klinikai gyakorlatban. Az eltelt több mint öt évtizedben egyre világosabban különülnek el a szoftlézereket most már rutinszerűen alkalmazó szakágazatok, kristályosodnak ki az indikációs területek. A kezdetektől alapvető fontosságú kérdés volt, hogy mi javasolt, mit lehet, illetve mit tilos kezelni ezzel a módszerrel.

A lézeralkalmazás történetét érvek és cáfolatok kísérték, aminek fő oka az, hogy az elméleti kutatások még ma sem tudnak pontos magyarázatot adni a hatásmechanizmus minden részletkérdésére. De a természettudományban vagy az orvoslásban nem egyedülálló dolog az, hogy még nem értünk minden részletet. Az utóbbi két évtized hallatlan fejlődést hozott a szoftlézerek sejt-, illetve enzimszintű hatásainak megismerésében, már nagyon sok kérdés tisztázódott, számos dolog igazolódott, amely régebben csak feltételezés volt.

Továbbra is fontos, hogy a kezelést egyeztetni kell más terápiás eljárásokkal, mivel az esetek nagy részében kombinált kezelés a leginkább célravezető (gyógyszeres kezelés+lézerterápia+egyéb eljárások). Csak a megfelelő indikációs körbe tartozó és diagnosztizált betegségek kezelése megengedett (például kontraindikált az ismeretlen természetű betegségek vagy rákmegelőző állapotok stb. kezelése).

A szoftlézerek klinikai alkalmazása során, más terápiás eljárásokhoz hasonlóan, orvosi szakmáktól

1. ábra: 660 nm-es piros színű lézerfény alkalmazása fogászati kezelés során. Mind az APDT-kezelésben, mind az általános szoftlézer-terápiában jól alkalmazható hullámhossz.

2. ábra: 660 nm-es, 200 mW teljesítményű ceruzalézer-berendezés. Ha a végéhez száloptikát illesztünk, akkor üregi kezelésekre (például fogászat) alkalmassá válik.

függetlenül alapvető szabályokat kell betartani. Ezek a következők:

• Ismert, hatóságilag engedélyezett, rendszeresen karbantartott és legalább évente bemért paraméterekkel rendelkező, bevizsgált lézerberendezés.

• Védőfelszerelések megléte (szemüveg stb.).

• Megfelelő helyiség, eszközfeltételek, biztonsági előírások betarthatósága/betartása.

• Kivizsgált beteg.

• Orvosi felügyelet, kapcsolattartás.

• Kezelési terv (protokoll, kombinált kezelés stb.).

• Megfelelő orvosi szakképzettség, lézeres szakképzettség (elméleti és gyakorlati vizsgával igazolt jártasság).

Ezek együttes jelenléte képezi a lézerterápia megkezdésének, illetve folytatásának alapfeltételeit. Ha bármelyik hiányzik, nem engedhető meg a lézer orvosi alkalmazása.

A klinikai gyakorlat számára a három alapvető szoftlézerhatás – a fájdalomcsillapító, a gyulladáscsökkentő és a biostimulatív effektus – köré csoportosulnak az alkalmazási területek. Az ese-

74 e-Journal LÉZER A FOGÁSZATBAN
1. ábra 2. ábra

tek jelentős részében egyszerre két- vagy néha mindhárom tényező fontos szerepet játszik a terápiás hatás létrejöttében, az észlelhető klinikai javulásban. Így szimptomatológiailag elsősorban a következő nagy csoportok szerepelnek:

• Fájdalombetegségek vagy fájdalomtól kísért betegségek.

• Gyulladásos kórképek vagy gyulladással együtt járó elváltozások.

• Nem hámosodó fekélyek vagy ezzel járó betegségek.

Szájsebészet és fogászat

A lézert a szájsebészetben és a fogászatban napjainkban egyre szélesebb körben alkalmazzák. A lézersugarat rendszerint fogászati célú kézidarab vagy fogászati vég esetén száloptikai megoldás segítségével lehet a rejtettebb szájüregi területekre eljuttatni. A szoftlézer nem helyettesíti a hagyományos fogászati vagy szájsebészeti kezeléseket, sem a gyógyszeres terápiát, hanem azokat igen sok esetben úgy egészíti ki, hogy a betegség sokkal gyorsabban, jóval kevesebb kellemetlen tünettel, kevesebb mellékhatással gyógyul.

A mai tendenciák között látjuk, hogy a készülékek egyre tökéletesebbek, kezelésük egyre egyszerűbb. Az eljárások jól körülhatároltak, a protokollok egyértelműek, világosak. Alkalmazásuk rutinszerű feladattá vált. A hangsúly egyre eltolódik a magán-egészségügyi ellátás irányába. A lézermedicina üzleti befektetések célpontja lett. Egyes lézerkezelések kitolódtak a medicina határaira vagy azon túlra.

Mindenki szívesen elkerüli a fogorvosi székben ülve a szorongást, a fájdalmat, a diszkomfortot, tömegesen keresik azokat a fogorvosokat, akik lézertechnikát is alkalmaznak.

És köztudott, hogy nemcsak a nagy teljesítményű lézerekkel lehet sokszor „csodát” művelni, hanem a szoftlézerekkel is nagyon hatékonyak tudunk lenni. Elsősorban a fájdalom, a diszkomfort eliminálásában, megelőzésében.

Tendencia, hogy egyre inkább az asszisztensek, szájhigiénikusok kezébe került a szoftlézerkészülék, az utóbbi néhány évben pedig megjelentek a pácienslézerek is, amelyeket a beteg megfelelő kioktatás után az otthonában maga tud alkalmazni. Ezzel sok időt és költséget lehet megtakarítani, ami a lézerkezelés népszerűségét tovább fokozza.

A legfontosabb alkalmazási területek (a teljesség igénye nélkül) a következők:

• Szájnyálkahártya-betegségek (afta, herpesz, krónikus gyulladások, stomatitis herpetica, gingivitis, gingivostomatitis).

• Fájdalomkezelés (trigeminus neuralgia, poszttraumás fájdalom, posztoperatív fájdalom).

• Parodontális kórképek (parodontosis, parodontitis, gingivitis, tasakok).

• Temporomandibuláris ízületi betegségek (Costen-szindróma, poszttraumás fájdalom, arthrosis, arthritis).

• Nyálmirigybetegségek (syaloadenitis, syaloadenosis, asyalia).

• Csontműtéteket követően (fogeltávolítás, gyökércsúcs-reszekció, műtéti fogeltávolítás, cisztaműtétek, korrekciós és preprotetikai műtétek, implantáció).

• Dentális gyulladások (periodontitis, periostitis, osteomyelitis, phlegmone stb.).

Az általában igen sok kellemetlenséggel (fájdalom, duzzanat, táplálkozási nehézségek stb.) járó

fogászati és szájsebészeti betegségek, illetve a gyógyításuk érdekében végzett beavatkozások során igen jelentős a szoftlézer-terápia nyújtotta gyógyhatás. Jelentősen lerövidül a gyógyulás ideje, hamarabb lehet a varratokat eltávolítani, kevesebb a műtét utáni fájdalom, ödéma.

A fogászatban, szájsebészetben, implantológiában alkalmazható szoftlézerek

Típusuk szerint: HeNe-lézer, GaAs, GaAlAs sebészi lézerek low power üzemmódban.

Teljesítmény szerint: páciensi célra (5–30 milliwatt teljesítmény), asszisztensi és orvosi célra (30–300 mW). A fogorvoslásban a felső határ a 100–300 mW, ekkora teljesítményű szoftlézerek alkalmazása javasolt jelenleg orvosi, aszszisztensi, szájhigiénikusi célra.

Besugárzási eljárások szerinti osztályozás: felszíni (nyálkahártya, bőr, akupunktúra), illetve mély (ízület, csontállomány, műtét után, traumák, neurológiai rehabilitáció).

A besugárzás módozatai szerinti felosztás lehetséges manuális vagy tereléssel irányított besugárzás (nyalábmanipulátor, kézidarab, lencse, tükör).

1. Pontbesugárzás, direkt sugárvezetés. Ez esetben nem használunk külön optikai eszközt, hanem maga a lézerberendezés által kibocsátott lézernyaláb jut direkt módon a kezelendő felületre.

