S.I.D.O.
Un ponte per collegare Etica, Efficienza, Eccellenza

p. 3
S.I.O.H.
L'odontoiatria della invisibilità
p. 6
S.I.D.O.
Un ponte per collegare Etica, Efficienza, Eccellenza
p. 3
S.I.O.H.
L'odontoiatria della invisibilità
p. 6
Innovazioni tecnologiche e approccio clinico: salute ed estetica del sorriso
Technological innovations and clinical approach: dental health & aesthetic
Coniugare salute del cavo orale ed estetica del sorriso è una grande sfida per il team odontoiatrico.
Erogare approcci clinici personalizzati e minimamente invasivi che permettano l'efficacia del mantenimento della salute nel rispetto della funzione del cavo orale e di eventuali situazioni cliniche di salute sistemica, non possono prescindere dal bisogno delle persone assistite di avere gradevolezza e luminosità del sorriso.
Continua
Scarica
ImplantBook 2023 La guida all'implantologia mondiale
p. 11
A.I.O.L.A.
Il Laser per prevenire
p. 19
Si è appena concluso un anno 2023 straordinario per la visibilitá nazionale ed internazionale della SIDO grazie al lungimirante "THINK BIG" del Junior Past-President SIDO Aldo Giancotti.
Aldo ha saputo coinvolgere una miriade di societá scientifiche nazionali per dare una panoramica veramente interdisciplinare del tema "All around children" durante un indimenticabile
La gestione della salute orale nel paziente Special Needs
Coinvolgente, esauriente, stimolante, superlativo, sono solo alcuni dei tanti aggettivi con cui descrivere il Congresso “La gestione della salute orale nel paziente special needs”, parte del Bando Convegni, Seminari e Workshop 2023 dell’Università Sapienza di Roma [...]
Continua la lettura a pag. 21
Spring Meeting e superando ogni aspettativa grazie alla sua stretta e proficua collaborazione con il Presidente del WIOC 2023 e Past President SIDO 2020 Giuliano Maino per realizzare un 54° SIDO International Congress megalattico congiunto alla Nuvola di Roma sull’"Efficiency in Orthodontics" attirando 2500 congressisti provenienti da tutto il mondo.
Continua la lettura a pag. 3
Approfondita disamina dei migliori compositi dentali
L’era delle otturazioni metalliche sta rapidamente svanendo nell’oscurità, lasciando il posto all’ascesa dei compositi dentali. I dentisti optano sempre più per i materiali compositi, segnando un cambio di paradigma nell’odontoiatria restaurativa. [...]
Continua la lettura a pag. 10
Dipartimento di Scienze Odontostomatologiche e Maxillo Facciali Sapienza Università di Roma Caserta, 6 – Roma
Iscrizione
Le innovazioni tecnologiche permettono di poter assicurare efficienza ed efficacia dei protocolli operativi, e l'approfondimento dei livelli di attenzione per la salute dei tessuti dento-parodontali deve prevedere l'aggiornamento rivolto all'estetica del sorriso.
L’iscrizione è obbligatoria e dà diritto a: partecipazione alle sessioni scientifiche, kit congressuale, attestato di partecipazione.
L’iscrizione dovrà essere effettuata on-line collegandosi al sito www.meeting-planner.it, sezione “Calendario Eventi – Eventi RES”. termine della procedura di iscrizione, correttamente eseguita, il partecipante riceverà una mail di avvenuta registrazione.
Quote di Iscrizione
Ordinario Atasio* gratuita Sostenitore* gratuita Fellow* gratuita
Il Congresso rappresenterà un importante momento formativo per acquisire e/o implementare le opportune competenze.
socio (iva 22% inclusa) € 150,00 in regola con la quota associativa Atasio
Patrocini
Autorevoli relatori tratteranno argomenti che coniugheranno evidenza scientifica ed evidenza clinica dell'approccio estetico al management della salute del paziente, con importanti momenti interattivi con i congressisti in platea.
Ci vediamo a Roma il 3 e il 4 febbraio 2024 presso il Dipartimento di Scienze Odontostomatologiche e Maxillo Facciali, Università Sapienza di Roma, via Caserta 6, Roma.
Via Divisione Paracadutisti Folgore, 5 - 70125 BARI TEL. 080.9905360 - FAX 080.9905359 - 080.2140203 E-mail: info@meeting-planner.it - www.meeting-planner.it
L’Accademia Tecnologie Avanzate nelle Scienze di Igiene Orale (A.T.A.S.I.O.) è una realtà formativa per dare vita ad iniziative di formazione, ricerca e innovazione, per dare sempre nuova linfa al mondo delle tecnologie di scienze di igiene orale e degli stili di vita orientati al benessere.
Se anche tu vuoi ampliare le tue conoscenze e competenze, iscriviti ad ATASIO: www.atasio.it
Infomedix Odontoiatria 1/2024 bimestrale • anno IV • numero 17 gennaio-febbraio 2024
Direttore Responsabile Silvia Borriello - silvia.borriello@infomedix.it
Coordinatore Editoriale Alberto Faini - a.faini@infomedix.it
Redazione
Nadia Coletta - nadia@infomedix.it
Claudia Proietti Ragonesi - pressoffice@infomedix.it
Infodent Srl
Sede Operativa: Via dell'Industria, 65 01100 Viterbo redazione@infomedix.it 0761.352133
Sede Legale: C.ne Gianicolense, 68 00152 Roma P. IVA / C.F. 01612570562
Amministratore: Baldassare Pipitone
Responsabile Scientifico Gianna Maria Nardi
Luca Maria Pipitone Roberta Grassi Chiara Faini
Accademia
Tecnologie Avanzate nelle Scienze di Igiene Orale
VI Congresso Nazionale A.T.A.S.I.O.
Innovazioni tecnologiche e approccio clinico: salute ed estetica del sorriso
Dipartimento di Scienze
Odontostomatologiche e Maxillo Facciali
Sapienza Università di Roma
Questo numero è stato chiuso il: 14/01/2024
Grafica
Silvia Cruciani - articoli@infomedix.it Antonio Maggini - artwork@infomedix.it
Progetto Grafico Studio Frasi
Ufficio Stampa Claudia Proietti Ragonesi pressoffice@infomedix.it Marketing e pubblicità Riccardo Bonati riccardo.bonati@infomedix.it
Alessandra Brunetti alessandra.brunetti@infomedix.it
Organizzazione Eventi Cristina Garbuglia eventi@infomedix.it
Stampa
Graffietti Stampati Snc Strada Umbro Casentinese Km 4.500 01027 Montefiascone (VT)
Spedizione
Poste Italiane S.p.A – Spedizione in Abbonamento Postale - AUT. CENTRO/01673/05.2021
PERIODICO ROC Contiene I.P.
Registrazione al Tribunale di Viterbo n° 679/2021 del 08/03/2021
Costo copia euro 0.77
Sede
Dipartimento di Scienze Odontostomatologiche e Maxillo Facciali Sapienza Università di Roma
Via Caserta, 6 – Roma
Iscrizione
L’iscrizione è obbligatoria e dà diritto a: partecipazione alle sessioni scientifiche, kit congressuale, attestato di partecipazione. L’iscrizione dovrà essere effettuata on-line collegandosi al sito www.meeting-planner.it, sezione “Calendario Eventi – Eventi RES”.
Al termine della procedura di iscrizione, correttamente eseguita, il partecipante riceverà una mail di avvenuta registrazione.
Quote di Iscrizione
Socio Ordinario Atasio* gratuita
Socio Sostenitore* gratuita
Young Fellow* gratuita
Non socio (iva 22% inclusa) € 150,00
* Soci in regola con la quota associativa Atasio
Patrocini
DIREZIONE E REDAZIONE
Via dell’Industria 65 01100 Viterbo - Italy VAT 01612570562
Per informazioni, richieste e invio materiale da pubblicare contattaci: redazione@infomedix.it
T. +39 0761 352133
www.infomedixodontoiatria.it
Azienda certificata dal 26/11/2004, per la realizzazione ed erogazione di sistemi di comunicazione di marketing multicanale secondo la norma ISO 9001:2015. Certificato n. CERT-15119-2004-AQ-ROM-SINCERT
QR Code e sito
Al termine di alcuni articoli è possibile trovare un QR CODE specifico per leggerli interamente sul sito dedicato al tabloid Infomedix Odontoiatria Italiana www.infomedixodontoiatria.it
Tutti coloro che vogliono condividere esperienze di trattamenti al cavo orale e periorale, maturate e documentate all’interno di studi dentistici privati o di cliniche odontoiatriche possono contribuire contattando la redazione chiamando il numero +39 0761 352133 o inviando una mail a: redazione@infomedix.it
La responsabilità degli articoli e dei contenuti appartiene ai rispettivi autori, che ne rispondono interamente.
Dott.ssa Ute Schneider-Moser Presidente SIDO 2024
Continua dalla prima pagina.
Ovviamente la bacchetta magica del successo resiede nell’applicazione pratica della parola INSIEME che aveva già dato grandi risultati nel 2022 quando Mauro Cozzani scelse Together with come titolo generale del 53° SIDO International Congress unendo le societá meditteranee del MOIP all’evento.
Per il 2024, oltre a voler continuare la collaborazione intersocietaria nazionale ed internazionale, INSIEME è ancora partito prima creando un SIDO leadership team 2024-26 con i futuri presidenti SIDO 2025 e 2026, il Prof. Lorenzo Franchi e la Dott.sa Daniela Garbo per realizzare dei progetti e nuove attivitá a lungo termine.
Quindi il motto generale scelto per il 2024 COSTRUIRE PONTI PER IL FUTURO - BUILDING BRIDGES FOR THE FUTURE‚ non verrà solo applicato allo Spring Meeting a Verona e al 55° SIDO International Congress a Firenze, ma a tutte le iniziative in SIDO per i prossimi tre anni. Da quest’anno per favorire lo scambio intellettuale e amichevole tra i soci SIDO gli Study Clubs regionali online verranno arricchiti da un incontro regionale in presenza.
Nel 2024 partirà un nuovo progetto di comunicazione e di marketing in SIDO soprattutto per mettere i canali socials a disposizione dei soci SIDO facilitando il flusso di informazione tra di loro e con le altre società scientifiche (B2B) e per poter partecipare a delle campagne d’immagine B2C per comunicare il valore aggiunto dell’appartenenza alla SIDO al pubblico. Peraltro siamo in fase di negoziazione per proporre dei servizi customizzati di assicurazione e di finanziamento ai nostri soci SIDO. La costruzione dei ponti continuerà durante il SIDO Spring Meeting il 19/20 aprile 2024 a Verona nel Palazzo della Gran Guardia di fronte all’imponente Arena. I "ponti" collegheranno i temi caldi in ortodonzia: ETICA - EFFICIENZA – ECCELLENZA che verranno sviscerati da duetti di relatori composti da un maestro e un ‘apprendista’ INSIEME sul podio, abbinando nuovi approcci a concetti tradizionali, dando rilievo alle stelle e stelle emergenti che saranno il fiore all’occhiello dell’ortodonzia italiana di eccellenza del futuro.
In parallelo si svolgerà il simposio ATASIO/AIASO/ IDEA delle igieniste e assistenti alla poltrona (ASO) enfatiz-
zando l’importanza della squadra per ottimizzare sia il flusso che il risultato del trattamento ortodontico INSIEME. Venerdì sera vi invitiamo prima a un talkshow con 6 ospiti speciali per poi festeggiare TUTTI INSIEME al piano nobile del Palazzo per coltivare le vecchie amicizie e per istaurare delle nuove. Ecco il link per i video dello Spring Meeting 2024: https://youtu.be/LJe_mLCN9ao
Anche quest’anno seguiremo la visione dei nostri SIDO past presidents Mauro e Aldo di ridurre il carico economico per i ‘soci SIDO under 30’ mantenendo le quote associative e congressuali il più basso possible.
