2023. VI. évfolyam 10. szám

2023. VI. évfolyam 10. szám
A FOGÁSZAT INFORMÁCIÓS MAGAZINJA www.dental.hu
„Ahhoz, hogy eredményeink, sikereink legyenek, sokat kell a tanulásba és a gyakorlásba invesztálni…”
A magyarországi fogorvoslást érintő és befolyásoló adatok változásának tendenciái
A páciens, a fogorvos és a dentálhigiénikus közötti kooperáció sikeres megvalósítása
A prevenció jelentősége és lehetőségei a gyermekfogászatban
A 10 éves Alpha Implant Kft. a hagyományos munkafolyamatok mellett a digitális workflow minden lépésére megoldást kínál. A digitális technika fejlődése a fogászati piacon is egyre nagyobb teret hódít. Ebben nyújt
segítséget a 6 lépésből álló Alpha Digital Workflow, amely az intraorál scanneléstől a kész fogmű behelyezéséig terjed. Ne zárja magát keretek közé, lépjen az Alpha Implant Kft.-vel a Digitális Szabadság Világába!
2023-ra a fogászati szektor – reményeink szerint – fel tudja dolgozni a Covid-19 okozta nehézségeket, a háború mellett elszabaduló inflációt, és már tervezi az idei év fejlődési lehetőségeit. Mindanynyian abban bízunk, hogy időben alkalmazkodni tudunk majd a változásokhoz, és stabilan tudjuk vezetni a vállalkozásinkat!
A tavalyi év sokunk életében hozott különböző nehézségeket, mégis elmondhatjuk, hogy mindenképp jobb volt, mind a 2020-as és a 2021-es esztendő, amikor a létbizonytalanság, a járványtól való félelem uralta a napjainkat. Az idegenforgalom szépen megindult, de a korábbi számok, a vendégéjszakák még nem érik el a 2019-es év adatait. A nagy rendelők már próbálnak teljes kapacitással üzemelni, a fogtechnikai laborokban is visszatért a folyamatosság, a fogászati kereskedők jelentős része pedig jobb évet zárt 2022-ben, mint korábban.
A fogászati rendelők és fogtechnikai laborok az elmúlt 2-3 évben főleg a fejlesztéseket állították előtérbe, amelyhez számos pályázat és egyéb forrás is kedvező konstrukciókat kínált. 2023-ban – tudomásunk szerint – is lesznek új pályázati források, melyekről a kereskedelmi vállalatok részletesebb információkat tudnak adni. Az új források bevezetése idén már bizonyosan ismét növekedési spirálba helyezi majd ezt a szektort!
Az infláció elérte a fogászati ágazatot is, a vállalkozások az euro változásától, gyengülésétől függően azzal találkoznak, hogy az árak – a mindennapi élet mellett – itt is jelentősen és folyamatos változnak, emelkednek. A fogászati rendelők is kénytelenek az áraikat emelni, egyre több rendelő, ún. „piaci alapú” árképzést vezet be. A folyamat kimenetelét még nem lehet pontosan látni, a munkaerő fluktuációja, az Európai Unió áraihoz képest alacsony magyar fogászati beavatkozások értéke - jelenleg még nem érte el a drágulás csúcspontját. Az elmúlt időszakban számos újság, cikk foglalkozott a fogászati szektorban található extra drágulási folyamattal. Ez egyelőre - a hazai rendelőkben - még nem mutatott jelentős problémát, új hívószavakkal, sok marketing munkával, reklámmal most a magyar lakosságot kell határozottabban a rendelőkbe invitálni!
Idén már 23. éve nagy energiával szervezzük, és sok munkával készülünk az őszi Dental World Nemzetkö-
zi Kongresszus és Szakkiállítás sikeres lebonyolítására, melyen reméljük, hogy az egész fogászati szakma képviselteti majd magát! Nemzetközi szinten is ismert/elismert előadók, gyakorlat-orientált képzések, továbbá sok új élmény is várja majd a látogatókat, az érdeklődőket!
A kiadó bizakodva tekint a jövőbe, a megújult tartalmaink kapcsán sok pozitív visszajelzést kapunk, melyeket nagyon köszönünk! Az elmúlt években - a nehézségek ellenére is - növelni tudtuk a kiadványaink, a magazinjaink számát, nem csökkentve azok tartalmi minőségét. 2020 óta a tematikus e-Journalok is folyamatosan megjelennek, melyek egyfajta online könyvtárként is szolgálnak az olvasóinknak. A dental. hu oldalon díjmentesen elérhetőek a korábbi tematikus online lapszámaink is.
A mostani kiadványunkban általános fogorvosi eljárások mellett a prevenció témakörével foglalkozunk.
Jó olvasást kívánok!
Laczkó Tamás, felelős kiadó
szám
Kiadja: DP Hungary Kft. 1012 Budapest, Kuny Domokos u. 9.
Felelős kiadó: Laczkó Tamás
Főszerkesztő: Dr. Riba Magdolna
Előkészítés:
DP Hungary Kft., Sárközi András e-mail: grafika@dental.hu
Információ, hirdetésfelvétel:
Bárdos Veronika, telefon: 06-30-472-0030, 06-1-793-1874
Az újság e-mail címe: info@dental.hu
Az újság internetcíme: www.dental.hu
Terjesztés: E-mail hírlevél formájában.
A tudományos közleményeket a szerkesztőség lektoroknak adja át véleményezésre. Közlés csak egyetértő lektori vélemény, illetve a javasolt módosítások elvégzését követően lehetséges.
A cikkek szerzői vállalják, hogy az általuk elküldött írás saját forrásból származik, illetve a felhasznált anyagokat (publikációkat, illusztrációkat, képeket stb.) mindenkor pontosan feltüntetik. Írásaiknak jogi és egyéb adatvédelmi kérdéseiben felelősséget vállalnak.
A német nyelvű szakmai cikkeink magyar fordítását az Oemus Media AG Kiadó engedélyével szerkesztettük lapunkba.
A fel nem használt kéziratokat, fotókat nem őrizzük meg, és nem küldjük vissza.
A hirdetések tartalmáért nem vállalunk felelősséget. A gyártó, illetve forgalmazó cégek kérésére közzétett cikkeket keretbe foglalva közöljük és (x)-szel jelöljük, azok szakmai tartalmáért a szerkesztőbizottság nem vállal felelősséget.
ADENTALPRESSTEMATIKUSKIADVÁNYA
2022 / III.ÉVFOLYAM–ÁR:2500FT
pot az orvoskamara kifejezésével élve: „irányítási-igazodási válság” –, amiben az egészségügy járvány eleje óta őrlődött két tárca között. Igaz, sokan csalódtak, hogy az új kormányban sem lesz egészségügyi minisztérium. Őket friss ágazati egyik első megszólalásakor azzal vigasztalta, hogy az egészségügy érdekérvényesítő képességét nem az önálló minisztérium erősíti, hanem a mi
niszter személye.
bilitás érzetét erősítheti, mivel
Tanulmányozd először az elméletet, aztán jöjjön a gyakorlat, mely belőle származik
„A helyreállító fogászat lett a szenvedélyem és a mindennapi munkám”
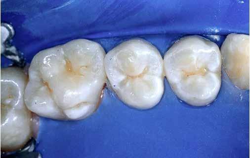
Hagyományos teljes fogsor hatékony átalakítása
Teljes ívű rehabilitáció primer vázra ragasztott lítium-diszilikát szekunder koronákkal
Interjúalanyom 1978-ban szerzett diplomát a Semmelweis Orvostudományi Egyetem Fogorvostudományi Karán tanulmányi évfolyamelsőként. 1979-től 2012-ig a Fogpótlástani Klinika munkatársa volt, majd a Központi Stomatológiai Intézet főigazgató főorvosa lett. Az intézmény
2013-ban csatlakozott a Semmelweis Egyetem Fogorvostudományi Karához mint Fogászati és Szájsebészeti Oktató Intézet. 2013-tól 2019-ig ennek az intézetnek igazgatójaként dolgozott. Az egyetemi szabályzat szerint 65 éves kor után az intézetvezetést leadta, de nem ment nyugdíjba. Jelenleg a Gerosztomatológiai és Helyreállító Protetikai Osztály osztályvezető főorvosaként dolgozik. 2005 és 2013 között, valamint 2019 óta Országos Szakfelügyelő főorvos Fog- és Szájbetegségek Szakirányban. Elvégezte a Bárczy Gusztáv Gyógypedagógiai Tanárképző Főiskolát. Minőségügyi rendszer – Specifikus auditor – diplomával rendelkezik, melyet a European Organization for Quality (EOU) keretében szerzett. Fog- és Szájbetegségek, Konzerváló fogászat és Fogpótlástan, Orális implatológia szakvizsgákkal rendelkezik. Fő kutatási területei: protetikai foniátria, ebből a témakörből szerezte kandidátusi tudományos fokozatát és Ph.D. minősítését, teljes foghiányok gyógyítása, gerosztomatológia. Nevéhez fűződik a karon a Sürgősségi fogászat tantárgy és a Gerosztomatológia tantárgy bevezetése. A Gerosztomatológia tantárgynak jelenleg is ő az előadója. 2018-ban címzetes egyetemi tanár kinevezést kapott. A Fogorvosi Szemle és a Magyar Fogorvos szerkesztőbizottságának tagja. Hosszabb külföldi tanulmányi útjai az Eastment Dental Hospital London és a University Collage Cork (Írország) voltak. Két gyermek édesapja és öt unokájának nagypapája.
Első kérdésünk az, hogy miért állt oly nehezen „kötélnek”, ennek az interjúnak az elkészítéséhez?
Nem gondolnám, hogy különösebben szórakoztató egyéniség vagyok. Bár elég sokat dolgoztam a szakmában, még most sem vagyok abban biztos, hogy ez közérdeklődésre tarthat számot.
Volt-e családi indíttatás a pályaválasztásában?
Nagyon is. Édesapám fogtechnikus, vizsgázott fogász volt. Családomban számos fogorvos található. Nagybátyám, nővérem, unokatestvérem, két unokahúgom, kisfiam és a menyem is ezt a pályát választotta. Úgy gondolom, hogy a fogorvoslás az orvosi hivatásnak azon ága, mely lehetőséget biztosít az orvosi hivatás gyakorlására, ugyanakkor lehetővé teszi igazi családi élet élését, módot nyújt szépirodalom olvasására is, hagy időt egy-egy jó színházra, mozira, utazásra. Ugyanakkor lehet nagyon sokat dolgozni, tudományos munkát végezni, és önkéntes társadalmi munkára is alkalmas. Ahhoz, hogy eredményeink, sikereink legyenek, sokat kell a tanulásba és a gyakorlásba invesztálni. A hallgatóimnak szoktam mindig elmondani, hogy fogorvosnak lenni jó dolog, de rossz fogorvosnak lenni nagyon rossz. A rossz fogorvosnak problémái adódnak a betegekkel, a kollégákkal, a munkaadókkal és a munkavállalókkal.
Ezért kell sokat tanulnunk, dolgoznunk, hogy ezt mind elkerüljük.
Hogyan indult egyetemi pályafutása?
Egyetemi éveim alatt mind tudásomra, mind személyiségemre nagy hatással volt az a négy esztendő, amit profeszszor dr. Palkovits Miklós laborjában az Anatómiai Intézetben töltöttem. A mai napig büszke vagyok arra, hogy tudományos diákkörös és később díjas demonstrátor lehettem ebben a laboratóriumban. Első tudományos közleményeim még hallgató koromban a professzor úr társszerzőségével jelenhettek meg. Rengeteget tanultam tőle és a labor többi munkatársaitól, egész életre való útravalót kaptam. A mai napig abból élek, amit Palkovits Miklóstól és munkatársaitól kaptam. Igényességet, nemzetközi színvonalat, precizitást, feltétlen igazmondást, csalástól való irtózást, a tehetség felismerését és gondozását, továbbá nem utolsósorban azt, hogy minden körülmények között jó embernek kell lenni, még ha nem is mindig sikerül! Központi idegrendszeri témából írt TDK előadásommal országos TDK konferencián első díjat nyertem. Akkoriban a fogorvostudományi és az általános orvostudományi előadások együtt mérettettek meg, és én voltam az első fogorvostan-hallgató, aki első díjat nyert, és erre rendkívül büszke voltam mind én, mind Palkovits professzor úr.
Ahogy a bevezetőben említettem, tanulmányi évfolyamelsőként végeztem, és a rá következő év január első munkanapján álltam munkába Fábián Tibor professzor úr meghívására a Fogpótlástani Klinikán, ami akkor még a legendás Mikszáth téren volt. A kezdetektől fogva nagyon szerettem ott lenni. Már hallgató koromtól különböző rektori pályázatokkal „untattam” oktatóimat. Mint fiatal orvos, azonnal bekapcsolódhattam az oktatásba, először, ahogy akkor szokás volt, a propedeutikai oktatásba, később a klinikaiba is. Gyakorlatvezetőként igen sok hallgatót oktattam. Világossá vált számomra, hogy a fogorvostan-hallgatókat három részre
oszthatjuk. A felső egyharmad gyakorlatilag alig igényel oktatást, mindent magától megtalál, könyveket, YouTube-csatornákat. Módot kerít, hogy mint önkéntes segítő beálljon végzett fogorvos mellé gyakorolni, szereti a betegeket, és a betegek is szeretik őt. A hallgatók középső harmada mind a tanulását, mind munkáját segítséggel végzi, de ha problémái vannak, számít az oktatókra, fejlődése gyors és hatékony. Van az alsó egyharmad, aki jelentős segítségre szorul elméleti és gyakorlati szinten is, és ezt a támogatást gyakran végzés után is igényli, továbbá van az alsó öt százalék, akiből fogorvos ugyan sosem lesz, még ha a diplomát megszerzi, akkor sem, de mivel az élet minden problémát megold, a fogorvosi végzettség számukra is biztos megélhetést és társadalmi pozíciót biztosít.
Milyen főbb momentumokat tud említeni oktatói pályájának kezdetéről?
Már a kezdeti időszakban bekapcsolódhattam a teljes foghiányok gyógyítását oktató munkacsoportba, melyet Kaán professzor úr vezetett. Itt kaptam lehetőséget először tantermi előadás tartására is. Csírájában ez magában hordozta későbbi gerosztomatológiai-geroprotetikai irányultságomat. Ezzel párhuzamosan Götz professzor úr kezdeményezésére részt vettem a Propedeutikai–Odontotechnológiai oktatásban, később egy ideig ennek a témának tantárgyi előadója is voltam.
Mi a véleménye a magyarországi fogorvosképzésről?
A fogorvosképzésnek két lehetséges formáját ismerjük. Az egyik a DDS (Doctor of Dental Surgery), a másik a DMD (Doctor of Medicine in Dentistry) forma. A DDS képzés lényege, hogy a fogászatot kívülről közelíti az orvosképzéshez. A DDS esetén az úgynevezett „dental school”-ok az orvosegyetemekhez csatlakoztak, és így alakult ki a fogorvosi szak, illetve kar. A másik képzési forma, a DMD esetén az orvosegyetemeken belül, a speciális oktatási és kutatási követelmények szerint különül el a fogorvostudományi szak és kar. Magyarországon a DMD képzési forma valósult meg, melynek medicinális jellege lényegesen erősebb, mint a DDS képzés esetén. A DMD képzési formában fogorvosaink például nem csupán fejnyak anatómiát, hanem egész test anatómiát tanulnak, és a fogorvosok számára rendszeresített belgyógyászat-oktatás felvértezi a fogorvosokat mindazon tudásanyaggal, amely
szükséges például egy laborlelet elemzéséhez, egy vérkép kiértékeléséhez. A Fogorvostudományi Karon oktatásunk gyakorlatorientált. Mindig is az volt. A frissen végzett fogorvosok túlnyomó többsége alkalmas arra, hogy a fogorvoslás jelentős területein önálló gyógyítási tevékenységet végezzen a frissen diplomázott kolléga. Ez a fő oka annak, hogy a fogorvosképzésünk külföldi országokban is igen népszerű, így sok hallgatót oktathatunk német, illetve angol nyelven is. A jó reputációkat mutatja, hogy a Fogorvostudományi Kar bekerült az első száz fogorvosképző hely közé a világon.
Ezért is voltam különösen boldog, amikor megkaptam 2011ben a Kiváló Oktató oklevelet.
Milyen egyéb oktatási tapasztalata van?
Az egyetemi oktatás mellett módom volt, illetve van részt venni a fogtechnikusképzésben, a fogászati asszisztensképzésben, az OKJ-s klinikai fogászati higiénikus képzésben, a főiskolai szintű dentálhigiénikus képzésben és az ELTE logopédus képzésében.
Mint megbecsült egyetemi oktató – mindenki számára váratlanul – megpályázta az akkor megüresedő Központi Sztomatológiai Intézet főigazgató főorvosi állását. Mi volt ennek a háttere? Nem érezte jól magát a Fogpótlástani Klinikán?
Dehogynem! Rendkívül jól éreztem magam, és el sem tudtam képzelni, hogy valaha kilépek az egyetem kötelékéből.
A dolog úgy történt, hogy egy előzetes megbeszélés után Fejérdy professzor úr javasolta, pontosabban kért meg arra, hogy pályázzam meg az állást, mert neki és az egyetem számos vezetőjének tetszett az az ötletem, hogy a Sztomatológiai Intézet akkor tudná igazán betölteni népegészségügyi fogászati funkcióját, ha a Semmelweis Egyetem Fogorvostudományi Karához kapcsolnánk. Akkoriban már Országos Szakfelügyelő főorvos voltam, így volt rálátásom az ország összes intézetére és praxisára. Így hát mint flottaparancsnok, láttam az egész flottát, ugyanakkor nem volt tapasztalatom egy hajó, egy intézet vezetésében. Vagyis nem voltam kapitány. Kár lenne tagadni, hogy foglalkoztatott a kihívás, hogy az ország legnagyobb, a fogorvoslás minden részterületével foglalkozó járóbeteg-ellátó intézetét vezethessem, mely akkor még országos intézet volt, és a hét minden napján, a nap minden órájában országos lefedettséggel fogadta
betegeit. A pályázatot megnyertem, és 2012-ben a Központi Sztomatológiai Intézet főigazgató főorvosa lettem.
Milyen feladatok vártak Önre a Semmelweis Egyetem Fogorvostudományi Karával történő egyesülésig?
Áttekintve az Intézet működését, az első lépés a humán erőforrás átszervezése volt. A szék mellett dolgozó fogorvosok átlagéletkora 66,2 év volt. Az Intézetnek két aktív 74 éves munkatársa volt. A betegellátásban dolgozó orvosok között nem volt ritka a 70 éven felüli. Összesen kettő-három rezidens dolgozott az Intézetben, a Szájsebészeti Osztály nem volt akkreditálva, a betegellátási standardokat tekintve is feltétlenül újításra volt szükség. Megértettem azt a szólásmondást, hogy háborús években az évek duplán számítanak. Rengeteget dolgoztunk, sokat kellett tanulnom, de úgy érzem, sikerült egy jól működő, modern szemléletű, kedvező korösszetételű team-et összeállítani, ami a betegellátásban is minőségi változást eredményezett. Nem volt sok időnk, mert az egyesülésre minél hamarabb sort szerettünk volna keríteni. 2013. március 31-én éjfélkor erre hivatalosan is sor került. Előző héten Fejérdy professzor úr, mint a rektor megbízottja, aláírta a szükséges iratokat, majd éjfélkor kis házi ünnepség keretében pezsgőbontással kísérve megtörtént az egyetemhez történő csatlakozás. A bulin összesen hatan voltunk, és az akkori dékán, Hermann professzor úr nagyon finom csokoládétortával emelte az est fényét. A jogutód intézet neve Fogászati és Szájsebészeti Oktató Intézetre változott. Felmerült a Népegészségügyi Fogászati és Szájsebészeti Intézet név is, hiszen feltett szándékunk volt, hogy az Intézetben népegészségügyi fogorvoslást végezzünk, de mivel a betegek számára úgy gondolom, nem teljesen világos, hogy ez mit takar, inkább
a Fogászati és Szájsebészeti Oktató Intézet elnevezést választottuk.
Valójában mit takar a népegészségügyi fogorvoslás?
A magyarázathoz rá kell világítanunk a fogorvoslás jelenlegi fejlődési irányaira. A fogorvoslás egyértelműen, jól láthatóan két ágra osztódik. Az egyik ág a specializáció felé irányul, tendenciáiban, hozzáállásában a fogorvoslásnak ez az ága aszimptotikusan közeledik a szépség-gyógyászat, a szépség-medicina felé. Ide tartozik az esztétikai fogászat, az endodoncia bizonyos területei, az implantológia és a parodontológia egyes vonatkozásai. Gyakran tapasztaljuk, hogy az igényt maga a szakma kelti fel, és – az üzleti szempontokat nem mellőzve – elégíti ki. A másik ág a fogorvoslás valódi problémáival foglalkozik. Gyulladások, jó- és rosszindulatú daganatok, foghiányok, rágóképesség-kiesés, fogszuvasodás, parodontális prevenció stb. A fogorvoslásnak ez az ága, melyet közösségi fogászatnak (community dentistry) neveznek, közelebb áll a medicinához, az általános orvosláshoz. Természetesen ennek a két halmaznak vannak közös területei, ezek az átfedő területek mindkét ágnak fontos részét képezik.
Ahhoz, hogy egy szép kompozit héjat tudjunk készíteni, előtte legalább 50, ha nem 100 kompozit tömést kell elkészíteni. Egy sikeres arcüregemelés előtt legalább 20 arcüregzárást kell elvégezni. Ezek a nagy számok leginkább a népegészségügyi fogászat gyakorlása közben érhetők el.
Hogyan alakult a fogászati klinikák és a Fogászati és Szájsebészeti Oktató Intézet működése?
Akkoriban azzal ugrattam a kar vezetését, hogy nem a Fogászati és Szájsebészeti Oktató Intézet csatlakozott a Fogorvostudományi Karhoz, hanem a Fogorvostudományi Kar csatlakozott az Intézethez, mivel betegforgalmunk, akkori OEP bevételeink meghaladták a kar teljesítményét. Valójá-
ban igen nehéz helyzetben voltunk. Háromszázmillió forint hiányt kellett ledolgoznunk, és bele kellett illeszkednünk az egyetemi rendszerbe. Nem beszélve arról, hogy az Intézet tudományos tevékenységét a nulláról kellett újraindítani, de érdemes volt ezzel sokat foglalkozni, mert a Fogorvostudományi Karon a 2021-es évben a legtöbb közlemény a Fogászati és Szájsebészeti Oktató Intézetből látott napvilágot. Az Intézetnek négy tudományos minősítéssel bíró munkatársa van, és három Ph.D. fokozat nem sokkal a védés előtt áll.
Az egyetemi szabályok miatt két éve átadta az Intézet vezetését dr. Németh Orsolya docens asszonynak. Hogyan érintette Önt ez a változás?
Úgy gondolom, egy vezetőnek az egyik legfontosabb kötelessége, hogy kinevelje azt a szakembert, aki képes átvenni tőle a vezetést úgy, hogy az Intézet főbb céljait, addigi irányvonalát folytatni, továbbfejleszteni tudja. Dr. Németh Orsolya docens asszony szemléletében folytatója és továbbfejlesztője az eddigi tevékenységnek. Nekem ebből a szempontból is rendkívül szerencsém volt. A karhoz való csatlakozás után nem sokkal felkértem docens asszonyt az igazgatóhelyettesi pozícióra, amit a legnagyobb örömömre elvállalt. Akkor már régen ismertük egymást, hiszen nálam volt TDK-s, végzés után én lettem a szakorvosképzés során a tutora, azaz nálam volt rezidens és kezdte el a tudományos munkát is, mely a Ph.D. fokozat megszerzéséig vezetett. A dolog érdekessége, hogy ugyanabban a laborban, a Palkovits laborban kezdte TDK-s tevékenységét, mint én, így hát világlátásunk, értékeink, munkához való viszonyunk nagyrészt megegyezett. Szakorvosi vizsgája után gyesre ment, és a második gyermek után kértem fel az igazgatóhelyettesi pozíció betöltésére. Együtt csináltuk végig az Intézet életében, és az én életemben is igen
Úgy gondoljuk, hogy a helyes specializációhoz a népegészségügyi fogászaton keresztül vezet az út.
