

A Dental Press másfél évtizede döntött arról, hogy a Dental World őszi rendezvényeit megelőzően, tavaszonként is szervez egy továbbképző kongresszust azzal a céllal, hogy több, olyan kiemelten fontos kérdést mutasson be mind elméleti, mind gyakorlati megközelítésben, melyek a fogászat vezető témái az adott esztendőben.
Éveken át sikerült ezt a szándékunkat realizálni is, majd sajnos – nem várt külső körülmények miatt – ez a folyamat megszakadt.
2023-ban szeretnénk ismét visszatérni a korábban sikeresen megtartott programjainkra, így idén már a VIII. Upgrade Congress – Fogászati Kongresszus és Kiállítás megrendezésére kerül sor, melyen közel 60 kiállító is várja majd az érdeklődőket. A kiállítás helyszínén a következő díjmentes programok látogathatók: Live Demo, Alpha Bio Buborék Bár, Flexi kávézó.
A kongresszusok programjait az esztétika, az endodontia, az implantológia, az orthodontia, a digitális fogászat és prevenció témaköréből állítottuk össze, melyeken közel 40 előadás hangzik el. A fogorvoslás tudománya állandóan fejlődik, változik. Újabb és korszerűbb anyagok, eszközök, eddig nem ismert technikák, módszerek gazdagítják folyamatosan a gyógyítás lehetőségeit, és természetesen egyre fokozódnak a páciensek elvárásai, igényei is. Így az ismeretek kiegészítésére, aktualizálására mindig szükség van, ehhez szeretnénk hozzájárulni a most megrendezésre kerülő VIII. Upgrade kongresszussal is.
Megítélésünk szerint a rendezvényen való jelenlét – az ismert és elismert rangos előadóknak, valamint a sokszínű programnak is köszönhetően – segíthet a fogorvosok naprakész tudásának a bővítésében, a szélesebb körű tájékozódásban, valamint abban, hogy a különböző szakterületek újdonságai iránt érdeklődők hasznos, a napi gyógyító munkában is jól alkalmazható ismeretekhez jussanak.
A VIII. Upgrade kongresszusra – az eddigi tapasztalatainkat is figyelembe véve – még nagyobb körültekintéssel készülünk, és bízunk abban, hogy a két nap után az érdeklődők megelégedéssel távoznak majd az előadásokról és egyéb programjainkról egyaránt.
MOTTÓNK: KÉT NAP A JÖVŐÉRT!
Hasznos és tartalmas előadásokat, programokat kívánva, tisztelettel: Laczkó Tamás, a rendezvény főszervezője
Kiállítás helyszíne
Hungexpo Vásárközpont, 1101 Budapest, Albertirsai út 10. „C” kongresszusi központ
Kiállítás nyitvatartása
2023. március 24., péntek: 08.30–18.00, 2023. március 25., szombat: 08.30–17.00
A kétnapos rendezvény alatt közel 60 szakkiállító várja az érdeklődőket, a kiállítás megtekintése díjmentes, de regisztrációköteles.
Kongresszusi regisztráció
2023. március 24–25. reggel 8 órától. A regisztráció a szakmai programokra kötelező.
A regisztráció a Hungexpo „C” kongresszusi központ bejáratánál található.
Kreditpont
A kongresszusok 2 napi programjainak összpontértéke: 16, napi pontérték: 8
A tanfolyamok a szakma szerinti kategóriába tartoznak (szakképesítések, amelyekhez szakma szerinti pontszámként elszámolható: 1. arc-állcsont-szájsebészet, 2. dento-alveoláris sebészet, 3. fogszabályozás [fogorvos], 4. konzerváló fogászat és fogpótlástan), vizsga nincs, a kreditpont-igazolást a rendezvényt követően küldjük el. A szakmai programokban a változtatás jogát fenntartjuk.
Megközelítés, parkolás
Az Albertirsai és a környező utcákban díjmentes parkolási övezet található.
A rendezvény megközelíthető tömegközlekedéssel is:
Az Örs vezér tere metrómegálló és a Hungexpo vásárváros között a rendezvény napjain is közlekedik a 10-es autóbusz. Az M2-es metró Pillangó utcai állomásától a Hungexpo vásárváros főbejárata körülbelül 15 perces sétával elérhető.
Digital & Ortho Kongresszus: 20 000 Ft (teljes ár: 24 000 Ft)
Prevenciós Kongresszus: 17 000 Ft (teljes ár: 19 500 Ft)
Last minute kedvezmény
2023. február 28-ig
Jelentkezzen most!
WWW.UPGRADECONGRESS.HU
Várjuk szeretettel a lenti élményhelyszíneken a kiállítás 2 napja alatt!
Kónya János, Bozsányi Lajos: Kreatív és innovatív megoldások a fogászati szakterületen esetbemutatásokkal
Domonkos Szilárd:
Tippek és trükkök Medit szkennerrel
Modor Gergely:
3shape Trios száj szkenner lehetőségei egyszerűen
Dr. Döbrentey Zsolt: Esztétika és funkció a direkt restaurációk világában
Dr. Takács Ildikó: NightLase® – lézeres horkoláskezelés
Dr. Takács Ildikó: SmoothEye® – lézeres kezelés
Dr. Borzási Imre
Dr. Luigi Canullo
Dr. Baktai Zoltán
Dr. Antal Márk
Dr. Borbély Judit
Dr. Róth Ivett
Dr. Alexander Tzovairis
Dr. Dumitru Muntean
Dr. Fráter Márk
2023. március 24., péntek
19.30–01.00
Program:
19:30 kapunyitás, asztalfoglalás, welcome koktél
Hász Eszter-Gáspár Károly duó zenél az este alatt
20:00 köszöntő, büféasztalos vacsora ínyencségekkel
20:30 revüműsor
21:30 élő koncert – Rubor Labii zenekara (dr. Benyőcs Gergely, dr. Mócz András, dr. Siklós Csaba, dr. Sidó Levente)
23:30 funkypop & dance Helyszín:
Hungexpo „C” Kongresszusi Központ
1101 Budapest, Albertirsai út 10.
2023.
Dr. Baktai Zoltán
Dr. Gurzó Mária
Dr. Zsoldos Márton
ebédszünet
Dr. Jakab András
Dr. Maurer-Morvai Bence
Dr. Antal Márk
Témavezetők: Dr. Benyőcs Gergely, Dr. Volom András
Dr. Dumitru Muntean
Dr. Takács Ildikó
Dr. Michał Ganowicz
ebédszünet
Dr. Fráter Márk
Dr. Döbrentey Zsolt
Dr. Farkas Péter
Témavezetők: Dr. Benyőcs Gergely, Dr. Volom András
MÁRCIUS 24., PÉNTEK 2023. MÁRCIUS 25., SZOMBATImplantológia kongresszus
Dr. Luigi Canullo
Dr. Sidó Levente
ebédszünet
Dr. Antal Márk
Dr. Baráth Zoltán
Dr. Nyárády Zoltán
Dr. Nagy Pál
Témavezetők:
Dr. Németh Zsolt, Dr. Sidó Levente
Implantológia kongresszus
Dr. Alexander Tzovairis
Dr. Joób-Fancsaly Árpád
ebédszünet
Dr. Párkányi László
Dr. Kövér Zsanett
Dorogi Gábor
Dr. Borzási Imre
Walter-Kovács Noémi
Mester Emese
ebédszünet
Dr. Molnár Bálint
Dr. Tihanyi Dóra
Kis-György Rita
Dr. Tóth György
Dr. Simon Fanni
Témavezető:
Dr. Radánovics-Nagy Dániel
Dr. Borbély Judit
Dr. Felkai Tamás
Dr. Nagy Zsolt
Dr. Daniel C. Neves
ebédszünet
Dr. Filipa de Almeida
Dr. Palkovics Dániel
Dr. Mikolicz Ákos
Témavezetők:
Dr. Németh Zsolt, Dr. Sidó Levente
Témavezető: Dr. Nagy Zsolt
ADENTALPRESSTEMATIKUSKIADVÁNYA
2022 / III.ÉVFOLYAM–ÁR:2500FT
pot az orvoskamara kifejezésével élve: „irányítási-igazodási válság” –, amiben az egészségügy járvány eleje óta őrlődött két tárca között. Igaz, sokan csalódtak, hogy az új kormányban sem lesz egészségügyi minisztérium. Őket friss ágazati egyik első megszólalásakor azzal vigasztalta, hogy az egészségügy érdekérvényesítő képességét nem az önálló minisztérium erősíti, hanem a mi
niszter személye.
bilitás érzetét erősítheti, mivel
Tanulmányozd először az elméletet, aztán jöjjön a gyakorlat, mely belőle származik
„A helyreállító fogászat lett a szenvedélyem és a mindennapi munkám”
Hagyományos teljes fogsor hatékony átalakítása
Teljes ívű rehabilitáció primer vázra ragasztott lítium-diszilikát szekunder koronákkal
3shape / Dental-Trade
Align Technology
Alpha Bio Tec
Bardeco Kft.
Baru Foshan Medical Technology Co., Ltd
BioGaia
Biohorizons/Camlog
Bredent Cortex
Dens Alba
Dental-X
DentOwl
Dent-East Kft.
Dental Plus
Dental Press
DentAvantgArt Kft.
Dent-Art-Technik
Dentech
PDigitális Fogászati Egyesület (DFE)
Doctor Tools Srl
Dr. Volom Dental
Fejér-Fog
Flexi-Dent
Flexioss
Provokatív és hallgatóságvadász a cím, nem véletlenül. A profilaxis szó hallatán mindenki a fogkőlevételre, a fogmosás tanítására és a következő generáció felvilágosítására gondol. Az invesztálás szó alapján elsősorban a pénzkiadás, esetleg a befektetés, legvégső soron az értéklétrehozás jut az eszünkbe.
Egy egészségügyben dolgozó személy számára az a tény, hogy a megelőző kezelésekre időt, energiát, pénzt fordítunk, az evidence based. Teljesen mindegy, hogy fogorvosról vagy klinikai fogászati higiénikusról beszélünk, az ókori gyógyítók munkássága óta alapvető tézis, hogy a prevenció, a betegségek kialakulásának elkerülése a legjobb gyógymód.
Ennek a munkának része a páciensek edukálása, a szájápolási rutin kialakítása, az esetleges hibák kiküszöbölése. Ez a folyamat kizárólag a fogorvosi szakmában dolgozó egészségügyi személyzet felelőssége. Ez a cél nem megvalósítható egyetlen személy esetében sem egy óra, egyetlen beszélgetés, tanítás alkalmával sem. A cél elérése sokkal inkább egy tanulási folyamat, vagy még inkább egy tanulási spirál, melyben mindkét fél aktívan segítheti a másikat a fejlődésben.
1. Az az alapvető tény, hogy egy egyszerű fogmosás közben tapasztalt vérzés már jelzi a kóros folyamatok elindulását, bizonyítja, hogy kezelendő elváltozásban nincsen hiány. A fogágybetegségek a világon a vezető egészségügyi problémák közé tartoznak. Kockázati tényezőként szerepel többek között a keringési betegségek és a cukorbetegség kialakulásában.
2. A lakosság ismeretei nagyon hiányosak, nem csak a szájápolás terén, hanem a korábban említett egyéb betegségekkel való összefüggések vonatkozásában is. A páciensoktatás felvilágosítás nélkül a gyógyítás elképzelhetetlen.
3. Szakemberként tudjuk, hogy a száj normál flórája és a parodontogén baktériumok kölcsönhatása vezetnek a kóros folyamatok elindulásához. Ebből adódóan egyes számú közellenséggé kell válnia valamennyiünk számára a biofilmnek, mely az említett mikrobák életterét adják.
4. A dentális plakk és biofilm elleni küzdelem 2 fontos pillére az irányított biofilm terápia, valamint a magas szintű otthoni szájápolási tanácsadás, melynek segítségével két GBT kezelés között az egészséges állapot a páciens részéről fenntarthatóvá válik.
5. Az egészség tehát a szájban kezdődik, az orális betegségek terén végzett megelőző munka az egész szervezet egészségére pozitív hatással lesz.
6. A dohányzás következményei a szájban jelentkeznek a leghamarabb, az ártalom csökkentése egyértelműen a prevenciós megelőző munka részét kell hogy képezzék.
7. Elengedhetetlen a megfelelő elköteleződés, szakmai ismeretek elsajátítása és a legmodernebb kezelési lehetősége alkalmazása, ha a lakosság közel felét érintő valamilyen szájbetegség ellen hatékonyan szeretnénk fellépni.
A felsorolt hét érv a teljesség igénye nélkül rámutat a jelen állapot hiányosságaira. Ezzel viszont egyértelmű választ kapunk a címben feltett kérdésre. Van teendő bőven, a kérdés sokkal inkább az, miként fogjunk neki ennek a változásnak.
A cél elérése érdekében az már egyértelmű, hogy változásokra lesz szükség. Szedjük részekre ezt a folyamatot. Hol a legegyszerűbb ezt elkezdeni? Amihez nincs szükség sem anyagi, sem időbeli áldozatra? Ez a „hely” nem más, mint a saját gondolkodásmódunk. Az nem is vitás, hogy egyben ez a legnehezebb feladat is, amin sem a világ összes kincse, sem végtelen idő nem fog segíteni. Igaz, ezek nem is állnak rendelkezésünkre. A jó hír, hogy nincs is szükségünk semmi másra, csak önmagunkra hozzá.
Kezdd saját magaddal, a személyes belső változások
Négy terület, amivel foglalkozni kell annak érdekében, hogy eredményt tudjunk elérni, nem feltétlenül szükséges felsorolási sorrendben haladni, ezen területek fejlesztése futhat párhuzamosan. Ebben az esetben az egyes folyamatok segítik egymást, gyorsítva az előrejutást.
ELFOGADÁS: tudomásul veszem, hogy amit eddig csináltam, azon a tudomány és technológia túlhaladott. Tisztában vagyok vele, hogy ez egy folyamat, amit el kell indítanom először saját magamban, majd a környezetemben. Elfogadom, hogy ez a feladat rám vár, minden téren energiát, ráfordítást igényel.
FELKÉSZÜLÉS: egyértelműen megfogalmazom a célt, amit el akarok érni, meghatározom és felmérem a kiindulási helyzetet, amit meg akarok változtatni, végigveszem azokat a folyamatokat, amelyeken módosítani szükséges. Meghatározom azokat a személyeket a környezetemben, akik a célom elérésében segíteni fognak.
