A.I.O.L.A.
A.T.A.S.I.O.

V Congresso Nazionale Roma 3-4 febbraio 2023
p. 2
p. 3
p. 11
p. 26
V Congresso Nazionale Roma 3-4 febbraio 2023
p. 2
p. 3
p. 11
p. 26
Ormai dagli anni 60 dello scorso secolo, che si parla di laser - Maiman e il laser a rubino - e delle terapie mediche per le quali puo’ essere utilizzata questa tecnologia.
Anni prima intorno al 1916 Albert Einstein affrontava questo concetto con un suo articolo sulla fisica quantistica, dalla quale parte la ricerca sul Laser.
Non ritengo di dovermi soffermare in questa sede su cosa è successo da allora ad oggi: desidero invece parlare del laser e delle sue peculiarità nella pratica quotidiana, in medicina e in modo specifico in Odontostomatologia.
Nelle nostre Facoltà di Odontoiaitria poca attenzione viene riservata a questo Dispositivo terapeutico: vengono esclusivamente fornite indicazioni sul fatto che variando la lunghezza d’onda del dispositivo possono essere trattate patologie differenti.
Noi di AIOLA, in collaborazione con altre Associazioni del comparto, supportati dalle Aziende di questo specifico settore merceologico, abbiamo approntato da molti anni alcuni Corsi di perfezionamento, prima con l’Università di Firenze e poi con quella di Siena, (17
anni di corsi), fino ad arrivare ora al Master di secondo Livello in collaborazione con Unicamillus e con l’Istituto Stomatologico Toscano.
Abbiamo pensato di creare una occasione particolare per i colleghi che desiderassero avvicinarsi a questa tecnologia per la prima volta e predisporre per i colleghi che già la conoscono e la utilizzano, di poter apprendere nozioni specifiche in medicina estetica ed in maniera più ampia nella chirurgia.
Le diverse lunghezze d’onda ci permettono di affrontare ogni tipo di patologia del cavo orale, dalla conservativa, all’endodonzia, alla protesi e chirurgia, semplificando molto le nostre manovre, permettendoci di accorciare i tempi delle sedute e diminuendo in maniera importante sia il dolore che gli effetti collaterali delle terapie, con una notevole diminuzione dell’uso di farmaci, siano essi anestesiologici che curativi.
Non di poco conto il fattore economico, maggiori risparmi, sia in consumi che nei tempi: una lezione specificai permetterà di valutare e conoscere i vantaggi in tal senso della laserterapia.
Le nuove tecnologie permettono a noi, medici della bocca, di poter intervenire al meglio, esempio in patologia orale per l’escissione di neoformazioni, di tele -
angectasie, per intervenire con la biostimolazione e o la terapia fotodinamica in quelle occasioni specifiche per ottenere la miglior restitutio ad integrum in tempi più brevi del normale e con la rigenerazione di tessuto migliore.
Per non parlare delle biotecnologie collegate al laser, il miscrolaser a più fonti, come è detto per l’utilizzo del Tao Patch, con un corso specifico abilitante al suo uso, passando per una rigenerazione dei tessuti pe -
www.aiola.org
riorali del terzo inferiore del viso, e non solo, dando una lucentezza ed una rivitalizzazione sino ad ora mai ottenute.
Ed ancora lo sbiancamento dentale, sia per combattere discromie acquisite e non, o solo per dare lucentezza ad un sorriso dopo una riabilitazione protesica?
Ed infine poi la terapia parodontale non chirurgica con il trattamento delle parodontopatie, o dei dolori dell’articolazione temporo mandibolare.
Noi dell’Accademia di odontostomatologia laser assistita, con i nostri relatori e con gli altri amici che fanno parte del comparto odontolaser siamo in 45 docenti pronti a dare il meglio ai nostri discenti. Molti di questi hanno iniziato con i Corsi Aiola dal 2001 ed oggi e sono riconosciuti tra i migliori relatori al mondo.
Abbiamo unito tutte le potenzialità sia universitarie che professionali per divulgare la filosofia laser certi che questo sia il modo giusto di affrontare la divulgazione scientificamente provata della laser terapia. Già sul territorio si tengono serate e corsi giornalieri per avviare alla laser terapia i colleghi, questo Master è la prova che vi è voglia e necessità di apprendere e conoscere in modo corretto tale filosofia.
A Camaiore, presso l’Ospedale della Versilia, per tutto l’anno 2023 ci potremo incontrare e condividere quanto abbiamo descritto sia con prove pratiche su preparati che direttamente su pazienti. Mi pregio di rap -
presentare aiola quale suo presidente e Direttore del Master e con l’amico prof Ugo Covani, referente di Unicamillus e Istituto Stomatologico Toscano e tanti tanti amici che credono in questo corso, possiamo affermare di essere una garanzia grazie alla grande esperienza sino ad oggi acquisita.
Ringrazio sentitamente le aziende che lo supportano, Rident, DMT, EmmeCquattro e 8853; senza la ricerca e le aziende non avremmo avanzamenti scientifici, in nessuna delle branche della medicina…
Buon vento aspettandovi al Lido di Camaiore
Infomedix Odontoiatria 1/2023 bimestrale • anno III • numero 11 gennaio-febbraio 2023
Direttore Responsabile Silvia Borriello - silvia.borriello@infomedix.it
Coordinatore Editoriale Alberto Faini - a.faini@infomedix.it Redazione Nadia Coletta - nadia@infomedix.it Claudia Proietti Ragonesi - pressoffice@infomedix.it
Infodent Srl
Sede Operativa: Via dell'Industria, 65 01100 Viterbo redazione@infomedix.it 0761.352133
Sede Legale: C.ne Gianicolense, 68 00152 Roma P. IVA / C.F. 01612570562
Amministratore: Baldassare Pipitone
Responsabile Scientifico Gianna Maria Nardi Luca Maria Pipitone Roberta Grassi Chiara Faini
Questo numero è stato chiuso il: 28/12/2022
Grafica Silvia Cruciani - articoli@infomedix.it Antonio Maggini - artwork@infomedix.it
Progetto Grafico Studio Frasi
Ufficio Stampa Claudia Proietti Ragonesi pressoffice@infomedix.it
Marketing e pubblicità Riccardo Bonati riccardo.bonati@infomedix.it Ilaria Ceccariglia ilaria.ceccariglia@infomedix.it Alessandra Brunetti alessandra.brunetti@infomedix.it
Organizzazione Eventi Cristina Garbuglia eventi@infomedix.it Stampa Graffietti Stampati Snc Strada Umbro Casentinese Km 4.500 01027 Montefiascone (VT)
Spedizione Poste Italiane S.p.A – Spedizione in Abbonamento Postale - AUT. CENTRO/01673/05.2021 PERIODICO ROC Contiene I.P.
Registrazione al Tribunale di Viterbo n° 679/2021 del 08/05/2021
Costo copia euro 0.77
DIREZIONE E REDAZIONE
Via dell’Industria 65 01100 Viterbo - Italy VAT 01612570562
Per informazioni, richieste e invio materiale da pubblicare contattaci: redazione@infomedix.it T. +39 0761 352133
www.infomedixodontoiatria.it
Azienda certificata dal 26/11/2004, per la realizzazione ed erogazione di sistemi di comunicazione di marketing multicanale secondo la norma ISO 9001:2015. Certificato n. CERT-15119-2004-AQ-ROM-SINCERT
autori, che ne rispondono interamente.
Buongiorno Presidente, grazie per questo incontro. La SIDO è una Associazione ben strutturata che ogni anno programma due importanti eventi sempre di successo. Ciononostante è sempre difficile rimanere costantemente vicino ai propri iscritti durante tutto l’anno. Quali i programmi in questa direzione per il 2023?
Da ormai qualche anno SIDO è costantemente presente nella proposta culturale finalizzata a proporre tematiche ortodontiche a scadenza mensile attraverso la formula degli STUDY CLUB. Questa proposta, che
prevede incontri regionali mensili coordinati dai colleghi esperti, è orientata principalmente alla discussione di tematiche cliniche e alla valutazione dei piani di trattamento. Favorire la crescita e la formazione dei colleghi più giovani e dare loro la possibilità di un costante confronto con i colleghi più esperti deve continuare a rappresentare un momento complementare ma certamente importante della proposta di aggiornamento in ambito SIDO.
Parliamo di aggiornamento.
Cosa ci dobbiamo aspettare dallo Spring Meeting e dal
Per prima cosa ricordo le date dei due eventi previsti nel 2023:
1 - Spring Meeting SIDO –17/18 Marzo 2023 - Rome Cavalieri Watford Hotel
2 - 54° Congresso Internazionale SIDO - 12-13-14 Ottobre 2023 - Convention Center la Nuvola
Il Congresso “Ortho around children”, che si terrà a Roma il 17 e 18 marzo 2023 presso la elegante sede del Cavalieri Watford Hotel.
È stato interamente strutturato intorno al sorriso dei bambini e a come controllare lo sviluppo corretto della dentizione a partire dalla
giovane età.