Ahhoz, hogy egy szájsebész implan -
tátumot gond nélkül be tudjon rakni, előtte 50 radixot legalább el kell távolítania a feltárásban.
jelentős nyolc évet. Amikor betöltöttem a 65. életévemet, az egyetemi szabályzat szerint átadtam az igazgatói feladatokat. Nagy örömünkre szolgált, hogy helyettesem, Németh docens asszony megpályázta és megkapta az igazgatói megbízatást. Biztos voltam abban, hogy folytatja azt, amit együtt elkezdtünk, és az Intézet továbbra is a népegészségügyi vonalat képviseli magas színvonalon, jelentős tudományos tevékenységgel. Jómagam nem mentem nyugdíjba, hanem folytatom a Gerosztomatomatológiai és Helyreállító Protetikai Osztály vezetését, és ehhez megfelelő támogatást és elhelyezést is kapok. Ezen kívül oktatok a Fogpótlástani Klinikán és részt veszek a szegedi fogorvosképzésben, valamint a főiskolai szintű dentálhigiénikus-képzésben.
Tudományos munkássága jelentős. Az MTMT 158 publikációját tartja számon. Orvostudomány kandidátusa és Ph.D. fokozatot szerzett. Mégis azt beszélik, hogy ezen a területen könyveire, könyvfejezeteire a legbüszkébb. Melyek ezek?
Bár az első impakt faktoros közleményeim hallgató koromban jelentek meg, de valóban a jegyzetek, könyvek és könyvfejezetek nyújtottak nagy élményt számomra. Az első és legemlékezetesebb az a tesztjegyzet volt, amelyet Fejérdy pro-
fesszorral írtunk. Kivovics P., Fejérdy P.: Fogpótlástani gyakorló tesztsorozat 1989. Ebből nőtt ki a szintén Fejérdy professzor úrral szerkesztett tesztkönyv, a Fogorvosi ismeretek (Medicina 2004.). Fontos volt számomra a teljes lemezes fogpótlásokhoz használatos műfogsor-garnitúrák összehasonlító vizsgálata könyvfejezet, mely a Kivehető fogpótlások című könyvben jelent meg (Dental Press Hungary, 2006.) Szintén ebben a kiadványban található a Teljes foghiányos páciensek gondozása, továbbá a Wirofix használata merevítő-rudas elhorgonyzás kiegészítésére című fejezet is. A Digitális lenyomatvételi rendszerek összehasonlító elemzése fejezet a CAD/CAM technológia a fogászatban c. szakkönyvben jelent meg (Dental Press Hungary). Ezt követte egy nagyon fontos fejezet, a Fejérdy professzor és munkatársai által szerkesztett Gerosztomatológia tankönyvben (Semmelweis Kiadó, 2007). A fejezet címe: Ágyhoz, lakáshoz kötött betegek fogászati ellátásának, gondozásának lehetőségei. Szintén fontos könyvfejezet a Nyárasdi és Bánóczy professzor asszonyok által szerkesztett Preventív fogászat tankönyvben: A prevenció szempontjai a protetikai ellátásban (Medicina, 2009). Részt vehettem a Fogpótlástani anyagtan és odontotechnológia tankönyv szerkesztésében (Semmelweis Kiadó). Ezt követte a Sürgősségi fogászat tankönyv, melynek szintén társszerkesztője lehettem (Medicina, 2021). Ugyanebben az évben jelent meg első online elérhetőségű könyvem, Kivovics Péter, Forrai Judit, Lászlófy Csaba és Cseszregi Gerda társszerkesztésében, melynek címe: A fogeltávolítás kultúrtörténeti, jogi és kriminális háttere, a LÉTRA alapítvány gondozásában. A Kínai orvoslás fogorvosi vonatkozásai című könyv szintén 2021-ben jelent meg (Gabbiano könyvkiadó), társszerzőm Quian Xinyi volt. Ezen kívül nagy büszkeséggel tölt el, hogy könyvfejezetem jelenik meg a már nagyon várt Fogpótlástan tankönyvben, melyet Hermann professzor és Kispélyi tanárnő szerkesztett, idén jelenik majd meg a Semmelweis Kiadó gondozásában.
Többek között tagja a Magyar Fogorvosok Egyesülete vezetőségének, 2005 és 2013 között már betöltötte az Országos Szakfelügyelői funkciót. 2020-ban pályázat útján ismételten Országos Szakfelügyelő Főorvos lett a Fog- és Szájbetegségek szakirányban. Melyek a fő feladatai és elképzelései ezen a területen?
Az Országos Szakfelügyelő Főorvos kiemelt feladata, hogy a fogorvoslásra vonatkozó törvényeket, jogszabályokat betartsa és betartassa. Ezen kívül tájékoztassa a mindenkori egészségügyi vezetést, a fogorvoslásra vonatkozó információkkal és adatokkal, valamint megjelenítse a magyarországi fogorvoslást nemzetközi, európai uniós területen. Ez meglehetősen szerteágazó feladat, de fontosnak tartjuk, hogy mindenki hozzájusson az adatokhoz és szakfelügyelői munkánk tényeihez, ezért minden megtalálható a fogaszatiszakfelugyelet.hu honlapunkon.
Végezetül, miben foglalná össze beszélgetésünket?
Sose gondoltam volna, hogy ennyi mindent le lehet majd írni negyvenhárom évi munka után. Idézném egyik kedvenc íróm, Samuel Becket gondolatát: „Ha jól belegondolok, tulajdonképpen nem csináltunk semmi különöset. Amit tettünk, azt megcsinálta volna bárki.”
Köszönöm a beszélgetést!
09.30–09.40 Dr. Radánovics-Nagy Dániel: Megnyitó
09.40–10.25 Dr. Kemper Róbert, dr. Komarek Edit: GBT - The next level
Az EMS rendszerrel történő profilaxis, az Irányított Biofilm Terápia (GBT) ma már a világ számos országában, így Magyarországon is egy bizonyított, nagy hatékonyságú terápiás rendszer. A rendszer használói dentálhigiénikusok és fogorvosok. A fejlesztők folyamatosan arra törekednek, hogy a páciensek számára a kezelés komfortosabb, fájdalommentesebb, ennek ellenére effektívebb legyen. Az előadás célja, hogy megismertesse a GBT-t használók között az új fejlesztéseket, valamint rövid betekintést nyújtson a rendszert nem ismerőknek. Az előadás második részében konkrét parodontológiai, implantológiai eseteket mutatunk be, melyekben szerepet játszott a GBT rendszer mint a gyógyítás segédeszköze. Ezt a részt kifejezetten fogorvos kollégáink figyelmébe ajánljuk.
10.25–11.10 Dr. Mandel Iván: Parodontalis prevenció és parodontium prezerváció
Jól ismert tény, hogy a parodontalis gyulladások megelőzése és a parodontalis fenntartó terápia során a bakteriális biofilm mechanikai eltávolítása a legfőbb és leghatékonyabb prevenciós eszközünk. Kevésbé ismert viszont, hogy milyen gyakran érdemes ezt elvégezni és mennyire lehetünk agresszívek a tisztítás során. Árthatunk-e a fogaknak és a parodontalis szöveteknek a túlzásba vitt prevencióval? Milyen hatással vannak ezek a kezeléseink a pácienseink általános egészségi állapotára? Az előadás megkísérli összefoglalni, hogy milyen eszközök és technikák segíthetnek maximalizálni a hatékonyságot, ugyanakkor minimalizálni a káros hatásokat.
11.10–11.55 Dr. Tihanyi Dóra: Implantátum – örök élet(ű)?
A hosszú távú siker kulcsa
„Az implantátumok a mai modern, minőségi fogászatban a protetikai ellátás megkerülhetetlen és szerves részei. A sikeres implantációhoz elengedhetetlen a precíz tervezés, a megfelelő sebészi és protetikai ellátás, az implantátum és a felépítmény körültekintő megválasztása és az emergenciaprofil helyes kialakítása. Azonban elegendő mindez a siker hosszú távú fenntartásához? A periimplantális elváltozások (mucositis, periimplantitis) előfordulása gyakori és kezelésük hatalmas kihívást jelent. Kialakulásuk legfőbb etológiai tényezője azonban ismert, hasonlóan a parodontális folyamatokhoz, a struktúrált biofilm felhalmozódásához kötött. A hatékony biofilm-menedzsment tehát kulcsfontosságú a kiszámítható eredményességhez, az implantáció hosszú távú fenntartásához pedig elengedhetetlen a páciens edukációja. Az előadás röviden megvilágítja az implantátumok körüli biofilm-felhalmozódás sajátosságait, és bemutatja a hatékony biofilm-menedzsment eszközeit és módszereit. Gyakorlati tanácsokat ad arra, hogyan járulhatnak hozzá a dentálhigiénikusok az implantációs fogpótlások hosszú távú fenntartásához.
11.55–13.15 Ebédszünet
13.15–14.00 Dr. Irmes Ferenc: Ajánlások a fogérzékenység csökkentésére professzionális tisztítást és fogfehérítést követően fogorvosok és dentálhigiénikusok részére
A dentin túlérzékenység gyakori probléma a fogorvosi rendelőben. A dentin tubulus okklúziós technológia jelenleg a legoptimálisabb választás a professzionális rendelői fogtisztítás és/vagy fehérítő eljárások után, valamint ennek folytatásaként otthoni alkalmazásra.
14.00–14.45 Dr. Faragó Ildikó: Miért éppen a hyaluronsav?
A hialuronsav használata széles körben elterjedt, és eredményesnek bizonyul a térdízület és a temporomandibuláris ízület számos gyulladásos folyamatának kezelése során. A fogíny szövetében megnövekedett koncentrációban találtak endogén hialuronsavat, ami a szövetek javítómechanizmusait segíti fogászati beavatkozásokat követően, és a szövetek szerkezeti regenerációját biztosítja ínygyulladás lezajlása után. Ezek a tények vezettek el a hialuronsavnak a parodontális betegségek kezelését célzó helyi alkalmazását vizsgáló kutatásokhoz. A klinikai vizsgálatok jó eredményeket igazoltak, a páciensek nagymértékű toleranciát mutattak, ez alátámasztja a hialuronsav klinikai jelentőségét a fogászatban.
14.45–15.30 Dr. Markgruber Bence: Orálbiotikumokkal a modern fogászatért – elméleti és gyakorlati tapasztalatok
Az előadás részleteiben kitér a fogkrémek összetevőinek fontosságára és hatásaira. Az egyes összetevők, mint például a fluorid, a nátrium-bikarbonát vagy a kálium vagy akár olyan technológiák, mint a pro-arginin vagy a novamin technológiák különböző előnyöket és funkciókat hordozhatnak. A dentalhigiénikusoknak ismerniük kell ezeket és a mögöttük álló tudományos alapokat annak érdekében, hogy a páciensek számára személyre szabottan megfelelő tanácsokat és ajánlásokat tudjanak adni. Ezenkívül, a fogkrémekben található esetleges allergének vagy irritáló anyagok felismerése és megértése vagy a fogkrémek dörzsölési hatékonyságának ismerete is kulcsfontosságú, hogy segítsék a páciensek számára az optimális fogkrém kiválasztását és a szájhigiéniai problémák megelőzését. A fogkrémek összetevőinek ismerete tehát meghatározó ahhoz, hogy hatékonyan támogassák a páciensek egészségét.
16.30–16.50 Dr. Tóth György:
A dohányzási ártalomcsökkentés szerepe és gyakorlata a száj- és fogápolásban
Ma már tudjuk, hogy a dohányzáshoz köthető betegségeket elsősorban nem a nikotin okozza, hanem a cigaretta égetése során felszabaduló vegyi anyagok. Ahhoz, hogy a világon megszűnjenek a dohányzás okozta betegségek, mind az 1,3 milliárd – Magyarországon ez 2 millió főt jelent – dohányzónak le kellene szoknia e káros szenvedélyéről, ami az előrejelzések szerint nehezen megvalósítható. Ennek okán, ha egy ártalmat nem tudunk eliminálni, csökkenteni szükséges azt.
16.50–17.15 Prof. dr. Noszticzius Zoltán: Lehet-e hatásos és ugyanakkor szelektív is egy tisztán klór-dioxid alapú szájvíz?
15.30–16.00 Kávészünet09.30–09.40 Dr. Radánovics-Nagy Dániel, Székelyhidi Éva: Megnyitó
09.40–10.25 Dr. Orsós Mercédesz: Rehabilitáció alatt álló páciensek és konduktív edukációban résztvevő gyermekek fogászati és szájhigiéniás állapotfelmérése
Szájüregünk egészsége elengedhetetlen része jóllétünknek, az általános egészségi állapottal szoros kapcsolatban áll, különösen fontos azok számára, akik akadályba ütköznek ennek fenntartása során. A megfelelő szájhigiénia jobb életminőséggel párosul. Vizsgálataink három különböző speciális ellátást igénylő betegcsoportra terjedtek ki. Adatbázist hoztunk létre orvosi rehabilitációs kezelés alatt álló fekvőbetegek, orvosi rehabilitációs kezelés alatt álló mozgásfogyatékos fekvőbetegek, valamint konduktív nevelésben résztvevő cerebrális parézissel élő gyermekek szájüregi állapotáról, egészség-magatartásáról, táplálkozási szokásairól és ezek összefüggéséről a DMF-T értékkel. Kutatásunk alapján elmondható, hogy a fogyatékossággal élő emberek fogászati szempontból is súlyosan veszélyeztetett csoportba tartoznak, speciális ellátást igényelnek.
A lakáshoz, ágyhoz kötött páciensek szájüregi egészsége jelentősen befolyásolja a beteg általános egészségi állapotát, ezen kívül fontos szerepe van a beteg életminőségének javításában és fenntartásában. Míg a fogorvos szerepe adott panasz kezelése, illetve a betegség gyógyítása, a dentálhigiénikus munkája inkább gondozásjellegű. Az előadásban nem csupán a szájüregi gondozásról esik szó, hanem arról is, hogy milyen egyéb, a kezelést jelentősen befolyásoló tényezőkre kell odafigyelnie a dentálhigiénikusnak. Melyek azok a beavatkozások, melyekben segítséget nyújt a fogorvosnak a beteg ellátásában és melyek azok a tevékenységek, amelyeket önállóan kell elvégeznie. A téma aktualitását, fontosságát és hasznosságát az indokolja, hogy növekszik azoknak a pácienseknek a száma, kiknek gondozása nem lehetséges fogorvosi rendelői körülmények között.
Fogászati prevenció alatt – különösen a jelen előadás keretei között – nem csak és kizárólag a szájüregi prevenciót kell érteni. Az előadás célja elsődlegesen az, hogy a fogászati területen dolgozó szakemberek számára nyújtson egy közérthető és átfogó képet az önellátásukban korlátozott betegek napi szájápolásának jelentőségéről. A prezentáció ezen alapápolási tevékenység rendszeres és szakszerű kivitelezését mutatja be a fekvőbetegek ellátása során és hangsúlyozza a fogászati végzettséggel (is) rendelkező egészségügyi szakdolgozók tevékenységének fontosságát. A szájüreg potencionális baktériumrezervoárt biztosít a légzőszervi patogén kórokozók számára. Önellátásukban akadályozott betegeknél (intenzív osztályon, neurológián, krónikus belgyógyászati osztályon fekvők stb.) a rossz szájhigiénia által az oropharingealis tartalom aspirációja bakteriális pneumonia kialakulásához vezet. A megfelelő szájhigiénia biztosítása – a fekvőbetegeknél végzett rendszeres szájtoalettet – számos betegség kialakulásának kockázatát csökkentheti, illetve azok lefolyását pozitívan befolyásolhatja. Mai álláspont szerint a fogászat már sokkal több, mint a szájüregi elváltozások szakszerű kezelését, illetve az ilyen elváltozások megelőzését művelő tudományág. A fogászati rendelőben, fogászati team tagjaként végzett preventív és kuratív ellátás mellett az egészségügy egyéb szegmenseiben is jelentős szerepe lenne a klinikai fogászati higiénikusnak, dentálhigiénikusnak, ahol szakmai ismereteikkel és készségeikkel a betegek gyógyulását segíthetnék elő.
Az elektromos fogkefék története több mint 70 éves múltra tekint vissza. Ez idő alatt az elektromos fogkefék jelentős változáson mentek keresztül. Többféle technológia került kifejlesztésre, úgymint az oszcillációs-rotációs (OR) vagy a „side to side” technológia. Az elektromos fogkefék, a kezdeti nehézségek után, mára kiemelkedő szerepet töltenek be a mechanikai plakk-kontrollban, az otthoni szájápolásban és bizonyítottan hatékonyabbak a biofilm eltávolításban a manuális fogkefékkel szemben. Az előadás során röviden áttekintjük az elektromos fogkefék fejlődését, a különböző típusú elektromos fogkefék működési elvét és azok hatékonyságát alátámasztó irodalmi adatokat. Rávilágítunk arra, napjainkra miért lehet több az elektromos fogkefe egyszerű tisztító eszköznél.
14.15–14.55 Dr. Kenyeres Krisztina:
„A fogszuvasodás megelőzésének alapelvei, ú.m. a fogak ellenálló képességének fokozása, a caries rizikótényezők csökkentése, az egészségtudatos étrend követése és a rendszeres fogászati szűrővizsgálatok szerepe hosszú ideje ismertek. A változás az újabb módszerek megjelenésében, mind érzékenyebb diagnosztikai eljárások elterjedésében és különböző preventív kezelések gyakorlatában jelentkezik. Amióta ismert, hogy a korai carieses laesio megállítható, ill. visszafordítható, a korai diagnosztika jelentősége felértékelődött. A szájüregi egészség megóvásához és fenntartásához örök érvényűen nélkülözhetetlen a páciensek (gyermekek, fiatalok, szülők) folyamatos szájhigiénés edukációja, mind ezekben egyre nagyobb szerepet kapnak a dentálhigiénikus kollégák. Az előadás célja a prevenció professzionális lehetőségeinek áttekintése, az egészségtudatos magatartás formálása és a szájhigiénés edukáció a mai kor igényei szerint.
Az éghajlatváltozás elleni küzdelem napjaink egyik legnagyobb kihívása. Az egészség megőrzése és a fenntartható jövő építése kéz a kézben járnak. Egészségügyi szakemberként ebben a folyamatban a szerepünk kulcsfontosságú. A jövőben a mai döntéseink számítanak majd. Az előadás során megismerhetjük a TePe márka kötelezettségvállalásait, melyek között fő cél az üvegházhatást okozó gázok kicsocsátásának csökkentése és a megújuló vagy újrahasznosított anyagokra való teljes átállás. Az elmúlt években követendő példaként a termékeik és annak csomagolása minimalizálja a hulladéktermelést. Szájápolás terén az elsők között ismerik el azt is, hogy a termékek élettartamának lejártával kapcsolatos megoldás kardinális a körkörös gazdaságra való átálláshoz. Ezért stratégiai partnerekkel dolgoznak együtt, és fenntartható technológiát alkalmaznak.
15.35–16.15 Kovács Linda: A Nemzeti
Magyarországon a szájüregi betegségek, mint a szájnyálkahártya, a fogágy és a fogak gyulladásos elváltozásainak következményes betegségei jelentősek és az egészségügyi ellátórendszert is megterhelő problémát jelent. Ezen betegségek megelőzése és korai diagnosztizálása nem csupán a kezelés szempontjából meghatározó, hanem hatással van az emberek általános egészségére és életminőségére. A hazai epidemiológiai adatokat és rossz orális egészségmutatókat látva a Nemzeti Népegészségügyi Központ (továbbiakban: NNK) 2021-től kínált a lakosság számára szájüregi szűréseket. Az NNK prevenciós programja Európában egyedülálló módon, mobil szűrőegységek segítségével juttatta el a vizsgálatokat a lakosság számára.
A dentálhigiénikus feladatai az ágyhoz, lakáshoz kötött12.35–14.15 Ebédszünet
2023-ban is a Dental World egyik kiemelkedő rendezvénye lesz az Implantológia Show az „Élő műtétek” bemutatásával. Jövőre is az üvegfalú „látványműtőben” felkért orvosok végzik majd egy-egy páciens nyilvános kezelését. A rutinszerűen alkalmazott műtéti technikák mellett új eljárásokat is bemutatnak az implantológia repertoárjából.
Az orvosi verseny résztvevői az ország négy, fogorvosi képzést nyújtó egyeteméről érkeznek, ahol belső versenyeken választják ki azt az egyetemenként 3-3 indulót, akik a Dental World-ön mérik össze tudásukat. Minden versenyző ötöd éves egyetemi hallgató, és nyereményük többek közt egy út Leuven-be, a GC központjába. A fogtechnikus tanulók részére 2023-ban már 12. alkalommal megrendezésre kerülő Győztesek Versenyére a Protetika Verseny győztese, az Országos Mintázó Verseny legjobbjai és az Ipartestület által rendezett Kerámiás Verseny helyezettjei kapnak személyes meghívást. A 12 magyar tanuló számára az idei évben is nagy kihívás a szakma egésze előtt, a Dental World szakkiállításon bemutatni képességeiket, szakmai elhivatottságukat.
2023-ban ismét a kiállító tér sugárútján kap helyet a Live Demo.
4 különböző programot szervezünk az alábbi témakörökben:
• Endodontia&Esztétika
• MicroWorld&Lézer
• Fogtechnika
• Oralszkenner
Flexi kávézó
Várjuk szeretettel 2023-ban is!
3 napos konferenciák:
Digitális Fogászati Kongresszus: 25 000 Ft (teljes ár: 50 000 Ft)
Prevenciós, Földvári Imre Kongresszus: 18 000 Ft (teljes ár: 28 000 Ft)
Praxismenedzsment Kongresszus: 34 900 Ft (teljes ár: 49 900 Ft)
Vegye
Early Bird 30% kedvezménnyel!*
*A kedvezmény 2023. augusztus 6-ig érvényes
Platina szponzor:
A Fog- és Szájbetegségek Szakirányban tevékenykedő szakfelügyeletnek időről időre át kell tekintenie a magyarországi fogorvoslást érintő és befolyásoló adatokat. Részben azért, hogy segítse az egészségügyi tervező munkát és javítsa az ellátás színvonalát, részben azért, hogy észrevegye és magyarázatot találjon az adatok változásának tendenciáira.
