
DentalCAD 3.2 Elefsina
exocad_printAd_DentalCAD_Manchette_6x4cm_it

S.I.O.H.
Il ruolo di SIOH nella multidisciplinarietà
p. 12
DentalCAD 3.2 Elefsina
exocad_printAd_DentalCAD_Manchette_6x4cm_it
S.I.O.H.
Il ruolo di SIOH nella multidisciplinarietà
p. 12
2024 La rigenerazione tessutale: laser, emocomponenti e biomateriali
La rigenerazione tessutale in odontoiatria è un campo in rapida evoluzione che mira a riparare, sostituire e favorire la ricrescita di tessuti persi, danneggiati o malati. La sinergia tra laser, emocomponenti e biomateriali apre un ampio spettro di possibilità da affiancare alle tecniche chirurgiche e ricostruttive tradizionali. L'utilizzo di laser, con tecniche di chirurgia atraumatica, bioprinting, fotobiomodulazione e terapia fotodinamica in sinergia con l’utilizzo di gel piastrinici, fattori di crescita, scaffold 3D, membrane ed innesti rappresenta un approccio promettente, completo e multifattoriale in questo campo, offrendo diverse possibilità per la rigenerazione e la ricostruzione dei tessuti orali ossei e mucosi, consentendo di migliorare l'efficacia dei trattamenti e accelerare i tempi di guarigione. L’obiettivo di questo incontro inter-societario è quello di descrivere le possibilità di approccio terapeutico e di definire lo stato dell’arte attuale e i suoi possibili sviluppi futuri.
Meeting Congiunto
Silo Aiola Anthec
Paestum, 27-28 Settembre 2024
2024 LA RIGENERAZIONE TESSUTALE: LASER, EMOCOMPONENTI E BIOMATERIALI
LO STATO DELL’ARTE E LE PROSPETTIVE FUTURE
ATASIO VI Edizione dei World Dental Hygienist Awards p. 17
A.I.O.L.A.
Primo Simposio Congiunto delle Associazioni di studio sulla laser-terapia
Il problema dello sviluppo sostenibile è quello di conciliare i requisiti della crescita economica con lo sviluppo umano e sociale, la qualità della vita e la protezione del pianeta in termini di equilibrio a lungo termine.
Il ruolo di SIOH nella multidisciplinarietà
iADH (International Association for Disability and Oral Health) è un’organizzazione internazionale di professionisti che si occupano della salute orale dei pazienti con esigenze speciali. [...]
Continua la lettura a pag. 12
Gli aspetti ambientali, economici e sociali dello sviluppo sostenibile devono integrarsi l’un l’altro al fine di realizzare una società più giusta, più sana e più armoniosa per tutti. Il programma completo in ultima di copertina
I consigli per la cura dei dispositivi ortodontici
Cene con gli amici, serate fuori casa, vacanze e viaggi: bentornata estate! Ma la bella stagione significa anche gelati, bevande e cibi zuccherati che mettono a rischio la salute orale. [...]
Continua la lettura a pag. 6
Nel mondo delle tecnologie mediche e odontoiatriche, la ricerca di profili specialistici è un elemento cruciale per l'innovazione e lo sviluppo di soluzioni avanzate che migliorano la qualità della vita dei pazienti. La crescente complessità di questi settori richiede professionisti altamente qualificati con competenze specifiche che spaziano dalla bioingegneria alla robotica, passando per l'informatica medica e la biotecnologia.
In particolare, l'integrazione di tecnologie avanzate come l'intelligenza artificiale, la stampa 3D e i dispositivi indossabili ha creato una domanda crescente per ingegneri biomedici, sviluppatori di software specializzati in applicazioni mediche, e esperti in materiali biocompatibili. Questi professionisti lavorano alla progettazione di dispositivi medici innovativi, alla creazione di software per la gestione dei dati clinici e allo sviluppo di protesi dentali personalizzate e impianti ortodontici.
La selezione di tali profili specialistici richiede un approccio mirato e l'utilizzo di strumenti avanzati di recruitment. Le
aziende spesso collaborano con università e istituti di ricerca per individuare talenti promettenti e investono in programmi di formazione continua per aggiornare le competenze dei loro dipendenti. Inoltre, piattaforme di recruiting online e reti professionali giocano un ruolo chiave nel connettere le aziende con i candidati ideali.