L’individuazione e la correzione precoce dei problemi odontoiatrici consente di prevenire ed intercettare complicazioni più difficilmente risolvibili in età più matura, pianificando terapie in armonia con lo sviluppo fisico dei giovani pazienti. Il percorso congressuale dà un significato alle malocclusioni e malformazioni dento-facciali a partire dallo studio eziologico, valutandone l’origine genetica o ambientale. Nei due giorni di lavori scientifici sono previste 4 sessioni che di articoleranno in una sessione plenaria e 10 sessioni parallele secondo il seguente schema:
1° Sessione
GENETICA, CRESCITA E
SVILUPPO
2° Sessione
FUNZIONE e DISFUNZIONE
3° Sessione
DIAGNOSI, TRATTAMENTO ED ETICA
4° Sessione
Il meeting vedrà la partecipazione di importanti relatori nazionali ed internazionali sull’argomento ed interesserà tutti gli aspetti della moderna ortodonzia pediatrica con il supporto delle società italiane di pediatria e quella di odontoiatria pediatrica.
Per quanto riguarda invece il Convention Center la Nuvola dopo una richiesta di informazioni, confermata la opzione per le data prescelta per le date 12-13-14 Ottobre. Il programma scientifico avrà come tema centrale quello della efficienza in Ortodonzia con una grande partecipazione di esperti di grandissimo spessore clinico e ricalcherà il tradizionale
format dei precedenti Congressi Internazionali di autunno ovvero con l’adesione delle principali Società Ortodontiche.
Inoltre avremo la concomitanza nella medesima sede dell’11° Congresso Internazionale WIOC (World Implant Orthodontic Conference) presieduto dal Dr. Giuliano Maino, nella qualità di Presidente WIOA 2023.
L'ortodonzia Italiana sta subendo l'intervento delle multinazionali che tendono a fornire dispositivi direttamente ai pazienti.
Indubbiamente negli 5 anni si è registrata una sempre maggiore aggressione da parte di aziende multinazionali, che con modalità diverse, hanno cercato di raggiungere direttamente i pazienti con necessità ortodontiche. Il fenomeno è assolutamente da contrastare ed I sindacati di categoria hanno già da tempo inoltrato forti proteste presso le competenti autorità Ordinistiche e Ministeriali. Si trat-
ta ovviamente di un quadro di estrema complessità nel quale oltre alle aziende stesse troviamo coinvolti anche colleghi (probabilmente anche soci stessi delle nostre società scientifiche) che collaborano in maniera asso -
lutamente legittima con la aziende stesse. La nostra è una Società scientifica che ha come obiettivo principale quello di favorire la formazione e la crescita culturale dei propri associati ma anche la missione di tutelare l’imma-
gine del movimento ortodontico nazionale. In questo senso siamo costantemente in contatto con le organizzazioni sindacali e ordinistiche al fine di porre in essere ogni azione necessaria per la tutela della nostra disciplina.
Un volto noto ed autorevole al vertice, continuità nelle politiche sindacali e culturali, profondo rinnovamento nelle dinamiche associative: sono i tratti che accompagnano l’elezione, avvenuta a Riva del Garda ieri, del nuovo Direttivo Nazionale di Associazione Italiana Odontoiatri.
Nuovo presidente per il triennio 2023-2025 è Gerhard Seeberger che nel 2019-21 ha assunto la guida prestigiosa della FDI, la Federazione Dentaria Internazionale. Succede a Fausto Fiorile che è stato Presidente Nazionale per due mandati tra il 2017 ed il 2022.
Nel nuovo Esecutivo Seeberger sarà affiancato innanzi tutto da due conferme: il Segretario sindacale Danilo Savini, ed il segretario culturale Vincenzo Musella. Vice Presidente Nazionale e Tesoriera saranno due volti nuovi: il giovane David Rizzo e la friulana Maria Giovanna Cotugno.
Dice il Presidente uscente Fausto Fiorile: «L’elezione della nuova squadra rappresenta un forte segnale di continuità con il lavoro svolto negli ultimi sei anni da Esecutivo e Consiglio di Presidenza Nazionali, lavoro che, sono orgoglioso di poter affermare, è stato ampiamente riconosciuto nel
corso dell’Assemblea di fine mandato da parte di tutti i Delegati presenti. Accanto ai giovani dirigenti eletti che costituiranno un elemento di forte innovazione nel Governo dell’Associazione, si è ritenuto di voler affidare la guida di AIO ad una figura di grande esperienza e carisma. Ora si tratta di continuare a lavorare per la crescita e per la valorizzare i giovani colleghi, protagonisti del futuro della professione nello spirito dei Valori di AIO: Responsabilità, Eccellenza, Innovazione, Spirito di squadra e Sostenibilità».
Afferma il neo-presidente Gerhard Seeberger: «Rappresenterò tutta l’Associazione, la presidenza è una responsabilità grande che sento di potermi prendere per due motivi: intanto, lavorerò con una squadra importante ed entusiasta; inoltre, per la seconda volta nella mia vita nel mio paese d’adozione, sento una fiducia generalizzata nel
mio operare che mi agevolerà nell’adoperarmi, con senso del dovere, spirito di servizio, la volontà di non lasciare indietro nessuno.
Vorrei inoltre che nel mio mandato mantenessimo l’obiettivo di ringiovanire la leadership associativa. Molto è stato fatto. In sostanza, ho ereditato dal predecessore una macchina da corsa, e rispetto all’AIO che ereditai nel 2005 ci sono similitudini – uno sguardo al futuro, il coraggio di voler costruire un pensiero critico con l’apporto di tutti –e in più c’è un programma culturale strutturato, di grande qualità, con obiettivi. Il mio compito sarà di fare proposte politiche coraggiose, in linea con le premesse che mi sono state date e all’altezza del futuro che l’Odontoiatria italiana intende darsi».
www.aio.it
AIO è un sindacato odontoiatrico italiano con 8000 soci nelle 106 province e rappresentanze nei principali tavoli istituzionali inerenti.
Rappresenta tutti i settori dell’Odontoiatria, pubblico e privato.
È provider accreditato dal Ministero della Salute per la formazione continua ECM e dall’American Dental Association per l’erogazione di crediti ADA Cerp.
Responsabilità, eccellenza, innovazione, spirito di squadra, sostenibilità: sono i cinque valori che animano l’associazione, riportati nella Carta dei Valori, work in progress partito nel 2013 che si trasformerà in Codice etico dei soci.
“Il
In the city of Mendrisio, a few kilometers from Chiasso and opposite FoxTown (the factory store paradise of luxury and elegance) it is located the Be Filler ACADEMY, a structure dedicated to organizing theoretical-practical training days in the field of intradermal fillers. Be Filler ACADEMY relies on tutors specialized in the most modern medical-aesthetic techniques.
The training days can be attended in person at the Be Filler ACADEMY in Mendrisio (theoretical session with subsequent practical part), or followed remotely via Webinar (theoretical session and only viewing of the practical part).
L’approccio clinico di prevenzione è la soluzione per assicurare percorsi di salute del cavo orale e di salute sistemica e il team odontoiatrico ha la responsabilità di personalizzare le scelte terapeutiche per rispondere ai bisogni clinici ed extra clinici della persona assistita.
Particolare attenzione merita la gestione della salute del cavo orale dei pazienti special needs, pazienti che necessitano di trattamenti ed assistenza specialistica in quanto affetti da disabilità di diversa gravità e natura.
Il percorso terapeutico di prevenzione deve considerare il quadro clinico presente e il grado di collaborazione differenziata per pazienti collaboranti e non collaboranti.
Nel caso di pazienti con difficoltà oggettive alla corretta gestione degli stili di vita, prima fra tutti l’igiene orale domiciliare, sarà necessario condividere la responsabilità dell’efficacia con i caregiver.
Lo scopo del lavoro è quello di esplorare le nuove applicazioni nel campo della Bio-Robotica per il miglioramento delle condizioni sistemiche di un paziente implanto-protesico affetto da Sclerodattilia.
Il paziente con una storia generale multifattoriale di sclerodermia sistemica, malattia di Von Willerbrand, fenomeno di Raynold ed esofago di Barrett; sviluppato sclerodattilia degli arti superiori da 6 anni.
tiva con la tecnica One stage Full-Mouth Disinfection, la paziente viene preparata e successivamente sottoposta a riabilitazione implanto-protesica di entrambe le arcate. La sua specifica condizione di sclerodattilia agli arti terminali superiori le impedisce una corretta igiene orale domiciliare e la impegna mensilmente a sedute di deplaquing e rilevazione dell'indice parodontale.
Per evitare di chiedere aiuto a caregiver o familiari per superare i deficit funzionali dalle diverse condizione sistemiche che l’hanno portata allo stato attuale, decidiamo di intraprendere un percorso di collaborazione con varie aziende del settore e di mettere a punto svariati ausili che possano aiutare nel concreto nella gestione domiciliare del mantenimento del cavo orale.