2. Pontról pontra, direkt párhuzamos/divergáló: rövid távolságról teljes dózis, részdózisok öszszeadása visszatérő módszerrel.

75 VI. ÉVFOLYAM – 2023. 8. SZÁM
3. ábra: Fogászati száloptikával felszerelt Dr150Pro berendezés.

4. ábra: A fogászati kezelővéggel jól hozzáférhetőek a szájüreg laterális és hátsó területei is.

5. ábra: A lézerkészülékhez a fogsorívet egyszerre megvilágító „szájüregi darab” is illeszthető.

3. Mélyen fekvő pontok elérése több beesési szögből.

4. Szkennelés, lassú pásztázás a terület felett.

5. Multifokális terület besugárzása.

6. Száloptika útján történő besugárzás.

Technikai kérdések a szoftlézer-terápiában

1. A terápiás szoftlézerek a láthatatlan (általában 700–980 nm) és a látható (500–700 nm) fénytartományban működnek.

2. Az energiát joule (J)-ban adják meg, mely a milliwatt teljesítmény x a másodperc besugárzási idő szorzata. Így 50 mW x 60 s ad 3000 millijoule energiát, azaz 3 joule-t. Az általában használatos terápiás energiatartomány 1–10 J pontonként. A dózist J/cm2 egységben adják meg. Emiatt tudnunk kell a besugárzott felület nagyságát is. (1 J, amit besugárzunk 1 cm2-en = 1 J/cm2; 1 J, amit besugárzunk 0,1 cm2-en = 10 J/cm2.)

3. A szövetekben sem felmelegedés, sem irreverzibilis látható elváltozás nem keletkezik.

4. A nyolcvanas években elterjedt szoftlézerberendezések általában rendkívül alacsony teljesítményűek voltak. Sokszor találkoztunk 0,1–25 mW teljesítményűekkel. Azután változott a helyzet, fokozatosan egyre magasabb energiatartományok, teljesítményhatárok jelentek meg, egyre rövidebb kezelési időkkel. Ma már a korszerű kezelés a pontonként 200 mW és a 8 s alatt leadott 4 J/cm2

A szoftlézer-terápia során leggyakrabban alkalmazott paraméterek

A SLT paramétere típusos értékek

Hullámhossz: 632,8, 670, 820, 830, 904 nm

Teljesítmény: 5–30 mW, 30–300 mW

Hullámformafolyam: 200 Hz, 300 Hz, 900 Hz,

Dózis: 1–4 J/cm2

Kezelési sűrűség: 1–7 kezelés/hét

Foltátmérő: 1–2 mm2 vagy defókuszált

A szoftlézer-terápia evidenciákon alapuló fontosabb eredményei a sztomatológiában

• A hatás általában a kezelés első napján már jelentkezik.

• A gyógyulási idő kb. 40%-kal lerövidül (hamarabb megszűnik a funkció korlátozottsága).

• Fájdalomcsillapító hatás már az első kezeléskor

jelentkezik, 40-50%-kal kevesebb fájdalomcsillapító szükséges.

• Gyulladás és ödéma jelentősen csökken, kb. 40%-kal.

• Széles indikációs spektrum a fogászatban.

• Az optimális eredményt protokollok biztosítják.

• Jól érvényesül egyszerre a három fő hatás:

1. sebgyógyulást serkentő

2. fájdalomcsillapító

3. gyulladáscsökkentő

• A szoftlézer-terápia jól kombinálható a sebészi, fogászati, gyógyszeres és fizioterápiás eljárásokkal.

• A szoftlézerek a modern fogászati praxis mindennapos eszközeivé váltak.

Antimikrobiális fotodinamikus terápia (APDT) a fogorvoslásban – Az APDT-kezelés módszertana a Gáspár Medical Centerben Az Ecto Derma Polyklinikán az APDT-t 2006 júliusában vezettük be. Elsősorban parodontitis, periimplantitis kezelésében alkalmazzuk. Az antimikrobiális fotodinamikus terápia kivitelezéséhez szükség van fényérzékenyítő anyagra, (megfelelő hullámhosszúságú) lézerfényre és oxigén-szabadgyökök keletkezésére.

Az eljárás alapvetően a következő lépésekből áll:

1. Megelőző tennivalók.

2. A mikroorganizmusok megfestése a kezelt területen.

3. Megvilágítás és a fotoszenzibilizátor aktiválása.

4. Oxigén-szabadgyökök keletkezése, kórokozók elpusztítása.

Megelőző

tennivalók

A fotodinamikus kezelést gondos vizsgálat, ortopantomográf-röntgenfelvétel, parodontális diagnózis felállítása és alapos depurálás előzi meg.

A gyakorlati klinikai alkalmazásban az első lépés a terület megtisztítása: a fogkövek, a lepedék, a biofilm eltávolítása. Szükség esetén a művelet ismételhető, mindaddig, míg megfelelő higiénés állapotot nem érünk el.

A mikroorganizmusok megfestése

Ezt követi a mikroorganizmusok megfestése a kezelt területen (festékoldat befecskendezése a tasakok területére vagy az egyéb kezelendő te-

76 e-Journal LÉZER A FOGÁSZATBAN
4. ábra 5. ábra

rületre). A közepesen híg oldatot fecskendőből juttatjuk a tasakokba, illetve a kezelendő területre. 1–2 perc várakozás elegendő, hogy a mikroorganizmusok felvegyék a festéket.

A metilénkék és toluidinkék festékek a leginkább elterjedtek, valamint a malachitzöld oldat.

A klinikán fotoszenzibilizátorként rutinszerűen a 0,01%-os metilénkék oldatot használjuk.

Megvilágítás, a fotoszenzibilizátor aktiválása

A kísérletes és klinikai vizsgálatok azt mutatják, hogy a kék festékekhez a 660 nm-es lézerek a legalkalmasabbak. A kezelések elvégzésére több lépcsőben továbbfejlesztett lézerkészülék áll rendelkezésre klinikánkon: Dr. LaserPro, 660 nm, 150 mW.

A kezelési séma szerint a megvilágítási idők a lézerberendezés teljesítményének függvényében

alakulnak:

• Toluidinkék 0,01 vol% esetén: 635 nm lézerfény, 100 mW, 1 perc.

• Malachitzöld 0,01 vol% esetén: 660 nm lézerfény, 30 mW, 3–5 perc.

• Metilénkék 0,01 vol% esetén: 660 nm, 150 mW, foganként 8–10 másodperc.

A fényérzékenyítés 1–5 percig tart, utána a festéket le kell mosni a nyálkahártyáról, hogy megakadályozzuk a nyálkahártyasejtekben való dúsulását, így elkerülhető a nyálkahártya károsodása.

A fotoszenzibilizátor aktiválása energiafüggő folyamat, amelyet fizikai és optikai tulajdonságok határoznak meg. A festék megvilágítását olyan fénnyel kell végezni, amely a fotoszenzibilizátorban maximálisan abszorbeálódik. A megvilágításnál arra kell törekedni, hogy a lézerfényt bevezessük a kezelendő területre, ha lehetséges, direkt a tasakba. A lézerhatás 1-2 percig tart. A lézerfényt egyenletesen osztjuk el a kezelendő területen, parodontális tasak kezelése esetén 6 szextánson: ez minden érintett fog körül 3–5 J/ cm2 vagy 3–5 J/pont dózist jelent.

Oxigén-szabadgyök keletkezése, kórokozók elpusztítása

A gerjesztett állapotban lévő festékmolekula átadja energiáját a környezetében lévő oxigénmolekulának. Ily módon erősen toxikus szabad gyökök keletkeznek, és bekövetkezik a baktériumsejtfal oxidatív degenerációja, ezáltal a baktériumok elpusztítása.

Az eljárás során keletkező toxicitás szigorúan helyben zajlik (legfeljebb 1-2 mm távolságig), környezeti vagy távolabbi hatása nincs.

Fontosabb megállapítások

A parodontopátiák kezelése a jövőben a fogorvosok tevékenységének egyre nagyobb hányadát fogja kitenni, mivel egyrészt növekedik azon páciensek száma, akik időskorukra is megőrzik

fogaikat, másrészt jelentősen növekszik a parodontális gyulladásban szenvedő fiatalok és középkorúak száma.

