

A Dental Press másfél évtizede döntött arról, hogy a Dental World őszi rendezvényeit megelőzően, tavaszonként is szervez egy továbbképző kongresszust azzal a céllal, hogy több, olyan kiemelten fontos kérdést mutasson be mind elméleti, mind gyakorlati megközelítésben, melyek a fogászat vezető témái az adott esztendőben.
Éveken át sikerült ezt a szándékunkat realizálni is, majd sajnos – nem várt külső körülmények miatt – ez a folyamat megszakadt.
2023-ban szeretnénk ismét visszatérni a korábban sikeresen megtartott programjainkra, így idén már a VIII. Upgrade Congress – Fogászati Kongresszus és Kiállítás megrendezésére kerül sor, melyen közel 60 kiállító is várja majd az érdeklődőket. A kiállítás helyszínén a következő díjmentes programok látogathatók: Live Demo, Alpha Bio Buborék Bár, Flexi kávézó.
A kongresszusok programjait az esztétika, az endodontia, az implantológia, az orthodontia, a digitális fogászat és prevenció témaköréből állítottuk össze, melyeken közel 40 előadás hangzik el. A fogorvoslás tudománya állandóan fejlődik, változik. Újabb és korszerűbb anyagok, eszközök, eddig nem ismert technikák, módszerek gazdagítják folyamatosan a gyógyítás lehetőségeit, és természetesen egyre fokozódnak a páciensek elvárásai, igényei is. Így az ismeretek kiegészítésére, aktualizálására mindig szükség van, ehhez szeretnénk hozzájárulni a most megrendezésre kerülő VIII. Upgrade kongresszussal is.
Megítélésünk szerint a rendezvényen való jelenlét – az ismert és elismert rangos előadóknak, valamint a sokszínű programnak is köszönhetően – segíthet a fogorvosok naprakész tudásának a bővítésében, a szélesebb körű tájékozódásban, valamint abban, hogy a különböző szakterületek újdonságai iránt érdeklődők hasznos, a napi gyógyító munkában is jól alkalmazható ismeretekhez jussanak.
A VIII. Upgrade kongresszusra – az eddigi tapasztalatainkat is figyelembe véve – még nagyobb körültekintéssel készülünk, és bízunk abban, hogy a két nap után az érdeklődők megelégedéssel távoznak majd az előadásokról és egyéb programjainkról egyaránt.
MOTTÓNK: KÉT NAP A JÖVŐÉRT!
Hasznos és tartalmas előadásokat, programokat kívánva, tisztelettel: Laczkó Tamás, a rendezvény főszervezője
Kiállítás helyszíne
Hungexpo Vásárközpont, 1101 Budapest, Albertirsai út 10. „C” kongresszusi központ
Kiállítás nyitvatartása
2023. március 24., péntek: 08.30–18.00, 2023. március 25., szombat: 08.30–17.00
A kétnapos rendezvény alatt közel 60 szakkiállító várja az érdeklődőket, a kiállítás megtekintése díjmentes, de regisztrációköteles.
Kongresszusi regisztráció
2023. március 24–25. reggel 8 órától. A regisztráció a szakmai programokra kötelező.
A regisztráció a Hungexpo „C” kongresszusi központ bejáratánál található.
Kreditpont
A kongresszusok 2 napi programjainak összpontértéke: 16, napi pontérték: 8
A tanfolyamok a szakma szerinti kategóriába tartoznak (szakképesítések, amelyekhez szakma szerinti pontszámként elszámolható: 1. arc-állcsont-szájsebészet, 2. dento-alveoláris sebészet, 3. fogszabályozás [fogorvos], 4. konzerváló fogászat és fogpótlástan), vizsga nincs, a kreditpont-igazolást a rendezvényt követően küldjük el. A szakmai programokban a változtatás jogát fenntartjuk.
Megközelítés, parkolás
Az Albertirsai és a környező utcákban díjmentes parkolási övezet található.
A rendezvény megközelíthető tömegközlekedéssel is:
Az Örs vezér tere metrómegálló és a Hungexpo vásárváros között a rendezvény napjain is közlekedik a 10-es autóbusz. Az M2-es metró Pillangó utcai állomásától a Hungexpo vásárváros főbejárata körülbelül 15 perces sétával elérhető.
Digital & Ortho Kongresszus: 20 000 Ft (teljes ár: 24 000 Ft)
Prevenciós Kongresszus: 17 000 Ft (teljes ár: 19 500 Ft)
Last minute kedvezmény
2023. február 28-ig
Jelentkezzen most!
WWW.UPGRADECONGRESS.HU
Várjuk szeretettel a lenti élményhelyszíneken a kiállítás 2 napja alatt!
Kónya János, Bozsányi Lajos: Kreatív és innovatív megoldások a fogászati szakterületen esetbemutatásokkal
Domonkos Szilárd:
Tippek és trükkök Medit szkennerrel
Modor Gergely:
3shape Trios száj szkenner lehetőségei egyszerűen
Dr. Döbrentey Zsolt: Esztétika és funkció a direkt restaurációk világában
Dr. Takács Ildikó: NightLase® – lézeres horkoláskezelés
Dr. Takács Ildikó: SmoothEye® – lézeres kezelés
Dr. Borzási Imre
Dr. Luigi Canullo
Dr. Baktai Zoltán
Dr. Antal Márk
Dr. Borbély Judit
Dr. Róth Ivett
Dr. Alexander Tzovairis
Dr. Dumitru Muntean
Dr. Fráter Márk
2023. március 24., péntek
19.30–01.00
Program:
19:30 kapunyitás, asztalfoglalás, welcome koktél
Hász Eszter-Gáspár Károly duó zenél az este alatt
20:00 köszöntő, büféasztalos vacsora ínyencségekkel
20:30 revüműsor
21:30 élő koncert – Rubor Labii zenekara (Benyőcs Gergely, Mócz András, Siklós Csaba, Sidó Levente
Helyszín:
23:30 funkypop & dance
Hungexpo „C” Kongresszusi Központ
1101 Budapest, Albertirsai út 10.
2023.
Dr. Baktai Zoltán
Dr. Gurzó Mária
Dr. Zsoldos Márton
ebédszünet
Dr. Jakab András
Dr. Maurer-Morvai Bence
Dr. Antal Márk
Témavezetők: Dr. Benyőcs Gergely, Dr. Volom András
Dr. Dumitru Muntean
Dr. Takács Ildikó
Dr. Michał Ganowicz
ebédszünet
Dr. Fráter Márk
Dr. Döbrentey Zsolt
Dr. Farkas Péter
Témavezetők: Dr. Benyőcs Gergely, Dr. Volom András
MÁRCIUS 24., PÉNTEK 2023. MÁRCIUS 25., SZOMBATImplantológia kongresszus
Dr. Luigi Canullo
Dr. Sidó Levente
ebédszünet
Dr. Antal Márk
Dr. Baráth Zoltán
Dr. Nyárády Zoltán
Dr. Nagy Pál
Témavezetők:
Dr. Németh Zsolt, Dr. Sidó Levente
Implantológia kongresszus
Dr. Alexander Tzovairis
Dr. Joób-Fancsaly Árpád
ebédszünet
Dr. Párkányi László
Dr. Kövér Zsanett
Dorogi Gábor
Dr. Borzási Imre
Walter-Kovács Noémi
Mester Emese
ebédszünet
Dr. Molnár Bálint
Dr. Tihanyi Dóra
Kis-György Rita
Dr. Tóth György
Dr. Simon Fanni
Témavezető:
Dr. Radánovics-Nagy Dániel
Dr. Borbély Judit
Dr. Felkai Tamás
Dr. Nagy Zsolt
Dr. Daniel C. Neves
ebédszünet
Dr. Filipa de Almeida
Dr. Palkovics Dániel
Dr. Mikolicz Ákos
Témavezetők:
Dr. Németh Zsolt, Dr. Sidó Levente
Témavezető: Dr. Nagy Zsolt
fogalmazódott meg bennem, hogy milyen jó lehet fogorvosnak lenni és én is az szeretnék lenni.
Mindig is szerettem apró dolgokat szerelgetni, barkácsolni, segíteni másoknak. Már gyerekkoromban is látszott, hogy fokozottak a manuális készségeim, így azt gondolom, nem született rossz döntés.
Kérem, vázolja szakmai életútjának legfontosabb állomásait!
2012-ben a végzést követően a Semmelweis Egyetemen maradva a Konzerváló Fogászati Klinikán kezdtem meg a fogorvosi pályafutásom. Ott szereztem meg a Konzerváló fogászat és fogpótlástan szakvizsgát is. Az egyetemi munka mellett 2013-ban a Four Seasons Dental Centerben indult el a magánrendelői karrierem. Ezt követően 2014-től kezdve kezdetben részmunkaidőben, majd teljes munkaidőben a Kizman Dental Stúdió egyre növekvő csapatát erősítem mind a mai napig. 2020 óta mindemellett prof. Urbán István rendelőjében (Urban Regeneration Institute) végzek restauratív fogászati ellátásokat.
A magánrendelői pályafutásom ellenére a Semmelweis Egyetemmel nem szakadt meg a kapcsolat. A graduális képzés keretein belül tartok előadásokat a héjakkal kapcsolatban, valamint 2013 óta az „Esztétikus töméskészítési technikák” nevű elméleti és gyakorlati tárgy oktatójaként csepegtetjük az Esztétikai fogászat iránti szeretetünket a jövő nemzedékeibe.
Legyen kedves, mondja el röviden, mi vezetett ahhoz a döntéshez, hogy a fogorvosi pályát válassza? Édesanyám ágán erős volt a családi indíttatás az egészségügyi pálya irányába, hisz nagypapám (prof. Záborszky Zoltán) traumatológusprofesszor volt, nagybátyám (dr. Záborszky Zoltán) sebész, édesanyám (Döbrenteyné dr. Záborszky Klára) pedig gyógyszerész.
Emlékszem, az érettségi közeledtével nagypapám mindöszsze ennyit kérdezett: „Mi leszel, cimborkám? Orvos vagy sebész?” Végül én „csak” fogorvos lettem.
Fogorvosi hivatással kapcsolatban dr. Tihanyi István fogszabályozó szakorvossal kapcsolatban vannak gyerekkori emlékeim. Objektív érveket ugyan nem tudok felidézni, de az érzés erősen él bennem, ahogy tinédzserként egy óriási, halakkal teli akvárium mellett ültem a fogorvosi székében és az
2017-ben alapítottuk meg a Magyar Esztétikai és Restauratív Fogászati Társaságot, melynek elnökségi tagjaként szeretném segíteni a fogászat ezen területének az összefogását és szakmai fejlődését.
Rendszeresen tartok előadásokat és hands-on kurzusokat főként direkt anterior és posterior témákban.
A választott szakterületét milyen motivációk miatt választotta, hol szerezte be a megfelelő szakmai tudást, illetve hol és miként tudja azt permanensen kiegészíteni, bővíteni?
A Fogorvostudományi Karra még azzal a motivációval jelentkeztem, hogy későbbiekben fogszabályozással szerettem volna foglalkozni.
Harmadéves fogorvostan-hallgató korom környékén egy családi jóbarátunkhoz, dr. Kávássy Beátához kezdtem el bejárni a Gellért Szállóban lévő rendelőjébe. Tőle nemcsak a
„A mosoly az öröm kifejezésének eszköze, de a boldogságot valahol máshol kell megtalálni...”
szakmai elhivatottságát, odaadását, igényességet, hanem az esztétikai fogászat melletti elkötelezettséget is magamba szívtam.
Az egyetemi évek alatt több hallgatói verseny eredménye is megerősített abban, hogy jó úton haladok, de az áttörést ötödévesen a Jules Allemand Trophy nevű fogfelépítő verseny jelentette. Az egyetemi forduló után az országos versenyt megnyerve Olaszországba, Chieti városába vezetett az utam, ahol a nemzetközi megmérettetésre került sor. Itt személyesen is megismerhettem prof. Lorenzo Vaninit, aki az esztétikai fogászat egyik legmeghatározóbb alakja. Innentől kezdve nagyon felpörögtek az események. Gyakorlatilag minden a témába vágó hazai és jelentősebb külföldi továbbképzésen igyekeztem jelen lenni és a lehető legtöbb tudást magamba szívni.
Ebben az időben alakul ki a StyleItaliano közösség, ami akkoriban korszakalkotónak számított. Állandóan figyeltem, mikor tesznek fel új esetbemutatót vagy újabb technikát leíró cikket. Meghívásos alapon abban a megtiszteltetésben volt részem, hogy az alapító tagoktól személyesen is tanulhattam, ami tovább fokozta a motivációm. A Konzerváló Fogászati Klinikán eltöltött 5 évem alatt a kollégák megtanították a modern trendek és technikák fenntartással való elfogadását, amiben a tudományos háttér és a szakirodalom tanulmányozása adott iránymutatást.
Az egyetemi munkám során kerestem az olyan eseteket, ahol az elméletben megtanultakat gyakorlatba is átültethetem és kamatoztathatom azt. Mindezt fotódokumentáltam és azokat visszanézve próbáltam rájönni, hogy mit kéne másként csinálni, hogy még jobb eredményt érhessek el. A fotók nyugodt körülmények között való kielemzése és előadásokon, online felületeken látottakkal vagy saját korábbi esetekkel összehasonlítva segít irányt mutatni, hogy hol tartok és miben kéne fejlődni.
A Jules Alemend Trophy-nak hála megismerhettem dr. Csizmadia Katalint, aki már a pályám kezdetén bizalmat szavazott és felkért, hogy az élpótlások témájában kurzust tartsunk. Az előadásokra való készülés, a prezentáció összeállítása, az adott téma rendszerbe szedése, illetve annak oktatása jobban elmélyítette a tudásom. Segített olyan protokollok kialakításában, ahol a kezelés menete tervezhető és végeredmény kiszámítható.
Privát szektorba átnyergelve nem csak az esetszám növekedett meg, hanem olyan eszközök és anyagok felhasználása vált lehetővé, ami segített újabb szintre emelni a munkám minőségét.
Kihívást jelent az egyre magasabb elvárásokkal érkező páciensek elvárásainak is megfelelni, valamint rászolgálni a referáló orvosok bizalmára. Mindezek segítenek feszegetni a saját határaimat, fenntartva az állandó fejlődésre való igényt.
Továbbra is igyekszem minden lehetőséget megragadni a tanulásra. Kritikusan kezelni a saját munkám is, a fejlődés érdekében, hogy a pácienseimnek a lehető legjobbat nyújthassam.
Erre buzdítok minden kollégát!
Kérem, ismertesse az előadásának lényeges kérdéseit, mit fog bemutatni a résztvevőknek?
Pályám első évei főként új technikák elsajátításával teltek. Azaz a „Hogyan?” kérdésre kerestem a válaszokat. Az idő előrehaladtával és egyre több információ birtokában próbáltam rájönni, mi lehet az oka az esetenként előforduló siker-
telenségeknek. Például, miért pattan le egy élpótlás újra és újra, míg sok másik hasonló restaurátum tökéletesen bírja? Tehát elkezdtem a „Miért?-eken”, azaz az ok-okozati összefüggéseken elmélkedni. Sőt, törekedtem arra, hogy ezeket a rizikófaktorokat előre fel tudjam mérni és lehetőleg ki tudjam védeni.
Az előadásom során szeretném az így összegyűjtött tudást átadni. Direkt anterior eseteken fogunk úgy végigmenni, hogy közben felhívom a figyelmet azokra a szempontokra, amikre a tervezés legelső lépésétől a kidolgozás legutolsó lépéséig érdemes odafigyelni. Hogy függ össze a funkció és az esztétika? Mi köze van mindennek a tartóssághoz?
Egy direkt anterior felépítés vagy diasztémazárás főbb lépései mellett rámutatok olyan részletekre, amiken a kezelés sikere vagy bukása múlhat. Miért alakul ki a restaurátum széli záródásában egy fehéres határfelületet?
Hogyan kerülhető el a fekete háromszög kialakulása diasztémazárás esetében?
Ezekre és további részletekre, összefüggésekre szeretnék rámutatni és megoldást kínálni az előadás keretein belül.
A fogászat különböző szakterületei óriási léptékben változnak az utóbbi években is. Mit gondol, ez a fejlődés elsősorban a páciensek életminőségének a javulását segíti, vagy főleg a fogorvosok, a fogtechnikusok munkáját könnyíti?
Az utóbbi években a legnagyobb forradalmat a digitális technológia irányába történő eltolódás jelentette. Kezdetben ugyan invesztíciót igényel, valamint egy új tanulási görbével is jár a fogorvostól és fogtechnikustól is. Viszont azt követően már így kialakított, új kezelési protokollhoz kell hozzászokni, ami utána kiszámíthatóbb és hatékonyabb végeredményhez vezethet. A páciensek általában szájtátva figyelik a számukra még űrtechnológiának számító scannert. Továbbá fontos szempont lehet, hogy akár a kezelés invazív része előtt vizualizálható a tervezett végeredmény. Mivel a páciens már ebben a fázisban tud visszacsatolást adni, így későbbiekben rengeteg fölösleges kör előzhető meg. Ráadásul ez akár az online térben e-mail formájában is egyeztethető, szükség esetén átalakítható. Így a fogtechnikus a végleges restaurátum újrakészítését, munkaórákat, a fogorvos pedig értékes székidőt spórolhat meg.
Azt gondolom, a páciens-fogorvos-fogtechnikus trió olyan, mint egy háromlábú szék. Ha a szék lábai egyforma hosszúak, azaz mindenki elégedett és a változás folyamata az érdekeit szolgálja, akkor egyensúlyban tud maradni. Abban az esetben, ha ez a rendszer kiegyensúlyozatlanná válna, a szék felborulna, de legalábbis kényelmetlenné válna mindaddig, amíg a rendszer újra egyensúlyba nem kerül.
A protetika területén lévő szakmai irányelvek ma főleg a digitális megoldások mellett érvelnek. Ön szerint az esztétikai fogászatban is átveszi az irányítást a digitalizáció? Az általános praxisok meddig tudnak kimaradni a fejlesztésből?
Az elmúlt években a scannerek terjedésével a digitális megoldások érezhetően egyre nagyobb teret hódítanak. A tervezési résznél egyértelmű előnyöket hordoz magában a digitális irányvonal. Legyen szó a vizualizáció, kommunikáció vagy szükség esetén az egyszerűbb módosíthatóságról. Azt látom, hogy abban viszont még megosztja a fogorvos- és fogtechnikus-társadalmat is, hogy a végleges munka is digitálisan készüljön-e. A digitálisan tervezett, majd faragott monolitikus, megfestett vagy akár a micro-layering techno-
lógiával leplezett technikai munkák egészen megközelítik a rétegzett kerámiarestaurátumok esztétikáját. Így az esztétikai fogászatban is teret nyertek a full digitális megoldások.
Egyre több típusú és jobb minőségű intraorális scanner jelenik meg, ráadásul egyre elérhetőbb áron. Ennek megfelelően gyarapszik a scannerrel rendelkező rendelők száma is. Rohamosan nő azon laborok száma is, aki nyit a digitális irányvonal felé. Sőt van, aki már analóg lenyomatra nem is dolgozik. A folyamat gyorsasága a gazdasági környezettől a földrajzi elhelyezkedésen át rengeteg szemponttól függ, de az irány egyértelmű. A frissítések és újabbnál újabb lehetőségek szinte heti szinten jelennek meg. Azok a szempontok, amik eddig egyértelműen az analóg irány mellett szóltak, azokra válaszként sorra jönnek ki az innovatív digitális megoldások (pl. egyéni artikulációs mozgások regisztrálása).
Jóslásokba nem mennék bele, de mivel egy öngerjesztő folyamatról van szó, így exponenciális növekedést vizionálnék. Ez pedig a kritikus tömeg elérése után fenyegető lehet azok számára, akik nem nyitottak az újításra: „Aki kimarad, lemarad.”
Az esztétikai fogorvos a kezeléseivel magabiztosságot, örömöt, sőt reményt is ajánl, illetve adhat a pácienseinek. Ezek közül Ön szerint melyik a legfontosabb?
Tény, hogy csodás élmény azt látni, amikor egy kezelés végeztével a páciens a tükörbe nézve örömkönnyeket hullajt vagy a nyakamba ugrik, annyira boldog. Egyik fő motivációm, hogy a pácienseim mosolyát tökéletesebbé tegyem, aminek következtében büszkén és önfeledten merjenek nevetni.
Az elégedettebb önkép, amihez a szép fogazat is hozzájárul egyértelműen fokozhatja a magabiztosságot. Bízom benne, hogy ha csak kicsivel is, de így hozzájárulhatok a társas kapcsolataik teljesebbé válásához. Viszont nem szeretnék senkit azzal áltatni, hogy pusztán azzal, hogy a mosolya szebb lesz, az élete egy csapásra megváltozik és boldogabb lesz.
A mosoly az öröm kifejezésének eszköze, de a boldogságot valahol máshol kell megtalálni.
Pont ezért az olyan kezeléseket, ahol érzem, hogy a probléma nem a fogakkal van, azt el sem vállalom.
Találkoztunk már olyan véleménnyel is, hogy alapjában véve minden jól képzett fogorvos egyben esztétikai fogorvos is. Ön szerint a magas esztétikájú és funkcionálisan is stabil megoldásokhoz elegendő lehet az alapképzés?
Nézőpontom szerint az esztétikai fogászat egy olyan látásmód, ahol lege artis elvégzett kezelések során fokozott figyelmet szentelünk arra, hogy a restaurátum harmonikusan integrálódjon az adott fogba, több fog esetén a fogak egymáshoz.
Szem előtt tartva a fehér és rózsaszín esztétika szabályait, egymáshoz való viszonyukat, mindezt az arc referenciavonalaihoz illesztve. Tehát egy olyan igényesség, ahol törekszünk a lehető legtöbb részletre odafigyelni, a tökéletesség érdekében.
Azt hiszem, azt a kort már meghaladtuk, ahol a páciensek egyedüli elvárása a fogaikkal szemben, hogy ne fájjon és tudjanak vele enni. Manapság legalább olyan komoly elvárást támasztanak a kezelés esztétikai megjelenésével szemben, mint a funkcionális rehabilitálással.
Gasztronómiával tudok párhuzamot vonni, ahol szintén nem elég, hogy az étel finom legyen, hanem annak a gusztusos
megjelenése is szükséges, hogy gasztronómiai élményről beszélhessünk.
Az alapképzés, ahogy a nevében is szerepel, egy olyan alapot ad, amire későbbiekben lehet építkezni. Ahhoz, hogy egyszerű eseteket megoldjunk, talán elég is lehet. De valljuk be, a valóságban ezek vannak elenyésző százalékban.
A komplexebb esetek ellátásához át kell látni az ok-okozati összefüggéseket. Egy-egy részproblémára általában többféle megoldási lehetőség is van. Minél több ilyen kezelési módszert ismerünk, annál nagyobb valószínűséggel tudjuk azokat úgy összekombinálni, amik együtt a lehető legjobb végeredményt adják.
Minél nagyobb a háttértudásunk, annál több olyan részletet és összefüggést fedezhetünk fel, amin akár a kezelés tartóssága, sikere vagy bukása múlhat.
Folyamatosan jelennek meg új anyagok, eszközök és kezelési metódusok, amik között csak akkor tudunk eligazodni és a megfelelőt választani, ha a tudásunk naprakész.
Ha a pácienseink megtisztelnek a bizalmukkal és az egészségüket a mi kezünkbe helyezik, akkor mi is tartozunk nekik annyival, hogy a lehető legjobbat nyújtjuk számukra. Ezt pedig csak akkor tudjuk megtenni, ha a tudásunkat folyamatosan fejlesztjük.
Napjainkban az esztétikai fogászat rendkívüli népszerűségnek örvend. Ön miként ítéli meg e szakterület jelentőségét? Milyen jövőképet lát egy évtized múlva ennek a területnek?
Az igényes megjelenésnek elengedhetetlen része a szép, harmonikus mosoly. A szépségipar fejlődésével együtt az esztétikai fogászatra is egyre nagyobb igény van. Ahhoz, hogy ennek az elvárásnak eleget tudjunk tenni, felkészült szakértelemre van szükség.
