

A Dental Press másfél évtizede döntött arról, hogy a Dental World őszi rendezvényeit megelőzően, tavaszonként is szervez egy továbbképző kongresszust azzal a céllal, hogy több, olyan kiemelten fontos kérdést mutasson be mind elméleti, mind gyakorlati megközelítésben, melyek a fogászat vezető témái az adott esztendőben.
Éveken át sikerült ezt a szándékunkat realizálni is, majd sajnos – nem várt külső körülmények miatt – ez a folyamat megszakadt.
2023-ban szeretnénk ismét visszatérni a korábban sikeresen megtartott programjainkra, így idén már a VIII. Upgrade Congress – Fogászati Kongresszus és Kiállítás megrendezésére kerül sor, melyen közel 60 kiállító is várja majd az érdeklődőket. A kiállítás helyszínén a következő díjmentes programok látogathatók: Live Demo, Alpha Bio Buborék Bár, Flexi kávézó.
A kongresszusok programjait az esztétika, az endodontia, az implantológia, az orthodontia, a digitális fogászat és prevenció témaköréből állítottuk össze, melyeken közel 40 előadás hangzik el. A fogorvoslás tudománya állandóan fejlődik, változik. Újabb és korszerűbb anyagok, eszközök, eddig nem ismert technikák, módszerek gazdagítják folyamatosan a gyógyítás lehetőségeit, és természetesen egyre fokozódnak a páciensek elvárásai, igényei is. Így az ismeretek kiegészítésére, aktualizálására mindig szükség van, ehhez szeretnénk hozzájárulni a most megrendezésre kerülő VIII. Upgrade kongresszussal is.
Megítélésünk szerint a rendezvényen való jelenlét – az ismert és elismert rangos előadóknak, valamint a sokszínű programnak is köszönhetően – segíthet a fogorvosok naprakész tudásának a bővítésében, a szélesebb körű tájékozódásban, valamint abban, hogy a különböző szakterületek újdonságai iránt érdeklődők hasznos, a napi gyógyító munkában is jól alkalmazható ismeretekhez jussanak.
A VIII. Upgrade kongresszusra – az eddigi tapasztalatainkat is figyelembe véve – még nagyobb körültekintéssel készülünk, és bízunk abban, hogy a két nap után az érdeklődők megelégedéssel távoznak majd az előadásokról és egyéb programjainkról egyaránt.
MOTTÓNK: KÉT NAP A JÖVŐÉRT!
Hasznos és tartalmas előadásokat, programokat kívánva, tisztelettel: Laczkó Tamás, a rendezvény főszervezője
Kiállítás helyszíne
Hungexpo Vásárközpont, 1101 Budapest, Albertirsai út 10. „C” kongresszusi központ
Kiállítás nyitvatartása
2023. március 24., péntek: 08.30–18.00, 2023. március 25., szombat: 08.30–17.00
A kétnapos rendezvény alatt közel 60 szakkiállító várja az érdeklődőket, a kiállítás megtekintése díjmentes, de regisztrációköteles.
Kongresszusi regisztráció
2023. március 24–25. reggel 8 órától. A regisztráció a szakmai programokra kötelező.
A regisztráció a Hungexpo „C” kongresszusi központ bejáratánál található.
Kreditpont
A kongresszusok 2 napi programjainak összpontértéke: 16, napi pontérték: 8
A tanfolyamok a szakma szerinti kategóriába tartoznak (szakképesítések, amelyekhez szakma szerinti pontszámként elszámolható: 1. arc-állcsont-szájsebészet, 2. dento-alveoláris sebészet, 3. fogszabályozás [fogorvos], 4. konzerváló fogászat és fogpótlástan), vizsga nincs, a kreditpont-igazolást a rendezvényt követően küldjük el. A szakmai programokban a változtatás jogát fenntartjuk.
Megközelítés, parkolás
Az Albertirsai és a környező utcákban díjmentes parkolási övezet található.
A rendezvény megközelíthető tömegközlekedéssel is:
Az Örs vezér tere metrómegálló és a Hungexpo vásárváros között a rendezvény napjain is közlekedik a 10-es autóbusz. Az M2-es metró Pillangó utcai állomásától a Hungexpo vásárváros főbejárata körülbelül 15 perces sétával elérhető.
Kedvezményes árak időtartama
03. 06-tól
1 VÁLASZTOTT KONGRESSZUS: esztétika-endo / implantológia
Digital & Ortho Kongresszus: 24 000 Ft
Prevenciós Kongresszus: 19 500 Ft
Jelentkezzen legkésőbb március 20-áig weboldalunkon:
Március 21-től már csak személyesen, a rendezvényen tud jegyet váltani.
Várjuk szeretettel a lenti élményhelyszíneken a kiállítás 2 napja alatt!
Kónya János, Bozsányi Lajos: Kreatív és innovatív megoldások a fogászati szakterületen esetbemutatásokkal
Domonkos Szilárd:
Tippek és trükkök Medit szkennerrel
Modor Gergely:
3shape Trios száj szkenner lehetőségei egyszerűen
Dr. Döbrentey Zsolt: Esztétika és funkció a direkt restaurációk világában
Dr. Takács Ildikó: NightLase® – lézeres horkoláskezelés
Dr. Takács Ildikó: SmoothEye® – lézeres kezelés
Dr. Borzási Imre
Dr. Luigi Canullo
Dr. Baktai Zoltán
Dr. Antal Márk
Dr. Borbély Judit
Dr. Róth Ivett
Dr. Alexander Tzovairis
Dr. Dumitru Muntean
Dr. Fráter Márk
2023. március 24., péntek
19.30–01.00
Program:
19:30 kapunyitás, asztalfoglalás, welcome koktél
Hász Eszter-Gáspár Károly duó zenél az este alatt
20:00 köszöntő, büféasztalos vacsora ínyencségekkel
20:30 revüműsor
21:30 élő koncert – Rubor Labii zenekara (dr. Benyőcs Gergely, dr. Mócz András, dr. Siklós Csaba, dr. Sidó Levente)
23:30 funkypop & dance
Helyszín: Orfeum, a Pesti Mulató, 1073 Budapest, Erzsébet körút 43-49.
2023.
Hungexpo „C” Kongresszusi Központ
1101 Budapest, Albertirsai út 10.
Dr. Baktai Zoltán
Dr. Gurzó Mária
Dr. Zsoldos Márton
ebédszünet
Dr. Jakab András
Dr. Maurer-Morvai Bence
Dr. Antal Márk
Témavezetők: Dr. Benyőcs Gergely, Dr. Volom András
Dr. Dumitru Muntean
Dr. Takács Ildikó
Dr. Michał Ganowicz
ebédszünet
Dr. Fráter Márk
Dr. Döbrentey Zsolt
Dr. Farkas Péter
Témavezetők: Dr. Benyőcs Gergely, Dr. Volom András
MÁRCIUS 24., PÉNTEK 2023. MÁRCIUS 25., SZOMBATImplantológia kongresszus
Dr. Luigi Canullo
Dr. Sidó Levente
ebédszünet
Dr. Antal Márk
Dr. Baráth Zoltán
Dr. Nyárády Zoltán
Dr. Nagy Pál
Témavezetők:
Dr. Németh Zsolt, Dr. Sidó Levente
Implantológia kongresszus
Dr. Alexander Tzovairis
Dr. Joób-Fancsaly Árpád
ebédszünet
Dr. Párkányi László
Dr. Kövér Zsanett
Dorogi Gábor
Dr. Borzási Imre
Walter-Kovács Noémi
Mester Emese
ebédszünet
Dr. Molnár Bálint
Dr. Tihanyi Dóra
Dr. Tóth György
Kis-György Rita
Dr. Simon Fanni
Témavezető:
Dr. Radánovics-Nagy Dániel
Dr. Borbély Judit
Dr. Felkai Tamás
Dr. Nagy Zsolt
Dr. Daniel C. Neves
ebédszünet
Dr. Filipa de Almeida
Dr. Palkovics Dániel
Dr. Mikolicz Ákos
Témavezetők:
Dr. Németh Zsolt, Dr. Sidó Levente
Témavezető: Dr. Nagy Zsolt
ADENTALPRESSTEMATIKUSKIADVÁNYA
2022 / III.ÉVFOLYAM–ÁR:2500FT
pot az orvoskamara kifejezésével élve: „irányítási-igazodási válság” –, amiben az egészségügy járvány eleje óta őrlődött két tárca között. Igaz, sokan csalódtak, hogy az új kormányban sem lesz egészségügyi minisztérium. Őket friss ágazati egyik első megszólalásakor azzal vigasztalta, hogy az egészségügy érdekérvényesítő képességét nem az önálló minisztérium erősíti, hanem a mi
niszter személye.
bilitás érzetét erősítheti, mivel
Tanulmányozd először az elméletet, aztán jöjjön a gyakorlat, mely belőle származik
„A helyreállító fogászat lett a szenvedélyem és a mindennapi munkám”
Hagyományos teljes fogsor hatékony átalakítása
Teljes ívű rehabilitáció primer vázra ragasztott lítium-diszilikát szekunder koronákkal
3shape / Dental-Trade
Align Technology
Alpha Bio Tec
Bardeco Kft.
