Today előzetes 2023

Page 1

14 13 előzetes

Dental World • Budapest • 2023. szeptember

Tisztelt Olvasó!

XXIII. Dental World – a fogászat nagyszabású „arzenálja”!

Idén már 23. alkalommal van módom és lehetőségem, hogy köszöntsem a Dental World eseményei iránt érdeklődő Olvasóinkat. Amikor 2000-ben megszületett e rendezvény megszervezésének az első ötlete, még nem gondoltuk, nem is mertük remélni, hogy majd két évtized elteltével már nem csak a hazai, hanem sok ország fogászati szakembereinek, cégeinek az érdeklődésére is számíthatunk. Évről évre folyamatosan bővítettük a szakmában elismert külföldi előadók számát, és fokozatosan egyre több kiállító és jelentős gyártó is eljött a rendezvényünkre. Mindez lényegesen hozzájárult a más országokból érkező látogatói szám emelkedéséhez is.

Minden esztendő egyre nagyobb kihívással és felelősséggel járt a rendezők számára, mindig figyelembe vettük az elmúlt évek tapasztalatait, a hozzánk eljuttatott véleményeket, ötleteket, de alkalmanként újra és újra meg kellett küzdenünk az eredményességért, a sikerért, hogy megfeleljünk a fogorvosok, a fogtechnikusok, a dentalhigiénikusok, illetve az egész szakma elvárásainak.

A fogorvoslás „rohamléptekben” haladó fejlődését folyamatosan figyelemmel kellett/kell kísérnünk, a tudományok minden szakterületén lépést kell tartani az állandó változással. A különböző konferenciáink, előadá -

saink, workshopjaink tematikáját évenként –és természetesen idén is – ennek a figyelembevételével állítottuk össze.

A Dental World szervezői nagyon szeretnék, ha a 23. születésnap programjai is méltó módon szolgálnák az eddigi céljainkat, és a megjelentek majd megelégedéssel távoznának. Idén is sikerült olyan nemzetközi programokat elhozni Budapestre, olyan kiváló előadókkal, akik eddig Magyarországon még nem tartottak előadásokat a hazai fogorvosoknak. A fogászat legfontosabb kérdésköreit érintő előadásokból és gyakorlati kurzusok széles választékából válogathatnak majd az érdeklődők, ahol új eljárásokat, gyakorlati ismereteket is elsajátíthatnak.

Az előadások helyszínén szervezzük meg most is a Dental World Nemzetközi Fogászati Szakkiállítást , ahová közel 200 cég és 400 gyártó hozza el a legújabb termékeit, anya -

péntek szombat

gait, fejlesztéseit. A kereskedőcégek közel harmada külföldről érkezik, és így Magyarországon is bemutatják a nóvumaikat, betanítják azok használatát, és idén is várják a látogatókat kedvezményes vásárlási lehetőségekkel, különböző akciókkal.

A számtalan program és látnivaló között látogatóink bármikor megpihenhetnek a Központi Kávézóban, ahol egy üdítő vagy friss kávé mellett beszélgethetnek régi ismerősökkel, partnerekkel, meglévő vagy jövendő barátokkal.

Nézzenek be a jövő világába!

Várjuk Önöket 2023. október 12–13–14-én, legyünk együtt a fogászat budapesti, nagy találkozóján!

Hialuronsav

GENGIGEL

PROF AKCIÓ A DENTAL PRESS STANDJÁN!

Laczkó Tamás főszervező

csütörtök OKTÓBER
OKTÓBER
OKTÓBER 12
Az egészséges fogíny receptje Az egészséges fogíny receptje Az egész csalàd számára gél/szájöblögető oldat/szájspray/baby gél ■ csillapítja a vérzést ■ elősegíti a sebgyógyulást a szájüregben ■ elősegíti a szövetregenerációt ■ csökkenti a duzzanatokat ■ védi a szájnyálkahártyát a fertőzésektől
Prof mellé ajándék First Aid és Gél! 34 900 FT
YOUR WORLDWIDE NO.1 REFERENCE UNIQUE BIOFUNCTIONALITY OUTSTANDING QUALITY 1,2 > Strictly controlled raw material selection > Cutting-edge production > Quality management of the final product References 1 ISO 13485 certificate, research and development 2 ISO 9001 certificate, multi site quality management www.geistlich-pharma.com/en/about-us/geistlich/ about-geistlich/quality/
IS IN OUR HANDS alphaimplant.hu More details about our products: www.geistlich-biomaterials.com
FROM A TO Z: THE WHOLE PRODUCT KNOWLEDGE

„Számunkra a legfőbb érték a kiszámíthatóság”

Az könnyen belátható, hogy az orvosok önöktől tájékozódhatnak az újdonságok iránt. De önök honnan tájékozódnak? A gyártók mondják el önöknek, hogy éppen hol tartanak – kérdeztük Erdélyi Attilát, az Alpha Implant Kft. ügyvezetőjét.

Az újdonságok legjobb fóruma a kétévente megrendezésre kerülő IDS, a kölni kiállítás és vásár, illetve a Dubajban évente szervezett fogászati expó. De persze lehetőség van arra is, hogy az ember az interneten kutasson új partnerek vagy termék újdonságok után. Erre ma már könnyen nyílik lehetőség, hiszen a különböző cégek különböző fórumokon jelennek meg, és ezeket meg lehet találni. Ezek alapján az ember kiválaszthatja, hogy mit szeretne. Persze, ez nem elég arra, hogy a termék forgalmazását elkezdhessük.

Ma már nagyon fontos minden cégnek, hogy olyan partnerekkel dolgozzon együtt, akik már bizonyították, hogy kiszámíthatóan és elkötelezetten végzik munkájukat.

A fogbeültetés sok-sok évtizeddel ezelőtt még álom volt. Lehet pontosan tudni, hogy mikor kezdődött el az implantáció története?

Alapvetően az ötvenes-hatvanas években, persze valójában több ezer éves története van. Kezdetben állatcsontot, embercsontot, különböző anyagokat próbáltak beültetni, de a ma ismert fogászati implantoló -

Dental World általános információk

Kiállítás helyszíne Hungexpo Vásárközpont, 1101 Budapest, Albertirsai út 10. „A” pavilon

Kiállítás nyitvatartása

2023. október 12–13., csütörtök, péntek: 09.00–18.00 2023. október 14., szombat: 09.00–17.00. A háromnapos rendezvény alatt közel 200 szakkiállító várja az

érdeklődőket, a kiállítás megtekintése díjmentes, de regisztrációköteles a dentalworld.hu oldalon a látogatói regisztráció oldalon.

Kongresszusi belépés 2023. október. 12–13–14. reggel 8 órától. A regisztráció a szakmai programokra kötelező, az előre és a helyszínen váltott, e-mailben megkapott egyedi vonalkód-

giának a története az 1960as évekre nyúlik vissza. Az első cég, a Nobel Biocare annak idején Nobel Pharma néven 1982-ben dobta piacra az első olyan titánimplantátumot, amely alapjaiban megváltoztatta ezt az orvosi módszert. Gyakorlatilag ma is ez képezi a beültetés alapját: titánimplantátum, csavarimplantátum, a titán különböző ötvözetei. Azóta is ezt használják, és ez a legjobb megoldás.

Mennyire látja a jövőt? Milyen irányba tud még ez elmozdulni, vagy netán már ott tartunk, hogy nincs jobb eljárás?

A mechanikus pótlások határát lassan elérjük. Az lehetséges, hogy új anyagok jönnek, de alapvetően ez a fajta technika – fogunk egy csavart, behelyezzük, és arra egy felépítményt készítünk – alapjaiban nem fog már tovább változni. Változhatnak a felhasznált anyagok mind az implantátum, mind a fogmű tekin -

ját be- és kilépéskor kérjük, egyaránt érvényesítse! Hiányzó vonalkód esetén fáradjon az ügyfélszolgálathoz.

Helyszíni jegyvásárlás 2023. október. 12–13–14. reggel 8 órától. A helyszíni jegyvásárlás a Hungexpo „A” pavilon bejáratánál, a pénztárnál lehetséges.

Kreditpont

A három nap összpontértéke: 24, napi pontérték: 8. A tanfolyamok a szakma szerinti

tetében. A következő nagy ugrás valószínűleg inkább biológiai ugrás lesz: őssejtekkel kísérleteznek, amelyekből esetleg fogakat lehet majd „növeszteni”. Tehát ez lenne a következő lépés, vannak is már erre irányuló kísérletek. Ha pedig a kereskedelem jövőjére gondolok, akkor nem szabad eltekinteni attól, hogy ma már nagyon sok mindent online is meg lehet vásárolni. Ugyanakkor az ilyen vásárlások után nem kapja meg a felhasználó, ügyfél azt a terméktámogatást, továbbképzést és szervizt amit egy helyi cég tud biztosítani. Így, bár a kereskedelmi útvonalak, illetve ellátási láncok lerövidültek, egyszerűsödtek, továbbra is óriási szükség van a már kialakult jó partneri viszonyra, emberi kapcsolatokra.

Ha ön rászorulna egy fogbeültetésre, akkor félne beülni a fogorvosi székbe?

Nem, főleg azért nem, mert ismerem az ügyfeleinket, a felhasználóinkat, és tudom, hogy ők megbízhatóan és jól dolgoznak. Egyébként maga a beavatkozás nem fájdalmas. Ugyan

kategóriába tartoznak (szakképesítések, amelyekhez szakma szerinti pontszámként elszámolható: 1. arc-állcsont-szájsebészet, 2. dento-alveoláris sebészet, 3. fogszabályozás [fogorvos], 4. konzerváló fogászat és fogpótlástan), vizsga nincs, a kreditpont-igazolást a rendezvényt követően küldjük el. A szakmai programokban a változtatás jogát fenntartjuk.

Workshop A tudományos programok mellett megrendezésre kerülő workshopok

léphetnek fel komplikációk, de ezek nagy része normál fogorvosi rendelőben is könnyen kezelhető. Az a lényeg, hogy a páciens olyan fogorvoshoz forduljon, akiben megbízik, akinek jó híre és ügyes keze van, és elkötelezett a munkája iránt. Természetesen, legszívesebben olyan orvoshoz ülnék be, aki az ügyfelünk is, és használja az általunk forgalmazott anyagokat. Minden termékünk a világ élvonalába tartozik, gyártója megbízható, az eredmények kiszámíthatóak.

Ha már a kézügyességről beszélünk, akkor mennyire fontos az, hogy az orvos őszintén érdeklődjön az ilyen technikai újdonságok iránt, vagy az a fontosabb, hogy olyan keze legyen, amellyel precízen tud dolgozni?

Ez a két dolog kiegészíti egymást, az egyik nem tud a másik nélkül működni, a jó fogorvosnak nagyon sok segítséget adhat a különböző digitális és egyéb technológia, és ezáltal még jobbá válhat a munkájában.

Várkonyi Benedek

A DENTAL WORLD napilapja

Kiadja: Event Organizer Hungary Kft. 1012 Bp., Kuny Domokos u. 9. Tel.: 06-30-472-0030 info@dental.hu, dentalworld.hu

Főszerkesztő: Dr. Riba Magdolna Nyelvi korrektor: Balázs Piroska Felelôs kiadó: Laczkó Tamás Nyomdai elôkészítés: Event Organizer Hungary Kft. Nyomdai kivitelezés: Pharma Press Nyomdaipari Kft.

és gyakorlati kurzusok termei az „A” pavilon galériáján találhatók, melyeket a helyszínen irányítótáblákkal jelölünk.

Megközelítés, parkolás

A rendezvény területére gyalogosan az Albertirsai úton, a 3-as kapun és a III-as fogadócsarnokon keresztül lehet belépni.

A parkolás a konferencia résztvevői és a látogatók számára ingyenes, behajtás gépjárművel a 4-es kapunál lehetséges. A környező utcákban díjmentes parkolási övezet található. A rendezvény megközelíthető tömegközlekedéssel is:

Az Örs vezér tere metrómegálló és a Hungexpo vásárváros között a rendezvény napjain is közlekedik a 10-es autóbusz. Az M2-es metró Pillangó utcai állomásától a Hungexpo vásárváros főbejárata körülbelül 15 perces sétával elérhető. A Blaha Lujza téri metrómegálló közeléből, a Népszínház utcai végállomásról induló 37-es, illetve 37A villamosok Kőbánya felső vasútállomás megállóhelyétől a Hungexpo vásárváros III. kapuja – a vasútállomás alatti aluljárón át – 6-7 perces sétával elérhető.

3 23. Dental World
Behajtás gépjárművel Kiállítók Belépés gyalogosan Expo Hotel**** Hungexpo Budapest Vásárközpont 23

Quo vadis, esztétikai fogászat? Kerámiahéjak és a túlkezelés – figyelmeztető mese

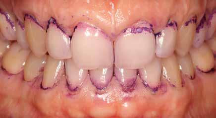
1. a–d ábra: 1. eset (a–b) A páciens bemutatkozása a rendelőben; a repedések már a második szett furnérok felhelyezése után 3-4 hónappal jelentkeztek. Az alsó képek azt mutatják, hogy az íny túlkontúrja és a nyaki területen lévő térfogatfelesleg ínyvérzéshez és gyulladáshoz vezetett.

Absztrakt

Az orofaciális esztétika fokozott hangsúlyozása, amelyet mind a fogászati szakemberek, mind a laikusok tapasztalnak, olyan környezetet eredményez, amelyben könnyen előfordulhat a túlkezelés. A páciensek egyrészt nyomást éreznek a gyakran irreális esztétikai normák miatt, míg a fogorvosok kénytelenek azonnali eredményeket elérni, sokszor anélkül, hogy mérlegelnék, mi a legjobb a tájékozatlan páciens számára. Ez a cikk egy illusztrált elrettentő példa az esztétikai fogorvoslásnak álcázott túlkezeléssel szemben. Reprezentatív klinikai példák illusztrálják, hogy a porcelánburkolatokat hogyan használják a helyes műtéti elvek betartása nélkül, valamint azt, hogy hogyan oldották meg ezeket az eseteket.

Kulcsszavak

fogászati esztétika, esztétikai fogászat, esztétika, minimálisan invazív fogászat, túlkezelés, héjak

Bevezetés

Az esztétikai fogászat évtizedek óta a fogászati szakemberek és a nagyközönség érdeklődésének középpontjában áll. A mosoly talán a leguniverzálisabb nemverbális kommunikációs eszköz, amely azonnal közvetíti az érzelmeket, és amely túlmutat a nyelveken, kultúrákon és az időn. Mivel az orofaciális esztétika szerves része a kellemes és harmonikus mosolynak, a fogászatban már régóta igény mutatkozik az esztétikára.

Az intraorális esztétikai fogászat magában foglalja a rózsaszín (lágyszövetek, íny, protézisek) és a fehér (fogak, restauratív anyagok) esztétika elemeit. Ezek az elemek egymásra vannak utalva, és a periodontiumnak és különböző más orofaciális elemeknek kell őket támogatniuk. Nincs mód az optimális esztétikai fogászat elérésére, ha ezeket a többszörös

struktúrákat nem vesszük globálisan figyelembe. Ebben az összefüggésben mi, mint szakma, az elmúlt több mint 40 évben jelentősen továbbfejlesztettük az esztétikai fogászatot.

Bár az esztétikai fogászatot támogató fogászati anyagok és technikák fejlődése nem kérdéses (túl sok, hogy itt felsoroljuk), azt is fontos felismerni, hogy az esztétikai eredmény mindenáron való elérése érdekében néha megkérdőjelezik a nem-rosszindulat és a fogszerkezet megőrzésének alapelveit. Az egészséget és a fogak megőrzését azonban soha nem szabad veszélyeztetni az azonnali, rövid távú esztétikai eredmény elérése érdekében. Néha az egészséges fogszerkezetet el kell távolítani a megfelelő fogpreparációs ellenállás és a retenziós forma elérése érdekében, de a fogmegőrzés elveit mindig tiszteletben kell tartani. Ezen túlmenően a fogászatban minden beavatkozásnál, de talán még fontosabb az olyan helyzetekben, amikor a kezelés célja az esztétikai eredmény elérése, mindig megalapozott esetválasztást és klinikai technikát kell alkalmazni, mert ennek elmulasztása katasztrofális következményekkel járhat. Oscar Wilde-ot idézve: „mindig a legjobb szándékkal végzik a legrosszabb munkát”.

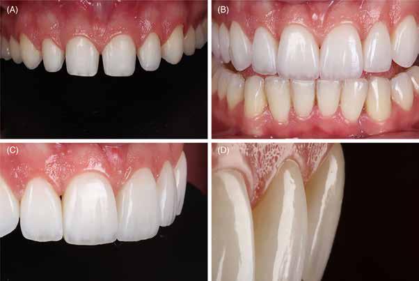
2. ábra: 1. eset: (a) A páciens fogainak preparációi a furnérok eltávolítása után; (b) a páciens számára készített új szett furnérokat mutatja. (c–d). Az egészséges ínykontúr látható, túltengés, ínyvérzés és gyulladás nélkül.

A kerámiaburkolatokat az 1980as évek eleji bevezetésük óta széles körben használják az esztétikai fogászatban. A részleges kerámiarestaurációk maratási eljárásokkal történő felragasztásának lehetősége a lehetőségek ablakát nyitotta meg, és számos, e kezelési mód alkalmazásakor ma is alkalmazott elv változatlan, mint például a zománc és a kerámia savas marási technikái, a szilanizálási eljárások és a műgyanta alapú cementek használata a ragasztáshoz. Megfelelő indikáció és alkalmazás esetén a furnértechnika által biztosított konzervatív, zománcon belüli fogkészítés kiváló alternatívát jelent a szokásos „teljes korona” készítéssel szemben, amely gyakran endodontiai kezelést és post-and-core elemet is magában foglalhat. Emellett a „no-prep” (előkészítés nélküli) furnérokat is alkalmazzák, ahogyan azt eredetileg Calamia javasolta, miközben a legtöbb esetben nem kell előkészítést végezni a fogszerkezeten a furnérok elkészítése és ragasztása előtt.

Annak ellenére, hogy a kerámiaburkolatok megfelelő esetválasztásának, anyagválasztásának és technikájának széles körű dokumentációja létezik, az évek során számos szerző figyelmeztetett a túlzott kerámiaburkolat-kezelés tendenciájára. Ezek a túlzások magukban foglalhatják a furnérok ajánlását és kivitelezését, amikor nincs rájuk szükség, vagy amikor egy alternatív, még konzervatívabb kezelési lehetőség, például a fogfehérítés vagy a kompozitgyanta-kötés lenne előnyösebb, különösen a nagyon fiatal betegek esetében, de minden korcsoportban. Még aggasztóbb azonban, amikor a kezelést nem megfelelő technikával végzik, ami súlyos következményekkel járhat a páciens számára. A kerámiafurnérokat gyakran kínálják esztétikai megoldásként, konzervatív előkészítéssel és minimális beavatkozással. Ha valamilyen probléma merül fel a ragasztott furnérokkal, és azokat újra kell készíteni, eltávolításuk nagy kihívást jelenthet, különösen akkor, ha a preparáció teljes egészében intra-zománc volt, és a ragasztási technikát helyesen végezték. A kerámia eltávolításának egyetlen módja a csiszolók használata, még akkor is, ha a cementálást követően lézerrel végzett kutatások szerint is lehetséges a furnérok lecsiszolása.