L'importanza di una ricerca accurata dei profili specialistici non può essere sottovalutata, poiché la qualità e l'innovazione dei prodotti finali dipendono direttamente dalle competenze e dall'esperienza del personale impiegato. Solo attraverso una selezione rigorosa e un continuo aggiornamento professionale, le aziende del settore medico e odontoiatrico possono mantenere un vantaggio competitivo e rispondere efficacemente alle sfide di un mercato in rapida evoluzione.
Proponi la tua candidatura contattando jobs@infomedix.it
Per maggiori informazioni vedi pag. 5
Infomedix Odontoiatria 4/2024 bimestrale • anno IV • numero 20 luglio-agosto 2024
Direttore Responsabile
Silvia Borriello - silvia.borriello@infomedix.it
Coordinatore Editoriale Alberto Faini - a.faini@infomedix.it Redazione
Nadia Coletta - nadia@infomedix.it
Claudia Proietti Ragonesi - pressoffice@infomedix.it
Edited by ® Infodent Infomedix International Publishing & Consulting House
Infodent Srl
Sede Operativa: Via dell'Industria, 65 01100 Viterbo redazione@infomedix.it 0761.352133
Sede Legale: C.ne Gianicolense, 68 00152 Roma P. IVA / C.F. 01612570562
Amministratore: Baldassare Pipitone
Responsabile Scientifico
Gianna Maria Nardi
Luca Maria Pipitone
Roberta Grassi Chiara Faini
Grafica
Antonio Maggini - artwork@infomedix.it
Progetto Grafico Studio Frasi Ufficio Stampa Claudia Proietti Ragonesi pressoffice@infomedix.it Marketing e pubblicità Riccardo Bonati riccardo.bonati@infomedix.it Alessandra Brunetti alessandra.brunetti@infomedix.it
Organizzazione Eventi Cristina Garbuglia eventi@infomedix.it
Stampa
Graffietti Stampati Snc
Strada Umbro Casentinese Km 4.500 01027 Montefiascone (VT) Spedizione
Poste Italiane S.p.A – Spedizione in Abbonamento
Postale - AUT. CENTRO/01673/05.2021
PERIODICO ROC Contiene I.P.
Registrazione al Tribunale di Viterbo n° 679/2021 del 08/03/2021
Costo copia euro 0.77
Questo numero è stato chiuso il: 25/07/2024
IMPLANTOLOGIA GUIDATA Chiavi in mano Per saperne di più contatta ora dentecom.srl@gmail.com
Rigenerazione ossea
Lettura digitale
Via Francesco Saverio Sprovieri, 35 - 00152 Roma (RM) T. +39 06 58330870 | +39 392 6060066 dentecom.srl@gmail.com - www.dentecom.it Servizi su misura per
E REDAZIONE Via dell’Industria 65 01100 Viterbo - Italy VAT 01612570562
Per informazioni, richieste e invio materiale da pubblicare contattaci: redazione@infomedix.it
T. +39 0761 352133 www.infomedixodontoiatria.it
Azienda certificata dal 26/11/2004, per la realizzazione ed erogazione di sistemi di comunicazione di marketing multicanale secondo la norma ISO 9001:2015. Certificato n. CERT-15119-2004-AQ-ROM-SINCERT
QR Code e sito Al termine di alcuni articoli è possibile trovare un QR CODE specifico per leggerli interamente sul sito dedicato al tabloid Infomedix Odontoiatria Italiana www.infomedixodontoiatria.it
Tutti coloro che vogliono condividere esperienze di trattamenti al cavo orale e periorale, maturate e documentate all’interno di studi dentistici privati o di cliniche odontoiatriche possono contribuire contattando la redazione chiamando il numero +39 0761 352133 o inviando una mail a: redazione@infomedix.it
La responsabilità degli articoli e dei contenuti appartiene ai rispettivi autori, che ne rispondono interamente.
Dott.ssa Ute Schneider-Moser
Presidente SIDO 2024
La SIDO vi aspetta a Firenze dal 17 al 19 Ottobre 2024 per il 55° SIDO International Congress, presso la Fortezza da Basso; la manifestazione sarà organizzata fuori dagli schemi dando maggiore enfasi sull’incontro dei soci SIDO, lo scambio intellettuale e il networking tra colleghi italiani ed internazionali e sulla realizzazione di una festa con un tocco di rosa il venerdì sera per vivere tre giornate stimolanti e suggestive INSIEME IN SIDO!