Az első és legfontosabb adat a fogorvosszám, ezen belül a működési nyilvántartásba vett fogorvosok számának alakulása, és ennek összevetése a népességgel. 2019ben az aktív fogorvosok száma 7 145 fő volt. Ez 2020-ra 6 578 főre csökkent. (1. ábra)
résztvevő fogorvosok kiesése a belföldi fogászati-szájsebészeti ellátásból. A területi elhelyezkedés és a „fogászati turizmus enklávé” jelenség miatt az egy fogorvosra eső populáció 2 000 fő fölé emelkedhet területenként. (3. ábra)
A korábbi évek számait figyelembe véve megfigyelhető bizonyos hullámzás a működési nyilvántartásba vett fogorvosok létszámát tekintve. (2. ábra)
Magyarország lakosságának száma a nyilvantarto.hu szerint 9 890 640 (férfi: 4 771 677, nő: 5 118 963). A Központi Statisztikai Hivatal szerint Magyarország népessége 9,7 millió fő. A cia.gov 2021. júliusi adatai szerint hazánk lakossága 9 728 337 fő. Az ebből adódó egy fogorvosra eső népesség száma 1 474 fő, kerekítve 1 500 fő. Az arány a WHO beosztás szerint jó, de ezt a kedvező számot negatívan befolyásolja a fogászati turizmusban
Nem hagyhatjuk figyelmen kívül a Magyarországra érkező és távozó fogorvosok számát sem. 2018-ban a Magyarországon regisztrált fogorvosok közel 10%-a külföldön kiállított fogorvosi diplomával rendelkezett. Ugyanebben az évben a regisztrált fogorvosok körülbelül 20%a nem Magyarországon született. 2013 és 2018 között a szakképesítésüket külföldön elismertetni kívánó fogorvosok számára 1 484 hatósági bizonyítványt állítottak ki. Kiemelkedik az igénylők közül a 25-29 és 30-34 éves korcsoport, amely azért fontos információ, mert a fogorvosok korcsoport megoszlását tekintve ez a két korosztály jelentős fogorvosszámot képvisel. A 25-29 évesek korcsoportja 13,26%-a, a 30-34 éves korcsoportja 13,82%-a az alapnyilvántartásban szereplő fogorvosoknak, azaz a két korosztály együtt több mint egynegyedét teszi ki az alapnyilvántartásban szereplő fogorvosok számának. A 70 év feletti fogorvosok száma is kiemelkedő, 15,70%. (4. ábra) A következő években aktív praktizálásuk megszűnésére lehet számítani, ami a fogorvos/páciens arányt is befolyásolhatja. A fogorvosok nemek szerinti megoszlása: férfiak 34%, nők 66%. Ez összehasonlítva a nemzetközi adatokkal, nem mutat jelentős eltérést az internacionális trendektől.
A fogorvosi végzettséggel megszerezhető szakképesítések tekintetében minden európai uniós ország saját hatáskörében dönt. A különböző szakvizsgákkal rendelkező fogorvosok számai közül kiemelkedik a konzerváló fogászati és fogpótlástan szakvizsgával rendelkezők száma. A 2020 évi adatok szerint 3 904 fő rendelkezik aktív működési nyilvántartással. Ez jelentősen módosulni nem fog, mivel ennek a szakvizsgának a megszerzését rendeletileg megszüntették. Ezt követi a fogszabályozó (558 fő) és a dentoalveolaris sebész (557 fő) szakorvosi vizsgával rendelkezők száma. (5. ábra)
val rendelkezők számában (18,1%, 49 fő). Nem elhanyagolható a fogszabályzó szakorvosok számának csökkenése sem (7,3%, 44 fő). (6. ábra)
Fontos kérdés a főiskolai szintű képzésen oklevelet szerzett (BSc.) dentálhigiénikusok száma. A dentálhigiénikusi főiskolai képzés a Szegedi Tudományegyetemen 2014ben indult el, 2020. december 31-ig 55 hallgató államvizsgázott sikeresen a szakon. Jól megfigyelhető, hogy az oklevelet szerzett dentálhigiénikusok kevesebb mint egyharmada szerzett működési engedélyt. Bár a képzettek száma 2019 és 2020 között mintegy megduplázódott, működési engedélyt csak kevesebb mint egyharmada igényelt. (7. ábra)
Az Európai Unióhoz való csatlakozásunk előtti időszakban szinte minden fogorvos letette a fog- és szájbetegségek szakorvosa vizsgát. Ennek az volt az oka, hogy így a közalkalmazotti jogviszonyban álló fogorvos „fizetési kategóriát ugrott”, azaz magasabb fizetési kategóriába került. Maga a vizsga kisebb követelményt állított, mint az egyetem befejezésekor abszolvált államvizsga. Jelenleg az európai uniós országokban – már ahol vannak a fogorvosi szakképesítésen belül szakvizsgák – a fogorvosok 5-15%-a rendelkezik valamilyen szakvizsgával. Ehhez hasonló arány fog beállni Magyarországon is.
Érdekes adat, hogy a fog- és szájbetegségek szakorvosa és a konzerváló fogászat fogpótlástan szakorvosa szakvizsgával rendelkező működési nyilvántartásban szereplő fogorvosok száma – a 2019 és 2020 évi adatokat összehasonlítva – 15,1%-kal (694 fővel) csökkent. Ez egyértelműen az úgynevezett nagy létszámú évfolyamok munkából való kiállásával magyarázható. Jelentős csökkenést találunk még a gyermekfogászat szakvizsgá -
Az OKJ végzettségű klinikai fogászati higiénikusok száma Magyarországon jelentős, 2019-ben 4821 fő, 2020-ban 5217 fő. Működési nyilvántartásba – arányait tekintve –jóval többen jelentkeztek be, mint a BSc. dentálhigiénikusok. Mind 2019-ben, mind 2020-ban az OKJ végzettségű klinikai fogászati higiénikusok mintegy kétharmada igényelte a működési nyilvántartásba vételt . (8. ábra)
A fogászati asszisztens végzettségű szakdolgozók száma 2019-ben 13 520, 2020-ban 14 244 fő volt. Ebből 2019ben 5 348 fő, 2020-ban 5431 fő rendelkezett aktív működési nyilvántartással. Azért érdekes ez a szám, mert közben az aktív fogorvosok száma csökkenő tendenciát mutat. Az egy fogorvos, egy asszisztens arány eltolódott az 1 fogorvosra, 0,82 asszisztens statisztikai arányra. Ez arányaiban kedvezőbb, mint a 2019-es adat, ahol 1 fogorvosra 0,75 asszisztens jutott statisztikailag (9. ábra).
javasolja, amelyet jelenleg az ide vonatkozó törvények és rendeletek nem tesznek lehetővé. Véleményünk szerint a párhuzamos képzés megtartása és ugyanazon kompetenciaszinten való tartása a jelenlegi oktatási szisztéma egyik kiküszöbölendő hibája. A fogorvoslásban dolgozó szakemberek szerint a BSc. végzettségű dentálhigiénikus a professzionális szájápolás és szájhigiénés edukáció mellett a szűrésekben való részvétellel (81,7%), lokális fluoridálással (80,2%), fogfehérítéssel (80,0%), parodontális státusz felvételével (77,5%), szűrővizsgálatok elvégzésével (71,9%), dohányzásról való leszoktatással (70,2%) és antagonista lenyomat készítésével (69,7%) segíthetik a szakma működését. Mindez a professzionális szájápolás és szájhigiénés edukáció mellett inkább a klasszikus prevenciós feladatokat foglalja magába.
Összefoglalva: a magyaroroszági fogászati szakemberképzés megfelelő mennyiségű és minőségű fogorvost, dentálhigiénikust, fogászati asszisztenst bocsát a szakma rendelkezésére. A fogorvoslás vezetői és az egészségpolitikusok felelősek azért, hogy ezzel úgy gazdálkodjanak, hogy a lakosság szájüregi egészsége megfelelő színvonalat érjen el, hatékony prevenciós tevékenység alakuljon ki, a kuratív ellátás megfeleljen az európai normáknak. Közleményünkkel szerettünk volna rávilágítani az adatok bemutatásán keresztül bizonyos tendenciák meglétére. Igen fontos és hatékony lépés lenne előre, ha – hasonlóan a medicina más területeihez – megszűnne a fogorvos-asszisztensnő duális ellátási szisztéma, és kiegészülne más, a területen dolgozó, a fogorvos által irányított szakemberrel. Meggyőződésünk, hogy szükség van több főiskolai végzettségű dentálhigiénikusra, prevenciós nővérre, dohányzásról leszoktató szakemberre, dietetikusra stb. Ehhez a fogorvostudományi karokkal rendelkező egyetemeken szükség van szakok indítására, majd a végzettség megszerzése után a szakemberek integrálása a fogorvoslásba.
Szükségesnek tartottuk feltérképezni a klinikai fogászati higiénikusok (OKJ) és dentálhigiénikusok (BSc.) szerepét és helyét a magyarországi fogorvoslásban, ennek eredményei a következők:
A klinikai fogászati higiénikusok/dentálhigiénikusok prevenciós tevékenységét és a szájápolás területén végzett munkáját a fogorvosok, dentálhigiénikusok és fogászati higiénikusok fontosnak ítélik meg, de az OKJ végzettséget a prevenciós, szájápolási és edukációs feladatok ellátására nem tartja elegendőnek a szakmában dolgozók fele. A dentálhigiénikus képzés OKJ és BSc. szinten történő oktatásának és képzésének párhuzamos megtartását a fogorvosok több mint fele nem tartaná meg, és a BSc. végzettséggel rendelkező dentálhigiénikusok pontosan meghatározott kompetenciaszinten történő önálló munkavégzését a szakma szereplői több mint 85%
Levonható az a következtetés, hogy helyes irányba mozdul el a magyarországi fogászati szakemberképzés, amikor lehetőséget nyújt a fogorvosi és a fogászati asszisztensi végzettségen kívül olyan szakemberek képzésére, akik részt vehetnek és részt vesznek a betegek dentális edukációjában, továbbá a klinikumban is alkalmazhatóak. Jogos igény a fogorvosok részéről, hogy az a kolléga, aki közvetlenül részt vesz a betegek chairside ellátásában, főiskolai végzettséggel rendelkezzen. Hiba lenne a fogászati prevenciós tevékenységet csupán caries prevenciós tevékenységgé és/vagy parodontális prevenciós tevékenységre szűkíteni. Különösen nagy hiba lenne egy olyan országban, ahol a fej-nyak területen előforduló rosszindulatú daganatok és a daganatmegelőző állapotok olyan – világviszonylatban is kiemelkedő – számban fordulnak elő, mint Magyarországon. A fogászati asszisztenseket, de főképpen a higiénikusokat be kell vonnunk a daganatprevenciós munkába, a daganatszűrések végrehajtásába, és a fej-nyak területen előforduló daganatos betegek pre- és postoperatív ellátásába.
Az Egészségügyi Világszervezet globális szájegészségügyi programjában az általános egészség és az életminőség része a száj egészsége, prioritásában a fogszuvasodás, parodontális betegségek és a szájüregi rák áll, továbbá a már kialakult betegségek kezelése helyett a jövőbeni megbetegedések megelőzésére fókuszál. A szájüregi betegségek megelőzésében az egyéni, a szakmai és a közösségi megelőző intézkedés egyaránt hatékonyak. A száj egészsége az általános egészséghez kapcsolódik. Annak ellenére, hogy nagyrészt megelőzhetők a fogszuvasodás, a parodoncium betegségei, a fogvesztés, az ajak és a szájüreg rákos megbetegedései, mégis a
legelterjedtebb, nem fertőző betegségek közé tartoznak, melyek előfordulását és gyakoriságát befolyásolják a társadalmi és gazdasági egyenlőtlenségek, a megelőzés hiánya, továbbá a nem megfelelő finanszírozás, így az orális betegségek közegészségügyi problémát jelentenek a világban.
A DMF-T a legáltalánosabb és legegyszerűbb epidemiológiai és szintetikus indikátor, amivel a kívánt korcsoportok fogazati állapotáról kaphatunk képet. A D (Decayed) a szuvas, M (Missing) a hiányzó és az F (Filled) a tömött fogakat jelöli, a T (permanent Teeth) a maradó fogakra utal. Meg lehet mérni, hogy populáción belül a DMF-T számot, azaz a szuvas, tömött és hiányzó fogak számát.
Az országok a DMF-T indexeket 12 éves korban veszik fel, amikor már az összes maradó fog előtört, és a tejfogak már nincsenek jelen. Magyarországon a 12 éves korosztály DMFT indexe (CECDO 2020 adatai alapján) 1,7, és a fogszuvasodás-mentes fogak a 12 éves korosztályban
%-ban kifejezve (CECDO 2020 adatai alapján) 24%. 20162017 évben végzett felmérés alapján a 12 éves gyerekek körében a DMFT index 2,32, melyből a DT 1,7, MT 0,09, FT 0,52 (1985-ban 5). A 12 éves gyerekek 11,9%-a szájüregi fájdalom és kényelmetlenség miatt, 40,5%-a fogainak megjelenése miatti okokból kereste fel fogorvosát a szüleivel. 2017-ben a felnőtt lakosság DMFT indexe 25-52 év közötti férfiaknál 11,91, DMFS indexe 24,28. Idősebb életkorban, munkanélküliség esetén magasabbak voltak az értékek. A szuvas fogak átlaga 5,61; a tömött fogak átlaga 5,61; a hiányzó fogak átlaga 3,0. 2018-ban végzett
felmérés alapján a fogyatékkal élő betegek szájegészsége rossz, fogászati ellátásuk nem megoldott, a DMFT index 20,5; a szuvas fogaknál 2,6; a hiányzó fogak esetén 11,2; a tömött fogak esetében 6,7. Fogorvos-látogatási szokásaikat tekintve a betegek többsége 12 hónapnál régebben járt fogorvosnál, fogfájást egy éven belül kevés beteg érzett.
2018-ban az ajak- és szájüregi rák a 15. leggyakoribb daganattípus volt a Nemzetközi Rákkutató Ügynökség (International Agency for Research on Cancer) adatai alapján. Az Egyesült Államokban 2016-ban 45 543 új garat- és szájüregi rákot diagnosztizáltak, 10 170 páciens halt bele a betegségbe. A szájüregi daganatok fő kockázati tényezői között a dohányzás, az alkoholfogyasztás és a bételdiórágás szerepelt. 2017-ben a Nemzeti Rákregiszter adatai alapján az ajak-, nyelvgyök-, nyelv-, fogíny-, szájfenék-, szájpad-, ajak-, szájüreg- és garatdaganatos megbetegedések száma 1542 volt hazánkban, ami az összes ráktípus 2,72%-a az adott évben. 2015ben világszerte a fogászati költségek 356,80 milliárd USD közvetett, és 187,61 milliárd USD közvetlen költséget jelentettek. Amerikában évente 27 millió lakos keresi fel fogorvosát, e betegek szűrése a tanulmány szerint 102,6 millió dollárral csökkenti az egészségügy költségeit. Az egészségügyi szolgáltatás igénybevételének egyik meghatározó tényezője az egészségügyi ellátás elérhetősége, annak távolsága és a szolgáltató finanszírozási
tás általános lefedettségére kell törekedni. Hazánkban
Több mint 30 éves szakmai tapasztalat
Minden ami virtuális tervezés Küldje el a lenyomtatot akár intraoral scan formájában és mi megtervezzük illetve legyártjuk a kívánt fogpótlást !
cirkónium-dioxid, PEEK, lítium-diszilikát, PMMA, kompozit
Minden ami 3D nyomtatás
Az általunk vagy az Ön által tervezett vázakat, lemezeket 3D nyomtatással készítjük el !
CoCr és Ti 3D nyomtatása Teljeskörű support Precíziós utómunkálat
Minőség, pontosság, szakértelem. A fogtechnikai újdonságok úttörői !
a közfinanszírozott rendelőkből 3289 alapellátást, 749 szakellátást nyújt. 282 egészségbiztosító által finanszírozott betöltetlen fogorvosi szolgálat nem tudott beteget ellátni 2021 októberében Magyarországon. (11. ábra)
A megelőzés és a korai diagnózis javítja az egészségügyi eredményeket. A preventív szemlélethez hozzátartozik az évenkénti fogorvos-látogatás, mellyel az optimális száj-
1. https://net.jogtar.hu/jogszabaly?docid=a1900016.emm letöltés ideje: 2021.06.14
2. szakfelügyelői adatkérés OKFŐ Nyilvántartási és Továbbképzési Főosztály adatbázisából 2021. 05.06
3. https://www.cia.gov/the-world-factbook/countries/hungary/ letöltés ideje 2021.06.03
4. Állami Egészségügyi Ellátóközpont: Beszámoló az egészségügyi ágazati humánerőforrás 2018 évi helyzetéről 2019.07.01.
5. https://www.ksh.hu/nepesseg-es-nepmozgalom letöltés ideje: 2021.06.03
6. Ziller S, Eaton KE, Widström E. The healthcare system and the provision of oral healthcare in European Union member states. Part 1: Germany. Br Dent J. 2015 Feb;218(4):239-44.
7. Pegon-Machat E, Faulks D, Eaton KA, Widström E, Hugues P, Tubert-Jeannin S. The healthcare system and the provision of oral healthcare in EU Member States: France. Br Dent J. 2016 Feb 26;220(4):197-203.
8. Patel R, Eaton KA, Garcia A, Rincon V, Brooks J. An investigation into the numbers of dentists from 19 European Economic Area (EEA) member states currently registered to work in the United
egészség fenntartható és megelőzhető a fogszuvasodás, a fogvesztés és a szájüregi rák kialakulása. (12. ábra) A társadalmi-gazdasági helyzet erősen befolyásolja a szájbetegségek prevalenciáját és súlyosságát, így fontos meghatározni országon belül is a térség társadalmi-gazdasági helyzetét, ami feltárja az egyenlőtlenségeket. (13. ábra)
A szakfelügyelet elsődleges feladata a törvények és rendeletek betartása, illetve betartatása. Ugyanilyen fontos az egészségügyi és a szakmai vezetés informálása a magyarországi fogorvoslást érintő adatokról. Közleményünk azt a célt szolgálja, hogy ezek az adatok ismertté váljanak nem csak a szakmai vezetők, hanem minden magyarországi fogorvoslásban érintett számára.
Kingdom and key differences between the practise of dentistry in the UK and their member states of origin. Br Dent J. 2011 Aug 12;211(3):133-7.
9. Kivovics, P. and Csadó, K.: Systems for the Provision of Oral Health Care int he Black See Countries Part 7. Hungary Oral Health and Dental Management int he Black Sea Countries Vol. IX, No. 4 December, 2010. 193-199
10. Balázs P., Bánóczy J., Márton K. és Kivovics P.: Népegészségtani szemlélet a fogorvoslásban Orvosok Lapja V. évf. 2008/9. 17-19
11. Boncz I. (szerk.), Ágoston I. (szerk.), Kovács G. (szerk.), Endrei Dóra (szerk.): Gazdálkodás és menedzsment az egészségügyi intézményekben, 2019 Medicina, Budapest
12. Pourat N, Andersen RM, Marcus M. Assessing the contribution of the dental care delivery system to oral health care disparities. J Public Health Dent. 2015 Winter;75(1):1-9.
13. Ahern, S, Woods, N, Kalmus, O, Birch, S, Listl, S. (2019) Needs-based planning for the oral health workforce - development and application of a simulation model. Human Resources for Health 17(1) old. 55.
KAVOSZ SZÉCHÉNYI LÍZING MAX+
• 5 % fix kamatozás
• 2,5 % szerződéskötési díj
• Önerő 30 %
A-dec 500
Prémium kategóriás alsó/felső karos kezelőegység
2003 ÓTA FOLYAMATOSAN ELNYERTE A LEGJOBB KEZELŐEGYSÉG FŐDÍJAT
Csak az a gyártó ad 5 év garanciát a termékére, aki biztos a gyártmánya minőségében
DELUXE vezérlés, 8+4 LED páciens lámpa, NSK NLZ LED-es mikromotor www.a-dec.com/virtual-tour www.dent-east.hu
Az A-dec kezelőegységek szervizeléséhez a vételár mindössze átlagosan 1,97%-át teszi ki az évente vásárolt alkatrész. Ebben az A-dec páratlan.
A-dec 230
Felsőkaros kezelőegység, DELUXE vezérlés, 8+4 LED vagy 4 LED páciens lámpa, NSK NLZ LED-es mikromotor
A-dec 200
Kompakt alsókaros kezelőegység
DELUXE vezérlés, 8+4 LED vagy 4 LED páciens lámpa, NSK NLZ LED-es mikromotor
„Amit ma megvehetsz, ne halaszd holnapra”
Szabó Kata, dr. Németh Orsolya, dr. Kivovics Péter (Semmelweis Egyetem, Fogászati és Szájsebészeti Oktató Intézet)
A fejlett ipari társadalmakban a megbetegedések jelentős százaléka az elhízásból (obesitas), illetve az elhízásból adódó következményes betegségekből adódik (2. típusú diabetes, hypertónia bizonyos formái, daganatos betegségek egyes típusai stb.). Ezzel párhuzamosan köztudottan magas a fogszuvasodás aránya, mely így bizonyos országokban népbetegségnek számít. [1,2,3]
A fogorvoslás az utóbbi 20-25 évben két fő ágra szakadt. Az egyik a néha túlzott specializáció felé irányuló szakosodás, mely bizonyos felkeltett igények kielégítését szolgálja (esztétikai fogászat, egyes szofisztikált paradontológiai műtétek, a nem megalapozott indikációjú implantációk stb.). A másik ág a népegészségügyi fogorvoslás, melyben a fogszuvasodás megelőzése és kezelése, a rágóképesség helyreállítása, a nyálkahártya-betegségek megelőzése és kezelése, vagyis a fogorvoslás valódi problémái kerülnek besorolásra. [4,5] Míg az elsőnek megemlített szakágak a fogorvoslást a szépséggyógyászat irányába mozdítják el, a népegészségügyi fogorvoslás közelebb áll a hagyományos medicinális megközelítéshez.
A kutatás adatait három fő kategória szerint vizsgáltuk, ezek a szociodemográfiai adatok, a fizikális egészség és a szájhigiénia voltak.
A vizsgálaton 84,1% nő és 15,9% férfi vett részt. Átlag életkor 43,00±13,71. A legfiatalabb 16 éves, legidősebb 76 éves. 45,5% házas, 21% élettársi kapcsolatban él, 18,2% egyedülálló. (Több mint 60% élettársi vagy házastársi kapcsolatban él, 18% egyedülálló, közel 12% elvált vagy özvegy.)
A válaszadók közel 52%-a főiskolát vagy egyetemet végzett, 38% legalább érettségivel rendelkezik. Megállapíthatjuk, hogy a kérdőívet kitöltők a felsőoktatási végzettséggel rendelkezők közül kerültek ki nagy százalékban, így az iskolázottság hiánya nem magyarázhatja az olykor hiányos, alapvető szájápolási szokásokat nem megfelelően ismerő és alkalmazó válaszokat.
Anyagi helyzetüket tekintve a válaszadók közül rendszeres jövedelme 85,1%-nak van, és több mint 90% elfogadhatónak ítélte meg anyagi helyzetét (igen jó, jó, közepes kategóriába sorolta azt). Ezekre a kérdésekre adott válaszokból kiderül, hogy nem a szájápolásra fordítható összeg hiánya okolható a rossz szájhigiénés állapotokért.
Az alapbetegségek tekintetében 78% nem kezelt „beteg”, itt fontos megjegyezni, hogy a kategória megjelölése nem jelenti a betegség hiányát. (6] (A Covid kapcsán az alapbetegségek felkutatása háttérbe szorulhatott a pandémia elsődleges feladatainak ellátása közben.)
A válaszadók átlagos testsúlya 73,94 kg±17,52; a medián 71,0 kg, a legkisebb 40 kg, a legnagyobb súly 150 kg.
A kérdőívben az önbevallás alapján megítélt súlyt a meglehetősen súlyos, túlsúlyos és nem túlsúlyos kategóriák közül választhatták ki. A minta 54,3%-a nem gondolja magát túlsúlyosnak, 41,0% túlsúlyos, míg 20% meglehetősen túlsúlyosnak ítélte a testsúlyát.
A túlsúly – mint az alapbetegségek rizikófaktora – kiemelt jelentőséggel bír a megelőzésben külön figyelmet igénylő célcsoportok kialakításában. A testsúlytöbblettel rendelkezők másodlagos megbetegedései között elsőként figyelhetjük meg a szájüregi elváltozásokat, így ezek felkutatása és időben történő kezelése elengedhetetlen.