E cikk célja, hogy klinikai példákkal illusztrálja, hogy az esztétikai fogászat leple alatt milyen túlzott és/vagy nem megfelelő kezeléseket végeztek. Ezek a példák mindegyike az esztétikai problémák megoldásaként agresszívan alkalmazott kerámiurkolatokkal történő kezelést tartalmaz. Rávilágítunk a kerámia kozmetikai kezelés gyakori hibáira, megjegyezve a döntéshozatal és a klinikai technika etikai szempontjait. Bemutatjuk azt is, hogyan oldották meg ezeket az eseteket, hangsúlyozva az esetválasztás és -kezelés helyes elveit. Célunk, hogy egy elrettentő példát vázoljunk fel, és felhívjuk a figyelmet arra, hogy mindenben, amit pácienseinkért teszünk, beleértve az esztétikai fogászatot is, etikai elveket kell képviselnünk.

1. Klinikai példa

Egy 24 éves páciens egy korábbi fogászati anamnézissel jelentkezett, aki 3 hónappal korábban már másodszorra készíttetett kerámiavi -

selőket az állkapocscsontok között (1. a ábra). A páciensnél az első szett burkolólapok felhelyezése után rövid időn belül már kerámiatörések, ínygyulladás, színváltozás és ,,terjedelmes” kontúrok jelentkeztek, ami miatt a fogorvos a burkolólapok cseréje mellett döntött. A második szett héj, amellyel a páciens hozzánk jelentkezett, szintén repedéseket mutatott mindössze 3 hónap elteltével, ínyvérzést és nagyon terjedelmes megjelenést (1. b–d ábra) Az első találkozón a páciens megmutatta a kezelés előtti fogairól készült fényképeket, amelyeken a fogak normális anatómiája és kisebb diasztémák voltak láthatóak. Megemlítette, hogy az Instagramon keresett ,,jó fogorvost”, és azért döntött a kiválasztott orvos mellett, mert „sok követője és művésze/páciense volt”. A páciens először ,,kontaktlencsék” vagy „no-prep furnérok” iránt érdeklődött – ehelyett a kezelés, amit kapott, hat kerámiafurnér volt. Burke és Kelleher leírta, hogy a ,,fogászati guruk” és a „show-manek” az előadások és a közösségi média erejére alapozva hogyan tudják befolyásolni a fogorvosok, sőt a betegek döntéseit is. Ez a befolyás különösen igaz a fogorvosok fiatalabb generációira és a betegek minden korosztályára.

A tervezett új kezelés a furnérok cseréjének felelt meg (2. a–d ábra)

2. Klinikai példa

Egy 25 éves páciens esztétikai aggályokkal, kellemetlen érzéssel és arról számolt be, hogy nehezen tudja megfelelően tisztítani a fogait. Korábbi kezelési előzményei között szerepeltek a felső állkapocs elülső fogain körülbelül 2 évvel korábban készült laminált furnérok (3.a. ábra).

A páciens arról számolt be, hogy az első kerámia burkolólapok kevesebb mint egy évig maradtak a szájában, és esztétikai okok és néhány fog hőérzékenység miatt eltávolították őket, és új készletet készítettek. A páciens kívánsága az volt, hogy harmadszorra is újra elkészítsék a héjakat.

A klinikai vizsgálat nem megfelelő felszíni anatómiájú kerámiaburkolatokat mutatott (3. b ábra). Hiányzott a megfelelő fogmorfológia, valamint az interproximális területeken a gyantacement feleslege. Néhány helyen szuvas léziókat figyeltek meg (3. c–d ábra). A fogfelületek levegőn

4 23. Dental World
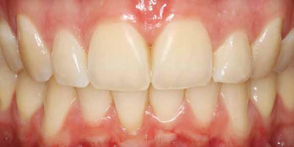
3. ábra: 2. eset. Kezdeti fotók a mosolyról, valamint a páciens fogainak bukkális és okkluzális nézete.

4. ábra: 2. eset (a) A páciens központi metszőfogainak preparációit mutatja, a fognyaki területhez közelebbi zománc megőrzésével. (b) A kezdeti szöveti egészséget mutatja 1 hét cementálás után. (c) A kép 3 hónap elteltével egészséges ínykontúrt mutat, és (d) 10 év elteltével jó ínyállapotot mutat.

történő szárítása során a hőérzékenység rendkívüli kellemetlenséget okozott.

Az érintett fogak alapos kiértékelése és vitalitásvizsgálata a 8. és 9. számú fogak esetében irreverzibilis pulpitist állapított meg, amelyet a páciensnek elmagyaráztak. A felső szemfogakat és az oldalsó metszőfogakat már endodontikusan kezelték, és az endodontikus kezelés rossz minősége miatt retorzió volt indikálva. Mivel a maradó koronarész veszélyeztetett volt, a fogakat belsőleg üvegszálas oszlopokkal és kettős keményítésű műgyantacementtel rekonstruálták. Az endodontiai kezelést és a belső rekonstrukciót követően az elülső állcsonti fogakat a korábbi protetikai kezelés mértéke miatt teljes kerámiakoronákra készítették elő. A pulpakamrákhoz való széles hozzáférés miatt a laminált burkolatok már nem voltak indikálhatók. Ehhez a nyaki területhez közeli vékony zománcréteg elkészítésére volt szükség (4. a ábra) Hat teljes fedésű kerámiarestaurációt készítettünk kerámiamarással. Az íny jó egészségét figyelték meg a 10 éves kontroll során (4. b–d ábra). Nem ritka, hogy a sikertelen foghéjak esetében teljes kontúrú restaurációra van szükség, miután a kezdeti foghéjak sikertelenek, különösen akkor, ha a fogak endodontiai kezelést igényelnek.

3. Klinikai példa

Egy 28 éves páciens jelentkezett, akinek a felső és alsó állcsonti íveiben a premolárisoktól a premolárisokig tartó, 15 nappal korábban cementált kerámiaburkolatokkal történt korábbi kezeléssel (5. a–b ábra). A kezdeti vizsgálat során mindkét íven túlzott térfogatú kerámiákat (5. c–d ábra), valamint rossz peremeket és túlméretezettséget észleltek (6. a–b ábra). Az interproximális felszíneken szintén megfigyelhető volt a gyantacement feleslege. Ezenkívül a fogászati anatómia minden fognál hiányzott. A javasolt kezelés az volt, hogy eltávolítják a korábbi burkolatokat (6. c–d ábra), és új kezelést végeznek jobb marginális adaptációval és javított fogmorfológiával (7. a–d ábra)

Megbeszélés

Az esztétika aránytalan hangsúlyozása a funkcióval és a biológiával szemben kihívások elé állítja szakmánkat. Míg bárki, akinek fogorvosi diplomája van, ,,vághat” fogakat és ,,ragaszthat” kerámiarestaurációkat, amelyeket bárki, aki magát fogtechnikusnak nevezi, elkészíthet, a páciensek számára nagyon nehéz olyan egészségügyi szakemberekből álló csapatot keresni és találni, amely teljes mértékben megérti a fogak előkészítésének, a parodontális és pulpális egészségnek, a funkciónak és a tartós fogászati esztétikának az elveit. E nehéz ,,keresési” feladat mellett a mindenütt jelenlévő közösségi média csatornáin ábrázolt boldogság- és szépségnormák megkérdőjelezik pácienseink önbizalmát, és a testdiszmorfiás zavarok (BDD) okozta szorongás enyhítése érdekében sokan belemennek az esztétikai

5.

3. eset. A kezdeti bemutatás során az összes kerámiarestaurációban túlépített porcelán látható. A felhasznált műgyantacement az összes kerámiarestaurációt az interproximális területen lévő felesleg miatt ragasztotta.

kezelések és retorziók mindent felemésztő keresésébe.15 Ez a hatás még meghatározóbb a fiatalabb fogorvos-generációk esetében, hiszen közülük sokan hajlamosak az esztétikai fogászat területén dolgozni. Az adhezív fogászat területén elért fejlődésnek és a préselt és CAD/ CAM kerámia rendszerek széles körű elérhetőségének köszönhetően a kerámiarestaurációk rendkívül népszerűvé váltak. Ez, a kerámiát használó esztétikai eljárások robbanásszerű elterjedésével és az irántuk való kereslettel egyidejűleg, egyfajta „iatrogén járványt” hozott létre, ahol a minimálisan invazív esztétikai fogászat leple alatt túlkezeléseket alkalmaznak. A fogtechnikai laboratóriumokhoz való könnyű hozzáfé -

Szakértelem és megbízhatóság: Prime Zirconia –

Az e.max család tagja

Rendelje elő a Prime Zirconiát még ma!

Ön is megbízhat az IPS e.max® ZirCAD Prime-ban ha minőségről, hosszú élettartamról, stabilitásról és mindenekelőtt az esztétikumról van szó.

5 23. Dental World
Making People Smile
ábra:
ivoclar.com

rés miatt a klinikusok hajlamosak a kerámiarestaurációkat előnyben részesíteni más, kevésbé invazív kezelési lehetőségek helyett, amelyek kifinomultabb kézügyességet igényelhetnek, mint a vágd és ragaszd megközelítés. Az indirekt helyreállító eljárások olyan protetikai eljárások, amelyek speciális ismereteket igényelnek a fogászati és parodontális anatómiáról, és sok fogorvos még mindig egyszerű eljárásként tekint rá.

Az esztétikai fogászat etikai döntéseivel kapcsolatos másik szempont a fogorvos–beteg kapcsolathoz kapcsolódik – milyen mértékben kell a fogorvosoknak megfelelniük a páciensek kívánságainak? A pszichológiában a Quasimodo-zavar olyan diszmorfiás zavarra utal, amikor az egyén megszállottan azt hiszi, hogy hibái vannak, általában az arcán. Ezt a jelenséget először Morselli írta le az 1800-as évek végén mint szoci -

ális reflexszel járó kényszeres kényszerbetegséget. Kimutatták, hogy az ebben a rendellenességben szenvedő páciensek 91%-a, akik plasztikai sebészeti beavatkozáson estek át, teljesen elégedetlenül fejezte be a kezelést. A fogászatban De Jongh és munkatársai felvetették, hogy a fogorvosoknak fel kell ismerniük azokat a pácienseket, akik folyamatosan igénylik a kozmetikai fogászati kezeléseket, és akik esetleg BDD-ben szenvedhetnek, becslések szerint 15%-ban. Az átlagos páciensekhez képest a BDD-ben szenvedő betegek kilencszer nagyobb valószínűséggel fontolgatják a fogfehérítést, hatszor hajlamosabbak a fogszabályozó kezelésre, és ötször nagyobb a hajlamuk arra, hogy elégedetlenek legyenek egy nemrég végzett kezeléssel. A „bleachorexia” kifejezést a fogfehérítő kezelések függőségére találták ki, amikor a páciensek folyamatosan ismétlik a fehérítő eljárá -

sokat, és mindig elégedetlenek az eredménnyel. Ennek a pszichológiai aspektusnak az eredménye az, hogy a páciensek gyakran visszavonják a fogászati esztétikai restaurációkat, egyszerűen azért, mert elégedetlenek az eredménnyel, ami technikailag lehet, hogy rendben van (amely a cikkben használt példák esetében nem így van), és legtöbbször pszichológiai szorongás miatt. Másrészt a páciensek kívánságainak folyamatosan megfelelni akaró fogászati szakemberek ismételten szükségtelen beavatkozásokat végeznek, amely végső soron nem javítja a páciens egészségét és jólétét. Az ebben a cikkben leírt klinikai esetekben megfigyelhető a túlkezelés tendenciája, amely az esztétikai fogászat egyik legnagyobb veszélye, amint azt az Amerikai Kozmetikai Fogászati Akadémia felmérése is megállapította. Az egyik résztvevő megjegyzése a következő volt:

„A pénzéhes fogorvosok hírnevét alakítjuk ki”. Mivel a legtöbb fogforma- és fogkontúrproblémát ma már kerámiaburkolatokkal kezeljük, nagy a valószínűsége annak, hogy ezzel csökkentjük azoknak a fogaknak az élettartamát, amelyekben ezeket az állítólagosan konzervatív esztétikai eljárásokat végezzük, tekintettel a fogak helyreállításának száma és az utólagos foghúzás közötti összefüggésre, részben az ismétlődő helyreállítási ciklus miatt.

Simonsen rámutat arra az etikai vétségre, hogy a fogászati szakemberek nem követik a potenciális kár és a potenciális haszon átgondolt mérlegelését. A fogászatban sürgősen szükség van példaképekre és hiteles tanárokra, akik képesek irányítani az új fogorvoshallgatókat és a frissen végzetteket, és a legfontosabb, hogy az etikus esztétikai fogászatot már a diploma megszerzése előtt tanítani kell.

Következtetés

Az esztétikai fogászatban egyre gyakrabban fordul elő fogászati túlkezelés, amely kiterjedt fogkopáshoz, a restauráció túlkontúrjához és az íny egészségének veszélyeztetéséhez vezet, a minimálisan invazív fogászat leple alatt előírt túlzott és szükségtelen kozmetikai eljárások miatt. A fogazatot szükségtelenül kezelik, amikor a páciensek még fiatalok, és ennek eredményeként a fiatal felnőttek a kezelések ismétlődő körforgásával néznek szembe, amely végül az egykor egészséges fogak sérült felületeivel végződhet. Napról napra világosabb és fontosabb, hogy a fogorvosoknak el kell kezdeniük a kezeléseket úgy végezniük, hogy ne csak az esztétikára, hanem az etikára és az egészségre is törekedjenek.

Dr. Ronaldo Hirata (Brazília)

A Magyar Dentálhigiénikusok Egyesületének első éve

elnöke

Eltelt egy év és ismét találkozhatunk a kollégákkal a Dental World kétnapos Prevenciós kongresszusán. Örömünkre szolgál, hogy idén is társszervezői lehettünk a konferenciának, és igyekeztünk olyan tartalommal megtölteni a napot, ami a mindennapi munkában is használható információkat ad, emellett a szakma egy-egy területét részletesebben mutatja be és bontja ki.

A Magyar Dentálhigiénikusok Egyesülete az elmúlt egy évben

törekedett a célkitűzéseknek megfelelően lépésről lépésre haladni. A szakmában tapasztalható anomáliákkal kapcsolatos kérdésekben és a képzéssel kapcsolatos visszajelzésekkel és kérésekkel kapcsolatos teendők miatt folyamatos egyeztetés zajlik a fogászat vezető szakembereivel és a kompetens személyekkel, együtt igyekszünk megoldást találni a változtatás módjára és lehetőségeire. Ez a folyamat hosszabb időt vesz igénybe, de elmondható, hogy az álláspontok közelednek egymáshoz és tulajdonképpen nyitott ajtókat döngetünk. Előrelépést könyvelhetünk el a Magyar Egészségügyi Szakdolgozói Kamara Szakmai tagozati kérdésével kapcsolatban is, melyhez az építkezést megkezdtük a lelkes kollégák munkájával. Célunk egy Fogászati tagozat létrehozása a Kamarán belül. A napi munka mellett rendezvények társszervezőiként veszünk rész a továbbképzésben, mint Dental World, Upgrade és SymposiumSzeged rendezvények. A továbbképzések mellett a tagok számára kedvezményeket igyekszünk biztosítani. A MAKASZ céggel kötött együttműködés által kiállított

MDE kártya hozzáférést biztosít egy országos Kedvezménykártya Programhoz, amelyen keresztül a szakmán kívüli, már több mint ezer elfogadóhelyen beváltható azonnali kedvezmény vehető igénybe. Emellett Egyesületünket számos, szájápolási termékeket forgalmazó cég támogatja, akik szintén állandó vagy időszakos akciókkal, programokkal vagy kedvezménnyel igyekeznek támogatni a szakmában dolgozókat. Az elmúlt évben számos tartalommal bővült honlapunk (www.mde-dh.hu), ahol általános és szakmai információk mellett továbbképzések időpontjai, forgalmazók információi és orális edukációt segítő anyagok találhatóak meg. A social média felületeinken aktuális és figyelemfelkeltő tartalmak egyre kedveltebbek, látogatóink, kedvelőink száma folyamatosan nő. Elmondható azonban, hogy napjainkra számos cég vagy

egyén oszt meg hasonló tartalmakat, így fő munkánk továbbra is az a háttérmunka, ami a fentebb sorolt, a hivatásunk előrelépését biztosító szakmai érdekképviselet és továbbképzések szervezése és kedvezmények biztosítása.

Az Egyesület elmúlt egyévi munkájáról a júniusban megtartott közgyűlésen adtunk számot részletesen, mely egy interaktív szakmai megbeszéléssel zárult. Ezúton is köszönjük a tagok és támogatók megjelenését, visszajelzését.

Az idei Dental World ideje alatt debütál első szakmai folyóiratunk, a Den tálhigiénia. Ebben a hiánypótló kiadványban olvashatunk aktuális kérdésekkel kapcsolatos riportokat, képzéssel kapcsolatos cikkeket, szájápolási termékekkel kapcsolatos újdonságokat, szakmai tartalmakat. A Dentálhigiénia idén ingyenes, MDE tagok számára a jövőben is ingyenes kiadvány lesz. A lap személyesen átvehető az MDE standunkon (171 számú stand) a szünetek között, ahol finom, friss kávéval várunk minden kollégát a Dental World kiállítás és konferencia mindhárom napján. Reméljük, minél több kollégával fogunk személyesen találkozni!

6 23. Dental World
Székelyhidi Éva az Egyesület 6. ábra: 3. eset. (a–b) A gyantacement feleslegét mutatja a nyaki peremeken, valamint a túlkontúrt. (c–d) A páciens fogai a burkolatok eltávolítása után (6c) és a fogak előkészítése után (6d). 7. ábra: 3. eset. Végleges kerámia restaurációk a kőmodell felett és a cementálás után.

STRAUMANN® BLX IMPLANT SYSTEM

Confidence beyond Immediacy.

System overview

Három napos

Esztétika Kongresszus – 2023. október 12–13–14.

