Infomedix Odontoiatria Italiana 4/2023

Page 1

Madagascar: il volontariato non va in ferie

Tante novità da Change ETS

Sole, mare e volontariato? Forse non proprio sole e mare ma sicuramente, nel momento in cui scriviamo, una nuova missione è iniziata per il Presidente di Change ETS (ora Ente del Terzo Settore) e per alcuni volontari nel nostro Centro Sanitario in Madagascar. Ma dove ci eravamo lasciati con il nostro diario di bordo?

Un 2023 iniziato con tante notizie. Sicuramente una prima novità di carattere organizzativo e logistico è la conclusione dei lavori della “Casa dei Volontari”, un progetto finanziato prevalentemente da MAP (Monaco Aid et Présence) che ha permesso di realizzare non solo un luogo di lavoro ma anche un punto di ritrovo e di meritato riposo per i volontari per scambiarsi idee, esperienze ed emozioni.

La “Casa dei volontari” è stata costruita su un terreno comprato nel 2009 in riva al fiume emissario del grosso lago di Itasy. Il giardino e le camere dei volontari si affacciano sulle “rapide” che, durante la stagione delle piogge, appaiono veramente impetuose. Il rumore è importante, ma dopo qualche giorno non ci si fa più caso. Uno spazio pensato e progettato per i volontari, con quattro camere doppie, con bagno, spazi comuni, una grande cucina, un salone e la lavanderia. Dimenticavo, anche una terrazza che offre una vista rilassante e riposante. Con questa descrizione non vi abbiamo già convinto a partire e diventare volontari?

Accademia Il Chirone

Medicina di genere e nuovi approcci personalizzati nella moderna odontoiatria

16th International Meeting, Roma 15-16 settembre 2023

L’Organizzazione Mondiale della Sanità definisce il “genere” come il risultato di criteri costruiti su parametri sociali circa il comportamento, le azioni e i ruoli attribuiti ad un

sesso e come elemento portante per la promozione della salute. Continua

Efficienza dei trattamenti ortodontici: Proposizione di "semplificazione" nella ricerca dell'eccellenza

Sono particolarmente felice di invitarvi al prossimo evento SIDO che si terrà a Roma dal 12 al 14 Ottobre 2023. Il 54° SIDO International Congress dal titolo “Efficiency in Orthodontics: Excellence made Essential” si terrà presso il Centro Congressi “La Nuvola”.

Interazione tra la perdita dei denti e il restringimento dell'ippocampo

Una ricerca rivela una potenziale connessione tra parodontite, caduta dei denti e atrofia dell’ippocampo, la regione del cervello cruciale per la memoria e associata con la sindrome di Alzheimer.

2023 4
S.I.D.O.
5
Infomedix Odontoiatria Italiana 4/2023 • bimestrale • Anno III • n. 14 • Infodent Srl, Via dell’Industria, 65, 01100 Viterbo • Poste Italiane S.p.A • Spedizione in Abbonamento Postale AUT. CENTRO/01673/05.2021 • PERIODICO ROC • Contiene I.P.
Luglio Agosto
Programma del 54th SIDO International Congress e 14th World Implant Orthodontic Conference p.
8 S.I.O.H. XXXII
15 A.I.O.L.A.
p.
Congresso Nazionale SIOH - Napoli 28, 29, 30 Settembre 2023 p.
Madagascar: il volontariato non va in ferie p. 9 A.T.A.S.I.O. VI Congresso Nazionale A.T.A.S.I.O.
lettura a
2 1 www.infomedixodontoiatria.it
la
pag.
Continua la lettura a pag. 5
Continua la lettura a pag. 25 Continua la lettura a pag. 15 DentalCAD 3.1 Rijeka RESTA UN PASSO AVANTI. +45 NUOVE FUNZIONI exocad_DentalCAD_3_1_Rijeka_Infomedix_Italy_60x40mm_it_230301.indd 1 01.03.23 15:11
Opera del Maestro d'arte Massimo Nardi

Infomedix Odontoiatria 4/2023 bimestrale • anno III • numero 14 luglio-agosto 2023

Direttore Responsabile Silvia Borriello - silvia.borriello@infomedix.it

Coordinatore Editoriale

Alberto Faini - a.faini@infomedix.it

Redazione

Nadia Coletta - nadia@infomedix.it

Claudia Proietti Ragonesi - pressoffice@infomedix.it

Continua dalla prima pagina.

Pertanto, in base a tali indicazioni, si definisce “medicina di genere” lo studio dell’influenza delle differenze biologiche (definite dal sesso) e socio - economico culturali (definite dal genere) sullo stato di salute e di malattia di ogni persona.

In data 13 giugno 2019 è stato firmato dal Ministro della Salute il Decreto con cui viene adottato il Piano per l’applicazione e la diffusione della Medicina di Genere, previsto dall’articolo 3 della Legge 3/2018, approvato in Conferenza Stato – Regioni, documento molto importante che pone l’Italia all’avanguardia in Europa nel campo della Medicina di Genere.

L’Accademia di Odontostomatologia e Prevenzione Odontostomatologica “Il Chirone”, che ha come obiettivo il favorire e coordinare lo scambio di conoscenze e le informazioni in merito alla promozione della salute del cavo orale ed alle sue correlazioni con la salute sistemica tra le varie figure professionali e branche della Medicina, della Ricerca e della Tecnologia dedicata, ha invitato autorevoli relatori di fama internazionale per

un focus sulle differenze associate al genere, con il fine ultimo di garantire ad ogni persona, sia uomo che donna, la migliore cura, rafforzando ulteriormente il concetto di “centralità del paziente” e di “personalizzazione delle terapie” odontoiatriche. Verranno approfondite le differenze di genere maschile e femminile riviste in un’ottica che tenga presente l’andamento ormonale, la differente risposta immunitaria, il differente microbioma e microbiota, i differenti tempi di risoluzione di processi infiammatori e quindi di conseguenza i tempi di recall, le terapie farmacologiche, gli stili di vita e condizionamenti socio-economici, e la differente incidenza sulle patologie.

La mission dell’Accademia

Il Chirone è la condivisione e l’aggiornamento dei protocolli operativi dedicati alla prevenzione per salvaguardare la salute del cavo orale, con la consapevolezza supportata dalla ricerca scientifica, del link con la salute sistemica.

L’evento è patrocinato dal Dipartimento di Scienze Odontostomatologiche e Maxillo Facciali dell’Università Sapienza di Roma che ospita il congresso.

Infodent Srl

Sede Operativa: Via dell'Industria, 65 01100 Viterbo redazione@infomedix.it 0761.352133

Sede Legale: C.ne Gianicolense, 68 00152 Roma P. IVA / C.F. 01612570562

Amministratore: Baldassare Pipitone

Responsabile Scientifico

Gianna Maria Nardi

Luca Maria Pipitone Roberta Grassi Chiara Faini

Questo numero è stato chiuso il: 15/07/2023

Grafica Silvia Cruciani - articoli@infomedix.it Antonio Maggini - artwork@infomedix.it

Progetto Grafico Studio Frasi

Ufficio Stampa Claudia Proietti Ragonesi pressoffice@infomedix.it

Marketing e pubblicità Riccardo Bonati riccardo.bonati@infomedix.it

Ilaria Ceccariglia ilaria.ceccariglia@infomedix.it

Alessandra Brunetti alessandra.brunetti@infomedix.it

Organizzazione Eventi Cristina Garbuglia eventi@infomedix.it

Stampa

Graffietti Stampati Snc Strada Umbro Casentinese Km 4.500 01027 Montefiascone (VT)

Spedizione Poste Italiane S.p.A – Spedizione in Abbonamento Postale - AUT. CENTRO/01673/05.2021

PERIODICO ROC Contiene I.P.

Registrazione al Tribunale di Viterbo n° 679/2021 del 08/05/2021

Costo copia euro 0.77

DIREZIONE E REDAZIONE

Via dell’Industria 65 01100 Viterbo - Italy

VAT 01612570562

Per informazioni, richieste e invio materiale da pubblicare contattaci: redazione@infomedix.it

www.infomedixodontoiatria.it

T. +39 0761 352133

Azienda certificata dal 26/11/2004, per la realizzazione ed erogazione di sistemi di comunicazione di marketing multicanale secondo la norma ISO 9001:2015. Certificato n. CERT-15119-2004-AQ-ROM-SINCERT

QR Code e sito

Al termine di alcuni articoli è possibile trovare un QR CODE specifico per leggerli interamente sul sito dedicato al tabloid Infomedix Odontoiatria Italiana www.infomedixodontoiatria.it

Tutti coloro che vogliono condividere esperienze di trattamenti al cavo orale e periorale, maturate e documentate all’interno di studi dentistici privati o di cliniche odontoiatriche possono contribuire contattando la redazione chiamando il numero +39 0761 352133 o inviando una mail a: redazione@infomedix.it

La responsabilità degli articoli e dei contenuti appartiene ai rispettivi autori, che ne rispondono interamente.

INFOMEDIX ODONTOIATRIA ITALIANA 4 2023 2 www.infomedixodontoiatria.it

PRESIDENTI

CONGRESSO

16th International Meeting

Accademia Il Chirone

15 - 16 settembre 2023

MEDICINA DI GENERE

E NUOVI APPROCCI PERSONALIZZATI

NELLA MODERNA ODONTOIATRIA

GENDER MEDICINE AND NEW PERSONALISED APPROACHES IN MODERN DENTISTRY

08.30

VENERDÍ 15 SETTEMBRE 2023

Registrazione dei partecipanti

09.00 Apertura dei lavori congressuali

Ugo Covani, Gianna Maria Nardi

09.15 Intervento di apertura della Magni ca Rettrice della Sapienza Università di Roma e Presidente del Comitato Scienti co

Antonella Polimeni

Moderatori: Roberto Di Giorgio, Fabrizio Guerra, Livia Ottolenghi

09.30 Patologie del cavo orale: il genere è importante?

10.00

10.30

11.00

11.30

12.00

Umberto Romeo, Federica Rocchetti

Mostrami i denti e ti dirò chi sei: analisi morfologiche e micro-analitiche dei tessuti della corona dentale

Giovanna Orsini, Vincenzo Tosco, Riccardo Monterubbianesi

Gravidanza e salute orale: evidenze attuali e raccomandazioni per ridurre le carenze nella pratica e nella ricerca

Denis Bourgeois, Flavia Vitiello, Florence Carrouel

Pausa: visita all‘area tecnologica

Progetto SeGeA: dai buoni propositi ad un'azione concreta

Teresa Calandra

Misurare il genere: realtà o chimera?

Stefania Basili

12.30 Pro lo microbiologico del cavo orale e medicina di genere.

Variazioni nel microbioma dentale dal 4000 a.C. al 2000 d.C.

Di erenze nei microbi rilevano di erenze nei ruoli

Germano Orrù

13.00 Pausa

Moderatori: Michele Cassetta, Iole Vozza

14.30 Le lesioni orali da HPV

Alberto De Biase, Marco Lollobrigida, Gianluca Tenore

15.00 Tecnologie ed approcci clinici e caci per la salute del cavo orale: quale concordance nelle di erenze di genere?

Gianna Maria Nardi

15.30 Epidemiologia genere-speci ca dell'ipomineralizzazione degli incisivi e molari (MIH): una revisione sistematica con meta-analisi

Marta Mazur, Roberta Grassi, Denise Corridore

16.00 Pausa: visita all’area tecnologica

16.30 Fumo: di erenze di genere e diritto alla salute

Gianna Maria Nardi, Augusta Virno

17.30 Chiusura dei lavori congressuali

SABATO 16 SETTEMBRE 2023

08.45 Apertura dei lavori congressuali

Moderatori: Michele Cassetta, Annamaria Genovesi, Enrica Scagnetto

09.00 Salute orale nella di erenza di genere

Maria Perno

09.30 La tecnologia digitale nel management della terapia implantoprotesica: quale di erenza di genere?

Fabio Scarano Catanzaro, Felice Roberto Grassi

10.00 Impianti dentali posizionati in pazienti di sesso maschile vs impianti posizionati in pazienti di sesso femminile: revisione della letteratura e valutazioni cliniche

Simone Marconcini, Ugo Covani

10.30 Sindrome delle apnee ostruttive del sonno: la prevenzione basata sul genere

Gabriele Di Carlo, Valeria Luzzi

11.00 Pausa: visita all‘area tecnologica

11.30 L’incongruenza di genere diagnosi e protocolli operativi

Antonietta Grandinetti

12.00 L’in uenza del genere nell’espansione scheletrica del palato, valutazione CBCT dello stadio di ossi cazione della sutura palatina mediana

Federica Altieri, Martina Mezio, Michele Cassetta

12.30 Né uomo, né donna: solo persona

Laila Perciballi

13.00 Chiusura dei lavori del 16th International Meeting Accademia Il Chirone

PATROCINI SPONSOR

FRIDAY 15 SEPTEMBER 2023

08.30 Participants registration

09.00 Opening of the Congress proceedings Ugo Covani, Gianna Maria Nardi

09.15 Opening Speech by the Chancellor of Sapienza University of Rome and President of the Scienti c Committee

Antonella Polimeni

Chairmen: Roberto Di Giorgio, Fabrizio Guerra, Livia Ottolenghi

09.30 Oral diseases: is gender important?

Umberto Romeo, Federica Rocchetti

10.00 Show me your teeth and I'll tell you who you are: morphological and micro-analytical analyses of the dental crown tissues

Giovanna Orsini, Vincenzo Tosco, Riccardo Monterubbianesi

10.30 Pregnancy and oral health: current evidence and recommendations to reduce gaps in practice and research

Denis Bourgeois, Flavia Vitiello, Florence Carrouel

11.00 Break: visit to the technological area

11.30 Project SeGeA: from good intentions to concrete actions

Teresa Calandra

12.00 Measuring gender: reality or chimera?

Stefania Basili

12.30 Microbiological pro le of the oral cavity and gender medicine. Changes in the dental microbiome from 4000 BC to 2000 AD. Di erences in microbes detect di erences in roles

Germano Orrù

13.00 Break Chairmen: Michele Cassetta, Iole Vozza

14.30 Oral HPV lesions

Alberto De Biase, Marco Lollobrigida, Gianluca Tenore

15.00 E ective technologies and clinical approaches for oral health: what concordance in gender di erences?

Gianna Maria Nardi

15.30 Gender-speci c epidemiology of incisor and molar hypomineralisation (MIH): a systematic review with meta-analysis

Marta Mazur, Roberta Grassi, Denise Corridore

16.00 Break: visit to the technological area

16.30 Smoking: gender di erences and the right to health

Gianna Maria Nardi, Augusta Virno

17.30 Closing of conference proceedings

SATURDAY 16 SEPTEMBER 2023

08.45 Opening of the congress proceedings

Chairmen: Michele Cassetta, Annamaria Genovesi, Enrica Scagnetto

09.00 Sex-based di erences in oral health

Maria Perno

09.30 Digital technology in the management of implant-prosthetic therapy: what gender di erence?

Fabio Scarano Catanzaro, Felice Roberto Grassi

10.00 Dental implants placed in male patients vs implants placed in female patients: literature review and clinical evaluations

Simone Marconcini, Ugo Covani

10.30 Obstructive sleep apnea syndrome: a gender based prevention

Gabriele Di Carlo, Valeria Luzzi

11.00 Break: visit to the technological area

11.30 Gender incongruence: diagnosis and operational protocols

Antonietta Grandinetti

12.00 In uence of gender in skeletal palatal expansion, CBCT evaluation of median palatine suture ossi cation stage

Federica Altieri, Martina Mezio, Michele Cassetta

12.30 Neither man nor woman: only person

Laila Perciballi

13.00 Closing of the 16th International Meeting Accademia Il Chirone

Iscrizioni

L’iscrizione è gratuita ma obbligatoria e dà diritto alla partecipazione alle sessioni scienti che e all’attestato di partecipazione.