TUDATOSSÁG: minden pillanatban értékelem a gondolataimat, tevékenységemet, beszédemet, hogy közelebb vezessen az általam megvalósítani kívánt célhoz.
TUDÁS: A GBT (irányított biofilm terápia) elméleti és gyakorlati protokolljának elsajátítása, rutinszerű alkalmazása.
Ki az a személy vagy kik azok a személyek, akiket a változás érdekében magam mellé kell állítani, hogy ugyanolyan mértékben legyenek elkötelezettek, mint én vagyok? Vane a környezetemben olyan személy, akinek a döntése alapvetően meghatározza a munkahely működését. Ennek a kérdésnek a tisztázása az alfája és ómegája egy munkahelyen a változtatások sikeres és hatékony bevezetéséhez.
A felelős személynek, személyeknek meg kell hozni a döntést, hogy a prevenció terén egy adott időponttól kezdve más szemléletben fogunk tovább dolgozni. Elengedhetetlenül fontos, hogy ez a döntés a teljes együtt dolgozó
csapat részére megosztásra kerüljön, a nyílt és megfelelő kommunikáció nélkül a célhoz vezető út rengeteg buktatót tartalmaz.
Első lépésként meg kell határozni a rendelő preventiós tevékenységének jelenlegi helyzetét, ezt szükséges összevetni az elérni kívánt céllal. Minél kisebb részfeladatra bontjuk az egész folyamatot, annál közvetlenebb módon fogjuk tudni érzékelni a változásokat, amiket elértünk. Az önellenőrzés, önkontroll nem csak a GBT protokoll alkalmazása közben, hanem az egész folyamat kialakítása során is szükséges részeleme a munkának.
A megfelelő feladatok meghatározása, majd azok szétosztása után kezdődik a kör elölről, hiszen az új munkatársakat szükséges elindítani azon a személyes belső változáshoz vezető úton, amit mi magunk már végigjártunk. A helyzet lényegesen egyszerűbb, hiszen segítő kezet tudunk nyújtani a tanulás megkezdéséhez, ugyanakkor saját magunkat is új kihívások elé helyezzük, hiszen a megfelelő munkatársak megtalálása, motiváltságának megteremtése, majd ennek fenntartása az egyik legemberpróbálóbb feladat egy szervezet működése életében.
A feladatlista egyes elemeit ne egy időben kezdjük megváltoztatni, nem szabad megfeledkezni róla, hogy a kontroll és a fejlődés folyamatos nyomon követése időt és energiát igényel a részünkről is.
Elsősorban a személyes belső változások, a gazdasági szervezet megváltoztatása és a páciensekkel való kapcsolattartás, építés formájának a megváltoztatása a három nagy terület, ami elengedhetetlen az eredményes profilaxis munkához.
Az új típusú, a kor szellemének megfelelő kezeléseket végző személyeknek szükséges a megfelelő képzést biztosítani és az eddigi gondolkodásmódot megváltoztatni. Ez a munkafolyamat folyamatosan jelen kell hogy legyen a mindennapi munka részeként.
Szükséges továbbá a kezelések elvégzéséhez a megfelelő körülmények biztosítása, eszközök, helyiség, rendelési idő, adminisztráció megteremtése.
A GBT kezelés bevezetése az eddigi munkafolyamatok közé, az ehhez tartozó páciensfelvilágosítás, a megfelelő indokok, érvek összegyűjtése, és a kollégák felkészítése ezen érvek használatára szintén a folyamatos munka részét alkotja. Minden pillanatban tisztában kell lenni vele, hogy miért szükséges így dolgozni. A személyzet és a páciensek felé történő kommunikációs stratégia kitalálása, a megfelelő érvek a megfelelő helyen történő alkalmazása fontos momentum a GBT kezelés és a munkafolyamat megváltoztatása során. A vezető feladata az általa kialakított rendszer működtetése, a létrehozott protokoll betartatása, a kollégák folyamatos képzése mind rendelőn belül, mind rendelőn kívül. A tapasztalatok elemzése, értékelése és a szükséges módosítások felismerése, a folyamatos önellenőrzés vezethet eredményre.
Az eddigiekben vázolt gondolatok nem az egyetlen vagy kizárólagosan járható utat mutatják be annak a célnak az érdekében, hogy a megelőző gyógyító munkánkat magasabb szintre tudjuk emelni. Csupán egy a lehetséges utak közül. Biztosan vannak olyan megoldások, amelyek egyegy kérdéskörben hatékonyabbak, vagy gyorsabbak, vagy gazdaságosabbak. Ez nem is kérdés. Azonban ha ez a néhány sor, és ezen elképzelések mentén a gyakorlati tanácsokkal is ellátott előadásom néhányakat, esetleg döntéshozó embereket is elgondolkodtat, felkelti bennük a kíváncsiságot a GBT iránt, akkor elértük az elsődleges célt. Elvetettük a változás magját. Mi mindanynyian együtt, akik e cikk, az előadások és a rendezvény létrejöttéhez a legkisebb módon is hozzájárultak.
Köszönöm! www.ems-dental.com/hu
az elem boldogságának helyreállítása
A szájüregi egyensúly felborulásában résztvevő tényezők
A szájüregi flóra Kémiai anyagok Mechanikai erők
Nem megfelelő fogmosási technika, nem kielégítő mértékű önmagunk irányába mutatott figyelem
A szájüregi egyensúly felborulása
Általános betegségek Mentális stressz Immunrendszer Genetikai tényezők
A szájüregi egyensúlyi állapot felborulása ellen ható természetes ellenálló képesség
Rossz lehelet, parodontális megbetegedés, fogszuvasodás, fájdalom, szenvedés, stressz, szorongás
SZÁJÜREGI BETEGSÉGEK ÉS MENTÁLIS STRESSZ KIALAKULÁSA
Terápiás beavatkozások
Nem megfelelő fogmosási technika, nem kielégítő mértékű önmagunk irányába mutatott figyelem
A holisztikus egészségügyi szemlélet régóta része a védikus kultúrának. Ebben a kultúrkörben az egészséget az elme, a test, a viselkedés és a környezet közti harmónia elérése jelenti. Ennek a fogalmát és az elérésének lehetséges módszereit részletesen leírják az ájurvéda irodalomban. Ez a szemlélet hosszú időn keresztül feledésbe merült, és csak azután került ismét előtérbe, hogy az Egészségügyi Világszervezet (World Health Organization; WHO) 1948ban úgy definiálta az egészség fogalmát, miszerint „Az egészség a teljes testi, lelki és szociális jóllét állapota, és nem csupán a betegség hiánya”. Ezt követően egyre többen ismerték meg az egészségi állapottal összefüggő életminőség fogalmát (holisztikus egészségi állapot).
Az egészség 1948ban meghatározott definíciójának nagy szerepe volt abban, hogy az egészséget és betegséget nem csupán fiziológiai, hanem biopszichoszociális szemlélet szerint vizsgálják. A biopszichoszociális modellen keresztül vizsgálva mindenki számára könnyen érthetővé válik, hogy bármely olyan betegség negatív hatással lehet a páciensek életminőségére, amely megakadályozza őket a mindennapi teendőik elvégzésében. A vonatkozó szakirodalom vizsgálatát követően megállapíthatjuk, hogy az egészségi állapottal összefüggő életminőség fogalma az 1960as éveket követően egyre nagyobb számban kerül említésre. Sőt azt is megfigyeltük, hogy az előbbiekben említett fogalom lassan a szájüregi egészséggel foglalkozó publikációkban is megjelent. A szájüregi egészséggel összefüggő életminőség fo -
MEDITATÍV FOGMOSÁS
Tájékozottság, önmagunk irányába mutató figyelem, gyakorlás
Biológiai védelem, regeneráció vagy reparáció és adaptáció
Szájüregi egyensúly
MEDITATÍV FOGMOSÁS
Tájékozottság, önmagunk irányába mutató figyelem, gyakorlás
Fogorvosi beavatkozások keretei között végzett helyreállítás vagy adaptáció
galma viszonylag újnak számít, azonban ezt a kifejezést az elmúlt két évtizedben egyre nagyobb számban olvashattuk a különböző szakcikkekben. Több szerző is foglalkozott a szájüregi egészséggel összefüggő életminőség elterjedésének és az előtérbe kerüléséhez vezető körülmények vizsgálatával. A szájüregi egészséggel összefüggő életminőség megmutatja, hogy a vizsgált egyén hogyan ítéli meg saját magát különböző területeken az általa észlelt szájüregi tünetek, továbbá az általános szájüregi állapota tükrében. Ez az információ lehetővé teszi a kutatók számára, hogy összefüggéseket állítsanak fel a szájüregi és az általános egészségügyi állapot között. A jó szájhigiénia eredményeként a páciensek egészséges megjelenésű szájüregi állapottal fognak rendelkezni, amely mentes a kellemetlen lehelettől. Az egészséges szájüreg hozzájárul a megfelelő táplálékbevitelhez szükséges feltételek biztosításához, elősegíti a társas kapcsolatok kialakítását és fenntartását, növeli a páciensek önbecsülését és erősíti az egészség és a jóllét érzését.
A szájüregi egészség vagy betegség állapotának kialakulását számtalan különböző paraméter befolyásolja. Ezek a paraméterek lehetnek molekuláris, sejtszintű vagy szöveti szintű hatások, egyéni vagy társadalmi szokások és elvárások, valamint az előbbiekben felsoroltak egymásra gyakorolt kölcsönhatásai. Az emberi testen belül a szájüregben található az egyik legváltozatosabb bakteriális flóra. Ebben a komplex mikrobiomban a baktériumokon kívül vírusok, gombák, protozonok és további egysejtű organizmusok is megtalálható-
ak. A szájüregben található baktériumok kiemelt szerepet játszanak két, az emberek szájüregében viszonylag gyakran előforduló kórfolyamat kialakulásában: a parodontális megbetegedések és a fogszuvasodás hátterében a pathogén szájüregi baktériumok állnak. Ezek a szájüregi betegségek a világszinten leggyakrabban előforduló betegségek között szerepelnek. Ez a két betegség majdnem az összes korcsoportot és szinte az összes különböző földrajzi területen élő közösséget érinti.
A normál szájüregi flórában több mint 1000 különböző baktériumot találhatunk. Az emberi testben a bélbaktériumokat követően a szájüregi baktériumok alkotják a második legkomplexebb baktériumközösséget. Az immunrendszerre pedig rendkívül jelentős feladat hárul. Azon kívül, hogy tolerálnia kell a normál baktérium, vírus és gombaflóra jelenlétét, továbbá az általuk kiváltott komplex kölcsönhatásokat, ezzel a szimbiózissal egyidejűleg képesnek kell lennie a pathogén baktériumokkal szembeni védekezésre is. Mára az is bizonyítottá vált, hogy az immunrendszerben bekövetkező változások esetén a szájüregi flóra összetétele is megváltozik. Több olyan betegséget és állapotot is fel tudunk sorolni, amely megváltoztatja az immunrendszer egyensúlyát, és ezáltal a szájüregi mikrobiom összetételére is hatással van.
A szájüreg egy az emberi szervezeten belül kialakult önálló életközösségnek ad otthont, és mint minden életközösség, ez is több különböző résztvevőből épül fel (baktériumok, gombák, metabolikus termékek, a gazdaszervezettől származó sejtek, a nyálban lévő elemek stb…), valamint ez a rendszer is mindig az egyensúly fenntartására törekszik. Fontos megjegyeznünk, hogy a baktériumflóra összetétele a különböző szájüregi területeknek megfelelően ugyanazon szájüregen belül eltérést mutathat. Különböző vizsgálatok is igazolták, hogy a nyálkahártyán és a fogak felszínén lévő baktériumközösségek, valamint a nyálban lévő és a fogak felszínén található baktériumközösségek összetétele egymáshoz képest jelentősen eltérhet. Egy a közelmúltban megjelent vizsgálatban kimutatták, hogy míg a bukkális nyálkahártyán, ínyen és a kemény szájpadláson lévő bakteriális flóra összetétele nagyjából megegyezett, addig a nyálban, nyelven, mandulákon, torokban, valamint a supra és subgingivális plakkban lévő bakteriális közösségek jelentősen eltérő összetétellel rendelkeztek. Jelenleg a nyálban megtalálható mikrobiomot tartjuk a legalkalmasabbnak a szájüregre általánosságban jellemző mikrobiom összetételének a meghatározására. Az ebből a közegből vett minták segítségével viszonylag jól leképezhetjük az egyes betegségek által a szájüregi flórára gyakorolt hatásokat.
Ahhoz, hogy a biológiai szövetek regenerációs képességéről beszéljünk, először mélységében meg kell értenünk
azokat a kölcsönhatásokat, amelyek részt vesznek a nyál, a táplálkozás, a szájüregi flóra, a fogak és a nyálkahártyafelszínek által kialakított dinamikus egyensúly (azaz a fiziológiás szájüregi állapot) fenntartásában. Az előbbiekben felsorolt elemek szerves részei a szájüregen belül megtalálható önálló ökoszisztémának. A szájüregi egészség vagy betegség fenntartását és kialakulását az ezen elemek által alkotott rendszerben fennálló egyensúly vagy aránytalanság okozza (1. ábra). Ennek megfelelően az általunk elvégzett preventív és terápiás célú beavatkozások céljai között ezen egyensúlyi állapot megőrzésének vagy helyreállításának is kiemelt szerepet kell kapnia. A holisztikus szemléletű preventív, diagnosztikai és terápiás beavatkozások sokkal szélesebb spektrumon közelítik meg a lehetséges problémákat, míg a hagyományos orvoslásban jóval korlátozottabb azon faktorok száma, amelyeket figyelembe vesznek az egészség megőrzésére vagy helyreállítására való törekvés során.