CSÜTÖRTÖK

09.35–09.45 Dr. Volom András, Dr. Gombos Ádám: Megnyitó

09.45–11.30

Daniele Rondoni (Olaszország): A helyreállítás hosszú élettartama döntő kritérium a kezelési választásunkban?

11.30–12.30

Dr. Ronaldo Hirata (Brazília): Esztétikus kompozitrestaurációk receptjei

12.30–14.00 Ebédszünet

14.00–15.30

Prof. dr. Marko Jakovac, Dragan Stolica (Horvátország): Digitális protokoll a minimálisan invazív fogászatban

15.30–17.30

Dr. Arthur Volker (Amerikai Egyesült Államok): Injection moulding és matricázási stratégiák a direkt anterior kompozitokhoz

PÉNTEK

09.35–09.45 Dr. Volom András, Dr. Gombos Ádám: Megnyitó

09.45–11.45

Dr. Giedre Kobs (Litvánia): Az ember egészének kezelése okklúzión keresztül

11.45–12.45

Prof. dr. Mutlu Özcan (Svájc): Fogászati anyagok a helyreállító fogászatban: szubtraktív vagy additív?

12.45–14.15 Ebédszünet

14.15–16.00

Dr. Jordi Manauta (Olaszország): Kompozit restaurációk anterior és poszterior területeken

16.00–17.30

Dr. Andrea Franzo (Olaszország): A RESTOPROSTHETIC dilemma: hogyan változtatott meg mindent az adhézió?

Endodontia Kongresszus – 2023. október 12–13–14.

CSÜTÖRTÖK

09.50–10.00 Dr. Benyőcs Gergely: Megnyitó

10.00–12.30

Dr. Ruth Perez Alfayate (Spanyolország): Komplex diagnózis az endodontiában

12.30–14.00 Ebédszünet

14.00–15.30

Dr. Byron Tsivos (Egyesült Királyság): Hogyan javítják az innovációk és a technológiai stratégiák a hosszú távú prognózist az endodontia területén?

PÉNTEK

09.50–10.00 Dr. Benyőcs Gergely: Megnyitó

10.00–12.30

Dr. Mile Churlinov (Észak-Macedónia): Navigált fog autotranszplantáció

12.30–14.00 Ebédszünet

14.00–15.30

Dr. Giovanni Olivi (Olaszország): Innovatív endodoncia lökéshullámokkal erősített emissziós fotoakusztikus áramoltatás használatával

SZOMBAT

09.50–10.00 Dr. Volom András, Dr. Gombos Ádám: Megnyitó

10.00–12.00

Dr. Marco Maiolino (Olaszország): A „repedt” fogak kódexének megfejtése

12.00–12.30

Dr. Takács Ildikó: Sokoldalú esztétikai arckezelési lehetőségek fogászati lézerrel

12.30–14.00 Ebédszünet

14.00–15.15 Dr. Salem Jusic (Bosznia-Hercegovina): Az anterior fogak különösen esztétikus kompozit restaurációi

15.15–16.30

Dr. Maciej Czerwiński (Lengyelország): Mérföldkövek a restauratív kezelésben

SZOMBAT

09.50–10.00 Dr. Benyőcs Gergely: Megnyitó

10.00–11.30

Dr. Alexandru Gliga (Románia): Szokatlan anatómiák endodontiai kezelése

11.30–12.30

Dr. Michał Ganowicz (Lengyelország): A fogak biológiai kezelése –a bioaktív cementek szinte minden indikációja

12.30–14.00 Ebédszünet

14.00–15.15

Dr. Agnieszka Pacyk (Lengyelország): A lokális dentális érzéstelenítés 7 veszélye az endodontiai kezelés során

15.30–17.00

Dr. Forster András: Gyökérkezelt fogak helyreállítása modern szálerősítéses stratégiákkal

15.30–17.00

Dr. Nuno Pinto (Portugália): A reciproc fájlok fejlődése

SZOMBAT

15.15–16.30

Dr. Aleksandra PalatyńskaUlatowska (Lengyelország): A minimálisan invazív endodontia technológia fejlődésének klinikai következményei

23
kongresszusok

kongresszusok

Implantológia Kongresszus – 2023. október 12–13–14. CSÜTÖRTÖK

09.30–09.45 Dr. Sidó Levente, dr. Németh Zsolt: Megnyitó

09.45–10.45

Dr. Michaela von Geijer (Svédország): Utak az implantátum sikeréhez

PÉNTEK

09.30–09.45 Dr. Sidó Levente, dr. Németh Zsolt: Megnyitó

09.45–11.00

Dr. Yoav Leiser (Izrael): Fejlett protokoll az azonnali terheléshez minden csonttípusnál és magasságnál

11.00–12.00

Dr. Joseph Choukroun (Franciaország): PRF és oszteoimmunológia

SZOMBAT

09.30–09.45 Dr. Sidó Levente, dr. Németh Zsolt: Megnyitó

09.45–11.15

Dr. Andres Pascual La Rocca (Spanyolország): Szövetregeneratív megközelítés sertés eredetű acelluláris bőrmátrix felhasználásával –jelenlegi koncepciók és alkalmazási javallatok

10.45–12.15

Dr. Matteo Basso (Olaszország): Mikrobiom, a diszbiózis és az antiszeptikumok szerepe hogyan védheti az implantátum gyógyulását és megtartását?

12.15–13.45 Ebédszünet

13.45–15.30

Prof. dr. Mihai Juncar (Románia): Az implantátum beültetésének megfelelő ideje

12.00–13.00

Dr. Joseph Choukroun (Franciaország): A csontkezelés az azonnali terhelés sikerének kulcstényezője

13.00–14.00 Ebédszünet

14.00–16.00

Dr. Francesco Amato (Olaszország): Egyetlen fog implantátum pótlása az elülső zónában egészséges vagy veszélyeztetett helyeken: minimálisan invazív sebészeti megközelítés és innovatív protetikai protokollok

12.30–13.45

11.15–12.30

Dr. Andy Boiangiu (Izrael): Egy új, minimálisan invazív technika a sinus augmentációra

Ebédszünet

13.45–15.00

Dr. Michael Ainsworth (Egyesült Királyság): A csontpótlás forradalmasítása: mire van szüksége a szervezetnek a gyógyuláshoz?

15.30–16.45

Dr. Fomina Antonina (Oroszország): Biomateriálok A-tól Z-ig: a tudománytól a napi gyakorlatig

16.00–17.00

Dr. Fredrik Engman (Egyesült Államok): A lágyrészek gyógyulásának elősegítése – digitális megközelítés

Orthodontia Kongresszus – 2023. október 12–13–14.

CSÜTÖRTÖK

09.50–10.00 Dr. Borbély Péter: Megnyitó

10.00–12.30

Dr. Daniel C. Neves (Brazília): Digitális fogszabályozási ökoszisztéma – teljes körű megoldás kölcsönösen előnyös eredményekkel

12.30–14.00 Ebédszünet

14.00–15.30

Dr. Peter Vaughan és

dr. Matthew Vaughan (Ausztrália): Rögzített retainer: miként készítsük, hogy működjön is?

15.30–17.00

Dr. Nimet Guiga (Portugália): Korai fogszabályozó kezelés

PÉNTEK

09.50–10.00 Dr. Borbély Péter: Megnyitó

10.00–12.30

Dr. Hazem Idriss (Csehország): Munkafolyamatok a kiszámítható aligner kezeléshez

12.30–14.00 Ebédszünet

14.00–15.30

Dr. Shadi Gerá (Izrael):

III. osztályú kezelések növésben lévő betegeknél

15.30–17.00

Dr. Felső Zita: Az aligner technológia nyújtotta lehetőségek, fényterápiával kombinálva

SZOMBAT

15.00–16.15

Dr. Jerome Surmenian (Franciaország): Hogyan teszi az oszteoimmunológia kiszámíthatóvá és reprodukálhatóvá a sikert a GBR-ben?

09.50–10.00 Dr. Borbély Péter: Megnyitó

10.00–12.00

Dr. Shadi Samawi (Jordánia): Fogszabályozási diagnózis a mesterséges intelligencia korában: forradalmi előrelépés

12.00–13.30 Ebédszünet

13.30–14.45

Dr. Thomas Lietz (Németország): A mini implantátumokkal, RPE csavarokkal kapcsolatos hibák rövid vizsgálata

14.45–16.00

Dr. Csiki Péter: A Pitts21 recept: hogyan alakítsuk át pácienseink életét a maximális hatékonysággal?

23

Úgy gondolom, hogy a digitális fejlődés nem helyettesíti a fogtechnikust a fogorvossal

Doktor Úr! Mi a véleménye a MODJAW rendszerről?

Az eszköz egy különleges kiképzésű 3D kamerából és a hozzá tartozó szoftverrel felszerelt, érintőképernyős fogadó számítógépből áll. A páciensek fogászati szempontból releváns, teljes funkcionális mozgásspektrumának regisztrációját képes elvégezni, melyhez mindössze a betegről készült intraorális scanneket kell feltölteni a rendszerbe. A precíz digitális munkafolyamat nélkülözhetetlen eszköze, ugyanis nem csak egy statikus információt továbbíthatunk vele a páciensről, hanem fel tudjuk venni, hogyan mozgatja az állkapcsát. Beszkenneljük a maxillát és a mandibulát, az így képző -

dött digitális modelleket feltöltjük a szoftverbe, utána – a megfelelő markerpontokat felhelyezzük a páciens arcára – a 3D kamera ezt képes beolvasni, és az egyéni funkciós mozgásokat regisztrálja a szoftver. Úgy kell ezt elképzelni, ahogyan az animációs rajzfilmek is készülnek. A felvételek során ott is élő színészekkel dolgoznak, a fejükre hasonlóan „markerpontokat” helyeznek el, amelyeket a speciális 3D kamerák látnak. A rajzolt figurák mimikai mozgásai ezáltal valós, színészi izommozgások lesznek, átalakítva a grafikai felületeken.

Ha rögzítettük a kívánt mozgássorokat, exportálni tudjuk mindezt egy olyan fájlformátumban,

amelyet később a fogtechnikus a tervezés során be tud olvasni, és visszajátszhatja magának a beteg állkapocsmozgását. Valójában ezzel egy „páciensszimulátort” alkalmazunk, ami most a legelőremutatóbb, legkorszerűbb technológia. Nem reprodukálni próbáljuk az állkapocs mozgását, hanem a valódi mozgásokkal dolgozhatunk. Túlhaladtunk már az egyéni értékű artikulátorok adta lehetőségeken, és digitálisan „szimulálunk” egy pácienst. Ennek az igazán nagy előnye abban áll, hogy ezt az információt fájlformátumban exportálni tudjuk. Elküldjük a fogtechnikushoz, és amikor ő egy munkát megtervez szoftveresen, legyen az fogpótlás, sín vagy egyéb

Digitális Fogászat Kongresszus

09.45–10.30 Dr. Nagy Zsolt: Extrém fokú mélyharapás protetikai ellátása digitális workflow segítségével, monolitikus restaurátumokkal

Az előadásom során innovatív protetikai technikával ellátott fedőharapásos páciens kezelését és a harapásemelési folyamatot mutatom be, ahol a digitális workflow és a monolitikus restaurátumok alkalmazásának előnyeit ismertetem, kiemelve a kiszámíthatóságot, pontosságot, gyorsaságot és a betegkommunikációt, valamint az esztétikai eredményeket és a hosszú távú stabilitást. Az előadás célja, hogy a fogorvosokat inspirálja az új technológiák és technikák alkalmazására saját gyakorlatukban.

10.30–11.30 Dr. Luigi Rubino (Olaszország): Virtuális valóság és kiterjesztett valóság a fogászatban

„A kiterjesztett valóság és a virtuális valóság szorosan összefügg. Mindkettőben részt vehetünk egy számítógépes virtuális világban, amely megjelenik Ön előtt. VRubino egy új módszer a 3D-s KÉPEK megjelenítésére, az IMPLANTÁTUMOK TERVE-

ZÉSÉRE ÉS IRÁNYÍTOTT MŰTÉTI ADATOK MENTÉSÉRE. A kezelő, a szemén egy nézővel és érzékelőkkel, az ujjain haptikus alapú szimulációval, elmerülhet egy virtuális világban. A VRubino segítségével az STL-adatok virtuálisan átalakulnak valóságba, majd a speciális érzékelőkkel felszerelt kezekkel megragadják az implantátumokat (de hasonlóképpen ez is csípőprotézisre vagy másra is alkalmazható), amelyeket ideálisan elhelyeznek az állkapocs belsejében ugyanezzel a könnyedséggel, mint ahogyan egy fischer típusú csavart behelyeznek egy viaszszerkezetbe. A beültetés helyzetét, koordinátáit elmentjük, majd mindent automatikusan CAD-be konvertálunk, amely elküldhető bárkinek, aki a továbbiakban hagyományos módon szeretné megtekinteni vagy megtervezni. Mindez bármilyen CAD-re alkalmazható, akár fogászati, akár nem.

KITERJESZTETT VALÓSÁG A FOGÁSZATBAN

A kiterjesztett valóság a valós világból származó információk és további számítógép által generált információk keverékét mutatja be a felhasználó számára. Az információk ilyen keverékét általában két különböző, egymásra helyezett információval mutatják be egy monitorra vagy egy fejre szerelt kijelzőre, amely lehetővé teszi a néző számára, hogy egy vegyes képet lásson, a valós világ és a számítógép által generált szöveg vagy kép keverékét.

11.30–12.30 Dr. Byron Tsivos (Egyesült Királyság): Statikus és dinamikus irányított endodontiai mikrosebészet a tervezéstől a munkafolyamatig 2023-ban a negyedik ipari forradalom lesz a jelenlegi standard az endodontiai ellátásban. A nagy nagyítású és alacsony sugárzású Cone beam CT szkennerek mellett, amelyek forradalmasították a diagnosztikát szakterületünkön, a szoftverek fejlődése, a mesterséges intelligencia és általában a digitális fogászat olyan kezelési lehetőségekhez vezetik a kortárs endodontiai gyakorlatot, amelyek néhány évvel ezelőtt még nem léteztek. Ez az előadás a statikus és dinamikus irányítású endodontiai mikrosebészetről szól a tervezéstől a munkafolyamatig.

14.00–15.30 Dr. Steffen Ulbrich (Svájc), Andrii Maistrenko (Ukrajna): Teljes digitális munkafolyamat - a kulcs a kiszámítható esztétikai és funkcionális eredmények eléréséhez

15.30–16.00 Dr. Róth Ivett: Intraorális szkennerek értékelése objektív szempontrendszer alapján

A fogászatban megjelenő digitális innovációk alapjaiban változtatták meg a fogorvosi beavatkozások menetét, a fogpótlás-

tani munkafolyamatok lépéseit. A digitális technológia integrálódása a mindennapi fogászati ellátásba új utakat nyitott meg a fogorvosok és fogtechnikusok számára is. Rengeteg új anyag és eszköz jelent meg a fogászati piacon, amelyek magabiztos ismerete és használata szinte már elvárás a modern fogpótlástanban. A digitális lenyomatvételi eszközök integrálódása a mindennapi klinikai gyakorlatba új kihívások és célok elé állították a fogorvosokat. Az intraorális szkennerek megjelenésük óta nagy utat jártak be, fejlődésük az utóbbi években felgyorsult. Számos teljesen új intraorális szkenner jelent meg a fogászati

piacon, valamint bemutatásra kerültek új generációs készülékek is. További fontos gyakorlati szempont a szoftverfrissítés, amely szintén befolyásolja az adott eszköz tulajdonságait. A magyar fogorvosok körében megnőtt az érdeklődés az intraorális szkennerek irányába, ezenfelül az utóbbi években egyre nőtt a megvásárolható intraorális szkennerek száma hazánkban is. A fogászati piacon elérhető intraorális szkennerekről releváns szakirodalmi adatok limitáltan állnak rendelkezésre, főként a gyártó cég által megadott adatokra tudunk támaszkodni. Az intraorális szkennerek tulajdonságai meghatározzak azok fő indikációs körét és klinikai alkalmazhatóságát, ebből adódóan rendkívül fontos ezek átfogó megismerése egy új eszközre való beruházás előtt. A Fogpótlástani Klinika Digitális Munkacsoportjának objektív összehasonlító vizsgálata alkalmas arra, hogy meghatározzuk a Magyarországon elérhető intraorális szkennerek főbb indikációs köreit, ezáltal iránymutatást adva a gyakorló fogorvosoknak. Előadásomban szeretnék segítséget adni azoknak a fogorvosoknak, akik intraorális szkenner vásárlása előtt állnak, hogy melyek azok a főbb szempontok, amelyeket érdemes mérlegelni egy új eszközre való beruházás előtt. alapján

késztermék, akkor a saját gépén szimulálni tudja a pácienst, és a terveit összeegyeztetheti annak funkciós mozgásaival. Ez nagyban megkönnyíti az orvos és technikus dolgát a munkafolyamat során. A rágófelszínek kialakítása sokkal pontosabb lesz, és ezzel jelentősen növekszik a sikerarány, továbbá nem kevés időt takaríthatunk meg.

Milyen kezeléseknél használható ez az eljárás? Hogyan használja az orvos és hogyan a fogtechnikus? Szerepe lehet már a diagnosztikában is. Ha vizsgálni akarjuk, hogy van-e a páciensnek bármilyen állkapocsízületi problémája, funkcionális defektusa, már abban is nagy segítséget nyújt, mert nagyon alaposan, precízen meg tudjuk nézni kinagyítva az okklúziós pontokat, fogvezetéseket, valamint ellenőrizhetőek a fejecsek mozgásai is. A terápiás területen, főleg a komplex rehabilitációknál jelentős a szerepe, ahol teljes alsó-felső fogívet akarunk rehabilitálni, vagy a funkcionális terápiában, a vertikális dimenzió megváltoztatásában, vagy a sínterápiák megtervezésénél is alkalmazható. Itt óriási szerepe van annak, hogy megfelelő funkciót adjunk vissza, és olyan rágófelszíneket kaphasson a beteg, amelyek ugyanolyan jól működnek, mint ahogy azt a saját fogai biztosították egykoron. Ha preparálni kell a fogait, vagy át kell alakítani sok mindent – és nem vagyunk a megfelelő információ birtokában –, akkor szinte a „sötétben tapogatózunk”. Jobb esetben van lehetőségünk arra, hogy ideiglenes pótlásokkal a szájban ezt ellenőrizzük, azt becsiszoljuk, de ha olyan digitális technológiával tudunk dolgozni, mint ez a rendszer, akkor erre nem lesz szükség. Már a terápia „nulladik” pillanatában, még mielőtt egyetlen fúrómozdulatot végezne az orvos, elvégezzük a digitális regisztrációt, és az adatok alapján a fogtechnikus már előzetesen tud olyan fogfelállításokat tervezni, amelyek az egész munkafolyamatot pontosabbá teszik. Az orvos ellenőrizheti is a rendszerben az elkészült terveket. A szoftver arra is alkalmas, hogy amikor a technikus digitálisan végez egy fogfelállítást, azt elküldi az orvosnak, ő bármikor visszatöltheti azt a MODJAW rendszerbe, és a páciens jelenléte nélkül ellenőrizni képes, hogy mennyire felel meg a tervezet az elképzeléseknek. A végső rehabilitáció, a valódi, tényleges munka csak akkor kezdődik el, amikor már látjuk a végeredményt, ahová el kívánunk jutni.