Az esztétikai fogorvosnak át kell látni, hogy az adott kiindulási állapotból mi hozható ki és milyen szempontokat kell szem előtt tartani a kívánt eredmény elérése érdekében. Gondolni kell a fogak pozíciójától kezdve a fehér és rózsaszín esztétika összhangjáig megannyi részletre. A kezelések kivitelezéséhez viszont sok esetben interdiszciplináris együttműködésekre is szükség lehet. Az egyes szakterületeket pedig a tervezést végző orvosnak, azaz az esztétikai fogorvosnak kell összefognia és összehangolnia.
Reményteljesen állok az előttünk álló évtizednek, ami a modern technológiának köszönhetően hatalmas lehetőségeket rejt magában. Biztos vagyok benne, hogy a jelenleg még csak terjedő digitális technológia igazán kiforrja magát és átstruktúrálja a kezelések menetét. El tudom képzelni, hogy a mesterséges intelligencia és az augmented reality is teret nyerhet, ezzel újabb kapukat megnyitva a jövő fogászatának.
Egyedüli veszélyt abban látom, hogy a média, főleg a szociális média olyan a természetestől elrugaszkodott szépségideált sugall, ami a fogászati trendekre is kihathat. Ezek pedig olyan kezelésekbe hajszolhatják bele a dominánsan fiatal pácienseket, amik szükségtelen invazív beavatkozásokkal járnak. Szerintem a szakma felelőssége, hogy ezeket a vadhajtásokat kordában tartsa, ezzel eleget téve az orvosi hivatás „Nil nocere” alaptézisének.
bpafree
DOESNOT CONTAINBISPH
> Nagyfokú biokpmpatibilitás: nem tartalmaz
Bis-GMA-t és szabad nanopartikulát
> A természetes zománccal megegyező abrázió
> Mechanikai és funkcionális jellemzői megegyeznek az arannyal
> Könnyű kezelhetőség és ideális polírozhatóság
> Egyaránt alkalmas direkt és indirekt felhasználásra
> Röntgenárnyékot ad
> Fluoridot tartalmaz
WWW.VOLOMSHOP.COM/TANFOLYAM
ÚJRATÖLTVE
"1-2 MÁSODPERC ALATT ÖSSZERAKTA A HARAPÁST"
"A SZOFTVER FELHASZNÁLÓBARÁT...MINDEN FUNKCIÓ KÖNNYEN MEGTALÁLHATÓ"
"KÉZREÁLLÓ, JÓ ERGONÓMIÁJÚ, KÖNNYŰ... A SÚLYPONTJA IS JÓ HELYEN VAN"
32%-KAL GYORSABB MINT A 3SHAPE TRIOS4 A SEMMELWEIS EGYETEM SZKENNER TESZTJÉN (IN VIVO TELJES ÁLLCSONT)
5 999 900 FT
ASUS GAMER LAPTOPPAL ÉS EGYEDI TERVEZÉSŰ, KÖNNYEN MOZGATHATÓ ÁLLVÁNYUNKKAL 6 999 900 FT
KÉRJEN BEMUTATÓT • ÉRDEKLŐDJÖN A FINANSZÍROZÁSRÓL
SHOP@VOLOMSHOP.COM • 06-30-520-2000
09.40–10.40 Dr. Baktai Zoltán: Helyes Drill & Fill a moláris régióban – tippek, trükkök esetbemutatásokon keresztül
Előadásomban olyan eseteket fogok bemutatni, amelyekkel mindannyian találkozunk a hétköznapjainkban. Átvesszük a nehézségeket, és olyan apró, de nagyon fontos döntéshozatali dilemmákat fogok kihangsúlyozni, amelyek végül hasznos tippként segíthetnek megoldani az ilyen és ehhez hasonló kompozit helyreállításokat. Bízom benne, hogy a kedves kollégák olyan praktikai tanácsokkal fognak gazdagodni, amelyeket akár a legközelebbi munkanapjukon hasznosítani is tudnak.
A folyamatosan fejlődő tudomány a fogászatban is új technológiák, eszközök, anyagok megjelenését eredményezi. Az általam használt és fontosnak vélt innovációk alkalmazását szeretném bemutatni a mindennapi fogászatban, ötvözve közel 3 évtized gyakorlatával és tapasztalatával. Az előadás klinikai esetek bemutatásán keresztül, mindenki számára könnyen elsajátítható praktikák, trükkök, hétköznapi fogászatban alkalmazható gyakorlati tanácsok bemutatására és átadására fókuszál.
A jó megjelenés alapja a fogak, az ajkak és az arc harmóniája. A szép mosolyhoz több kell, mint önmagukban esztétikus fogak, mert egy kellemes összhang sokkal több, mint a részletek külön-külön. A mosolytervezés és a magas esztétikájú fogászati rehabilitáció során fontos figyelembe venni a páciens egészét, az arctól a miniesztétikán át egészen az egyes fogak szintjéig. A kívánt hatást megfelelő tervezéssel, csapattal és szisztematikus gondolkodásmóddal bárki elérheti. Segítséget szeretnék nyújtani, hogy milyen irányelvek adnak támpontokat a sikerhez a dentofaciális esztétika világában. Gyakorlati példákkal kísérve vesszük át a háromszintű esztétikai analízist a makroszinttől indulva egészen a mikroesztétikáig. A fókuszban olyan egyszerű fotóelemző módszerek vannak, amelyek a hétköznapokban, speciális szoftverek nélkül is kivitelezhetőek.
14.00–14.45
Gyökérkezelendő posterior fogak esetén gyakran találkozunk mély, szubgingivális szuvassággal az approximális területen, melynek szanálása elengedhetetlen előfeltétele a fog endodonciai kezelésének. Az így kialakuló, már kitisztított üreg restaurálása gyakran nehezen kezelhető szituációt teremt a klinikai gyakorlatban. Ezt sokan „endodonciai csonkfelépítésként” kezelik, mely magában rejthet egy ideiglenes jelleget is, holott ez teljesen téves irány. A jelenlegi modern angol nómenklatúra, azaz a „Deep Margin Elevation (DME)” sokkal jobban tükrözi a beavatkozás célját és nehézségét is. Ugyanis a DME a legnehezebb körülmények között elvégzendő adhezív beavatkozásnak minősül. Emellett a teljes, végleges restaurátum sikerességét meghatározza, és kulcsfontosságú a fog megtarthatóságának eldöntési folyamatában: „ha nem tudjuk megfelelően elvégezni, ugyan hogyan akarjuk most vagy a későbbiekben kezelni és megtartani az érintett fogat?” Előadásomban szeretnék bemutatni egy a jelenlegi szakirodalmon alapuló modern, könnyen kivitelezhető protokollt és néhány trükköt, amelyek megkönnyíthetik és kiszámíthatóbbá tehetik ezeknek az erősen destruált fogaknak a helyreállítását.
14.45–15.45 Dr. Maurer-Morvai Bence:
Kofferdám: ellenség vagy barát?
Véleményem szerint az abszolút izolálás elengedhetetlen kelléke a mai modern fogászatnak. Az izolálás ezen formája – számos előnyének köszönhetően – segítséget tud nyújtani mind az endodoncia, mind pedig a resturatív fogászat területén. Az előadásom fő célja, hogy meghozzam a kedvet a kofferdám használatához. Megerősítést szeretnék adni azoknak is, akik alkalmazzák, de bizonytalanok. Emellett tippekkel és trükkökkel is fogok szolgálni a hozzám hasonló fanatikusok számára, ezzel megkönnyítve a nehezebb esetek izolálását is.
15.45-16.15 Kávészünet
A modern diagnosztikai módszerek és a fejlett kezelési lehetőségek segítségével a fogászatban az endodontiai kezelések sikerességi aránya meredeken emelkedett az elmúlt évtizedekben. Ha az ortográd megközelítés nem szünteti meg az előforduló tüneteket, lege artis gyökércsatorna jelenlétében obturáció esetén az apex és a gyulladt periapikális szövetek sebészi eltávolítását alkalmazzák rutinbeavatkozásként. Az implantológiai fogászat újításai és a CBCT jelenléte egy olyan lehetőséget nyújthat, amely kombinált módszert kínál a lépések csökkentésére és a gyógyulás elősegítésére az apikoektómia után. Az egyedülálló CBCT és számos tervezőszoftver által biztosított egyedülálló vizualizáció javíthatja a tervezési fázist és a pontosságot bármilyen műtétnél. Ezek a módszerek széles körben elterjedtek az implantológiai fogászatban napjainkban. Ezért a cél ugyanaz, a 3D tervezés és a 3D nyomtatott sebészeti útmutatók a fogászat más területein is alkalmazhatók. Másrészről a gyökérvégműtét szükségessége bizonyos esetekben elkerülhetetlen. A dokumentáltan széles körű sikerek miatt a korai sebészeti endodontiai kezelések sikere (44-95%), az apikális sebészeti beavatkozások elveinek újratervezése a sebészeti mikroszkópok használatával releváns kérdés volt. A minimál invazív sebészeti terápiát Kim S. et al. vezette be és írta le alapmódszerként és azóta megkezdődött a fogászati sebészet forradalma. Ez inspirált minket arra, hogy megtaláljuk és bizonyítsuk ezt az újszerű módszert, amely 3D nyomtatott sablonokat és trepint kombinál az apikoektómiához. A előadás először a célzott endodontiai mikrosebészet területén elért legújabb innovációkat tekinti át, kezdve a terület 2007-es első preklinikai kutatásától. Szó lesz a technika fejlődéséről, valamint azokról az innovatív lépésekről, amelyek a jelenleg hangsúlyozott, teljesen irányított endodontiai műtéthez vezettek egy trepinnel, de. A vonatkozó preklinikai és klinikai kísérletek is bemutatásra kerülnek, bemutatva a technikának a hátterét, amelyet mára már számos esettanulmányban ismertettek, de csak néhány valós tudományos tanulmányban.
Kérem, mondja el röviden szakmai életútjának és tudományos munkásságának legfontosabb állomásait!
Az orvosi egyetemet a bukaresti „CAROL DAVILA” Orvos- és Gyógyszerésztudományi Egyetem Fogorvostudományi Karán végeztem 1994-ben. 1998-ben Fog- és szájbetegségek szakvizsgát tetem a Semmelweis Orvostudományi Egyetem Fogorvostudományi Karán jeles eredménnyel. 2008-ban Konzerváló fogászat és fogpótlástan szakvizsgát raktam a Szegedi Orvostudományi Egyetem Fogorvostudományi Karán kiváló eredménnyel.
Érdeklődési területem az esztétikai fogászat és a mosolytervezés. Kétszer tartottam előadást a SZOTE Fogorvostudományi Karának belső továbbképzésén és egy alkalommal a SOTE Fogorvostudományi Karán, szintén a belső továbbképzésen. Előadásaim témája a direkt héj készítése és az üvegszálak lehetőségei a fogászatban voltak. Az igazi megtiszteltetésként éltem meg, hogy mint egy ki városi fogorvos a Magyar Orvosi Kamara Fogorvosi Tagozat lapjában megjelenhetett két cikkem. 2018-ban megrendezésre került Restorative InFluence továbbképzésén tartott előadásom címe, „Üvegszállal megerősített direkt hidak”. Békés Vármegye fogorvosi szakfelügyelő főorvosa vagyok 2018 óta, és 2019-től a Magyar Orvosi Kamara Fogorvosi Tagozatának Békés Vármegyei elnökévé választottak.
Mit tart legfontosabbnak a mindennapi gyógyító munkája során?
Betegeimet igyekszem mindig és minden körülmények között a legjobb tudásommal ellátni. Minden egyes páciensemre úgy tekintek, mintha a saját családtagom lenne. Így az ember sosem hibázhat a mindennapi szakmai döntései során. Mindemelett nagyon fontosnak tartom, hogy folyamatosan továbbképezzem magam és mindig tisztában legyek a legújabb ellátási technikákkal, anyagokkal stb. Lehetőségeimhez mérten ezeket biztosítani tudjam a betegeim részére. Számomra nagyon fontos a hivatásom, a mindennapokban a szakma iránti alázat, és mások megsegítése vezérel. Én tényleg szeretek segíteni az embereken és mindig igyekszem mindenkit a tőlem telhető legnagyobb odafigyeléssel ellátni, anyagi helyzettől függetlenül. Igazán felemelő érzés, amikor könnybe lábad a páciens szeme a megújult mosolya láttán, vagy amikor a betegek arcán igazi öröm, megkönnyebbülés látszik egy gyors fájdalommentes foghúzás után. Talán, ezért is maradtam körzeti fogorvos.
Kit tekint példaképének szakmájában?
Igazi példaképen a szó szoros értelmében nincs, de igazán nagyra értékelem dr. Volom András munkásságát. Sok nagytu-
dású, nemzetközileg is elismert fogorvossal dicsekedhet Magyarország, de dr. Volom András sokrétűségével és személyiségével kiemelkedik a magyar fogorvostársadalomból. Fantasztikus, amit eddig véghezvitt karrierje során. Arra gondolok, hogy a mindennapi kiemelkedő fogorvosi munkája mellett létrehozott egy „Volom” márkanevet! Az ő nevéhez fűződik több külföldi termékcsalád Magyarországra hozatala (pl. Cosmedent, Ribbond, Myobrace, Eighteth…) és e termékeknek a megismertetése a magyar fogorvosokkal. Saját maga által megtartott képzéseken keresztül és külföldi neves előadok Magyarországra hozatalával. Számtalan továbbképzés fűződik a nevéhez, ezzel nagyban hozzájárult a magyar fogászat világszínvonalúra emeléséhez. Mindemellett, kihangsúlyoznám, számos fiatal tehetséges fogorvos felkarolását, támogatását! Lehetőséget biztosítva számukra továbbképzéseken tudásuk bemutatását. Úgy gondolom, hogy a mai napig szívügye az ehhez hasonló továbbképzések szervezése. És akkor még nem is beszéltünk Dr. Volom Dental Fogászati Szaküzlet létrehozásáról, menedzseléséről, a többszékes Dr. Volom Dental Fogásztati Rendelő fenntartásáról. Mindez számomra a szakma iránti elhivatottságáról és odaadásról tesz tanúbizonyságot. Igazán, példa értékű a következő generáció számára.
Napjainkban az esztétikai fogászat rendkívüli népszerűségnek örvend. Ön miként ítéli meg e szakterület jelentőségét?
Milyen jövőt jósol az esztétikai fogászatnak?
Az esztétikai fogászat számomra egyet jelent az esztétikum (ami egy szubjektivitáson alapuló fogalom) összehangolása a mindenekfelett álló funkcionalitással.
Pozitív változásnak tartom, hogy az esztétikai szemlélet átitatja a fogászat minden eszes szegmensét, az implantológiától, a konzerváló fogászatig mindent. Magába foglal egy komplexebb mosolytervezéstől kezdve, egy moláris régióban történő esztétikai szemléletű, funkcionális direkt tömést vagy helyreállítást.
Meggyőződésem, hogy a mosolyrehabilitáció vagy nevezzük mosolytervezésnek egy külön szakterületé növi ki magát és szerintem nem túl távoli jövőben. (Valami hasonlónak a szemtanúi vagyunk, mint a fogszabályzás kialakulásának a XIX. század közepén, amikor elindult világhódító útjára.)
A mindennapjainkat átitatja a szépségipar, amelynek szerves része az arc esztétika és azon belül a mosoly esztétikája. Bizonyított tény, hogy egy ápolt, egészséges, harmonikus mosolylyal rendelkező ember bátrabban mosolyog, kedvesebb kisugárzása kölcsönöz az arcának, ami a személyiségére is pozitív kihatással van. Esztétikus mosoly iránt növekvő igény a vele együtt párhuzamosan fejlődő, technológiai és technikai fejlesztések biztosítják, mint például a fogszínével tökéletesen megegyező tömőanyagok vagy préskerámiák… Az „informati-
„A mosolytervezés komplex szemléletet igényel, amely a fogorvostudomány egy részét vagy egész szakterületeit is magába foglalhatja”
kai forradalom” aminek szintén a szemtanúi vagyunk, fantasztikus és izgalmas lehetőségek tárházát nyitja meg az egész fogászat számára.
A mosolytervezés komplex szemléletet igényel, amely a fogorvostudomány egy részét vagy egész szakterületeit is magába foglalhatja, olykor valódi team munkát igényelve. Az egyszerű fogkontúrozástól kezdve, a direkt/indirekt héj, a gingivo-sebészeten keresztül a fogszabályozásig. Új fogalmak jelentek meg a fogászatban, mint mosolyanalízis, arcdiagnosztika, mosolyvonal, fehér esztétika, hogy csak egy párat említsek. Megjelentek a számítógépes a mosolytervezések, digitális Wax-up-ok stb. Nélkülözhetetlenné vált a fotózás nem csak a mosolytervezésénél, hanem a mindennapi fogászatban.
Ön szerint, mi a legfontosabb egy esztétikai beavatkozásnál?
Soha nem szabad, hogy egészség károsodást okozzon vagy, hogy a funkció kárára történjen! Nem szabad olyan kompromisszumokat kötni, amelyek nem összeegyeztethetők az orvosi hivatással. Az esztétikai beavatkozásokhoz a páciens szentimentális megközelítéssel érkezik, a szakmai szempontok ismerte nélkül. A szakmai kritériumokat és azok a határait nekünk, orvosoknak kell tudni és biztosítani a páciens számára.
Mi a véleménye az ún. „biofunkcionális” fogászatról? (Esztétika – funkció – testtartás egysége a helyreállító fogászatban.)
Igazán büszkék lehetünk, dr. Csillag Mária munkásságára, aki nemzetközileg is elismert és igazi úttörője világviszonylatban is ennek a témakörnek. Mindenképp létjogosultsága van, a helyes maxila-mandibula helyes pozicionálásának, amely el-
lenkező esetben visszafordíthatatlan károsodásokat okozhat, akár az egész vázizomzatra.
Ő alkotta meg Magyarország első mosolytervező programját és amelynek én fordítottam le a román nyelvű változatát. Nagyon sok kollégát indított el a mosolytervezés, mosolyesztétika, világába, ahogyan engemet is.
Napjainkban a frontfogak helyreállításának számos módja ismert. Ön milyen eljárásokat részesít előnyben?
Mindig a minimál invazibb beavatkozást preferálom, ez az elsődleges szempont számomra. Abszolút a direkt restaurációkat helyezem előtérbe. Ez nem azt jelenti, hogy az indirekt restaurációnak, például az indirekt héjnak nincs létjogosultsága a praxisomban. Szeretem a felviaszolás utáni injektabil technikát. Azt gondolom, hogy amiben igen sok éves tapasztalatom van az a direkt héj. Ráadásul körzeti fogorvosként pácienseim anyagi lehetőségei nem korlátlanok.
Arról nem is beszélve, hogy egyre jobb és jobb minőségű anyagokkal tudunk dolgozni, például a napjaink folyékony tömőanyagai szinte ugyanolyan tulajdonságokkal bírnak, mint a 15-20 éve megjelent normál konzisztenciájú kompozitok tulajdonságai. Megjelentek az poliészter szállak, üvegszálak, üvegszállal megerősített folyékony tömőanyagok, ezek új dimenziókat nyitottak a direkt restaurációk terén.
Szabadidejében mi jelenti Ön számára a kikapcsolódást, a pihenést?
A családommal való együttlét jelenti a kikapcsolódást és feltöltődést, de sajnos szabadidőmben is sokat foglalkozom a fogászattal. Előszeretettel böngészem a szociális médiai fogorvosi oldalait. Imádok másoktól tanulni.
Mint vezetô lupe gyártó, tudjuk, hogy mennyire fontos, hogy egy, az arcán viselt optika lehelet könnyû legyen. Ezért fejlesztette ki a gyártó a Flamingo termékcsaládot, hogy mint már meglévô lupéjának egy felettébb ergonomikus kiegészítôjeként, tökéletes szolgáltatást nyújtson Önnek, járulékos fizikai megterhelés nélkül.
Intenzív megvilágítás kiemelkedôen fontos mind a fókusz, mind pedig a minôségi képalkotás számára. Mivel a Flamingo fejlámpa és kamera integrált rendszer, a kamera folyamatosan és precízen fókuszban marad a megvilágítást kibocsájtó lámpa fényének fókuszával. Miáltal a fejlámpa a fején közelebbi munkatávolságban van a mûtôlámpához képest, nem fog beárnyékolni, kitakarni saját magának.
A kezelés valós idejû megjelenítése mindössze 0,01 mp. késedelemmel
Full HD video
Ultra sima, full HD minôségû 1080p / 30 fps élénk színben pompázó video rögzítési képesség
Valósághû mozgás
Az Admetec PowePack akkumulátorral az övén, vagy zsebében, párját ritkító kényelemmel és felhasználóbarát tulajdonságokkal felruházva, csupán egy zavarszûrô vékonyka kábellel csatlakozik a Flamingo (kamera és lámpa) a PowerPack akkumulátorához. A Flamingo szett 2 db. akkumulátort tartalmaz, s így egy akkumulátor dolgozik, míg a másik a töltôn áll készenlétben.
Admetec szabadalmaztatott szoftvere mely lehetôvé teszi a rögzített videó vágását és dokumentálását. Automatikus szoftver után követés újabb verziókra a rendszer része.
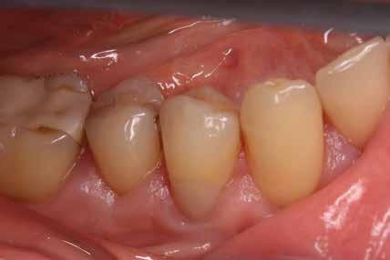
A maradó fogak gyökérreszorpciója patológiás folyamat. Az elváltozások elhelyezkedése alapján csoportosíthatjuk őket külső és belső reszorpciós folyamatokra. A külső gyökérreszorpciók egyre gyakrabban diagnosztizált formája a külső nyaki reszorpció (angolul External Cervical Resorption, ECR) [1. és 2. kép]. Az ECR egy komplex elváltozás, amely egyszerre érintheti a fog keményszöveti állományát, a parodontális szöveteket és előrehaladott esetben a pulpaszövetet is. A modern diagnosztikai eszközöknek köszönhetően egyre gyakrabban és egyre korábban kerül diagnosztizálásra ez a típusú lézió, így a kezelése is egyre inkább a mindennapi klinikum részévé válik az endodonciával foglalkozó kollégák számára. A 3 dimenziós diagnosztikai eszközök terjedésével felmerült az igény egy 3 dimenziós klasszifikációra. Patel és munkatársai 2018-ban kidolgoztak egy új klasszifikációt, amely segít az elváltozások kategorizálásában és a kezelések tervezésében [1]. A téma aktualitását jól mutatja, hogy ezzel egy időben az ESE (European Society of Endodontology) is kidolgozott egy állásfoglalást a külső nyaki reszorpciók diagnosztikájával és terápiás lehetőségeivel kapcsolatban [2].
számos tényezőt figyelembe véve kell kiválasztanunk, több anyag is szóba kerülhet. Amennyiben megfelelően izolálható a kavitás, kompozit tömőanyagok is használhatóak restauratív anyagként. Kutatások bizonyítják, hogy megfelelően elkészített és polírozott kompozitanyagok nem károsítják a parodontális szöveteket és jól használhatóak szubgingivális kavitások esetén is [3, 4]. Kiterjedtebb kavitások esetében rövid üvegszál-erősített kompozitanyagok is használhatóak a fog megerősítésének érdekében [5, 6]. Ezen kívül, hagyományosabb megközelítésben, jól használhatóak különböző üvegionomer tömőanyagok, melyek használata szubgingivális régióban jól dokumentált az irodalomban [7]. Nagyszerű biokompatibilitása miatt széles körben alkalmaznak kalcium-szilikát bázisú anyagokat is az íny alatti keményszöveti defektusok ellátására, azonban mechanikai és esztétikai értelemben ezek az anyagok elmaradnak a korábban említettektől [8].