A pathológiás szájüregi elváltozások világszintű terhet jelentenek az egészségügyi ellátó rendszernek
Annak ellenére, hogy a fogszuvasodás és a parodontális megbetegedés nem tartozik a fertőző betegségek közé, még így is hatalmas egészségügyi terhet jelentenek az emberiség számára. A világ lakosságának jelentős része (megközelítőleg 90%a) az élete során egy ponton valamilyen szájüregi megbetegedéstől fog szenvedni. A fogszuvasodás és a parodontális betegség a leggyakoribb olyan krónikus meg-
Holisztikus Szemlélet elme test Viselkedés környezet minimál inVazíV megbízható Megfizethető egyszerű
Megfelelő Technológia
Képzett FogorVos kompetens lelkes egészséges boldog tudományos megalapozottság, bizonyított eredmények, tapasztalat, logikus köVetkeztetések
Megfelelő Terápia
betegedések közé tartoznak, amelyek késői stádiumára jellemző az erős fájdalom kialakulása. A jelenleg rendelkezésre álló becslések szerint a fogszuvasodás incidenciája a világ felnőtt lakosságában 100%ra, míg az iskoláskorúak között 60%–90%ra tehető (2. ábra). A parodontális megbetegedések vélelmezhetően a világ lakosságának 20%–50%át érintik. A krónikus parodontitis a világ hatodik leggyakrabban előforduló megbetegedésének számít, és súlyos esetben a saját fogak elvesztéséhez vezethet (3. ábra). A jelenleg rendelkezésre álló adatok azt mutatják, hogy összefüggés van a szájüregi betegségek és az olyan nem fertőző betegségek között, mint a cukorbetegség vagy a kardiovaszkuláris betegségek. Ugyancsak szignifikáns összefüggést találtak a szájüregi egészség és a mentális egészség között. Mindezek figyelembevételével megalapozottnak találjuk azt a kijelentést, mely szerint a szájüregi betegségek világszintű terhet jelentenek az egészségügyi ellátó rendszernek. A szájüregi elváltozások direkt és indirekt módon is hatással vannak a világgazdaságra. Ezeknek a betegségeknek a kezelése jelentős anyagi teherrel jár, amely negatív társadalom gazdasági hatással rendelkezik. A WHO becslése szerint az iparosodott országok többségében a szájüregi betegségek kezelése számít a negyedik legnagyobb költséggel kezelhető betegségnek. A kezelések közvetlen és közvetett költségein, valamint ezek gazdasági hatásain kívül a szájüregi megbetegedések jelentős hatással vannak az emberek mindennapi életére, valamint világszinten évente több millió munka és iskolában eltöltött óra elvesztéséhez vezetnek. Az újonnan elérhetővé váló tudományos bizonyítékok alapján, mely szerint a fogszuvasodás egy táplálkozásés viselkedésfüggő megbetegedés, amely kialakulásában baktériumok is részt vesznek, megváltozni látszik a fogszuvasodás megelőzésének és ellátásának módja. Az új szemléletnek megfelelő kezelési módszereknek a biológiai szövetek regenerációs képességét is figyelembe kell venniük a páciens ellátásának megtervezése során. Továbbra is a kariológiai elváltozások kialakulásának megakadályozásának kell a szájüregi egészség helyreállítására és megőrzésére törekvő kezelési tervek középpontjában állni. A modern fogorvoslásban elfogadhatatlannak számít az egészséges foganyag feláldozása és mesterséges helyreállító anyagokkal történő visszaépítése. Jelen cikk szerzője
a Védikus Mosoly Filozófia (Vedic Smile Concept) alkalmazását javasolja. Ennek a szemléletnek a fókuszpontjában a betegségek kialakulásának megelőzése áll. Ezt az egyéni szájhigiénés szokások fiatal korban történő kialakításával, a fogorvosi szűrővizsgálatokon való rendszeres megjelenéssel, a kezdődő szájüregi megbetegedések minimál invazív módszerekkel való diagnosztizálásával, ezek kialakulásának megelőzésével, illetve korai stádiumban való kezelésével és egy páciens középpontú holisztikus fogorvosi szemlélet alkalmazásával kívánja biztosítani.
A prevenció a legjobb terápia, tartja a mondás. Ennek a filozófiának az alkalmazása jelentős mértékben csökkentheti a szájüregi megbetegedések negatív társadalmi hatását. Tudományos vizsgálatok igazolják, hogy a megfelelően végzett egyéni szájhigiénés tevékenység kulcsfontosságú szerepet tölt be a szájüregi megbetegedések kialakulásának a megelőzésében. A fogorvosi vizsgálatok során a fogászati ellátásban résztvevő kezelőszemélyzet általában hasznos tanácsokkal és pontos utasításokkal látja el a pácienseket a szájüregi egészségük fenntartásával kapcsolatban. Ezek tartalmát a klinikai vizsgálat során látott szájüregi státusz és orálhigiénés szint alapján individualizálják az egyes páciensek számára. A tanácsadás célja a páciensek szájüregi egészségmegőrző képességének fejlesztése és a megfelelő szájhigiénia fenntartásához szükséges információk biztosítása. Ugyanakkor már számos vizsgálatban kimutatták, hogy a páciensek általában nem végzik el maradéktalanul a megfelelő szájhigiénia fenntartásához elengedhetetlen napi szájápolási teendőket, továbbá a felnőtt lakosság nagy része az ajánlottnál kevesebb alkalommal és rövidebb ideig mossa a fogait. Ennek eredményeként nem meglepő, hogy az egyéni szájhigiénés tevékenység révén sokszor nem képesek a fogazatuk megfelelő tisztaságát biztosítani. Ez azt igazolja, hogy megfelelő egészségtudatos hozzáállás és kellő önmagunk irányába mutatott figyelem szükséges a jó szájhigiéne fenntartásához.
A szájüregi egészség elérése a megfelelő tudás és képességek biztosításán, nem pedig a páciensek különböző feladatok végrehajtására való utasításán keresztül lehetséges. Tulajdonképpen a szájüregi egészséggel kapcsolatos oktatást tartják a jó szájhigiéne eléréséhez szükséges egyik legalapvetőbb feltételnek. Ezen felül szoros összefüggéseket találhatunk a jó szájüregi és jó mentális egészség között a szakirodalomban.
A meditatív fogmosási technika a védikus fogászati elveken (Vedic Smile Dentistry) alapul (5. ábra). Ez egy holisztikus szemléletű technika, amely a test, az elme, a viselkedés és a környezet (ebben az esetben a szájüregi flóra) egyensúlyának megőrzésére vagy helyreállítására törekszik. A célja, hogy a páciensek elsajátítsák a meditatív fogmosási technika alkalmazásával járó alapértékeket, és az ezek alkalmazásával járó előnyöket fel tudják használni a testi és lelki egészségük, valamint boldogságuk növelésére. Az MTB technika célja, hogy a pácienseknek a fogak mechanikai tisztításával egyidejűleg lehetősége legyen a test és a lélek közti kapcsolat erősítésére. Erre egy egyszerűsített
meditatív eljárás alkalmazásával van lehetőségünk, amely a szájüreg egészségének fenntartása mellett a belső feszültségek levezetéséhez is hozzá tud járulni. Az MTB technika alapja a páciensek tájékozottságának, magukkal szembeni figyelmességüknek, és a jó szájhigiénés szokásaiknak az erősítése. A technika helyes alkalmazása esetén az előbbiekben felsoroltak a páciensek mindennapos viselkedésének részévé válnak, és ezek a gyakorlatok készségszinten rögzülnek bennük.
Az MTB technika három egyszerű lépésen keresztül biztosítja a szájüreg tisztaságát és az elme relaxálását. Ez a három lépés: az előkészítés, a tisztítás és a védelem (6. ábra)
A megfelelő módon történő fogmosás záloga, hogy tájékozottak legyünk mindhárom lépés fontosságával és a helyes kivitelezésük módjával.
Előkészítés
A fogmosás megkezdése előtt az MTB technika gyakorlójának pontosan tisztában kell lennie azzal, hogy milyen feladatokat ad az elméjének. Ennek köszönhetően képesek lehetünk a következő 34 perces művelet során egy tökéletes és harmonikus kapcsolatot létrehozni a testünk és az elménk között. Az MTB technika az alábbi egyszerű lépések elvégzését javasolja:
• Nézzünk a tükörbe és vizsgáljuk meg a szájüregünk állapotát.
• Vizsgáljuk meg a fogainkat. Ellenőrizzük a fogaink felszínének állapotát a nyelvünk segítségével. Simítsuk végig a nyelvünket az összes fogfelszínen.
• Legyünk hálásak a fogainknak és köszönjük meg nekik, hogy az előtörésüktől kezdve segítségünkre vannak az étel megrágása és a beszéd során.
• Mosolyogjunk a tükörbe és készüljünk fel a fogmosás megkezdésére.
Ezek az egyszerű lépések segítenek a fogmosáshoz szükséges mozdulatok elvégzésére való felkészülésben, és segítenek az ezt a tevékenységet zavaró egyéb gondolatok kizárásában. A figyelem fókuszálásával csökken a stressz és a szorongás mértéke és a belső nyugalom megjelenésével a fogmosás egy élvezhető és sikeresen elvégezhető tevékenységgé válik.
Tisztítás
Az MTB technika alkalmazása során alapvetően kis fejű, puha és elvékonyodó végű sörtékkel rendelkező fogkefe használatát javasoljuk. Ugyanakkor arra is figyelmet kell fordítani, hogy a fogmosás során képesek legyünk az ételmaradékokat és az itt található dentális plakkot megfelelő hatékonysággal eltávolítani a fogak felszínéről és a fogak között lévő interdentális területekről. Az MTB technika először az interdentális területek megtisztítását javasolja. Ezeknek a megtisztítását követően célszerű az egész szájüreget vízzel alaposan átöblíteni, majd megkezdhetjük a fogfelszínek megtisztítását. A fogmosás során végzett mozdulattal kapcsolatban az MTB technika egy logikus és a tevékenység céljára fókuszált megközelítés alkalmazását javasolja. Ennek megfelelően az interdentális területek megtisztításához az íny felől induló vertikális irányú söprögető mozdulatokat, míg a további fogfelszínek megtisztításához körkörös dörzsölést javasol. A lényeg, hogy egyetlen területet se hagyjon ki a fogai megtisztítása során (fogközök, valamint a fogak okkluzális, buccalis és lingualis felszínei). Az MTB filozófia szerint ennek a lépésnek a célja (tisztítás) a fogak mechanikai módszerekkel történő lehető legalaposabb megtisztítása, a fogmosás idejének meghosszabbítása, a nyálképzés fokozása és a fogfelszínek fogmosás közben történő vizuális kontrolljának előse -
Egy biztos út a szájüregi egészség és az elem boldogságának eléréséhez
A szájüregi egyensúlyi állapot felborulása ellen ható természetes ellenálló képesség
MEDITATÍV FOGMOSÁS Tájékozottság, önmagunk irányába mutató figyelem, gyakorlás
A SZÁJÜREGI EGÉSZSÉG és az elem boldogságának helyreállítása
TISZTÍTÁS fogközök (fogkrémhasználat nélkül), vertikális irányú söprögető mozdulat
Öblítés
REGGEL/NAPKÖZBEN LEFEKVÉS ELŐTT
TISZTÍTÁS A szájüregben látható fogfelszínek, íny, és nyelv (fogkrémhasználat nélkül) Rövid ideig tartó körkörös tisztítás
TISZTÍTÁS ÉS KÉMIAI VÉDELMET BIZTOSÍTÓ ANYAGOK FELVITELE
A szájüregben látható fogfelszínek, íny és nyelv (biológiailag aktív hatóanyagot tartalmazó fogkrém)
Rövid ideig tartó körkörös tisztítás
Tilos öblögetni, csak köpni lehet
Megfelelő szájüregi egyensúly
Biológiai védelem, regeneráció vagy reparáció és adaptáció Alapos öblögetés
gítése. Összességében olyan körülményeket akar teremteni, amely alkalmassá teszi a fogfelszíneket a következő lépésben alkalmazásra kerülő kémiai védelem optimális befogadására.
Védelem
A szájüregi környezet védelmére szolgáló lépéseket úgy kell meghatározni, hogy azok a lehető legteljeskörűbb módon elősegítsék a szájüregi egyensúly felborulását okozó hatások semlegesítését (1. ábra). A szájüreg védelmét többek között az alábbi tevékenységek segíthetik: fluoridos fogkrém és antiszeptikus szájvizek használata, fluoridos védőlakkok alkalmazása, a fogfelszínek bioaktív anyagokkal történő védelme, barázdazárás, fogvédő sínek alkalmazása (ezek a sínek a fogakat potenciálisan károsító mechanikai erőhatásokkal szemben képesek védelmet nyújtani), a táplálkozás módosítása. Az előbbiekben néhány olyan példát soroltunk fel, amelyek elősegíthetik a szájüregi egészség megőrzését, ám ezeket mindig csak a fogorvosok ajánlásának megfelelően szabad alkalmazni. Ugyanakkor az egyéni szájhigiénés tevékenység végzése során, a fogak mechanikai megtisztítását követően fontos a fogak kémiai védelmét a megfelelő anyag (fogkrém, foggél, szájvíz, stb…) felvitelével biztosítani. Ezeket a szereket bele kell masszírozni az ínybe, a fogfelszínekre, a nyelvre stb… Ezek az anyagok hatékony védelmet biztosíthatnak a fogszuvasodás, a fogágybetegség, a szájszag és más szájüregi betegségek kialakulásával szemben. Az MTB technika azt javasolja, hogy a fogak védelme érdekében a fogak felszínére körkörös mozdulatokkal vigyünk fel egy kis mennyiségű fogkrémet vagy foggélt. Fontos, hogy a fogkrém felvitelét követően ne öblítsük ki egyből
a szájüregünket, de a bedörzsölés befejezését követően a nyálunkba került felesleges fogkrémet nyugodtan kiköphetjük. A fogazat fogkefével történő rendszeres mechanikai megtisztítása és a fogak védelmét elősegítő fogkrémek, valamint antiszeptikus szájvizek rendszeres alkalmazása általában elősegíti a szájüregben található kemény és lágyszövetek regenerációját (remineralizáció, illetve gyógyulás). Ugyanakkor, ha a szájüregi egyensúly felborulásának irányába mutató faktorok túlsúlyba kerülnek, akkor előbb utóbb megjelennek a szájüregi diszharmónia kialakulására utaló jelek és tünetek. Erre utalhat ínyvérzés, fokozott fogérzékenység, rossz szájszag, demineralizáció által okozott fehér foltok, kis méretű szuvasodások, valamint nem kariogén léziók kialakulása. A nem kariogén léziók közé soroljuk az erózió, az attríció és az abrázió által okozott foganyagveszteséget. Az előbbiekben felsoroltak jelenléte esetén legtöbbször szükség van a fogászati szakemberek által végzett helyreállító beavatkozások elvégzésére. A Védikus Mosoly filozófia mindig is azoknak a haladó szellemű eszközöknek, anyagoknak és technikáknak a használatát javasolta, amelyek alkalmazása révén lehetőségünk van non invazív vagy minimál invazív módszerekkel és bioaktív helyreállító anyagok használatával ezeknek a kezdődő lézióknak az ellátását elvégezni.