INSIEME al Consiglio Direttivo SIDO spero di essere in grado di incentivare tutti i soci SIDO a partecipare attivamente alla nostra vita scientifico-culturale e di poter creare il senso di appartenenza alla grande famiglia SIDO!
Il mio grande sogno per il 2024 e oltre è di stimolare l’entusiasmo e la voglia dei giovani di voler farne parte PER COSTRUIRE I PONTI PER UN BRILLANTE FUTURO DELL’ORTODONZIA ITALIANA INSIEME!
Vi auguro un nuovo anno pieno di grandi soddisfazioni professionionali e private in ottima salute e Vi ringrazio per il Vostro supporto.
Partirà a maggio 2024 la seconda fase del progetto “Gengive sane per salvare il sorriso”, nato con l’obiettivo di diffondere in modo capillare, a tutti gli odontoiatri italiani, i contenuti delle Linee Guida della Federazione europea di Parodontologia (EFP) per il trattamento dei primi tre stadi della parodontite.
L’ambizioso progetto, messo in campo dalla Società italiana di Parodontologia e Implantologia (SIdp) e dalla CAO nazionale, è stato presentato lo scorso 16 novembre, a Roma, presso la Sala Stampa della Camera dei Deputati.
La prima fase del progetto è partita lo scorso novembre da Bologna e prevede corsi in presenza presso le principali sedi CAO provinciali, per toccare, in poco meno di un anno, oltre 35 città italiane.
Tra le iniziative presentate durante la conferenza stampa, alcuni webinar
rivolti a tutti gli odontoiatri ed agli igienisti dentali, un corso Fad con crediti ECM, un Easy Journal, ed altre pubblicazioni, sia di natura scientifica che divulgativa.
Le Linee Guida della Federazione europea di Parodontologia (EFP) sono state adattate da SIdP e adottate in Italia a fine 2021, con pubblicazione sul sito ministeriale dell’istituto Superiore di Sanità (linee guida pubblicate nel Sistema Linee Guida Nazionali (LNG).
Oltre al progetto di diffusione capillare del contenuto delle Linee Guida agli addetti ai lavori, SIdP intende rivolgersi direttamente alla popolazione, con l’ambizioso obiettivo di informare in maniera ampia e capillare: è necessario creare consapevolezza nei singoli cittadini sulla elevata prevalenza delle parodontiti, sulle sue conseguenze orali e sistemiche, ma anche sulla efficacia delle terapie odierne, anche per contribuire al mi -
glioramento della qualità di vita dei pazienti e della qualità e sicurezza delle cure odontoiatriche.
Spetterà ora al nuovo presidente eletto, Francesco Cairo - docente di Parodontologia all’Università di Firenze, guidare la SIdp per il biennio 20242025. “Durante il mio mandato da presidente – spiega Cairo – cercherò
di mantenere alta la qualità dei nostri congressi. Ci muoveremo sempre di più nel solco dell’eccellenza clinica e delle evidenze scientifiche.
Necessario condividere un messaggio molto importante: facendo diagnosi precoce si possono salvare prevedibilmente i denti e prevenire gravi complicanze sistematiche”.
La più importante manifestazione italiana ed internazionale del dentale è tutta nuova.
Corsi gratuiti e profilati sulle esigenze di dentisti e odontotecnici e di tutte le professioni del dentale, novità in anteprima, networking di alto profilo.
Il futuro è già arrivato e ti aspetta a Expodental Meeting 2024.
#MYEM
Il ruolo dell'odontoiatria speciale non è solo quello di curare i denti, ma di comprendere e affrontare le sfide complesse che influenzano la salute orale e generale di persone con esigenze specifiche
Nonostante esistano al mondo molte riviste scientifiche che trattano la popolazione con vari tipi di disabilità, esse affrontano principalmente gli aspetti educativi, pedagogici e legati all'inclusione, ma tendono a tralasciare gli aspetti clinici, affidandoli a riviste non dedicate. Tale fatto risulta per me particolarmente sorprendente, in quanto i numeri della disabilità sono in continua crescita a livello mondiale. Se è vero che si tende, giustamente, a parlare sempre di multidisciplinarietà e di interdisciplinarietà, quando si affrontano le tematiche mediche nel campo della disabilità, è anche vero che è raro trovare nel panorama scientifico edizioni che abbiano lo stesso approccio.
Partendo dalle problematiche del cavo orale, la Società Italiana di Odontostomatologia per l'Handicap (SIOH) cerca attraverso le varie attività che la coinvolgono di colmare questo vulnus scientifico allargando i propri confini alle altre discipline. Infatti l'odontoiatria speciale rappresenta un settore fondamentale e delicato all'interno del più ampio campo dell'odontoiatria.
Questa branca si concentra sul fornire cure odontoiatriche adeguate a persone con esigenze specifiche, come quelle con disabilità fisiche, mentali, o disturbi comportamentali. Il ruolo dell'odontoiatria speciale non è solo quello di curare i denti, ma di comprendere e affrontare le sfide complesse che influenzano la salute orale e generale di queste Persone. In questo contesto, è essenziale considerare il medico dentista come il
"medico della bocca", riconoscendo il suo ruolo cruciale nel mantenimento della salute generale del paziente. La bocca è una finestra sulla salute generale del corpo. Condizioni come la malattia parodontale possono essere collegate a malattie cardiache, diabete e altre condizioni sistemiche. Di conseguenza, il medico dentista fa molto più che occuparsi di denti e gengive; può identificare i segni precoci di malattie sistemiche e indirizzare i pazienti verso cure appropriate.
Questo ruolo è ancora più cruciale quando si tratta di pazienti con disabilità, i quali potrebbero non essere in grado di esprimere i propri sintomi in modo convenzionale. Pertanto, l'odontoiatra deve possedere una conoscenza approfondita non solo dell'odontoiatria, ma anche di come le varie condizioni mediche e le varie disabilità influenzino la salute orale e generale.
La SIOH è impegnata a promuovere l'attenzione e la cura odontoiatrica per questa popolazione fragile, che a qualcuno è piaciuto definire anche “invisibile”, proprio per la scarsa attenzione a cui viene generalmente sottoposta, concentrandosi sulla prevenzione, sulla cura e sul mantenimento della salute orale acquisita.
Di seguito, sono esposti i motivi per cui è essenziale che la SIOH continui a impegnarsi in questi ambiti.
La prevenzione è il primo passo cruciale nella gestione della salute orale, soprattutto nelle popolazioni fragili. Le persone con condizioni di fragilità sono spesso a rischio maggiore di problemi dentali a causa di difficoltà nella cura personale, diete speciali, farmaci e condizioni mediche che possono influenzare la salute dei denti e delle gengive.
1• Educazione e Formazione La SIOH può svolgere un ruolo chiave nell'educazione dei pazienti, dei caregiver e degli altri professionisti sanitari sulle pratiche di igiene orale specifiche per varie condizioni di fragilità.
• Indicazioni Specifiche Creare e diffondere indicazione di prevenzione mirate può aiutare a ridurre l'incidenza di carie, malattie parodontali e altri problemi orali in queste popolazioni. La cura odontoiatrica per Persone con fragilità richiede un approccio personalizzato.
comportamento, sedazione e approcci comunicativi adattati.
• Attrezzature e Strutture Adatte Incoraggiare l'adattamento delle strutture odontoiatriche per accogliere pazienti con mobilità ridotta o altre esigenze speciali è fondamentale per fornire cure adeguate.
Il mantenimento della salute orale in queste popolazioni non si ferma al trattamento delle condizioni esistenti; è un impegno continuo.
3
• Piani di Cura Continuativa
• Tecniche Specializzate L'addestramento in tecniche specializzate per trattare pazienti con bisogni speciali è cruciale. Questo include la gestione del
La SIOH può promuovere una formazione mirata per gli odontoiatri, consentendo loro di comprendere e affrontare le esigenze uniche di questi pazienti. 2
La SIOH può promuovere lo sviluppo di piani di cura continuativa, assicurando che i pazienti ricevano regolari controlli e trattamenti per mantenere la salute orale.
• Collaborazione Interdisciplinare Lavorare a stretto contatto con altri professionisti sanitari assicura un approccio olistico alla salute, riconoscendo l'importanza della salute orale nel
contesto più ampio della salute generale.
La ricerca è vitale per comprendere meglio come le diverse condizioni di fragilità influenzino la salute orale e come migliorare le cure per questi individui.
4• Studi e Pubblicazioni Incoraggiare la ricerca e la pubblicazione di studi su tecniche, trattamenti e outcome relativi all'odontoiatria speciale.
• Tecnologie Innovative Esplorare e adottare tecnologie innovative che possono facilitare il trattamento odontoiatrico per persone con condizioni di fragilità.
La SIOH ha una posizione unica per agire come voce per le persone con condizioni di fragilità, sensibilizzando l'opinione pubblica e influenzando le politiche sanitarie.
La collaborazione con le famiglie dei pazienti e con le istituzioni è vitale nell'odontoiatria speciale. Le famiglie spesso hanno una profonda comprensione delle sfide quotidiane, delle preferenze e dei comportamenti dei loro cari.
Queste informazioni sono inestimabili per l'odontoiatra, consentendo un approccio più personalizzato e efficace. Collaborare strettamente con le famiglie aiuta anche a creare un ambiente di fiducia e comfort per il paziente, che può essere particolarmente importante per coloro che possono sentirsi ansiosi o spaventati dal trattamento dentale.
5
• Promozione di Politiche Inclusive Lavorare per politiche che promuovano l'accesso e la qualità delle cure odontoiatriche per tutti, indipendentemente dalle condizioni di fragilità.
• Rete di Supporto Costruire una rete di supporto tra professionisti, associazioni di pazien -
ti e istituzioni per promuovere un approccio integrato alla salute. La missione della SIOH di occuparsi degli aspetti odontoiatrici nelle principali condizioni della fragilità umana è di vitale importanza. Attraverso la prevenzione, la cura personalizzata e il mantenimento della salute orale, insieme a ricerca, innovazione e advocacy, la SIOH può fare una differenza significativa nel -
la vita di molte Persone con disabilità. Promuovere e sostenere queste iniziative non solo migliora la salute orale e generale dei singoli pazienti, ma contribuisce anche a una società più inclusiva e attenta alle esigenze di tutti i suoi membri. www.sioh.it
Programmazione scientifica del 2024: infondere e stimolare il desiderio della conoscenza come una curiosità da soddisfare
In 365 giorni il tempo sembra scorrere veloce e lento allo stesso tempo, per quante cose vorremmo vedere migliorate intorno a noi, per il lavoro che svolgiamo e la passione che ci mettiamo. In 365 giorni si accumula un immenso
materiale che racconta come un termometro sociale l'umore della professione a vari piani, rivela le domande più urgenti, i desideri, le esperienze e le aspettative.