Első eset
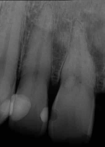
Ötvenes éveiben járó páciensünk rutinellenőrzésre érkezett rendelőnkbe. A vizsgálat során felfigyeltünk a jobb felső metszőfogán kialakult, íny alatti elváltozásra. A röntgenfelvételen jól látható a kis méretű (Patel 1Ad) reszorpciós elváltozás [3. kép]
A külső nyaki reszorpciós elváltozások behatolási kapuja rendszerint a hámtapadás szintjében található, így a klinikus számára komoly kihívást jelenthet az elváltozás láthatóvá tétele, annak izolálása, valamint a kezelése is. Bár kutatások nagy számban foglalkoznak a reszorpciós elváltozások természetével és etiológiájával, jelenleg csak nagyon kevés tudományos evidencia érhető el a kezelésükkel kapcsolatban. Továbbá, jelenleg nincs tudományos konszenzus a restaurálásra alkalmazható anyagok tekintetében sem. Számos kérdésre kell választ találnunk a kezelésünk megtervezése közben. Elsődleges célunk, hogy a külső nyaki reszorpcióval diagnosztizált fogakat funkcióban tartsuk, megelőzzük a további keményszövet-veszteséget és helyreállítsuk az esztétikumot (kiváltképpen az anterior régióban). Nagy méretű reszorpciós kavitások esetén már felmerülhet a fog megerősítésének kérdésköre is. Mivel a restauratív anyagunkat
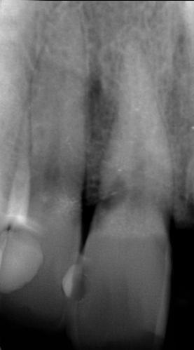
A megfelelő vizuális kontroll és az izolálhatóság kedvéért lebenyt alakítottunk [4. kép]. Így az abszolút izolálás már kivitelezhető volt és kofferdám izolálásban kezeltük a léziót [5. kép]. Mivel az elváltozás nem látható területen helyezkedett el, illetve a kavitás kis kiterjedését figyelembe véve kalcium-szilikát bázisú anyagot választottunk a restauráláshoz (Biodentine, Septodont) [6. kép]. Miután letelt a választott anyagunk kötési ideje (12 perc), zártuk a lebenyt [6. kép]. Páciensünk azóta is panaszmentes, kétéves kontrollon állapota rendben volt [7. és 8. kép].
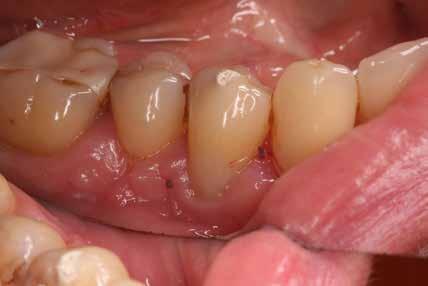
Ötvenes éveiben járó hölgyet fogorvosa irányította hozzánk a bal alsó 4-es fogának nagy méretű reszorpciójával [9. kép]. A hölgy ragaszkodott foga megmentéséhez, így a kezelés megtervezéséhez CBCT felvételt készítettünk a fogról [10. kép]. A felvételen a Patel-féle klasszifikáció szerinti Patel 3Ap reszorpciós elváltozás látható. A szájüregi vizsgálat során a fog bukkális felszínén gyulladt ínyt, mély parodontális tasakot és a fog nyaki részén, a foganyagon átsejlő reszorpciós lacunát találtunk [11. kép]. A fog szenzibilitás vizsgálat során nem reagált hideg ingerlésre. A pulpális érintettség miatt elvégeztük a fog trepanálását, majd lebenyt alakítottunk a kavitás láthatóvá tételéhez [12.
1. és 2. kép: Külső nyaki reszorpciós elváltozások CBCT képen.9. kép: Referáló orvos által készített röntgenfelvétel – 10. kép: CBCT felvételen 3 dimenzióban értékelhető a reszorpciós kavitás kiterjedése.
11. kép: Kiindulási állapot.
12. kép: Trepanálás és lebenyalakítás. – 13. kép: A gyulladásos szövet eltávolítása után a kavitás kiterjedése jól láthatóvá vált.
14. kép: Kofferdam izolálás és a gyökércsatorna kiblokkolása guttapercha segítségével.
15. kép: A fog restaurálására mikro-hibrid kompozit tömőanyagot alkalmaztunk.
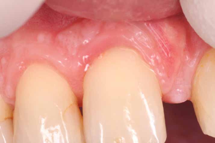
16. és 17. kép: Lebenyzárást követően befejeztük a fog gyökérkezelését. – 18. kép: 2 hónapos kontrollon a fog és az íny állapota is rendben.
kép]. Az üregben nagy mennyiségű gyulladásos szövetet találtunk, mely eltávolítása után láthatóvá vált a kavitás kiterjedése [13. kép]. A kisőrlő fogakra jellemző tengelyirányú, valamint oldalirányú terhelés kombinációja, valamint a je-
lentős foganyagveszteség miatt szerettük volna a lehető legjobban megerősíteni a fogat. A terület kofferdám gumilepedővel történő abszolút izolálása után a gyökércsatornát egy guttapercha segítségével kiblokkoltuk, ezzel megelőzve
a csatorna obliterálódását [14. kép]. Ezután megfelelő adhezív előkezelést követően kompozit tömőanyaggal restauráltuk az elváltozást (Essentia Universal, GC Europe) [15. kép]. Finírozást és alapos polírozást követően zártuk lebenyünket, majd újabb kofferdám izolálásban elvégeztük a fog gyökérkezelését [16. és 17. kép]. A kezelést követően páciensünk teljesen panaszmentes volt. Két hónapos kontrollon a fog teljesen ép, az íny tökéletes kitapadását tapasztaltuk [18. és 19. kép] Szondázási mélység a bukkális oldalon mindenhol 2 mm alatt volt.
A külső nyaki reszorpciós elváltozások egyre inkább a mindennapi klinikum részévé válnak. Kezelésük során számos tényezőt figyelembe kell vennünk. Amennyiben abszolút izolálás elérhető, az adhezíven rögzülő kompozit tömőanyagok hatékonyan használhatóak az érintett fogak ellátására és megerősítésére. Az innovációs és technológiai minisztérium ÚNKP-22-3 kódszámú Új Nemzeti Kiválóság Programjának szakmai támogatásával készült.
[1] S. Patel et al. External cervical resorption: a three-dimensional classification. International Endodontic Journal, 51, 206–214, 2018.
[2] S. Patel et al. European Society of Endodontology position statement: External Cervical Resorption. International Endodontic Journal, 51, 1323–1326, 2018
[3] Paolantonio M. et al. Clinical and microbiological effects of different restorative materials on the periodontal tissues adjacent to subgingival class V restorations. J Clin Periodontol; 31:200-207, 2004.
[4] van Dijken J. W., Sjostrom S., Wing K. The effect of different types of composite resin fillings on marginal gingiva. J Clin Periodontol; 14:185-189, 1987.
[5] Shilpa-Jain DP, Krithikadatta J, Kowsky D, Natanasabapathy V. Effect of cervical lesion centered access cavity restored with short glass fibre reinforced resin composites on fracture resistance in human mandibular premolars- an in vitro study. J Mech Behav Biomed Mater. 2021 Oct;122:104654. doi: 10.1016/j. jmbbm.2021.104654.
[6] Fráter M, Sáry T, Jókai B, Braunitzer G, Säilynoja E, Vallittu PK, Lassila L, Garoushi S. Fatigue behavior of endodontically treated premolars restored with different fiber-reinforced designs. Dent Mater. 2021 Mar;37(3):391-402. doi: 10.1016/j.dental.2020.11.026.
[7] Santos, V.R., et al. Effects of Glass Ionomer and Microfilled Composite Subgingival Restorations on Periodontal Tissue and Subgingival Biofilm: A 6-Month Evaluation. Journal of Periodontology, 78: 1522-1528, 2007.
[8] Hayes, M., et al. Evaluation of Biodentine™ in the restoration of root caries: a randomized controlled trial. JDR Clinical and Translational Research, 1(1), 51-58, 2016.
KAVOSZ SZÉCHÉNYI LÍZING MAX+
• 5 % fix kamatozás
• 2,5 % szerződéskötési díj
• Önerő 30 %
A-dec 500
Prémium kategóriás alsó/felső karos kezelőegység
2003 ÓTA FOLYAMATOSAN ELNYERTE A LEGJOBB KEZELŐEGYSÉG FŐDÍJAT
Csak az a gyártó ad 5 év garanciát a termékére, aki biztos a gyártmánya minőségében
DELUXE vezérlés, 8+4 LED páciens lámpa, NSK NLZ LED-es mikromotor www.a-dec.com/virtual-tour www.dent-east.hu
Az A-dec kezelőegységek szervizeléséhez a vételár mindössze átlagosan 1,97%-át teszi ki az évente vásárolt alkatrész. Ebben az A-dec páratlan.
A-dec 230
Felsőkaros kezelőegység, DELUXE vezérlés, 8+4 LED vagy 4 LED páciens lámpa, NSK NLZ LED-es mikromotor
A-dec 200
Kompakt alsókaros kezelőegység
DELUXE vezérlés, 8+4 LED vagy 4 LED páciens lámpa, NSK NLZ LED-es mikromotor
„Amit ma megvehetsz, ne halaszd holnapra”
09.30-09.40 Dr. Benyőcs Gergely, Dr. Volom András: Megnyitó
A páciensek elvárásai a fogászati kezelés esztétikai eredményével kapcsolatban ma már olyan magasak, mint még soha. Mi több, elvárás, hogy ezt a célt minimális beavatkozással és maximális fogmegőrzéssel érjék el. De vajon valóban lehetséges-e úgy helyreállítani a fogakat, mintha semmi sem történt volna velük? Vannak-e határai annak, hogy mi az, ami korrigálható, és mi az, ami visszafordíthatatlanul elveszett? Számos esemény károsíthatja a mosoly esztétikáját, ezért nekünk, fogorvosoknak kreatívnak kell lennünk a kezelési megoldások terén. Bizonyos esetekben a fehérítés és egy egyszerű, jól elvégzett tömés lehet a legjobb megoldás. Beszélek majd a paradigmaváltásról a direkt restaurációs kezelések színmegfelelésében. Ha az elülső területen elszíneződött fogak vannak, nem szabad megfeledkeznünk az „ernyőhatás” jelenségéről. Ez mind a rózsaszín, mind a fehér esztétikát befolyásolja, ezért mélyebben beleássuk majd magunkat ebbe a fogalomba. A frontfogak helyreállítása implantátumok esetén az új trend praxisunkban. A természetes fogak, a héjak és az implantátumokra helyezett koronák illesztésének módjáról is szó lesz. Más esetekben teljes szájrehabilitációra van szükség interdiszciplináris megközelítéssel, amely magában foglalja a fogszabályozást, az implantátumokat, a szövetátültetéseket, a koronákat és a héjakat. Még ha a szakterületek eltérőek is, a cél ugyanaz: a szép mosoly helyreállítása!
10.45-11.15 Dr. Takács Ildikó: Fotona, az első fogászati lézer sokoldalú esztétikai arckezelési lehetőséggel
Napjaink versenyképes fogászati egészségügyi ágazatában széleskörűen elterjedt a lézeres kezelések alkalmazása. Továbbá lassan önálló tudományágként az esztétikai beavatkozások is teret nyernek a fogászatban is, ld.: mosolytervezés, makroesztétika, kozmetikai fogászat. Nemzetközileg is egyre nő az igény, mind a páciens, mind a kezelőorvos oldaláról, hogy egyszerre teljeskörű ellátást kapjon/kínáljon. Ezt a piaci igényt látta meg a szlovén orvosilézert gyártó és forgalmazó cég, a Fotona. Szerencsére a LightWalker® lézereket a maximális sokoldalúságra tervezték. A kemény- és lágyszövetes fogászati kezelések széles választékán túl a Fotona LightWalker® lézerrendszere számos népszerű arcesztétikai kezelést is lehetővé tesz, a hideg és nagyon felületes bőrfelújítástól, a szövettel való mély hőkölcsönhatásig az öregedésgátló és fiatalító hatások érdekében.
11.45-13.00 Dr. Michał Ganowicz: A fogak biológiai kezelésea reverzibilis és irreverzibilis pulpitis kezelése gyökérkezelés nélkül
13.00-14.00 Ebédszünet
14.00–14.45 Dr. Fráter Márk: Gyökérkezelt fogak restaurálása –hol húzódik a határ direkt és indirekt megoldások között?
A gyökérkezelt fogak megerősítése rég áhított cél a gyakorló fogorvosok körében. Sajnos a nem megfelelő restauratív megoldások, helytelen indikációmeghatározás miatt elég gyakran találkozunk a gyökérkezelt fogak eltörésével, mely a fog eltávolítását teszi szükségessé. Ez is jól mutatja, hogy ezen fogak esetén az általunk választott restauratív megoldásnak kötelessége a fog megerősítése, egységben tartása. Emiatt kézenfekvő lehet indirekt restaurátum választása. Ugyanakkor a mai modern üvegszálas anyagok mára kiterjesztették felségterületüket az indirekt restaurátumok indikációs területére is. De vajon fontos-e, hogy pontosan milyen anyagot választunk, vagy ha modern üvegszálas anyagot használunk, akkor bármit megtehetünk direkt technikákkal? Az előadás rávilágít a legújabb indikációkra direkt és indirekt restaurátumok választása területén gyökérkezelt fogak esetén és bemutatja a pontos alkalmazási protokollokat is.
Esztétika és funkció a direkt restaurációk világában
Hiszem, hogy a sikeres kezelés kulcsa nem a művészi készség, hanem az átgondolt tervezés és precíz kivitelezés. A megfelelő esztétikai irányelvek, foganatómiai ismeretek segíthetnek a kezelés megtervezésében, természetesen szem előtt tartva a fogak elsődleges szerepét: a funkciót is. Az előadás folyamán részletgazdag esetbemutatásokon keresztül betekintést nyerhetünk olyan protokollokba, melyeket követve lépésről lépésre kiszámíthatóan elérhető a kívánt végeredmény. Szó lesz funkcionális analízisről, különböző direkt restaurációs technikákról és a kezelési lépések mögött meghúzódó gondolatmenetről.
15.30-16.00 Kávészünet
Hosszú út vezet a fog repedésétől a törésig. Előadásomban ezt az utat igyekszem alaposan, minden irányból körüljárni olyan eseteken keresztül, amelyekkel minden fogorvos nap mint nap találkozhat. A biomimetikus szemléletmódot szeretném bemutatni, ami többek közt igyekszik elkerülni a repedés kialakulását, de megoldást nyújt a már meglévő problémákra is, legyen az repedés vagy letört fog.
ADENTALPRESSTEMATIKUSKIADVÁNYA
2022 / III.ÉVFOLYAM–ÁR:2500FT
pot az orvoskamara kifejezésével élve: „irányítási-igazodási válság” –, amiben az egészségügy járvány eleje óta őrlődött két tárca között. Igaz, sokan csalódtak, hogy az új kormányban sem lesz egészségügyi minisztérium. Őket friss ágazati egyik első megszólalásakor azzal vigasztalta, hogy az egészségügy érdekérvényesítő képességét nem az önálló minisztérium erősíti, hanem a mi
niszter személye.
bilitás érzetét erősítheti, mivel
Tanulmányozd először az elméletet, aztán jöjjön a gyakorlat, mely belőle származik
„A helyreállító fogászat lett a szenvedélyem és a mindennapi munkám”
Hagyományos teljes fogsor hatékony átalakítása
Teljes ívű rehabilitáció primer vázra ragasztott lítium-diszilikát szekunder koronákkal
hogy részt veszek egy mesterkurzus-sorozaton, hogy a szakismereteimet még tovább bővíthessem. A piezosebészet, a részleges extrakciós terápia (PET), az oszteodenzifikáció, az autológ dentin graftok és a PRF használata néhány olyan kulcsfontosságú elem, amely az implantológia területén meghatározza munkámat. A legnagyobb változás azonban 2018-ban következett be az életemben, amikor úgy döntöttem, hogy az eredmények optimalizálása érdekében a VPI Cervico System használatával személyre szabott felépítményeket vezetek be.
A fentiek a tudományos tevékenységemet is befolyásolták. Hosszú időn át implantológus sebészként végeztem a munkámat, s annak eredményeit a különböző médiaplatformokon is közzétettem. 2020-ban társszerzője lettem a socket preservation újszerű technikájának, a Cervical Socket Plug technikának (CSP – Valavanis et al). Ez tovább fokozta érdeklődésemet a fogatlan helyek egyetlen lépésben történő helyreállításának a témájában, melynek eredményeit 2022ben publikáltam, ahol a Poncho Lamina technikával végzett OSO-eljárást javasoltam.
Ki a példaképe a szakmájában?
Dr. Alexander Tzovairis napjaink neves görög implantológusa, a „Teljes kemény- és lágyszöveti helyreállítás egyetlen lépésben” technika kidolgozója. Életéről és a „Poncho Lamina” eljárás eddigi tapasztalatairól kérdeztük.
Kérjük, röviden ismertesse szakmai életútját és tudományos munkásságát!
A szaloniki Arisztotelész Egyetemen 2000-ben szerzett fogorvostudományi diplomámat és a 2001-ben Görögországban teljesített katonai szolgálatomat követően úgy döntöttem, hogy a brüsszeli Leuveni Katolikus Egyetem (UCL) Fogorvosi Karán folytatom tanulmányaimat a parodontológia területén. Az ott szerzett parodontológiai és implantológiai mesterdiplomámat követően 2007-től napjainkig a magánszektorban dolgozom mint parodontológus és implantológus. Különböző országokban praktizáltam/praktizálok, például Görögországban, Luxemburgban és Belgiumban, ahol jelenleg is tartózkodom. 2015-ben – miután elégedetlen voltam a már megszerzett tudásommal – úgy döntöttem,
Erre egy, a munkámban alkalmazott mottóval válaszolnék: „Soha nem fejlődhetsz biztos úton”. Ezek a szavak nem egy fogászati területen dolgozó személyhez kötődnek, hanem egy híres argentin séfhez, akit csodálok, ő Francis Mallmann Sajnos az évek során többen körülöttem kevésbé bizonyultak nyitottnak és merésznek, mint szerettem volna. Van azonban két implantológus, akiket csodálok gondolkodásmódjuk, újszerű protokolljaik, kezelési eredményeik és alázatuk miatt: Charles Schwimer Pittsburghből (USA) és Giannis Tsigris Athénból (Görögország).
Charles Schwimer a SPOT (Site Preservation of Tissue) fúrási protokoll szerzője, az elülső és hátsó implantációs helyek részleges extrakciós terápiáihoz. Ez egy csodálatos eljárás, amelyet Versah fúrókkal végeznek, és megtiszteltetés számomra, hogy engem is bevett a praxisukban ezt alkalmazó implantológusok nagyon kis nemzetközi csoportjába.
Giannis Tsigris egy athéni implantológus, aki a szöveti integráció és az esztétika tekintetében elképesztő munkát végez, többnyire igen összetett klinikai esetekben. Jelenleg olyan protokollokon dolgozik, amelyek a biológia alapos ismeretén alapulnak, és amelyek megkérdőjelezik a biomateriálok, különösen az állati eredetűek használatát is.
Bár személyesen még soha nem találkoztunk, szerencsésnek érzem magam, hogy mindkettőjükkel kapcsolatba kerülhet-
„Jelenleg a célom az, hogy megosszam a tudásom tapasztalt sebészekkel…”
tem, véleményt és ötleteket cserélhetek velük, és figyelembe vehetem az eseteim kritikai értékelését, ami számomra nagyon értékes!
Mikor döntött úgy, hogy a fogászaton belül az implantológiára szakosodik?
Számomra már fogorvosi tanulmányaim kezdetén egyértelmű volt, hogy egy sebészeti irányultságú területre fogok szakosodni. Természetesen választanom kellett a száj- és állkapocs-sebészet és a parodontológia között, de az utóbbi volt számomra a „nyerő”. Hallgatóként – a parodontológia mesterképzés alatt – megtanultam az implantológia alapjait, és beültettem az első fogászati implantátumaimat. Ez több mint 20 évvel ezelőtt történt, de csak 2012 után tettem meg tudatosan az előrelépést, hogy a „steril”, egyetemi környezettől távolabb, újszerű ötletekkel és protokollokkal bővítsem a tudásomat. Ez egy hosszú átalakulási folyamat volt, amely mély hatással volt az implantátumok beültetésével kapcsolatos önbizalmamra, továbbá a problémamegoldó esetek új stratégiáinak a megvalósítására is. Végül segített abban, hogy kreatívvá váljak az ötletek generálásával, és szenvedélyes legyek az implantációs sebészi munkámmal kapcsolatban. Az implantológiai fogászat iránt érdeklődő fiatalabb kollégáknak azt javasolnám, hogy tegyék meg ugyanezt a lépést! Valószínű, hogy ez némi időt és áldozatot igényel, de megnyitja az elméjüket egy örökké változó területen belül, és identitást, személyre szabott jelleget ad a munkájuknak, ami előbb-utóbb kifizetődik!
Milyen megoldást javasol az előrehaladott parodontitisben szenvedő betegek implantációs kezelésére?
L. reuteri Prodentis orálbiotikum
Implantátumok beültetésével foglalkozó parodontológusként gyakran szembesülök olyan páciensek eseteivel, akiknek implantátumkezelésre van szükségük, miközben előrehaladott parodontális fertőzésük van. Az évek során szerzett ismereteim és tapasztalataim alapján nyilvánvaló számomra, hogy az ilyen betegeknek implantációs kezelésben KELL részesülniük, de csak bizonyos feltételek mellett:
1) A fogászati implantátumellátás csak a parodontális állapot stabilizálása után történhet, cél a zsebek további csökkentése a végső szondázási mélységre, maximum 4-5 mmre, a BoP szint (Bleeding on Probing) maximum 20%-ra csökkentése, mindez a nagyon jó szájhigiénia biztosítása mellett.
2) Ezeknek a pácienseknek beleegyezést kell adniuk arról, hogy tisztában vannak a genetikailag hajlamos parodontális állapotuk visszaesésével, továbbá az implantációs helyekre történő fertőzés átterjedésének a potenciális veszélyével. Így nem csak az otthoni aprólékos lepedékkontroll fontosságát kell megérteniük, hanem be kell tartaniuk a szigorú visszahívási ütemtervet is, amely számomra személy szerint évi 3 látogatást jelent (4 havonta).
3) Ezeknek a betegeknek a kezelési terve tartalmazhat néhány stratégiai foghúzást is. Egy reménytelen fog megmentésére tett túlzó kísérlet további csontveszteséget eredményezhet egy jövőbeli implantációs hely számára, míg egy összetett parodontális állapotú fog – különösen a mély furkációval rendelkező fogak – megtartása az implantációs hely közelében, potenciális kockázati tényezője lehet a periimplantitisnek.
4) Ezeknél a betegeknél egyes technikákat kerülni kell (pl. a részleges foghúzási terápia), vagy pedig ösztönözni kell
Klinikailag igazolt hatások:
Gingivitis
Parodontitis
Periimplantitis
Szájüregi Candida-fertőzés
Halitosis esetén
További információért keresse fel standunkat! Sorszám:
Érzékel minden mozdulatot és automatikusan igazítja az intenzitást Kivételes ápolás személyre szabottan
• Sens eIQ - érzékel, alkalmazkodik és ápol
• Új All-in-One fogkefefej a teljes körű szájápolásért
• Új, mesterséges intelligencia alapú Sonicare alkalmazás
• Philips szónikus technológia akár
62 000 tisztítómozdulattal
• Elegáns és kompakt hordtáska USB-vel, melyet bárhova magával vihet
* a manuális fogkefékhez képest
bizonyos lehetőségek elfogadását (pl. a szabad ínylebeny (free gingival graft – FGG) alkalmazása olyan helyeken, ahol nincs elég keratinizált szövet a fogászati implantátum körül). Az előrehaladott parodontitisben szenvedő betegeknél beültetett implantátumok jobb prognózisa szempontjából kulcsszerepet játszana a megfelelő szuprakresztális komplexum, megfelelő nyaki profil kialakításával, anatómiai felépítmények használatával.
Összességében nyilvánvaló, hogy ilyen körülmények között nem igazán létezik általános, jó megoldás. Ehelyett számos – a parodontális állapotot, a páciens megfelelőségét, a fogak prognózisát és az implantátumkezelést érintő – iránymutatást kell figyelembe venni a periimplantáris fertőzések elkerülése érdekében.
Ön szerint a navigált implantációs műtét lehetőségei valaha is helyettesíthetik a szájsebész tudását és sebészi készségét?