A fogmosás hatékonyságát több tényező is befolyásolja. A páciensek életkora, tájékozottsága, motivációja, a fogkefe minősége, a fogmosás sebessége, a fogmosás ideje, a fogmosás közben kifejtett erő nagysága és a fogmosás során alkalmazott mozdulat is hatással van a tisztítóképességre. Ezen a ponton ismét felhívnánk az olvasók figyelmét arra, hogy az MTB technika célja nem csupán a szájüreg tisztán tartása és a szájüregi egészség megőrzése, hanem az elme relaxálására, a mindennapi szorongás és a stressz csökkentésére is törekszik. Ezáltal nem csupán a szájüreg, hanem az elme felfrissítése és egy általános boldog állapot kialakítása is a céljai között szerepel.
(A felhasznált szakirodalmi hivatkozások jegyzéke elérhető szerkesztőségünkben.)
Forrás: Prevention; 2021 14-19
KAVOSZ SZÉCHÉNYI LÍZING MAX+
• 5 % fix kamatozás
• 2,5 % szerződéskötési díj
• Önerő 30 %
A-dec 500
Prémium kategóriás alsó/felső karos kezelőegység
2003 ÓTA FOLYAMATOSAN ELNYERTE A LEGJOBB KEZELŐEGYSÉG FŐDÍJAT
Csak az a gyártó ad 5 év garanciát a termékére, aki biztos a gyártmánya minőségében
DELUXE vezérlés, 8+4 LED páciens lámpa, NSK NLZ LED-es mikromotor www.a-dec.com/virtual-tour www.dent-east.hu
Az A-dec kezelőegységek szervizeléséhez a vételár mindössze átlagosan 1,97%-át teszi ki az évente vásárolt alkatrész. Ebben az A-dec páratlan.
A-dec 230
Felsőkaros kezelőegység, DELUXE vezérlés, 8+4 LED vagy 4 LED páciens lámpa, NSK NLZ LED-es mikromotor
A-dec 200
Kompakt alsókaros kezelőegység
DELUXE vezérlés, 8+4 LED vagy 4 LED páciens lámpa, NSK NLZ LED-es mikromotor
„Amit ma megvehetsz, ne halaszd holnapra”
09.30–09.40 Dr. Radánovics-Nagy Dániel: Megnyitó
09.40-10.25 Dr. Borzási Imre: Miért érdemes a Profilaxisba invesztálni?
Elfogadott tény, hogy a GBT a modern prevenció alapeszköze (kellene hogy legyen). Egy új protokoll bevezetése, egy új eszköz beszerzése mindig anyagi és emberi erőfeszítéseket igényel. A döntés meghozatala során hiba lenne csak egy újabb prevenciós eszközként tekinteni az Airflow Prophylaxis Master készülékre. Sokkal többről van szó, hiszen rengeteg terápiás lehetőség rejlik benne. Ezek bemutatása és a gondolkodásmód átértékelése segíti a rendelőben a magas szintű betegellátás kialakítását, finanszírozási szempontokat és az emelt szintű prevenciót egyensúlyba hozni.
Sok ember tudomást sem vesz a duzzadt, kissé vöröslő vagy fogmosáskor gyakran vérző fogínyéről, pedig ezek a tünetek az ínygyulladás legelső jelei. Az Economics folyóirat kutatócsoportja (Economics Intelligence Unit – EUI) és az Európai Parodontológiai Szövetség (EFP) most kiterjedt kutatást végzett a témában: 19%-kal növeli a szív- és érrendszeri betegségek kialakulását 65 év alatti személyeknél, 65 év felett ez az arány 44%. Az Economics riport tanulsága szerint a nyugat-európai fejlett országok is érintettek, és az elmúlt 25 évben nem történt csökkenés a betegség előfordulásában. Az előadásban áttekintjük a parodontális betegségeket, ínygyulladást, az ínygyulladás típusait, a parodontitist. Bemutatjuk a parodontális betegség lefolyásának sejtszintű szemléletét és a parodontális betegség kialakulásának kockázati tényezőit, a kezelés legfontosabb szempontjait.
Mindenki számára tisztázott, hogy a magyar lakosság szájhigiénés állapota sajnos aggodalomra ad okot. Az előadásom célja olyan edukációs alternatívák bemutatása, amelyek ezen státusz javítását szolgálják, így motiválva a szakmabelieket a prevenciós tevékenységben történő aktív részvételre. Ugyanis a jól ismert óvodai látogatás alkalmával történő fogmosásoktatáson túl számos területen tevékenykedhetünk még. Milyen lehetőségek vannak manapság a szájápolási prevenciós gyakorlatokra? Előadásom során igyekszem prezentálni napjaink leghatékonyabb prevenciós módszereit és azok eszközeit.
A dentális plakk minden fogágybetegség oka, mely a rögzítő apparátus irreversibilis károsodását – fogmozgathatóságot, tapadásveszteséget okoz. A parodontitis polymicrobialis infectio – a normál flóra és a parodontopatogen baktériumok együttese kulcsfontosságú szerepet játszik a fogágybetegség patogenezisében. A plakk szükséges, de nem elégséges feltétele a destruktív parodontitisnek, egyéb hajlamosító tényezők szükségesek hozzá: genetikai, általános szervezeti, magatartási tényezők. Az orális probiotikumok a megváltozott parodontopathogén flórára gyakorolt antagonista hatásuknak megfelelően hatékony, biztonságos és kényelmes kiegészítői lehetnek a hagyományos parodontális oki terápiának, a depurálásnak és gyökérsimításnak.
Üres közhely vagy működő szemlélet, hogy oktathatjuk a pácienseinket? Ma már egy igényes, magas szakmai minőséget képviselő szakember számára egyértelmű, hogy megfelelő szájhigiénia nélkül nem végezhető minőségi, tartós fogászati kezelés. Egyre több rendelő hirdeti a dentálhigiénés kezelések fontosságát és alkalmazza azok különféle formáját, azonban a megfelelő biofilm-menedzsment nem érhet véget egy professzionális tisztítással. Az egyéni szájhigiénia kialakítása, a páciens mindennapi rutinjának megfelelő formálása a mi feladatunk és felelősségünk, fogászati szakembereké. Gyakorlati tanácsokkal szolgálunk ahhoz, hogyan építhető be mindez a napi munkába, és kitérünk olyan részletekre is, mint például az eszközök választásának szempontjai.
Hazánkban a szájüregi megbetegedések prevalenciája igen magas, a szájüregi daganatos megbetegedések tekintetében is vezető helyet foglalunk el a környező országokhoz képest, de sajnos világviszonylatban is. Jellemző az egészségkárosító viselkedés, a szűrővizsgálatokon való részvétel elmulasztása, az elégtelen szájhigiéniás rutin, valamint elváltozások esetében az egészségügyi ellátás kezdeményezésének elmulasztása, késői orvos-beteg találkozó. A szájüreg és fogak állapota nagymértékben befolyásolja az általános egészségi állapotot, a szisztémás megbetegedések alakulását, kontrollálhatóságát, összességében pedig a jóllétet és az életminőséget.
16.00–16.45 Dr. Tóth György: A dohányzási ártalom csökkentésének szerepe és gyakorlata a száj- és fogápolásban
Ma már tudjuk, hogy a dohányzáshoz köthető betegségeket elsősorban nem a nikotin okozza, hanem a cigaretta égetése során felszabaduló vegyi anyagok. Ahhoz, hogy a világon megszűnjenek a dohányzás okozta betegségek mind az 1,3 milliárd – Magyarországon ez 2 millió főt jelent – dohányzónak le kellene szoknia e káros szenvedélyéről, ami az előrejelzések szerint nehezen megvalósítható. A dohányzás hatásai a szájnyálkahártyára egyértelműen negatívak. Ez a terület érintkezik ugyanis a legforróbb füsttel, amely kiszárítja, kimarja azt, és végzetes elváltozásokat eredményez. Az előadásban továbbá olyan összehasonlító vizsgálatok is bemutatásra kerülnek, melyek az éghető cigaretta és a hevített dohánytechnológia hatásait vizsgálja a szájüregi, fogíny hámszövetein, valamint a kemény fogszöveteken.
16.45–17.30
Dentálhigiénikusok prevenciós lehetőségei a szájüregi megbetegedések megelőzésében
A dentálhigiénikus prevenciós szerepe és tevékenysége mind a szék melletti, mind az edukációs területen kiemelkedően fontos. A legfrissebb, 2022. évi adatok szerint a világ népességének 45%-át érinti valamilyen szájüregi megbetegedés, amit megfelelő prevenciós tevékenységgel minimálisra szoríthatnánk. A nem fertőző betegségek egyik nagy csoportja a szájüregi megbetegedésekben a fogszuvasodás, mely 2,5 milliárd embert érint. Másik csoportjában, a fogágybetegség súlyos formájában 1 milliárd ember szenved. A szakemberek mellett a lakosság, páciens szoros közreműködésére is szükség van. Mind a fogszuvasodás, mind a fogágybetegség rizikótényezőit, a kialakulását megelőző és a már kialakult enyhébb elváltozások kezelését, gyógyítását biztosító eszközök, anyagok mellett az edukáláshoz szükséges háttértudást biztosító előadásom célja, hogy az a mindennapi munkába beilleszthető legyen.
2023. március 24., péntek 10.00–16.00
• Hatványozottan növekszik az elégedetlen páciensek és a praxisokat érintő támadások száma!
• Hogyan kezdődnek és hogyan végződnek ezek, mit kell tennie ahhoz, hogy meg tudja védeni saját magát és alkalmazottait?
25% kedvezmény
• Ismerje meg, hogy pontosan milyen kötelmeket jelent az Egészségügyi Törvény, milyen módon kellene tájékoztatni a pácienseket és milyen adminisztrációt kell végeznie a szabályos működéshez.
• Legyen átfogó képe az automatizált dokumentum menedzsmentről, elektronikus dokumentum kezelésről és elektronikus aláírásról!
Előadnak:
Részvételi díj: 19 900 Ft (március 1től 25 000 Ft)
Jelentkezés: upgradecongress.hu
Restoring and maintaining the cervical profilearound dental implants with anatomical abutments
Cervical profile generation in post extraction sockets (CSP technique) along and in edentulous sites. Tips & tricks for cervical contour generation around dental implant.
Előadó: Dr. Alexander Tzovairis
Dátum és időpont: 2023. 03. 25., 14:00-16:30
Helyszín: Hungexpo, C pavilon, galéria, G terem
Ár: early-bird: EUR 250/fő március 1-ig, utána: EUR 300/fő
Jelentkezés: www.front-dent.hu, tarsoly.csenge@frontdent.hu
Flexi-Dent szoftver felhasználóknak
Hogyan kezdj azonnal dolgozni a ClearCorrect alignerekkel, a Straumann Group piacvezető prémium aligner rendszerével?
A jövő már ma elérhető: a clear alignerek helye és szerepe a praxisban. Kezd el már holnap az első esetedet! ClearCorrect workshop Dr. Daniel Neves-el az azonnali induláshoz.
Vegyél részt a kurzuson, ahol a Világ vezető ClearCorrect specialistájától sajátíthatod el többek között az alábbi ismereteket:
• Hogyan bővítsd ki a rendelőt egy olyan szolgáltatással, amelyet a páciensek már jelenleg is aktívan keresnek.
• Hogyan válaszd ki a megfelelő kezdő esetet.
• Lepésről – lépésre megmutatjuk hogyan kezd el a kezelést.
• Hogyan legyél magabiztos a prémium minőségű ClearCorrect aligner rendszer használatában.
Légy részese te is a digitális fogszabályozásnak, az induló tudást most megadjuk a kurzusunkon, és regisztrálj a Dr. Portal-ra nálunk a helyszínen!
*A kurzus ára: 29.900 Ft Oklevelet adunk a kurzus elvégzéséről.
Időpont: 2023. 03. 25., 14:45-17.00-ig 1. emeleten
*A kedvezmény a regisztrációt követő első, április 30-ig feltöltött, megtervezett és megrendelt esetre vonatkozik (több eset is feltölthető.)
(Tervezés: 3-5 munkanap / terv változtatása: 2-3 munkanap / gyártás: 10 munkanapon belül történik.)
Dr. Daniel C. Neves „The future is now: clear aligners as a reality in your practice!”Dr. Daniel C. Neves
Extraordinary sustained force
Remarkably comfortable
Fantastic tooth adaptation
Amazingly flexible
Outstanding tear resistance
Exceptional stain resistance
Optimized clarity
You asked for comfortable, durable, multi-layer aligners that feature sustained force, great clarity, and excellent tooth adaptation. Our answer: ClearQuartz™. We’re proud to present it to you, and we believe you’ll be proud to treat your patients with it.
Kérem, mondja el röviden szakmai életútjának és tudományos munkásságának legfontosabb állomásait!
• Fogorvosi diploma 1984 SOTE
• Fogszabályozás szakvizsga 1989
• Általános Orvosi Diploma 1998 Uni Wien
Szakmai tevékenység
• 1984–1989 – klinikai orvos –SOTE Fogszabályozási és Gyerekfogászati Klinika
• 1989–2004 – fogszabályozó szakorvos – Bécsi Területi Egészségbiztosító/Ausztria
• 1998 óta – fogszabályozási magánrendelés – Neulengbach és Sankt Pölten/Ausztria
Továbbképzések
• 1995. Lingual Aesthetic Orthodontics (Los Angeles, USA) certifikáció
• 2002. Invisalign® – certifikáció
• 2005. Speed System Orthodontics certifikáció
• 2008–2009 – The Six Elements Orthodontic Philosophy –L. & W. Andrews (San Diego, USA)
• 2008, 2015 – Fogszabályozási továbbképzési diploma (Oszták Fogorvosi Kamara)
• 2015 óta – Invisalign® Platinum Elite Provider
Oktatói tevékenység
• 1984–1989 A SOTE Gyermekfogászati és Fogszabályozási Klinikájának klinikai oktatója
• 2013–2022 a Semmelweis Egyetem fogszabályozási akkreditált továbbképzője
• 2016 óta Invisalign® Mentoring Faculty Member és Clinical Speaker
• 2018 óta a Semmelweis Egyetem Gyermekfogászati és Fogszabályozási Klinikájának főorvosa
Szakmai tagságok
• A Magyar Állcsontortopédiai és Fogszabályozási Társaság általános alelnöke, az Aligner Divízió elnöke
• A World Federation of Orthodontics (WFO) alapítótagja
• Az American Association of Orthodontists (AAO) nemzetközi tagja
• Az European Orthodontic Society (EOS) rendes tagja
• Az European Aligner Society (EAS) rendes tagja
• Az Osztrák Fogszabályzó Szövetség (VÖK) tagja
• Align Technology – Invisalign® Mentoring Faculty
Tudományos tevékenység
• Előadások bel és külföldi kongresszusokon
• Tudományos cikkek különböző szakfolyóiratokban
• Továbbképzések az Osztrák Fogorvosi Kamara, az American Orthodontics és az Align Technology felkérésére.
