e-Journal - Orthodontia 2023

Page 1

2023. VI. évfolyam

9. szám

E-JOURNAL ORTHODONTIA

A FOGÁSZAT INFORMÁCIÓS MAGAZINJA

„Legfontosabb értéknek azt tartom, hogy sikerült átadnom a szakma iránti szeretetet, tudást, a páciensekhez való hozzáállást…”

Nyitott harapás kezelése miniimplantátumokkal

Szemfog és kisőrlő formázása kismetsző aplázia részárással történő kezelése során

Tongue Star 2 (TS2) – a nyitott harapás-zárásnak hatékony eszköze

www.dental.hu

VILÁGÁBAN!

A 10 éves Alpha Implant Kft. a hagyományos munkafolyamatok mellett a digitális workflow minden lépésére megoldást kínál. A digitális technika fejlődése a fogászati piacon is egyre nagyobb teret hódít. Ebben nyújt

segítséget a 6 lépésből álló Alpha Digital Workflow, amely az intraorál scanneléstől a kész fogmű behelyezéséig terjed. Ne zárja magát keretek közé, lépjen az Alpha Implant Kft.-vel a Digitális Szabadság Világába!

ÜDVÖZÖLJÜK
IMPLANTÁTUM IRÁNYÍTOTT SEBÉSZET
A DIGITÁLIS SZABADSÁG
SCANNER CIRKON
PROTETIKAI FELÉPÍTMÉNYEK +36 1 353 9090 | info@alphaimplant.hu | www.alphaimplant.hu
INTRAORAL
TÖMB
3D NYOMTATÓ REGIONÁLIS KÉPVISELŐ:

Tisztelt Olvasó!

2023-ra a fogászati szektor – reményeink szerint – fel tudja dolgozni a Covid-19 okozta nehézségeket, a háború mellett elszabaduló inflációt, és már tervezi az idei év fejlődési lehetőségeit. Mindanynyian abban bízunk, hogy időben alkalmazkodni tudunk majd a változásokhoz, és stabilan tudjuk vezetni a vállalkozásinkat!

A tavalyi év sokunk életében hozott különböző nehézségeket, mégis elmondhatjuk, hogy mindenképp jobb volt, mind a 2020-as és a 2021-es esztendő, amikor a létbizonytalanság, a járványtól való félelem uralta a napjainkat. Az idegenforgalom szépen megindult, de a korábbi számok, a vendégéjszakák még nem érik el a 2019-es év adatait. A nagy rendelők már próbálnak teljes kapacitással üzemelni, a fogtechnikai laborokban is visszatért a folyamatosság, a fogászati kereskedők jelentős része pedig jobb évet zárt 2022-ben, mint korábban.

A fogászati rendelők és fogtechnikai laborok az elmúlt 2-3 évben főleg a fejlesztéseket állították előtérbe, amelyhez számos pályázat és egyéb forrás is kedvező konstrukciókat kínált. 2023-ban – tudomásunk szerint – is lesznek új pályázati források, melyekről a kereskedelmi vállalatok részletesebb információkat tudnak adni. Az új források bevezetése idén már bizonyosan ismét növekedési spirálba helyezi majd ezt a szektort!

Az infláció elérte a fogászati ágazatot is, a vállalkozások az euro változásától, gyengülésétől függően azzal találkoznak, hogy az árak – a mindennapi élet mellett – itt is jelentősen és folyamatos változnak, emelkednek. A fogászati rendelők is kénytelenek az áraikat emelni, egyre több rendelő, ún. „piaci alapú” árképzést vezet be. A folyamat kimenetelét még nem lehet pontosan látni, a munkaerő fluktuációja, az Európai Unió áraihoz képest alacsony magyar fogászati beavatkozások értéke - jelenleg még nem érte el a drágulás csúcspontját. Az elmúlt időszakban számos újság, cikk foglalkozott a fogászati szektorban található extra drágulási folyamattal. Ez egyelőre - a hazai rendelőkben - még nem mutatott jelentős problémát, új hívószavakkal, sok marketing munkával, reklámmal most a magyar lakosságot kell határozottabban a rendelőkbe invitálni!

Idén már 23. éve nagy energiával szervezzük, és sok munkával készülünk az őszi Dental World Nemzetkö-

zi Kongresszus és Szakkiállítás sikeres lebonyolítására, melyen reméljük, hogy az egész fogászati szakma képviselteti majd magát! Nemzetközi szinten is ismert/elismert előadók, gyakorlat-orientált képzések, továbbá sok új élmény is várja majd a látogatókat, az érdeklődőket!

A kiadó bizakodva tekint a jövőbe, a megújult tartalmaink kapcsán sok pozitív visszajelzést kapunk, melyeket nagyon köszönünk! Az elmúlt években - a nehézségek ellenére is - növelni tudtuk a kiadványaink, a magazinjaink számát, nem csökkentve azok tartalmi minőségét. 2020 óta a tematikus e-Journalok is folyamatosan megjelennek, melyek egyfajta online könyvtárként is szolgálnak az olvasóinknak. A dental. hu oldalon díjmentesen elérhetőek a korábbi tematikus online lapszámaink is.

A mostani kiadványunkban általános fogorvosi eljárások mellett az orthodontia témakörével foglalkozunk.

Jó olvasást kívánok!

Laczkó Tamás, felelős kiadó

3 VI. ÉVFOLYAM – 2023. 9. SZÁM

E-Journal VI. évfolyam, 2023. 9. szám

Kiadja: DP Hungary Kft. 1012 Budapest, Kuny Domokos u. 9.

Felelős kiadó: Laczkó Tamás

Főszerkesztő: Dr. Riba Magdolna

Előkészítés:

DP Hungary Kft., Sárközi András

e-mail: grafika@dental.hu

Információ, hirdetésfelvétel: Bárdos Veronika, telefon: 06-30-472-0030, 06-1-793-1874

Az újság e-mail címe: info@dental.hu

Az újság internetcíme: www.dental.hu

Terjesztés: E-mail hírlevél formájában.

A tudományos közleményeket a szerkesztőség lektoroknak adja át véleményezésre. Közlés csak egyetértő lektori vélemény, illetve a javasolt módosítások elvégzését követően lehetséges.

A cikkek szerzői vállalják, hogy az általuk elküldött írás saját forrásból származik, illetve a felhasznált anyagokat (publikációkat, illusztrációkat, képeket stb.) mindenkor pontosan feltüntetik. Írásaiknak jogi és egyéb adatvédelmi kérdéseiben felelősséget vállalnak.

A német nyelvű szakmai cikkeink magyar fordítását az Oemus Media AG Kiadó engedélyével szerkesztettük lapunkba.

A fel nem használt kéziratokat, fotókat nem őrizzük meg, és nem küldjük vissza.

A hirdetések tartalmáért nem vállalunk felelősséget. A gyártó, illetve forgalmazó cégek kérésére közzétett cikkeket keretbe foglalva közöljük és (x)-szel jelöljük, azok szakmai tartalmáért a szerkesztőbizottság nem vállal felelősséget.

4 Tartalom ORTHODONTIA „Legfontosabb értéknek azt tartom, hogy sikerült átadnom a szakma iránti szeretetet, tudást, a páciensekhez való hozzáállást…” 8 Gyermekkori Class 2-es eltérés kétfázisú kezelése 24 Egy dilacerált gyökérrel rendelkező impaktálódott felső nagymetszőfog lézeres terápiával kiegészített orthodonciai kezelése 28 Szemfog és kisőrlő formázása kismetsző aplázia részárással történő kezelése során 36 Nyitott harapás kezelése miniimplantátumokkal 44 Az alignerekkel végzett esztétikai célú fogszabályozás határai 48 Klinikai digitális fényképezés a fogszabályozásban: professzionális fényképfelvételek a napi gyakorlatban 54 Tongue Star 2 (TS2) – a nyitott harapás-zárásnak hatékony eszköze 60 Temporomandibuláris betegségek (TMD) diagnózisa és az aquasplint terápia egy új eljárás a tmj/tmd egyszerű diagnózisához és hatékony terápiájához 68 Sablonnal történő bracket-ragasztás 72 Erős fogak és egészséges száj – meggyőző mosoly 76

ADENTALPRESSTEMATIKUSKIADVÁNYA

Nyomtatott magazinok

2022 / III.ÉVFOLYAM–ÁR:2500FT

DIGITÁLIS FOGÁSZAT

pot az orvoskamara kifejezésével élve: „irányítási-igazodási válság” –, amiben az egészségügy járvány eleje óta őrlődött két tárca között. Igaz, sokan csalódtak, hogy az új kormányban sem lesz egészségügyi minisztérium. Őket friss ágazati egyik első megszólalásakor azzal vigasztalta, hogy az egészségügy érdekérvényesítő képességét nem az önálló minisztérium erősíti, hanem a mi

niszter személye.

bilitás érzetét erősítheti, mivel

Tanulmányozd először az elméletet, aztán jöjjön a gyakorlat, mely belőle származik

„A helyreállító fogászat lett a szenvedélyem és a mindennapi munkám”

Hagyományos teljes fogsor hatékony átalakítása

Teljes ívű rehabilitáció primer vázra ragasztott lítium-diszilikát szekunder koronákkal

ESETISMERTETÉS ESETISMERTETÉS
PORTRÉ
INTERJÚ
Katona József hogy túl nagy változások nem vár-demi fejleményt azonban már tárca (EMMI) felszámolásával azniszter portfóliójába került. Ezzel megszűnhetett az az áldatlan álla-
-
-
őt „igen közelről”, az Országos Kórházi Főigazgatóság (OKFŐ) főigazgató-helyettesi székéből vette magakozásakor pedig azt hangsúlyozta: egészségügyben. Az első nagy léciklusban, most finomhangolásjövő szereposztásáról is: stratégioperatív végrehajtás az országos utóbbi poszton Jenei Zoltánnal indul óta tölti be hivatalt. Bemutatkozásakor azt jelezte az államtitkár: nyár közepéig elkészítik „stratégiai anyagaikat”, csak olyan megoldási javaslat kerülhet kormány elé, amit támogatnak szakmai szervezetek is. Így minden érdekelt reményekkel telve indulhatott nyaralni, bízva abban: számára is gyümölcsözően alakul majd az ágazat sorsa. A Magyar Orvosi Kamara (MOK) azonban semmit sem bízott a véletlenre. Amint felállt a kormány, egy 8 oldalas levélben részletezték belügyminiszter számára, hogy miben problémáit. Látleletükben egyebekutak szétzilálódtak, várakozási idők ellátások közel elérhetetlenné váltak,berhiány. Összességében úgy látják, hosszú, sem rövid távon nem tartszorgalmazták ajánlották hozzá a helyzet javítására egy, a 2011-es részletességű programot alkossanak. Az ellátási problémák nagyságának érzékeltetésére Kiss Zsolt Nemzeti Egészségbiztosítási Alapkezelő (NEAK) főigazgatója szolgált egészen meghökkentő adatokkal június elején. E szerint idén, az első negyedévben a kórházak közel negyedével, szakrendelők ötödével kevesebb beteget láttak el, mint a járvány előtti utolsó év megfelelő időszakában. A krónikus osztályok teljesítménye pedig korábbinak Mindez arra utal, hogy sok páciens be sem jut az ellátórendszerbe, kórházszövetség kongresszusának ma 19-31 százalékkal kapnak több indokolna. 3. oldal TUDOMÁNY ÉS KUTATÁS A fogászati implantológiát évtizedeken elérése vezérelte. kifejezés létrejöttét P. Branemarktól eredeztetik, aki elsőként írta le vitális csontszövet és vele kapcsolatba kerülő titániumból készült eszközök között megfigyelhető... GYAKORLÓ FOGORVOS AJÁNLJA Egy fogpótlás készítéséhez a fogorvos felpuhított viaszba haraptatja pácienst. harapás alapján készített fogpótlás nem csak fogak, a fogpótlás... IRÁNYVONALAK, ALKALMAZÁSOK A Cerec Accept programjának erőteljes szegmense status quo megvitatása. Mindannyian átéltük már, mindannyian éreztük már otthonosan magunkat benne. Velünk nyaralt a remény Új tanulmány szerint a nanorészecskék használata hatékonyabb módszer lehet a fogfehérítésre Anisha Hall Hoppe, Dental Tribune International A dél-koreai Sungkyunkwan Egyebizonyos típusú nanorészecskék lehetnek következő élenjáró megazért nem bíztak bennük, mert azkéről bebizonyosodott, hogy nem a fogfehérítést, és emellett antiremineralizációs tulajdonságokkalben alkalmazzák fogászatban, beleértve fogpótlást, helyreállító fogászatot és parodontológiát. A jelenleg klinikailag használt fogfehérítő szerek, mint például karbamid-peroxid és a hidrogén-peroxid, szabad gyökök keletkezése miatt potenciálisan kóros károsodást okozhatnak. Az áttekintés azt sugallja, hogy a nanorészecskék nemcsak akkor hasznosak, ha fehérítő termékekhez abrázió céljából adják őket, hanem fehérítőszerként alkalmazva még jobban működhetnek, mint meglévő termékek, mivel képesek elősegíteni remineralizációt, oxigénfajokat szabadítanak fel. A keletkező reaktív oxigénfajok oxid és az arany nanorészecskék nanorészecskék viszont hidroxiláttekintés beszámolt szerint hidrogén-perhatást fejtet ki, amikor arany nanorészecskéket használtak, valamint egy másik vizsgálatról, amely kimutatta, hogy az aranylata nem okozott biológiai problémákat vizsgált állatokban. A felülvizsgálat szerzői szerint szükség annak ellenőrzésére, hogy ezek nanorészecskék potenciálisan jelenthetnek-e toxicitási kockáA hosszú hullámhosszú fénnyel amelyről beszámoltak, azt sugallsza szén kompozitja jobb fehérítésiláltak nyilvánvaló toxicitást. Egy hanm-es diódalézerrel aktiválva egy amely titán-dioxid nanorészecskéket tartalmazott, ugyanolyan mértékű fehérítést biztosított, mint egy 35%-os hidrogén-peroxid-oldat. A csoport beszámolt hidroxiapatittal kapcsolatos kutatásról is, amelyről ismert, hogy fogak szilárdságát növeli azáltal, hogy apatitot ad demineralizált zománchoz. Az egyik tanulmány megállapította, hogy hidroxiapatit nanorészecskék fogkrém formájában javították fogak színét, egy másik pedig azt jelezte, hogy a hidroxiapatit nanorészecskéket tartalmazótonságosak. A tanulmány, amelynek címe: „Nanowhitening agents: Progress and perjúnius 15-i számában jelent meg, Forr s: www.dental-tribune.com Kép: Shutterstock/MarcinK3333 B 2022. - XViii é 3. szám The World‘s Dental Newspaper 2022 / XXVI. ÉVFOLYAM – 3. SZÁM A FOGÁSZAT INFORMÁCIÓS MAGAZINJA DENTAL HÍREK ÁRA: 2500 FT PORTRÉ „A tanulási folyamatnak soha nincs vége...” ÚJ GENERÁCIÓ „Csak komplexen kezelek egy problémát...” MED. DENT MED. DENT Kalcifikált felső metszőfog kiszámítható gyökérkezelése 3D-nyomtatott fúrósablon segítségével Szemfog és kisőrlő formázása kismetsző aplázia részárással történő kezelése során 2022 / XIX. ÉVFOLYAM – 3. SZÁM FOGTECHNIKA FOGTECHNIKUSOK SZAKMAI LAPJA ÁRA: 2500 FT Egyedi fogszínkulcsok a CAD/CAM fogpótlások színének meghatározásához A „Majesthetik” csodája – a munkamenet Makó János és Péry Eleonóra interjú –páratlan páros CÍMLAPSZTORI LABORATÓRIUM LABORATÓRIUM A kézművesség tisztelete AKIKTŐL TANULHATUNK 2022 XIX. ÉVFOLYAM – 2. SZÁM A DP HUNGARY TEMATIKUS KIADVÁNYA ÁRA: 2500 FT IMPLANTOLÓGIA INTERJÚ INTERJÚ INTERJÚ „Mindennek az alapja egy tökéletes team megszervezése és működtetése…” Fontos a rendszeres megújulás KERESKEDELMI HÍREK Nézzünk előre! „Én a szakterületek harmonikus együttműködésében hiszek…” Dental Hírek 4 szám/év Fogtechnika 4 szám/év Digitális Fogászat 1 szám/év Dental Tribune 4 szám/év Implantológia 3 szám/év bankkártyás fizetés esetén Szakkönyvek ajándékba! 2023-as éves, mind az öt magazinunkra történő előfizetés esetén választhat fogászati szakkönyveink közül egyet ajándékba 2023 DENTAL PRESS AKCIÓ!
Online magazinok Az előfizetéshez kattintson IDE! 16 újság + 16 e-Journal 45%41 000 Ft helyett 23 500 Ft

„LEGFONTOSABB ÉRTÉKNEK AZT TARTOM, HOGY SIKERÜLT ÁTADNOM A SZAKMA IRÁNTI SZERETETET, TUDÁST, A PÁCIENSEKHEZ VALÓ HOZZÁÁLLÁST…”

Dr. Borbély Péterrel beszélgettünk életéről és szakmai munkásságáról

Dr. Borbély Péter a Magyar Orthodontusok Társaságának alapító tagja és 1999 óta elnöke. A University of Alabama at Birmingham (USA) és a Debreceni Egyetem látogató professzora, a Coorg Institute of Dental Sciences (India) díszdoktora. Az International Orthodontic Symposium konferencia alapító tagja, 2016 óta pedig a Dental World Orthodontiai Kongresszusainak is elnöke és programfelelőse.

2022-ben a Magyar Érdemrend Lovagkeresztje Polgári Tagozatával tüntették ki.

Először arra kérem, hogy néhány mondatban foglalja össze életének legfontosabb gondolatát, illetve üzenetét!

Shakepeare Hamlet monológja úgy szól: „Lenni vagy nem lenni: az itt a kérdés.”

Petőfi Sándor ezt a gondolatot bírálja egyik költeményében, ahol azt írja, az életünk legnagyobb kérdése nem az, hogy lenni vagy nem lenni, hiszen már benne vagyunk a létben. Ő azt hirdeti: használni vagy nem használni! A Világosságot!

című művében így fogalmaz:

„Nem kérdem én, hogy mi leszek?

Csak azt mondd meg, hogy mi vagyok, S miért vagyok?...”

Az én személyes válaszom: Tenni vagy nem tenni! Jót tenni másokért!

Az Ön családjában több generációra vezethető vissza a fogorvoslás. Kérem, hogy a gyermekkoráról és a szakmához vezető útról mondja el legfontosabb emlékeit! Nagyapám fogorvos volt, és ünnepek alkalmával gyakran voltunk náluk. Ilyenkor belopództam a rendelőjébe, mely a lakás egyik részében volt, és mint kisgyerek, kipróbáltam a műszereket. Fiatal koromban sportoltam és szerettem volna a sporttal komolyan foglalkozni. Egy sérülés közbeszólt, és emiatt érettségi előtt úgy döntöttem, hogy fogorvos leszek.

A fogorvosi diploma megszerzése után hogyan alakult az élete?

Mire megkaptam a diplomámat, nagyapám már nem élt, nagymamám egyedül maradt Nagykanizsán. A család kéré-

8 e-Journal ORTHODONTIA
Az általa tervezett KFO-Laser mérőasztallal.

sére „disszidáltam” oda, ami az életemben nagyon nagy változást jelentett. Korábban mindig a fővárosban éltem, csak a szünidőt töltöttem vidéken, ami számomra feledhetetlen volt. Most már tudom, hogy sokkal emberibb, meghittebb életet lehet vidéken élni, mint egy hatalmas, zajos városban. Nagyon jó, igaz barátokat szereztem ott.

Ismereteim szerint az 1986-ban megszerzett fogszabályozási szakvizsgája óta, tehát közel 40 éve elsősorban a fogszabályozással foglalkozik. Mi motiválta a fogászat e speciális szakterületének a kiválasztásakor?

Akkoriban vidéken nagyon kevés volt a szakember, és mint fiatal orvost rendszeresen küldtek más helyekre helyettesíteni, kisegíteni. Egyáltalán nem bántam, mert nagyon lelkesen azt gondoltam, hogy a fog- és szájbetegségek minden problémáját meg fogom tudni oldani. A fogászat valamennyi területét kipróbálhattam, de a rendezetlen fogazattal nem tudtam mit kezdeni.

Gipszmintákat készítettem, és a szabadnapjaimon Budapestre utaztam, hogy a fogszabályozással foglalkozó szakemberektől tanácsot, szakmai segítséget kérjek.

Szinte minden esetben a tágítócsavaros lemez használatát javasolták, ami akkoriban a használható módszerek közül a legelterjedtebb volt. Hamarosan elgondolkodtam azon, hogy a különböző tünetekkel rendelkező pácienseknek nem lehet azonos a terápiája. Egy év után találtam rá a helyre, ahol tanulni lehetett. Rehák Gizella segített, aki nem csak kiváló szakember volt (ahogy édesapja is nemzetközileg elismert orthodontus), hanem segíteni akaró, kulturált, kellemes ember. Amikor együtt utaztunk külföldi konferenciákra, leplezetlenül látszott rajta, hogy büszke a tanítványaira.

Rehák Gizellának nagy tisztelője vagyok, mert felettébb sokat tett a magyar fogszabályozás jövőjéért. Szakmailag csodálója és tisztelője vagyok azoknak a tanítványainak is, akiknek a főorvos asszony szeretettel próbálta átadni minden tudását.

Ismereteit különböző külföldi tanulmányutakon is folyamatosan bővítette. Járt többek között Norvégiában, NSzKban, NDK-ban, Csehszlovákiában és az Egyesült Királyságban is. Visszatekintve, melyik képző, illetve egészségügyi intézményben szerzett tudását tartja meghatározónak?

Mindig mindenütt volt valami, ami jónak, egész különlegesnek bizonyult. Londonban például egészen más volt a munkatempó, mint nálunk. Példaértékű és lenyűgöző volt a munkához való hozzáállás, a szaktudás, az eddig ismeretlen kezelési lehetőségek, a segédanyagok, a felszerelések minősége és sokfélesége, Morvaországban pedig nagyon kedvesek voltak az ottani tanítóim, kollégáim. Kaminek professzor egy esztendőn át tanult Dániában és arra törekedett, hogy átadja nekünk is az ott elsajátított, számunkra még ismeretlen módszereket. A németek igyekeztek mindent precízen végezni, de mások számára is biztosították ennek a lehetőségét és a feltételeit. Ez számomra mind keleten, mind nyugaton kellemes megtapasztalás volt. Norvégiába Hamburgból küldött ki – saját költségén – a szeretett főnököm, hogy

„világot lássak”, és tudományos munkát végezzek. Azt pedig mély alázattal és szakmai elismeréssel jelentem ki, hogy a skandinávok a világelsők között, a fogszabályozás technológiájának a csúcsán állnak.

Szeretnék külön is rákérdezni a Hamburgi Egyetemen töltött évek (1987–1996) tapasztalataira. Itt a nagy tekintélyű professzorától, Asbjörn Hasundtól tanulta, sajátította el a szakma legkorszerűbb ismereteit. Mit emelne ki az ott szerzett „tudáshalmaz”-ból?

Elsősorban a gondolkodásmódot, a hozzáállást és a szakma iránti tiszteletet és szerénységet emelném ki.

Ahogy említettem, a norvég fogszabályozási iskola világhírű. Hasund professzor két évet tanult az Amerikai Egyesült Államokban. Felkérést kapott, hogy maradjon ott, de ő inkább hazautazott Norvégiába. Tudását megbecsülték és értékelték, mert 32 éves korában már tanszékvezető lett a norvég Bergenben. Később Hamburgban, az ő klinikáján nagyon sok külföldi tanult. Nyitottak és befogadók voltak mindenki felé, aki bizonyítani tudta szakmai alkalmasságát. Senkit nem kellett emlékeztetni a teendőire, mert mindenki örült, hogy dolgozhatott, és részt vehetett valamilyen tudományos kutatómunkában.

Professzorunk sokszor volt távol, mert több helyen tartott kurzusokat, de a klinikán mindig úgy ment minden, mintha ő is jelen lett volna.

Hazatérése után Ön Magyarországon egyedülálló módon létrehozott egy Fogszabályozási Stúdiót, ahol rendszerint 7-8 fogorvos – mint egy szakmai team – közösen beszél meg minden egyes esetet. Mit emelne ki a Stúdió több mint negyedszázados múltjából, mit tart a legfontosabb értéknek?

Legfontosabb értéknek azt tartom, hogy sikerült átadnom a szakma iránti szeretetet, tudást, a páciensekhez való hozzáállást. Csodálatos hallgatni tanítványaimat, akik azokat a mondatokat, gondolatokat ismétlik, amit én hallottam Ha-

9 VI. ÉVFOLYAM – 2023. 9. SZÁM
A Karagandai Orvosegyetem néhány vezetője nemzeti viseletben. A kazah szokás szerint akit befogadnak, annak népviseleti ruhát adnak.

sund professzortól, Rehák főorvos asszonytól és Riskó Rezsőtől, pedig ezeket a kiváló szakembereket ők nem, vagy alig ismerték.

Mindig azt tanítottam nekik, és arra kértem őket, hogy nálam is jobban végezzék idővel a munkájukat, és szakmailag jussanak nálam magasabbra. Úgy érzem, sikerült átadnom azt a tudást, tapasztalatot, amit eddig felhalmozhattam.

Örülök neki és büszke vagyok rá, hogy már nem csak én tartok előadást külföldön. Tanítványaim eljutottak oda, hogy nemzetközi szinten is elismert, önálló eredményeket és komoly tudományos munkát tudnak felmutatni. Idén márciusban tanítványom, Veiszenbacher Éva előadást tarthat Indiában, és magam is „keynote speaker”-ként adhatok elő. Áprilisban az Amerikai Egyesült Államokból kértek fel egy 90 perces előadásra, júniusban pedig két posztert mutathatunk be az Európai Orthodontusok konferenciáján, Oslóban. Büszkén mondhatom, hogy mindkét poszter már tanítványaim önálló munkája.

A Stúdió vezetését, irányítását mikor adta át fiának, dr. Borbély Zoltánnak?

A fiam minden rábeszélés nélkül, egyedül döntött úgy, hogy fogorvos lesz. Pár éve elmondta, hogy sok érdekes terve és ötlete van, szeretné még fiatalként, ereje teljében azokat megvalósítani. Ezzel meg is győzött, és rövid latolgatás után meghoztam a döntést. Egy hónappal a COVID pandémia

előtt – akkor még mit sem sejtve a rendelő kényszerű szüneteltetéséről – ünnepélyes körülmények között átadtam a rendelő vezetését.