Unione Nazionale Igienisti Dentali

Website www.accademiailchirone.it

Segreteria organizzativa

Sorriso.it Srl

Via Giovanni Falcone10 - 70018 Rutigliano (BA)

Per informazioni congresso.accademiailchirone@gmail.com

Referente: Stefania Nanni (cell. +39 349 8164735)

COMUNICAZIONE

3 www.infomedixodontoiatria.it INFOMEDIX ODONTOIATRIA ITALIANA 4 2023 Dipartimento
Scienze Odontostomatologiche e Maxillo-Facciali
di
DEL
Antonella Polimeni
Covani
SCIENTIFICO
Maria Nardi
Elaborazione e gra ca a cura di Grassi COMITATO SCIENTIFICO Denise Corridore Alberto De Biase Roberto Di Giorgio Felice Roberto Grassi Fabrizio Guerra Marta Mazur Livia Ottolenghi Umberto Romeo Iole Vozza
Ugo
COORDINAMENTO
Gianna
Roberta
Con il patrocinio di
Scansiona il qr-code e compila il form on-line redazione@infomedix.it

La bocca: finestra sulla salute sistemica

Nel cavo orale i sintomi di malattia celiaca potrebbero essere gli unici

Il 3 giugno scorso si è svolto presso il teatro comunale di Nardò (LE) il congresso: LA BOCCA: LA FINESTRA SULLA SALUTE SISTEMICA” che ha visto coinvolti congiuntamente le CdA dell'Ordine TSRM PSTR di Lecce e Foggia. Il congresso in presenza e in modalità on line è stato patrocinato dal Comune di Nardò, dagli ordini TSRM PSTR di Lecce e Foggia Lecce, dall’AIC (Associazione Italiana Celiachia) Puglia, dalla SIMPE (Società Italiana Medici Pediatri) Puglia e dall’ AIRO (Accademia Italiana Ricerca Orale).

Il dr. Piero Trabalza ha relazionato sull’impiego del Fluoro per la salute dei tessuti duri mentre la dr.ssa Antonia Sinesi sulle manifestazioni orali nella malattia celiaca come approccio multidisciplinare nella intercettazione, prevenzione e terapia.

La Prof.ssa Gianna Maria Nardi che ha introdotto i relatori, ha puntualizzato come gli Igienisti Dentali, professionisti della salute orale, dimostrano, come nel caso del paziente celiaco considerato un paziente “special need”, di avere le competenze per un approccio trasversale alla salute sistemica

Infatti durante il congresso si sono approfonditi i sintomi extraintestinali della celiachia e come, con un attento monitoraggio della sintomatologie nel cavo orale (difetti dello smalto, afte ricorrenti, glossiti, ecc.), si possa riconoscere una celiachia asintomatica. Oggi sappiamo che 1 Italiano su 100 è celiaco e non sa di esserlo e che i sintomi di malattia celiaca nel cavo orale possono essere in alcuni casi gli unici segni di una malattia asintomatica. Anche dal Ministero della Salute (Report annuale sulla celiachia pubblicato nel 2021) viene richiesto agli Igienisti Dentale e agli odontoiatri di saperli riconoscere e poterli intercettare attraverso un approccio multidisciplinare. Duran-

te il congresso, inoltre, sono state fornite indicazioni sulla gestione dei tessuti duri del dente nel paziente che presenta difetti dello smalto importanti.

A conclusione del congresso è stata aperta una tavola rotonda con la moderatrice dr.ssa Maria Rosaria Filograna pediatra e Presidente Regionale SIMPE Puglia, il moderatore dr. Ruggiero Damato Presidente della CdA Igienisti dentali di Foggia e la dr.ssa Marinella Amodeo referente dell’AIC Puglia. Molti sono stati gli interventi dalla platea, dei professionisti interessati e motivati all’argomento. Ha concluso la tavola rotonda la pediatra dr.ssa Filagrana complimentandosi con i relatori auspicando una piena collaborazione tra medici di medicina generale- igienisti dentali- odontoiatri- pediatri- gastroenterologi- dietisti. Ancora una volta la nostra professione dimostra di rivestire un ruolo chiave e fondamentale nella intercettazione, nella prevenzione e nella terapia di molte patologie tra cui quella del paziente celiaco.

Un ringraziamento particolare alla dr.ssa Roberta Greco segreteria scientifica e organizzativa del congresso, particolarmente impegnata anche come padrona di casa.

Ringraziamo tutte le aziende che con il loro contributo non condizionante hanno permesso la realizzazione dell’evento.

4 www.infomedixodontoiatria.it INFOMEDIX ODONTOIATRIA ITALIANA 4 2023

Efficienza dei trattamenti ortodontici:

Proposizione di "semplificazione" nella ricerca dell'eccellenza

dei trattamenti ortodontici, ma in parte anche una moderna proposizione di “semplificazione” nella ricerca della eccellenza. Ospiterà numerosi relatori stranieri, ma anche tanti colleghi italiani che ormai da anni rappresentano la qualità della scuola ortodontica italiana nel mondo.

Sarà inoltre un piacere offrire ai soci la possibilità di partecipare al II° Simposio Mondiale di Biomeccanica Ortodontica organizzato da BIOMEDE presieduto dal Dr. Giorgio Fiorelli, insieme alla SIBOS (Società Italiana di Biomeccanica Ortodontica).

Sono particolarmente felice di invitarvi al prossimo evento SIDO che si terrà a Roma dal 12 al 14 Ottobre 2023. Il 54° SIDO International Congress dal titolo “Efficiency in Orthodontics: Excellence made Essential” si terrà presso il Centro Congressi “La Nuvola” ed avrà come tema centrale l’efficienza

Il 54° Congresso ospiterà, oltre i meeting delle principali Società Scientifiche ortodontiche nazionali, anche il 14° WIOC Congresso Mondiale della World Implant Orthodontic Association presieduta dal Dr. Giuliano Maino; per la seconda volta dalla fondazione del WIOA si terrà in Italia ed offrirà un aggiornamento sulle più evolute tecniche di Ortodonzia con ancoraggio scheletrico. I più famosi esperti al mondo sul tema hanno accettato di partecipare in qualità di speaker e si incontreranno a Roma per discutere di come gli ancoraggi scheletrici abbiano potenziato il campo di azione dell’Ortodonzia soprattutto alla luce delle recenti applicazioni della tecnologia digitale CAD/ CAM in questo settore.

Il Meeting BIOMEDE si svolgerà a distanza di quattro anni dal precedente a causa della pandemia e si terrà nelle giornate dell’11 e del 12 Ottobre con la partecipazione di relatori di livello mondiale che approfondiranno molti temi clinici e di ricerca focalizzandosi soprattutto sugli aspetti di Biomeccanica Ortodontica.

Avremo infine, come consuetudine, la partecipazione dei profili che con noi condividono con professionalità il lavoro e ci supportano quotidianamente: saranno infatti presenti le società degli Igienisti Dentali e dei Tecnici Ortodontisti.

Vi aspetto tutti nella splendida cornice della città di Roma per condividere 4 giorni straordinari di aggiornamento scientifico.

PROGRAMMA

5 www.infomedixodontoiatria.it INFOMEDIX ODONTOIATRIA ITALIANA 4 2023
Aldo Giancotti Presidente SIDO Giuliano Maino Presidente WIOA Giorgio Fiorelli Coordinatore 2 BIOMEDE

U.N.I.D. Summer A settembre nuovi appuntamenti formativi

È tempo di vacanza!

U.N.I.D. desidera augurarVi un’estate spumeggiante fatta di sorrisi, divertimento ma anche di relax.

Questo primo semestre 2023 e’ stato ricco di eventi U.N.I.D. e si è concluso, a giugno, con il successo decretato a Napoli dal VII Congresso del Sud “ORAL Health: lo specchio dell’organismo”. Al rientro dalla pausa estiva, ci rivedremo carichi e pronti per nuovi appuntamenti formativi.

Partiremo subito a settembre con il secondo incontro del percorso formativo U.N.I.D. Calabria, a seguire in Sardegna per poi riunirci tutti a Roma, il 3-4 Novembre, per il grande congresso nazionale.

Giunto, quest’ultimo, alla XXII edizione, sarà un evento con format nuovo che farà da cornice ad un programma

scientifico di elevato spessore. Pertanto assolutamente imperdibile!

Work in progress anche per il nuovo sito U.N.I.D. Nuova grafica, facile consultazione, ricco di contenuti e sempre aggiornato. Tante novità quindi per il prossimo autunno.

Per ora, Vi ricordiamo che l’attività di segreteria sarà sospesa dal 16 al 31 agosto e nel mentre Vi auguriamo che sia veramente una buona estate per tutti.

Direttivo Nazionale U.N.I.D.

6 www.infomedixodontoiatria.it INFOMEDIX ODONTOIATRIA ITALIANA 4 2023
Foto: Fabio Fantuzzi Per saperne di più scrivi a sales @ vitali.com o telefona allo 051 700490 1953-2023 LIFELONG DENTAL UNITS 70. SCOPRI LA NOSTRA GAMMA E TROVA LA CONFIGURAZIONE PIÙ ADATTA PER TE www.vitali.com V8 TOUCH T5 EVO PLUS 4.0 T5 MASTER DA 70 ANNI LA NOSTRA FORZA È FARE SOLO RIUNITI ! SPECIALE 70° VITALI Abbiamo riservato per te le promozioni anniversario valide fino al 31/10/23

Uno sguardo rivolto al futuro

XXII Congresso Nazionale SIOH - Napoli 28,29,30 Settembre 2023

Posillipo, La Gaiola, due isolotti che emergono da un'acqua cristallina uniti da un ponte teso a rappresentare il tema di fondo del XXII Congresso Nazionale della SIOH: l’inclusione.

Inclusione, parola molto usata di questi tempi, in ambiti tra i più vari, dal sociale al sanitario al politico, eppure ancora non bene rappresentata ed espressa nella realtà dei fatti.

Le idee, i progetti, ancor più se virtuosi e specchio di diritti che vanno rispettati, devono poi essere messi in pratica perché non rimangano sospesi nel nulla.

I momenti di incontro e di confronto quale quelli che andremo a vivere

in questi tre giorni di lavori, vogliono essere non solo il segno di quello che da anni la SIOH mette in campo per l’accoglienza e la presa in carico del paziente fragile su tutto il territorio nazionale, ma anche un’occasione per la verifica delle criticità ancora troppo spesso presenti sui nostri territori nella realizzazione di percorsi dedicati a i nostri pazienti fragili. Un momento di incontro, aperto a grandangolo, sulla multidisciplinarietà per l’ottimizzazione dei percorsi diagnostico-terapeutici al fine di “accompagnare” i nostri pazienti dall’età pediatrica fino a quella adulta assicurando loro e alle loro famiglie il sostegno sanitario di cui hanno legittimo bisogno.

VENERDÌ 29 SETTEMBRE 2023

08.30-09.00 Registrazione partecipanti

09.00-09.30 Introduzione al XXII Congresso Nazionale S.I.O.H.

Umberto Esposito e Paola Salerno

Responsabili Scientifico e Organizzativo del Congresso

Saluto del Presidente S.I.O.H.

Saluto delle Autorità

Prima Sessione

Moderatori: Paola Salerno, Vincenzo Andreone

09.30-10.00 CARMELA BRAVACCIO

Il ruolo del neuropsichiatra infantile nel team multidisciplinare

10.00-10.30 MATTEO DELLA MONICA

Il ruolo del medico genetista nell’era genomica per il paziente fragile

10.30-11.00 GIUSEPPE LIMONGELLI

Rete delle Malattie Rare: il modello campano

11.00-11.30 Coffee time

Moderatori: Gregorio Laino, Rossella Valletta

11.30-12.00 ANNA MARIA BAIETTI

Le reti integrate ospedale e territorio nel contesto dell’Odontoiatria speciale e maxillo facciale

12.00-12.30 MASSIMO PISANO, FRANCESCO COLACE, FRANCESCO

D’AMBROSIO, GIUSEPPE SANGIOVANNI, ALESSANDRA AMATO, FRANCESCO GIORDANO

Necessità formativa nella gestione dei pazienti special needs: sinergie Università-Territorio e prospettive future

12.30-13.00 VLADIMIRO LANZA

L’Odontoiatria speciale dell’AORN Cardarelli tra passato, presente e futuro

13.00-14.00 Lunch Time

14.00-18.00 PROIEZIONE POSTER SU MONITOR

Comitato Poster:

Paolo Ottolina, Paola Morgagni, Benedetta Bellettini, Franco Goia, Angelo Giampaolo

Il cammino è certamente ancora lungo, ma molto è già stato fatto ed altro è in itinere.