Solo per citare alcuni esempi: la situa-
zione lavorativa degli igienisti dentali nel sistema sanitario nazionale o il sodalizio lavorativo spesso critico con i colleghi del team odontoiatrico che ci risucchia in insulsi cicloni competitivi. Poi restano le certezze, quelle, che sulla scia del 2023, U.N.I.D., come Associazione Tecnico Scientifica, lavorando intensamente, ha cercato già di infondere nella coscienza professionale dei propri soci. Il piacere della conoscenza che non si esaurisce in sterili escalation e che ci fa restare nel binario della professionalità. In attesa di migliorie e novità, ciò che ci fa restare appassionati alla professione è la curiosità del sapere che ci rende giusti e degni in ogni contesto e pronti al salto di qualità nel panorama delle professioni sanitarie. Questa sarà la filosofia della programmazione scientifica del 2024: infondere e stimolare il desiderio della conoscenza come una curiosità da soddisfare. Il calendario 2O24 è ricco quindi di eventi che abbracciano temi nuovi. Partiremo il 19-20 Gennaio a Napoli, “CORSO ANNUALE DI PERFEZIONAMENTO IN STRUMENTAZIONE MININVASIVA NON CHIRURGICA DEL PAZIENTE PARODONTALE E IMPLANTARE”50 Ecm Fad Relatore: Dott. Maurizio Luperini Info e iscrizioni su: https://shorturl.at/ejkEP
Altri eventi:
• Congresso in Sardegna in maggio;
• Congresso del Sud a Salerno, 8 giugno “STRESS: HIGH TOPIC in ORAL CARE”, con relatori di fama internazionale;
• Congresso a Bologna il 21 settembre;
• Corso di Fotografia in Campania con Giuseppe Rocca nuovo format: “PHOTORAL QUICK” 9 Novembre. Evento dell’anno sarà il
CONGRESSO NAZIONALE U.N.I.D. a Roma il 18-19 ottobre “Professional updating in oral and systemic health”. Per il congresso sarà prevista l’scrizione gratuita per i Soci U.N.I.D., sempre dal proprio profilo personale (a partire da inizio febbraio 2024); vi chiederemo soltanto di pre-iscrivervi entro la fine di luglio per gestire al meglio la logistica dell'evento.
La programmazione non finisce qui infatti sono in fase di definizione altri corsi e congressi distribuiti su tutto il territorio nazionale di cui vi informeremo a breve.
Ringraziando fin da ora coloro che vorranno partecipare agli incontri U.N.I.D. nel segno della cultura e dell’aggiornamento, faremo in modo che il 2024 porti a tutti i colleghi, 365 occasioni di consapevolezza.
Buon Anno con U.N.I.D.
Maurizio, Alfonso, Augusta, Sandro, Elisa, Paola e Ambra
Due giorni di aggiornamenti per conoscere le tecnologie all'avanguardia ed esplorare le potenzialità della digitalizzazione in odontoiatria
Digital Dentistry Day
Una giornata storica per l'odontoiatria digitale - organizzata da DGSHAPE, della società Roland, con la collaborazione dei più famosi player dell'odontoiatria quali 3Shape, CIMsystem, Shofu, Ackuretta e Shenpaz - che si è svolta in Malesia dopo il suo positivo debutto a Bangkok lo scorso anno.
ha partecipato alla cerimonia di apertura ed è stato un onore avere la presenza dell'Associazione Malese di Riabilitazione sul palco e tra il pubblico.
Interessanti seminari hanno introdotto le tecniche CAD/CAM per comprendere come utilizzare al meglio la nuova tecnologia nel settore dentale, grazie anche ad alcuni tra i più famosi odontoiatri.
L'evento si è tenuto domenica 19 novembre al Pullman Kuala Lumpur Bangsar e ha visto una significativa partecipazione di dentisti, odontotecnici, università, ricercatori e studenti.
Le presentazioni di alto livello di rinomati relatori hanno evidenziato i vantaggi della tecnologia digitale nel settore dentale.
Il Digital Dentistry Day è stato un evento straordinario per mostrare gli ultimi progressi ed innovazioni ed è servito come trampolino di lancio per professionisti ed esperti di vari campi nello scambiarsi conoscenze e idee.
I partecipanti hanno avuto l’opportunità di conoscere tecnologie all’avanguardia, scoprire nuove tecniche ed esplorare il potenziale della digitalizzazione in odontoiatria.
La Dott.ssa Mas Suryalis, chirurgo dentale del Ministero della Salute malese,
Gli ambasciatori DGSHAPE hanno rivelato alcune tecniche per la produzione digitale dell'intero flusso di lavoro per imparare a far crescere il business dentale grazie al digitale:
• Il Dottor Lee Soon Boon - Malesia ha presentato "Implantologia digitale e odontoiatria implantare CAD/CAM",
• Dottor Jaemin Lee - Corea “Come implementare la protesi digitale nella nostra pratica quotidiana”,
• Dottor PokPong - Tailandia “10 cose indispensabili nella riabilitazione digitale”,
• Dottor Kelvin Tantono - Indonesia “La coesistenza di digitale e analogico”.
Uno dei momenti salienti dell'evento sono stati i workshop interattivi e le dimostrazioni dal vivo per realizzare protesi digitali con protocollo specifico e in cui i partecipanti hanno potuto interagire direttamente con le più recenti tecnologie
dentali digitali. Queste sessioni in prima persona hanno permesso ai partecipanti di sperimentare la facilità e l'efficacia degli strumenti digitali, rendendoli consapevoli delle vaste possibilità offerte da questa tecnologia.
Anche l’aspetto collaborativo del Digital Dentistry Day è stato significativo: DGSHAPE ha stabilito partnership con le principali parti interessate e i principali attori del settore dentale per garantire un evento completo ed informativo.
Questo approccio collaborativo ha offerto ai partecipanti una visione olistica del panorama dentale digitale. Ha inoltre consentito opportunità di networking e lo scambio di migliori pratiche tra i professionisti del settore.
Nel complesso, il Digital Dentistry Day in Malesia è stato un successo clamoroso. L’elevata affluenza di partecipanti, tra cui dentisti, odontotecnici, università, ricercatori e studenti, ha sottolineato il crescente interesse e il riconoscimento della tecnologia digitale da parte del settore odontoiatrico.
La giornata precedente all’evento Digital Dentistry Day è stata dedicata alle soluzioni per protesi digitali.
Durante la conferenza il Dott. Jaemin Lee – Key Opinion Leader dentale di DGSHAPE – ha illustrato il flusso di lavoro ed evidenziato i vantaggi della produzione digitale di protesi.
Poiché le tecnologie digitali continuano ad evolversi, possiamo aspettarci ulteriori innovazioni nell’odontoiatria digitale che miglioreranno la qualità, la sicurezza e l’accessibilità delle cure dentistiche.
Presentando i vantaggi e il potenziale della digitalizzazione, DGSHAPE e i suoi partner hanno compiuto un passo significativo verso la definizione del futuro dell’odontoiatria.
Mentre il settore dentale abbraccia le soluzioni digitali, eventi come il Digital Dentistry Day e il Digital Denture Day svolgeranno un ruolo fondamentale nel diffondere la conoscenza, promuovere la collaborazione e guidare l’innovazione in questo campo in rapida evoluzione.
DGSHAPE a Roland Company www.dgshape.com
Link all’articolo digitale: https://shorturl.at/hoEOS
L’era delle otturazioni metalliche sta rapidamente svanendo nell’oscurità, lasciando il posto all’ascesa dei compositi dentali. I dentisti optano sempre più per i materiali compositi, segnando un cambio di paradigma nell’odontoiatria restaurativa.
I recenti progressi nella composizione delle resine composite hanno portato i compositi sintetici in prima linea nell’innovazione dentale, catturando l’attenzione sia dei professionisti che dei pazienti. Man mano che la consapevolezza si diffonde, la domanda di otturazioni in composito diventa un fattore discriminante per i pazienti che cercano cure dentistiche all’avanguardia. Tuttavia, scoprire il composito dentale ideale tra la miriade di opzioni può essere come navigare in un mare di affermazioni pubblicitarie, ciascuna delle quali vanta resistenza, durata, estetica, tecnologia di riempimento, lucentezza e flessibilità superiori. In questo articolo, miriamo a distillare le informazioni essenziali e svelare suggerimenti e trucchi pertinenti. L'obiettivo è fornirti le conoscenze necessarie per prendere una decisione informata, garantendo che il composito dentale scelto si allinei perfettamente alle tue esigenze dentali specifiche. Approfondiamo le sfumature per aiutarti a svelare le complessità che definiscono l'essenza di un composito dentale superiore.
Per maggiori informazioni:
https://shorturl.at/osvPR
Un professore universitario indiano sviluppa un kit di pronto soccorso dentale
Un professore di nanoscienze presso l’Università di Madras ha presentato un kit dentale multiuso di primo soccorso progettato per la cura post-estrazione del dente.
L’innovazione del professor S. Balakumar, denominata “emostato a presa”, incorpora materiali di vetro bioattivo avanzati e un polimero naturale altamente compatibile per proteggere la cavità, promuovere la guarigione delle ossa e prevenire le infezioni.
L'emostato con invasatura vanta molteplici vantaggi, tra cui la capacità di arrestare l'emorragia entro due minuti dall'impianto, un'eccellente attività antibatterica e una biocompatibilità superiore con i tessuti circostanti. Serve anche come preservatore dell'osso alveolare, offrendo una soluzione completa per le cure post-estrattive.
Il professor Balakumar ha collaborato con l'SRM Dental College, Ramapuram, a questo progetto, assicurandosi un fondo di circa 50 lakh dal Biotechnology Industry Research Assistance Council (BIRAC). Questo sforzo collaborativo sottolinea l’importanza della cooperazione interdisciplinare nel progresso delle tecnologie di cura dentale.
Per maggiori informazioni:
https://shorturl.at/dpqt2
La musica
Uno dei problemi principali in odontoiatria e un ostacolo all’offerta di cure odontoiatriche è l’ansia. L'uso della musica è uno dei modi non medici per ridurre l'ansia.
La tecnologia del battito binaurale viene utilizzata come tecnica di trattamento musicale.
L'obiettivo di questo studio era determinare se l'utilizzo della tecnologia del battito binaurale durante e dopo gli appuntamenti dal dentista può aiutare i pazienti a provare meno ansia e dolore.
Metodi
In questo studio clinico sono stati esaminati 80 pazienti candidati alla chirurgia del dente del giudizio mandibolare (in 2 gruppi di test e di controllo).
Nel gruppo di controllo, dopo l'iniezione dell'anestesia e prima dell'intervento chirurgico, hanno aspettato 10 minuti e durante questo tempo non è stato effettuato alcun intervento.
Nel gruppo di prova, dopo l'iniezione dell'anestesia, ai pazienti è stato chiesto di ascoltare musica binaurale con le cuffie per 10 minuti. Il livello di ansia dei pazienti prima e dopo l'intervento è stato controllato con lo Spielberger State-Trait Anxiety Inventory e infine i dati sono stati inseriti nel software SPSS versione 21.
Per maggiori informazioni: https://shorturl.at/eAUWY
I ricercatori hanno svelato un metodo, economicamente vantaggioso, potenzialmente in grado di ridurre i tassi di polmonite nei pazienti ospedalizzati: l’utilizzo quotidiano dello spazzolino da denti. Una recente indagine condotta da esperti del Brigham and Women’s Hospital e dell’Harvard Pilgrim Health Care Institute ha approfondito l’impatto dello spazzolino da denti di routine sulla polmonite acquisita in ospedale e sui risultati associati. Collegando i dati di 15 studi clinici randomizzati che hanno coinvolto oltre 2.700 pazienti, i ricercatori hanno scoperto una correlazione tra lo spazzolino da denti quotidiano e tassi ridotti di polmonite acquisita in ospedale, in particolare tra gli individui sottoposti a ventilazione meccanica. Lo studio, documentato su JAMA Internal Medicine, propone un legame significativo tra l’uso regolare dello spazzolino da denti e la diminuzione della mortalità tra i pazienti ospedalizzati.