A Magyar Orthodontusok Társasága ma is egyik alapfeladatának tekinti a szakmai továbbképzéseket, rendszeresen tartanak tudományos tapasztalatcseréket, előadásokat. Ön havi rendszerességgel tart félnapos továbbképzéseket „A fogszabályozás dióhéjban” címmel. Elégedett a résztvevők számával, érdeklődésével? Idén a tervek szerint esetleg változik majd a témakör?

Nagy örömmel tudom elmondani, hogy társaságunk már 49 éve tart továbbképzést havonta egyszer, egy teljes délelőtt. Ez rövidesen összesen 500 összejövetelt és átlagosan három órát jelent alkalmanként már. Nyaranként nem találkoztunk, de a budapesti délelőttök helyett vidéken szerveztünk továbbképzéseket, általában két-három teljes napra. A képzések Rehák Gizella és Riskó Rezső szakmai elvei alapján történtek.

Eleinte még nem volt, nem lehetett szakmai társaságot alapítani, csak a rendszerváltozás után volt erre lehetőség. A Magyar Orthodontusok Társasága 1991-ben jött létre Rehák Gizella ötlete alapján. Amikor ő nem vállalta tovább az elnöki tisztséget, akkor több kiváló, az elnöki tisztségre alkalmas kolléga közül engem választottak meg. Akkoriban tértem haza a németországi klinikáról, és az volt a célom, hogy az ott tanultakat minél több itthoni szakembernek adjam tovább. Ezért összeállítottam egy előadás-sorozatot, mely érint minden olyan témát, amelyet egy fogszabályzónak tudni illik. Ez a sorozat 40 alkalomból áll, és egy-egy kurzus 5 órát vesz igénybe.

Napjainkban egyre több hazai és külföldi előadó tart továbbképzést, ez nagyon jó, és ezért is dicséretes a Dental World szervezése. A problémát abban látom, hogy túl sok szakorvost képeznek, akiknél hiányoznak a megfelelő szakmai alapok és ismeretek. Ezt a hiányt hivatott pótolni az említett „Fogszabályozás dióhéjban” című tanfolyam. Folytatom a kurzusokat, és tervezünk külföldi előadókkal együtt a szakmánk új területeiről is előadásokat tartani. Júniusban Chung How Kau szingapúri származású professzorral lesz előadásunk, terveim szerint a Szegedi Tudományegyetemen.

Tanítványaimat szeretném a kurzusaimba előadóként is bevonni, hogy lassan átadhassam nekik a szakmának ezt a területét is. Annak idején Hasund professzor is így tette velem. Szeptember elejére tervezünk velük egy kurzust kezdő kollégák számára a Szegedi Fogszabályozási Nyári Egyetem keretein belül. Ugyanebben a hónapban Budapesten is tartok továbbképzést szakorvosoknak Nezar Watted professszor részvételével.

A szakképzést számtalan publikációjával, szakkönyvek és egyetemi tankönyvek megírásával, valamint fogszabályozással foglalkozó lapok szerkesztőjeként is segítette. E szakterület iránt érdeklődő fogorvos hozzáférhet ezekhez,

10 e-Journal ORTHODONTIA
A kazahok nem csak szépek, egészségesek, hanem egy büszke nép.

illetve a nemzetközi szakirodalom jeles képviselőinek, kutatóinak az írásaihoz is?

Valóban szerzője vagyok a magyar nyelvű tankönyvnek, továbbá írtam még három szakmámmal kapcsolatos könyvet, illetve egy amerikai szakkönyv egy fejezetének én voltam a társszerzője.

A főnökömmel közösen írt könyvünket: „Az egyenesíves technika” címmel lefordították már három (orosz, kínai és kazah) nyelvre. Az angol nyelvű egyetemi hallgatóknak írt két könyvet (elmélet és gyakorlat) még a Debreceni Egyetem mb. tanszékvezetőjeként állítottam össze. Meg kell említenem Hegedűs Csaba dékán úr nevét, aki sokat segített, így a debreceni tartózkodásom idején létrehozta Magyarországon az első, csak fogszabályozással foglalkozó tanszékét. Az elméletet az Orthodontics at a Glance igyekszik – nem minden részletre kitérően – összefoglalni az állcsont-ortopédia és fogszabályozás gondolkodásmódját, és lehetőleg élményt is nyújtani, továbbá kapcsolódó szakmákkal is öszszefüggésbe hozni. A gyakorlati tankönyv a Practical Notes in Orthodontics, ez Veiszenbacher Évával és Hegedűs Viktóriával közös munkánk. Egyesek használják, de valójában Magyarországon kevesen ismerik. A „Fogszabályozási Minilexikon” már két kiadásban megjelent, és folyamatosan kiegészítem, bővítem. Ez a munka a Magyarországon használatos szakmai nyelvet igyekszik „megtisztítani”, szinkronizálni és megalapozni. Fontosnak tartom, hogyha valamilyen szakmai dologról beszélünk, akkor mindenki ugyanarra gondoljon, és egy megnevezés alatt ugyanazt értse. A szavakat használjuk helyesen, és a fogalmakat is tisztán és egyértelműen értelmezzük.

Ismert a szakmában, hogy a fogszabályozási diagnosztikában használatos lézeres digitalizáló rendszert Ön találta fel. (KRUPP KFO-Laser-Röntgenfelvétel és gipszminta fogszabályozási analíziséhez használatos digitalizáló berendezés) Ennek előnyeit – röviden – miként foglalná össze?

A távröntgenfelvétel kiértékelése eddig nagyon időigényes volt, mert kézi módszerekkel: ceruzával, vonalzóval, szögmérővel végeztük. Az általam kidolgozott új módszert a Krupp Medizintechnik GmbH gyártotta. Ez a szerkezet és program nagy pontossággal és gyorsasággal végez el minden mérést, és kiszámolja az eredményeket. Még a gipszminták kiértékelését is elvégezhetjük vele, amely szintén lassú folyamat volt. Tudomásom szerint, Japántól kezdve Európán át, az Egyesült Államokban is forgalmazta a cég.

Előadásaiban többször hallhattunk arról, hogy a megfelelő szépérzék egy orthodontus számára legalább annyira fontos, mint a jó és megfelelő kézügyesség. A hangsúly fokozatosan áthelyeződött a régi funkcionális és okklúziós szemléletről az arc és a mosoly esztétikájára. Az esztétikai szempontok figyelembevétele miként befolyásolja a kezelési terv felállítását?

Valóban nagyon sokszor, szinte minden előadásomon elmondom, hogy egy jó, magára adó szakembernek nem szabad csak a szakmájával foglalkozni, hanem az érzéseit is fejleszteni, ápolni kell. Egyetemista koromban az IBUSZ-nál dolgoztam mint idegenvezető. A legelső munkámnál a külföldre utazók között volt egy nagyon jó arcú, halk úriember, aki sokkal kevesebb csomagot vitt magával, mint a többiek, de volt nála egy hegedű is. Az útlevelek összeszedésekor láttam, hogy

11 VI. ÉVFOLYAM – 2023. 9. SZÁM
A Doctor honoris causa cím adományozása alkalmából készült fénykép Indiában.

Kudász József szívsebész professzor úrral van dolgom. Nagyon tanulságos volt számomra, hogy egy utazásra valaki nem csak könyvet visz magával, hanem még arra a rövid időre sem akarja nélkülözni a hangszerét. Albert Einstein is hegedült, Teller Ede zongorázott, Szentágothai János professzor úr festett. A világhírű magyar agykutató, Freund Tamás akadémikus, a Magyar Tudományos Akadémia elnöke énekelni jár, Roska Botond neurobiológus professzor naponta foglalkozik matematikával, és rendszeresen csellózik. Övék a jövő, mert ahol az értelem már tehetetlen, ott kezdődnek az érzelmek!

gyon jó eredménnyel. A hallgatók minden délelőtt elméleti, délután pedig gyakorlati képzésen vesznek részt, dolgoznak. Kiváló fogszabályozók kerülnek ki erről az egyetemről.

2022-ben egy igazán rangos kitüntetésben is részesült. „DR. BORBÉLY PÉTER úrnak, fogszabályozó főorvosnak, a Magyar Orthodontusok Társasága elnökének a határon túli és a magyarországi fiatal orvosok oktatása és a fogszabályozási diagnosztika fejlesztése terén végzett nemzetközi hírű munkája elismeréséül a Magyar Érdemrend Lovagkeresztje Polgári Tagozata kitüntetést adományozta.” Megkérdezhetem, mi volt az első gondolata, amikor megkapta ezt a kitüntetést?

A legelső gondolatom az volt, hogy valaki a baráti körből meg akar viccelni, mert a levél eleje valahogy így szólt: Tisztelettel értesítjük, hogy Orbán Viktor miniszterelnök úr előterjesztésére állami ünnepünk, augusztus 20-a alkalmából Novák Katalin köztársasági elnök asszony állami kitüntetést adományoz Önnek.

Nekem? A közösségi munkát szolgálatnak vettem és ma is veszem, ezért pedig nem vár semmi elismerést, köszönetet az ember. Zavarba hozott a hír valódisága.

Megható és felemelő érzés volt, elegáns körülmények között vehettem át a Lovagkeresztet. A hír hallatán családomban is mindenki nagyon boldog volt, és büszkék voltak rám. Tudni kell, hogy az érdem fele a feleségemé, aki lehetővé tette, engedte, elviselte fáradozásaimat. Mert nekem a legnagyobb boldogság és a legszebb életöröm, ha a családommal lehetek. Remélem, megbocsát Novák Katalin elnök asszony és Orbán Viktor miniszterelnök úr is, ha azt mondom, pici unokám közelsége nekem sokkal többet jelent, mint az állami kitüntetés! Amikor megérkezem, ő hozzám szalad, térdemnél átölel, nevemen szólít, majd elsiet játszani. Ez pótolhatatlan és csodálatos érzés!

Az a cél, hogy egymással összhangba kerüljenek a személy belső és külső jellegzetességei, és az eredmény egy szép, kellemes, harmonikus látvány legyen.

Életének, munkájának jelentős szegmense az oktatás, az ismereteinek az átadása. Több külföldi és hazai egyetemen is végzett/végez oktatói tevékenységet. Jelenleg hol, melyik képző intézmény munkájában vesz részt?

Jelenleg a Szegedi Tudományegyetemen tartok elméleti képzést hallgatóknak és a rezidenseknek. Külföldre leggyakrabban Kazahsztánba repülök, mert a Karagandai Orvosegyetem tiszteletbeli professzora vagyok. Szeretek ott lenni, mert minél keletebbre utazik az ember, annál nagyobb és több szeretetet kap. Vannak még kurzusaim vendégprofeszszorként három indiai fogorvosi intézményben és az Amerikai Egyesült Államokban is. Ma már nem kell mindenhol személyesen megjelenni, mert az internet segítségével távoktatásban tarthatjuk a tanórákat. Érdekesség, hogy az Amerikai Egyesült Államokban a University of Alabama at Birmingham-nél csaknem minden oktató magánrendelőből jár be, havonta kétszer egy-egy napra. Így az ottani rezidensek képzését szinte csak külsős szakemberek végzik, na-

Az Indiai Fogszabályozó Társasággal közösen szervezi az idén márciusban megtartandó Nemzetközi Fogszabályozó Szimpóziumot. Hallhatnánk a tervekről, az előadókról, illetve a várható résztvevői körről?

Több éve tervezzük a szimpózium megrendezését, de a COVID pandémia miatt többször el kellett halasztanunk. Azokat a konferenciákat szeretem, amelyek viszonylag sok időt adnak az előadóknak arra, hogy gondolataikat kifejthessék. Ezt is ilyennek terveztük, tehát a rövid előadás is húszperces lesz, a hosszú pedig kétórás. Az indiai fél Ázsiából hívott előadókat, jómagam pedig az Amerikai Egyesült Államokból, Európából és Közel-Keletről. Nem sorolom fel a professzorok, előadók neveit, mert vagy már hallhatták, vagy majd hallani fogják a Dental World-ön. Összesen tíz országból érkeznek majd előadók és résztvevők Karanatakába (Dél-India), hazánkat pedig 26-an képviseljük.

Nyolcadik éve irányítja és szervezi a Dental World Orthodontiai Kongresszusait. Kiknek ajánlja elsősorban az idei konferencián való részvételt?

A Dental World konferenciája mindig nagyon jól szervezett, jó hangulatú szakmai összejövetel. Ezenfelül azért is kedvelem – ismétlem magam –, mert hosszabb előadásokat hallhatunk. Egy kis bepillantást ad a szakma jelenére és a

12 e-Journal ORTHODONTIA
A mai fogszabályozásnál nem a fogak pontos illeszkedése a legfontosabb, hanem a harmonikus arc kialakítása. De mi a szép? Azt megmondani nem lehet, azt érezni kell! Az állcsont-ortopédia és fogszabályozó szakorvos feladata a szépség keresése és megvalósítása.

STRAUMANN® BLX IMPLANT SYSTEM

Confidence beyond Immediacy.

System overview

jövőt is bemutatja. Fiatal előadók is pódiumra állnak, hogy a korosztályukat megszólíthassák, az idősebb szakorvosoknak pedig frissítő lendületet adhat a sok hasznos információ megismerése. Ezért ajánlom mindenkinek, fiatalnak és idősebbnek egyaránt, hogy ne hagyják ki a lehetőséget, és vegyenek részt a rendezvényen!

Sokirányú szakmai munkája mellett jut/jutott megfelelő idő a családjára?

Feleségemmel 14 unokának örülhetünk, akik szintén adnak feladatot és maradandó boldogságot. Péntek délutántól vasárnap estig gyakran nem tartózkodom otthon, hanem az unokáimmal vagyok, játszom velük, mesélek nekik, és ott is alszom náluk. Az egyik nap egyik, a másik nap a másik gyermekemnél vagyok „ügyeletben”. Gyerekeimet egy időre mentesítem a szülői terhek alól. Ilyenkor egy kicsit fellélegezhetnek, és a házastársak csak egymásra figyelhetnek. Mi pedig – szeretett feleségemmel – a sok unoka között mindig megfiatalodunk, és hálásak vagyunk értük. Látjuk bennük a jövőt, az élet ígéretét és folytonosságát. Ez boldoggá tesz bennünket, és további önzetlenségre buzdít.

A sport mindig meghatározó szerepet játszott az életében. „A sport kitartásra, nagy munkabírásra és eredményorientáltságra is tanít” – említette egy korábbi beszélgetésünk

során. Hogyan realizálódik/realizálódhat mindez a jelenlegi hétköznapokban?

Németországban éveken keresztül, télen, nyáron kerékpárral jártam a 15 km-re lévő munkahelyemre. Még most is gyakran közlekedem a kétkerekűvel, és idén is készülök a következő ironman versenyre.

A testi épülés mellett engedje meg, hogy beszélgetésünket újból szellemi irányba tereljem. Miután a 2022–2023-as év Petőfi Sándor-emlékév és a 2023-as Madách-emlékév, hadd fejezzem be az ő szavaikkal ezt a beszélgetést:

„Az idő igaz, S eldönti, ami nem az.”

(Petőfi Sándor: Voltak fejedelmek…)

„Legyen hát célod: Istennek dicsőség, Magadnak munka. Az egyén szabad

Érvényre hozni mind, mi benne van.

Csak egy parancs kötvén le: szeretet.”

(Madách Imre: Az ember tragédiája)

Köszönöm ezt a rendkívül sok információt adó tanulságos riportot, ezzel bepillanthattunk az igazán változatos és értékes életútjába. Az Ön javaslatára az idézett nemes és örökérvényű gondolatokkal zárjuk le – mintegy útravalóként – ezt a sok élményt is adó beszélgetésünket.

14 e-Journal ORTHODONTIA
Feleségével és gyermekeik családjaival.
BUILD YOUR DREAM LOUPE Loupes and lights 1135 Budapest, Frangepán utca 66/B Tel.: +36 1 236 4000 E-mail: info@newyorkdental.hu www.orascoptic.newyorkdental.hu NEW YORK DENTAL
2023. OKTÓBER 12-13-14. „Találkozzunk Európa fogászati eseményén Budapesten dentalworld.hu
Dr. Arthur Volker Egyesült Államok Dr. Daniel C. Neves Brazília Dr. Marco Mailonio Olaszország Prof. dr. Mutlu Özcan Svájc Dr. Nuno Pinto Portugália Dr. Joseph Choukroun Franciaország Danielle Rondoni Olaszország
XXIII. Dental World Nemzetközi Fogászati Kiállítás & Konferencia 2023. október 12–13–14. Budapest, Hungexpo Jelentkezzen most: dentalworld.hu
Dr. Francesco Amato Olaszország Dr. Ruth Perez Alfayate Spanyolország Dr. Alain Simonpieri Franciaország Dr. Byron Tsivos Egyesült Királyság
30% Early Bird kedvezmény 2023. július 31-ig 24 kreditpont
Dr. Jordi Manauta Olaszország

Orthodontia Kongresszus

2023. október 12., csütörtök

09.50–10.00 Dr. Borbély Péter: Megnyitó

10.00–12.30 Dr. Daniel C. Neves (Brazília): Digitális fogszabályozási ökoszisztéma –teljes körű megoldás kölcsönösen előnyös eredményekkel

A technológia alapvető információkkal és innovatív ötletekkel alakítja a jövőt. A fogszabályozás területe, a hardver, a szoftver és az ember együttesen, gyorsan változik, valószínűleg gyorsabban, mint történelme során bármikor. Ha úgy gondolja, hogy az ember a legértékesebb érték a vállalkozásában, akkor kommunikálnia, terveznie és következetesnek kell lennie. Az előadás középpontjában a modern digitális munkafolyamatok állnak majd, Clear Alignerekkel és interdiszciplináris megközelítésekkel, valamint a jobb higiéniát, a kezelés következő szintű nyomon követését és a fokozott kiszámíthatóságot célzó intelligens szkennelési technológia alkalmazásával.

12.30–14.00 Ebédszünet

14.00–15.30 Dr. Shadi Samawi (Jordánia): Fogszabályozási diagnózis a mesterséges intelligencia korában: forradalmi előrelépés

15.30–17.00 Dr. Khaled Kasem (Egyesült Királyság): Kiszámítható orthodontiai kezelés aligner használatával

23

Orthodontia Kongresszus

2023. október 13., péntek

09.50–10.00 Dr. Borbély Péter: Megnyitó

10.00–12.30 Dr. Hazem Idriss (Csehország): Komplex orthodonciai esetek tervezése

12.30–14.00 Ebédszünet

14.00–15.30 Dr. Shadi Gerá (Izrael): A fogszabályozás forradalmi fejlődése

Ez az előadás az Invisalign és az Align digitális platform transzformatív hatását vizsgálja a fogszabályozásra. Az Invisalign átlátszó alignereket használ a kényelmes és hatékony fogszabályozáshoz, míg az iTero szkenner fejlett digitális képalkotása fokozza a pontosságot. A résztvevők betekintést nyerhetnek különböző esetekbe, a kezelés tervezésébe és e technológiák zökkenőmentes integrációjába. Az Invisalign és az iTero alkalmazása lehetővé teszi a fogorvosok számára, hogy élvonalbeli fogszabályozási megoldásokat nyújtsanak, javítva a páciensek eredményeit és elégedettségét.

15.30–17.00 Dr. Németh Kinga, dr. Felső Zita: Az aligner technológia nyújtotta lehetőségek, fényterápiával kombinálva

23

Orthodontia Kongresszus

2023. október 14., szombat

09.50–10.00 Dr. Borbély Péter: Megnyitó

10.00–12.00 Dr. Peter Vaughan és dr. Matthew Vaughan (Ausztrália): Rögzített retainer: miként készítsük, hogy működjön is?

12.00–13.30 Ebédszünet

13.30–15.00 Dr. Csiki Péter: A Pitts21 recept: hogyan alakítsuk át pácienseink életét a maximális hatékonysággal?

Manapság a fogszabályozó kezelésbe belevágó páciensek túlnyomó részének esztétikai igényei vannak, más szóval a kezelésük végén gyönyörű mosolyt szeretnének. Dr. Thomas Pitts az egyik úttörője volt az esztétika vezérelt fogszabályozásnak, a Pitts21-es fix készülékkel és egyszerűsített protokolljaival, lágy és folyamatos erőket használva a fogmozgatásokhoz, gyönyörű esztétikai eredményeket érhetünk el kiváló funkcióval, mindezt rövidebb kezelési idővel. Az előadásom során bemutatom a legfontosabb arcesztétikai paramétereket amelyek a fogszabályozó orvos kontrollja alatt állnak, hogyan használjuk a Mosolyvonal Beállító (SAP) bracket pozicionálást és hogy mennyire fontos a bio-esztétikai elemek alkalmazása, úgy mint a fog-kontúrálás, interproximális redukció és a lézeres ínykontúrálás, annak érdekében, hogy a lehető legtökéletesebb esztétikai eredményt érjük el a kezelés során, mindezeket kiegészítve Digitális Mosoly Tervezéssel. Ami a Pitts Biomechanikát illeti a Pitts „Korán Aktív” koncepcióról, a torque választásról, az ívszekvenciákról, a diszartikulációról és az azonnali lágy elasztikus gumihúzásokról (ILSE) is fogunk beszélni. A retenciós fázis mindig nagyon fontos a kezelés után az eredmény megtartásához. Az eset-bemutatásokon keresztül pedig valódi képet kaphatunk a Pitts Protokollok hatékonyságáról.

15.00–16.30 Prof. dr. Dhirawat Jotikasthira (Thaiföld):

Teljes ív disztalizáció: a Class II koncepció változása és a front nyitott harapás fogszabályozó kezelése

23

KAVOSZ SZÉCHÉNYI LÍZING MAX+

• 5 % fix kamatozás

• 2,5 % szerződéskötési díj

• Önerő 30 %

A-dec 500

Prémium kategóriás alsó/felső karos kezelőegység

5 É V GARANCIA

2003 ÓTA FOLYAMATOSAN ELNYERTE A LEGJOBB KEZELŐEGYSÉG FŐDÍJAT

Csak az a gyártó ad 5 év garanciát a termékére, aki biztos a gyártmánya minőségében

DELUXE vezérlés, 8+4 LED páciens lámpa, NSK NLZ LED-es mikromotor www.a-dec.com/virtual-tour www.dent-east.hu

Az A-dec kezelőegységek szervizeléséhez a vételár mindössze átlagosan 1,97%-át teszi ki az évente vásárolt alkatrész. Ebben az A-dec páratlan.

A-dec 230

Felsőkaros kezelőegység, DELUXE vezérlés, 8+4 LED vagy 4 LED páciens lámpa, NSK NLZ LED-es mikromotor

A-dec 200

Kompakt alsókaros kezelőegység

DELUXE vezérlés, 8+4 LED vagy 4 LED páciens lámpa, NSK NLZ LED-es mikromotor

A-dec/NSK elektromos, nyomaték szabályozott LED-es, ENDO funkciós mikromotor, rpm 100-40000
ÚJ MEGKÖZELÍTÉS! Dr. Faluhelyi Péter egynapos ergonomiai tréningje – ajándék a gép mellé
Keressen bennünket! Telefon: 06 20 943 8109 • 06 20 929 0701 • 06 20 922 8508 E-mail: mail@dent-east.com
„Amit ma megvehetsz, ne halaszd holnapra”
Ügyintézést biztosítunk

Élményhelyszínek a Dental World kiállításon

Élő műtétek

2023-ban is a Dental World egyik kiemelkedő rendezvénye lesz az Implantológia Show az „Élő műtétek” bemutatásával. Jövőre is az üvegfalú „látványműtőben” felkért orvosok végzik majd egy-egy páciens nyilvános kezelését. A rutinszerűen alkalmazott műtéti technikák mellett új eljárásokat is bemutatnak az implantológia repertoárjából.

Fogorvos/Fogtechnikus tanulóverseny

Az orvosi verseny résztvevői az ország négy, fogorvosi képzést nyújtó egyeteméről érkeznek, ahol belső versenyeken választják ki azt az egyetemenként 3-3 indulót, akik a Dental World-ön mérik össze tudásukat. Minden versenyző ötöd éves egyetemi hallgató, és nyereményük többek közt egy út Leuven-be, a GC központjába. A fogtechnikus tanulók részére 2023-ban már 12. alkalommal megrendezésre kerülő Győztesek Versenyére a Protetika Verseny győztese, az Országos Mintázó Verseny legjobbjai és az Ipartestület által rendezett Kerámiás Verseny helyezettjei kapnak személyes meghívást. A 12 magyar tanuló számára az idei évben is nagy kihívás a szakma egésze előtt, a Dental World szakkiállításon bemutatni képességeiket, szakmai elhivatottságukat.

2023-ban ismét a kiállító tér sugárútján kap helyet a Live Demo.

4 különböző programot szervezünk az alábbi témakörökben:

• Endodontia&Esztétika

• MicroWorld&Lézer

• Fogtechnika

• Oralszkenner

AlphaBio Buborék bár

Flexi kávézó

Dental Lounge

Várjuk szeretettel 2023-ban is!
Live Demo

Dental World Kongresszusok

3 napos konferenciák:

Digitális Fogászati Kongresszus: 35 000 Ft (teljes ár: 50 000 Ft)

Prevenciós, Földvári Imre Kongresszus: 18 000 Ft (teljes ár: 28 000 Ft)

Praxismenedzsment Kongresszus: 18 000 Ft (teljes ár: 28 000 Ft)

Vegye

Early Bird 30% kedvezménnyel!*

*A kedvezmény 2023. július 31-ig érvényes

Platina szponzor:

meg most kongresszusi jegyét a dentalworld.hu oldalon
ESZTÉTIKA • ENDODONTIA • ORTHODONTIA • IMPLANTOLÓGIA KONGRESSZUSI JEGYÁRAK 1 VÁLASZTOTT KONGRESSZUS: esztétika / implantológia / endodontia / orthodontia ALL ACCESS mind a 4 témakörű kongresszusra belépést biztosít KEDVEZMÉNYES ÁRAK HATÁRIDEJE EARLY BIRD 2023. 07. 31-ig 70 000 Ft 105 000 Ft LATE BIRD 2023. 08. 31-ig 80 000 Ft 120 000 Ft LAST MINUTE 2023. 09. 30-ig 90 000 Ft 135 000 Ft TELJES ÁR 2023. 10. 01-től 100 000 Ft 150 000 Ft

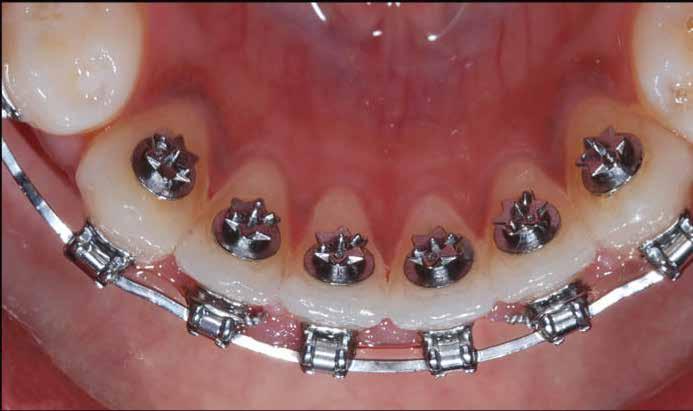
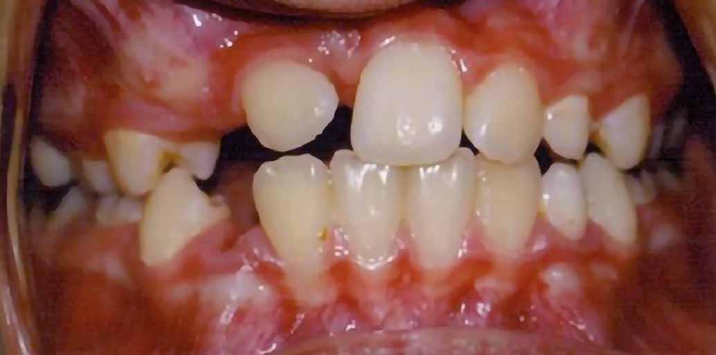
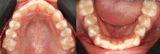
GYERMEKKORI CLASS 2-ES ELTÉRÉS KÉTFÁZISÚ KEZELÉSE

Ideális esetben az első fogszabályozási konzultációnak 7-8 éves korig meg kellene történnie. A fogszabályozó szakorvos ezután – amennyiben még nem szükséges a beavatkozás – követi a fogváltást és az állcsontok növekedését egészen addig, ameddig a maradó fogak szájba kerülnek. Ezután fix, vagy ma már egyre több esetben láthatatlan aligner készülékkel történik egy fázisban a fogszabályozó kezeléssel a funkcionális és esztétikai rehabilitáció.