Persone affette da sclerodermia sistemica oppure Tetraplegia, Emiplegia, Sclerosi Multipla o da quelle disabilità che comportano la perdita dell’utilizzo delle mani, ad oggi, nello svolgere le diverse attività della vita quotidiana, necessitano dell’assistenza intensiva di diverse figure quali terapisti, familiari e/o caregivers.
Il sistema restituisce l’autonomia funzionale e dell’indipendenza in una molteplicità di gesti quotidiani come ad esempio spazzolare i denti, bere, mangiare, etc. Tutto ciò è possibile grazie a degli adat-
in me tutte le sue frustrazioni. Come qualsiasi altro professionista mi sono a preso a cuore e in carico la paziente, essendo molto attivo professionalmente e socialmente
correlazione con l'ambiente circostante, costringendo a fare affidamento solo sulla vista durante l'utilizzo delle stesse. Utilizzando mani Biorobotiche invece, grazie agli elettrodi im-
Localmente è affetta da edentulie multiple e da una Parodontite di Stadio IV Grado C con mobilità diffusa ai denti residui e difficoltà nelle pratiche di igiene orale quotidiana. Attraverso un percorso di terapia parodontale proat-
tatori magnetici con l’espletamento di diverse funzioni.
Ma tutto questo non basta. La paziente lamenta dei disagi quotidiani non sono nella gestione del cavo orale ma nel resto della vita, scaricando
nell’ambito dell’odontoiatria speciale grazie a S.I.O.H. (Società Italiana di odontoiatria per l’Handicap), ho deciso di buttare nero su bianco un’i-
piantati nei nervi, il paziente potrà recuperare le sensazioni tattili perdute attraverso sensori che guidano la stimolazione del nervo. Il ripristino, sep-
dea che mi che avrebbe stravolto il mondo della disabilità e dell’odontoiatria. Lo scopo del progetto è di migliorare a tutti i costi la qualità della vita della paziente, rendendo degli ausili robotici permanenti, stabilizzati con una tecnica di implantologia osteointegrata.
Il primo passaggio è stato quello di creare un comitato scientifico che monitori e valuti l’avanzamento della sperimentazione; il secondo passaggio, grazie all’aiuto di ingegneri bio-robotici è stato quello di segnare gli algoritmi per i movimenti della protesi in modo da renderla più fruibile nel più breve tempo possibile.
In genere le normali protesi di mano hanno un feedback sensoriale limitato, infatti non forniscono percezioni tattili in
pur parziale, delle percezioni più fini consentirà l'utilizzo di coadiuvanti per l'igiene orale quotidiana, favorendo il riequilibrio dell'ecosistema orale e di conseguenza migliorandone la salute sistemica.
Lo scopo del lavoro è presentare delle nuove tecnologie e applicazioni degli ausili robotici in ambito odontoiatrico collaborando con la figura dell’igienista dentale, che promuove la salute orale ed intercetta i bisogni clinici ed extra clinici per migliorare la qualità di vita di tutta la popolazione.
Essere sensibili ad una maggiore preparazione per dedicarsi ai pazienti con bisogni speciali deve essere percepito come un valore aggiunto della professione e non un limite.
- Le idee migliori non vengono dalla ragione, ma da una lucida, visionaria follia -
Erasmo da Rotterdam
Questa sperimentazione è stata premiata tra i finalisti nella competizione “IADH Research Competition” al congresso Interanzionale IADH (Interantion Association for Disability & Orale Health) tenuto a Parigi nell’agosto 2022.
Un caloroso ringraziamento al presidente SIOH, al consiglio direttivo, tutti i collaboratori che contribuiscono e contribuiranno alla scienza ed innovazione, ma grazie soprattutto alla persona/paziente che con la sua intelligenza e capacità emotiva è riuscita a tirar fuori questa immensa idea che ha creato un nuovo panorama di lavoro multidisciplinare e riconoscimenti mondiali.
Intensa ed interessante la proposta culturale S.I.O.H.
Il programma è work in progress. Sul sito www.sioh.it tutti gli aggiornamenti.
Sesta Giornata Nazionale dell’Odontoiatria Speciale S.I.O.H. 1 febbraio 2023 Milano, 3-4 febbraio 2023
3 Febbraio Venerdì - Scuola Ortodontica Università di Milano in Collaborazione SIOH
4 Febbraio Sabato - 7° Convention SIOH Aula Policlinico Milano Trieste, 25 marzo 2023 Convegno Regionale S.I.O.H. FVG - Referenti Franco Radovich, Laura Godina e Milena Cadenaro Torino, 1 aprile 2023 4° Convegno regionale S.I.O.H. Piemonte - Referenti Simone Buttiglieri, Franco Goia e Paolo Appendino Assemblea Generale S.I.O.H. Entro fine Aprile ON LINE Minori (Sa), 15 aprile 2023 Convegno regionale S.I.O.H. Campania - Referenti: Marzia Petrocelli e Paola Salerno Catania, 20-22 aprile 2023 Collegio dei Docenti Universitari di discipline Odontostomatologiche - Referenti Roberto Russo e Fausto Assandri Pescara, 13 maggio 2023 Convegno Regionale S.I.O.H. Abruzzo - Referenti Giuliano Ascani e Dino Scarsella Rimini, 18-19-20 maggio 2023 Stand S.I.O.H. e Expodental Meeting S.I.O.H. - Referente Marco Magi e Fausto Assandri Ancona, 10 giugno 2023 Convegno Regionale Marche- Referenti Daniele Gianfelici e Alessandra Nori Bari, 14-16 settembre 2023 Congresso Internazionale Università di Bari - Francesco Inchingolo Vicenza, 28 ottobre 2023 Convegno Regionale Veneto - Referenti: Oscar Pagnacco e Elena Pozzani Roma, 4 novembre 2023 Convegno Regionale Lazio - Referenti: Francesco Occipite di Prisco e Angela Galeotti
Napoli, 28-30 settembre 2023 XXII Congresso Nazionale S.I.O.H.
Referenti Paola Salerno e Umberto Esposito www.sioh.it
In occasione dell'ultima cerimonia di conferimento di Titoli post-laurea del Royal College of Surgeons in Irlanda a Dublino, il 5 dicembre 2022, la Facoltà di Odontoiatria del RCSI
ha avuto il grande piacere di conferire la Fellowship of the Faculty of Dentistry FFDRCSI (ad Eundem) al Professor Corrado Paganelli, Presidente della International Federation
of Dental Educators and Association, Preside della Dental School di Brescia, Ex Presidente del Consiglio europewo dei Chief Dental Officers ed Ex Presidente dell'Association of Dental Education in Europe (ADEE).
In qualità di membro a pieno titolo e attivo di ADEE, la Facoltà di Odontoiatria RCSI è lieta di continuare a lavorare a stretto contatto con i colleghi europei per promuovere l'educazione dentale con l'obiettivo di migliorare lo standard di cura del paziente in Europa e oltre.
La Facoltà di Odontoiatria del Royal College of Surgeons in Irlanda (RCSI) è stata fondata nel 1963 con la missione principale di far progredire la scienza, l'arte e la pratica dell'odontoiatria attraverso la promozione dell'istruzione, dello studio e della ricerca.
La Facoltà fornisce istruzione, accreditamento dei programmi e garan-
zia della qualità attraverso l'esame di professionisti dentali post-laurea in Irlanda, Regno Unito e a livello internazionale.
Con oltre 3.000 borsisti, membri, diplomati e affiliati a livello globale, il ruolo internazionale della Facoltà è ampio e comprende, in particolare, il Medio Oriente e la regione del Golfo, il Nord America, il Sudan e la Svezia.
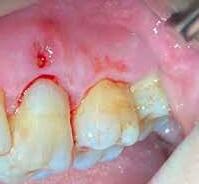
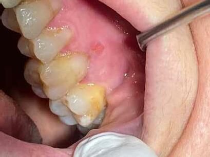
Alla nostra attenzione si presenta paziente donna, di 55 anni.
L'esame obiettivo evidenzia presenza di retrazione, fissurazione e fenestrazione gengivale sulla radice del 2.6.
Viene eseguita levigatura radicolare e terapia fotocromatica senza colorante (H2O2) con laser Nano Yag (DMT), fibra 300 micron, potenza 0,1 W, potenza di picco 25 KW, ampiezza impulso 3ns, time on 25 ms, time off 71 ms, applicazione per 1 minuto.
Infine un'applicazione con LLLT (Oralia Rident), applicatore medio, potenza 50 mW, frequenza 5800, durata 120 sec.
Controllo a 15 giorni.
È in fase di completamento l'organizzazione di un evento Dental Community che da oltre 10 anni coinvolge le associazioni di categoria di odontoiatri e specialisti, igienisti, odontotecnici, assistenti di studio odontoiatrico, e pazienti di Brescia, Bergamo Cremona e Mantova, oltre all'Università degli Studi di Brescia.