Mennyire alkalmas ez esztétikai korrekciókra, például a színészeknél?

A rendszert nem kifejezetten esztétikai korrekcióra találták ki, de nagyon jól össze lehet hangolni esztétikai változtatásokkal. A fogászati szoftverek önmagukban már annyi fog-könyvtár alternatívát tartalmaznak, hogy egy jó mosolytervezéshez nagyon jó merítésből tudunk válogatni, meg tudjuk keresni a kérdéses személy arcához leginkább illő verziókat. A MODJAW abban segít nekünk, hogy mindez funkcionálisan is megfelelően legyen kialakítva, és ne csak esztétikailag legyen harmonikus!

Mennyivel rövidíti meg ez a rendszer a kezelést, és csökkentheti akár még az árát is?

Az ideiglenes pótlások előállítását és azok hordásának idejét rövidíti meg jelentősen. Nyilván az eset komplexitásától függ, hogy mennyivel, de egy komolyabb esetnél előfordul, hogy a páciens akár egy-két hónapig is ideigleneseket hord. Ezt az időt lényegesen rövidíteni lehet, és sokkal hamarabb át lehet lépni a végleges pótlás elkészítésének a szakaszába. Az ár tekintetében pedig figyelembe kell venni, hogy egy ilyen eszköznek komoly beruházási költsége van, a megtérüléssel kalkulálni kell a kezelési tervek során. Ugyanakkor az biztos, hogy a pontosság és a munkafolyamat egyszerűsítése akár még árcsökkenést is jelenthet. A legfontosabb szempont viszont az, hogy ez a készülék kiküszöböli a bizonytalanságokat. Annyira egyértelmű munkafolyamatot határoz meg, amelyben nem lesznek kérdőjelek. Egyszerűsíti a fogorvos, valamint a fogtechnikus munkáját, továbbá a páciensnek is nagyobb kényelmet jelent. Ez a legnagyobb előnye!

Doktor Úr! Köszönöm a sok információt adó beszélgetést.

10 23. Dental World
2023. október 14., szombat 09.40–09.45 Dr. Nagy Zsolt: Megnyitó 12.30–14.00 Ebédszünet 23

Várjuk szeretettel a lenti élményhelyszíneken a kiállítás 3 napja alatt!

BUBORÉKbár

FLEXI-KÁVÉZÓ DENTAL LOUNGE

A DENTAL WORLD KIÁLLÍTÁS SZPONZORAI:
szponzor
szponzorok
szponzorok Hialuronsav Az egészséges fogíny receptje Az egészséges fogíny receptje Az egész csalàd számára gél/szájöblögető oldat/szájspray/baby gél
Platina
Arany+ szponzorok Arany
Ezüst

Prevenciós Kongresszus

2023. október 13–14. (A képzés napja választható)

PÉNTEK

09.30–09.40 Dr. Radánovics-Nagy Dániel: Megnyitó

09.40–10.25

Dr. Kemper Róbert, dr. Komarek Edit: GBT - The next level

10.25–11.10

Dr. Mandel Iván: Parodontalis prevenció és parodontium prezerváció

11.10–11.55

Dr. Tihanyi Dóra: Implantátum – örök élet(ű)? A hosszú távú siker kulcsa

12.30–14.00 Ebédszünet

14.00–14.40

Dr. Irmes Ferenc: Ajánlások a fogérzékenység csökkentésére professzionális tisztítást és fogfehérítést követően fogorvosok és dentálhigiénikusok részére

14.40–15.15

Dr. Faragó Ildikó: Miért éppen a hyaluronsav? Kérdések és válaszok a hyaluronsav használatára a fogászatban

15.15–15.45

Dr. Markgruber Bence: Orálbiotikumokkal a modern fogászatért – elméleti és gyakorlati tapasztalatok

15.45–16.00 Kávészünet

16.00–16.40

Dr. Sólyom Eleonóra: A fogkrémek összetevőinek fontossága és hatásai

16.40–17.00

Prof. dr. Noszticzius Zoltán: Lehet-e hatásos és ugyanakkor szelektív is egy tisztán klór-dioxid alapú szájvíz?

17.00–17.20

Dr. Tóth György: A dohányzási ártalomcsökkentés szerepe és gyakorlata a száj- és fogápolásban

SZOMBAT

09.30–09.40 Dr. Radánovics-Nagy Dániel, Székelyhidi Éva: Megnyitó

09.40–10.25

Dr. Orsós Mercédesz: Rehabilitáció alatt álló páciensek és konduktív edukációban résztvevő gyermekek fogászati és szájhigiéniás állapotfelmérése

10.25–11.10

Prof. dr. Kivovics Péter: A dentálhigiénikus feladatai az ágyhoz, lakáshoz kötött betegek fogászati ellátásában

11.10–11.25 Kávészünet

11.25–11.55

Ványi Zsuzsa: A fekvőbeteg- osztályokon végzett napi szájápolás jelentősége és kivitelezése

11.55–12.35

Dr. Bérczy Kinga: Az elektromos fogkefék múltja és jelene az otthoni szájápolásban

12.35–14.15 Ebédszünet

14.15–14.55

Dr. Kenyeres Krisztina: A caries prevenció lehetőségei –a dentálhigiénikus szerepe

14.55–15.35

Kis-György Rita: Szájápolási eszközök egyénre szabottan

15.35–16.15

Kovács Linda: A Nemzeti Népegészségügyi Központ szervezésében végzett szűrési programon megjelent lakosság szájüregi egészsége

23
17

Fogtechnikus tanulónap

2023. október 12., csütörtök

10.00–10.15 Pósáné Szűcs Erika, Róth Lajos: Megnyitó

10.15–10.45

Pósáné Szűcs Erika: A fogtechnikus képzés aktuális információi

10.45–11.30

Erdélyi Attila: Szegeden így szervezzük a fogtechnikus oktatást!

11.30–12.30

Róth Lajos: Digitális fogpótlások készítése

12.30–14.00 Ebédszünet

14.00–15.00 Schulze László: Manuális vagy digitális váz készítése

15.00–15.30

Erdélyi Attila: 3D nyomtatás

15.30–16.00

Rőth Gergely: Digitális implantációs protetika

A program végén, 16 órától, diákigazolvány felmutatásával igazoló lapot kapnak a résztvevők, amit kötelező tartalmi részként a Portfólióhoz felhasználhatnak. (szakmai kongresszuson való részvétel)

Részvételi díj: 5000 Ft (október 1-től 6000 Ft) Diákok részére a Tanulónap és a

Földvári Imre fogtechnikai kongresszus

2023. október 13., péntek

09.00–09.15 Megnyitó

09.15–10.00

Temple Roland: Hibrid kerámia - a digitális kompozit

10.00–10.45

Kiss Roland: Digitális fogszabályozás és restaurációk! Problémák és megoldások!

10.45–11.30

Temple Roland, dr. Götz Gergely: Hogyan tudjuk egymás munkáját segíteni a fogorvosokkal?

11.30–11.45 Kávészünet

11.45–12.30

Simó Ferenc:

Lehetőségek és tapasztalatok az implantációs protetikában

12.30–13.15

Dr. Farkasdi Sándor:

Páciens igények - fogorvosi munka - fogtechnikai alkotás = modern fogászati egyensúly

13.15–14.00

Lakatos Tibor: Fogsortól a Forma 1-ig

A Földvári Imre Kongresszus idei évben rendhagyó módon reggel 9-től délután 2-ig tart. Az ebédszünetet követően workshopokkal folytatjuk a délutáni programokat. Bemutatkozik a Magyar Fogtechnikus Akadémia, mely a helyszínen kedvezményes csatlakozási lehetőséget kínál. 15.00–17.30 között workshopok kerülnek megrendezésre, témákról rövidesen tájékoztatjuk a kollégákat.

Részvételi díj: 22 000 Ft (október 1-től: 28 000 Ft)

Nagy laborok részére: 20 000 Ft (minimum 5 fő esetén)

MOFI tagok részére 40% kedvezménnyel: 16 500 Ft

Bővebb információ: www.dentalworld.hu

23
Földvári Imre Kongresszus együtt 8500 Ft

Workshop programok

Bioarchitektúra – technika a molárisokhoz

2023. október 12., csütörtök 14.00-18.00

Tippek & trükkök – egy módszer, mellyel gyorsan és esztétikafunkció helyesen tudunk molárisokat restaurálni

A cél, hogy megértsük és elsajátítsuk e módszer protokollját lépésről lépésre

1. ELMÉLET FOGORVOSOK ÉS FOGTECHNIKUSOK részére

- Szín elmélet – mit nézzünk és hogy reprodukáljuk

- A molárisok morfológiai elemei – a dentinmag formája

- Anyag- és technikaválasztás az eset függvényében

- A felszíni textúra fontossága

- A kor és a fog funkciójának jelentősége

- A polírozás, finírozás jelentősége a hosszú távú sikeresség érdekében.

2. GYAKORLATI RÉSZ (FOGORVOSOK & FOGTECHNIKUSOK)

A 16-os és 24-es fog felépítése lépésről lépésre – két módon

Nagyon fontos, hogy a feladat megoldásához a megfelelő anyagot és a hozzáillő megismételhető technikát alkalmazzuk a hosszú távú, előre megjósolható eredmény érdekében. Az optikai effektusokat figyelembe véve főleg a belső és külső morfológia szabályait követve érhetjük el a kivánt esztétikát és a funkcionális egyensúlyt. A restaurációhoz használt anyag ismerete és a felépítendő fog minden egyes elemének kódolása teszi lehetővé az ideális eredmény gyors elérését.

Cél: a felépítendő természetes fog morfológiai analízise biomechanikai és dentalis harmóniai szempontból.

Olyan rétegzési technika elsajátítása, amely a belső elemek helyes elhelyezésén keresztül vezet gyors felépítéshez.

Egyszerűsített rétegzés

– Biodinamikai analízis – Funkcióanalízis

– Biokonstrukció a belső elemek felépítésén keresztül – „kúp technika” kompozittal

– Két moláris fog, 16-os és 24-es felépítése – a belső elemek orientációja – A belső elemek rétegzése

– Biomechanikai szabályok a dentinmag orientációja tekintetében

– A sulcus kialakítása

– A kompozitfelszín kezelése – polírozási protokoll

Részvételi díj: 80 000 Ft (elővételben)

Jelentkezés: dentalworld.hu

Páciensélmény-tervezés a fogászati praxisban

2023. október 13., péntek 9.00-12.30

Tudta, hogy a páciens már akkor élményeket gyűjt a fogászati praxisról, amikor még az orvos nem is tud a létezéséről? A bejelentkezés előtt keres, mérlegel és dönt az adott fogászat mellett. Hogyan tudjuk ezt úgy befolyásolni, hogy minket válasszon? Az egészségügyi marketing legfontosabb módszertana a páciensélmény-tervezés lett, mert az értékteremtés és élménynyújtás az, amely megkülönbözteti az egyik fogászati praxist a másiktól. Közösen végigmegyünk a páciensút-készítés és páciensélmény-tervezés minden apró lépésén.

Részvételi díj: 49 900 Ft+áfa

Jelentkezés: www.flexi-dent.hu/trening

Mennyit fizessek az asszisztensnek, mi marad nekem? – bizalmi workshop iparági átlagokról rendelőtulajdonosoknak!

2023. október 13., péntek 13.00-16.30

Hogy állok a többiekhez képest? Ti mennyit fizettek az asszisztenseknek? És az orvosoknak? A workshopon egy alapvető bevételszerkezet és költségszerkezet áttekintést követően megbeszéljük, hogy a résztvevők közül ki milyen mértékben tér el az iparági átlagoktól. Megtudhatod, mások hogy csinálják, kinek milyen arányokat képviselnek a különböző kiadások és ki hogyan tudja maximalizálni a bevételeit. Egy egyedi, korábban még nem létező kiscsoportos workshop, ahol az interaktív prezentációs technikának köszönhetően úgy osztjuk meg egymással a tudást, hogy mindeközben senki sem adja ki a titkait.

Részvételi díj: 49 900 Ft+áfa • Jelentkezés: www.flexi-dent.hu/trening

Hogyan tudjuk meggyőzni pácienseinket a komplett rehabilitációról a minimál beavatkozás helyett?

2023. október 13., péntek 9.00-12.30

Különösen ajánlott pályakezdő orvosok számára

Részvételi díj: 49 900 Ft+áfa

Jelentkezés: www.flexi-dent.hu/trening

Hogyan toborozzunk új munkatársakat és tartsuk meg őket?

2023. október 13., péntek 13.00-16.30

Előadó: Kluka Attila

Orvos- és asszisztenstoborzás. Az értékes munkaerő, avagy a dolgozók megtartásának módszerei és eszközei. Hogyan segíthet mindebben a mesterséges intelligencia?

Részvételi díj: 49 900 Ft+áfa

Jelentkezés: www.flexi-dent.hu/trening

Recepciósképzés 3.0 – avagy régi eszközökkel nem nézhetünk szembe az új kihívásokkal

2023. október 14., szombat 09.00-16.00

Előadó: Kluka Attila

Nemzetközi trendek és mesterséges intelligencia a recepción a páciensek magasabb szintű kiszolgálásának érdekében. Orvos- és asszisztenstoborzás. Az értékes munkaerő, avagy a dolgozók megtartásának módszerei és eszközei. Hogyan segíthet mindebben a mesterséges intelligencia?

Részvételi díj: 74 900 Ft+áfa • Jelentkezés: www.flexi-dent.hu/trening

2023 leghatékonyabb fogászati marketingeszközei és kampányai

2023. október 14., szombat 09.00-12.30

A fogászati páciensúton végighaladva, annak megfelelően éppen melyik fázisban tart a potenciális páciens, sorba vesszük az összes lehetséges működő, eredményt hozó marketingeszközt. Minden egyes páciensút szakaszhoz hozok konkrét megoldási javaslatot, kampánytervet. Ezek eredményességét konkrét eseteken keresztül bemutatom, elemzem és közösen kiértékeljük. A workshopot követően már csak a megvalósítás vár a praxis vezetőjére, de ha szeretné, ebben is tudunk segíteni. Jelentkezzen a workshopra és küldje el előre kérdéseit, akár anonim módon: horvath.krisztina@positive.hu

Garantáltan válaszolok minden beérkező kérdésre!

Részvételi díj: 49 900 Ft+áfa • Jelentkezés: www.flexi-dent.hu/trening

23
Danielle Rondoni Horváth Krisztina Kluka Attila Máté Zoltán Horváth Krisztina

Workshop programok 23

Az egészséges árak kialakítása

2023. október 14., szombat 13.00-16.30

Kapott excelek és kalkulátorok segítségével, az iránymutatásaink alapján, ott helyben ki tudod alakítani a megfelelő árazási stratégiádat. 100% gyakorlat és egy hatalmas mankó a kezedben! Te mi alapján határozod meg az áraidat? Szétnézel, hogy a környéken melyik rendelő milyen árszabással dolgozik? Vagy érzésre emelsz ezen a szolgáltatáson egy picit, a másikon többet? Az árazás kérdése sokkal komplexebb ennél, főleg a jelenlegi gazdasági helyzetben. Az anyagok ára hirtelen megnőtt, a munkatársak egyre magasabb bért szeretnének és arra döbbensz rá, hogy „egyre kevésbé jön ki a matek” és mindenki jól jár a rendelőd szolgáltatásaival, csak pont Te nem. Ennek vetünk véget és vezetünk végig az úton, hogy miként hozz megalapozott, tudatos döntést, és alakítsd ki úgy az áraidat, hogy az Neked is megérje. A képzés során a metodikához és áraid folyamatos felülvizsgálatához a szoftveres segítséget is bemutatjuk. Részvételi díj: 49 900 Ft+áfa

Jelentkezés: www.flexi-dent.hu/trening

Modern endodonciai kezelések a gyakorlatban: a gépi tágítástól a guttapercha-pisztolyokig

2023. október 14., szombat 09.30-13.00

Bevezetés

Az endodonciai eszközök fejlődése nagyon intenzív, sokszor követni sem tudjuk mi az újdonság. Megveszünk egy endomotort, csilli-villi funkciókkal, aztán mégis csak úgy használjuk, mint az előzőt (rosszabb esetben helytelenül is). A fiók mélyére süppedhet egy ultrahangos aktivátor, heatplugger vagy guttapercha-pisztoly is, pedig a megfelelő know-how birtokában biztonságosabbá, gyorsabbá, kiszámíthatóbbá teszik a munkánkat. Ezen a tanfolyamon nem csak beszélünk ezekről a technológiákról, hanem lehetőséget adunk arra, hogy résztvevőink kipróbálják magukat a gyakorlatban is!

Mi fog történni a tanfolyamon?

A képzés során a résztvevők megismerkednek a különböző anatómiájú fogak ellátásának tervezésével és kezelési stratégiáival. Megvitatásra kerülnek a gyökérkezelések buktatói is.

Bemutatásra kerülnek a modern endodonciai kezelések eszközei: modern gépi tűk, új generációs endomotorok, ultrahangos aktivátorok, heatpluggerek és guttapercha-pisztolyok, valamint a diagnosztikai eszközök: CBCT a tervezéshez, kézi röntgen a gyors tűskontrollhoz.

Bioclear Modern Anterior Kompozit Technikák

dr. Arthur Volkerrel

2023. október 13., péntek 09.30-17.00

Injection molding a szép, egyszerű és megbízható diasztéma-zárásokhoz és Class II tömésekhez. A Bioclear világelső matricáinak bevezetése alkalmából különleges hands-on tréninggel készülünk a Dental World-ön: Dr. Volker segítségével a résztvevők elsajátíthatják a modern „fröccsöntéses” töméstechnika alapjait és megtanulhatják, hogyan válasszanak helyesen Bioclear matricákat. Kuriózum, és először Magyarországon!

Miért érdemes részt venni a tanfolyamon?