Ha már láthatóan olyan skelettális vagy dentális eltérés van kialakulóban, szükséges a vegyes fogazatban elkezdeni az ún. első fázisú fogszabályozó kezelést. Ez általában sagittális és transzverzális korrekciót jelent. Tipikusan hagyományos kivehető készülékekkel történik a kezelés, de ebben a szegmensben is egyre erőteljesebb a láthatatlan aligner készülékes kezelések száma.

A hagyományos kivehető készülékeknél, ha csak tágítás szükséges, akkor az egy fogívre kiterjedő aktív lemezekkel történik a beavatkozás, amennyiben sagittális korrekció is szükséges, akkor mindkét fogívre kiterjedő ún. funkciós bimaxillaris készüléket használunk.

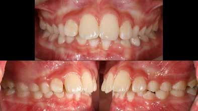
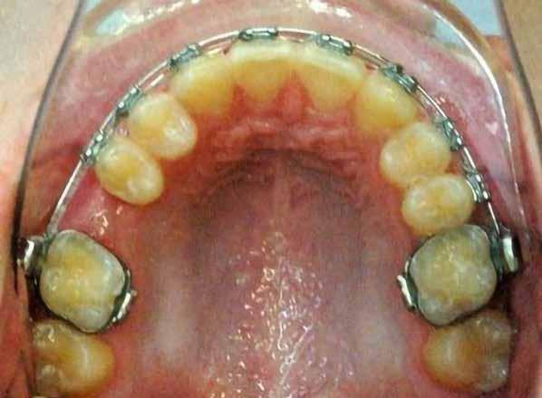
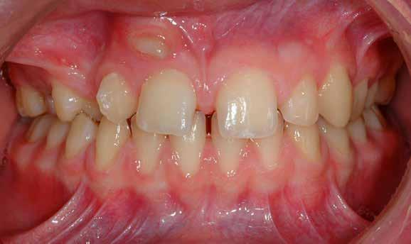
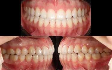
Lány páciensem I. fázisú kezelését 10 évesen kezdtük el bimaxilláris funkciós, kivehető készülékkel. Megfigyelhetőek a class 2-es eltérésnél tipikusan jellemző szűk felső és alsó fo-

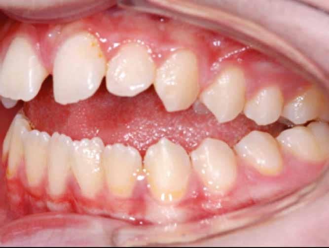
gívek, valamint a nagy overjet, a mandibula disztál helyzete, továbbá a felső metszőfogak protrúziója, amelynek kialakulásához sokszor hozzájárul az ujjszopás is (1-3. képek)

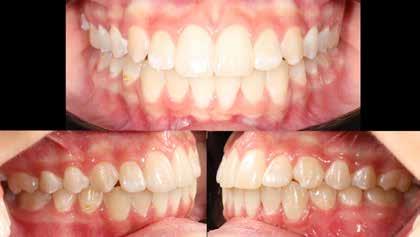
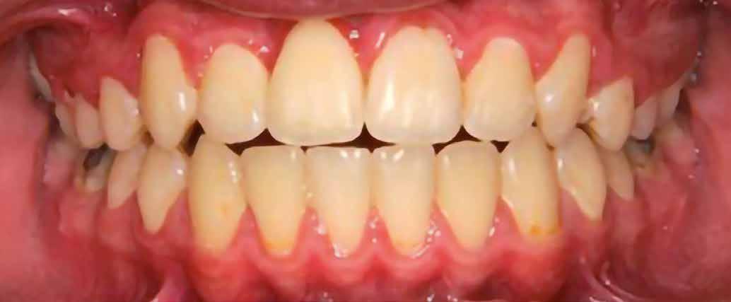
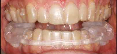
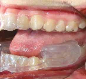
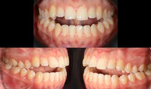
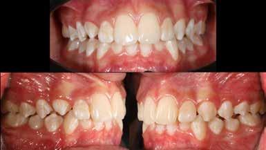
A vegyes fogazati kezelési célok a fogívek tágítása és a mandibula meziális irányú növekedésének a biztosítása volt. Fontos, hogy az ilyen típusú készülékeket nem csak éjszaka, hanem napközben is – amennyit csak lehet – hordani kell a minél hatékonyabb működés érdekében. A 18 hónapos első fázisú kezelésnek köszönhetően az alap kezelési célok megvalósultak, sikerült a class 1-es okklúziót beállítani (4-7. képek).

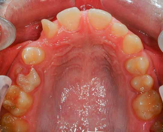
Abban az esetben, amikor az első fázisú kezelési célok elérése megtörtént, de még nem törtek elő a maradó fogak az első moláristól az első molárisig – mintegy passzívan, csak éjszakánként hordva –, tovább folytatjuk a funkcionális kivehető készülék viselését.

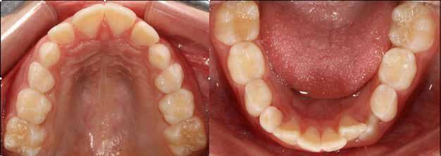
Esetünkben 18 hónap után a maradó fogazat előtörése megtörtént, így rögtön folytathattuk a fogszabályozást.

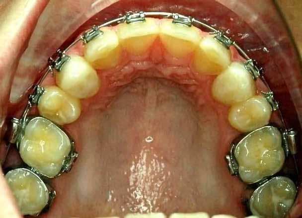
A második fázisú kezelés Pitts-21-es fix fogszabályozó készülék alkalmazásával történt meg. A Pitts elveknek megfelelően a kezelési célok a felső középső metszőfogak megfelelő pozicionálása, a 12 fogas (6-ostól – 6-osig) mosoly, az ideális íves lefutású mosolyvonal kialakítása, továbbá az okklúzió finomítása voltak. Mint mindig, a felső fogíven mosolyvonal beállító esztétikai pozicionálást (Smile Arc Protection - SAP) alkalmaztunk, a mes-

24 e-Journal ORTHODONTIA
1 3 4 5 2

A világ technológiailag legfejlettebb Clear Aligner fogszabályozó készüléke.

A testreszabott Invisalign® kezelések alapja a több évtizedes kutatás és intelligencia, amit közel 7 millió kezelt beteg eredményezett.*

Használja ki tapasztalataink erejét. További információ a provider.invisalign.com weboldalon.

*A 2009 júniusi adatok az Align Technology társaságnál érhetők el.

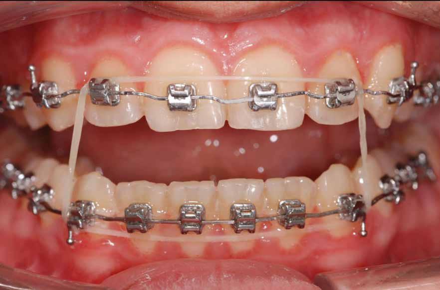
terséges harapásemelés pedig az alsó hatosokra, majd később a felső négyesekre került (8. kép). Az intermaxilláris elasztikus gumihúzás class-2-ess vektorú volt annak érdekében, hogy a disztálharapás korrekciója tökéletes legyen (9. kép). A harapást beállító elasztikus gumihúzásokat – mint minden kezelésnél –, ebben az esetben is folyamatosan, az egész kezelés alatt 24 órában (étkezések kivételével) viselte páciensünk.

A második Pitts-21 fix készülékes fázis ideje 16 hónap volt (10-12. képek)

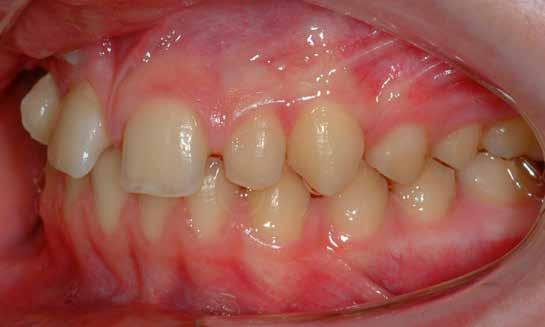
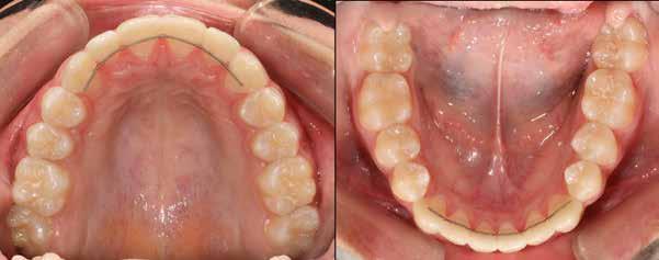
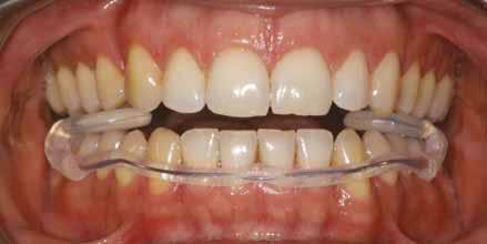
A fogszabályozás aktív fázisa után minden kezelésnél a retenció, a passzív helyben tartó fázis a kezelési eredmény megtartására rendkívül fontos!

Az Essix retainerek, az egy fogívre kiterjedő mélyhúzott sínek, valamint a felső és alsó frontfogakra orálisan ragasztott fix retainerek mellett, a harapás sagittális rögzítésében elengedhetetlen szerepe van az ún. Pitts Izom Tréning Splint-nek, amelybe a páciens élharapásban összeharap, így az megakadályozza az alsó fogsor visszamozdulását a disztálharapásos helyzetbe (13. kép)

26 e-Journal ORTHODONTIA
Pitts Protocol Issue 1-11 Pitts Protocol Clinical Article Issue Journal of Clinical Orthodontics Volume 51 Number 03: Bracket Positioning for Smile Arc Protection Szakirodalom 6 7 8 9 10 11 12 13
Fogpótlás.tan update KÖNYVAJÁNLÓ 6 fejezet 49 szakmai cikk 388 oldal 1980 színes kép Megrendelhető a www.dental.hu weboldalon vagy az info@dental.hu e-mail címen A könyv ára: 12 500 Ft DP Hungary Kft. 1012 Budapest, Kuny Domokos u. 9., tel.: 06-30-472-0030
Róth Lajos

EGY DILACERÁLT GYÖKÉRREL RENDELKEZŐ IMPAKTÁLÓDOTT FELSŐ

NAGYMETSZŐFOG

LÉZERES TERÁPIÁVAL

KIEGÉSZÍTETT ORTHODONCIAI KEZELÉSE

Bevezetés

Már a vegyes fogazattal rendelkező páciensek körében is gyakran találkozhatunk impaktálódott fogakkal. Ebben a korban legtöbbször a felső metszőfogak impakcióját figyelhetjük meg. A frontfogak előtörése során előforduló diszkrepanciák a későbbiekben súlyos esztétikai problémák kialakulásához vezethetnek. Ennek a cikknek az a célja, hogy bemutassa egy impaktálódott felső középső metszőfog lézerrel asszisztált sebészi feltárását, továbbá az azt követő sikeres orthodonciai mozgatását. A cikknek ugyancsak célja, hogy felhívja a figyelmet az impaktálódott felső középső metszőfogak ellátásának fontosságára, valamint, hogy rámutasson a lézeres sebészi feltárásra, valamint a fogmozgatás gyorsaságára gyakorolt pozitív hatásaira.

Esetbemutatás

A 10 éves férfi páciens a felső frontfogai késői/nem megvalósuló előtörése miatt kereste fel a rendelőnket. A klinikai és a radiológiai vizsgálat során a jobb felső nagymetszőfog impakcióját észleltük (1. ábra). A fog horizontális tengelyállással és dilacerált gyökérrel rendelkezett. A felső dentális középvonal a fogak vándorlása miatt jelentős mértékben elcsúszott. A bal felső kismetszőfog is rendkívül kedvezőtlen pozícióba került.

A kezelés

A kezelés első lépéseként az összes maradó fogra breketteket rögzítettünk. A felső fogív nivellálása, a ferde tengelyállá-

28 e-Journal ORTHODONTIA
Dr. Kazem Dalaie, dr. Samin Ghaffari, dr. Mazir Mir (Irán, Németország) 1. a ábra: Az intraorális felvételen jól látható a jobb felső nagymetszőfog lehetséges impakciójára utaló foghiány.
29 VI. ÉVFOLYAM – 2023. 9. SZÁM
1. b ábra: A panoráma röntgenfelvételen megfigyelhető a teljes impakcióban lévő jobb felső nagymetszőfog. 1. c ábra: A CBCT felvétel is igazolja a jobb felső nagymetszőfog impakcióját.

sok korrigálása, valamint az impaktálódott fog előtöréséhez szükséges hely megteremtését követően, egy merev acél ív segítségével stabilizáltuk a fogakat. Ezt követően elvégeztük a jobb felső nagymetszőfog sebészi feltárását. A fog koronáját csupán lágyrész borította, ezért nem volt szükség a csontállomány elvételére. A felszabadítás során egy 975

nm-es hullámhosszon pulzáló üzemmódban alkalmazott lézert használtunk (LaserHF standard, Hager & Werken). A teljesítménye 3 W, az aktív ciklus-idő 50%-os, a vezetőszál átmérője pedig 0,4 mm volt (2. ábra). A lézert 150 másodpercen keresztül alkalmaztuk. A fogat borító lágyrészek eltávolítását követően egy láncos brekettet rögzítettünk a metszőfog bukkális felszínére. A műtétet követően nem tapasztaltunk vérzést, nem alakult ki oedema, valamint a páciens sem számolt be fájdalom vagy bármely egyéb kellemetlenség fennállásáról. A felszabadítást követően a páciens minden hónapban háromszor jelent meg a felszabadított területre ránövő lágyrészek és az íny lézeres eltávolítása céljából. A beavatkozások során ugyanazt a lézer készüléket használtuk, mint amivel a felszabadítást végeztük. Közvetlenül a felszabadítást követően megkezdtük a fog finom extrudálását a láncos breketthez kötött füzérgumi segítségével.

30 e-Journal ORTHODONTIA
2. ábra: Az impaktált fog lézerrel asszisztált sebészi feltárása. 3. ábra: A kezelés megkezdését követő 15. hónapban megfigyelhető a sikeres felszabadítást, fogmozgatást és pozicionálást követően látható állapot.

A 975 nm-es hullámhosszt elsősorban sebészi beavatkozások végzése során alkalmazzák. Az ezzel a hullámhosszúsággal rendelkező lézersugarak csak kis mélységben képesek a lágyrészeket penetrálni, valamint hagyományosan nem ezeket szokták biostimuláció során használni. Ugyanakkor minden sebészi célra alkalmazott lézer körül megfigyelhetünk egy csökkenő intenzitással (azaz fényerővel) rendelkező gyűrűt, amely perifériáján biostimulációs hatások is létrejöhetnek. Az alacsony energiájú lézeres terápia (low-level laser therapy; LLLT) során a lézeres fejet a lágyszövetektől nagyobb

távolságban vezetve, az alábbi paraméterek mellett alkalmaztuk: pulzus üzemmód, 100 mW teljesítmény, 660 nm-es hullámhossz. A lézeres fejen lévő nyílás nagysága 0,125 mm2 volt (0,4 mm átmérő). A biostimuláció során egy megközelítőleg 7 cm2-es területet világítottunk meg a kérdéses fog vesztibuláris és palatinális oldalának megfelelően. A megvilágítás időtartama minden találkozó során 150 másodperc volt. A leadott energia 15 J, az energiasűrűség pedig 17J/ cm2 körül mozgott. A lézeres terápiát a kívánt fogpozíció eléréséig minden hónapban megismételtük. Ez a folyamat

32 e-Journal ORTHODONTIA
4. a ábra: A CBCT felvétel igazolja, hogy a jobb felső nagymetszőfog megfelelő pozícióba került. Az ínyszél lefutása kedvező, a fog gyökere körül elfogadható mennyiségű csontállomány ábrázolódik, valamint a gyökérfelszívódás mértéke sem túl kifejezett.
Straumann® Cares® Digitális Megoldások – Intraorál szkenner Straumann® Virtuo VivoTM Mert minden részlet számít. Straumann® Care S® Digitáli S m egol DáS ok SzkenneléS valóS Színekben. Ultrakönnyű éS rendkívül kiSméretű fej. Tel.: +36 30 484 0335 E-mail: info@dentupgrade.hu Web: https://dentupgrade.hu/

6 hónapon keresztül tartott. Ennek megfelelően a fog körül található szövetek a felszabadítás, valamint a havi kontrollok során 975 nm-es (több mint 25 J/cm2 energiasűrűség) és 660 nm-es hullámhosszúságú (12–18 J/cm2 energiasűrűség) lézersugarakkal is megvilágításra kerültek. Az impaktálódott fogat megközelítőleg 7 hónap alatt tudtuk megfelelő pozícióba mozgatni (3. ábra). Az orthodoncia kezelés aktív szakasza 18 hónapon keresztül tartott. A fogívek végső nivellálását és a fogak végleges pozícióba rendezését 0.018 × 0.025-ös acélívekkel végeztük.

A kezelés befejezésekor a páciens mosolya drámai mértékben javult, továbbá a frontfogak elhelyezkedése és az ínyszél lefutása is szemmel látható módon kedvezőbbé vált (4. ábra). A kezelés végén készült CBCT felvétel nem mutatta

csontfelszívódás jelenlétét, és csupán minimális mértékű gyökérfelszívódás bekövetkezését igazolta.

Összefoglalás

A lágyrészekkel fedett fogak sebészi felszabadítása során alkalmazott lézerek, továbbá a fogmozgatás gyorsítására alkalmazott alacsony energiájú lézeres terápia kombinálása kedvező hatással lehet az impaktált fogak kezelése céljából alkalmazott terápia kimenetelére. Ez különös mértékben igaz lehet a dilacerált gyökerekkel rendelkező fogak esetében. Ez a megközelítés jelentősen javíthat az eset várható prognózisán. A kiegészítő kezelés révén a parodontális szö-

34 e-Journal ORTHODONTIA
4. b ábra: A panoráma röntgenfelvétel is alátámasztja a CBCT felvételen látottakat. 4. c ábra: Az intraorális felvételen megfelelő fogpozíciók és kedvező ínyszéli lefutás ábrázolódik.

A lézerrel asszisztált felszabadítás előtt készített felvétel.

A végső állapotról készült periapikális felvétel.

készült felvétel.

vetek egészsége, az okkluzális viszonyok minősége, valamint az esztétikai megjelenés is kedvezőbb lehet. Ez a hatás még látványosabb lehet fiatal páciensek esetében.

( A cikk megírása során felhasznált szakirodalmi hivatkozások teljes jegyzéke elérhető szerkesztőségünkben.)

Forrás: Ortho 2021;2 6-11

Pólók humoros felirattal 5000 Ft/db

FEHÉR NŐI PÓLÓ

Méretek: XS, S, M

FÉRFI KÉK-FEHÉR

HOSSZÚ UJJÚ PÓLÓ

Méretek: L, XL

DP Hungary Kft.

1012 Bp., Kuny Domokos u. 9.

Tel.: +36 30/472 0030

www.dental.hu, info@dental.hu

PIROS UNISZEX PÓLÓ

Méretek: XS, S, M, L, XL

KÉK NŐI PÓLÓ

Méretek: S, M

35 VI. ÉVFOLYAM – 2023. 9. SZÁM
5. a ábra: 5. b ábra: A végső állapotról 5. c ábra:

Dr. Ivana Dubovská, dr. Barbora Vágnerová, dr. Wanda Urbanová (Csehország), Dr. Veiszenbacher Éva, dr. Borbély Zoltán, dr. Borbély Péter (Dr. Borbély Fogszabályozási Stúdió, Budapest)

SZEMFOG ÉS KISŐRLŐ FORMÁZÁSA KISMETSZŐ APLÁZIA RÉSZÁRÁSSAL

TÖRTÉNŐ KEZELÉSE SORÁN

Szakirodalmi áttekintés

Absztrakt

A hiányzó oldalsó kismetszők részárással történő kezelése során a szemfogak és oldalsó fogak meziális mozgatása közben a fogszabályozó orvosnak csiszolással kell a fogak formáját igazítani. Már a kezelés elejétől a szemfog elcsiszolása nem csak az incizális részre kell hogy kiterjedjen, hanem az approximális, palatinális és a vesztibuláris felszín éli negyedére is. Így érhetünk el egy rövidebb klinikai koronát, a vesztibulo-orális méret csökkenését, egy incizális élet, valamint a szemfog megfelelő pozicionálását a kismetsző helyén. A túl széles szemfog megakadályozza a megfelelő interkuszpidáció kialakítását az oldalzónában. A palatinális felszín elcsiszolásával biztosítjuk az interferenciák nélküli metszővezetést, és a megfelelő overjetet a frontfogak enyhe érintkezésével. Ha a szemfogra a későbbiekben esztétikai pótlás készül, a megfelelő approximális elcsiszolás (az esztétikai fogorvossal történő egyeztetés után) biztosítja a zenith kívánatos pozícióját a későbbi felépítéshez. A mezializált kisőrlő palatinális csücskének elcsiszolására csak akkor van szükség, ha ez akadályozza a megfelelő fogérintkezést. Az első kisőrlő mindkét csücske fontos a már a szemfog helyén álló fog esztétikai és funkcionális beállításához.

Jelen beszámoló célja a fellelhető szakmai irodalom áttekintése, továbbá az eljárás klinikai lépéseinek bemutatása.

Kulcsszavak: szemfog mezializáció, szemfogformázás, szemfog elcsiszolás, első kisőrlőformázás, első kisőrlő elcsiszolás, hiányzó oldalsó kismetsző (aplázia)

Bevezetés

A szemfog oldalsó kismetsző helyére történő bemozgatása során a fog átalakítása javasolt a két fog eltérő morfológiai adottságai miatt (1. a-b. ábra). A fog kontúrozása, vagy úgynevezett formázása magába foglalja az approximális felszínek elcsiszolását, valamint a többi fogfelszín igazítását a kívánt fogformának megfelelően [1].

A kismetsző és szemfog klinikai koronái közötti eltérések a következőek: mezio-disztálisan keskenyebb oldalsó metsző, csücsök hiánya, egyenes éli lefutás, és a vesztibuláris felszín domborulata is kevésbé kifejezett [2,3]. A szemfoggal összehasonlítva, az oldalsó metsző rendszerint rövidebb és keskenyebb mind mezio-disztálisan, mind vesztibulo-orálisan. Az átformázott szemfog és az oldalsó metsző anatómiai alakja közötti egyezés függ az elülső zóna mint egység formájától is. Kataoke és Nishimura három alapformát határozott meg az elülső fogak tekintetében: négyszögletes, óvóid és háromszög formájú [4]. A frontfogak vesztibuláris felszínét a három kúp egységeként írják le (kúpos fejlődési mamelonok): meziális, disztális és centrális. A szemfogak esetén a három közül a központi a legdominánsabb, de nem ugyanez a helyzet az oldalsó metsző esetében. Háromszög alakú fogkorona esetén a meziális és disztális érvényesül jobban, négyszögletes formánál mindhárom egyenlő arányban domborodik, míg óvóid forma esetén a középső kerül túlsúlyba. Ennek megfelelően a szemfog csücskét el kell csiszolni, és kompozit felépítéssel az elülső anatómiai formához illő oldalsó metsző alakzatot kialakítani a szélső élek megfelelő hangsúlyozásával [5]. Amennyiben az elülső fogak formája háromszögletes, akkor kifejezett meziális és disztális felépítésekre lesz szükség. Négyszögletes forma esetén a szemfog meglévő centrális kúposságát kiegyensúlyozva építik fel a fogat. Az elülső fogak ovoid alakzata esetén a meziális és disztális kúposságot alig vagy egyáltalán nem hangsúlyozzák

36 e-Journal ORTHODONTIA
1. a–b ábra

(amennyiben a szemfog formája csiszolás után megegyezik az oldalsó metszőfog kívánt alakjával). A szemfogaktól eltérően az oldalsó metszők palatinális felszíne konkáv mind mezio-disztális, mind apikokoronális irányban [6].

Figyelembe véve, hogy apláziás oldalsó metszők esetén általánosan megfigyelhető a fogak méretének csökkenése [7,8,9], egyes pácienseknek a szemfoga is kisebb lehet. Ezekben az esetekben nem mindig van szükség a fogak elcsiszolására, a szemfogakat ilyenkor felépítésekkel formázzuk, amit gyakran a középső metszők és kisőrlők felépítése egészít ki.

Eszköztár

Az eszközöket két fő csoportra oszthatjuk: kézi- és forgóeszközök.