L’importanza della condivisione e dell’unione delle competenze che mettiamo in campo per raggiungere gli obbiettivi prefissati ci renderà sicuramente più coesi e prossimi alla meta.

Responsabile Organizzativo

Umberto Esposito

Responsabile Scientifico

Organizzativa

B. E. Beta Eventi srl Tel. 071 2076468 Cell. 334 5322445 info@betaeventi.it Provider ECM Standard n. 687

Seconda Sessione

Moderatori: Mariapia Mannelli, Francesco Colace

14.00-14.30 GIOVANNI MARCO ROMANO

Percorsi anestesiologici nei pazienti con bisogni speciali

14.30-15.00 ANTONIO LAURIA

Odontoiatria Speciale in Basilicata: una realtà che rischia di diventare un sogno

15.00-15.30 RICCARDO GIUSEPPE SPAMPINATO

Odontoiatria per paziente Disabile il nostro modello organizzativo

15.30-16.00 TONI NOCCHETTI

Chi si prende cura di mio figlio disabile?

16.00-16.30 Pausa

Terza Sessione

Moderatori: Francesco Inchingolo, Laura Sisalli

16.30-17.00 ALDO OPPICI, ELISABETTA MERIGO

Realtà progettuali in Odontoiatria pubblica

17.00-17.30 CATERINA PERRA

Fragilità orale e fragilità generale: relazione casuale o causale?

17.30-18.00 VINCENZO FARINA

Il Trattamento Chirurgico-Odontoiatrico nei pazienti “fragili”: si può fare di più!“

L’esperienza ultraquindicennale dell’UOS di Odontostomatologia dell’A.O.R.N. Sant’Anna e San Sebastiano di Caserta

18.00-18.30 NICOLA LAFFI

Coinvolgimento dell’ATM nell’Artrite Idiopatica Giovanile: clinica e radiologia a confronto

18.30 Premiazione miglior Poster S.I.O.H.

Chiusura lavori

20.30 CENA SOCIALE S.I.O.H.

presso R.Y.C. Canottieri Savoia, Banchina S. Lucia 13

SABATO 30 SETTEMBRE 2023

08.30-09.00 Registrazione partecipanti

Saluto delle Autorità

Moderatori: Marco Magi, Gabriella Clarich

09.00-09.40 ALISON DOUGALL, ROBERTO ROZZA

Lectio Magistralis

iADH: passato, presente e futuro. Il ruolo della S.I.O.H.

09.40-10.10 GIULIANO ASCANI

Gestione del paziente fragile in chirurgia orale e maxillo facciale

10.10-10.40 ANNA PATRIZIA UCCI

Il ruolo dell’Odontoiatra nella presa in carico multidisciplinare del paziente fragile

10.40-11.00 Coffee time

Moderatori: Fausto Assandri, Franco Goia, Raffaele Piccinonno

11.00-11.30 PAMELA ARMI, SIMONE BUTTIGLIERI

Progetto prevenzione SIOH

11.30-12.00 ANGELA GALEOTTI, FRANCESCO ARISTEI

It could work! Orthodontic treatement in pediatric patients

12.00-12.30 Discussione

Conclusioni Lavori

13.00 ASSEMBLEA ELETTIVA S.I.O.H.

8 www.infomedixodontoiatria.it INFOMEDIX ODONTOIATRIA ITALIANA 4 2023
Info e aggiornamenti programma www.sioh.it Segreteria

VI Congresso Nazionale A.T.A.S.I.O.

Innovazioni tecnologiche e approccio clinico: salute ed estetica del sorriso

VI CONGRESSO NAZIONALE A.T.A.S.I.O.

Innovazioni tecnologiche e approccio clinico: salute ed estetica del sorriso

Roma, 2-3 febbraio 2024

Dipartimento di Scienze Odontostomatologiche e Maxillo Facciali Sapienza Università di Roma

Coniugare salute del cavo orale ed estetica del sorriso è una grande sfida per il team odontoiatrico.

Roma, 2-3 fe bbraio 2024

nica dell'approccio estetico al management della salute del paziente, con importanti momenti interattivi con i congressisti in platea.

Dipar timento di Scienze Odontostoma tologic he e Maxillo F acciali

Erogare approcci clinici personalizzati e minimamente invasivi che permettano l'efficacia del mantenimento della salute nel rispetto della funzione del cavo orale e di eventuali situazioni cliniche di salute sistemica, non possono prescindere dal bisogno delle persone assistite di avere gradevolezza e luminosità del sorriso.

Sa pienza Uni ver sità di Roma

DIRETTIVO

Gianna Maria Nardi - Presidente

Silvia Sabatini - Vice Presidente

L’Accademia Tecnologie Avanzate nelle Scienze di Igiene Orale (A.T.A.S.I.O.) è una realtà formativa per dare vita ad iniziative di formazione, ricerca e innovazione, per dare sempre nuova linfa al mondo delle tecnologie di scienze di igiene orale e degli stili di vita orientati al benessere.

Innovazioni tecnologiche e approccio clinico: salute ed estetica del sorriso

Le innovazioni tecnologiche permettono di poter assicurare efficienza ed efficacia dei protocolli operativi, e l'approfondimento dei livelli di attenzione per la salute dei tessuti dento-parodontali deve prevedere l'aggiornamento rivolto all'estetica del sorriso.

Matteo Castaldi- Segreteria Generale

Arcangela Colavito – Tesoriere

Se anche tu vuoi ampliare le tue conoscenze e competenze, iscriviti ad ATASIO: www.atasio.it

Michela Antonioni - Consigliere

Giovanna Acito - Consigliere

Lorella Chiavistelli - Consigliere

Il Congresso rappresenterà un importante momento formativo per acquisire e/o implementare le opportune competenze.

Autorevoli relatori tratteranno argomenti che coniugheranno evidenza scientifica ed evidenza cli-

Save the date

Roma, 2-3 fe bbraio 2024

Dipar timento di Scienze Odontostoma tologiche e Maxillo F acciali

S i U i ità di R

Save the date

9 www.infomedixodontoiatria.it
VI Congresso Nazionale A T A S I O

Le innovazioni tecnologiche per l’efficace mantenimento delle riabilitazioni implantari

La prevenzione terziaria è una vera sfida per l’igienista dentale, che per competenza del suo profilo professionale ha la gestione del mantenimento delle riabilitazioni odontoiatriche.

Le terapie riabilitative implantari per pazienti con edentulia parziale o totale, permettono di riportare sia la funzionalità che l’estetica, con una prevedibilità di successo che dipende, oltre che dall’efficace piano terapeutico chirurgico implantare del professionista chirurgo, anche dalla responsabilità attiva del paziente a seguire corretti stili di vita di igiene orale domiciliare e follow-up. Questi devono prevedere la visita diagnostica di controllo dell’implantologo e la visita di controllo dell’igienista dentale. Per sollecitare l’aderence ai follow-up, usare l'automazione workflow e moduli di anamnesi personalizzati (gestionale Alfa Docs) permette una migliore gestione e un monitoraggio efficace delle cure e dei richiami personalizzati in base ai bisogni extra clinici dei pazienti. La vera sfida è il management di igiene orale in pazienti presi in carico che sono stati sottoposti a terapie implantari in altri studi, e che mostrano clinicamente mucosite, con interessamento della mucosa perimplantare o con perimplantite che coinvolge l’osso di sostegno.

Spesso si evidenzia il collare implantare degli abutment, e prima che l’implantologo preveda intervento mucogengivale è fondamentale condividere con il paziente la necessità di eliminare l’infiammazione eseguendo un'igiene orale domiciliare attenta ed efficace. L'igiene orale domiciliare deve essere considerata terapia.

biofilm batterico domiciliare. Per il controllo meccanico del biofilm batterico, se viene lamentata dolorabilità, si deve concordare l'uso di uno spazzolino con setole che siano efficaci ma che non creino dolorabilità durante l’utilizzo (GUM Sonic Sensitive).

(olio extravergine di oliva ozonizzato, acido ialuronico, aloe vera, cetilpiridinio cloruro, ratania) accelera il processo di guarigione, riduce la risposta infiammatoria e l'edema (sciacquo è di 1 minuto ripetuta fino a due volte al giorno). La terapia parodontale non chirurgica è fondamentale per i follow-up a medio e lungo termine per il paziente con riabilitazione implantare.

Bisogna accertarsi che non sia presente pus, sintomo predittivo di perimplantite e probabile perdita ossea, che va valutata dall’implantologo radiograficamente, con particolare attenzione alla perdita ossea interprossimale. Se presente, è importante l’approccio motivazionale di concordance con la persona assistita per responsabilizzarlo al controllo del biofilm batterico degli spazi interprossimali

Successivamente alla diagnosi ricevuta dall’implantologo e le indicazioni sul piano terapeutico scelto, capita spesso di intervenire con una terapia di supporto palliativa, che ha l’obbiettivo di mantenere le condizioni della riabilitazione in buon stato clinico. L’ascolto del paziente è fondamentale per accogliere i disturbi percepiti dal paziente quali disestesia, sensazione di corpo estraneo o dolore.

L’utilizzo degli scovolini in gomma, (GUM Soft Picks Confort Flex), risultano essere delicati sui tessuti perimplantari, ed efficaci, grazie alle differenti misure possibili, per la personalizzazione della scelta dell’interprossimale a seconda dello spazio sovracrestale.

L’evoluzione di tecnologie così sofisticate ha permesso di poter offrire l’opportunità di fare “la giusta scelta” personalizzata per ogni caratteristica anatomica, di maualità e predisposizione di fragilità, o soltanto seguire l’approccio caratteriale del paziente.

(TBM) Nardi G.M. et al. Tailored Brushing Method (TBM): an innovative simple protocol to improve the oral care. J Biomed 2016; 1:26-31. Il protocollo di igiene orale deve essere personalizzato in base alla tipologia del manufatto protesico implantare, poiché spesso la persona assistita ha difficoltà di efficacia nel controllo del

Per il controllo chimico del biofilm batterico domiciliare, l’olio di oliva ozonizzato è molto apprezzato dalla persona assistita poiché ha un gusto gradevole, non crea discromie sulle superfici dentali e implantari e può essere usato quotidianamente, aspetti che non vanno trascurati poiché permettono compliance e maggiore aderence alle terapie di igiene orale domiciliare.

L’uso del colluttorio all’olio di oliva ozonizzato Ialozon Blu (GEMAVIP),

L’ aMMP-8 (metalloproteinasi di matrice attiva) è un biomarker per la diagnosi precoce di malattie gengivali, processi degenerativi dei tessuti molli e duri a livello parodontale e perimplantare. La presenza di aMMP-8 si riscontra prima di qualsiasi segnale di infiammazione o perdita di tessuto. Dalla valutazione di efficacia della terapia parodontale non chirurgica coadiuvata dall’utilizzo di collutorio a base di olio ozonizzato, sui valori oggettivi di Metalloproteasi salivare (MMP-8) nel paziente affetto da parodontite, è stato evidenziato che lo SRP coadiuvato dall'utilizzo domiciliare di collutorio a base di olio ozonizzato contribuisce ad un più accentuato miglioramento dei parametri clinici parodontali Nardi GM, Cesarano F, Papa G, Chiavistelli L, Ardan R, Jedlinski M, Mazur M, Grassi R, Grassi FR. Evaluation of Salivary Matrix Metalloproteinase (MMP-8) in Periodontal Patients Undergoing Non-Surgical Periodontal Therapy and Mouthwash

Based on Ozonated Olive Oil: A Randomized Clinical Trial. Int J Environ Res Public Health. 2020 Sep 11;17(18):6619. doi: 10.3390/ijerph17186619. PMID:32932898; PMCID: PMC7558934. IF:3,390, Evidenze scientifiche hanno dimostrato che gli ozonidi selezionano la crescita di un microbiota più favorevole all’eubiosi del cavo orale limitando la proliferazione di microrganismi opportunistici.

L’uso di ablatori che permettano in maniera ergonomica di erogare deplaquing e debridment con la possibilità di scelta di differenti punte per un migliore adattamento alla superficie sono ideali per una terapia parodontale non chirurgica efficiente, ed un timing operativo agevole per l’ope-

10 www.infomedixodontoiatria.it
INFOMEDIX ODONTOIATRIA ITALIANA 4 2023

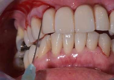
ratore e per il paziente (Combi Touch Mectron). Il sondaggio parodontale permette la diagnosi della malattia perimplantare e va eseguito con una sonda in materiale plastico con delicatezza ed una forza controllata di 0.25 N, per evitare danni alla mucosa perimplantare. In caso la sonda evidenzi una tasca perimplantare, può essere usato il gel Perioral 3 (GEMAVIP) all’olio di oliva ozonizzato.

Nei pazienti che dimostrano inefficacia nell’igiene domiciliare per le difficoltà oggettive della riabilitazione protesica, oltre che l’uso del coluttorio Ialozon Blu ad uso quotidiano, si può ricorrere alla terapia fotodinamica domiciliare. Il nuovo dispositivo Lumoral (Koite Health) permette un trattamento antinfiammatorio nei casi di prevenzione terziaria, e quindi opportuno nei pazienti implantari. La PDT basato su ICG è efficace e controlla la quantità di agenti patogeni orali, con una crescita batterica compensata in specie associate a una buona salute orale, ma senza un cambiamento nella diversità batterica complessiva. Il trattamento domiciliare del Lumoral ha un effetto antinfiammatorio e può prevenire lo sviluppo della mucosite. Dopo la riabilitazione implantare la persona assistita potrà applicare il Lumoral per 10 minuti, 2 volte la settimana, dopo aver

sciolto in acqua una compressa di Lumorinse ed aver fatto sciacquo per 60 secondi con la soluzione. Questa aderirà al biofilm batterico e la luce del Lumoral la attiverà. Successivamente alla applicazione fotodinamica, personalizzata nei tempi in base alla condizione clinica presente, il paziente potrà continuare con la sua igiene orale domiciliare.