Per maggiori informazioni: https://shorturl.at/gFV68
Innovazioni tecnologiche e approccio clinico: salute ed estetica del sorriso
Technological innovations and clinical approach: dental health & aesthetic
Dipartimento di Scienze Odontostomatologiche e Maxillo Facciali
Sapienza Università di Roma, 2-3 febbraio 2024
Ore 8.00 Registrazione dei partecipanti e visita agli stand
8.30 Apertura del Congresso
Gianna Maria Nardi – Presidente Atasio
Caterina Di Marco – Presidente Commissione di Albo Nazionale Igienisti dentali
9.00 Saluto delle Autorità
Moderatori: Silvia Sabatini, Enrica Scagnetto
9.30 The Hidden Truth: Unmasking Halitosis and Its Impact on Esthetics
Gitana Rederiene
10.30 Adesione e piano di trattamento
11.00
Angelo Putignano, Vincenzo Tosco, Flavia Vitiello
Moderatori: Giovanna Acito, Michela Antonioni
11.30 Morfologia ed estetica: due facce della stessa medaglia
Giovanna Orsini, Giulia Orilisi, Riccardo Monterubbianesi
12.00 Clean&Seal: Scientific background and clinical relevance Anton Sculean
12.30 Protocolli operativi traslazionali per coniugare salute e bellezza del sorriso
Gianna Maria Nardi
13.15 Consegna Award for Technology ATASIO
13.30
Moderatori: Arcangela Colavito, Lorella Chiavistelli
14.30 Protocollo di studio sulla percezione dell’estetica del sorriso e del colore dentale con approccio di genere
15.00
Maurizio Luperini, Marta Mazur
Estetica e salute orale: il ruolo dell’igienista dentale nei trattamenti di riabilitazione estetica
Giulio Papa
15.30 Estetica del sorriso: dalla consapevolezza del fenomeno culturale alla gestione clinica dei trattamenti di sbiancamento Stefano Checchi
16.00 Black stain: tra clinica ed estetica Riccardo Sangermano
16.30 Salute ed estetica del sorriso nella gestione del paziente Special Needs Gianluca Russo, Giulia Anfosso Lembo ATASIO - LAB Special Needs
17.00 La bellezza della conoscenza: quello che l’igienista dentale deve sapere per preservare le parabole gengivali Paola Mercuri, Augusta Virno
17.30 Discussione e chiusura dei lavori
18.00 Assemblea dei Soci Atasio
Sabato 3 febbraio 2024
Moderatori: Silvia Cotellessa, Rosa Iozzo
9.00 Interazione tra il microbiota cutaneo e orale, nuovi dati e evidenze nel campo della microbiologia molecolare Germano Orrù
9.30 Valutazione clinica e laboratoristica per la gestione dello smalto pre e post trattamento sbiancante
Andrea Butera
10.00 Tabagismo: management della salute e bellezza del cavo orale Antonella Abbinante
10.30 Educare alla salute nell'era digitale. Gli strumenti per creare la concordance Gianna Maria Nardi
11.00
Moderatori: Salvatore Russo, Isabella Fabiani
11.30 Gestione del paziente implantare nel rispetto della funzione estetica Silvia Sabatini
12.00 Salute ed estetica: sicurezza nella relazione e management del business Antonio Pelliccia
12.30 Good practice raccomandation, Guide Lines and clinical pathways. Responsabilità professionale, livelli di attenzione nella gestione dei protocolli operativi
13.00
Andrea Spota
Discussione e chiusura dei lavori
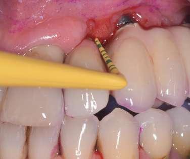
L’evidenza scientifica ha ben sottolineato quanto il successo delle terapie implantari sia condizionato dall’ attento controllo della presenza di segni clinici di infiammazione, di sanguinamento e suppurazione, un preciso e delicato controllo della
profondità di sondaggio e l’osservazione di eventuale perdita ossea o modifiche del livello osseo crestale, considerando che non possiamo contare su un valore standardizzato dello stesso come nel caso di sondaggio in paziente parodontale.
Quindi importanti livelli di attenzione devono essere rivolti all’approccio motivazionale che i pro -
fessionisti devono riservare alle persone assistite sottoposte a terapia implantare. È fondamentale il controllo della presenza di visibili segni clinici di infiammazione quali il gonfiore, il rossore e la dolenzia, in modo da evitare che la mucosite possa trasformarsi in una lesione infiammatoria dei tessuti molli attorno all’impianto, con progressiva perdita di supporto osseo, trasformandosi in un fattore predittivo negativo
Il monitoraggio radiografico è fondamentale per controllare:
- il livello osseo peri-implantare
- la presenza o meno di eventuale residuo di cemento
- la presenza o meno di radiotrasparenze e/o radiopacità
- i profili delle protesi sugli impianti
- adattamento/disadattamento delle protesi sugli impianti.
Ma altrettanto fondamentale sarà programmare follow up a 3 mesi, per rivalutatre l’efficacia del controllo del biofilm batterico e l’aderence a stili di vita di igiene orale corretti.
Il controllo del biofilm batterico è fondamentale per la salute a lungo termine degli impianti dentali. Il biofilm è uno strato batterico che si forma sulla superficie degli impianti
e può portare a condizioni come la peri-implantite, caratterizzata dalla presenza di processi infiammatori a carico dei tessuti intorno all’impianto che se non viene correttamente trattata può portare alla perdita dell’impianto 1 . Pertanto mantenere
uno stato di eubiosi , ossia uno stato di equilibrio microbiologico, è cruciale per prevenire complicazioni,garantire il successo a lungo termine degli impianti e preservare la salute dei tessuti circostanti 2 Di conseguenza risulta essere di fon -
damentale importanza ottenere un coinvolgimento attivo del paziente mediante un approccio taylor made, ossia un approccio personalizzato e adatto alle specifiche esigenze del paziente 3 . Gli elementi chiave di questo approccio sono:
- valutazione personalizzata mediante un’accurata raccolta anamnestica e esame clinico approfondito
- pianificazione personalizzata del trattamento scegliendo tecnologie idonee che permettono di migliorare la salute orale. Valutare e scegliere insieme al paziente i migliori dispositivi per l’igiene orale domiciliare.
MATERIALI E METODI:
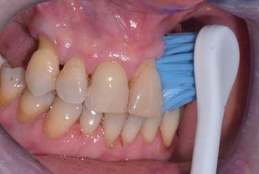
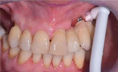
Si presenta alla nostra attenzione la paziente P.A. età 60 anni, fumatrice e diabetica. Lamenta sanguinamento gengivale, alitosi e dolore localizzato soprattutto nel secondo e terzo sestante.
Riferisce di utilizzare lo spazzolino manuale per l’igiene orale domiciliare 2 volte al giorno, non usa dispositivi per l’igiene interprossimale. Presenta i seguenti elementi protesici:
- Impianto 2.2
- ponte per gli elementi 2.3-2.4-2.5. Durante la compilazione della cartella parodontale si rilevano I seguenti indici:
- Plaque index >40%
- Profondità di sondaggio 6 mm mesiale e vestibolare 2.3
- Profondità di sondaggio 7mm distale 2.5
- Profondità di sondaggio 7mm distale 2.2
- FMBS 50% e BOP in corrispondenza degli elementi protesici 2.2 e 2.3
- CAL 8 mm 4.6
- Recessione 4 mm 1.3
- Recessione 2 mm 3.4
- Recessione 3 mm 4.4 e 4.5.
In relazione ai criteri della classificazione della World Workshop di Chicago (2018) 4 possiamo affermare che la paziente presenta un quadro di perimplantite in corrispondenza dell’elemento implantare 2.3-2.4 e 2.5. poiché presenta profondità di sondaggio ≥ 6 mm, Bop, infiammazione della mucosa che appare arrosata ed edematosa. Ricevuta la diagnosi e le indicazione dall’odontoiatra sul piano di trattamento, si passa alla terapia parodontale non chirurgica (COMBY TOUCH MECTRON) con le differenti fasi di air-polishing e polvere a bassa abrasività e per la zona protesica implantare e debridement con inserti ultrasonici specifici rivestiti in PEC, modulando l’intensità per contenere la dolorabilità lamentata dalla paziente.
Per l’igiene domiciliare è stato proposto alla persona assistita lo spazzolino sonico Hydrosonic Pro (Curaprox) che assicura uno spazzolamento idrodinamico delicato ed efficace con la possibilità di scegliere 7 livelli di in -
tensità, da 44.000 a 84.000 movimenti al minuto. Può essere personalizzata la scelta della testina tra 3 opportunità: sensitive, power, single. L’operatore dovrà condividere la scelta dimostrando quanto l’idrosonic pro con testina sensitive sia ideale in presenza di dolorabilità, in modo da essere performante per lo spazzolamento del collo implantare infiammato e dolorante. L’ergonomica forma a goccia con filamenti ultrasottili CUREN ® della testina risulta essere ben adattabile e le CURACURVE ® con particolari angolature permettono di spazzolare la zona retromolare.
La testina monociuffo “single” ultra sottile è opportuna per il controllo del biofilm batterico mirato su zone implantari difficoltose studiate dal prof. Dr. Ulrich P. Saxer e il dott. Jiří Sedelmayer. Prodotta in Svizzera questa tecnologia è vincitrice del German Design Award 2021.
Per il controllo dell’infiammazione nelle tasche perimplantari, dopo terapia parodontale non chirurgica, è stato inserito nella tasca perimplantare l’olio di oliva evo-ozonizzato Perioral3 (Gemavip), e per l’igiene domiciliare, è stato suggerito l’applicazione sul sito implantare infiammato del gel domiciliare, Ialozon gel, che può essere usato con spazzolino e monociuffo e scovolino.
Considerando la inefficace gestione del controllo del biofilm batterico, per la terapia di igiene orale domiciliare indichiamo l’implementazione della
terapia fotodinamica con il nuovo dispositivo Lumoral (Koite Health) che permette di avere un controllo sull’attività batterica e/o sull’infiammazione con agevoli applicazioni. Prima della applicazione la persona assistita deve
sciogliere una compressa di Lumorinse ed eseguire uno sciacquo. Successivamente potrà inserire il Lumoral ed attivare la foto-attivazione. Vanno considerati i fattori di rischio individuali per la frequenza d’uso domiciliare, che in caso di uso su paziente a scopo preventivo, verrà utilizzato dal paziente 2 volte la settimana per 10 minuti, in caso di mucosite 1 volta al giorno per 10 minuti e in questo caso, data la presenza di perimplantite, 2 volte al giorno per 4 settimane con la foto-attivazione di 30 minuti. I ricercatori finlandesi dell’U-
niversità di Helsinki, Dipartimento di Patologia Orale e Maxillo Facciali, e il Dipartimento di Medicina Dentale del Karolinska Institutet, hanno dimostrato quanto la fotodinamica domiciliare possa migliorare lo stato di salute dei tessuti adiacenti l’impianto. La terapia fotodinamica a doppia luce aggiuntiva applicata regolarmente riduce l'infiammazione nelle malattie perimplantari. (Regularly applied adjunct dual-light photodynamic therapy reduces inflammation in peri-implant disease, Hanna Lähteenmäki1,4, Tommi Pätilä2, Ismo T. Räisänen1, Rauni Kalliala4, Taina Tervahartiala1, Timo Sorsa1,3)
NOTE:
1 Department of Oral and Maxillofacial Diseases, University of Helsinki and Helsinki University Hospital, 00280 Helsinki, Finland;
2 Department of Pediatric Heart Surgery and Organ Transplantation, New Children’s Hospital, Helsinki University, 00100 Helsinki, Finland;
3 Division of Periodontology, Depart -
ment of Dental Medicine, Karolinska Institutet, 141 52 Huddinge, Sweden;
4 The Unit of Specialized Dental Implant and Oral Care Clinic, Hammasklinikka Kruunu, 33200 Tampere Finland Va inoltre considerata l’opportuni -
tà di usare una piattaforma digitale (ALFA DOCS) per una archiviazione esatta dei dati anamnestici ed una comunicazione one-to-one che permetta un nuovo linguaggio di cura attraverso la tecnologia, ed una personalizzazione efficace, condivisa e controllata dei follow-up, indispensabili per il mantenimento delle terapie implantari.