Kézieszközök - csiszoló csíkok

A csiszoló csíkok lehetnek tömörek vagy perforáltak, illetve egyvagy kétoldalúak. Különböző durvaságú gyémántszemcsékkel vannak bevonva (kék – közepes szemcséjű 45 µm, piros – finom szemcséjű 30 µm, sárga – extra finom szemcsézettségű 15 µm). Ezek nem alkalmasak nagyobb mértékű elcsiszoláshoz vagy formázáshoz. Használatuk az approximális élek lekerekítésére és forgóeszközökkel hozzá nem férhető területek csiszolására korlátozott. Az oldalsó fogak formázásához való alkalmazásuk nem eléggé hatékony, időigényes, továbbá a zománcban érdes, mélyen barázdált és egyenetlen széleket hagynak hátra [11,1].

Forgóeszközök

A forgóeszközök közé tartoznak a keményfém-fúrók, gyémántcsiszolók és gyémántkorongok. A keményfém-csiszolók funkcionális hegye finom szemcséjű karbidból készül wolfrám, kobalt vagy acél alapon [1]. Eltérhetnek az élek számának függvényében (6, 10, 12, 32), illetve a tekercselésnek megfelelően (zöld – durva, kék – közepes, piros – finom, sárga – extra finom).

A gyémántcsiszolókat gyémántszemcsékkel vonják be, és ezeket a szemcseméret alapján lehet felosztani (fekete – extra durva –151-213 µm, zöld – durva – 107-181 µm, kék – közepes – 64-126 µm, piros – finom 27-76 µm, sárga – nagyon finom – 10-36 µm, fehér – extra finom szemcsézettségű 4-14 µm). A passzív hegyű gyémántcsiszolók csökkentik az approximális élek kialakításának kockázatát [12], és megakadályozzák a lágyrészek sérülését. Ezek az elemek nem rugalmasak, ezért a lecsiszolt fogfelszínek széleinek lekerekítése jó manualitást igényel [13].

A gyémántkorongok tömörek vagy perforáltak, és a felületüket gyémántszemcsékkel vonják be (fekete – nagyon durva - 180 µm, zöld – durva – 120 µm, kék – közepes – 100 µm, piros – finom „ – 30 µm, sárga – extra finom – 8 µm; perforált – 30 µm). Gyémántkorongokat Tuverson [14] és Zachrisson [15,16] alkalmaztak a fogak átalakításához, melyet Sof-Lex korongokkal történő polírozás követ. Előnyük, hogy gyors redukciót biztosítanak, hátrányuk a megfelelő anatómiai forma kialakításához szükséges lekerekített élek elérésének nehézségében rejlik, ez a merev korongok és a lágyrészek sérülésének nagyobb rizikója miatt áll fenn.

Az oszcilláló mozgást végző speciális 60°-os gyémántkorongok, amelyek könyökdarabban rögzülnek, egy 30°-os tengelyben

szintén alkalmazhatók. Két típusú szemcsézettségük van: közepes és finom [1]. Előnyük a ritka lágyrész-sérülés, hátrányuk a hosszabb folyamat, továbbá szorosabb kontaktpontok esetén a vibrációk érzékelése a páciens által [12].

Az elcsiszolt felületek polírozásához az alábbiak alkalmazhatóak: keményfém-csiszolók közül piros (8-12), sárga (16-20), és fehér (30) jelzésűek, sárga és fehér gyémántfúrók és Sof-Lex korongok. A Sof-Lex korongok uretánnal bevont papír polírozó korongok 9, 13 és 16 mm átmérővel. A Sof-Lex XT és a korong egyharmada poliészterből készül. Felületüket különböző méretű alumínium-oxid kristályszemcsék borítják (sötét narancssárga – durva –40-100 µm szemcsék, narancssárga – közepes – 9-40 µm, világos narancssárga – finom 3-9 µm, sárga – extra finom 1-3 µm) [17].

Az elcsiszolás és formázás klinikai kivitelezésének

lépései

1. Tervezés

Már a kezelési tervezés fázisában meg kell határozni a zománc elcsiszolásának pontos mértékét az egyes fogak esetében [18]. Szemfog oldalsó metszővé való átalakítása során az aranymetszés szabályait vesszük alapul [19-22], vagy készíthetünk egy wax-upot. A beavatkozást megelőzően meg kell határozzuk a kívánt korona magasságát, azaz, hogy mennyit kell elcsiszolni a szemfog csücskéből, és milyen kiterjedésű felépítményre lesz szükség az incizális él kialakításához. Az optimális mezio-disztális szélesség kialakításával egyrészt elegendő helyet biztosítunk a kisőrlő megfelelő pozicionálásához a szemfog helyén az okklúziós kulcsnak megfelelően, valamint a szükséges felépítésekhez.

2. Interproximális területek hozzáférhetősége Az approximális felszínek elcsiszolása előtt fontos kialakítani a megfelelő kontaktpontokat, ehhez pedig ki kell nivellálni a fogívet, és meg kell oldani a rotációkat [23]. Ugyanakkor fontos a zenith ideális magassága és megfelelő angulációja. Az esztétikus fogorvos a fogkorona anatómiája és a zenith pozíciója alapján határozza meg a meziális és disztális felszínek elcsiszolásának mértékét. Mivel a középső metsző és a szemfog közötti kontaktpont nem ideális, ezért a szemfog tengelyét úgy kell beállítani, hogy az elcsiszolásokat követően a lehető legjobb érintkezést hozzuk létre a két fog között.

3. Lágyrészek védelme

Gyémántkorongok használatakor, a lágyrész sérülések megakadályozásához a négykezes technika vagy egyéb védőelem használata javasolt [16]. Kezdetben a papilla védelmére réz szeparáló drót vagy faék használatát javasolták [24]. Azonban ezt mára már elvetették, mivel megnyitják a kontaktpont területét, illetve a kis mértékű papillasérülések nem okoznak fájdalmat a pácienseknek [18]. Napjainkban az inaktív heggyel rendelkező gyémántcsiszolók használata javasolt [12].

4. Fogközi elcsiszolás és formázás Kismértékű elcsiszolással javasolt kezdeni, majd fokozatosan folytatni [25]. Az elcsiszolás mértékét egy speciális mérővel (approximális felszíneknél) vagy tolómérővel ajánlott ellenőrizni.

37 VI. ÉVFOLYAM – 2023. 9. SZÁM

Hasonló az eljárás az interdentális felszínek formázása esetén is. Piros gyémántfúrók [24], gyémántbevonatú [14] és oszcilláló mozgást végző korongok [26] javasoltak.

5. Kidolgozás és polírozás

A kidolgozás és polírozás eredményeképpen egy megfelelő morfológiájú, textúrájú és a lehető legsimább fogfelszínt alakítunk ki. Az approximális élek lekerekítettek, és a megmunkálást sárga gyémántfúrókkal fejezzük be [15]. Finom gyémántszemcsézettségű vagy oszcilláló mozgást végző korongok, illetve polírozásra alkalmas keményfém-fúrók alkalmazhatóak a polírozáshoz. A végső finomításokhoz minden szerző Sof-Lex korongokat javasol [27, 18, 28-30].

6. Helyi fluoridálás

Egyes szerzők javasolják topikus fluoridkészítmények alkalmazását a csiszolást követően [31,32]. Zachrisson szerint [15, 33] fluoridtartalmú fogkrém és szájöblítő használata esetén nincs szükség további fluoridzselé alkalmazására. Még egy kis mennyiségű folyadékban található fluorid is (0,03-0,08 ppm), amely kontaktusba kerül a zománccal remineralizációt eredményez, ez elnyomja a demineralizációt. [34].

Formázás –gyakorlati kivitelezés

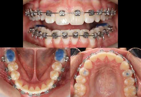
A tanulmányunkban bemutatott javaslatokat Zachrisson, Rose és Mirabella előadásaira [35, 36,37] és a fellelhető irodalomra [14,38,39,41] alapoztuk. A megfelelő vízhűtés alkalmazása rendkívül fontos része az eljárásnak. A szövegben megjelenő eszközök a Rodentica, Komet és 3M termékei.

Szemfog becsiszolás

A szemfog elcsiszolásához piros gyémántfúró javasolt, finom szemcsézettséggel, 27-76 µm (okkluzálisan lekerekített – Rodentica, speciális hegyű 806314466514031, Komet 8833), gyorsítóval (max 160 000 fordulat/perc) megfelelő hűtés mellett, legalább 50 ml/perc. Ezt követi a felület kidolgozása és polírozása sárga gyémántcsiszolóval, extra finom szemcsézettséggel, 10-36 µm (Rodentica 806314466504031) és narancssárga Sof-Lex korongokkal (finom alumínium-oxid szemcsék 3-40 µm, extra finom, narancssárga-sárga, alumínium-oxid kristályok mérete 1,7 µm) könyökdarabban (25000 fordulat/perc) megfelelő hűtés mellett min. 50 ml/perc (2. a-d. ábra).

A szemfog megfelelő inklinációjának eléréséhez az oldalsó metsző helyén a palatinális felszínt is el kell csiszolni. Ennek a felületnek nem szabad interferenciát okoznia a harapásban, és lehetővé kell tennie a megfelelő metszőfog-vezetést [14]. A formázás előtt meg kell vizsgálni a szemfog vesztibulo-orális pozícióját. Lapos vesztibuláris felszínnel rendelkező szemfog esetén szükség lehet egy elsőrendű hajlításra a középső metsző és szemfog között (főleg, ha a szemfogon egy oldalsó metsző bracket van, melyben a beépített in-out érték magasabb) annak érdekében, hogy elérjük a megfelelő vesztibulo-orális pozíciót a fognyak szintjén, és elkerüljük a palatinális elcsiszolást (3. a-b ábra), [39].

Abban az esetben, ha a szemfognak kifejezettebb a központi lóbusa, a palatinális felszínről is el kell csiszolni, nem csak a vesztibuláris felszínről [40, 41]. A vesztibuláris felszín kifejezett elcsiszolása esetén ez már a dentint is érintheti, ami megnehezíti az esztétikai helyreállítást (a sárga dentin átüthet és a ragasztás is nehezebb ehhez a felülethez). Ezért a vesztibulárisan domború szemfogakat javasolt palatinálisabban pozicionálni, ami – együtt

38 e-Journal ORTHODONTIA
2. a–d ábrák

a nagyobb mértékű palatinális elcsiszolással – lehetővé teszi a felépítmény kiterjesztését a vesztibuláris felszínen és a központi lóbus álcázását [39].

A zománc elcsiszolásának mértékét az orális és incizális felszínen a harapás határozza meg, ennek vizsgálatához tükröt és artikulációs papírt használunk [36]. Ideálisan, teljes interkuszpidációban a frontális kontakt olyan enyhe, hogy az artikulációs papír kicsúszik, míg propulzióban, metsző fogvezetésnél a jelölésnek a palatinális felszín incizális harmadában kell lennie mind a középső metszőn, mind a szemfogon. A gyémánteszközök legalkalmasabb formája a palatinális elcsiszoláshoz a lándzsa és rögbi alakú (Komet 0640, piros finom lándzsa Rodentica 806314257514020 (max. 300 000 fordulat/perc), rögbi Rodentica 800314278514020 finom piros (27-76 µm) gyorsítóban. Ezt követően könyökdarabba fogott Sof-Lex korongokkal szükséges polírozni (4. a-b. ábra).

Szemfog mezializációt követően történik az approximális felszínek igazítása. Elérjük a megfelelő mezio-disztális szélességet, és a kontaktpont incizális irányba helyeződik át. Ebben a fázisban mindig szükséges egyeztetni az esztétikai pótlást készítő fogorvossal a szükséges szemfogformáról és a későbbi felépítmény pontos helyzetéről. Az esztétikai fogorvosnak kell eldöntenie a meziális és disztális felszínek elcsiszolásának mértékét is.

Az ideális mezio-disztális fogméretet arányok alapján határozzuk meg. Az oldalsó felszínek elcsiszolására alkalmazott

eszközöknek egyeneseknek kell lenniük (az elején), melyek alkalmasak a szemfog domborulatainak elcsiszolására és az approximális felszínek párhuzamosítására a fog tengelyével [38]. A legalkalmasabbak a keskeny, rövid, tűhegy alakú fúrók (speciális, rövid, piros tűhegyű Rodentica 806314465514016 (Komet 1385), sárga Rodentica 806314465504016), hosszú tűgyémánt (Komet 0574 és finom piros lándzsa alakú gyémánt Rodentica 806314249514009, extra finom sárga lándzsa alakú gyémánt Rodentica 806314249504009) és hegyes lándzsa (Rodentica sárga hegyes lándzsa 806314540504010, piros 806314540514010) max. 450 000 fordulat/perc (5. a-e. ábra). Zachrisson szerint az approximális felszíneket gyémántfúrókkal és háromszög alakú tűkkel (okkluzális kontúrozók) alakítjuk és kerekítjük le (Rodentica 466, Komet 8833), [42, 35], (6. a-b ábra). Így a pontszerű kontakt területek kiszélesednek. Ezt követi a bukkális és palatinális felszínek megfelelő anatómiai formájának kialakítása. A lekerekítetlen élek megnehezítik a megfelelő pótlás elkészítését, valamint megnövelik a szuvasodás és parodontális érintettség veszélyét [33].

A javasolt eszközhasználati sorrend a következő: piros gyémántfúró (finom 27-76 µm), sárga gyémántcsiszoló (extra finom, 10-36 µm) gyorsítóban megfelelő hűtéssel (5,6 ábra.). Alkalmazhatunk gyémántkorongokat vagy oszcilláló mozgásokat végző korongokat is. A polírozást Sof-Lex korongokkal vitelezzük ki (finom-narancssárga 3-40 µm, extra finom – narancssárga-sárga, 1-7 µm), [43,33], (7. a-b ábra). Az approximális felszínek elcsiszolása több lépésben történik megfelelő vízhűtés alkalmazásával és helyi fluoridálással.

39 VI. ÉVFOLYAM – 2023. 9. SZÁM
3. a–b ábra: .019x.025” acél mint befejező fogszabályozóív vesztibuláris hajlításokkal a 11-13., a 21-23., valamint a 24-25. és a 14-15. fogak között. 4. a-b. ábra: A szemfog palatinális felületének formázása (a, Rodentica 257) és polírozása narancssárga Sof-Lex koronggal (b). A braketeket már eltávolították ezekről a fogakról.

Kisőrlő becsiszolása

Ha a szemfog helyére mezializált kisőrlő intrúziójára nincs is szükség, a palatinális csücsök akkor is akadályozhatja a harapást és a szemfogvezetést [44]. Ezekben az esetekben elcsiszoljuk a palatinális csücsköt (8. a-b ábra) piros gyémántcsiszolóval (finom, 27-76 µm, éli formázóval – Rodentica speciális tűhegy 806314466514031, Komet 8833 vagy GD – lándzsa Rodentica 806314257514020, Komet 0640) gyorsítóban (max 160 000 fordulat/perc) vízhűtés mellett, min. 50 ml/perc [39]. Extra finom sárga gyémántcsiszolóval polírozunk, 10-36 µm szemcsézettséggel (sárga éli csiszoló Rodentica speciális tűhegyű 806314466504031, GD – sárga lándzsa alakú Rodentica 806314257504020) és narancs Sof-Lex korongokkal (3M finom, narancssárga-alumínium-oxid kristály 3-40 µm nagysággal, extra finom, narancssárga-sárga, 1-7 µm alumínium-oxid kristályokkal) könyökdarabban (25 000 fordulat/perc) legalább 50 ml/ min. hűtéssel. Az elcsiszolást több lépésben végezzük, és ezt helyi fluoridalkalmazás követheti.

Megbeszélés

A kutatások azt mutatják, hogy a fog nem sérül annak ellenére sem ahhoz, hogy a szemfogat átalakítsuk egy oldalsó metszőfoggá, és jelentős mennyiségű zománcot kell eltávolítani. Tuverson 0,4 mm zománc elcsiszolás mellett nem regisztrált sérülést a szemfogon [14]. Fillion [45,46] 0,6 mm approximális elcsiszolást javasol. Más tanulmányok szerint a kisőrlők és őrlők interproximális redukciójával – torlódás esetén – 6,4 mm [24] - 9,8 mm [47] helyet nyerhetünk, azaz a kisőrlők területén a még biztonságosan elcsiszolható zománc mennyisége 0,5 mm.

A kisőrlők csücskén található zománc vastagsága 2-2,5 mm, és fokozatosan csökken a zománc-cement határig [48]. A disztális felszínen a zománc vastagsága kisebb, mint a meziális felszínen, és nincs összefüggés a fog formája és a zománcréteg vastagsága között [49,50], az 50%-os zománc elcsiszolás még biztonságosnak tekinthető, és nem növeli a fogszuvasodás vagy parodontális betegség kialakulásának rizikóját [23]. Legalább

40 e-Journal ORTHODONTIA
5. a-e ábra: A szemfog proximális éleinek beállítása rövidebb tűláng gyémántfúróval (Rodentica 465), továbbá hosszú tűkkel a-gyémánt láng (Rodentica 249) és hegyes láng gyémántfúróval (Rodentica 540). A braketeket már eltávolították ezekről a fogakról. 7. a-b. ábra: Polírozás narancssárga Sof-Lex koronggal.

8. a-b. ábra: A páciens a felső első kisőrlő palatinális csücskének elcsiszolása előtt (a) és (b) után, a szemfogvezetés kialakításához. A szemfog vesztibuláris felszínének befejezése.

0,5 mm távolságnak kell lenni a gyökerek között az interradikuláris csont számára, és legalább 0,3 mm-t vesz fel az egészséges periodontális rostrendszer [51]. Sheridan szerint [24] a biztonságos elcsiszolás mértéke az oldalsó fogaknál 1 mm (0,5 mm az egyes approximális felszínekről) és 0,75 mm az alsó metszők területén. Mindig figyelembe kell vennünk a fogtípusonként változó zománcvastagságot, a felületek típusát és az etnikai hovatartozást [52,53].

Zachrisson és Mjör [38] 48 eltávolításra kerülő kisőrlőt vizsgáltak. Ezeket a fogakat átalakították, mint a hiányzó fog helyére mezializált szemfogakat. Ezt követően a kisőrlőket értékelték 1 héttel, majd 5 hónappal az elcsiszolás után. Az eredmények szerint amennyiben a csiszoláskor megfelelő a vízhűtés és a módosított felszínek öntisztulókká válnak, akkor ezt a formázást el lehet végezni anélkül, hogy a páciensnek ez kellemetlenséget okozna, továbbá alig vagy nem történik változás a pulpa és dentin területén. A szerzők ugyanezt igazolták a következő tanulmányukban is, ahol 37 kismetszővé átalakított szemfogat vizsgáltak meg 10-17 évvel a csiszolás után [41]. Nem volt szignifikáns különbség a csiszolt és csiszolatlan fogak között a mozgathatóság, kopogtatási vagy hőreakció szempontjából. Pulpaszűkületet találtak, de ennek más oka is lehetett. Mikroszkóp alatt vizsgálva mindössze két fog esetében figyeltek meg a gyémántcsiszolók által hagyott barázdákat és karcolásokat, a többi fog állapota tökéletes volt. Fontos, hogy a zománc elcsiszolásnál figyeljünk a természetes fogformára, elsimított zománcfelszínre (mely biztosítja az öntisztulást) és az elégséges vízhűtésre [38].

Radlanski és mtsai. [54] beszámoltak róla, hogy a perforált korongok 30 µm szélességű és mélységű barázdákat hagynak hátra. Az elcsiszolt felületek extra finom Sof-Lex koronggal történő polírozása után is 10-30 µm mély vájatok maradnak. Ezekben a barázdákban felgyűlhet a plakk, még akkor is, ha a páciens fogselymet használ, és ez növelheti a fogszuvasodás előfordulásának gyakoriságát [55].

Joseph és mtsai [32] szerint az elcsiszolás egyedüli hátránya a nem megfelelő felületi kidolgozás és polírozás. Amennyiben a zománcfelszín viszonylag sima a csiszolást követően, úgy nincs plakk felhalmozódás, és a zomán remineralizálódhat. Zachrisson bebizonyította, hogy az elcsiszolást követően azokon a területeken, ahol a plakk felgyűlhet, megnövekedik

a fogszuvasodás előfordulása, azaz a durva, a rosszul polírozott és a nehezen tisztítható felületeken. A legnagyobb rizikót az egyenetlenül elcsiszolt approximális zománcfelszínek jelentik [56]. Ezt a problémát megoldhatja az inaktivált végű fúrók használata [12]. Zachrisson 2,5%-os caries előfordulást jelentett az elcsiszolt felszíneken szemben a 2,4%-os gyakorisággal kezeletlen felületeken [56]. Kanoupakis és mtsai. [57] Diagnodenttel dolgozva kezdetleges zománc elváltozásokat az elcsiszolt fogak 4,7%-ánál figyeltek meg 18-24 hónappal a beavatkozást követően. Jarjoura és mtsai. [58] három új interproximális lézió megjelenését jelentették 376 fogfelszínt vizsgálva, 1-6 évvel a csiszolást követően. Nem találtak különbséget a caries incidenciában csiszolt és csiszolatlan fogfelszínek között [59,60,61,15,58,41,56]. In vitro az elcsiszolt zománc nagymértékű demineralizációt mutat [62,31], azonban in vivo ezt kiegyensúlyozza a természetes remineralizáció [61]. Azt is bebizonyították, hogy a zománc ásványi anyag tartalma nem változik [28]. Ezért feltételezhetjük, hogy a megfelelőn kialakított és kellően polírozott palatinális és vesztibuláris zománcfelszínek nem jelentenek kockázatot sem a szemfog, sem pedig a kisőrlő esetében.

Különböző szerzők más és más eszközhasználati sorrendet javasoltak a legsimább zománcfelszín eléréséhez. Hein és mtsai. [63] finom szemcsézettségű gyémántkorongokkal indítanak, így a kezdeti barázdák nem lesznek olyan mélyek, és könnyebb a felületet polírozni. 60 másodpercig tartó Sof-Lex korongos polírozás simább zománcfelszínt alakíthat ki, mint a kiindulási felület. Zhong és mtsai. [18] az oszcilláló mozgást végző perforált korongokat részesítik előnyben kisebb mint 30 µm-es szemcsenagysággal, a polírozást finom és extra finom Sof-Lex korongokkal végzik 40 másodpercig, megfelelő vízhűtés mellett. Szostkova szerint a perforált gyémántkorongokkal vagy abrazív csiszoló csíkokkal végzett zománc elcsiszolás polírozás nélkül helytelen [1,73]. Abban az esetben, ha piros és sárga gyémántkorongokat alkalmaztak polírozás nélkül, akkor a sárga csiszoló lekerekítette a piros által hátrahagyott barázdák éleit. Ez az eljárás nem változtatott a vájatok számán vagy mélységén [1,73]. Szostkova eredményei alapján csak azok a zománcfelszínek voltak megfelelően polírozva, ahol Sof-Lex korongokat alkalmaztak. A Sof-Lex korongok használata után a barázdák sekélyek voltak, lekerekített végekkel, egyes helyeken a zománcban nem voltak vájatok, vagy csak olyan jel-

41 VI. ÉVFOLYAM – 2023. 9. SZÁM

1.

legűek, amelyek kezeletlen zománcfelszíneken is természetesen előfordulnak [1,73].

Annak érdekében, hogy a lehető legsimább zománcfelszínt érjük el, az elsődleges csiszolás utáni barázdák száma rendkívül fontos. Minél durvább a zománcfelület, annál nehezebb azt tökéletesen kidolgozni és elsimítani [25]. Az érdes zománcfelszín tökéletes elsimítása lehetetlen feladatot jelenthet [28,29,30,54,64,65,66]. Minél finomabb az alkalmazott korong és kisebb szemcsézettségű a gyémántcsiszoló a megmunkálás elején, annál könnyebb, gyorsabb és jobb a zománc polírozása [15,18,27,63]. Azok az eljárások, amelyek keményfém-csiszolókat [27,67], gyémántfúrókat és korongokat [63,67], illetve oszcilláló mozgást végző korongokat [18] alkalmaznak, melyet Sof-Lex korongos polírozás követ, simább zománcfelszíneket tudnak kialakítani, mint a természetes zománcfelület [18,29,30,64,68,69]. A nagyobb átmérőjű Sof-Lex korongok, approximális felszínenként új korongok alkalmazása és a hosszabb polírozási idő ideális eredményt biztosít [18]. A polírozás fontosságát több tanulmány is kimutatta [28,29,30,54], ahol a polírozás minden esetben csökkentette a felület durvaságát.

A lehető legsimább zománcfelszín kialakításán kívül egy másik fontos célja az elcsiszolásnak a teljes beavatkozás hatékonysága [1], azaz, hogy elérjük a legsimább felületet a lehető legrövidebb idő alatt, és minél kevesebb eszköz használatával. Ezt nagyban befolyásolja az eszközök elhasználódottsága és a választott technika, így a nyomás mértéke, az abrazív szemcsék keménysége és mérete, a csiszolás időtartama, valamint foghoz kötött tényezők, mint a zománc keménysége [70]. A vékonyabb és rugalmasabb eszközök fokozottabb abráziós elhasználódást mutatnak, mint a durvább csiszoló felületek [71]. Minél szélesebb és keményebb a csiszoló eszköz, annál jobb az erő eloszlása a zománcfelszínen [72]. Az eszközök helytelen alkalmazása, mint például túl nagy nyomás használata és szűk kontaktokba való bepréselése, az eszközök deformációját és abráziós hatékonyság csökkentését eredményezi [70]. Ezért az eszközöket gyakran kell ellenőrizni és cserélni.

Marek szerint [11] a zománc elcsiszolás ideális szekvenciája: három gyémántkorong alkalmazása durva - közepes - extra finom. Az extra finom korongokkal való megmunkálás után voltak a legkisebbek a barázdák, mert ezek mérete meg-

egyezik az eszköz szemcseméretével. Ez a folyamat azonban időigényes, és így alkalmatlan a klinikai gyakorlatban. 30 µm-es szemcsenagyságú perforált korongok használata, melyet az extra finom gyémántkorong és két Sof-Lex korongos polírozás követ, a természetesnél is simább zománcfelszínt eredményeznek. A szerzők szerint ez a leghatékonyabb eljárás. Szostkova [73] ugyanerre a következtetésre jutott, számára a leghatékonyabb elsőnek a piros gyémántcsiszoló használata, melyet két Sof-Lex korongos polírozás követ.

A szemfog oldalsó metszővé való átalakításában a gyémántkorongok alkalmazása nem elég hatékony, mivel a felületeket az oldalsó metsző formájának megfelelően kell kialakítani, és erre a gyémántcsiszoló sorozat javasolt [28,38,67,74]. Ezek formája segít létrehozni az ideális lekerekítettséget és a sima átmeneteket. A legjobb sorrend: piros gyémántcsiszolóval levenni a szükséges zománcmennyiséget, sárgával lekerekíteni, majd megmunkálni és polírozni Sof-Lex korongokkal [18,27,28,29,30].