Il fumo influenza le alterazioni ossee marginali perimplantari aumentando il rischio di un significativo aumento della perdita ossea marginale L’obiettivo da perseguire nella gestione del paziente fumatore è la sospensione totale del fumo, ma nel caso di resistenza alla disassuefazione, efficace se affidata ai centri antifumo del Servizio Sanitario Nazionale, per contenere il rischio e ridurre l’esposizione alle sostanze tossiche generate dalla combustione del tabacco (temperatura che raggiunge dai 600°C, agli 800°C durante il tiro della sigaretta tradizionale), l’uso dei prodotti a tabacco riscaldato, seppur non

privi di rischi, riduce l’esposizione alle sostanze tossiche generate dalla combustione

Il successo della terapia implantare è determinato dal controllo della stabilità, dall’approccio clinico di prevenzione efficiente, dalla scelta di tecnologie che permettano il coinvolgimento at-

tivo della persona assistita a medio e lungo termine

I follow-up sono indispensabili per intercettare segni clinici di infiammazione e per coinvolgere il paziente ad un auspicabile stato di eubiosi del cavo orale, rendendolo consapevole della multifattorietà della perimplantite data dalla presenza di biofilm batterico, dalla genetica, da stili di vita voluttuari come il fumo, dalla presenza di eventuali malattie sistemiche, dalla tipologia della riabilitazione protesica, da eventuale pregressa diagnosi di malattia parodontale.

11 www.infomedixodontoiatria.it INFOMEDIX ODONTOIATRIA ITALIANA 4 2023

Trattamento dell’osteonecrosi mandibolare da bifosfonati

Laureato in Medicina e Chirurgia nel 1986 e specializzato in Odontostomatologia presso l’Università di Torino nel 1990, è specializzato in implantologia e chirurgia orale, implantologia a carico immediato e nel posizionamento di impianti zigomatici a carico immediato

Ancora oggi non esiste un protocollo univoco di trattamento di questo tipo di complicanza e le motivazioni di questa assenza risiedono nella enorme variabilità della casistica tra paziente e paziente.

Ci sono però dei punti fermi su cui è ormai scontato che si debba fondare il proprio operato: pulizia, garantita dalla detersione profonda con l’utilizzo del PiezoClean®, e stimolazione alla guarigione indotta dal PRGF®3

I bifosfonati orali sono largamente utilizzati per la gestione clinica di un cospicuo numero di patologie come, per citarne alcune, il morbo di Paget, l’osteoporosi post menopausa e, ancora, le metastasi ossee.

Questi farmaci esplicano la loro efficacia nella limitazione importante del turn over osseo e rappresentano ancora una prima scelta dei trattamenti orientati alla ridensificazione ossea e alla limitazione della proliferazione di cellule alterate.

Il rischio di osteonecrosi della mandibola da farmaci nei pazienti con osteoporosi che assumono bifosfonati orali è estremamente basso ed è paragonabile alla prevalenza nella popolazione generale (circa 1 caso per 100 000 pazienti anno)1

La BRONJ è identificabile come una zona priva di vascolarizzazione, in cui il tessuto osseo appare necrotico, localizzabile nell'area maxillo-facciale; essa può determinare o meno una esposizione ossea.

La correlazione tra l’assunzione di bifosfonati orali e la comparsa di necrosi mandibolare è certa, così come certa è l’urgenza con cui è necessario intervenire su questo tipo di complicanza. Intercettare precocemente la problematica è possibile attraverso il follow-up. Appurata la presenza di una necrosi ossea, è indispensabile fornire all’organismo del paziente le corrette molecole antibiotiche per il trattamento e la prevenzione delle infezioni del sito chirurgico. Le complicanze di un mancato trattamento sono infatti gravi (es. compromissione del nervo alveolare, frattura di mandola, comunicazioni bucco-sinusali)2

Nel corso di questo articolo si vuole presentare l’approccio diagnostico terapeutico basato proprio sul rispetto di questi concetti fondamentali.

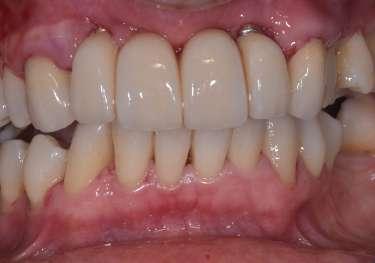
La paziente è una donna di 73 anni, in terapia con denosumab e corticosteoidi per il trattamento dell’artrite reumatoide.

È giunta per un ascesso con presenza di fistola drenante nel 4° quadrante ed è stata sottoposta a CBCT che ha rivelato la presenza di una necrosi mandibolare nella zona interessata dalla problematica ascessuale.

La necrosi, in estensione da 4.5 a 4.7, era stata precedentemente trattata con riabilitazione su impianti; sulla base di ciò è stata impostata la terapia antibiotica combinata con Amoxicillina+ac. Clavulanico e metronidazolo.

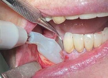
nio venoso della paziente, per il prelievo ematico necessario alla produzione del PRGF, l’apertura della bocca del soggetto stesso che, in questo caso, risultava piuttosto limitato. La progettazione chirurgica è utile anche per scegliere preventivamente il tipo di strumentazione che verrà utilizzata durante l’intervento.

La paziente è stata sottoposta a prelievo venoso per la produzione del PRGF. In seguito è stato usato anestetico locale in

autoclave, possiede una conformazione tale da adattarsi alla cresta e possiede capacità adesive che permettono di creare un effetto cavitazione al suo interno. È eccellente per la detersione degli alveoli post estrattivi, ma anche per zone più ampie, grazie alle diverse misure a disposizione.

La progettazione dell’intervento deve obbligatoriamente tenere in considerazione alcuni aspetti: l’estensione della lesione, misurabile tramite software, il patrimo-

tubofiala odontoiatrica a base di articaina 1:100000 con adrenalina, somministrata previa rilevazione dei parametri vitali.

Mediante l’esecuzione di un lembo trapezoidale è stato possibile avere accesso all’intera zona necrotica, con buona visibilità del campo, nonostante la scarsa apertura buccale.

Dopo aver scollato ed esposto la zona, mediante l’uso dello strumento ultrasonico si è rimossa la porzione necrotica.

Per questa azione di toelettatura sono stati adoperati gli inserti Esacrom ES052XGT e ES010T.

Verificata la completa rimozione del tessuto malato e appurato il ripristino della vascolarizzazione del sito, è stato ulteriormente deterso mediante una applicazione della durata di 60 secondi dell’inserto PIEZOCLEAN, il cui utilizzo produce detersione profonda della zona su cui viene applicato. Infatti il dispositivo, in silicone sterilizzabile in

Al termine della toelettatura, sono state posizionate le due frazioni di PRGF e si è effettuata sutura interna con Vycril 4/0 ed esterna con seta 4/0.

L’immagine finale mostra lo stato della mucosa a distanza di 1 anno.

Note:

1 Masoodi NA: Oral bisphosphonates and the risk for osteonecrosis of the jawBJMP 2(2):11-15, 2022.

2 Marco Mozzati, Giorgia Gallesio, Valentina Arata, Renato Pol, Matteo Scoletta. Oral Oncology, Volume 48, Issue 5, May 2012, Pages 469-474. Platelet-rich therapies in the treatment of intravenous bisphosphonate-related osteonecrosis of the jaw: A report of 32 cases 3 Massimo Del Fabbro, Giorgia Gallesio, Marco Mozzati. VOLUME 51, ISSUE 1, P62-74, JANUARY 2015. Autologous platelet concentrates for bisphosphonate-related osteonecrosis of the jaw treatment and prevention. A systematic review of the literature.

12 www.infomedixodontoiatria.it INFOMEDIX ODONTOIATRIA ITALIANA 4 2023

Post Graduate di Management in Odontoiatria

Università Vita-Salute - San Raffaele - Milano

Rettore dell’Università Vita Salute e Direttore del Corso di Laurea Specialistica in Odontoiatria e Protesi Dentaria

La gestione di un’attività odontoiatrica non può essere limitata alla soddisfazione delle proprie esigenze personali ma deve saper cogliere e soddisfare, anche e soprattutto, le aspettative degli utenti attraverso un management in grado di orientare i propri collaboratori verso il raggiungimento di risultati sempre più efficaci, efficienti e di qualità.

Un management capace di generare politiche e condizioni ottimali affinché tutto il team sia attivamente coinvolto e motivato per il raggiungimento degli obiettivi condivisi.

Il panorama attuale dell’area odontoiatrica evidenzia un mercato sempre più complesso e competitivo; la tensione economica di questi ultimi anni, la forte e crescente concorrenza nazionale ed internazionale, la generazione di nuove modalità di erogazione delle prestazioni richiedono una governabilità del management volto alla sostenibilità ed allo sviluppo dei servizi odontoiatrici.

Un management caratterizzato da capacità organizzative e di gestione dei processi decisionali, da concretezza nella pianificazione delle attività e dalla capacità di motivare i propri collaboratori e sviluppare le loro performance.

Le trasformazioni organizzative e culturali che oggi coinvolgono il mercato del settore odontoiatrico richiedono capacità di analisi, di adattamento e di gestione delle criticità a diversi livelli come quelli gestionali amministrativi, economici e relazionali.

Trasformazioni che richiedono modelli di analisi della domanda e modelli qualitativi di offerta sempre più sofisticati, con delle soluzioni manageriali che garantiscono equità, accessibilità ed efficienza in tutte le aree dell’assistenza odontoiatrica.

Diventa dunque determinante ed indispensabile saper selezionare, valutare, sviluppare e gestire soluzioni sempre più efficaci attraverso percorsi formativi mirati e ben progettati.

Se da un lato, infatti, sono necessarie e sempre più richieste le competenze clinico-tecnico-scientifiche all’avanguardia, sul versante del management è indispensabile oggi lo sviluppo di competenze relazionali e trasversali altrettanto diversificate e mirate, al fine di conseguire una maggior efficienza complessiva terapeutica ed economica.

13 www.infomedixodontoiatria.it INFOMEDIX ODONTOIATRIA ITALIANA 4 2023
Follow Us NO PRE-REGISTRATION FEE
WWW GNYDM COM
10 SPECIALTY PROGRAMS The Largest Dental Meeting/Congress/Exposition in the United States
Meeting will be held at the Jacob K. Javits Convention Center Università Vita-Salute - San Raffaele - Milano Strategie di successo professionale
VIII EDIZIONE Novembre 2023 –
Febbraio
2024 POST GRADUATE DI MANAGEMENT IN ODONTOIATRIA
Economia, Diritto, Marketing Dinamico e Strategico, Team interno e Relazioni esterne nella gestione ed organizzazione dell’Attività Odontoiatrica Prof. Enrico Gherlone

L’ASO, un ruolo di valore in costante evoluzione: siamo noi i protagonisti

ASO qualificata - Consigliere Nazionale IDEA

Catania, 26 ottobre 2019, sessione ASO. Un gruppo di colleghe curava la sessione all’interno del Congresso Regionale ANDI Sicilia.

Per la prima volta sento parlare della nostra figura come non mai, viene valorizzato il ruolo, vengono evidenziate le competenze.

In quel preciso momento un sentimento di riscatto prende vita, capisco che quel senso di appartenenza che ho sempre sentito ha un nome, quel nome, è IDEA.

Esco da quella sala carica di energia e di voglia di fare, mi riprometto di diventare parte attiva dell’associazione, prometto a me stessa di fare qualcosa per la categoria sul mio territorio, proprio come avevo visto fare dalle mie colleghe in quel congresso. Mi riprometto di non farmi più abbattere dai momenti di difficoltà, che con ogni probabilità tutti attraversiamo ed inizio a lavorare ancora di più su me stessa e sulle mie competenze.

Inizio a guardarmi intorno, capisco che bisogna avere il coraggio di intraprendere strade sconosciute per raggiungere traguardi importanti.

Passano pochi mesi, entro in IDEA come Socia Attiva e iniziando a muovere i miei primi passi al fianco di persone straordinarie, che già dal 2009 sostengono gli Assistenti di Studio Odontoiatrico, mi rendo conto di quanto era stato fatto e di quanto ancora bisognava fare. Compresi in quel momento quale fosse il lavoro che svolgevano i volontari dell’associazione Italian Dental Assistant e che mi sarei accinta anch’io a portare avanti: supportare e traghettare gli ASO verso la consapevolezza della professione.

Sono passati 5 anni dal riconoscimento del nostro profilo, a seguito della pubblicazione del Decreto del Consiglio dei Ministri del 9 Febbraio del 2018, ma in molti non hanno ancora compreso di appartenere ad una categoria, che va valorizzata e aiutata a crescere per mezzo di un costante e continuo percorso formativo. Abbiamo necessità di studiare per essere in grado di muoverci verso un reale posizionamento nel settore sanitario, privato e non, considerato che in alcune regioni, come l’Emilia Romagna, il Lazio e la Lombardia, ci sono stati i primi bandi e assunzioni nelle strutture sanitarie pubbliche.

Oggi, a distanza di quasi 4 anni, dedicandomi costantemente alle attività istituzionali, in qualità di Referente Regionale e di Consigliere Nazionale, dopo aver incontrato e dialogato, sia in presenza che virtualmente con molti colleghi e ascoltato le loro testimonianze, capisco ancor di più quanto sia fondamentale diventare una rete, fare squadra, dare voce a chi non ha voce, stimolare i giovani ASO a migliorarsi costantemente e a scuotere le vecchie leve dal torpore dell’abitudine. Tante volte mi sono ritrovata a spronare la categoria e desidero lanciare un appello anche qui: facciamoci trovare pronti e all’altezza della situazione, questa è la

stanno giocando un ruolo fondamentale 3 fattori: abilità, conoscenze e competenze. Questi sono il caposaldo e motore della nostra professione, peraltro ben definiti nel nostro DPCM.

Ma non basta! Se vogliamo fare la differenza, diventando strategiche nel raggiungimento degli obiettivi per mezzo delle nostre azioni, dobbiamo anche attingere dalle nostre risorse interiori, aumentando la consapevolezza nell’agire, affidandoci alle nostre potenzialità e a quelle competenze trasversali più conosciute come soft skill, che devono essere rafforzate durante il percorso di crescita personale e lavorativo. Questo

per gli associati. Nel 2022 sono state più di 100 le ore gratuite erogate, che hanno abbracciato tutte le tematiche, dall’area clinica a quella extraclinica.