La paziente è stata motivata a smettere di fumare, ma rifiuta di frequentare i centri antifumo indicati. Considerato il suo diniego, proponiamo
di passare all’uso della sigaretta a tabacco riscaldato ICOS, quantomeno per ridurre il rischio dato dalla combustione da fumo di sigarette tradizionali.
RISULTATI E CONCLUSIONI:
Gli indici clinici di profondità di sondaggio (PD) e sanguinamento al sondaggio (BOP) sono migliorati. A distanza di 4 settimane si è verificata una riduzione notevole dei processi
infiammatori, confermata dalla riduzione dell’indice di placca e dalla riduzione del numero dei siti sanguinanti. Inoltre il tessuto gengivale che circonda l’impianto protesico è meno gonfio e dolente. La persona assistita
ringrazia soddisfatta e riferisce del lavoro efficace e delicato delle setole dello spazzolino Hydrosonic Pro, felice di aver percepito un alito migliorato.
DISCUSSIONE:
La difficoltosa gestione della salute del cavo orale è affidata alla competenza dell’igienista dentale,che deve essere aperta a nuovi approcci clinici con lo scopo di migliori risultati nella terapia di mantenimento. Personalizzare la scelta di tecnologie di spazzolini innovativi per il controllo meccanico del biofilm batterico (TBM) Nardi GM et all. Tailored Brushing Method (TBM): an innova -
tive simple protocol to improve the oral care. J Biomed 2016; 1:26-31.) e per il controllo chimico molecole che allevino la dolorabilità dei tessuti infiammati permette di accellerare i processi di guarigione ed assicurare, in maniera poco invasiva, eubiosi del cavo orale, dando modo al professionista di aiutare la persona assistita nel difficile mantenimento della terapia implantare.
Intervista a Guilherme Saavedra
Guilherme Saavedra
- Clinical Dentist at Saavedra Digital Dentistry Academy
- Associate Professor at Institute of Science and Technology – São Paulo
- School of Dentistry, São Paulo State University UNESP Brazil.
- Visiting Professor at the Faculty of Dental Medicine, University of Lisbon, Portugal - FMDUL
L’evento internazionale si terrà a Palma di Maiorca, in Spagna, il 9-10 maggio 2024, ed offrirà un programma di alto livello e molte opportunità di entrare in contatto con la community dell’odontoiatria digitale. Tra i leader del settore, abbiamo intervistato il Clinical Associate prof. dott. Guilherme Saavedra, dal Brasile, che all’Insights 2024 ci illustrerà come creare un sorriso naturale perfetto.
D: Dottor Saavedra, lei è professore presso l'Università Statale di San Paolo e la Facoltà di Odontoiatria dell'Università di Lisbona. Cosa le piace dell'insegnamento?
R: Innanzitutto vorrei ringraziarvi per avermi invitato a partecipare a questa intervista. Insegnare è una missione!
Amo insegnare perché è il modo più efficace per imparare e superare le sfide. Essere un insegnante significa essere disposto a condividere e imparare sempre.
Tutti vogliamo buoni risultati e successo! Io cerco il raggiungimento della mia missione. Il successo è un ingrediente fondamentale nella vita delle persone. Conoscete la differenza tra successo e mission ? Il successo è il raggiungimento dell'obiettivo che soddisfa le vostre aspettative. La mission è la condivisione del vostro successo con altre persone. Io cerco di fare la differenza in questo mondo. Il metodo che utilizzo è il PBL (problem-based learning).
D: Nel suo studio dentistico, come sceglie i prodotti che utilizza?
R: I prodotti sono selezionati in base ai concetti e alle filosofie delle aziende. Mi piace utilizzare prodotti che sono in linea con ciò che ritengo sia meglio per i miei pazienti. La cosa migliore è farli
cadendo? Perché la tecnologia supporta il processo decisionale e l'esecuzione. È comune vedere professionisti con poca esperienza eseguire procedure che un tempo venivano eseguite da professionisti con grande esperienza. Questo ha portato ad un brusco cambiamento nel mercato del lavoro. Non voglio dire se sia meglio o peggio, ma è diverso.
sorridere. Lavoro con pochissime aziende. exocad ha cambiato la mia vita professionale, ha rotto i paradigmi.
D: Che ruolo hanno, per lei, i prodotti exocad che utilizza nei trattamenti?
R: Il ruolo più importante: l'integrazione: i prodotti exocad supportano il processo decisionale e la costruzione di un paziente virtuale.
Il futuro della mia professione è nei software. Perché è attraverso di essi che raccogliamo tutte le informazioni, comprendiamo il problema (diagnosi), i limiti del caso clinico, simuliamo diverse soluzioni e, soprattutto, prendiamo la decisione migliore con la partecipazione del paziente. È una forma potente di comunicazione e pianificazione. Il professionista del futuro deve rendersi conto che vivremo nell'era del dentista/tecnico intellettuale. Così come durante la costruzione di un edificio l'ingegnere calcola le fondamenta e l'architetto definisce la corretta suddivisione degli spazi, la costruzione sarà eseguita da un professionista che deve solo esercitare un protocollo di lavoro tecnico. La cosa più importante non è chi esegue il lavoro, ma chi ha deciso cosa fare e come farlo. Credo che la nostra professione stia andando in questa direzione.
Il dentista generico sta invadendo specialità come l'ortodonzia, l'implantologia e altre. Perché sta ac -
Viviamo in un'epoca di continui cambiamenti e di necessità di investire nella formazione continua. Chi è in grado di assorbire tutto questo e di adattarsi può ottenere risultati favolosi. La tecnologia potenzia i nostri risultati, nel bene e nel male! Basta scegliere la propria strada.
D: Se dovesse scegliere un prodotto exocad. Quale sarebbe? Perché?
R: Devo proprio sceglierne uno? Non potrebbero essere almeno due?
Confesso che non posso più lavorare senza i prodotti exocad (exoplan, DentalCAD e ChairsideCAD). Sono un fan di exocad! Un'azienda allineata alla vita moderna, all'evoluzione umana e professionale.
La definisco la SCELTA che soddisfa le nostre esigenze e riduce le distanze in un momento in cui l'odontoiatria si sta trasformando e sta creando una dipendenza dalla velocità delle procedure senza perdere la precisione e la qualità finale del lavoro!
D: Il Brasile è un mercato enorme, conta circa 290.000 dentisti, dove si sta dirigendo il mercato brasiliano? Quali sono le tendenze dell'odontoiatria digitale, e quali le differenze rispetto all'odontoiatria europea?
R: Il Brasile è davvero un mercato enorme con un grande potenziale. Tuttavia, il potere d'acquisto dei professionisti qui è ancora molto basso rispetto al mercato europeo.
Non mi piace il termine specialità nell'odontoiatria digitale. In realtà, si tratta di strumenti digitali utilizzati in diverse specialità. La tendenza è verso l'integrazione e la creazione di un paziente virtuale. L'Odontoiatria Intellettuale è la strada da seguire!
Il mercato brasiliano abbraccerà gli strumenti digitali. Per farlo, le aziende dovranno rendere praticabile l'accesso a queste tecnologie. E se potessi lanciare una sfida alle aziende, sarebbe proprio questa!
L'odontoiatria europea è più conservatrice di quella brasiliana. Siamo ancora molto influenzati dal mercato americano. Ma non possiamo generalizzare su tutti i professionisti.
Credo che i professionisti brasiliani siano più ricettivi al cambiamento! Questo è un fattore importante.
D: Come sfida se stesso, ogni giorno, a dare il meglio ai suoi pazienti?
R: Mi metto alla prova cercando una comunicazione efficace e un apprendimento costante attraverso la formazione continua. Dobbiamo ascoltare, capire i nostri pazienti ed essere efficaci nel prendere decisioni comuni.
Se dobbiamo commettere un errore, che sia con il
computer e non con il paziente. L'odontoiatria moderna ci permette di farlo. Integrazione e costruzione di un paziente virtuale.
D: Parliamo di formazione e istruzione: quali corsi di formazione offre? E qual è la sua esperienza
come primo formatore indipendente certificato exocad in Brasile?
R: Tutta la formazione che offriamo si basa sulla risoluzione di problemi clinici quotidiani, con tecnici e dentisti, che partecipano allo studio stesso, per risolvere insieme la nostra sfida. Utilizzo il metodo PBL (problem-based learning) in tutte le attività con la risoluzione di un caso clinico dal vivo. Utilizziamo tutti gli strumenti digitali e i prodotti integrati exocad (exoplan, ChairsideCAD e DentalCAD).
L'ICTP è un certificato che attesta che il formatore è in grado di tenere corsi seguendo i concetti correttamente sostenuti da exocad. Tutti coloro che vogliono fare formazione con i prodotti exocad devono superare questa fase. Il che, dopo tutto, non è facile!
La partecipazione all’ICTP è un obbligo. È una forma di rispetto per i miei studenti. Allora, vogliamo exocadare?
D: Lei sarà un relatore ospite di exocad all’Insights 2024. Perché i professionisti del settore dentale dovrebbero partecipare a questo evento globale?
R: Sono molto orgoglioso e grato di avere questa opportunità e questa sfida. So quanto sia grande la responsabilità di rappresentare un'azienda globale come exocad. Amo le sfide! Si cresce solo quando si affrontano le sfide! Sto già preparando i casi clinici per fare la migliore presentazione della mia vita!
Insights ha un'atmosfera magica! Un evento innovativo e dirompente!
Colgo l'occasione per invitare tutti a partecipare a Insights 2024!
D: Qualche consiglio finale da dare ad un collega italiano?
R: Non siate i primi ad abbracciare le novità, ma non siate nemmeno gli ultimi ad abbandonare le vecchie pratiche.
Gli strumenti digitali cambieranno la vostra vita in meglio! Otterrete risultati significativi. Allora, vogliamo exocadare?
Ogni anno ci ritroviamo a gennaio con un nuovo bagaglio di esperienze e tantissime nuove conoscenze.
Aggiungiamo nomi e volti al nostro percorso e scopriamo sempre nuove realtà degne di attenzione.
Tiriamo le somme del conto vecchio e definiamo i budget da stanziare per le nuove attività, ma quello che prevale, in tutti questi ragionamenti abbastanza razionali, è il desiderio di migliorarsi ed aiutare altri ASO a migliorare, professionalmente e umanamente.
Siamo membri di un’associazione culturale con all’interno soci ambiziosi che desiderano diffondere e infondere cultura. La differenza sostanziale tra istruzione e cultura è che l’istruzione è un’attività sistemica che ha come fine quello di far imparare, con un insegna-
mento teorico o pratico, una serie di nozioni riguardanti una professione nello specifico oppure un’arte o una scienza, mentre la cultura è l’insieme di saperi, opinioni, credenze e comportamenti. La cultura consiste di valori e credenze che influenzano le pratiche ed è per questo che il nostro impegno non è volto soltanto all’espletamento dell’aggiornamento professionale ma a tutto ciò che può aiutare la nostra comunità di ASO ad acquisire la cultura del bello, della positività, della relazione umana e che ci faccia porre davanti agli ostacoli in modo riflessivo e costruttivo.
L'Associazione IDEA (Italian Dental Assistant) nasce il 7 novembre 2009 dalla volontà di qualificare e valorizzare il lavoro degli Assistenti di Studio Odontoiatrico (ASO) nel rispetto dei ruoli e di tutte le figure dell’équipe odontoiatrica. La nostra mission è sempre stata quella di
• contribuire a valorizzare e tutelare la professionalità, la competenza, le aspettative e l’immagine della figura dell’assistente di studio odontoiatrico, a qualsiasi titolo e livello.