Mikor döntött arról, hogy a fogászat számos szakterülete közül a fogszabályozással szeretne foglalkozni?
Harmadéves koromban, a saját fogszabályozó kezelésem során. Szerelem volt az első látásra, mely azóta is tart…
Kit tekint példaképének szakmájában?
Larry Andrews, Will Andrews – ők hozták be a fogszabályozásba az individualitást, ezáltal nem a „magas tudományt”, hanem a pácienst helyezvén a kezelések középpontjába.
Napjainkban a fogszabályozás rendkívüli népszerűségnek örvend. Ön miként ítéli meg e szakterület jelentőségét?
Az esztétikai elvárások manapság fokozottan esnek a latba, és a szakmánknak ennek meg kell felelnie. Pozitív fejlemény, hogy ezáltal nem csak az esztétikai, hanem a funkcionális problémák is megoldódhatnak, melyek eddig a pácienseknél nem mindig jelentek meg igényként.
A szükséges és lehetséges kezelésekről Ön milyen szempontok alapján dönt?
Az én feladatom szakemberként a páciens teljes körű felvilágosítása, mind a szükségességekről, mind a lehetőségekről. Mérlegelve az előnyöket és hátrányokat, a páciens dönt arról, hogy mit szeretne. Ha ez számomra szakmailag elfogad-
„A nagyon közeli jövő orthodontusa több időt fog eltölteni a képernyő előtt, mint a szék mellett”
ható, akkor vállalom a kezelést. De nem megyek bele olyan kompromisszumokba, amiket szakmai vagy etikai szempontokból nem tudok vállalni. Ekkor azt ajánlom, hogy a páciens kérjen egy második, harmadik véleményt, és ezek alapján döntsön.
A mosolyesztétika napjainkban egyre nagyobb hangsúlyt kap a fogszabályozásban is. Ön szerint az ideális okklúzió elérése – megfelelő esztétikai eredménnyel – „csapatmunkát” kíván?
A fogszabályozás mindig csapatmunka, mert egyaránt figyelembe kell venni a funkcionális (gnatológiai, protetikai), esztétikai (konzerváló fogászati), myofunkcionális és fonetikai (logopédiai), valamint adott esetben a sebészeti (fogállcsontsebészeti, implantológiai) szempontokat. Ideális esetben ezen diszciplínák képviselői jól kommunikálnak egymással a minden szempontból optimális eredmény érdekében.
A Clear Aligner készülékek az utóbbi pár évben robbantak be igazán, Ön mit gondol, mik a fő előnyei ennek a készüléknek, és kezelésnek a tradicionális készülékekkel szemben?
A „láthatatlan fogszabályzók”at (alignereket) kezdetben inkább lifestyle eszközöknek tekintették. Jelenlegi technikai fejlettségük mellett a megfelelő(!) rendszerek szinte teljes mértékben átvehetik a tradicionális fogszabályozók szerepét. Az esztétikai előnyök mellett fontos – vagy talán még fontosabb – az aligneres kezelések megbízható tervezhetősége, precizitása, individualitása, a kezelés komfortossága, a szájhigiéne jobb fenntarthatósága.
Mire kell odafigyelni a clear aligner-es kezelések kiválasztásánál?
Elsősorban arra, hogy milyen szakmai és technológiai háttér van az egyes termékek mögött.
Sajnos sok cég főleg marketingeszközökkel és olcsó árakkal próbál teret nyerni, de nem tesz mögé megfelelő technikai hátteret, anyagminőséget és főleg nem követel meg a felhasználótól szakmai tudást vagy továbbképzést. Ezek hiányában pedig a legjobb scanner, 3D nyomtató vagy tervezőszoftver sem fog szakmailag megfelelő kezelést eredményezni.
Hogyan látja Ön a fogszabályozás jövőjét, fogja-e még ennél is jobban befolyásolni a digitális technika térhódítása, milyen változásokat prognosztizál?
Általános paradigmaváltásnak vagyunk tanúi. Ez vonatkozik a páciensek életvitelére és elvárásaira, de ezáltal a szakmánk művelésére is. A digitális technológiák rapid fejlődése egyre gyorsuló tempóban bővíti a lehetőségeinket úgy a diagnosztika, mint a kezelések területén. Az egyes újítások egymást termékenyítik meg, és ezzel új eljárások, lehetőségek tárházát nyitják meg. A legutóbbi „gamechanger” a mesterséges intelligencia, mely mind a diagnosztika, mind a kezeléstervezés és a kezelésellenőrzés területén egyre fokozódóbban asszisztálja az orvos munkáját. A nagyon közeli jövő orthodontusa több időt fog eltölteni a képernyő előtt, mint a szék mellett. Ez azonban nem jelenti a szakmai képzettség nélkülözhetőségét, sőt! A magas szintű szakmai tudás mellé ugyancsak magas szintű információtechnológiai ismeretekre lesz szükség és a folyamatosan bővülő lehetőségekkel párhuzamosan a folyamatos továbbképzésre helyeződik majd a hangsúly.
Mosolytervezés, mely élmény páciensei számára.
Már a konzultáció során segít szemléltetni a kezeléssel elérhető eredményeket. Élethű képei páratlan motivációs hatással bírnak. A program elérhető iTero Element™ Plus Series kezelőegységekre.
it starts with
Klinikailag igazolt hatások:
Gingivitis
Parodontitis
Periimplantitis
Szájüregi Candida-fertőzés
Halitosis esetén
További információért keresse fel standunkat!
Dr. Róth Ivett, Dr. Borbély Judit, Dr. Joós-Kovács Gellért Levente, Dr. Németh Anna, Dr. Pál Adrienn, Dr. Schmalzl Judit, Dr. Somogyi Kata Sára, Dr. Vecsei Bálint, Dr. Vitai Viktória, Dr. Hermann Péter (Semmelweis Egyetem, Fogpótlástani Klinika)
A CAD/CAM (Computer Aided Design/Computer Aided Manufacturing) technológia alapjaiban változtatta meg a fogorvoslás minden szegmensét, a fogorvosi beavatkozások menetét [18].
A digitális innovációk megjelenése a fogászatban új kihívások és célok elé állították a fogorvosokat és a fogtechnikusok is [9, 10].
A gyakorlatban a digitális tervezést, illetve az előállítást (marás vagy 3D nyomtatás) megelőzi a lenyomatvétel, amely történhet digitális úton intraorális szkennerek alkalmazásával [11, 12] (1. ábra).
gó megismerése egy új eszközre való beruházás előtt [5, 12, 16].
Az intraorális szkennerek megjelenésük óta nagy utat jártak be, az elmúlt 10 évben óriási átalakuláson mentek keresztül [12, 13]. Az utóbbi években a fejlődés felgyorsult, számos új intraorális szkenner jelent meg a fogászati piacon. A teljesen új intraorális szkennereken kívül nagyszámú új generációs készülék is bemutatásra került, amelyek alapvetően egy régebbi készülék hardveresen és szoftveresen továbbfejlesztett verziói. A piacon elérhető intraorális szkennerekhez évente (vagy bizonyos esetekben még gyakrabban) szoftverfrissítések is elérhetők, amelyek szintén befolyásolják a készülékek tulajdonságait [14]. A magyar fogorvosok körében is megnőtt az érdeklődés az intraorális szkennerek irányába, ezenfelül az utóbbi években egyre nőtt a megvásárolható intraorális szkennerek száma Magyarországon is [15]. A magyarországi fogászati piacon elérhető intraorális szkennerek – a gyártói információk alapján – csak kismértékben térnek el egymástól. Mindazonáltal a készülékekről releváns szakirodalmi adatok limitáltan állnak rendelkezésre, főként a gyártó cég által megadott adatokra lehet támaszkodni. Az intraorális szkennerek tulajdonságai meghatározzák azok fő indikációs körét és klinikai alkalmazhatóságát, ebből adódóan rendkívül fontos ezek átfo-
A Semmelweis Egyetem Fogpótlástani Klinikáján működő Digitális Fogászati Munkacsoportunk 2011 óta foglalkozik digitális technikák vizsgálatával [2, 1721]. 2018. június 15.én indítottuk vizsgálatunkat, amelyben a Magyarországon elérhető intraorális szkennerek öszszehasonlítását végezzük azonos objektív és szubjektív szempontok alapján. Ugyanebben az évben hoztuk létre weboldalunkat, amely eredményeink megjelenítésére szolgál folyamatosan frissülő, így mindig naprakész formában (http://fogpotlastan.szkennerteszt.testingsolutions.hu/index. php?page=kezdolap) (2. ábra). Vizsgálatunkkal mindig aktuális információkkal szeretnénk szolgálni – ezáltal segítséges nyújtani – azoknak a fogorvosoknak, akik intraorális szkenner vásárlása előtt állnak. Standard szempontrendszerünk az intraorális szkennerek legátfogóbb összehasonlítását teszi lehetővé in vitro és in vivo vizsgálatokkal megalapozva. Vizsgálatunkban nem csak a különböző típusú intraorális szkennerek összehasonlítására nyílik mód, hanem ugyanazon szkennerek előző és új generációs verzióinak, illetve az intraorális szkennerekhez elérhető szoftverfrissítések vizsgálatára is. Az intraorális szkennerek értékelése 6 különböző szempont alapján történik: (a) speciális tulajdonságok összefoglalása és leírása, (b) ergonómiai paraméterek (kézidarab tömeg/szkennerfejátmérő), (c) szkennelési idő és folytonosság megszakadás modell szkennelése esetén, (d) szkennelési sebesség klinikai szkennelés során, (e) pontosság, illetve (f) szubjektív vélemények. A szkennerek többlépcsős vizsgálatára két hét áll rendelkezésre a kidolgozott protokoll szerint. Első lépésben egy szöveges leírás készül a vizsgált intraorális szkennerről, amely tartalmazza a gyártó által a közölt adatokat, a leképezési elvet, a lehetséges kiviteli formákat (például cart, pod), a szkennerek gyártási évét és helyét, a felhasználási indikációkat, a szoftvereket és a szkennelési stratégiákat. A készülékek speciális tulajdonságait a könnyebb áttekinthetőség végett táblázatos formában is megjelenítjük (1. táblázat).
A speciális tulajdonságok az adott intraorális szkennerre jellemző sajátosságok, amelyek a klinikai alkalmazást megkönynyíthetik (pl. több különböző méretű szkennerfej, távirányítás, különböző konfigurációk, nyílt vagy zárt rendszerként működik, hardver specifikumok) vagy amely tulajdonságok birtokában az adott készülék többre képes, mint csupán a digitális lenyomat elkészítése (pl. fogszínmeghatározás, caries detektálás, egyéni mozgáspályák detektálása, prepreparációs szkennelési lehetőség, fogsor munkafolyamat). Ezt követi az intraorális szkenner tömegének és fejkerületének lemérése az ergonómiai tulajdonságok értékeléséhez. A modell szkennelések során a szkennelési idő és a folytonosság megszakadás regisztrációja történik. A
Hardver specifikumok színes érintőképernyő távirányító
nem élethű: 0,5 élethű: 1
nem: 0 igen:1
nem: 0 igen: 1
Konfiguráció egy elérhető konfiguráció: 0
Exportálható fájltípusok/ Digitális munkafolyamat
Nyílt vs. zárt rendszer
több választható konfiguráció: 1
saját felhőalapú platform: +1
zárt: 0
nyílt: 1
Szék melletti rendszer saját szék melletti (chairside) rendszer: +1
Felhasználhatóság
Implantológia: 1
Fogszabályozás: 1
Fogszín-meghatározás: 1
Csonkszín-meghatározás: 1
Egyéni mozgáspályák detektálása: 1
Prepreparációs szkennelési lehetőség: 1
Emergencia profil szkennelés: 1
Csap szkennelés: 1
Lenyomat szkennelés: 1
Fogsor munkafolyamat: 1
Speciális tulajdonságok:
Több különböző méretű szkennerfej: 1
Smile design: 1
Caries detektálás: 1
Egyéb speciális tulajdonság, annak megnevezésével: 1
Egyéb speciális tulajdonság, annak megnevezésével: 1
Egyéb speciális tulajdonság, annak megnevezésével: 1
évenként megújítandó licensz: 0
Támogatás
megvásárlással korlátlan támogatás: 1
szerviz
nincs szakszerviz: 0
külföldi/online szakszerviz: 0,5 hazai szakszerviz: 1
szkennelések során használt PMMA minta: a vizsgálatban résztvevő fogorvostan-hallgatók minden esetben ugyanazt a referencia modellt szkennelték, fejenként 10 alkalommal.
előfordult, hogy külföldi oktatót kaptunk vagy fogorvos/fogtechnikus kolléga jött hozzánk, akik az adott szkenner használatában jártasak voltak. Az oktatást vizsgálatunk fontos részének tartjuk, hiszen ez információt szolgáltat a hazai forgalmazó cég háttértámogatásáról, amely a gyakorlati alkalmazás szempontjából rendkívül lényeges kérdés, hiszen így megtudhatjuk, melyik cég milyen mértékben képes a felhasználó segítségére lenni a később felmerülő kérdésekben. Vizsgálatunk standardizálása végett a szkenneléseket minden esetben fogorvostanhallgatók – fogorvosi felügyelet mellett – végezték (4. ábra)
Infrastruktúra
forgalmazó által szervezett oktatási lehetőség
nem megoldott: 0
külföldi/online: 0,5 hazai: 1
Az intraorális szkennerek speciális tulajdonságait összefoglaló táblázat, illetve az indikációs kört meghatározó tulajdonságokra kapható pontszámok értékei. Az összefoglaló táblázatban összesen 26 tulajdonságot sorolunk fel.
folytonosság megszakadás azt jelenti, hogy egy adott intraorális szkenner a digitális lenyomatvétel során hányszor veszíti el a képet. A vizsgálat ezen részéhez egy polimetilmetakrilát (PMMA) referenciamintát szkennelünk (3. ábra), illetve a pontosság vizsgálatához is ezeket az STL fájlokat használjuk fel. A PMMA modellről egy ipari szkenner (stereoSCAN neo; AICON 3D Systems GmbH, Braunschweig, Németország) segítségével referencia adathalmazt hozunk létre és ehhez hasonlítjuk a vizsgálat során létrehozott fájlokat. A pontosság mérése munkacsoportunk által előzetesen leírt protokoll szerint zajlott [20]. A klinikai szkennelések során a szkennelési idő kerül feljegyzésre teljes állcsont és kvadráns digitális lenyomatvétel esetében. Eredményeinket kiegészítjük szubjektív véleményünkkel, amelyet egy 10 kérdésből álló kérdőív kitöltésével mérünk fel. Az ár–érték arány ismerete végett – a gyártási éveket figyelembe véve – a szkennerek árát is megjelenítjük a weblapon. Fontos kiemelni, hogy a készülékek klinikánkra történő kiszállítási napján a hazai forgalmazóktól oktatást kaphattunk a szkenner használatáról és a szoftverek funkcióiról. Az oktatást eltérő módon oldották meg a forgalmazók: legtöbb esetben a hazai forgalmazó cég képviselői tartották, de
4. ábra: Vizsgálatunkban a mérések fogorvostan-hallgatók bevonásával történtek méréseink standardizálása végett. A hallgatók a digitális lenyomatvételben tapasztalatlanok voltak, de az előzetes oktatáson részt vettek.