Olyan korban élünk, amikor a 3D-s képalkotás és a digitális tervezés a fő jellemzője annak, amit „modernként” definiálunk az implantológia területén. A kiváló minőségű CBCT-felvételek és a digitális diagnosztika/kezeléstervezés pontossága újszerű megközelítéseket kínál a pontos implantátumbeültetéshez. A navigált implantációs sebészet – robotikus segítséggel vagy anélkül – lehetővé teszi a tapasztalt sebész számára a hatékonyabb, gyorsabb és biztonságosabb implantátumbeültetést, különösen a bonyolult esetekben. Természetesen a nagyobb hatékonyság nem jelent magasabb szintű készségeket vagy tudást! A sebészi készségek és a terep jó ismerete előfeltétele minden sebésznek ahhoz, hogy a kezelés „automatizáltabb” módjára lépjen. A navigált implantációs sebészet egy nem tapasztalt implantológus kezében egyáltalán nem fogja javítani az implantációs kezelést a pontosság, a gyorsaság vagy a biztonság szempontjából, ellenkezőleg, magas kockázatú gyakorlatot jelenthet. A szakorvos először az anatómia helyes ismerete révén tanulja meg, hogyan ismerje fel a terepet, miként tervezze meg az eseteit ennek megfelelően, meg kell tanulnia a protokollokat, és csak ezután, fokozatosan egyszerűsítse a minden-
napi gyakorlatát az irányított és a félautomata megközelítések integrálásával! Sajnos manapság gyakori jelenség, hogy számos implantátumgyártó cég anyagi okokból a kezdő sebészeknél –még a nevetségesen egyszerű egyedi eseteknél is – próbálja népszerűsíteni ezeket az eljárásokat. Gyakran elgondolkodom azon, hogy mit akarunk a jövőben? A csúcstechnológiát, amely az alulképzett és tapasztalatlan műtétet végzők elméjét és kezét irányítja, vagy magas szintű operátorokat, akik ezeket a technológiákat a pácienseik javára sajátítják el?
Az Ön által kifejlesztett új technika, a „Poncho Lamina technika” miben különbözik és jobb, mint a korábbiak?
Az újdonság, amelyet a Poncho Lamina technika bevezetett az implantológiában, a kemény- és lágyszöveti rekonstrukció és optimalizálás egyidejű egyesítése egyetlen műtéti műveletben, beleértve magát az implantátum behelyezését is. A korábbi és a jelenlegi szakaszos eljárások általában 2 vagy több műtétet igényelnek (laterális/vertikális augmentáció egyidejű implantátum behelyezéssel vagy anélkül, és később az implantátum feltárása lágyszöveti manipulációval/augmentációval). Az ilyen beavatkozások gyakran autogén graftok (csontblokkok, kötőszöveti graftok) vagy/és nem felszívódó graftanyagok (titánháló, titánnal megerősített membránok, csavarok) használatát igénylik, amelyeket egy későbbi szakaszban el kell távolítani. Ennek következtében a páciens hosszabb és invazívabb kezeléseknek van kitéve, amelyek gyakran nagy terhelést jelentenek a lágyszövetekre, és ezáltal nyomást gyakorolnak az alatta lévő graftanyagra. A keratinizált szövetek megőrzése szintén negatívan befolyásolhatja a lágyszövetek manipulációját az elsődleges zárás során, ami gyakran graftok szükségességét eredményezi. Ez egy további invazív eljárás a beteg számára, amely elsősorban iatrogén eredetű. A Poncho Lamina technikával mind a kemény-, mind a lágyszövetet felülkontúrozzuk, egy személyre szabott felépítmény köré szilárdan adaptált kortikális, felszívódó gát segítségével. Ezt újszerű és intelligens módon, autogén kemény- vagy lágyszöveti transzplantáció nélkül végezzük. Ennek eredményeképpen a gát feletti keratinizált szövet megmarad, és azonnal alkalmazkodik az anatómiai felépítményhez, amely létrehozza a jövőbeli korona nyaki profilját. Egyesek számára egy ilyen eljárás kockázatosabbnak tűnhet, mivel nem az „egyszerre egy csoda” megközelítést követi. A valóságban – figyelembe véve, hogy minden traumatikus műtétnek lehetnek komplikációi – a Poncho Lamina biztonságosabb, mint más technikák, mivel kevésbé invazív, és a műtéti cselekmények számát egyetlen műtétre csökkenti. A legrosszabb esetben – feltéve, hogy az implantátum biztonságban van az oszszeointegráció során (szükség esetén a gyógyulási időszak alatt a személyre szabott felépítmények felett sablonokat használunk a védelem érdekében) – sikertelenség esetén további lágyrész-korrekcióra lehet szükség. Ez egy kisebb
sebészeti beavatkozás a szokásos szakaszos műtéthez képest.
Milyen céllal fejlesztette ki ezt a technikát, és milyen tapasztalatai vannak eddig ezzel kapcsolatban?
Amikor 2019–2020-ban elkezdtem alkalmazni ezt a technikát, csak egy fogatlan implantátumhely-rekonstrukciót céloztam meg azonnali optimalizálással. Akkoriban ez egy fogatlan helyre helyezett implantátum körüli nyaki profilgenerálással járt együtt, egyidejű csontaugmentációval, mindezt egyetlen lépésben. A fő problémám az volt, hogy találjak egy felszívódó, kemény, de rugalmas gátat, amely megakadályozza a visszahelyezési eljárást. Tudtam, hogy ezt a gátat a kemény- és lágyszövetek támogatására egyaránt használni fogom, csak azt nem tudtam, hogy melyik illik ebbe a kontextusba. Remélhetőleg arra képeztek ki, hogy az Osteobiol Cortical Lamina-t használjam a csontpótló eljárásokhoz, így meglehetősen gyorsan megtaláltam a választ erre a problémára. Apránként önbizalmat szereztem, lépésről lépésre kialakítottam egy protokollt, és úgy döntöttem, hogy a hátsó helyekről áttérek az elülső helyekre, és a veszélyeztetett zárt helyi rekonstrukcióra. Az egész erőfeszítés kezdetben nagyon magányos út volt, mivel nem volt elég segítségem, és sok kockázatot kellett vállalnom, még akkor is, ha minden egyes esetemre mindig kidolgoztam egy B-tervet. Az ilyen eljárások egy magas hegycsúcs megmászásához hasonlítanak: az alaptáborból indulunk, és kisebb, ismétlődő expedíciókat indítunk magasabb területekre, majd minden alkalommal visszatérünk, mielőtt újra megmásznánk a hegyet. A klinikai gyakorlatban ez arra vonatkozhat, hogy a kudarcok után mindent elölről kell kezdeni. A nehézség mindig ugyanaz: a hibák megértése és a megfelelő megoldások megtalálása, mielőtt újraindítanánk az eljárást. Az emberek nem veszik észre, hogy néha ez a „problémamegoldó fázis” nagyon sokáig tart. Lehetetlen lenne megcsinálni, ha nem lenne segítségemre egy nagyon jó labortechnikus, Remco Van Someren Brand, továbbá Roberto Rossi, aki a Cortical Lamina segítségével a csontregeneráció nemzetközi vezetője. Az elmúlt 3 év során ezek az ismétlődő „expedíciók” azt eredményezték, hogy egyre több indikációt találtam a technikára, és ma már büszkén mondhatom, hogy egyetlen helyszínen, minden lehetséges forgatókönyvben „feszegettem a határokat”. A jelenlegi célom az, hogy megosszam a tudásom tapasztalt sebészekkel, akik tudják, hogyan kell fogászati implantátumokat beültetni és csontpótlási eljárást végezni. A jövőben arra számí-
tok, hogy a Poncho Lamina technikát 2 vagy 3 szomszédos implantátumhelyen sikeresen alkalmazhatom. Szerencsére ez már nem magányos folyamat, mivel több, különböző országból származó szakember segít a maga módján a kollégák és asszisztensek mellett, akikkel Belgiumban napi szinten együttműködöm. Mindannyiuknak köszönöm a bátorításukat és a türelmüket, valamennyien részesei ennek az útnak. Milyen jövőt lát az implantációs fogászat számára?
Úgy vélem, nehéz megjósolni az implantációs fogászat jövőjét, mivel már most is jelentős változások zajlanak, méghozzá elég gyorsan és kiszámíthatatlanul.
Mindazonáltal szerény véleményem szerint 2 fő jellemző fogja meghatározni a következő évtizedeket:
1) A CBCT-képekhez és a digitális protokollokhoz való könynyű hozzáférés a magánszektoron belül. A legtöbb implantációs kezelést kínáló rendelő saját CBCT szkenner készülékkel, intraorális szkennerrel és 3D nyomtatóval fog rendelkezni. Valójában ez valószínűleg minden fogorvosi rendelőben normává válik, és ez pozitívan befolyásolja majd a páciensek kezelését.
2) A periimplantitis lesz a fő probléma az implantológiai fogászatban, mivel a gyakorisága még inkább növekedni fog az implantológiai fogászati oktatáshoz való hozzáférés „demokratizálódása” miatt, továbbá az implantológiai kezelések elterjednek olyan esetekben is, amelyeket a múltban „magas kudarcveszélynek” tekintettek. A cégek figyelembe fogják venni a fentieket, és módosítani fogják termékeiket annak érdekében, hogy „illeszkedjenek” a kontextusba, továbbá profitot termeljenek. Csak remélem, hogy a jövő implantológusa a periimplantációs fertőzések kezelésében inkább a biológiára támaszkodik majd, mint a piacorientált technológiai fejlődésre!
Laczkó Leonard
Dr. Joseph Choukroun
felszívódó prémium varrófonala
Fergeteges AKCIÓ!
PRF sajátmárkás Resorba varrófonal
MONOGLYC™ felszívódó varróanyag típusok:
4/0 DS18 45 cm
4/0 DS21 70 cm
4/0 DS18 70 cm
6/0 DSM13 45 cm
5/0 DS18 45 cm
5/0 DS18 70 cm
5/0 DSM13 70 cm
5/0 DSM16 45 cm
Elegáns, eszkluzív munkakörnyezetben való önálló Professzionális egészségügyi asszisztencia biztosítása Intézményünk rendelkezik panoráma röntgengéppel (orvosi rendelő, eszközök, műszerek, anyagok)
PRECIZITÁS
KETTÔT FIZET, HÁRMAT KAP azonos kiszerelés esetén, vagy 20% kedvezmény vegyes kiszerelés esetén, min. 3 doboz, egyidejû vásárlásakor!
Német mérnökök és fogászati szakemberek dolgoznak együtt, hogy tökéletes protetikai rendszert alkossanak.
06 30 942 7560 dental@harmonycom.hu www.harmonycom.hu
GYORSASÁG Idő- és pénzmegtakarítás a fogtechnikusok és a fogorvosok számára.
GERMANY Tradicionálisan magas minőség.
MADE
PIACVEZETŐ MÁRKAKOMPATIBILIS GYÁRTÓ Az összes ismert implantátum rendszerrel kompatibilis.
IPS
Magas Precizitású Implantációs RendszerInnovatív Komponensek
MÁRKAKOMPATIBILIS
GYÁRTÓ
Az összes ismert implantátum rendszerrel kompatibilis.
MADE IN GERMANY Tradicionálisan magas minőség.
GYORSASÁG
Idő- és pénzmegtakarítás a fogtechnikusok és a fogorvosok számára.
Német mérnökök és fogászati szakemberek dolgoznak együtt, hogy tökéletes protetikai rendszert alkossanak.
Milyen motivációk hatására választotta speciális érdeklődési területének az implantológia témakörét?
Parodontológus fogorvosként nem lehet megkerülni a sebészi beavatkozásokat, elsőként természetesen parodontális jellegű műtéteket végeztem. Pályakezdő orvosként ámulattal néztem, amikor implantációs beavatkozás vagy azt megelőző csontpótló műtét zajlott a klinikán. Ambíciózus emberként egyből el akartam sajátítani ennek a tudomány területnek is a fortélyait. Rendszeresen vettem kongresszusokon vagy kisebb gyakorlati oktatásokon részt, illetve gyakran jártam külföldi szakmai eseményeken, ahol sokszor az implantológia és a parodontológia karöltve szerepelt a programban. Innentől kezdve vitt magával az áramlat, ami azóta is tart, ez sarkal arra, hogy minél több ismeretet gyűjtsek a témában, illetve bizonyos eseteket minél tökéletesebben lássak el.
Kérem ismertesse az előadásának lényeges elemeit, miért választotta ezt az esetet ismertetésre?
Legyen kedves, mondja el röviden szakmai életútjának és tudományos munkásságának legfontosabb állomásait! 2008-ban végeztem summa cum laude minősítéssel a Semmelweis Egyetem Fogorvostudományi Karán, majd felvételt nyertem az egyetem Parodontológiai Klinikájára szakirányú továbbképzésre. 2013-ban parodontológiából, majd 2019ben az újonnan alapult orális implantológiából szereztem szakvizsgát. Elsőként publikáltam hazai tudományos folyóiratban metaanalízist is tartalmazó szisztematikus áttekintést, mellyel 2017-ben a Körmöczi-díj első helyezettje lettem. Tudományos érdeklődésem és egyben klinikai vizsgálataim fókusza a parodontális regeneráció és az ortodonciai fogmozgatás kapcsolata. 2020-ban elnyertem az IADR Karring–Nyman SUNSTAR Guidor-díját a klinikai vizsgálatom eredményei után, mely eredmények egyben PhD disszertációm alapját is képezték. A doktori fokozatot 2021-ben szereztem meg, azóta adjunktusi beosztásban, részállásban dolgozom a Semmelweis Egyetem Parodontológiai Klinikáján. A tanszéken nemcsak a graduális, hanem a posztgraduális oktatásban is részt vállalok Windisch professzor úr irányítása alatt.
Legújabb érdeklődési köröm a növekedési faktorokkal támogatott helyreállító műtétek, különösen a vérlemezkében gazdag fibrin és az autológ dentin graftok használata. Szintén fogorvos testvéremmel, Zsolttal együtt magánrendelőt is működtetünk, ahol a digitális technológiák tökéletesítésén fáradozunk.
Az esztétikus zónában a felső kismetszők implantátumokkal történő pótlása az egyik legnagyobb kihívás. Ha a kiindulási állapotban még szájban van a reménytelen prognózisú fog, bizonyos esetekben azonnali implantáció és azonnali provizórium készítéssel könnyen elérhető ideális esztétikum, viszont a csírahiányos esetekben csakis késői implantációs protokoll jöhet szóba, melyet általában ki kell egészítsünk valamilyen szövetpótlással. Meglátásom szerint a fogorvosok néha tanácstalanok, hogy ilyen esetekben hogyan kell eljárni, ezért esett erre a témára a választásom.
Ön szerint, melyik technológiai újítás jelenti a legnagyobb előrelépést a fogászatban? Illetve melyiktől várja a leglényegesebb változást? (CAD/CAM, 3D nyomtatás, lézeres eljárások, oral szkenner, digitális tervezés, CBCT, MI stb.)
A hozzám közel álló sebészi területen a CBCT és a műtétek digitális előre tervezhetősége óriási előrelépés. Ha az ember helyesen használja ezen technológiákat, akkor nemcsak nagyságrendekkel jobban tervezhető, hanem optimálisan is kivitelezhető a végeredmény. Elmúltak azon idők, hogy komplex, műtétet igénylő (főleg implantációs) beavatkozásokba random kezdjünk bele, és a végén kiderül hová jutunk. Az előre gondolkozás és tervezés mindannyiunk közös érdeke. A CAD/CAM vezérelt protetika szintén jelentős előrelépés a fogpótlások pontosságának és tartósságának fejlesztésében. Nehéz kiemelni egy konkrét technológiát, hisz ezen rendszerek egymásra épülnek és egymással gyakran karöltve működnek. Kíváncsi vagyok, hogy a mesterséges intelligencia hogyan fog beleépülni mindennapi munkánkba, de az biztos, hogy egyre több tervező szoftver alkalmazza.
„A digitális fogászati megoldások csak akkor lehetnek előnyben az analóghoz képest, ha megfelelően tudjuk őket használni”
Az általános protetikai irányelvek ma főleg a digitális megoldások mellett érvelnek. Ön szerint a fogászatban is átveszi az irányítást az informatika? Mikorra látja ennek eljövetelét?
A digitális megoldások a fogtechnikai laborban már most dominálnak, azonban a rendelői chairside megoldások még nem terjedtek el eléggé, köszönhetően leginkább a nagy beruházásnak. Fontos kihangsúlyozni, hogy a digitális fogászati megoldások csak akkor lehetnek előnyben az analóghoz képest, ha megfelelően tudjuk őket használni. Jelentős tanulási görbével rendelkeznek, amit a forgalmazó cégek, de sokszor a rendszert promotáló előadói gárda sem hangsúlyoz ki eléggé, nyilvánvalóan marketing okok miatt.
Az Ön véleménye szerint a navigált implantációs műtétek további lehetőségei pótolhatják valaha is a szájsebész tu-
Rövidesen számítani lehet a különböző növekedési faktorokkal átitatott csontpótló anyagok forgalomba hozatalára, mi a véleménye ezekről a lehetőségekről?
A human rekombináns növekedési faktorokkal átitatott csontpótlók Amerikában már rég forgalomban vannak. A publikációk szép eredményekről számolnak be használatuk során, azonban az európai hatóságok mégsem tartják őket elég biztonságosnak, megfelelő koncentrációjuk és hosszú távú hatásuk még mindig nem teljesen feltérképezett. Személy szerint a jövőt a csontpótlások területén bennük látom, hisz az autológ csonttal végzett vagy kiegészített csontpótlások egyik legfontosabb hatása is az osszeoindukció (ami a bennük rejlő növekedési faktoroknak köszönhető). Azonban megemlítendő, hogy a vérlemezkékben gazdag fibrin is autológ forrása a növekedési faktoroknak, szövetpótlások terén egyre gyakrabban használjuk őket, megelőzvén a humán rekombináns termékek forgalomba hozatalát. A csontpótlások
Dr. Ofer Moses, dr. Franco Bengazi, dr. Mauro Ferri, dr. Francesco Gianfreda, dr. Joaquin Urbizo Velez, dr. Daniele Botticelli, dr. Luigi Canullo
Cél: A korai csontreakció nyomon követése egy kutyamodellben egy hagyományos homokfúvott és kettős savmaratott implantátumfelület (ABT), egy nanostruktúrájú hidrofil felület (Nano), egy száraz sókkal bioaktivált ultra-hidrofil felület (Hydro) és egy bioaktivált nanofelület, amelyet száraz sóknak a Nano felülethez történő hozzáadásával kapunk (Nano-Active). Anyagok és módszerek: ABT, Nano, Hydro és Nano-Active implantátumokat helyeztek be 12 kutyába. Randomizált, osztott szájú elrendezést alkalmaztak. Mindegyik típusból egy-egy implantátumot helyeztek be az alsó állkapocsba 3 hónappal a foghúzás után, kétoldalt az első zápfog régiójának gyógyult helyeire. Ugyanebben a műtétben a harmadik és negyedik premoláris fogat kétoldalt kihúzták, és minden típusból egy-egy implantátumot azonnal behelyeztek a foghúzási üregbe. A kutyákat a műtétet követő 14. és 28. napon elaltatták, és a periimplantáris csontreakciót szövettanilag értékelték Steven-féle kék és alizarinvörös segítségével, nem dekalcifikált metszeteken. Eredmények: A posztoperatív gyógyulás eseménytelen volt. A 14 napos szövettani elemzés nem jelentett szignifikáns eredményt a csoportok közötti különbség tekintetében, míg 28 nappal a műtét után számottevő eredményt találtunk. Tény, hogy az implantátum körüli új csont jelentősen nagyobb arányban jelentkezett a Nano-Active csoportban a Nano csoporthoz képest (51,0% ± 10,2% vs. 36,0% ± 10,2%) és a Hydro csoportban a Nano csoporthoz képest (47,3% ± 10,7% vs. 36,0% ± 10,2%). Következtetés: A kapott eredmények azt mutatják, hogy a 4 hét után képződött új csont a gyógyulás korai szakaszában a száraz sóval kezelt bioaktivált felületek esetében tendenciát mutatott a csontlerakódás javulására a határfelületen; azonban a kutyák korlátozott száma miatt az eredmények nem mutattak statisztikai szignifikanciát. Egy lényegesen nagyobb állatcsoporttal végzett vizsgálatot kell végezni annak a feltételezésnek a megkérdőjelezése érdekében, hogy az ultra-hidrofil felületű implantátumok nagyobb csont-implantátum kontaktust mutathatnak a foghúzás utáni azonnali pótlásban. Int J Oral Maxillofac Implants 2022;37:963-970. doi: 10.11607/jomi.9581.
Kulcsszavak: bioaktivált implantátumfelület, szövettan, hisztomorfometria, nano-felület, só-bioaktivált felület, felszín
Az osszeointegrációs folyamatokat bizonyítottan számos változó befolyásolja, beleértve a csont minőségét és az implantátum makro- és mikrotopográfiáját (1). A mérsékelten
érdes felületek gyorsabb csontgyógyulást mutattak a sima, megmunkált felületekhez képest (2). Az elmúlt években különböző implantátumfelületeket vizsgáltak az osszeointegráció szempontjából. Kimutatták, hogy a különböző kémiai vagy mechanikai kezelések hogyan változtatják meg a 3D felület átlagos érdességét (Sa-érték), de a csúcssűrűséget (Sds) és a kialakult felület arányát (Sdr) is (3).
Az oszteointegráció felgyorsítására vagy javítására különböző technikákat alkalmaztak a titánimplantátumok felszínének kémiai, topográfiai és érdességi megváltoztatására fizikai, kémiai és biokémiai módszerekkel (4, 5). A különböző módszerek közül több tanulmányban javasolták a hidrogén-peroxiddal (H2O2) történő kezelést (4, 6–8). Kimutatták, hogy a nanotechnológiás felületmódosítások vagy a bioaktív adalékanyagok alkalmazása javíthatja a fehérjék és sejtek adszorpciós képességét, ezáltal növelve az oszteokonduktivitást (9–10).
Számos új felületet nyertek a hagyományosan homokfúvott implantátumfelületek hidrofluor- vagy fluoroborsavval történő kezelés módosításával. Ezeken a felületeken ezután oxidációs folyamatot végeztek azzal a céllal, hogy nanoszerkezetű titán-dioxid réteget és magas hidroxilcsoport-koncentrációt kapjanak (11). Ez 4 és 8 hét után jóval nagyobb kontakt-osteogenezist eredményezett, és támogathatja a korai implantátumterhelési protokollok alkalmazását (12).
Ugyanakkor a sejtek és az implantátum közötti kölcsönhatás is kimutatható volt, amely növelte a felület bioattraktivitását. E hipotézis tesztelésére számos in vitro és in vivo állatkísérletet végeztek (13). Kimutatták, hogy a megnövekedett energiafelület és hidrofilitás felgyorsítja a csontképző sejtek és az implantátumok közötti kölcsönhatást (14–19).
Az implantátum felületének bioaktiválását kezdetben UV-fénnyel vagy argonplazmával végezték, ezekről a technológiákról azonban kiderült, hogy korlátozott az effektivitási idejük. Valójában, ha a titán a légkörrel érintkezik, kimutatták, hogy csökkenti a felületi energiáját. E korlátozás elkerülése érdekében a gyártók bevezették az implantátum folyadékba merítésén alapuló kezeléseket (20).
Korábbi tanulmányok nanoszintű szempontból mutatták be a bioaktív implantátumok új típusú felületeinek fizikai és kémiai tulajdonságait (21–22). Ezek a nanoszerkezetű, szárított sókkal ellátott felületek érdekes tulajdonságokat mutattak a pásztázó elektronmikroszkópos (SEM) és röntgen fotoelektron spektroszkópiás (XPS) vizsgálatokkal a klasszikus homokfúvott és kettős maratott felületekhez képest. Különösen a száraz sókkal hidratált felületeknél a nagyobb nedvesíthetőséggel járó szuperfizális titán-dioxid réteg feltárulását mutatták (22). A sók jelenléte SEM szempontból nem mutatott szignifikáns differenciákat (22). Ezzel szemben a felületek ritka és kevéssé
gyakori lekerekített nanoszerkezeteket mutattak a sókkal modifikált felületekhez képest, amelyek nagyon diffkáns hegyes alakú nanoszerkezeteket mutattak (22). Csak egy in vitro vizsgálat validálta az MC3T3-E1 oszteogén sejtvonalak proliferációját, adhézióját és differentációját (23). E vizsgálat eredményei azt mutatták, hogy a sómentes felületek esetén megnőtt az oszteoblasztok sejtadhéziója és proliferációja; másrészt viszont az alizarinvörös festés és a kvantitációs vizsgálat során a kalcium applikációja is megnőtt (23).