• promuovere iniziative di aggiornamento professionale nelle discipline necessarie e
utili per lo svolgimento delle proprie mansioni, anche attraverso corsi e convegni di approfondimento della cultura sanitaria e della sicurezza nei luoghi di lavoro.
• introdurre principi e regole di etica professionale.
• approfondire la conoscenza delle tecniche assistenziali operative.
• affiancare Enti, Istituzioni e Associazioni per contribuire a diffondere la conoscenza e la funzione svolta nella collettività dagli assistenti di studio odontoiatrico.
Abbiamo cercato e affiancato ASO in tutta Italia nel tentativo di far comprendere il valore dell’istruzione in un settore in cui pochissimi ASO venivano formati adeguatamente. Operavano eseguendo operazioni che per loro avevano scarso o nessun significato ma lo eseguivano correttamente, seguendo però le indicazioni del proprio titolare che spesso non era opportunamente aggiornato sulle procedure indicate dalle linnee guida.
Fino all’avvento del DPCM del 9 marzo 2022, con il quale viene individuato il profilo professionale dell'Assistente
di Studio Odontoiatrico, coronando il sogno di tutti noi, soci attivi, che hanno perseguito per anni l’obiettivo del riconoscimento della nostra categoria come di figura di interesse sanitario. Il DPCM ha sancito, inoltre, l’obbligo di aggiornamento professionale annuale, dando così ulteriore valore al nostro impegno profuso, fin dalla fondazione dell’associazione, nell’organizzazione di eventi formativi specifici e di alto livello qualitativo per gli ASO. IDEA ha recentemente perfezionato l’organizzazione dando vita ad una Accademia per garantire alle/agli associate/i di assolvere all'obbligo formativo previsto dal DPCM 9 marzo 2022 che individua il Profilo Professionale dell’Assistente di Studio Odontoiatrico e, all'articolo 2 'Formazione' - punto 3 stabilisce che le/gli ASO “sono obbligati a frequentare degli eventi formativi di aggiornamento della durata di almeno dieci ore all'anno".
Tuttavia la nostra IDEA della Formazione va ben oltre il mero obbligo imposto dal legislatore perché perseguiamo la finalità di dare Identità alla Formazione dell’ Associazione IDEA e, per il suo tramite, dare identità alla Formazione dell’ ASO in Italia e in Europa contribuire, pertanto, alla nascita e allo sviluppo della Comunità Professionale Internazionale dell’ASO come luogo di apprendimento collaborativo, di scambio di esperienze e di ricerca-a-
zione per partecipare attivamente allo sviluppo del benessere delle persone e dei gruppi, nei luoghi di lavoro e di vita, nei comportamenti tecnico-professionali-organizzativi e relazionali e, in definitiva, contribuire -sia pure limitatamente al proprio spazio sociale- a rendere migliore il mondo.
Per queste ragioni abbiamo deciso di estendere l’opportunità di frequentare la nostra Accademia alle/agli ASO che non sono associati a IDEA, ma anche a quanti afferiscono ad altre categorie professionali che sono interessati alla nostra Formazione.
Questa opportunità è stata resa possibile grazie a:
• la nostra Fondatrice, Paola Barbera, che ha tracciato il percorso indicando l’obiettivo e iniziando ad accogliere sempre più ASO in seno alla nostra IDEA.
• Il Consiglio Direttivo, che ha visto avvicendarsi Aso intraprendenti e professionalmente valide
• la disponibilità delle associate volontarie di tutta Italia
• ai relatori formatori che hanno dedicato particolare cura nella preparazione delle lezioni sempre molto apprezzate dai corsisti
• al Direttore Scientifico, Dott. Donato Salfi, che ha scelto di condividere tutta la sua esperienza a supporto della nostra volontà di migliorare le prestazioni professionali di IDEA
• Progetto Weco (We Design Educational Community)
• Ciack Social produzione multimediale
• ma soprattutto i nostri Sponsor che ci hanno consentito di arrivare fin qui. In particolare, ringraziamo Zhermack S.p.a. per aver creduto in noi già diversi anni fa.
Ma, come dicevo, il nostro scopo, assolto all'obbligo formativo, è quello di creare una Comunità Professionale di Apprendimento: per questo ogni corso viene animato da un facilitatore che incoraggia ad utilizzare la chat di gruppo e il forum che sono due mezzi potenti per condividere idee, rifles -
sioni, esperienze: in altre parole per creare legami di Comunità, Identità, Appartenenza.
Le Relazioni, infatti, sono come la trama e l’ordito del tessuto di una Comunità.
Naviga, ascolta, osserva, impara e confrontati con i colleghi, inizia una
nuova esperienza che ti farà raggiungere obiettivi inaspettati tenendo conto che “ogni volta che impariamo qualcosa di nuovo diventiamo qualcosa di nuovo.”
Buona formazione e buon percorso a tutti!
Rimuovere
SETTEMBRE 2024 13-14
conoscere i problemi e progettare un futuro possibile
Servizi su misura per lo Studio Odontoiatrico
Approccio “easy” all’implantologia guidata. Provare senza necessità di fare alcun investimento.
Corsi gratuiti su questa tecnica al fine di consentire un valido approfondimento sul sistema che concilia il flusso digitale con quello classico per l’acquisizione dell' impronta orale del paziente.
Sede dei corsi: Roma
Giorno: sabato dalle ore 9.30 alle ore 13.00
Partecipanti: massimo 8-10 per corso
IMPLANTOLOGIA GUIDATA Chiavi in mano Per saperne di più contatta ora dentecom.srl@gmail.com
Rigenerazione ossea Lettura digitale
Via Francesco Saverio Sprovieri, 35 - 00152 Roma (RM) - T. +39 06 58330870 | +39 392 6060066 dentecom.srl@gmail.com - www.dentecom.it
La carie rappresenta un problema rilevante per la salute pubblica a causa della sua prevalenza universalmente elevata sia tra i bambini sia tra gli adulti.
In una valutazione epidemiologica mondiale eseguita nel 2010, la carie non trattata dei denti permanenti è risultata essere la malattia più diffusa rispetto a tutte le altre patologie (1).
Interventi profilattici contro la carie sono fortemente raccomandati dall’OMS (2) ed il trio più utilizzato degli interventi profilattici tradizionali (TPI) contro la carie sono l’applicazione di sigillante su fossette e fessure dello smalto dei molari (3) e la somministrazione topica di gel ad alto contenuto di fluoro (4,5).
Il laser potrebbe rappresentare un trattamento profilattico alternativo o complementare agli interventi profilattici tradizionali per migliorare la prevenzione della carie.
Il laser in odontoiatria è stato utilizzato in diversi campi come la conservativa (6), l’endodonzia (7), la parodontologia (8), l’implantologia (9), la chirurgia orale (10), ecc.
Negli ultimi anni il laser è stato utilizzato anche a scopo profilattico contro la carie a livello sub-ablativo, ossia con energia sufficiente per modificare la struttura dello smalto ma senza alcuna capacità ablativa tissutale.
Dagli anni ’80 la luce laser ha dimostrato di essere in grado di modificare la struttura dei tessuti superficiali dello smalto dentale.
Quando la luce laser ad energia sub-ablativa interagisce con lo smalto, produce un aumento superficiale e istantaneo della temperatura da 100°C a 1600°C inducendo modifiche strutturali dei tessuti (11).
In particolare, la luce Laser interagisce con acqua e idrossiapatite ovvero i due cromofori presenti nello smalto. L’acqua all’interno dello smalto irradiato diminuisce la sua concentrazione (12), in particolare quelle molecole attorno ai cristalli di idrossiapatite con conseguente diminuzione della permeabilità dei tessuti (13) alla quale consegue, inoltre, una diminuzione della penetrazione degli acidi prodotti dai batteri della carie (14).
Inoltre, quando l’idrossiapatite viene irradiata, il contenuto dei suoi componenti chimici è modificato: gli ioni calcio e fosfato aumentano (14) mentre diminuiscono gli ioni carbonato (12).
Questi cambiamenti aumentano la stabilità chimica dell’idrossiapatite irradiata (14, 15).
In particolare, la perdita di carbonato di calcio aumenta il grado di cristallinità dello smalto con un miglioramento delle sue proprietà strutturali (16).
L’uso del Laser ha dimostrato, in vitro, un’ulteriore validità: aumenta l’assorbimento del fluoro nello smalto e migliora la ritenzione del sigillante se utilizzato in combinazione con un gel acido per la mordenzatura di fossette e fessure dello smalto (17).
Pagano et Al. nel 2020 ha condotto una ricerca per verificare se l’uso del laser a energia sub-ablativa induce una modificazione dello smalto sufficiente a migliorarlo in termini di resistenza alla carie, assorbimento di fluoro e ritenzione dei materiali sigillanti, migliorando le tradizionali procedure di mordenzatura.
Inoltre ha voluto determinare se l’uso del laser fosse sicuro per la vitalità della polpa dentale.
È stato osservato che se utilizzato da solo, il laser CO2 non è risultato in grado di ridurre l’incidenza della carie nei denti non trattati; al contrario, quando il laser è stato impiegato in combinazione con gli interventi tradizionali di profilassi, è risultato efficace.
Nello specifico, il laser CO2 combinato con i sigillanti contribuisce alla riduzione dell’incidenza della carie di circa il 78% mentre l’Er:YAG in combinazione con i sigillanti e comparato con gli stessi sigillanti usati da soli ha determinato una riduzione dell’incidenza della carie del 56%.
In un ulteriore studio, il laser Nd:YAG in combinazione con il gel di fluoruro di fosfato acidulato è stato confrontato con lo stesso gel da solo; anche in questo caso, il laser combinato con il gel al fluoro è risultato più efficace rispetto al gel utilizzato da solo con una riduzione dell’incidenza della carie del 61%.
Nella dentizione decidua, quando il laser è stato utilizzato da solo è risultato in grado di ridurre significativamente l’incidenza della carie con valori medi del 70%.
Per quanto concerne la ritenzione del sigillante questa è stata valutata confrontando due tipi di mordenzatura dello smalto, l’irradiazione con luce laser (laser etching) e con apposizione tradizionale di acido in gel (acid etching).
Sono stati eseguiti due tipi di analisi: la luce laser utilizzata da sola è stata comparata con il gel di mordenzante e la luce laser in aggiunta al gel acido è stata confrontata con il gel stesso. Alcuni studi dimostrano anche che la luce laser combinata con il gel mordenzante ha prodotto una migliore mordenzatura, in termini di ritenzione del sigillante, rispetto al gel acido utilizzato da solo; infatti, quando è stato utilizzato il laser CO2 in aggiunta al gel acido, è stata riscontrata una riduzione da 19 a 12 distacchi, con una diminuzione del 37% di drop-out.
Allo stesso modo, quando il laser Er:YAG è stato combinato con il gel, si è verificata una riduzione del distacco del 46%, passando da 35 a 19 otturazioni sigillanti cadute durante il periodo delle visite di controllo.
Comparando la mordenzatura laser con quella acida, in letteratura non è stata trovata alcuna differenza statisticamente significativa tra le due per quanto concerne il drop-out del riempimento del sigillante.
Il livello di energia sub-ablativa è definito come la quantità di energia non in grado di determinare ablazione nei confronti dei tessuti dentali, ma sufficiente a modificarne la struttura.
In letteratura non è stato ancora stabilito con precisione un valore di cut-off tra energie ablative e sub-ablative, tuttavia il valore della densità energetica sub-ablativa non dovrebbe mai eccedere i 100 mJ/cm2.