Quest'anno in considerazione del fatto che Brescia è nominata "Capitale della Cultura", abbiamo contattato il Consiglio comunale affinchè l’evento venga incluso nel calendario delle manifestazioni. Il tema della corretta nutrizione è di interesse generale e mi vede fortemente coinvolto in qualità di Presiden-
te internazionale del Nutrition Group della International Association for Dental Research. Abbiamo in programma la inaugurazione dell'evento in aula magna di Ingegneria alle 14 di venerdì 5 maggio, una conferenza dello psichiatra Mario Lombardi sui disturbi alimentari e dalle 16:30 alle 18:30 una tavola rotonda con lo scrittore Marco Archetti, Lombardi e Cuccia (come medici a integrazione dei dentisti) moderati da Massimo Tedeschi.
Inviterò Francesco Castelli per la inaugurazione e il Prof. Carlo Alberto Romano Prorettore all'impegno sociale per il territorio, per avvicinare l'accademia e il mondo del team odontoiatrico alla popolazione.
Presso l’Università degli Studi di Roma Sapienza, per l’anno accademico 20222023, è attivo il Master Universitario di II livello “Estetica in Ortognatodonzia Clinica”, diretto dalla Prof.ssa Ersilia Barbato.
Il Master prevede un percorso formativo atto a fornire indicazioni sull’approccio diagnostico e clinico-terapeutico nel trattamento di alterazioni del distretto dento-maxillo-facciale, promuovendo l’apprendimento di procedure e tecnologie standard ed avanzate finalizzate a perseguire un’adeguata integrazione tra funzione ed estetica.
I partecipanti acquisiranno conoscenze e competenze nella gestione dei casi clinici ortognatodontici semplici e complessi anche in un’ottica multidisciplinare, integrando le esigenze funzionali alla crescente richiesta estetica sia nel paziente in crescita che nel paziente adulto.
Tra i relatori oltre ai Docenti Sapienza (Proff. Ersilia Barbato, Valentino Valentini, Umberto Romeo, Michele Cassetta, Andrea Pilloni, Roberto Di Giorgio, Gabriella Galluccio, Andrea Cassoni, Gaetano Ierardo, Maria Teresa Fadda) anche massimi esperti del mondo accademico e della professione quali Turi Bassarelli, Vincen-
zo D’Antò, Daniela Garbo, Aldo Giancotti, Luca Lombardo, Cesare Luzi, Giuliano Maino, Davide Mirabella, Letizia Perillo
Il primo incontro si svolgerà dal 23 al 25 febbraio 2023 in concomitanza con il festeggiamento “3.0 + 3… ANNI della Scuola di Specializzazione in Ortognatodonzia” della Sapienza, in occasione del quale porteranno il loro contributo speakers nazionali e internazionali. I Proff. Stella Chauschu, Lorenzo Franchi, James Hartsfield, Giorgio Iodice, Rosy Leonardi, Gualtiero Mandelli, Paolo Manzo, Ute Schneider Moser, Jean-Marc Retrouvey approfondireanno tre tematiche di significativo impatto per la professione, quali, la Genetica, l’Intelligenza Artificiale e il Finishing.
Tutte le informazioni sono reperibili presso il sito dedicato (https://www.uniroma1. it/it/offerta-formativa/master/2023/estetica-ortognatodonzia-clinica) e facilmente accessibili tramite il qr code.
Un update imperdibile tra ricerca e clinica!
Hai tempo fino al 16 gennaio 2023 per iscriverti!
Dipingere mi rilassa. Così come realizzare corone in pochi click grazie a ChairsideCAD. Dr. Fariba Zolfaghari Dentista e pittrice paesaggista
ChairsideCAD mi permette di restituire un bellissimo sorriso ai miei pazienti in un’unica seduta. Il software aperto si integra perfettamente con l’hardware utilizzato nella mia clinica. exocad.com/chairsidecad
La Be Filler Academy è una struttura dedicata all’organizzazione di giornate formative teorico-pratiche sui filler intradermici.
Le giornate, riservate alla classe medica, sono condotte da tutor specializzati nelle più moderne tecniche della medicina estetica e si compongono di una parte teorica, ove vengono messi a fuoco non solo gli aspetti tecnici ma anche quelli di relazione e di comunicazione nei confronti del paziente, e di una parte pratica ove si eseguono passo a passo gli interventi su modelle volontarie.
Naturalmente vengono utilizzati i prodotti della linea Be Filler, ovvero filler riassorbibili a base di acido ialuronico reticolato con caratteristiche innovative per combinare efficacia, durata e sicurezza in tutti gli interventi per il trattamento delle imperfezioni facciali.
Saranno illustrati anche quei prodotti ad uso domiciliare come Be Filler Beauty Drink, che è in grado di prolungare l’effetto anti-age e rafforzare la fidelizzazione del paziente.
La Be Filler Academy si trova in Svizzera nella città di Mendrisio, a pochi chilometri da Chiasso e dal Lago di Lugano e a due passi dal FoxTown (il factory store paradiso del lusso e dellʼeleganza)
Le giornate formative possono essere frequentate in presenza presso la Be Filler ACADEMY di Mendrisio (sessione teorica con successiva partecipazione diretta alla parte pratica), oppure seguite da
remoto tramite Webinar (sessione teorica e sola visione della parte pratica).
Per maggiori informazioni visita il sito www.befiller. com e trova le date disponibili dei prossimi eventi della Academy su www.Befiller.com/professional/academy
Perché un dentista deve saper modellare come un odontotecnico? Quale tecnica può aiutarlo a conoscere e far uscire dalle sue mani una anatomia bellissima e funzionale?
Membro del comitato scientifico di numerose riviste di settore dal 1984 tiene corsi, convegni e ha pubblicato numerosi articoli in Italia e all’estero.
Coautore del libro “Precision in Prosthetic Restauration” Resh Editor 1vv993, insieme a Romeo Pascetta e Dr. Domenico Massironi.
Ha ideato il nuovo sistema per modellare la forma naturale e funzionale dei denti, basato su concetti matematico-geometrici denominato A.F.G. (Anatomic Functional Geometry) pubblicato in 13 lingue sui libri AFG modelling e AFG memo editi dalla Teamworkmedia s.r.l..
Nel 2019 è stato premiato, con cerimonia dedicata, dall’ufficio di presidenza del Senato della Repubblica Italiana, presidente On. Sen. Maria Elisabetta Alberti Casellati, per aver reso AFG una “Eccellenza Italiana nel Mondo”.
La risposta è semplice AFG: anatomic functional geometry. Come è possibile fare una affermazione così perentoria? Presto detto! In 30 anni AFG ha ricevuto riconoscimenti internazionali inequivocabili, essendo stata pubblicata in 13 lingue. È anche la prima tecnica dentale ad aver ricevuto un riconoscimento dello Stato Italiano che l'ha premiata come “Eccellenza Italiana nel mondo” con cerimonia ufficiale dedicata presso la sala Isma del Senato l'11 luglio 2019. Analizziamo ora bene il perché è la più adatta ai dentisti e la più vicina al criterio di anatomia umana normale che riscontriamo nei testi di medicina!
AFG a differenza di tutte le tecniche d'oltreoceano e del nord Europa non inventa forme per farle corrispondere a strumenti da vendere in campo “gnatologico”. AFG è solo un sistema di osservazione della forma naturale e la trasforma in semplici codici numerici e geometrici. Cosa vuol dire questo? Vuol dire che la scienza non inventa ma scopre! Tutto esiste già! Dobbiamo solo sapere come è fatto e come
funziona! 30 anni di misurazione di denti su bocche naturali ci ha consentito di scoprire le medie umane fino ad un margine di errore massimo di 0,5 millimetri. A che servono questi codici vi chiederete? A guidare le mani e gli strumenti in mano al dentista e all'odontotecnico verso una forma bella, naturale e funzionale. I grandi artisti avevano sempre un progetto alla base delle loro opere! Un progetto matematico geometrico che riduce gli errori e i rifacimenti! Questi ultimi sono la piaga dell'economia moderna di uno studio e un laboratorio che vogliono definirsi efficienti. Il “sottofondo invisibile” della forma diceva Kandinsky è l'unico modo per capirla e riprodurla fedelmente. È la base cerebrale che guida il gesto più raffinato, togliendolo dal vincolo dell'estro individuale per portarlo nelle mani di chiunque!
Trasformare i denti in semplici numeri e semplici geometrie rende comprensibile la forma che altrimenti appare molto complessa. Si scoprono così anche straordinarie ripetizioni tipiche della natura umana che non si riscontrano nelle precedenti tecniche, troppo basate su dati delle ATM che embriologicamente parlando non hanno nulla a che fare con le articolazioni. La forma del dente è geneticamente
programmata, solo la sua posizione ha rapporti con le ossa e gli altri tessuti circostanti.
La genetica è matematica pura!
Un piccolo errore e tutto salta! Allo stesso modo i denti sono programmati per incastrarsi e muoversi con un codice numerico definito che solo AFG ha ben individuato! Creste solchi ecc. hanno andamenti che hanno direzioni e significati precisi, ma non è solo questo! Anche le angolazioni dei versanti e le superfici vestibolari e palatali hanno un significato funzionale forte se si ragiona secondo le dinamiche del bolo alimentare piuttosto che delle solite a volte assurde determinanti dell'ATM. I denti delle precedenti tecniche prendevano sempre spunto da queste ultime e sformavano le forme naturali per farle corrispondere a teorie e strumenti matematicamente approssimativi con un “condimento” di “migliaia” di punti di contatto.