Baru Foshan Medical Technology Co., Ltd
BioGaia
Biohorizons/Camlog
Cortex
Dens Alba
Dental-X
DentOwl
Dent-East Kft.
Dental Plus
Dental Press
DentAvantgArt Kft.
Dent-Art-Technik
Dentech
PDigitális Fogászati Egyesület (DFE)
Doctor Tools Srl
Dr. Volom Dental
Fejér-Fog
Flexi-Dent
Flexioss
Fogaszbolt.hu
Fotona
Front-Dent
Füstmentes
Gallax Dental
Harmonycom Kft.
ICX
Ihde Dental
Magyar Dentálhigiénikusok
Egyesülete (MDE)
Medentika
New York Dental
Next Dental
Nobel Biocare
Oral-B
Ormco
Patent
Philips Sonicare - Szájápolás
Realtrade Kft.
Sager Dental
SGS Dental Smilezor
Straumann Group
Wellness-Trade
fogalmazódott meg bennem, hogy milyen jó lehet fogorvosnak lenni és én is az szeretnék lenni.
Mindig is szerettem apró dolgokat szerelgetni, barkácsolni, segíteni másoknak. Már gyerekkoromban is látszott, hogy fokozottak a manuális készségeim, így azt gondolom, nem született rossz döntés.
Kérem, vázolja szakmai életútjának legfontosabb állomásait!
2012-ben a végzést követően a Semmelweis Egyetemen maradva a Konzerváló Fogászati Klinikán kezdtem meg a fogorvosi pályafutásom. Ott szereztem meg a Konzerváló fogászat és fogpótlástan szakvizsgát is. Az egyetemi munka mellett 2013-ban a Four Seasons Dental Centerben indult el a magánrendelői karrierem. Ezt követően 2014-től kezdve kezdetben részmunkaidőben, majd teljes munkaidőben a Kizman Dental Stúdió egyre növekvő csapatát erősítem mind a mai napig. 2020 óta mindemellett prof. Urbán István rendelőjében (Urban Regeneration Institute) végzek restauratív fogászati ellátásokat.
A magánrendelői pályafutásom ellenére a Semmelweis Egyetemmel nem szakadt meg a kapcsolat. A graduális képzés keretein belül tartok előadásokat a héjakkal kapcsolatban, valamint 2013 óta az „Esztétikus töméskészítési technikák” nevű elméleti és gyakorlati tárgy oktatójaként csepegtetjük az Esztétikai fogászat iránti szeretetünket a jövő nemzedékeibe.
Legyen kedves, mondja el röviden, mi vezetett ahhoz a döntéshez, hogy a fogorvosi pályát válassza? Édesanyám ágán erős volt a családi indíttatás az egészségügyi pálya irányába, hisz nagypapám (prof. Záborszky Zoltán) traumatológusprofesszor volt, nagybátyám (dr. Záborszky Zoltán) sebész, édesanyám (Döbrenteyné dr. Záborszky Klára) pedig gyógyszerész.
Emlékszem, az érettségi közeledtével nagypapám mindöszsze ennyit kérdezett: „Mi leszel, cimborkám? Orvos vagy sebész?” Végül én „csak” fogorvos lettem.
Fogorvosi hivatással kapcsolatban dr. Tihanyi István fogszabályozó szakorvossal kapcsolatban vannak gyerekkori emlékeim. Objektív érveket ugyan nem tudok felidézni, de az érzés erősen él bennem, ahogy tinédzserként egy óriási, halakkal teli akvárium mellett ültem a fogorvosi székében és az
2017-ben alapítottuk meg a Magyar Esztétikai és Restauratív Fogászati Társaságot, melynek elnökségi tagjaként szeretném segíteni a fogászat ezen területének az összefogását és szakmai fejlődését.
Rendszeresen tartok előadásokat és hands-on kurzusokat főként direkt anterior és posterior témákban.
A választott szakterületét milyen motivációk miatt választotta, hol szerezte be a megfelelő szakmai tudást, illetve hol és miként tudja azt permanensen kiegészíteni, bővíteni?
A Fogorvostudományi Karra még azzal a motivációval jelentkeztem, hogy későbbiekben fogszabályozással szerettem volna foglalkozni.
Harmadéves fogorvostan-hallgató korom környékén egy családi jóbarátunkhoz, dr. Kávássy Beátához kezdtem el bejárni a Gellért Szállóban lévő rendelőjébe. Tőle nemcsak a
„A mosoly az öröm kifejezésének eszköze, de a boldogságot valahol máshol kell megtalálni...”
szakmai elhivatottságát, odaadását, igényességet, hanem az esztétikai fogászat melletti elkötelezettséget is magamba szívtam.
Az egyetemi évek alatt több hallgatói verseny eredménye is megerősített abban, hogy jó úton haladok, de az áttörést ötödévesen a Jules Allemand Trophy nevű fogfelépítő verseny jelentette. Az egyetemi forduló után az országos versenyt megnyerve Olaszországba, Chieti városába vezetett az utam, ahol a nemzetközi megmérettetésre került sor. Itt személyesen is megismerhettem prof. Lorenzo Vaninit, aki az esztétikai fogászat egyik legmeghatározóbb alakja. Innentől kezdve nagyon felpörögtek az események. Gyakorlatilag minden a témába vágó hazai és jelentősebb külföldi továbbképzésen igyekeztem jelen lenni és a lehető legtöbb tudást magamba szívni.
Ebben az időben alakul ki a StyleItaliano közösség, ami akkoriban korszakalkotónak számított. Állandóan figyeltem, mikor tesznek fel új esetbemutatót vagy újabb technikát leíró cikket. Meghívásos alapon abban a megtiszteltetésben volt részem, hogy az alapító tagoktól személyesen is tanulhattam, ami tovább fokozta a motivációm. A Konzerváló Fogászati Klinikán eltöltött 5 évem alatt a kollégák megtanították a modern trendek és technikák fenntartással való elfogadását, amiben a tudományos háttér és a szakirodalom tanulmányozása adott iránymutatást.
Az egyetemi munkám során kerestem az olyan eseteket, ahol az elméletben megtanultakat gyakorlatba is átültethetem és kamatoztathatom azt. Mindezt fotódokumentáltam és azokat visszanézve próbáltam rájönni, hogy mit kéne másként csinálni, hogy még jobb eredményt érhessek el. A fotók nyugodt körülmények között való kielemzése és előadásokon, online felületeken látottakkal vagy saját korábbi esetekkel összehasonlítva segít irányt mutatni, hogy hol tartok és miben kéne fejlődni.
A Jules Alemend Trophy-nak hála megismerhettem dr. Csizmadia Katalint, aki már a pályám kezdetén bizalmat szavazott és felkért, hogy az élpótlások témájában kurzust tartsunk. Az előadásokra való készülés, a prezentáció összeállítása, az adott téma rendszerbe szedése, illetve annak oktatása jobban elmélyítette a tudásom. Segített olyan protokollok kialakításában, ahol a kezelés menete tervezhető és végeredmény kiszámítható.
Privát szektorba átnyergelve nem csak az esetszám növekedett meg, hanem olyan eszközök és anyagok felhasználása vált lehetővé, ami segített újabb szintre emelni a munkám minőségét.
Kihívást jelent az egyre magasabb elvárásokkal érkező páciensek elvárásainak is megfelelni, valamint rászolgálni a referáló orvosok bizalmára. Mindezek segítenek feszegetni a saját határaimat, fenntartva az állandó fejlődésre való igényt.
Továbbra is igyekszem minden lehetőséget megragadni a tanulásra. Kritikusan kezelni a saját munkám is, a fejlődés érdekében, hogy a pácienseimnek a lehető legjobbat nyújthassam.
Erre buzdítok minden kollégát!
Kérem, ismertesse az előadásának lényeges kérdéseit, mit fog bemutatni a résztvevőknek?
Pályám első évei főként új technikák elsajátításával teltek. Azaz a „Hogyan?” kérdésre kerestem a válaszokat. Az idő előrehaladtával és egyre több információ birtokában próbáltam rájönni, mi lehet az oka az esetenként előforduló siker-
telenségeknek. Például, miért pattan le egy élpótlás újra és újra, míg sok másik hasonló restaurátum tökéletesen bírja? Tehát elkezdtem a „Miért?-eken”, azaz az ok-okozati összefüggéseken elmélkedni. Sőt, törekedtem arra, hogy ezeket a rizikófaktorokat előre fel tudjam mérni és lehetőleg ki tudjam védeni.