Következtetés

A kismetsző helyére mezializált szemfog elcsiszolása, ha helyesen végezzük el, egy rövidebb szemfogat eredményez, incizális él kialakításával, a vesztibulo-orális és mezio-disztális méretek csökkentésével az oldalsó metszőfog alakjának megfelelően. Így biztosított a metszőfog-vezetés interferenciák nélkül, megfelelő horizontális lépcső enyhe frontfog érintkezéssel, továbbá a kívánt zenith pozíció a későbbi felépítéshez. A kisőrlő palatinális csücskének elcsiszolására csak akkor van szükség, ha a csücsök gátolja a dinamikus okklúziót. Ily módon biztosított a szemfogvezetés. A helyes formázás lehetővé teszi a fogazat funkcionális és esztétikai helyreállítását. A csiszoló eszközök javasolt sorrendjének betartása, melyet a megfelelő vízhűtés mellett végzett polírozás egészít ki, a figyelemmel követett fog- és zománcmorfológia olyan sima zománcfelszínt eredményezhet, mely képes az öntisztulásra, és így nem növeli a caries veszélyét, valamint nem károsítja a fogat.

(A cikk során felhasznált irodalom jegyzéke a szerkesztőségünkben megtalálható.)

42 e-Journal ORTHODONTIA
Bracket típus Indikáció Roth torque Roth anguláció MBT torque MBT anguláció Standard edgewise torque/ anguláció Oldalsó metsző VO keskeny, elcsiszolás után alkalmas +8° +9° +10° +8° Szemfog VO széles, ha pozitív a torque érték -2° +10° -7° +8° Felcserélt szemfog VO széles, ha pozitív korona torque szükséges +2° +10° +7° +8° Szemfog 0° torque értékkel VO széles, ha nem kell torque 0° +8° 0°/0° Felcserélt alsó második kisőrlő bracket VO széles, ha kifejezett pozitív torque-ra van szükség +22° 0° +17° +2°
vesztibulo-orális
táblázat: Kismetsző helyére mezializált szemfog bracket kiválasztása. VO –
dimenzió

Komplett megoldás a digitális fogászatban – egy szoftverrel

A Planmeca biztosítja a digitális munkafolyamat összes eszközét, amelyekkel lehetővé válik a páciens adatok megszerzése, a kezelések megtervezése, a sebészeti sablonok 3D nyomtatása és a restaurációk kimarása.

Így a munkafolyamat összes lépése egy szoftverben kivitelezhető: Planmeca Romexis

Magyarországon forgalmazza:

Bővebb információ, árajánlat kérés: (+36-1) 336-0884, 336-0885

E-mail: shop@sanidental.hu • Honlap, webshop: www.sanidental.hu

NYITOTT HARAPÁS KEZELÉSE MINIIMPLANTÁTUMOKKAL

A Pitts Protokollok alkalmazásával – az egyéb rendszerekkel általában csak állcsontműtéttel korrigálható - a nyitott harapásos eseteket relatíve egyszerűen meg lehet oldani műtét nélkül, a Pitts21-es fix készülék, az elasztikus gumihúzások és a mesterséges harapásemelések kombinált felhasználásával.

Egy 20 éves hölgy páciens is az állcsontműtét elkerülése érdekében vállalta el a fogszabályozó kezelést. Az esztétikai célok között a megfelelő vertikális mosoly display kialakítása (frontfogak teljes vertikális láthatósága és 2 mm-es íny láthatóság), továbbá a kezdeti „6 fogas” (szemfogtól szemfogig) mosoly helyett az ún. „12 fogas” (moláristól molárisig) széles mosoly létrehozása szerepelt (1-3. képek).

A skelettális nyitott harapás korrekciója a felső hatosokon történő mesterséges harapásemeléssel, valamint oldalsó és elülső elasztikus gumihúzások alkalmazásával 6 hónap alatt megtörtént (4-5. képek).

A nyitott harapás ilyen formában – az elasztikus gumihúzásokkal történő zárásánál – azonban a reciprok erőhatás következtében mindkét fogívben extrudálódnak a frontfogak, tehát a felső frontfogak lefelé, az alsó frontfogak pedig felfelé mozdulnak. Esztétikai szempontból viszont a felső frontfogak túlzott lefelé mozdulása nem ideális, hiszen ínymosoly kialakulásához vezet (6. kép).

A megoldás ilyen esetekben a felső frontfogak területére behelyezett 2 db fogszabályozási miniimplantátum, amelyek segítségével a felső frontfogak intrúziója megtörtént az ínymosoly megszüntetéséhez, valamint az ideális vertikális mosoly display kialakításához (7. kép). Elasztikus gumihúzással történt az alsó frontfogak extrúziója is az alsó fogsor felfelé zárásához (8. kép). Ezáltal a mandibula felfelé auto-rotálásával történő alsó arcmagasság csökkenése szintén jelentősen javít az arc profilesztétikai megjelenésén (9. kép).

A miniimplantátumok behelyezése 7 hónap után, eltávolításuk 17 hónap után történt meg.

A kezelés utolsó 2 hónapjában a végső „finom-beállítások” zajlottak, kiegészítve az ún. finishing gumihúzások alkalmazásával (10. kép).

A lehető legtökéletesebb esztétikai eredmény érdekében fog- és ínykontúrálás is alkalmazásra került (11. kép).

44 e-Journal ORTHODONTIA
1 3 2 4

Pitts21® PRO Self-Ligating System

Quick-Turn Easy Opening Door Design

The unique ligation system provides reliability and easy operation. Easily opened with a twist using our Quick-Turn Tool and closed with a gloved finger.

Patented Square Wire & Progressive Slot System

Provides a tighter pairing of the wire and the slot in the anterior brackets while enhancing sliding of the wire through the posterior brackets; leading to earlier engagement, reduced appointments and beautiful finishes faster.

Smooth, Rounded Edges

Ensures that your patients have the most comfortable experience.

PHONE: +36 30 720 5760

A teljes kezelési idő 19 hónap volt, a Pitts elveknek megfelelően sikeres arcesztétikai és funkcionális rehabilitációval (12-15. képek).

Mint minden esetben, a fogszabályozás aktív fázisa után a retenció, a passzív helyben tartó fázis a kezelési eredmény megtartásához nagyon fontos!

A páciens a felső és alsó fogívre kiterjedő mélyhúzott síneket, vagy más néven Essix retainereket visel, a felső és

46 e-Journal ORTHODONTIA
-
Pitts Protocol Issue 1-12 Pitts Protocol Clinical Article Issue Journal of Clinical Orthodontics Volume 51 Number 03: Bracket Positioning for Smile Arc Protection Irodalomjegyzék 5 7 8 9 10 11 12 13 14 15 6
alsó frontfogakra orálisan ragasztott fix retainerek mel lett.
R

AZ ALIGNEREKKEL VÉGZETT ESZTÉTIKAI CÉLÚ FOGSZABÁLYOZÁS HATÁRAI

Napjainkban exponenciálisan nő az esztétikai célú fogmozgatásra alkalmas aligner rendszerek száma. Az Instagramon, a Facebookon és az egyéb szociális média platformokon egymást érik azok a bejegyzések, amelyekben az influenszerek a különböző esztétikai célú fogászati kezeléseket hirdetik. Olyan marketingkampányokkal is találkozhatunk, amelyekben a szabályos és egészséges fogazat elérésének egyszerű és hatékony módjaként hirdetik ezeket a rendszereket. A korrekció folyamatát rendkívül egyszerűnek és simának mutatják be, sőt, egyes rendszerek arra biztatják az érdeklődőket, hogy az ehhez szükséges lenyomatokat saját maguknak vegyék le otthonukban. Ez azonban teljesen ellentétes azzal, amit a hirdetésekben szereplő szlogenek hangoztatnak. Az ezzel a módszerrel járó lehetséges előnyök eltörpülnek a lehetséges kockázatok számához és a beavatkozással járó rizikóhoz képest.

Az állcsont-orthopédiai korrekcióra alkalmas orvosi célú gyógyászati segédeszközök használatát manapság gyakran úgy állítják be, mintha az alkalmazásukkal járó fogmozgatások elvégzése senkinek sem jelentene komoly kihívást. Ennek megfelelően számtalan, olyan aligner rendszer érhető el bárki számára, amely nem képes az orvosi célú alkalmazhatóságát hitelt érdemlően igazolni, vagy legalább egy megfelelő szakmai kompetenciával rendelkező kollégát maga mellé állítani. Ennek megfelelően jelentős kockázata van annak, hogy az ezen rendszerek alkalmazásával elvégzett fogmozgatások során a parodoncium és azáltal az egész szájüregi egészség maradandóan károsodik. Az alábbi cikkben azokat a szempontokat szeretném ismertetni, amelyekre az aligner rendszerek alkalmazása során figyelemmel kell lenni.

Mi alapján különböztessük meg az egyes aligner rendszereket?

A különböző aligner rendszerek alkalmazása során a tapasztalatlan és a tapasztalt kollégáknak az alábbi szempontokra kell tekintettel lenniük:

1. A kezelés sikere a megfelelő aligner rendszer kiválasztásán áll vagy bukik (1. ábra). Ez nagyon triviálisnak hangozhat, azonban ez a későbbiekben – főként az ilyen jellegű kezelésekben járatlanok számára – rendkívül nagy problémákat okozhat. Fontos, hogy különbséget tegyünk a fogszabályzásra alkalmas és a „kereskedelmi célú” aligner rendszerek között. A fogszabályzó szakorvos által felügyelt alignerrel végzett fogszabályzó kezelések mellett egyre több esetben találkozhatunk olyan kereskedelmi céllal létrejött start-upokkal, amelyek az interneten hirdetik az alignerekkel történő fogmozgatási tevékenységüket. Néhány ilyen cég túlzásnak tartja a fogszabályzó szakorvosnál történő időpontfoglalást, és ehelyett azt javasolja, hogy a páciens saját otthonában vegyen egy lenyomatot magáról és néhány szájfotó kíséretében küldje el a cég központjába. A lenyomat megérkezését követően 3D mintát készítenek, digitálisan szimulálják a kívánt fogmozgatásokat, majd az ezek elvégzéséhez szükséges síneket postafordultával visszaküldik a leendő ügyfelüknek.

2. A fogszabályzó kezelések sokáig tartanak és az ezt követő garanciális időszak is éveket ölel fel és ezalatt mindvégig ugyanahhoz a rendszerhez vagyunk kötve. Azt is fontos megjegyezni, hogy a kezelések és a garancia ideje alatt a

48 e-Journal ORTHODONTIA
1. a–c ábra: A jelenleg általánosan használt fogszabályzó készülékek bemutatása. A kivehető lemezes készülékeket általában gyermekek, a rögzített készülékeket tinédzserek, az alignereket pedig általában felnőtt páciensek kezelése során szokták alkalmazni.

páciens elégedettségét is célszerű mindvégig megőrizni. Ha a választott rendszer cseréjére kényszerülünk, akkor az mindenképpen költségekkel (és lehetséges garanciavesztéssel) fog járni. Ez azt jelenti, hogy a nem megfelelően megválasztott rendszer utólag még drágább lehet, és a költségeket pedig mindannyian tudjuk, hogy ebben az esetben ki fogja viselni: a kezelést végző orvos.

3. Még a kizárólag fogorvosok számára elérhető aligner rendszerek is teljesen eltérő szoftveres felülettel rendelkeznek. Ezek legtöbbször nem járhatóak át egymás irányába. Ezek a rendszerek általában a következő alapvető tulajdonságokban térnek el egymástól: az elvégezhető fogmozgatások típusai és a fogakra felhelyezésre kerülő attachmentek kezelése (méret, forma, mechanika) (2. a–b ábra) . Következmény: egy rendszer kiválasztása évekre szóló elköteleződéshez vezet. A legnagyobb hiba, amit valaki elkövethet, hogy egyszerre több (2-3) rendszerrel kezd el dolgozni. Ennek következtében sose fogja egyik rendszert sem olyan mértékben kiismerni, hogy képes legyen komplex esetek megoldására, mivel mindig a különböző rendszereknél egyedileg fellépő problémák megoldására fog elmenni az összes energiája.

4. A fogorvosok által alignerekkel végzett kezelések minden esetben orvosi beavatkozásnak minősülnek. Ennek megfelelően a fogazatban és parodonciumban lehetségesen bekövetkező károsodásért minden esetben a

kezelést végző fogorvos tartozik szakmai felelősséggel. Egy felelősségteljes fogorvos csak olyan rendszert használ, amely tudományos bizonyítékokkal hitelt érdemlően bizonyítani tudja, hogy a rendszer és az alkalmazott anyagok alkalmasak a tervezett fogmozgatások elvégzéséhez szükséges erők kontrollált átadására. Ha ezt a szempontot döntő kritériumként kezeljük, akkor hamar megállapíthatjuk, hogy néhány rendszer képes ennek a követelménynek megfelelni.

5. Ami elsőre olcsó, lehet, hogy utólag lesz drága. Nem az a döntő szempont, hogy a kezelési költségeket a lehető legalacsonyabban tartsuk, hanem az, hogy a végeredmény kiszámítható és előre jól megjósolható legyen. Csak az előre tervezhető végeredménnyel járó kezelések biztosíthatják, hogy a páciens elégedett legyen a kezelés eredményével és elégedetten távozzon a rendelőből. Végső soron pedig ez fogja a praxis hosszú távú jövedelmezőségét biztosítani. A választható kezelési csomagokat úgy kell összeállítani, hogy a kezelést végző orvosnak adott költségkereten belül több lehetősége is legyen az esetlegesen szükségessé váló korrekciók elvégzésére.

6. A kezelést végző orvosnak tisztában kell lennie az egyes rendszerek határaival. Meg kell tudnia ítélni, hogy az általa alkalmazott rendszer mely korrekciók elvégzésére alkalmas. Itt elsősorban nem a mozgatni kívánt fogak számára gondolunk, hanem arra, hogy funkcionális szempontból

a–b ábra: A különböző attachmentek bemutatása. A fogszabályzási célra használható aligner rendszerek változatos formájú és ezáltal különböző típusú fogmozgatásokra alkalmas attachmentekkel rendelkeznek.

3–6. ábra: A szakmailag hiteles aligner rendszerek egy olyan szoftveres felülettel rendelkeznek, ahol a kezelőorvos egyenként pontosan meg tudja határozni az elérni kívánt fogpozíciókat. Ennek a folyamatnak az a lényege, hogy a tervezett fogmozgatások anatómiai és élettani szempontból is lehetségesek legyenek, valamint hogy az elmozdulások mértéke mindvégig kontrollálható és mérhető legyen.

49 VI. ÉVFOLYAM – 2023. 9. SZÁM
2.

milyen végeredmény érhető el vele. Az alignerekkel ismerkedő fogorvosok viszonylag korán szembesülnek azzal ténnyel, hogy sok rendszer előre programozott digitális fogmozgatásokat kíván elvégezni, de ezek a fogmozgatások sokszor nem lehetségesek az adott anatómiai helyzetben. A funkcionalitás alatt azt is értjük, hogy hol vannak a rendszerrel elérhető lehetséges fogmozgatások határai. Ebből a szempontból elengedhetetlennek tartjuk, hogy az alkalmazni kívánt rendszer mellett történő elköteleződés előtt üljünk le a program digitális felületéhez és ismerjük meg mélységében a benne rejlő lehetőségeket. Ezáltal elkerülhetjük, hogy a kezeléseink és a praxisunk sikeressége vakvágányra kerüljön.

7. Manapság már azokat a rendszereket lenne célszerű előnyben részesíteni, amelyek közvetlenül képesek a székben vett digitális lenyomat feldolgozására (3–7. ábra). A jelenleg elfogadott szemlélet szerint a lenyomatok szkennelésén alapuló rendszereknél már túl nagy a hiba lehetősége. Mint tudjuk, a lenyomatokban előfordulhatnak elhúzódások, illetve az utólagos szkennelésük további időt és energiát vesz igénybe. Összességében elmondható, hogy a lenyomatok szkennelésén alapuló rendszerekkel rosszabb kezelési eredményekre számíthatunk.

Az alignerek alkalmazásának lehetséges szövődményei

Csak abban az esetben szabad alignereket alkalmazni, ha a velük elérhető terápiás lehetőségek megegyeznek a teljes értékű orthodonciai rendszerekkel elérhető terápiás lehetőségekkel. Ez azonban gyakran nem lehetséges a manapság interneten és szociális média platformokon hirdetett aligner rendszerekkel. Ugyanakkor ebben az esetben is a fogorvos felel a parodonciumban bekövetkezett változásokért. Még a frontrégióban végzett látszólag egyszerű, esztétikai célú szóló fogmozgatások elvégzése sem könnyű és minden esetben megkívánja, hogy a kezelést végző orvos alapvető orthodonciai ismeretekkel rendelkezzen. A legnagyobb rizikót és a hosszú távú károsodás esélyét az jelenti, ha nem tudjuk a digitális terv alapján egyértelműen megállapítani, hogy meghaladtuk-e az egyes fogak egy lépésben történő mozgatására vonatkozó maximális értékeket.

50 e-Journal ORTHODONTIA
7. ábra: Egy aligner rendszerbe feltöltött digitális lenyomat. 8. a–i. ábra: A különböző aligner rendszerekkel megtervezett digitális fogmozgatások.

A konkrét szövődmények

1. A műanyag alapú sínek behelyezését követően allergiás reakció alakulhat ki. A kontaktallergia kialakulásának esélyét – erre utaló anamnesztikus adat hiányában – nehéz előre felmérni. Általánosságban elmondható, hogy minél jobb minőségű anyaggal dolgozunk, tehát minél kevesebb szabad monomer található benne, annál kisebb az allergiás reakció kialakulásának az esélye. Az alkalmazott anyagok minőségében jelentős különbségek lehetnek. Fontos, hogy a kezelőorvos előre tisztában legyen, milyen anyagot kíván a páciensei szájába helyezni.

2. Annak érdekében, hogy a fogakat ténylegesen előre tervezett módon tudjuk mozgatni, a legtöbb esetben szükség van úgynevezett attachmentek felhelyezésére. Az attachmentek felhelyezése nélkül végzett aligneres kezelések nem mindig követik teljes mértékben a terápiás tervet. A tervezett fogmozgatások végzése során az úgynevezett dinnye mag effektussal (melon seed effect) találkozhatunk. Ez leginkább a frontfogak területén szokott megmutatkozni. Az attachmentek felhelyezése esetén pedig a fogzománc sérülhet a savazás, illetve az attachmentek eltávolítása során.

3. A fogmozgatások során minden esetben követni kell a fogszabályzó kezelések végzésére vonatkozó szabályokat. Ebben az esetben is érvényesek a fogmozgatásra vonatkozó mechanikai szabályok. A kezelést végző orvosnak tisztában kell lennie azzal, hogy a fogakra másként hatnak a fiziológiás körülmények között is jelenlévő axiális irány-

ba ható rágóerők és vertikális irányba ható folyamatosan fennálló húzóerők. A fiziológiás módon kialakuló axiális irányú rágóerőket a fogazat jól tolerálja. Ezek az erők rövid ideig hatnak, ám nagyságuk elérheti a 300 N-t. Azonban ha az erők hosszú ideig hatnak és nem fiziológiás irányból érik a fogakat, akkor már 1 N nagyságú erők is átépüléshez vezethetnek. Ebből adódik az a megkerülhetetlen igény, hogy az aligner rendszereknek képeseknek kell lenniük az egyes fogakat ért erők nagyságát egyenként megmutatni, ugyanis a kezelőorvos csak így tudja megítélni ezen erőhatások megfelelőségét és tolerálhatóságát. Ezen a ponton az a kérdés is jogosan merülhet fel az olvasóban, hogy a hirdetések segítségével népszerűsített ailgner rendszereknél fogorvosi felügyelet nélkül hogyan valósul meg ezeknek az erőknek a kontrollálása.

4. Az aligneres kezeléseket főként felnőtt pácienseken végzik. Megjegyeznénk, hogy Németországban a felnőttkori fogszabályzó kezeléseket az egészségbiztosító nem fedezi. A páciensek korcsoportjából adódóan néhány esetben előfordulhat, hogy a páciensek már károsodott parodontális státusszal rendelkeznek. A nem teljesen fiziológiás állapotban lévő parodoncium pedig tovább növeli annak az esélyét, hogy az átadott erőhatások a fogak meglazulását, súlyos esetben pedig az elvesztésüket eredményezhetik. Ennek megfelelően az egyes fogakat érő erőhatások nagyságának minden esetben pontosan meghatározhatónak és szükség esetén a parodontális státusznak megfelelően módosíthatónak kell lennie. Amelyik rendszer ezt nem képes biztosítani, annak

51 VI. ÉVFOLYAM – 2023. 9. SZÁM
...és ami mögötte van biztos megoldás a fogászati szakma elérésére

9. a–d ábra: A frontrégióban aligner rendszerek segítségével történő részárás bemutatása. Ennek a folyamatnak lényeges eleme, hogy az alignerek csak akkor tudnak megfelelően funkcionálni, ha a fogakra előzetesen attachmentek kerülnek felhelyezésre. A hirdetések szerint „fogorvosi kontroll” nélkül alkalmazható alignerek nem képesek ezen típusú fogmozgatások megfelelő elvégzésére.

egyértelműen kontraindikált a fogorvosi kezelések során történő használata.

5. Az aligner rendszernek ideális esetben biztosítani kell a fogak hosszú távú retenciójának lehetőségét. Az alignerekkel végzett kezelések során, a klasszikus rögzített fogszabályzó készülékekhez képest, általában sokkal gyorsabban történnek a fogmozgatások. Ennek megfelelően ezekben az esetekben sokkal nagyobb a recidíva kialakulásának az esélye. Ennek tudatában logikus, hogy egy jól átgondolt aligner rendszernek megfelelően kidolgozott retenciós protokollal kell rendelkeznie.

6. A felnőtt pácienseken végzett fogszabályzó kezelések egy részében preprotetikai fogmozgatás történik. Erre a célra általában azok a rendszerek alkalmasak, amelyek nem kizárólag a frontrégióban képesek fogmozgatások végzésére. A hirdetésekben népszerűsített rendszer segítségével azonban kizárólag csak a frontrégióban vagyunk képesek fogszabályzó kezelések végzésére. Ezekben az estekben arra is tekintettel kell lenni, hogy a fogszabályzó kezelések többségét még a fogpótlások átadása vagy az implantátumok behelyezése előtt be kell fejezni.

A megfelelő aligner rendszer kiválasztása

Az eddigieket összefoglalva kijelenthetjük, hogy az általunk használni kívánt aligner rendszer kiválasztása előtt rendkívül fontos a megfelelő tájékozódás. Amennyiben egy számunkra

nem megfelelő rendszert választunk, akkor vagy hosszabb időre „beragadunk” vagy ha rövid időn belül váltanunk kell, akkor csak kellemetlenségek árán tudunk ezen változtatni. Egy jól alkalmazható rendszernek az alábbi követelményeknek kell megfelelnie: Egy olyan orvosi eszközöket gyártó cég termékének kell lennie, amely előírja, hogy a rendszer használata kizárólag fogszabályzásban jártas fogorvos felügyelete mellett lehetséges. Rendelkeznie kell egy olyan tervező felülettel, amely a fentiekben említett követelményeket maradéktalanul teljesíti és emellett a tervezés során szabad kezet biztosít a kezelést végző fogorvos számára. Lehetőség szerint ne korlátozza le a lehetségesen elvégezhető fogmozgatások számát. Ennek a jelentősége a komplex esetek ellátása során tud igazán megmutatkozni (8. a–i. ábra, 9. a–i ábra). A rendszernek alkalmasnak kell lennie a kezelés befejezését követően esetlegesen kialakuló recidívák kezelésére. Ez azt jelenti, hogy a terápia lezárását követően még évekig (legalább 5 évig) elérhetőnek és újra aktiválhatónak kell lennie az esetnek. Egy komoly, többéves múlttal rendelkező cég termékének kell lennie, amely cég esetében megalapozottan feltételezhetjük, hogy nem fog a közeljövőben megszűnni. Végül pedig olyan szakmai támogatást kell biztosítania a rendszerrel ismerkedő kezdő kollégák számára, amely mellett biztosak lehetnek benne, hogy nem fognak a pácienseik fogazatában maradandó károkat okozni.

Forrás: Cosmetic Dentistry 2022;1 6-10

52 e-Journal ORTHODONTIA

A magabiztos mosolygás nem csak álom!

Vágj bele a láthatatlan fogszabályozásba

és mosolyogj bátran!

Mosolyogj felszabadultan!

Hogy mi szól a ClearCorrect mellett?

kényelmes

hatékony

víztisztán áttetsző, vagyis

teljesen láthatatlan

fémmentes

könnyű tisztítani

Láthatatlan Egyszerű használat Kényelmes
Látogasson el weblapunkra a QR kód segítségével ACC017/it/00 04/19

Shadi S. Samawi (Jordánia)

KLINIKAI DIGITÁLIS FÉNYKÉPEZÉS

A FOGSZABÁLYOZÁSBAN:

PROFESSZIONÁLIS FÉNYKÉPFELVÉTELEK

A NAPI GYAKORLATBAN

Absztrakt

Az elmúlt években a klinikai fényképezés nagyon fontos segédeszközzé és követelménnyé vált a megfelelő klinikai diagnózis, a kezelés tervezése és az esetek dokumentálása szempontjából a fogszabályozásban és általában a fogászatban. A digitális fényképezés széles körű elterjedése, költséghatékonysága és viszonylagos könnyű használhatósága, valamint a mosoly esztétikájának és az arc általános harmóniájának fokozott hangsúlyozása - különösen a fogszabályozásban - nagymértékben hozzájárult ahhoz, hogy a klinikai fényképezés egyre fontosabbá vált a mindennapi gyakorlatban.

Ez a cikk áttekintést nyújt a klinikai digitális fényképezés jelentőségéről a mindennapi fogszabályozási gyakorlatban, általános leírást ad néhány releváns berendezésről, valamint ismerteti a klinikai környezetben a megfelelő minőségű fényképfelvételek elkészítésének követelményeit és legjobb gyakorlatait.

Kulcsszavak: fényképezés, digitális fényképezés, klinikai fényképezés, fogszabályozás, felvételek.

Bevezetés

A klinikai fényképezés jelentősége

Mivel a fogszabályozó közösség egyre nagyobb hangsúlyt fektet a kiegyensúlyozott arc harmóniájának és a mosoly esztétikájának elérésére pácienseink számára - a jól beállított és funkcionális fogazat hagyományos céljai mellett -, a helyes kezelés-tervezés és nyomon követés szempontjából még inkább szükségessé vált a fogszabályozó páciensekről készült megfelelő klinikai fényképfelvételek készítése.