Tömérdek tömőanyag és matrica van ma a piacon – nehéz a rengetegükben kiigazodni. Ezen a képzésen a résztvevők elsajátíthatják a forradalmian új megközelítést hozó Bioclear Method „fröccsöntéses” töméstechnikáját, mellyel egyszerűen és kiszámíthatóan kezelhetnek

Espresso Anterior

2023. október 14., szombat 10.00–12.00

Az egyszerűség a végső kifinomultság. Annak érdekében, hogy eredményként tökéletes anterior kompozitot kapjunk, a héjpreparációnál több száz tippre és trükkre bukkantunk, hogy a mindennapi feladatokat egyszerűen, a legjobb minőség feladása nélkül oldjuk meg. Ezen a kurzuson áttekintjük a modellezés lépéseit, mint az időmegtakarítás és a kompozitanyag minőségének javítási módjait, és beleássuk magunkat a forma és a szín elemeibe, ami a tökéletes restauráció egyik leghatásosabb eszköze. Ennek a tanfolyamnak az a fő célja, hogy a gyakorló fogorvos hasznos technikákat tanuljon, amelyeket a tanfolyam után azonnal alkalmazhat a mindennapi fogászatban, hogy növelje

Bio-Bulkfill a gyakorlatban – mély és bonyolult szuvasodás kezelése gyökérkezelés nélkül

2023. október 14., szombat 14.15–16.15

Egy páciens fájós felső hatos foggal érkezik az Ön rendelőjébe. A fog érzékeny az édességre és a hidegre, a páciens arra panaszkodik, hogy az ételek bejutnak a fog üregébe. Ön röntgenfelvételt készít, és mély, a pulpáig érő szuvasodást lát. Hogyan kezel egy ilyen esetet? Aggódik, hogy gyökérkezelésre lesz szükség? De esetleg megfontolná az üvegionomer cement vagy cink-oxid eugenollal történő kezelést? Vagy aggódik a pulpa expozíciója miatt, és bizonytalan, hogy van-e esély a fog életképességének megőrzésére?

Ha szeretne megtanulni és fantomfejen gyakorolni egy hatékony módszert az ilyen esetek kezelésére, meghívom Önt a workshopomra, ahol a Bio-Bulkfill módszert ismerheti meg.

A gyakorlati szegmensben modellen próbálhatják ki a résztvevők a helyes tágítás, tisztítás és gyökértömés gyakorlatát, melyhez használni fogják a megismertetett eszközöket.

A tanfolyamon elsajátítható ismeretek

• Endodonciai kezelési stratégiák

• A különböző endo file-ok használata, anyaga és indikációi

• Az endomotorok funkcióinak megismerése: reciprokálás, ATC, apexlokátor és az apikális referenciapont funkció használata a még biztonságosabb tágításért

• Kémiai tágítás, avagy az átöblítési protokoll rejtelmei

Máté Zoltán

• Ultrahang az endodonciában: aktivátorok működése és haszna, a leggyakoribb hibák elkerülése

• Gyökércsatornák lezárásának technikái

• Az intelligens heatpluggerek használata

• Gyors befejezés guttapercha-pisztolyokkal

Részvételi díj: 45 000 Ft • Kredit: Utóakkreditáció alatt Jelentkezés: volomshop.com

olyan gyakran előforduló (mégis sokszor problémát okozó) klinikai eseteket, mint a diasztéma-zárás, valamint a Class II tömések. Szerkesztői megjegyzés: Dr. Volker nagy visszatérőnk, kiváló esztétikai fogorvos – a Dental Worldre először a 2000-es évek közepén, még Cosmedent előadóként hívtuk meg

A tanfolyamon elsajátítható ismeretek

• A különböző kompozitok hasznosságának megállapítása, a helyes matricaválasztás alapvetései

• Rendszerszerű előkészítési protokollok (izoláció, speciális homokfúvás) szuvas és nem szuvas restaurációk esetében

• A különböző direkt kompozit tömési technikák összehasonlítása

• A Bioclear rendszer és használata (injection molding)

• Helyes polírozási technika

Dr. Arthur Volker

Részvételi díj: 150 000 Ft • Kredit: Utóakkreditáció alatt Jelentkezés: volomshop.com

munkája minőségét, különösen a funkció és az esztétika tekintetében, de mindig egyszerű módon.

- Legyen rendkívül hatékony a színegyeztetésben

- Sajátítsa el a kompozitgyanták rétegzését

- Gyors és szép restaurációk modellezése

- Morfológia

- Ismerje meg, hogy maximalizálhatja az adhezív fogászat élettartamát

Részvételi díj: 65 000 Ft

Jelentkezés: dentalworld.hu

Látni fogja, hogyan lehet hatékonyan kezelni a mély szuvasodást és a pulpitist gyökérkezelés nélkül. Látni fogja, milyen egyszerű lehet bioaktív cementekkel dolgozni. Azt is gyakorolni fogja, hogy miként tömjön be egy üreget a kompozit anyaggal, miközben tiszteletben tartja az esztétikát és az anatómiát. Meglátja, milyen egyszerű a mély szuvas fogak kezelése. És ami a legfontosabb, megtanul egy hatékony módszert, amellyel meghosszabbíthatja páciensei fogainak élettartamát. Tapasztalatból tudom, hogy páciensei hálásak lesznek Önnek.

Részvételi díj: 12 000 Ft Jelentkezés: dentalworld.hu

Dr. Mekis Miklós Dr. Jordi Manauta Dr. Michal Ganowicz

3d-Davidovics Kft.

3shape

Adc-Ultradent

Advantage-Fl

Align Technology

Alpha Implant Kft.

American Orthodontics

Astado International

Astra Implant

Bardeco

BioGaia

Biohorizons/Camlog

Bioline Dental Implant System Ltd

Bioloren Srl

Biomax

Bionika Medline Kft.

Biotem

Blanc Dental Hungary Kft.

Bluem

Blz Technology (Wuhan) Co., Ltd.

Bredent Group

BTI

Callus Implant Solutions

Dental World 2023 kiállítói

Colgate-Palmolive Magyarország Kft.

Cortex

Creativ Dental

Creative Dental

Dent-Art-Technik

Dent-East Kft.

Dentakay

Dental Beauty Technology Limited

Dental Diszkont

Dental Express

Dental Flex Italia

Dental Max

Dental Plus Kft.

Dental Rituals

Dental Tech

Dental-Trade

Dental-Unio Kft.

Dentalcoop Plus Kft.

Dentaltechnika

DentAvantgArt Kft.

Dentech

Dentipro

Dentium

Dentsply Sirona

Diadent

Dio Implant

Doctor Tools Srl

Dokiruha.hu

Dóm-Dent Kft.

Dpr

Dr. Volom Dental

Eighteeth

Endobolt Kft.

Estetik Laser Printing Center

Ethoss

Eurovyz Hungária Kft.

Featured Style Kft.

Fejér-Fog Kft.

Fireflies

Flex-Dent Cad/Cam Frézcentrum

Flexi-Dent

Fogászbolt.hu Kft

Foglaljorvost Online Kft.

Foshan Akos Medical

Fotona

Front-Dent Kft.

Füstmentes

Gallax Dental

Gc Europe

Glaxo Smithkline-Consumer Kft.

Globdent Kft.

Gni Ortho

Guangzhou Riton Additive Technology Co.ltd

Harmonycom Kft.

Herbodent Kft.

Herna-Dent

Highness Implant

Huanghua Promisee Dental

ICX Hungary Kft.

Ihde Dental

Infodent International

Interdent

Ivoclar Vivadent

Jadu Oral Healthy Care Co. Ltd.

Kerator

Keverőcsőr Webáruház

Keystone Dental Group

Semmelweis Semmelweis Feljáró a galérián található termekhez ÉTTEREM RESTAURANT Dental
Büfé / Bufet
TANULÓVERSENY STUDENT COMPETITION Dental World Bioline Dental Implant System KONFERENCIA TEREM 1 CONFERENCE ROOM 1 Endodontia Kongresszus Endodontics Congress Esztétika Kongresszus Aesthetics Congress Praxismenedzsment Kongresszus Prevenciós Kongresszus 1-2 Fogorvos, Fogtechnikus Tanulónap Földvári Imre Fogtechnika Kongresszus Digitális Fogászati Kongresszus Workshop termek 8-10 Workshop rooms 8-10 KONFERENCIA TEREM 2 CONFERENCE ROOM 2 BEJÁRAT ENTRANCE BEJÁRAT ENTRANCE Eighteeth SPEAKER’S CORNER Medident Italia Loyal Beauty Technology Limited Személyzet Staff Colgate Mediservis Chirana Dental Art Gallery DentAvantgArt Zirkonzahn Vita Smylist Dental Trade Webdent Lux Dental Express Keverőcsőr webáruház Zirconia Callus 3Shape Foshan Akos Medical Instrument Co., Ltd Creative Dental Astra Implant Sweden & Martina Wenzhou Amtech Medical Technology Profeta Seil Global GC Europe Füstmentes Shenzhen Perfect Medical Instruments Listerine TAG Group Jadu Oral Healthy Care Co. Ltd. Diadent Fotona Dr. Volom Dental Sager Dental Curaprox Curasept Endobolt Profimed Radian Dental Ray Wellness Trade Trate DIO Implant Doctor Tools Dent-East Carestream Beijing DPR New Materials Technology Co., Ltd Orange Dental Upcera Pharmabog Owandy, OMS Smilezor Oral-B BioGaia Pi Dental Infodent International Bioloren Xpedent XTCERA Rodentica ADCUltradent Wenson Med Skeema Dental Italia KIÁLLÍTÓ RAKTÁR FREE STORAGE Raktár zárható ajtóval Raktár zárható ajtóval Store with lock on the door Raktár zárható ajtóval Store with lock on the door Store with lock on the door KIÁLLÍTÓ RAKTÁR FREE STORAGE MFHE BlancOne Dent-Art Technik Optikop Gyógylézer DFE Estetik Laser Printing Center Orthotech Dent Foglalj Orvost Sirenex Mindent- Brabex Szakmai továbbképző DentOwl VIP Dental MDE Lizydent ZETA Dental Max Dental Unio EuroVyz Xcem Astado International Dentaltechnika Skhyz Life Sciences Varinex SolarBroker 1 2 3 4 4a 6 7 34 35 36 38 38a 38b 40 41 42 43 44 47 48 49 51 86 87 88 89 94 93 91 90 102 103 104 118 118a 169 169a 175a 175b 175c 170 171 172 173 174 175 165 163 121 122 123 125 126 127 124 92 95 97 98 37 37a 39 50 45 46 46a 96 99 100 101 105 110 108a 111 113 112 120 Herbodent Zhermack, New Dental 137 138 164 L 168 166 115 114 Dentech Dental Rituals 12 2 2,5 116 117 106 109 108 Bluem
VIP Étterem
VIPLounge

kiállítói lista és térkép

Oral-B

Orangedental

Ormco

Orthosera

Orthosmile Kft.

Ortotech-Dent

Osstem

Osstera

Panda Intraorális Szkenner

Patent

Pcb_system Fogászati Szofver

Perfect Endo

Radián Dental

Ray

Realtrade Kft.

Rodentica

Sager Dental Kft.

Sanitaria

Savaria-Dent

Seil Global

Sewon Medix Inc

Sgs Dental

Shenzhen Denco Medical

Shenzhen Xiangtong Co., Ltd

Sic Invent Hungary

Italia

Mindentment Kft.

Miolite Zrt.

Modent

Mungyo Gypsum Korea

New York Dental

Next Dental

Nobel Biocare

Nova Dens Alba

Optikop - Gyógylézer

Pharmabog Kft.

Pharmanext Kft.

Philips Sonicare - Szájápolás

Pi Dental Fogászati Gyártó Zrt.

Plasmapp

Point Implant - Dentideal

Polonus Europa Sp Z O.o.

Pri Dent Italia

Profeta

Profimed

Semmelweis Ignác Ring

Sirenex

Skeema Dental Italia

Skhyz Life Sciences

Smilezor

Smylist Kft.

Solar Broker Kft.

Straumann Group

Sweden & Martina Inc

Szakmai Továbbképző

Tag Grup Srl

Semmelweis Ignác Ring

Trate Instant Implant Kft.

Tri Hawk - Rér Dental

Uniz Technology Llc

Upcera (Upcera Hungary)

Valid Kft.

Varinex 3 D Nyomtatók és 3 D Szkennerek

Veradenta Dental Ltd Sti

Vetro Design Srl

Vip Dental Kft.

Vita

Webdent

Wellness-Trade

Wenson Med Kft.

Wenzhou Amtech Medical Technology Co.,Ltd

Xcem Ltd

Xpedent Austria Gmbh

Zhejiang Yahong Medical Apparatus Co., Ltd.

Zimmer

Zirconiadent Ltd

Zirkonzhan

termekhez IMPLANT SHOW ÉTTEREM RESTAURANT STREET FOOD Dental Lounge Flexi-Dent Kávézó World 2023 kiállítási térkép exhibition
Feljáró a galérián található workshop
map Workshop termek 1-7 Workshop rooms 1-7
Staircase to the workshop rooms
található
termekhez
Büfé Bufet Implantológia Kongresszus Implantology Congress Orthodontia Kongresszus Orthodontics Congress KONFERENCIA TEREM 4 CONFERENCE ROOM 4 KONFERENCIA TEREM
CONFERENCE
BEJÁRAT ENTRANCE BEJÁRAT ENTRANCE BUBORÉK BÁR Alpha Implant Kft. Alpha-Bio BEJÁRAT / ENTRANCE HUNGEXPO Ruhatár Cloakroom Személyzeti ruhatár Cloakroom for staff Jegyek / Tickets Information Information Dental Press Colgate Osstem Hungary Osstem, Ossix Zirconia Dent Dentsply Sirona Panda Scanner Lepio 3D-Davidovics Vatech Highness Implant System Horizon GNI Ortho 12 Dentalcoop Plus Medi-Cont Lacalut Next Dental Carestream, A-Dec, Shining 3D, Kaps Philips Sonicare Fogaszbolt.hu Medentika Pri Dent Italia Vetro Design Dental Flex Italia Orthosera Zimmer Medimecca Ivoclar Vivadent Biotem Plasmapp Co.,Ltd. Bredent Media LabYndetech Orthosmile Miolite Zrt. Dental Tech Advantage-fl UNIZ Technology LLC Creativ Dental Bionika Point Implant Osstera Fireflies Ethoss Mesa Italia Mungyo Gypsum Korea Kerator Sewon Medix Dóm-Dent SGS Dental Nobel Biocare Dentakay FOGADÓ TÉR ENTRANCE AREA BEJÁRATI KAPUK Dental Plus Biohorizons Camlog Dent-East Carestream A-dec Front-Dent 3M, Ankylos Coltene, MIS Front-Dent Guangzhou Riton Additive Technology CO.LTD Polonus Europa Flex-dent BLZ Technology Zhejiang Yahong Medical Apparatus Shenzhen Denco Medical Huanghua Promisee Dental GSK Sensodyne Globdent Align Technology Invisalign iTero exocad Cortex SIC Invent Dokiruha.hu Fejér Fog W&H BioGaia Straumann Group Neodent Dentupgrade Clearcorrect Patent Hungary Realtrade Herna- Dent Featured Style Savaria Dent Veradenta Dental Ormco Valid American Orthodontics Dental Diszkont Interdent Gallax Színpad BTI 23 Pharmanext Információ QR fal szponzor fal térkép térkép térkép Keystone Dental Group Paltop Front-Dent Bardeco Modent LIVE DEMO PCB System Fogászati szoftver 8 9 10 11 16 19 22 20 26 27 28 29 30 31 32 33 52 53 54 55 56 57 58 59 60 23 61 80 73 75 74 81 82 83 84 85 Sanitaria Planmeca Harmonycom IHDE Dental 128 129 130 131 132 177 178 179 180 181 182 183 185 184 141 140 143 142 144 149 154 146 145 158 159 160 151 153 156 157 152 62 64 63 66 65 68 70 71 72 76 79 79a 79b 78 77 69 MEDent Flexi-Dent Cloudent 136 135 Dentium ICX 133 134 Herbodent Zhermack, Bisco New York Dental 162 139 161 147 24 25 21 18 17 15 12 13 14 176 155 Lacalut Lepio
Ltd.
Lizydent Lux Medent
Medentika Medi-Cont Kft. Media Lab -
Medident Italia Medimecca Mediservis Mesa
Feljárat a galérián található workshop termekhez Feljárat a galérián
workshop
Staircase to the workshop rooms
3
ROOM 3
Co.,
Listerine (Kenvue)
Europe Webáruház
Yndetech

Díjmentes élményhelyszínek

ÉLŐ MŰTÉTEK

(Pontos időbeosztás és teljes program a dentalworld.hu oldalon)

Dr. Vojth László: Azonnal terhelhető implantátumokkal végzett, feltárás nélküli, transzgingivális eljárással végzett implantáció, csontminőség függvényében, előzetes CBCT felvételek alapján

Dr. Takács Ildikó: NightLase ® – lézeres horkolás kezelés

Dr. Takács Ildikó: SmoothEye ® – lézeres szemhéj feszítés és ránctalanítás

Dr. Andy Boiangiu: Egy új, forradalmi sinuslift eljárás ami minimalizálja a kockázatot

Dr. Berkei Gábor: Sinus lift és laterális gerinc augmentáció egy időben a kiszámíthatóbb implantációért

Dr. Tálos Marianna: Irányított parodontális regeneráció sticky bone-nal

Katona Zsolt: BlancOne 10 perces rendelői fogfehérítés

LIVE DEMO gyakorlati bemutatók

(Pontos időbeosztás és teljes program a dentalworld.hu oldalon)

Dr. Andrea Franzo: Minimally Invasive Preparation for Posterior Indirect Restorations

Dr. Mile Churlinov: Printing a Donor for Tooth Autotransplantation

Dr. Marco Maiolino: Restoring Black Triangle with Bioclear Matrix

Dr. Maciek Czerwinski: TeflonFloss Technique – The Revolution in Matrix Adaptation

Dr. Michal Ganowicz: Bio-Bulkfill in Practice – Treatment of Deep and Complicated Caries without Root Canal Treatment

Dr. Nuno Pinto: Flash New Wave of Reciprocating

Dr. Ronaldo Hirata: Composite Layering of Front Incisor (Class IV) with Empress Direct

Dr. Arthur Volker: Solutions for Non-Invasive Black Triangle Resolution with Bioclear Matrices and Direct Composite

Dr. Döbrentey Zsolt: II. osztályú üreg direkt restaurálása (matricázástól a barázdafestésig)

Dr. Sárossi Benedek: Digitális fogászati munkafolyamatok - Titánbázis megoldások

Dr. Kútvölgyi Ida: Sebészeti- és lágylézer kezelések a fogszabályozásban

Dr. Maurer-Morvai Bence: Gyakorlati tippek és trükkök a mindennapi kofferdam használathoz

Dr. Radánovics-Deáki Dóra & Dr. Radánovics-Nagy Dániel: A praxis sikerének egyik kulcsa: a felkészült fogászati asszisztens

Domonkos Szilárd: Tippek és trükkök Medit szkennerel

Kajdy Dóra: Azonnal ható, fájdalommentes érzéstelenítés

Békési-Varga Mónika: Szájüregi betegségek innovatív kiegeszítő terápiája probiotikummal. Miért javasoljuk a mindennapos szájvíz helyett a BioGaia Prodentist?”