Az előadásom során szeretném az így összegyűjtött tudást átadni. Direkt anterior eseteken fogunk úgy végigmenni, hogy közben felhívom a figyelmet azokra a szempontokra, amikre a tervezés legelső lépésétől a kidolgozás legutolsó lépéséig érdemes odafigyelni. Hogy függ össze a funkció és az esztétika? Mi köze van mindennek a tartóssághoz?
Egy direkt anterior felépítés vagy diasztémazárás főbb lépései mellett rámutatok olyan részletekre, amiken a kezelés sikere vagy bukása múlhat. Miért alakul ki a restaurátum széli záródásában egy fehéres határfelületet?
Hogyan kerülhető el a fekete háromszög kialakulása diasztémazárás esetében?
Ezekre és további részletekre, összefüggésekre szeretnék rámutatni és megoldást kínálni az előadás keretein belül.
A fogászat különböző szakterületei óriási léptékben változnak az utóbbi években is. Mit gondol, ez a fejlődés elsősorban a páciensek életminőségének a javulását segíti, vagy főleg a fogorvosok, a fogtechnikusok munkáját könnyíti?
Az utóbbi években a legnagyobb forradalmat a digitális technológia irányába történő eltolódás jelentette. Kezdetben ugyan invesztíciót igényel, valamint egy új tanulási görbével is jár a fogorvostól és fogtechnikustól is. Viszont azt követően már így kialakított, új kezelési protokollhoz kell hozzászokni, ami utána kiszámíthatóbb és hatékonyabb végeredményhez vezethet. A páciensek általában szájtátva figyelik a számukra még űrtechnológiának számító scannert. Továbbá fontos szempont lehet, hogy akár a kezelés invazív része előtt vizualizálható a tervezett végeredmény. Mivel a páciens már ebben a fázisban tud visszacsatolást adni, így későbbiekben rengeteg fölösleges kör előzhető meg. Ráadásul ez akár az online térben e-mail formájában is egyeztethető, szükség esetén átalakítható. Így a fogtechnikus a végleges restaurátum újrakészítését, munkaórákat, a fogorvos pedig értékes székidőt spórolhat meg.
Azt gondolom, a páciens-fogorvos-fogtechnikus trió olyan, mint egy háromlábú szék. Ha a szék lábai egyforma hosszúak, azaz mindenki elégedett és a változás folyamata az érdekeit szolgálja, akkor egyensúlyban tud maradni. Abban az esetben, ha ez a rendszer kiegyensúlyozatlanná válna, a szék felborulna, de legalábbis kényelmetlenné válna mindaddig, amíg a rendszer újra egyensúlyba nem kerül.
A protetika területén lévő szakmai irányelvek ma főleg a digitális megoldások mellett érvelnek. Ön szerint az esztétikai fogászatban is átveszi az irányítást a digitalizáció? Az általános praxisok meddig tudnak kimaradni a fejlesztésből?
Az elmúlt években a scannerek terjedésével a digitális megoldások érezhetően egyre nagyobb teret hódítanak. A tervezési résznél egyértelmű előnyöket hordoz magában a digitális irányvonal. Legyen szó a vizualizáció, kommunikáció vagy szükség esetén az egyszerűbb módosíthatóságról. Azt látom, hogy abban viszont még megosztja a fogorvos- és fogtechnikus-társadalmat is, hogy a végleges munka is digitálisan készüljön-e. A digitálisan tervezett, majd faragott monolitikus, megfestett vagy akár a micro-layering techno-
lógiával leplezett technikai munkák egészen megközelítik a rétegzett kerámiarestaurátumok esztétikáját. Így az esztétikai fogászatban is teret nyertek a full digitális megoldások.
Egyre több típusú és jobb minőségű intraorális scanner jelenik meg, ráadásul egyre elérhetőbb áron. Ennek megfelelően gyarapszik a scannerrel rendelkező rendelők száma is. Rohamosan nő azon laborok száma is, aki nyit a digitális irányvonal felé. Sőt van, aki már analóg lenyomatra nem is dolgozik. A folyamat gyorsasága a gazdasági környezettől a földrajzi elhelyezkedésen át rengeteg szemponttól függ, de az irány egyértelmű. A frissítések és újabbnál újabb lehetőségek szinte heti szinten jelennek meg. Azok a szempontok, amik eddig egyértelműen az analóg irány mellett szóltak, azokra válaszként sorra jönnek ki az innovatív digitális megoldások (pl. egyéni artikulációs mozgások regisztrálása).
Jóslásokba nem mennék bele, de mivel egy öngerjesztő folyamatról van szó, így exponenciális növekedést vizionálnék. Ez pedig a kritikus tömeg elérése után fenyegető lehet azok számára, akik nem nyitottak az újításra: „Aki kimarad, lemarad.”
Az esztétikai fogorvos a kezeléseivel magabiztosságot, örömöt, sőt reményt is ajánl, illetve adhat a pácienseinek. Ezek közül Ön szerint melyik a legfontosabb?
Tény, hogy csodás élmény azt látni, amikor egy kezelés végeztével a páciens a tükörbe nézve örömkönnyeket hullajt vagy a nyakamba ugrik, annyira boldog. Egyik fő motivációm, hogy a pácienseim mosolyát tökéletesebbé tegyem, aminek következtében büszkén és önfeledten merjenek nevetni.
Az elégedettebb önkép, amihez a szép fogazat is hozzájárul egyértelműen fokozhatja a magabiztosságot. Bízom benne, hogy ha csak kicsivel is, de így hozzájárulhatok a társas kapcsolataik teljesebbé válásához. Viszont nem szeretnék senkit azzal áltatni, hogy pusztán azzal, hogy a mosolya szebb lesz, az élete egy csapásra megváltozik és boldogabb lesz.
A mosoly az öröm kifejezésének eszköze, de a boldogságot valahol máshol kell megtalálni.
Pont ezért az olyan kezeléseket, ahol érzem, hogy a probléma nem a fogakkal van, azt el sem vállalom.
Találkoztunk már olyan véleménnyel is, hogy alapjában véve minden jól képzett fogorvos egyben esztétikai fogorvos is. Ön szerint a magas esztétikájú és funkcionálisan is stabil megoldásokhoz elegendő lehet az alapképzés?
Nézőpontom szerint az esztétikai fogászat egy olyan látásmód, ahol lege artis elvégzett kezelések során fokozott figyelmet szentelünk arra, hogy a restaurátum harmonikusan integrálódjon az adott fogba, több fog esetén a fogak egymáshoz.
Szem előtt tartva a fehér és rózsaszín esztétika szabályait, egymáshoz való viszonyukat, mindezt az arc referenciavonalaihoz illesztve. Tehát egy olyan igényesség, ahol törekszünk a lehető legtöbb részletre odafigyelni, a tökéletesség érdekében.
Azt hiszem, azt a kort már meghaladtuk, ahol a páciensek egyedüli elvárása a fogaikkal szemben, hogy ne fájjon és tudjanak vele enni. Manapság legalább olyan komoly elvárást támasztanak a kezelés esztétikai megjelenésével szemben, mint a funkcionális rehabilitálással.
Gasztronómiával tudok párhuzamot vonni, ahol szintén nem elég, hogy az étel finom legyen, hanem annak a gusztusos
megjelenése is szükséges, hogy gasztronómiai élményről beszélhessünk.
Az alapképzés, ahogy a nevében is szerepel, egy olyan alapot ad, amire későbbiekben lehet építkezni. Ahhoz, hogy egyszerű eseteket megoldjunk, talán elég is lehet. De valljuk be, a valóságban ezek vannak elenyésző százalékban.
A komplexebb esetek ellátásához át kell látni az ok-okozati összefüggéseket. Egy-egy részproblémára általában többféle megoldási lehetőség is van. Minél több ilyen kezelési módszert ismerünk, annál nagyobb valószínűséggel tudjuk azokat úgy összekombinálni, amik együtt a lehető legjobb végeredményt adják.
Minél nagyobb a háttértudásunk, annál több olyan részletet és összefüggést fedezhetünk fel, amin akár a kezelés tartóssága, sikere vagy bukása múlhat.
Folyamatosan jelennek meg új anyagok, eszközök és kezelési metódusok, amik között csak akkor tudunk eligazodni és a megfelelőt választani, ha a tudásunk naprakész.
Ha a pácienseink megtisztelnek a bizalmukkal és az egészségüket a mi kezünkbe helyezik, akkor mi is tartozunk nekik annyival, hogy a lehető legjobbat nyújtjuk számukra. Ezt pedig csak akkor tudjuk megtenni, ha a tudásunkat folyamatosan fejlesztjük.
Napjainkban az esztétikai fogászat rendkívüli népszerűségnek örvend. Ön miként ítéli meg e szakterület jelentőségét? Milyen jövőképet lát egy évtized múlva ennek a területnek?
Az igényes megjelenésnek elengedhetetlen része a szép, harmonikus mosoly. A szépségipar fejlődésével együtt az esztétikai fogászatra is egyre nagyobb igény van. Ahhoz, hogy ennek az elvárásnak eleget tudjunk tenni, felkészült szakértelemre van szükség.