Az implantátumok egyre szélesebb körben való elterjedése kapcsán várhatóan növekedni fog a periimplantitisek száma is. 2005-ben Németországban 600 ezer implantátumot helyeztek be, ebből 4–10%-ban fordult elő periimplantitis – ez kb. 24–60 ezer (M. Vock). Olaszországban évente 500 ezer dentális implantációról számolnak be, 5–8% periimplantitisszel, melyek kezelése fáradságos és sokszor eredménytelen (Maiorana).

Napjainkban a parodontopátiák kezelésében előkelő helyet foglalnak el az antibiotikumok, de hatásuk az esetek döntő részében átmeneti vagy nem kielégítő. Az antibiotikus kezelés alacsony hatásfokának okai:

• A gyakran inadekvát gyógyszerválasztás.

• Helytelen adagolás.

• Gyakori nem megfelelő öngyógyszerezés következtében kialakuló rezisztens mutációk.

A kezelés sikere függ a páciens fegyelmezettségétől és a mellékhatásoktól (hasmenés, allergia, nemkívánatos interakció más gyógyszerrel stb.).

A parodontopátiák, a periimplantitis kezelését célzó, hagyományos módon történő sebészi beavatkozás eredménytelenségének okai összetettek:

• műtéti kontraindikáció,

• műtét utáni esetleges komplikációk,

• fájdalom,

• diszkomfort,

• operátor gyakorlottsága stb.

A hagyományos sebészi beavatkozás hosszú távú hatékonysága meglehetősen korlátozott, emiatt elterjedtsége is csekély.

Az APDT óriási előnye ezzel szemben, hogy nem alakul ki mellékhatás, de rezisztencia sem. Ezenkívül – annak köszönhetően, hogy nem fajtaspecifikus – a parodontális tasakban, illetve a periimplantitises területen lévő kevert infekción is úrrá tud lenni. Több vizsgálat is kimutatta, hogy a festékanyag alkalmazása mellékhatásmentes, továbbá fájdalom sem keletkezik.

Az APDT hatására az összes vizsgált kórokozó tekintetében szignifikáns számcsökkenés következett be, ez az eljárás a parodontális betegségek vagy a periimplantitis kezelésére alkalmas, hatékony, széles körben biztosítható és nagyon jó eredménnyel használható módszer.

A jövőt illetően felveti felhasználhatóságát a fogorvoslás egyéb területein – így a kárieszterápiában – is.

Fül-orr-gégészet

A fül, az orr és a gége betegségeinek kezelésében a szoftlézer alkalmazása kevésbé

77 VI. ÉVFOLYAM – 2023. 8. SZÁM

elterjedt, mint más szakterületeken. Elsődlegesen a nem záródó műtét utáni sipolyok (arcon, nyakon bőrdefektus, fül mögötti fisztula, gégekiirtás utáni pharyngocutan sipoly stb.) terápiájában alkalmazzák, valamint a gyermekfülészetben szélesebb körben, míg a többi területen csak egy-egy erre specializálódott szakember betegeinek gyógyításában kapott helyet. A fontosabb indikációk a következők:

• Fül: otitis externa rec., otitis externa mal, myringitis bullosa, otitis media serosa, st.pot myringoplast., herpes zooster oticus, műtét utáni sipolyok.

• Orr: rhinitis chr. vasomot., rhinitis chr. allergica, polypositas nasi rec., rhinitis chr. atrophica.

• Orrgarat: oedema torus tub.

• Garat és szájüreg: pharyngitis chr., pharyngitis lat., m.Sjögren, syaloadenitis chr., st.post tonsillectomiam, globus pharyngitis.

• Gége: laryngitis chr., aphonia functionalis, műtét utáni sipolyok.

• Arc: trigeminus neuralgia fájdalomszindrómák.

Az elsősorban gyulladásos természetű, nehezen gyógyuló, fájdalommal járó betegségek kezelésében a gyógyulási idő lerövidül, és a kezelés alatt is jelentős fájdalomcsökkenés tapasztalható. Így a szoftlézer-terápia széles körben alkalmazható, jó kiegészítője a hagyományos kezelési eljárásoknak. Az utóbbi években igen kedvező tapasztalatok halmozódtak fel tinnitus (fülzúgás) kezelésében a 660 nm-es piros lézerfénnyel. Két-három havi kezelés után jelentős javulásról számoltak be.

Bőrgyógyászat és kozmetológia

A bőrgyógyászat és kozmetológia területén –rendszerint kombinált kezelés részeként – elsősorban a gyulladásos természetű jelenségek terápiájában terjedt el széles körben a szoftlézer. Fontosabb indikációs területek:

• Seborrhoeás folyamatok

• Herpes simplex

• Herpes zooster

• Erythema exudativum multiforme

• Alopecia areata

• Hipertrófiás hegek

• Ulcus cruris

• Ráncok lézerakupunktúrás kezelése

Kontraindikált: szemölcs, fibróma, anyajegyek, értágulatok, psoriasis, preblastomás állapotok és malignus tumorok.

Mind a HeNe-lézer, mind a diódalézerek használatosak. A kezelésekhez különleges kiegészítő eszközök nem szükségesek, a testfelületre a lézert könnyű eljuttatni. Fokozottan betartandók a biztonsági szabályok, mert a lézersugár könnyen a szembe juthat például arcon végzett kezelések esetén.

A szoftlézerek alkalmazásának jelentősége a bőrgyógyászatban

Fontos és hasznos a szoftlézerek alkalmazásának megfelelő szintű megismerése, készségszintű alkalmazása. Jelentősége a kórházi ágylétszám csökkentésével a definitív járóbeteg-ellátásban egyre nő. A szoftlézerek a bőrgyógyászatban is sokoldalúan alkalmazhatók, hatékonyan egészítik ki a hagyományos terápiás eljárásokat. Könnyen kivitelezhető, időkímélő, higiénés problémát nem jelent.

A kezeléssel kapcsolatosan jól képzett terapeuta esetében mellékhatások nem várhatók, a kezelés fájdalommentes. Lerövidíti a betegség gyógyulási idejét, és igen sok esetben csökkenthető a gyógyszerfogyasztás, a betegek hamarabb mobilizálhatókká válnak, csökken a táppénzes napok száma, illetve a kórházi ápolás ideje.

A bőrgyógyászatban alkalmazható szoftlézerek felosztása

1. Anyaguk szerint:

• gázalapú – He-Ne, Ag, CO2 (feltéttel),

• dióda.

2. Teljesítmény szerint:

• 2–150 mW teljesítményhatárok között,

• 2–5 mW akupunktúra,

• 10–200 mW általánosan,

• de 200 mW fölött is egyes esetekben.

3. Besugárzási eljárások szerinti osztályozás:

• nyílt és fedett (transcutan),

78 e-Journal LÉZER A FOGÁSZATBAN
6. ábra: Az általános szervezeti lézerhatás létrehozására alkalmas orrnyálkahártyabesugárzási módszer. Erre a célra a Safe laser 30 típusú berendezést fejlesztették ki.

• felszínes és mély,

• intrakavitális,

• speciális esetekben, például fisztula.

4. Besugárzás módozatai szerint:

• A manuális, tereléssel – nyalábmanipulátor, kézidarab, lencse, tükör – irányított besugárzás lehet:

– pontbesugárzás

– pontról pontra, direkt párhuzamos (divergáló: rövid távolságról teljes dózis, részdózisok öszszeadása visszatérő módszerrel)

– mélyen fekvő pontok elérése több beesési szögből

• Kompromisszumos besugárzási módozatok:

– szkenner (manuális, automatikus) (a gyors szkenner kevésbé hatékony)

– multifocus area besugárzás

– száloptika útján történő besugárzás

5. Teljesítmény és veszélyességi fok alapján:

• Az 5 mW feletti teljesítményű lézer a 3b osztályba tartozik, amire már a biztonsági előírások érvényesek.

A bőrgyógyászati szoftlézer-terápia indikációs köre

A speciális lézerhatásra még ma sincs mindenre kiterjedő átfogó magyarázat, de számos részfolyamattal kapcsolatban kísérletes bizonyítékok születtek, és a gyógyító hatást klinikailag is igazolták.