Keresztmetszeti vizsgálatunkban a válaszadók 50,3%-a nem gondolja magát sportosnak, 52,2% sportol napjainkban is. Ez az arány rosszabb, mint a gyermekkorban, ott 62,7% állította, hogy sportolt. (7,8] Megeshet, hogy a gyerekkori adatok nem tükrözik a valóságot az idő eltelte miatt, esetleg retrospektív pozitívabb megítélés alá esik jelenlegi „mozgásszegényebb”, felnőttkori életük miatt. (9] A testnevelés napi szintű bevezetésével bízunk abban, hogy ez az adat egyre nagyobb mértékben tükrözi majd a valóságot. (10] Szignifikáns összefüggés mutatkozik a gyermekkori elhízás és mozgásszegény
élet, illetve a felnőttkorban megjelenő diabetes és hypertónia között. [11,12,13]
Az étkezésekkel kapcsolatos kérdéseinkre az étkezési szokásaikat elfogadhatónak (kiegyensúlyozott és részben kiegyensúlyozott) 81% ítélte meg. Háromszori étkezést 45,9% követ. Akik rendszertelennek ítélik étkezési szokásaikat, sokkal kevesebbet esznek egy nap (80,0%-a egyszer étkezik egy nap, 44,3% kétszer). A kiegyensúlyozottan étkezők 68,9%-a napi 5x eszik. Gyakori nassolásról 24,2%, nem túl gyakoriról 36,1% számolt be.
A 80% az ajánlott napi minimum fogmosást elvégzi, de itt még nem vizsgáltuk a minőségi paramétert, amely legalább olyan fontos, mint a gyakoriság. (14,15] Ismét úgy gondoljuk, hogy ennek az adatnak sem hihetünk. (16] A válaszadó tudja, hogy menynyiszer kellene ezt tennie, és önmagának sem vallja be az igazat, ezért az elvárt számot mondja be. (17] Ha a válaszadók igen nagy része valóban ilyen arányban mosna fogat, akkor a magyarországi DMF-T index adatok nem volnának ennyire kétségbeejtőek. [3]
Önbevallás alapján megítélt fogazati állapottal kapcsolatos kérdéseinkre érkezett válaszokra 5 kategóriából választhattak. 43,1% jó állapotúnak, 24,7% közepes állapotúnak, 20,7% igen jó állapotúnak gondolja azt. A magyarországi populáció, bár javuló tendenciát mutat, de jellemzően csak „végső esetben”, fájdalom esetén és nem prevenciós céllal keresi fel fogorvosát. 98,1% fontosnak tartja fogainak egészségét. (18,19]
A fogkefe és fogkrém használata szerencsére egyértelműnek látszik azok körében, akik állításuk szerint megfelelően tartják karban fogazatukat. [20] Az interdentális fogköztisztítók, különösen a fogköztisztító kefe azonban még nem eléggé elterjedt, pedig szignifikáns összefüggés van a helyes használata és a fogazat jó állapota között. [21,22]
A megkérdezettek 73,8%-a legalább évente jár fogorvoshoz. Ezt erős kétkedéssel kell fogadnunk, még akkor is, ha vizs-
1. Asim Al-Ansari, Muhammad Nazir : Relationship between Obesity and Dental Caries in Saudi Male Adolescents.Int J Dent. 2020 Oct 8;2020:8811974. doi: 10.1155/2020/8811974. eCollection 2020
2. Heba Ashi , Guglielmo Campus: Assessment Between Dental Caries Index and Body Mass Index among Adults.Front Nutr. 2020 Nov 20;7:589510.doi: 10.3389/fnut.2020.589510. eCollection 2020
3. Judit Szoke , Poul Erik Petersen:State of oral health of adults and the elderly in Hungary.BMC Public Health 2017 Jul 26;18(1):63.doi: 10.1186/s12889-017-4609-9.
4. Magnus Hakeberg, Ulla Wide Boman: Self-reported oral and general health in relation to socioeconomic position.BMC Public Health 2017 Jul 26;18(1):63. doi: 10.1186/s12889-017-4609-9
5. Christof Dörfer, Christoph Benz, Jun Aida, Guillaume Campard : The relationship of oral health with general health and NCDs: a brief review.Int Dent J 2017 Sep;67 Suppl 2:14-18. doi: 10.1111/ idj.12360.
6. Rezvan Rafatjou, Zahra Razavi : Dental Health Status and Hygiene in Children and Adolescents with Type 1 Diabetes Mellitus
7. H V Worthington, R C Craven : Relationship between the care index and mean dmft/DMFT
8. Marijana Radić, Tomislav Benjak, Vlasta Dečković Vukres: Presentation of DMFT/dmft Index in Croatia and Europe
9. Amal Adnan Ashour: Association between obesity/overweight and dental caries in psychiatric patients
10. Rodrigo Serrano-Piña, Fernando Javier Aguilar-Ayala: Prevalence of Obesity in Elementary School Children and its Association with Dental Caries
11. Justin Jacques Ravelomantsoa: Relation between body mass index and dental caries among adolescents
gálatunk nem reprezentatív. A felmérésünkből az derüll ki, hogy az egész magyarországi népességre kivetítve elégedettek lehetnénk az eredménnyel. [23]
Azok a megkérdezettek, akik félévente járnak kontrollra, 78% kielégítő fogazati állapotról számolt be. A fogorvoshoz legalább évente járók közül 67,9% megfelelő állapotúnak vallotta fogai állapotát.
A kérdéseinkre adott válaszok egybevágnak a korábban ismertetett irodalmi adatokkal. [24,25] A válaszok többsége bizonyítja, hogy az elhízási és a fogszuvasodási adatok összefüggenek. Vizsgálatunk ezen felül arra is rámutat, hogy a magas iskolai végzettségű, jó jövedelemmel rendelkező rétegek is rendelkezhetnek nem megfelelő szájhigiéniával és súlyfelesleggel. Kiemelt jelentőséggel bír a fogorvoshoz járás gyakorisága a hosszú távon megfelelő fogazat fenntartásában, ezzel együtt pedig az alapbetegségek időben történő felkutatásában.
Bár maga az egyén tudja, hogy nem szabad például a főétkezések között édességet fogyasztania, mégis megteszi. Tisztában van vele, hogy a súlyfelesleg magasabb kockázati rizikóval jár, mégis megmarad rossz szokásainál. A megkérdezettek – a vizsgálat alapján elmondható – tisztában vannak káros szokásaik következményével, de a szükséges prevenciós lépésekkel nem minden esetben. Fontos lenne az ezzel kapcsolatos oktatás megerősítése, továbbá az erre még fogékony korban lévők alaposabb egészségnevelése!
12. Ling-Wei Li: Longitudinal Association between Obesity and Dental Caries in Adolescents
13. M Costacurta: Dental caries and childhood obesity: analysis of food intakes, lifestyle
14. A Bhayat : Association between body mass index, diet and dental caries in Grade 6 boys in Medina, Saudi Arabia
15. Giles Barrington, Shahrukh Khan: Obesity, dietary sugar and dental caries in Australian adults
16. Anna-Lena Östberg: Oral health and obesity indicators
17. Young-Eun Kwon: The relationship between periodontitis and metabolic syndrome among a Korean nationally representative sample of adults
18. Prakash Poudel: Oral health knowledge, attitudes and care practices of people with diabetes: a systematic review
19. Fima Lifshitz: Oral Health in Children with Obesity or Diabetes Mellitus
20. Amélie Keller: Association between periodontal disease and overweight and obesity: a systematic review
21. Seitaro Suzuki: Relationship between Obesity and Oral Health Behavior in Primary and Junior High School Students: A Cross-sectional Study
22. Lindsey Rennick Salone: Breastfeeding: an overview of oral and general health benefits
23. Deborah S Rodriguez, Moshe M Rechthand, Nasir Bashirelahi: What every dentist needs to know about obesity and oral health
24. Chikanobu Sonoda: Associations among Obesity, Eating Speed, and Oral Health
25. Kai Foo Chow: A Review of Excessive Sugar Metabolism on Oral and General Health
Komplett megoldás a digitális fogászatban – egy szoftverrel
A Planmeca biztosítja a digitális munkafolyamat összes eszközét, amelyekkel lehetővé válik a páciens adatok megszerzése, a kezelések megtervezése, a sebészeti sablonok 3D nyomtatása és a restaurációk kimarása.
Így a munkafolyamat összes lépése egy szoftverben kivitelezhető: Planmeca Romexis
Magyarországon forgalmazza:
Bővebb információ, árajánlat kérés: (+36-1) 336-0884, 336-0885
E-mail: shop@sanidental.hu • Honlap, webshop: www.sanidental.hu
1.
A SZÁJÜREGI EGYENSÚLY FENNTARTÁSÁBAN RÉSZTVEVŐ TÉNYEZŐK
A SZÁJÜREGI EGÉSZSÉG és az elem boldogságának helyreállítása
A szájüregi egyensúly felborulásában résztvevő tényezők
A szájüregi flóra Kémiai anyagok Mechanikai erők
Általános betegségek Mentális stressz Immunrendszer Genetikai tényezők
Rossz lehelet, parodontális megbetegedés, fogszuvasodás, fájdalom, szenvedés, stressz, szorongás
Nem megfelelő fogmosási technika, nem kielégítő mértékű önmagunk irányába mutatott figyelem
A szájüregi egyensúly felborulása
SZÁJÜREGI BETEGSÉGEK ÉS MENTÁLIS STRESSZ KIALAKULÁSA
Terápiás beavatkozások
A szájüregi egyensúlyi állapot felborulása ellen ható természetes ellenálló képesség
Nem megfelelő fogmosási technika, nem kielégítő mértékű önmagunk irányába mutatott figyelem
A holisztikus egészségügyi szemlélet régóta része a védikus kultúrának. Ebben a kultúrkörben az egészséget az elme, a test, a viselkedés és a környezet közti harmónia elérése jelenti. Ennek a fogalmát és az elérésének lehetséges módszereit részletesen leírják az ájurvéda irodalomban. Ez a szemlélet hosszú időn keresztül feledésbe merült, és csak azután került ismét előtérbe, hogy az Egészségügyi Világszervezet (World Health Organization; WHO) 1948-ban úgy definiálta az egészség fogalmát, miszerint „Az egészség a teljes testi, lelki és szociális jóllét állapota, és nem csupán a betegség hiánya”. Ezt követően egyre többen ismerték meg az egészségi állapottal összefüggő életminőség fogalmát (holisztikus egészségi állapot).
Az egészség 1948-ban meghatározott definíciójának nagy szerepe volt abban, hogy az egészséget és betegséget nem csupán fiziológiai, hanem biopszichoszociális szemlélet szerint vizsgálják. A biopszichoszociális modellen keresztül vizsgálva mindenki számára könnyen érthetővé válik, hogy bármely olyan betegség negatív hatással lehet a páciensek életminőségére, amely megakadályozza őket a mindennapi teendőik elvégzésében. A vonatkozó szakirodalom vizsgálatát követően megállapíthatjuk, hogy az egészségi állapottal összefüggő életminőség fogalma az 1960-as éveket követően egyre nagyobb számban kerül említésre. Sőt azt is
MEDITATÍV FOGMOSÁS Tájékozottság, önmagunk irányába mutató figyelem, gyakorlás
Biológiai védelem, regeneráció vagy reparáció és adaptáció
Szájüregi egyensúly
MEDITATÍV FOGMOSÁS Tájékozottság, önmagunk irányába mutató figyelem, gyakorlás
Fogorvosi beavatkozások keretei között végzett helyreállítás vagy adaptáció
megfigyeltük, hogy az előbbiekben említett fogalom lassan a szájüregi egészséggel foglalkozó publikációkban is megjelent. A szájüregi egészséggel összefüggő életminőség fogalma viszonylag újnak számít, azonban ezt a kifejezést az elmúlt két évtizedben egyre nagyobb számban olvashattuk a különböző szakcikkekben. Több szerző is foglalkozott a szájüregi egészséggel összefüggő életminőség elterjedésének és az előtérbe kerüléséhez vezető körülmények vizsgálatával. A szájüregi egészséggel összefüggő életminőség megmutatja, hogy a vizsgált egyén hogyan ítéli meg saját magát különböző területeken az általa észlelt szájüregi tünetek, továbbá az általános szájüregi állapota tükrében. Ez az információ lehetővé teszi a kutatók számára, hogy összefüggéseket állítsanak fel a szájüregi és az általános egészségügyi állapot között. A jó szájhigiénia eredményeként a páciensek egészséges megjelenésű szájüregi állapottal fognak rendelkezni, amely mentes a kellemetlen lehelettől. Az egészséges szájüreg hozzájárul a megfelelő táplálékbevitelhez szükséges feltételek biztosításához, elősegíti a társas kapcsolatok kialakítását és fenntartását, növeli a páciensek önbecsülését és erősíti az egészség és a jóllét érzését.
A szájüregi egészség vagy betegség állapotának kialakulását számtalan különböző paraméter befolyásolja. Ezek a paraméterek lehetnek molekuláris, sejtszintű vagy szöveti szintű hatások, egyéni vagy társadalmi szokások és elvárások, valamint az előbbiekben felsoroltak egymásra gyakorolt kölcsönhatásai. Az emberi testen belül a szájüregben található
az egyik legváltozatosabb bakteriális flóra. Ebben a komplex mikrobiomban a baktériumokon kívül vírusok, gombák, protozonok és további egysejtű organizmusok is megtalálhatóak. A szájüregben található baktériumok kiemelt szerepet játszanak két, az emberek szájüregében viszonylag gyakran előforduló kórfolyamat kialakulásában: a parodontális megbetegedések és a fogszuvasodás hátterében a pathogén szájüregi baktériumok állnak. Ezek a szájüregi betegségek a világszinten leggyakrabban előforduló betegségek között szerepelnek. Ez a két betegség majdnem az összes korcsoportot és szinte az összes különböző földrajzi területen élő közösséget érinti.
A normál szájüregi flórában több mint 1000 különböző baktériumot találhatunk. Az emberi testben a bélbaktériumokat követően a szájüregi baktériumok alkotják a második legkomplexebb baktériumközösséget. Az immunrendszerre pedig rendkívül jelentős feladat hárul. Azon kívül, hogy tolerálnia kell a normál baktérium-, vírus- és gombaflóra jelenlétét, továbbá az általuk kiváltott komplex kölcsönhatásokat, ezzel a szimbiózissal egyidejűleg képesnek kell lennie a pathogén baktériumokkal szembeni védekezésre is. Mára az is bizonyítottá vált, hogy az immunrendszerben bekövetkező változások esetén a szájüregi flóra összetétele is megváltozik. Több olyan betegséget és állapotot is fel tudunk sorolni, amely megváltoztatja az immunrendszer egyensúlyát, és ezáltal a szájüregi mikrobiom összetételére is hatással van. A szájüreg egy az emberi szervezeten belül kialakult önálló életközösségnek ad otthont, és mint minden életközösség, ez is több különböző résztvevőből épül fel (baktériumok, gombák, metabolikus termékek, a gazdaszervezettől származó sejtek, a nyálban lévő elemek stb…), valamint ez a rendszer is mindig az egyensúly fenntartására törekszik. Fontos megjegyeznünk, hogy a baktériumflóra összetétele a különböző szájüregi területeknek megfelelően ugyanazon szájüregen belül eltérést mutathat. Különböző vizsgálatok is igazolták, hogy a nyálkahártyán és a fogak felszínén lévő baktériumközösségek, valamint a nyálban lévő és a fogak felszínén található baktériumközösségek összetétele egymáshoz képest jelentősen eltérhet. Egy a közelmúltban megjelent vizsgálatban kimutatták, hogy míg a bukkális nyálkahártyán, ínyen és a kemény szájpadláson lévő bakteriális flóra összetétele nagyjából megegyezett, addig a nyálban, nyelven, mandulákon, torokban, valamint a supra- és subgingivális plakkban lévő bakteriális közösségek jelentősen eltérő összetétellel rendelkeztek. Jelenleg a nyálban megtalálható mikrobiomot tartjuk a legalkalmasabbnak a szájüregre általánosságban jellemző mikrobiom összetételének a meghatározására. Az ebből a közegből vett minták segítségével viszonylag jól leképezhetjük az egyes betegségek által a szájüregi flórára gyakorolt hatásokat.
Ahhoz, hogy a biológiai szövetek regenerációs képességéről beszéljünk, először mélységében meg kell értenünk azokat a kölcsönhatásokat, amelyek részt vesznek a nyál, a táplálkozás, a szájüregi flóra, a fogak és a nyálkahártyafelszínek által kialakított dinamikus egyensúly (azaz a fiziológiás szájüregi állapot) fenntartásában. Az előbbiekben felsorolt elemek szerves részei a szájüregen belül megtalálható önálló ökoszisztémának. A szájüregi egészség vagy betegség fenntartását és kialakulását az ezen elemek által alkotott rendszerben fennálló egyensúly vagy aránytalanság okozza (1. ábra)
Ennek megfelelően az általunk elvégzett preventív és terápiás célú beavatkozások céljai között ezen egyensúlyi állapot megőrzésének vagy helyreállításának is kiemelt szerepet kell kapnia. A holisztikus szemléletű preventív, diagnosztikai és terápiás beavatkozások sokkal szélesebb spektrumon közelítik meg a lehetséges problémákat, míg a hagyományos orvoslásban jóval korlátozottabb azon faktorok száma, amelyeket figyelembe vesznek az egészség megőrzésére vagy helyreállítására való törekvés során.
Annak ellenére, hogy a fogszuvasodás és a parodontális megbetegedés nem tartozik a fertőző betegségek közé, még így is hatalmas egészségügyi terhet jelentenek az emberiség számára. A világ lakosságának jelentős része (megközelítőleg 90%-a) az élete során egy ponton valamilyen szájüregi megbetegedéstől fog szenvedni. A fogszuvasodás és a parodontális betegség a leggyakoribb olyan krónikus megbetegedések közé tartoznak, amelyek késői stádiumára jellemző az erős fájdalom kialakulása. A jelenleg rendelkezésre álló becslések szerint a fogszuvasodás incidenciája a világ felnőtt lakosságában 100%-ra, míg az iskoláskorúak között 60%–90%-ra tehető (2. ábra). A parodontális megbetegedések vélelmezhetően a világ lakosságának 20%–50%-át érintik. A krónikus parodontitis a világ hatodik leggyakrabban
Holisztikus Szemlélet elme test Viselkedés környezet minimál inVazíV megbízható Megfizethető egyszerű
Megfelelő Technológia
Képzett FogorVos kompetens lelkes egészséges boldog tudományos megalapozottság, bizonyított eredmények, tapasztalat, logikus köVetkeztetések
Megfelelő Terápia
előforduló megbetegedésének számít, és súlyos esetben a saját fogak elvesztéséhez vezethet (3. ábra). A jelenleg rendelkezésre álló adatok azt mutatják, hogy összefüggés van a szájüregi betegségek és az olyan nem fertőző betegségek között, mint a cukorbetegség vagy a kardiovaszkuláris betegségek. Ugyancsak szignifikáns összefüggést találtak a szájüregi egészség és a mentális egészség között. Mindezek figyelembevételével megalapozottnak találjuk azt a kijelentést, mely szerint a szájüregi betegségek világszintű terhet jelentenek az egészségügyi ellátó rendszernek.
A szájüregi elváltozások direkt és indirekt módon is hatással vannak a világgazdaságra. Ezeknek a betegségeknek a kezelése jelentős anyagi teherrel jár, amely negatív társadalom gazdasági hatással rendelkezik. A WHO becslése szerint az iparosodott országok többségében a szájüregi betegségek kezelése számít a negyedik legnagyobb költséggel kezelhető betegségnek. A kezelések közvetlen és közvetett költségein, valamint ezek gazdasági hatásain kívül a szájüregi megbetegedések jelentős hatással vannak az emberek mindennapi életére, valamint világszinten évente több millió munka- és iskolában eltöltött óra elvesztéséhez vezetnek. Az újonnan elérhetővé váló tudományos bizonyítékok alapján, mely szerint a fogszuvasodás egy táplálkozásés viselkedésfüggő megbetegedés, amely kialakulásában baktériumok is részt vesznek, megváltozni látszik a fogszuvasodás megelőzésének és ellátásának módja. Az új szemléletnek megfelelő kezelési módszereknek a biológiai szövetek regenerációs képességét is figyelembe kell venniük a páciens ellátásának megtervezése során. Továbbra is a kariológiai elváltozások kialakulásának megakadályozásának kell a szájüregi egészség helyreállítására és megőrzésére törekvő kezelési tervek középpontjában állni. A modern fogorvoslásban elfogadhatatlannak számít az egészséges foganyag feláldozása és mesterséges helyreállító anyagokkal történő visszaépítése. Jelen cikk szerzője a Védikus Mosoly Filozófia (Vedic Smile Concept) alkalmazását javasolja. Ennek a szemléletnek a fókuszpontjában a betegségek kialakulásának megelőzése áll. Ezt az egyéni szájhigiénés szokások fiatal korban történő kialakításával, a fogorvosi szűrővizsgálatokon való rendszeres
megjelenéssel, a kezdődő szájüregi megbetegedések minimál invazív módszerekkel való diagnosztizálásával, ezek kialakulásának megelőzésével, illetve korai stádiumban való kezelésével és egy páciens középpontú holisztikus fogorvosi szemlélet alkalmazásával kívánja biztosítani.
A prevenció a legjobb terápia, tartja a mondás. Ennek a filozófiának az alkalmazása jelentős mértékben csökkentheti a szájüregi megbetegedések negatív társadalmi hatását. Tudományos vizsgálatok igazolják, hogy a megfelelően végzett egyéni szájhigiénés tevékenység kulcsfontosságú szerepet tölt be a szájüregi megbetegedések kialakulásának a megelőzésében. A fogorvosi vizsgálatok során a fogászati ellátásban résztvevő kezelőszemélyzet általában hasznos tanácsokkal és pontos utasításokkal látja el a pácienseket a szájüregi egészségük fenntartásával kapcsolatban. Ezek tartalmát a klinikai vizsgálat során látott szájüregi státusz- és orálhigiénés szint alapján individualizálják az egyes páciensek számára. A tanácsadás célja a páciensek szájüregi egészségmegőrző képességének fejlesztése és a megfelelő szájhigiénia fenntartásához szükséges információk biztosítása. Ugyanakkor már számos vizsgálatban kimutatták, hogy a páciensek általában nem végzik el maradéktalanul a megfelelő szájhigiénia fenntartásához elengedhetetlen napi szájápolási teendőket, továbbá a felnőtt lakosság nagy része az ajánlottnál kevesebb alkalommal és rövidebb ideig mossa a fogait. Ennek eredményeként nem meglepő, hogy az egyéni szájhigiénés tevékenység révén sokszor nem képesek a fogazatuk megfelelő tisztaságát biztosítani. Ez azt igazolja, hogy megfelelő egészségtudatos hozzáállás és kellő önmagunk irányába mutatott figyelem szükséges a jó szájhigiéne fenntartásához.
A szájüregi egészség elérése a megfelelő tudás és képességek biztosításán, nem pedig a páciensek különböző feladatok végrehajtására való utasításán keresztül lehetséges. Tulajdonképpen a szájüregi egészséggel kapcsolatos oktatást tartják a jó szájhigiéne eléréséhez szükséges egyik legalapvetőbb feltételnek. Ezen felül szoros összefüggéseket találhatunk a jó szájüregi és jó mentális egészség között a szakirodalomban.
A meditatív fogmosási technika a védikus fogászati elveken (Vedic Smile Dentistry) alapul (5. ábra). Ez egy holisztikus szemléletű technika, amely a test, az elme, a viselkedés és a környezet (ebben az esetben a szájüregi flóra) egyensúlyának megőrzésére vagy helyreállítására törekszik. A célja, hogy a páciensek elsajátítsák a meditatív fogmosási technika alkalmazásával járó alapértékeket, és az ezek alkalmazásával járó előnyöket fel tudják használni a testi és lelki egészségük, valamint boldogságuk növelésére. Az MTB technika célja, hogy a pácienseknek a fogak mechanikai tisztításával egyidejűleg lehetősége legyen a test és a lélek közti kapcsolat erősítésére. Erre egy egyszerűsített
meditatív eljárás alkalmazásával van lehetőségünk, amely a szájüreg egészségének fenntartása mellett a belső feszültségek levezetéséhez is hozzá tud járulni. Az MTB technika alapja a páciensek tájékozottságának, magukkal szembeni figyelmességüknek, és a jó szájhigiénés szokásaiknak az erősítése. A technika helyes alkalmazása esetén az előbbiekben felsoroltak a páciensek mindennapos viselkedésének részévé válnak, és ezek a gyakorlatok készségszinten rögzülnek bennük.
