La guida all'implantologia mondiale


3
S.I.O.H. Le innovazioni tecnologiche in Odontoiatria Speciale
14
La guida all'implantologia mondiale
3
S.I.O.H. Le innovazioni tecnologiche in Odontoiatria Speciale
14
Iniziativa A.T.A.S.I.O. e Haleon all'Expodental Meeting 2024
L’A.T.A.S.I.O. (Accademia sulle Tecnologie Avanzate nelle Scienze di Igiene Orale) in collaborazione con Haleon ha intrapreso un programma di divulgazione sui corretti stili di vita della donna in gravidanza e su come essi possano in maniera diretta ed indiretta influenzare la salute orale della gestante e del nascituro. Il progetto è stato stimolato da una revisione della letteratura, Maternal and Neonatal Oral Microbiome Developmental Patterns and Correlated Factors: A Systematic Review - Does the Apple Fall Close to the Tree? G.M. Nardi, R. Grassi, A. Ndokaj, M Antonioni, M. Jedlinski, G. Rumi, K. Grocholewicz, I. Dus-Ilnicka, F.R. Grassi, L. Ottolenghi, Marta Mazur. 2021 May 23;18(11):5569. doi: 10.3390/ ijerph18115569, che ha dimostrato la correlazione del microbioma materno orale e neonatale attraverso una trasmissione verticale durante il periodo gestazionale. Questo progetto “Cambiamenti fisiologici ed ormonali della gravidanza ed impatto sulla salute orale” si svolgerà in 4 tappe all’interno del percorso di Atasio in tour, che ha visto il primo incontro aver luogo nella prestigiosa cornice del’Expodental meeting 2024 [...]
15 ATASIO Management di Salute nel Paziente Fragile
A.I.O.L.A. Exeresi Mucocele orale mediante utilizzo di laser a diodo
19
L’intelligenza vien masticando è il titolo di un progetto divulgativo finanziato dal dipartimento di Scienze Chirurgiche dell’Università di Torino. Esso è dedicato alla divulgazione alle mamme, ai papà e agli educatori di recenti risultati scientifici di ricerca di interesse per il miglioramento dello sviluppo psico-fisico del
SIDO International Congress
Dopo il grande successo dello Spring Meeting 2024 a Verona lo scorso 19/20 aprile della Società Italiana di Ortodonzia SIDO, dal titolo “Stars and Rising Stars in Orthodontics” [...] Continua la
3
bambino. Gli studi riguardano la masticazione che è un movimento funzionale di importanza per la crescita delle ossa mascellari superiori e inferiori, come sappiamo da tempo, e per lo sviluppo e il mantenimento della memoria e dell’attività cognitiva, come è stato recentemente dimostrato.
Continua la lettura a pag. 9
Ricrescita dei denti farmaco in arrivo nel 2030
La perdita dei denti è un problema che affligge milioni di persone in tutto il mondo. Carie, traumi, malattie gengivali e altre condizioni patologiche possono portare alla necessità di estrazioni dentarie [...]
Continua la lettura a pag. 17
che si è svolto il 17 Maggio alla presenza di numerosissimi operatori del settore della prevenzione.
In maniera diretta possiamo, attraverso un’igiene orale domiciliare appropriata, agire su quelle che sono le patologie orali che possono colpire la donna durante il periodo gestazionale a causa dei cambiamenti a cui il suo corpo va incontro, come: gengivite gravidica, epulide gravidica, intensificazione della comparsa di carie, presenza di afte e possibilità di erosione dello smalto.
Durante la gravidanza, l’infiammazione delle gengive è una problematica piuttosto comune che riguarda circa l’60/70% delle donne; la gengivite gravidica, solitamente, si manifesta sin dal primo trimestre di gravidanza e recede spontaneamente dopo il parto. L’intensità e la gravità sono piuttosto variabili.
Durante la gestazione, accresce fisiologicamente la produzione di ormoni estrogeni, aumenta l’irrorazione di sangue ai tessuti del corpo e, inoltre, avviene anche una diminuzione delle difese immunitarie: tali cambiamenti nell’organismo possono dare origine a gengiviti. Le mucose orali, il cui ispessimento è dovuto all’aumento in circolo degli estrogeni, di-
ventano ipertrofiche in conseguenza alla dilatazione dei vasi sanguigni, presentando un aspetto gonfio e più scuro; questa condizione favorisce la proliferazione nella bocca di batteri, quindi l’accumulo di placca, vera causa del disturbo. La promozione della salute orale nel periodo perinatale attraverso la prevenzione, il trattamento delle gengiviti, delle parodontiti e della carie dentale prima, durante e dopo la gravidanza sono il modo migliore per ottimizzare la salute delle donne, degli individui in età perinatale e della comunità; questo, dovrebbe essere svolta in maniera interdisciplinare dai professionisti della salute come medico, odontoiatra, pediatra, ostetrica, medico ginecologo e igienista dentale; nell’ottica dell’interdisciplinarietà all’interno del team è presente una ginecologa che darà un importante contributo. Alla luce di tutto questo l’obiettivo dell’igienista dentale e di tutti gli operatori sanitari, in maniera interdisciplinare, è quello di analizzare lo stile di vita e i comportamenti della donna e motivarla ad attivare cambiamenti positivi per promuovere la sua salute orale, quella del suo bambino e dei membri della famiglia.
Infomedix Odontoiatria 3/2024
bimestrale • anno IV • numero 19 maggio-giugno 2024
Direttore Responsabile
Silvia Borriello - silvia.borriello@infomedix.it
Coordinatore Editoriale Alberto Faini - a.faini@infomedix.it Redazione
Nadia Coletta - nadia@infomedix.it
Claudia Proietti Ragonesi - pressoffice@infomedix.it
Edited by ® Infodent Infomedix InternationalInfodent Srl
Sede Operativa: Via dell'Industria, 65 01100 Viterbo redazione@infomedix.it 0761.352133
Sede Legale: C.ne Gianicolense, 68 00152 Roma P. IVA / C.F. 01612570562
Amministratore: Baldassare Pipitone
Responsabile Scientifico
Gianna Maria Nardi
Luca Maria Pipitone
Roberta Grassi
Chiara Faini
Grafica
Silvia Cruciani - articoli@infomedix.it
Antonio Maggini - artwork@infomedix.it
Progetto Grafico Studio Frasi Ufficio Stampa
Claudia Proietti Ragonesi pressoffice@infomedix.it Marketing e pubblicità Riccardo Bonati riccardo.bonati@infomedix.it Alessandra Brunetti alessandra.brunetti@infomedix.it
Organizzazione Eventi
Cristina Garbuglia eventi@infomedix.it
Stampa
Graffietti Stampati Snc
Strada Umbro Casentinese Km 4.500 01027 Montefiascone (VT) Spedizione
Poste Italiane S.p.A – Spedizione in Abbonamento Postale - AUT. CENTRO/01673/05.2021
PERIODICO ROC Contiene I.P.
Registrazione al Tribunale di Viterbo n° 679/2021 del 08/03/2021
Costo copia euro 0.77
Questo numero è stato chiuso il: 06/06/2024
Servizi su misura per lo Studio Odontoiatrico
IMPLANTOLOGIA GUIDATA Chiavi in mano Per saperne di più contatta ora dentecom.srl@gmail.com
Rigenerazione ossea
Lettura digitale
Via Francesco Saverio Sprovieri, 35 - 00152 Roma (RM) T. +39 06 58330870 | +39 392 6060066 dentecom.srl@gmail.com - www.dentecom.it
E REDAZIONE Via dell’Industria 65 01100 Viterbo - Italy VAT 01612570562
Per informazioni, richieste e invio materiale da pubblicare contattaci: redazione@infomedix.it
T. +39 0761 352133 www.infomedixodontoiatria.it
Azienda certificata dal 26/11/2004, per la realizzazione ed erogazione di sistemi di comunicazione di marketing multicanale secondo la norma ISO 9001:2015. Certificato n. CERT-15119-2004-AQ-ROM-SINCERT
QR Code e sito Al termine di alcuni articoli è possibile trovare un QR CODE specifico per leggerli interamente sul sito dedicato al tabloid Infomedix Odontoiatria Italiana www.infomedixodontoiatria.it
Tutti coloro che vogliono condividere esperienze di trattamenti al cavo orale e periorale, maturate e documentate all’interno di studi dentistici privati o di cliniche odontoiatriche possono contribuire contattando la redazione chiamando il numero +39 0761 352133 o inviando una mail a: redazione@infomedix.it
La responsabilità degli articoli e dei contenuti appartiene ai rispettivi autori, che ne rispondono interamente.
Dopo il grande successo dello Spring Meeting 2024 a Verona lo scorso 19/20 aprile della Società Italiana di Ortodonzia SIDO, dal titolo “Stars and Rising Stars in Orthodontics”, che ha raccolto più di 1000 partecipanti di cui tantissimi specializzandi e giovani colleghi il motto generale di SIDO ‘COSTRUIRE PONTI PER IL FUTURO – Building bridges for the future’ sarà il filo conduttore anche del 55° SIDO International Congress dal 17 al 19 ottobre a Firenze, appunto con l’idea di enfatizzare la necessità di costruire una salda unione tra passato e futuro, tra i principi cardini della nostra professione e le nuove sfide del domani e tra tutte le generazioni di ortodontisti clinici e accademici mondiali.
Ecco il programma del 55° SIDO International Congress 2024 in pillole:
Giovedì 17 ottobre 2024 – giornata precongressuale:
• ‘ II° Memorial Sandro Segù’ dell’Italian Board of Orthodontics IBO sulla tematica del ‘ Trattamento delle malocclusioni nel paziente adulto ’,
• il primo Simposio ‘ Angle-net COMES ALIVE IN SIDO 2024 ’ in collaborazione con l’Angle Society of Europe ASE e l’Angle Society of America EHASO che tratterà ‘La nuova sfida: il paziente anziano’ e ‘I trattamenti elettivi con le tecnologie digitali avanzate’
• In parallelo la SIDO offre tre corsi tenuti dagli esperti TOP
- Limiti della biomeccanica ortodontica intrusiva (R. Ciarlantini- A. Venugopal), - La sinergia digitale-ortodontica e restaurativa (M. Veneziani- F. Federici-Canova - D. Spadoni) e
- La buona pratica temporo-mandibolare:
dai punti chiave alla quotidianità clinica (D. Manfredini).
Venerdì 18 ottobre 2024:
• Duetti e trio di virtuosi clinici di fama mondiale esporranno il loro concetti per ‘ Il trattamento interdisciplinare e la risoluzione congiunta dei problemi associati ’ e
• in collaborazione con l’IBO esperti brillanti illustreranno perché ‘ La ricerca dell’eccellenza non finirà mai ’.
Una nuova iniziativa sarà il lunch per la nuova generazione ‘SIDO YOUNG UNPLUGGED’ per un primo scambio intellettuale tra i giovani già esperti con quelli aspiranti in un’atmosfera accogliente.
Dopo un’intensa giornata scientifica la Presidente ha escogitato un nuovo layout del programma serale con il dress code ‘A TOUCH OF PINK ’ per festeggiare INSIEME con la one and only ‘ROLAND’S STONES’ BAND durante un’apericena itinerante e concludendo con il SIDO Party.
Sabato 19 ottobre
Dalle ore 9 fino alle 14 verranno trattati altri due topics caldissimi:
• ‘ The future in orthodontics is…NOW! ’ con un panel di relatori molto internazionale e vario e il
• ‘ 1 st SIDO Female Leadership Summit ’ per rendere omaggio alla sempre crescente e più importante quota ‘ PINK ’ in ortodonzia.
Durante la mattinata verranno premiati sia i vincitori del SIDO Poster Award che i due vincitori del SIDO Innovation Award 2024 per i due progetti più innovativi dell’anno 2024 presentati dalle aziende produttrici e dai soci SIDO.
Il congresso finirà con un Wine and Cheese e la seguente Assemblea dei Soci SIDO.
Sarà un momento di crescita professionale e personale tramite la condivisione di conoscenze e l'apertura a nuove prospettive che contribuirà alla continua evoluzione e miglioramento della pratica ortodontica. Sarà anche un momento per celebrare la “grazia” che sta vivendo la nostra specializzazione, certificata anche dalla recentissima nomina della professoressa Letizia Perillo a Presidente della WFO (World Federation of Orthodontists) per il quinquennio 2025-2029.
Per colmare il tempo di attesa fino al Congresso ad ottobre, SIDO invita i soci alla FAD online per raccogliere i crediti ECM e a settembre agli Study Clubs Regionali online sul ‘Finishing con le varie tecniche ortodontiche’.
La Presidente riassume: “Guardo con entusiasmo al futuro della professione ortodontica in Italia, consapevole che eventi come questo continueranno a plasmare e guidare l'innovazione nel settore.”
Le iscrizioni al 55° SIDO International Congress sono aperte sul sito www.sido.it
Vi aspettiamo numerosi a Firenze ad ottobre!
Il 2 Marzo scorso ad Udine grande successo del III Congresso U.N.I.D. Regionale FVG sul tema: “L'igienista dentale e la gestione del paziente: nuovi aspetti da considerare” Medesimi risultati per il Corso U.N.I.D. Regionale Liguria, tenutosi a Genova il 13 aprile sul tema:
"Dalla ricerca laboratoristica alla pratica clinica per la gestione del paziente ortodontico" e per quello Regionale Toscana, a Pisa il 20 aprile, dove si è parlato di "Aggiornamento in terapia
parodontale non chirurgica" Ottimi risultati di partecipazione per il percorso U.N.I.D. Regionale Calabria che ha dato lo start all'incontro sull' Odontofobia a Lamezia Terme l’11 maggio.