A jelen tanulmány célja az volt, hogy validálja és összehasonlítsa az ezekre az új implantátumfelületekre adott szövettani választ, kiemelve a száraz sókkal történő bioaktiválás effektusát kutyamodellben. Tekintettel ezen in vivo modell differens gyógyulási mintázataira, az új és a régi csont érintkezési arányát vizsgáltuk 2 és 4 héttel a műtét után.
Ezt az in vivo állatkísérletet, amelynek célja négy különböző implantátumfelület hisztológiai viselkedésének elemzése volt, a kubai La Habana-i Orvostudományi Egyetem Fogorvostudományi Karának etikai bizottsága hagyta jóvá (1/2019. számú jegyzőkönyv).
A vizsgálatba összesen 12, átlagosan 3,5 éves és körülbelül 16 kg súlyú kutyát vontak be, amelyeket a kubai Centro Nacional para la Producción de Animales de Laboratorio (CENPALAB) tenyésztett. A minta reprezentativitásának biztosítása, valamint a 3R nyilatkozatban foglalt etikai szempontok betartása érdekében kevesebb állatot használtak. Minden egyes időpontban (2 és 4 héttel a műtét után) 6 állatot vontak be a vizsgálatba.
Tanulmánytervezés
A vizsgálatot osztott szájú elrendezésben végezték. A foghúzás után 3 hónappal mindkét oldalon egy-egy implantátumot helyeztek el a fogak gyógyult helyeire az első molárisoknál. Ugyanebben a műtétben a harmadik és negyedik premoláris fogakat kétoldalt kihúzták, és minden típusból egy-egy implantátumot azonnal behelyeztek a kihúzási üregekbe. A különböző implantátumtípusok helyét véletlenszerűen választották ki. Összesen 96 implantátumot ültettek be, 48-at a gyógyult helyekre, 24-et pedig a foghúzás utáni helyekre. Minden felszíntípushoz 24 implantátumot helyeztek be.
Randomizáció és allokáció elrejtése
A randomizálást a „randomization.com” weboldalon végezte egy olyan személy, aki nem vett részt sem a műtétben, sem a szövettani értékelésben (D. B.). Az allokációs kezeléseket átlátszatlan lezárt borítékokban tartottuk, és egy személy (D. B.) nyitotta fel, miután az alveoláris gerincek flapszusait felnyitottuk és a harmadik és negyedik premolárisokat kihúztuk. A szövettani tárgylemezeket kódolták, így a hisztomorfometria elvégzésekor nem állt rendelkezésre információ az implantátumok típusáról.
Minden műtétet tapasztalt sebész (M. F.) végzett. A szövettani méréseket egy értékelő végezte. A mérések elvégzése előtt egy másik szakértő vizsgálóval (D. B.) kalibrációt végeztek, amíg az osztályok közötti korrelációs együttható > 0,8 nem lett.
Vizsgált implantátumfelületek
– ABT: 5-ös fokozatú titán (Nanotec, Ti-6Al-4V, Alpha Bio Tec) implantátumfelület, amelyet homokfúvásos el -
járással nyertek ki a makropórusok kialakulásához (20–40 mikron), valamint kettős termikus maratással, amely a mikropórusok kialakulásáért felelős (1–5 mikron).
– Hidro: Hidrofilkezelésű felület, ahol a jelenlegi ABT-eljárás mellett száraz sóbevonatot is alkalmaznak a titán hidrofil tulajdonságainak megőrzése céljából.
– Nano: A jelenlegi ABT-felületen növesztett nanoszerkezetű érdességű felület; az implantátum felületének növelése érdekében nanoméretű topográfiájú mintázatot hoztak létre.
– Nanoaktív: Nano felület, amelyet a Hydro felületére száraz sóbevonat hozzáadásával elért nanoszerkezetű hidrofilkezeléssel nyernek. A sóbevonat célja a titán hidrofil tulajdonságainak megőrzése.
Altatási eljárások
Minden műtétnél, beleértve az extrakciót, a kísérleti eljárásokat és az eutanáziát is, az altatást 20 mg/kg nátrium-tiopentállal (Farmahealth Laboratories) és 2 mg/kg tramadollal (Biocubafarma) vezették be. Az állatokat intubálták az altatás fenntartása érdekében 2–3%-os izofluoránnal (IsoFlo vet-use, Abbott Lab oratories) 100%-os oxigénellátás mellett, és intravénásan 10 ml/kg/h 0,9%-os sóoldatot adtak nekik. Helyi érzéstelenítést is biztosítottak, illetve az oxigéntelítettséget és a szívfrekvenciát is folyamatosan monitorozták.
A műtét idején oxitetraciklin 20 mg/kg (Oxitetraciclina LA, Bela-farm) és flunixin meglumina 1,1 mg/kg (Megludyne, Virbac Mexico SA, importálta a Montana SA) keverékét öszszekeverték és IM-ben beadták. Ezeket a gyógyszereket 72 óra elteltével újra beadták, hogy 6 napos teljes lefedettséget érjenek el.
Klinikai eljárások
Az első műtétkor az alsó állkapocs első zápfogait kihúzták. Három hónap elteltével a premolárisokat is kihúzták, és az alsó állkapocs mindkét oldalán véletlenszerűen négy implantátumot helyeztek el, kettőt a molárisok régiójának gyógyult helyeire, kettőt pedig a harmadik és negyedik premolárisok disztális extrakciós foglalatába (1. ábra). Teljesen alámerült gyógyulást engedélyeztek.
Állatgondozás és eutanázia
A kísérletet a kubai Centro Nacional para la Producción de Animales de Laboratorio (CENPALAB) sebészeti létesítményeiben végezték. A vizsgálat ideje alatt az állatokat párban tartották a CENPALAB-ban
1. ábra: Klinikai fénykép a különböző modalitásokról (posztextrakciós és gyógyult helyek), ahol az implantátumokat behelyezték a kutya állkapcsába.2. ábra: Fénymikroszkópos felvételek a gyógyulást ábrázoló metszetekről (a–d) 2 hét és (e–h) 4 hét után a gyógyult helyeken (a, e) Nano-Active (nanoszerkezetű hidrofilkezelés, amelyet a Hydro felülethez hozzáadott száraz só bevonattal értek el), (b, f) Hydro (hidrofilkezeléssel ellátott felület, ahol a jelenlegi Alpha Bio Tec Nanotec eljárás mellett, száraz só bevonatot adtak hozzá), (c, g) ABT (5. minőségű titánimplantátum felülete, amelyet 20–40 mikronos pórusok létrehozására szolgáló homokfúvási eljárással és 1–5 mikronos pórusok létrehozására szolgáló kettős termikus maratással nyertek) (d, h) Nano (az ABT-felületre növesztett nanoszerkezetű érdességgel ellátott felület).
1. táblázat: Histometriai mérések a gyógyult helyekre beültetett implantátumoknál (átlag ± SD). Egyik különbség sem volt statisztikailag szignifikáns (Friedman-teszt 2 hét, P = .392; 4 hét, P = .284).
található betonpályákon lévő kennelekben, ahol szakemberek gondoskodtak az állatokról, figyelték a sebeket, a fájdalmat, a fertőzéseket és a biológiai funkciókat. Az állatok nedvesített, kiegyensúlyozott kutyatápot kaptak, és szabadon hozzáférhettek a vízhez. Amint már említettük, az altatást nátrium-tiopentál (20 mg/ kg) és tramadol (2 mg/kg) alkalmazásával biztosították. Eparint (12 NE/kg; Athena Pharma) és 25 mg kálium-kloridot
(Aica) adtak be intravénásan az állatok szívének leállítására. Az állkapcsokat visszahúzták és formaldehidoldatba fixálták.
A szövettani eljárást a La Habana Egyetem Fogászati Karán végezték. Az egy-egy implantátumot tartalmazó blokkmetszeteket növekvő koncentrációjú etanolban de -
A fogászati implantátumok hisztometriai mérései (átlag ± SD). Egyik különbség sem volt statisztikailag szignifikáns (Friedman-teszt 2 hét, P = .440; 4 hét, P = .615).
hidratálták, majd műgyantába (Technovit 7200 VLC, Kulzer) ágyazták. A polimerizáció után az implantátumokat tartalmazó blokkokat bukkolingvális síkban vágták le egy szeletelőgépbe szerelt gyémánt szalagfűrésszel, majd egy csiszológép (Exakt, Ap-paratebau) segítségével kb. 60 µm szélességűre csökkentették. A szövettani preparátumokat ezt követően Steven-féle kékkel és alizarinvörössel festettük.
Hisztológiai értékelések
A szövettani vizsgálatokat egy Eclipse Ci mikroszkóppal (Nikon) végezték, amihez egy számítógéphez csatlakoztatott digitális videókamera (Digital Sight DS-2Mv, Nikon) volt mellékelve. A szövettani méréseket a NIS-Elements D v szoftver segítségével végezték. 5.11.01 (Laboratory Imaging, Nikon) segítségével végeztük. Az implantátum felületével érintkező új csontot, régi csontot (az implantátum közelében lévő, még nem átalakult csont) és lágyrészeket (csontvelő, Havers-csatornák) értékelték és százalékban fejezték ki.
Az átlagértékeket és a szórásokat a Microsoft Excel 2019 segítségével számolták ki. Az elsődleges végeredmény az új csont százalékos aránya volt, míg a másodlagos végeredmény a teljes csont volt. A gyógyult és a kihúzás utáni helyek adatait külön-külön mutatták be. A Wilcoxon rangsorösszegtesztet alkalmazták a figyelmek és a differenciák megállapítására.
A műtét utáni gyógyulás minden kutya esetében eseménytelen volt. A gyógyulás 2 hete után (2. a–2. d ábra) új csontot találtak 26,0% ± 12,7%, 26,0% ± 5,9%, 26,8% ± 11,5%, illetve 28,6% ± 13,5% arányban a Nano-Active, Hydro, ABT és Nano felszíneken (1. táblázat; 3. ábra) . Az extrakció utáni helyeken (4. a–4. d ábra) a reszpektív arányok 23,5% ± 6,7%, 22,4% ± 6,8%, 14,7% ± 11,1% és 23,8% ± 2,9% voltak (2. táblázat; 5. ábra) . Nem találtak statisztikailag szignifikáns különbségeket.
A gyógyulás 4 hete után a gyógyult területeken (2. e–2. h ábra) az új csont mennyisége minden felületen növekedett, elérve a 44,9% ± 4,4%, 52,4% ± 12,1%, 47,8% ± 10,8%, illetve 36,4% ± 16,2% arányt a Nano-Active, Hydro, ABT és Nano felületeknél (1. táblázat; 3. ábra) Az extrakció utáni helyeken (4. e–4. h ábra) a megfelelő arányok 53,4% ± 11,3%, 40,6% ± 1,6%, 45,2% ± 12,9% és 35,6% ± 5,7% voltak (2. táblázat; 5. ábra) . Nem találtak statisztikailag szignifikáns különbségeket annak ellenére, hogy a Nano-Active csoportban egyértelműen jobb volt a csontgyógyulás tendenciája a foghúzás utáni helyeken.
A teljes csont esetében a Friedman-teszt csak az extrakció utáni helyeken volt < .05 a 2 hetes gyógyulás után. A különböző felületek között azonban nem találtak statisztikailag szignifikáns difikációkat.
3. ábra: Az új és régi csont százalékos arányát szemlélteti a gyógyult helyeken a gyógyulás 2. és 4. hete után.Ezt a randomizált in vivo szövettani vizsgálatot négy különböző felületű implantátum körüli oszteointegráció korai szakaszának értékelésére végezték a korai gyógyulási szakaszban (2. és 4. hét). Lényegében egy standard homokszórásos/duális savmaratott felületet használtak kontrollként, és összehasonlították egy hidrofil, egy nanoszerkezetes és egy nanoszerkezetes plusz bioaktivált felülettel. Az implantátummal érintkező új csont, régi csont és a teljes csont százalékos arányát tekintették elsődleges kimeneti mérőszámnak. Az értékeléseket gyógyult és extrakció utáni helyekre behelyezett implantátumok esetében végezték el, hogy két, klinikailag gyakori differentiális forgatókönyvet szimuláljanak. A szövettani értékeléseket először 2 hét múlva végezték el, mivel ebben az időszakban az éretlen csont elkezdett érintkezni a titánfelülettel és elkezdte körülvenni az ereket. A többi biopsziát ezt követően 4 hét múlva végezték el, mivel a kutyamodellben ebben a gyógyulási szakaszban a szövettani csont szinte körülveszi az implantátum felszínét. Ezért a csontminőség 2 és 4 hét múlva történő értékelése egyértelműbben kiemeli a különböző implantátumfelületek osszeointegrációs képességeit (24, 25).
A 2 hetes szövettani adatok nem mutattak statisztikailag szignifikáns különbségeket, bár nem szignifikánsan, de 4 hét gyógyulás után egyértelmű tendencia mutatkozott a vizsgálati csoport javára a kihúzás utáni helyeken. Tény, hogy az implantátum körüli új csontok nagyobb arányát jelentették a Nano-Active és a Hydro felületeknél a Nano felületekhez képest (51,0% ± 10,2% vs. 36,0% ± 10,2%; P = 0,018), valamint a Hydro felületeknél a Nano felületekhez képest (47,3% ± 10,7% vs. 36,0% ± 10,2%; P = 0,018). Mivel a vizsgálatban szereplő négy felület közül három új felülettípus, nehéz volt összehasonlítható eredményeket találni a szakirodalomban. Valójában számos, kutyákon végzett vizsgálatot folytattak más differens bioaktív felületek gyógyulási minőségének értékelésére. Calvo-Guirado és munkatársai (26) tanulmányát figyelembe véve láthatjuk, hogy a csont-implantátum érintkezés százalékos aránya (BIC%) 4 hét után a homokszórással és savval maratott felület esetében 33,64% ± 1,2% volt, míg ugyanezen felület hidroxidionok alkalmazásával történő bioaktiválása esetén 41,64% ± 0,9%. Schwarz és munkatársai (27) korábbi tanulmánya 29,42% ± 7,9%-os BIC%-ról számolt be 2 hét után az SLA-felület esetében, míg aktiválásával (SLActive, Straumann) 49,3% ± 7,9%-os BIC%-ot értek el.
60 50 40 30 20 10 0
) HydroH ydro ABT ABT Nano Nano
tive -Ac Nano tive -Ac Nano
2 hét 4 hét
Egy kutyákon végzett kísérletben (28) savas maratással előállított és kalciumionokkal tovább módosított (UnicCa, BTI), illetve homokfúvással és savas maratással, valamint nanométeres kalcium-foszfát (T3, 3i) lerakódásával kialakított felületeket használtak. A 2 hetes gyógyulás után az átlagos BIC% 29,8% ± 16,0% volt UnicCA esetén, illetve 12,4% ± 5,6% T3 esetén. Az új csont a 4 hetes értékeléskor 49,4% ± 8,1%-ra, illetve 40,3% ± 10,0%-ra nőtt. Egy másik, kutyákon végzett kísérletben (29) savval maratott és kalciumionokkal tovább módosított (UnicCa) vagy nagy szemcsékkel homokfúvott és savval maratott (SLActive) felületeket vizsgáltak. A 2 hetes gyógyulás után az átlagos BIC% 29,1% ± 11,9%, illetve 21,6% ± 14,3% volt. Az új csont 4 hét gyógyulás után 46,3% ± 7,3%-ra, illetve 58,7% ± 15,1%-ra nőtt.
A jelen vizsgálat eredménye azt mutatja, hogy a BIC% növekedése az első 4 hétben a száradó sók jelenlétének tudható be a felületen. Korábbi nanoszkópos vizsgálatok azt is kimutatták, hogy ugyanezek a sók képesek voltak olyan felületi nanostruktúrákat létrehozni, amelyek elfedhetik az implantátum nanotopográfiáját (22). Ezért a BIC% differencia szempontjából a Nano-Active és Hydro felületek közötti eredmények nem szignifikánsak.
A száraz só technológia funkciója a titán felületi nedvesíthetőségének megőrzése és az ötvözet öregedésének megőrzése (22). A felületi nanoszerkezetek jelenléte azonban a felületi energia potenciális növekedését garantálja. A nanoszerkezetek e tulajdonságát számos vizsgálat igazolta (30, 31, 31).
Egyes tanulmányok (32) kimutatták, hogy a nano-áteresztőképesség alapvető fontosságú az integrinek szubsztrátumhoz való tapadásához, amely bizonyos esetekben extracelluláris mátrixként ismerhető fel. Az integrinek a sejtek filopodiáinak későbbi megkötésével a sejtek differentációját affektálhatják (33). Egy korábbi in vitro vizsgálat (19) arról számolt be, hogy a felszíni sók jelenléte gátolhatja az egér eredetű oszteoblasztok proliferációját, és kedvez a differentációjuknak az érettebb, megnyúlt formákba. Ugyanez a vizsgálat kimutatta az alizarinvörös S festődés erős kifejeződését a kalciumionok masszív lerakódásával, amely minden bizonnyal kedvezhet az új csontok kialakulásához vagy beépüléséhez, vagy megjelenéséhez, valamelyik a 3 közül (19).
Wennerberg és Albrektsson (3) áttekintése kimutatta, hogy bár a gyógyulás fokozható ezekkel a bioaktivált felületekkel, klinikai előnyeiket nehéz bizonyítani. Ezért a klinikai teljesítmény értékelését célzó, embereken végzett klinikai vizsgálatok nem mutatnak teljesen egyértelmű eredményt. Minden bizonnyal a BIC javulása a gyógyulás korai szakaszában segítséget jelenthet az azonnali terheléses eljárásokban, ahol nagyobb implantátumstabilitásra van szükség (34). A jelen vizsgálat korlátait egyértelműen az állatok korlátozott száma és a hosszabb követési idő hiánya jelenti. Ezt a döntést etikai okokból és az állatok védelme érdekében hozták. Fontos kiemelni, hogy a rövid gyógyulási idő a kutyáknál az emberhez képest gyorsabb szövettani osszeointegrációnak köszönhető (35). Statisztikailag matematikai differenciák vannak a csoportok között a BIC% tekintetében. Az eredmények azonban gyakran nem szignifikánsak, amely minden bizonnyal a vizsgálatban részt vevő állatok alacsony számának köszönhető. A vizsgálat másik korlátja a meglehetősen vastag szövettani metszetek használata, amely túlbecsülhette a valódi BIC-et, csökkentve ezzel az eredmények más vizsgálatokkal való összehasonlításának értékét.
További tanulmányok ajánlottak annak értékelésére, hogy ezek az új generációs felületek hogyan léphetnek kölcsönhatásba az emberi testtel és hogyan javíthatják az implantátum kimenetelét. Más vizsgálatokban azt is meg lehetne nézni, hogy a sók jelenléte a felületen mennyi ideig képes megőrizni a titán bioaktivitását.
Ez a vizsgálat négy különböző felület hatékonyságát validálja egy kutyamodellben. Különösen a 4 hét után képződött új csont tekintetében kapott eredmények azt mutatják, hogy a száraz sókkal kezelt bioaktivált felületek a gyógyulás korai szakaszában javítják a BIC%-os eredményeket. További vizsgálatokat embereken kellene elvégezni, hogy megértsük ezen új bioaktív felületek előnyeit.
A szerzők nem számoltak be a tanulmányhoz kapcsolódó érdekellentétről.
1. Botticelli D, Lang NP. Dynamics of osseointegration in various human and animal models—A comparative analysis. Clin Oral Implants Res 2017;28:742–748.
2. Botticelli D, Berglundh T, Persson LG, Lindhe J. Bone regeneration at implants with turned or rough surfaces in self-contained defects. An experimental study in the dog. J Clin Periodontol 2005;32:448–455.
3. Wennerberg A, Albrektsson T. On implant surfaces: A review of current knowledge and opinions. Int J Oral Maxillofac Implants 2010;25:63–74.
4. Duske K, Koban I, Kindel E, et al. Atmospheric plasma enhances wettability and cell spreading on dental implant metals. J Clin Periodontol 2012;39:400–407.
5. Nagassa ME, Daw AE, Rowe WG, Carley A, Thomas DW, Moseley R. Optimisation of the hydrogen peroxide pre-treatment of titanium: Surface characterization and protein adsorption. Clin Oral Implants Res 2008;19:1317–1326.
6. Junker R, Dimakis A, Thoneick M, Jansen JA. Effects of implant surface coatings and composition on bone integration: A systematic review. Clinical Oral Implants Res, 2009, 20: 185–206.
7. Caneva M, Lang NP, Calvo Guirado JL, Spriano S, Iezzi G, Botticelli D. Bone healing at bicortically installed implants with different surface configurations. An experimental study in rabbits. Clin Oral Implants Res 2015;26:293–299.
8. Beolchini M, Lang NP, Gómez Moreno G, Iezzi G, Botticelli D, Calvo Guirado JL. Bone healing at implants with different surface configurations: An experimental study in dogs. Clin Oral Implants Res 2016;27:196–202.
9. Variola F, Brunski JB, Orsini G, Tambasco de Oliveira P, Wazen R, Nanci A. Nanoscale surface modifications of medically relevant metals: State-of-the art and perspectives. Nanoscale 2011;3:335–353.
10. Bressan E, Sbricoli L, Guazzo R, et al. Nanostructured surfaces of dental implants. Int J Mol Sci 2013;14:1918–1931. 11. Ferraris S, Spriano S, Pan G, et al. Surface modification of Ti6Al-4V alloy for biomineralization and specific biological response: Part I, inorganic modification. J Mater Sci Mater Med 2011;22:533–545.
12. Tavares MG, de Oliveira PT, Nanci A, Hawthorne AC, Rosa AL, Xavier SP. Treatment of a commercial, machined surface titanium implant with H2SO4/H2O2 enhances contact osteogenesis. Clin Oral Implants Res 2007;18:452–458.
13. Wennerberg A, Albrektsson T. Effects of titanium surface topography on bone integration: A systematic review. Clin Oral Implants Res 2009;20(suppl 4):172–184.
14. Sawase T, Wennerberg A, Hallgren C, Albrektsson T, Baba K. Chemical and topographical surface analysis of five different implant abutments. Clin Oral Implants Res 2000;11:44–50.
15. Tugulu S, Löwe K, Scharnweber D, Schlottig F. Preparation of superhydrophilic microrough titanium implant surfaces by alkali treatment. J Mater Sci Mater Med 2010;21:2751–2763.
16. Rupp F, Scheideler L, Olshanska N, de Wild M, Wieland M, Geis-Gerstorfer J. Enhancing surface free energy and hydrophilicity through chemical modification of microstructured titanium implant surfaces. J Biomed Mater Res A 2006;76:323–334.
17. Canullo L, Genova T, Tallarico M, Gautier G, Mussano F, Botticelli D. Plasma of argon affects the earliest biological response of different implant surfaces: An in vitro comparative study. J Dent Res 2016;95:566–573.
18. Coelho PG, Giro G, Teixeira HS, et al. Argon-based atmospheric pressure plasma enhances early bone response to rough titanium surfaces. J Biomed Mater Res A 2012;100:1901–1906.
19. Duske K, Koban I, Kindel E, et al. Atmospheric plasma enhances wettability and cell spreading on dental implant metals. J Clin Periodontol 2012;39:400–407.
20. Zinelis S, Silikas N, Thomas A, Syres K, Eliades G. Surface characterization of SLActive dental implants. Eur J Esthet Dent 2012;7:72–92.
21. Jennissen H. Stabilizing ultra-hydrophilic surfaces by an exsiccation layer of salts and implications of the Hofmeistereffect [in German]. Materialwissenschaft und Werkstofftechnik 2010;41.