Az MTB technika három egyszerű lépésen keresztül biztosítja a szájüreg tisztaságát és az elme relaxálását. Ez a három lépés: az előkészítés, a tisztítás és a védelem (6. ábra)
A megfelelő módon történő fogmosás záloga, hogy tájékozottak legyünk mindhárom lépés fontosságával és a helyes kivitelezésük módjával.
Előkészítés
A fogmosás megkezdése előtt az MTB technika gyakorlójának pontosan tisztában kell lennie azzal, hogy milyen feladatokat ad az elméjének. Ennek köszönhetően képesek lehetünk a következő 3-4 perces művelet során egy tökéletes és harmonikus kapcsolatot létrehozni a testünk és az elménk között. Az MTB technika az alábbi egyszerű lépések elvégzését javasolja:
• Nézzünk a tükörbe és vizsgáljuk meg a szájüregünk állapotát.
• Vizsgáljuk meg a fogainkat. Ellenőrizzük a fogaink felszínének állapotát a nyelvünk segítségével. Simítsuk végig a nyelvünket az összes fogfelszínen.
• Legyünk hálásak a fogainknak és köszönjük meg nekik, hogy az előtörésüktől kezdve segítségünkre vannak az étel megrágása és a beszéd során.
• Mosolyogjunk a tükörbe és készüljünk fel a fogmosás megkezdésére.
Ezek az egyszerű lépések segítenek a fogmosáshoz szükséges mozdulatok elvégzésére való felkészülésben, és segítenek az ezt a tevékenységet zavaró egyéb gondolatok kizárásában. A figyelem fókuszálásával csökken a stressz és a szorongás mértéke és a belső nyugalom megjelenésével a fogmosás egy élvezhető és sikeresen elvégezhető tevékenységgé válik.
Tisztítás
Az MTB technika alkalmazása során alapvetően kis fejű, puha és elvékonyodó végű sörtékkel rendelkező fogkefe használatát javasoljuk. Ugyanakkor arra is figyelmet kell fordítani, hogy a fogmosás során képesek legyünk az ételmaradékokat és az itt található dentális plakkot megfelelő hatékonysággal eltávolítani a fogak felszínéről és a fogak között lévő interdentális területekről. Az MTB technika először az interdentális területek megtisztítását javasolja. Ezeknek a megtisztítását követően célszerű az egész szájüreget vízzel alaposan átöblíteni, majd megkezdhetjük a fogfelszínek megtisztítását. A fogmosás során végzett mozdulattal kapcsolatban az MTB technika egy logikus és a tevékenység céljára fókuszált megközelítés alkalmazását javasolja. Ennek megfelelően az interdentális területek megtisztításához az íny felől induló vertikális irányú söprögető mozdulatokat, míg a további fogfelszínek megtisztításához körkörös dörzsölést javasol. A lényeg, hogy egyetlen területet se hagyjon ki a fogai megtisztítása során (fogközök, valamint a fogak okkluzális, buccalis és lingualis felszínei). Az MTB filozófia szerint ennek a lépésnek a célja (tisztítás) a fogak mechanikai módszerekkel történő lehető legalaposabb megtisztítása, a fogmosás idejének meghosszabbítása, a nyálképzés fokozása és a fogfelszínek fogmosás közben történő vizuális kontrolljának elősegítése. Összességében olyan körülményeket akar terem-
MEDITATÍV FOGMOSÁS Egy biztos út a szájüregi egészség és az elem boldogságának eléréséhez
A szájüregi egyensúlyi állapot felborulása ellen ható természetes ellenálló képesség
MEDITATÍV FOGMOSÁS Tájékozottság, önmagunk irányába mutató figyelem, gyakorlás
LEGYÉL TÁJÉKOZOTT ÉS FIGYELJ SAJÁT MAGADRA
TISZTÍTÁS fogközök (fogkrémhasználat nélkül), vertikális irányú söprögető mozdulat
Öblítés
EGÉSZSÉG és az elem boldogságának helyreállítása
Megfelelő szájüregi egyensúly
REGGEL/NAPKÖZBEN
TISZTÍTÁS A szájüregben látható fogfelszínek, íny, és nyelv (fogkrémhasználat nélkül)
Rövid ideig tartó körkörös tisztítás
LEFEKVÉS ELŐTT
TISZTÍTÁS ÉS KÉMIAI VÉDELMET BIZTOSÍTÓ ANYAGOK FELVITELE A szájüregben látható fogfelszínek, íny és nyelv (biológiailag aktív hatóanyagot tartalmazó fogkrém)
Rövid ideig tartó körkörös tisztítás
Tilos öblögetni, csak köpni lehet
Alapos öblögetés
Biológiai védelem, regeneráció vagy reparáció és adaptáció
teni, amely alkalmassá teszi a fogfelszíneket a következő lépésben alkalmazásra kerülő kémiai védelem optimális befogadására.
Védelem
A szájüregi környezet védelmére szolgáló lépéseket úgy kell meghatározni, hogy azok a lehető legteljeskörűbb módon elősegítsék a szájüregi egyensúly felborulását okozó hatások semlegesítését (1. ábra). A szájüreg védelmét többek között az alábbi tevékenységek segíthetik: fluoridos fogkrém és antiszeptikus szájvizek használata, fluoridos védőlakkok alkalmazása, a fogfelszínek bioaktív anyagokkal történő védelme, barázdazárás, fogvédő sínek alkalmazása (ezek a sínek a fogakat potenciálisan károsító mechanikai erőhatásokkal szemben képesek védelmet nyújtani), a táplálkozás módosítása. Az előbbiekben néhány olyan példát soroltunk fel, amelyek elősegíthetik a szájüregi egészség megőrzését, ám ezeket mindig csak a fogorvosok ajánlásának megfelelően szabad alkalmazni. Ugyanakkor az egyéni szájhigiénés tevékenység végzése során, a fogak mechanikai megtisztítását követően fontos a fogak kémiai védelmét a megfelelő anyag (fogkrém, foggél, szájvíz, stb…) felvitelével biztosítani. Ezeket a szereket bele kell masszírozni az ínybe, a fogfelszínekre, a nyelvre stb… Ezek az anyagok hatékony védelmet biztosíthatnak a fogszuvasodás, a fogágybetegség, a szájszag és más szájüregi betegségek kialakulásával szemben. Az MTB technika azt javasolja, hogy a fogak védelme érdekében a fogak felszínére körkörös mozdulatokkal vigyünk fel egy kis menynyiségű fogkrémet vagy foggélt. Fontos, hogy a fogkrém felvitelét követően ne öblítsük ki egyből a szájüregünket,
de a bedörzsölés befejezését követően a nyálunkba került felesleges fogkrémet nyugodtan kiköphetjük. A fogazat fogkefével történő rendszeres mechanikai megtisztítása és a fogak védelmét elősegítő fogkrémek, valamint antiszeptikus szájvizek rendszeres alkalmazása általában elősegíti a szájüregben található kemény- és lágyszövetek regenerációját (remineralizáció, illetve gyógyulás). Ugyanakkor, ha a szájüregi egyensúly felborulásának irányába mutató faktorok túlsúlyba kerülnek, akkor előbb-utóbb megjelennek a szájüregi diszharmónia kialakulására utaló jelek és tünetek. Erre utalhat ínyvérzés, fokozott fogérzékenység, rossz szájszag, demineralizáció által okozott fehér foltok, kis méretű szuvasodások, valamint nem kariogén léziók kialakulása. A nem kariogén léziók közé soroljuk az erózió, az attríció és az abrázió által okozott foganyagveszteséget. Az előbbiekben felsoroltak jelenléte esetén legtöbbször szükség van a fogászati szakemberek által végzett helyreállító beavatkozások elvégzésére. A Védikus Mosoly filozófia mindig is azoknak a haladó szellemű eszközöknek, anyagoknak és technikáknak a használatát javasolta, amelyek alkalmazása révén lehetőségünk van non-invazív vagy minimál invazív módszerekkel és bioaktív helyreállító anyagok használatával ezeknek a kezdődő lézióknak az ellátását elvégezni.
A fogmosás hatékonyságát több tényező is befolyásolja. A páciensek életkora, tájékozottsága, motivációja, a fogkefe minősége, a fogmosás sebessége, a fogmosás ideje, a fogmosás közben kifejtett erő nagysága és a fogmosás során alkalmazott mozdulat is hatással van a tisztítóképességre. Ezen a ponton ismét felhívnánk az olvasók figyelmét arra, hogy az MTB technika célja nem csupán a szájüreg tisztán tartása és a szájüregi egészség megőrzése, hanem az elme relaxálására, a mindennapi szorongás és a stressz csökkentésére is törekszik. Ezáltal nem csupán a szájüreg, hanem az elme felfrissítése és egy általános boldog állapot kialakítása is a céljai között szerepel.
(A felhasznált szakirodalmi hivatkozások jegyzéke elérhető szerkesztőségünkben.)
Forrás: Prevention; 2021 14-19
A magabiztos mosolygás nem csak álom!
Vágj bele a láthatatlan fogszabályozásba
és mosolyogj bátran!
Mosolyogj felszabadultan!
Hogy mi szól a ClearCorrect mellett?
kényelmes
hatékony
víztisztán áttetsző, vagyis
teljesen láthatatlan
fémmentes
könnyű tisztítani
Grzegorz Rosiak, Dental Tribune (Lengyelország)
A Prevenció Magazin felkereste dr. Witold Jurczyński ismert lengyel parodontológust, aki a parodontológiai betegségek és az endodonciai sebészet szakértőjének számít. Dr. Witold lapunknak elmondta, hogy mi szükséges a megfelelő szájhigiéné fenntartásához és azt is elmagyarázta, hogy hogyan lehet a páciens–dentálhigiénikus–fogorvos közti kooperációt magas szinten megvalósítani. Az interjúban kitért a dentálhigiénikusi szakma sajátosságaira és arra is rávilágított, hogy a megfelelő szájhigiéné fenntartása nemcsak a szájüregi egészség, hanem az egész test egészségének megőrzése szempontjából is elengedhetetlen.
Manapság sokat hallani a fogágybetegségről, ugyanakkor lehet, hogy még így sem kap megfelelő figyelmet ez a téma. Friss kutatási eredmények szerint a felnőtt lakosság nagy része parodontális megbetegedésektől szenved és ennek
megfelelően rendszeres szájhigiénés kezelésre szorul. Milyen veszélyekkel járhat a kezeletlen fogágybetegség?
A fogágybetegség a fogak rögzítésére szolgáló szöveteket érinti, tehát a foggyökerek elhorgonyzását biztosító csontállományt is. A kialakulásának hátterében legtöbbször a nem megfelelő szájhigiéné áll, amely kezdetben ínygyulladás (gingivitis), majd magának a fogágybetegségnek a (parodontitis) kialakulásához vezet. Sajnálatos módon az eddigi tapasztalataink azt mutatják, hogy a pácienseink többségének egyéni szájhigiéniás szokásai nem elegendőek a megfelelő szájüregi egészség fenntartásához.
Szakirodalmi adatok igazolják, hogy pozitív összefüggés van a fogágybetegség fennállása és más általános betegségek kialakulása között. A kezeletlen parodontális betegségek endocarditis, vesegyulladás, cukorbetegség, magas vérnyomás, stroke, szívinfarktus és Alzheimer-kór kialakulásához vezethetnek. A fogágybetegség a terhes nők számára is kockázati tényezőt jelent, ugyanis igazoltan növeli a koraszülés esélyét. Sőt, prof. Jan Potempa saját kutatási eredményei alapján azt állítja, hogy a fogágybetegek szájüregi flórájában jelenlévő Porphyromonas gingivalis baktérium kapcsolatban áll az Alzheimer-kór és más általános betegségek kialakulásával. Biztos vagyok benne, hogy hamarosan olyan tudományos eredmények is rendelkezésünkre állnak majd, amelyek további betegségek kialakulásával kapcsolatban igazolják a fogágybetegség lehetséges kóroki szerepét. Úgy érzem, bátran kijelenthetem, hogy a fogágybetegség egy olyan népbetegségnek számít, amelynek kezelésére és megelőzésére sokkal több időt és erőforrást kell fordítani.
Ha a megelőzés kulcsa a tökéletes szájhigiéné fenntartásában van, akkor hogyan lehet ezt megfelelő módon biztosítani?
A megfelelő szájhigiéné kialakításához és fenntartásához számos tényezőnek kell megfelelni. Csak akkor lehetünk igazán sikeresek, ha a prevenció összes szintjén tökéletes együttműködést tapasztalunk a fogászati szakemberek és a páciens között. Fontos a megfelelő diagnózis felállítása, a szükséges szájhigiénés kezelések elvégzése (indokolt esetben terápiás kezelésekkel kiegészítve) és a páciens megfelelő edukációja és motivációja. Tulajdonképpen úgy érzem, hogy ha ezen egymásra épülő lépések közül bármelyik is hiányzik, akkor a többi nem képes megfelelően pótolni a hiányt.
El tudná mondani, hogy ez hogyan valósul meg az ön fogorvosi rendelőjében?
Az egész folyamat a pácienssel történő konzultációval kezdődik. A konzultáció és az azt követő vizsgálat során felmérjük a parodontális szövetek állapotát és megállapítjuk, hogy milyen további kezelések szükségesek. Ebben a folyamatban nagy szerepe van a vizsgálatot végző fogorvosnak, de a dentálhigiénikus szerepét sem szabad alábecsülni, ugyanis ő lesz a páciens szájhigiénés „edzője”, aki a teljes folyamat során irányítja és mentorálja majd a tevékenységét. A dentálhigiénikusok mérik fel és választják ki, hogy milyen szájhigiénés módszerekkel tudja a páciens a szájüregi egészségét a lehető legjobban fenntartani.
Saját tapasztalatom szerint a szájüregi egészség megőrzésének kulcsa a fogközök megfelelő tisztán tartásában rejlik. Ezek azok a területek, ahová az ételmaradék könnyen beragad és ezáltal a baktériumok számára rendkívül kedvező körülmények alakulnak ki. A fogközök tisztán tartásához elengedhetetlen a rendszeres fogselyemhasználat, ugyanakkor a fogköztisztító kefék hatékonyságát sem szabad alábecsülni.
Ezekkel akár még alaposabban is ki lehet tisztítani ezeket a nehezen elérhető helyeket. Mára elektromos interdentális kefék is elérhetővé váltak, amelyek segítségével ugyancsak rendkívül hatékonyan lehet a fogközöket tisztán tartani. Fontos hangsúlyozni, hogy kizárólag szájzuhany alkalmazásával csak korlátozott mértékben lehetséges az interdentális területek megtisztítása. A fogak felszínén képződő biofilm hidrofób tulajdonságokkal rendelkezik, ezért ezt csak magas nyomású vízsugarakkal lehet eltávolítani. Ennek ismeretében inkább a rendszeres fogselyemhasználatot, de még inkább a rendszeres fogköztisztító kefe használatát javasoljuk. Ezen a ponton szeretném megemlíteni a páciensek személyes szájhigiénés ismereteiben található hiányosságokat. Gyakran több mint 50 éves pácienseknek kell a legalapvetőbb szintről kezdve megtanítani a helyes szájápoláshoz szükséges módszereket. Az általuk alkalmazott gyakorlatok nem elég hatékonyak a megfelelő szájhigiénés státusz kialakításához. Úgy vélem, hogy a páciensek többsége nincs tisztában a rendszeres fogselyemhasználat jelentőségével.
Milyen esetekkel találkozik a leggyakrabban?
A rendelőnket felkereső páciensek összetétele az elmúlt évek során érezhetően megváltozott. Sokkal ritkábban találkozunk olyan helyzetekkel, ahol a páciensek extrém mértékben elhanyagolták a szájhigiénéjük fenntartását. Mára sokkal gyakoribbá váltak azok az esetek, amikor a páciensek fogcsikorgatástól, azaz bruxizmustól szenvednek. Sajnos a pácienseink több mint 60%-ánál megfigyelhető ez az elváltozás. A betegeink jelentős részét olyan hölgy páciensek teszik ki, akik endokrinológiai okok miatt kialakult fogágybetegségtől szenvednek.
Mi az igazság abban, hogy a fogorvosok általános betegségek tüneteit is diagnosztizálhatják?
A fogorvosok is egészségügyi szakemberek. A szájüregi állapot felmérése során a fogorvosok ráláthatnak azokra a jelekre, amelyek alapján megítélhetik, hogy a páciens milyen mértékű stressznek van kitéve. Ezek alapján pedig szükség esetén más szakemberekhez irányíthatják a betegeiket. A szájüregi egészséget tovább károsíthatják azok a hatások, amelyeket a páciensekben lévő feszültség és a rohanó életmód okoz. Ezek a negatív hatások elsősorban a fognyaki területen lévő keményszövetek elvesztéséhez (fognyaki kopás) vezetnek. A fogorvosi hivatás megköveteli, hogy a munkánkat felelősségteljesen, naprakész ismeretekkel, empirikus tapasztalatok figyelembevételével, elhivatottan, holisztikus szemlélettel és türelmesen végezzük.
Hogyan zajlik a professzionális szájhigiénés kezelés?
A professzionális szájhigiénés kezelés során alkalmazott terápiás módszerek évről évre változnak, és nemcsak azért, mert új eszközök válnak időközben elérhetővé, hanem azért is, mert a páciensek is egyre jobban megismerik a különböző szájhigiénés lehetőségeket.
A szájhigiénés kezelés több lépcsőből áll, de a páciens–fogorvos–dentálhigiénikus közti megfelelő kooperáció minden szinten elengedhetetlen az aktuálisan kitűzött célok megvalósításához. A kezelések során a fogorvosok számos terápiás módszer alkalmazása közül választhatnak, míg a dentálhigiénikusok szerepe inkább a páciens instruálásában és motiválásában van. Az egész folyamat egyik legkritikusabb eleme a páciensek által napi szinten végzett egyéni szájhigiénés tevékenység fejlesztése és optimalizálása. A
rendelőnket felkereső páciensek többségének elsősorban a helyes fogmosási technikai elsajátításában van szüksége a segítségünkre.
Számomra rendkívül meggyőző az Irányított Biofilm Terápia (Guided Biofilm Therapy; GBT) koncepciója. Úgy vélem, hogy ez a módszer megfelelő választ ad arra a problémára, hogy nem minden páciens képes az otthonában megfelelő egyéni szájhigiénés tevékenység végzésére. Ennek legtöbbször az az oka, hogy számukra nem állnak rendelkezésre azok az eszközök, amelyek az úgynevezett fenntartó fázis végzéséhez szükségesek. A fenntartó fázis némileg eltér a hagyományos szájhigiénés tevékenységektől.
Nagyon fontos, hogy a kezelések során nagyon finoman bánjunk a páciensekkel. Fontos, hogy ne okozzunk további ártalmakat a páciensek fogazatában. Lehetőség szerint kerüljük kürettkanalak és nagy erejű ultrahangos készülékek alkalmazását. Törekedjünk arra, hogy a betegeink ne érezzenek kellemetlenségeket a kezelések során. Az AIRFLOW Prophylaxis Master készülék – és az egész GBT protokoll –alkalmazása során nagyon pontos útmutatást kapunk arról, hogy hogyan lássuk el a páciensünket a fenntartó fázis során. Ennek a fázisnak nemcsak az a célja, hogy fenntartsa a parodontium egészségét, hanem az is, hogy megerősítse a fogászati team, és a páciens által eddig elért eredményeket. Amennyiben ez a fázis rendszeresen elmarad, úgy az eddig elvégzett erőfeszítéseink ellenére a páciensek általában másodlagos fogszuvasodás kialakulásától vagy az ínygyulladás újbóli megjelenésétől fognak szenvedni. Azonban, ha a páciensek rendszeresen – évente 2-3 alkalommal – igénybe veszik a fenntartó terápia során alkalmazott kezeléseket, akkor jelentős mértékben csökken a terápiás jellegű parodontális kezelések elvégzésének szükségessége.
Ön a GBT egyik leglelkesebb támogatója, sőt, ennek a protokollnak az egyik nagykövete, saját praxisában személyesen is megtapasztalhatta a GBT protokoll alkalmazásának előnyeit. Mi volt az, amely meggyőzte önt a GBT protokoll hasznosságáról?
Mindig is támogattam azokat az ötleteket, amelyek pozitív hatásai a rendelő napi működése során megmutatkoznak. Kedvelem azokat a megoldásokat, amelyek hatékonyak és az alkalmazásuk szemmel látható előnyökkel jár. Amely a GBT protokollal kapcsolatban rendkívül meggyőző volt számomra, hogy a pácienseknek elhanyagolható mértékű kellemetlenségekkel járó minimálinvazív módszerek alkalmazása révén jelentős mértékben javítani tudtunk a szájhigiéniával kapcsolatos készségeiket és motivációjukat. Sőt, azok a páciensek, akik a professzionális szájhigiénés kezelést kellemesnek és hasznosnak találták, sokkal szívesebben vesznek részt rajta a következő alkalommal. Az Airflow készülék beépített vízmelegítővel rendelkezik és emellett a páciensek számára érezhető kellemetlenségek csökkentésére szolgáló „no-pain” funkcióval is rendelkezik. További előnye, hogy többféle profilaxis por alkalmazására is lehetőségünk van, amelyek lehetővé teszik, hogy minden esetben az adott helyzet számára legmegfelelőbb megoldást válasszuk (pl.: implantátumokkal vagy fogpótlásokkal rendelkező páciensek).
Milyen parodontológiai trendekkel találkozott mostanában?
Empowering Predictability
Az utóbbi években a minimálinvazív módszerekkel történő biofilm és plakk eltávolítására koncentráltunk. Annak érdekében, hogy a lehető legnagyobb mértékben óvjuk és megelőzzük a parodontális szövetek további károsodását, lehetőség szerint minden esetben a nem sebészi módszerek alkalmazására törekszünk. Amennyiben mégis szükség van sebészi terápiára, úgy szintén a minimálinvazív megoldások híve vagyok, legyen szó akár rezektív, akár regeneratív beavatkozásokról. Két olyan iskolát tudok megnevezni, amely nagy hatással volt rám: az egyik a német iskola (prof. Markus Hürzeler, prof. Hannes Wachtel, dr. Wolfgang Boltz és dr. Otto Zur), a másik pedig az olasz (prof. Giovanni Zucchelli, prof. Giovan Paolo Pini Prato, dr. Pierpaolo Cortellini és prof. Maurizio Tonetti).
Ön szerint hol húzódik a határ az általános fogorvosok és dentálhigiénikusok, valamint a parodontológusok kompetenciái között?
Szerencsére a legtöbb parodontológiai kórkép nem sebészi terápia alkalmazása révén is eredményesen kezelhető.
Ez azt jelenti, hogy a megfelelően végzett professzionális szájhigiénés kezelések révén, amelyeknek része a subgingivális kürettálás, az összes parodontális tasak kitisztítása, valamint az összes plakk és biofilm eltávolítása, is sikeresen megoldható a problémák jelentős része. Ennek a feladatnak az elvégzésére teljes mértékben alkalmas egy általános fogorvosból és dentálhigiénikusból álló fogászati team.