Nel mese di maggio U.N.I.D. è stata attivamente presente a diversi eventi. Dal 16 al 18 maggio U.N.I.D. a Rimini, ha partecipato a Expodental Meeting 2024 con una postazione che ha permesso l’interazione con tutti i visitatori della fiera.
Inoltre la partecipazione al programma scientifico, condivisa insieme alle maggiori rappresentanti di Società scientifiche, dedicata al management del paziente fragile in particolare del paziente odontofobico.
La relazione è stata presentata dalla dottoressa Augusta Virno, consigliere nazionale U.N.I.D., che ha fatto il focus su approcci clinici: Management clinico del paziente odontofobico -PNL- “Tecnica di ancoraggio nella pratica clinica dell’igienista dentale”
Sabato 26 maggio in occasione del congresso SISIO , presso l’Auditorum dell’Ospedale Pediatrico Bambin Gesù, U.N.I.D. ha partecipato alla tavola rotonda delle Società tecnico
scientifiche. L’incontro ha permesso la presentazione in anteprima di uno studio appena ultimato su “Concordance and clinical outcomes improvement following oral hygiene motivation: report of the workshop of the Italian societies on dental hygiene” che verrà pubblicato prossimamente. In calendario da non perdere il congresso del sud giunto all’VIII edizione. Sabato 8 giugno a Salerno per una mattina di grande aggiornamento illustri relatori parleranno di: “Stress: High Topic in Oral care”
Sempre grati per la numerosa partecipazione che ci rende propositivi per nuovi eventi Vi auguriamo buon aggiornamento con U.N.I.D.
Dott.
Marco MagiSabato 13 aprile al Polo di Odontoiatria dell’Università di Foggia si è concluso (in presenza e con grande entusiasmo) il Secondo Corso di Perfezionamento in Odontoiatria Speciale: "Approccio, gestione e scelte terapeutiche nei pazienti special needs (a.a. 2023-24)" con l’esposizione delle Tesi e la consegna degli Attestati, al quale hanno partecipato Medici Odontoiatri provenienti da tutta Italia. Il Corso è nato per volere del suo Coordinatore Prof. Lorenzo Lo Muzio, Magnifico Rettore dell’Università di Foggia, per formare e aggiornare i dentisti in Odontoiatria Speciale presentando alti risvolti di comunicazione scientifica ed educativa.
Anche quest’anno, Coordinatore Scientifico è stato il Dott. Marco Magi, past-President S.I.O.H. (Società Italiana di odontostomatologia per l’Handicap), che in un anno di lavoro ha coinvolto importanti relatori, molti dei quali Soci S.I.O.H. in un programma molto esteso riguardante prevenzione, diagnosi e terapia nella relazione con il paziente fragile nei suoi vari gradi di collaborazione e autonomia. Tale programma è inspirato al Manuale di Odontoiatria Speciale, di cui Marco Magi è stato editor, curatore e coautore. Componenti della Commissione dell’esame finale: Prof. Lorenzo Lo Muzio, Dott. Marco Magi, Dott.ssa Paola Salerno.
In questo “lungo e intenso” anno di lavoro, trovo doveroso ringraziare in primis il Prof. Lorenzo Lo Muzio che, con la sua grande sensibilità, ha saputo e voluto accogliere questa sfida sulla fragilità sanitaria in ambito odontoiatrico affidandomi il Coordinamento scientifico.
Un altro doveroso Grazie lo rivolgo ai suoi preziosi collaboratori amministrativi che con le loro competenze ci hanno accompagnato in tutto l’evento.
Anche in questo secondo Corso sono felice di aver sentito vicino un’icona carismatica, un’Amica, la Prof.ssa Laura Strohmenger, una presenza sempre importante!
Ringrazio, inoltre, gli Amici Relatori (molti dei quali appartenenti alla S.I.O.H.) che ho coinvolto e che con il loro profondo entusiasmo, grande professionalità e competenza hanno arricchito questo secondo Corso UNIFG. Al primo incontro abbiamo ricevuto - inoltre - il saluto, i complimenti e gli auguri dal presidente CAO Nazionale Dott. Raffaele Iandolo.
La prima doverosa riflessione nasce dal fatto che i nostri studi odontoiatrici, pubblici e privati, sono permeati di fragilità. Di conseguenza, oggi il medico si trova a fronteggiare tante domande fra le quali anche una forte domanda sociale. Questo Corso ha voluto proporre una grande opportunità scientifica, di clinica, di ricerca, ma anche un’occasione professionale di ambito educativo-deontologico nel mondo dell’Odontoiatria Speciale: manifestare il nostro essere medico.
Anche il Secondo Corso di Perfezionamento in Odontoiatria Speciale si è voluto presentare come un importante punto di riferimento scientifico per la Formazione in Odontoiatria Speciale in Italia.
La nostra conoscenza si appoggia, infatti, sulla formazione e l’aggiornamento alla quale ogni medico non può esimersi e l’aggiornamento culturale (Art. 19 del Codice di Deontologia Medica) in ambito odontoiatrico - in continua evoluzione - è un dovere… a maggior ragione quando si parla di Persone con disabilità, di soggetti fragili.
Formarsi e aggiornarsi significa interporsi favorevolmente con i nostri Pazienti
“Speciali” nella Relazione di cura mirabilmente descritto nell’Art. 20 del Codice di Deontologia Medica. Fondamentale è conoscere i dati e l’epidemiologia delle fragilità sanitarie: conditio essenziale per capire come muoverci e capire se come operiamo è la strada corretta.
La prima visita è un atto medico! Dobbiamo considerare tempi, approcci e bisogni diversi nelle varie disabilità: ogni essere è unico e irripetibile, non possiamo solo conoscere la disabilità, la patologia, ma
la Persona! Di conseguenza il modello di cura deve essere centrato sul paziente non sulla malattia. È determinante, quindi, per ogni medico odontoiatra effettuare un'attenta anamnesi, e (se non siamo in urgenza) un adeguato colloquio con i genitori.
Ormai è certo che l’Odontoiatria Speciale sarà una delle principali discipline del futuro, cominciando dalla Prevenzione Orale: PREVENIRE SIGNIFICA EDUCARE ALLA SALUTE! La Prevenzione è terapia, il follow-up è terapia.
La Prevenzione passa anche attraverso un’attenta formazione del familiare/caregiver per quanto riguarda l’igiene orale domiciliare.
Il nostro ruolo è, e sarà, guidare sempre il paziente fragile, i suoi familiari, verso un’efficace Prevenzione, non ultimo riducendo (ove possibile) anche il numero di tanti pazienti che hanno nell’anestesia generale l’unica risposta.
Partecipare al Corso ha favorito sicuramente, in ogni partecipante, la crescita personale formativa clinico scien-
tifica e umana verso i nostri Pazienti. Questo vuole essere il messaggio, la proposta di motivazione, di aggiornamento, migliorando le conoscenze teorico-pratiche, che permettono (di mettere in atto) appropriate scelte terapeutiche in presenza di pazienti fragili, fornendo al Professionista competenze e aggiornamenti sui protocolli e sulle procedure cliniche nell’ambito dell’Odontoiatria Speciale.
Nella vita e nella Storia (quindi) non importa solo chi dice cose straordinarie, solo chi fa cose meravigliose, importa chi quotidianamente sfida la realtà con la propria umanità.
Questo Corso di Perfezionamento in Odontoiatria Speciale dell’Università di Foggia, con il suo vasto programma, è stato una grande opportunità di crescita, di incontro, con l’auspicio di aver stimolato sempre nuove domande e di aver favorito una ricerca al miglioramento personale nella nostra professione verso il paziente fragile.
Siamo una Casa Editrice con esperienza
pluriennale nel settore odontoiatrico, medicale e farmaceutico.
Pubblica con noi la tua monografia!
H
Pagina Web dello Studio gestita da Horizon Horizon genera una Pagina Web personale per ogni Studio con i contatti, posizione, orari studio, social, prenotazione via email, che integrandosi alla messaggistica Whtsapp/Sms diventa un efficace strumento marketing
Inquadra il QR Code per vedere un esempio
In occasione di Expodental Meeting Rimini, Infomedix Odontoiatria ha partecipato al media briefing seguito da una visita guidata allo stand Henry Schein Krugg.
L'incontro, svoltosi il 16 maggio mattina, è stato condotto da Dino Porello, Amministratore Delegato di Henry Schein Italia e da Francesco Gallo, Am -
ministratore Delegato di Henry Schein One Italia. All'evento ha partecipato anche Giordano Puricelli, Direttore Marketing di Henry Schein Italia.
Il team di specialisti di Henry Schein ha presentato i più recenti progressi con particolare attenzione al flusso di lavoro digitale e all'odontoiatria estetica.
In merito al flusso di lavoro digitale, presso lo stand è stato introdotto un nuovo servizio sviluppato da OrisLine che sfrutta l'IA generativa, denominato Maia , integrato nel software di gestione OrisDent . Oltre a Maia è presentato anche Allisone , una soluzione innovativa di IA applicata alle immagini, recentemente lanciata e integrata nel software OrisDent.
Un'ulteriore innovazione è l'app MyOris , progettata per aiutare studi e laboratori a gestire le attività quotidiane in modo più efficiente.
Sempre ad Expodental 2024 ci è stato mostrato il nuovo software ImageOne integrato in OrisDent: una funzionalità avanzata per aiutare i professionisti dentali a gestire le immagini, anche in 3D, e a modificarle tramite strumenti integrati.
Anche l'odontoiatria estetica ha occupato un posto di rilievo nello stand di Henry Schein Krugg, dove è stata esposta una selezione di prodotti e soluzioni per il restauro completo del sorriso, come il portafoglio White Dental Beauty , un marchio professionale che fornisce prodotti dentali sbiancanti innovativi, di alta qualità e clinicamente testati.
Maggiori dettagli in merito alle nuove tecnologie e ai prodotti presentati da Henry Schein, durante Expodental Meeting Rimini, saranno presentati nel prossimo numero di Infomedix Odontoiatria Italiana.
Easyclean MD* è stato ottimizzato per lo specifico uso nel settore dentale e convince per il consueto carattere Renfert robusto e affidabile. Questo apparecchio unisce sicurezza legale e igiene dei prodotti a una solida qualità, facilità d’uso e buon design. Il risultato è tipico di Renfert: „making work easy“. Per saperne di più: www.renfert.com/easyclean-md
Professore Associato di Ortognatodonzia - Dental School, Università di Torino. Titolare dell’insegnamento di Ortognatodonzia I e II e di Fisiopatologia della masticazione al CLOPD, alla Scuola di Specializzazione in Ortognatodonzia, alla Scuola di Dottorato, ai Masters di II livello. Responsabile delle terapie precoci funzionalizzanti e ortopediche e della ricerca clinica sulla masticazione, sulla postura del soma e sull’attività cognitiva nei pazienti portatori di malocclusione. Past president del Gruppo di ricerca internazionale Nutrition Research Group dell’International Association for Dental Oral and Craniofacial Research (IADR). Referee, autore e coautore di numerose pubblicazioni scientifiche, comunicazioni, posters e inviti a congressi nazionali e internazionali. Autore del libro “Masticatory Function in Unilateral Crossbites.” edito da John Wiley USA 2016 e da EdiErmes Milano Italia 2018.
(Segue dalla prima pagina)
Sulla base di questi risultati affidabili e confermati, è stata realizzata una brochure in collaborazione con i professionisti della comunicazione per spiegare alle mamme, ai papà e agli educatori che lo sviluppo psico-fisico del bambino è positivamente influenzato dalla consistenza degli alimenti che gli vengono proposti. L’evoluzione della società moderna mette a disposizione in grande quantità e con facilità di approvvigionamento cibi molli e dolci che piacciono molto, ma la salute del bambino, come quella dell’adulto e ancor di più dell’anziano, necessita della masticazione di alimenti consistenti già dallo svezzamento. Quindi il ruolo delle mamme, dei papà e degli educatori è fondamentale.
Masticando si cresce e si diventa intelligenti: per questo è importante che la masticazione sia equilibrata e armonica. Sappiamo infatti che alcune malocclusioni causano un’alterazione del pattern masticatorio e un’asimmetria di attivazione dei muscoli masticatori tra i lati che provoca un’asimmetria di crescita ossea, irreversibile a fine crescita. Di qui, l’importanza di diagnosticare e correggere le malocclusioni che alterano la masticazione, e che sono sempre più diffuse, il più precocemente possibile con terapie e apparecchiature ortognatodontiche in grado non solo di spostare i denti, ma soprattutto di riequilibrare la funzione masticatoria. Il vero scopo delle terapie precoci in fase di sviluppo è il riequilibrio funzionale che non tutte le apparecchiature ortognatodontiche sono in grado di ottenere, nonostante il fatto che tutte indistintamente abbiano la capacità di raddrizzare i denti.
A questo proposito va detto che l’apparecchiatura ortognatodontica Funzionalizzante messa a punto all’Università di Torino nel reparto di Ortognatodonzia della Dental School è stata dimostrata, in
anni di ricerca e più volte pubblicata nella letteratura internazionale, capace di riequilibrare la funzione masticatoria con elevata significatività.