Az esztétikai fogorvosnak át kell látni, hogy az adott kiindulási állapotból mi hozható ki és milyen szempontokat kell szem előtt tartani a kívánt eredmény elérése érdekében. Gondolni kell a fogak pozíciójától kezdve a fehér és rózsaszín esztétika összhangjáig megannyi részletre. A kezelések kivitelezéséhez viszont sok esetben interdiszciplináris együttműködésekre is szükség lehet. Az egyes szakterületeket pedig a tervezést végző orvosnak, azaz az esztétikai fogorvosnak kell összefognia és összehangolnia.
Reményteljesen állok az előttünk álló évtizednek, ami a modern technológiának köszönhetően hatalmas lehetőségeket rejt magában. Biztos vagyok benne, hogy a jelenleg még csak terjedő digitális technológia igazán kiforrja magát és átstruktúrálja a kezelések menetét. El tudom képzelni, hogy a mesterséges intelligencia és az augmented reality is teret nyerhet, ezzel újabb kapukat megnyitva a jövő fogászatának.
Egyedüli veszélyt abban látom, hogy a média, főleg a szociális média olyan a természetestől elrugaszkodott szépségideált sugall, ami a fogászati trendekre is kihathat. Ezek pedig olyan kezelésekbe hajszolhatják bele a dominánsan fiatal pácienseket, amik szükségtelen invazív beavatkozásokkal járnak. Szerintem a szakma felelőssége, hogy ezeket a vadhajtásokat kordában tartsa, ezzel eleget téve az orvosi hivatás „Nil nocere” alaptézisének.
DOESNOT CONTAINBISPH
> Nagyfokú biokpmpatibilitás: nem tartalmaz
Bis-GMA-t és szabad nanopartikulát
> A természetes zománccal megegyező abrázió
> Mechanikai és funkcionális jellemzői megegyeznek az arannyal
> Könnyű kezelhetőség és ideális polírozhatóság
> Egyaránt alkalmas direkt és indirekt felhasználásra
> Röntgenárnyékot ad
> Fluoridot tartalmaz
®
Cím: 1123 Budapest, Alkotás u. 15. 4. em. 4. • Tel: (06-1) 201-7103
Mobil: (+36-30) 957-0500 • E-mail: csk@densalba.hu
Impl lantológiában és csontpótlásban az első!
Virtuális tervezés Ti és CoCr 3D nyomtatása
Egyéni implantátumok
Egyedi titán zsaluhálók Csontpótlás
Csontpótlás eszközei
Implantológiai fúrósablonok
Műtéti segédeszközök
9024 Győr, Csokonai u. 10.
WWW.VOLOMSHOP.COM/TANFOLYAM
ÚJRATÖLTVE
"1-2 MÁSODPERC ALATT ÖSSZERAKTA A HARAPÁST"
"A SZOFTVER FELHASZNÁLÓBARÁT...MINDEN FUNKCIÓ KÖNNYEN MEGTALÁLHATÓ"
"KÉZREÁLLÓ, JÓ ERGONÓMIÁJÚ, KÖNNYŰ... A SÚLYPONTJA IS JÓ HELYEN VAN"
32%-KAL GYORSABB MINT A 3SHAPE TRIOS4 A SEMMELWEIS EGYETEM SZKENNER TESZTJÉN (IN VIVO TELJES ÁLLCSONT)
5 999 900 FT
ASUS GAMER LAPTOPPAL ÉS EGYEDI TERVEZÉSŰ, KÖNNYEN MOZGATHATÓ ÁLLVÁNYUNKKAL 6 999 900 FT
KÉRJEN BEMUTATÓT • ÉRDEKLŐDJÖN A FINANSZÍROZÁSRÓL
SHOP@VOLOMSHOP.COM • 06-30-520-2000
09.40–10.40 Dr. Baktai Zoltán: Helyes Drill & Fill a moláris régióban – tippek, trükkök esetbemutatásokon keresztül
Előadásomban olyan eseteket fogok bemutatni, amelyekkel mindannyian találkozunk a hétköznapjainkban. Átvesszük a nehézségeket, és olyan apró, de nagyon fontos döntéshozatali dilemmákat fogok kihangsúlyozni, amelyek végül hasznos tippként segíthetnek megoldani az ilyen és ehhez hasonló kompozit helyreállításokat. Bízom benne, hogy a kedves kollégák olyan praktikai tanácsokkal fognak gazdagodni, amelyeket akár a legközelebbi munkanapjukon hasznosítani is tudnak.
A folyamatosan fejlődő tudomány a fogászatban is új technológiák, eszközök, anyagok megjelenését eredményezi. Az általam használt és fontosnak vélt innovációk alkalmazását szeretném bemutatni a mindennapi fogászatban, ötvözve közel 3 évtized gyakorlatával és tapasztalatával. Az előadás klinikai esetek bemutatásán keresztül, mindenki számára könnyen elsajátítható praktikák, trükkök, hétköznapi fogászatban alkalmazható gyakorlati tanácsok bemutatására és átadására fókuszál.
A jó megjelenés alapja a fogak, az ajkak és az arc harmóniája. A szép mosolyhoz több kell, mint önmagukban esztétikus fogak, mert egy kellemes összhang sokkal több, mint a részletek külön-külön. A mosolytervezés és a magas esztétikájú fogászati rehabilitáció során fontos figyelembe venni a páciens egészét, az arctól a miniesztétikán át egészen az egyes fogak szintjéig. A kívánt hatást megfelelő tervezéssel, csapattal és szisztematikus gondolkodásmóddal bárki elérheti. Segítséget szeretnék nyújtani, hogy milyen irányelvek adnak támpontokat a sikerhez a dentofaciális esztétika világában. Gyakorlati példákkal kísérve vesszük át a háromszintű esztétikai analízist a makroszinttől indulva egészen a mikroesztétikáig. A fókuszban olyan egyszerű fotóelemző módszerek vannak, amelyek a hétköznapokban, speciális szoftverek nélkül is kivitelezhetőek.
14.00–14.45
Gyökérkezelendő posterior fogak esetén gyakran találkozunk mély, szubgingivális szuvassággal az approximális területen, melynek szanálása elengedhetetlen előfeltétele a fog endodonciai kezelésének. Az így kialakuló, már kitisztított üreg restaurálása gyakran nehezen kezelhető szituációt teremt a klinikai gyakorlatban. Ezt sokan „endodonciai csonkfelépítésként” kezelik, mely magában rejthet egy ideiglenes jelleget is, holott ez teljesen téves irány. A jelenlegi modern angol nómenklatúra, azaz a „Deep Margin Elevation (DME)” sokkal jobban tükrözi a beavatkozás célját és nehézségét is. Ugyanis a DME a legnehezebb körülmények között elvégzendő adhezív beavatkozásnak minősül. Emellett a teljes, végleges restaurátum sikerességét meghatározza, és kulcsfontosságú a fog megtarthatóságának eldöntési folyamatában: „ha nem tudjuk megfelelően elvégezni, ugyan hogyan akarjuk most vagy a későbbiekben kezelni és megtartani az érintett fogat?” Előadásomban szeretnék bemutatni egy a jelenlegi szakirodalmon alapuló modern, könnyen kivitelezhető protokollt és néhány trükköt, amelyek megkönnyíthetik és kiszámíthatóbbá tehetik ezeknek az erősen destruált fogaknak a helyreállítását.
14.45–15.45 Dr. Maurer-Morvai Bence:
Kofferdám: ellenség vagy barát?
Véleményem szerint az abszolút izolálás elengedhetetlen kelléke a mai modern fogászatnak. Az izolálás ezen formája – számos előnyének köszönhetően – segítséget tud nyújtani mind az endodoncia, mind pedig a resturatív fogászat területén. Az előadásom fő célja, hogy meghozzam a kedvet a kofferdám használatához. Megerősítést szeretnék adni azoknak is, akik alkalmazzák, de bizonytalanok. Emellett tippekkel és trükkökkel is fogok szolgálni a hozzám hasonló fanatikusok számára, ezzel megkönnyítve a nehezebb esetek izolálását is.