Ragionando come nella sartoria AFG guida le mani o il mouse indifferentemente verso la bellezza e la funzionalità della natura. I denti funzionano prevalentemente quando non si toccano ed è qui che la forma gioca il suo ruolo decisivo per la sopravvivenza individuale dell'individuo. Modellare in cera è fondamentale per il me-
dico quanto per l'odontotecnico, la coordinazione cervello mani la si acquisisce in modo raffinato attraverso l'applicazione meticolosa di gocce di cera che con il procedimento AFG diventano facili anche per il dentista che non lo ha mai fatto. Si prendono “due piccioni con fava”: raffinatezza del gesto che è poi trasportabile sul bisturi come sulla turbina e memorizzazione dell'anatomia umana naturale.
Diventa poi tutto facile il trasporto sui materiali estetici, composito ceramica ecc., come è semplice l'applicazione nel digitale. Ma non finisce qui, AFG ti consente di ragionare come un archeologo e con i suoi codici si può risalire alle dimensioni dei denti perduti con margine di errore di pochi decimi di millimetro. L'autorevolezza professionale che sfocia da questa conoscenza toglie da molte situazioni di imbarazzo il professionista e riduce drasticamente i rifacimenti. In prima visita poi sarà più semplice far accettare preventivi più alti anche per una semplice otturazione che non sarà più tale ma diventerà un restauro a tutti gli effetti.
Per informazioni: www.albertobattistelli.it albertobattistelli@gmail.com
In marzo 2023 si riparte – a Colonia il settore dentale si incontra all'International Dental Show, la fiera dentale più grande mondo. Con uno stand di nuova concezione, anche questa volta Amann Girrbach è presente come espositore e fa sperimentare dal vivo ai visitatori il mondo dell'odontoiatria digitale, con
prodotti innovativi ed idee entusiasmanti.
L'IDS, fiera leader mondiale del settore dentale, si tiene dal 14 al 18 marzo 2023 a Colonia. Anche questa volta Amann Girrbach partecipa come espositore e si presenta con un'immagine completamente nuova: nel nuovo stand, padiglione 01.2, i visitatori apprendono come i
La nuova dimensione dell’odontoiatria unificata tra il laboratorio e la pratica.
Sede dell’azienda: Amann Girrbach AG, Herrschaftswiesen 1, 6842 Koblach/Austria, Tel. +43 5523 623 33-0, austria@amanngirrbach.com Ulteriori informazioni: https://ids.amanngirrbach.com/it-IT
In un (work)flow dentale perfetto tutto è intrecciato in modo smart, semplice e senza soluzione di continuità. I prodotti e i servizi in un sistema sicuro e aperto che assicura eccellenza. Le persone nelle loro mansioni per una perfetta pratica dentale quotidiana a favore del benessere del paziente. La nostra mission è creare collegamenti per fare in modo che tutto ciò sia possibile. Insieme a voi per una migliore salute orale. Imparate a conoscerci e diventate parte della nostra rete di collegamenti. Discover the (Work-)Flow: ids.amanngirrbach.com
Gli scienziati hanno passato gli ultimi decenni a valutare il futuro della IA nel campo medico.
Come può essere utilizzata l’IA come tecnologia di base per trasformare veramente l’esperienza medica di ogni persona?
Di recente, il Weiyun AI & Robotics Group ha di nuovo lasciato il segno nell’industria dentale lanciando sul mercato il AI SMILE Smart Tracking Case, messo a punto dallo stesso gruppo, che mira a cambiare la comunicazione tra dentista e paziente. In pratica, questa custodia innovativa migliora la disciplina del paziente e l’effi-
cienza delle terapie, e quindi apre le porte ad altre nuove possibilità per l’uso dell’IA nel campo medico in tutto il mondo.
La prima custodia AI SMILE Smart
Tracking Case del mondo è frutto della ricerca portata avanti dal team scientifico di Weiyun, dal quale è stata anche realizzata. Essendo il primo hardware intelligente su tutta il mercato realizzato appositamente per chi è sottoposto a ortodonzia invisibile, la custodia comprende le funzioni di monitoraggio della terapia, promemoria per indossare l’ap-
ulteriori informazioni - https://aismile.sg
Dicono che siamo ciò che mangiamo.
Da igienista dentale, Travis D. Tramel sa il perché. Nel corso della sua carriera, Tramel ha avuto molte occasioni di osservare gli effetti pericolosi di una dieta carente sulla condizione dentale. In più, durante il suo lavoro come Consigliere pastorale, ha anche visto come la salute fisica si riflette sulla salute
mentale. In un tentativo di sensibilizzare il pubblico sulla relazione tra mente e corpo, Tramel ha pubblicato un nuovo libro per bambini sull’importanza di mantenere una dieta salutare.
“Voglio aiutare i bambini a capire l’importanza di una dieta salutare, denti sani e una mente sgombra dalle preoccupazioni”, dice Tramel. “Sono tutti collegati”.
Informazioni: https://www.dentistrytoday.com/dental-hygienist-debuts-new-childrens-book-on-the-effects-of-an-unhealthy-diet/
parecchio ortodontico, registrazione del ciclo di cura, localizzazione e sincronizzazione dei dati.
Questo dispositivo intelligente è progettato per connettersi all’IA SMILE APP che permette ai pazienti di monitorare i progressi fatti nella loro terapia ortodontica comunicando il momento giusto di indossare gli allineatori. Per questo motivo migliora la disciplina del paziente nel seguire la terapia, il processo di guarigione provvedendo ai bisogni ortodontici giornalieri del paziente.
I ricercatori della Tongji University a Shanghai hanno scoperto il modo di trasformare gli impianti dentali in apparecchi acustici. Nel loro studio pubblicato dalla rivista scientifica dell’Acoustical Society of America, gli autori hanno detto che il segreto sta nella componente elettronica che percepisce la vibrazione del suono incorporata nella parte dell’impianto dentale ancorata all’osso
dentale- apparecchio acustico si nasconde meglio, è più comodo e offre una migliore qualità del suono rispetto agli apparecchi acustici tradizionali, affermano sempre i ricercatori. Secondo il team, questa nuova scoperta può finalmente portare alla progettazione di alternative più discrete ai soliti apparecchi acustici e impianti cocleari per le persone che soffrono di perdita dell’udito. https://dentalresourceasia.com/dental-implants-hearing-aids/
della mandibola. Una migliore trasmissione del suono I ricercatori ritengono che gli impianti dentali trasmettano in maniera più efficace il suono all’osso mastoideo dietro l’orecchio, rispetto a progetti precedenti di apparecchi acustici legati ai denti che sono in generale fissati ai molari per poter ricevere i suoni senza fili da un microfono posizionato dietro l’orecchio. L’impianto
L’intelligenza artificiale (IA) e la medicina di precisione hanno l’enorme potenziale di avanzare la ricerca sulle condizioni orali, dentali e craniofacciali; non solo, ma possono anche condurre la ricerca sulla prevenzione e cura delle malattie del cavo orale, e affrontare le disparità nelle condizioni di salute nel trattamento della salute orale e l’accessibilità ad essa.
Attingendo alle conoscenze e competenze multidisciplinari all’interno dell’Università di Harvard e in collaborazione con ricercatori, scolari e investitori da tutto il mondo, vengono invitati ricercatori e leader d’industria nel campo dell’IA per una conferenza di due giorni ospitata dalla Facoltà di Scienze e Ingegneria all’Allston campus dell’Università di Harvard.
https://hsdm.harvard.edu/event/global-symposium-artificial-intelligence-dentistry
Una delle principali cause del disturbo del sonno negli adulti anziani è la sindrome da apnee ostruttive del sonno, nota come OSAS dall’inglese “obstructive sleep apnea syndrome”, un disturbo caratterizzato da pause ricorrenti durante la respirazione dovute alla chiusura completa e parziale delle vie respiratorie mentre si dorme.
Il risultato sono sonno agitato e privazione dell’ossigeno, che studi precedenti hanno dimostrato essere associati con un rischio maggiore di sviluppare la condizione nota come demenza senile. Pertanto, è fondamentale stabilire con certezza come le terapie per le apnee notturne possano prevenire lo sviluppo della demenza. Questo studio clinico multisito e randomizzato-controllato punta a provare la possibilità di
realizzare interventi mirati a trattare l’apnea notturna nei partecipanti con disturbi della memoria individuali e determinare la rilevanza di questi interventi sul peggioramento della memoria. I partecipanti saranno assegnati a random per due anni al gruppo di controllo o al groppo sottoposto all’intervento.
I soggetti che fanno parte del gruppo di intervento seguiranno delle terapie per l’OSAS elaborate sulla base di dati ottenuti da un algoritmo e che incorporano principi chiave per il raggiungimento degli obiettivi e per il controllo della qualità del sonno. I risultati dello screening dei partecipanti del gruppo di controllo saranno inviati ai loro medici, insieme a delle raccomandazioni per delle visite future.