Nyilassy Ádám: Magyarországra is megérkezett a NEOSS implantátum rendszer

Nyilassy Ádám: Kefalometriai elemzések a Ceph Assistant szoftverrel

Fenyő Márta: A polarizált fényterápia szerepe az implantáció előkészítésében és a beültetést követő szövődmények

megelőzésében

Bardi Erik: Miért fizetnél többet, ha utazhatsz nagykeráron is!

23

Dental World Kongresszusok

3

Vegye meg most kongresszusi jegyét a dentalworld.hu oldalon

Last minute 10% kedvezménnyel!*

kedvezmény
*A
2023. szeptember 30-ig érvényes
ESZTÉTIKA • ENDODONTIA • ORTHODONTIA • IMPLANTOLÓGIA
napos konferenciák:
A háromnapos kongresszusokra érvényes. JEGYEK TÍPUSAI AKCIÓS ÁR TELJES ÁR All access (3 nap) 120 000 Ft 135 000 Ft All access (2 nap) 80 000 Ft 90 000 Ft All access (1 nap) 45 000 Ft 50 000 Ft 1 választott kongresszus (3 nap) esztétika / implantológia / endodontia / orthodontia 80 000 Ft 90 000 Ft 1 választott kongresszus (2 nap) esztétika / implantológia / endodontia / orthodontia 54 000 Ft 60 000 Ft 1 választott kongresszus (1 nap) esztétika / implantológia / endodontia / orthodontia 27 000 Ft 30 000 Ft Digitális Fogászat Kongresszus 25 000 Ft 30 000 Ft Prevenciós, Földvári Imre Kongresszus 20 000 Ft 22 000 Ft Praxismenedzsment Kongresszus 57 200 Ft 63 500 Ft Gálaest 21 500 Ft 28 000 Ft

Flexi-Dent VIR – vállalatirányítás

Vezetői Információs Rendszer: egy rendelő számokban

n Tisztában vagyok-e vele, hogy pontosan milyen gazdasági mutatók, értékek mentén működik a fogászatom? Milyen mutatók alapján hozom meg a döntéseimet, milyen eredmények, milyen értékek alapján nyilvánítok egy időszakot sikeresnek? Honnan tudom, hogy változtatnom kell? Honnan tudom, hogy árat kell emelnem? Honnan tudom, hogy többet kell költenem marketingre? Honnan tudom, hogy egy orvosomat megéri-e foglalkoztatni vagy sem?

Az utóbbi években, különösen a Covid okozta válságmechanizmus után egyre nagyobb jelentősége lett annak, hogy ki mennyire tudatosan irányítja vállalkozását. Az korábban sem volt titok, hogy azok a rendelők prosperálnak a legjobban, ahol a tulajdonos nem csak gyógyító ambíciókkal, hanem komoly közgazdasági kompetenciákkal is bír. De az előttünk álló recessziós időszakban a vállalkozói tudatosságnak még nagyobb lesz a jelentősége, és akinek nincsenek meg a megfelelő menedzsment eszközei, riportjai, nem látja át a saját cégének minden szegletét feketén-fehéren, az akár teljesen perifériára is kerülhet, bezárásra kényszerül.

A Flexi-nél a koronavírus járvány óta dolgozunk egy új modulon, ami néhány hónapja már elérhető. Az általunk VIR-nek rövidített modul a Vezetői Irányítási Rendszer egy ráépülő, opcionális kiegészítője a Flexi-Dent szoftvernek a PRO csomaghoz és onnan felfelé. A kisebb csomagokban sajnos nem jönnek létre azok az adatok, nem kerülnek be az egyszerűbb felhasználhatóság miatt a programba, így azzal nem is tudunk kalkulálni. Ezért csak a nagyobb, összetettebb működésű verziókban elérhető új vezetői csodafegyverünk, a VIR.

Flexiből eddig is sokféle riport és statisztika volt kinyerhető, sőt a rendelők egyedi kérései szerint is állítottunk össze privát lekérdezéseket. Ezek a LITE csomagban is elérhetőek, de ugyanakkor a CRM modulhoz is rengeteg statisztika kapcsolódik az értékesítéssel, ügynöki tevékenységekkel kapcsolatban. Ezek változatlanok, továbbra is az eddigi megszokott módon elérhetőek a szoftverben. Ezek mellé kínál új információkat, sokkal mélyebbre ható, a vállalkozás egészét érintő átfogó elemzést és automatizált számításokat a VIR.

Egy rendelő legalapvetőbb és legjellemzőbb mérőeszköze a „székórabevétel”. És persze a székórakiadás Az angolszász világban ezt chairtime-nak nevezik, alapvető mutató, de Magyarországon alig néhány praxistanácsadó használja a kifejezést. Mindössze pár éve

jellemző, a rendelők nagy többségében pedig nincs nyilvántartva, de még csak időszakosan sem jegyzik tendencia elemzéshez. A székórabevétel azt mutatja meg, hogy a nyitvatartási idő egy órájára vetítve, egy széken mekkora bevételt tud termelni a rendelő. Ha egyetlen mutatóval kellene jellemezni egy rendelőt, akkor ez az egy érték az, ami minden szempontból releváns és egyértelmű jelzője a menedzsment munkának és a profittermelő képességnek, ugyanakkor a VIRben ez csak a hab a tortán.

A Flexi-Dent VIR automatikusan számolja a székórabevételt és -kiadást, automatikusan elkészíti az összes dolgozóra, fogorvosra vonatkozó havi fizetés- és jutalékszámítást, továbbá kezelésekre bontva részletes mutatókat ad arra, hogy melyik tevékenységgel éri meg foglalkozni. Megmutatja, hogy melyik kezelés mennyire éri meg a rendelő számára, és melyek árán kellene változtatni. Azaz pontos képet ad arról, hogy mikor és hogy milyen arányban kellene árat emelnie a rendelőnek a megfelelő működéshez! Sőt, még azt is megmutatja, hogy egy-egy kezelés melyik alkalmazott orvos esetében hogyan alakul a rendelő egészének átlagához képest. Ebből például kön ynyen kirajzolódhat, hogy bizonyos orvosokat érdemes lenne specifikusan foglalkoztatni, mert a munkájuk egyes kezeléseknél nagyon hatékony – azaz magasabb profit arányt tud megtermelni – míg más típusú beavatkozásoknál kevésbé hatékony, esetleg emiatt megközelíti a kezelésre vetítve az üzemi nulla eredményt.

Más mutatók arra is rálátást biztosítanak, hogy milyen arányban fogadtak el kiajánlott kezelési terveket, és az is, hogy az elfogadott tervek összegszerűségben milyen várható cash-flow-t eredményeznek majd. Ez az effektív bevétel predikción kívül azért is lehet fontos, mivel így még kellő időben nyúlhat a menedzsment valamilyen marketing megoldáshoz annak érdekében, hogy gyengébb hónapokat kikorrigáljanak egyedi kampányokkal vagy stratégia váltással.

Flexi automatikusan letölti a költségszámlákat a NAV 3.0 révén, így ma már azzal sem kell időt töltenie a menedzsmentnek, hogy a rendelő költéseit berögzítse a rendszerbe. 24 óra késleltetéssel minden rendelői ún. „céges vásárlás” rögtön láthatóvá válik. Ezeket költség helyekre lehet csoportosítani, amelyeket a szoftver megjegyez. A következő hónaptól a Flexi-Dent automatikusan követni fogja, hogy adott terméket/szolgáltatást vagy adott beszállítót a korábbihoz hasonló módon helyezzen el a költség csoportok között.

Több, mint fogászati szoftver.

20 23. Dental World

A PRF egyszerű és autológ technika, mely segít a sebészeknek a korai sebgyógyulás javításában

Dr. Joseph Choukrounnal beszélgettünk

Tudomásunk szerint a PRF-et kezdetben nem használták a fogászatban. Hogyan kezdte a kutatásait, és hogyan robbant be a PRF-módszer a fogászatba?

A fájdalomklinikámon, fekélyes sebek gyógyításában kezdtem kipróbálni a módszert, és olyan sikereket értünk el nagy kiterjedésű sebeknél is, hogy jobban fókuszálni kezdtem erre a területre. A fogászat, elsősorban a szájsebészet sokféle lehetőséget adott a PRF kipróbálására és továbbfejlesztésére, a különböző állagú (folyékony i-PRF, A-PRF membrán, illetve sticky bone) PRF-készítmények alkalmazására, ami sikeresnek is bizonyult, így gyorsan elterjedt a szakmában.

Mennyire terjedt el az ön rendszere a világban, és milyen tendenciát lát Magyarországon?

A rendszerünket világszerte használják az orvosok. Forgalmunk évente 25%-kal nő. Magyarországon, 2016ban, a Dental World-ön mutattuk be a rendszert, kizárólagos kereskedelmi partnerünkkel, a Harmonycom Kft.-

vel együtt. Két hónap múlva megrendeztük az első budapesti egész napos kurzust, melyet azóta is évi egy kurzus követett. Együttműködésünk töretlenül fejlődik, és portfóliónk is kiegészült a prémium minőségű dél-koreai Purgo cég termékeivel, melyek nagyon eredményesen alkalmazhatóak a PRF-fel. Franciaországban már piacvezetőnek számítanak.

Mi az előnye a PRF használatának a fogászatban? Miért egyedülálló ez a rendszer a többi rendszerrel szemben ezen a területen?

Az előny egyszerűen az, hogy a PRF fokozza a sebgyógyulást. Mind a csontkezelésben, mind a lágyszövetekben. Protokolljaink egyszerűek, ám ajánlásainkat szigorúan be kell tartani a siker érdekében. A vérkészítmények előállítása gyors, és minden szájsebészeti problémára kínál megoldást.

Hogyan fejlődött a PRF rendszer az elmúlt több mint 20 évben, és milyen újdonságokról hallhatunk majd előadásában, az októberi Dental World-ön?

A PRF egyszerű és autológ technika, mely segít a sebészeknek a korai sebgyógyulás javításában. Nemrég bemutattuk az oszteo-immunológia elméletét, ami a csontképződés támogatásáról szólt. A legújabb fejlesztésünk pedig a nyílt sebkezelés technikája. Ezt az új protokollt a keratinizált nyálkahártya növekedésének egyszerűsítésére kísérleteztük ki. Ezt fogom bemutatni a következő Dental World-ön, aki pedig a részletekre is kíváncsi, szeretettel várom budapesti kurzusomra, melyet a Harmonycom Kft. szervez 2023. november 25-re.

Olyan neves szájsebészekkel dolgozik együtt, mint dr. Alain Simonpieri és dr. Jerome Surmenian. Utóbbi szakemberrel egyébként szintén találkozhatunk az idei Dental World-ön. Hogyan alakul velük az együttműködés, ők is részt vesznek a fejlesztésekben?

Igen, ők nagyon tehetséges sebészek, szakértelmükkel járulnak hozzá a sikerekhez. Mindig részt vesznek az új protokollok tökéletesítésében, miután teszteltük azokat a klinikámon.

Önt nagyon karizmatikus előadóként ismertük meg, több egész napos kurzust tartott már Magyarországon. De úgy tudjuk, hogy a lánya, dr. Elisa Choukroun, aki fogorvos, egyre nagyobb szerepet vállal a PRF oktatásában.

Elisával több mint 15 éve dolgozunk együtt. Büszke vagyok arra, hogy a tudományos munkájában sikereket ér el. Természetesen részt vesz a vállalat irányításában és minden új fejlesztésben.

Önök nemrég tartották az éves SYFAC-szimpóziumot Nizzában. Mi

a célja ennek a rendezvénynek, és miért volt érdekes az idén?

Fontosnak tartjuk, hogy rendszeresen biztosítsunk a PRF iránt érdeklődőknek egy olyan fórumot, ahol megismerhetik a rendszert, illetve elmélyíthetik tudásukat, és összevethetik tapasztalataikat más szakemberekkel a világ minden tájáról. Az idei szimpózium központi témája az oszteo-immunológia volt, ami egy új tudományág. Megmutatja, hogy a csont és az immunrendszer nagyon közel áll egymáshoz. Az immunrendszer irányítja a csontképződést és szabályozza a csontfelszívódást. Az immunrendszer támogatásával a csontkezelés új korszakába lépünk.

Hallottuk, hogy a naptára egész évben tele van, fáradhatatlanul járja a világot. Ha van egy kis szabadideje, mivel szereti tölteni?

A szabadidőmet a családommal töltöm legszívesebben. Most már nagyapa is vagyok, ezért képzelhetik, mekkora öröm számomra, ha az unokámmal lehetek!

Dr. Choukroun egész napos PRF mesterkurzusa

PRF és Osteoimmunológia a mindennapi gyakorlatban

PROGRAM

A PRF alapjai: koncepció, összetétel, klinikai alkalmazás

Indikációk: lágyszövet menedzsment, csont augmentáció, alveorális felhasználás

A legújabb PRF-fejlesztések és protokollok: A-PRF, S-PRF, i-PRF, sticky bone, PomPac és PomSwing

A protokollok és az alacsony fordulatszámon történő centrifugálás kapcsolata

Indikációk és az új eszközök alkalmazása: PomPac, PomSwing, PomCol, PomPress

Sticky bone: elkészítés, felhasználás, csontpótlók és a PRF Esetbemutatások: az indikációnak megfelelő protokoll választása

A PRF felhasználása a csont augmentációhoz, sinus liftnél, azonnali terhelésnél

A hosszú távú siker biológiai tényezői:

• Osteoimmunológia, immunerősítés, D-vitamin, koleszterinszint, bioanyagok

Feszülés és nyomás a véredényképződésnél

A PRF-es kudarcok okai

• A lágy-és csontszövet biológiai kezelése

• Periimplantitis és csontveszteség: fiziológiai megközelítés,megelőzés és megoldások

Időpont: 2023. november 25., szombat 08.30–17.30

Helyszín: Budapet Marriott Hotel, 1052 Budapest, Apáczai Csere János u. 4.

Részvételi díj: 265 000 Ft, mely ár tartalmazza a kurzus regisztrációs díját, a teljes ellátást és a 27% áfát

Bővebb információ: Harmonycom Kft., 06-30-942-7560, dental@harmonycom.hu, www.harmonycom.hu

22 23. Dental World
A Dental World ideje alatt történő jelentkezéskor a regisztrációs díj árából 5% KEDVEZMÉNYT ADUNK!

Bioreaktor-alapú rekonstruált humán szájhám

modell kifejlesztése a Na-DNS szájöblítő

oldatok szájüregi lágyszövetekre gyakorolt

hatásának in vitro vizsgálatára

Bevezetés

A jó szájhigiénia fenntartása nagyon fontos kérdés a mindennapi életben és különösen a fogászati kezelések során. Bár a száj- és fogászati egészség javát szolgáló készítmények és receptek már legalább 6000 éve léteznek, a ,,szájhigiéniai termékek” kifejezés viszonylag új keletű [1]. Mindezen időszak alatt ugyanis úgy tűnt, hogy a legtöbb fogkrémet és szájvizet kozmetikai okokból, többek között fogtisztítás/fehérítés és leheletfrissítés céljából fogalmazták meg, nem pedig orvosi okokból, például a fogászati és fogágybetegségek és a lágyrészek gyógyulásának ellenőrzésére [2]. Tekintettel a szájvizek és fogkrémek könnyű használhatóságára, ezek ideális hordozói a bioaktív/biocid hatóanyagoknak [3].

Antibakteriális aktivitása miatt a klórhexidin (CHX) a legfőbb szer, amely képes megakadályozni a plakk kialakulását [4,5], és a legtöbbet vizsgált és felírt készítmény. In vitro vizsgálatok bizonyították, hogy alacsony CHX-koncentrációk károsíthatják a baktériumsejtek membránjait, míg a magas koncentrációk a citoplazmatikus fehérjék kicsapódását és koagulációját okozzák [5]. A CHX hatékonysága baktériumokkal, mikétákkal és vírusokkal szemben széles körben ismert [4], valamint a fogstruktúrákhoz és a szájhámhoz való szilárd adszorpciós képessége (szubsztantivitás) [6].

A nátrium-DNS (NaDNS) egy viszonylag új, biológiailag aktív, funkcionális vegyület. Hím tokfélék gonádszövetéből kivont, tisztított, depolimerizált és nátriumionokkal semlegesített natív dezoxiribonukleinsav alkotja. Az NaDNS-molekula pinocitózison keresztül juthat be a sejtekbe, és a azokba kerülve a nukleotidok szerkezeti alapként szolgálnak a nukleinsav és az alacsony molekulatömegű kofaktorok bioszintéziséhez. Az ilyen tevékenység eredménye a citokinek és növekedési faktorok szintézisével kapcsolatos javító hatás a stressz vagy anyagcsere-változás alatt álló sejtekben [7–9]. Kevés adat áll azonban rendelkezésre a viselkedéséről mind in vitro, mind állati vagy klinikai szempontból.

Az in vitro vizsgálatok szempontjából az adatok főként monolayer kultúrákon végzett kísérletekből származnak [7–11]. Ezt a fajta kísérleti elrendezést általában érzékeny módszerként ismerik el egy vegyület regenerációs potenciáljának vizsgálatára egy citotoxikus kihívást követően [12,13]. A monolayer sejtkultúra modellek azonban nem

adnak reális megközelítést a természetes szövetek összetett kémiai és fizikai mikrokörnyezetéhez. Ráadásul a szöveti sejtek állandó kommunikációban állnak egymással, és a környező mikrokörnyezet változásai alapján modulálják saját viselkedésüket [14–18].

Jelen vizsgálat célja annak vizsgálata volt, hogy a CHX-tartalmú szájvizek készítményében a Na-DNS jelenléte befolyásolja-e a ROE morfológiáját és életképességét. A nullhipotézisek a következők voltak: (i) a Na-DNS nem befolyásolja a ROE morfológiáját és életképességét, és (ii) a Na-DNS nem változtatja meg a ROE válaszát a 0,2%-os CHX szájöblítővel való érintkezésre.