Oggi, più che mai, l’ASO può ambire a ricoprire non solo mansioni di tipo assistenziali, ma anche incarichi manageriali.

Io ne sono l’esempio, a distanza di quasi vent’anni da quando ho varcato per la prima volta la soglia di uno studio odontoiatrico come assistente, posso dire che, con impegno, aggiornamento continuo, passione e sacrificio, ho trovato nella gestione di studio la mia realizzazione personale. Ma attenzione! Qualunque sia la nostra aspirazione non vediamola come un punto di arrivo, tutt’altro! Deve essere solo l’inizio di un affascinante viaggio, fatto di tappe, da costruire e percorrere, dove ognuna di loro è un nuovo traguardo da raggiungere e il filo conduttore è, e sarà sempre il paziente.

Un pensiero particolare va anche ai colleghi che operano in contesti dove le condizioni lavorative sono demotivanti, ma trattenuti dalla leva del bisogno non riescono a reagire o hanno paura di reagire, o ancor peggio cambiare. A loro voglio dire di non arrendersi, di continuare a guardarsi attorno, di investire ancora di più nella propria crescita personale, di avere il coraggio di dire no e di andare al di là dell'ostacolo e così scoprire che la nuova destinazione potrebbe sorprenderci.

Noi Volontari, ci adoperiamo anche per questo, per supportarci nei momenti difficili dove il sentirsi soli e incompresi prende in noi il sopravvento.

mia mission, la mission di IDEA, e dobbiamo lavorare uniti verso questa direzione. Rimbocchiamoci le maniche e poniamoci costantemente degli obiettivi, tangibili e misurabili, in primis come singoli individui, unici e speciali e conseguentemente come comparto del settore odontoiatrico, che svolge un ruolo imprescindibile al fianco degli odontoiatri e all’interno del team.

Nel percorso evolutivo dell’odontoiatria, dove sempre più studi da mono professionali diventano studi associati,

il mindset da perseguire: armiamoci dell’arma più potente al mondo, il sapere!

Approfondiamo quello che sappiamo, studiamo quello che non sappiamo. Per questo è basilare che gli argomenti da approfondire (ricordo l’obbligo di 10 ore minimo di aggiornamento all’anno) devono essere selezionati dalla stessa ASO e non da soggetti diversi, come molto spesso capita di vedere. IDEA propone annualmente corsi di aggiornamento in modalità e-learning e in presenza, molti di questi sono gratuiti

Questo vuole essere un messaggio di forza e speranza, ringrazio tutti coloro che mi hanno aiutata nel mio percorso personale e lavorativo, chi ha creduto in me, ma soprattutto ringrazio chi mi ha ostacolata e reso le cose difficili, perché, è grazie a loro, che mi sono rialzata più forte di prima ed è sempre grazie a loro che ho potuto prendere dei treni speciali, che oggi mi hanno portata a vivere forse uno dei momenti più belli della mia carriera professionale.

Stiamo avendo il privilegio e la possibilità di tracciare l’evoluzione dell’ASO, siamo noi i protagonisti!

INFOMEDIX ODONTOIATRIA ITALIANA 4 2023 14 www.infomedixodontoiatria.it

Madagascar: il volontariato non va in ferie

Continua dalla prima pagina

Ma la vita del volontario non è certamente ammirare il paesaggio, è fatta di un costante impegno e attenzione verso il prossimo. Abbiamo già parlato, nei nostri scorsi appuntamenti, del Centro Nutrizionale e della coltivazione della moringa. Progetto sempre operativo e che occupa un posto fondamentale nell’attività e negli obiettivi di tutti noi. Il nostro moderno, e grande mulino per produrre farine arricchite per la cura della malnutrizione infantile è ancora nella fase di completamento. Tutte le macchine sono funzionanti ma sta per arrivare a giorni l’ultimo elemento fondamentale per poter iniziare una vera produzione di farine arricchite. Fra pochi giorni arriverà il tostatore a specchi solari che utilizza il sole e non energia elettrica per tostare qualsiasi tipo di granaglia…ma di questo ve ne parleremo in un'altra occasione. Se pensate che produrre farine alimentari sia cosa semplice, vi sbagliate di grosso. Beh, con l’aiuto di esperti stiamo impa-

Per alcuni di noi volontari, la giornata si sviluppa invece affiancando il lavoro degli altri Servizi come il nostro laboratorio di ottica che rappresenta, ormai da anni, l’eccellenza del nostro Centro Sanitario. Infatti, produciamo quasi 500 occhiali al mese oltre alla distribuzione dei “premontati” e degli occhiali da sole. Ma quest’anno abbiamo inaugurato un nuovo locale per ospitare visite di ortottica, un laboratorio per molare le lenti e adattarle alle “montature” e un locale di accettazione. Tanti gli amici che ci hanno aiutato, come Vision + onlus per le montature o la Tavola Valdese e la Fondazione Prima Spes per il progetto “vedere lontano”.

La costruzione del laboratorio di ottica e il finanziamento ottenuto dall’Università di Valentia, ci hanno consentito di ristrutturare e ridisegnare la mappa del Centro Sanitario a seconda delle nuove esigenze di utenza e di razionalizzazione degli spazi.

Infatti, ci sono giorni in cui l’affluenza è veramente alta con oltre 500 accessi.

nell’ala dedicata all’infermeria, (dove le nostre infermiere gestiscono le terapie iniettive, medicazioni, piccole suture, ECG) e naturalmente non bisogna dimenticare il nostro Centro Nutrizionale, per le visite ai bambini malnutriti e la distribuzione delle farine arricchite.

Direttore amministrativo e segretaria lasciamoli pure nei loro uffici dedicati ai servizi amministrativi ma non dimentichiamoci dei locali per “l’ingegneria Clinica”, con l’officina informatica e biomedicale, gli spazi per le ecografie, il locale di rianimazione post chirurgica e neonatale vicino alla sala operatoria e alla sala parto e naturalmente il reparto degenza.

Siamo cresciuti vero? E tutto merito della costante progettualità di Change alla ricerca di fondi istituzionali ma anche del lavoro dei volontari e naturalmente vostro che ogni giorno ci sostenete e ci aiutate con il vostro 5x1000 e con le vostre donazioni.

rando che produrre farine è una… faccenda… complessa, per la selezione e la preparazione delle granaglie da macinare. Infatti, le materie prime devono essere “sane”, indenni da infezioni fungine (aflatossine), senza insetti infestanti, di giusta essicazione (umidità compresa fra il 13,5% e 15%) pena “l’impastamento” del mulino. Non ci deve essere terra, legno, residui vegetali. insomma alle granaglie deve essere fatto un vero e proprio “triage” prima di poterle trasformare in farina. E poi c’è la tostatura per poter produrre farine sane e veloci da cuocere… la popolazione utilizza piccoli fuochi alimentati da legno o carbone e non può sprecare tempi lunghi per cuocere…troppo costoso. La tostatura serve proprio a questo.

Abbiamo perciò creato una nuova accettazione/cassa/dispensario farmaci, riunendo il tutto in uno stesso locale ma con tre sportelli dove le nostre impiegate possono eseguire operazioni di accettazione, cassa e distribuzione di farmaci a seconda della richiesta del momento, rendendo meno pesante e lungo il tempo di attesa dei pazienti che sin dal mattino presto arrivano al nostro Centro e che per tornare a casa impiegheranno ore di cammino.

Insomma, il volontario di Change ETS deve essere “adattabile”, si sposta tra gli studi medici e il, lasciatemelo dire, grande e gioioso studio pediatrico, con un meraviglioso affresco alla parete con “Timon, Pumba e Simba”, passando

Non mancano momenti di sconforto nella vita quotidiana del volontario, quando ad esempio arrivano pazienti in gravi condizioni con una netta prevalenza delle patologie da insufficienza cardio-respiratoria, ma ci sono anche momenti di felicità, come la nascita di un piccolo malgascio durante un cesareo programmato. La nostra sala operatoria è perfettamente funzionante

e svolge un lavoro prezioso che ci ha regalato molte soddisfazioni. Pensate, attualmente facciamo circa 10 interventi al mese, programmati! Non possiamo ancora avere una chirurgia d’urgenza, troppo onerosa per Change ma è uno degli obiettivi che ci prefiggiamo e speriamo in un prossimo futuro. Dimentico qualcosa? Ma certo ci sono le missioni nei villaggi attorno ad Ampefy, la parte viva e importantissima nella vita del missionario, per raggiungere quella parte di popolazione che è in difficoltà a venire al Centro ed è più povera. Il nostro impegno si sviluppa anche con “campagne” di formazione che le nostre ostetriche svolgono nei villaggi al seguito della “Clinica Mobile” per la sensibilizzazione sul “Percorso di Gravidanza, sulla malnutrizione in gravidanza e sul parto protetto”. Pensate, le donne seguite attualmente sono circa 200 e ogni mese abbiamo più di 10 parti. Ora vi saluto, devo tornare a fare il volontario sperando, in queste poche righe, di avervi suscitato interesse, emozioni, voglia di partire e venirci a trovare e fare il volontario con noi o anche più semplicemente, ma di pari importanza, di diventare nostri associati. Seguiteci sui nostri canali social e visitate il nostro sito per rimanere sempre informati.

www.change-onlus.org

INFOMEDIX ODONTOIATRIA ITALIANA | La condivisione del sapere | 3 2022 ACCADEMIA INTERNAZIONALE DI ODONTOIATRIA LASER ASSISTITA www.aiola.org 15 www.infomedixodontoiatria.it
Il diario di un volontario: un viaggio fra emozioni, centro sanitario, villaggi e… molto altro!

A.I.O.L.A.: Rinnovamento e Innovazione per l'Odontoiatria Laser Assistita

A.I.O.L.A., l'acclamata associazione scientifica italiana che raggruppa dentisti esperti nell'uso del LASER in odontoiatria, si appresta a inaugurare una nuova fase di crescita e rinnovamento. Guidata dal nuovamente eletto Dr. Maurizio Maggioni, la nuova direzione si distingue per l'inclusione di figure chiave che porteranno una ventata di freschezza e un impegno senza precedenti all'interno del direttivo.

I nuovi progetti ambiziosi dell'associazione promettono di dare un impulso significativo al campo dell'odontoiatria laser assistita. Tra queste iniziative si annuncia il completo rifacimento del sito web di A.I.O.L.A.

Il nuovo portale non sarà solo più intuitivo e user-friendly, ma includerà anche una sezione riservata ai soci con videocorsi e materiale esclusivo. Questo sarà uno strumento fondamentale per favorire lo scambio di conoscenze tra i membri e promuovere l'aggiornamento continuo nell'ambito del laser in odontoiatria.

Ma la novità più attesa è la serie di webinar educativi che A.I.O.L.A. lancerà a partire da settembre. Questi seminari online, dedicati a temi importanti nell'ambito LASER, forniranno un'opportunità di apprendimento e crescita professionale senza pari per i membri dell'associazione.

Altro pilastro della nuova strategia di A.I.O.L.A. è l'inclusione attiva degli igienisti dentali nel campo del LASER. Questi professionisti,

essenziali in ogni studio dentistico, sono potenziali utilizzatori entusiasti del laser. Il coinvolgimento degli igienisti dentali non solo migliorerà la qualità del servizio fornito ai pazienti, ma potrà anche contribuire a diffondere l'uso del LASER in odontoiatria su una scala più ampia.

Infine, l'associazione ha in programma di patrocinare importanti congressi clinici che affrontano temi legati al LASER. Questo contribuirà a consolidare la presenza di A.I.O.L.A. nel panorama scientifico italiano e internazionale e a promuovere lo scambio di idee tra i professionisti del settore.

In conclusione, il futuro dell'odontoiatria laser assistita è più luminoso che mai grazie all'impegno di A.I.O.L.A. e alla sua strategia di rinnovamento. Ora, più che mai, è il momento di unirsi a questa comunità dinamica e di contribuire a plasmare il futuro del nostro settore.

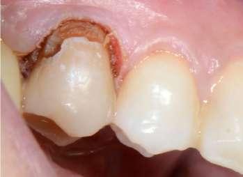
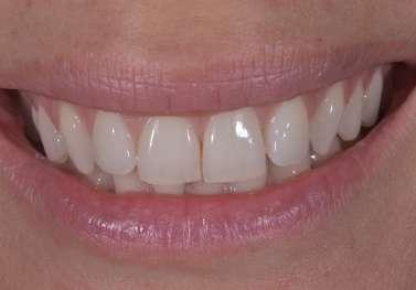
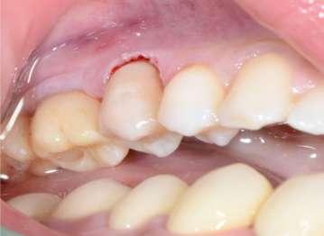
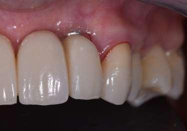
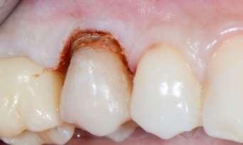
Trattamento di carie cervicale di elemento 1.5 con laser a Erbio

Francesco Buoncristiani - DDS, MSC

1 2

Paziente femmina, 38 anni che presenta carie cervicale dell’elemento 1.5. Gengivectomia con manipolo angolato, tip in zaffiro con diametro di 400 μm, lunghezza 12 mm, 2.4 W, 20 Hz, 120 mJ E per impulso, potenza di picco 750 W, densità di potenza media 659 W/cm2, densità di potenza di picco 205,860 W/cm2, energia totale 432 J, larghezza impulso 160 μs, distanza tip-tessuto 1 mm, 50% acqua, 50% aria, tempo totale di trafamento 180 sec. Impostazioni dello smalto: manipolo angolato, tip in zaffiro diametro 800 μm, lunghezza 12 mm, totale energia 810 J, ampiezza dell’impulso 160 μs, distanza tip-tessuto 1 mm, 100% acqua, 70% aria, tempo di trafamento totale 180 sec.

www.aiola.org

3 5 6

Impostazioni dentina e smear layer: tip in zaffiro con diametro 800 μm, lunghezza 12 mm, 3.3 W, 20 Hz, 165 mJ, potenza di picco 1031 W, densità di potenza media 360 W/cm2, densità di potenza di picco 112,346 W/cm2, energia totale 594 J, ampiezza dell’impulso 160 μs, distanza tip-tessuto 1 mm, 100% acqua (18 ml/min), 70% aria, tempo di trafamento totale 120 sec.