A klinikai fényképek lehetővé teszik a fogszabályozó orvos számára, hogy a kezelés tervezési szakaszában gondosan értékelje a páciens meglévő lágyszöveti mintázatát. Az ajkak morfológiája és tónusossága, a mosoly ív és a metszőfogak megjelenésének mértéke mosolygáskor, valamint a mosoly általános esztétikája bármikor értékelhető különböző szögekből. Így lehetővé teszik számunkra, hogy a pácienst úgynevezett „szociális” környezetben tanulmányozzuk, és mindezt úgy, hogy a páciens soha nem lesz jelen. Ezek az információk nagyban segítik a fogszabályozót az egyes páciensek számára a lehető legjobb kezelési terv kidolgozásában, és a későbbi utóvizsgálatok során a változások nyomon követésében.

Mondanom sem kell, hogy mindig is szükség volt fényképfelvételekre kutatási és publikációs célokra, előadások tartására és tanítási előadásokhoz. Emellett nem lehet figyelmen kívül hagyni az ilyen felvételek orvosi jogi okokból való szükségességének növekvő jelentőségét.

Ebben a digitális korban a digitális fényképezőgép a legkézenfekvőbb választás. Ennek egyik fő oka az ilyen fényképezőgépek relatív könnyű kezelhetősége, valamint a nem megfelelő képek helyben történő megismétlésének vagy törlésének lehetősége. Nem kell megvárni, amíg a film előhívásra kerül, hogy ellenőrizze a fényképeket. Bármilyen probléma azonnal és egyszerűen orvosolható. Egy másik fontos előny a „működési költségek” kérdése; a digitális fényképezőgép-készletek költséghatékonyak; megszűnik a fényképészeti film költsége, a fejlesztési költségek és a gondok, valamint megoldódik a nagyszámú betegről készült diaképek és fényképek „fizikai tárolásának” problémája.3,4 Mindössze egy egyszeri beruházásra van szükség egy megfelelő digitális fényképezőgép-készletbe, egy vagy két nagy kapacitású memóriakártyába, valamint egy számítógépbe, amely a feldolgozás, tárolás és biztonsági mentés céljából ésszerű méretű merevlemezzel rendelkezik.

A digitális fényképezés egyik fő előnye, hogy a képeket feljavíthatja, azaz „utólagosan feldolgozhatja”. Még ha néhány kép még mindig nem is megfelelően van igazítva, elforgatva, vagy a szín, a fényerő, a telítettség stb. nem felel meg a szabványnak, ezeket általában viszonylag könnyen beállíthatja egy megfelelő képszerkesztő szoftverrel a számítógépén, mielőtt a képeket elmenti a páciens fájljába.

Létfontosságú azonban, hogy ne hagyjuk figyelmen kívül az ilyen javítási eljárások által felvetett etikai kérdéseket, és mint ilyen, az eredeti kép tulajdonságainak alapvető általános javításán túlmenő, ebben a cikkben leírt fotómanipuláció nem javasolt, és - mindenféleképpen - etikailag és szakmailag elfogadhatatlannak tekinthető, és végső soron jogi következményekkel járhat.

Ajánlott felszerelés

A piacon ma már többféle digitális fényképezőgép is kapható. A legtöbb ma kapható kompakt fényképezőgép, azaz „Point and Shoot” fényképezőgép elegendő képminőséggel és kifinomultsággal rendelkezik ahhoz, hogy ésszerű klinikai fogászati fényképeket készítsen, bár a beépített egypontos vakuegységek korlátai miatt a jelenet megfelelő megvilágításának rovására. Eredményeik azonban gyakran nem következetesek, és túl sok időt és próbálkozást igényelnek a

54 e-Journal ORTHODONTIA

kívánt eredmény eléréséhez. A klinikai fényképezéshez legjobban megfelelő és ajánlott ideális fényképezőgép-összeállítás egy digitális egylencsés tükörreflexes fényképezőgép (DSLR), megfelelő gyűrűs vakuegységgel. A minimálisan elfogadott képfelbontás, amely jó minőségű fényképeket biztosítana a képernyőn való bemutatáshoz vagy 4x6-os nyomatokhoz - ha kívánatos - körülbelül 4 megapixel lenne. A jelenlegi fényképezőgépek azonban ennél a minimális követelménynél jóval nagyobb felbontású fényképeket tudnak készíteni, ezért általánosságban megállapítható, hogy bármely jelenlegi fényképezőgép 8 megapixeles vagy annál nagyobb felbontással több mint megfelelő lenne fogszabályozási célokra. Ez a beállítás a következő szakaszokban részletesebben ismertetésre kerül.

a) A digitális fényképezőgép

A DSLR fényképezőgépek a legtöbb fényképezőgépen manuálisan is teljes mértékben szabályozhatók a fotózás összes expozíciós paramétere, a szokásos automatikus és félautomata programok mellett. Ezért maximális rugalmasságot és testreszabhatóságot tesznek lehetővé a lehető legjobb minőségű digitális képek készítéséhez. Kiváló minőségűek, így hosszú távon is biztos befektetésnek bizonyulnának a rendelő számára. Sok DSLR fényképezőgép ma már nagyfelbontású (HD) videofelvételi képességgel is rendelkezik, ami bizonyos klinikai helyzetekben hasznosnak bizonyulhat. A klinikai fényképezéshez belépőszintű DSLR fényképezőgép ajánlott, mivel ezekkel lehet a legjobb minőségű eredményeket elérni, ugyanakkor költséghatékonyabb megoldás, mint más, csúcskategóriás DSLR fényképezőgépekkel.

b) Az objektív

Bár a zoomobjektívek általában használhatók klinikai fényképezéshez, a javasolt objektív egy speciális makroobjektív, pl. egy 100 mm-es gyújtótávolságú makroobjektív.

Makro objektív vs makro funkció

A makrofotózás a közeli fényképezésre utal; a klasszikus meghatározás szerint a „filmsíkra” (azaz filmre vagy digitális érzékelőre) vetített kép mérete megegyezik a tárgy méretével. A legtöbb Point-&-Shoot digitális fényképezőgép rendelkezik beépített makró funkcióval, amely valójában nagyon jó fogászati fotózási célokra. A DSLR fényképezőgéphez csatlakoztatott speciális makroobjektív azonban még jobb közeli felvételeket készít, általában nagyobb felbontással és jobb fókusszal, és messze a jobb választás.

c) A vaku

Gyűrűs vaku vs egypontos vaku

A legtöbb kompakt digitális fényképezőgépbe és néhány DSLR fényképezőgépbe épített egypontos vaku esetenként meglehetősen jó fényeloszlást eredményezhet klinikai fényképek készítésekor, de az eredmények nagyon következetlenek, és nagyban függnek a fényképezőgép tájolásától és a klinikán már meglévő fényviszonyoktól. Gyakran előfordulnak sötét, zavaró árnyékok, amelyek elfedhetik a fontos részleteket. Ezek gyakran még képszerkesztő szoftverrel sem javíthatók ki, és rontják a kép végső minőségét, és esetleg a képből nyert információt. Ezzel szemben a dedikált

gyűrűs vaku - szinte minden árnyékot kiküszöböl azáltal, hogy egyenletesebb fényeloszlást biztosít az extra és intraorális felvételek során (1. ábra), és így a kép minősége javul az általános jobb megvilágítás miatt. Ezért erősen ajánlott a gyűrűs vaku használata a fogszabályozó fényképezéshez.

d) Retraktorok

A klinikai fotózás során a legjobb eredmények elérése érdekében ajánlott két pár, változó méretű, kétvégű retraktor használata (2. ábra)

A kétvégű retraktorokból két készlet létezik; az egyik készlet mindkét végén egy normál és egy kis méretű. Ezeket elsősorban intraorális okkluzális felvételekhez (tükörfelvételekhez) használják. A másik készletnek egy keskeny és egy széles vége van a másik oldalon. Ezeket intraorális frontális és bukkális felvételekhez használják.

Bár a piacon más típusú retraktorok is kaphatók, sokan elfogadják, hogy ez a választék ideális készletet jelent a klinikai fényképezéshez, mivel nagyban megkönnyíti szinte bármilyen típusú intraorális fényképek tiszta és a lehető legna-

55 VI. ÉVFOLYAM – 2023. 9. SZÁM
1. ábra: Canon MR-14EX TTL makro gyűrűs vaku (Canon USA) 2. ábra: Nagy és kis kétvégű pofahúzók és közepes méretű, elülső ezüstbevonatú DentalMirror.

gyobb látómezővel történő készítését. A kisebb, egyrészes ortodontiai ragasztó retraktorok általában nem jó választásnak bizonyulnak ortodontiai célokra, különösen a bukkális és okkluzális felvételekhez, mivel retrakciós potenciáljuk nagyon korlátozott, és ez gyakran „fájdalmas élménynek” bizonyulhat a páciens számára.

Bölcs hosszú távú befektetés jó minőségű retraktorokat vásárolni a tartósság és megbízhatóság biztosítása érdekében, visszatérő fertőtlenítési eljárásokkal.

e) Fogászati fényképészeti tükrök

A klinikai fényképezéshez sokféle tükör használható, a homlokzati tükröktől kezdve a különböző formájú és méretű, magasan polírozott rozsdamentes acél tükrökig. A szakterület számos szaktekintélye az elölről ezüstözött tükröket ajánlja, mivel ezek nyújtják a legjobb képminőséget és fényeloszlást a többi tükröstípushoz képest. Az elülső ezüstözött tükrökkel nem keletkezik „szellemkép” vagy „kettős rétegződés”. Ezzel szemben üveg vagy hátulról bevont ezüstözött tükrök használata esetén a „szellemkép” súlyosan befolyásolhatja a kép minőségét, ami homályosságot vagy „kettős képet” eredményezhet. Emellett a fényvisszaverődés nem egyenrangú az elülső ezüstözött tükrökkel, ami végeredményként homályos, sötét képet eredményez. Ezért az elölről bevont ezüstözött tükrök használata erősen ajánlott a többi típussal szemben (2. ábra).

Általában előnyben részesítik a hosszú nyelű tükrök használatát (lásd a képet), mivel ezek lehetővé teszik a klinikus számára a jobb ellenőrzést és kezelést az okkluzális felvételek során. Az életkortól és a szájnyílás méretétől függően különböző méretű tükrök használhatók a különböző pácienseknél, a közepes méretű tükrök általában alkalmasak a legtöbb páciensnél történő használatra.

A fogantyú nélküli tükrök is sikeresen használhatók, de nehezebb kezelni őket, különösen akkor, ha a másik kezünkben egy drága digitális fényképezőgéppel zsonglőrködünk. Fontos megemlíteni, hogy a korábban említett felszerelések - semmiképpen sem - az egyetlen ajánlott felszerelés a klinikai fotózás céljaira, és nem is feltétlenül a legjobbak minden klinikus számára, és alapvető ajánlásnak tekintendők, amelyek - a szerző személyes véleménye és tapasztalata szerint - a legegyszerűbb, legköltséghatékonyabb és legkönnyebben használható felszerelést képviselik, amely a legjobb minőségű professzionális eredményeket fogja következetesen produkálni.

Hány fényképre van szükségünk?

Nincs olyan „szabványos” klinikai fényképkészlet, amely általánosan elfogadott szabályként szolgálna. Általánosan elfogadható azonban - számos gyakorló orvos véleménye alapján -, hogy egy teljes „klinikai fényképkészletnek” bármelyik fogszabályozó páciensről, a kezelés bármely szakaszában, amely lehetővé teszi a klinikus számára a maximális haszon és információ megszerzését, legalább kilenc fényképet kell tartalmaznia; négy extraorális és öt intraorális fényképet készletenként, legalább két készletet; a kezelés előtti és utáni készletet.

A klinikus azonban dönthet úgy is, hogy szükség esetén további felvételeket készít, hogy a teljes esetet részletesebben dokumentálja.

Klinikai fényképezési technika

Általános fényképezőgép-beállítások

Mint korábban említettük, a DSLR fényképezőgépek lehetővé teszik a kamera beállításainak maximális ellenőrzését és testreszabását a lehető legjobb eredmények elérése érdekében. A legtöbb esetben ajánlott a fényképezőgép tárcsáját rekeszprioritásos módra állítani (A vagy Av, a fényképezőgép márkájától függően). A rekeszprioritás mód lehetővé teszi a fotós számára, hogy szabályozza a rekeszméretet, amelyen keresztül a fény bejut az objektívbe, miközben a fényképezőgépre bízza a legjobb expozíció kiegyensúlyozását, mivel a többi változót automatikusan meghatározza. A rekesznyílást (F-számot) a legjobb f22-re vagy magasabbra állítani; ez biztosítja a nagy mélységélességet és a fókuszt a különböző extra és intraorális felvételek során. A gyűrűs vaku használata ebben az esetben elengedhetetlen a jelenet megfelelő megvilágítása és megvilágítása érdekében. A fényképészeti expozíciós elveket jól ismerő klinikusok választhatják a teljes manuális (M) beállítást, és saját belátásuk szerint maguk szabályozhatják az összes expozíciós változót.

Fontos megjegyezni, hogy ezek csak általános ajánlások, és a meglévő klinikai megvilágítástól és helyzettől függően még szükség lehet némi próbálkozásra és hibára.

Szájüregen kívüli klinikai fényképek

Általában ezek az első és legegyszerűbb fényképek. A digitális fényképezőgép beállításán kívül a páciens és a klinikus megfelelő elhelyezésére van szükség a megfelelő sima háttér előtt. Ajánlott egyszínű fehér vagy sötétkék hátteret vagy alternatívaként egy nagy, falra szerelt fénydobozt használni a páciens feje mögött, hogy a páciens lágyrészprofilja a lehető legjobban kirajzolódjon, és a háttér ne vonja el a figyelmet.

Az extraorális fényképek standardizálása a páciens és a kamera közötti rögzített távolság fenntartásával előnyös, mivel ez egységes nagyítási tényezőt biztosít, és professzionális megjelenést kölcsönöz a fényképeknek. Ez a háttértől rögzített, kijelölt távolságban elhelyezett állvány használatával és a padlóra a háttértől meghatározott távolságban egy vonal kijelölésével érhető el, ahol a pácienseknek fényképezés közben következetesen állniuk kell.

A szájon kívüli fényképek a következő négy fényképből állnak, amelyek a következő sorrendben készülnek:

1. Arc-frontális (ajkak lazán).

2. Arc-frontális (mosolyogva).

3. Profil (ajkak lazán).

4. (45°-os) profil (más néven 3/4 profil -mosolygó).

Ez a négy felvétel a lehető legtöbb információt nyújtja a klinikusnak a páciens arc- és lágyszöveti vonásairól, arányairól és a mosoly általános esztétikájáról.

1. Arc-frontális (ajkak lazán)

A páciensnek a hátterétől a megjelölt távolságban kell állnia, a feje a természetes fejpozícióban van, a szeme egyenesen a kamerára néz, a fogai és az ajkai pedig nyugalmi helyzetben

56 e-Journal ORTHODONTIA

vannak. A páciens egész arcának jól láthatónak kell lennie. Létfontosságú annak biztosítása, hogy a pupillák közötti vonal vízszintesen legyen kiegyenlítve (3. ábra).

A fényképezőgépet ehhez és minden extraorális fényképezéshez függőleges portré orientációban kell tartani, és a fényképet az arc középvonalához képest 90 fokban kell készíteni a legjobb eredmény érdekében, miközben biztosítani kell a teljes fej és nyak megfelelő keretezését.

2. Arc-frontális (mosoly)

Ugyanazok az elvek érvényesek, mint az első fényképen, azzal a fontos kivétellel, hogy a páciensnek természetes, nyugodt módon kell mosolyognia, és az elülső fogaknak jól láthatónak kell lenniük, hogy a mosoly általános esztétikája elölről megfelelően bemutatásra kerüljön (4. ábra).

3. Profil (ajkak laza)

A profilkép rendkívül nagy diagnosztikai értékkel bír a fogszabályozó orvos számára. A páciensnek balra kell fordulnia, így a klinikus számára láthatóvá válik a jobb profilja. Ideális esetben az arc teljes jobb oldala jól látható, és nem lehetnek akadályok, mint például haj, sapka vagy sál. A fejnek a természetes fejtartásban kell lennie, a szemek vízszintesen rögzítve - lehetőleg egy meghatározott ponton, szemmagasságban, vagy a saját pupillák tükörben való tükröződésénél (5. ábra). A gyűrűs vaku használata itt különösen fontos, mivel ez kiküszöböli a páciens profiljának határának a háttérre vetülő árnyékolását, ami nagyon zavaró lehet, és jelentősen ronthatja a fénykép minőségét és a belőle nyert információt.

4. (45 °) profil (más néven 3/4 profil - mosolygó)

A profilfotó pozícióból a páciensnek kissé jobbra kell fordítania a fejét - körülbelül 3/4-éig, innen az elnevezés -, miközben a testét az előző „profilfotó” pozícióban tartja, azaz előre néz. Ezután arra utasítjuk őket, hogy nézzenek a kamerába, majd mosolyogjanak. Lényeges, hogy a páciens fogai mosolygás közben tisztán látszódjanak, különben a fénykép minimális hasznot hozna (6. ábra).

Ez a felvétel úgy mutatja be a pácienst, mintha „társadalmi

interakcióban” lenne, és értékes információkkal szolgálhat a mosoly esztétikai változásairól a kezelés előtt és után.

Intra-orális klinikai fényképek

A szájüregi fotókhoz a kamera beállításán kívül megfelelő arcretraktorokra, fogászati fotótükrökre, valamint lehetőség szerint jól képzett asszisztensre van szükség. Nagyobb figyelmet igényelnek a részletekre a kiváló eredmények eléréséhez.

Öt alapvető intraorális felvétel készül - a következő sorrendben:

1. Frontális - zárlatban

2. Jobb bukkális (okklúzióban)

3. Bal bukkális (okklúzióban)

4. Felső okkluzális (tükör)

5. Alsó okkluzális (tükör)

1. Frontális (okklúzióban)

A páciens a fogorvosi székben ül, a fejét a klinikus könyökének magasságába emelve. A fogászati asszisztens a páciens mögött áll, és a szélesebb végükről a nagyobb retraktor-készletet használja, hogy a páciens ajkait oldalra és kifelé, a fogaktól és az ínytől távolabb húzza vissza. Az összes fog és a kapcsolódó szövetek láthatóvá tételéhez maximális látómezőre van szükség. A felvételt az arc középvonalához és a központi metszőfogakhoz képest 90°-ban kell készíteni. Az okklúziós síkot a páciens meglévő okklúziójának megfelelően kiegyenlítve. A Ring-Flash nagyban segíti a minőségi fénykép elkészítését, mivel biztosítja a lehető legjobb megvilágítást árnyékmentesen, különösen a szájüreg mélyebb részein és a bukkális vestibulumokban (7. ábra).

2. Jobb

Itt az asszisztens a jobb oldali övvisszahúzót a keskenyebb oldalra fordítja, míg a bal oldali övvisszahúzó a helyén marad, mint az előző frontális felvételnél. A pácienst megkérjük, hogy fordítsa a fejét balra, hogy a jobb oldala a klinikus felé nézzen (8. ábra).

A klinikus tartja a jobb oldali retraktort, és olyan mértékben nyújtja, hogy lehetőleg az utolsó jelenlévő moláris láthatóvá

57 VI. ÉVFOLYAM – 2023. 9. SZÁM
bukkális (okklúzióban) 3. ábra: Teljes homlokfelvétel - ajkak nyugalomban. 4. ábra: Teljes homlokfelvételmosolyogva. 5. ábra: Jobb oldali profilképajkak nyugalomban. 6. ábra: 3/4 profilmosolygó nézet.

váljon, míg az asszisztens a bal oldali retraktort tartja, anélkül, hogy indokolatlanul megnyújtaná. A felvétel ismét 90°ban készül a szemfog-premoláris területhez képest, hogy a bukkális szegmens viszonya a legjobban láthatóvá váljon, mivel ez nagyon fontos az ortodontiai értékelésben. Hasznos tipp lenne, ha a klinikus közvetlenül a felvétel elkészítése előtt teljesen megfeszítené a jobb retraktort, hogy minimalizálja a páciens kellemetlenségeit, és lehetőség szerint maximálisan láthatóvá tegye az utolsó jelenlévő zápfogat.

3. Bal bukkális (okklúzióban)

Az asszisztens most úgy cseréli a retraktorokat, hogy a keskeny végük a fotó oldalán (a beteg bal oldalán), a széles végük pedig a másik oldalon (a beteg jobb oldalán) legyen. Ugyanazok az elvek érvényesek, mint a jobb bukkális felvételnél. A klinikusnak kissé jobbra kell mozgatnia a testét, miközben a retraktort a fotó oldalán tartja, hogy a fotó 90 fokban készüljön a szemfog-premoláris területhez képest, miközben a páciens teljesen jobbra fordítja a fejét (9. ábra).

4.

Az asszisztens most átvált a kisebb retraktorkészletre, és a páciens nyitott szájjal, „V” alakban behelyezi a retraktorokat, hogy a felső ajkakat oldalra és a fogaktól távolabb húzza. A klinikus a tükröt a szélesebbik végével befelé helyezi, hogy a fogív maximális szélességét rögzítse hátulról, és kissé lefelé húzza, hogy a teljes felső fogív látható legyen az utolsó jelenlévő zápfogig (10. ábra) . a felvételnek a tükör síkjához képest 90°-ban kell készülnie a legjobb láthatóság és a vizuális torzítás elkerülése érdekében. A középső szájpadlásrésszel a szájpadlást a felvételen egyenesbe kell állítani. A retraktor minimális láthatósága a képen ajánlott, és a végleges fényképen lehetőleg ne látszódjanak ujjak.

5. Alsó okkluzális (tükör)

Az asszisztens most a kisebb retraktorokat fordított „V” alakban leengedi, hogy az alsó ajkakat oldalra és a fogaktól távolabb húzza vissza. A klinikus most felfelé emeli a

58 e-Journal ORTHODONTIA
Felső okkluzális (tükör) 7. ábra: Frontális nézet - Okklúzióban. 10. ábra: Felső okkluzális nézet - tükör. 11. ábra: Alsó okkluzális nézet - tükör. 8. ábra: Jobb bukkális nézet - okklúzióban. 9. ábra: Bal bukkális nézet - okklúzióban.

tükröt, hogy láthatóvá tegye az alsó íj tükörképét, miközben a pácienst arra kéri, hogy „emelje fel kissé az állát”. Ideális esetben a felvétel a tükör síkjához képest 90°-ban készül, úgy, hogy az utolsó jelenlévő zápfog látható legyen. Fontos kérdés lenne itt a páciens nyelvhelyzete a fénykép készítése közben. A legjobb, ha megkérjük a pácienst, hogy „görgesse vissza” a nyelvét a tükör mögé, hogy az ne zavarja a fogak láthatóságát, különösen a hátsó területen (11. ábra).

További fényképes nézetek

A klinikus számos más nézetet is figyelembe vehet az adott eset teljes körű dokumentálása érdekében, az igényeitől függően. A funkcionális okklúziós felvételeket a fogszabályozó orvos készítheti a fogszabályozás vagy az okklúzió csoportfunkciójának bemutatására, hogy kiegészítse a meglévő feljegyzéseket. Az ajkakról és a szájról mosolygáskor közeli felvétel készíthető az általános mosolyesztétika közelebbi vizsgálatához, vagy a túlnyúlás egyik oldalról történő közeli megtekintése a metszőfogak túlnyúlásának és a túlharapás mértékének bemutatására. A meglévő fogszabályozó készülékek, brackettek vagy ívdrótok és a hozzájuk tartozó segédeszközök bizonyos aspektusaira összpontosító közelképek szükség szerint egyedileg is készíthetők, bár sok klinikus inkább kivágja a szükséges részleteket a korábban ismertetett teljes fényképsorozatból, feltéve, hogy a képminőség romlásának elkerülése érdekében nagy felbontású beállítással készülnek a képkivágáskor.

Hasznos tippek a legjobb eredményekért

Javasoljuk, hogy minden fényképfelvételt a lenyomatvétel előtt készítsenek, hogy a fényképfelvétel készítése során a lenyomatanyag ne ragadjon be a fogak közé vagy az arcra.

A retraktorok megnedvesítése közvetlenül a behelyezés előtt megkönnyíti a megfelelő pozícionálást a szájban a beteg számára minimális kellemetlenséggel.

A retraktorok húzási iránya mindig oldalirányú, kissé előre és kifelé, távol az ínyszövetektől.Ez maximalizálja a látómezőt és minimalizálja a páciens kellemetlenségeit.

Amikor a tükörrel okkluzális felvételeket készítünk, a tükröt meleg vízben kissé felmelegítve a szájba helyezés előtt segít megelőzni a tükrök „ködösödését”, ami megakadályozná a tiszta kép elkészítését.

Egyes betegeknél a bőséges nyálfolyás és a „habzás” befolyásolhatja a készülő kép minőségét, ezért minden egyes felvétel elkészítése előtt nyálelszívó készüléket lehet használni a nyál eltávolítására.

Utómunka

Miután az összes fényképfelvételt beszereztük, azokat le kell tölteni a számítógépre, és az eredeti fájlokat egy külön számítógépre, merevlemezre vagy megfelelő cserélhető adathordozóra kell lementeni, mielőtt a fényképeket utólag feldolgoznánk a végleges archiváláshoz, hogy az eredetiek mindig rendelkezésre álljanak, ha a számítógép vagy a merevlemez meghibásodik, vagy ha az utófeldolgozás során valami baj történik. Ez egy másik cikk témája lesz.

59 VI. ÉVFOLYAM – 2023. 9. SZÁM
labor@dentartttechnik.hu www.dentarttechnik.hu +36 30 682 3827 Virtuális tervezés Ti és CoCr 3D nyomtatása Egyéni implantátumok Egyedi titán zsaluhálók Csontpótlás Csontpótlás eszközei Implantológiai fúrósablonok Műtéti segédeszközök 9024 Győr, Csokonai u. 10. Impl lantológiában és csontpótlásban az első!

TONGUE STAR 2 (TS2) –A NYITOTT HARAPÁS-ZÁRÁSNAK HATÉKONY ESZKÖZE

Bevezetés

A cikk megírásának az volt a célja, hogy bemutassuk a kifejezett szkelettális nyitott harapás kezelésére szolgáló új, lekicsinyített mérettel rendelkező Tongue Star 2 (TS2) rendszert. A cikk első részében a szerző gyakorlati szempontok alapján értékeli a TS2 rendszer klinikai alkalmazhatóságát, a második részében pedig a nyelvlökéses nyeléssel, valamint a nyitott harapás etiológiájával és kezelésével foglalkozik.