A könnyebb összehasonlíthatóság érdekében egy pontrendszert dolgoztunk ki, ahol a szkennerek maximum 30 pontot kaphatnak: 1010 pontot ér az összefoglaló táblázat és a pontosság, 55 pontot az ergonómiai paraméterek és a modell szkennelések időigénye és folytonosság megszakadása. A szubjektív véleményekre, illetve a klinikai szkennelésekre nem kaptak pontszámot a szkennerek, de ezen eredményeket is megjelenítjük weblapunkon, hogy az érdeklődők minél átfogóbb képet kaphassanak a vizsgált készülékekről. Munkacsoportunk a szkennerek értékelésére vonatkozó vizsgálatát nem zárta le, jelenleg is zajlik a Magyarországon elérhető intraorális szkennerek vizsgálata: egységes szempontrendszerünk alapján értékeljük az újonnan megjelenő intraorális szkennereket, illetve a magyarországi fogászati piacon már régóta elérhető készülékek új generációs verzióit, valamint szoftverfrissítéseit is.
A körülbelül 5 éve tartó vizsgálatban eddig 24 intraorális szkennert értékeltünk, 14 gyártótól, 13 magyarországi forgalmazó felajánlásában. Ezek a következők (zárójelben a gyártási hely és év, illetve félkövérrel kiemelve a szoftververzió, amennyiben egy adott készülék esetében több verziót is teszteltünk): Plan-
3. ábra: A modell 1. táblázat:meca Emerald® (SW: 5.1.0) (Helsinki, Finland, 2017), Planmeca Emerald (SW: 6.0.1) (Helsinki, Finland, 2017), Planmeca Emerald (SW: 5.3.3) (Helsinki, Finland, 2017), Planmeca Emerald S® (Helsinki, Finland 2019), GC AADVA® (Leuven, Belgium, 2017), Straumann DWIO® (Basel, Switzerland, 2015), Carestream Dental CS3600® (Atlanta, GA, U.S., 2016), Carestream Dental CS3700® (Atlanta, GA, U.S., 2019), DentsplySirona CEREC Primescan® (York, PA, U.S., 2019), 3Shape Trios3® (Coppenhagen, Denmark, 2015), 3Shape Trios3® wired Pod (Coppenhagen, Denmark, 2015), 3Shape Trios wireless 4 Pod (SW: 20.1.0) (Coppenhagen, Denmark, 2019), Shape Trios 4 wireless Move (SW: 19.2.2) (Copenhagen, Denmark 2019), iTero Element 2® (Amsterdam, Netherlands, 2018), Medit i500 DiOS 4.0® (SW: 2.0.3) (Seoul, SouthKorea, 2018), Medit i500 DIOS 4.0 (SW: 2.3.6) (Seoul, SouthKorea, 2018), Medit i700 ® (Seoul, SouthKorea, 2021), 3DISC Heron (Herndon, United States, 2018), Carestream Dental CS3800® (Atlanta, GA, U.S., 2021), New Life Radiology s.r.l. DIGISMILE (Grugliasco, Italy, 2021), Eighteeth Helios 600 (Changzhou, China, 2021), Straumann Virtuo Vivo (Montréal, Canada, 2019), Ivoclar VivaScan (Schaan, Liechtenstein, 2022), Shining aeroscanner 3 (Hangzhou, China, 2021). (5. ábra) A vizsgálat időpontjában az értékelt intraorális szkennerek a forgalmazó cégek bemutató darabjai voltak, a hazai piacon éppen elérhető legújabb verziók a legfrissebb szoftverrel, amelyeket elsőként mi használhattunk [22].
gyakorlati alkalmazásának értékelésére is alkalmas paraméter: befolyásolja a páciensek komfortérzetét és a szkennelést végző személy munkájának komplikáltságát. Az intraorális szkenner kézidarab tömegének szempontjából megállapíthatjuk, hogy az intraorális szkennerek hardveres fejlesztései tömegnövekedést eredményeztek (pl. CEREC Primescan esetében a kézidarabba épített mikroszámítógép, amely a gyorsabb szkennelést segíti, illetve a Trios intraorális szkennerek esetében a konfiguráció változása) [24]. Az intraorális szkenner fejméret tekintetében egyértelmű következtetés nem vonható le: a kisebb fej alkalmazása kényelmesebb a páciens számára, a nagyobb fejátmérő pedig szakirodalmi adatok alapján pontosabb digitális lenyomatot eredményez [25]. Összességében megállapíthatjuk, hogy eredményeink alapján a folytonosság megszakadás és a szkennelési sebesség szempontjából jelentős különbségek nem mutatkoztak a vizsgált szkennerek között. Az öt leggyorsabb intraorális szkenner időeredménye között nem volt klinikailag érzékelhető különbség (csupán pár másodperces eltéréssel dolgoztak).
Az általunk felállított szempontrendszer objektív paraméterei meghatározzák az intraorális szkennerek fő indikációs körét, ezzel iránymutatást adva a klinikusoknak a legmegfelelőbb intraorális szkenner kiválasztásában. Eredményeinket teljes egészében jelen cikkben nem közöljük, hiszen – ahogy eddig sem – ezután sem célunk sorrendet felállítani a vizsgált intraorális szkennerek között. Részletes eredményeinket weboldalunkon közöljük, azonban az érdeklődőknek mindig azt ajánljuk, hogy azokat öszszességében vizsgálják (esetleg a számukra legfontosabb paramétereket kiemelve).
Az összefoglaló táblázatban az új generációs intraorális szkennerek minden esetben több pontot értek el, mint ugyanazon készülék előző verziója: az intraorális szkennerek hardveres és szoftveres átdolgozása lehetővé tette plusztulajdonságok beépítését. Ilyen tulajdonság többek között a caries detektálás, speciális mozgáspályák rögzítése vagy a fogsor munkafolyamat. A pontosság tekintetében elmondhatjuk, hogy vizsgálataink alapján az újabb generációs intraorális szkennerek megjelenésével és szoftverfrissítésekkel a készülékek pontossága javul [23]. Az ergonómiai tulajdonságok vizsgálata az intraorális szkennerek
A közelmúltban megjelent intraorális szkennerek minden vizsgált paraméter esetében jobb eredményeket produkáltak a régebben megjelent készülékek tulajdonságaihoz képest. Az összefoglaló táblázatban elért pontszámaik magasabbak voltak, átlagosan kevesebb folytonosság megszakadással dolgoztak, pontosabbak és a sebességük is gyorsabb volt. Ez a gyakorlatban azt jelenti, hogy a fiatalabb, új generációs intraorális szkennerek közötti sebességdifferencia klinikailag már nem észrevehető (tehát sem a fogorvos, sem a páciens a gyakorlatban nem érzékeli azt a sebességeltérést, amivel a különböző intraorális szkennerek dolgoznak). Az új generációs intraorális szkennerek megjelenésével a szkennelési időben, folytonosság megszakadásban, pontosságban és az ergonómiai paraméterekben tapasztalható különbségek egyre jobban eltűnnek. Eredményeink alátámasztják azt a megállapítást, miszerint jelenleg a fogászati piacon fellelhető intraorális szkennerek közül több is megfelel a kívánalmaknak a gyakorlati paraméterek tekintetében. A felhasználók aszerint fognak dönteni egyik vagy másik készülék mellett, hogy milyen felhasználási területre szánják, fontosabb szempont lesz az, hogy az adott intraorális szkenner milyen indikációs körre ajánlott. Vizsgálatunkban a készülékek tulajdonságait összefoglaló táblázat az, amely az intraorális szkennerek indikációs köréről a legtöbb információt adja, így a szkennerválasztás során ezek a speciális sajátosságok lesznek hangsúlyosabbak. Az intraorális szkennerek kiválasztásának szempontjai átalakulnak, a felhasználók a számukra legmegfelelőbb, az adott indikációs körhöz legjobban passzoló készülék mellett fognak dönteni.
intraorális szkenner
Elképesztően GYORS1
Elképesztően PONTOS2
Az egyik legkisebb fejméret. 22 mm mélységélesség, szűk területen is. AI-gyorsított szkennelés. Dinamikus harapásrögzítés. Motion Control – érintésmentes léptetés. Csillogó felszín mód. Folyamatos és ingyenes funkciófrissítés. Ingyenes és korlátlan felhő szolgáltatás. Egészségügyi állapot jelentés. Ortho-szimuláció. Modell-készítés.
A legokosabb CBCT
ÚJ: mesterséges intelligencia alapú diagnosztika
CBCT – Panoráma – FaceScan – Teleröntgen –Model Scan
AI-alapú pozícionálás:
– jelzi és javítja a páciens hibás pozícionálását
– még egy 4x4 cm-es FOV helye is tűpontosan pozícinálható – nincs többé lemaradt fog
– automatikus páciens fogív és csontozat felmérés és ehhez igazított sugárzási és fej forgási pálya beállítás
Kiemelkedő precizitás minden
Bevezető ár: 5 699 000 Ft helyett
most bruttó 4 999 000 Ft
„Gyors, tervezhető és nagyon pontos. Mindenkinek csak ajánlani tudom.” (Dr. Dombi Ábel).
„Az egyik legkisebb és az egyik legkönnyebb intraorális szkenner a piacon.” (Institute of Digital Dentistry)
felvételnél és felhasználónál.
120 kV: még jobb kép, még kevesebb káros sugárzás.
FOV: akár 16x17 cm.
Felbontás, alsó+felső állcsont:
75 μm.
Virtuális teleröntgen a 3D felvételből. Audio kapcsolat pácienssel.
CS 3D Imaging: lenyomat + FaceScan illesztés és fúrósablonkészítés opció. Tel.:
Pehelykönnyû (csupán 19 g)
Mint vezetô lupe gyártó, tudjuk, hogy mennyire fontos, hogy egy, az arcán viselt optika lehelet könnyû legyen. Ezért fejlesztette ki a gyártó a Flamingo termékcsaládot, hogy mint már meglévô lupéjának egy felettébb ergonomikus kiegészítôjeként, tökéletes szolgáltatást nyújtson Önnek, járulékos fizikai megterhelés nélkül.
Integrált kamera és lámpa
Intenzív megvilágítás kiemelkedôen fontos mind a fókusz, mind pedig a minôségi képalkotás számára. Mivel a Flamingo fejlámpa és kamera integrált rendszer, a kamera folyamatosan és precízen fókuszban marad a megvilágítást kibocsájtó lámpa fényének fókuszával. Miáltal a fejlámpa a fején közelebbi munkatávolságban van a mûtôlámpához képest, nem fog beárnyékolni, kitakarni saját magának.
A kezelés valós idejû megjelenítése mindössze 0,01 mp. késedelemmel
Full HD video
Ultra sima, full HD minôségû 1080p / 30 fps élénk színben pompázó video rögzítési képesség
Valósághû mozgás
Az Admetec PowePack akkumulátorral az övén, vagy zsebében, párját ritkító kényelemmel és felhasználóbarát tulajdonságokkal felruházva, csupán egy zavarszûrô vékonyka kábellel csatlakozik a Flamingo (kamera és lámpa) a PowerPack akkumulátorához. A Flamingo szett 2 db. akkumulátort tartalmaz, s így egy akkumulátor dolgozik, míg a másik a töltôn áll készenlétben.
Admetec szabadalmaztatott szoftvere
mely lehetôvé teszi a rögzített videó vágását és dokumentálását. Automatikus szoftver után követés újabb verziókra a rendszer része.
Széles választékunknak köszönhetően minden páciense számára megtalálhatja a neki megfelelő elektromos fogkefét és fogkefefejet.
Biztosítson számukra kedvezményes vásárlási lehetőséget!
Lépjen velünk kapcsolatba! Szeretne még többet megtudni Sonicare termékeinkről és kedvezményes lehetőségeinkről?
Keresse bizalommal fogorvoslátogatóinkat!