L'apnea ostruttiva del sonno è una condizione medica caratterizzata da interruzioni nella respirazione durante il sonno dovute all'ostruzione – totale o parziale – delle vie aeree superiori. È nota anche come OSAS (Obstructive Sleep Apnea Syndrome), ovvero "sindrome delle apnee ostruttive nel sonno".
La demenza senile è la degenerazione progressiva del Sistema Nervoso Centrale, che si manifesta da un punto di vista clinico con una serie di disturbi cognitivi, della memoria e della capacità di pensiero, tra i quali citiamo: una ridotta capacità di memoria a breve e lungo termine.
https://www.australianclinicaltrials.gov.au/
Il direttivo dell’Accademia
A.T.A.S.I.O. è alle prese con il 5° Congresso Nazionale “Evoluzione dell’approccio clinico e tecnologico di prevenzione nell’età evolutiva, adulta e geriatrica” che vedrà l’alternarsi di relatori e ricercatori di chiara fama nel campo della prevenzione, della terapia, delle tecnologie e della ricerca.
L’obiettivo del congresso sarà quello di dare supporto pratico, attraverso le tecnologie avanzate, ai professionisti igienisti dentali e odontoiatri che si interfacciano quotidianamente con le problematiche e le esigenze relative alle varie fasce d’età, sulla base delle recenti evidenze scientifiche. Per il 2023 sono previsti diversi interessanti eventi formativi proposti dall’Accademia. Mentre il congresso nazionale ri-
mane gratuito per chi si iscrive all’Accademia per tutte le categorie di soci, gli eventi ed i corsi avranno quote agevolate per gli stessi. Atasio offre diverse occasioni di aggiornamento scientifico e confronto nei diversi ambiti in materia di prevenzione primaria, secondaria e terziaria delle patologie del cavo orale, oltre a rappresentare un importante laboratorio di ricerca e di idee dove igienisti dentali ed odontoiatri soci ordinari, possono trovare accolte e realizzate le proprie idee ed il proprio impegno. Pubblicazioni scientifiche sono state prodotte dagli ATASIO LAB che vedono la collaborazione di colleghi ad approfondimenti e scambio di esperienze cliniche. Il direttivo dell’Accademia A.T.A.S.I.O. ringrazia tutti i fellows ed i coordinato-
ri degli ATASIO LAB per il lavoro svolto con competenza e passione. Un ringraziamento a tutti i brand dell'ORAL CARE che hanno supportato l'attività dell'Accademia.
Tutti, odontoiatri ed igienisti dentali potranno iscriversi all’Accademia come soci sostenitori.
Chi ha frequentato il master in Tecnologie Avanzate nelle Scienze di Igiene Orale, il Corso di Alta Formazione Health Sciences and Oral Hygiene.The Lifestyle Medicine”, Il Master Specialistico di Primo Livello “Gestione Del Paziente Special Needs”, presso l’Università Sapienza di Roma potrà iscriversi come socio ordinario, con la quota unica che da diritto alla partecipazione gratuita degli eventi.
Chi ha frequentato Master e/o CAF non dovrà così rinnovare l’i-
scrizione negli anni successivi, ma dovrà avere una partecipazione attiva alle progettualità.
Per gli studenti è prevista una quota speciale agevolata e potranno iscriversi come young fellow.
Per iscrizioni all’Accademia consultare il sito www.atasio.it e per informazioni contattare la segreteria: segreterianazionale@atasio.it. Si può inoltre consultare la pagina Facebook ed Instagram A.T.A.S.I.O. dove periodicamente è disponibile materiale informativo sui corsi e congressi oltre ad aggiornamenti interessanti in materia di tecnologie avanzate in igiene orale.
È frequente visualizzare durante i follow-up lesioni attive sullo smalto che spesso vengono sottovalutate per rivolgere l’attenzione a situazioni cliniche che erroneamente vengono considerate più urgenti. Inesorabilmente la lesione si aggrava. La salute dello smalto si assicura con una gestione attenta dell’intercettazione precoce delle lesioni e dopo diagnosi certa, sarà opportuno indicare all’igienista dentale il piano terapeutico di remineralizzazione, utilizzando nuove molecole che assicurino il ripristino dell’idrossiapatite dello smalto compromesso. Indispensabile è la presa in carico
interdisciplinare del paziente odontoiatra-igienista dentale e l’approccio motivazionale che l’igienista dentale potrà dedicare al paziente sui corretti stili di vita di igiene orale domiciliare e corretti stili di vita alimentari, ed follow-up personalizzati in base ai bisogni del paziente. Per noi odontoiatri diventa fondamentale avvalersi di queste competenze specifiche sui piani terapeutici di prevenzione per offrire al paziente un vero progetto di salute del cavo orale e sistemica, ed è una modalità certa per fidelizzare il paziente allo studio. Nel caso di lesione attiva ICDAS 2 l’utilizzo di nuovi
protocolli minimamente invasivi di riabilitazione dello smalto sono possibili con utilizzo di nuove molecole come i peptidi (vVardis) che permettono di rigenerare la lesione sullo smalto e risultano essere graditi dai pazienti poiché sostituiscono le riabilitazioni più invasive con l’utilizzo delle procedure consuete conservative.
In ambiente acido, peptidi intelligenti (P11-4) si auto assemblano e formano una matrice.
La stessa attacca gli ioni calcio e fosfato che vengono depositati dalla saliva e rigenerano l’idrossiapatite dall’interno della lesione dello smalto. L’efficacia di questo approccio clinico di rigenerazione guidata dello smalto è comprovata da diverse evidenze scientifiche ed è stato dimostrato che tra l'86% e il 100% dei casi clinici inattiva e permette la regressione delle lesioni cariose iniziali, permettendo la rigenerazione dello smalto nella lesione fino in profondità.
Clinicamente risulta essere ergonomico nei costi della prestazione e nel timing dell’esecuzione, con venti secondi di mordenza-
tura e di 5 minuti di apposizione del peptide (Curodont REPAIR) sulla lesione. Curodont REPAIR ( vVARDIS ) è il primo sistema biomimetico per il trattamento delle lesioni cariose iniziali mediante la rigenerazione dello smalto. Questa procedura clinica è la soluzione per i pazienti fobici che hanno terrore delle terapie odontoiatriche, in odontoiatria pediatrica, per evitare ai bambini esperienze di terapie invasive convenzionali di conservativa con il vantaggio di assicurare un rapporto medico-operatore sanitario-paziente, fidelizzato a sedute operative serene.
Questa è procedura clinica è ideale per i pazienti special needs, come ad esempio i pazienti autistici. Se i dati riferiti al processo carioso contano 2,3 miliardi di persone affette da carie, la collaborazione tra odontoiatra e igienista dentale per l’intercettazione precoce delle lesioni e la scelta di terapie innovative è sicuramente vincente. In coming studi della ATASIO-LAB-GER sull’approccio clinico di rigenerazione guidata dello smalto.
Nel settore sanitario sono in atto importanti cambiamenti che implicano un ruolo sempre maggiore delle nuove tecnologie nell’ambito di igiene orale e prevenzione.
Con questi strumenti vengono fornite nuove opportunità e soluzioni preventive e curative delle patologie, con la figura del paziente sempre più centrale e con piani di trattamento personalizzati e individuali.
priatezza attraverso una comunicazione sempre più orientata a raggiungere gli obiettivi condivisi tra professionista e paziente.
La comunicazione è vera terapia del benessere ed è lo strumento che permette al clinico di entrare in contatto reciproco condividendo pensieri, sensazioni, emozioni e sentimenti, con lo scopo di guidare il paziente verso il raggiungimento degli obiettivi prefissati. Nel campo della prevenzione e dell’igiene orale si possono utilizzare numerosi presidi tecnologici per aumentare la consapevolezza del paziente attraverso la sua partecipazione attiva, rendendo il paziente parte attiva della terapia.
e applicazioni per smartphone che consentono di monitorare: abitudini di igiene orale, parametri fisiologici come pressione, frequenza cardiaca, saturazione, sonno e glicemia.
Queste sono tutte tecnologie utili a migliorare la comprensione e condivisione dello stato di salute. I professionisti sanitari hanno sicuramente un grosso
vantaggio tecnologico per seguire i pazienti nell’arco di tutta la loro vita, accompagnando le persone come veri coach della salute. Atasio LAB comunicazione ha programmato nel 2023 per gli iscritti all'A.T.A.S.I.O. incontri di approfondimento sulle tecnologie innovative dedicate alla comunicazione.
ATASIO LAB COMMUNICATIONQuesto ha permesso di garantire una migliore qualità del servizio offerto dallo specialista garantendo efficacia, efficienza e appro-
Tra gli strumenti più utili ci sono sicuramente la fotografia e gli scanner intraorali, tecnologie sempre più presenti all’interno della professione e che consentono una migliore interazione e facilità di condivisione clinica. Sono presenti anche strumenti
Dalla sua fondazione A.T.A.S.I.O., l'Accademia sulle Tecnologie Avanzate nelle Scienze di Igiene Orale, si pone come compito quello di aggiornare continuamene il professionista e diffondere gli argomenti che più possono interessare e essere di ausilio all’operatore della salute orale nella sua pratica clinica quotidiana, dal neo-laureato al professionista esperto.