A TS2 rendszer klinikai vizsgálata

Módszer

A cikk szerzője két éven keresztül vizsgálta a saját magánklinikáján a rendszerhez tartozó első generációs elemek klinikai alkalmazhatóságának lehetőségeit. A Tongue Star rendszer eredetileg egy kilenc kiemelkedéssel rendelkező elemből állt. Az eredeti rendszerrel nyert tapasztalatok kiértékelését követően megkezdődött a rendszer második generációs elemeinek a kifejlesztése.

A TS2 készüléket a SIA Orthodontic Manufacturer vállalat gyártja Olaszországban. A megújult rendszer 4 komponensből épül fel. A rendszer fő eleme 6 darab alámenős területtel ellátott kiemelkedéssel rendelkezik, ami lehetővé teszi a keresztharapás esetén szükséges gumizást. A nagyobb rugalmasság érdekében az egyes részeit forrasztásos eljárással kötötték össze a ragasztásra szolgáló felülettel, valamint a nyelv által kifejtett nyíróerőkkel szembeni ellenálló képesség növelése érdekében a ragasztási felület 80 G-s átmérővel került kialakításra.

Minden páciens kezelése ugyanazon protokoll szerint zajlott. Összesen 12 darab TS2 elem került a páciensek szájüregébe. Hat darabot a felső frontfogak palatinális felszínének középső harmadában, és 6 darabot az alsó frontfogak lingvális felszínének középső harmadában rögzítettünk.

A TS2 elemek jelentik a 4 különböző komponensből felépülő rendszer legfontosabb elemét a túlzott mértékben előre vagy oldalra helyezett nyugalmi nyelvpozícióval rendelkező páciensek kezelése során. A rendszer második komponense a Tounge Star 2 elemek ragasztásával egy időben kerül alkalmazásra. Az aktív önligírozó bracketek felhelyezésével biztosítjuk a rendszer harmadik komponensének stabil rögzítését. A harmadik komponens az új nikkel-titán ötvözetből készült iAch ív. Ezek az ívek teszik lehető-

vé, hogy folyamatosan kis erőket fejtsünk ki a fogakra. Az ívek a horizontális dimenzióikhoz képest nagyobb vertikális dimenziókkal rendelkeznek (például: .018” × .014”), ami lehetővé teszi, hogy a fog rezisztencia centrumához közelebb fejtsék ki a hatásukat. Ezáltal pedig hamarabb tudunk a metszőfogakon torque erőket kifejteni. A metszőfogak extrúziójának elősegítése érdekében az alsó fogakra kerülő ív a Spee-görbének megfelelően, a felső fogakra kerülő ív pedig az anti-Spee ívnek megfelelően került kialakításra. A rendszer negyedik komponense pedig egy elasztikus mechanika, amely a felső szélső metszőfogak és az alsó szemfogak között fejti ki hatását. Ezt a gumit (1/4”, 4.5 oz) a frontfogak labiális felszínén alkalmazzuk azzal a céllal, hogy a TS2 eszközök hatását elősegítve hozzájáruljon a metszőfogak extrúziójához.

Klinikai eredmények és következtetések

A TS2 készülékeket hatékonyan lehetett felhasználni az elülső nyitott harapás rövid idő alatt történő zárása (rapid open bite closure, ROC) során a nyelvlökés megakadályozására. A kezelés alatt nem tapasztaltunk szignifikáns mértékű gyökérfelszívódásra utaló jeleket. Ez valószínűleg összefüggést mutat azzal, hogy a kezelés során kis erőket alkalmaztunk. Az elülső nyitott harapás rövid idő alatt történő zárása során javasolt a TS2 alkalmazása, mivel ezeknek az elemeknek a segítségével biztosíthatjuk, hogy a nyelv a kezelés alatt a fiziológiás helyzethez hasonló, hátra helyezett helyzetben marad, ami lehetővé teszi a frontfogak extrúzióját.

Az előrehelyezett nyelv által kiváltott multicentrikus erők (nyelvlökéses nyelés)

A nyelvmozgások jelentős mértékben befolyásolják a fogak pozícióját. A nyelv az emberi testben lévő reflexívvel rendelkező izmok közül az egyik legerősebb.1 A nyitott harapással járó harapási rendellenességek két csoportját tudjuk megkülönböztetni. A szemfogak által határolt területnek megfelelően kialakult elülső nyitott harapást és a kisőrlő, nagyőrlő fogak területének megfelelően kialakult oldalsó nyitott harapást. A nyitott harapással rendelkező pácienseknél a nyelv nyelés közben megpróbálja lezárni a szájüreget (szopó reflex), és eközben egy természetellenes, előrehelyezett pozícióba kerül. Ezzel egyidejűleg a nyelv craniális és caudális irányba is erőt fejt ki. Ezáltal az alsó és felső metszőfogak

60 e-Journal ORTHODONTIA

A TS2 elem felépítése

1. Az elem felszínén kialakított 9 darab kiemelkedés megakadályozza a nyelvlökéses nyelés kialakulását. (A TS2 elem nem sérti fel a páciens nyelvét vagy a kezelőorvos kesztyűjét és bőrét.)

7. A megfelelő szájhigiéne érdekében a nyelv előrehelyezését megakadályozó elemek kis mérettel rendelkeznek (pl. a tongue crib-hez képest). A hatásukat aktív önligírozó bracketek felhelyezésével segítjük elő.

6. Az orálisan rögzített elemek gyakorlatilag láthatatlanok a külső szemlélő számára, és rendszerint nem okoznak kellemetlenséget a viselőjüknek.

5. A felső és alsó fogíven szemfogtól szemfogig alkalmazzuk ezeket. Az elemek a fogak orális felszínén kerülnek rögzítésre. A felső fogak esetében az elemeket a koronák középső/ apikális harmadának határának megfelelően ragasztjuk fel.

előtörése korlátozza, valamint ennek köszönhetően idővel a harapás egyre „nyitottabbá” válik. Kifejezett jelentőséggel bír, hogy a természetellenes módon a metszőfogak közé ékelődő nyelv nem csak intrudálja az alsó és felső metszőfogakat, hanem gyakran buccalis irányba is dönti azokat. Több olyan tényezőt is azonosítottak, amelyek hozzájárulhatnak a nyitott harapás kialakulásához.

A nyitott harapás etiológiai tényezői közé tartozik:

1. Laterális irányú nyelvlökéssel együtt járó elülső, alsó és felső pozícióba helyezett nyelv.

2. Allergia, asztma, ferde orrsövény miatt kialakult légúti szűkület, krónikus orrnyálkahártya-gyulladás, megnagyobbodott orrmandulák.

3. Szájlégzéshez társuló elülső, alsó és felső pozícióba helyezett nyelv.

4. Szkelettális rendellenességek (a fiziológiásnál kisebb méretű mandibula, dolicocephalia).

5. Csökkent izomműködés (az izomdisztófiában szenvedő pácienseknél ez rendkívül kifejezett lehet).

6. Késői metszőfog előtörés, vagy a moláris fogak túlzott erupciója.

7. Rossz szokások (ujjszopás, cumizás 6 éves kor fölött).

Már több olyan készüléket is kifejlesztettek, amelyek alkalmasak a nyelvlökéses nyelés megakadályozására. Ezek közé tartozik a hagyományosan a nagyőrlő fogakhoz cementezett ívre rögzített nyelvlökés elleni készülékek, valamint a

2. A TS2 elemen 4 karakterisztikus tulajdonságot lehet megfigyelni: 1: A TS2 elem teste; 2: forrasztás; 3: ragasztási felület; 4: a ragasztási felület felszíni kialakítása.

3. A ragasztási felszín a nyíróerőkkel szembeni ellenálló képesség megnövelése érdekében 80 G-s átmérővel került kialakításra.

4. Az elemen 6 darab alámenős rész található, mivel az oldalsó nyitott harapás kezelése során a felső fogív tágítása miatt gyakran van szükség gumizásra.

felső metszőfogak palatinális felszínére ragasztott speciális bracketek. Ezek általában nagyméretű, kényelmetlen készülékek, amelyek viselése kellemetlenséget okoz a páciens számára.

Mi a TS2?

A Tonuge Star első generációja 2014-ben jelent meg. Az első generációs elem 9 darab lekerekített végű kiemelkedéssel rendelkezett. Ezeknek a kiemelkedéseknek az volt a célja, hogy megakadályozzák a nyelv előrehelyezését. A cikk szerzője két éven keresztül vizsgálta a Tongue Star elem gyakorlati alkalmazhatóságát a Torontóban lévő magánrendelőjében. A vizsgálati eredmények alapján kijelenthető, hogy az első generációs Tongue Star hatékonyan alkalmazható a nyitott harapás zárása során a nyelvlökéses nyelés kialakulásának megakadályozására. A vizsgálat során nyert adatok alapján a szerző megkezdte az első generációs Tongue Star (TS1) módosítását.

A második generációs Tongue Star (TS2) rendszer elemeit a SIA Orthodontic Manufacturer vállalat gyártja Olaszországban. A TS2 rendszer 4 különböző komponensből épül fel.

Az új rendszer jellemzői:

1. A 9 darab lekerekített végű kiemelkedéssel és újításként 6 darab alámenős területtel rendelkező speciális bracket.

61 VI. ÉVFOLYAM – 2023. 9. SZÁM
1. ábra: A TS2 elem felépítése: A második generációs Tongue Star-ra (TS2) jellemző tulajdonságok.

Az oldalsó nyitott harapás általában együtt jár a szkelettális eredetű maxillaszűkülettel. Ennek az állapotnak a kialakulásának hátterében gyakran fül-orr-gégészeti okok állnak. Az ilyen jellegű elváltozásokat jellemezheti a másodlagos szájlégzés és a túlzottan lefele helyezett nyelvpozícióból, valamint a buccinator izmok (mimikai izmok) aktivitásából eredő krónikus izomtónusbeli diszharmónia.

A felső fogak esetében a Tongue Star elemek optimális pozíciója kissé közelebb van az ínszélhez.

A TS2 elemek gumizással és aktív önligírozó bracketekkel együtt történő alkalmazása rendkívül hatékonynak bizonyult a kifejezett szkelettális eredetű elülső és oldalsó nyitott harapással rendelkező esetek kezelése során.

2. A rugalmasság érdekében a bracket és a ragasztási felület között forrasztásos eljárással kialakított kapcsolat.

3. Egy 80 G-s átmérővel rendelkező ragasztási felület, ami a megnövekedett bonderők révén jobban ellenáll a nyíróerőknek.

A felhelyezést követően okozott kellemetlenségek minimalizálása, valamint a jó szájhigiéne fenntartásának elősegítése

érdekében a TS2 elemek a felragasztható gombocskák méretéhez hasonló, redukált nagyságban készülnek. A keresztharapás esetén a szükséges gumizást lehetővé tevő 6 darab alámenős terület a 9 kiemelkedő rész egyes elemeinek felszínén került kialakításra. A gumizás általában azoknál az oldalsó nyitott harapással kezelt betegek körében szükséges, akiknél az oldalsó nyitott harapással egyidejűleg kifejezett szkelettális eredetű maxillaszűkület is fennáll (2. a–b ábra)

62 e-Journal ORTHODONTIA
2. a–b ábrák: 3. a–b ábra: 4. a-b. ábrák:

Hova célszerű felhelyezni a TS2 elemeket?

A mindennapi gyakorlatban az alsó és felső frontfogak orális felszínének középső harmadában rögzítjük a TS2 elemeket (3. a–b ábra) . A felső fogak esetében célszerű ezeket az elemeket a középső harmad gingivális széléhez közelebb rögzíteni, mivel a nyitott harapás zárása során így tudjuk azt elkerülni, hogy korai érintkezés alakuljon ki a felső és alsó metszőfogak között. A protokoll szerint a 12 darab TS2 elemet az aktív, önligírozó „Siamese twin” bracketek teljes fogívre történő ragasztásával egyidejűleg rögzítünk. A kezelés során az új 018”. 014” átmérőjű NiTi iArch ívek használatát javasoljuk (SIA Orthodontic Manufacturer). Ezen felül a nyitott harapás kezelése során (4. a-b ábra) a zárás sebességének gyorsítása érdekében a felső szélső metszőfogak és az alsó szemfogak által határolt négyszögnek megfelelően gumizással (1/4”, 4.5 oz) egészítjük ki a kezelést (6. b ábra) . A négy komponensből álló rendszer ezáltal válik teljessé.

Milyen előnyökkel jár a TS2 rendszer használata?

Naponta átlagosan 600-szor nyelünk. Ebbe a számba beletartozik a beszéd és rágás közben végzett nyelés is. Nyelés közben a nyelv általában a szájpadláshoz nyomódik. Az elülső nyitott harapással rendelkező páciensek esetében azonban a nyelv nyelés közben behatol a frontfogak között található résbe, azaz előrehelyeződik (ezt nevezzük nyelvlökéses nyelésnek). A TS2 rendszer alkalmas mind az elülső, mind az oldalsó nyitott harapás kezelésére (4/a-b. ábra). A TS2 elemeket az aktív önligírozó bracketekkel együtt használják. Ez teszi lehetővé, hogy az alsó és felső frontfogak pozíciójának a rendezése megfelelően kontrollálva történjen. Ha a nyitott harapást kiváltó etiológiai tényezőt (pl.: szűkült légutak) időközben megszüntettük, akkor a megfelelő frontfog viszony kialakítá -

sát követően (megfelelő overbite) a nyelv általában egy a fiziológiás viszonyokhoz közelebb álló, hátrébb helyezett pozíciót vesz fel.

Melyik életkorban javasolt a TS2 rendszer használata?

A TS2 rendszer használatát minden életkorban – a gyerekek korai interceptív kezelésétől kezdve a felnőttkorban végzett fogszabályzó kezelésekig – javasoljuk (5. a-f. ábrák) . A TS2 elemek felhelyezésének legoptimálisabb időpontja az aktív önligírozó bracketek ragasztásának időpontjával esik egybe. (A brarketek általában a fogak labiális felületén kerülnek rögzítésre.) A TS2 elemek és az aktív önligírozó bracketek együttes alkalmazásából eredő szinergisztikus hatásokat a speciális iArch ívek egyidejű alkalmazásával lehet a legjobban és a leghatékonyabban kihasználni. Az iArch ívek a horizontális átmérőjükhöz képest nagyobb vertikális átmérővel rendelkeznek (pl.: .018” × .014”), amely lehetővé teszi, hogy a fellépő erők a fog rezisztencia centrumához közelebb fejtsék ki a hatásukat. Ezáltal lehetővé válik, hogy a frontfogakat már a kezelés korábbi szakaszában is megfelelő torque erők érjék, valamint így tudjuk a nyitott harapás kezeléséhez szükséges mértékben szabályozni a kezelés során fellépő erőket. A metszőfogak pozíciója rendezésének elősegítése érdekében az alsó ív a Spee-görbének megfelelően, a felső ív pedig az anti-Spee ívnek megfelelően került kialakításra. A frontfogakra labiálisan felhelyezett gumival egyszerre tudjuk gyorsítani a frontfogak pozíciójának rendezését, valamint a káros nyelvmozgások kialakulását korlátozni (6. b ábra) . A rendelkezésre álló adatok alapján ennek a kis erőket alkalmazó rendszer használata során nem kell szignifikáns mértékű gyökér-reszorpció kialakulására számítanunk. A rendszer a természetellenes nyelvpozícióból eredő multicentrikus (előre, felfelé, lefelé és oldalirányba is mutató) erők korlátozásán keresztül fejti ki a hatását.

63 VI. ÉVFOLYAM – 2023. 9. SZÁM
5. a-b. ábrák: A 9 éves páciensről készült felvételen jól megfigyelhető, hogy az előrehelyezett nyelv a fiziológiás pozícióhoz képest lejjebb kerül, ami az alsó metszőfogak labiális irányba történő dőlését okozza. Ez a tény rendkívül szemléletes módon bizonyítja, hogy mindkét fogívben alkalmazni kell a TS2 elemeket.

Hogyan működik a TS2 rendszer?

A TS2 hatásmechanizmusának az az alapja, hogy alkalmazása során negatív megerősítés útján csökken a nyelv előrehelyezésének gyakorisága.2 Ugyanolyan hatást vált ki, mint amikor valaki hozzáér a forró főzőlaphoz (6. a ábra) Ugyanakkor fontos megjegyezni, hogy mivel mind a 9 kiemelkedés lekerekített végződéssel rendelkezik, így sem a nyelv, sem a kezelőorvos kesztyűje vagy bőre sem sérül meg a használata során. Ha megtapintjuk, akkor a felszíne a durva csiszolópapír felületéhez hasonló érzetet kelt,

ami épp elég arra, hogy „emlékeztesse” a nyelvet arra, hogy rossz pozícióban van. Ez a hatása teszi lehetővé azt, hogy a nyitott harapás zárása során hatékonyan lehessen alkalmazni a frontrégióban végzett gumizással (5/16”, 4.5 oz) kiegészítve (6. b ábra). Az oldalsó nyitott harapás kezelése során a TS2 elemek a kisőrlő és nagyőrlő fogakon kerülnek rögzítésre. Ebben az esetben a kezelés során erős gumikat használnak (1/4”, 4.5 oz), amelyek egyszerre teszik lehetővé a felső fogív tágítását és biztosítják, hogy a nyelv ne kerüljön oldalra helyezett pozícióba. Ezen felül fontos, hogy felhívjuk a páciensek figyelmét arra, hogy a TS2 elemek rögzítését követően nyelés közben arra kell törekedni, hogy a nyelvük hozzáérjen a szájpadlásukhoz.

64 e-Journal ORTHODONTIA
5. c–d ábrák: A röntgenfelvételeken jól megfigyelhető, hogy az előrehelyezett nyelv (c) gyakran együtt jár az orrjáratokat borító nyálkahártya gyulladása és megnagyobbodása miatt kialakult szűkületekkel (d), a másodlagos szájlégzéssel és a nagyőrlő fogak túlzott mértékű erupciójával. 5. e–f ábra: A nyitott harapás TS2 rendszerrel történő zárását követően készült felvételeken jól látható, hogy helyreállt az alsó és felső ajak viszonya, valamint megfigyelhető a fogazati rendellenesség rendeződése is.

n nagy stabilitás

n hosszú feldolgozási idô

n klinikailag bevizsgált

n fogtechnikusok és a tudomány által is világszerte elismert anyag

T á

gítócsavarok

n kizárólag nemes acélból készült

n minimális nagyság, maximális tágítás

Turnstr. 31 I 75228 Ispringen I Germany I Tel. + 49 72 31 / 803 - 0 I Fax + 49 72 31 / 803 - 295 www.dentaurum.com I info@dentaurum.com
b b i info rmációk : Orthocryl® Tágítócsavarok
mûanyag-rendszer kivehetô orthodonciás
T o v á
Orthocryl
készülékekhez

Az elülső nyitott harapás kezelése során fontos rendszeresen ellenőrizni a TS2 elemek gingivális irányba mutató kiemelkedéseinek és az ínynek a viszonyát. Szükség esetén turbinával redukáljuk a kiemelkedések kiterjedését. Ezzel elkerülhetjük a szövődmények kialakulását. A relapszus elkerülése, valamint a hosszú távon stabil eredmények biztosítása érdekében a fiziológiásnál nagyobb mértékű overbite-ot kell létrehoznunk a kezelés során (>30%). Az átlagosnál kisebb mandibulával rendelkező pácienseknél gyakran alakul ki nyitott harapás. Az alsó és felső frontfogak esetében javasolt, hogy az átlagos bracket-pozícióhoz képest 1 mm-rel apikálisabban rögzítsük a bracketeket, mivel ezzel is elő tudjuk segíteni a nyitott harapás minél gyorsabb zárását. Ez kimondottan fontos a felső, szélső metszőfogak esetében, mivel a metszőfogak közül ezek rendelkeznek a legkisebb mérettel, valamint ezeket a fogakat érik leginkább a természetellenes módon előrehelyezett nyelvpozícióból eredő erők.

Megbeszélés –A TS2 rendszer előnyei

Ezt a 4 komponensből álló rendszert a nyitott harapás rövid idő alatt történő zárása érdekében hozták létre. A Tongue Star elemek második generációját a rendszer kialakítása során fejlesztették ki. A kezelés alatt sor kerül a frontrégióban történő gumizásra, továbbá aktív önligírozó bracketek és az új iArch ív használatára. A rendszer haté-

konyságát tovább növeli, hogy az ívek alacsony ellenállással rendelkeznek. Ezt a tulajdonságukat in vitro körülmények között vizsgálták.

Összefoglalás

1. A fémből készült TS2 rendszer segítségével rendelői körülmények között is hatékonyan lehet kezelni a nyitott harapást.

2. A rendszer hatékonysága az egyszerűen felhasználható és ragasztással jól rögzíthető TS2 elemekből fakad. A TS2 elemeknél nem tapasztalható anyagfáradás, valamint a nagyobb komfort és a jobb szájhigiénia érdekében a lehető legkisebb méretben kerültek kialakításra.

3. Protokoll szerint a TS2 elemekből összesen 12 darab kerül felhasználásra. A felső szemfogtól a felső szemfogig, valamint az alsó szemfogtól az alsó szemfogig helyezzük fel ezeket, mivel a nyelv legtöbbször a fiziológiás helyzethez képest előrébb, feljebb és lejjebb található.

A TS2 elemeket ideális esetben a frontrégióban végzett gumizással (5/16”, 4.5oz) és az új Ni-Ti ötvözetből készült aktív önligírozó bracketekkel együtt alkalmazzák, amelyek lehetővé teszik, hogy folyamatosan kis erőkkel tudjuk a parodontális rostokat terhelni. A megfelelő esztétikai megjelenés érdekében a bracketek finoman kidolgozott felszínnel rendelkeznek, továbbá a nagyőrlő fogaktól kezdve a metszőfogakig egyre kisebb nagyságú erőt fejtenek ki a fogakra. A bracketek alkalmazásának az egyik további előnye, hogy kisebb ellenállást fejtenek ki az ívre (in vitro körülmények között vizsgálva). Az új iArch ív alkalmazásával hamarabb tudunk megfelelő torque erőket létrehozni a metszőfogaknál, valamint ezek az erők a metszőfogak rezisztencia centrumához közelebb jönnek létre. (Az ezzel kapcsolatos vizsgálati eredményeinket várhatóan a közeljövőben fogjuk publikálni.)

Forrás: Ortho 2017/2

66 e-Journal ORTHODONTIA
A TS2 rendszerrel végzett különleges kezelések és a nyitott harapás túlzott korrekciója
6. a–b ábrák: A TS2 elemek által kiváltott nyelvvisszahúzási reflex (a). A frontrégióban történő gumizást szemléltető kép (b).
MÁR KAPHATÓ AZ ELSO ˝ TELJESEN DIGITÁLISAN TERVEZHETO ˝ HYRAX CSAVARUNK! EXPANDER Orthodontics and Implantology www.hernadent.hu

TEMPOROMANDIBULÁRIS BETEGSÉGEK (TMD) DIAGNÓZISA ÉS AZ AQUASPLINT TERÁPIA EGY ÚJ ELJÁRÁS A TMJ/TMD

EGYSZERŰ DIAGNÓZISÁHOZ ÉS HATÉKONY TERÁPIÁJÁHOZ

Az okkluzális rehabilitációt megelőzően a temporomandibuláris ízület vizsgálata elengedhetetlen preventív, terápiás és igazságügyi szempontból is.1 A mindennapi gyakorlatban egy egyszerű és hatékony koncepcióra van szükség egyértelmű következtetésekkel, annak érdekében, hogy kezeljük a TMD-ben (temporomandibuláris ízületi rendellenességben) szenvedőt vagy megelőzzük az iatrogén baleseteket a kezelés során. Továbbá a tervezés és a prognózis is hatékonyan javítható számos esetben.

A legtöbb diagnosztikai módszer – a drága axiográfiától és elektromiográfiás méréstől kezdve a kifinomult képalkotó technikákig (MR, CT stb.) – meglehetősen nagy költséget von maga után az idő és az anyagi ráfordítás tekintetében. Mivel ezek a technikák többnyire egy speciális rész vagy struktúra vizsgálatára fókuszálnak, nem tekinthetők univerzális vagy standard vizsgálati módszernek, habár néhány bizonytalan esetben szükség van ezekre.

A Kiel koncepció szerinti Manuális Funkció Analízis (Bumann és munkatársai 1989) jelentette az első lényeges előrelépést a gyakorlatorientált koncepció felé (1. ábra)

Ennek alapján fejlesztették ki az AquaSplint koncepciót. Kompakt formában a Kiel koncepció által kidolgozott technikákat alkalmazzák a szövetspecifikus diagnosztikához. Ennek következtében az AquaSplint segítségével határozták meg az etiológiát és a differenciáldiagnózist, ami jelentősen befolyásolja a terápiás döntéseket és a tervezést.

A korábbi feltevések, miszerint a TMD-k a stomatognath területről erednek, csak részben helyes. A jelenlegi irodalomban a vélemények széles körben különböznek ebben. Mi hiszünk abban, hogy a malokklúzió biztosan az okok között van bizonyos TMI elváltozásokban, különösen a kompresszió okozta fájdalom esetében. Habár ez ritkán fordul elő önmagában. Általánosan ismert, hogy vannak olyan páciensek, akik az extrém malokklúzió ellenére is alig vagy egyáltalán nem éreznek kellemetlenséget, miközben más pácienseket

ez súlyosan érinti a kismértékű vagy okkluzális diszkrepancia hiány ellenére is.

A TMD több tényező kölcsönhatásának együttes eredménye:

• Malokklúzió, TMI túlterhelése (kompresszió, kényszerpozíció stb.);

• A rágóizmok hiperaktivitása (bruxizmus/szorítás);

• Pszichoszomatikus eltérések, stressz szindróma;

• Ízület hipermobilitása, különösen általános kötőszöveti gyengeséggel kombinálva (2. és 2/a ábrák) 7,8 ;

• Trauma;

• Nyaki rendellenességek/nyaki gerinc szindróma;

• Belgyógyászati megbetegedések (hormonális, keringési rendellenességek, reuma stb.).

A TMI belső zavarai inkább az ízület túlmozgásának eredménye, mint a malokklúzióé. Egy 12 éves hosszú távú vizsgálat

68 e-Journal ORTHODONTIA
Dr. Aladin Sabbagh (Németország) 1. ábra: TMI vizsgálata/caudális trakció. 2. b ábra: A porckorongficamos páciensek 92,5%-ának egy időben általános kötőszöveti lazasága is volt. 2. és 2. a ábra: Általános kötőszöveti lazaság.