Kemenes Andrea
Terület: Buda és
Nyugat-Magyarország
Tel.: +36-70/375-6743
E-mail: andrea.kemenes@philips.com
Varga Dorottya Zsófia
Terület: Pest és
Kelet-Magyarország
Tel.: +36-70/375-6722
E-mail: dorottya.varga@philips.com
Lakos Gábor Zoltán
Terület: Pécs és
Dél-Magyarország
Tel.: +36-70-375-6731
E-mail: gabor zoltan.lakos@philips.com
https://www.philips.hu/c-e/pe/szakertok-szamara.html
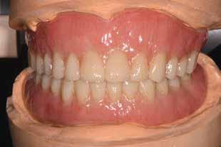
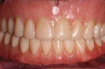
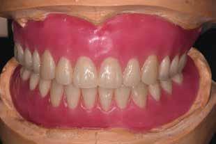
Bevezetés
Az azonnali, implantátumokkal megtámasztott teljes íves fogpótlások jól bevált, és egyre inkább elfogadott kezelési módot képviselnek a teljesen fogatlan betegek rehabilitációjában.1,2 Az ilyen típusú helyreállítások esetében átlagosan 5 éves követési időszakban 98%os túlélési arányról számoltak be.3 Az alsó állkapocs kedvező csontminőségnek és anatómiának köszönhetően az azonnali teljes ívek helyreállítása még nagyobb sikerarányt mutatott.4 A digitális technológiák, mint például a sablonnal végzett implantátumbeültetés és a számítógéppel segített protézistervezés és gyártás, képesek megkönnyíteni a diagnózist, a kezelés megtervezését és jelentősen javítják a sebészeti beavatkozásokat, ezáltal kiszámíthatóbb és hatékonyabb kezelést biztosítanak.5,6 Különösen a bonyolult sebészeti eljárások – mint például a teljes ív rekonstrukciója – jelentős mértékben profitálhatnak ezekből az előnyökből, amelyek csökkenthetik a kezelés idejét és az invazivitást a beteg számára.5,7
A digitális technológiákhoz való hozzáférést az anyagi és időkorlátok akadályozhatják, valamint az ilyen technológiákhoz kapcsolódó meredek tanulási görbe.8,9 A közelmúltban a digitális munkafolyamatok elérhetővé váltak egy kihelyezett szolgáltatás részeként: Smile in a Box (Straumann). Ez segíthet a hagyományos munkafolyamatokat használó szakembereknek, hogy könnyen élvezhessék a digitális technológiák előnyeit anélkül, hogy először le kellene küzdeniük az első hozzáféréssel járó akadályokat. Ez az esettanulmány egy hagyományos teljes fogsor sikeres azonnali átalakítását írja le azonnali teljes ívű restaurációvá a Smile in a Box által biztosított kiszervezett, teljesen digitális munkafolyamat alkalmazásával. A Straumann Pro Arch protokoll alkalmazása a Smile in a Box funkcióval kombinálva lehetővé tette számunkra, hogy könnyen hozzáférhessünk egy teljesen digitális munkafolyamathoz, amely hatékonyan integrálható a hagyományos protetikai munkafolyamatunkba, továbbá rendkívül kielégítő klinikai eredményt biztosít.
Klinikánkon egy teljesen fogatlan, hagyományos akrilát fogpótlással helyreállított 65 éves férfi beteg jelentkezett, aki nem kielégítő alsó fogsorretencióra és az azzal járó problémákra panaszkodott, beleértve a kifejezetten az alsó fogsorához kapcsolódó gyenge beszéd és rágásfunkciót. A klinikai vizsgálat gömbölyűtől a késhegyig terjedő mandibulagerinc formát és megfelelő vertikális, de nem megfelelő vízszintes csontmennyiséget állapított meg, különösen a hátsó területen (1. ábra) 10
A diagnosztikai panoráma röntgenfelvételen a mandibula íve mérsékelt IIIIV. osztályú atrófiával és megfelelő térfogatú, viszonylag sűrű III. típusú kortikális csonttal jelentkezett az interforaminális területen (2. ábra).
A betegnek jól kontrollált 2es típusú cukorbetegsége és jól kontrollált magas vérnyomása volt. Nem azonosítottak olyan
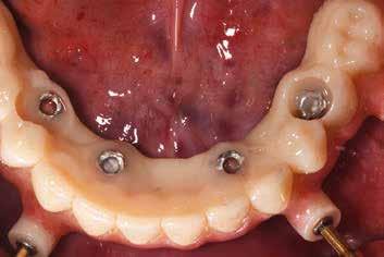
témás vagy lokális kockázati tényezőket vagy ellenjavallatokat, amelyek kizárták volna a pácienst az implantációs kezelésből. A különböző kezelési lehetőségekről, azok előnyeiről és korlátairól szóló alapos megbeszélést követően a páciens egy implantátumokon megtámasztott alsó fogsort kombinálva egy új, hagyományos felső teljes kivehető fogpótlást részesített előnyben.
A hagyományos teljes kivehető fogpótlási technikákkal a kezelési stratégia a felső és alsó állcsont kapcsolatának és az okkluzális vertikális dimenzió és a fog helyzetének meghatározását foglalta magában, majd az alsó rögzített restauráció előállításához ezeket használták fel referenciákként (3. ábra) 11
A virtuális páciensmodell generálásához az adatgyűjtés kettős CBCTvizsgálaton alapult, egy radiográfiás sablon segítségével, amelyet az új, hagyományos fogsor alapján készítettek el (4. ábra) 12 Az egyenlő távolságú radiopák jelölőket (guttapercha) a sablon vesztibuláris pereme mentén helyezték el, hogy lehetővé tegyék a radiográfiás sablont viselő páciens és a csak sablon szkennelések egyedi DICOMadatkészleteinek precíz illeszkedését (5. ábra). Az alsó állkapocs hagyományos műfogsorának rögzített implantátummal megtámasztott pótlássá való átalakítása egy külső teljesen digitális munkafolyamat (Smile in a Box) segítségével valósult meg. A kettős CBCTvizsgálatból származó DICOMadatkészletek felhasználásával a Smile in a Box csapata létrehozta a virtuális páciensmodellt. E modell alapján a csapat feltárta a lehetőségeket az implantátummal való helyreállításra vonatkozó koncepciókat és a coDiagnostiX műtéti tervező szoftver (Dental Wings) használatával a kapcsolódó sebészeti protokollokat és sebészeti sablonokat. Ezt követő-
en a csapat megtervezte az azonnali ideiglenes fogpótlást a CARES Visual szoftverrel (Straumann). A Smile in a Box csapata és az orvosok virtuális tervezési ülések során feltárták, validálták és jóváhagyták a tervezett fogpótlások és kezelési koncepciók konkrét részleteit és szempontjait. A jóváhagyást követően a műtéti sablonokat, az ideiglenes restaurációt, az implantátumokat, valamint a teljes műtéti kezeléshez szükséges további protetikai alkatrészeket és sebészeti eszközöket a Straumann csapata kényelmesen összeállította, és mindent egy szállítmányban a klinikánkra juttatta. A terv konkrétan az első nagyőrlőtől az első nagyőrlőfogig történő interforaminálisan behelyezett négy BLX Roxolid SLActive implantátum (Straumann) megtámasztású protetikai helyreállítást foglalt magában, amely két elülső 3,75 × 12,00 mmes implantátumból áll a 42. és 32. pozícióban, valamint két 4,75 × 12,0 mmes implantátumból a 45. és 35. pozícióban. A hátsó implantátumok 17°os megdöntése növelte az anteroposterior kiterjesztést, és segített csökkenteni a disztális protetikai szabad végeket, elkerülve a csontpótló beavatkozások szükségességét (6. ábra).13 A tervezett műtéti sablonok egy a csaprögzítéshez szükséges csapsablon és az implantátum behelyezésére szolgáló sebészeti sablon kombinációjából állnak. Mindkét sablont a kresztális nyálkahártya és négy rögzítőcsap támasztotta alá a 46., 43., 33. és 36. pozíciókban (7. ábra)
Sebészeti beavatkozás
A műtét helyi infiltrációs érzéstelenítésben történt. Az alsó állkapocs csapvezetőjének megfelelő illeszkedését és pozícióját az alveoláris gerincen a felső radiográfiás sablonnal okklúzióban ellenőrizték (8. és 9. ábra). A rögzítőcsapok helyes elhelyezése után a csapsablont eltávolították, és a sebészeti sablont helyezték fel majd a rögzítőcsapokkal rögzítették (10.
A fúrás előkészítése a coDiagnostiX által előírt utasítások és műtéti protokollok szerint történt, beleértve az alveoláris csonthoz való meghatározott hozzáférés előkészítését egy nyálkahártyalyukasztóval (átmérő: 4,7 mm), az alveoláris gerinc lesimítását egy fúróval (meziális átmérő: 3,5 mm; disztális átmérő: 4,2 mm) és az előfúrást egy 2,2 mm átmérőjű VeloDrill (Straumann) próbafúróval 800 ford./perc sebességgel (11. ábra) végezték. Az összes fúrást 2,8 mmes végső átmérőre készítették elő a jó primer stabilitás elérése és a nagyfokú sebészeti rugalmasság megőrzésének érdekében.14–16 BLX
tátum protézis emergencia profiljaihoz. Ezt követően a titánfejek hosszát az ideiglenes restauráció körvonalaihoz igazították, és az implantátum pótlásra felerősítették. Majd az ideiglenes restaurációt behelyezték, a horgonycsapokkal rögzítették, és a titánfejekhez folyékony kompozit segítségével rögzítették (14. és 15. ábra)
A digitális előtervezésnek köszönhetően funkcionalitás és esztétikai szempontból optimális eredményeket értek el
implantátumot helyeztek be a motoros kézidarab segítségével, majd manuálisan folytatták és ellenőrizték a megfelelő behelyezési nyomatékot, ami >35 Ncm volt (12. ábra)
A sebészeti beavatkozást közvetlenül követte az azonnali ideiglenes fogpótlás rögzítése, amely magában foglalta a csavarrögzített műcsonkok becsavarását 35 Ncm nyomatékkal, majd az ideiglenes pótlás bepróbálását és rögzítését (13. ábra). Megvalósult az előre gyártott ideiglenes pótlás optimális illeszkedése az implan-
(16. ábra). A felső teljes protézissel kielégítő volt az okklúzió, és nem volt szükség beállításra. A páciens azonnal optimálisan alkalmazkodott az új ideiglenes fogpótlás fonetikájához és funkciójához, arról számolt be, hogy nagyon örül és elégedett az azonnali ideiglenes fogpótlás esztétikai és funkcionális eredményével.
A bemutatott eset egy hagyományos alsó teljes műfogsor átalakítását szemlélteti implantátum által megtámasztott
rögzített teljes ívű restaurációvá a Straumann Pro Arch és a Smile in a Box segítségével. A meglévő restauráció átalakítása egy új stabil, hagyományos fogsor előállítását jelentette, miután az alsófelső állcsontviszonyokat és az okklúziós vertikális méreteket a hagyományos laboratóriumi munkafolyamatokkal helyreállították.
A Smile in a Box megkönnyítette a gyors és egyszerű hozzáférést a digitális munkafolyamatokhoz, biztosítva a precíz, protetikailag vezérelt implantátumtervezést, az irányított, lebeny nélküli implantátumbehelyezést és az azonnali helyreállítás előnyeit.6,8
A kiszervezett munkafolyamat tökéletesen integrálható a meglévő klinikai és protetikai rendszerünkbe. A kiszervezett
munkafolyamatok zökkenőmentes integrációjához és a páciens számára optimális eredményhez hozzájáruló kulcsfontosságú sikerkritériumok közé tartozott a megfelelő és pontos adatgyűjtés, valamint a Smile in a Box csapatával való kommunikáció. Ez lehetővé tette a virtuális tervezési modellek előremutató meghatározását és jóváhagyását a csapat által biztosított coDiagnostiX és CARES Visual vizualizációi alapján. A csapattal folytatott hatékony kommunikáció azt is biztosította, hogy az azonnali implantátumbehelyezéssel és az azonnali helyreállítással kapcsolatos összes többi kritikus tényezőt megfelelően kezeljék anélkül, hogy le kellett volna győzni a digitális technikákkal kapcsolatos kezdeti tanulási nehézségeket.8
Az alveoláris gerinc lesimítása fúróval (b). Kísérleti fúrás 2,2 mm átmérőjű VeloDrill próbafúróval (c).
12. a–c ábra: A fúrás és az implantátum beültetés véglegesítése (32. pozíció). Végső fúrás 2,8 mm átmérőjű VeloDrill fúróval (a). BLX Roxolid SLActive 3,75×12,00 mm-es implantátum (Straumann) (b). Implantátum behajtás motoros kézidarabbal (c).
13. a–c ábra: Okkluzális nézet az implantátum beültetése után, a csavaros felépítmények behelyezése és az ideiglenes restauráció rögzítése.
14. a–c ábra: A megrövidített titánfejek beépítése és az ideiglenes restauráció rögzítése.
15. a–f ábra: A véglegesített ideiglenes fogpótlás a beépített titánfejek beépítése előtt és a rögzítőcsapok eltávolítása után (a–c), valamint a végső polírozás (d–f). Az egyes képeken az okkluzális, frontális és alulnézetben látható.
16.
ábra: Azonnali ideiglenes fogpótlás a műtét napján.
A Smile in a Box alkalmazása a Straumann Pro Arch protokollhoz kényelmes és zökkenőmentes hozzáférést tett le-
hetővé a digitális munkafolyamatokhoz egy hagyományos teljes műfogsor azonnali rögzített teljes ívű pótlássá történő átalakításának érdekében. Forrás: Digital 2022/1
AZONNALI TERHELÉS PROTOKOLOKRA KIFEJLESZTVE
Kúpos forma az optimális primer stabilitásért
FENNTARTÁSA
Kevesebb megtapadó baktérium és egyszerűbb
tisztíthatóság
Egyfázisú folyamat, amely szöveti szintű restaurátumot és jobb szék melletti időkihasználást tesz lehetővé
A Straumann TLX implantátum rendszer kialakításánál számításba vették a keményés lágyszövet gyógyulás kulcsfontosságú elemeit.
Az implantátum-felépítmény kapcsolat távolabb került a csonttól, ezzel jelentősen csökkentve a gyulladás, valamint a csontreszorpció esélyét.
Keresse helyi Straumann képviselőjét vagy látogasson el a www.starumann.com/tlx oldalra!