22. Gianfreda F, Antonacci D, Raffone C, Muzzi M, Pistilli V, Bollero P. Microscopic characterization of bioactivate implant surfaces: Increasing wettability using salts and dry technology. Materials (Basel) 2021;14:2608.
23. Gianfreda F, Raffone C, Antonacci D, et al. Early biological response of an ultra-hydrophilic implant surface activated by salts and dry technology: An in-vitro study. Appl Sci 2021;11:6120.
24. Abrahamsson I, Berglundh T, Linder E, Lang NP, Lindhe J. Early bone formation adjacent to rough and turned endosseous implant surfaces. An experimental study in the dog. Clin Oral Implants Res 2004;15:381–392.
25. Johansson C, Albrektsson T. Integration of screw implants in the rabbit: A 1-year follow-up removal torque of titanium implants. Int J Oral Maxillofac Implants 1987;2:69–75.
26. Calvo-Guirado JL, Ortiz-Ruiz AJ, Negri B, López-Marí L, Rodriguez-Barba C, Schlottig F. Histological and histomorphometric evaluation of immediate implant placement on a dog model with a new implant surface treatment. Clin Oral Implants Res 2010;21:308–315.
27. Schwarz F, Herten M, Sager M, Wieland M, Dard M, Becker J. Histological and immunohistochemical analysis of initial and early subepithelial connective tissue attachment at chemically modified and conventional SLA titanium implants. A pilot study in dogs. Clin Oral Investig 2007;11:245–255.
28. Favero R, Lang NP, Salata LA, Martins Neto EC, Caroprese M, Botticelli D. Sequential healing events of osseointegration at UnicCa and SLActive implant surfaces: An experimental study in the dog. Clin Oral Implants Res 2016;27:203–210.
29. Favero R, Botticelli D, Antunes AA, Martinez Sanchez R, Caroprese M, Salata LA. Sequential healing at calcium- versus calcium phosphatemodified titanium implant surfaces: An experimental study in dogs. Clin Implant Dent Relat Res 2016;18:369–378.
30. Vishnu J, Manivasagam G. High-surface-energy nanostructured surface on low-modulus beta titanium alloy for orthopedic implant applications. J Mater Eng Perform 2021;30:4370–4379.
31. Sajjady SA, Lotfi M, Amini S, Toutounchi H, Bami AB. Improving the surface energy of titanium implants by the creation of hierarchical textures on the surface via three-dimensional elliptical vibration turning for enhanced osseointegration. Proc Inst Mech Eng H 2019;233:1226–1236.
32. Gui N, Xu W, Myers DE, Shukla R, Tang HP, Qian M. The effect of ordered and partially ordered surface topography on bone cell responses: A review. Biomater Sci 2018;6:250–264.
33. Roach P, Eglin D, Rohde K, Perry CC. Modern biomaterials: A review–bulk properties and implications of surface modifications. J Mater Sci Mater Med 2007;18:1263–1277.
34. Buser D, Broggini N, Wieland M, et al. Enhanced bone apposition to a chemically modified SLA titanium surface. J Dent Res 2004;83:529–533.
35. Botticelli D, Lang NP. Dynamics of osseointegration in various human and animal models
Kónuszos felépítmény kapcsolat
Kisebb mikromozgás
Erősebb és egyenletesebb csatlakozás
Platform switching
AZONNALI
PROTOKOLOKRA KIFEJLESZTVE
Kúpos forma az optimális primer stabilitásért
FENNTARTÁSA
Kevesebb megtapadó baktérium és egyszerűbb
tisztíthatóság
Egyfázisú folyamat, amely szöveti szintű restaurátumot és jobb szék melletti időkihasználást tesz lehetővé
A Straumann TLX implantátum rendszer kialakításánál számításba vették a keményés lágyszövet gyógyulás kulcsfontosságú elemeit.
Az implantátum-felépítmény kapcsolat távolabb került a csonttól, ezzel jelentősen csökkentve a gyulladás, valamint a csontreszorpció esélyét.
Keresse helyi Straumann képviselőjét vagy látogasson el a www.starumann.com/tlx oldalra!
09.30-09.40 Dr. Németh Zsolt, Dr. Sidó Levente: Megnyitó
09.40-10.55 Dr. Luigi Canullo: Bioaktív implantátumfelületek: ez lehet a kulcs a terhelési protokollok felgyorsításához?
A hiányzó fogak implantátummal támogatott protézisekkel történő pótlása során, különösen az esztétikai területen, számos változót azonosítanak – lágyszövetkezelés, foghúzás utáni socketkezelés, implantátumhely előkészítése, felépítmény integrálása és a felépítmény körüli periimplantáris lágyszöveti tömítés. A bioaktív felületű implantátumok lehetővé teszik a gyorsított osszeointegrációt, fokozott csontképződést és nagyfokú elsődleges stabilitást. A korai terheléses protokollokhoz alkalmasak, lehetővé teszik a klinikusok számára, hogy pontos és személyre szabott kezelést tervezzenek, és optimális betegellátást nyújtsanak, biztonságosabb és gyorsabb kezelés és gyógyulási idő mellett. Ez az előadás azzal foglalkozik, hogy mind az öt változó figyelembevételével és kezelésével hogyan lehet sikeres eredményeket elérni, hogy a betegek esztétikai igényeinek és a gyorsított kezelési időnek megfeleljenek.
10.55-11.25 Kávészünet
11.25-12.40 Dr. Sidó Levente:
A protetikai szemléletű tervezés, a PRF csontaugmentációs módszerek és az implant-protetikai ellátás elméleti és gyakorlati szempontjai
Bevezetés: A fogászati-szájsebészeti gyakorlatban napjainkban egyre hangsúlyosabb szerepet kap a csapatmunka és protetikai szemléletű „visszafelé” tervezés, melynek fontos eleme a természetes szöveti struktúrák megőrzése. Ennek segítségével a későbbi munkafolyamatok egyszerűbbé válnak, tökéletes funkcionális és esztétikai eredmény érhető el. Implantológiai szempontból különösen fontos a megfelelő csontkínálat, és a megfelelő állapotú gingivális szövet. Anyag és módszer: Esetismertetéssel kívánjuk bemutatni a klinikai gyakorlatunkban használt sebészi technikákat és munkafolyamatokat Eredmények: Tapasztalataink szerint kiemelt jelentőségű a fogak eltávolításának indikációja, az atraumatikus extrakciós technika és a vérellátás megóvása, a csontpótlás időzítése, az előzetes laboratóriumi vizsgálat, az adekvát PRF csontaugmentációs technika használata, az implantáció időzítése és a csapatmunka. Következtetések: Az utóbbi években egyre szélesebb körben terjedt el a PRF technika, aminek napjainkban az irányított csontregenerációban világszerte elismert szerepe van, emellett a PRF membránok alkalmazásával mucogingivális sebészeti szempontból is figyelemre méltó előnyökkel jár. Több nemzetközi közlemény a módszer kiszámíthatóságát és megbízhatóságát igazolja. Ezen eredmények alapján a trombocitában gazdag fibrin (Platelet Rich Fibrin, PRF) kiválóan alkalmas az extrakciós csontsebek kezelésére. Hazánkban e módszer még nem terjedt el széles körben, ezért tartjuk prezentációnkat bemutatásra érdemesnek.
12.40-14.00 Ebédszünet
A lenyomatvétel a sikeres restaurátum egyik kritikus mozzanata. Természetesen az operatőr személye és a felhasznált anyagok nagyban befolyásolják az egész munkamenet sikerességét, de implantációs pótlások esetében ezen felül a cementezett és csavarozott pótlások közötti eltérés, a nyitott és zárt lenyomatvételi technikák sajátosságai és a multi-unit alkatrészek használata is befolyásolhatja a végeredményt. Az előadás során áttekintésre kerülnek a lehetséges megoldások, kiemelve azok előnyeit és hátrányait, külön figyelemmel a tudományos kutatások adta objektív eredményekre. Mivel az implantációs protetika jelene és jövője leginkább a csavarozható megoldásokat részesíti előnyben, külön taglaljuk azok lehetőségeit mind lenyomati, mind restaurációs oldalról. A legújabb digitális lenyomatvételi technikák is megbeszélésre kerülnek figyelembe véve azok jelenlegi limitációt és a jövőben rejlő lehetőségeket.
14.45-15.30 Dr. Baráth Zoltán: Az All-on-Four koncepció vizsgálata az Ansys Simulation Software végelemes modellezésével: az okklúzió és az implantátum körül ébredő feszültség közötti összefüggés elemzése
Bevezetés: A fogpótlások ideális okklúziójának beállítása az implantátumokon és a körülöttük ébredő feszültség optimalizálásán keresztül döntően befolyásolja az implantátumok és az általuk elhorgonyzott pótlások élettartamát. A végelemes analízis (finite element analysis) a periimplantárisan ébredő feszültségek in vitro vizsgálatára alkalmas módszer, amellyel különféle klinikai esetek modellezhetők. Anyag és módszer: Kutatásunk során „Ansys Simulation Software” programcsomagot használtunk. CBCT felvételből nyert dicom formátumú felvételeket a „3D Slicer” programba integráltuk, ahol a szilárd testek (implantátum, mandibula) geometriáját modelleztük. Az „Ansys SpaceClim” szoftverben létre tudtuk hozni az implantátumok és a mandibula testhálóját. Az implantátumok és a csont általános fizikai jellemzőit szakirodalmi adatok alapján állítottuk be, ezt követően az elemzést és a főfeszültségek meghatározását az „Ansys Workbench” program segítségével végeztük. Eredmények: Az elsődleges főfeszültségnél az implantátum-csont határfelületén mért húzási feszültségnél az eredmények nem haladják meg a 135 MPa határértéket, a harmadlagos főfeszültségnél az implantátum-csont határfelületén mért nyomási feszültségnél az eredmények nem haladják meg a 300 MPa határértéket; a határértékek feletti feszültségértékek mindkét esetben jelentős csontlebontódást jeleznének.
15.30-16.00 Kávészünet
16.00-16.45 Dr. Nyárády Zoltán: Dinamikus valós idejű navigáció az implantológiában – NavTech X-Guide használata minimál invazív implantológiában
A szerző áttekinti az előre számítógépen megtervezett implantológiai beavatkozások lehetőségeit. Bemutatja a dinamikus valós idejű navigációt, annak használatát, előnyét, határait és irodalomban elfoglalt helyzetét. A szerző bemutatja a NavTech X-Guide-dal szerzett tapasztalatait minimál invazív sebészetben.
Dr.
Az esztétikai zónában a hiányzó (apláziás) kismetszők pótlása gyakran állítja kihívás elé a fogorvost. Nemcsak a limitált protetikai tér okoz nehézséget, hanem a fogcsíra fejlődésének és erupciójának hiánya is, mely magával vonja a processus alveoláris fejlődésének alulmaradását. A késői típusú implantátumbeültetés ezért sok esetben kemény- és lágyszöveti pótlással kell kiegészüljön az optimális eredmény elérése érdekében. Az implantátum megfelelő pozicionálása és a rendelkezésre álló protetikai tér ideális kihasználása, mely respektálja a gyógyuló szövetekre vonatkozó biológiai szabályokat, általában nem nélkülözheti a digitális tervezési és gyártási folyamatokat. Az előadó 3 hasonló indikációjú, de különbözőképpen kivitelezett eset kapcsán világít rá a felmerülő problémákra és azok megoldásának lehetőségeire.
09.30-09.40 Dr. Németh Zsolt, Dr. Sidó Levente: Megnyitó
09.40-11.10 Dr. Alexander Tzovairis: Teljes kemény- és lágyszöveti sebészeti helyreállítás egyetlen lépésben: az egylépéses optimalizálási eljárás és a Poncho Lamina technika bevezetése az anterior és posterior régiókban
A múltban számos klinikai megközelítést dolgoztak ki az optimális kemény- és lágyszöveti konfiguráció elérésére a csontpótlást igénylő helyeken. Mindazonáltal az ilyen technikák gyakran többlépcsős megközelítést igényelnek, ami több invazív műtéthez vezet (csatornaaugmentáció egyidejű implantátumbehelyezéssel vagy anélkül, kötőszöveti graftok, implantátum feltárása szabad ínygraftokkal). Ez az előadás az egylépcsős optimalizálási eljárásra (O.S.O. Process) összpontosít egy újszerű technika alkalmazásával, amely egy olyan egyedülálló megközelítést vezet be, amely lehetővé teszi a sebész számára, hogy egyetlen lépésben, kortikális gát segítségével helyreállítsa akár egy teljesen fogatlan, vagy egyetlen implantátummal rendelkező területet. Lépésről lépésre bemutatásra kerül egy protokoll, klinikai esetek kerülnek bemutatásra, majd ezt követően megbeszélés következik az indikációk/ellenjavallatok tisztázása érdekében, valamint annak tisztázása érdekében, hogy miért válhat ez a technika a modern kemény- és lágyrész-optimalizáló megközelítések gondolkodásmódjának megváltoztatására.
11.10-11.40 Kávészünet
11.40-12.30
Csontpótlások során kialakuló szövődmények, komplikációk és azok kezelése
Az implantációt megelőző vagy azzal párhuzamosan történő csontpótlások az esetek döntő többségében komplikált, sok kockázattal járó beavatkozások, amelyek megfelelő instrumentális és szakmai tudás birtokában végezhetőek csak el. A hosszas, viszonylag nagy feltárást, bonyolult műtéti technikát igénylő beavatkozásokat kisebb-nagyobb szövődmények követik, vagy már a műtét alatt kialakulnak. Ezeket az operáló orvosnak a legnagyobb körültekintéssel kezelnie kell. Sokszor individuálisan, esetenként viszont jól begyakorolható mozdulatokkal vagy technikákkal, instrukciókkal orvosolhatóak ezek a problémák. Előadásomban az előforduló komplikációkra és szövődményekre és azoknak az ellátási lehetőségeire szeretnék rávilágítani
12.30-14.00 Ebédszünet
Manapság fogászati implantátumokkal már gyakorlatilag bármely foghiány ellátása megoldható! Legyen szó egyetlen foghiányról az esztétikai zónában, teljes fogatlanságról, vagy kemény és lágyszövet argumentációt igénylő területekről. Ugyanúgy képesek vagyunk a legtöbb esetben fogeltávolítást követően azonnal implantálni, mint gyógyult állcsont esetében. A különböző klinikai indikációk rendszerint különböző tulajdonságú implantátum rendszereket és protetikai elemeket igényelnek, a kompromisszummentes és praktikus ellátás érdekében! Vagy egy olyan jól megalkotott implantációs rendszert, mint a Neodent, mellyel a legkülönbözőbb klinikai indikációkra is egy rendszeren belül találunk ideális megoldást!
A PTE-KK-Fogászati és Szájsebészeti Klinika közel 10 éve tartósan együtt működik az SGS Implant Hungary Kft-vel protetikai rehabilitációt igénylő betegek ellátása céljából. A betegek kiválasztása különböző betegségcsoportok alapján történik. Fő cél a tumoros betegek posztoperatív ellátása egy jobb életminőség érdekében, de aplasia, trauma és egyéb szájüregre is hatással bíró patológiás folyamatok valamint rendszerszintű betegségekben szenvedő betegek ellátása is megtörtént. Időskori, polimorbid betegek ellátása is jelentős hányadát teszi ki kezelt betegeinknek. Életminőség vizsgálatot végeztünk, mellyel felmértük pácienseink mindennapjaiban történt változásait. Előadás az elmúlt 10 év tapasztalatait és néhány esetét mutatja be.
15.30-16.00 Kávészünet
16.00-16.45 Dorogi Gábor: Szájsebészeti 3D CAD/CAM technológiák, noninvazív mérési módszer az intraorális csontaugmentációs műtétek volumetriás analíziséhez 3D CAD technológia segítségével
Bevezetés: A szájsebészetben nagy számban végeznek csontpótló műtéteket. Az állcsontok atrófiája, kórfolyamatok, traumák következtében keletkező csonthiányok helyreállító műtétei ma már rutinfeladatok közé tartoznak. Az orvosi és mérnöki szakterületek együttműködésével létrejött CT alapú CAD/CAM technológia segítségével pontos és gyors helyreállító műtétek végezhetők el. Kiterjedt rekonstrukciós műtétek esetén biztos segítséget nyújt abban, hogy a lehető legjobb, individualizált eredményt érjük el. A CT alapú CAD/CAM technológiával pontos számítások és tervezés végezhető, amelyek segítséget nyújtanak terápiás döntések meghozatalában, valamint lehetővé teszik egyedi implantátumok készítését is. Mindezek nagyban hozzájárulnak a műtétek sikeres kivitelezéséhez. Anyag és módszer: Esetismertetéssel kívánjuk bemutatni a klinikai gyakorlatunkban alkalmazott CT alapú CAD/CAM technológia folyamatát és annak előnyeit. Eredmények: Többórás csontpótló és implantációs műtétek időtartama jelentősen csökkenthető az előre megtervezett és gyártott transzplantátumok és/vagy implantátumok segítségével. Az ilyen műtéti eszközök használata a lehető legjobb geometriai illeszkedést biztosítják. A behelyezési pontosságot és gyorsaságot növeli a 3D nyomtatott műtéti navigációs eszközök használata. A pre- és posztoperatív adatállomány összevetésén alapuló, non-invazív CT alapú mérési módszerekkel elvégezhető a csontpótló műtétek során átépült csontállomány térfogatának összehasonlítása is, amely hatékonyan segíti a tervezést és a műtét kivitelezését az orvosok számára. Következtetések: Számos nemzetközi cikk számol be arról, hogy a 3D CAD/CAM technológiák segítségével gyorsabb, pontosabb, költséghatékonyabb és komplexebb műtétek valósulhatnak meg. Azokban az egészségügyi intézményekben, amelyekben bevezetésre került a 3D CT alapú CAD/CAM technológiák használata, a lehető legmagasabb színvonalú sebészeti ellátást képesek biztosítani.
3shape / Dental-Trade
Align Technology
Alpha Bio Tec
Bardeco Kft.
Baru Foshan Medical Technology Co., Ltd
BioGaia
Bredent Cortex
Dens Alba
Dent-East Kft.
Dental Plus
Dental Press
Dentavantgart Kft.
Dent-Art-Technik
Dentech
PDigitális Fogászati Egyesület (DFE)
Doctor Tools Srl
Dr. Volom Dental
Euromedic
Fejér-Fog
Flexi-Dent
Flexioss
KIÁLLÍTÁSI AJÁNLATOK a standnál.
Provokatív és hallgatóságvadász a cím, nem véletlenül. A profilaxis szó hallatán mindenki a fogkőlevételre, a fogmosás tanítására és a következő generáció felvilágosítására gondol. Az invesztálás szó alapján elsősorban a pénzkiadás, esetleg a befektetés, legvégső soron az értéklétrehozás jut az eszünkbe.
Egy egészségügyben dolgozó személy számára az a tény, hogy a megelőző kezelésekre időt, energiát, pénzt fordítunk, az evidence based. Teljesen mindegy, hogy fogorvosról vagy klinikai fogászati higiénikusról beszélünk, az ókori gyógyítók munkássága óta alapvető tézis, hogy a prevenció, a betegségek kialakulásának elkerülése a legjobb gyógymód.
Ennek a munkának része a páciensek edukálása, a szájápolási rutin kialakítása, az esetleges hibák kiküszöbölése. Ez a folyamat kizárólag a fogorvosi szakmában dolgozó egészségügyi személyzet felelőssége. Ez a cél nem megvalósítható egyetlen személy esetében sem egy óra, egyetlen beszélgetés, tanítás alkalmával sem. A cél elérése sokkal inkább egy tanulási folyamat, vagy még inkább egy tanulási spirál, melyben mindkét fél aktívan segítheti a másikat a fejlődésben.
1. Az az alapvető tény, hogy egy egyszerű fogmosás közben tapasztalt vérzés már jelzi a kóros folyamatok elindulását, bizonyítja, hogy kezelendő elváltozásban nincsen hiány. A fogágybetegségek a világon a vezető egészségügyi problémák közé tartoznak. Kockázati tényezőként szerepel többek között a keringési betegségek és a cukorbetegség kialakulásában.
2. A lakosság ismeretei nagyon hiányosak, nem csak a szájápolás terén, hanem a korábban említett egyéb betegségekkel való összefüggések vonatkozásában is. A páciensoktatás felvilágosítás nélkül a gyógyítás elképzelhetetlen.
3. Szakemberként tudjuk, hogy a száj normál flórája és a parodontogén baktériumok kölcsönhatása vezetnek a kóros folyamatok elindulásához. Ebből adódóan egyes számú közellenséggé kell válnia valamennyiünk számára a biofilmnek, mely az említett mikrobák életterét adják.
4. A dentális plakk és biofilm elleni küzdelem 2 fontos pillére az irányított biofilm terápia, valamint a magas szintű otthoni szájápolási tanácsadás, melynek segítségével két GBT kezelés között az egészséges állapot a páciens részéről fenntarthatóvá válik.
5. Az egészség tehát a szájban kezdődik, az orális betegségek terén végzett megelőző munka az egész szervezet egészségére pozitív hatással lesz.
6. A dohányzás következményei a szájban jelentkeznek a leghamarabb, az ártalom csökkentése egyértelműen a prevenciós megelőző munka részét kell hogy képezzék.
7. Elengedhetetlen a megfelelő elköteleződés, szakmai ismeretek elsajátítása és a legmodernebb kezelési lehetősége alkalmazása, ha a lakosság közel felét érintő valamilyen szájbetegség ellen hatékonyan szeretnénk fellépni.
A felsorolt hét érv a teljesség igénye nélkül rámutat a jelen állapot hiányosságaira. Ezzel viszont egyértelmű választ kapunk a címben feltett kérdésre. Van teendő bőven, a kérdés sokkal inkább az, miként fogjunk neki ennek a változásnak.
A cél elérése érdekében az már egyértelmű, hogy változásokra lesz szükség. Szedjük részekre ezt a folyamatot. Hol a legegyszerűbb ezt elkezdeni? Amihez nincs szükség sem anyagi, sem időbeli áldozatra? Ez a „hely” nem más, mint a saját gondolkodásmódunk. Az nem is vitás, hogy egyben ez a legnehezebb feladat is, amin sem a világ összes kincse, sem végtelen idő nem fog segíteni. Igaz, ezek nem is állnak rendelkezésünkre. A jó hír, hogy nincs is szükségünk semmi másra, csak önmagunkra hozzá.
Kezdd saját magaddal, a személyes belső változások
Négy terület, amivel foglalkozni kell annak érdekében, hogy eredményt tudjunk elérni, nem feltétlenül szükséges felsorolási sorrendben haladni, ezen területek fejlesztése futhat párhuzamosan. Ebben az esetben az egyes folyamatok segítik egymást, gyorsítva az előrejutást.
ELFOGADÁS: tudomásul veszem, hogy amit eddig csináltam, azon a tudomány és technológia túlhaladott. Tisztában vagyok vele, hogy ez egy folyamat, amit el kell indítanom először saját magamban, majd a környezetemben. Elfogadom, hogy ez a feladat rám vár, minden téren energiát, ráfordítást igényel.
FELKÉSZÜLÉS: egyértelműen megfogalmazom a célt, amit el akarok érni, meghatározom és felmérem a kiindulási helyzetet, amit meg akarok változtatni, végigveszem azokat a folyamatokat, amelyeken módosítani szükséges. Meghatározom azokat a személyeket a környezetemben, akik a célom elérésében segíteni fognak.
TUDATOSSÁG: minden pillanatban értékelem a gondolataimat, tevékenységemet, beszédemet, hogy közelebb vezessen az általam megvalósítani kívánt célhoz.
TUDÁS: A GBT (irányított biofilm terápia) elméleti és gyakorlati protokolljának elsajátítása, rutinszerű alkalmazása.
Ki az a személy vagy kik azok a személyek, akiket a változás érdekében magam mellé kell állítani, hogy ugyanolyan mértékben legyenek elkötelezettek, mint én vagyok? Van-e a környezetemben olyan személy, akinek a döntése alapvetően meghatározza a munkahely működését. Ennek a kérdésnek a tisztázása az alfája és ómegája egy munkahelyen a változtatások sikeres és hatékony bevezetéséhez.