(1997–2009) során a fogszabályozó praxisunkban minden porckorongficammal diagnosztizált páciens (n = 535) harapási viszonyait megvizsgáltuk, beleértve a csuklóízület kézi vizsgálatát is. Bizonytalan esetben MRI vizsgálatot is kértünk. 421 páciens esetében találtunk anterior porckorongeltolódást sérüléssel, 114 páciens sérülés nélkül mutatott elmozdulást. A kötőszöveti gyengeséggel való összefüggés nagymértékű volt. Együtt előforduló általános kötőszöveti gyengeség a páciensek esetében 92,5%-ban volt megfigyelhető (2/b ábra). Ezzel ellentétben nem volt jelentős összefüggés a malokklúzió és a fent említett porckorong rendellenességek között. Ezért az okkluzális rehabilitációval járó porckorong-visszahelyezés kérdéses megközelítés lehet. Ez a fajta terápia gyakran bonyolult, időigényes és drága, és nem kockázatmentes sebészeti visszahelyezés esetén. Ezen kívül ez a terápia nyilvánvalóan nem feltétlenül biztosítja a teljes diszkusz elmozdulást anélkül, hogy az később sérülne.8

A fentiek értelmé

A meglévő fájdalomtüneteket ki kell vizsgálni és meggyőződni arról, hogy TMI vagy rágóizom eredetűek. A fantom, vagy kisugárzó fájdalmat ki kell zárni a szövetspecifikus kézi diagnosztikával. A következő diagnosztikus lépésnek az a célja, hogy meghatározzuk, hogy malokklúzió okozza-e a fájdalmat. Ezt leghatékonyabban az AquaSplint használatával a meglévő malokklúzió (ideiglenes) semlegesítésével/ felszabadításával érhetjük el. Így az esetleges kényszerharapás elmúlik, és az izmok nyugalmi állapotba kerülnek. Súlyos esetben kézi- és fiziko-/kiegészítő terápiát kell alkalmazni. Általában a malokklúzió által okozott TMD az AquaSplint terápiára négy héten belül reagál. A legalább 50%-os fájdalomcsökkenés kedvező előfeltétele és indikátora az ígéretes fogszabályozási kezelésnek. Az AquaSplint használata gyakran megváltoztatja a harapást. Következésképpen az előidézett új és majdnem fájdalommentes harapási helyzet fogszabályozási rehabilitációt igényel, vagy legalábbis stabilizációt, ami egy kiegészítő sínt jelent éjszakai használatra. 10

Klasszikus AquaSplint

A klasszikus AquaSplint az egyetlen önbeállító, egyénre szabható és előre gyártott TMD sín, amit azonnal szájba lehet helyezni előkészítés, lenyomatvétel vagy harapási regisztráció nélkül. Az eszköz két vizes párnából áll, amelyet egy cső köt össze (hidrosztatikus víz egyensúly). A vizes párnákat akrilnyereggel látták el, melyeket egy speciális, hosszú időtartamú puha szilikonnal vontak be. Ez lehetővé teszi az azonnali optimális stabilitást és kényelmet, valamint a kelle-

metlen, hagyományos kemény sínekhez képest a következő előnyöket nyújtja:

• Azonnali segítség/enyhülés laboratóriumi eljárások vagy más előkészület nélkül.

• Univerzális, és néhány perc alatt behelyezhető a páciens szájába; gyermekek és serdülők számára is alkalmazható.

• Önbeállító, nem szükséges csiszolni vagy többször viszszahívni a pácienst (a két vízpárna közötti hidrosztatikus egyensúlynak köszönhetően).

• Helyettesíti a relaxációs és a disztrakciós sínt (nem növeli a kompressziót az ízületben, ellentétben az elülső harapással ellátott darabokkal/sínnel).

• Nagy pontosságú, és kényelmes illeszkedésű az egyedi alábélelés révén.

• Nem több, mint napi 10 óra a viselési idő (nyolc óra éjszaka, két óra nappal).

• Kiváló klinikai eredmények és pácienselégedettség a gyors fájdalomcsökkentő képességének köszönhetően, kényelmes és előnyös pozícióba helyezi a mandibulát (nagyobb stabilitás, valamint kevésbé látható a maxilláris sínekhez képest).

A hasonló vizes párnákkal összehasonlítva a klasszikus AquaSplint a következő előnyöket nyújtja:

• Fokozott izomrelaxáció: míg a hagyományos termékeket a tartós szájzárással vagy izomtevékenységgel kell a helyén tartani, amely befolyásolhatja a megfelelő izomrelaxációt, a klasszikus AquaSplint eredendő stabilitása (alábélelés) és a kedvező pozicionálás az állkapocsban lehetővé teszik az izomlazulás javulását.

• Az egyedülállóan önbeállító, testre szabható TMD sín alkalmazható fogszabályozó kezelés közben is (Invisalignnel vagy hagyományos brackettekkel is, feltéve, hogy a brackettek ki vannak blokkolva viasszal), (3. és 3/a ábrák)

• Hosszabb élettartam (négy hét), kevés folyadék-veszteséggel.

• Nincsenek éles élek.

69 VI. ÉVFOLYAM – 2023. 9. SZÁM
ben a kattogás a jelenlegi AquaSp -
lint koncepció szerint – nem alapja egy sürgős kezelésnek.
3. és 3. a ábra: AquaSplint használata a fogszabályozó kezelés alatt.

4. ábra: A nyereg szélességét változtatni lehet, szélesítéssel, ha szükséges, vagy egy rész levágásával csökkenteni, hogy felhelyezhető legyen minden fogformára vagy koronára/hídra, ugyanúgy, mint brackettekre és ívekre.

5. ábra: Mindkét nyereg belső felszínére bondot alkalmazunk.

6. és 6. a ábra: A speciálisan hosszú távra gyártott rugalmas (puha) alábélelő szilikont finoman, magas nyomáson injektáljuk mindkét nyereg belső felére. Egy adagoló használata javasolt a 60-as keménység miatt és azért, hogy a munkát megkönnyítsük.

7. ábra: Ezután a klasszikus AquaSplint behelyezésre kerül az alsó állcsontra (nyereg 35/36-os vagy 45/46-os). A „V” jelölés mutatja a cső közepét, amely elősegíti a pontos behelyezést a 31-es és a 41-es közé. A szoros kontaktot a cső és az íny között kerülni kell. – 8. ábra: A felesleges szilikont 4-5 perc múlva el lehet távolítani. – 9. ábra: A klasszikus AquaSplint-et nem lehet állandó sínként használni egy kiegészítő, 0,5 mm vékony stabilizáló sín nélkül.

Indikációk

• Gyors fájdalomcsillapítás, különösen akut esetekben (például balesetek, a trauma és a diszkusz elmozdulása sérülés nélkül, jelentős szájnyitási korlátozottság és nehezített lenyomatvétel esetén).

• Izomlazítás, különösen akut vagy időszakos fogcsikorgatás esetében (bruxizmus/szorítás), pl. stresszes időszakokban: vizsga és akut pszichológiai trauma (nem alkalmas krónikus bruxizmus esetén).

• Rejtett funkcionális rendellenességek megállapítása/megszüntetése, korai érintkezés, kényszerharapás.

• Egyszerű preprotetikai/preorthodonciai harapásregisztráció.

• Magas differenciáldiagnosztikai érvényesség és támogató terápia a multifaktoriális etiológiájú társ-megbetegedésekben (nyaki rendellenesség szindróma, tinnitus, migrénes fejfájás, stressz szindróma, alvási apnoé stb.).

• Kiegészítő kezelés, ami támogatja a csontkovácsolást/fizikoterápiát trauma vagy műtét után, beszűkült mozgás és blokádok esetén.

A két vizes párna hidrosztatikus hatásának köszönhetően az állkapocs pozicionálás/okklúziós kontaktusok egyenletessé és harmonikussá válnak becsiszolás és beállítás nélkül (hagyományos harapási sín), a mandibula önegyensúlyt ér el. Ez az új fájdalommentes vagy csökkentett fájdalmú terápiás helyzet képezi az alapját a további okkluzális rehabilitációnak (vertikális elérés esetén protetikai, transzverzális és

szagittális eltérés esetén orthodonciai), vagy a hosszú távú stabilizálósínnek, vagy a hosszú távú ideiglenes ellátásnak.

Továbbá a klasszikus sínterápia három elsődleges feladata teljesül: a kóros okklúzió megszüntetése, a hiperaktív rágóizmok tónusának csökkentése és a zománcabrázió csökkentése.

A klasszikus AquaSplint nem használható állandó sínként egy 0,5 mm-es stabilizálósín nélkül (9. ábra), mivel a nemkívánatos okkluzális módosulásokat/változásokat ki kell zárni.

A kiegészítő 0,5 mm-es sín egy jó kompromisszumos megoldásnak bizonyul, különösképpen azoknál a pácienseknél, akik képtelenek, vagy nem hajlandók hordani a merev harapási sínt az AquaSplint terápia után. Továbbá ezek a kiegészítő vékony sínek egyértelműen meghosszabbítják az AquaSplint élettartamát, különösképpen bruxizmus esetén. Általában a protetikai/orthodonciai rehabilitációnak vagy a kiegészítő végleges sínnek (kompromisszumként) kell követnie az AquaSplint terápiát, ha a fájdalom fő oka a malokklúzió volt, és ha nagymértékű az eltérés a régi és az új terápiás/fájdalommentes okklúzió között. Néhány esetben az okkluzális rehabilitáció szükségtelen, különösen, ha a meglévő TMD-t inkább főként trauma vagy szisztémás megbetegedés okozza, nem pedig malokklúzió. Abban az esetben, ha az AquaSplint terápia nem mutat jelentős javulást négy-hat hét elteltével, akkor a stomatognath tényező mint a betegség fő oka, elvetendő. Sajnálatos módon, ezeken a betegeken nem lehet segíteni a fogászati praxis keretében, kivéve az abrázió megelőzését. Ezekben az esetekben interdiszciplináris konzultáció javasolt egyéb szakágakkal, úgymint fül-orr-gégészet, ortopédia, pszichológus és nőgyógyász.

70 e-Journal ORTHODONTIA

Mini AquaSplint

A mini AquaSplint egy egyszerűsített változata a klasszikus AquaSplintnek, az alábbi jellemzőkkel:

1. Alacsonyabb a magassága, mert a nyeregre a szilikon alábélelő anyag nem szükséges. Ez alapvetően olyan TMD-s pácienseknek ajánlott, akiknek nyitott harapásuk van.

2. Alapvetően nem fogorvosoknak ajánlott, így pl. ortopédus specialistáknak, fül-orr-gégész specialistáknak, csontkovácsoknak, fiziko-terapeutáknak és gyógyszerészeknek (nem szükséges speciális fogászati alábélelés).

3. Az integrált drót egyénileg meghajlítható a fogívnek megfelelően.

4. A felső és az alsó állcsonton is használható (10. és 11. ábrák)

5. Egy optimális és hatékony kiinduló terápia, amit követhet a klasszikus AquaSplint vagy az okkluzális rehabilitáció, vagy más beavatkozás.

Az AquaSplint koncepció – az utóbbi évek tapasztalatai alapján – kiváló klinikai eredményeket és pácienselégedettséget mutatott, különösképpen a gyors fájdalomcsökkentő hatásának, a kényelmes viselésnek és a mandibula kedvező pozicionálásának köszönhetően. Nagy előnyei közé tartozik, hogy a használójának egyszerű és gyors diagnosztikai eljárást nyújt, és a hatékony terápia esélyét a lenyomatvételek, a harapásregisztráció, a laboratóriumi eljárás és becsiszolás nélkül. Az új koncepció lehetővé teszi a felhasználó számára a pontos diagnózist, valamint a célzott terápiát észszerű időés költségráfordítással.

Az AquaSplint a TeleDenta GmbH terméke, Németország (www.teledenta.com) és kizárólag a Dental Imagination Pty. Kft. forgalmazza (Sydney, Ausztrália) (www.dentaimagination.com;email: dentimag@optusnet.co.au).

Forrás: Dental Asia 2014 október/szeptember

71 VI. ÉVFOLYAM – 2023. 9. SZÁM
ARANY MUNKÁIT RENDELJE MEG A SCHULZE LABORTÓL! Több mint 100 éves tapasztalat! INLAY, ONLAY ARANY KERÁMIA ARANY LEMEZ ARANY KOMBINÁLT MUNKA LEMEZ ARANYOZÁS GALVÁN MUNKÁK KESZÍTÉSE ELÉRHETŐSÉG: +36 20 366 10 80 schulzefogtechnika@gmail.com
10. és 11. ábra: A mini AquaSplint az alsó és a felső állcsonton is használható.

SABLONNAL TÖRTÉNŐ BRACKET-RAGASZTÁS

A

hagyományos és a digitális technika előnyeinek

összehasonlítása

72 e-Journal ORTHODONTIA
Dr. Arturo Fortini, dr. Alvise Caburlotto, dr. Elisabetta Carli, dr. Giulia Fortini, dr. Francesca Scilla Smith (Olaszország) 1. ábra: A Dental-studio program Ortho-Studio modulja.

Az egyenesíves-technika egyik legjellemzőbb tulajdonsága, hogy a bracketek egyedileg meghatározott angulációs, torque és in-out értékekkel rendelkeznek, ezért jelentősen kevesebb alkalommal kell az íven első-, másod- vagy harmadrendű hajlításokat eszközölnünk. Ebből adódóan a megfelelő fogmozgatás és a nagy bizonyossággal megjósolható végeredmény biztosítása érdekében kifejezett jelentőséggel bír a bracketek megfelelő pozicionálása. A kezelés egyik legkritikusabb lépése, hogy megfelelő pozícióban rögzítsük a bracketeket.

Ha a bracketek ragasztását szabadkézzel végezzük, akkor viszonylag nagy eltérések lehetnek azok optimális és tény-

leges pozíciója között. Ennek a különbségnek a nagyságát jelentős mértékben befolyásolja a kezelést végző fogorvos kézügyessége és a bracketek helyes térbeli pozíciójának meghatározására való képessége. A bracket pozíciója a horizontális, a vertikális és a mezio-disztális tengely mentén is eltérhet az optimálistól. Ez az eltérés a későbbiekben a bracket eltávolításához, majd ismételt felragasztásához vezethet, ami a kezelési idő felesleges megnyújtását eredményezi. Az utóbbi években olyan indirekt ragasztási módszereket dolgoztak ki, amelyek alkalmazásával a bracketek optimális pozícióját még nagyobb pontossággal és még gyorsabban tudjuk meghatározni. Az általunk elvégzett vizsgálatnak az volt a célja, hogy „split-mouth” vizsgálati

73 VI. ÉVFOLYAM – 2023. 9. SZÁM
3. és 4. ábra: A hagyományos eljárással történő ragasztás hátránya az eltérő pontossággal meghatározott bracket pozíciókban, valamint a bracketek ragasztási felülete körül található kompozitfeleslegben mutatkozik meg. 2. ábra: A Leone által gyártott sablonnal történő indirekt bracket ragasztásról készült felvétel.

módszer segítségével összehasonlítsuk az új, digitális módszerekkel kialakított ragasztási sablon (Transfer Bite Leone) és a hagyományos, clear anyagból készült, kétkanalas technikával végzett bracket-ragasztás során a ragasztási felület körül látható ragasztófelesleg mennyiségét.

Annak érdekében, hogy elkerüljük a bracketek eltérő pozicionálásából adódó különbségeket, mindkét módszer mellett ugyanazt az általunk meghatározott célra kifejlesztett számítógépes programot használtuk a tervezés során. Leone Maestro 3D Ortho Studio software (AGE Solutions) segítségével dolgoztuk fel az intra-orális, vagy a gipszminta 3 dimenziós szkennelés során kapott STL fájlokat. A program által biztosított digitális munkafelület lehetővé teszi a modellek szegmentációját, a fogak szélességének és hosszának a megmérését, valamint ezt követően a fogak hossztengelyének és a klinikai koronák átlagos magasságának a meghatározását. Ezeknek az információknak a birtokában a program a virtuális térben optimális pozícióba rendezi a bracketeket. A kezelést végző orvosnak ezt követően lehetősége van bracketeként módosítani a ragasztás hossztengely mentén kijelölt pozícióját, a bracket által kifejtett torque érték, valamint a döntő- és rotáló erők nagyságát. Ezáltal a tervezés végén a bracketek a kezelési céloknak leginkább megfelelő, a páciens anatómiai jellemzői által meghatározott egyedi pozícióba kerülnek (1. ábra)

Az ideális bracket-pozíciók meghatározását követően a Maestro 3D software segítségével létrehoztuk azt a fájlt, melynek alapján egy 3D nyomtató segítségével létre tudtuk hozni a ragasztási sablon elkészítéséhez szükséges modellt. A bal oldali fogíven a bracketeket olyan módon integráltuk a modellbe, hogy később egy hagyományos, thermoplasztikus clear anyagból készült sablon kialakításához fel tudjuk használni. Ez a sablon magában hordozza azokat a bracketeket, amelyeket a későbbiekben rögzíteni akarunk a fogak felszínére. A jobb oldali fogív esetében a program segítségével megterveztünk egy Transfer Bite-ot, melynek a segítségével a továbbiakban lehetőségünk lesz a bracketek pontos pozicionálására. A Transfer Bite biokompatibilis anyagból készül,

egy előre meghatározott paramétereknek megfelelően beállított nagy pontosságú 3D nyomtató segítségével.

Az Amerikai Orthodontusok Egyesületének (American Association of Orthodontics) tagjaiból álló bizottság elfogadta a „split-mouth” módszerrel végzett klinikai vizsgálati protokollunkat. A vizsgálatunk eredményeit a San Diegóban (USA) megrendezett 2017. évi nagygyűlésen mutattuk be (2. ábra) A vizsgálati eredmények kiértékelése során nyilvánvalóvá váltak a hagyományos két-kanalas módszer hátrányai: a ragasztás pontossága bracketenként eltérő volt, viszonylag nagy mennyiségű kompozitfelesleg jelenik meg körülöttük, amit a ragasztás során nem lehet eltávolítani, valamint viszonylag nehéz eltávolítani a thermoplasztikus anyagból készült sablont is (3. és 4. ábra)

A Transfer Bite rendszert összességében jobbnak ítéltük meg, mivel biztosítja a bracketek ragasztási felületére való közvetlen rálátást a kezelést végző orvos számára, akinek így lehetősége van a kompozitfelesleg eltávolítására (5. ábra). Ezen túl a Transfer Bite a thermoplasztikus módszerrel készült sablonokhoz képest nagyobb stabilitással rendelkezik, és pontosabban ül a fogíven. Ennek köszönhetően még pontosabbak lehetünk a ragasztás során, valamint ha az egyik bracket leesik, akkor annak az eredeti pozícióba történő visszaragasztása is jelentősen egyszerűbb.

Az eddigi – 12 páciens kezelése során nyert – tapasztalataink alapján indirekt ragasztási eljárás esetén a hagyományos módszerrel készült ragasztási sablonok alkalmazásához képest a Transfer Bite-tal sokkal egyszerűbben, könnyebben és gyorsabban tudjuk a bracketeket felragasztani. Ennek az új rendszernek a sikeres alkalmazása kevésbé függ a felhasználó gyakorlati tudásától, ezért még a kevésbé gyakorlott kollégák is nagy pontossággal használhatják.

Forrás: Ortho 2018/1

74 e-Journal ORTHODONTIA
5. ábra: A Leone által gyártott Transfer Bite rendszer.

Empowering Predictability and Performance in Immediacy

KIZÁRÓLAGOS MAGYARORSZÁGI FORGALMAZÓ alphaimplant.hu powered by TM Launch!

ERŐS FOGAK ÉS EGÉSZSÉGES SZÁJ – MEGGYŐZŐ MOSOLY

A száj és a fogak nemcsak a táplálkozás és az emberi kommunikáció fontos részei, de esztétikai szempontból is jelentős szerepük van. Az egészséges fogak és fogíny egészségünk meghatározó elemei, a hibátlan, derűs mosoly pedig minden egyén kívánsága.

Nem csak a fogak fájnak

Az íny leggyakoribb gyulladásos megbetegedése a gingvitis vagy fogínygyulladás, mely legtöbbször a rossz szájhigiénia következményeként jön létre. A begyulladt és vérző fogíny a rossz lehelet mellett a betegség első jele. A gingvitist tehát gyógyítani kell, mert különben a gyulladás előrehaladott állapotában a gyulladt íny gócként szerepel, mely gócbetegségeket okozhat.

Az egészséges ember szájában folyamatosan jelen vannak mikroorganizmusok, amelyek szaporodása az íny gyulladásához vezet, és idővel a fogágy többi része is érintett lesz, paradontitis jelentkezhet. A tasakok mélyebbek lesznek, ezért a gyulladás ráterjed a mélyebb paradontális szövetekre is. A fogágygyulladás következtében a fogakat rögzítő szövetek elbomlanak, a betegség pedig átterjedhet az állkapocs csontszövetére is. Ennek együttes következménye, hogy a fog tartószerkezete meggyengül, elbomlik, így a fogak meglazulnak, majd kihullanak.

A hialuronsav a fogágy kötő- szövetének fontos kompo- nense

A hialuronsav a szervezet természetes anyaga és az egészséges fogíny fontos komponense.

Alkalmazása a fogászatban:

– csökkenti a szájnyálkahártya-irritációt

– megvéd a fertőzésektől

– felgyorsítja a sebgyógyulást és szövetregenerációt – csökkenti a fogínyvérzést, a foggyulladást és a duzzanatot

A kutatások kimutatják, hogy a hialuronsav fogászati alkalmazása jelentős mértékben hozzájárul az ínybetegségek megakadályozásában és gyógyításában.

Ínybetegségek megelőzése és gyógyítása hialuronsavval

A gyógyszertárakban és speciális üzletekben különböző formákban és kiszerelésben már 3 éve kapható a Gengigel, ami az egyedüli hialuronsav-alapú készítmény.

A termékcsalád használata egyszerű, gyermekek, terhes nők és cukorbetegek egyaránt használhatják. A hialuronsav tartalma miatt hatékony megoldás az alábbiakra:

– ínyvérzés

– gingivitis (fogínygyulladás)

– parodontitis (fogágybetegség)

– megsértett íny (sebészeti beavatkozás, foghúzás, fogpótlás után)

– korona, híd, fogprotézisek miatt irritált szájnyálkahártya

Ezen tulajdonságai alapján bátran állíthatjuk, hogy a Gengigel az egészséges fogíny receptje.

Forrás: Medis sajtóanyag

76 e-Journal ORTHODONTIA
(X)

Hialuronsav

Az egészséges fogíny receptje

Az egészséges fogíny receptje

Az egész csalàd számára

gél/szájöblögető oldat/szájspray/baby gél

■ csillapítja a vérzést

■ elősegíti a sebgyógyulást a szájüregben

■ elősegíti a szövetregenerációt

■ csökkenti a duzzanatokat

■ védi a szájnyálkahártyát a fertőzésektől

misike a fogzás időszakában

Gengigel spray 4490 Ft Gengigel az első fogaktól 4490 Ft Gengigel szájvíz 5290 Ft Gengigel first aid 5200 Ft smile shopszájápolás mindenkinek DP Hungary Kft. 1012 Bp., Kuny Domokos u. 9. Tel.: +36 30/472-0030 www.dental.hu, info@dental.hu Emmi-Dent Platinum ultrahangos fogkefe 67 990 Ft Emmi Dent Whitening fogkrém 3090 Ft AKCIÓ! Gengigel prof mellé ajándék 1 db First Aid 34 990 Ft Gengigel gél 4490 Ft

opron,

PRIMA AUTOKLÁV

1077

Loupes and lights

BUILD YOUR DREAM LOUPE

1135 Budapest, Frangepán u. 66/B. +36 1 236 4000 | info@newyorkdental.hu www.newyorkdental.hu

Fogászati kereskedelem

• AMPRI: színes e.h. eszközök;

• Anger: matricák, ideiglenes koronák, fényvezető ék;

• ASA: műszerek, egyszer használatos eszközök;

• BISCO: cementek, bondok, kerámiajavító;

• FKG: endodonciai eszközök;

• DTS: színes műanyag lenyomatkanalak;

• NEOLIX: gépi gyökérkezelő tűk;

• OLIDENT: tömőanyagok, sav, bond;

• ORO CLEAN: fertőtlenítőszerek;

• PROMEDICA: cementek, tömőanyagok, alábélelők;

• SCORPION: scaler végződések, implant tisztításhoz is;

• SHOFU: cementek, tömőanyagok, csiszolók;

• SS White: koronafelvágó, karbid- és gyémántfúrók;

• TIDI: védőmaszkok;

• WHITEWASH: fogkrém, fogkefe;

• ZHERMACK: A- és C-szilikon, alginát lenyomatanyagok.

Közvetlenül az importőrtől:

HERBODENT Kft.

✉ 1025 Bp., Szépvölgyi út 52. % 325-7129

%/fax 325-7220, mobil: 30/203-6957, 30/241-5737 e-mail: herbodent@herbodent.hu, www.herbodent.hu

1067 Budapest Podmaniczky u. 39. Tel.: +36 1 311 65 84 www.drvolomdental.hu Straumann GmbH

Faller Jenő u .:+36 99/508-698 ax: +36 99/508-696 .hu
BIONIKA shop.bionika.hu +36 70 670 6875 CE Egyedit, gyorsan, kiváló minőségben.
Bp., Rózsa utca 29. www.modent.hu, info@modent.hu
Új olasz fejlesztés megbízhatóság, egyszeru ” kezelés, letisztult dizájn A-dec 500 a PRÉMIUM Dent-East Kft. 1112 Budapest, Rétkerülő út 51 www.dent-east.com • mail@dent-east.com 5 É V GARANCIA 47x69_v1.0.indd 1 2021. 03. 18. 16:25
kocka
ne ragadjon a műszere a kompozithoz!
Antiragacs
hogy
Dental
Hegyalja
7–13. COMMITED TO SIMPLY DOING MORE FOR DENTAL PROFESSIONALS TRY IT. LOVE IT. BUY IT. 1024 Budapest, Rómer Flóris u. 34. Tel.: 06-20/946-4350, e-mail: dentalmode@chello.hu. RAYSCAN www.alphaimplant.hu A MINO˝SÉG A SIKER GARANCIÁJA ai_hird_47x69.indd 4 5/7/15 9:24 AM sgshirdetes 2012februar 165x235 indd 1 sgshirdetes_2012februar_165x235.indd 1 1/27/12 12:29 PM SGS International Ltd. European Logistic Center 1047 Budapest, Károlyi István u. 1–3. Tel.: +36 1 328 0427 Fax: +36 1 348 0428 E-mail: info@sgs-dental.com www.sgs-dental.com LEZERSZINTER.HU • 3D lézerszínterezett vázak • Gyorsan tökéletes minőségben • Remanium star anyagból Tel.: 06-20-366-10-80 www.lezerszinter.hu 9.990 14.990
Dr. Volom
Magyarországi Fióktelepe 1016 Budapest,
út

Turn static files into dynamic content formats.

Create a flipbook
Issuu converts static files into: digital portfolios, online yearbooks, online catalogs, digital photo albums and more. Sign up and create your flipbook.