L’apparecchiatura Funzionalizzante è atraumatica e viene attivata dalle forze individuali dei muscoli del bambino durante la deglutizione, consentendo la correzione della malocclusione e, simultaneamente, il riequilibrio delle funzioni della bocca e della colonna vertebrale, per la salute futura dei piccoli pazienti.
La presentazione di questo progetto è la prima parte di una rubrica all’interno della quale verranno pubblicati a cadenza diversi articoli di approfondimento degli argomenti qui accennati.
Un ringraziamento a Infomedix Odontoiatria Italiana per la disponibilità a ospitare questa rubrica che speriamo possa essere utile ai lettori per comprendere l’importanza della funzione masticatoria a partire dallo svezzamento, così come durante l’età adulta, per un invecchiamento in salute nell’anziano.
Past
(Società Italiana di Radiologia Medica). È autore di 270 pubblicazioni su Riviste nazionali e internazionali e di circa 600 partecipazioni a Congressi nazionali e internazionali.
www.radiologiadambrosio.it
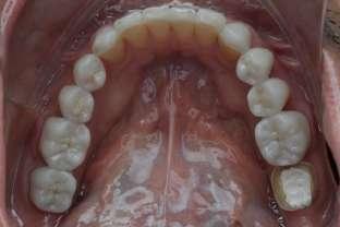
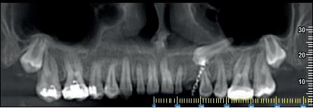
Un elemento dentale si definisce incluso quando il sacco follicolare non si apre in cavità orale in un periodo di tempo di circa 2 anni dopo la fisiologica epoca di eruzione e che ha perso la propria autonoma spinta eruttiva.
Tutti gli elementi dentali possono essere inclusi.
Le sedi generalmente osservabili sono in ordine di frequenza i terzi molari, i canini superiori, i premolari.
Le cause di inclusione possono essere molteplici.
La diagnosi si avvale dell’osservazione clinica e della Diagnostica per immagini che consente di valutare eventuali cause che impediscono la fisiologica eruzione di un elemento dentale.
Il bilancio radiologico 3D fornisce al clinico informazioni utili relative ad ostacoli da rimuovere, all’orientamento del dente, ai rapporti con
strutture limitrofe, alla forma delle radici, a disarmonia dento-maxillofacciale, al rilievo di eventuali anchilosi del dente incluso.
Nel dubbio di anchilosi del dente appare controindicata qualsiasi terapia di disinclusione.
Il canino superiore è il dente che, dopo il terzo molare, ha maggiore probabilità di rimanere incluso, con una incidenza di circa 1% - 5%.
L’inclusione del canino mascellare superiore è più frequente di quella del canino inferiore, con un rapporto di circa 10:1.
È riscontrabile con maggiore frequenza nel sesso femminile con rapporto di 2:1, più frequentemente è monolaterale, nell’8% dei casi è bilaterale.
L’elemento incluso presenta con maggiore frequenza una versione palatale.
La diagnostica per immagini si avvale di tecniche 2D (Ortopanoramica dentale e full endorale) e 3D (3D Cone Beam Computed Tomography - CBCT).
La 3D CBCT consente la perfetta localizzazione, posizione, versione del canino incluso, la valutazione dei rapporti con gli elementi dentali limitrofi ed eventuali contatti di allarme con le strutture anatomiche critiche (seno mascellare, CNP, fossa nasale, forcazione del premolare superiore).
Le notizie fornite al clinico sono necessarie nella pianificazione della terapia di disinclusione, che può essere ortodontica e/o chirurgica.
Nel presente articolo presentiamo 3 casi di inclusione del canino superiore.
Ci riserviamo una futura presentazione di inclusione di canini inferiori.
Fig 2 : stesso Paziente. Ricostruzione panorex.
Il 13 è incluso per ostacolo di eruzione relativo alla presenza di minuti denticoli (odontoma composto).
In emiarcata sinistra, come reperto collaterale, si osserva persistenza di 63 ed agenesia di 23.
Fig 3 - Fig 4 : Paz F. aa 12
Il 13 ed il 23 sono inclusi in posizione alta, mesioangolati, con associate ampie cisti follicolari.
Il 13 è visibile dalla sezione radiale 21 alla 26.
La cuspide di 13 è craniale al 12.
Le cisti follicolari assottigliano, e a destra in parte discontinuano, i tavolati corticali vestibolare e palatale.
Si rileva inoltre rizalisi di 12. 21. 22 relative alla estensione delle lesioni cistiche.
Fig 5 - Fig 6 : Paz F aa 16 Ricostruzione panorex e sezioni radiali dell’emiarcata sinistra.
- Il 23 è in trazione ortodontica per inclusione alta in posizione mesio-trasversa, contiguo al pavimento della fossa nasale sinistra ed al pavimento del seno mascellare sinistro.
L’apice radicolare di 23 si impegna nel pavimento del seno mascellare sinistro; la cuspide erompe in versione vestibolare, craniale all’apice radicolare di 24.
Intervista al Prof. Guilherme Saavedra
intra-orale e facciale, tomografia) nello stesso posto, sul computer. Credo che il principale strumento di lavoro di un protesista e di un dentista oggi sia il computer. Il futuro della nostra professione sarà basato sul software (i diamanti) e sul suo sviluppo con l’Intelligenza Artificiale, machine e deep learning.
I professionisti del futuro saranno intellettuali e lavoreranno efficacemente nel processo decisionale con questi strumenti. Credo nel concetto di Dentista Intellettuale o Tecnico Intellettuale. Cosa sarebbe? Per spiegarlo farò un’analogia. Per costruire un edificio sono necessarie diverse professionalità con competenze diverse. L'ingegnere fa i calcoli strutturali, l'architetto progetta e divide gli spazi fisici. Questi due professionisti insieme definiscono intellettualmente tutto. Ma chi costruisce effettivamente l’edificio? Chi costruisce effettivamente l'edificio è un tecnico del settore, il muratore. Poi avremo esecutori e pensatori, sia in ambito clinico che di laboratorio, si veda l’emergere dei centri di pianificazione. Osservate il brusco cambiamento del mercato, dove i medici generici stanno invadendo le specialità (ortodonzia, implantologia, ecc.), svolgendo procedure specifiche.
Passione, innovazione e successo hanno caratterizzato la quarta edizione dell’exocad Digital Dental Forum, “Insights 2024”, tenutosi a Palma di Maiorca lo scorso 9 e 10 maggio. Professionisti dell’odontoiatria digitale di tutto il mondo si sono riuniti per partecipare a conferenze di alto livello, ad approfondimenti tecnologici innovativi, interessanti presentazioni dei partner, sessioni cliniche e di laboratorio e discussioni stimolanti. Durante l’evento, abbiamo intervistato il Prof. Guilherme Saavedra, relatore di spicco.
Prof. Saavedra, in che modo gli strumenti digitali acquistano importanza nella sua professione, come professore e professionista?
Gli strumenti digitali sono diventati essenziali! Stanno causando una vera rivoluzione nella pratica dell’odontoiatria. Semplificano le procedure, migliorano la comunicazione tra professionisti/ pazienti, aumentano la prevedibilità, integrano dati diversi, garantiscono la versatilità delle soluzioni e permettono al paziente di vivere la fase più difficile di qualsiasi trattamento, ossia il processo decisionale.
Il momento migliore per commettere errori, provare e simulare è sul computer, non sul paziente.
Come insegnante, avverto e mi rendo conto che tali strumenti permettono di comprendere i concetti in modo più efficace, principalmente integrando diverse informazioni (fotografie, scansione
La tecnologia ha il potere di aiutare a superare i limiti, come la mancanza di esperienza e l’accorciamento della curva di apprendimento. Gli studenti universitari di odontoiatria implantare eseguono interventi chirurgici. Come? In modo controllato, assistito da una guida chirurgica progettata con la partecipazione di un professore. In questo modo applichiamo il concetto che la cosa più importante è il processo decisionale. Questa fase richiede molte conoscenze, da qui il termine intellettuale.
L'obiettivo non è che lo studente abbia una formazione nella specialità, ma che non l'abbia dopo la laurea. Cerchiamo di utilizzare gli strumenti digitali, principalmente prodotti exocad, come un modo per integrare le conoscenze di diverse specialità (radiologia, protesi, chirurgia e parodontologia), necessarie nell'insegnamento dell'implantologia e promuovere un'esperienza controllata nell'esecuzione della chirurgia. Ciò ha un potenziale di trasformazione e motiva gli studenti in modi sorprendenti. La tecnologia migliora i nostri risultati, sia buoni che cattivi! Devi solo scegliere la tua strada. Chi vivrà vedrà!
Nel suo intervento ci parla di integrazione e creazione di un paziente virtuale. Può dirci di più a riguardo e in che modo exocad l’aiuta nel flusso di lavoro?
Nel mio intervento ho spiegato come gli strumenti digitali ci permettano di costruire un sorriso armonioso e scelto con
la partecipazione del paziente, durante la fase del processo decisionale. Questo è fondamentale perché il sorriso è un'espressione facciale che rappresenta il sentimento più nobile dell'essere umano, la felicità. Il sorriso è legato all’identità e alla personalità individuale. Tuttavia, il sorriso non dipende dalla presenza dei denti. Ricordo i miei bambini appena nati, senza denti, che mi sorridevano. Lol. I denti non sono importanti? Certo che lo sono. Il dente partecipa al processo di armonizzazione di questa espressione facciale, apparendo proporzionalmente in una disposizione tridimensionale e, per essere riprodotto, abbiamo bisogno di riferimenti facciali e dentali. Questo è ciò accade quando utilizziamo lo Smile Creator (DentalCAD/exocad, Darmstadt) per raccogliere e integrare diversi dati (foto, scansioni intra-orali e/o scansioni facciali) e creare un paziente digitale. Questo processo ci consente di realizzare diverse simulazioni di morfologie dentali, disposizioni tridimensionali e, cosa ancora più sorprendente, con la partecipazione del paziente al processo decisionale. Ciò significa creare un paziente virtuale. Se commetti un errore, lascia che sia sul computer e non sul paziente. exocad mi ha aiutato proponendomi grandi sfide da provare a superare. Spesso non so da dove cominciare, lo confesso. Tuttavia, avendo la possibilità di utilizzare exoplan, DentalCAD e ChairsideCAD, posso integrare diversi dati e prendere la decisione migliore entro i limiti di ciascuna sfida o caso clinico. Confesso essere un fan di exocad! Un’azienda allineata alla vita moderna, all’evoluzione umana e professionale. Ciò aumenta notevolmente la mia responsabilità qui come rappresentante dell'Odontoiatria Brasiliana e Sudamericana in questi ultimi due eventi mondiali. La definisco dirompente. Avere questa opportunità è stata magica e trasformativa nella mia vita professionale e personale. Il futuro della mia professione è nei software. Perché è attraverso di loro che raccogliamo tutte le informazioni, comprendiamo il problema (diagnosi), i limiti del caso clinico, simuliamo diverse soluzioni e, soprattutto, prendiamo la decisione migliore con la partecipazione del paziente. È una potente forma di comunicazione e pianificazione. Il professionista del futuro deve capire che vivremo nell’era del dentista/tecnico intellettuale.
C'è una tecnica innovativa che ha attirato la sua attenzione tra i partner exocad qui all'evento?
Per ciò che riguarda le tecniche, noto che i flussi di lavoro si stanno semplificando e questo è stato accompagnato dall’evoluzione e dal progresso, nella scienza,
dei materiali dentali. Ho presentato un caso di riabilitazione effettuata, dopo deprogrammazione neuromuscolare e definizione della posizione miocentrica mandibolare, in 3 giorni e con zirconia traslucida 5YTZP (emax ZIRCAD Prime esthetica multi – ivoclar, Liechtenstein). Inimmaginabile in passato. Abbiamo guadagnato molto in agilità, versatilità e prevedibilità. Un altro punto interessante è stata l’evoluzione della produzione additiva e dei suoi materiali controllati. Tuttavia, ciò che ha attirato maggiormente la mia attenzione sono state le innovazioni integrative e interdisciplinari di exocad. Il concetto di Trattamento Restaurativo Avanzato (A.R.T) aiuta a raccogliere informazioni, comprendere il problema e, soprattutto, supporta il processo decisionale integrando diverse specialità, come l’ortodonzia, l’implantologia e l’odontoiatria restaurativa. exocad ha inoltre apportato innovazione migliorando lo Smile Creator, presentando il nuovo TruSmile Video, avanzando nel concetto di Progettazione dell'Intelligenza Artificiale, e ha generato molte aspettative con la dimostrazione del nuovo exoplan 3.2 Elefsina, che consentirà la progettazione della tanto desiderata guida sovrapponibile. Il futuro sarà promettente con il momento sorprendente che stiamo vivendo.
Cosa riporta in Brasile da Insights 2024? Cosa l’ha ispirata di più?
Credo nella formazione continua di qualità. Dovrò comprare un'altra valigia per trasportare l'enorme quantità di nuovo apprendimento e conoscenza condivisa da eccellenti professionisti. Questo evento ha un'energia contagiosa e un potenziale infinito per il networking professionale e commerciale. Degno di nota! Inoltre, riporto con me un sentimento di immensa felicità ricevuto con grande affetto dai partecipanti di Insights 2024 e dai dipendenti della famiglia exocad. Approfitto dell'opportunità per invitare tutti all’ Insights 2026. Quindi, vogliamo exocadiare?