15.45-16.15 Kávészünet
A modern diagnosztikai módszerek és a fejlett kezelési lehetőségek segítségével a fogászatban az endodontiai kezelések sikerességi aránya meredeken emelkedett az elmúlt évtizedekben. Ha az ortográd megközelítés nem szünteti meg az előforduló tüneteket, lege artis gyökércsatorna jelenlétében obturáció esetén az apex és a gyulladt periapikális szövetek sebészi eltávolítását alkalmazzák rutinbeavatkozásként. Az implantológiai fogászat újításai és a CBCT jelenléte egy olyan lehetőséget nyújthat, amely kombinált módszert kínál a lépések csökkentésére és a gyógyulás elősegítésére az apikoektómia után. Az egyedülálló CBCT és számos tervezőszoftver által biztosított egyedülálló vizualizáció javíthatja a tervezési fázist és a pontosságot bármilyen műtétnél. Ezek a módszerek széles körben elterjedtek az implantológiai fogászatban napjainkban. Ezért a cél ugyanaz, a 3D tervezés és a 3D nyomtatott sebészeti útmutatók a fogászat más területein is alkalmazhatók. Másrészről a gyökérvégműtét szükségessége bizonyos esetekben elkerülhetetlen. A dokumentáltan széles körű sikerek miatt a korai sebészeti endodontiai kezelések sikere (44-95%), az apikális sebészeti beavatkozások elveinek újratervezése a sebészeti mikroszkópok használatával releváns kérdés volt. A minimál invazív sebészeti terápiát Kim S. et al. vezette be és írta le alapmódszerként és azóta megkezdődött a fogászati sebészet forradalma. Ez inspirált minket arra, hogy megtaláljuk és bizonyítsuk ezt az újszerű módszert, amely 3D nyomtatott sablonokat és trepint kombinál az apikoektómiához. A előadás először a célzott endodontiai mikrosebészet területén elért legújabb innovációkat tekinti át, kezdve a terület 2007-es első preklinikai kutatásától. Szó lesz a technika fejlődéséről, valamint azokról az innovatív lépésekről, amelyek a jelenleg hangsúlyozott, teljesen irányított endodontiai műtéthez vezettek egy trepinnel, de. A vonatkozó preklinikai és klinikai kísérletek is bemutatásra kerülnek, bemutatva a technikának a hátterét, amelyet mára már számos esettanulmányban ismertettek, de csak néhány valós tudományos tanulmányban.
2023. március 24., péntek 10.00–16.00
• Hatványozottan növekszik az elégedetlen páciensek és a praxisokat érintő támadások száma!
• Hogyan kezdődnek és hogyan végződnek ezek, mit kell tennie ahhoz, hogy meg tudja védeni saját magát és alkalmazottait?
Flexi-Dent szoftver felhasználóknak
25% kedvezmény
• Ismerje meg, hogy pontosan milyen kötelmeket jelent az Egészségügyi Törvény, milyen módon kellene tájékoztatni a pácienseket és milyen adminisztrációt kell végeznie a szabályos működéshez.
• Legyen átfogó képe az automatizált dokumentum menedzsmentről, elektronikus dokumentum kezelésről és elektronikus aláírásról!
Előadnak:
Részvételi díj: 25 000 Ft
Jelentkezés: upgradecongress.hu
Restoring and maintaining the cervical profile around dental implants with anatomical abutments
Cervical profile generation in post extraction sockets (CSP technique) along and in edentulous sites. Tips & tricks for cervical contour generation around dental implant.
Szeretettel várjuk az Upgrade Kongresszuson MIS hands-on kurzuson!
Előadó: Dr. Alexander Tzovairis
Dátum és időpont: 2023. 03. 25., 14:00-16:30
Helyszín: Hungexpo, C pavilon, galéria, G terem
Ár: EUR 300/fő
Jelentkezés: www.front-dent.hu, tarsoly.csenge@frontdent.hu
Kérem, mondja el röviden szakmai életútjának és tudományos munkásságának legfontosabb állomásait!
Az orvosi egyetemet a bukaresti „CAROL DAVILA” Orvos- és Gyógyszerésztudományi Egyetem Fogorvostudományi Karán végeztem 1994-ben. 1998-ben Fog- és szájbetegségek szakvizsgát tetem a Semmelweis Orvostudományi Egyetem Fogorvostudományi Karán jeles eredménnyel. 2008-ban Konzerváló fogászat és fogpótlástan szakvizsgát raktam a Szegedi Orvostudományi Egyetem Fogorvostudományi Karán kiváló eredménnyel.
Érdeklődési területem az esztétikai fogászat és a mosolytervezés. Kétszer tartottam előadást a SZOTE Fogorvostudományi Karának belső továbbképzésén és egy alkalommal a SOTE Fogorvostudományi Karán, szintén a belső továbbképzésen. Előadásaim témája a direkt héj készítése és az üvegszálak lehetőségei a fogászatban voltak. Az igazi megtiszteltetésként éltem meg, hogy mint egy ki városi fogorvos a Magyar Orvosi Kamara Fogorvosi Tagozat lapjában megjelenhetett két cikkem. 2018-ban megrendezésre került Restorative InFluence továbbképzésén tartott előadásom címe, „Üvegszállal megerősített direkt hidak”. Békés Vármegye fogorvosi szakfelügyelő főorvosa vagyok 2018 óta, és 2019-től a Magyar Orvosi Kamara Fogorvosi Tagozatának Békés Vármegyei elnökévé választottak.
Mit tart legfontosabbnak a mindennapi gyógyító munkája során?
Betegeimet igyekszem mindig és minden körülmények között a legjobb tudásommal ellátni. Minden egyes páciensemre úgy tekintek, mintha a saját családtagom lenne. Így az ember sosem hibázhat a mindennapi szakmai döntései során. Mindemelett nagyon fontosnak tartom, hogy folyamatosan továbbképezzem magam és mindig tisztában legyek a legújabb ellátási technikákkal, anyagokkal stb. Lehetőségeimhez mérten ezeket biztosítani tudjam a betegeim részére. Számomra nagyon fontos a hivatásom, a mindennapokban a szakma iránti alázat, és mások megsegítése vezérel. Én tényleg szeretek segíteni az embereken és mindig igyekszem mindenkit a tőlem telhető legnagyobb odafigyeléssel ellátni, anyagi helyzettől függetlenül. Igazán felemelő érzés, amikor könnybe lábad a páciens szeme a megújult mosolya láttán, vagy amikor a betegek arcán igazi öröm, megkönnyebbülés látszik egy gyors fájdalommentes foghúzás után. Talán, ezért is maradtam körzeti fogorvos.
Kit tekint példaképének szakmájában?
Igazi példaképen a szó szoros értelmében nincs, de igazán nagyra értékelem dr. Volom András munkásságát. Sok nagytu-
dású, nemzetközileg is elismert fogorvossal dicsekedhet Magyarország, de dr. Volom András sokrétűségével és személyiségével kiemelkedik a magyar fogorvostársadalomból. Fantasztikus, amit eddig véghezvitt karrierje során. Arra gondolok, hogy a mindennapi kiemelkedő fogorvosi munkája mellett létrehozott egy „Volom” márkanevet! Az ő nevéhez fűződik több külföldi termékcsalád Magyarországra hozatala (pl. Cosmedent, Ribbond, Myobrace, Eighteth…) és e termékeknek a megismertetése a magyar fogorvosokkal. Saját maga által megtartott képzéseken keresztül és külföldi neves előadok Magyarországra hozatalával. Számtalan továbbképzés fűződik a nevéhez, ezzel nagyban hozzájárult a magyar fogászat világszínvonalúra emeléséhez. Mindemellett, kihangsúlyoznám, számos fiatal tehetséges fogorvos felkarolását, támogatását! Lehetőséget biztosítva számukra továbbképzéseken tudásuk bemutatását. Úgy gondolom, hogy a mai napig szívügye az ehhez hasonló továbbképzések szervezése. És akkor még nem is beszéltünk Dr. Volom Dental Fogászati Szaküzlet létrehozásáról, menedzseléséről, a többszékes Dr. Volom Dental Fogásztati Rendelő fenntartásáról. Mindez számomra a szakma iránti elhivatottságáról és odaadásról tesz tanúbizonyságot. Igazán, példa értékű a következő generáció számára.
Napjainkban az esztétikai fogászat rendkívüli népszerűségnek örvend. Ön miként ítéli meg e szakterület jelentőségét?
Milyen jövőt jósol az esztétikai fogászatnak?
Az esztétikai fogászat számomra egyet jelent az esztétikum (ami egy szubjektivitáson alapuló fogalom) összehangolása a mindenekfelett álló funkcionalitással.
Pozitív változásnak tartom, hogy az esztétikai szemlélet átitatja a fogászat minden eszes szegmensét, az implantológiától, a konzerváló fogászatig mindent. Magába foglal egy komplexebb mosolytervezéstől kezdve, egy moláris régióban történő esztétikai szemléletű, funkcionális direkt tömést vagy helyreállítást.
Meggyőződésem, hogy a mosolyrehabilitáció vagy nevezzük mosolytervezésnek egy külön szakterületé növi ki magát és szerintem nem túl távoli jövőben. (Valami hasonlónak a szemtanúi vagyunk, mint a fogszabályzás kialakulásának a XIX. század közepén, amikor elindult világhódító útjára.)