Quando il laser è stato utilizzato in modalità sub-ablativa sui denti permanenti come intervento profilattico contro la carie, è risultato essere clinicamente efficace solo se impiegato in associazione ad un intervento profilattico tradizionale come le sigillature o l’impiego di gel fluoridrico.
Il laser abbinato a un TPI riduce l’incidenza della carie rinforzando lo smalto e, inoltre, riduce il distacco delle sigillature.
Al contrario, quando il laser è impiegato da solo, non si registrano miglioramenti della resistenza dello smalto alla carie né alla ritenzione dei sigillanti. L’utilizzo del laser, quindi, anziché essere un’alternativa ai TPI dovrebbe essere considerato un intervento profilattico in grado di migliorare l’efficacia dei trattamenti profilattici tradizionali.
Note:
1) Kassebaum NJ, Bernabè E, Dahlya M, et al. Global burden of untreated caries: a systematic review and metaregression. J Dent Res 2015;94;650-8
2) Selwitz RH, Ismail Al, Pitts NB. Dental caries. Lancet 2007;369:51-9
3) Ahovuo-Saloranta A, Forss H, Walsh T, et al. Pit and fissure sealants for preventing dental decay in permanent teeth. Cochrane Database Syst Rev 2017;7:CD001830
4) Marinho VCC, Worthington HV, Walsh T, et al. Fluoride gels for preventing dental caries in children and adolescents. Cochrane Database Syst Rev 2015;15:CD002279
5) Marinho VC, Worthington HV, Walsh T, et al. Fluoride gels for preventing dental caries in children and adolescents. Cochrane Databasa Syst Rev 2015;15:CD002280
6) Montedori A, Abraha I, Orso M, et al. Lasers for caries removal in deciduous and permanent teeth. Cochrane Database Syst Rev 2016;9:CD010229
7) Bordea IR, Hanna R, Chiniforush N, et al. Evaluation of the outcome of various laser therapy applications in root canal disinfection: a systematic review. Photodiagnosis Photodyn Ther 2020;29:101611
8) Ren C, McGrath C, Jin L, et al. The effectiveness of low-level laser therapy as an adjunct to non-surgical periodontal treatment: a meta-analysis. I Periodontal Res 2017;52:8-20
9) Lin G-H, Suàrez Lòpez Del Amo F, Wang H-L, et al. Laser therapy for treatment of peri-implant mucositis and peri-implantitis: an American Academy of Periodontology best evidence review. J Periodontal 2018;89:766-82
10) Noba C, Mello-Moura ACV, Gimenez T, et al. Laser for bone healing after oral surgery: systematic review. Lasers Med Sci 2018;33:667-74
11) Fowler BO, Kuroda S. Changes in heated and in laser-irradiated human tooth enamel and their probable effects on solubility. Calcif Tissue Int 1986;38:197-208
12) Correa-Afonso AM, Bachmann L, de Almeida CG, et al. Loss of structural water and carbonate of Nd:YAG laser-irradiated human enamel. Laser Med Sci 2015;30:1183-7
13) Kunin AA, Evdokimova AY, Moiseeva NS. Age-Related differences of tooth enamel morphochemistry in health and dental caries. Epma J 2015;6:3
14) Diaz-Monroy JM, Contreras-Bulnes R, Olea_mejia OF, et al. Chemical changes associated with increased acid resistance of Er:YAG laser irradiated enamel. Scientific World Journal 2014;2014:1-6
15) Habibah TU, Salisbury HG. Hydroxyapatite Dental Material. In: Stat pearls. Treasure Island (FL:StatPearls Publishing, 2020)
16) Xu C, Reed R, Gorski JP, et al. The distribution of carbonate in enamel and its correlation with structure and mechanical properties. J Mater Sci 2012;47:8035-43
17) Lombardo G, Pagano S, Cianetti S, et al. Sub-ablative laser irradiation to prevent acid demineralization of dental enamel. A Systematic review of literature reporting in vitro studies. Eur J Paediatr Dent 2019;20:295-301
politico, giuridico o morale; in senso stretto, invece, l’etica va distinta sia dalla politica che dal diritto, in quanto ramo della filosofia che si occupa più specificamente della sfera delle azioni buone o cattive e non già di quelle giuridicamente permesse o proibite o di quelle politicamente più adeguate.”
le cui prescrizioni nell’antichità vincolavano comunque solo la setta dei medici ippocratici, e i codici professionali dei medici hanno rappresentato sino a metà del XX secolo gli unici riferimenti etici e normativi per il medico.
Scorrendo l’Enciclopedia Treccani la definizione di etica è riportata in questi termini:
“In senso ampio, quel ramo della filosofia che si occupa di qualsiasi forma di comportamento umano,
Etica è un insieme di norme, un codice che riunisce i principi assoluti come la dignità, la libertà, il bene e i principi secondari come la giustizia e la solidarietà; studia le norme giuridiche e ricerca i valori e i principi morali (l’insieme di regole morali viene disciplinato dalla deontologia). Ecco perché un operatore può essere giuridicamente corretto ma deontologicamente e umanamente scorretto. Quindi sembra logico associare l’etica alla morale intesa come scelta consapevole tra azioni ugualmente possibili, ma alle quali compete o si attribuisce valore diverso o opposto (bene e male, giusto e ingiusto). In campo medico, l’etica è per definizione generale collegata ad Ippocrate: il cosiddetto giuramento di Ippocrate,
Ma se ripercorriamo con la memoria il moderno giuramento che abbiamo fatto, ci rendiamo conto che i principi di etica che vi sono contenuti sono tutti relativi specificatamente allo svolgimento della professione ovvero al rapporto con il paziente. In realtà non vi sono riferimenti specifici ai principi etici che dovrebbero regolare il rapporto professionale tra medico e medico. L’Odontoiatria è una professione relativamente giovane che nell’arco di un centinaio di anni ha raggiunto livelli di specializzazione molto alti. Non va dimenticato che si giunge ad un titolo ufficialmente riconosciuto partendo da semplici disposizioni amministrative: la distribuzione autorizzata dei rimedi e una licenza ad esercitare che non implicava alcun controllo sulla preparazione pratica e tantomeno teorica dell’ope -
ratore. Solo nel corso del XVIII secolo che si sentì la necessità di istituire veri e propri esami che garantissero la capacità professionale di coloro che si dedicavano alle branche minori della chirurgia (litotomi, oculisti, ortopedici e dentisti) e che spesso ne praticavano varie contemporaneamente; ma nel contempo non si ritenne necessario istituire corsi regolari come per gli studenti in medicina e chirurgia. Gli aspiranti dentisti, per poter superare un esame, indirizzato prevalentemente verso l’aspetto chirurgico (gli esaminatori erano i docenti di anatomia e chirurgia) e per apprendere le nozioni fondamentali di anatomia e patologia dell’apparato masticatorio, avrebbero dovuto frequentare le lezioni universitarie; d’altro canto le realizzazioni dell’odontoiatria riguardanti la conservativa, la chirurgia speciale e la protesica dovevano necessariamente venir apprese privatamente o attraverso un tirocinio presso studi dentistici già avviati.
Continua la lettura: https://shorturl.at/jsvE6
Ddr.ssa Giulia Anfosso Lembo
Socio Ordinario Atasio Lab Special Needs
Studente del Master “Gestione della salute orale nel paziente Special Needs”
Anno accademico 2023-2024
Coinvolgente, esauriente, stimolante, superlativo, sono solo alcuni dei tanti aggettivi con cui descrivere il Congresso “La gestione della salute orale nel paziente special needs”, parte del Bando Convegni, Seminari e Workshop 2023 dell’Università Sapienza di Roma, tenutosi il 2 Dicembre 2023 presso il Dipartimento di Scienze Odontostomatologiche e Maxillo-Facciali della stessa Università; l’evento si è svolto con il patrocinio di Atasio Lab Special Needs, Accademia Il Chirone, assieme ad importanti associazioni presenti sul territorio quali Siamo Delfini Impariamo l’autismo, Progetto Sinapsi, Bimbi con il sorriso Onlus, Tutti giù per terra e Progetto Filippide
La prof.ssa Gianna Maria Nardi assieme ad un comitato scientifico d’eccellenza ha organizzato un evento di altissimo valore formativo attraverso i contenuti delle relazioni, garantendo la crescita professionale e personale di tutti gli igienisti dentali presenti, tra i quali gli studenti del Master “Gestione della salute orale nel paziente special needs” dell’anno accademico 2023-2024.
Il saluto delle autorità ha dato inizio alla giornata congressuale dedicata alla formazione in tutti i suoi aspetti:
l’importanza di un approccio transdisciplinare del paziente oncologico, attraverso una Lectio Magistralis del prof. Umberto Romeo, incentrata sulla prevenzione ed il trattamento della MRONJ e delle problematiche orodentali che deri-
vano delle terapie radianti e chemioterapiche, sottolinea la necessità ed il bisogno di un team di professionisti capaci di collaborare assieme e di adattare e modificare il loro approccio terapeutico sulla base del singolo paziente, sia per tutta la durata delle terapie oncologiche sia durante i follow up post trattamento.
L’obiettivo della relazione del dott. Marco Magi è stato quello di una maggior conoscenza dell’Odontoitria Speciale attraverso la comprensione dell’etica deonotologica e dell’approccio psicologico nel paziente fragile.
Saper accogliere, osservare ed ascoltare il paziente sono competenze essenziali per lo svolgimento della professione dell’igienista dentale nei pazienti speciali needs, emerse attraverso la presentazione dei casi clinci del relatore dottor Magi.
L’intervento della prof.ssa Livia Ottolenghi sul management e la comunicazione nel paziente con disabilità sensoriali ha messo in luce quali sono le criticità patologiche e le barriere all’accesso alle cure odontoiatriche di questi pazienti, proponendo strategie comunicative alternative per color che sono affetti da ipoacusia, cecità o sordocecità anche attraverso l’uso di tecnologie assistive. Sviluppare procedure cliniche professionali ad hoc capaci di garantire l’accessibilità fisica ed alla comunicazione, sono requisiti fondamentali per fornire un’assistenza sanitaria centrata sul paziente nel contesto delle disabilità sensoriali.
Il contributo della prof.ssa Denise Corridore e del prof. Maurizio Bossù ha illustrato quale sia il corretto managment ambulatoriale del paziente affetto da ADS, attraverso la presentazione del protocollo clinico adottato presso il reparto di Odontoiatria Pediatrica del Policlinico Umberto
I, luogo in cui viene valorizzato il concetto di conoscenza della persona, attraverso lo studio e la valutazione collaborativa del paziente, il rapporto con la famiglia ed il valore del tempo di cura, dando la più corretta importanza all’approccio pedagogico-odontoiatrico nel trattamento del bambino con spettro autistico.
Il valore formativo e di aggiornamento clinico e scientifico attraverso i metodi terapeutici e protocolli operativi adeguati nei pazienti con patologie neuropsichiatriche, ematologiche e forme sindromiche, si è delineato con l’intervento del prof. Gianluca Sfasciotti. Le modalità di approccio clinico e anestesiologico e le soluzioni terapeutiche concrete, individualizzate sul singolo paziente, assieme ad un approccio multidisplinare con specialisti sanitari ed il coinvolgimento del care giver, rappresentano i punti cardine per il raggiungimento del successo terapeutico.