A felelős személynek, személyeknek meg kell hozni a döntést, hogy a prevenció terén egy adott időponttól kezdve más szemléletben fogunk tovább dolgozni. Elengedhetetlenül fontos, hogy ez a döntés a teljes együtt dolgozó
csapat részére megosztásra kerüljön, a nyílt és megfelelő kommunikáció nélkül a célhoz vezető út rengeteg buktatót tartalmaz.
Első lépésként meg kell határozni a rendelő preventiós tevékenységének jelenlegi helyzetét, ezt szükséges összevetni az elérni kívánt céllal. Minél kisebb részfeladatra bontjuk az egész folyamatot, annál közvetlenebb módon fogjuk tudni érzékelni a változásokat, amiket elértünk. Az önellenőrzés, önkontroll nem csak a GBT protokoll alkalmazása közben, hanem az egész folyamat kialakítása során is szükséges részeleme a munkának.
A megfelelő feladatok meghatározása, majd azok szétosztása után kezdődik a kör elölről, hiszen az új munkatársakat szükséges elindítani azon a személyes belső változáshoz vezető úton, amit mi magunk már végigjártunk. A helyzet lényegesen egyszerűbb, hiszen segítő kezet tudunk nyújtani a tanulás megkezdéséhez, ugyanakkor saját magunkat is új kihívások elé helyezzük, hiszen a megfelelő munkatársak megtalálása, motiváltságának megteremtése, majd ennek fenntartása az egyik legemberpróbálóbb feladat egy szervezet működése életében.
A feladatlista egyes elemeit ne egy időben kezdjük megváltoztatni, nem szabad megfeledkezni róla, hogy a kontroll és a fejlődés folyamatos nyomon követése időt és energiát igényel a részünkről is.
Elsősorban a személyes belső változások, a gazdasági szervezet megváltoztatása és a páciensekkel való kapcsolattartás, építés formájának a megváltoztatása a három nagy terület, ami elengedhetetlen az eredményes profilaxis munkához.
Az új típusú, a kor szellemének megfelelő kezeléseket végző személyeknek szükséges a megfelelő képzést biztosítani és az eddigi gondolkodásmódot megváltoztatni. Ez a munkafolyamat folyamatosan jelen kell hogy legyen a mindennapi munka részeként.
Szükséges továbbá a kezelések elvégzéséhez a megfelelő körülmények biztosítása, eszközök, helyiség, rendelési idő, adminisztráció megteremtése.
A GBT kezelés bevezetése az eddigi munkafolyamatok közé, az ehhez tartozó páciensfelvilágosítás, a megfelelő indokok, érvek összegyűjtése, és a kollégák felkészítése ezen érvek használatára szintén a folyamatos munka részét alkotja. Minden pillanatban tisztában kell lenni vele, hogy miért szükséges így dolgozni. A személyzet és a páciensek felé történő kommunikációs stratégia kitalálása, a megfelelő érvek a megfelelő helyen történő alkalmazása fontos momentum a GBT kezelés és a munkafolyamat megváltoztatása során. A vezető feladata az általa kialakított rendszer működtetése, a létrehozott protokoll betartatása, a kollégák folyamatos képzése mind rendelőn belül, mind rendelőn kívül. A tapasztalatok elemzése, értékelése és a szükséges módosítások felismerése, a folyamatos önellenőrzés vezethet eredményre.
Az eddigiekben vázolt gondolatok nem az egyetlen vagy kizárólagosan járható utat mutatják be annak a célnak az érdekében, hogy a megelőző gyógyító munkánkat magasabb szintre tudjuk emelni. Csupán egy a lehetséges utak közül. Biztosan vannak olyan megoldások, amelyek egy-egy kérdéskörben hatékonyabbak, vagy gyorsabbak, vagy gazdaságosabbak. Ez nem is kérdés. Azonban ha ez a néhány sor, és ezen elképzelések mentén a gyakorlati tanácsokkal is ellátott előadásom néhányakat, esetleg döntéshozó embereket is elgondolkodtat, felkelti bennük a kíváncsiságot a GBT iránt, akkor elértük az elsődleges célt. Elvetettük a változás magját. Mi mindanynyian együtt, akik e cikk, az előadások és a rendezvény létrejöttéhez a legkisebb módon is hozzájárultak.
Köszönöm! www.ems-dental.com/hu
09.30–09.40 Dr. Radánovics-Nagy Dániel: Megnyitó
09.40-10.25 Dr. Borzási Imre: Miért érdemes a Profilaxisba invesztálni?
Elfogadott tény, hogy a GBT a modern prevenció alapeszköze (kellene hogy legyen). Egy új protokoll bevezetése, egy új eszköz beszerzése mindig anyagi és emberi erőfeszítéseket igényel. A döntés meghozatala során hiba lenne csak egy újabb prevenciós eszközként tekinteni az Airflow Prophylaxis Master készülékre. Sokkal többről van szó, hiszen rengeteg terápiás lehetőség rejlik benne. Ezek bemutatása és a gondolkodásmód átértékelése segíti a rendelőben a magas szintű betegellátás kialakítását, finanszírozási szempontokat és az emelt szintű prevenciót egyensúlyba hozni.
Sok ember tudomást sem vesz a duzzadt, kissé vöröslő vagy fogmosáskor gyakran vérző fogínyéről, pedig ezek a tünetek az ínygyulladás legelső jelei. Az Economics folyóirat kutatócsoportja (Economics Intelligence Unit – EUI) és az Európai Parodontológiai Szövetség (EFP) most kiterjedt kutatást végzett a témában: 19%-kal növeli a szív- és érrendszeri betegségek kialakulását 65 év alatti személyeknél, 65 év felett ez az arány 44%. Az Economics riport tanulsága szerint a nyugat-európai fejlett országok is érintettek, és az elmúlt 25 évben nem történt csökkenés a betegség előfordulásában. Az előadásban áttekintjük a parodontális betegségeket, ínygyulladást, az ínygyulladás típusait, a parodontitist. Bemutatjuk a parodontális betegség lefolyásának sejtszintű szemléletét és a parodontális betegség kialakulásának kockázati tényezőit, a kezelés legfontosabb szempontjait.
Mindenki számára tisztázott, hogy a magyar lakosság szájhigiénés állapota sajnos aggodalomra ad okot. Az előadásom célja olyan edukációs alternatívák bemutatása, amelyek ezen státusz javítását szolgálják, így motiválva a szakmabelieket a prevenciós tevékenységben történő aktív részvételre. Ugyanis a jól ismert óvodai látogatás alkalmával történő fogmosásoktatáson túl számos területen tevékenykedhetünk még. Milyen lehetőségek vannak manapság a szájápolási prevenciós gyakorlatokra? Előadásom során igyekszem prezentálni napjaink leghatékonyabb prevenciós módszereit és azok eszközeit.
A dentális plakk minden fogágybetegség oka, mely a rögzítő apparátus irreversibilis károsodását – fogmozgathatóságot, tapadásveszteséget okoz. A parodontitis polymicrobialis infectio – a normál flóra és a parodontopatogen baktériumok együttese kulcsfontosságú szerepet játszik a fogágybetegség patogenezisében. A plakk szükséges, de nem elégséges feltétele a destruktív parodontitisnek, egyéb hajlamosító tényezők szükségesek hozzá: genetikai, általános szervezeti, magatartási tényezők. Az orális probiotikumok a megváltozott parodontopathogén flórára gyakorolt antagonista hatásuknak megfelelően hatékony, biztonságos és kényelmes kiegészítői lehetnek a hagyományos parodontális oki terápiának, a depurálásnak és gyökérsimításnak.
Üres közhely vagy működő szemlélet, hogy oktathatjuk a pácienseinket? Ma már egy igényes, magas szakmai minőséget képviselő szakember számára egyértelmű, hogy megfelelő szájhigiénia nélkül nem végezhető minőségi, tartós fogászati kezelés. Egyre több rendelő hirdeti a dentálhigiénés kezelések fontosságát és alkalmazza azok különféle formáját, azonban a megfelelő biofilm-menedzsment nem érhet véget egy professzionális tisztítással. Az egyéni szájhigiénia kialakítása, a páciens mindennapi rutinjának megfelelő formálása a mi feladatunk és felelősségünk, fogászati szakembereké. Gyakorlati tanácsokkal szolgálunk ahhoz, hogyan építhető be mindez a napi munkába, és kitérünk olyan részletekre is, mint például az eszközök választásának szempontjai.
Hazánkban a szájüregi megbetegedések prevalenciája igen magas, a szájüregi daganatos megbetegedések tekintetében is vezető helyet foglalunk el a környező országokhoz képest, de sajnos világviszonylatban is. Jellemző az egészségkárosító viselkedés, a szűrővizsgálatokon való részvétel elmulasztása, az elégtelen szájhigiéniás rutin, valamint elváltozások esetében az egészségügyi ellátás kezdeményezésének elmulasztása, késői orvos-beteg találkozó. A szájüreg és fogak állapota nagymértékben befolyásolja az általános egészségi állapotot, a szisztémás megbetegedések alakulását, kontrollálhatóságát, összességében pedig a jóllétet és az életminőséget.
16.00–16.45 Dr. Tóth György: A dohányzási ártalom csökkentésének szerepe és gyakorlata a száj- és fogápolásban
Ma már tudjuk, hogy a dohányzáshoz köthető betegségeket elsősorban nem a nikotin okozza, hanem a cigaretta égetése során felszabaduló vegyi anyagok. Ahhoz, hogy a világon megszűnjenek a dohányzás okozta betegségek mind az 1,3 milliárd – Magyarországon ez 2 millió főt jelent – dohányzónak le kellene szoknia e káros szenvedélyéről, ami az előrejelzések szerint nehezen megvalósítható. A dohányzás hatásai a szájnyálkahártyára egyértelműen negatívak. Ez a terület érintkezik ugyanis a legforróbb füsttel, amely kiszárítja, kimarja azt, és végzetes elváltozásokat eredményez. Az előadásban továbbá olyan összehasonlító vizsgálatok is bemutatásra kerülnek, melyek az éghető cigaretta és a hevített dohánytechnológia hatásait vizsgálja a szájüregi, fogíny hámszövetein, valamint a kemény fogszöveteken.
16.45–17.30
Dentálhigiénikusok prevenciós lehetőségei a szájüregi megbetegedések megelőzésében
A dentálhigiénikus prevenciós szerepe és tevékenysége mind a szék melletti, mind az edukációs területen kiemelkedően fontos. A legfrissebb, 2022. évi adatok szerint a világ népességének 45%-át érinti valamilyen szájüregi megbetegedés, amit megfelelő prevenciós tevékenységgel minimálisra szoríthatnánk. A nem fertőző betegségek egyik nagy csoportja a szájüregi megbetegedésekben a fogszuvasodás, mely 2,5 milliárd embert érint. Másik csoportjában, a fogágybetegség súlyos formájában 1 milliárd ember szenved. A szakemberek mellett a lakosság, páciens szoros közreműködésére is szükség van. Mind a fogszuvasodás, mind a fogágybetegség rizikótényezőit, a kialakulását megelőző és a már kialakult enyhébb elváltozások kezelését, gyógyítását biztosító eszközök, anyagok mellett az edukáláshoz szükséges háttértudást biztosító előadásom célja, hogy az a mindennapi munkába beilleszthető legyen.
Kérem, mondja el röviden szakmai életútjának és tudományos munkásságának legfontosabb állomásait!
• Fogorvosi diploma 1984 SOTE
• Fogszabályozás szakvizsga 1989
• Általános Orvosi Diploma 1998 Uni Wien
Szakmai tevékenység
• 1984–1989 – klinikai orvos –SOTE Fogszabályozási és Gyerekfogászati Klinika
• 1989–2004 – fogszabályozó szakorvos – Bécsi Területi Egészségbiztosító/Ausztria
• 1998 óta – fogszabályozási magánrendelés – Neulengbach és Sankt Pölten/Ausztria
Továbbképzések
• 1995. Lingual Aesthetic Orthodontics (Los Angeles, USA) -certifikáció
• 2002. Invisalign® – certifikáció
• 2005. Speed System Orthodontics certifikáció
• 2008–2009 – The Six Elements Orthodontic Philosophy –L. & W. Andrews (San Diego, USA)
• 2008, 2015 – Fogszabályozási továbbképzési diploma (Oszták Fogorvosi Kamara)
• 2015 óta – Invisalign® Platinum Elite Provider
Oktatói tevékenység
• 1984–1989 A SOTE Gyermekfogászati és Fogszabályozási Klinikájának klinikai oktatója
• 2013–2022 a Semmelweis Egyetem fogszabályozási akkreditált továbbképzője
• 2016 óta Invisalign® Mentoring Faculty Member és Clinical Speaker
• 2018 óta a Semmelweis Egyetem Gyermekfogászati és Fogszabályozási Klinikájának főorvosa
Szakmai tagságok
• A Magyar Állcsont-ortopédiai és Fogszabályozási Társaság általános alelnöke, az Aligner Divízió elnöke
• A World Federation of Orthodontics (WFO) alapítótagja
• Az American Association of Orthodontists (AAO) nemzetközi tagja
• Az European Orthodontic Society (EOS) rendes tagja
• Az European Aligner Society (EAS) rendes tagja
• Az Osztrák Fogszabályzó Szövetség (VÖK) tagja
• Align Technology – Invisalign® Mentoring Faculty
Tudományos tevékenység
• Előadások bel- és külföldi kongresszusokon
• Tudományos cikkek különböző szakfolyóiratokban
• Továbbképzések az Osztrák Fogorvosi Kamara, az American Orthodontics és az Align Technology felkérésére.
Mikor döntött arról, hogy a fogászat számos szakterülete közül a fogszabályozással szeretne foglalkozni?
Harmadéves koromban, a saját fogszabályozó kezelésem során. Szerelem volt az első látásra, mely azóta is tart…
Kit tekint példaképének szakmájában?
Larry Andrews, Will Andrews – ők hozták be a fogszabályozásba az individualitást, ezáltal nem a „magas tudományt”, hanem a pácienst helyezvén a kezelések középpontjába.
Napjainkban a fogszabályozás rendkívüli népszerűségnek örvend. Ön miként ítéli meg e szakterület jelentőségét?
Az esztétikai elvárások manapság fokozottan esnek a latba, és a szakmánknak ennek meg kell felelnie. Pozitív fejlemény, hogy ezáltal nem csak az esztétikai, hanem a funkcionális problémák is megoldódhatnak, melyek eddig a pácienseknél nem mindig jelentek meg igényként.
A szükséges és lehetséges kezelésekről Ön milyen szempontok alapján dönt?
Az én feladatom szakemberként a páciens teljes körű felvilágosítása, mind a szükségességekről, mind a lehetőségekről. Mérlegelve az előnyöket és hátrányokat, a páciens dönt arról, hogy mit szeretne. Ha ez számomra szakmailag elfogad-
„A nagyon közeli jövő orthodontusa több időt fog eltölteni a képernyő előtt, mint a szék mellett”
ható, akkor vállalom a kezelést. De nem megyek bele olyan kompromisszumokba, amiket szakmai vagy etikai szempontokból nem tudok vállalni. Ekkor azt ajánlom, hogy a páciens kérjen egy második, harmadik véleményt, és ezek alapján döntsön.
A mosolyesztétika napjainkban egyre nagyobb hangsúlyt kap a fogszabályozásban is. Ön szerint az ideális okklúzió elérése – megfelelő esztétikai eredménnyel – „csapatmunkát” kíván?
A fogszabályozás mindig csapatmunka, mert egyaránt figyelembe kell venni a funkcionális (gnatológiai, protetikai), esztétikai (konzerváló fogászati), myofunkcionális és fonetikai (logopédiai), valamint adott esetben a sebészeti (fog-állcsontsebészeti, implantológiai) szempontokat. Ideális esetben ezen diszciplínák képviselői jól kommunikálnak egymással a minden szempontból optimális eredmény érdekében.
A Clear Aligner készülékek az utóbbi pár évben robbantak be igazán, Ön mit gondol, mik a fő előnyei ennek a készüléknek, és kezelésnek a tradicionális készülékekkel szemben?
A „láthatatlan fogszabályzók”-at (alignereket) kezdetben inkább lifestyle eszközöknek tekintették. Jelenlegi technikai fejlettségük mellett a megfelelő(!) rendszerek szinte teljes mértékben átvehetik a tradicionális fogszabályozók szerepét. Az esztétikai előnyök mellett fontos – vagy talán még fontosabb – az aligneres kezelések megbízható tervezhetősége, precizitása, individualitása, a kezelés komfortossága, a szájhigiéne jobb fenntarthatósága.
Mire kell odafigyelni a clear aligner-es kezelések kiválasztásánál?
Elsősorban arra, hogy milyen szakmai és technológiai háttér van az egyes termékek mögött.
Sajnos sok cég főleg marketingeszközökkel és olcsó árakkal próbál teret nyerni, de nem tesz mögé megfelelő technikai hátteret, anyagminőséget és főleg nem követel meg a felhasználótól szakmai tudást vagy továbbképzést. Ezek hiányában pedig a legjobb scanner, 3D nyomtató vagy tervezőszoftver sem fog szakmailag megfelelő kezelést eredményezni.
Hogyan látja Ön a fogszabályozás jövőjét, fogja-e még ennél is jobban befolyásolni a digitális technika térhódítása, milyen változásokat prognosztizál?
Általános paradigmaváltásnak vagyunk tanúi. Ez vonatkozik a páciensek életvitelére és elvárásaira, de ezáltal a szakmánk művelésére is. A digitális technológiák rapid fejlődése egyre gyorsuló tempóban bővíti a lehetőségeinket úgy a diagnosztika, mint a kezelések területén. Az egyes újítások egymást termékenyítik meg, és ezzel új eljárások, lehetőségek tárházát nyitják meg. A legutóbbi „gamechanger” a mesterséges intelligencia, mely mind a diagnosztika, mind a kezeléstervezés és a kezelés-ellenőrzés területén egyre fokozódóbban asszisztálja az orvos munkáját. A nagyon közeli jövő orthodontusa több időt fog eltölteni a képernyő előtt, mint a szék mellett. Ez azonban nem jelenti a szakmai képzettség nélkülözhetőségét, sőt! A magas szintű szakmai tudás mellé ugyancsak magas szintű információtechnológiai ismeretekre lesz szükség és a folyamatosan bővülő lehetőségekkel párhuzamosan a folyamatos továbbképzésre helyeződik majd a hangsúly.
Mosolytervezés, mely élmény páciensei számára.
Már a konzultáció során segít szemléltetni a kezeléssel elérhető eredményeket. Élethű képei páratlan motivációs hatással bírnak. A program elérhető iTero Element™ Plus Series kezelőegységekre.
it starts with
Dr. Róth Ivett, Dr. Borbély Judit, Dr. Joós-Kovács Gellért Levente, Dr. Németh Anna, Dr. Pál Adrienn, Dr. Schmalzl Judit, Dr. Somogyi Kata Sára, Dr. Vecsei Bálint, Dr. Vitai Viktória, Dr. Hermann Péter (Semmelweis Egyetem, Fogpótlástani Klinika)
A CAD/CAM (Computer Aided Design/Computer Aided Manufacturing) technológia alapjaiban változtatta meg a fogorvoslás minden szegmensét, a fogorvosi beavatkozások menetét [1-8].
A digitális innovációk megjelenése a fogászatban új kihívások és célok elé állították a fogorvosokat és a fogtechnikusok is [9, 10].
A gyakorlatban a digitális tervezést, illetve az előállítást (marás vagy 3D nyomtatás) megelőzi a lenyomatvétel, amely történhet digitális úton intraorális szkennerek alkalmazásával [11, 12] (1. ábra).
gó megismerése egy új eszközre való beruházás előtt [5, 12, 16].
Az intraorális szkennerek megjelenésük óta nagy utat jártak be, az elmúlt 10 évben óriási átalakuláson mentek keresztül [12, 13]. Az utóbbi években a fejlődés felgyorsult, számos új intraorális szkenner jelent meg a fogászati piacon. A teljesen új intraorális szkennereken kívül nagyszámú új generációs készülék is bemutatásra került, amelyek alapvetően egy régebbi készülék hardveresen és szoftveresen továbbfejlesztett verziói. A piacon elérhető intraorális szkennerekhez évente (vagy bizonyos esetekben még gyakrabban) szoftverfrissítések is elérhetők, amelyek szintén befolyásolják a készülékek tulajdonságait [14]. A magyar fogorvosok körében is megnőtt az érdeklődés az intraorális szkennerek irányába, ezenfelül az utóbbi években egyre nőtt a megvásárolható intraorális szkennerek száma Magyarországon is [15]. A magyarországi fogászati piacon elérhető intraorális szkennerek – a gyártói információk alapján – csak kismértékben térnek el egymástól. Mindazonáltal a készülékekről releváns szakirodalmi adatok limitáltan állnak rendelkezésre, főként a gyártó cég által megadott adatokra lehet támaszkodni. Az intraorális szkennerek tulajdonságai meghatározzák azok fő indikációs körét és klinikai alkalmazhatóságát, ebből adódóan rendkívül fontos ezek átfo-
A Semmelweis Egyetem Fogpótlástani Klinikáján működő Digitális Fogászati Munkacsoportunk 2011 óta foglalkozik digitális technikák vizsgálatával [2, 17-21]. 2018. június 15.-én indítottuk vizsgálatunkat, amelyben a Magyarországon elérhető intraorális szkennerek öszszehasonlítását végezzük azonos objektív és szubjektív szempontok alapján. Ugyanebben az évben hoztuk létre weboldalunkat, amely eredményeink megjelenítésére szolgál folyamatosan frissülő, így mindig naprakész formában (http://fogpotlastan.szkennerteszt.testingsolutions.hu/index. php?page=kezdolap) (2. ábra). Vizsgálatunkkal mindig aktuális információkkal szeretnénk szolgálni – ezáltal segítséges nyújtani – azoknak a fogorvosoknak, akik intraorális szkenner vásárlása előtt állnak. Standard szempontrendszerünk az intraorális szkennerek legátfogóbb összehasonlítását teszi lehetővé in vitro és in vivo vizsgálatokkal megalapozva. Vizsgálatunkban nem csak a különböző típusú intraorális szkennerek összehasonlítására nyílik mód, hanem ugyanazon szkennerek előző és új generációs verzióinak, illetve az intraorális szkennerekhez elérhető szoftverfrissítések vizsgálatára is. Az intraorális szkennerek értékelése 6 különböző szempont alapján történik: (a) speciális tulajdonságok összefoglalása és leírása, (b) ergonómiai paraméterek (kézidarab tömeg/szkennerfejátmérő), (c) szkennelési idő és folytonosság megszakadás modell szkennelése esetén, (d) szkennelési sebesség klinikai szkennelés során, (e) pontosság, illetve (f) szubjektív vélemények. A szkennerek többlépcsős vizsgálatára két hét áll rendelkezésre a kidolgozott protokoll szerint. Első lépésben egy szöveges leírás készül a vizsgált intraorális szkennerről, amely tartalmazza a gyártó által a közölt adatokat, a leképezési elvet, a lehetséges kiviteli formákat (például cart, pod), a szkennerek gyártási évét és helyét, a felhasználási indikációkat, a szoftvereket és a szkennelési stratégiákat. A készülékek speciális tulajdonságait a könnyebb áttekinthetőség végett táblázatos formában is megjelenítjük (1. táblázat).