1. A szoftlézer-terápia (low level laser therapy) a bőrgyógyászatban is alkalmazható:

• gyulladáscsökkentés,

• fájdalomcsillapítás,

• biostimuláció (reparáció/regeneráció) céljára, valamint a szervezet egészére ható általános hatások elérésére,

• biomodulációra – legújabb ismeretek alapján a normális szinteket közelítő, korrekciós hatásról van szó, nem egyszerű serkentésről.

2. Alapvető a pontos kivizsgálás, szükség esetén szakorvosi konzílium igénybevétele.

3. A kezelés megkezdése előtt figyelembe kell venni, hogy a szoftlézer

• milyen esetben megengedett (kiegészítő),

• milyen esetben szükséges (elsődleges, vagy önálló),

• milyen esetben tilos (kontraindikált).

4. Megfelelő terápiás terv felállítása: melyik lézert és milyen adagolásban (dozírozásban) alkalmazzuk. A ma általánosan elfogadott nemzetközi irányelvek szerint az 1 joule/cm2 az effektív dózis alsó határa, a felső határ pedig 4 joule/cm2 kezelésenként. A felső határt közelítő egyszeri besugárzások esetén az 5 napot meghaladó kúrák során a 2 naponkénti alkalmazás/kezelés indokolt a túldozírozás elkerülésére.

5. Az esetek nagy részében kombinált kezelés a célravezető.

A bőrgyógyászati szoftlézer-terápia személyi feltételei

A szoftlézer-terápia orvosi tevékenység. Az orvosi diploma mellett szükséges a lézergyógyászat alapfokú ismerete, valamint a hivatalosan elfogadott szoftlézer-terápiás képzettség, ami a posztgraduális orvosilézer-tanfolyamon elméleti és gyakorlati vizsgával szerezhető meg, ez biztosítja a kompetenciát. A kiképzett orvos által beállított szoftlézerkezelést tanfolyamot végzett asszisztens is kivitelezheti.

Amennyiben a bőrgyógyász szoftlézeres akupunktúrás tevékenységet végez, hivatalos akupunktúrás tanfolyam, valamint licencvizsga szükséges. Az egészségügyi személyzet lézerterápiás alapképzése szükséges.

A biztonságtechnikai rendeletek betartása, a személyzettel, beteggel történő betartatása, valamint ennek ellenőrzése kívánatos:

1. A lézerberendezés engedélyezett, bevizsgált, bemérhető és karbantartott legyen.

2. A helyiség ajtaján kívülről jelzés (megelőzés), nem reflektáló falfelületek, biztonsági előírások kifüggesztése, eszközfeltételek, illetéktelen felhasználás megakadályozása zárókulcsos készülékkel.

3. Védőfelszerelés – hullámhossznak megfelelő szemüveg.

A bőrgyógyászati szoftlézer-terápia indikációi

1. Sebgyógyulás: mindennemű sebészi, traumás eredetű, kórfolyamatokat követő sebek, fekélyek, elhalások begyógyulásának gyorsítására kiegészítő eljárásként. Minél tisztább, frissebb egy seb, annál jobban ér -

7. a–b. ábra: A felső ajkon reggel megjelenő herpesz, amely 660 nmes piros lézeres kezelést kapott. Aznap délutánra (b ábra) a lézió bepörkösödött, a beteg panaszai jelentősen mérséklődtek.

79 VI. ÉVFOLYAM – 2023. 8. SZÁM

vényesül a lézerhatás, ennek értelmében a sebek előzetesen feltisztítandók.

2. Fájdalomcsillapítás: sebészi beavatkozásokat, traumás eredetű zúzódásokat, haematomákat, gyulladásos kórformákat kísérő fájdalom enyhítésére. Különösen előnyös herpes zooster, valamint – minél frissebb – posztherpetikus neuralgia esetén.

3. Gyulladáscsökkentés: helyi jellegű (lokális), minél kisebb, minél kevésbé fertőzött a gyulladásos góc, annál hatékonyabb a lézerkezelés. Különösen jó hatású és elsődlegesen választható herpes simplex esetén naponkénti monoterápiában.

Egyes komplex kórfolyamatoknál a sebgyógyulást serkentő, a fájdalomcsillapító és a gyulladást csökkentő hatás együttesen érvényesül, például ulcus crurisban.

A lézeres akupunktúrával is foglalkozó bőrgyógyász szakorvosok részére az Akupunktúra módszertani levelét tartjuk irányadónak.

A bőrgyógyászati szoftlézer-terápia kontraindikációi

1. Nem megfelelően kivizsgált beteg, illetve a szakorvosi javaslat hiánya.

2. A vírusos szemölcsök, malignus átalakulással fenyegető anyajegyek, praecancerosisok, a már malignus tumorok (basalioma, spinalioma, melanoma).

3. A szem, a mamma és a glandula thyreoidea besugárzása tilos!

4. Hatástalanság miatt jóindulatú növedékek, fibrómák, ciszták, illetve értágulatok esetében.

Szemészet

A szemészetben elsősorban a szem környékén jelentkező, gyulladásos kórképek kezelésében

halmozódtak fel igen kedvező tapasztalatok. A gyulladás kiindulhat a szemhéjakról, a szemkörnyéki bőrről vagy a könnyapparátus különböző részeiből. A kezelés során a gyulladásos tünetek körülírtakká válnak, csökken az ödéma és a kísérő fájdalom is.

Az egyik problematikus betegcsoportot a herpes zoosterben szenvedők jelentik. A herpes zooster ophthalmicus esetében a lehető legkorábbi stádiumban megkezdett HeNe-lézeres besugárzás nagyon jó terápiás eredményt ad. A besugárzás az egyébként igen heves fájdalmakat sokszor már az első kezelés után mérsékli. A naponta ismételt szoftlézer-terápia igen jó gyógyeredménnyel jár. Az esetek háromnegyed részében a fájdalom néhány kezelés után megszűnik vagy minimálisra mérséklődik. Az eredményesség feltétele, hogy a kezelést a betegség kezdeti stádiumában megkezdjük.

A szem lézerfénnyel szembeni különleges érzékenységére, sérülékenységére való tekintettel nagy körültekintéssel kell gondoskodni a beteg nyugalomba helyezéséről, a védőeszközök pontos alkalmazásáról és az állandó szakorvosi felügyeletről.

Általános sebészet

Az általános sebészetben igen széles indikációs körben alkalmazzuk a szoftlézereket. Ezek között kiemelten fontos a különböző lokalizációjú, kiterjedésű és eredetű fekélyek, valamint hámhiánnyal járó sebek (gyulladásos, égési, traumás, trophicus, allergiás eredetű stb.) kezelése. A fekélyek lézerkezelése kapcsán megfigyelhetjük a szoftlézerek szisztémás hatását, az egyik láb fekélyének kezelése alatt javul a másik fekélyes láb állapota is, vagy ahol a lábfekély mellett rheumatoid arthritis is fennáll, a fekélykezelés alatt igen sok esetben kifejezett javulást mutat. Hosszan tartó szeptikus állapotban levő gyermekek vagy csecsemők esetében eredményes lézeres sebkezelés kapcsán az általános erőnléti állapot kifejezett javulást mutat, a lokális kezelés után tapasztalható fájdalomérzés-csökkenésben a szisztémás tényezők szintén alapvetően fontos szerepet játszanak.

A hagyományosan alkalmazott HeNe-lézerek mellett egyre nagyobb mértékben nyernek teret a diódalézerek, valamint kedvező a rubin-, az argonlézer alkalmazása is. Ideális a nagyobb kiterjedésű sebek (égés, trophicus stb.) eseteiben az egész sebet egyszerre fedő, nagy foltátmérőjű lézersugárzás alkalmazása szórólencse közbeiktatásával. Ehhez nagyobb lézerteljesítményt célszerű alkalmazni.

Üreges szervekben elhelyezkedő sebek esetében a száloptika valamelyest ront a lézerfény polarizáltságán, ami a sebgyógyító hatásban döntő jelentőségű. Így hosszabb kezelés szükséges.