La sessione pomeridiana del congresso ha visto come protagonisti il dott. Alberto Aureli ed Enrico Maria Fantaguzzi, creatore di Link@aut, una startup fonda-
ta nel 2017 con lo scopo di promuovere il senso dell’accoglienza consapevole a vantaggio di tutte le persone affette da autismo. La prima parte della relazione è dedicata alle informazioni di carattere scientifico sul disturbo dello spettro autistico; il focus si concetra poi sull’accoglienza consapevole: ossia come non commettere errori, spesso banali, nei confronti delle persone con autismo. “Non c’è un modo unico per rapportarsi con loro” – sottolinea Fantaguzzi “ma alcuni sbagli possono essere facilmente evitati.” Il corretto approccio odontoiatrico dipende molto da ciò e ne deriva quindi la più indicata gestione preventiva e terapeutica, attraverso la preparazione di tutto il team, considerando non solo l’anamnesi medica ma anche il profilo emotivo. L’ultima parte dell’intervento è stata invece di tipo esperienziale: la numerosa platea ha potuto conoscere i ragazzi affetti da autismo.
Momenti come questo, all’interno di un evento superlativo, hanno strasmetto tanta adrenalina, emozioni e tanta voglia di crescere per un futuro migliore per i pazienti, per la salute pubblica, per i professionisti e per noi stessi.
L’obiettivo dovrebbe essere osservare la natura attraverso un percorso a ritroso, riuscire a capire gli eventi e i mutamenti strutturali che i denti hanno vissuto prima di presentarsi davanti ai nostri occhi per analizzare e conoscere il perché delle cose.
L’approfondimento di queste analisi ci consente di percepire l’eventuale forma primaria dei denti e le cause, attraverso le quali, tale forma ha subito dei mutamenti e quindi un adattamento alla nuova situazione.
Quotidianamente ci capita di effettuare ricostruzioni protesiche, più o meno complesse ed estese, ma il nostro campo visivo si limita sempre ad analizzare i medesimi particolari, riducendo ciò che potrebbero essere le nostre capacità visive a vantaggio di un’ulteriore ripetizione di ciò che siamo abituati ad eseguire.
Dovremmo far nascere in noi la necessità di imparare a leggere ed ascoltare quelle forme che vorrebbero parlarci, per darci la soluzione della nostra parziale cecità.
I modelli ci parlano, i denti vorrebbero raccontarci tutta la loro storia come dei pazienti che chiedono aiuto.
E allora cosa c’è di più utile e bello che approfondire e superare i limiti del nostro vedere per entrare nel mondo che tutti chiamano artistico? La nostra fantasia è forviante e solo un Metodo ci permette di raggiungere la bellezza.
Entriamo negli anni 2000, il mio obiettivo è capire i nostri limiti visivi per trovare la soluzione e per poter legge -
re le reali forme che ci appartengono. Come fare?
Indispensabile entrare nel mondo delle misure, nei percorsi stabiliti da un sistema numerico che ci mette nelle condizioni di capire, di vedere e di eseguire in un modo più vero la replica delle forme.
Un Metodo che esprime i concetti della “Bellezza”, di cui ho sentito esprimere nel mondo artistico durante il mio capire, che non appartengono alla bravura o alla fantasia di chi interpreta, ma da schemi e letture molto specifiche che ti approcciano alla forma ideale attraverso le misure.
Canova insegna!
Misure
È stato il primo Artista con una mentalità imprenditoriale.
È riuscito a tradurre un percorso del suo fare attraverso dei punti di repere che metteva sui prototipi in gesso per replicarli esattamente in marmo.
MISURE!
Tutto questo gli consentiva di far sì che i collaboratori della sua bottega di Roma, potessero aiutarlo nell’avanzamento delle opere, mettendo poi il Maestro Canova, nelle condizioni di ultimarle nei dettagli, inserendogli il suo imprinting riconosciuto ogni dove.
Bellissimo! Pensiamo che tutto ciò risale alla fine del Settecento.
Questo è lo stesso spirito della sistematica di Alberto Battistelli. Ecco che nasce un pensiero, dove, essendo consapevoli dei propri limiti visivi e approcciando il nostro cognitivo all’utilizzo di una nuova metodologia, si delinea un percorso attraverso l’u-
miltà e l’emozione del cambiamento, illuminandoci su ciò a cui nessuno era mai arrivato, riconosciuta come un’Eccellenza nel Mondo.
Questa naturale sovrapposizione delle nostre attrazioni cognitive ha fatto sì che riuscimmo a scrivere un racconto del nostro pensare e del nostro fare, che ci permise di essere spesso presenti in incontri congressuali, dove, la nostra sinergia riusciva ad entrare nell’emotività della gente creando interesse, curiosità e desiderio di cambiamento.
A.F.G. Significa entrare intimamente nel mondo delle forme dentali, superando il diaframma che separa il visibile dal non visibile e poter vivere il rapporto plastico delle forme.
La forma è bellezza e la bellezza è forma e non tutte le parti che la compongono sono facilmente visibili ai nostri sensi.
È necessario liberarsi dai vizi visivi e leggere le parti che costituiscono l’insieme.
Questo è il valore aggiunto del linguaggio codificato di una sistematica unica performante come l’A.F.G. Evidenziare i punti, riuscire a percepirne le linee invisibili e seguire un percorso di numeri (misure) attraverso le quali saremo, sempre, nelle condizioni di vedere e replicare ciò che la natura ha eseguito in modo esemplare e che spesso, per nostra negligenza nell’approfondimento della conoscenza, non riusciamo a riprodurre. È un Metodo che si rivolge sia ai Dentisti che agli Odontotecnici che gli permetterà di entrare in un mondo, troppo spesso ignorato, che darà un senso al loro fare, riuscendo a comunicare al paziente il perché di una certa forma, attraverso una spiegazione misurabile.
Iniziamo dalle 2 misure chiave, attraverso le quali saremo in grado di creare un percorso di punti e di volumi e il nostro cognitivo vedrà ciò che i numeri ci suggeriranno. Stabilire il posizionamento delle cuspidi in modo che possano interagire nella funzione con i denti antagonisti, definire l’andamento di un sottofondo invisibile, utilizzare delle misure inconfutabili, permetteranno di creare delle forme e proporzioni adeguate. La sistematica A.F.G. studiata e definita in tutti i suoi dettagli permetterà a tutti noi di mettere in pratica concetti e tecniche di applicazione a vantaggio dei pazienti, al punto che non si dovrà più dire ti mostro i denti che faccio, ma, sto realizzando i tuoi denti!
MISURE-METODO
Antonio CanovaMISURE-METODO
A.F.G.
Alberto BattistelliDobbiamo entrare nel mondo che ci circonda per vederlo, assaporarlo, toccarlo e capirlo, per poterlo conoscere e replicare attraverso le emozioni del nostro sapere e i sensi che ci appartengono per far sì che il nostro cognitivo memorizzi il momento, le informazioni e i numeri che saranno la chiave di lettura di ciò che eseguiremo. Solo così potremo entrare nelle aspettative di coloro che sperano di aver trovato in noi quella competenza necessaria per regalargli il loro sorriso. Tutto questo, in sintesi è A.F.G., tutto questo è Alberto Battistelli in ciò che ha fatto e in ciò che attraverso i suoi corsi ci mette a disposizione. Le nostre mani sono l’espressione di ciò che conosciamo e questo ci permette di esprimerci nel modo più adeguato, appartenendo e raccontando l’Estetica.
Come diceva, il più volte citato S. Agostino: “Il numero è parte integrante della bellezza, nulla si può fare se non utilizzando le misure per raggiungere l’emozione della Natura”.
Il mondo è fatto di numeri, l’uomo appartiene ai numeri...
E non dimenticherò mai quando io e Alberto, per terminare il Millennio 1900, ci trovammo a confrontarci, alla Maratona di New York su delle misure, che in quel contesto non erano millimetri ma chilometri, sempre con un unico comun denominatore: l’Emozione!
E tramite l’emozione sono certo che altri numeri, altri sogni, altri progetti, daranno colore e sapore ad altri momenti della nostra vita.
Grazie Alberto!
Maurizio Farina con Alberto Battistelli LE TRE GRAZIE di Antonio CanovaLe nuove tecnologie ci accompagnano e ci supportano, fornendoci continuamente innovazioni volte a migliorare la cura del sorriso e la soddisfazione dei clienti e dei pazienti. AIDA nasce come certificazione, ma vuole essere molto di più: è un percorso di crescita per l’odontoiatra e per l’odontotecnico.
B&B Dental supporta i propri clienti con un software di pianificazione di
• Maggior tutela medico-legale grazie all’utilizzo di indagini radiologiche oggettive (Tac o Cone Beam) combinate all’uso del software per la progettazione della chirurgia guidata
• Percezione di maggiore professionalità dello studio da parte del paziente, che si traduce in un aumento percentuale delle accettazioni di preventivi.
• Miglior risultato estetico e successo implantare più elevato
• Maggiore percezione da parte del paziente di alta professionalità, grazie alla tecnica chirurgica innovativa utilizzata che minimizza i suoi disagi.
• Possibilità di protesizzazione con carico immediato.
proprietà e attraverso il laboratorio digitale interno offre una gamma completa di servizi: pianificazione implantare, stampaggio di dima chirurgica, stampaggio di modelli, preparazione di monconi temporanei.
Vantaggi per il paziente
Date dei corsi per Odontoiatri
XI Edizione
18-19-20 aprile
10 maggio (esame)
11 maggio (giornata opzionale)
XII Edizione
6-7-8 giugno
28 giugno (esame)
29 giugno (giornata opzionale)
XIII Edizione
19-20-21 settembre
11 ottobre (esame)
12 ottobre (giornata opzionale)
XIV Edizione
14-15-16 novembre
13 dicembre (esame)
14 dicembre (giornata opzionale)
Date dei corsi per Odontotecnici
X Edizione
14-15-16 marzo
5 aprile (esame)
6 aprile (giornata opzionale)
XII Edizione
6-7-8 giugno
28 giugno (esame)
29 giugno (giornata opzionale)
XIV Edizione
14-15-16 novembre
13 dicembre (esame)
IX Edizione
14 dicembre (giornata opzionale)
X Edizione
14-15-16 marzo
• Intervento meno invasivo: - assenza di lembi (flapless)
5 aprile (esame)
6 aprile (giornata opzionale)
Vantaggi per l'odontoiatra
• Altissima precisione nel posizionamento implantare: buon profilo d’emergenza per realizzare un manufatto protesico congruo, funzionale ed estetico
XII Edizione
6-7-8 giugno
XIV Edizione
25-26-27 gennaio
14-15-16 novembre
- minor gonfiore e dolore post chirurgico - minimizzazione delle complicanze post operatorie
16 febbraio (esame)
13 dicembre (esame)
17 febbraio (giornata opzionale)
14 dicembre (giornata opzionale)
• Possibilità di impronta digitale tramite scanner intraorale: comfort totale per il paziente
28 giugno (esame)
29 giugno (giornata opzionale)
• Minor tempo di impegno della poltrona nei casi chirurgici complessi
X Edizione
14-15-16 marzo
5 aprile (esame)
6 aprile (giornata opzionale)
Contattaci e richiedi maggiori informazioni
+39 051 811375
www.bebdental.it/aida
g.zurlo@bebdental.it
N.B:
Sede dei corsi: Sede operativa B&B Dental, Via Due Ponti 19, Argelato (BO)
• Minore possibilità di imprevisti e minori fattori di rischio, grazie alla pianificazione del caso
• Scorte di magazzino ridotte alla pura necessità, sia per la parte implantare che per quella protesica
• Possibilità di flusso di lavoro interamente digitale attraverso l’utilizzo dello scanner intraorale
• Possibilità di pianificare ed effettuare il carico immediato nella stessa seduta di chirurgia
Unisciti a noi a Palma di Maiorca il 9–10 maggio per approfondire insieme a relatori di altissimo livello i nuovi approcci all'odontoiatria digitale. Assicurati un posto in prima fila per vivere a pieno quest'esperienza! Insieme ai tuoi collaboratori, potrai fare network con i più famosi trend setter del settore e con colleghi da tutto il mondo in occasione della nostra esclusiva Notte Bianca Perlata.