A mindennapjainkat átitatja a szépségipar, amelynek szerves része az arc esztétika és azon belül a mosoly esztétikája. Bizonyított tény, hogy egy ápolt, egészséges, harmonikus mosolylyal rendelkező ember bátrabban mosolyog, kedvesebb kisugárzása kölcsönöz az arcának, ami a személyiségére is pozitív kihatással van. Esztétikus mosoly iránt növekvő igény a vele együtt párhuzamosan fejlődő, technológiai és technikai fejlesztések biztosítják, mint például a fogszínével tökéletesen megegyező tömőanyagok vagy préskerámiák… Az „informati-
„A mosolytervezés komplex szemléletet igényel, amely a fogorvostudomány egy részét vagy egész szakterületeit is magába foglalhatja”
kai forradalom” aminek szintén a szemtanúi vagyunk, fantasztikus és izgalmas lehetőségek tárházát nyitja meg az egész fogászat számára.
A mosolytervezés komplex szemléletet igényel, amely a fogorvostudomány egy részét vagy egész szakterületeit is magába foglalhatja, olykor valódi team munkát igényelve. Az egyszerű fogkontúrozástól kezdve, a direkt/indirekt héj, a gingivo-sebészeten keresztül a fogszabályozásig. Új fogalmak jelentek meg a fogászatban, mint mosolyanalízis, arcdiagnosztika, mosolyvonal, fehér esztétika, hogy csak egy párat említsek. Megjelentek a számítógépes a mosolytervezések, digitális Wax-up-ok stb. Nélkülözhetetlenné vált a fotózás nem csak a mosolytervezésénél, hanem a mindennapi fogászatban.
Ön szerint, mi a legfontosabb egy esztétikai beavatkozásnál?
Soha nem szabad, hogy egészség károsodást okozzon vagy, hogy a funkció kárára történjen! Nem szabad olyan kompromisszumokat kötni, amelyek nem összeegyeztethetők az orvosi hivatással. Az esztétikai beavatkozásokhoz a páciens szentimentális megközelítéssel érkezik, a szakmai szempontok ismerte nélkül. A szakmai kritériumokat és azok a határait nekünk, orvosoknak kell tudni és biztosítani a páciens számára.
Mi a véleménye az ún. „biofunkcionális” fogászatról? (Esztétika – funkció – testtartás egysége a helyreállító fogászatban.)
Igazán büszkék lehetünk, dr. Csillag Mária munkásságára, aki nemzetközileg is elismert és igazi úttörője világviszonylatban is ennek a témakörnek. Mindenképp létjogosultsága van, a helyes maxila-mandibula helyes pozicionálásának, amely el-
MONOGLYC™ felszívódó varróanyag típusok:
lenkező esetben visszafordíthatatlan károsodásokat okozhat, akár az egész vázizomzatra.
Ő alkotta meg Magyarország első mosolytervező programját és amelynek én fordítottam le a román nyelvű változatát. Nagyon sok kollégát indított el a mosolytervezés, mosolyesztétika, világába, ahogyan engemet is.
Napjainkban a frontfogak helyreállításának számos módja ismert. Ön milyen eljárásokat részesít előnyben?
Mindig a minimál invazibb beavatkozást preferálom, ez az elsődleges szempont számomra. Abszolút a direkt restaurációkat helyezem előtérbe. Ez nem azt jelenti, hogy az indirekt restaurációnak, például az indirekt héjnak nincs létjogosultsága a praxisomban. Szeretem a felviaszolás utáni injektabil technikát. Azt gondolom, hogy amiben igen sok éves tapasztalatom van az a direkt héj. Ráadásul körzeti fogorvosként pácienseim anyagi lehetőségei nem korlátlanok.
Arról nem is beszélve, hogy egyre jobb és jobb minőségű anyagokkal tudunk dolgozni, például a napjaink folyékony tömőanyagai szinte ugyanolyan tulajdonságokkal bírnak, mint a 15-20 éve megjelent normál konzisztenciájú kompozitok tulajdonságai. Megjelentek az poliészter szállak, üvegszálak, üvegszállal megerősített folyékony tömőanyagok, ezek új dimenziókat nyitottak a direkt restaurációk terén.
Szabadidejében mi jelenti Ön számára a kikapcsolódást, a pihenést?
A családommal való együttlét jelenti a kikapcsolódást és feltöltődést, de sajnos szabadidőmben is sokat foglalkozom a fogászattal. Előszeretettel böngészem a szociális médiai fogorvosi oldalait. Imádok másoktól tanulni.
Elképesztően GYORS1
Elképesztően PONTOS2
Wireless vagy vezetékes változat
Bevezető ár: 5 699 000 Ft helyett
most bruttó 4 999 000 Ft-tól.
„Gyors, tervezhető és nagyon pontos. Mindenkinek csak ajánlani tudom” (Dr. Dombi Ábel).
ortho szimuláció; anatómiai analízis; harapási mozgáspálya mérés; automatikus lenyomat beillesztés.
Carestream Dental – CS 9600
A legokosabb CBCT
CBCT – Panoráma – FaceScan – Teleröntgen –Model Scan
Felhasználóbarát okos
funkciók
• AI-alapú pozícionálás
• Automatikus fogív és csontozat felmérés
Nincs többé lemaradt fog vagy hibás beállítás!
• 120 kV: még jobb kép, még kevesebb káros sugárzás
• Lenyomat + FaceScan illesztés
• Fúrósablonkészítés
• FOV: akár 16x17 cm
• Felbontás, alsó+felső állcsont: 75 μm
• Virtuális teleröntgen a 3D felvételből
Shining 3D Dental
Intraorál szkenner I Labor szkenner I Arc scanner I 3D nyomtató
Tel.: 06-20-982-6148 info@nextdental.hu
db
1 db G-ænial A’CHORD + 3 db G-ænial A’CHORD + 1 db G2 BOND Bottle Kit + 1 db G-Premio BOND utántöltő + 1 db Composite Modeling Kit + 1 db American Eagle M5 Sculpt műszer
A maradó fogak gyökérreszorpciója patológiás folyamat. Az elváltozások elhelyezkedése alapján csoportosíthatjuk őket külső és belső reszorpciós folyamatokra. A külső gyökérreszorpciók egyre gyakrabban diagnosztizált formája a külső nyaki reszorpció (angolul External Cervical Resorption, ECR) [1. és 2. kép]. Az ECR egy komplex elváltozás, amely egyszerre érintheti a fog keményszöveti állományát, a parodontális szöveteket és előrehaladott esetben a pulpaszövetet is. A modern diagnosztikai eszközöknek köszönhetően egyre gyakrabban és egyre korábban kerül diagnosztizálásra ez a típusú lézió, így a kezelése is egyre inkább a mindennapi klinikum részévé válik az endodonciával foglalkozó kollégák számára. A 3 dimenziós diagnosztikai eszközök terjedésével felmerült az igény egy 3 dimenziós klasszifikációra. Patel és munkatársai 2018-ban kidolgoztak egy új klasszifikációt, amely segít az elváltozások kategorizálásában és a kezelések tervezésében [1]. A téma aktualitását jól mutatja, hogy ezzel egy időben az ESE (European Society of Endodontology) is kidolgozott egy állásfoglalást a külső nyaki reszorpciók diagnosztikájával és terápiás lehetőségeivel kapcsolatban [2].
számos tényezőt figyelembe véve kell kiválasztanunk, több anyag is szóba kerülhet. Amennyiben megfelelően izolálható a kavitás, kompozit tömőanyagok is használhatóak restauratív anyagként. Kutatások bizonyítják, hogy megfelelően elkészített és polírozott kompozitanyagok nem károsítják a parodontális szöveteket és jól használhatóak szubgingivális kavitások esetén is [3, 4]. Kiterjedtebb kavitások esetében rövid üvegszál-erősített kompozitanyagok is használhatóak a fog megerősítésének érdekében [5, 6]. Ezen kívül, hagyományosabb megközelítésben, jól használhatóak különböző üvegionomer tömőanyagok, melyek használata szubgingivális régióban jól dokumentált az irodalomban [7]. Nagyszerű biokompatibilitása miatt széles körben alkalmaznak kalcium-szilikát bázisú anyagokat is az íny alatti keményszöveti defektusok ellátására, azonban mechanikai és esztétikai értelemben ezek az anyagok elmaradnak a korábban említettektől [8].