Dopo il grande successo del SIDO Spring Meeting a Verona la presidente Ute Schneider-Moser ha composto un altro programma scientifico-culturale 2024 di altissimo livello con una miriade di relatori di fama mondiale provenienti da 23 paesi di 5 continenti per continuare a realizzare il suo sogno della costruzione dei ponti ‘Building Bridges for the Future 2024’
1 a Giornata PRECONGRESS giovedì 17 ottobre
Sono previste 5 manifestazioni interessantissime:
• Il 2° Memorial Sandro Segù organizzato in collaborazione con l’Italian Board of Orthodontics IBO sui ‘Trattamenti Ortodontici nel Paziente Adulto’
• Tre corsi monotematici ‘La Buona Pratica Temporomandibolare’, ‘I Limiti delle Meccaniche Ortodontiche Intrusive’ e ‘La Sinergia Vincente dell’Ortodonzia con il Digitale e la Restaurativa’ • Il Simposio ‘Angle-net comes ALIVE in SIDO’, una joint-venture di SIDO e l’Angle Society of Europe e America che tratterà i due topics ‘Trattamenti Elettivi di Alta Tecnologia’ e ‘Il Trattamento del Paziente Anziano: Una Nuova Sfida Ortodontica’
Giovedí si terrà anche la sessione del Model Display SIDO per i Soci Provvisori che intendono assumere la qualità di Socio Ordinario SIDO.
2 a Giornata venerdì 18 ottobre
Il programma scientifico inizierà con la Tiziano Baccetti Memorial Lecture che riprenderà il tema del ‘Building bridges for the future. Per la prima volta in SIDO questa opening lecture verrà presentata da un trio di presidenti di fama mondiale insieme sul podio: Nikhillesh Vaiid (President World Federation of Orthodontists WFO), Stella Chaushu (President Mediterranean International Orthodontic Project - MOIP) e Flavia Artese (President International Orthodontic ConferenceIOC 2025).
Le due sessioni congressuali ‘Cura e Risoluzione Interdisciplinare di Problemi in Ortodonzia’ e ‘La Ricerca dell’Eccellenza Continuerà’ si svolgeranno in due sale principali per dare lustro ai noti relatori nazionali ed internazionali che presenteranno i loro lavori di squadra in duetto o addirittura in trio sul podio e davanti a un’aula auspicabilmente piena.
3 a Giornata sabato 19 ottobre
Il programma si focalizzerà sul ‘Futuro dell’Ortodonzia’ presentando un ventaglio di nuove tecnologie e il report della Consensus Conference sugli Allineatori 2024 mentre nell’altra sala si terrà il ‘1° SIDO Female Leadership Summit’ con solo relatrici sul podio per rendere omaggio alle donne che hanno influenzato e che stanno trasformando il mondo ortodontico. Supportata da Leone e Firenze Fiera, SIDO si unisce all’Associazione Artemisia nella lotta contro la violenza sulle donne e sui bambini.
Per la presidente SIDO 2024 il ponte più importante da costruire per il futuro è il coinvolgimento della generazione ‘Young in SIDO’. Per questo motivo ha organizzato la sessione ‘SIDO Young UNPLUGGED’ a porte chiuse che permetterà agli specializzandi in ortodonzia e ai giovani ortodontisti meno esperti di chiedere consigli pratici a degli esperti della loro fascia di età in un’atmosfera meno formale per incentivare la loro partecipazione attiva e avvicinandoli a SIDO.
Per dare un tocco diverso alla serata di venerdì la tradizionale ‘President’s reception’ verrà sostituita dalla ‘SIDO Touch of Pink Reception’ . Aspettatevi momenti emozionanti durante la cena itinerante grazie alla strepitosa performance dei ‘Roland’s Stones’ dell’Angle Society of Europe e alla competizione karaoke ‘YOUNG at NIGHT’ - seguita da un’altra edizione indimenticabile del SIDO Party. Dresscode della serata: ‘Un tocco di rosa ’.
Nel frattempo, SIDO propone ai propri soci un programma FAD di 42 crediti ECM ‘Dal Trattamento Intercettivo al Trattamento Interdisciplinare’ e un secondo Study Club in via telematica su Zoom tra il 10-12 Settembre alle ore 21 sul ‘Finishing in Ortodonzia’ sperando in una grande partecipazione a queste iniziative fino all’International Congress a Firenze.
SIDO 2024
55th International Congress
BUILDING BRIDGES FOR THE FUTURE
17-19 October 2024
Florence
Il direttivo Nazionale U.N.I.D.