Riferimenti
1. Adabo GL, Longhini D, Baldochi MR, Bergamo ETP, Bonfante EA. Reliability and lifetime of lithium disilicate, 3Y-TZP, and 5Y-TZP zirconia crowns with different occlusal thicknesses. Clin Oral Investig. 2023 Jul;27(7):38273838. doi: 10.1007/s00784-023-05001-6. Epub 2023 Apr 6. PMID: 37022529.
2. Kongkiatkamon S, Rokaya D, Kengtanyakich S, Peampring C. Current classification of zirconia in dentistry: an updated review. PeerJ. 2023 Jul 14;11:e15669. doi: 10.7717/ peerj.15669. PMID: 37465158; PMCID: PMC10351515.
3. Luna-Domínguez CR, Luna-Domínguez JH, Blatz M. Full-mouth rehabilitation in a completely digital workflow using partially adhesive monolithic zirconia restorations. J Esthet Restor Dent. 2023 Oct;35(7):1050-1057. doi: 10.1111/jerd.13048. Epub 2023 Apr 7. PMID: 37026815. 4. Sulaiman TA, Suliman AA, Abdulmajeed AA, Zhang Y. Zirconia restoration types, properties, tooth preparation design, and bonding. A narrative review. J Esthet Restor Dent. 2024 Jan;36(1):78-84. doi: 10.1111/jerd.13151. Epub 2023 Oct 15. PMID: 37840220; PMCID: PMC10842315.
Sequenza clinica dalla progettazione (software DentalCAD/ Elefsina 3.2, exocad, Darmstadt-Germania) alla cementazione di corone singole (zirconia 4 e 5YTZP) ottenute mediante produzione sottrattiva (IPS e.max ZirCAD Prime Esthetic – Ivoclar vivadent, Liechtenstein) e modelli ottenuti mediante produzione additiva utilizzando il sistema Cara® Print 4.0 pro (Kulzer, Hanau-Germania) e la resina dima®Print Stone Beige (Kulzer, Hanau-Germania). Il software DentalCAD – ha consentito l'integrazione di numerose informazioni, la costruzione di un paziente virtuale e il processo decisionale - Un passo fondamentale per garantire precisione, prevedibilità e riproducibilità nel processo clinico di installazione e trattamento attraverso la riabilitazione in corone singole.
Nell'ambito odontoiatrico, il progresso tecnologico sta rivoluzionando il settore, trasformando non solo i metodi di diagnosi e trattamento, ma anche il modo in cui i pazienti interagiscono con i professionisti della salute. Queste innovazioni non solo migliorano l'efficienza e l'efficacia delle cure dentali, ma rendono anche i trattamenti più accessibili e meno stressanti per i pazienti.
Una delle tecnologie più influenti è la Teledentistry, che permette di effettuare consultazioni a distanza tramite l'utilizzo di piattaforme digitali. Questo approccio è particolarmente vantaggioso per i pazienti con mobilità ridotta o per quelli che vivono in aree remote, dove l'accesso a cliniche dentali specializzate può essere limitato. La teledentistry non solo facilita la consultazione iniziale e il follow-up, ma può anche essere utilizzata per discutere piani di trattamento e gestire
emergenze dentali, riducendo così il bisogno di spostamenti fisici.
L'Intelligenza Artificiale (IA) è un'altra innovazione che sta trasformando la società e quindi anche l'odontoiatria. L'IA può analizzare grandi quantità di dati clinici (big data) per fornire diagnosi rapide e accurate. Questo può includere l'analisi di radiografie dentali per rilevare segni precoci di malattie come la carie o la parodontite. L'IA può anche personalizzare i trattamenti in base alle specifiche esigenze del paziente, aumentando così l'efficacia delle cure. Inoltre, l'IA può migliorare la gestione del flusso di lavoro, automatizzando compiti amministrativi come la programmazione degli appuntamenti e la gestione delle cartelle cliniche.
La Realtà Virtuale (RV) offre un'altra frontiera interessante nell'odontoiatria. Questa tecnologia può essere utilizzata per formare i dentisti in un ambiente
S.I.O.H. Società Italiana di Odontostomatologia per l’Handicap
completamente simulato, permettendo loro di praticare procedure complesse senza rischio per i pazienti. Per i pazienti, la RV può essere impiegata per ridurre l'ansia durante le procedure dentali. Attraverso l'uso di visori, i pazienti special needs potrebbero essere “immersi” in ambienti più rilassanti, distrattendoli dal trattamento e riducendo il disagio e lo stress.
Infine, l'avanzamento nella biomaterialistica, ha introdotto nuovi materiali che mimano la struttura e la funzione dei denti naturali, migliorando i risultati estetici e la durabilità delle restaurazioni dentali. Materiali innovativi come i compositi nano-ibridi e le ceramiche avanzate offrono proprietà migliorate in termini di resistenza, durata e aspetto naturale, rispetto ai materiali tradizionali.
Oggi, tuttavia, il nostro focus è su una tecnologia specifica che sta rivoluzionando le impronte dentali: lo scanner intraorale. Questo dispositivo all'avanguardia offre una serie di benefici migliorando significativamente l'esperienza del paziente e la precisione dei trattamenti, specialmente per coloro che hanno esigenze speciali. Esploreremo come lo scanner intraorale sta facendo avanzare la pratica odontoiatrica, rendendo i processi meno invasivi e più confortevoli.
posizione comoda per lunghi periodi e lo scanner intraorale offre un vantaggio significativo; il processo di scansione è rapido ed efficiente, riducendo il tempo complessivo trascorso in poltrona e facilitando la gestione delle visite dentali.
3. Personalizzazione del Trattamento: Le immagini digitali catturate dallo scanner intraorale consentono ai dentisti di ottenere una visione dettagliata dell’anatomia dentale del paziente. Ciò consente loro di pianificare ed eseguire trattamenti personalizzati, adattati alle esigenze specifiche di ciascun individuo, compresi i pazienti con bisogni speciali.
4. Minore Necessità di Ripetizioni: Le impronte digitali ottenute con lo scanner intraorale sono estremamente precise e dettagliate, riducendo al minimo la necessità di ripetere le procedure di rilevamento. Questo è particolarmente vantaggioso per i pazienti con bisogni speciali, che potrebbero trovare difficile o stressante dover ripetere le stesse procedure più volte.
Ottobre 2024 www.sioh.it
Convegno Nazionale S.I.O.H.
Lo scanner intraorale è un dispositivo che cattura immagini dettagliate della bocca del paziente in tempo reale. Questa tecnologia sostituisce le tradizionali impronte analogiche con un processo rapido, confortevole e altamente preciso.
Se lo scanner rappresenta un plus per la nostra pratica quotidiana, risulta evidente che i suoi benefici possano essere massimi nei confronti dei pazienti con bisogni speciali, che possono trovare difficile tollerare le procedure odontoiatriche tradizionali.
Benefici per le Persone con Bisogni Speciali
1. Comfort e Minore Invasività:
Lo scanner intraorale elimina la necessità di utilizzare materiali di impronta tradizionali, che possono essere sgradevoli per alcuni pazienti, specialmente quelli con difficoltà di deglutizione. Ciò rende il processo più confortevole e meno invasivo, riducendo lo stress e l’ansia associati alle visite dentali.
2. Riduzione del Tempo di Trattamento: Le Persone con bisogni speciali potrebbero avere difficoltà a mantenere una
I vantaggi dello scanner intraorale assumono un'importanza cruciale quando applicati alla cura di pazienti con esigenze particolari. Questi benefici trasformano radicalmente la loro esperienza odontoiatrica.
Consideriamo le lunghe attese nel Sistema sanitario pubblico e la complessità della pianificazione dei trattamenti protesici in contesti ospedalieri. Spesso, i lunghi periodi di attesa per il trattamento possono diventare un grosso svantaggio per i pazienti e le loro famiglie. Inoltre, i costi e le difficoltà logistiche legate al trasporto di questi pazienti alle strutture sanitarie aggravano ulteriormente la situazione.
In questo contesto, una tecnologia che riduce il tempo trascorso dal paziente sulla poltrona dentale non solo migliora l'efficienza del trattamento, ma permette anche di curare un numero maggiore di pazienti. Diminuendo il numero di appuntamenti necessari, si riducono anche le liste d'attesa, aumentando l'accessibilità e la tempestività delle cure.
In un mondo ideale, l'accesso a tutte le innovazioni tecnologiche dovrebbe essere ampio e condiviso, in modo da garantire che tutti i pazienti possano beneficiare di trattamenti dentali ottimali e personalizzati.
Dott. Gianluca Russo
Socio ordinario ATASIO - ATASIO Lab Special Needs
Nella suggestiva cornice dell'Expodental Meeting di Rimini, un evento che rappresenta un punto di riferimento nel panorama odontoiatrico nazionale ed internazionale, si è tenuto un corso di straordinario successo organizzato da ATASIO e dall'Accademia del Chirone, in collaborazione con le società tecnico-scientifiche italiane AIDI-UNID. Il corso, intitolato "Management di Salute nel Paziente Fragile: Innovazione degli Approcci Clinici", ha riscosso un consenso unanime, dimostrando quanto la sensibilità professionale e umana possa fare la differenza nella pratica clinica. Il corso ha rappresentato una pietra miliare nella formazione professionale, non solo per la qualità dei contenuti scientifici presentati, ma soprattutto per l'approccio umanistico dei relatori. Professionisti di livello nazionale e internazionale hanno condiviso le loro esperienze e conoscenze, mettendo in luce le sfide e le opportunità che caratterizzano il management della salute nei pazienti fragili. La partecipazione di esperti di spicco ha conferito all'evento un valore aggiunto, rendendolo un appuntamento imprescindibile per tutti gli igienisti dentali.
La gestione del paziente fragile rappresenta una delle sfide più comples -
se in ambito odontoiatrico. Questi pazienti, spesso affetti da patologie croniche, disabilità o condizioni di vulnerabilità sociale, richiedono un approccio clinico integrato e personalizzato. Il corso ha messo in evidenza l'importanza di un management che vada oltre la semplice cura della patologia, abbracciando un modello di assistenza globale che tenga conto delle necessità psicologiche, sociali ed emotive del paziente.
Tra i temi trattati, l'innovazione negli approcci clinici ha occupato un posto centrale. I relatori hanno presentato le più recenti tecniche e metodologie, frutto di ricerche avanzate e sperimentazioni cliniche, che stanno rivoluzionando il modo di trattare i pazienti fragili.
Un elemento distintivo del corso è stata la straordinaria sensibilità professionale e umana dei relatori. Tra gli interventi più apprezzati, quelli che hanno combinato competenze scientifiche con un profondo rispetto per la dignità e l'unicità del paziente. Gli esperti hanno sottolineato l'importanza di ascoltare il paziente, di comprendere il suo vissuto e di costruire un rapporto di fiducia, elementi fondamentali per un'efficace gestione della cura.
L'evento ha messo in evidenza l'im -
portanza delle collaborazioni e delle sinergie tra diverse realtà professionali e scientifiche. La partnership tra ATASIO, l'Accademia del Chirone, e le società tecnico-scientifiche italiane AIDI-UNID ha dimostrato come l'unione di competenze e risorse possa portare a risultati eccellenti. Queste collaborazioni sono fondamentali per promuovere una cultura della cura che sia al contempo innovativa e profondamente umana.
Il feedback dei partecipanti è stato estremamente positivo, confermando il successo del corso. Le numerose adesioni e l'entusiasmo manifestato durante le sessioni dimostrano quanto sia sentita la necessità di formazione continua e di aggiornamento professionale nel settore del management della salute dei pazienti fragili. Alla luce di questi risultati, la Prof.ssa Gianna Maria Nardi ha già manifestato l'intenzione di replicare l'evento, ampliando ulteriormente l'offerta formativa e coinvolgendo un numero sempre maggiore di professionisti. Il corso rappresenta una riconferma verso nuove frontiere nella formazione medico-scientifica. Il gruppo di ATASIO, consapevole del valore aggiunto offerto da questa esperienza, stanno già pianificando futuri eventi formativi che possano continuare a soddisfare le esigenze di aggiornamento.
Il successo del corso rappresenta un forte appello alla comunità medico-scientifica. È essenziale continuare a investire nella formazione e nella
ricerca, con un'attenzione particolare all’esigenze dei pazienti fragili. La medicina moderna non può limitarsi a trattare le malattie; deve prendersi cura delle persone nella loro interezza, considerando la complessità delle loro vite e delle loro condizioni. Gli igienisti dentali sono chiamati ad essere non solo tecnici competenti, ma anche custodi di un'umanità che è al centro della pratica medica.
Il corso "Management di Salute nel Paziente Fragile: Innovazione degli Approcci Clinici" all'Expodental Meeting di Rimini ha rappresentato un evento di straordinaria importanza per la comunità medico-scientifica. La qualità dei relatori, la profondità dei contenuti trattati e l'approccio empatico e umanistico hanno fatto di questo corso un modello di eccellenza nella formazione professionale. La collaborazione tra ATASIO, l'Accademia del Chirone e le società tecnico-scientifiche italiane AIDI-UNID ha dimostrato come sinergie efficaci possano portare a risultati di grande valore.