INFOMEDIX ODONTOIATRIA ITALIANA 4 2023
16 www.infomedixodontoiatria.it
Fig. 1 – Cavità su 1.5 Fig. 2 – Particolare della cavità del dente 1.5 Fig. 3 – Preparazione Laser Er:YAG Pluser con lunghezza d’onda di 2940 nm di LAMBDA DoctorSmile, Italia. Fig. 4 – Particolare della cavità dopo gengivectomia Fig. 5 – Particolare della cavità completata dopo la preparazione della dentina Fig. 6 – Restauro finale in composito (Asteria Tokuyama, Japan)
4
www.miromedgroup.ch 6850 Mendrisio - CH www.befiller.com R APPRESENTANTE EUROPEO MIROMED s.r.l Tel. +39 0293572150 - www.miromed.it

exoplan 3.1 Rijeka per tutte le vostre esigenze di pianificazione implantare

CHIRURGIA GUIDATA LA TUA STRADA

exoplan 3.1 Rijeka, offre chiarezza e sicurezza nella chirurgia guidata. E' il software favorito per la pianificazione implantare protesicamente condotta. Trai vantaggio dalla pianificazione semplificata e da una più facile collaborazione con i laboratori e gli odontoiatri lungo tutto il percorso di trattamento e scegli le librerie implantari per ottenere risultati predicibili.

Imagine the CAD ABILITIES

NUOVA VERSIONE DISPONIBILE

Ridurre i tempi di progettazione, migliorandone i risultati

L’odontotecnico Friedemann Stang è Supervisor nel team di Global Customer Support per DentalCAD. Si occupa dell'assistenza e della formazione dei partner tecnologici e commerciali, oltre che degli utenti di exocad. In occasione dei seminari online, illustra nel dettaglio l’applicazione del software DentalCAD.

exocad, un’azienda della Align Technology Inc., nonché uno dei principali produttori di software CAD/CAM per il settore dentale, con il suo potente software CAD per laboratori e cliniche, DentalCAD 3.1 Rijeka , offre agli utenti oltre 45 nuove funzionalità e più di 85 miglioramenti a quelle esistenti, che permettono di risparmiare tempo e ottimizzare i flussi di lavoro. In attesa della nuova, ed imminente, DentalCAD release, l’odontotecnico Friedemann Stang, Supervisor nel team di Global Customer Support di exocad, ci presenta le sue cinque funzionalità preferite.

Progettare, salvare e riutilizzare i modelli dentali

se tali modelli memorizzati debbano essere utilizzati nuovamente per una ricostruzione successiva sullo stesso paziente. Gli utenti di DentalCAD possono quindi riprodurre il lavoro di progettazione in modo preciso e affidabile nel corso del trattamento del paziente per le varie ricostruzioni protesiche.

Virtual Articulator: Ora disponibile anche in modalità a forma libera

Smile Creator offre varie funzionalità avanzate. Ad esempio, ora gli utenti dispongono di ulteriori opzioni per selezionare il colore del dente corretto da una palette di tonalità e cambiare la visualizzazione tra prima e dopo. Per migliorare le comunicazioni tra gli odontotecnici e i dentisti, nel laboratorio è possibile salvare la pianificazione estetica in un documento PDF per il dentista. Quello che mi piace di più di Smile Creator , però, è la nuova "Smile Window”, che gli utenti possono aprire dopo aver completato la progettazione. La “Smile Window” mostra la progettazione finale come anteprima bidimensionale all’interno della bocca del paziente, con i seguenti vantaggi: se gli odontotecnici devono modificare nuovamente il design finito, possono seguire contemporaneamente le correzioni sulla foto bidimensionale all’interno della “Smile Window” e verificare se l'estetica resta adeguata per il viso del paziente.

Questa funzione risulta particolarmente utile per gli utenti esperti di Smile Creator, nel momento in cui desiderano verificare se la loro ricostruzione possa essere applicata come progettato.

Il

Il lavoro quotidiano degli odontotecnici prevede la personalizzazione dei denti partendo da una delle oltre 70 librerie. Per far ciò, gli utenti ricorrono alla modalità a forma libera. Ora è possibile aprire il Virtual Articulator direttamente in modalità a forma libera e seguirne i movimenti all’interno di una finestra supplementare che si apre sullo schermo. In passato, gli utenti esperti potevano fruire di questa funzione nella modalità esperto. Ora invece gli utenti possono accedervi direttamente nel flusso di lavoro free-form senza passaggi intermedi, in modo più semplice e rapido.

A questo punto del lavoro può essere utile riaprire il Virtual Articulator quando, ad esempio, l’odontotecnico configura denti opposti. Per esempio, è possibile verificare agevolmente l’orientamento dei canini guardando i movimenti dell’articolatore. Questa funzione è disponibile per tutti coloro che lavorano con il modulo aggiuntivo Virtual Articulator

Smile Creator: Con la nuova “Smile Window”, tutte le fasi CAD possono essere visualizzate sulla foto del paziente

Modulo FullDenture : regolare con precisione ciascun dente posteriore in pochi click

Spesso i laboratori devono creare protesi diverse per lo stesso paziente, dal modello di prova, fino alla protesi provvisoria e a quella definitiva. Nel trattare il caso di un paziente, può essere utile e rapido poter tornare al design iniziale, con la forma e la configurazione del dente. La versione DentalCAD 3.1 Rijeka permette di farlo. Il software salva automaticamente i modelli dentali per impieghi futuri. Se i modelli dentali sono già stati progettati e salvati per un paziente, il software chiede automaticamente

Nella definizione dei denti di protesi totali, gli utenti di DentalCAD 3.1 Rijeka godono ora di maggiore flessibilità nella progettazione dei denti posteriori. In passato, i denti posteriori venivano caricati in blocco per l’arcata superiore e inferiore nell’occlusione corretta. Le nuove funzioni “Opposite as pair” (opposti in coppia) e “Lower/Upper jaw separately” (arcata superiore/inferiore separatamente) consentono agli utenti di isolare e adattare singole coppie di antagonisti o di separare completamente i denti dell’arcata superiore e inferiore per poter configurare liberamente ciascun antagonista rispetto a un altro. Con la nuova funzione di separazione dell'arcata superiore e inferiore, è possibile applicare singole configurazioni dentali, come il morso incrociato.

Questo nuovo strumento è particolarmente utile per gli esperti di protesi totali, che hanno la possibilità di configurare i denti posteriori per una protesi in piena libertà e flessibilità rispetto ai requisiti specifici del paziente, personalizzandone

20 www.infomedixodontoiatria.it
così la funzione.
INFOMEDIX ODONTOIATRIA ITALIANA 4 2023
Fig 1: Caricare modelli dentali precedenti. DentalCAD salva automaticamente i modelli dentali definiti in precedenza e, se richiesto, può caricarli nella simulazione. Fig 1.2: Caricare modelli dentali precedenti Fig. 2: Virtual Articulator in "forma libera” Virtual Articulator è disponibile direttamente nella fase a forma libera. Questo permette di adattare agevolmente le singole occlusioni alla situazione specifica. Fig. 3: Opzione "Smile Window” Al termine del lavoro con Smile Creator, la nuova "Smile Window” permette di verificare in qualsiasi momento l'aspetto di quanto progettato all’interno della bocca del paziente.
Laboratorio in digitale Laboratorio in digitale Laboratorio in digitale Laboratorio in digitale Laboratorio in digitale Laboratorio in digitale Laboratorio in digitale Laboratorio in digitale Laboratorio in digitale
Fig. 4: Personalizzazione delle protesi di denti posteriori: la maggiore flessibilità viene garantita dalla possibilità di adattare ciascun dente posteriore nella configurazione di protesi totali.

"DentalCAD 3.1 Rijeka è una versione che offre molte utilissime funzioni per tutti gli utenti, dai principianti agli esperti, fino ai più qualificati. I nostri sviluppatori software hanno ascoltato e messo in pratica molti suggerimenti degli utenti. Quindi c’è qualcosa per tutti.”

“Sono colpito da quanto funzionino bene insieme DentalCAD e il software di pianificazione di impianti exoplan, che è stato ulteriormente sviluppato con questa versione.” - Friedemann Stang su

DentalCAD 3.1 Rijeka

Model Creator: passare quasi automaticamente al modello stampabile con “Quick Models”

Model Creator è il modulo aggiuntivo di DentalCAD per la creazione di modelli fisici partendo da una serie di dati digitali.

La nuova funzione “Quick Models” semplifica e automatizza la preparazione della stampa dei modelli: gli utenti definiscono in modo virtuale i margini di preparazione, selezionano il tipo di modello da stampare e, se i dati 3D sono adeguati, la nuova funzione calcola automaticamente il modello stampabile sulla base di parametri preimpostati. In questo modo gli utenti non devono cliccare sui singoli parametri di preparazione alla stampa. La produzione dei modelli diventa un passaggio del lavoro semplice e ripetibile. Se per un paziente è opportuno individualizzare le impostazioni di default per il caso specifico, gli utenti possono comunque procedere in questo modo.

Nei laboratori che producono molti modelli ogni giorno, “Quick Models” permette di risparmiare tempo e semplificare il lavoro di realizzazione degli stessi.

Un altro consiglio per i principianti: se iniziate a usare Model Creator , sarà necessario inserire alcuni parametri per la produzione del modello. Il software offre moltissime opzioni diverse per l’inserimento dei parametri. L’utente riceve una spiegazione di ciascuna opzione tramite un piccolo pittogramma animato (Fig. 6), che appare sullo schermo.

Questa funzione è utile anche agli esperti per la formazione degli odontotecnici, dal momento che spesso è più facile presentare chiaramente un parametro mostrandolo, invece che spiegandolo a parole.

Per ulteriori informazioni exocad.com/en/our-products/ dentalcad-rijeka

21 www.infomedixodontoiatria.it INFOMEDIX ODONTOIATRIA ITALIANA 4 2023
Fig. 5: Model Creator – con la nuova funzione “Quick Models”, gli utenti possono passare quasi automaticamente al modello stampabile. “Quick Models” aumenta rapidamente la produttività dei tecnici esperti.
Laboratorio in digitale Laboratorio in digitale Laboratorio in digitale Laboratorio in digitale Laboratorio in digitale Laboratorio in digitale Laboratorio in digitale Laboratorio in digitale Laboratorio in digitale ACQUISTA LE TUE COPIE
Fig. 6: Inserire preselezioni: le utili animazioni mostrano l’esatta funzione di ciascun parametro.
Resta aggiornato sulle pratiche cliniche e i prodotti più innovativi del settore dentale

Questione odontotecnica: riforma subito o estinzione

vero, che spazzi via quello del 1928!

L’Italia era tra le prime 4 nazioni al mondo, ora si trova ad essere quasi un fanalino di coda; solo le iniziative dei singoli possono rimettere un po' le cose in ordine, ma senza l’intervento del legislatore non ci sono e saranno speranze!

che, odontoiatriche e università, trovato nel Consiglio Superiore di sanità nel 2001, dove non vi furono obiezioni da parte di nessuna organizzazione medica e poi ribadito con qualche compromesso l'11 luglio del 2007 (ero personalmente presente sul posto).

Alberto Battistelli è membro del comitato scientifico di numerose riviste di settore dal 1984. Tiene corsi, convegni e ha pubblicato numerosi articoli in Italia e all’estero. Coautore del libro “Precision in Prosthetic Restauration” Resh Editor 1993, insieme a Romeo Pascetta e Dr. Domenico Massironi.

Ha ideato il nuovo sistema per modellare la forma naturale e funzionale dei denti, basato su concetti matematico-geometrici denominato A.F.G. (Anatomic Functional Geometry) pubblicato in 13 lingue sui libri AFG modelling e AFG memo editi dalla Teamworkmedia s.r.l..

Nel 2019 è stato premiato, con cerimonia dedicata, dall’ufficio di presidenza del Senato della Repubblica Italiana, presidente On. Sen. Maria Elisabetta Alberti Casellati, per aver reso AFG una “Eccellenza Italiana nel Mondo”.

Ormai anche i dentisti, le università e le istituzioni stesse stanno prendendo atto che non si può più andare oltre; o si mette mano al profilo professionale dell’odontotecnico italiano oppure questo prezioso servizio al cittadino/ paziente, che è sempre stato un fiore all’occhiello della nazione si estingue, non uso il futuro, estinguerà, il verbo è al presente.

Occupandomi da sempre di formazione, incontro e ascolto sia medici che odontotecnici pressoché quotidianamente e ciò che si evince è una carenza ormai cronica di odontotecnici.

Negli anni 90 si potevano contare quasi 20.000 laboratori fisicamente presenti sul territorio, oggi se ne trovano poco più di 7000. Se si tiene conto della velocità di discesa si può immaginare che nel giro di 3-5 anni si scenderà sotto i 5000. Ci vuole un profilo professionale europeo

Dove andare e che direzione prendere? Non ci sono tanti dubbi e non è il caso di mettere in moto fantasie e stranezze, c’è una strada già tracciata negli anni 90, quella delle professioni sanitarie!

In Romania l’odontotecnico è professione sanitaria con laurea triennale! Ho vissuto direttamente tutto il percorso e sono tra le persone, che si contano sulle dita di una mano, che sono state sempre presenti (direttamente o indirettamente, con l'associazione sindacale da me fondata nel 2008, il CIOd - Collegio Italiano Odontotecnici) nelle sedi ministeriali per dibattere e combattere. Onestamente bisogna dire che troppe voci interne all’odontotecnica prive di conoscenze e di interesse pubblico, hanno generato confusione e lo fanno tutt’ora. C’è un punto fermo inequivocabile, il prodotto di un compromesso tra tutte le organizzazioni odontotecni-

Fu messo nero su bianco che l’odontotecnico deve diventare professione sanitaria con laurea triennale, seguendo le altre 22 professioni già regolamentate con la 502 del 1992. Il confronto col Ministero della salute iniziò a dire il vero con molto ritardo, addirittura nel 2000 e si dovettero fare i conti con il grande intoppo successivo: il famigerato Titolo V della costituzione.