A helyes diagnózis felállításában nagy segítségünkre lehetnek a különböző parodontális indexek. Én a Periodontal Screening and Recording Index használatát javaslom, amely a hagyományos parodontális index némileg módosított változata. Ennek az indexnek az alkalmazása révén elkülöníthetjük azokat a pácienseket, akiknek nincsenek kimagasló terápiás igényeik, azoktól, akik már ebben a pontban parodontológiai szakellátást igényelnek. Az index segítségével az alapján csoportosítjuk a betegeket, hogy (1) van-e a szondázás során tapasztalható vérzés, (2) észlelhető-e fogkő jelenléte, (3) vannak-e parodontális tasakok, amelyeknek a mélysége 3,5–5,5 mm között változik, vagy (4) találunk-e olyan parodontális tasakokat, amelyeknek a mélysége meghaladja a 6 mm-t. Az az általános megközelítés, hogy az 1-es és 2-es csoportba tartozó páciensek kezelését általános fogorvosok is végezhetik, míg a 3,5 mm-t meghaladó tasakokkal rendelkező pácienseket célszerű parodontológiai szakellátásra irányítani. Az előbbiekben ismertetett eszköz széles terápiás palettát fed le, ezért szinte minden parodontális kórkép kezelése során sikeresen alkalmazható.
Amikor a megelőzésről beszélgetünk, mindig az jut az eszembe, hogy a jól edukált beteganyagunknak köszönhetően valószínűleg ritkábban találkozunk majd olyan komplex esetekkel, amikor a kialakult állapot a szájhigiéné éveken át tartó elhanyagolásának köszönhető. Nem áll fent érdekellentét a megelőzés és a komplex esetek ellátásából származó anyagi haszon között?
A nyugati országok sokáig élen jártak a parodontális betegségek megelőzésében, de az utóbbi években tapasztalható migrációs hullámok ezt jelentős mértékben megváltoztatták. Például a skandináv országokban – ahol kifejezetten erős volt a prevenciós szemlélet – a közelmúltban számtalan
bevándorló jelent meg. Ez jelentős mértékben megváltoztatta az eddig megszokott helyzetet. Mivel ezekben a régiókban a megfelelő prevenciónak köszönhetően eddig nem fordultak elő nagy számban komplex parodontológiai esetek, ezért azok a szakemberek sem voltak jelen, akik képesek lennének ezen kórképek megfelelő ellátására. Most, hogy ebbe a helyzetbe kerültek, az ott praktizáló fogorvosoknak lehetőségük van ezen betegségek ellátási lehetőségeinek megismerésére.
Az aktív parodontális betegségtől szenvedő primer prevenciót igénylő páciensek száma lehet, hogy aktuálisan lecsökken, de ezzel egyidejűleg a betegségből felépülő szekunder prevenciót igénylő páciensek száma szükségszerűen növekedni fog. Az ő esetükben a prevenció rendkívül fontos szerepet fog betölteni a parodontális betegség újbóli kialakulásának megelőzése szempontjából. A GBT jelentős mértékben megkönnyíti az elért eredmények stabilizálását és megőrzését. Ezeknek a pácienseknek feltétlenül szükségük van a segítségünkre, mivel a parodoncium károsodása miatt bekövetkező kemény- és lágyszöveti veszteség miatt sokkal nagyobb kihívást jelent számukra a megfelelő szájhigiéné fenntartása. Erre sokszor nem is képesek kizárólag az otthonukban elérhető eszközök alkalmazásával.
Még sok-sok éven keresztül számíthatunk a parodontális megbetegedésektől és fogszuvasodástól szenvedő páciensek megjelenésére. Ezeknek a kóros elváltozásoknak a kialakulása nem csak a rohanó életmód miatt van. Azokban az országokban, ahol az orvostudomány még nem elég fejlett, rendszerint sokkal kisebb a szájüregi egészség fenntartásával kapcsolatos tudatos hozzáállás. Érdekességként megemlíteném, hogy a parodontális betegségek ugyanolyan mértékben érinthetik azokat a pácienseket, akik betű szerint követik a szájhigiénés instrukciókat, mint azokat, akik még a legalapvetőbb egyéni szájhigiénia fenntartására sem képesek.
Az ön véleménye szerint milyen feltételeknek kell teljesülniük ahhoz, hogy a páciens–fogorvos–dentálhigiénikus közti együttműködés zökkenőmentes legyen? Hogyan lehet sikeresnek lenni a professzionális szájhigiénés kezelések során és mi szükséges az így elért kedvező állapot hosszú távú fenntartásához?
A hatékony kezelés előfeltétele a megfelelő szupra- és szubgingivális depurálás és plakkeltávolítás. A D3-vitamin-pótlás előnyeit egyre több tudományos közlemény támasztja alá és ezt a koncepciót a Lengyel Fogorvosi Egyesület is támogatja (Polskie Towarzystwo Stomatologiczne).
Ennek az egyik legfőbb szószólója prof. Marzena Dominiak, aki már több előadást is tartott ebben a témában.
A hagyományos (nem sebészi) terápiának is nagyon fontos szerepe van a siker elérésében. Teljes mértékben kontraindikáltnak tartom a különböző speciális kezelések elvégzését (pl.: lézer, PerioChip, tasakátöblítés, ózonkezelés), ha előtte nem végezzük el a hagyományos előkészítő kezeléseket. Nem vagyok a fentiek ellen, de csak abban az esetben, ha a páciens megfelelő előkészítését előzetesen elvégeztük. És talán ez az a fázis, amikor a GBT előnyei a lehető legnagyobb mértékben megmutatkoznak.
Forrás: Prevention; 2021,1 20-23
„Sokan próbálkoztak, keveseknek sikerült” – ez a mondás minden bizonnyal igaz az izraeli Weiss Ervin professzor esetében. Néhány évvel azután, hogy hazájában elvégezte a fogorvosi egyetemet, az Egyesült Államokba költözött, ahol három évig a National Institutes of Health-nél dolgozott, és mikrobiológusnak képezte magát. Izraelbe visszatérve a helyreállító fogászat előadója lett, és a fogorvosok következő generációjának tanításában és mentorálásában találta meg hivatását. Weiss professzornak azonban nem ez az egyetlen szenvedélye. Tudományos hátterének és végtelen kíváncsiságának kombinációja arra késztette, hogy a hagyományos restauratív fogászati kompozitok hatékonyságának hiányával és magas hibaarányával foglalkozzon. Olyan antimikrobiális anyagot keresett, amely tartósan integrált aktivitással rendelkezik, de még egyet sem fejlesztettek ki, és folyamatosan azt mondták neki, hogy egy ilyen termék lehetetlen. Ettől a nem kielégítő választól és az ötletétől vezérelve az, ami a probléma megoldásának küldetéseként indult, az ő örökségévé vált: a világ első antimikrobiális kompozitjáváés ez talán örökre megváltoztatja a fogászatot.
Az, hogy a fogászati kompozitoknak számos hiányossága van, közismert és tudományosan alátámasztott tény. Mjör 2005-ben és Kopperud és munkatársai 2012-ben kimutatták, hogy a fogászati helyreállító kezelések kétharmada a meghibásodott fogpótlások cseréjére irányul, mivel ezek hajlamosabbak a visszatérő szuvasodásra (a polimerizáció során bekövetkező zsugorodásból eredő mikroszivárgás miatt), a kötésleválásra, a technika érzékenységére és a gyanta baktériumok általi lebomlására. A Grand View Research által közzétett piaci elemzés szerint csak az Egyesült Államokban évente 200 millió szuvas fogat kezelnek, ami körülbelül 133 millió fogtömést jelent, amely meghibásodik.
A Dental Tribune International (DTI) című lapnak adott interjújában Weiss professzor hangsúlyozta, hogy a szájbetegségek kezelésére a megelőző szájhigiénés ellátás az egyetlen válasz, a helyreállító kezelés nem képes erre, azonban a helyreállító kezelés időnként szükségszerű. Itt lép be Prof. Weiss és cége, a Nobio a képbe, amely olyan technológiát kínál, amely “forradalmi részecskéivel antimikrobássá alakítja át az anyagokat, termékeket és felületeket, erős, biztonságos és tartós biológiai védelmet nyújtva, egy életen át”.
Lényegében a Nobio kvaterner ammónium-szilícium-dioxid (QASi) részecskéi koncentrált elektrosztatikus stresszt gyakorolnak a restaurációs anyaggal közvetlenül érintkező baktériumokra, ami elpusztítja őket - magyarázta Weiss professzor. “Amikor a baktériumok hozzáérnek a kompozit felületébe beépített nanorészecskékhez, a baktériumok felrobbannak és elpusztulnak. Így a szájüreg savassága csökken, és a fogak nem tudnak demineralizálódni” - folytatta.
Az Infinix kompozitok elpusztítják ezeket a baktériumokat, amelyek általában elősegítik a demineralizációt és az azt követő szuvas elváltozásokat, így csökkentik ezt az ásványi anyagveszteséget, és hosszú távon megőrzik a restaurációt. A Nobio Infinix kompozit termékcsaládja az első, amelyet az Egyesült Államok Élelmiszer- és Gyógyszerügyi Hivatala (FDA) engedélyezett a fogszuvasodás csökkentésére. A klinikai vizsgálatok során az antibakteriális kompozitok jelentősen csökkentették a fogak demineralizációját.
“Ez az első olyan helyreállító anyag a fogászatban, amely úgy kezel egy betegséget, hogy közben helyreállítja a funkciót, az esztétikát és a fonetikát”
- mondta Weiss professzor, amikor a Nobio Infinixszel kapcsolatos céljairól beszélt.Monique Mehler
Laboratóriumi vizsgálatok kimutatták, hogy a QASi részecskék erős antibakteriális szerek, nem oldódnak ki, gátolják a kompozit lebomlását és megőrzik antibakteriális aktivitásukat. Az Infinix kompozitok voltak az egyetlen kompozitok, amelyek három hagyományos, széles körben használt kompozittal összehasonlítva semleges pH-t tartottak fenn szájüregi baktériumok és cukor jelenlétében.
A termékcsalád négy termékből áll. Az antibakteriális üregtisztító hatású Infinix Universal Bond egy általános célú, könnyű polimerizált, önkefélő ragasztórendszer (alapozás és ragasztás). Erős tapadást biztosít a zománc, a dentin és minden típusú restauratív anyag között. Az Infinix Flowable Composite egy egylépéses, fénypolimerizált, alacsony viszkozitású folyékony kompozit. III. és V. osztályú restauráci-
ókhoz használható, ideálisan bázisként és bélésként direkt restaurációkban, valamint gödör- és hasadéktömítésként. Az Infinix Bulk-Fill Flow kompozit alacsony viszkozitású kompozit, nagy polimerizációs mélységgel. Ideális a poszterior restaurációkhoz, amelyek hajlamosabbak a visszatérő szuvasodásra. Az Infinix Universal kompozit egy fénypolimerizált, nagy viszkozitású univerzális restaurációs kompozit, amely különböző körülmények között teljesít.
2019 és 2020 között az amerikai San Franciscó-i Kaliforniai Egyetem (UCSF) együttműködött a Nobióval egy klinikai vizsgálatban, amelyben az antibakteriális kompozitot 25 olyan betegnél tesztelték, akik mindkét oldalon akril peremmel el-
látott alsó állkapocs részleges fogsorokat viseltek. A kutatók egy emberi zománclemezt és egy apró réssel elválasztott kompozitot mélyítettek a peremekbe, az egyik perembe az Infinixet, a másikba pedig kontrollként egy standard kompozitot alkalmaztak. A résztvevők nem voltak tudatában annak, hogy a fogsor melyik oldalán melyik kompozit található. Ez a résmodell egy hibás fog-restaurációs határfelületet szimulált, majd kitették azt kariogén kihívásnak.
Négyhetes viselési időszak után a mintákat laboratóriumban értékelték a zománc keresztmetszeti mikrokeménység-vizsgálatával. Az UCSF kutatói megállapították, hogy a Nobio oldal átlagos ásványi anyagvesztése minden páciensnél jelentősen alacsonyabb (közel 70%) volt, mint a kontroll oldalon.
2020 nyarának végén a start-up, amelyet Weiss professzor 2015-ben alapított Dr. Julia Rothmannal, megkapta az FDA engedélyét az Infinix kereskedelmi forgalmazására. A Times of Israel című helyi online újság erről az eredményről beszámolva arra a következtetésre jutott, hogy az engedély “hozzáférést biztosít a Nobio számára az [amerikai] 1,4 milliárd dolláros fogászati anyagok piacához”.
A DTI-nek adott interjújában Weiss professzor elmondta, hogy a COVID-19 világjárvány megváltoztatta a termékek eredeti bevezetési terveit. Az Infinix 2020 végén lett volna elérhető Izraelben és az Egyesült Államokban, de ezt 2021 tavaszára módosították. Időközben ingyenes termékmintákat osztottak ki számos gyakorló, kulcsfontosságú véleményformáló vezetőnek világszerte, és Weiss professzor szerint a visszajelzések eddig nagyon pozitívak voltak.
Talán elég paradox dolog Weiss professzortól megkérdezni, hogy szerinte merre tart a fogászati anyagok jövője, hiszen
úgy tűnik, hogy ő és csapata éppen most állított fel egy új arany standardot, de számára a jövőkép nagyon világos:
Weiss professzor valóban megerősítette, hogy a vállalat már dolgozik a gyökérkezelésben használt magfelépítő anyagokon. A következő napirenden a részleges és teljes fogsorokhoz használt fogszabályozó cementek és PMMA-alapú gyanták szerepelnek.
Forrás: Prevention 2021/1
A fogorvosok támogatására a fogászati amalgám fokozatos kivonása során a Nakao Alapítvány (www.foundation-nakao.com) igazgatótanácsának szakértői egy könnyen használható online oktatási eszközt hoztak létre, amelynek célja, hogy a klinikusokat segítse a fogpótló anyagok kiválasztásában. A Restauratív lehetőségek döntési fája a szakértők konszenzusára támaszkodik, és a döntéshozatali folyamatba beépíti a restauratív kezelés kulcsfontosságú tényezőit, mint például a klinikai helyzet, a páciens elvárásai és a kényelem.
Reinhard Hickel, Clark Stanford, Eric Reynolds, Marco Ferrari és Keiichi Sasaki professzorok a Nakao Alapítvány vezetőségéből összefogtak, hogy támogassák a fogorvosokat a megfelelő restauratív anyagok kiválasztásában, és elindították a Restauratív lehetőségek döntési fája projektet.
A különböző közvetlen és közvetett restaurációs lehetőségek bemutatása érdekében elkészült a restaurációs anyagok
összehasonlító táblázata. Számos paramétert vettek figyelembe, többek között a restauráció helyét, a megmaradt fogszerkezet állapotát, az elváltozás mélységét és méretét, az izolálás lehetőségét, a szuvasodás kockázati tényezőit, gazdasági megfontolásokat, valamint a különböző restaurációs lehetőségek fizikai és klinikai tulajdonságait. Az öszszehasonlító táblázatot később döntési fává alakították át, és négy további lépés után a döntési fát véglegesítették és jóváhagyták.
A döntési fát egy felhasználóbarát online oktatási eszközzé alakították át, amelynek célja, hogy megkönnyítse az egyes helyzetekben a legmegfelelőbb helyreállító anyagok kiválasztását. A szakértők konszenzusán alapuló tanácsok lépésről lépésre vezetik a klinikusokat a megfelelő helyreállító anyagok és eljárások azonosításában a klinikai helyzettől függően, figyelembe véve a kezelés olyan kulcsfontosságú tényezőit, mint az idő- és költséghatékonyság, az esztéti-
ka, a páciens kényelme és elvárásai, valamint a fogszerkezet megőrzése.
Prof. Hickel, a müncheni Ludwig-Maxi-milians Egyetem Operatív Fogászati és Parodontológiai Tanszékének igazgatója szerint az új eszköz segít a fogorvosoknak abban, hogy a fogpótlások során figyelembe vegyék a páciensek és a fogak különböző állapotát, és döntsenek arról, hogy melyik anyagot használják az amalgám alternatívájaként.
„A fogászati amalgám fokozatos kivonása szinte minden országban folyamatban van. Az Európai Unióban az elkövetkező öt-nyolc évben kerülhet sor a megszüntetésre, de előbb-utóbb bekövetkezik” - mondta Hickel a Dental Tribune Internationalnak. Elmondta, hogy a fogászati amalgám használatának csökkentése világszerte különböző sebességgel és különböző okokból történik. Kifejtette: „Az Egyesült Államokban az esztétika játszott szerepet, és a betegek az esztétikusabb restaurációt választják. A skandináv országokban a környezeti tényezők voltak a kivonás motiváló tényezői - sok más országban pedig a toxicitás is aggodalomra adott okot.”
Hickel megjegyezte, hogy a fiatalabb klinikusoknak kevesebb akadállyal kell szembenézniük az új restaurációs anyagok használatához való alkalmazkodás során. „Nem nevezném problémásnak a fokozatos leépítést, új technikákat fog tartalmazni, és az oktatás a kulcs. A fogorvosoknak meg kell majd tanulniuk és új tapasztalatokat kell gyűjteniük a restauratív anyagok új generációjának használatával kapcsolatban” - mondta.
A helyreállító lehetőségek döntési fája a https://zingtree.com weboldalon érhető el.
Forrás: Prevention 2021/1
„A fogászati amalgám fokozatos kivonása szinte minden országban folyamatban van” - Prof. Reinhard Hickel, Müncheni Ludwig-Maximilians EgyetemA szakértők konszenzusán alapuló új online oktatási eszköz segíti a klinikusokat a megfelelő restaurációs anyagok és eljárások meghatározásában. Prof. dr. Reinhard Hickel Dr. Kamil Al-Katib
A barázdazárás az irodalomban széles körben elfogadott kezelési módszer, ugyanakkor máig viszonylag nagy azoknak a szakembereknek a tábora, akik szubjektív tapasztalataikra hivatkozva nem pártolják alkalmazását. Vajon mi az oka, hogy a számtalan pozitív ajánlás ellenére mégis ennyire mostoha szerep jutott ennek a beavatkozásnak? Ez az írás arra keresi a választ, hogy az adott nézetek mögött milyen irodalmi állásfoglalások léteznek, és kísérletet tesz arra, hogy egységes képet alakítson ki az olvasók számára.
A barázdazárás célja a barázda- és gödröcske caries kialakulásának megelőzése, azonban mivel a szuvasodás egy multikauzális alapokon nyugvó patológiás folyamat (1. ábra), ezért prevenciója is több elemből tevődik össze!
A mai ajánlások többsége a főétkezések fontosságára hívja fel a figyelmet, továbbá arra, hogy a közti időben minimalizálandó a nassolás. Tanácsként olvasható, hogy törekedjünk a megfelelő állagú és minőségű ételek fogyasztására, melyek kellő tápértékkel bírnak, illetve nem tapadnak a fogak felületére. A cukorfogyasztást illetően a szakértők leírják, hogy annak mennyisége ne haladja meg a táplálékbevitel 10%-át. Ez azonban csupán egy kiragadott szempont. A fermentálható szénhidrátok esetén a mennyiségnél fontosabb a bevitel gyakorisága, vagyis a cariogén attakok összegzett száma. Caries prevenciós szempontból a nagy zsírtartalmú, poliszacharid alapú készítmények szerencsésebb választásnak számítanak. Mai ismereteink szerint – megfelelő elővigyázatosság mellett - a cukorpótló készítmények és az édesítőszerek megfelelő alternatívái lehetnek a szuvasodásért felelős szénhidrátoknak.
Ilyen primer prevenciós faktoroknak tekinthetők: az optimalizált diéta, a megfelelő szájhigiéne fenntartása, a helyi fluoridálás, a kemoprevenció és a barázdazárás is. Ezek olyan egymás hatását potencírozó tényezők, melyek a caries megelőzésének, ezáltal az egészséges fogazat megőrzésének sarokköveit képezik. Jelen cikk az egyes faktorokról külön-külön is említést tesz.
Tudjuk, hogy a caries az egyén magatartásától függő betegség, melynek kialakulásában a táplálkozási és szájhigiéniás szokások döntő szerepet játszanak. Táplálkozásunknak van pre- és postresorptive hatása. Utóbbi a fejlődő fogcsírákra és állcsontokra, míg a preresorptive a már szájban lévő képletekre, illetve állcsontokra hat.
A cukorpótlók olyan természetben előforduló természetes vegyületek, amelyeket a szájüregi mikroflóra egyáltalán nem, vagy lassabban képes lebontani, gyengébb savat képezve melléktermékként. Hatásukra az extracelluláris poliszacharid képzés gátlódik, továbbá a lepedékben a pH magasabb értéken marad. Túlzott fogyasztásuk azonban hasmenést, puffadást okozhat.
A cukorpótlókkal szemben az édesítőszerek mesterségesen előállított készítmények. Hosszú távú hatásuk kevésbé ismert, emiatt 12 éves kor alatt fogyasztásuk nem ajánlott. A teljesség igénye nélkül csupán két anyagra hívnánk fel a figyelmet, melyek alkalmazása fokozottabb óvatosságot kíván. A szorbitolt laktózintoleránsak, továbbá 1 éves kor alatti gyermekek nem fogyaszthatják, az aszpartám pedig a fenilketonúriában szenvedő populáció számára kontraindikált.
Számos aspektust ismerhettünk meg, de ez csak az író prioritásán alapuló összegzés. Csodálatos lenne, ha pácienseink mindezeket szem előtt tartanák, és mi ebben a segítségükre lehetnénk. A tapasztalatok azonban mást mutatnak. A mindennapjainkban nem is olyan egyszerű ezekre a szempontokra fókuszálni. Fogorvosként is korlátozott ismeretekkel rendelkezünk, amiből következtethetünk arra is, hogy a laikus fogyasztók még kevésbé tudatosak a táplálkozásukat illető-
en. Szerencsére azonban a primer prevenciónak vannak olyan egyéb pontjai, melyekre szakemberként komolyabb hatásunk lehet. Ezek egyike nem más, mint a szájhigiéniás edukálás és a rendszeres kontroll
A szájhigiénia fontosságáról köztudott, hogy a fogmegtartás mindennapi eleme, azonban páciensek körében kevésbé ismert, hogy hiánya hatással van a szájüregi infekciókra, a szisztémás bakterémiákra is. Összefüggést véltek felfedezni az endocarditis, coronaria betegségek, diabetes, bronchitis, pneumonia, várandósság és stroke-kal kapcsolatban is. Ez viszont már multidiszciplinárissá növeli jelentőségét, és ezáltal annak szükségét, hogy a szájápolás oktatásának felelőssége más orvosi ágazatokra is kiterjedjen.
A fluorid szerencsére nem nélkülözhetetlen, és hiánya önmagában nem növeli a caries kialakulásának esélyét. A fluoridok fogazatra kifejtett hatásának vizsgálata egy észak-amerikai populációban megjelenő foltos zománc leírásával kezdődött. A kezdetekkor nem ismerték az elváltozás okát, de azt viszont megfigyelték, hogy az ilyen fogak ellenállóbbak a szuvasodással szemben. A megállapítást követően sok évnek kellett eltelnie, míg egy szakmafüggetlen kutatás kimutatta, hogy a környéken magas volt az ivóvíz fluoridtartalma. Ezen adatok elemzése és az összefüggések tanulmányozása vezetett oda, hogy ma már széles körben használjuk a fluoridot. Az optimális mennyiséget nehéz meghatározni. A régiókat érintően eltérőek az egyes ajánlások. Bevitelként olyan mennyiségre van szükség, ami már pozitív hatással van a megelőzésre, de még az esztétikai elszíneződést okozó koncentráció alatti tartományba esik. Az ideális mennyiség kiszámítása igen nehézkes, hiszen számtalan természetes és mesterséges fluoridforrásból történhet a bevitele. Ilyenek az indiai tea, a hal, a rozskenyér, a paprika, a mesterségesen dúsított élelmiszerek (víz, só, tej), a fluoridtabletta, a különböző szájápolási termékek stb. A fluoridok caries preventív hatása több tényezőből tevődik össze. Posteruptív hatásként erősítik a zománcot, segítik a remineralizációs folyamatokat, befolyásolják a mikroorganizmusok anyagcseréjét, illetve kitapadását a fogfelszínekre. Preeruptívan erősítik a fejlődő zománcot, sekélyesebbé teszik a barázdákat, továbbá a rágófelszínt lekerekítettebbé formálják, ezzel csökkentve a lepedék megtapadásának esélyét.