Il topic di quest’anno, in occasione del V Congresso Nazionale, sono l’evoluzione dei protocolli operativi e di come cambiano in base all’età del paziente. I numerosi relatori, in base alla loro esperienza e basandosi sulla letteratura scientifica più recente, affronteranno il loro argomento rapportato alle varie età evolutive,
che come sappiamo ognuna di esse e caratterizzata da determinate necessità e criticità significative.
tra gli argomenti trattati vi saranno la strumentazione meccanica e manuale, la prevenzione delle patologie del cavo orale e diversi piani di trattamento da personalizzare in base al caso clinico.
Sede
Dipartimento di Scienze Odontostomatologiche e Maxillo Facciali Sapienza Università di Roma Via Caserta, 6 – Roma
Iscrizione
L’iscrizione è obbligatoria e dà diritto a: partecipazione alle sessioni scientifiche, kit congressuale, attestato di partecipazione.
L’iscrizione dovrà essere effettuata on-line collegandosi al sito www.meeting-planner.it, sezione “Calendario Eventi – Eventi RES”.
Al termine della procedura di iscrizione, correttamente eseguita, il partecipante riceverà una mail di avvenuta registrazione contenente il proprio QR code personale da mostrare al desk di segreteria per il rilevamento della presenza.
ECM (evento n.372786)
Tra le problematiche più diffuse che riguardano i professionisti della salute orale rientrano sicuramente una conoscenza non idonea della efficacia e del corretto utilizzo di tutte le nuove tecnologie che ogni anno invadono il mercato e quella di un mancato possesso di validi protocolli operativi da utilizzare a seconda delle determinate situazioni in cui ci si trova, e in questo entra in gioco la valenza di questa giovane accademia e ancor più il laboratorio ATASIO Young, che si pone come obiettivo quello di supportare l'approfondimento e la conoscenza dei giovani professionisti sulle sofisticate tecnologie che permettano attraverso congressi, giornate di formazione pratica e webinar, di poter avere un aggiornamento opportuno per offrire al paziente prestazioni di prevenzione di qualità. Il topic di quest’anno sarà l’evoluzione dei protocolli operativi personalizzati in base all’età del paziente, alle differenti
Crediti formativi assegnati: 7 Destinatari dell’attività formativa: n. 100 partecipanti
Figure professionali: Odontoiatri, Igienisti Dentali
Si rende noto che ai fini dell’acquisizione dei crediti formativi ECM è obbligatorio: aver preso parte all’intero evento formativo;
• aver compilato la documentazione in ogni sua parte; • aver superato il questionario di valutazione ECM (score di superamento almeno il 75%).
Non sono previste deroghe a tali obblighi. Il partecipante è tenuto inoltre a rispettare l’obbligo di reclutamento diretto fino ad un massimo di 1/3 dei crediti formativi ricondotti al triennio di riferimento (2023-2025).
Obiettivo formativo di sistema
condizioni cliniche e verrà divulgato a breve i programmi che riguarderanno la strumentazione manuale e meccanica per il debridment parodontale, l'approccio motivazionale personalizzato per la salvaguardia della salute dello smalto e del parodonto, le tecniche operative dedicate alla salute e all'estetica del sorriso con l'utilizzo delle tecnologie avanzate. I numerosi relatori, in base alla loro esperienza e basandosi sulla letteratura scientifica più recente, affronteranno in maniera interattiva i differenti argomenti rapportandosi alle necessità e criticità significative dei casi clinici e sulla opportunità di scelte consapevoli degli operatori per i diversi piani di trattamento da personalizzare. Tra le problematiche più diffuse che riguardano i professionisti della salute orale rientrano sicuramente una conoscenza non idonea della efficacia e del corretto utilizzo di tutte le nuove tecnologie che ogni anno invadono il mercato e quella di un mancato possesso di validi protocolli operativi da utilizzare a seconda delle determinate situazioni in cui ci si trova, e in questo entra in gioco Atasio, e ancor più ATASIO Young, che si pone come obbiettivo quello di supportare la formazione dei giovani professionisti attraverso congressi o giornate di formazione pratica.
Applicazione nella pratica quotidiana dei principi e delle procedure dell’evidence based practice (EBM – EBN – EBP) (1)
Patrocini richiesti TSRM - PSTRP ORDINE DI ROMA COMMISSIONE DEI CORSI DI LAUREA AIDI
Numerosi strumenti tecnologici per i professionisti in grado di agevolare la comunicazione con il paziente.Dott. Matteo Castaldi Claudio Stamegna Laurea igiene dentale Università Sapienza di Roma. Coordinatore A.T.A.S.I.O. YOUNG
L’ascolto dei bisogni orali ed extra orali della persona assistita è fondamentale per preparare un percorso terapeutico di prevenzione personalizzato che permetta attenta responsabilizzazione del paziente al successo delle terapie, e permette una relazione tra professionista e persona assistita consolidata grazie all’approccio clinico di concordance
Spesso l’operatore è poco attento alla percezione che ha la persona assistita su eventuali sintomi che invece sono indispensabili per intercettare eventuali patologie È il caso della percezione di sapore amaro o metallico, intorpidimento, secchezza delle fauci, bruciore alla lingua. Spesso il paziente lamenta disagio creato dalla dolorabilità e dalla difficoltà nella deglutizione, ed in questa particolare situazione ambientale dove tracheiti, tonsilliti e stati influenzali hanno creato pa farmaci aggrava la sintomatologia. È indispensabile rilevare l’entità della percezione della bocca urente da moderata a intensa, la variabilità della stessa nel tempo e la porzione di parte interessata al fastidio percepito che può interessare la lingua, il palato, le mucose delle guance e le labbra.
In seguito all’intercettazione del problema ed alla raccolta di stili di vita che accentuano la sintomatologia quali il tabagismo, l’alcol e l’assunzione di cibi acidi, piccanti e speziati, è fondamentale richiedere la diagnosi certa da uno specialista poiché la sintomatologia della bocca urente è spesso legata a problematiche psicosomatiche. L’aggravamento della sintomatologia è spesso dovuta ai farmaci per le terapie di eventuali disordini neurologici. Inoltre il rischio di BMS è da ricercare in pazienti affetti da alterazioni degli estrogeni, da diabete scompensato, da malattie tiroidee, da anemie, da problemi alimentari e quindi è necessario chiedere alla persona assistita
di fare controlli periodici delle analisi del sangue. Altro rischio è dato dall’herpes e dalla sclerosi multipla. Si definisce sindrome della bocca urente primaria se non sono in atto patologie, altrimenti detta sindrome della bocca urente secondaria. La persona assistita si deve avvalere di un percorso terapeutico interdisciplinare per controllare le condizioni ormonali e il diabete, compensare le carenze vitaminiche, e il controllo dei farmaci somministrati per problematiche di pressione arteriosa, farmaci ansiolitici o antidepressivi e piani terapeutici di psicoterapia. È necessario il follow-up che preveda oltre il controllo delle condizioni sistemiche interdisciplinari, la funzionalità delle ghiandole salivari ed eventuali alterazioni della
saliva, un efficace e mininvasivo debridment parodontale. Eseguire il controllo dell’ipersensibilità dentinale è fondamentale poiché spesso è presente per uso frequente di cubetti di ghiaccio che procurano sollievo. In caso di presenza di ipersensibilità dentinale acuta erogare applicazione di seduta di laser terapia e applicazioni professionali di vernici o gel desensibilizzanti.
Per la terapia domiciliare è indicato l’uso di spazzolini con setole morbide, scovolini in gomma e delicato spazzolamento della lingua con approccio clinico TBM, spazzolamento con approccio personalizzato e condiviso con il paziente (Nardi et al. 2016 - J Biomed 2016; 1:26-31)
Per il controllo chimico della placca utilizzare Ialozon® Supe-
ridratante Collutorio (GEMAVIP) che contiene come principi attivi olio di oliva ozonizzato con azione battericida, fungicida, antivirale e di stimolo della cicatrizzazione.
cetilpiridinium cloride e il citrato di potassio per il bilanciamento del pH
CBD (Cannabidiolo) estratto dalla Cannabis sativa, miorilassante, calma i fastidi della secchezza e antibatterico.
ACIDO IALURONICO al 2% a basso peso molecolare, micronizzato. Avendo molecole di piccole dimensioni, ed essendo micronizzato riesce a penetrare negli strati più profondi rispetto a quello ad alto peso molecolare garantendoci una profonda idratazione.
OLIVELLO SPINOSO vasoprotettore e GLICINA.
Grazie alle caratteristiche dei principi attivi presenti Ialozon collutorio superidratante è ideale per tutti quei pazienti che soffrono BMS (Burning Mouth Syndrome) Deve essere proposto di eseguire 3 o più volte al giorno, a seconda della condizione clinica presente, sciacqui e gargarismi con 10ml di collutorio non diluito, per circa 20 secondi. Accertarsi che la persona assistita non abbia allergie verso uno dei componenti.