A nagy teljesítményű lézer – elsősorban

80 e-Journal LÉZER A FOGÁSZATBAN
a szén- 8. ábra: Szoftlézer-terápia a háton.

dioxid-, dióda- és az Nd:YAG-lézer – alkalmas ún. „low power” (kis teljesítményű) tartományban a hagyományos szoftlézerhatás létrehozására. Előnye a viszonylag nagy kiterjedésű sebek kezelésében az, hogy a hámosodáshoz szükséges teljesítménysűrűséget defókuszált sugárral lehet biztosítani.

Érsebészet

Az alsó végtagi vénás rendszerben a billentyűk funkciókárosodása vezet a betegek tömegeit sújtó varicositashoz. Ennek következménye az esetlegesen kialakuló lábszárfekély. A nagy kiterjedésű és többször recidiváló ulcusok jelentős része a hagyományos gyógyszeres kezelésre nem vagy alig reagál. Ezekben az esetekben döntő jelentőségű lehet a szoftlézer-terápia. Kombinált kezelés részeként (szisztémás vagy lokális antibiotikus kezelés, antiszeptikus anyagok alkalmazása stb.) alkalmazzák a lézert. A baktériumszám csökkentésének kitűnő módszereként egyre többen ajánlják. A sebek baktériumszámát jelentősen csökkenti a defókuszált sebészi lézersugár, mely sok esetben szinte sterillé teszi a sebet, kitűnő alapot biztosítva a hámosodás megindulásához.

Kedvező tapasztalatok halmozódtak fel arteriosclerosis, autoimmun vasculitis és Buerger-kór nem gyógyuló sebeinek kezelésében is.

Urológia

A szoftlézer-terápia elsősorban a húgyúti gyulladásos kórképek, valamint a nem vagy nehezen hámosodó fekélyek, fisztulák kezelésében terjedt el – ma még nem túl széles körben.

A külső nemi szerveken vagy azok környezetében előforduló hámdefektusok vagy műtét után kialakuló sipolyok kombinált (szisztémás és helyi gyógyszeres, lézeres) kezelése a sokszor hosszú időn át nem változó megbetegedések gyógyulási folyamatainak megindulásához vezet.

Az urológiai betegségek között a hólyag egyes kórképeinek lézeres gyógyítása jelentett fontos előrelépést. Az egyébként különösen rossz gyógyhajlamú ulcus simplex vesicae urinariae lézerkezelése jól bevált módszerré vált. Leginkább HeNe-, dióda- vagy argonlézert alkalmaznak, a lézer fényét uretercystoscop segítségével vezetik a kezelendő felületekre. A sokszor évtizedek óta fennálló, szinte minden egyéb kezeléssel szemben rezisztens fekély több hónapon át rendszeres lézerkezelési periódusok után megkisebbedhet, gyógyulhat. A beteg éjszaka is fennálló, sokszor félóránkénti vizelési kényszere megszűnik, a hólyag kapacitása megközelíti az átlagos normálértéket.

Az évek múlva jelentkező recidivák esetében megismételt lézerkezelés általában rövid idő után már eredményes, és újabb évekig tartó tünetmentes állapotot biztosít.

Nőgyógyászat

A nőgyógyászatban a sebgyógyulás zavaraival, a laphám-regeneráció elhúzódásával a leggyakrabban a portio uteri területén lehet találkozni. A leginkább alkalmazott HeNe- és diódalézerrel végzett kezelések előtt fontos a hámosodás nyomon követése, a kolposzkópos vizsgálat. Ebben Kovács Lajos ajánlása szerint a Papanicolau módszerével végzett vizsgálat, illetve a kolpofotók segítségével megfigyelhető a papillák viselkedése, a méhszáj záródásának létrejötte, valamint az ectopium felületén jelentkező epidermizáció. A lézersugarat úgy célszerű a kezelendő felületre irányítani, hogy azt annak megfelelő méretű foltként fedje, és a szükséges 15–30 kezeléstől kedvező eredmény várható. A kezelések során a hámdefektusok megszüntetése a malignus tumor kialakulásának prevencióját szolgálja, emellett nem lényegtelen, hogy a hüvelyváladék csökkenéséhez, majd megszűnéséhez vezet. Az eljárás egyszerű, nem jár kellemetlenséggel, a szexuális életet megszakítani nem kell, a beteg a munkájából nem esik ki. A nőgyógyászat területén egyéb gyulladásos vagy hámhiánnyal járó kórképek kezelésében a HeNe-, dióda- vagy más típusú szoftlézerek kitűnően alkalmazhatók ugyan, de ez a gyógymód csak egy-egy szakember körül kialakult munkacsoport nevéhez fűződik, a széles mindennapos klinikai gyakorlatban még igazán ez idáig nem terjedt el.

Neurológia

Különösen jelentős a szoftlézerek alkalmazása a fájdalomszindrómák, valamint egyes mozgáskorlátozottsággal járó betegségek kezelésében. A fájdalomkórképek vagy direkt besugárzással, vagy lézerakupunktúrával kezelhetők.

A legfontosabbak fájdalomkórképek: a neuralgiák, degeneratív eredetű gerincfájdalmak, radiculopathiák, a fejfájás egyes formái – el -

9. ábra: A 30 mW-os, biztonságos optikával ellátott berendezés alkalmas arra, hogy a beteg otthon, pácienslézerként használja.

81 VI. ÉVFOLYAM – 2023. 8. SZÁM

10. ábra: 500 mWos, infratartományban sugárzó lézer, mind a mozgásszervi betegségekben, mind a mélyebb szövetek besugárzásában előnyösen alkalmazható.

sősorban az ún. önálló fejfájás kórképek, polineuropátiák.

A mozgássérültek rehabilitációjában és egyéb spasticus tónusfokozódással jellemzett gyermekkori mozgászavarok, műtétek utáni kontraktúrák, Little-kórban stb. alkalmazhatók szoftlézerek. Az indikációs körbe tartoznak az agyi vaszkuláris történések következtében, agyműtétet követően kialakult paresisek, mozgászavarok, flexiós kontraktúrák. A petyhüdt paresist (polineuropátiák, toxinok okozta kórképek), spasticus paresist (cranio-cerebrális traumák, intrakraniális vérzések után, infantilis plegiák, paresisek) okozó kórképekben egyaránt hatásos lehet a lézer alkalmazása. A kezelések célja a fájdalom csökkentése, a spasticus vagy petyhüdt paresis enyhítése, az izmok, inak kontraktúrájának csökkentése, az inaktivitási izomhipotrófia, atrófia megállítása, a kényszertartások oldása, a pszichomotorium javítása.

A szoftlézerek kétségtelenül jótékony hatásának mechanizmusa nagyrészt ismeretlen, alkalmazásuk döntően tapasztalaton alapul. Nehezen magyarázható, hogy centrális és perifériás paresis esetében spasticus és petyhüdt paresisszel járó állapotban egyaránt sikeresen használhatók. Összességében a neurológia területébe tartozó kórképek kezelése az életminőség lényeges javulásához vezethet. A kezelések során mind a HeNe-, mind a diódalézerek kedveltek. Általában 50–200 mW közötti tartományban használatosak.

Lézerakupunktúra

Az akupunktúra, mely konstitucionális, holisztikus, regeneratív, illetve rehabilitációs módszer, megfelelő individuális kezelést biztosít a beteg számára, mivel a kóros belső miliőt – a belső és a külső megváltozott egyensúlyi állapotát – igyekszik kiegyenlíteni (jin-jang). Az akupunktúrához szükséges hatás kitűnően létrehozható szoftlézerek alkalmazásával is, így az ősi módszer a modern eszközzel társítva számos előnyt biztosít mind a beteg, mind az orvos számára. Az akupunktúrás hatáshoz már 2–10 mW teljesítmény

elegendő, mind a HeNe-, mind a diódalézerek elterjedtek ebben a terápiás formában. Előnyös, ha a lézerek elektromos akupunktúráspont-keresővel rendelkeznek. A lézersugár legfeljebb 1 mm mélyen hatol a szövetekbe, a kezelés megbízhatóan steril, nedves, fertőzött területeken is alkalmazható. Gyermekeknél különösen kedvező a pszichés hatása is (a tűszúrástól sok beteg fél). Kontakt vagy nonkontakt módon (2–6 mm-ről) lehet alkalmazni, általában pontonként 10–90 másodperc időtartamig, fülpontokra ennél rövidebb ideig. Rendszerint folyamatos sugarat vagy 20–50 Hz frekvenciát használunk.