Első eset
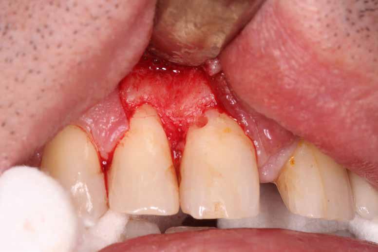
Ötvenes éveiben járó páciensünk rutinellenőrzésre érkezett rendelőnkbe. A vizsgálat során felfigyeltünk a jobb felső metszőfogán kialakult, íny alatti elváltozásra. A röntgenfelvételen jól látható a kis méretű (Patel 1Ad) reszorpciós elváltozás [3. kép]
A külső nyaki reszorpciós elváltozások behatolási kapuja rendszerint a hámtapadás szintjében található, így a klinikus számára komoly kihívást jelenthet az elváltozás láthatóvá tétele, annak izolálása, valamint a kezelése is. Bár kutatások nagy számban foglalkoznak a reszorpciós elváltozások természetével és etiológiájával, jelenleg csak nagyon kevés tudományos evidencia érhető el a kezelésükkel kapcsolatban. Továbbá, jelenleg nincs tudományos konszenzus a restaurálásra alkalmazható anyagok tekintetében sem. Számos kérdésre kell választ találnunk a kezelésünk megtervezése közben. Elsődleges célunk, hogy a külső nyaki reszorpcióval diagnosztizált fogakat funkcióban tartsuk, megelőzzük a további keményszövet-veszteséget és helyreállítsuk az esztétikumot (kiváltképpen az anterior régióban). Nagy méretű reszorpciós kavitások esetén már felmerülhet a fog megerősítésének kérdésköre is. Mivel a restauratív anyagunkat
A megfelelő vizuális kontroll és az izolálhatóság kedvéért lebenyt alakítottunk [4. kép]. Így az abszolút izolálás már kivitelezhető volt és kofferdám izolálásban kezeltük a léziót [5. kép]. Mivel az elváltozás nem látható területen helyezkedett el, illetve a kavitás kis kiterjedését figyelembe véve kalcium-szilikát bázisú anyagot választottunk a restauráláshoz (Biodentine, Septodont) [6. kép]. Miután letelt a választott anyagunk kötési ideje (12 perc), zártuk a lebenyt [6. kép]. Páciensünk azóta is panaszmentes, kétéves kontrollon állapota rendben volt [7. és 8. kép].
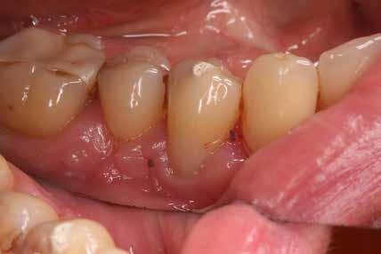
Ötvenes éveiben járó hölgyet fogorvosa irányította hozzánk a bal alsó 4-es fogának nagy méretű reszorpciójával [9. kép]. A hölgy ragaszkodott foga megmentéséhez, így a kezelés megtervezéséhez CBCT felvételt készítettünk a fogról [10. kép]. A felvételen a Patel-féle klasszifikáció szerinti Patel 3Ap reszorpciós elváltozás látható. A szájüregi vizsgálat során a fog bukkális felszínén gyulladt ínyt, mély parodontális tasakot és a fog nyaki részén, a foganyagon átsejlő reszorpciós lacunát találtunk [11. kép]. A fog szenzibilitás vizsgálat során nem reagált hideg ingerlésre. A pulpális érintettség miatt elvégeztük a fog trepanálását, majd lebenyt alakítottunk a kavitás láthatóvá tételéhez [12. kép]
1. és 2. kép: Külső nyaki reszorpciós elváltozások CBCT képen.Kónuszos felépítmény kapcsolat
Kisebb mikromozgás
Erősebb és egyenletesebb csatlakozás
Platform switching
Az üregben nagy mennyiségű gyulladásos szövetet találtunk, mely eltávolítása után láthatóvá vált a kavitás kiterjedése [13. kép]. A kisőrlő fogakra jellemző tengelyirányú, valamint oldalirányú terhelés kombinációja, valamint a jelentős foganyagveszteség miatt szerettük volna a lehető legjobban megerősíteni a fogat. A terület kofferdám gumilepedővel történő abszolút izolálása után a gyö-
KAVOSZ SZÉCHÉNYI LÍZING MAX+
• 5 % fix kamatozás
• 2,5 % szerződéskötési díj
• Önerő 30 %
A-dec 500
Prémium kategóriás alsó/felső karos kezelőegység
2003 ÓTA FOLYAMATOSAN ELNYERTE A LEGJOBB KEZELŐEGYSÉG FŐDÍJAT
Csak az a gyártó ad 5 év garanciát a termékére, aki biztos a gyártmánya minőségében
DELUXE vezérlés, 8+4 LED páciens lámpa, NSK NLZ LED-es mikromotor www.a-dec.com/virtual-tour www.dent-east.hu
Az A-dec kezelőegységek szervizeléséhez a vételár mindössze átlagosan 1,97%-át teszi ki az évente vásárolt alkatrész. Ebben az A-dec páratlan.
A-dec 230
Felsőkaros kezelőegység, DELUXE vezérlés, 8+4 LED vagy 4 LED páciens lámpa, NSK NLZ LED-es mikromotor
A-dec 200
Kompakt alsókaros kezelőegység
DELUXE vezérlés, 8+4 LED vagy 4 LED páciens lámpa, NSK NLZ LED-es mikromotor
„Amit ma megvehetsz, ne halaszd holnapra”
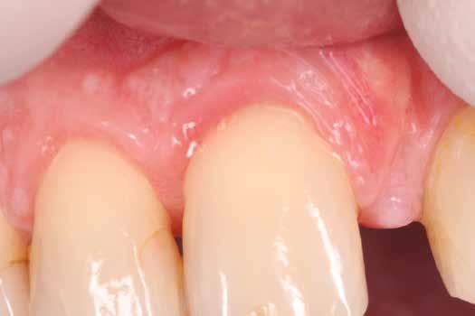
kércsatornát egy guttapercha segítségével kiblokkoltuk, ezzel megelőzve a csatorna obliterálódását [14. kép]. Ezután megfelelő adhezív előkezelést követően kompozit tömőanyaggal restauráltuk az elváltozást (Essentia Universal, GC Europe) [15. kép]. Finírozást és alapos polírozást követően zártuk lebenyünket, majd újabb kofferdám izolálásban elvégeztük a fog gyökérkezelését [16. és 17. kép]. A kezelést követően páciensünk teljesen panaszmentes
volt. Két hónapos kontrollon a fog teljesen ép, az íny tökéletes kitapadását tapasztaltuk [18. és 19. kép]. Szondázási mélység a bukkális oldalon mindenhol 2 mm alatt volt.
A külső nyaki reszorpciós elváltozások egyre inkább a mindennapi klinikum részévé válnak. Kezelésük során számos tényezőt figyelembe kell vennünk. Amennyiben abszolút izolálás elérhető, az adhezíven rögzülő kompozit tömőanyagok hatékonyan használhatóak az érintett fogak ellátására és megerősítésére.
Az innovációs és technológiai minisztérium ÚNKP-22-3 kódszámú Új Nemzeti Kiválóság Programjának szakmai támogatásával készült.
KIFEJLESZTVE
Kúpos forma az optimális primer stabilitásért
FENNTARTÁSA
Kevesebb megtapadó baktérium és egyszerűbb
tisztíthatóság
Egyfázisú folyamat, amely szöveti szintű restaurátumot és jobb szék melletti időkihasználást tesz lehetővé
A Straumann TLX implantátum rendszer kialakításánál számításba vették a keményés lágyszövet gyógyulás kulcsfontosságú elemeit.
Az implantátum-felépítmény kapcsolat távolabb került a csonttól, ezzel jelentősen csökkentve a gyulladás, valamint a csontreszorpció esélyét.
Keresse helyi Straumann képviselőjét vagy látogasson el a www.starumann.com/tlx oldalra!
09.30-09.40 Dr. Benyőcs Gergely, Dr. Volom András: Megnyitó
A páciensek elvárásai a fogászati kezelés esztétikai eredményével kapcsolatban ma már olyan magasak, mint még soha. Mi több, elvárás, hogy ezt a célt minimális beavatkozással és maximális fogmegőrzéssel érjék el. De vajon valóban lehetséges-e úgy helyreállítani a fogakat, mintha semmi sem történt volna velük? Vannak-e határai annak, hogy mi az, ami korrigálható, és mi az, ami visszafordíthatatlanul elveszett? Számos esemény károsíthatja a mosoly esztétikáját, ezért nekünk, fogorvosoknak kreatívnak kell lennünk a kezelési megoldások terén. Bizonyos esetekben a fehérítés és egy egyszerű, jól elvégzett tömés lehet a legjobb megoldás. Beszélek majd a paradigmaváltásról a direkt restaurációs kezelések színmegfelelésében. Ha az elülső területen elszíneződött fogak vannak, nem szabad megfeledkeznünk az „ernyőhatás” jelenségéről. Ez mind a rózsaszín, mind a fehér esztétikát befolyásolja, ezért mélyebben beleássuk majd magunkat ebbe a fogalomba. A frontfogak helyreállítása implantátumok esetén az új trend praxisunkban. A természetes fogak, a héjak és az implantátumokra helyezett koronák illesztésének módjáról is szó lesz. Más esetekben teljes szájrehabilitációra van szükség interdiszciplináris megközelítéssel, amely magában foglalja a fogszabályozást, az implantátumokat, a szövetátültetéseket, a koronákat és a héjakat. Még ha a szakterületek eltérőek is, a cél ugyanaz: a szép mosoly helyreállítása!