Anyagok és módszerek

Reagensek

Az ebben a vizsgálatban használt reagenseket, táptalajokat és egyszer használatos eszközöket a Merck-től (E.Merck AG, Darmstadt, Németország) szereztük be. A 0,5 cm²-es ROE-mintákat (SkinEthic HOE™/ Human Oral Epithelium) az EPISKIN-től (EPISKIN, Lyon Cedex 7, Franciaország) szereztük be. A NaDNS-t (Kalinat ® AW) a KALICHEM-től (Kalichem, Brescia, Olaszország) szereztük be. A következő, tartósítószert nem tartalmazó szájöblítő oldatokat vizsgáltuk:

A. 0,2% CHX-tartalmú szájöblítő (pozitív kontroll);

B. 0,2% CHX-tartalmú szájöblítő + NaDNS (teszt);

C. NaDNS (teszt);

D. Foszfáttal pufferelt sóoldat (PBS, negatív kontroll).

A szájöblítő oldatokat azonos lombikokba helyeztük, amelyeket A-tól D-ig betűrendben kódoltunk, biztosítva, hogy a kísérletezők vakok legyenek az oldatok összetételét vagy hatását illetően.

Rekonstruált emberi szájhám (ROE)

A vizsgálathoz összesen 32 ROE-mintát használtak fel. A laboratóriumba érkezéskor a ROE-mintákat tartalmazó zsákokat steril légáramú elszívó alatt bontották fel. A mintákat agaróz-tápanyag szállítóközeget tartalmazó 24 lyukú lemezekben szállították. A mintákat kivették a szállítólemezekből, és eltávolították az agarózt. Ezután a mintákat 6 lyukú tányérokba helyeztük tápközeggel (RPMI 1640 tápközeg, 20% magzati szarvasmarhaszérummal, 1% L-glutaminnal és 1% penicillinnel/streptomicinnel kiegészítve). A vizsgálat előtt a tenyésztőlemezeket egy éjszakán át 37 °C-on, 5%-os

CO 2-koncentrációban és telített páratartalom mellett inkubáltuk.

Bioreaktor

A vizsgálathoz egy módosított cseppfolyós bioreaktort (MDFR) használtak. A készülék a kereskedelmi forgalomban kapható csepegtető-áramlásos reaktor (DFR 110; BioSurface Technologies, Bozeman, MT, USA) módosítása. A módosított kialakítás lehetővé tette egyedi tálcák elhelyezését az áramlási cellák alján, és a ROE mintáknak a környező áramló közegbe való merítését [19,20]. Ez lehetővé tette a tápközeg folyamatos áramlási sebességgel történő használatát.

A mintákat steril szikével és csipesszel kivágták a hordozójukból, és nyolc, egyenként négy lyukkal ellátott, politejsavból készült tálcába (PTFE) helyezték, amelyek rögzítették őket, és felületüket kitették az áramlási közegnek. Minden tálcát két párhuzamosan futó MDFR áramlási kamrájának aljára rögzítettünk, és azonnal beoltottuk friss tápközeggel. Az MDFR-t 37 °C-on, 5% CO 2 és 100% relatív páratartalom mellett működő inkubátorba helyeztük. Ezután egy többcsatornás, számítógéppel vezérelt perisztaltikus szivattyút (RP-1; Rainin, Emeryville, CA, USA) kapcsoltak be, és ezzel biztosították a tápközeg állandó áramlását az áramlási cellákon keresztül. Az áramlási sebességet 9,6 ml/h-ra állítottuk be.

Vizsgálati eljárások További 24 óra elteltével a szivat ytyút leállítottuk, és négy áramlási cellát kezeltünk a vizsgált szájöblítő oldatokkal (A, B, C vagy D), minden áramlási cellához egyet (10 ml). Minden egyes áramlási cellában két mintát 5 percig, a másik kettőt pedig 30 percig kezeltünk úgy, hogy a bioreaktort 25 percig döntöttük oly módon, hogy az oldat teljesen befedje az alsó két mintát, majd a maradék 5 percre ismét vízszintes helyzetbe állítottuk, hogy mind a négy mintát befedje. A fennmaradó négy áramlási sejtet először 3 térfogat%-os H 2 O 2 oldattal kezeltük 1 percig, hogy magas oxidatív stresszt és sejtkárosodást idézzünk elő, majd a mintákat 1 percig alaposan átöblítettük steril PBS-szel, és az áramlási sejteket a korábban megadott módon kezeltük a vizsgált szájöblítő oldatokkal. Ismét minden egyes áramlási cellában két mintát kezeltünk a szájöblítő oldatokkal 5 percig, a másik kettőt pedig 30 percig.

Ezt követően a szivattyút ismét bekapcsoltuk a szájöblítő oldatok 60 percre történő kimosása céljából, majd az összes ROE-mintát kivettük az áramlási cellákból, steril szike és csipesz segítségével azonnal 4 egyenlő részre vágtuk, és az alábbiak szerint dolgoztuk fel.

A minták értékelése Az egyes szájöblítéses kezelésekből és az értékelésből származó ROE-mintákat MTT életképességi vizsgálatnak (n=4), konfokális lézerpásztázó mikroszkópiás (CLSM) képalkotásnak (n=2) és szövettani értékelésnek (n=2) vetettük alá opti -

Eredmények

MTT-teszt

Az MTT-vizsgálat eredményei az 1. ábrán láthatók. A szájöblítő oldatokkal történő 5 perces kezelés után meglepő módon a C oldattal kezelt minták életképességének jelentős csökkenése volt megfigyelhető a B oldattal szemben. A negatív kontrollhoz (D oldat) képest nem volt jelentős változás az oldatok életképességében. A ROE minták 30 perces szájöblítő oldatokkal történő kezelése a C oldat által az életképesség jelentős csökkenését eredményezte a klórhexidint tartalmazó oldatokkal szemben.

1.ábra: Életképes és metabolikusan aktív ROE sejtek. Az optikai sűrűség mértékegységek (átlagok +/– 1 standard hiba) vannak feltüntetve. Az egyes kezelési időpontok esetében a különböző feliratos betűk a szájöblítő csoportok közötti statisztikailag szignifikáns különbségeket jelzik (nemparametrikus Wilcoxon-teszt, p<0,05).

kai mikroszkópia és transzmissziós elektronmikroszkópiás (TEM) képalkotás segítségével.

A sejtek túlélését MTT életképességi teszttel értékeltük [19,21]. A CLSM képalkotást élő/halott festéssel végeztük az irodalomban korábban leírtak szerint [22]. Röviden, a CLSM-megfigyeléseknek alávetett ROE-mintákat a LIVE/DEAD® Viability Kit for microscopy (Invitrogen Ltd., Paisley, UK) segítségével festettük meg. Az élő festett sejtek fluoreszcenciáját CLSM (Eclipse Ti2 invertált CLSM, Nikon, Tokió, Japán) segítségével figyeltük meg. A szövettani elemzésre kerülő ROE-mintákat egy éjszakán át frissen készített Karnovsky-oldatban (2,0 % paraformaldehid, 2,0 % glutaraldehid 0,1 M nátrium-kakodilát pufferben) fixáltuk.

Statisztikai elemzés

Az MTT-vizsgálat adatállományát előzetesen ellenőriztük az eloszlás normalitása (Shapiro-Wilk teszt) és homoszkedaszticitása (Levene teszt) szempontjából. Mivel az adatok még log-transzformáció után sem voltak normális eloszlásúak, nemparametrikus elemzést végeztünk Wilcoxon-teszt segítségével (p<0,05).

A 3 vol% H 2 O 2-vel történő kezelés nem meglepő módon az életképesség általános csökkenéséhez vezetett. A szájöblítő oldatokkal 5 percig kezelt minták azonban szignifikánsan magasabb életképességet mutattak az A oldattal történő kezelés után, mint a B oldattal. 30 perc szájöblítő oldatokkal történő kezelés után mind az A, mind a B oldattal kezelt mintáknál szignifikánsan magasabb életképesség volt kimutatható a C és D oldatokhoz képest, amely arra utal, hogy a klórhexidin befolyásolja a sejtek MTT-tesztre adott válaszát. A C oldat szignifikánsan magasabb életképességet idézett elő, mint a D oldat, amely a NaDNS sejtek életképességére gyakorolt szignifikáns, pozitív hatására utal.

A klórhexidint tartalmazó szájöblítő oldatok által mutatott váratlan, nagyobb tetrazolium-redukció valószínűleg magának a klórhexidinnek a hatására vezethető vissza. Erről ugyanis először Lindhe és munkatársai számoltak be [24], akik megfigyelték, hogy a klórhexidinnel kezelt nyálkahártya a kontrollnyálkahártyához képest magasabb és szubsztrátfüggetlen formazán lerakódást okozott, különösen a klórhexidin alkalmazását követő első órában.

23 23. Dental World

2. ábra: A ROE minták CLSM 3D rekonstrukciói és maximális intenzitású vetületei a szájöblítő oldatokkal történő 30 perces kezelés után. Az egyes képbetűk a megfelelő szájöblítő kezelésre utalnak.

1. eset: 3. stádiumú, 2-es fokozatú parodontitis.

3. ábra: A ROE minták CLSM 3D rekonstrukciói és maximális intenzitású vetületei 1 perc H2O2-vel történő kezelés, majd 30 perc szájöblítő oldatokkal történő kezelés után. Az egyes képbetűk a megfelelő szájöblítő kezelésre utalnak.

Kezdeti helyzet: erős gyulladás, spontán vérzés és rágási fájdalom.

Plakkot feltáró gél: vörös plakk< 48 h, kék plakk > 48 h.

4. ábra: A ROE minták félvékony metszetei a szájöblítő oldatokkal történő 30 perces kezelés után. Az egyes képbetűk a megfelelő szájöblítő kezelésre utalnak.

Páciens professzionális fogtisztítás után. Az ínygyulladás nyilvánvaló. Klórhexidin elszíneződés-gátló rendszerrel és nátrium-DNS-szel (PDRN) naponta kétszer 7 napig.

Klinikai helyzet 3 napos kezelés után.

NaDNS segített a sejtkárosodás minimalizálásában. A C szájöblítővel (csak NaDNS) kezelt minták mutatták a sejtdegeneráció legkevesebb jelét.

Következtetések Összefoglalva, a NaDNS egyértelmű védőhatást mutatott az oxidatív stressz és részben a klórhexidintartalmú szájöblítő oldatoknak való kitettség okozta sejtdegenerációval szemben.

5. ábra: A ROE minták félvékony metszetei 1 perces H2O2-kezelés, majd 30 perces szájöblítő oldatokkal történő kezelés után. Az egyes képbetűk a megfelelő szájöblítő kezelésre utalnak.

CLSM megfigyelések

A szájöblítő oldatokkal történő 5 perces kezelés után kapott konfokális mikroszkópos rekonstrukciók nem mutattak különbséget a csoportok között. A 30 perces kezelést követő minták rekonstrukciói a 2. ábrán (kezeletlen minták) és a 3. ábrán (1 perces H 2 O 2 kezelést követő minták) láthatók.

Az A és kisebb mértékben a B szájöblítő oldattal kezelt minták még a hidrogén-peroxidnak kitett mintákban is jól megőrizték a sejtek szerkezetét. A sejtek közötti határok azonban egyértelműen azonosíthatóak voltak, amely azt jelenti, hogy a sejtek közötti kapcsolódási pontok lazán össze voltak húzva. A negatív kontrollminták (D) elhalt sejtek jelenlétét mutatták a felszínen, és a hidrogén-peroxidos kezelés után a felszínen egy szinte teljesen elhalt sejtekből álló réteg volt azonosítható. A NaDNS-szel kezelt minták (C oldat) a negatív kontrollhoz képest sokkal kevesebb elhalt sejtet mutattak mind hidrogén-peroxidos kezelés nélkül, mind annak jelenlétében.

A szövettani értékelés

A szájöblítő oldatokkal történő 5 perces kezelés után kapott ROE szö -

vet félvékony metszetek (0,5 µm) nem mutattak különbséget a csoportok között. A 30 perces kezelést követő minták metszetei a 4. ábrán (kezeletlen minták) és az 5. ábrán (1 perces H 2 O 2 kezelést követő minták) láthatók.

A hamisítatlan mintákat tekintve a negatív kontroll (D) a szöveti struktúrák teljes megőrzését mutatta. Az

A és kisebb mértékben a B szájöblítő oldattal kezelt minták mind a legkülső, mind a bazális sejtrétegekben a sejtek szerkezetének olyan elváltozásait mutatták, mint a vakuolizáció, a degenerált sejtmag és a sejt közötti terek kezdeti megnagyobbodása. Ezek az elváltozások a klórhexidin aktivitásának tulajdoníthatók.

A NaDNS hozzáadása a klórhexidin szájöblítőhöz valóban kevésbé intenzív sejtszerkezeti változásokat mutatott, mint a csak klórhexidint tartalmazó szájöblítő. A C szájöblítő oldattal kezelt minták ugyanezeket az elváltozásokat mutatták, de az első sejtrétegre korlátozódva. A hidrogén-peroxidos kezelés a várakozásoknak megfelelően kiterjedt károsodást mutatott a ROE sejteken, mint például kifejezett vakuolizációt, degenerált sejtmagot és a sejt közötti terek megnagyobbodását. Ezek az

Klinikai helyzet a kezelés 7 napja után.

elváltozások a negatív kontrollal (D) és az A szájöblítő oldattal (csak klórhexidin) kezelt mintákban voltak a legszembetűnőbbek. A B szájöblítő oldattal kezelt mintákban néhány

degenerációs jeleket nem mutató sejt a legbelső rétegekben található, ahol valószínűleg védettebbek voltak a hidrogén-peroxid által generált reaktív oxigénfajoktól, és ahol a

2. eset: 2. stádiumú parodontitis, 2. fokozat.

Dr. Matteo Basso (Olaszország)

A hivatkozott irodalomjegyzék listája szerkesztőségünkben elérhető.

Kezdeti helyzet: fogkőlerakódás, vérzés a szondázáskor, 1. fokú mobilitás.

Professzionális fogtisztítás és szájhigiéniai utasítások.

Látogatások 2 hónap elteltével: a fogkőképződés még mindig nyilvánvaló, újabb professzionális fogtisztítást tervezünk.

A plakk preprocedurális feltárása történik.

Helyzet közvetlenül a második professzionális fogtisztítás után. Klorhedin AntiDiscoloration System, Sodium DNA és Hyaluronsav rendszerrel naponta kétszer, 7 napon keresztül.

Klinikai helyzet 7 nap után.

24 23. Dental World

A DIGITÁLIS SZABADSÁG VILÁGÁBAN!

A 10 éves Alpha Implant Kft. a hagyományos munkafolyamatok mellet a digitális workflow minden lépésére megoldást kínál. A digitális technika fejlődése a fogászati piacon is egyre nagyobb teret hódít. Ebben nyújt

segítséget a 6 lépésből álló Alpha Digital Workflow, amely az intraorál scanneléstől a kész fogmű behelyezéséig terjed. Ne zárja magát keretek közé, lépjen az Alpha Implant Kft.-vel a Digitális Szabadság Világába!

ÜDVÖZÖLJÜK
IMPLANTÁTUM IRÁNYÍTOTT SEBÉSZET
INTRAORAL SCANNER
+36 1 353 9090 | info@alphaimplant.hu | www.alphaimplant.hu
CIRKON TÖMB PROTETIKAI FELÉPÍTMÉNYEK
3D NYOMTATÓ REGIONÁLIS KÉPVISELŐ:

PANDA Smart: új szintre lép az intraorális szkennelés

A modern technológia állandó an fejlődik, és most egy újabb lenyűgöző eszközzel gazdago dik az európai fogászati piac: bemutatkozik a PANDA Smart intraorális szkenner. Magyar országon először! Ez az innova tív eszköz forradalmasíthatja a fogorvosi kezeléseket, miközben a pácienseknek is kényelmesebbé és kellemesebbé teszi a fogászati viziteket. A PANDA Hungary csapata most elárulja, miért is érdemes az esz köz mellett dönteni.

Miben különbözik a PANDA Smart más konkurens eszközöktől?

Az új szkennerrel a lenyomatvétel ult ragyorsan és pontosan történik: egy teljes fogsor 7 qm precizitású szken neléséhez – egy kis gyakorlással – 1-2 perc szükséges. Emellett a PANDA Smart kisebb és könnyebb, mint ver senytársai, súlya csupán 138 gramm. Ez jóval megkönnyíti az eszköz egész napos használatát.

Miért különleges a PANDA szkenner?

A kérdés inkább miért nem. Az eszköz eszméletlenül halk az automatizált „csendes hűtés” funkciónak köszönhetően. Használatához nincs szükség adapterre, egyszerűen összeköthető a vele kompatibilis laptopos állvánnyal, így akár érintőképernyőn is követhető a lenyomatvétel.

Az elmondottak alapján a PANDA Smart egy igazán hatékony és kiemelkedő szkenner. Mit kell tudni a márka hátteréről?

A terméket gyártó cég, a Panda Scanner ma már a világ összes kontinensén, 80 országában jelen van, és több mint 10 000 eladott szkennerrel büszkélkedhet. A brand két terméke, a PANDA P3 és a Panda Smart Magyarországon az idei évben került bemutatásra cégünk, az Andersen Medical Kft. kizárólagos forgalmazásában.

Tehát az érdeklődők két modell közül választhatnak?

Így van. A jelenleg promotált termékek a Panda P3 és a Panda Smart. A P3-as modell egy 15 qm pontosságú, 228 g súlyú szkenner, míg a Smart az egyik legvékonyabb és legprecízebb eszköz a piacon. Mindkét modell autoklávozható fejjel és páramentesítő rendszerrel rendelkezik. A szkennerek egyetlen gombbal vezérelhetők, illetve a beépített giroszkópos érzékelőnek köszönhetően a beszkennelt lenyomat a képernyőn megjelenítve mozgatható, így azt más szögekből is könnyedén meg tudjuk tekinteni. A Panda Smart ráadásul hat különböző színben elérhető, így nem csak segédeszközként, de design elemként is funkcionál a rendelőben.

Milyen áron és feltételekkel vásárolhatók meg a szkennerek?

A szkennerek megvásárlására több lehetőség is van. A Panda P3 egy összegben megvásárolva 3 490 000, míg a Panda Smart bevezető ára 4 990 000 Forint. A termék kiválasztása után akár havi díjszabás is elérhető 36, 48 vagy 60

a P3-as szkenner akár havi 80.000, a Smart pedig havi 90.000 Forintért megvásárolható. Jól tudjuk, ez nem egy kis beruházás, éppen ezért a vásárlást megelőzően lehetőséget biztosítunk a termék megismerésére, illetőleg 5 napos ingyenes tesztelésére.

Találkozz velünk és a PANDA szkennerrel a Dental World standunknál!