Guardando al futuro, è chiaro che la strada tracciata da questo evento rappresenta solo l'inizio di un percorso di crescita e innovazione continua. Gli operatori sanitari sono chiamati a raccogliere questa sfida, con la consapevolezza che la vera eccellenza nella cura passa attraverso la combinazione di competenze tecniche avanzate e una profonda attenzione all'umanità dei pazienti. Solo così sarà possibile costruire un sistema equiparato su tutti i livelli.
Prof.ssa
Gianna Maria NardiProfessore Associato Sapienza Università di Roma
Il management di salute del cavo orale deve prevedere l’esigenza della persona assistita di migliorare la vita di relazione mostrando un sorriso luminoso ed un alito gradevole. L’opportunità di personalizzare i protocolli operativi deve prevedere la scelta di tecnologie innovative tra gli sbiancanti dentali per offrire efficacia, efficienza del management clinico e sicurezza.
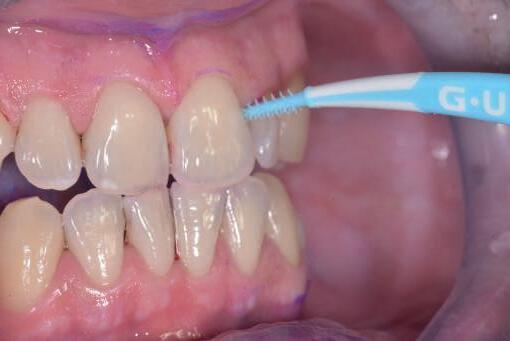
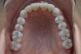
Si presenta alla nostra attenzione un paziente maschio, 35 anni, in apparente salute sistemica, fumatore, con la richiesta di controllare delle white spots, una leggera sensibilità e la richiesta di migliorare la luminosità del suo sorriso. Viene compilato e firmato il consenso informato. Il paziente viene motivato ad più efficace controllo del biofilm batterico e attraverso la condivisione dell’immagine clinica della topografia del biofilm batterico, (T.B.M.) scegliamo lo scovolino in gomma GUM Soft-picks (Sunstar) e lo sollecitiamo all’uso efficace degli spazi sovracrestali e allo spazzolamento in maniera delicata ma efficace della lingua. Sottoponiamo il paziente alla terapia parodontale non chirurgica con ablatore Comby touch (MECTRON) in modalità soft-mode per contenere la sua sensibilità. Valutiamo la sensibilità e modifichiamo i suoi stili di vita di igiene orale, di igiene alimentare e chiediamo di smettere di fumare. Il paziente riferisce di non essere disposto a rinunciare al fumo e chiediamo di ridurre il rischio di patologie e di discromie
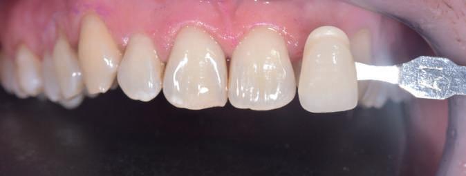
da tabagismo passando all’uso dei dispositivi a tabacco riscaldato. Successivamente rileviamo il colore, con spettrofotometro, e con scala-colori Vita e documentiamo fotograficamente la condizione clinica presente.
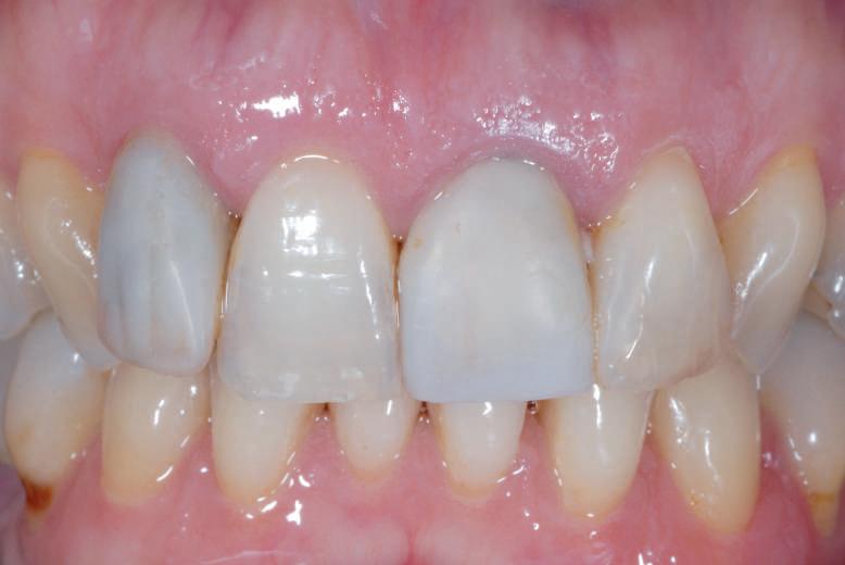
Il colore rilevato è A2. Sottoponiamo il paziente ad uno sbiancamento pro-
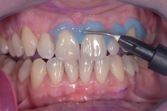
fessionale con un principio attivo PAP (acido ftalimidoperossicaproico) che presenta il vantaggio di non sollecitare la sensibilità, pur mantenendo l’aspettativa di un risultato efficace nell’ottenere la luminosità del sorriso. Lo sbiancante ad uso professionale BRILLIANT LUMINA (Coltene), risulta essere per l’operatore di facile applicazione: ven-
gono protette le gengive con la diga liquida fotopolimerizzata, e si mescola il gel sbiancante lasciando cadere nel vasetto contenente 2 ml di gel, 3 gocce di liquido attivatore. Si ottiene il gel sbiancante di una consistenza ideale per una applicazione sulle superfici dentali sicura e pratica durante l’apposizione. Vengono eseguiti 4 step da 15 minuti.
Dopo ogni step viene aspirato il gel, pulite le superfici dentali con del cotone idrofilo e si riappone nuovamente il gel. Al termine dei 4 step, si aspira, si asciuga e viene tolta la diga. Si rileva e si condivide con il paziente il risultato ottenuto, A1, e viene documentato fotograficamente. Il paziente appare gioioso del risultato è favorevolmente colpito di non aver sofferto durante il trattamento di sensibilità. Alla persona assistita sono stati programmati dei follow-up per il trattamento successivo delle white spots con applicazioni di resine infiltranti e rigenerazione guidata dello smalto.
È stato consegnato un promemoria sugli indici di rischio da tenere sotto controllo osservando le indicazioni per evitare le discromie dentali e per tenere sotto controllo la salute del cavo orale con il con-
trollo meccanico e chimico del biofilm batterico domiciliare. Viene suggerito al paziente l’uso di ozonoterapia domici-
liare con dentifricio e collutorio all’olio di oliva ozonizzato Ialozon Blu (GEMAVIP) validi supporti per mantenere il
cavo orale in una condizione di eubiosi senza creare discromie sulle superfici dentali.
La perdita dei denti è un problema che affligge milioni di persone in tutto il mondo. Carie, traumi, malattie gengivali e altre condizioni patologiche possono portare alla necessità di estrazioni dentarie, causando disagi significativi sia dal punto di vista estetico che funzionale.
Tuttavia, una svolta rivoluzionaria nella medicina dentale potrebbe essere all’orizzonte: un nuovo farmaco per la ricrescita dei denti è previsto per il 2030 e i test sull’uomo inizieranno a settembre. Una scoperta rivoluzionaria
La possibilità di far ricrescere i denti persi è stata a lungo considerata fantascienza, ma recenti progressi nella biotecnologia stanno trasformando questa visione in realtà. Il farmaco, sviluppato da un team di ricercatori giapponesi, mira a stimolare le cellule staminali dentali, promuovendo la rigenerazione dei tessuti dentali persi. La chiave di questa innovazione risiede nella comprensione approfondita dei meccanismi genetici e molecolari che regolano la crescita dei denti.
Una start-up dell'università di Kyoto, nata 4 anni fa, sta sviluppando un farmaco anticorpale descritto come "il primo al mondo per la ricrescita dei denti" e da settembre comincerà a testarlo sull'uomo, dopo i risultati positivi ottenuti sugli animali senza effetti collaterali di rilievo. L'obiettivo dei ricercatori è arrivare sul mercato nel 2030, riporta la testata nipponica 'The Mainichi'.
I topi trattati con il farmaco hanno mostrato una ricrescita significativa dei denti, suggerendo che una simile risposta potrebbe essere ottenuta anche negli esseri umani. La transizione ai test sull’uomo rappresenta un passo cruciale verso l’applicazione clinica di questa tecnologia rivoluzionaria.
Il processo di sperimentazione clinica I test sull’uomo, che inizieranno a settembre, seguiranno un rigoroso protocollo di sperimentazione clinica, suddiviso in diverse fasi. La fase 1 coinvolgerà un piccolo gruppo di volontari sani per valutare la sicurezza del farmaco e determinare
il dosaggio ottimale. Se questa fase avrà successo, si passerà alla fase 2, dove un numero maggiore di partecipanti, inclusi individui con problemi dentali specifici, sarà coinvolto per valutare l'efficacia e monitorare eventuali effetti collaterali. La fase 3, infine, includerà un ampio gruppo di pazienti e avrà lo scopo di confermare i risultati precedenti, confrontando l'efficacia del farmaco con i trattamenti esistenti. Se tutte le fasi di sperimentazione avranno esito positivo, il farmaco potrebbe essere approvato dalle autorità regolatorie e disponibile per l’uso clinico entro il 2030.
Implicazioni per la medicina dentale
L’introduzione di un farmaco capace di stimolare la ricrescita dei denti avrebbe implicazioni enormi per la medicina dentale. Attualmente, la perdita dei denti viene trattata principalmente con protesi dentarie, impianti e ponti. Sebbene efficaci, questi trattamenti non sono esenti da complicazioni e richiedono manutenzione a lungo termine. Un farmaco rigenerativo offrirebbe una soluzione naturale e permanente, riducendo la necessità di interventi chirurgici e migliorando significativamente la qualità della vita dei pazienti.
Inoltre, la capacità di rigenerare i denti avrebbe anche un impatto economico significativo. Il costo dei trattamenti dentali può essere proibitivo per molte persone, e una terapia rigenerativa potrebbe ridurre i costi a lungo termine associati alla manutenzione e sostituzione delle protesi dentarie. Questo potrebbe rendere le cure dentali più accessibili a un numero maggiore di individui.
Sfide e prospettive future Nonostante l’entusiasmo, ci sono ancora molte sfide da affrontare prima
che il farmaco possa essere reso disponibile al pubblico. La sicurezza e l'efficacia devono essere dimostrate in studi clinici su larga scala, e potrebbero emergere problemi imprevisti durante il processo di sperimentazione. Inoltre, la regolamentazione e l'approvazione di nuovi farmaci sono processi complessi e possono richiedere tempo.
La ricerca continua sarà essenziale per ottimizzare il farmaco e assicurarsi che possa essere utilizzato in modo sicuro ed efficace. I ricercatori dovranno anche considerare le variabili individuali, come la genetica e lo stato di salute generale, che potrebbero influenzare la risposta al trattamento.
Conclusione
L’arrivo di un farmaco per la ricrescita dei denti rappresenta una prospettiva entusiasmante e potrebbe rivoluzionare il campo della medicina dentale. Con l'inizio dei test sull’uomo previsto per settembre, siamo a un passo più vicino a una soluzione che potrebbe trasformare radicalmente il trattamento delle malattie dentali. Se le sperimentazioni cliniche avranno successo, entro il 2030 potremmo vedere l’introduzione di un trattamento che non solo migliorerà la qualità della vita di milioni di persone, ma cambierà anche il modo in cui affrontiamo la perdita dei denti.
La strada verso la ricrescita dei denti è ancora lunga e piena di sfide, ma i progressi finora compiuti offrono una speranza concreta. La scienza continua a spingere i confini di ciò che è possibile, e il futuro della medicina dentale sembra più luminoso che mai.
L'Expodental Meeting è uno degli appuntamenti più attesi dell'anno nel settore odontoiatrico e costituisce un'occasione unica per scoprire le ultime innovazioni nel campo dentale. La vasta gamma di temi trattati, che spaziano dalle nuove tecnologie al marketing, dall'ergonomia alla cura estetica, fino alla gestione editoriale, rende questa fiera un punto di riferimento essenziale per i professionisti del settore. Oltre alla possibilità di esplorare gli ultimi prodotti e servizi, l'evento offre anche corsi di formazione e aggiornamento, ospitati in sale appositamente dedicate.
L'interesse per questa edizione è stato particolarmente elevato anche per la nostra associazione IDEA; il nostro stand è stato allestito con grande entusiasmo e sostenuto da una squadra di soci attivi le cui competenze sono state fondamentali nella gestione dell’evento. La partecipazione a questa fiera è stata un'esperienza gratificante, dominata dal desiderio di riconnessione personale e professionale, che ha contraddistinto le giornate di lavoro, piene di confronti stimolanti e momenti emotivamente carichi. Durante l'evento molti colleghi, medici e odontotecnici hanno visitato lo stand, confermando l'importanza della collaborazione tra le categorie del settore. L'affetto e l'entusiasmo mostrati dai visitatori hanno reso le giornate di lavoro particolarmente soddisfacenti, bilanciando gli sforzi e i sacrifici necessari per essere parte di un evento così significativo.