A zománcba történő posteruptív fluoridbeépülés egy egyensúlyi folyamat része, amihez kalciumra és foszfátra van szükség. Emiatt a alacsony (0,2-1 ppm) koncentrációjú termékek gyakoribb használata pozitívabban hat a remineralizációra (2. ábra), mint a ritkán, de nagy koncentrációban alkalmazott készítmények. Az utóbbiak hátrányához sorolható még, hogy gyors felszíni remineralizációt eredményeznek, ami nehezíti a mélyebb rétegek gyógyulását. A pozitív hatásai mellett azonban a fejlődő fogcsírákra, sőt a csontozatra is kifejezetten káros lehet, ha a fluoridbevitel túllépi az ajánlott mennyiséget.
Ilyenkor fluorósis léphet fel, ami a fogak szintjén az ameloblastok rendellenes működésének makroszkópikus képében nyilvánul meg. A szabálytalan kristályosodás olyan hipomineralizált, fehéres felületeket eredményez, melyekbe idővel beivódnak a színpigmentek is. A mérsékelt hipomineralizáció csak esztétikai problémát jelent, azonban a nagymértékű fluorózis porózussá, mállékonnyá teszi a zománcot.
Mai ismereteink szerint szisztémás fluoridprevenció ajánlott abban az esetben, ha alacsony a táplálékkal bevitt fluorid menynyisége, ha az egyén magas cariesrizikójú, illetve ismertek olyan egyéb hiányosságok, melyik korlátozzák az individualizált prevenciós módszerek alkalmazását. Szükség esetén a szisztémás termékek megfelelő fluoridanamnézist követően, kizárólag 6 év felett adhatóak. Ennek az elővigyázatosságnak az az oka, hogy könnyen túladagoláshoz vezetnek. Az ajánlás azonban annyiban megengedő, hogy egy szisztémás készítmény mellett lehetőséget ad több lokálisan ható termék alkalmazására is.
Barázdazárás lehet primer, secunder, de akár restauratív jellegű is. A primer beavatkozás célja a kedvezőtlen anatómiai morfológia noninvazív átalakítása annak érdekében, hogy csökkentsük a caries predilekciós felületeket. Így jól tisztíthatóvá válik a felszín, ami nemcsak a fogat védi, de közvetve hatással van a szájflóra összetételére és ezáltal a többi fog prognózisára is.
A fogak áttörésük után 2-4 évig kifejezetten érzékenyek a szuvasodásra. Zománcuk maturálatlan, infraokklúziós a helyzetük, és a gyakran kedvezőtlen barázdamorfológia pedig kedvez a cariogén folyamatoknak.
A barázdazárás egy jó óvintézkedés az átmeneti, kritikus időszakra. Elvégzéséhez azonban több kritériumnak is meg kell felelni. Ezek betartása elengedhetetlen a sikeres kezeléshez.
Figyelmen kívül hagyásuk növeli a „műhibák” lehetőségének a gyakoriságát. A beavatkozást a rizikócsoportba tartozó gyerekeknél, kedvezőtlen morfológiájú fogak esetén az erupciót követő 6 hónapon belül érdemes elvégezni. Akadnak ajánlások, amelyek ezt az időszakot 4 évben határozzák meg, azonban későbbi életszakaszban már nem feltétlenül van pozitív hozama a kezelésnek.
A kezelés elvégzéséhez kofferdám izolálás, valamint jól adaptálható, megfelelő kötést biztosító, szájálló, továbbá biológiailag nem toxikus anyag használata szükséges. Jelenleg limitált palettáról válogathatunk, melyen kompozitok, kompomerek és üvegionomerek szerepelnek (3. ábra)
A folyamatra vonatkozóan több protokoll is ismert:
1. Izolálást követően a fogfelszínt polírozzuk fluorid és olajmentes pasztával.
2. A barázdákban maradt pelliculát, mikroorganizmusokat és pasztamaradványt el kell távolítani.
3. A megtisztított zománcot a választott anyagunkhoz szükséges protokoll szerint kezeljük elő, amit a barázdazáró készítmény felvitele követ.
4. Az előkészítési folyamatok demineralizációs hatása miatt a beavatkozás végén szükséges a fluoridos ecsetelés is.
5. A kezelést az artikuláció ellenőrzésével és polírozással zárjuk.
A barázdazáró anyagok alkalmazása előtt különböző tisztítási és zománcelkőkészítési technika közül választhatunk. Létezik a tradicionális megoldás, polírozó kefével és NaOCl átmosással. Használhatunk ózont, CO2 lézert, illetve homokfújást, de akár plasztikázhatjuk is a zománcot fúrókkal. Egyes kutatók azt állítják, hogy mikrorésképződés szempontjából egyik módszer sem jobb a másiknál. Egy másik megközelítés azonban erre rácáfol. Vizsgálat alá vonták a barázdák savazhatóságát, és arra jutottak, hogy a barázdák mélyén lévő aprizmatikus zománc csökkenti a tagképződést, ami hatással van az adhezív hosszú távú stabilitására. Tehát a barázda legmélyén lévő zománc külső felületének eltávolítása növelni képes a retenció
mértékét. A kérdés, hogy szükség van-e rá, illetve mennyire lehet ezt minimálinvazívan végrehajtani? Tudjuk azt, hogy a konzervatívan előkezelt fog barázdazárását követően számos idegen anyag integrálódik a zománc és az alkalmazott anyag közé. Ezeket atraumatikusan szinte lehetetlen eltávolítani a szűk barázdák mélyéről. Átlagosan egy barázdazárt komplexum 14-96%-a tartalmaz barázdazáró anyagot. Profilaktikus pasztát 0-50% közötti tartományban mutattak ki, míg az organikus termékek 0-55%-ban voltak jelen (4. ábra). Utóbbiak nagyban hozzájárulhatnak a barázdazáró anyag elvesztéséhez, ezért komolyan át kell gondolni a zománc-előkészítési stratégiánkat és azt az egyéni szükségletekhez kell szabni. Megismerkedhettünk a fogfelszín előkészítése körüli kérdésekkel, de mi is legyen a választásunk, mi a jó anyag? Rövid távú vizsgálatokban hasonló sikerarányokat értek el mind az üvegionomer, mind a kompozitalapú barázdazárókkal, azonban hosszú távon a kompozitok bizonyultak jobbnak. Ezért érdemes az anyagokban rejlő lehetőségek oldaláról megközelíteni a kérdést. Szükség esetén – ha csak kompromisszumos izolálás kivitelezhető – célszerűbb lehet üvegionomer bázisú termékeket választani, és azokat szigorúan nyomon követni mindaddig, amíg meg tudjuk teremteni a feltételeket egy jól kivitelezhető rezin bázisú barázdazáráshoz.
Ügyeskedni nem érdemes, hiszen egy integritását vesztett barázdazárás tökéletes alapot biztosít a szuvasodás számára.
SZKENNELJE BE ÉS
TUDJON MEG TÖBBET A
Találkozni olyan nézetekkel is, melyek szerint a ragasztócementek megfelelő alternatívái lehetnek a restauratív, illetve barázdazáró anyagoknak. Sajnos fizikai tulajdonságaik ezt nem teszik lehetővé, és hatékonyságuk elmarad az erre a célra kifejlesztett termékekétől.
Egy ajánlás, egy klinikailag bevált termék használata csupán részelemei a sikeres kezelésnek. Elengedhetetlen a gondos orvosi munka, valamint a motivált, kooperatív páciens is. Hiszen van-e értelme ép felületet megóvni egy olyan eljárással, ahol kompromisszumot kötünk, és ezáltal pont az ellenkezőjét érjük el, mint amit szerettünk volna? A barázdazárással kapcsolatos korai, 6 hónapon belül kialakuló problémák leginkább koncepcionális és kivitelezési gondokra vezethetőek vissza. A későbbi elhasználódásért ellenben a fokozott fizikai és kémiai behatások felelnek. Jelenleg elfogadott kihordási időnek az 5 év számít (5. ábra)
Néha a kevesebb bizony több tud lenni. A döntéshozatalba be kell vonni az érintett feleket is, hiszen a beavatkozással nem tudunk életre szóló biztonságot nyújtani. Ez leginkább az átmeneti, kritikus időszak átvészelését segíti elő. Sajnos azonban szoros kontroll mellett sem lehetünk 100%-ban biztosak abban, hogy nem kezdődött-e el valahol alászuvasodás. Ez az egyik fő érvük a folyamat ellen érvelőknek. Mindannyian tapasztaltuk, hogy kellően opak anyag használata esetén gyakran komoly kihívást jelent az alászuvasodás detektálása. A kor szükségleteit felismerve kutatásokat végeznek optikai koherencia tomográf segítségével (6. ábra). A készülékben rejlő potenciál abban nyilvánul meg, hogy képes megmutatni olyan strukturális anomáliákat, amelyek befolyásolhatják a barázdazárás kihordásának az idejét.
6 év feletti korosztály esetén léteznek más, alternatív stratégiák is. Egy randomizált kisérlet szerint 6 havi NaF vagy évi egyszeri ezüst-diamin fluorid lakkozás önállóan alkalmazva, vagy Nd:YAG lézerrel társítva ugyancsak caries prevenciós hatással bír, és itt még mindig nincs vége! A white spot zománc léziók esetén a resin infiltrációs technika is megoldást kínálhat a jövőben (7. ábra)
A caries egy krónikus civilizációs népbetegség, mely hat a fogra, az egész szervezetre és a társadalomra egyaránt. Kialakulása során létrejött mikroflóra kihat a többi fogra, és gyorsítja azok szuvasodását. Megelőzése nem csupán privát, hanem populációs érdek is. A felsorolt preventív tényezők mindezt hivatottak szolgálni, azonban nem szabad megfeledkezni az egyéni adottságokról sem. Az egyes szervezetek ugyanis igen változatosak. Eltérés tapasztalható a fog morfológiájában, a keményszöveteinek öszszetételében, a nyál minőségében és mennyiségében stb. Emiatt célszerű egyénre optimalizált prevenciós stratégiát alkalmazni.
Kijelenthetjük, hogy jól képzett klinikusok által végrehajtott barázdazárás a magas rizikócsoportba tartozó populáció esetén rövid távon hatékony, és gazdaságos prevenciós megoldás lehet mindaddig, amíg a barázdazárás intakt marad. Ellenben egészséges fogazatú, kooperáló és alacsony rizikójú csoportba tartozó páciens esetén a barázdazárás nem jelent akkora előnyt. Annak ellenére, hogy vizsgálatok bizonyítják, hogy barázdazárt fogak megléte esetén a többi, nem kezelt fogfelszíneken ritkábban alakul ki szuvasodás, ez nem jelenti azt, hogy limit nélkül bármikor alkalmazható az eljárás.
(Az irodalomjegyzék a szerkesztőségben elérhető.)
7.
White spot lézió klinikai képe. (B) A kezdődő zománcszuvasodás keresztmetszeti képe. (C-E) Konfokális mikroszkóppal készült fevétel a rezin-infiltrált lézióról (E: egészséges zománc; SL: külső felszín; LB: lézió teste; R: penetrált rezin; S: lézió felszíne). (C) Mély infiltráció látható sósavas maratás után. (D) Foszforsavas maratás után csupán felszínes penetráció látható.
A XXI. században az orvostudomány minden területén nagy paradigmaváltás következett be. Ez a fogorvostudomány minden szakterületén jelentős változást hozott, így első helyre került az orvosi szakmák minden területén a prevenció. A fogászati prevenció hazánkban nem új keletű gondolat. 1881-ben megjelent Árkövy József könyve – A fogak gondozása –, amelynek fő gondolata a prevenció volt. A gyermekfogászat prevenciója, prioritása megnőtt. A prevenció gazdaságosabb, mivel a megelőzés módszerei kisebb anyagi ráfordítást igényelnek, mint a már kialakult betegségek gyógyítása, így népegészségügyi szempontja is jelentős [2, 3, 6].
A Módosított Keys diagramon megfigyelhető, hogy a caries hatása és annak hatékony és folyamatos meg-
Minden prevenció alapelve a kórokozók távoltartása, továbbá a szervezet vagy szerv ellenálló képességének fokozása a kiváltó kórokozókkal szemben.
1. Primer–primer prevenció (terhesség alatti prevenció);
2. Primer prevenció (kóros folyamatok kialakulásának megakadályozása preventív módszerekkel);
3. Szekunder prevenció (az elváltozások korai felismerése és megakadályozása);
4. Tercier prevenció (a már kialakult elváltozások kezelése).
Külön ki kell hangsúlyoznunk a Primer – Primer Prevenciót (PPP), mivel a megelőzés már a terhesség alatt kezdődik. A terhesség idején el kell látni tanácsokkal a leendő anyukát.
A Primer – Primer Prevenció feladatai:
1. Egészséges életmód
A mozgás jelentősége, dohányzásról való leszokás, alkohol, gyógyszerek mellőzése. A koraszülés előfordulási aránya azoknál a kismamáknál gyakoribb, akik ezt figyelmen kívül hagyják.
előzése komplex prevenciós feladat, amelyet nemcsak a gyermek szintjén kell megvalósítani, hanem társadalmi szinten is (1. táblázat).
Miles Markley, akit a prevenció atyjának tekintünk, megállapította 1951-ben, hogy a legcsekélyebb kemény fogszövet vesztesége is súlyos sérülésnek tekinthető, ezért a fogorvostudomány legfőbb feladata az ép, egészséges fogazat megőrzése. A gyermekfogászatnak a prevenciója a gyermekeinken, a jövő generációján kell alapulnia. Már Markley és mtsai is javasolták a non-invazív és minimál invazív terápiát, bár nem használták abban az időben rutinszerűen. Markley leírta az expozíciós és a diszpozíciós profilaxist. Az expozíciós profilaxis célja a kariogen környezet csökkentése. A diszpozíciós profilaxis feladata a fogak ellenállóbbá tétele a cariesszel szemben, és a jól fejlett állcsontok kialakítása (4, 5, 10).
2. Az egészséges táplálkozás
A magzati életben fontos a vitaminok szedése a fogazat fejlődéséhez, amely különösen a téli terhességek idején javasolt, amikor kevés a napfény, kevesebb a D-vitamin. Ez a vitamin regulátor szerepet játszik a kalcium- és foszfát metabolizmusban, ezzel a születendő gyermek fogzománcának kialakulásában.
3. Szájhigiéné
Hívjuk fel a kismama figyelmét, motiváljuk a helyes fogmosásra. Szükséges a terhesség kezdetétől a kisbaba születéséig tartó recall vizsgálat. Caries intenzitás mellett célszerű chlorhexidines/timol tartalmú lakkot használni, amely drasztikusan redukálja a baktériumok számát. Javasolt még a Cervitec gél, vagy Cervitec Plusz lakk alkalmazása.
A gyermekfogászati prevenció komplex jellege a gyermekfogászat négy alappillérére épül: 1. A helyes táplálkozás; 2. Szájhigiéné; 3. A fluoridok alkalmazása; 4. A korai kezelés, gondozás (2. táblázat)
Fel kell hívni a kismama figyelmét a szoptatás jelentőségére. A babának fontos az anyatej összetétele az immunrendszere szempontjából is. A szoptatáskor keletkező negatív nyomás egy olyan fiziológiás inger, amely összehangolt izommunkaként kihat az állcsontok fejlődésére. Később a rágás is az erőteljes izommunka hatására, az izmok fokozott funkciója révén kedvezően befolyásolja az állcsontok vérellátását, növekedését, fejlődését, és ez kedvez az állcsontok mélyén elhelyezke-
dő fogcsírák fejlődésének is. A táplálkozás jelentősége azért is fontos, mivel a táplálkozásnak van egy felszívódás előtti és egy felszívódás utáni preventív hatása. A komplex prevenciós programban a helyes táplálkozásnak ezért tulajdonítunk nagy jelentőséget. Számunkra legnehezebben elérhető korosztály a 0-3 éves kor, a prevenció szempontjából az egyik legfontosabb korosztály (1., 2. ábrák)
A tejfogak egészségének megóvása kiemelkedő jelentőségű, nemcsak a rágás, beszéd elsajátítása és az esztétika miatt, de a maradó fogak szempontjából is.
A szájhigiénére nevelés és a helyes fogmosási módszerek elsajátítása szintén fontos része a komplex prevenciós programnak. Korán elkezdheti az anyuka a fogmosásra tanítást, majd a helyes fogápolást. A családi példamutatás a gyermek egész életére kihat. A szervezett tanítási módszer már az óvodában, iskolában, egészségügyi prevenciós programok vagy más csoportos gyermekfogászati ellátás keretében is jól használhatók. Sok segítséget nyújt a média, a TV, a különböző szóróanyagok. Az otthoni fogmosás elsajátítására célszerű plakkfestő tablettákat javasolni [4, 10].
Általános és helyi fluoridálás
Az általános fluoridálási eljárásra hazánkban nincs lehetőség (só, ivóvíz, tejfluoridálás). A fluortartalmú tabletták adását, a rendszeres és hosszú távú szervezetten
történő adagolását ma már nem tartják alkalmas népegészségügyi prevenciós módszernek.
A lokális fluoridálás: sokfajta hazai és külföldi gyártmányú fogpaszta kapható a kereskedelemben. Ezek közül kiemelkedők a szerves aminofluoridot tartalmazó fogpaszták, lakkok, ecsetelők.
A helyi fluoridálás történhet otthon és a rendelőben. Otthoni használatra fluoridos fogkrémeket, zseléket javasolunk. A professzionális használatra aminofluorid tartalmú folyadékot, gélt, lakkot használunk az ásványi anyag egyensúly helyreállítására [2, 3, 4, 6, 10].
Hasznos eljárási módszer a barázdazárás, amelyet ma már 4 csoportra osztunk (1).
A. Ideiglenes BZ – áttörőben lévő fog esetén végezzük el, időnyerés és a fog védelme céljából a végleges barázdazárás elkészítéséig.
B. Egyszerű BZ vagy Klasszikus BZ – cavitás alakítása nélkül.
C. Kétrétegű BZ – amely a kiterjesztett BZ eljárást jelenti bond alkalmazása mellett.
D Kiterjesztett BZ – minimális cavitás alakítással.
A barázdazárás menete: Tisztítás – savas kondicionálás – mosás – szárítás – buborékmentes applikáció vékony rétegben – okklúzió kontroll (3., 4. a–b ábra).
A barázdazárás indikációi:
a) Ép fog, mély szűk barázdákkal és gödröcskékkel;
b) Első moláris fogak közvetlen az áttörést követően (félév);
c) Fogyatékos gyerekeknél, akik korlátozott szájhigiénés tevékenységük miatt fokozott caries rizikónak vannak kitéve;
d) Fogszabályozó kezelés előtt vagy alatt;
e) Xerostómiában szenvedő betegeknél.
A barázdazárás kontra-indikációi:
a) Szuvas okklúziós felszín;
b) Approximális caries;
c) Ha a fogfelszín szárazzá tétele nem lehetséges;
d) Ha a páciens együttműködése nem biztosított;
e) Elhanyagolt szájhigiéné;
f) Allergia az üvegionomérre.
A barázdazárás bevált eleme az alap profilaxisnak. Jelenlegi ismereteink alapján gyermekkorban csak az összes prevenciós intézkedés kombinációja képezhet hatékony caries megelőzést. Egyénileg könnyen alkalmazható, a gyermek csekély megterhelése miatt ideális belépő kezelés, mivel fájdalommentes, egy bizalommal teli orvos-beteg kapcsolat felépítéséhez kiválóan alkalmas. Egészségügyi prevenciós programok vagy szervezett, iskolafogászati vagy más csoportos gyermekfogászati ellátás keretében is jó eredménnyel használhatók. Alkalmazását dentálhigiénikus asszisztens is elsajátíthatja [4, 6].
Hazánkban a carieses fogak aránya meg mindig jelentős. Nagy előfordulási arányt mutat, ahogyan az 5., 6. ábrákon is láthatjuk.
Ez az új terület a non-invazív és minimál-invazív terápia kiemelkedő helyet foglal el a gyermekfogászatban. Az új szemléletváltás során a szuvasodás ellátását és megelő-
zését értjük. Az új ismeretek birtokában át kell értékelni a rutinszerűen alkalmazott eljárásokat, az új technikákat, az új anyagokat, továbbá meg kell ismerni, majd alkalmazni az új digitális osztályozást [4, 7, 9, 10, 11, 12, 13].
A modern preventív caries terápia megelőzése és caries terápia restaurációs ciklusának ábrázolását a következő ábrán láthatjuk: Splieth (2001) alapján (5. táblázat).
A Black-elveken alapuló, preventív extenzió elvtől eltekintünk. Nem szükséges a teljesen érintett fogszövetet eltávolítani retenciók kialakításával. Helyette a „drill and fill” elvét követjük. A hangsúly mára áttevődött a caries megelőzésére, a már kialakult elváltozások minimal-invazív, azaz a legszükségesebb keményszövet-veszteséggel járó terápiás lehetőségek széles körű alkalmazására. A non-invazív jellegű prevenciós eljárások is elterjedtek, mivel a gyermekfogak esetében lehet a caries keletkezésének incipiens szakaszában fellépő remineralizációs lehetőségeket a leginkább kihasználni. A gyermekfogászati prevenció elsődleges célja gyermekeink fogazatának és szájüregi egészségi állapotának a megőrzése és javítása [4, 9, 11, 12, 13].
A non-invazív terápiának az irányelveit és modelljét 2011-ben Meyer-Lückel és Paris fogalmazta meg, amelyek a következők [7]:
1. A páciens által végzett non-invazív prevenciós jellegű száj- és fogápolás;
2. A professzionális, rizikó-orientált non-invazív beavatkozások;
SZÉNHIDRÁTOK
DEMINERALISATO
CARIES INCIPIENS
RESTAURÁCIÓS CIKLUS
Prevenció hiányában
CARIES CAVITATIO
SECUNDER CARIES
Új fejezetet nyitott a XXI. század paradigmaváltása a gyermekfogászati prevencióban5. ábra: 3.6 fog mély cariese és a 7.5 kontakt cariese. 6. ábra: Egy 13 éves lány felső frontfogainak approximális cariese. 5. táblázat: Caries megelőzés és cariesterápia ciklus ábrázolása. FOG
3. Barázdazárás: konvencionális és kiterjesztett technikák szerint.
Kiemelkedő helyet foglal el az incipiens caries gyógyítása. (7–8. a-b–9. ábra). A legfontosabb non-invazív eljárások – a barázdazárás mellett – a fluor applicatiók és a caries infiltrációs eljárások [4, 7, 11].
A minimálinvazív cariesterápia összefoglalása 2000ben Tyes és mtsai nevéhez fűződik a következők alapján [4, 11, 12, 13]:
1. Korai caries diagnózis sok esetben szabad szemmel nem látható;
2. Csak röntgennel vagy a modern mikroszkópos eljárással lehetséges;
3. Az aktív léziók kezelése;
4. A patogen mikroorganizmusok redukciója, a demineralizáció és későbbi cavitáció megelőzése;
5. Remineralizáció, az inaktív léziók megfigyelése;
6. A meglévő cavitációs szuvasodások ellátása minimál-invazív technikával történő üregalakítása (10., 11 ábrák)
1997-ben Mount és Humme (8) kidolgozták a digitális dokumentum osztályozását, amely a caries lokalizációján alapul. A barázdazárás mellett új anyagokat is javasoltak, így az ózonterápiát, a lokális fluorapplikációt, CHX gélt és lakkot, amelyekkel az ásványi anyag egyensúlyát helyre lehet állítani (Ca és P ionokat tartalmaz). Jól alkalmazhatók a Tooth Mousse, MI Pasta Plus, valamint a Cervitec gél. Ezek az anyagok könnyen és gyorsan applikálhatók. A CHX antibakteriális hatása miatt csökken a baktériumszint, a bakteriális plakk mennyisége. Az új módszerek közé sorolható az argon és a CO2 lézer terápia, amelyek csökkentik a demineralizációt. Az ultrasonikus elektromos fogkefét a szájhigiéné forradalmának tekintik. Az utóbbi időben, a fogpasztákba K-vitamint, sodium N- Lauryl sarcosinatet, sodium dehidroacetatot tesznek, melyek javítják a remineralizációt.