10.45-11.15 Dr. Takács Ildikó: Fotona, az első fogászati lézer sokoldalú esztétikai arckezelési lehetőséggel
Napjaink versenyképes fogászati egészségügyi ágazatában széleskörűen elterjedt a lézeres kezelések alkalmazása. Továbbá lassan önálló tudományágként az esztétikai beavatkozások is teret nyernek a fogászatban is, ld.: mosolytervezés, makroesztétika, kozmetikai fogászat. Nemzetközileg is egyre nő az igény, mind a páciens, mind a kezelőorvos oldaláról, hogy egyszerre teljeskörű ellátást kapjon/kínáljon. Ezt a piaci igényt látta meg a szlovén orvosilézert gyártó és forgalmazó cég, a Fotona. Szerencsére a LightWalker® lézereket a maximális sokoldalúságra tervezték. A kemény- és lágyszövetes fogászati kezelések széles választékán túl a Fotona LightWalker® lézerrendszere számos népszerű arcesztétikai kezelést is lehetővé tesz, a hideg és nagyon felületes bőrfelújítástól, a szövettel való mély hőkölcsönhatásig az öregedésgátló és fiatalító hatások érdekében.
11.45-13.00 Dr. Michał Ganowicz: A fogak biológiai kezelésea reverzibilis és irreverzibilis pulpitis kezelése gyökérkezelés nélkül
13.00-14.00 Ebédszünet
14.00–14.45 Dr. Fráter Márk: Gyökérkezelt fogak restaurálása –hol húzódik a határ direkt és indirekt megoldások között?
A gyökérkezelt fogak megerősítése rég áhított cél a gyakorló fogorvosok körében. Sajnos a nem megfelelő restauratív megoldások, helytelen indikációmeghatározás miatt elég gyakran találkozunk a gyökérkezelt fogak eltörésével, mely a fog eltávolítását teszi szükségessé. Ez is jól mutatja, hogy ezen fogak esetén az általunk választott restauratív megoldásnak kötelessége a fog megerősítése, egységben tartása. Emiatt kézenfekvő lehet indirekt restaurátum választása. Ugyanakkor a mai modern üvegszálas anyagok mára kiterjesztették felségterületüket az indirekt restaurátumok indikációs területére is. De vajon fontos-e, hogy pontosan milyen anyagot választunk, vagy ha modern üvegszálas anyagot használunk, akkor bármit megtehetünk direkt technikákkal? Az előadás rávilágít a legújabb indikációkra direkt és indirekt restaurátumok választása területén gyökérkezelt fogak esetén és bemutatja a pontos alkalmazási protokollokat is.
Esztétika és funkció a direkt restaurációk világában
Hiszem, hogy a sikeres kezelés kulcsa nem a művészi készség, hanem az átgondolt tervezés és precíz kivitelezés. A megfelelő esztétikai irányelvek, foganatómiai ismeretek segíthetnek a kezelés megtervezésében, természetesen szem előtt tartva a fogak elsődleges szerepét: a funkciót is. Az előadás folyamán részletgazdag esetbemutatásokon keresztül betekintést nyerhetünk olyan protokollokba, melyeket követve lépésről lépésre kiszámíthatóan elérhető a kívánt végeredmény. Szó lesz funkcionális analízisről, különböző direkt restaurációs technikákról és a kezelési lépések mögött meghúzódó gondolatmenetről.
15.30-16.00 Kávészünet
Hosszú út vezet a fog repedésétől a törésig. Előadásomban ezt az utat igyekszem alaposan, minden irányból körüljárni olyan eseteken keresztül, amelyekkel minden fogorvos nap mint nap találkozhat. A biomimetikus szemléletmódot szeretném bemutatni, ami többek közt igyekszik elkerülni a repedés kialakulását, de megoldást nyújt a már meglévő problémákra is, legyen az repedés vagy letört fog.
Hogyan kezdj azonnal dolgozni a ClearCorrect alignerekkel, a Straumann Group piacvezető prémium aligner rendszerével?
A jövő már ma elérhető: a clear alignerek helye és szerepe a praxisban. Kezd el már holnap az első esetedet! ClearCorrect workshop Dr. Daniel Neves-el az azonnali induláshoz.
Vegyél részt a kurzuson, ahol a Világ vezető ClearCorrect specialistájától sajátíthatod el többek között az alábbi ismereteket:
• Hogyan bővítsd ki a rendelőt egy olyan szolgáltatással, amelyet a páciensek már jelenleg is aktívan keresnek.
• Hogyan válaszd ki a megfelelő kezdő esetet.
• Lepésről – lépésre megmutatjuk hogyan kezd el a kezelést.
• Hogyan legyél magabiztos a prémium minőségű ClearCorrect aligner rendszer használatában.
Légy részese te is a digitális fogszabályozásnak, az induló tudást most megadjuk a kurzusunkon, és regisztrálj a Dr. Portal-ra nálunk a helyszínen!
*A kurzus ára: 29.900 Ft Oklevelet adunk a kurzus elvégzéséről.
Időpont: 2023. 03. 25., 14:45-17.00-ig 1. emeleten
*A kedvezmény a regisztrációt követő első, április 30-ig feltöltött, megtervezett és megrendelt esetre vonatkozik (több eset is feltölthető.)
(Tervezés: 3-5 munkanap / terv változtatása: 2-3 munkanap / gyártás: 10 munkanapon belül történik.)
Dr. Daniel C. Neves „The future is now: clear aligners as a reality in your practice!”Dr. Daniel C. Neves
Remarkably comfortable
Fantastic tooth adaptation
Extraordinary sustained force
Exceptional stain resistance
Amazingly flexible
Outstanding tear resistance
You asked for comfortable, durable, multi-layer aligners that feature sustained force, great clarity, and excellent tooth adaptation. Our answer: ClearQuartz™. We’re proud to present it to you, and we believe you’ll be proud to treat your patients with it.
Optimized clarity
2023. október 12-13-14. dentalworld.hu „
Találkozzunk Európa fogászati eseményén Budapesten
KONGRESSZUSI PROGRAMOK ELŐZETES ELŐADÓI
Vegye meg most kongresszusi jegyét Ultra Early Bird kedvezménnyel!*
1 témakörű kongresszus: 50 000 Ft (esztétika, implantológia, endodontia, orthodontia)
Teljes ár: 100 000 Ft
All access: 75 000 Ft (mind a négy témakörű kongresszusra belépést biztosít)
Teljes ár: 150 000 Ft
*A kedvezmény 2023. március 31-ig érvényes.
Dr. Giovanni Olivi Olaszország Danielle Rondoni Olaszország Dr. Marco Mailonio Olaszország Dr. Francesco Amato Olaszország Prof. dr. Marcel Wainwright Németország Dr. Andrea Franzo Olaszország Dr. Nuno Pinto Portugália Dr. Giedré Kobs Litvánia Prof. dr. Mutlu Özcan Svájc Dr. Mile Churlinov Észak-Macedódina Dr. Ruth Perez Alfayate Spanyolország Dr. Maciej Czerwiński LengyelországMosolytervezés, mely élmény páciensei számára.
Már a konzultáció során segít szemléltetni a kezeléssel elérhető eredményeket. Élethű képei páratlan motivációs hatással bírnak. A program elérhető iTero Element™ Plus Series kezelőegységekre.
Látogasson meg bennünket az Align kiállítási standján, vagy foglaljon időpontot bemutatóra saját rendelőjében az itero.com weboldalon.
it starts with
▶ Egyfázisútechnika
▶ Azonnaliterhelésesprotokoll
▶ Egyedülállóprimerstabilitás
▶ Azegyetlentökéletesimplantátum-felépítmény „kapcsolat”–nincsmikromozgás
▶ Polírozottfelszín–nincstöbbéperiimplantitis
▶ Csontpótlásmentes,apáciensszámáraisigazán egyszerű,gyors, költséghatékonyimplantológia*
*Aköltséghatékonyság aztfejeziki,hogyazonoshatásosság(eredményesség)milyenköltséggel(ráfordítással) érhetőel.Aleginkábbköltséghatékonyazazeljárás,technológia,amelyikalegkisebbráfordítássalalegnagyobb eredménytériel.Azaz egészségügyitechnológia tekinthetőköltséghatékonynak,amelyazakárszűkösenrendelkezésreállóerőforrásokbólalehetőlegtöbb egészség-nyereséget termeli,illetveaztalegkisebberőforrás felhasználássalállítjaaztelő. (Azegészségügyifogalomtáralapján.)
A 10 éves Alpha Implant Kft. a hagyományos munkafolyamatok mellett a digitális workflow minden lépésére megoldást kínál. A digitális technika fejlődése a fogászati piacon is egyre nagyobb teret hódít. Ebben nyújt
segítséget a 6 lépésből álló Alpha Digital Workflow, amely az intraorál scanneléstől a kész fogmű behelyezéséig terjed. Ne zárja magát keretek közé, lépjen az Alpha Implant Kft.-vel a Digitális Szabadság Világába!