Gli eventi formativi ai quali abbiamo partecipato hanno ottenuto un grande successo, confermando l'alta
qualità dei contenuti proposti e l'elevato interesse dei partecipanti. Tra questi, il 17 maggio nella Sala Leonardo, Padiglione C2, in collaborazione con AIO nel seminario "ASO, il cammino fatto e quello da fare" è stata esplorata in profondità la formazione dell'Assistente di Studio Odontoiatrico, integrando tematiche tecniche, ambientali, psico-relazionali e organizzativo-amministrative, come delineato dal recente decreto della Presidenza del Consiglio del 9 marzo 2022. La relazione, tenuta dalla nostra Presidente Rossella Abbondanza e dal nostro Direttore Scientifico Prof. Donato Salfi, è stata arricchita dall'intervento da remoto del Prof. Carlo Guastamacchia, membro del nostro Comitato Scientifico, che ha evidenziato l'importanza di un team coeso e centrato sul paziente, sottolineando il ruolo cruciale della comunicazione efficace all'interno delle pratiche odontoiatriche, definendola " la spina dorsale della nostra attività quotidiana ", un punto culminante che ha suscitato grande approvazione e un caloroso applauso. Sabato 18 maggio dalle ore 10:00 alle 14:40 in Sala Neri Hall Sud si è tenuto il seminario della dott.ssa Moyra Girelli, “L’intelligenza emotiva, come competenza relazionale e sociale: una risorsa interiore fondamentale per la professione di Aso,” con il patrocinio di AIASO e IDEA.
Il 18 maggio, dalle 14:00 alle 15:30, in Sala Golgi, Padiglione A4, AIO ha organizzato un altro seminario su "Microbiota del cavo orale: salute della bocca". Il dottor Vincenzo Musella ha introdotto le relazioni della dottoressa Florencia Ceppa, esperta di microbiota, e del dottor Massimo Rossi, odontoiatra e diplomato in nutrizione, incentrate sul cambio di orizzonte in corso nelle discipline mediche.
Questo seminario ha offerto spunti interessanti sul ruolo del microbiota orale nella salute generale e su come l'approccio integrato alla medicina possa migliorare significativamente il benessere dei pazienti. Questi eventi formativi hanno consentito alle nostre colleghe e colleghi di aggiornarsi e incrementare il proprio bagaglio formativo, certificando ore di aggiornamento. La presenza di IDEA
all'Expodental Meeting di Rimini è stata fonte di grande orgoglio e una chance unica per arricchire il nostro bagaglio di conoscenze. Durante l'evento, abbiamo avuto il privilegio di incontrare numerosi professionisti di spicco del settore, con i quali abbiamo condiviso idee e discusso nuove possibilità di collaborazione. Oltre a godere delle tante possibilità offerte dalla fiera, abbiamo avuto l'opportunità di ritrovarci e stare insieme, sfruttando il tempo per rafforzare i legami di amicizia. Lavoriamo intensamente, sia in presenza che a distanza, organizzando eventi, gestendo varie attività e tenendo riunioni tramite collegamenti da remoto, spesso al di fuori del nostro orario di lavoro, in un intricato gioco di incastri.
I momenti trascorsi in presenza sono estremamente preziosi e contribuiscono a rendere i rapporti sempre più solidi. Porto nel cuore ricordi meravigliosi di risate, allegria, brindisi e spensieratezza, perché in queste tre giornate non sono mancati i momenti di divertimento. Voglio ringraziare non solo la Presidente Rossella Abbondanza e la Vicepresidente Maria Teresa Schirripa, ma anche tutte le
colleghe, sia quelle che ci hanno supportato a distanza sia quelle presenti in questi momenti, per il loro impegno e la loro determinazione, che rendono tutto questo possibile. Siamo entusiasti all'idea di partecipare alla prossima edizione, pronti a sfruttare le occasioni che essa ci presenterà.
Come sempre, siamo determinate a promuovere la crescita e il riconoscimento della nostra categoria di assistenti di studio odontoiatrico, procedendo " Uniti verso la giusta direzione per costruire il nostro futuro ", e puntando costantemente, con il nostro contributo, all'innovazione e al progresso del settore. Impariamo a costruire ponti, non solo in termini tecnici e di innovazione, ma anche di progresso umano tra categorie differenti, perché insieme creiamo il futuro dell'odontoiatria.
Mantenendo sempre al centro il benessere del paziente, ricordiamo, come dice il professor Carlo Guastamacchia, che “ il tempo dedicato alla comunicazione e all'attenzione verso il paziente è tempo dedicato alla cura ”: questa è la vera essenza del nostro lavoro.
Francesco Buoncristiani, Roberta Grassi, Mariachiara Fiorello, Alexandra Artin, Arianna Mosca, Rosamarina Maggioni, Maurizio Maggioni
Soci AIOLA
Sangue, vasi linfatici, relativi muscoli, nervi e tessuti delle ghiandole salivari, che possono essere di tipo sieroso o mucoso, costituiscono i tessuti orali sulle superfici soggette ad abrasione durante la masticazione, come il tetto della bocca (palato) e le gengive, un si osserva epitelio squamoso cheratinizzato stratificato (gengiva).
L'epitelio squamoso cheratinizzato stratificato funge da prima linea di difesa del corpo contro le anomalie traumatiche. I fluidi tissutali, le proteine composte, le sostanze chimiche cromoforiche e il gruppo eme delle specie di emoglobina del sangue sono tra i componenti di un campione biologico di tessuto orale necessari per l'applicazione del laser.
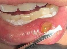
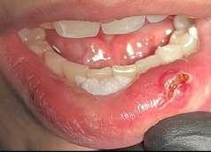
Il mucocele del cavo orale è la seconda lesione più comune. Nella fascia di età compresa tra 10 e 29 anni, il tasso di incidenza è più elevato. Il mucocele è caratterizzato da un accumulo di mucine. Ha una forma a cupola. Di solito hanno un colore bluastro. Il
mucocele si trova più comunemente sul labbro inferiore, seguito dalla mucosa buccale e dal pavimento della bocca. L'incisione tradizionale con bisturi e/o l'escissione chirurgica, la marsupializzazione, la micromarsupializzazione, l'iniezione di corticosteroidi, l'agente sclerosante, la criochirurgia, l'elettrochirurgia e il laser sono tutte procedure validate per il trattamento del mucocele in letteratura.
I laser a diodi forniscono una guarigione delle ferite e un tasso di recupero più rapidi rispetto ai loro rivali. Grazie alle sue
qualità antibatteriche e antinfiammatorie, questa terapia laser ha l'ulteriore vantaggio di migliorare la guarigione delle ferite senza infezioni o edema.
Le procedure laser-assistite sui tessuti molli presentano i vantaggi di un minimo sanguinamento intraoperatorio, edema e dolore postoperatorio, oltre a tempi chirurgici, cicatrici e coagulazione minimi.
La dimensione di un sito chirurgico determina se vengono utilizzate o meno le suture. Le procedure che comportano un'escissione piccola o significativa dei tessuti molli, l'esposizione dell'impianto con o senza taglio osseo, possono essere eseguite in pazienti con problemi di sanguinamento.
Questo caso è coerente con precedenti segnalazioni di escissione del mucocele utilizzando un laser a diodi.
L'enorme quantità di tessuto rimosso e il livello di comfort del paziente supportano ulteriormente il fatto innovativo che può essere utilizzato anche per il mucocele di grandi dimensioni.
I mucoceli della mucosa orale sono malattie tumorali benigne delle ghiandole salivari minori della mucosa orale. Si verificano più comunemente nella mucosa labiale. Possono essere causate da una rottura dell'epitelio della ghiandola che secerne saliva nello spazio extraghiandolare e forma una pseudocisti (mucoceli da stravaso) oppure da un blocco del flusso salivare dovuto ad una proliferazione epiteliale del dotto escretore che forma una cisti salivare (cisti da ritenzione).
Bibliografia:
Gogoi A, Pawar M, Badarkhe A, Vhatkar B, Bagde H, Kharat S. Diode Laser Approach for Excision of Solitary Mucocele. J Pharm Bioallied Sci. 2022 Jul;14(Suppl 1):S1066-S1069. doi: 10.4103/jpbs.jpbs_12_22. Epub 2022 Jul 13. PMID: 36110710; PMCID: PMC9469364.
Besbes A, Elelmi Y, Khanfir F, Belgacem R, Ghedira H. Recurrent Oral Mucocele Management with Diode Laser. Case Rep Dent. 2020 Oct 3;2020:8855759. doi: 10.1155/2020/8855759. PMID: 33083064; PMCID: PMC7556084.
Bagher SM, Sulimany AM, Kaplan M, Loo CY. Treating Mucocele in Pediatric Patients Using a Diode Laser: Three Case Reports. Dent J (Basel). 2018 May 9;6(2):13. doi: 10.3390/dj6020013. PMID: 29747378; PMCID: PMC6023325. Ramkumar S, Rakumar L, Malathi N, Suganya R. Excision of Mucocele Using Diode Laser in Lower Lip. Case Rep Dent. 2016;2016:1746316. doi: 10.1155/2016/1746316. Epub 2016 Dec 21. PMID: 28097026; PMCID: PMC5209594. Shinde S, Lohe V, Shirbhate U, Mohod S, Solanki D. Laser-Assisted Surgical Management of Oral Mucocele: A Case Report. Cureus. 2024 Jan 26;16(1):e53020. doi: 10.7759/cureus.53020. PMID: 38410325; PMCID: PMC10895208. Romeo U, Palaia G, Tenore G, Del Vecchio A, Nammour S. Excision of oral mucocele by different wavelength lasers. Indian J Dent Res. 2013 Mar-Apr;24(2):211-5. doi: 10.4103/0970-9290.116685. PMID: 23965448.
Ho avuto il piacere di rappresentare l'Associazione di cui sono Presidente Nazionale alla Convention del Quarantennale della Laurea in Odontoiatria che si è tenuta recentemente a Rimini. È stato interessante rivivere nelle ricostruzioni storiche fatte molto precisamente da illustri colleghi, le battaglie che noi odontoiatri abbiamo dovuto sostenere per vedere approvati per legge molti aspetti della nostra figura professionale in assenza dei quali non avremmo potuto svolgere la nostra amata professione. Per molti anni, grazie ai risultati ottenuti con quelle memorabili battaglie, abbiamo potuto operare con quelle condizioni che, come è stato da molti ricordato, hanno fatto sì che l'odontoiatria italiana raggiungesse i vertici mondiali e di questo ne beneficiassero soprattutto i pazienti. Negli ultimi anni questo sistema virtuoso è andato progressivamente incrinandosi a causa delle notevoli storture che il sistema dei Convenzionamenti Assicurativi ha introdotto nel rapporto medico-paziente e siamo di nuovo chiamati, que-
sta volta a difendere le sudate conquiste di tanti anni fa.
Nel 2019 nasce perciò Anomec / Associazione Nazionale Odontoiatri e Medici Convenzionati, per la volontà di molti odontoiatri soprattutto, ma anche medici, di voler difendere la propria professionalità, l'unicità dell'atto medico con l'esclusività del rapporto medico-paziente. Questi concetti che sono sempre stati dati per scontati, in realtà, nella società di oggi rischiano di essere messi in secondo piano, da quando le polizze sanitarie sono massicciamente entrate nell'ambito delle cure mediche, grazie al cosiddetto "welfare aziendale".
Il "terzo pagante" non si limita a dare il contributo alle spese mediche che prevede il contratto stipulato con i pazienti, ma spesso, andando oltre i limiti del suo ruolo, gestisce i pazienti come propri, tentando di indirizzarli verso le strutture che decide di privilegiare e strutturato i contratti di convenzionamento con i sanitari in modo spesso vessatorio e prevaricatorio sul diritto alla libera scelta del curante da
parte del paziente e condizionante rispetto alla autonomia decisionale da parte del medico.
Il fatto che nelle convenzioni dirette le Assicurazioni, tramite i propri Provider, impongano un tariffario unico, deciso unilateralmente tra loro, che non tiene conto né delle differenze esistenti tra le varie strutture sanitarie, né delle diverse aree geografiche, ma che appiattisce verso il basso e uniforma i livelli di cura, rappresenta un primo attentato alla professionalità dei Medici e degli Odontoiatri.
Il fatto poi che molte convenzioni prevedano rimborsi maggiori per le cure eseguite presso strutture convenzionate in modo diretto rispetto a quelle non convenzionate, che in alcuni casi non consentono nemmeno un piccolo rimborso qualora il paziente decida di farsi curare lì, rappresenta una scorretta pressione che limita la libertà di scelta del curante da parte del paziente.
Anomec chiede che non si possa accettare che una professione così importante per i cittadini, trattandosi della loro Salute, possa essere fatto oggetto
di condizionamenti che ne limitano la potenzialità e che, oltre a svilire il ruolo del medico e dell'odontoiatra, si ripercuotono totalmente sui cittadini stessi.
Anomec crede che il vuoto legislativo che le Assicurazioni hanno sfruttato per stabilire unilateralmente regole che riguardano invece anche i medici ed i pazienti, debba necessariamente essere colmato, con la partecipazione al dialogo delle Associazioni di categoria sia in ambito medico che sul fronte dei pazienti.
I tempi sono maturi affinchè si riprenda a lottare per riappropriarsi delle specificità e dei valori della professione medica definendo chiaramente quali siano i limiti ed i confini che il "terzo pagatore" non debba superare per non sostituirsi al ruolo unico del medico e dell'odontoiatra nel rapporto con il proprio paziente, che deve essere libero di scegliere da chi farsi curare senza essere condizionato dalla possibilità di ricevere rimborsi più o meno alti dall'estero.
Dott.
Marco Vrespa OdontoiatraA Rimini in occasione d ExpoDental Meeting è stato celebrato un traguardo storico: il 40° anniversario del primo laureato in odontoiatria.