Finalmente ci siamo!
Ecco le tanto meritate vacanze estive. Una pausa di riposo dopo sette mesi di attività in questo intenso 2024. Ma come ad ogni break anche questo vuole fare un po’ di bilanci.
Cosa ci lasciamo alle spalle, cosa faremo in futuro?
Ogni mese a partire da gennaio su tutto il territorio, U.N.I.D. ha lavorato alacremente per consentire a tutti i colleghi aggiornamento di qualità. Inoltre ha dato il suo supporto a la -
vori di ricerca ed ha presenziato ad eventi nazionali insieme alle altre associazioni tecnico scientifiche. Ricordiamo l’ultimo congresso del sud dello scorso mese di giugno. Un evento importante con un tema multidisciplinare dedicato alle patologie legate allo stress che ha riscontrato il consenso dei numerosi partecipanti. Per il futuro sicuramente il prossimo autunno vedrà come evento più prestigioso nel nostro panorama culturale il XXIII congresso nazionale U.N.I.D. “Professional Updating in Oral and Systemic Health”
Il programma è ricco di tematiche e relatori prestigiosi. Da segnare già in agenda come evento imperdibile che si terrà a Roma il 18 e 19 ottobre.
A breve sul nostro sito sarà possibile
visionare il programma completo ed iscriversi.
L’estate continuerà in Sardegna precisamente a Cagliari con il congresso U.N.I.D. che si terrà il 26 ottobre.
Easyclean MD* è stato ottimizzato per lo specifico uso nel settore dentale e convince per il consueto carattere Renfert robusto e affidabile. Questo apparecchio unisce sicurezza legale e igiene dei prodotti a una solida qualità, facilità d’uso e buon design. Il risultato è tipico di Renfert: „making work easy“. Per saperne di più: www.renfert.com/easyclean-md
Prof.ssa Silvia Caruso
DDS, PhD
Specialista in Ortognatodonzia
Specialista in Odontoiatria Pediatrica Docente presso Università degli Studi de L’Aquila
Cene con gli amici, serate fuori casa, vacanze e viaggi: bentornata estate! Ma la bella stagione significa anche gelati, bevande e cibi zuccherati che mettono a rischio la salute orale. Per questo durante l’estate è importante continuare a prendersi cura della propria igiene dentale. Questo vale ancora di più per le persone che si stanno sottoponendo a un trattamento ortodontico, poiché qualsiasi dispositivo ortodontico richiede attenzione e manutenzione quotidiana.
Una parola in più va spesa per la terapia con allineatori trasparenti, un trattamento prescritto e monitorato da un dentista o da un ortodontista.
Align Technology ha stilato insieme alla Prof.ssa Silvia Caruso, docente presso l’Università degli Studi de L’Aquila e Specialista in Odontoiatria Pediatrica ed Ortognatodonzia, un vademecum con indicazioni chiare e semplici per vivere un’estate senza preoccupazioni:
1. Visita di controllo
Prima di partire per le vacanze, è importante fissare una visita con il dentista o l'ortodontista responsabile del trattamento per verificare i progressi con gli allineatori trasparenti e prevenire eventuali problemi che potrebbero insorgere durante il soggiorno lontano da casa.
2. Perdita o rottura
Un altro consiglio può essere quello di portare sempre con sé in vacanza due
set di allineatori trasparenti: quello che si sta utilizzando al momento della partenza e quello precedente o successivo previsti nel trattamento. In caso di perdita o danneggiamento, è possibile sostituire il dispositivo ortodontico.
3. Pulizia e conservazione
È necessario prendersi cura degli allineatori ogni giorno e mantenerli puliti: possono essere lavati con sapone neutro, spazzolati e sciacquati con acqua. Quando li si toglie, bisogna assicurarsi che non vengano lasciati in una borsa da spiaggia o in una tasca, ma che vengano riposti correttamente nell'apposita custodia. Anche la cura dell'apposita custodia deve essere adeguata, pulendola regolarmente per evitare l'accumulo di batteri.
4. Igiene orale regolare
Portare con sé un mini kit “da borsetta o da taschino” è utile per mantenere una regolare igiene dentale. L’estate per molte persone significa un cambio di abitudini, aumentano gli spuntini al bar della spiaggia o in piscina, quindi è importante avere sempre a portata di mano tutto il necessario per lavarsi i denti dopo ogni pasto, prima di rimettere gli allineatori.