Mit jelent ma a digitális fogászat? Ha egy rendelőben szkennerrel vesznek digitális lenyomatot, ha egy laboratóriumban CAD/CAM technológiával „cirkon” vázat marnak, digitális fogászatról beszélünk, pedig a digitális fogászat ennél sokkal komplexebb szemléletváltást jelent a fogászatban. A digitális munkafolyamatok, a CAD/CAM technológia, a marás, nyomtatás és a korszerű CAD/CAM anyagok olyan lehetőségeket nyújtanak, amelyek teljesen átalakítják a fogpótlástanban hagyományosan alkalmazott eljárásainkat és az új anyagokkal, új útvonalakon, új megoldásokban kell gondolkodnunk, ugyanakkor új kihívásokkal nézünk szembe nap mint nap. A kézzel készített restaurátumok magas színvonala és kiemelkedő esztétikája csak néhányak számára elérhető, míg a korszerű digitális technológia megismételhető, állandó és kiszámítható eredményeket ígér mindenki számára. Az előadás középpontjában az áll, hogyan tudjuk a legjobban kihasználni a digitális technológia kínálta lehetőségeket, a korszerű anyagokat, a mosolytervezés, a digitális wax-up, a motivációs és funkcionális mock-upok és az intraorális szkennelés lépéseit, valamint a copy-paste dentistry megbízhatóságát a mindennapos gyakorlatban.
10.25-11.10 Dr. Felkai Tamás: Digitalizálás az orthodonciában és az aligner technika – az elmúlt 25 év rövid története – áldás vagy átok?
A még viszonylag fiatal XXI. században már egy paradigmaváltás ment végbe a fogszabályozásban. Sok minden változott meg… a diagnosztikai lehetőségektől kezdve a kezelések tervezhetőségén át a CAD/CAM gyártásig és a kezelések távoli monitorozásáig. Ezek új távlatokat nyitottak meg a terápiákban az orvosoknak, és jobban megfelelnek a mai követelményeknek a páciensek számára is. Ez a digitalizálás hozta áldás.. A változásokra természetesen reagált az ipar is. Sőt, részben generálta azokat ! Létrejött a lehetőségeknek egy olyan tárháza, melyben már nehéz eldönteni, hogy mi a hasznos, és mi az öncélú. Ez a digitalizálás átka... Ezért mindkét félnek – az iparnak és az orvosoknak is – kötelessége, hogy kiszűrje az egyre szaporodó lehetőségek közül azokat, melyek valóban hasznosak a páciensek és az orvosok számára. Az előadásom célja ezeknek a lehetőségeknek-az áldásoknak és az átkoknak- a rövid ismertetése.
Annak érdekében, hogy mind az esztétikai, mind a funkcionális célokat elérjük, precíz tervezésre van szükség a fogorvosi és fogtechnikai csapat tagjai között. Ebben jelent komoly segítséget és szakmai előnyt az egyre bővülő digitális technológiák ismerete és alkalmazása. Az előadás során esetek segítségével kerülnek bemutatásra a rendelőnkben alkalmazott munkafolyamatok, amelyek során az esztétikai rehabilitációkat végezzük.
12.15-13.00 Dr. Daniel
A technológia alapvető információkkal és innovatív ötletekkel alakítja a jövőt. A fogszabályozás területe, a hardver, a szoftver és az ember együttesen, gyorsan változik, valószínűleg gyorsabban, mint történelme során bármikor. Ha úgy gondolja, hogy az ember a legértékesebb érték a vállalkozásában, akkor kommunikálnia, terveznie és következetesnek kell lennie. Az előadás középpontjában a modern digitális munkafolyamatok állnak majd, Clear Alignerekkel és interdiszciplináris megközelítésekkel, valamint a jobb higiéniát, a kezelés következő szintű nyomon követését és a fokozott kiszámíthatóságot célzó intelligens szkennelési technológia alkalmazásával.
14.00-15.30 Dr. Filipa de Almeida:
Ezen az előadáson a résztvevők megismerhetik a Spark Clear Aligner rendszer jelenlegi állását, megismerhetik a rendszer fejlődését az idők folyamán, valamint a jelenlegi funkciókat és eszközöket a maloklúziók teljes spektrumának kezelésére. Emellett az AI és a kommunikáció fontossága a Spark kezelések tervezésében és nyomon követésében is a középpontban lesz, egyértelmű tippekkel és trükkökkel az esetek általános kiszámíthatóságának növelése érdekében. A Spark eszközeinek és funkcióinak felhasználásával számos maloklúzió kezelésére szolgáló fogszabályozási protokollok megemlítése is az előadás kulcsfontosságú részét képezi, hogy a fogszabályozó orvosok zökkenőmentesen, klinikai preferenciáiknak megfelelően tervezhessék meg eseteiket.
Digitális háromdimenziós technológiák fejlődésével az egészségügy egyre több területén van lehetőség sebészeti beavatkozások pontos virtuális tervezésére. Háromdimenziós anatómiai modellek és különböző sebészeti sablonok egyre népszerűbbek különböző parodontális és szájsebészeti beavatkozások tervezésében és kivitelezésében. Pontos 3D tervezés és egyedileg gyártott intraoperatív segédeszközök alkalmazása a bonyolultabb sebészeti beavatkozások kimenetelét is kiszámíthatóbbá teszik. Szájsebészeti és parodontális sebészeti beavatkozások virtuális tervezéséhez szükséges a megfelelő részletességű „virtuális páciens” modell előállítása, melyet CBCT felvételek 3D rekonstrukciójával és intraorális szkennek térbeli illesztésével érhetünk el. Ezáltal valósághű módon képezhetőek le a keményszövetek, a lágyszövetek és ezek egymáshoz való viszonya is. Az előadás célja, hogy bemutassa a „virtuális páciens” modellek és a virtuális tervezés előnyeit különböző parodontális sebészeti, gerincprezervációs, gerincaugmentációs és implantációs sebészeti beavatkozások során.
16.15-17.00 Dr. Mikolicz Ákos:
Chairside CAD/CAM restaurátumok a mindennapi gyakorlatban
A modern szék melletti (chairside) CAD/CAM rendszerek lehetővé teszik, hogy pácienseink számára akár egy ülésben készíthessünk magas minőségű esztétikus restaurátumokat, legyen az betét, korona vagy kisebb hidak. Ennek számos előnye van, pl. hogy a restaurátum akár 1,5 órán belül elkészülhet a preparációtól kezdve a digitális lenyomatvételen, tervezésen, maráson át a ragasztásig. Az előadás bemutatja a minden gyakorló fogorvos számára egyszerűen elsajátítható szék melletti CAD/CAM rendszerek használatát, és mindennapi gyakorlati tippeket ad azok minél hatékonyabb alkalmazásához.
A 3shape digitális rendszerei, szkennerei és szoftverei a prémium minőséget jelentik a fogászati CAD/CAM területén. A fogtechnikai laboratórium digitalizálása mellett elsőként jelentkeztek digitális lenyomatvételi eszközzel a fogászati piacon. A TRIOS immár a 4. generációját éli, és – a gyártó a CAD/CAM technológia területén felhalmozott óriási tapasztalatának köszönhetően – már teljes alsófelső kivehető protéziseket, fix restaurációkat, nagy fesztávú implantátumokon elhorgonyzott fogpótlásokat is biztonsággal készíthetünk digitális lenyomatai alapján.
A 3shape TRIOS szkennerek testhőmérsékletre fűtött fejei biztosítják a higiénikus páramentesítést, a szkennelési folyamat során semmilyen segédanyag használatára nincs szükség. A kézidarab kialakítása ergonomikus, a szkenner feje 180 fokkal elfordítva is felhelyezhető, így a felső állcsontról is egyszerű a lenyomatvétel. A fejek autoklávban tisztíthatók, fertőtleníthetők. A TRIOS 3 Wireless és a TRIOS 4 készülékek vezeték nélküliek, ami szabadabb használatot biztosít, valamint csökkenti a leejtés, lerántás, gabalyodás kockázatát.
A 3shape intraorális szkennerek nagyszerűségén túl a TRIOS szoftvere egyedülálló. A szkennelést segítő beépített
bemutatót készíthetünk a páciens számára. Ilyen például a kezelések közötti idő alatt történő szájképlet változásokat nyomon követő applikáció, a TRIOS Patient Monitoring, amely hasznos segítséget nyújt a fogorvos
Nyári 3Shape akció a Dental-Trade-nél!
E1 szkenner Dental System®
AI mesterséges intelligencia 3shape szabadalom segítségével a lenyomatvétel során digitalizált oda nem illő részeket (nyelv, belógó pofai részek stb.) a szoftver automatikusan eltávolítja, a szkennelt adatokat megtisztítja, lejavítja. Ez egyedi funkció, csak a 3shape TRIOS esetében elérhető, a fogtechnikai modellépítő alkalmazások számára a TRIOS adataiból nagyon egyszerű a modellkészítés. A ké szülék a felületi szkennelt adatok alapján nagy pontossággal fogszínt is mér, emellett a TRIOS 4 alkalmazási területét egy szuvasodást diagnosztizáló funkcióval is bővítette a gyártó. A szoftver komplex adatbáziskezelő funkcióval rendelkezik, a páciensek nyilvántartása egyszerű és átlátható. A szoftverben lévő alkalmazások használatával a beteggel történő kommunikáció nagymértékben egyszerűsödik, mosolytervet, fogszabályzó kezelést imitáló
A szkennelésen túl a TRIOS szoftvere bővíthető olyan modulokkal, melyek segítségével, szék melletti munkavégzéssel, a beteg számára megvárható, azonnali fogpótlás, átlátszó fogszabályzó készülék, komplex implantációs protokoll készíthető. Így a rendszer ún. chairside megoldásokra is alkalmas amellett, hogy gyorsasága, stabilitása és pontossága nagy fesztávú, nagy volumenű restaurációk készítésére is predesztinálja. A 3shape TRIOS teljesen nyitott rendszer, az .stl és .dcm formátumok könnyedén kiexportálhatók és feldolgozhatók más gyártók rendszereiben. Ennélfogva a TRIOS teljes körű orthodonciai kezeléshez éppen úgy kapcsolható, mint hagyományos fogpótlás készítéshez.
Crown&Bridge tervezőszoftverrel
Most 15% kedvezménnyel!
E3 szkenner Dental System® tervezőszoftverrel
Most 27% kedvezménnyel!
18.990 EUR + Áfa helyett
13.850 EUR + Áfa
A TRIOSt használó fogorvosok mindig a gyártó által biztosított legfrissebb verzión használják szkennerüket és szoftver alkalmazásaikat.
E4 szkenner Dental System®
Complete Restorative tervezőszoftverrel
A 3shape TRIOS intraorális szkennerek laptopról vezérelt, hordozható POD változatban, illetve állványos, beépített számítógépes, érintőképernyős MOVE + kivitelben rendelhetők.
Most 27% kedvezménnyel!
28.500 EUR + Áfa helyett
20.800 EUR + Áfa
Újdonságként a 3shape TRIOS intraorális szkennerei már licencdíjmentes változatban is elérhetők.
Választható LabCare vagy Basic csomagban.
LabCare: szoftverfrissítések és terméktámogatás éves díj megfizetése mellett.
Az ajánlat tartalma: HP PC, üzembehelyezés, betanítás, CAD tervezőszoftver és szkenner.
A 3shape TRIOS intraorális szkennereket az érdeklődők kérésére a DentalTrade Kft. szervezésében ki lehet próbálni, akár élő páciensen, előre szervezett munkafolyamat részeként.
További részletekért keresse a www.dentaltrade.hu oldalt!
Intraorális szkennelés, ami egyszerűen észszerű
30%-kal kisebb és
20%-kal kön�n�ebb, mint a
TRIOS 4
Kalibrációmentes technológia, ultrahigiénikus megoldások
ScanAssist –szkennelési stratégiától független, könnyű szkennelés
24 órás akkumulátor kapacitás
2023. október 12-13-14.
Találkozzunk Európa fogászati eseményén Budapesten
KONGRESSZUSI PROGRAMOK ELŐZETES ELŐADÓI
Vegye meg most kongresszusi jegyét Ultra Early Bird kedvezménnyel!*
1 témakörű kongresszus: 50 000 Ft
(esztétika, implantológia, endodontia, orthodontia)
Teljes ár: 100 000 Ft
All access: 75 000 Ft
(mind a négy témakörű kongresszusra belépést biztosít)
Teljes ár: 150 000 Ft
*A kedvezmény 2023. március 31-ig érvényes.
Visszafordíthatatlan fogbélgyulladás
A Biodentine™ képes a visszafordíthatatlan fogbélgyulladás tünetei ellenére is megmentei a fogbelet*
A Biodentine™ egyedülálló elo˝nye, hogy a visszafordíthatatlan fogbélgyulladásos esetek 85%-át** képes visszafordítani:
• A Vital Pulp Therapy leheto˝vé teszi a teljes dentinhíd kialakítását
• Minimálisan invazív kezelés a fogstruktúra mego˝rzéséért
• Azonnal fájdalomcsillapítás a beteg kényelméért
• Bio Bulk töltési eljárás az egyszeru˝sített protokollért
Természet alkotta innováció
További információért látogassa meg weboldalunkat www.septodont.com
▶ Egyfázisútechnika
▶ Azonnaliterhelésesprotokoll
▶ Egyedülállóprimerstabilitás
▶ Azegyetlentökéletesimplantátum-felépítmény „kapcsolat”–nincsmikromozgás
▶ Polírozottfelszín–nincstöbbéperiimplantitis
▶ Csontpótlásmentes,apáciensszámáraisigazán egyszerű,gyors, költséghatékonyimplantológia*
*Aköltséghatékonyság aztfejeziki,hogyazonoshatásosság(eredményesség)milyenköltséggel(ráfordítással) érhetőel.Aleginkábbköltséghatékonyazazeljárás,technológia,amelyikalegkisebbráfordítássalalegnagyobb eredménytériel.Azaz egészségügyitechnológia tekinthetőköltséghatékonynak,amelyazakárszűkösenrendelkezésreállóerőforrásokbólalehetőlegtöbb egészség-nyereséget termeli,illetveaztalegkisebberőforrás felhasználássalállítjaaztelő. (Azegészségügyifogalomtáralapján.)
A 10 éves Alpha Implant Kft. a hagyományos munkafolyamatok mellett a digitális workflow minden lépésére megoldást kínál. A digitális technika fejlődése a fogászati piacon is egyre nagyobb teret hódít. Ebben nyújt
segítséget a 6 lépésből álló Alpha Digital Workflow, amely az intraorál scanneléstől a kész fogmű behelyezéséig terjed. Ne zárja magát keretek közé, lépjen az Alpha Implant Kft.-vel a Digitális Szabadság Világába!