A speciális tulajdonságok az adott intraorális szkennerre jellemző sajátosságok, amelyek a klinikai alkalmazást megkönynyíthetik (pl. több különböző méretű szkennerfej, távirányítás, különböző konfigurációk, nyílt vagy zárt rendszerként működik, hardver specifikumok) vagy amely tulajdonságok birtokában az adott készülék többre képes, mint csupán a digitális lenyomat elkészítése (pl. fogszín-meghatározás, caries detektálás, egyéni mozgáspályák detektálása, prepreparációs szkennelési lehetőség, fogsor munkafolyamat). Ezt követi az intraorális szkenner tömegének és fejkerületének lemérése az ergonómiai tulajdonságok értékeléséhez. A modell szkennelések során a szkennelési idő és a folytonosság megszakadás regisztrációja történik. A
Hardver specifikumok színes érintőképernyő távirányító
nem élethű: 0,5 élethű: 1
nem: 0 igen:1
nem: 0 igen: 1
Konfiguráció egy elérhető konfiguráció: 0
Exportálható fájltípusok/ Digitális munkafolyamat
Nyílt vs. zárt rendszer
több választható konfiguráció: 1
saját felhőalapú platform: +1
zárt: 0
nyílt: 1
Szék melletti rendszer saját szék melletti (chairside) rendszer: +1
Felhasználhatóság
Implantológia: 1
Fogszabályozás: 1
Fogszín-meghatározás: 1
Csonkszín-meghatározás: 1
Egyéni mozgáspályák detektálása: 1
Prepreparációs szkennelési lehetőség: 1
Emergencia profil szkennelés: 1
Csap szkennelés: 1
Lenyomat szkennelés: 1
Fogsor munkafolyamat: 1
Speciális tulajdonságok:
Több különböző méretű szkennerfej: 1
Smile design: 1
Caries detektálás: 1
Egyéb speciális tulajdonság, annak megnevezésével: 1
Egyéb speciális tulajdonság, annak megnevezésével: 1
Egyéb speciális tulajdonság, annak megnevezésével: 1
évenként megújítandó licensz: 0
Támogatás
megvásárlással korlátlan támogatás: 1
szerviz
nincs szakszerviz: 0
külföldi/online szakszerviz: 0,5 hazai szakszerviz: 1
szkennelések során használt PMMA minta: a vizsgálatban résztvevő fogorvostan-hallgatók minden esetben ugyanazt a referencia modellt szkennelték, fejenként 10 alkalommal.
előfordult, hogy külföldi oktatót kaptunk vagy fogorvos/fogtechnikus kolléga jött hozzánk, akik az adott szkenner használatában jártasak voltak. Az oktatást vizsgálatunk fontos részének tartjuk, hiszen ez információt szolgáltat a hazai forgalmazó cég háttértámogatásáról, amely a gyakorlati alkalmazás szempontjából rendkívül lényeges kérdés, hiszen így megtudhatjuk, melyik cég milyen mértékben képes a felhasználó segítségére lenni a később felmerülő kérdésekben. Vizsgálatunk standardizálása végett a szkenneléseket minden esetben fogorvostan-hallgatók – fogorvosi felügyelet mellett – végezték (4. ábra)
Infrastruktúra
forgalmazó által szervezett oktatási lehetőség
nem megoldott: 0
külföldi/online: 0,5 hazai: 1
Az intraorális szkennerek speciális tulajdonságait összefoglaló táblázat, illetve az indikációs kört meghatározó tulajdonságokra kapható pontszámok értékei. Az összefoglaló táblázatban összesen 26 tulajdonságot sorolunk fel.
folytonosság megszakadás azt jelenti, hogy egy adott intraorális szkenner a digitális lenyomatvétel során hányszor veszíti el a képet. A vizsgálat ezen részéhez egy polimetil-metakrilát (PMMA) referenciamintát szkennelünk (3. ábra), illetve a pontosság vizsgálatához is ezeket az STL fájlokat használjuk fel. A PMMA modellről egy ipari szkenner (stereoSCAN neo; AICON 3D Systems GmbH, Braunschweig, Németország) segítségével referencia adathalmazt hozunk létre és ehhez hasonlítjuk a vizsgálat során létrehozott fájlokat. A pontosság mérése munkacsoportunk által előzetesen leírt protokoll szerint zajlott [20]. A klinikai szkennelések során a szkennelési idő kerül feljegyzésre teljes állcsont és kvadráns digitális lenyomatvétel esetében. Eredményeinket kiegészítjük szubjektív véleményünkkel, amelyet egy 10 kérdésből álló kérdőív kitöltésével mérünk fel. Az ár–érték arány ismerete végett – a gyártási éveket figyelembe véve – a szkennerek árát is megjelenítjük a weblapon. Fontos kiemelni, hogy a készülékek klinikánkra történő kiszállítási napján a hazai forgalmazóktól oktatást kaphattunk a szkenner használatáról és a szoftverek funkcióiról. Az oktatást eltérő módon oldották meg a forgalmazók: legtöbb esetben a hazai forgalmazó cég képviselői tartották, de
4. ábra: Vizsgálatunkban a mérések fogorvostan-hallgatók bevonásával történtek méréseink standardizálása végett. A hallgatók a digitális lenyomatvételben tapasztalatlanok voltak, de az előzetes oktatáson részt vettek.
A könnyebb összehasonlíthatóság érdekében egy pontrendszert dolgoztunk ki, ahol a szkennerek maximum 30 pontot kaphatnak: 10-10 pontot ér az összefoglaló táblázat és a pontosság, 5-5 pontot az ergonómiai paraméterek és a modell szkennelések időigénye és folytonosság megszakadása. A szubjektív véleményekre, illetve a klinikai szkennelésekre nem kaptak pontszámot a szkennerek, de ezen eredményeket is megjelenítjük weblapunkon, hogy az érdeklődők minél átfogóbb képet kaphassanak a vizsgált készülékekről. Munkacsoportunk a szkennerek értékelésére vonatkozó vizsgálatát nem zárta le, jelenleg is zajlik a Magyarországon elérhető intraorális szkennerek vizsgálata: egységes szempontrendszerünk alapján értékeljük az újonnan megjelenő intraorális szkennereket, illetve a magyarországi fogászati piacon már régóta elérhető készülékek új generációs verzióit, valamint szoftverfrissítéseit is.
A körülbelül 5 éve tartó vizsgálatban eddig 24 intraorális szkennert értékeltünk, 14 gyártótól, 13 magyarországi forgalmazó felajánlásában. Ezek a következők (zárójelben a gyártási hely és év, illetve félkövérrel kiemelve a szoftververzió, amennyiben egy adott készülék esetében több verziót is teszteltünk): Plan-
3. ábra: A modell 1. táblázat:meca Emerald® (SW: 5.1.0) (Helsinki, Finland, 2017), Planmeca Emerald (SW: 6.0.1) (Helsinki, Finland, 2017), Planmeca Emerald (SW: 5.3.3) (Helsinki, Finland, 2017), Planmeca Emerald S® (Helsinki, Finland 2019), GC AADVA® (Leuven, Belgium, 2017), Straumann DWIO® (Basel, Switzerland, 2015), Carestream Dental CS3600® (Atlanta, GA, U.S., 2016), Carestream Dental CS3700® (Atlanta, GA, U.S., 2019), Dentsply-Sirona CEREC Primescan® (York, PA, U.S., 2019), 3Shape Trios3® (Coppenhagen, Denmark, 2015), 3Shape Trios3® wired Pod (Coppenhagen, Denmark, 2015), 3Shape Trios wireless 4 Pod (SW: 20.1.0) (Coppenhagen, Denmark, 2019), Shape Trios 4 wireless Move (SW: 19.2.2) (Copenhagen, Denmark 2019), iTero Element 2® (Amsterdam, Netherlands, 2018), Medit i500 DiOS 4.0® (SW: 2.0.3) (Seoul, South-Korea, 2018), Medit i500 DIOS 4.0 (SW: 2.3.6) (Seoul, South-Korea, 2018), Medit i700 ® (Seoul, South-Korea, 2021), 3DISC Heron (Herndon, United States, 2018), Carestream Dental CS3800® (Atlanta, GA, U.S., 2021), New Life Radiology s.r.l. DIGISMILE (Grugliasco, Italy, 2021), Eighteeth Helios 600 (Changzhou, China, 2021), Straumann Virtuo Vivo (Montréal, Canada, 2019), Ivoclar VivaScan (Schaan, Liechtenstein, 2022), Shining aeroscanner 3 (Hangzhou, China, 2021). (5. ábra) A vizsgálat időpontjában az értékelt intraorális szkennerek a forgalmazó cégek bemutató darabjai voltak, a hazai piacon éppen elérhető legújabb verziók a legfrissebb szoftverrel, amelyeket elsőként mi használhattunk [22].
gyakorlati alkalmazásának értékelésére is alkalmas paraméter: befolyásolja a páciensek komfortérzetét és a szkennelést végző személy munkájának komplikáltságát. Az intraorális szkenner kézidarab tömegének szempontjából megállapíthatjuk, hogy az intraorális szkennerek hardveres fejlesztései tömegnövekedést eredményeztek (pl. CEREC Primescan esetében a kézidarabba épített mikroszámítógép, amely a gyorsabb szkennelést segíti, illetve a Trios intraorális szkennerek esetében a konfiguráció változása) [24]. Az intraorális szkenner fejméret tekintetében egyértelmű következtetés nem vonható le: a kisebb fej alkalmazása kényelmesebb a páciens számára, a nagyobb fejátmérő pedig szakirodalmi adatok alapján pontosabb digitális lenyomatot eredményez [25]. Összességében megállapíthatjuk, hogy eredményeink alapján a folytonosság megszakadás és a szkennelési sebesség szempontjából jelentős különbségek nem mutatkoztak a vizsgált szkennerek között. Az öt leggyorsabb intraorális szkenner időeredménye között nem volt klinikailag érzékelhető különbség (csupán pár másodperces eltéréssel dolgoztak).
Az általunk felállított szempontrendszer objektív paraméterei meghatározzák az intraorális szkennerek fő indikációs körét, ezzel iránymutatást adva a klinikusoknak a legmegfelelőbb intraorális szkenner kiválasztásában. Eredményeinket teljes egészében jelen cikkben nem közöljük, hiszen – ahogy eddig sem – ezután sem célunk sorrendet felállítani a vizsgált intraorális szkennerek között. Részletes eredményeinket weboldalunkon közöljük, azonban az érdeklődőknek mindig azt ajánljuk, hogy azokat öszszességében vizsgálják (esetleg a számukra legfontosabb paramétereket kiemelve).
Az összefoglaló táblázatban az új generációs intraorális szkennerek minden esetben több pontot értek el, mint ugyanazon készülék előző verziója: az intraorális szkennerek hardveres és szoftveres átdolgozása lehetővé tette plusztulajdonságok beépítését. Ilyen tulajdonság többek között a caries detektálás, speciális mozgáspályák rögzítése vagy a fogsor munkafolyamat. A pontosság tekintetében elmondhatjuk, hogy vizsgálataink alapján az újabb generációs intraorális szkennerek megjelenésével és szoftverfrissítésekkel a készülékek pontossága javul [23]. Az ergonómiai tulajdonságok vizsgálata az intraorális szkennerek
A közelmúltban megjelent intraorális szkennerek minden vizsgált paraméter esetében jobb eredményeket produkáltak a régebben megjelent készülékek tulajdonságaihoz képest. Az összefoglaló táblázatban elért pontszámaik magasabbak voltak, átlagosan kevesebb folytonosság megszakadással dolgoztak, pontosabbak és a sebességük is gyorsabb volt. Ez a gyakorlatban azt jelenti, hogy a fiatalabb, új generációs intraorális szkennerek közötti sebességdifferencia klinikailag már nem észrevehető (tehát sem a fogorvos, sem a páciens a gyakorlatban nem érzékeli azt a sebességeltérést, amivel a különböző intraorális szkennerek dolgoznak). Az új generációs intraorális szkennerek megjelenésével a szkennelési időben, folytonosság megszakadásban, pontosságban és az ergonómiai paraméterekben tapasztalható különbségek egyre jobban eltűnnek. Eredményeink alátámasztják azt a megállapítást, miszerint jelenleg a fogászati piacon fellelhető intraorális szkennerek közül több is megfelel a kívánalmaknak a gyakorlati paraméterek tekintetében. A felhasználók aszerint fognak dönteni egyik vagy másik készülék mellett, hogy milyen felhasználási területre szánják, fontosabb szempont lesz az, hogy az adott intraorális szkenner milyen indikációs körre ajánlott. Vizsgálatunkban a készülékek tulajdonságait összefoglaló táblázat az, amely az intraorális szkennerek indikációs köréről a legtöbb információt adja, így a szkennerválasztás során ezek a speciális sajátosságok lesznek hangsúlyosabbak. Az intraorális szkennerek kiválasztásának szempontjai átalakulnak, a felhasználók a számukra legmegfelelőbb, az adott indikációs körhöz legjobban passzoló készülék mellett fognak dönteni.
Extraordinary sustained force
Remarkably comfortable
Fantastic tooth adaptation
Amazingly flexible
Truly, a leap ahead.*
Outstanding tear resistance
Exceptional stain resistance
Optimized clarity
You asked for comfortable, durable, multi-layer aligners that feature sustained force, great clarity, and excellent tooth adaptation. Our answer: ClearQuartz™. We’re proud to present it to you, and we believe you’ll be proud to treat your patients with it.
Mit jelent ma a digitális fogászat? Ha egy rendelőben szkennerrel vesznek digitális lenyomatot, ha egy laboratóriumban CAD/CAM technológiával „cirkon” vázat marnak, digitális fogászatról beszélünk, pedig a digitális fogászat ennél sokkal komplexebb szemléletváltást jelent a fogászatban. A digitális munkafolyamatok, a CAD/CAM technológia, a marás, nyomtatás és a korszerű CAD/CAM anyagok olyan lehetőségeket nyújtanak, amelyek teljesen átalakítják a fogpótlástanban hagyományosan alkalmazott eljárásainkat és az új anyagokkal, új útvonalakon, új megoldásokban kell gondolkodnunk, ugyanakkor új kihívásokkal nézünk szembe nap mint nap. A kézzel készített restaurátumok magas színvonala és kiemelkedő esztétikája csak néhányak számára elérhető, míg a korszerű digitális technológia megismételhető, állandó és kiszámítható eredményeket ígér mindenki számára. Az előadás középpontjában az áll, hogyan tudjuk a legjobban kihasználni a digitális technológia kínálta lehetőségeket, a korszerű anyagokat, a mosolytervezés, a digitális wax-up, a motivációs és funkcionális mock-upok és az intraorális szkennelés lépéseit, valamint a copy-paste dentistry megbízhatóságát a mindennapos gyakorlatban.
10.25-11.10 Dr. Felkai Tamás: Digitalizálás az orthodonciában és az aligner technika – az elmúlt 25 év rövid története – áldás vagy átok?
A még viszonylag fiatal XXI. században már egy paradigmaváltás ment végbe a fogszabályozásban. Sok minden változott meg… a diagnosztikai lehetőségektől kezdve a kezelések tervezhetőségén át a CAD/CAM gyártásig és a kezelések távoli monitorozásáig. Ezek új távlatokat nyitottak meg a terápiákban az orvosoknak, és jobban megfelelnek a mai követelményeknek a páciensek számára is. Ez a digitalizálás hozta áldás.. A változásokra természetesen reagált az ipar is. Sőt, részben generálta azokat ! Létrejött a lehetőségeknek egy olyan tárháza, melyben már nehéz eldönteni, hogy mi a hasznos, és mi az öncélú. Ez a digitalizálás átka... Ezért mindkét félnek – az iparnak és az orvosoknak is – kötelessége, hogy kiszűrje az egyre szaporodó lehetőségek közül azokat, melyek valóban hasznosak a páciensek és az orvosok számára. Az előadásom célja ezeknek a lehetőségeknek-az áldásoknak és az átkoknak- a rövid ismertetése.
Annak érdekében, hogy mind az esztétikai, mind a funkcionális célokat elérjük, precíz tervezésre van szükség a fogorvosi és fogtechnikai csapat tagjai között. Ebben jelent komoly segítséget és szakmai előnyt az egyre bővülő digitális technológiák ismerete és alkalmazása. Az előadás során esetek segítségével kerülnek bemutatásra a rendelőnkben alkalmazott munkafolyamatok, amelyek során az esztétikai rehabilitációkat végezzük.
12.15-13.00
A technológia alapvető információkkal és innovatív ötletekkel alakítja a jövőt. A fogszabályozás területe, a hardver, a szoftver és az ember együttesen, gyorsan változik, valószínűleg gyorsabban, mint történelme során bármikor. Ha úgy gondolja, hogy az ember a legértékesebb érték a vállalkozásában, akkor kommunikálnia, terveznie és következetesnek kell lennie. Az előadás középpontjában a modern digitális munkafolyamatok állnak majd, Clear Alignerekkel és interdiszciplináris megközelítésekkel, valamint a jobb higiéniát, a kezelés következő szintű nyomon követését és a fokozott kiszámíthatóságot célzó intelligens szkennelési technológia alkalmazásával.
14.00-15.30 Dr. Filipa de Almeida:
Ezen az előadáson a résztvevők megismerhetik a Spark Clear Aligner rendszer jelenlegi állását, megismerhetik a rendszer fejlődését az idők folyamán, valamint a jelenlegi funkciókat és eszközöket a maloklúziók teljes spektrumának kezelésére. Emellett az AI és a kommunikáció fontossága a Spark kezelések tervezésében és nyomon követésében is a középpontban lesz, egyértelmű tippekkel és trükkökkel az esetek általános kiszámíthatóságának növelése érdekében. A Spark eszközeinek és funkcióinak felhasználásával számos maloklúzió kezelésére szolgáló fogszabályozási protokollok megemlítése is az előadás kulcsfontosságú részét képezi, hogy a fogszabályozó orvosok zökkenőmentesen, klinikai preferenciáiknak megfelelően tervezhessék meg eseteiket.
Digitális háromdimenziós technológiák fejlődésével az egészségügy egyre több területén van lehetőség sebészeti beavatkozások pontos virtuális tervezésére. Háromdimenziós anatómiai modellek és különböző sebészeti sablonok egyre népszerűbbek különböző parodontális és szájsebészeti beavatkozások tervezésében és kivitelezésében. Pontos 3D tervezés és egyedileg gyártott intraoperatív segédeszközök alkalmazása a bonyolultabb sebészeti beavatkozások kimenetelét is kiszámíthatóbbá teszik. Szájsebészeti és parodontális sebészeti beavatkozások virtuális tervezéséhez szükséges a megfelelő részletességű „virtuális páciens” modell előállítása, melyet CBCT felvételek 3D rekonstrukciójával és intraorális szkennek térbeli illesztésével érhetünk el. Ezáltal valósághű módon képezhetőek le a keményszövetek, a lágyszövetek és ezek egymáshoz való viszonya is. Az előadás célja, hogy bemutassa a „virtuális páciens” modellek és a virtuális tervezés előnyeit különböző parodontális sebészeti, gerincprezervációs, gerincaugmentációs és implantációs sebészeti beavatkozások során.
16.15-17.00 Dr. Mikolicz Ákos:
Chairside CAD/CAM restaurátumok a mindennapi gyakorlatban
A modern szék melletti (chairside) CAD/CAM rendszerek lehetővé teszik, hogy pácienseink számára akár egy ülésben készíthessünk magas minőségű esztétikus restaurátumokat, legyen az betét, korona vagy kisebb hidak. Ennek számos előnye van, pl. hogy a restaurátum akár 1,5 órán belül elkészülhet a preparációtól kezdve a digitális lenyomatvételen, tervezésen, maráson át a ragasztásig. Az előadás bemutatja a minden gyakorló fogorvos számára egyszerűen elsajátítható szék melletti CAD/CAM rendszerek használatát, és mindennapi gyakorlati tippeket ad azok minél hatékonyabb alkalmazásához.
1 témakörű kongresszus: 50 000 Ft
(esztétika, implantológia, endodontia, orthodontia)
Teljes ár: 100 000 Ft
All access: 75 000 Ft
(mind a négy témakörű kongresszusra belépést biztosít)
Teljes ár: 150 000 Ft
*A kedvezmény 2023. március 31-ig érvényes.
• Hatványozottan növekszik az elégedetlen páciensek és a praxisokat érintő támadások száma!
• Hogyan kezdődnek és hogyan végződnek ezek, mit kell tennie ahhoz, hogy meg tudja védeni saját magát és alkalmazottait?
• Ismerje meg, hogy pontosan milyen kötelmeket jelent az Egészségügyi Törvény, milyen módon kellene tájékoztatni a pácienseket és milyen adminisztrációt kell végeznie a szabályos működéshez.
• Legyen átfogó képe az automatizált dokumentum menedzsmentről, elektronikus dokumentum kezelésről és elektronikus aláírásról!
Előadnak:
Részvételi díj: 19 900 Ft (március 1-től 25 000 Ft)
Jelentkezés: upgradecongress.hu
How to achieve a correct cervical profile generation around single implants with simultaneous lateral bone augmentation in one surgical step
Participants will learn how to perform the one Step Optimisation process on artificial models with the help of a cortical membrane (Soft Lamina - Osteobiol) and the VPI Cervico System for Cervical Profile generation around MIS V3 implants. All protocol steps will be demonstrated for single edentulous sites and performed by the participants. Je one step optimisation surgery on an artificial model will be demonstrated, by the author of the poncho lamina technique, on an upper incisor compromised socket site.
A workshop angol nyelven lesz, tolmács nélkül!
Előadó: Dr. Alexander Tzovairis
Dátum és időpont: 2023. 03. 25., 14:00-16:30
Helyszín: Hungexpo, C pavilon, galéria, G terem
Ár: early-bird: EUR 250/fő március 1-ig, utána: EUR 300/fő
Jelentkezés: www.front-dent.hu, tarsoly.csenge@frontdent.hu
Dr. Daniel C. Neves „The future is now: clear aligners as a reality in your practice!”
Hogyan kezdj azonnal dolgozni a ClearCorrect alignerekkel, a Straumann Group piacvezető prémium aligner rendszerével?
A jövő már ma elérhető: a clear alignerek helye és szerepe a praxisban. Kezd el már holnap az első esetedet! ClearCorrect workshop Dr. Daniel Neves-el az azonnali induláshoz. Vegyél részt a kurzuson, ahol a Világ vezető ClearCorrect specialistájától sajátíthatod el többek között az alábbi ismereteket:
• Hogyan bővítsd ki a rendelőt egy olyan szolgáltatással, amelyet a páciensek már jelenleg is aktívan keresnek.
• Hogyan válaszd ki a megfelelő kezdő esetet.
• Lepésről – lépésre megmutatjuk hogyan kezd el a kezelést.
• Hogyan legyél magabiztos a prémium minőségű ClearCorrect aligner rendszer használatában.
Légy részese te is a digitális fogszabályozásnak, az induló tudást most megadjuk a kurzusunkon, és regisztrálj a Dr. Portal-ra nálunk a helyszínen!
*A kedvezmény a regisztrációt követő első, április 30-ig feltöltött, megtervezett és megrendelt esetre vonatkozik (több eset is feltölthető.)
(Tervezés: 3-5 munkanap / terv változtatása: 2-3 munkanap / gyártás: 10 munkanapon belül történik.)
*A kurzus ára: 29.900 Ft Oklevelet adunk a kurzus elvégzéséről. Időpont: 2023. 03. 25., 14:45-17.00-ig 1. emeleten
Friss Tamás (a téma szakértője) Dr. Gáspár Lajos (igazságügyi szakértő) Kluka Attila (praxis menedzser, kommunikációs szakértő) Dr. Alexander Tzovairis Dr. Daniel C. Neves▶ Egyfázisútechnika
▶ Azonnaliterhelésesprotokoll
▶ Egyedülállóprimerstabilitás
▶ Azegyetlentökéletesimplantátum-felépítmény „kapcsolat”–nincsmikromozgás
▶ Polírozottfelszín–nincstöbbéperiimplantitis
▶ Csontpótlásmentes,apáciensszámáraisigazán egyszerű,gyors, költséghatékonyimplantológia*
*Aköltséghatékonyság aztfejeziki,hogyazonoshatásosság(eredményesség)milyenköltséggel (ráfordítással)érhetőel.Aleginkábbköltséghatékonyazazeljárás,technológia,amelyikalegkisebb ráfordítássalalegnagyobberedménytériel.Azaz egészségügyitechnológia tekinthető költséghatékonynak,amelyazakárszűkösenrendelkezésreállóerőforrásokbólalehetőlegtöbb egészség-nyereséget termeli,illetveaztalegkisebberőforrásfelhasználássalállítjaaztelő. Azegészségügyifogalomtáralapján.
A 10 éves Alpha Implant Kft. a hagyományos munkafolyamatok mellett a digitális workflow minden lépésére megoldást kínál. A digitális technika fejlődése a fogászati piacon is egyre nagyobb teret hódít. Ebben nyújt
segítséget a 6 lépésből álló Alpha Digital Workflow, amely az intraorál scanneléstől a kész fogmű behelyezéséig terjed. Ne zárja magát keretek közé, lépjen az Alpha Implant Kft.-vel a Digitális Szabadság Világába!