5. Tempo di utilizzo degli allineatori È essenziale continuare a indossare gli
allineatori per un minimo di 20-22 ore al giorno, durante le vacanze. La continuità del trattamento è fondamentale per ottenere risultati clinici di successo. Poiché gli allineatori trasparenti sono progettati per adattarsi comodamente alla bocca dei pazienti, possono essere utilizzati anche durante lo svolgimento di attività sportive o il nuoto. Il fatto che siano trasparenti permette ai pazienti di indossarli anche per uscire.
6. Consumo di zucchero
Durante l'estate si è sempre tentati di mangiare in spiaggia, al ristorante e di concedersi snack, gelati e bibite gassate. Cercare di limitare il consumo di bevande e alimenti zuccherati può essere difficile, ma è una buona abitudine. Sono i protagonisti indiscussi di merende e spuntini fuori pasto ma non sono alimenti “amici della bocca” per l’alto contenuto di zuccheri aggiunti.
“La possibilità di continuare il trattamento ortodontico senza interruzioni e senza rischi per la salute, anche durante le vacanze e lontani dal proprio specialista di riferimento, è una prerogativa della terapia con gli allineatori trasparenti. - Dichiara la prof.ssa Caruso - Grazie a questo strumento sia pazienti in crescita che adulti possono mantenere un buono stato di salute orale. Va da sé che il paziente rimane responsabile della terapia ortodontica per la sua parte
e dovrà quindi seguire i tempi di cambio degli allineatori che sono stati prescritti, mantenendo sempre alto il livello di collaborazione e indossando il dispositivo 22h al giorno. Senza questa attenzione è evidente che la terapia potrebbe perdere di efficacia”
Queste raccomandazioni dovrebbero consentire a chi si sottopone al trattamento con gli allineatori trasparenti di godersi al massimo le vacanze senza compromettere la loro routine di cura orale e dentale.
Align Technology, Inc.
Align Technology è un’azienda produttrice di dispositivi medici a livello mondiale con prodotti leader del settore. Align Technology è stata l’azienda pioniere del mercato dell’ortodonzia trasparente, che combina la pianificazione digitale del trattamento e la personalizzazione di massa con l’ingegneria della forma plastica basata su principi biomeccanici. Align guida l’evoluzione dell’ortodonzia digitale grazie allo scanner intraorale e ad una piattaforma di comunicazione con i laboratori – modernizzando le pratiche correnti e intensificando i flussi di lavoro di ortodonzia digitale e di restauro per migliorare i risultati sui pazienti e l’efficacia delle pratiche. Align Technology è stata fondata nel 1997 e ha la sua sede centrale a Tempe, Arizona.
Siamo una Casa Editrice con esperienza
pluriennale nel settore odontoiatrico, medicale e farmaceutico.
Pubblica con noi la tua monografia!
H
Pagina Web dello Studio gestita da Horizon Horizon genera una Pagina Web personale per ogni Studio con i contatti, posizione, orari studio, social, prenotazione via email, che integrandosi alla messaggistica Whtsapp/Sms diventa un efficace strumento marketing
Inquadra il QR Code per vedere un esempio
1. Ci può dare una panoramica di Henry Schein Italia?
Henry Schein Italia fa parte di Henry Schein Inc., una società di soluzioni per gli operatori sanitari portata avanti da una network di persone e tecnologie, con oltre 25.000 membri del team Schein in tutto il mondo e più di 300 soluzioni di valore.
Dopo essere entrato in Henry Schein nel 2004, Henry Schein Krugg si è evoluta in un fornitore di una gamma più ampia di prodotti e servizi, tra cui attrezzature di grandi dimensioni, prodotti high-tech, assistenza tecnica e riparazioni, servizi finanziari, nonché materiali di consumo e piccole attrezzature..
L'azienda ha ulteriormente ampliato la propria presenza con l’integrazione di Dental Trey nel 2015. Dalla sua acquisizione, Dental Trey ha ampliato il proprio portafoglio di prodotti e servizi, consentendo all'azienda di mantenere le sue offerte innovative per il settore dentale e la dedizione all'eccellenza nella formazione.
Per quanto riguarda le infrastrutture, abbiamo recentemente annunciato l'apertura di una nuova sede Henry Schein
Italia a Milano e in aprile abbiamo aperto due nuovi showrooms situati presso la sede dell'azienda, una per Henry Schein e l'altra per Dental Trey, con più di 500 mq complessivi.