Punti fermi, l’esclusività della fabbricazione dei dispositivi medici e partecipazione alle prove di congruità al fianco del medico, sotto la sua responsabilità. Si decise per l’equipollenza e non equivalenza dei titoli, per mettere gli operatori precedenti al titolo tutti sullo stesso piano e non creare conflitti interni. Ci si è fermati qui!

L’università (Medicina-odontoiatria) era il vero motore di questo progetto

e anche oggi lo deve essere! Tentare di dirottare l’odontotecnica verso le bioingegnerie e fuori dall’area medica significa metterla fuori contesto, isolarla in mezzo ad un oceano ostile e sconosciuto, dove non troverà supporto, sostegno e condivisione di professioni sorelle!

Bisogna fuggire le elucubrazioni e le fantasiose iniziative, il nuovo titolo abilitante universitario ha già la sua legge di riferimento (502/92) e ciò che ne è seguito!

Se si volesse seguire invece la via parlamentare si potrebbe anche fare con una nuova legge, ma dovrebbe partire sempre dai contenuti già usciti dal CSS.

Rivedere il profilo senza la laurea triennale è una vergognosa assurdità che mette l’odontotecnico del futuro in basso nella società con un titolo che lo pone nei bassifondi, mentre gli chiede esperienze e conoscenze superiori per l'obbligo di certificazione dei dispositivi, i quali incidono sulla salute pubblica e sul portafoglio del cittadino paziente. Per concludere: una base culturale più alta è vitale, ma non si dovrebbe perdere di vista che le abilità manuali vanno conservate e formate precocemente a supporto e guida della produzione digitale. Il percorso concordato e uscito dal CSS del 2007 va solo confermato senza toccare una virgola né in più né in meno!

22 www.infomedixodontoiatria.it INFOMEDIX ODONTOIATRIA ITALIANA 4 2023

SprintRay presenta la nuova resina NightGuard Flex

L’attesa è finalmente finita, SprintRay è lieta di annunciare che adesso la nuova resina per bite occlusali NightGuard Flex è disponibile anche per il mercato EMEA. Dopo l’entusiasmo suscitato negli USA da questa nuova resina di casa SprintRay, finalmente anche i dentisti e i pazienti europei e dell’area EMEA potranno trarre beneficio da questo nuovo prodotto nato appositamente per stampare in 3D i vostri bite occlusali. La nuova resina di casa Sprintray nasce per dare una migliore esperienza d’uso sia ai dentisti che ai loro pazienti.

NightGuard Flex è stata formulata da zero per creare la guardia occlusale stampata in 3D più veloce e confortevole dell'odontoiatria. Grazie all'elevata resistenza agli urti e alla flessione a temperatura corporea, i pazienti apprezzeranno il comfort e la durata. La protesi, facile da lucidare e da pulire, offre una vestibilità e una finitura di livello superiore. Inoltre, NightGuard Flex è insapore e garantisce un'erogazione omogenea. Progettato per funzionare in tandem con i sistemi di stampa 3D SprintRay Cloud Design e Pro, questo materiale biocompatibile*

permette di creare miglioramenti in tutto l'ecosistema di fabbricazione. La maggiore velocità di stampa e la migliore stabilità dimensionale durante la stampa consentono di risparmiare tempo e resina. Poiché il bruxismo è una patologia comune in tutto il mondo, le nightguard sono indicazioni utili per molti pazienti, e rivestono un ruolo importante nel flusso di lavoro di tutti gli studi e i laboratori. SprintRay offre anche la progettazione di queste indicazioni con suoi servizi di progettazione cloud. Grazie alla progettazione AI e alla collaudata resina SprintRay Nightguard Flex, SprintRay intende aiutare i professionisti del settore dentale a proteggere il sorriso dei loro pazienti. "Siamo felici di poter offrire il nostro ultimo materiale per Nightguard ai nostri clienti europei. Presentiamo un materiale resistente ma flessibile, che è il preferito dai pazienti di tutto il mondo", afferma Patrick Thurm, Direttore Generale di SprintRay Europe. SprintRay aggiorna costantemente la propria lista di resine disponibili, fornendovi un ampio ventaglio di resine sia SprintRay che di altre marche del settore, e vi accompagna nella progettazione, stampa

e consegna dei bite occlusali per i vostri pazienti, per rivoluzionare il vostro workflow giornaliero e innovare insieme a voi i prossimi 100 anni dell’odontoiatria. Se volete saperne di più su come integrare la stampa 3D nel vostro flusso di lavoro, contattate Sprintray oggi stesso.

www.sprintray.com/it-it

INFOMEDIX ODONTOIATRIA ITALIANA 4 2023 POTETE STAMPARE IN 3D TUTTE QUESTE APPLICAZIONI, IN STUDIO. I L W O R K F L O W D I S T A M P A 3 D D E N T A L E P I U ' V E L O C E SprintRay Europe GmbH Brunnenweg 11 64331 Weiterstadt info.eu@sprintray.com www.sprintray.com 00800 70 70 8000 RICHIEDI UN CAMPIONE
info.eu@sprintray.com

Verso una transizione digitale

Unireanalogicoedigitaleèfondamentale perprogettareuneccellentelavoroprotesico

Dentecom dal 1976 si occupa di fornitura e consulenza del settore della protesi odontoiatrica e, dal 2004, in particolare, di implantologia dentale. In quest’ultimo anno abbiamo inserito nuovi elementi per la transizione digitale dello studio odontoiatrico, nello specifico, lettori scanner e relative apparecchiature digitali per il laboratorio odontotecnico.

Nello specifico, cosa offre la Dentecom allo studio odontoiatrico?

quest’ultimo problema, che si presenta spesso nello studio, qualifica molto il servizio che il medico offre al paziente.

Come rientra la vostra consulenza personalizzata in questa transizione digitale?

Quale impianto devo usare per questo paziente? Con quali materiali rilevare l'impronta? Quale abutment utilizzare?

Ogni implantologo si è fatto queste domande nella sua vita professionale.

Dentecom, nota nel panorama implantologico nazionale, accompagna lo studio odontoiatrico verso una, necessaria, transizione digitale, offrendo nuove apparecchiature e tecnologia. Grazie all’esperienza decennale nel settore del laboratorio odontotecnico, e al know-how acquisito, unisce i due mondi, analogico e digitale, offrendo personalizzazione, competenza, qualità e funzionalità.

Quale evoluzione c’è stata, nella Dentecom, in quest’ultimo anno?

Con la nostra offerta l’odontoiatra cura tutto il flusso di lavoro che va dall’impronta digitale, al rilevamento dei colori, fino alla progettazione protesica da trasferire al laboratorio. Oltre a questo, ovviamente, la scelta dell’impianto, con relativa componente protesica, il protocollo di rigenerazione ossea ed eventuali soluzioni di chirurgia guidata. Inoltre, siamo sempre disponibili ad offrire soluzioni protesiche di impianti inseriti in altre strutture odontoiatriche. La soluzione di

Abbiamo la migliore offerta di apparecchiature scanner, i più efficaci prodotti del mercato internazionale. Tuttavia, riteniamo importante non affidarsi esclusivamente ad un software, bensì usufruire di una consulenza più personalizzata, sfruttando anche il grande know-how di tipo analogico che è fondamentale per progettare un eccellente lavoro protesico. Si rischierebbe altrimenti un’eccessiva “amazonizzazione”, standardizzazione, del rapporto studio-laboratorio. Dentecom percorre la strada intermedia, offrendo la sua esperienza di laboratorio odontotecnico, coniugando i due mondi: analogico e digitale.

DENTECOM, specialista in implantologia, offre in sede la sua consulenza.

Gloria che va… gloria che viene!

Dopo un’avventura durata 25 anni,l’EV1 SJ lascia il posto al nuovo modello EV5

Ora, dopo 25 anni, il Generatore di Vapore EV1 SJ va a riposo!

Frutto della ricerca e dell’innovazione tecnologica, nasce il nuovo Generatore di Vapore a marchio Silfradent:

EV 5 - 4,5 BAR CARICAMENTO

MANUALE

Questo nuovo modello ha la resistenza esterna a contatto. Un innovativo, performante e duraturo sistema di riscaldamento, senza correnti elettrostatiche che possono alterare le strutture ceramiche.

Un design accattivante in una struttura completamente in acciaio inox. Un sistema di qualità di lunga durata

con semplice manutenzione ordinaria. Il prezzo? Oggi la tecnologia avanzata consente di avere la massima qualità a prezzi super convenienti.

Un’avventura che ci ha galvanizzati ed emozionati per 25 anni!

25 anni fa… allora eravamo più giovani… la nostra troupe di tecnici (sempre un po’ inventori) metteva al mondo i più performanti Generatori di Vapore con riempimento manuale e automatico, a bassa e media pressione di eserci-

zio. Nascevano i più sicuri e forti Generatori di Vapore!

Furono tanti ad adottarli e loro si facevano benvolere da tutti! Tutti li amavano perché era un piacere utilizzarli su tutti i materiali in ogni occasione.

Silfradent srl

Via Giuseppe di Vittorio 35/37 - 47018 S. Sofia (FC) - Italy

+39 0543 970684 | info@silfradent.com | www.silfradent.com

www.instagram.com/silfradent.srl/ www.facebook.com/silfradent.srl

24 www.infomedixodontoiatria.it
Via Francesco Saverio Sprovieri, 35 - 00152 Roma (RM) T. +39 06 58330870 | +39 392 6060066 dentecom.srl@gmail.com
Rigenerazione ossea
in mano Per saperne di più contatta ora dentecom.srl@gmail.com : Lettura digitale
:
IMPLANTOLOGIA GUIDATA Chiavi
INFOMEDIX ODONTOIATRIA ITALIANA 4 2023
Fabio Ansuini

La sicurezza informatica delle diagnosi a distanza

Nel corso degli ultimi mesi, molti di noi hanno interagito con i propri pazienti e il proprio staff attraverso chiamate, messaggi, e-mail e video-chat. Abbiamo spesso chiesto ai pazienti che ci hanno contattati con urgenza di usare il loro smartphone per mandarci un “selfie” oppure una foto dei loro problemi, da denti rotti a corone scomparse.

Molti professionisti hanno utilizzato Zoom, FaceTime, Skype o altre App che hanno consentito una consultazione e una discussione faccia a faccia in occasione di prescrizioni per cure "non essenziali". E ora ci sono molte aziende che dispongono di portali sicuri per l'interazione con i pazienti.

Per ulteriori informazioni: https://www.dentistrytoday.com/from-a-distance/

Interazione tra la perdita dei denti e il restringimento dell'ippocampo

sorriso!"

Quante volte ci è capitato di sentire la frase “voglio migliorare il mio sorriso?” In molte di queste situazioni, ciò che il paziente vuole può essere completamente diverso dal nostro parere spontaneo.

Spesso si tratta di volere semplicemente un sorriso più luminoso/bianco. Anche la definizione stessa di “denti bianchi” per molti pazienti è diversa da quella professionale.

Alcuni di questi pazienti richiedono lo sbiancamento delle loro faccette nella speranza che

Una ricerca rivela una potenziale connessione tra parodontite, caduta dei denti e atrofia dell’ippocampo, la regione del cervello cruciale per la memoria e associata con la sindrome di Alzheimer. Questo studio non dimostra una relazione causale ma stabilisce un collegamento.

I ricercatori hanno cercato di chiarire l'associazione longitudinale tra il numero di denti presenti e l'atrofia dell'ippocampo, tenendo conto della gravità della parodontite. I loro risultati sono stati pubblicati in Neurologia, le American Academy of Neurologydal titolo “Associazioni di salute dentale con la progressione dell'atrofia dell'ippo-

campo negli individui che vivono in comunità: lo studio Ohasama."

Sebbene la ricerca precedente non avesse trovato una connessione significativa tra perdita dei denti, parodontite e atrofia dell'ippocampo, lo studio attuale mirava a fare ulteriore luce su questo argomento. Lo studio si è concentrato su un gruppo di adulti di età pari o superiore a 55 anni che vivevano nella comunità e non mostravano alcun segno di declino cognitivo. Questi individui sono stati sottoposti a scansioni cerebrali utilizzando una tecnica chiamata risonanza magnetica (MRI), che ha fornito immagini dettagliate dei loro cervelli.

Per maggiori informazioni: https://dentalresourceasia.com/association-found-between-gum-disease-tooth-loss-and-hippocampal-brain-shrinkage/

possano essere un po' più bianche. Altri pazienti sono preoccupati per i "denti storti" che stanno "peggiorando".

La loro definizione di affollamento dentale è certamente molto diversa dalla nostra. Fortunatamente con la proliferazione di dispositivi e processi di aligner, spesso possiamo soddisfare questi pazienti con un intervento semplice e limitato nel tempo.

https://www.dentistrytoday.com/make-me-smile/

INFOMEDIX ODONTOIATRIA ITALIANA | La condivisione del sapere | 6 2022
25 www.infomedixodontoiatria.it
A cura di Chiara Faini
"Voglio migliorare il mio

CENTRAL ASIA DENTAL EXPO 2023 (CADEX)

Kazakistan: il Central Asia Dental Expo (CADEX) si svolgerà dal 18 al 20 ottobre 2023 presso il centro espositivo “ATAKENT”, nei padiglioni 10-11, ad Almaty in Kazakistan.

CADEX è orgogliosa di essere una piattaforma efficace per mostrare prodotti e servizi dentali agli specialisti dell'odontoiatria.

C’è inoltre la possibilità che l’evento offra una porta d’accesso a nuovi mercati, non solo all’interno del Kazakistan ma in tutta l’Asia Centrale.