Alapvető fontosságú szabály, hogy csak kivizsgált beteget, az akupunktúrában és a lézeralkalmazásban egyaránt képzett, gyakorlattal rendelkező orvos kezeljen. Alapelv, hogy a betegnek az európai orvoslás szabályai szerinti ellátást kell nyújtani, melyet a lézerakupunktúra kiegészít (például fájdalom enyhítése).

A legfontosabb alkalmazási területek: mozgásszervi betegségeket kísérő fájdalmak, fejfájás, pszichoszomatikus betegségek, vegetatív labilitás, allergiás kórképek (asztma, rhinitis), alvászavarok, ulcus duodeni és ventriculi.

Reumatológia

A mozgásszervi betegségekben szenvedő betegek száma oly nagy, hogy e kórképcsoportot ma már népbetegségnek tartják. A kórképek egy része gyulladásos eredetű. A kezelések leginkább a 630–670 nm-es tartományban (HeNe- és egyes diódalézerek), felszínes hatás kifejtésére alkalmasak, illetve a 780–890 nm körüli közeli infravörös, valamint az infravörös tartományban már több centiméteres mélységbe is eljut a lézerenergia. A mozgásszervi betegségek kombinált kezelésében a lézer fontos szerepet tölt be, a betegség tüneteinek pontos regisztrálását és a javulás mértékét a jellemző paraméterek (ízületi körfogat, járásidő, szorítóerő, ízületi folyadék összetétele stb.) folyamatos követése biztosítja. Megfigyelhető az izomspazmus csökkenése, ami a mozgáskorlátozottság fokának csökkenésében mutatkozik meg. Ez pregnánsan észlelhető könyök epicondilitis, csípőízületi panaszok, paravertebrális izomfeszülések esetén.

Az egyik legfontosabb betegcsoportot a rheumatoid arthritisben szenvedők képezik. A rheumatoid arthritises betegek kezelése során a HeNe-, dióda- vagy az Nd:YAG-lézerrel javulást lehet elérni, de a legjobb eredményeket az Nd-foszfátüveg és a dióda-infralézer biztosítja. Ez mind a fájdalom mértékének, mind a járásidőnek, szorítóerőnek, a laboratóriumi paramétereknek a tekintetében bebizonyosodott.

Jelentős eredmény, hogy a mozgásszervi betegek gyógyszerfogyasztása csökken, már az első

82 e-Journal LÉZER A FOGÁSZATBAN

kezelések után jó hatás mutatkozik, a panaszmentesség tartós, a betegek döntő része ambulanter kezelhető, minimális a munkából való kiesés, kiküszöbölődik a gyógyszerek vagy egyes fizikoterápiás eljárások mellékhatása.

Háziorvosi alkalmazás

A szoftlézerek alkalmazásának jelentősége a háziorvoslásban

A magyarországi alapellátásban több mint 6000 praxis működik. Ezért fontos a szoftlézerek alkalmazásának megfelelő szintű megismerése és készségszintű alkalmazása. A korszerű egészségügyiszemlélet-váltás szerint az alapellátás jelentősége egyre nő, a kórházi ágylétszám csökkentésével egyre szükségesebbé válik az alapellátásban a definitív betegellátás. A szoftlézerek ebben a körben is sokoldalúan alkalmazhatók, hatékonyan egészítik ki a hagyományos terápiás eljárásokat, olyan mobilis terápiás lehetőséget adva, amelyet akár a rendelőben, akár a beteg otthonában, a betegágynál is alkalmazni lehet. Könnyen kivitelezhető, időkímélő, higiénés problémát nem jelent.

A kezeléssel kapcsolatosan jól képzett terapeuta kezében mellékhatások nem várhatók, a kezelés fájdalommentes. Lerövidíti a betegség gyógyulási idejét, és igen sok esetben csökkenthető a gyógyszerfogyasztás (mellékhatásaival együtt), a betegek hamarabb mobilizálhatókká válnak, csökken a táppénzes napok száma.

A háziorvoslásban alkalmazható szoftlézerek felosztása

1. Anyaguk szerint:

• gázalapú (He-NE)

• dióda (Ga AlAR)

2. Teljesítmény szerint:

• kis teljesítményűek (10–100 mW között)

• nagy teljesítményűek (100 mW felettiek)

A háziorvoslásban a felső határ a 100–300 mW, ekkora összteljesítményű szoftlézerek alkalmazása javasolt jelenleg.

3. Besugárzási eljárások szerinti osztályozás:

• felszíni (bőr, bőrhiány, akupunktúra)

• mély, transcutan (mozgásszervi betegségek, minor traumák muszkuloszkeletális és neuro-

lógiai rehabilitáció)

• intrakavitális (l. később részletezendő kórképek)

4. Besugárzás módozatai szerinti felosztás:

• Optimális hatású besugárzások: manuális, vagy tereléssel irányított besugárzás (nyalábmanipulátor, kézidarab, lencse, tükör)

– pontbesugárzás

– pontról pontra, direkt párhuzamos/divergáló: rövid távolságról teljes dózis, részdózisok öszszeadása visszatérő módszerrel

– mélyen fekvő pontok elérése több beesési szögből

• Kompromisszumos besugárzási módozatok

– szkenner (manuális, automatikus) (a gyors szkennelés kevésbé hatékony!)

– multifocus area besugárzás

– száloptika útján történő besugárzás

5. Osztályozás teljesítmény és veszélyességi fok alapján:

Az 5 mW feletti teljesítményű lézer a 3b osztályba tartoznak.

A háziorvosi szoftlézer-terápia indikációs körének meghatározása

A kezelés megkezdése előtt figyelembe kell venni, hogy a szoftlézer-terápia alkalmazása

1. milyen esetben lehet,

2. milyen esetben javasolt,

3. milyen esetben tilos.

A háziorvosi szoftlézer-terápia személyi feltételei

A szoftlézer-terápia orvosi tevékenység. Az orvosi diploma mellett szükséges a lézergyógyászat alapfokú ismerete mellett a szoftlézer-terápia megfelelő szinten történő elsajátítása, amire nem elegendő pár napos képzés. A posztgraduális orvosi lézerszaktanfolyamok elméleti és gyakorlati készségszinten történő, vizsgával befejezett elsajátítása szükséges. A szakmai kompetencia is jelentős.

Ahhoz, hogy a háziorvos szoftlézeres akupunktúrás tevékenységet végezzen, hivatalos akupunktúrás tanfolyam, valamint licencvizsga szükséges.

Az egészségügyi személyzet lézerterápiás alapképzése szükséges.

A szoftlézer-terápia elkezdése előtt az alkal-

11. a–b ábra: Alsó bölcsességfog előtörése által okozott szájzár lézerkezelés közben: 3 perc lézerterápiát követően oldódik.

83 VI. ÉVFOLYAM – 2023. 8. SZÁM

mazó orvosnak (egészségügyi személyzetnek) rendelkeznie kell a tevékenység gyakorlásához szükséges ORKI, GYEMSZI, ÁNTSZ (Állami Népegészségügyi és Tisztifőorvosi Szolgálat), MEI (Minőségellenőrzési Intézet) engedélyekkel.

A biztonságtechnikai rendeletek betartása, a személyzettel, beteggel történő betartatása, illetve ennek ellenőrzése kívánatos.

A szoftlézer a háziorvos eszköztárában –indikációs körök

• gyulladáscsökkentés

• fájdalomcsillapítás

• biostimuláció (reparáció/regeneráció) hatások, valamint a szervezet egészére ható általános hatások szerint alkalmazhatók.

A betegségek kezelése előtt, illetve alatt a betegség természetétől és súlyosságától függően célszerű a rendszeres konzultáció az illetékes szakorvossal.

Rendelőintézet, kórház, klinika – indikációs körök

1. Fájdalomszindrómák (vázizomrendszer eredetűek: belgyógyászati, reumatológiai, ortopédiai okokból).

2. Lézerakupunktúra: az akupunktúrás pontok direkt kezelésével a terápiás protokollnak megfelelően.

3. Reumatológia: rheumatoid arthritis I–II. stádiuma, arthritis psoriatica inflammált arthrosis chronicus formái (kontraindikált alagút szindrómák esetén!). Neurológiai lágyrész-reumatizmusok, fájdalomszindrómák szakmailag kivizsgált esetei.