Abbiamo inoltre trasferito il magazzino principale dell'azienda in un nuovo centro logistico a sud di Milano sia per Henry Schein Krugg che per Dental Trey. Il magazzino ha una capacità massima di 100.000 metri cubi e la capacità di spedire più di 2.000 spedizioni al giorno.
2. A Rimini accennava ad alcune novità nel mondo dell’estetica e degli impianti. Ci può dare maggiori informazioni?
L’odontoiatria estetica è un settore chiave per noi e ora offriamo una gamma completa di prodotti e soluzioni attraverso sia Henry Schein Krugg che Dental Trey.
Un esempio è il portafoglio White Dental Beauty, noto per i suoi prodotti dentali sbiancanti innovativi, di alta qualità e clinicamente rinforzati. Questo portafoglio comprende una varietà di prodotti che utilizzano i gel sbiancanti professionali White Dental Beauty forniti da NOVON®, un composto sbiancante uni-
co che offre risultati sbiancanti migliorati in un tempo di trattamento più breve, stabilendo un nuovo standard nello sbiancamento dentale professionale. Siamo lieti di annunciare la recente aggiunta di nuovi prodotti professionali per l'estetica del viso alle nostre offerte di trattamenti. Con questi nuovi prodotti il nostro obiettivo è fornire ai professionisti del settore dentale una gamma completa di soluzioni, aiutandoli a creare un'esperienza di trattamento estetico olistico per i pazienti.
Anche nel campo dell'implantologia abbiamo recentemente introdotto i nuovi sistemi di implantologia ICX-PREMIUM® e ICX-ACTIVE-MASTER® di medentis, un produttore tedesco con oltre 20 anni di esperienza nel mercato degli impianti dentali. La nuova linea di impianti può essere acquistata tramite Henry Schein Krugg e Dental Trey.
3. Come privilegiate la trasformazione digitale negli studi dentistici, relativa al rapporto dentista-paziente? Qual è il ruolo ed il vantaggio dell’Intelligenza Artificiale in questo contesto?
Henry Schein Italia è fermamente impegnata nella tendenza crescente verso le tecnologie digitali. Ciò si riflette nell'ampia offerta dell'azienda di soluzioni all'avanguardia di produttori leader. Questi includono stampanti e imager 3D all’avanguardia, nonché scanner intraorali, progettati per aiutare i professionisti a orientarsi nel mondo in evoluzione dell’odontoiatria digitale. E la trasformazione digitale passa anche attraverso l’utilizzo dell’intelligenza artificiale (AI).
Esempi di applicazioni dell’intelligenza artificiale nel settore dentale includono la visione artificiale per il riconoscimento preciso di ogni parte della bocca del paziente, soluzioni software avanzate per il processo decisionale e il supporto clinico e strumenti basati sull’intelligenza artificiale integrati nei sistemi di gestione dello studio per migliorare l’efficienza. Questi strumenti analizzano i dati dei pazienti per il marketing intelligente, la fatturazione e la gestione della pianificazione, solo per citarne alcuni. Alcuni di questi strumenti avanzati di intelligenza artificiale sono disponibili tramite Henry Schein One Italia, parte di Henry Schein One e meglio conosciuta sul mercato come OrisLine. Henry Schein One Italia offre soluzioni IT all'avanguardia per la gestione dello studio odontoiatrico e del laboratorio, come OrisDent, la soluzione leader dell'azienda. Questo avanzato software di gestione dello studio basato su cloud integra Allisone, un'innovativa soluzione di intelligenza artificiale applicata alle immagini che aiuta i pazienti a comprendere meglio il piano di trattamento e i risultati di una radiografia dentale utilizzando i colori per evidenziare le caratteristiche della bocca. Questi esempi evidenziano il ruolo
crescente dell’intelligenza artificiale in odontoiatria, che contribuisce a migliorare la cura dei pazienti e aiuta i professionisti del settore dentale a ottimizzare ed espandere le proprie pratiche.
4. Per quanto riguarda il mondo del laboratorio, come sta crescendo per Henry Schein? Quali sono gli sviluppi digitali?
In qualità di azienda globale e fornitore di servizi completi, offriamo un'ampia gamma di prodotti e servizi, tra cui consulenza di esperti, formazione continua, software e altro ancora, sia per gli studi dentistici che per i laboratori. Soddisfare le esigenze in evoluzione di entrambi è una priorità fondamentale per noi. Per quanto riguarda i laboratori in particolare, stiamo ampliando la gamma di prodotti e servizi offerti, aumentando la nostra presenza territoriale e potenziando, tra le altre iniziative, il nostro servizio di televendita.