Per maggiori informazioni: https://dentalresourceasia.com/event-central-asia-dental-expo-2023-cadex/

AREA MEDICA News

TEDxMirandola vince e convince: è record di partecipanti

Adesione senza precedenti e impegno programmatico per il futuro: l’evento e il suo workshop Biomedical Valley si confermano un punto d’incontro strategico per istituzioni, imprese e cittadini. E dal palco dell’Auditorium Montalcini gli organizzatori annunciano “One Health”, il tema dell’edizione 2024.

Mirandola, 24 giugno 2023 - Numeri da sold out, partecipazione eccezionale delle imprese, progetti che guardano al futuro: ci sono tutti gli ingredienti per giudicare la terza edizione del TEDxMirandola e del suo workshop Biomedical Valley un successo straordinario. L’Emilia c’è e lo dice forte e chiaro all’Auditorium Rita Levi Montalcini di Mirandola dove ieri e oggi istituzioni, giornalisti, aziende, cittadini e speaker d’eccezione si sono confrontati sul tema “Time to Care”.

Peculiarità del leader in odontoiatria

Undici speaker di caratura nazionale hanno infiammato la platea del TEDxMirandola, portando all’apice della riflessione le prospettive ampie e particolari che può assumere il tempo di prenderci cura della vita e delle cose importanti. È la degna conclusione di una due giorni cominciata venerdì con Biomedical valley, l’evento di incontro del Medtech & Healthcare italiano che, dal cuore del distretto biomedicale e al cospetto di Stefano Bonaccini - Presidente Emilia Romagna - e di Nino Cartabellotta - Presidente dell’associazione GIMBE - ha ribadito l’importanza fondamentale del comparto Medtech per lo sviluppo strategico del Paese.

Biomedical Valley: un impegno per il futuro

Non solo incontro e dialogo, ma anche impegno e pragmatismo. Con questo spirito, l’edizione 2023 di Biomedical Valley ha posto al centro del dialogo con le istituzioni e con le eccellenze del territorio il tema del superamento del payback, ovvero l'annullamento della norma che prevede il ripiano degli sforamenti della spesa sanitaria regionale a carico delle imprese per il 50%. Sono state numerosissime, inoltre, le firme raccolte per la richiesta dello sblocco dell’arteria Cispadana e di altre infrastrutture strategiche per il distretto biomedicale. Un distretto che raccoglie oggi oltre 100 imprese biomedicali e più di 300 se si include anche tutto l’indotto, con più di 5.500 addetti nel solo comparto biomedicale e un contributo al prodotto interno lordo nazionale ben superiore all’1%.

La generazione futura di odontoiatri professionisti della University of Colorado School of Dental Medicine (CU SDM) riceve più dell’istruzione; gli studenti crescono e vengono plasmati in leader, andando quindi essenzialmente ad interferire nel futuro del campo medico.

I leader in odontoiatria condividono molte qualità comuni:

• Comunicazione efficace

• Propensione al rischio

• Capacità di ispirare e guidare gli altri

• Impegno per il miglioramento personale

• Determinazione

Per maggiori informazioni: https://news.cuanschutz.edu/dental/leaders-in-dentistry-share-these-five-qualities

E a proposito di assets su cui puntare, Biomedical Valley pensa anche ai giovani talenti: il Career Day svoltosi in mattinata presso il Tecnopolo TPM di Mirandola ha visto la partecipazione di 17 imprese selezionate e oltre 100 candidati da varie università del Nord Italia

Cos’è TEDx, x = independently organized event Nello spirito delle idee che meritano di essere diffuse, TEDx è il programma di eventi locali e indipendenti che hanno l’obiettivo di avvicinare le persone alla condivisione di un’esperienza simile a quella di TED. Ad un evento TEDx, la cui x sta ad indicare la natura di “evento TED organizzato indipendentemente”, si susseguono interventi dal vivo della durata massima di 15 minuti, nell’ottica di innescare il dialogo e favorire il confronto tra il pubblico in sala. La conferenza TED fornisce le linee guida generali per il programma TEDx, ma i singoli eventi TEDx, incluso il nostro, sono indipendenti (soggetti a determinate regole).

INFOMEDIX ODONTOIATRIA ITALIANA 4 2023 26 www.infomedixodontoiatria.it

Simposio globale sull'intelligenza artificiale in odontoiatria

Unisciti agli esperti mondiali in campo accademico, industriale e della pratica clinica per un simposio incentrato sul futuro dell’IA in odontoiatria.

L'intelligenza artificiale (AI) e la medicina di precisione hanno un grande potenziale per far progredire la ricerca nelle aree delle condizioni orali, dentali e craniofacciali; guidare la prevenzione e il trattamento precoci delle malattie orali e affrontare le disparità di salute e l'accesso all'assistenza sanitaria orale.

Attingendo all'esperienza multidisciplinare trovata presso l'Università di Harvard e in collaborazione con ricercatori, studiosi e parti interessate di tutto il mondo, unisciti a ricercatori odontoiatrici, studiosi e leader del settore di tutto il mondo per presentazioni dinamiche e un vivace scambio di idee sull'impatto di innovazioni tecnologiche in rapida evoluzione nel campo dell'assistenza sanitaria e dell'odontoiatria.

Le opportunità di partecipare a questo evento unico saranno disponibili per il credito di formazione continua.

La partecipazione di persona o online sarà disponibile per questa convocazione speciale e opportunità di networking.

Per ulteriori informazioni: https://aisymposium.hsdm.harvard.edu

RADIOLOGIA ODONTOIATRICA DIGITALE LOW DOSE

ROMA Studio D'Ambrosio

Via A. Torlonia, 13 | 00161 Roma

T. 06 4420 2722 | 06 4420 2728 info@radiologiadambrosio.it

www.radiologiadambrosio.it

CERVETERI (ROMA)

Radiologia D'Ambrosio Caere

Via Settevene Palo, 183 - Cerveteri

T. 06 9940653 caere@radiologiadambrosio.it

www.infomedixodontoiatria.it INFOMEDIX ODONTOIATRIA ITALIANA 4 2023 27 We prefer low dose! 3D CONE BEAM, TC E RM AD ALTA RISOLUZIONE
INSANABLE INNOVATION
ADV_D'Ambrosio.indd 1 28/07/21 09:43

CORSO AVANZATO DI

chirurgia guidata

SU PAZIENTE HANDS-ON:

A PARTIRE DA NOVEMBRE

5 weekend di corso teorico-pratico

SEDE: Studio Dentistico Sorriso Via Marcello Celentano 16, 70121, Bari

ABSTRACT

Hands-on significa imparare facendo. Il punto focale è acquisire esperienza pratica su pazienti reali. Un chirurgo professionista esperto ti supporterà e ti guiderà nella pianificazione ed esecuzione di casi clinici reali: passando dalla pianificazione digitale, alla esecuzione dell’intervento su preparato anatomico sino all’esecuzione dell’ intervento su paziente.

DOCENTI

Questo corso avanzato di chirurgia guidata è progettato per migliorare le conoscenze e le competenze dei medici attraverso l’osservazione e l’attuazione di interventi in live surgery. Il corso sarà sviluppato nell’arco di 5 weekend a partire da ottobre (un weekend ogni 2/3 settimane), durante ogni weekend saranno affrontate tematiche specifiche nel campo dell’implantologia computer guidata e sulla progettazione di casi clinici attraverso l’uso del software di B&B Dental. Nell’Ultimo weekend, al termine dell’esperienza formativa, ogni medico avrà la possibilità di eseguire l’intervento chirurgico progettato durante il corso sul proprio paziente. Al termine del corso sarà possibile sostenere l’esame per ottenere la certificazione professionale AIDA di “Esperto di implantologia con chirurgia guidata”, rilasciata dall’importante ente di certificazione TUV Italia.

Prof. Roberto Felice Grassi

Membro dell’European Board of Oral Surgery in Lussemburgo, ricercatore e professore presso l’Università degli Studi A. Moro di Bari. Socio attivo e fondatore

PROGRAMMA

I SESSIONE (10-11 Novembre):

VENERDI 9:30-13:30/14:30-17:30 : Anatomia topografica e chirurgica dei mascellari ai fini del posizionamento implantare, la pianificazione del trattamento implantare, preparazione sala operatoria e utilizzo corretto strumenti chirurgici, componentistica implantare, caratteristiche strutturali e superficiali degli impianti e componentistica protesica

SABATO 09:30-13:30 : Esercitazioni su computer di pianificazione di un caso demo con programma 3D eseguita dall’Implant Product Specialist di B&B Dental.

II SESSIONE (1-2 Dicembre):

VENERDI 9:30-13:30/14:30-17:30 : Lembi e suture nella prima fase chirurgica, preparazione sito implantare con frese rotanti e piezosurgery, timing implantare: Impianti post estrattivi vs impianti differiti, gestione delle aree estetiche in implantologia

SABATO 09:30-13:30 : Esercitazione pratica su Modelli animali di lembi e suture

III SESSIONE (15-16 Dicembre):

KNOW-HOW:

Sarai pronto ad applicare la tua esperienza subito dopo aver terminato il corso. Attraverso le conoscenze teoriche e pratiche specialistiche acquisite, vi sentirete sicuri di trattare i vostri pazienti secondo le tecniche e le apparecchiature più moderne. Sarete tra i primi a padroneggiare tutte le nuove tecniche chirurgiche con evidenza scientifica.

IAO - Italian Academy of Osseointegration.

Dr. Fabio Scarano Catanzaro

Odontoiatra in diversi studi privati nella provincia di Bari e precedentemente docente per il master di Tecnologie Avanzate nelle Scienze di Igiene Orale presso l’Università degli studi di Roma “La Sapienza”.

INFORMAZIONI GENERALI

50 ECM

VENERDI 9:30-13:30/14:30-17:30 : Tecniche mucogengivale di scopertura implantare: roll tecnique, innesto connettivale omologhi ed eterologhi, la protesi in implantologia: presa dell’ impronta analogica e digitale e finalizzazione protesica, il carico immediato: elemento singolo, all-on-4 e all-on-6, la chirurgia guidata: dalla pianificazione chirurgica al carico

SABATO 09:30-13:30 : Inserimento di impianti su preparati anatomici

IV SESSIONE (19-20 Gennaio):

VENERDI 9:30-13:30/14:30-17:30 : La rigenerazione ossea guidata, la chirurgia del seno mascellare: approccio crestale e laterale, split crest ed espansione controllata del sito implantare, trattamento e prevenzione delle complicanze in implantologia: dalle perimplantiti al fallimento implantare

SABATO 09:30-13:30 : Chirurgia live su paziente ripresa e commentata dal relatore

V SESSIONE (16-17 Febbraio):

VENERDI 9:30-13:30/14:30-17:30 & SABATO 09:30-13:30 : I partecipanti, avendo precedentemente pianificato i casi clinici, eseguiranno diversi interventi chirurgici sui propri pazienti con l’assistenza del Tutor.

N.B : Per ogni sessione si terrà 1 ora di formazione su software di chirurgia guidata

B&B Dental

Numero di partecipanti: minimo 10 - massimo 15. Ogni partecipante dovrà portare il proprio PC con software precedentemente installato, compreso di caso clinico che si vorrà progettare.

ECM

Questo corso è accreditato ECM per 50 crediti formativi. L’ottenimento dei crediti è soggetto all’obbligo di parteciazione.

AIDA

Coloro che seguono il corso potranno accedere direttamente all’esame AIDA per ottenere la Certificazione Professionale rilasciata dall’ente terzo indipendente TÜV, che riconosce le competenze nell’ambito dell’implantologia mediante chirurgia guidata.

QUOTA DI PARTECIPAZIONE

Acconto all’iscrizione di 500, all’inizio di ogni sessione un versamento di 500. Il corso ha un costo di: 2.500 €+ iva al 22%

La quota di partecipazione include: partecipazione al programma scientifico, dima chirurgica progettata per l’intervento, pranzi, coffee break e cena di fine corso.

Sono esclusi i pernottamenti in hotel.

MODALITA’ DI PAGAMENTO

Bonifico bancario (CREDEM BANCA): IT22E0303236721010000550343

Per info e prenotazioni contattare Giacomo Zurlo alla mail g.zurlo@bebdental.it o sul numero di telefono +39 348.92.79.190

DOCENTI

Membro dell’European Board of Oral Surgery in Lussemburgo, Professore ordinario Med 28 discipline odontostomatologiche. Socio attivo e fondatore IAO Italian Academy of Osseointegration.

Prof. Roberto Felice Grassi

Membro dell’European Board of Oral Surgery in Lussemburgo, ricercatore e professore presso l’Università degli Studi A. Moro di Bari. Socio attivo e fondatore IAO - Italian Academy of Osseointegration.

Dr. Fabio Scarano Catanzaro

Odontoiatra in diversi studi privati nella provincia di Bari e precedentemente docente per il master di Tecnologie Avanzate nelle Scienze di Igiene Orale presso l’Università degli studi di Roma “La Sapienza”.

Odontoiatra. Laureato in Odontoiatria e protesi dentaria Università degli Studi di Bari Aldo Moro. Master secondo livello in parodontologia e chirurgia avanzata. Relatore in vari congressi nazionali ed internazionali. Relatore corsi teorico-pratico livello avanzato internazionale in chirurgia orale e implantologia.

Numero di partecipanti: minimo 10 - massimo 15. Ogni pa il proprio PC con software precedentemente installato, comp che si vorrà progettare.

INFORMAZIONI GENERALI

Numero di partecipanti: minimo 10 - massimo 15. Ogni partecipante il proprio PC con software precedentemente installato, che si vorrà progettare.

ECM

Questo corso è accreditato ECM per 50 crediti formativi.

Questo corso è accreditato ECM per 50 crediti formativi L’ soggetto all’obbligo di parteciazione.

soggetto all’obbligo di parteciazione.

Coloro che seguono il corso potranno accedere direttamente

Coloro che seguono il corso potranno accedere direttamente

L’ottenimento
AIDA
Dr. Fabio Scarano Catanzaro Prof. Felice Roberto Grassi
nell ambito dell’implantologia
che le

Turn static files into dynamic content formats.

Create a flipbook
Issuu converts static files into: digital portfolios, online yearbooks, online catalogs, digital photo albums and more. Sign up and create your flipbook.