4. Neurológia: discus hernia (nem urgens műtétet igénylő esetei), discopathiák, posztoperatív rehabilitáció, intercostalis neuralgia, postherpeses neuralgia, típusos és atípusos prosopalgiák, trigeminus neuralgia.

5. Általános sebészet: obliteratív verőérbetegségek, postthromboticus szindróma, varicositas és vasculitis talaján kialakult ulcusok, illetve sicca praegangrenás állapotok (kontraindikált progrediáló humid gangraena esetében!). Renyhén gyógyuló krónikus ulcus cruris kiegészítő kezelése, I–II. fokú égések szakellátása után (kontraindikált akut, bakteriális gyulladások esetében).

6. Fül-orr-gégészet: rhinitis chronica, rhinitis chronica allergica, pharyngitis chronica, otitis externa.

7. Maxillofaciális régió: kiegészítő jelleggel a hagyományos kezelések mellett afta, herpes simplex, gingivitis, gingivostomatitis, kivizsgált fájdalomszindrómák, parodontosisok, periodontitisek, periostitisek; posztextrakciós, posztoperatív, posztimplantációs állapotokban fájdalomcsillapítás, ödémacsökkentés, gyógyulási idő lerövidítése. Posztoperatív

fisztulák, recidiv otitis externa, rhinitis chronica allergica (atrophica, vasomotorica), pharyngitis chronica.

8. Gyermek-háziorvosi szakterületen: allergia, recidív nem akut gyulladásos kórképek, sebgyógyítás.

9. Bőrgyógyászat: kombinált kezelés részeként HeNe-lézerrel, illetve diódalézerrel, krónikus gyulladások, herpes simplex, herpes zoster sebkezelése, ulcus cruris, posztoperatív beavatkozások után, acne vulgaris. Kontraindikáció: szemölcs, festékes anyajegy, fibróma, értágulatok, praecancerosisok, malignus tumorok.

10. Sportsérülések: teniszkönyök, tendinitisek, disztorziók kiegészítő kezelése, Sudeck-atrophia.

A háziorvosi szoftlézer-terápia kontraindikációi

Az egyes szakterületeken már leírtakon kívül: a mamma és gland. thyreoidea besugárzása tilos!

A háziorvosi szoftlézer-terápia színhelye

• háziorvosi rendelő,

• háziorvosi csoportpraxis (egy lézerberendezést több orvos használ),

• a beteg otthona.

Összefoglalás

A szoftlézer-terápia a háziorvosi gyakorlatban kitűnően és sokoldalúan alkalmazható. A betegek ambulanter vagy otthonukban kezelhetők. Érintésmentesen, mellékhatások nélkül, fájdalommentesen használható a gyógyulási folyamatok lerövidítésére. Kombinált kezelések kiegészítő módjaként (egyes esetekben monoterápiaként), gyógyszer- és gyógyulásiidő-megtakarítást eredményez.

Az egyszeri, nagyobb beruházást követően gyakorlatilag ráfordításmentes módszer, de nem alkalmas hiányzó szakmai ismeretek pótlására. Elkerülhető a beteg felesleges küldése, utaztatása szakintézetbe (ulcus cruris).

A háziorvos, gyermekháziorvos vagy fogorvos rendszeres szakorvosi, szakambulanciai konzultációkat igénybe vehet. Több, elsősorban hosszú kezelést igénylő kórkép ellátásában tud részt venni. A beteg háziorvos általi lézeres kezelése mind a szakorvos számára, mind a beteg számára komoly időmegtakarítást jelent, ha a kezelések „helyben” hozzáférhetők. Szakmai biztonságot nyújt a szakambulanciával tartott időszakos konzultáció, illetve a „felülvizsgálat” lehetősége.

Egyéb szakterületek

A szoftlézerek tipikusan a családorvosi, háziorvosi, körzeti orvosi, fogorvosi gyakorlat kitűnően és igen sokoldalúan alkalmazható eszközei. A szak-

84 e-Journal LÉZER A FOGÁSZATBAN

Komplett megoldás a digitális fogászatban – egy szoftverrel

A Planmeca biztosítja a digitális munkafolyamat összes eszközét, amelyekkel lehetővé válik a páciens adatok megszerzése, a kezelések megtervezése, a sebészeti sablonok 3D nyomtatása és a restaurációk kimarása.

Így a munkafolyamat összes lépése egy szoftverben kivitelezhető: Planmeca Romexis

Magyarországon forgalmazza:

Bővebb információ, árajánlat kérés: (+36-1) 336-0884, 336-0885

E-mail: shop@sanidental.hu • Honlap, webshop: www.sanidental.hu

orvosok által felállított diagnózis, illetve kezelési protokoll szerint a beteget otthonában vagy lakóhelyén járóbetegként is jól lehet kezelni. A mindennapos gyakorlatban a szoftlézer-terápia multidiszciplináris módon igen széles körben terjed napjainkban.

A kis teljesítményű lézerek a felsorolt leginkább ismert alkalmazási szakterületek mellett egyes speciális orvosi ágazatokba is bevonultak. Így a gasztroenterológiában az emésztőcsatorna különböző szakaszain előforduló gyulladásos, fekélyes, nehezen gyógyuló elváltozások kezelésében használják őket. A gyermekgyógyászat, a krónikus betegek ápolása, a fertőző betegek speciális alkalmazási módokat és eszközöket igényelnek. A bronchológiában, az allergológiában, a transzplantológiában, a katonai orvoslásban, a plasztikai sebészetben, az égési sebészetben, a szeptikus sebészetben, a csontsebészetben, a sportorvoslásban, továbbá számtalan egyéb területen is előtérbe került a lézerterápia.

A szoftlézerek alkalmazásának előnyei és hátrányai

A kis teljesítményű lézerek klinikai alkalmazása olyan mennyiségű tapasztalat felhalmozódásához vezetett, ami lehetővé teszi alkalmazásuk általános előnyeinek/hátrányainak összegzését.

A szoftlézer-terápia előnyei

• Pontosan meghatározható az alkalmazásra kerülő lézersugár teljesítménye, megválasztható az alkalmazás módja, helye, időtartama.

• Többféle lézerfajtából lehet a legmegfelelőbbet kiválasztani.

• Tömeges betegellátásra alkalmas, ambuláns módon. A készülékeket több orvosi szakmában is lehet alkalmazni.

• A kezelés érintésmentesen végezhető, így atraumatikus, aszeptikus.

• A kezelés rendelőben, betegágynál, a beteg otthonában is végezhető.

• Gyorsan, fájdalmatlanul és pontosan kivitelezhető kezelés.

• Alkalmas egyes nem vagy nehezen javuló betegségek gyógyulási folyamatának elindítására, felgyorsítására.

• Mellékhatások elkerülhetők (például gyógyszermellékhatások, allergizálódás, sugárterhelés, elektromos hatás stb.).

• A hatás gyors.

• Többször ismételhető.

• A betegségek kezelési ideje lerövidül.

• Egyidejű fájdalomcsillapító, sebgyógyítást serkentő, gyulladáscsökkentő hatás. A terápiás helyi hatás mellett a szervezet általános állapotát javító szisztémás hatás is elérhető.

• Kombinálható más terápiával (gyógyszer, fizioterápia stb.).

• Széles indikációs spektrum.

• Gazdasági megtakarítás érhető el (betegállomány, kórházi ápolás, gyógyszerek költségei, munkaképesség helyreállítása, súlyosabb betegség kialakulásának s így esetenként műtétek szükségességének elkerülése).

• A készülék fenntartási és üzemeltetési költséget szinte nem igényel. A kezelésekhez anyagok, eszközök csak elvétve szükségesek. A lézert folyamatosan lehet hosszú időn keresztül üzemeltetni.

A szoftlézer-terápia hátrányai

• A lézersugár bejuttatása a kezelendő területre esetenként külön eszközöket (kézidarab, endoszkóp stb.) igényel.

• Biztonsági előírások betartása szükséges.

• A készülék megvásárlása egyszeri beszerzési költséget jelent.