L’ampia gamma di prodotti dell’azienda comprende una varietà di soluzioni avanzate di odontoiatria digitale volte a contribuire a migliorare l’efficienza e la precisione dei processi di laboratorio, inclusi sistemi CAD-CAM e scanner intraorali, fresatrici, stampanti 3D e altri ancora.
Tutte le nostre offerte e servizi disponibili per i laboratori sono disponibili sui siti web Henry Schein Krugg e Dental Trey – ed è presente anche una funzionalità specifica per ii laboratori nel software OrisLine di Henry Schein One Italia.
5. Quali sono i vostri canali di vendita? Avete un canale privilegiato? Tutti i nostri canali sono concepiti per assicurarci di raggiungere e servire efficacemente i nostri clienti. Questi vanno dai nostri consulenti di vendita dedicati sul campo, al nostro team esperto di apparecchiature, ai nostri team di televendita e ai nostri team Fast Track, che sono a disposizione per fornire dimostrazioni gratuite online. I clienti possono fare affidamento su di noi e ricevere la consulenza competente di cui hanno bisogno attraverso il canale che meglio si adatta alle esigenze specifiche dello studio o del laboratorio.
Abbiamo recentemente intrapreso un progetto di trasformazione del campo di vendita volto a snellire i flussi di lavoro e ottimizzare il servizio che forniamo ai professionisti del settore dentale. Con questa trasformazione, il nostro obiettivo è raggiungere una maggiore agilità nel rispondere ai cambiamenti del mercato e alle esigenze in evoluzione dei nostri clienti, garantendo un servizio clienti eccellente.
Professore Associato di OrtognatodonziaDental School, Università di Torino. Titolare dell’insegnamento di Ortognatodonzia I e II e di Fisiopatologia della masticazione al CLOPD, alla Scuola di Specializzazione in Ortognatodonzia, alla Scuola di Dottorato, ai Masters di II livello. Responsabile delle terapie precoci funzionalizzanti e ortopediche e della ricerca clinica sulla masticazione, sulla postura del soma e sull’attività cognitiva nei pazienti portatori di malocclusione. Past president del Gruppo di ricerca internazionale Nutrition Research Group dell’International Association for Dental Oral and Craniofacial Research (IADR). Referee, autore e coautore di numerose pubblicazioni scientifiche, comunicazioni, posters e inviti a congressi nazionali e internazionali. Autore del libro “Masticatory Function in Unilateral Crossbites.” edito da John Wiley USA 2016 e da EdiErmes Milano Italia 2018.
Facendo seguito alla prima puntata di questa rubrica nella quale abbiamo evidenziato la capacità della masticazione di promuovere la neoformazione di nuovi neuroni e di potenziare la memoria e l’attività cognitiva a qualsiasi età, questa puntata è dedicata al ruolo della masticazione come stimolo insostituibile alla crescita delle ossa mascellari, soprattutto del superiore.
Da tempo le ricerche scientifiche hanno dimostrato come la forza della masticazione, che si sviluppa con cibi consistenti tipo verdure crude, carote, finocchi, sedano, pane, mele, ecc. sia fondamentale per la crescita delle ossa mascellari che portano i denti sia superiori sia inferiori. Gli studi risalgono agli anni ’70 e l’autore principale nel campo è stata l’ortodontista di Gotheborg Birgit Thilander che ha avuto la possibilità di lavorare come clinico e come ricercatore di base con animali di laboratorio. Questo ha fatto sì che le sue ricerche sull’animale fossero mirate a chiarire quesiti clinici ai tempi senza risposta. Il lavoro più conosciuto è stato condotto su un gruppo di topi alimentati con dieta molle confrontato con un gruppo di topi alimentati con dieta consistente tipo crocchette. Allo scopo è stata valutata istologicamente la sutura palatina che ha risposto con un’attività cellulare significativamente elevata nei topi alimentati con dieta consistente rispetto alla ridotta attività cellulare con sutura quasi calcificata nei topi con dieta molle. Sappiamo che la sutura palatina risponde alle forze tensionali della masticazione apponendo osso ai suoi bordi e aumentando le dimensioni del palato che acquisisce, in questo modo fisiologico, durante la crescita, dimensioni adeguate ad accogliere i denti definitivi in modo congruo.