Credo che questa festa sia la festa di tutti coloro che hanno reso possibile la realizzazione del progetto “odontoiatria. Per gli invitati sarebbe doveroso fare un lungo elenco; iniziando da chi ha pen-
Non c’era una distribuzione omogenea sul territorio; più ci si allontanava dai grossi centri urbani e dalle sedi universitarie più diminuiva la qualità dell’offerta, così come passando dal nord al sud.
È evidente che, essendo minoritaria la componente medico specialistica, il dente era al centro di ogni interesse. Il dentista nella stragrande maggioranza dei casi si occupava solo della cura dei denti con possibilità di successo diverse a seconda del proprio percorso formativo:
-Clinica universitaria di specialità
-Studio odontotecnico abusivo
Queste erano le scuole di specializzazione allora in essere.
Classico il percorso di fidelizzazione dei pazienti degli odontotecnici che svolgevano abusivamente la professione medica e per i medici loro discenti.
L’apertura dei corsi di laurea in odontoiatria ha rivoluzionato la situazione offrendo la possibilità, sia in termini qualitativi che quantitativi, di
sato necessario porre fine alla situazione allora in essere e ha lavorato affiancando il legislatore, ai presidi e i docenti delle facoltà di medicina, ai docenti delle scuole di specialità di odontostomatologia che hanno dovuto strutturare nuovi corsi fino ad arrivare agli usufruitori finali e cioè noi odontoiatri.
Non è quindi solo la festa degli odontoiatri ma di tutti coloro che hanno reso possibile la loro nascita.
Per capire il significato della celebrazione di questo anniversario è necessario ricapitolare la situazione del l’odontoiatria italiana fino agli anni ottanta.
L’offerta di cure era quasi totalmente privata ed era fornita in strutture i cui operatori potevano essere:
- Medici specialisti in odontostomatologia
- Medici generici o di altre specialità autodidatti
- Medici non specialisti ex prestanome di operatori non autorizzati
- Odontotecnici che professavano illecitamente la professione medica.
introdurre sul territorio medici adeguatamente formati specialisti delle malattie della bocca e dell’apparato stomatognatico; medici in grado non solo di intervenire con successo ai vari step nella filiera carie / dentiera ma anche di diagnosticare e intervenire sulle patologie locali e individuare quelle sistemiche interessanti il distretto orale e non solo quello. È evidente il beneficio e cosa ciò rappresenti per la comunità in termini di prevenzione con la possibilità di intercettare tumori, malattie sistemiche e locali. Questa rivoluzione è stata possibile per lo sforzo del corpo docente sia di medicina sia delle scuole di specialità di odontostomatologia che a nome di tutti voglio ringraziare. In particolare, voglio ringraziare il prof Giovanni Loiaconi, un protagonista di questa svolta che disgraziatamente ci ha lasciato senza poter veder concretizzato il proprio sforzo. Per raggiungere l’obiettivo è stato molto importante anche l’impegno degli studenti che forse allora non
hanno percepito l’importanza del progetto ma che successivamente se ne sono appropriati portando avanti questa rivoluzione in campo medico. Non va inoltre dimenticato nel percorso di crescita dell’odontoiatria italiana il ruolo avuto dagli amici di Brugg, liberi professionisti cultori della materia che hanno integrato le loro conoscenze con corsi all’estero e che hanno condiviso il loro sapere tramite corsi, conferenze e gruppi di studio permettendo la crescita di tutto il movimento.
Anche a loro deve andare il nostro più sentito ringraziamento. Termino con l’augurio che le nuove generazioni di odontoiatri sappiano e
soprattutto possano appropriarsi dello spirito che ha portato alla formazione del nostro corso di laurea e cioè la cura dell’apparato stomatognatico inserito in un contesto generale di cura della persona partendo nell’interesse del paziente dalla funzione anziché dall’estetica dalle cure più conservative come purtroppo spesso oggi non avviene facendo ritornare indietro a quarant’anni fa le lancette dell’orologio.
Sarà altresì importante per le nuove generazioni di odontoiatri vincere la sfida per adeguarsi alle nuove tecnologie e alla mostruosa accelerazione che l’era digitale ha comportato reinventando di fatto la nostra professione.
Colorare i denti è operazione quotidiana tanto degli odontotecnici quanto degli odontoiatri con i vari materiali, ma quanti sanno davvero cosa stanno facendo? Se devo dire le cose come stanno, assai meno di quanto si pensi e di quanto io stesso potessi credere.
Da 40 anni sono docente in corsi sulla forma e colorazione della ceramica ecc. ma escluso il grande e immenso Bebi Spina, vero maestro di tutti, non ho visto delle logiche basate sulla scienza della luce sulle tavolozze di molti banchi lavoro, ne ho percepito una reale consapevolezza nel mescolare le varie tinte da parte dei “guru” che ho frequentato negli anni 80 -90 in giro per il mondo.
È vero molti fanno denti bellissimi ma come insegnare questo ad altri è un’altra cosa! Finché ci troviamo di fronte a concetti come tinta, croma, valore, qualche nozione di base emerge, ma appena si chiede perché il “valore” è più importante degli altri due, la risposta finisce sempre e solo sul grigio e nessuno mai ha saputo dire qualcosa in più su cosa, come e dove il cervello umano elabora questi parametri e quali sono le implicazioni nella realtà quotidiana.
Premi Nobel sul tema non appaiono in nessun libro dentale e questo è gravissimo!
Allo stesso modo del Nobel della nostra Montalcini, così importante per capire come si rimodella il cervello umano e come da ciò si impara e si disimpara conoscendo gli effetti del “fattore di crescita” quando si pretende di insegnare qualcosa, anche il Nobel a Hubel e Wiesel sulla “conoscenza visiva” non è mai apparso su libri dentali sul merito (solo sulla prefazione “Colore e anatomiaBebi Spina) in modo esaustivo e funzionale alla didattica.
Domanda: perché se voglio fare A3 e uso tutte le colorazioni A3, A3 non viene? Questa è la questione di base, ma poi c’è da chiedersi di più: Perché anche se il colore è giusto può risultare finto? Ovvero morto?
Mescolare colori senza sapere che i pigmenti sono sottoposti a leggi sottrattive è grave perché è la base della conoscenza su cui il maestro Bebi Spina scrisse il suo libro più importante e ignorarlo o dimenticarsene è un “suicidio” quotidiano, ma anche non sapere le leggi dei contrasti e non saperle inserire quando affianchiamo delle masse o pigmenti è altrettanto grave.
Ho assistito personalmente a una quantità smisurata di dimostrazioni da parte di molti esperti dell’estetica percependo indicazioni solo tecniche o peggio commerciali piuttosto che scientifiche!
mia preferisco ragionare come un pittore impressionista, dove c’è sempre “un po’ di cielo nella terra e un po' di terra nel cielo”, mettendo in pratica tutto ciò che so sulle leggi dei contrasti di Hitten, ma anche aggiungendo al “sistema sottrattivo” il “sistema partitivo” per il controllo del valore, come anche il concetto di velatura per la gestione della traslucenza reale o simulata. Qualche collega mi domanda se c’è differenza tra colorazione e stratificazione in riferimento alle leggi, la risposta è no! Gli emettitori di luce hanno le loro regole: i riflettori invece, come i nostri pigmenti, ne hanno altre e non cambiano in ambiente bidimensionale o tridimensionale.
Tornare a casa dopo un corso cercando la soluzione all’ignoranza comprando l’ennesimo cofanetto è uno “sport” che non possiamo più permetterci. Sostituire il sapere col comprare mette sempre a rischio l’economia aziendale.
La scienza della luce è molto importante metterla al servizio del “dente vivo”, piuttosto che del colore esatto del campionario.
Un dente che si mimetizza naturalmente col resto dei denti residui rispetta le leggi di diffusione, riflessione, rifrazione ecc. della luce e per fare questo da parte
Sulla scelta del colore poi c’è un mondo di conoscenze che oggi può essere supportata dalla tecnologia, che però non può in nessuno modo prescindere dalla componente umana che rimane e rimarrà al centro dell’eccellenza dei risultati e da conoscenze scientifiche specifiche, come ad esempio gli effetti del “contrasto successivo”.
Da parte mia ho cercato di mettere assieme tutte le possibili conoscenze sulla luce, sui colori ecc. schematizzando tutto per rendere più fruibile e più fa-
cile ottenere la vitalità delle nostre ricostruzioni.
Schemi semplici ma pratici e illuminanti per odontotecnici e dentisti da usare sempre nella quotidianità.
Non cambia nulla se usiamo questo o quel materiale, quando abbiamo le conoscenze giuste, con poco tempo possiamo capirne le caratteristiche e fare da per noi i protocolli giusti per sfruttarlo al meglio.
Altra questione in campo è il dialogo col paziente: sapere che la luce di fatto non esiste fuori di noi, ma è un elaborato di ogni singolo cervello in risposta agli stimoli di onde elettromagnetiche provenienti dalla fonte e influenzato da fattori fisici, chimicobiologici e psicologici, sui quali bisogna saper trovare compromessi e giuste parole. Prendere un colore dopo un caffè o un farmaco non è cosa da considerare innocua sia dalla parte dell’operatore che del paziente.
Hitten diceva ad un suo allievo: “Se lei di istinto riesce a creare dei capolavori coloristici, può procedere ignorando le leggi cromatiche, ma se lei ignorandole non crea capolavori, deve impegnarsi nel loro studio”
Il nostro grande Bebi Spina insisteva anche sul colore come anatomia e sull’anatomia del colore. Gli strumenti digitali oggi sono molto più interessanti in questa ottica della mappatura, ma si possono ottenere ottimi riferimenti anche mettendo le foto in scala tramite l’uso di una semplice sonda parodontale e applicare le misure ricavate alle macroaree, non più di 4-5, per interpretare l’individualità con pochi riferimenti ancora una volta in campo AFG, tramite numeri sui fogli invece di insignificanti scarabocchi. Rimane indiscutibile che nell’uno contro uno, soprattutto nel caso di incisivi centrali l’odontotecnico dovrebbe avere il paziente al fianco, altrimenti è assai difficile che si possa raggiungere un risultato serio magari da proiettare in conferenza. L’ipocrisia dell’odontotecnico che non deve avere contatto col paziente per risolvere il problema soprattutto al suo cliente dentista, neanche per queste cose è da considerarsi una posizione scriteriata priva di senso e di rispetto, anche quando interpretata da leggi risalenti all’anno di nascita di Topolino e ancora in vigore in questo paese che vive di valori di tre secoli fa e non fa un passo serio in avanti verso l’efficienza e la modernità.
Questi e molti altri argomenti e esperienze nel corso: Colore, scienza della luce per il “dente vivo”
I “Disordini Temporomandibolari” (DTM) rappresentano una delle più frequenti cause di dolore al volto, che interessa circa il 15% della popolazione, con una maggiore prevalenza nel sesso femminile, e nei soggetti di età compresa tra i 25 e i 40 anni. Questi disturbi hanno un notevole impatto sulle attività quotidiane, sui rapporti sociali e sulla qualità della vita, e pertanto rappresentano un problema fondamentale nell’ambito della salute pubblica. Inoltre, la mancata diagnosi precoce determinata dalle scarse informazioni, e la somministrazione di protocolli terapeutici inadeguati contribuisce da un lato ad aumentare i costi sociali associati a questo disturbo, e dall’altro incrementa il rischio di cronicizzazione della patologia.
I DTM sono la patologia muscoloscheletrica che interessa l’apparato stomatognatico, coinvolgendo quindi l’articolazione della mandibola (nota come articolazione temporomandibolare - in breve ATM), i muscoli deputati alla masticazione, e le strutture annesse. I pazienti con DTM generalmente possono riferire due tipologie distinte di disturbi:
• Dolore ai muscoli del volto o in corrispondenza dell’articolazione, davanti all’orecchio, esacerbato dai movimenti della mandibola,
• Rumori articolari, tipo scatto o scroscio, che si manifestano durante i movimenti della mandibola. Questi segni e sintomi si possono associare, o meno, ad una limitazione nell’apertura della bocca, ed ad una difficoltà a svolgere le normali funzioni dell’apparato orale, come parlare, mangiare o sbadigliare.
Cause dei DTM e ruolo del Bruxismo
L’identificazione delle cause dei DTM è un argomento piuttosto complesso e numerosi studi hanno evidenziato che non sia possibile individuare un singolo fattore causale. Ad oggi risulta ampiamente dimostrato, infatti, che questi disturbi dipendano da una moltitudine di fattori locali e generali che comprendono traumi, differenze anatomiche interindividuali, fattori neurologici e biopsicosociali, e comportamenti orali scorretti.
Per quanto riguarda nello specifico i comportamenti orali scorretti, tra questi si può annoverare la presenza di quelle attività definite come parafunzioni orali, o più generalmente note sotto il termine di bruxismo. Il bruxismo include sia il serramento che il digrignamento dei denti, e generalmente i pazienti sono ignari o scarsamente consapevoli della presenza di questi comportamenti, che possono manifestarsi sia durante
le ore di veglia che durante il sonno. Recentemente un gruppo di esperti ha sottolineato l’importanza di distinguere il bruxismo del sonno ed il bruxismo della veglia come due entità separate, che presentano cause e conseguenze distinte.