Scegliere gli strumenti per l'igiene orale innovativi ed opportuni significa assicurare una perfetta aderence al controllo meccanico e chimico del biofilm batterico. L’approccio di concordance, riservato alle terapie di prevenzione deve prevedere il problem solving ai disagi procurati dalla sindrome della BMS e l’approfondimento della conoscenza delle sofisticate tecnologie deve permettere di poter assicurare, per ogni situazione clinica, anche complessa, i criteri di efficienza ed efficacia delle prestazioni per rispondere ai bisogni orali ed extra-orali della persona assistita.
Come ogni anno ormai, in sede “Sapienza Università di Roma”, continua il percorso di formazione e aggiornamento attraverso il V congresso nazionale A.T.A.S.I.O che si terrà il 2-3-4 febbraio.
Da sempre Atasio si pone come compito quello di aggiornare continuamene il professionista e diffondere gli argomenti che più possono interessare e essere di ausilio all’operatore della salute orale nella sua pratica clinica quotidiana, dal neo-laureato al professionista esperto.
Sede
Dipartimento di Scienze Odontostomatologiche e Maxillo Facciali Sapienza Università di Roma Via Caserta, 6 – Roma
L’iscrizione è obbligatoria e dà diritto a: partecipazione alle sessioni scientifiche, kit congressuale, attestato di partecipazione.
L’iscrizione dovrà essere effettuata on-line collegandosi al sito www.meeting-planner. it, sezione “Calendario Eventi – Eventi RES”.
Al termine della procedura di iscrizione, correttamente eseguita, il partecipante riceverà una mail di avvenuta registrazione contenente il proprio QR code personale da mostrare al desk di segreteria per il rilevamento della presenza.
ECM (evento n.372786)
Crediti formativi assegnati: 7 Destinatari dell’attività formativa: n. 100 partecipanti.
Figure professionali: Odontoiatri, Igienisti Dentali
Si rende noto che ai fini dell’acquisizione dei crediti formativi ECM è obbligatorio:
• aver preso parte all’intero evento formativo;
• aver compilato la documentazione in ogni sua parte;
• aver superato il questionario di valutazione ECM (score di superamento almeno il 75%).
Non sono previste deroghe a tali obblighi. Il partecipante è tenuto inoltre a rispettare l’obbligo di reclutamento diretto fino ad un massimo di 1/3 dei crediti formativi ricondotti al triennio di riferimento (2023-2025).
Giovedì 2 febbraio 2023
Moderatore: Claudio Stamegna
Ore 15.00 La strumentazione nel parodonto Corso pratico riservato ai primi 25 partecipanti 18.00 Chiusura del corso
Venerdì 3 febbraio 2023
8.30 Registrazione dei partecipanti 9.00 Saluto delle Autorità e presentazione degli obiettivi formativi Gianna Maria Nardi
Evoluzione della professione Mario Giannoni, Iole Vozza
Moderatori: Paola Mercuri, Salvatore Russo Silvia Sabatini 9.30 Approcci clinici alla prevenzione e all’intercettazione precoce delle lesioni del cavo orale Umberto Romeo, Federica Rocchetti
10.00 La malattia parodontale: sempre uguale nel tempo? Andrea Pilloni
10.30 Il management della salute orale in odontoiatria pediatrica Maurizio Bossù, Alessandro Salucci 11.00 Pausa
Moderatori: Giovanna Acito, Isabella Fabiani, Rosa Iozzo Sabrina Minicucci
11.30 Nuovi approcci per il mantenimento e la gestione estetica dei tessuti della corona dentale di decidui e permanenti Giovanna Orsini
12.00 La strumentazione e l’operatività clinica: questione individuale anche in rapporto alle differenti fasce d’età Stefano Checchi
12.30 Prevenzione e trattamento delle problematiche orali nel paziente geriatrico Alessio Amodeo 13.00 Discussione 13.30 Pausa
Technology Moderatori: Massimiliano Ciribè, Maria Letizia Pareti, Giuseppe
Rigenerazione guidata dello smalto Marzia Massimiani
Implicazioni dello sbiancamento dentale in relazione all’età
paziente, effetti sulla struttura dentale Claudio Pasquale
Tavola Rotonda Tabagismo e stili di vita. Come modularli in senso positivo Antonio Pelliccia, Antonella Abbinante, Maurizio Luperini, Gianna Mari Nardi 16 15 Antisettici e loro potenzialità: la chx è ancora il gold standard? Silvia Musella
16 45 Premiazioni Photo Contest Salvatore Cannizzaro Erika Cirillo Sergio Santangelo 1715 Tecnologia e approccio clinico di concordance per la salute orale Gianna Maria Nardi 1745 Assemblea dei Soci
Sabato 4 febbraio 2023
Moderatori: Michela Antonioni, Arcangela Colavito Matteo Castaldi, Claudio Stamegna
9.00 L’uso dei probiotici dall’età evolutiva all’adulto Andrea Butera
9.30 Intercettazione precoce dei segni clinici nella prima infanzia Silvia Cotellessa 10.00 La comunicazione efficace nelle differenti età: le parole da scegliere e le parole da evitare Irene Riccitelli Guarella 10.30 Approccio al deplaquing: valutazioni cliniche Annamaria Genovesi, Matteo Castaldi 11.00 Pausa
Moderatori: Giulia Fermanelli, Luigina Figlia, Rita Politangeli 11.30 Ozono e salute orale: patient age and decision making Giulio Papa 12.00 Bisogni speciali nelle tre fasce d'età: patologie e strategie di prevenzione orale Massimiliano Ciribè 12.30 Discussione 13.00 Chiusura dei lavori
di fornitura e consulenza del settore della protesi odontoiatrica e, dal 2004, in particolare, di implantologia dentale.
In quest’ultimo anno abbiamo inserito nuovi elementi per la transizione digitale dello studio odontoiatrico, nello specifico, lettori scanner e relative apparecchiature digitali per il laboratorio odontotecnico.
Nello specifico, cosa offre la Dentecom allo studio odontoiatrico?
Come rientra la vostra consulenza personalizzata in questa transizione digitale?
Via Francesco Saverio Sprovieri, 35 - 00152 Roma (RM) T. +39 06 58330870 | +39 392 6060066 dentecom.srl@gmail.com
Dentecom, nota nel panorama implantologico nazionale, accompagna lo studio odontoiatrico verso una, necessaria, transizione digitale, offrendo nuove apparecchiature e tecnologia. Grazie all’esperienza decennale nel settore del laboratorio odontotecnico, ed al know-how acquisito, unisce i due mondi, analogico e digitale, offrendo personalizzazione, competenza, qualità e funzionalità.
Quale evoluzione c’è stata, nella Dentecom, in quest’ultimo anno?
Dentecom dal 1976 si occupa
Con la nostra offerta l’odontoiatra cura tutto il flusso di lavoro che va dall’impronta digitale, al rilevamento dei colori, fino alla progettazione protesica da trasferire al laboratorio. Oltre a questo, ovviamente, la scelta dell’impianto, con relativa componente protesica, il protocollo di rigenerazione ossea ed eventuali soluzioni di chirurgia guidata. Inoltre, siamo sempre disponibili ad offrire soluzioni protesiche di impianti inseriti in altre strutture odontoiatriche. La soluzione di quest’ultimo problema, che si presenta spesso nello studio, qualifica molto il servizio che il medico offre al paziente.
Abbiamo la migliore offerta di apparecchiature scanner, i più efficaci prodotti del mercato internazionale. Tuttavia, riteniamo importante non affidarsi esclusivamente ad un software, bensì usufruire di una consulenza più personalizzata, sfruttando anche il grande know-how di tipo analogico che è fondamentale per progettare un eccellente lavoro protesico. Si rischierebbe altrimenti un’eccessiva “amazonizzazione”, standardizzazione, del rapporto studio-laboratorio.
Dentecom percorre la strada intermedia, offrendo la sua esperienza di laboratori odontotecnico, coniugando i due mondi: analogico e digitale.
Intervista a Fabio Ansuini, CEO Dentecom
Dentecom S.r.l.
Via Francesco Saverio Sprovieri, 35 00152 Roma Tel +39 06 58330870 dentecom.srl@gmail.com
Quale impianto devo usare per questo paziente? Con quali materiali rilevare l'impronta? Quale abutment utilizzare?
Ogni implantologo si è fatto queste domande nella sua vita professionale.
DENTECOM, specialista in implantologia, offre in sede la sua consulenza.
IMPLANTOLOGIA GUIDATA Chiavi in mano Per saperne di più contatta ora dentecom.srl@gmail.com
: Rigenerazione ossea
: Lettura digitale
www.expodental.it | www.unidi.it | info@expodental.it
Le migliori aziende italiane e internazionali del dentale, decine di corsi gratuiti e profilati per ogni esigenza dei diversi professionisti del settore, percorsi personalizzati per odontotecnici, focus su digital workflow