Dentalcoop Plus Kft. – értékesítés és szerviz egy helyen

Kibővített szolgáltatások 4/2009. (III. 17.) EüM rendeletben szereplő orvostechnikai eszközök kötelező felülvizsgálata terén 2019 óta dolgozunk. Rendelkezünk a szükséges engedélyekkel és képzésekkel, hogy biztosítsuk a megfelelő minőségi ellenőrzést és felülvizsgálatot. Cégünk a következő orvostechnikai eszközök felülvizsgálatát végezheti: – fogászati röntgenek (intraorális és panorámaröntgenek); sterilizáló berendezéseken belül: gőzsterilizátorok és hőlégsterilizátorok; valamint mennyezeti/műtőlámpák.

Továbbá 2023. május 26. óta tovább bővítettük szolgáltatásainkat a fogászati kezelő -

egységek felülvizsgálatával. Így minden olyan fogászati rendelőt segítünk, amelynek fontos a biztonság és a magas színvonalú kezelés.

Cégünk büszkén képviseli a Stern Weber, MyRay, Cattani, Nouvag, NSK termékeket. Standunkon a vásárlóink választ kaphatnak minden kérdésükre és betekintést nyerhetnek az általunk kínált legújabb innovációkba.

Ne habozzon kapcsolatba lépni velünk, ha további információra vagy szolgáltatásainkra van szüksége. Dentalcoop Plus Kft. mindig itt van, hogy támogassa a fogászati rendelőket és a fogászati szakembereket.

n Cégünk több mint 15 éve elkötelezett hírnevének fenntartásában és folyamatosan bővülő szolgáltatásaival szolgálja ki a fogászati szektor igényeit.

Szakértői szervizelés és alkatrészellátás

Szakértői szervizelési és karbantartási szolgáltatásokat is kínálunk ügyfeleinknek. A cégünk által képzett szakemberek biztosítják, hogy a fogászati berendezések mindig tökéletesen működjenek.

Az ügyfeleink nyugodt szívvel használhatják a felszereléseiket, mivel rendszeres karbantartásukról és javításaikról gondoskodunk.

A szervizeléshez szükséges alkatrészek széles választékával és gyors javítási folyamattal rendelkezünk. Számos elismert kézidarabo -

kat gyártó cég márkaszerviz tevékenységét is ellátjuk, és a hozzánk küldött kézidarabokat postafordultával javítva visszaküldjük.

Cégünk nemcsak fogászati berendezések szervizelésével foglalkozik, hanem fogászati berendezések értékesítésével is. Partnereink számára kínálunk minőségi termékeket, mint például a Cefla S.C. Európa egyik legnagyobb fogászati szék gyártójának márkáit a Stern Weber, valamint a röntgenberendezések területén MyRay márkát, amelyek a fogászati szakma vezető választásai. Az évtizedek során kiépített kapcsolatainknak és tapasztalatainknak köszönhetően biztosítjuk, hogy minden fogászati klinika a legújabb technológiával legyen felszerelve. Immáron Kavo kezelőegység helyére kiállás áthelyezése nélkül üzembehelyezhető Stern Weber kezelőegység.

26
A részletekért látogass el a www.pandaszkenner.hu weboldalra.

A magabiztos mosolygás nem csak álom!

Vágj bele a láthatatlan fogszabályozásba

és mosolyogj bátran!

Mosolyogj felszabadultan!

Hogy mi szól a ClearCorrect mellett?

kényelmes

hatékony

víztisztán áttetsző, vagyis

teljesen láthatatlan

fémmentes

könnyű tisztítani

Láthatatlan Egyszerű használat Kényelmes
Látogasson el weblapunkra a QR kód segítségével ACC017/it/00 04/19

Eighteeth Helios 600, az egyik legjobb választás!

A Helios 600 az egyik legújabb és legfejlettebb szkenner a piacon. A gyártó célja a termékkel az volt, hogy egy megfizethető, ám a piacon tudásban kiemelkedő okoseszközt fejlesszen ki. A szkenner lenyűgöző sebességgel rendelkezik, egy teljes alsó vagy felső ívű szkennelést nagyjából 30-35 másodperc alatt végez el. Technológiai sajátossága mellett, az eszközt álom kezelni. A fejlesztők úgy alkották meg, hogy ergonómikusan és kényelmesen a fogorvos szakember kezébe illeszkedjen. Súlya mindössze 198 gramm, valamint csatlakozó kábele is jóval könnyebb és vékonyabb, mint a legtöbb szkenneré, így nehezebben is akad bele az ember kezébe vagy ruhájába. Az eszköz ultrakönnyűsége így megakadályozza a kéz gyors fáradását munka közben, ami lényeges szempont a szakemberek számára, hiszen csökkentheti a különböző reumatológiai problémák kialakulásának a lehetőségét. A Helios 600 pontosság tekintetében is kiemelkedik a piacon, mindössze 20µm eltéréssel büszkélkedhet az in vivo teljes ívszkennelésben. Fix fókusz mellett mélységélessége 15 mm, illetve 16 mm x

14 mm-es látómezővel rendelkezik, így nem kell külön a scannelés távolságát beállítani. Beépített ventilátora megakadályozza a szellemkép és a párásodás létrejöttét.

Sokan aggódnak, hogy az újabb és újabb okoseszközök használatához magasabb szintű IT ismeretek szükségesek, de az eszköz szoftvere erre rácáfol, egyszerűen és érthetően vezet minket végig a folyamatokon, így bárki számára használhatóvá teszi az eszköz alkalmazását.

HYPERLIGHT EGYKEZES RÖNTGEN

A kényelem, a praktikum és a professzionalitás mellett a szoftver intelligens algoritmusokkal felszerelt, ami élvezetessé is teszi az egész szkennelési folyamatot. Probléma előfordulására hangjelzés hívja fel figyelmünket, korrekciót követően a szkenner kiemelkedően gyorsan visszatalál a kívánt pozícióba, lehetőséget adva egy adott terület újra szkennelésére és így végül hibamentes képet kaphatunk. A Helios 600 egyik különlegessége, hogy a folyamat végén valósághű képet ad vissza. Ez az adottsága abból is adódik, hogy 3D videó alapú szkennelési és automatikus 3D illesztési technológiával rendelkezik, amely gyors és pontos folyamatos leképzést eredményez és színes vagy monokromatikus megjelenítésre is képes a rendszer. A műveletsort végül a mesterséges intelligencia segítségével a szoftver összehangolja és finomítja, ez azért is fontos, mert a folyamatok között nincs betöltési és hosszú gondolkodási szakasz, mindent a legvégén finomít és illeszt össze az eszköz. Ugyanez az AI képes megkülönböztetni a mozgó és a fix lágy szöveteket a fogaktól, pontosabbá és gördülékenyebbé varázsolva a szkennelést. A leképzett képre tökéletesen lehet dolgozni a CAD szoftverekkel, a széleket és az illeszkedéseket tűpontosan adja vissza, így a technikusnak profes zszionális munkát biztosít a restaurációk elkészítéséhez. A szkenner automatikusan végzi a kalibrációt, a felhaszná lónak erre nem kell k ülön figyelmet fordítania. Az illeszt őszoftvernek köszönhet ő en a szkennelést bármely ponton elkezdhetjük és abba is hagyhatjuk, majd ugyanarról a pontról folytathatjuk

Az Eighteeth Hyperlight könnyű, gyors, egyszerűen kezelhető

Mindössze 0,4mm-es fókuszpontjának köszönhetően tűéles, pontos, magas felbontású röntgenfelvételeket készíthetünk vele

Ergonomikus kialakítása lehetővé teszi, hogy egy kézzel kezeljük, miközben nem kötünk kompromisszumot a biztonságban sem

Fókuszpont: 0,4mm

Súly: 1,8 kg

Expozíciós idő: 0,02-2 mp

@volomshop

a munkát, hiszen a program mesterséges intelligenciája hihetetlenül gyorsan és pontosan visszatalál. Hibás szkennelés esetén a program zöld ráfestéssel jelez számunkra, hogy érdemes az adott területet újraszkennelnünk, ez nagymértékben megakadályozza a későbbi és lehetséges rossz leképzésből adódó fogtechnikusi hibákat. A szkennelési folyamat végeztével a program a

lágy r észeket automatikusan levágja a képről, az esetlegesen be nem szkennelt apró és hiányos ter ületeket a rendszer automatikusan kitölti számunkra. A szkenner általános fogorvosi felhasználása mellett orthodonciai, restaurat í v és implant ációs szkennelésre is alkalmas. Fájlrendszere teljesen nyitott, könnyen kiexportálható STL. és PLY. formá tumban dolgozik, mely lehetővé teszi a legtöbb tervező és CAD szoftver számára a használatot. Egy extra belső akkumulátorral rendelkezik, ennek köszönhetően nincsenek szakadások a scannelésben, így kiemelkedően jó a tükör párátlanítása, valamint a konnektor helyett egy egyszerű USB portról is használható.

A csomag részét képezi az a lehetőség is, hogy az Eighteeth a Helios 600 elkészült scanneléseit a Helios alkalmazáson vagy weboldalon keresztül bárhol elérhetővé és hozzáférhetővé teszi felhőalapú szolgáltatásán. Természetesen nem mehetünk el amellett sem, hogy az okoseszközt HD kameraként is használhatjuk, így „kettő az egyben” eszközzé válik a termék. Összegezve: a Helios 600 -as szkenner egy lenyűgözően erős és intelligens eszközt ad a kezünkbe, tudása a 21. században szinte kötelező eszközzé teszi az intraorál szkenner használatát a rendelőben. Gazdaságos ára komoly lehetőséget ad számunkra a digitális fogászatba való belépéshez. A termékhez a hazai kereskedő, a Dr. Volom Shop akár egynapos szakképzést is biztosítani tud, valamint saját hazai szervizszolgáltatást biztosít, ami még vonzóbbá teszi a piacon a Helios 600 -at.

28 23. Dental World
www volomshop com • shop@volomshop com • 06-30-520-2000
T E R M É K I N F O
899 990 FORINT

Empowering

KIZÁRÓLAGOS MAGYARORSZÁGI FORGALMAZÓ alphaimplant.hu powered by TM Launch!
Immediacy
Predictability and Performance in

Lépjen be a digitális fogászat korszakába

A Semmelweis Egyetem Digitális Mukacsoportjának felmérésében az Aoralscan 3 az egyik legpontosabbnak, illetve az abszolút leggyorsabbnak bizonyult. A visszajelzések alapján pedig a kezdő felhasználók már az első alkalmak során is gyorsabban tudnak lenyomatot rögzíteni, mint korábban analóg módon. További visszajelzés, hogy elmondásuk szerint a felhasználók

egy ilyen készülék lízingdíját, így a rendelőnek nem jelent érdemi többletráfordítást a digitalizációra történő átállás.

Az Aoralscan 3 WL vezeték nélküli készülék lehetővé teszi a részletes 3D adatok zökkenőmentes rögzítését, szilárd alapot biztosítva a precíziós restaurációkhoz, a fogszabályozáshoz és az implantológiához.

tokat és időt takarítva meg.

A nyomtatók különböző fogászati anyagokkal kompatibilisek, rugalmasságot és optimális esztétikát biztosítva. Költséghatékonyságot kínálnak a munkaerő- és anyagköltségek csökkentésével. Az egyszerűsített digitális munkafolyamat javítja a kommunikációt és az együttműködést. Ezek a sokoldalú és skálázható megoldások lehetővé teszik a fogá -

A mai gyorsan változó világban a fogászati terület forradalmi átalakuláson megy keresztül a digitalizáció felé. Ennek a változásnak az elsajátítása számos lehetőséget nyit meg a fogorvosok és laboratóriumok számára egyaránt. A Shining 3D Dental, a digitális fogászati megoldások vezető globális szolgáltatója e digitális forradalom élvonalában áll és a fogászati szakembereket élvonalbeli technológiával ruházza fel. Az új, vezeték nélküli Aoralscan 3 intraorális szkennerrel, a MetiSmile face scanner-rel és a legmodernebb 3D nyomtatási megoldásaival a Shining 3D Dental világszerte újradefiniálja a fogászatot.

Az Aoralscan 3 Wireless készülék megváltoztatja az intraorális szkennelés élményét. A mesterséges intelligencia igénybevételével páratlan pontosságot, hatékonyságot és páciens kényelmet kínál a fogászati szakembereknek. A hagyományos lenyomatanyagok szükségtelenné tételével ez a fejlett készülék racionalizálja a szkennelési folyamatot, csökkentve a székben töltött időt és javítva a páciensek általános élményét. A vezeték nélküli funkció további kényelmet biztosít, lehetővé téve a felhasználóknak, hogy szabadon mozoghassanak a rendelőben anélkül, hogy a számítógéphez lennének kötve.

A

Bevezető ár: br. 4 999 000 Ft-tól Wireless vagy vezetékes változat Világszerte > 10.000 eladott darab

MetiSmile

Face Scanner

Automatikus intraorális lenyomat beillesztés. Ortho szimuláció; anatómiai analízis. Mandibuláris mozgáspálya mérés.

Bevezető ár: br. 2 499 000 Ft-tól

érdemben nem használnak lenyomatvételi anyagot. Az ezzel járó költségek megszűnése akár kitermeli

Az intraorális szkennert kiegészítve a Shining 3D Dental az IDS-en bemutatta a MetiSmile arcszkennert, egy innovatív eszközt, amely forradalmasítja a mosolytervezést és -elemzést. Az arcképek rögzítésével és a páciens vonásainak feltérképezésével ez a szkenner lehetővé teszi a fogászati szakemberek számára az arc esztétikájának, arányainak és fogászati harmóniájának pontos elemzését. Az opcióként kérhető mandibula mozgáskövetés pedig értékes információkat szolgáltat a labornak a fogpótlás elkészítéséhez.

A MetiSmile arcszkenner zökkenőmentesen integrálódik az Aoralscan 3 vezeték nélküli készülékbe, megkönnyítve az átfogó kezeléstervezést, és lehetővé téve a kiszámítható és nagymértékben személyre szabott mosolyátalakítást. Ez a fejlett technológia elősegíti a jobb kommunikációt a kezelőorvosok és a páciensek között, biztosítva a páciensek elégedettségét és javítva a kezelési eredményeket.

Az elmúlt évek forradalmi átalakulásokat hoztak a digitális fogászat területén, számos új lehetőséget nyitva meg mind a fogorvosok, mind a laborok részére. A Shining 3D Dental, a digitális fogászati megoldások egyik vezető globális szolgáltatója e digitális forradalom élvonalában áll és a fogászati szakembereket prémium szintű technológiával ruházza fel. A közelmúltban számos új típusú rezin jelent meg és még széleskörűbbé tette azok alkalmazhatóságát, azok repedésállósága a jó minőségű cirkonpótlásokéval vetekszik.

A nyomtatók pontos és részletes fogpótlásokat biztosítanak.

Csökkentik a gyártási időt, így gyorsabb kezelési folyamatokat tesznek lehetővé. A FabWash és a FabCure automatizálja a tisztítást és a polimerizálást, észszerűsítve a munkafolyama-

szati szakemberek számára, hogy a digitális korszakban javítsák a betegellátást és a hatékonyságot.

A vállalat átfogó szoftvermegoldás-csomagja továbbá javítja a digitális munkafolyamatokat, lehetővé téve az összes digitális folyamat zökkenőmentes integrációját. A szkenneléstől a tervezésig és a gyártásig a Shining

3D Dental szoftvere intuitív eszközöket biztosít a hatékony kezeléstervezéshez, a virtuális modellezéshez és a pontos restaurációs gyártáshoz. Ez az átfogó ökoszisztéma biztosítja a zökkenőmentes átmenetet az analóg fogászatról a digitális fogászatba, forradalmasítva a fogászati szakemberek működését és a betegellátás módját. További információért kérjük, látogasson el a 144-es standunkra és a www.nextdental.hu weboldalra, vagy írjon nekünk az info@nextdental.hu e-mail címre.

30 23. Dental World
Semmelweis Egyetem Digitális Munkacsoportja által összehasonlított 24 szkennerből minden kategóriában az Aoralscan 3 volt a leggyorsabb és az egyik legpontosabb (2023).
Tel.: 06-20-982-6148 info@nextdental.hu www.nextdental.hu Szkennelje be! SCAN – DESIGN – PRINT Intraorális szkenner Aoralscan
3
leggyorsabb* Az egyik legpontosabb*

Teljes szájrehabilitáció 72 óraalatt

▶ Egyfázisútechnika

▶ Azonnaliterhelésesprotokoll

▶ Egyedülállóprimerstabilitás

▶ Azegyetlentökéletesimplantátum-felépítmény „kapcsolat”–nincsmikromozgás

▶ Polírozottfelszín–nincstöbbéperiimplantitis

▶ Csontpótlásmentes,apáciensszámáraisigazán egyszerű,gyors, költséghatékonyimplantológia*

*Aköltséghatékonyság aztfejeziki,hogyazonoshatásosság(eredményesség)milyenköltséggel(ráfordítással) érhetőel.Aleginkábbköltséghatékonyazazeljárás,technológia,amelyikalegkisebbráfordítássalalegnagyobb eredménytériel.Azaz egészségügyitechnológia tekinthetőköltséghatékonynak,amelyazakárszűkösenrendelkezésreállóerőforrásokbólalehetőlegtöbb egészség-nyereséget termeli,illetveaztalegkisebberőforrás felhasználássalállítjaaztelő. (Azegészségügyifogalomtáralapján.)

sofortimplant sofortimplant sofortimplant ihdedental SofortimplantKft. | H–9400Sopron,Deákkútiút16. | +36703640600 info@sofortimplant.com | sofortimplant.com
Nobel Biocare N1™ nobelbiocare.com/n1 GMT70838 HU © Nobel Biocare Services AG, 2020. Minden jog fenntartva. A Nobel Biocare, a Nobel Biocare logó és az összes egyéb márkanév a Nobel Biocare tulajdonát képezi, ha a márkanév tulajdonosa nincs feltüntetve, vagy a szövegkörnyezetből nem derül ki. További tudnivalókért keresse fel a www.nobelbiocare.com/trademarks oldalt. A termékképek nem feltétlenül méretarányosak. Jogi nyilatkozat: Előfordulhat, hogy egyes termékek nem minden piacon rendelkeznek forgalomba hozatali engedéllyel. Az aktuális termékválasztékunkkal és elérhetőségekkel kapcsolatban forduljon a Nobel Biocare helyi értékesítési irodájához. Kizárólag orvosi rendelvényre kapható eszköz. A termék felírásához szükséges információkat, így a javallatokat, ellenjavallatokat, figyelmeztetéseket és óvintézkedéseket a termék használati útmutatójában találja. Megreformáljuk AZ IMPLANTOLÓGIÁT

Turn static files into dynamic content formats.

Create a flipbook
Issuu converts static files into: digital portfolios, online yearbooks, online catalogs, digital photo albums and more. Sign up and create your flipbook.