Próbálkozások történnek az immunizáló vaccinák használatára – nem túl nagy sikerrel [3, 6].
Az ökológiai plakk-elmélet mikrobiológiai háttere már 1960-tól ismert. A fogszuvasodás során a fogakból a foglepedékben elszaporodó, savat termelő baktériumok, illetve a táplálékban lévő savak hatására kioldódik a fogzománc szilárdságát biztosító ásványi anyagok egy része, a fogzománc elvékonyodik, sérülékennyé válik, repedések, törések, lyukak keletkeznek rajta. A plakkot a hasznos és káros patogén baktériumok kolonizálják. Ide tartoznak a Streptococcusok, a Lactobacilusok és egyes Actinomyces törzsek.
A Streptococcus mutánst tartják az elsődleges caries okozó patogén tényezőnek. A nyálnak jelentős szerepe van a caries kialakulásában, illetve meggátolásában.
Caries elősegítő szerepe: Elősegítő hatásai közül a nyál viszkozitását növelő és elősegítő lepedék képződést, a mucint és a mucosid tartalmat kell kiemelni. Azok a nyálenzimek, amelyek részt vesznek a szénhidrát bontásában, elősegítik a caries keletkezését. Minél nagyobb a nyál amiláz és maltáz aktivitása, annál gyorsabb a táplálék poliszacharidokká alakulása, a poliszacharidok monoszacharidokká alakulnak, melyek savas végtermékei elősegítik a caries kialakulását.
Caries gátló szerepe: A nyál hígító hatása és a nyál mennyisége jelentős a lepedék, illetve a savak hígításában. Fontos a nyál puffer hatása, amely a szénhidrát bontása során keletkező savakat semlegesíti.
A nyálban található anorganikus ion-tartalom a remineralizációs folyamatot segíti elő.
Emellett a nyálnak bactericid és bakteriostatikus hatása is van, melyek a nyálban lévő enzimeknek tulajdoníthatók. Ilyen enzim a lizozim, laktoferrin és laktoperoxid, amelyek feloldják a mikroorganizmusok sejtfalát. Antibakteriális hatásuk is kedvező. A Streptococcusok és Lactobacillusok növekedését és savképződését akadályozza a laktoperoxidáz-tiocianát. A nyálban lévő immunglobulinok közül elsősorban az IgA és az IgG csökkenti a caries kialakulását [3, 6].
A gyermekfogászati prevenció célja a gyermekek fogazatának és a szájüreg egészségi állapotának a meg -
őrzése és javítása. Egészségügyi szervezett prevenciós programok az óvodában és az iskolában, csoportos gyermekfogászati ellátás keretén belül történhetnek. A paradigmaváltás sok új ismeretet jelent, mind a terápia, mind a prevenció szintjén. A prevenció jellege is más megvilágításba került. A megelőzés szempontjából előtérbe került a remineralizációt serkentő módszerek és anyagok használata. A modern, preventív megközelítés szerint a szuvasodás folyamata megállítható non-invazív és minimal invazív eljárásokkal (már a Black elveket sem kell követni), amennyiben a cariest létrehozó tényezőket eliminálni tudjuk. Népegészségügyi szempontból rendkívül fontos ezeknek az eljárásoknak az előtérbe helyezése, melyek hozzásegítenek a gyermekek szájüregi egészségi állapota javító és megelőző prevenciós programjainak a kidolgozásához, továbbá a megvalósításához [4].
1. Bartha K, Mit kell feltétlen tudnunk a barázdazárásról? 2014/5 Magyar Fogorvos Tematikus szám. 238-242.
2. Bánóczy J. Preventív Fogászat. Medicina. Budapest. 1988:11-12.
3. Bánóczy J. Cariológia és endodontia. Medicina Könyvkiadó Rt. Budapest, 1993:41, 55-56.
4. Fábián G, Gábris K, Tarján I: Gyermekfogászat, Fogszabályozás és Állcsont- Ortopédia. Semmelweis Kiadó. Budapest. 2015: 1-63.
5. Markley M. Restauration of silver amalgam. J American Dental assotiation. 1951: 43: 133-146.
6. Mitchell L, Mitchell D.A. A fogászat Oxford zsebkönyve. Medicina Könyvkiadó Rt. Budapest, 1996: 20-259, 32-36
7. Meyer- Lueckel H, Paris S. Improved Resin Infiltration of Natural Caries Lesions.J Dent Res 2008: 87: 1112-1116.
8. Mount GJ, Hume WR. A revised classification of carious lesions by site and size Quintessence int 1997: 28: 301-303.
9. Murdoch-Kinch, McLean ME. Minimally invasive dentistry, J Am Dent Assoc 2003:134: 87-92.
10. Orosz M: Fogászati asszisztensek és dentál higiénikusok könyve. Medicina Könyvkiadó Rt. Budapest,1994: 231-233, 231-265.
11. Rózsa N: Minimal intervenciós kezelési lehetőségek a gyermekfogászati prevenció és cariesterápia keretében Magyar fogorvos tematikus szám 2014/5 tematikus szám 260-266
12. Splieth Ch H. Non und minimalinvasive kariestherapie-ein Paradigmenwechsel. In Splieth Verl. GmbH Balingen, Germany 2004: Seite 12-17.
13. Tyas MJ, Anusavice KJ, Frencken JE, Mount GJ. Minival intervention dentistry: a review. FDI Commision Project 1-97. Int Dent J 2000.:50: 1-12
A világ minden részén a felnőtt lakosság jelentős hányada parodontális elváltozásoktól szenved. A prevalenciája és a szájüregi egészségre gyakorolt kedvezőtlen hatása Indiában is megegyezik a világ bármely másik táján megfigyelhető negatív trendekkel. A parodontitis nem válogat nem, rassz, kaszt vagy vallás szerint, mindenkit egyforma mértékben érint.
Több tanulmány is megerősíti, hogy a teljes felnőtt lakosság körében a parodontális elváltozások 30%-nál nagyobb incidenciával rendelkeznek. Ezek megdöbbentő számok. Ez azt jelenti, hogy egyedül Indiában több mint 300 millió ember szenved parodontális betegségekben. Ha ehhez még az ínygyulladásban szenvedő betegeket is hozzávesszük, akkor még megdöbbentőbb számokat kapunk. Jelenleg a parodontitist tudjuk a fogelvesztés mögött álló elsőszámú kóroki tényezőként azonosítani. Annak ellenére, hogy számtalan olyan rizikó tényezőt és etiológiai faktort tudunk felsorolni, ami a parodontális elváltozások kialakulásához hozzájárulhat, mégis a dentális plakk, azaz a fogakon képződött lepedék rétege a fő oka parodontális betegségek kifejlődésének. A parodonti tis megelőzése érdekében azonban ugyanezt a tényezőt tudjuk a legegyszerűbb módon csökkenteni és kontroll alatt tartani.
Számtalan publikációban olvashatjuk, hogy a fogorvosok páciensekhez viszonyított alacsony száma, valamint a páciensek szájhigiéniával kapcsolatos elégtelen ismeretei állnak a legnagyobb valószínűséggel az indiai lakosság körében diagnosztizált parodontitis magas incidenciája mögött. Azonban elenyésző azon tanulmányok száma, amiben a fogorvosok plakk-kontroll fontosságával kapcsolatos ismereteiről és a csökkentésének lehetőségeivel kapcsolatos véleményéről olvashatunk. Nem tudjuk, hogy melyek azok a jó gyakorlatok, amelyek mindennapi alkalmazását a pácienseik számára javasolják, és miként motiválják ezek elvégzésére őket. Ezen hiányosságok ismeretében úgy gondoltuk, hogy egy online kérdőív segítségével jobban megismerhetnénk ennek a kérdéskörnek a fontosabb aspektusait. A kérdőívben szereplő kérdések megválaszolásához többszörös választási lehetőséget biztosítottunk, és a kérdőívhez vezető linket az indiai fogorvosok számára elérhető szociális médiafelületeken tettük közzé.
Több mint 500 fogorvos válaszolt a kérdőívben feltett kérdésekre. A vizsgálatban résztvevők között a nemek aránya közel egyenlő mértékben oszlott meg (52% férfi, 48% nő). A megkérdezettek életkora 23 és 65 év között mozgott, és a legtöbben a 29-50 éves korcsoportból töltötték ki a tesztet. A válaszadók között szerepeltek olyan fogorvosok, akik még csak most kezdték el szakmájuk gyakorlását, és olyan kollégák is, akik akár már 25-30 év szakmai gyakorlattal rendelkeztek. A vizsgált csoportban alapdiplomával rendelkező fogorvosok és szakvizsgával rendelkező specialisták is szerepeltek. A megkérdezettek nagy része (54%) a fogorvostudomány terén megszerzett mesterdiplomával rendelkezett. Mára általánosan elfogadottá vált az a nézet, miszerint a parodontális elváltozások leggyakrabban a fogközökben alakulnak ki, mivel a lepedék itt halmozódik fel a legkön ynyebben. Ennek ismeretében a kérdőív összeállításakor kellő súlyt fektettünk azokra a kérdésekre, amelyek a fogközök szerepével és ezeknek a területeknek megfelelő tisztántartásával kapcsolatos ismereteket mérik fel. A megkérdezett fogorvosok több mint 96%-a azt válaszolta, hogy a hozzá forduló páciensek számára rendszeresen javasolja a különböző fogköztisztító eszközök használatát. Úgy véljük, hogy ez a kimagasló arány megfelelően tükrözi ennek a kérdéskörnek a fontosságát. A fogközök tisztására javasolt eszközök szempontjából adott válaszokat két fő csoportra lehetett bontani. A válaszadók 55%-a az interdentális kefék, 40%-a pedig a fogselyem napi szintű használatát javasolta. Csupán a megkérdezettek 2,65%-a ajánlotta a szájzuhany alkalmazását. A válaszok elemzését követően arra a következtetésre jutottunk, hogy mivel az indiai emberek nagy része rendkívül érzékeny a szájápolási termékek árára, ezért vélelmezhetően, a szájzuhany elvégzéséhez szükséges készülékek magas ára tartja vissza a legtöbb fogorvost ennek a megoldásnak az ajánlásától.
A kérdőív a fogközök tisztításával kapcsolatos további kérdéseket is tartalmazott. Arra voltunk kíváncsiak, hogy a fogorvosok milyen figyelmet fordítanak a saját fogközeik napi szintű tisztántartására. A megkérdezettek közel fele bevallotta, hogy nem használ fogköztisztító eszközöket, és további 35%-uk azt válaszolta, hogy alkalomszerűen tisztítja meg a fogközeit. Ezek a számok egyértelmű ellentétre utalnak: úgy tűnik, hogy a fogorvosok saját maguk nem alkalmazzák azokat az eszközöket, gyakorlatokat, amelyeket rendszeresen a pácienseiknek javasolnak. Ennek alapján felmerül az a kérdés, hogy a fogorvosok vajon kellő mértékben bíznak-e a fogközök tisztítására szolgáló eszközök szükségességében és hatékonyságában? A válaszadók több különböző okot is felsoroltak azzal kapcsolatban, hogy saját maguk miért nem használnak fogköztisztító eszközöket. Ezt a leggyakrabban azzal indokolták, hogy úgy érzik, hogy a fogkefével történő fogmosás során is megfelelően meg tudják tisztítani az interapproximáis területeiket, többen pedig azt felelték, hogy rendkívül szoros fogközökkel rendelkeznek.
A kérdőívben a páciensek fogköztisztító eszközök alkalmazásával kapcsolatos hajlandóságát is vizsgálták. Arra voltak kíváncsiak, hogy a fogorvosok szerint, melyek azok a legnagyobb nehézségek, amelyeket a páciensek a fogköztisztító eszközök használatával kapcsolatban leggyakrabban említettek. A fogorvosok 54%-a szerint a legnagyobb gondot a páciensek fogközök tisztántartásával kapcsolatos ismereteinek a hiánya jelenti, és ezt pedig a megfelelő motiváció hiánya és a fogköztisztító eszközök technika-érzékeny alkalmazhatósága követi. Néhányan azt válaszolták, hogy a páciensek szerint a fogköztisztítás túl sok időt vesz igénybe,
míg a válaszadók 10%-a a páciensek árérzékenységét hangsúlyozta, miszerint ezek az eszközök sokba kerülnek
A szájöblítő oldatokat rutinszerűen alkalmazzák a mechanikai plakkeltávolítás kémiai úton történő kiegészítésére (kémiai plakk-kontroll). A használatuk rendkívül népszerűnek számít a fogorvosok és a pácienseik körében, mivel könnyen elérhetőek és költséghatékonyak, továbbá rendkívül egyszerűen és időtakarékosan alkalmazhatóak. A kérdőívben rákérdeztünk arra is, hogy miként ítélik meg a szájvizek plakkcsökkentő hatását. A válaszadók 40%-a hitt abban, hogy a lepedékeltávolító hatásúként hirdetett szájvizek képesek az interdentális plakk megfelelő mértékben történő redukciójára, míg közel ugyanennyien úgy gondolták, hogy ez nem feltétlenül igaz. A megkérdezettek maradéka (20%) nem tudott egyértelműen állást foglalni ebben a kérdésben.
A kérdőívek eredményeinek kiértékelése során egy másik érdekes megállapítást is tettünk. Annak ellenére, hogy a válaszadók 60%-a sosem használt még egycsomós fogkefét, az 57%-uk úgy gondolta, hogy ezeknek a fogkeféknek a használata minden páciens számára rendkívül előnyös lehet. A fogorvosok egy része ezzel szemben viszont úgy vélte, hogy az egycsomós fogkefék jobban definiált indikációs területtel rendelkeznek. A véleményük szerint ezeknek a fogkeféknek a használata csupán a rögzített fogszabályzó készüléket viselő, vagy torlódott fogazattal, illetve implantátumokkal rendelkező páciensek számára jelent előnyöket. Ezek az eredmények jól rávilágítanak az oktatási rendszerünkben rejlő hiányosságokra: a megkérdezett fogorvosok többsége, akik közül néhányan több mint 25 éves szakmai gyakorlattal rendelkeztek, még sohasem használt egy olyan alapvető szájhigiéniás eszközt, mint az egycsomós fogkefe. Az elmúlt évek során az implantátumokkal rendelkező páciensek száma exponenciálisan növekedett. Ebből fakadóan
arra is kíváncsiak voltunk, hogy a fogorvosok milyen módszereket javasolnak az implantátumok napi szintű tisztítására, valamint az implantátumok környezetében kialakult lepedék eltávolítására. Megdöbbenve tapasztaltuk, hogy vizsgálatban résztvevő fogorvosok 20%-a semmilyen kiegészítő szájhigiéniás teendőt sem javasol az implantátumokkal rendelkező pácienseik számára. A válaszadók 30%-a erre a feladatra szájzuhany használatát javasolta. Az implantátumok tisztításához kifejlesztett speciális fogselyem/szalag, a fogköztisztító kefék és az egycsomós fogkefék használatát csupán a fogorvosok 20%-a javasolta. A megkérdezettek közül csak ketten ajánlották a hidroszónikus fogkefék használatát (Hydrosonic sonic brush; CURAPROX). A szájzuhany jelentőségét jól mutatja, hogy a legtöbben ennek az eszköznek a használatát javasolják az implantátumok tisztántartásának érdekében, azonban ennek az információnak a fényében furcsán hat, hogy a megkérdezett fogorvosok közül alig néhányan ajánlják rutinszerűen ezeknek az eszközöknek a használatát. Az egyéni szájhigiénés eszközök megfizethetőségével kapcsolatos korábbi megállapításunk megfelelő módon alátámaszthatja ezt a megfigyelésünket. Azoknak a pácienseknek, akik megengedhetik maguknak a drága fogászati kezeléseket (mint az implantátumok beültetését), a szájzuhany használatát is gyakrabban javasolják, mivel az anyagi lehetőségeik hiánya nem áll az eszköz használatának útjában.
Az egyéni szájhigiénia fenntartásának legegyszerűbb eszköze a fogkefe, ám ennek ellenére ezzel az eszközzel lehet a fogakon lévő lepedéket a leghatékonyabban eltávolítani. Amikor a fogorvosokat arról kérdeztük, hogy milyen keménységű sörtékkel rendelkező fogkefék használatát javasolják, akkor a legtöbben (62%) puha, 12,5%-uk pedig extra-puha fogkefék alkalmazását ajánlotta. A megkérdezettek közel 25%-a pedig közepes erősségű fogkefék használatát tartja célszerűnek.
Arra is kíváncsiak voltunk, hogy a fogorvosok tisztában vannak-e a szónikus fogkefék működési módjával. Az ezzel kapcsolatos kérdésünkre a tesztet kitöltők közel 40%-a azt válaszolta, hogy tisztában van a szónikus fogkefék működési elvével, míg 60%-uk nem tudta, vagy csak sejtései voltak ezzel kapcsolatban.
Mi őszintén hiszünk abban, hogy azon páciensek körében, akik már tisztában vannak a szájüregi egészség fenntartásának fontosságával, ezt követően sokkal népszerűbbek lesznek a preventív fogászati beavatkozásokat biztosító programok. Sőt, ezzel kapcsolatban a fogorvosok véleményét is kikértük. A megkérdezettek elsöprő többsége (97%) egyetértett azzal, hogy a rendelőjükben sokkal nagyobb figyelmet kell a megfelelő plakk-kontroll oktatására fordítani, és 91%-uk úgy gondolta, hogy a preventív fogászati rutinok mindennapi munkájuk során történő alkalmazása a pácienseik előnyére válna. A válaszadók többsége (76%) rendszeresen időt szakított arra, hogy a pácienseit a megfelelő fogászati prevenció elvégzésének lehetőségeire oktassa, ám saját bevallásuk szerint a legtöbben páciensenként csupán 2-5 percet fordítottak erre. Az ezzel a feladattal eltöltött idő mennyiségét rendkívül kevésnek tartjuk!
Az eddigiek összefoglalásaként elmondhatjuk, hogy az indiai fogorvosképzésben sokkal nagyobb figyelmet kell fordítani arra, hogy a hallgatók tisztában legyenek a páciensek által végezhető plakk-kontroll gyakorlati megvalósításával, és a pácienseket jobban fel kell erre készíteni. Lehetőséget kell biztosítani számukra, hogy saját kezűleg kipróbálják az öszszes, jelenleg elérhető egyéni szájhigiéniás eszközt, hogy megismerjék az egyes eszközök előnyeit és hátrányait, és hogy megbeszéljék a tapasztalataikat. Nagyon fontos a megfelelő plakk-kontroll fontosságának a hangsúlyozása, és a páciensek részére az ehhez szükséges gyakorlati ismeretek átadása.
Nem szabad elfelejteni, hogy a lepedékmentes fogazat jelenti a saját fogak megőrzésének alapkövét!
Forrás: Prevention; 2020,2 16-18
A sikeres prevenció kulcsa a páciensek gyakorlati oktatásában
opron,
1077
Loupes and lights
1135 Budapest, Frangepán u. 66/B. +36 1 236 4000 | info@newyorkdental.hu www.newyorkdental.hu
Fogászati kereskedelem
• AMPRI: színes e.h. eszközök;
• Anger: matricák, ideiglenes koronák, fényvezető ék;
• ASA: műszerek, egyszer használatos eszközök;
• BISCO: cementek, bondok, kerámiajavító;
• FKG: endodonciai eszközök;
• DTS: színes műanyag lenyomatkanalak;
• NEOLIX: gépi gyökérkezelő tűk;
• OLIDENT: tömőanyagok, sav, bond;
• ORO CLEAN: fertőtlenítőszerek;
• PROMEDICA: cementek, tömőanyagok, alábélelők;
• SCORPION: scaler végződések, implant tisztításhoz is;
• SHOFU: cementek, tömőanyagok, csiszolók;
• SS White: koronafelvágó, karbid- és gyémántfúrók;
• TIDI: védőmaszkok;
• WHITEWASH: fogkrém, fogkefe;
• ZHERMACK: A- és C-szilikon, alginát lenyomatanyagok.
Közvetlenül az importőrtől:
HERBODENT Kft.
✉ 1025 Bp., Szépvölgyi út 52. % 325-7129
%/fax 325-7220, mobil: 30/203-6957, 30/241-5737 e-mail: herbodent@herbodent.hu, www.herbodent.hu
1067 Budapest Podmaniczky u. 39. Tel.: +36 1 311 65 84 www.drvolomdental.hu Straumann GmbH
A száj és a fogak nemcsak a táplálkozás és az emberi kommunikáció fontos részei, de esztétikai szempontból is jelentős szerepük van. Az egészséges fogak és fogíny egészségünk meghatározó elemei, a hibátlan, derűs mosoly pedig minden egyén kívánsága.
Az íny leggyakoribb gyulladásos megbetegedése a gingvitis vagy fogínygyulladás, mely legtöbbször a rossz szájhigiénia következményeként jön létre. A begyulladt és vérző fogíny a rossz lehelet mellett a betegség első jele. A gingvitist tehát gyógyítani kell, mert különben a gyulladás előrehaladott állapotában a gyulladt íny gócként szerepel, mely gócbetegségeket okozhat.
Az egészséges ember szájában folyamatosan jelen vannak mikroorganizmusok, amelyek szaporodása az íny gyulladásához vezet, és idővel a fogágy többi része is érintett lesz, paradontitis jelentkezhet. A tasakok mélyebbek lesznek, ezért a gyulladás ráterjed a mélyebb paradontális szövetekre is. A fogágygyulladás következtében a fogakat rögzítő szövetek elbomlanak, a betegség pedig átterjedhet az állkapocs csontszövetére is. Ennek együttes következménye, hogy a fog tartószerkezete meggyengül, elbomlik, így a fogak meglazulnak, majd kihullanak.
A hialuronsav a szervezet természetes anyaga és az egészséges fogíny fontos komponense.
Alkalmazása a fogászatban:
– csökkenti a szájnyálkahártya-irritációt
– megvéd a fertőzésektől
– felgyorsítja a sebgyógyulást és szövetregenerációt – csökkenti a fogínyvérzést, a foggyulladást és a duzzanatot
A kutatások kimutatják, hogy a hialuronsav fogászati alkalmazása jelentős mértékben hozzájárul az ínybetegségek megakadályozásában és gyógyításában.
A gyógyszertárakban és speciális üzletekben különböző formákban és kiszerelésben már 3 éve kapható a Gengigel, ami az egyedüli hialuronsav-alapú készítmény.
A termékcsalád használata egyszerű, gyermekek, terhes nők és cukorbetegek egyaránt használhatják. A hialuronsav tartalma miatt hatékony megoldás az alábbiakra:
– ínyvérzés
– gingivitis (fogínygyulladás)
– parodontitis (fogágybetegség)
– megsértett íny (sebészeti beavatkozás, foghúzás, fogpótlás után)
– korona, híd, fogprotézisek miatt irritált szájnyálkahártya
Ezen tulajdonságai alapján bátran állíthatjuk, hogy a Gengigel az egészséges fogíny receptje.
Forrás: Medis sajtóanyag
Hialuronsav
Az egészséges fogíny receptje
Az egészséges fogíny receptje
Az egész csalàd számára
elősegíti a sebgyógyulást a szájüregben elősegíti a szövetregenerációt csökkenti a duzzanatokat védi a szájnyálkahártyát a fertőzésektől
www.gengigel.hu
irritált íny, fogágygyulladás
jani sérült íny
misike a fogzás időszakában
gél/szájöblögető oldat/szájspray/baby gél