• A létrejött gyógyhatás általában nehezen kontrollálható objektív paraméterekkel.

• A berendezéseket rendszeresen ellenőriztetni kell.

86 e-Journal LÉZER A FOGÁSZATBAN
12. a–b ábra: Az ajkakon jelentkező herpes a kezelést követően néhány órával tünetszegénnyé válik. A fájdalom teljes mértékben elmúlt, elindult a lézió pörkösödése.

opron,

PRIMA AUTOKLÁV

1077

Loupes and lights

BUILD YOUR DREAM LOUPE

1135 Budapest, Frangepán u. 66/B. +36 1 236 4000 | info@newyorkdental.hu www.newyorkdental.hu

Fogászati kereskedelem

• AMPRI: színes e.h. eszközök;

• Anger: matricák, ideiglenes koronák, fényvezető ék;

• ASA: műszerek, egyszer használatos eszközök;

• BISCO: cementek, bondok, kerámiajavító;

• FKG: endodonciai eszközök;

• DTS: színes műanyag lenyomatkanalak;

• NEOLIX: gépi gyökérkezelő tűk;

• OLIDENT: tömőanyagok, sav, bond;

• ORO CLEAN: fertőtlenítőszerek;

• PROMEDICA: cementek, tömőanyagok, alábélelők;

• SCORPION: scaler végződések, implant tisztításhoz is;

• SHOFU: cementek, tömőanyagok, csiszolók;

• SS White: koronafelvágó, karbid- és gyémántfúrók;

• TIDI: védőmaszkok;

• WHITEWASH: fogkrém, fogkefe;

• ZHERMACK: A- és C-szilikon, alginát lenyomatanyagok.

Közvetlenül az importőrtől:

HERBODENT Kft.

✉ 1025 Bp., Szépvölgyi út 52. % 325-7129

%/fax 325-7220, mobil: 30/203-6957, 30/241-5737 e-mail: herbodent@herbodent.hu, www.herbodent.hu

1067 Budapest Podmaniczky u. 39. Tel.: +36 1 311 65 84 www.drvolomdental.hu Straumann GmbH

Faller Jenő u .:+36 99/508-698 ax: +36 99/508-696 .hu
BIONIKA shop.bionika.hu +36 70 670 6875 CE Egyedit, gyorsan, kiváló minőségben.
Bp., Rózsa utca 29. www.modent.hu, info@modent.hu
Új olasz fejlesztés megbízhatóság, egyszeru ” kezelés, letisztult dizájn A-dec 500 a PRÉMIUM Dent-East Kft. 1112 Budapest, Rétkerülő út 51 www.dent-east.com • mail@dent-east.com 5 É V GARANCIA 47x69_v1.0.indd 1 2021. 03. 18. 16:25
kocka
ne ragadjon a műszere a kompozithoz!
Antiragacs
hogy
Dental
Hegyalja
7–13. COMMITED TO SIMPLY DOING MORE FOR DENTAL PROFESSIONALS TRY IT. LOVE IT. BUY IT. 1024 Budapest, Rómer Flóris u. 34. Tel.: 06-20/946-4350, e-mail: dentalmode@chello.hu. RAYSCAN www.alphaimplant.hu A MINO˝SÉG A SIKER GARANCIÁJA ai_hird_47x69.indd 4 5/7/15 9:24 AM sgshirdetes 2012februar 165x235 indd 1 sgshirdetes_2012februar_165x235.indd 1 1/27/12 12:29 PM SGS International Ltd. European Logistic Center 1047 Budapest, Károlyi István u. 1–3. Tel.: +36 1 328 0427 Fax: +36 1 348 0428 E-mail: info@sgs-dental.com www.sgs-dental.com LEZERSZINTER.HU • 3D lézerszínterezett vázak • Gyorsan tökéletes minőségben • Remanium star anyagból Tel.: 06-20-366-10-80 www.lezerszinter.hu 9.990 14.990
Dr. Volom
Magyarországi Fióktelepe 1016 Budapest,
út

ERŐS FOGAK ÉS EGÉSZSÉGES SZÁJ – MEGGYŐZŐ MOSOLY

A száj és a fogak nemcsak a táplálkozás és az emberi kommunikáció fontos részei, de esztétikai szempontból is jelentős szerepük van. Az egészséges fogak és fogíny egészségünk meghatározó elemei, a hibátlan, derűs mosoly pedig minden egyén kívánsága.

Nem csak a fogak fájnak

Az íny leggyakoribb gyulladásos megbetegedése a gingvitis vagy fogínygyulladás, mely legtöbbször a rossz szájhigiénia következményeként jön létre. A begyulladt és vérző fogíny a rossz lehelet mellett a betegség első jele. A gingvitist tehát gyógyítani kell, mert különben a gyulladás előrehaladott állapotában a gyulladt íny gócként szerepel, mely gócbetegségeket okozhat.

Az egészséges ember szájában folyamatosan jelen vannak mikroorganizmusok, amelyek szaporodása az íny gyulladásához vezet, és idővel a fogágy többi része is érintett lesz, paradontitis jelentkezhet. A tasakok mélyebbek lesznek, ezért a gyulladás ráterjed a mélyebb paradontális szövetekre is. A fogágygyulladás következtében a fogakat rögzítő szövetek elbomlanak, a betegség pedig átterjedhet az állkapocs csontszövetére is. Ennek együttes következménye, hogy a fog tartószerkezete meggyengül, elbomlik, így a fogak meglazulnak, majd kihullanak.

A

hialuronsav a

nense

A hialuronsav a szervezet természetes anyaga és az egészséges fogíny fontos komponense. Alkalmazása a fogászatban:

– csökkenti a szájnyálkahártya-irritációt

– megvéd a fertőzésektől

– felgyorsítja a sebgyógyulást és szövetregenerációt – csökkenti a fogínyvérzést, a foggyulladást és a duzzanatot

A kutatások kimutatják, hogy a hialuronsav fogászati alkalmazása jelentős mértékben hozzájárul az ínybetegségek megakadályozásában és gyógyításában.

Ínybetegségek megelőzése és gyógyítása hialuronsavval

A gyógyszertárakban és speciális üzletekben különböző formákban és kiszerelésben már 3 éve kapható a Gengigel, ami az egyedüli hialuronsav-alapú készítmény.

A termékcsalád használata egyszerű, gyermekek, terhes nők és cukorbetegek egyaránt használhatják. A hialuronsav tartalma miatt hatékony megoldás az alábbiakra:

– ínyvérzés

– gingivitis (fogínygyulladás)

– parodontitis (fogágybetegség)

– megsértett íny (sebészeti beavatkozás, foghúzás, fogpótlás után)

– korona, híd, fogprotézisek miatt irritált szájnyálkahártya

Ezen tulajdonságai alapján bátran állíthatjuk, hogy a Gengigel az egészséges fogíny receptje.

Forrás: Medis sajtóanyag

88 e-Journal LÉZER A FOGÁSZATBAN
fogágy kötő- szövetének fontos kompo-
(X)

Hialuronsav

Az egészséges fogíny receptje

Az egészséges fogíny receptje

Az egész csalàd számára

gél/szájöblögető oldat/szájspray/baby gél

■ csillapítja a vérzést

■ elősegíti a sebgyógyulást a szájüregben

■ elősegíti a szövetregenerációt

■ csökkenti a duzzanatokat

■ védi a szájnyálkahártyát a fertőzésektől

misike a fogzás időszakában

Gengigel spray 4490 Ft Gengigel az első fogaktól 4490 Ft Gengigel szájvíz 5290 Ft Gengigel first aid 5200 Ft smile shopszájápolás mindenkinek DP Hungary Kft. 1012 Bp., Kuny Domokos u. 9. Tel.: +36 30/472-0030 www.dental.hu, info@dental.hu Emmi-Dent Platinum ultrahangos fogkefe 67 990 Ft Emmi Dent Whitening fogkrém 3090 Ft AKCIÓ! Gengigel prof mellé ajándék 1 db First Aid 34 990 Ft Gengigel gél 4490 Ft

Turn static files into dynamic content formats.

Create a flipbook
Issuu converts static files into: digital portfolios, online yearbooks, online catalogs, digital photo albums and more. Sign up and create your flipbook.