In genere, le parafunzioni orali non rappresentano di per sé un fenomeno dannoso per il nostro organismo: in alcuni casi, però, quando l’intensità o la frequenza di questi fenomeni supera la soglia fisiologica di tolleranza di un individuo, queste attività possono rappresentare un fattore scatenante dei DTM determinando effetti negativi sui muscoli e sulle articolazioni. Studi scientifici hanno infatti dimostrato che i pazienti che lamentano dolore ai muscoli del viso, generalmente presentano una maggiore intensità ed una maggiore frequenza di episodi di serramento e/o contatto dei denti durante il giorno, rispetto ai soggetti che non hanno dolore muscolare.
I meccanismi ipotizzati alla base di questa associazione causale tra serramento dei denti ed i DTM sono di due tipi: da un lato, la presenza di parafunzioni orali può determinare in maniera diretta una modifica delle fibre muscolari, portando ad un possibile “sovraccarico muscolare”; dall’altro le parafunzioni orali durante
le ore di veglia possono rappresentare una manifestazione involontaria di stati psicologici come ansia e stress, che a loro volta contribuiscono all’instaurarsi dei DTM.
Di contro, i dati presenti in letteratura relativamente all’associazione tra il bruxismo del sonno ed i DTM, dimostrano ad oggi risultati contrastanti, supportando l’idea che il bruxismo del sonno rappresenti una entità separata, con delle caratteristiche specifiche indipendenti dal bruxismo della veglia.
Gestione delle parafunzioni orali come approccio ai DTM
Considerato il ruolo primario che le parafunzioni orali rivestono come fattore di rischio dei DTM, risulta necessario quindi istruire il paziente al riconoscimento ed all’identificazione di tali attività, finalizzato all’ auto-controllo ed alla riduzione dei comportamenti orali involontari e potenzialmente dannosi. È dimostrato infatti che, in pazienti che presentano dolore ai muscoli masticatori, l’adozione di un programma di rieducazione funzionale mediante dettagliate spiegazioni relative al ruolo delle parafunzioni orali nella genesi del dolore e l’introduzione di esercizi di auto-controllo e rilassamento della muscolatura, offra risultati sorprendentemente positivi in termini di riduzione del dolore e miglioramento della funzione masticatoria. È interessante sottolineare che questo tipo di approccio garantisce una terapia assolutamente conservativa e non invasiva, e pertanto deve rappresentare il primo passaggio fondamentale del protocollo terapeutico nella gestione dei pazienti con DTM. Risulta fondamentale quindi implementare nella pratica clinica la rieducazione funzionale, l’autocontrollo e i programmi di esercizi domiciliari, per poter ottenere risultati soddisfacenti nella gestione a breve e lungo termine dei DTM.
Per informazioni sul programma del 37° Congresso scansiona il QR-Code oppure https://shorturl.at/wJGnJ
Oggi la tecnologia moderna attraverso la ricerca scientifica applicata viene in aiuto alla medicina con soluzioni capaci di migliorare la terapia e la modalità di trattamento, monitorandone lo stato di salute e accelerando la diagnosi di patologie complesse -Tutto questo si può fare in modo personalizzato, preciso, acquisendo in tal modo la fiducia del paziente e dei familiari nella complessità della terapia.
A monte di tutto ciò è necessaria una formazione medico scientifica ineccepibile per la tutela della salute, che si prenda cura del paziente senza distinzioni di età, sesso e origini.
LA MEDICINA RIGENERATIVA AUTOLOGA riduce i costi, accelera il processo di guarigione, riduce i rischi e conferisce, nel rispetto delle procedure, maggior tutela e minor rischi per il paziente.
Parliamo di MEDICINA RIGENERATIVA AUTOLOGA in senso lato aprendoci nuovi orizzonti, esplorando ed approfondendo un sistema complesso che sta alla base della tutela della salute, per approdare ad un nuovo concetto di BENESSERE. UN CIRCUITO che può essere migliorato grazie alla ricerca sicura e responsabile: SANITÀ e SALUTE devono coincidere.
Il diritto alle cure e cioè allo stato di salute ha un valore inestimabile per ciascun cittadino; la facoltà dell’essere in salute vale più dell’avere in quanto è un diritto fondamentale.
Lo stato di benessere è sancito dal Consiglio Superiore della Sanità e da tutte le costituzioni.
Non si tratta di un concetto astratto ma di un benessere reale effettivo rapportato alle condizioni di età di vita di ciascuno di noi, non solo dal punto di vista anagrafico ma anche fisico, emotivo, spirituale.
Art Hotel Museo, Prato
La SALUTE è un bene individuale e nel contempo relazionale. L’essere umano va preso in cura nella sua vulnerabilità che fa parte del nostro vivere.
La presa in cura è un fatto reciproco in cui tutti siamo coinvolti. CURARE PER PREVENIRE, CURARE PER SANARE, CURARE PER RIABILITARE. A monte di tutto abbiamo la ricerca scientifica che garantisce il progresso della MEDICINA.
Una ricerca che pone al centro l'individuo e con l’obbiettivo di migliorare in modo innovativo e sicuro l’efficacia e la sicurezza delle cure. La ricerca, l’insegnamento, favoriscono l'acquisizione delle competenze e lo sviluppo di una visione globale delle persone perché il pensiero che muove le cure stesse comporta la presa in carico dell'ambiente e delle biodiversità garantendone lo stato di benessere. Il progresso favorito dai successi della ricerca scientifica e dell’innovazione tecnologica in ambito BIOMEDICO ha portato a traguardi considerevoli, sia in termini di qualità di vita che di tempi di guarigione. In tale contesto i sistemi organizzativi sanitari si sono evoluti, DA qui le sollecitazioni provenienti dalla MEDICAL HUMANITAS che evidenziano il bisogno di coniugare le medical devices thecnologies con le conoscenze medico scientifico, dal cui connubio emerge l’esigenza di una riumanizzazione della medicina per ritrovare il carattere etico che le è proprio. Si tratta di una medicina che coniuga umanità e sostenibilità accrescendone l'efficacia. Dobbiamo mettere a punto una Medicina che ci permetta di operare nel migliore dei modi eliminando eventuali competizioni nell'interesse del paziente.
Prof. Grassi e Dott. Scarano Catanzaro
La chirurgia guidata totalmente digitale: dall’impronta facciale alla protesi a carico immediato
PROF. FELICE ROBERTO GRASSI
Professore Ordinario SSD MED/28(Malattie Odontostomatologiche) presso la Scuola di Medicina e dell'Università degli Studi di Bari "Aldo Moro”,dal 2000 al 2023,attualmente in quiescenza.Direttore del Dipartimento di Odontostomatologia e Chirurgia dell'Università degli Studi di Bari per trienni dal 2004-2007 e 2008-2011 (incarico ricoperto sino a novembre 2008).Direttore del Dipartimento di Metologia clinica e tecnologie medico chirurgiche chirurgica 2011 -2012. Responsabile italiano del progetto di ricerca (Ultra fast laser surfacing of teeth for resistance to erosion. Grant agreement for: industry-academia partnerships and pathways) LUSTRE. IAPP project (EU Project No. 324538) Co-Autore delle "Linee guida nazionali per la promozione della salute orale e la prevenzione delle patologie orali in età adulta" per il Ministero della Salute.Revisore esterno designato dall’Agenzia Nazionale (ANVUR) nell ambito della Valutazione della Qualità della Ricerca Nazionale 2015-2019 per il Settore Disciplinare MED-28 e MED 50. Componente della Commissione per l’abilitazioneScientifica Nazionale(ASN) 2021-2022.Sett.Concorsuale:06/F1 Malattie odontostomatologiche. Presidente Corso di Laurea in Odontoiatria e Protesi Dentaria nel triennio accademico 2008-2011 c/o Facolta di medicina e chirurgia dell, Universita degli
mascherina chirurgica per un suo paziente. Il software sarà dato in omaggio ad ogni partecipante.
OBIETTIVI
L'obiettivo del corso di implantologia computer guidata è quello di indicare un protocollo che partendo dalla diagnosi si prefigge un percorso in moduli, volti alla programmazione, passando dalla progettazione sino alla realizzazione del manufatto protesico.
Materiali, metodi e strumentario chirurgico
Acquisizione di materiali digitali
Studio del caso con file digitali
Importare e valutare immagini acquisite con tac o dental scan
Pianificare il trattamento implantare guidato con software di progettazione
PROF. FELICE ROBERTO GRASSI
Preparazione sito implantare con mascherine per chirurgia guidata • Presa dell’ impronta analogica o digitale e finalizzazione protesica
Professore Ordinario SSD MED/28(Malattie Odontostomatologiche) presso la Scuola di Medicina e dell'Università degli Studi di Bari "Aldo Moro”,dal 2000 al 2023,attualmente in quiescenza.Direttore del Dipartimento
Il carico immediato: elemento singolo, all-on-4 e all-on-6, la chirurgia guidata: dalla pianificazione chirurgica al carico immediato
attivo della Società Italiana di chirurgia orale (SIDCO). Socio onorario dell'Associazione Igienisti Dentali Italiani (AIDI). Socio fondatore dell'Accademia "Il Chirone”.
La celebrazione del centenario del Greater New York Dental Meeting (GNYDM) rappresenta il momento più opportuno per riflettere sullo straordinario viaggio che ci ha portato al punto in cui ci troviamo oggi: il più grande evento dentale e convention negli Stati Uniti.
La nostra storia è sommessamente iniziata negli anni '20, con solo poche centinaia di partecipanti e un paio di programmi educativi. Sono stati gli sforzi collettivi di un gruppo di dentisti di Brooklyn, Staten Island e Manhattan a gettare le basi per quello che sarebbe diventato un evento iconico nel campo dell’odontoiatria.
Gli anni ’40 portarono con sé nuove sfide poiché gli Stati Uniti dovettero affrontare la minaccia di guerra e la possibilità di attacchi aerei. L’odonto -
iatria si trovò a un bivio, con una nuova necessità per i dentisti di diventare chirurghi ausiliari più attivi nel trattamento delle lesioni facciali durante la Seconda Guerra Mondiale. Questo periodo segnò l’inizio di una nuova era in cui gli americani riconobbero l’importanza di un’adeguata assistenza sanitaria orale, la necessità di una riforma dentale e di accesso alle cure.
Con meno di 1.000 partecipanti provenienti dall'area dei tre stati, il Greater New York Dental Meeting iniziò presso l'Hotel Pennsylvania a New York City. Il concetto era semplice ma rivoluzionario: creare una piattaforma in cui i professionisti del settore dentale potessero incontrarsi per apprendere, condividere idee e far progredire la propria professione.
Nel 1975 il GNYDM si trasferì all'Hil -
ton Hotel, espandendosi per integrare fiere ed aziende di prodotti dentali con la formazione dentale. Questa unione delle interazioni tra espositori e partecipanti ha aperto la strada a nuove opportunità di vendita, spingendo il GNYDM verso nuovi livelli.
Nel 1987 il GNYDM firmò l’accordo con il Jacob K. Javits Convention Center, segnando un nuovo inizio con nuove prospettive. Riconoscendo la propria responsabilità sia nei confronti dei partecipanti che degli espositori, il GNYDM è diventato l'unico incontro odontoiatrico scelto dal Dipartimento del Commercio degli Stati Uniti per aiutare i produttori ad avere successo in un mercato globale. Oggi
gnolo, portoghese, russo e cinese, ci impegniamo a soddisfare le diverse esigenze dei nostri partecipanti. Inoltre, i nostri incontri per specialisti coprono una vasta gamma di argomenti, dall'implantologia e l'ortodonzia all'odontoiatria pediatrica, all'apnea notturna e al cancro orale.
Guardando indietro a un secolo di eccellenza, siamo grati per il supporto dei nostri partecipanti, espositori e partner che ci hanno aiutato a raggiungere questo traguardo. Brindiamo ad un altro secolo di progresso della salute orale e di miglioramento della qualità di vita attraverso il Greater New York Dental Meeting!
siamo il leader del settore dentale statunitense nel commercio nazionale ed internazionale.
Nel 2023 il GNYDM ha registrato il numero record di 36.081 partecipanti, tra cui 13.302 dentisti, 2.793 studenti e specializzandi in odontoiatria, 2.027 assistenti dentali e 2.320 igienisti dentali provenienti da 139 Paesi. Il nostro piano espositivo offre sconti speciali ed omaggi. I professionisti del settore dentale hanno la possibilità di visitare oltre 1.020 stand espositivi.
Ma non è solo una questione di numeri: riguarda la qualità dell'istruzione e delle esperienze che offriamo. Con oltre 265 seminari e workshop pratici, inclusi programmi in spa -
2024 CENTENNIAL CELEBRATION FREE PRE-REGISTRATION OPENS IN APRIL
Greater New York Dental Meeting
November 29th – December 4th
Contact Us: info@gnydm.com www.gnydm.com @GNYDM #GNYDM
Più di 60 nuove funzionalità per una massima automazione e velocità rendono DentalCAD 3.2 Elefsina la prima scelta per i progettisti CAD dentali! Sviluppato pensando alle tue esigenze: copia le protesi totali per produrne di nuove a basso costo, correggi scansioni intraorali imperfette, integra fresatrici compatte e altro ancora. La nuova versione migliora inoltre la collaborazione tra laboratorio e dentista grazie a iTero-exocad ConnectorTM. Ottimizza i tuoi risultati. Amplia le tue indicazioni. Contatta il tuo rivenditore per programmare subito l'aggiornamento.