Le terapie che prevedono l’apertura traumatica della sutura palatina tolgono al bambino la possibilità di apposizione ossea in questa sede poiché il traumatismo distrugge la microvascolarizzazione della sutura in modo irreversibile. Vedremo in una prossima puntata della rubri-
ca come e cosa si può fare per stimolare in modo fisiologico l’apposizione ossea della sutura quando è necessario. Ma c’è un altro aspetto importante legato all’evoluzione, soprattutto nei paesi civilizzati, che è rappresentato dalla tendenza, in aumento costante, a scegliere e preferire cibi di consistenza molle. Questo è vero soprattutto per i bambini per i quali l’antica merenda con pane e olio o pane e marmellata è oggi sostituita dalle merendine molli di produzione industriale che piacciono tanto e sono molto comode. Oggi si riscontrano spesso denti storti dovuti anche al fatto che i bambini mangiano cibi sempre più molli; di conseguenza l’osso che li sostiene non viene sufficientemente stimolano dalle forze fisiologiche della masticazione, non cresce abbastanza e i denti, non trovando un sostegno osseo adeguato, si affollano.
Il consiglio da dare alle mamme è di introdurre gradualmente cibi consistenti già dallo svezzamento in modo che il bambino si abitui pian piano. Nei primi anni di vita si programmano la memoria motoria di tutti i movimenti più importanti tra cui la masticazione, che ha bisogno di allenamento.
Tanto più che, come descritto nella prima puntata di questa rubrica, oggi sappiamo che l’attivazione dei muscoli masticatori ha un’influenza diretta sulla produzione di neuroni e sull’aumento della memoria e dell’attività cognitiva del bambino.
È importante che i neuroni vengano prodotti fin dallo svezzamento e vengano continuamente mantenuti e conservati per salvaguardare la salute psicofisica lungo tutta la durata della vita.
A mio avviso Bite Splint Module è uno dei moduli più semplici ed efficienti di DentalCAD . Gli utenti possono produrre un bite digitalmente con minor sforzo rispetto alla produzione manuale. Il modulo contribuisce all’efficienza lavorativa e funziona in modo stabile, come tutti i prodotti exocad.
Con l’attuale versione di DentalCAD 3.2 Elefsina sono state aggiunte delle nuove funzionalità. A prescinde -
re dal tipo di bite da progettare, gli utenti hanno ora a disposizione dei tool aggiuntivi che consentono di lavorare meglio e in modo più produttivo e sono dotati di ulteriori opzioni:
Individuazione della linea di margine: la funzionalità migliore tra le nuove è secondo me l’individuazione della linea di margine. Sulla base della precedente segmentazione del dente, il software rileva ora auto -
maticamente la linea di margine del bite. Ciò significa che gli utenti non devono più tracciare la linea manualmente, ma hanno comunque la libertà di modificare la linea di margine generata automaticamente.
Simulazione dell’anatomia individuale del dente: un’altra nuova funzionalità è la possibilità di creare il bite sfruttando l’anatomia individuale dei denti del paziente, cosa che risulta particolarmente utile durante la progettazione di bite per il sollevamento del morso, dato che le forme anatomiche possono essere copiate direttamente sul bite. Per i pazienti, un bite con un’anatomia del dente personalizzata significa maggiore comfort grazie alla sensazione di naturalezza che si percepisce.
Progettazione simultanea nell’arcata superiore e inferiore: ora gli utenti DentalCAD possono creare bite nell’arcata superiore e in quella inferiore simultaneamente e questo vale sia per i bite semplici che per quelli più complessi con un’anatomia individuale del dente del paziente.
Segmentazione automatica del dente: questa nuova funzionalità cloud-based è ora disponibile per gli utenti che lavorano nel cloud exocad. I denti possono essere ora segmentati automaticamente sulla scansione fornendo le basi per le funzionalità precedentemente menzionate, vale a dire l’individuazione della linea di margine e la simulazione dell’anatomia naturale.
In sintesi: grazie a una maggiore automazione, le nuove funzionalità consentono dei flussi di lavoro più veloci, a prescindere dal fatto che gli utenti progettino bite semplici o siano specializzati nella produzione di bite complessi. Bite Splint Module è incluso nel pacchetto DentalCAD Ultimate Bundle o è disponibile come modulo aggiuntivo.
Il consiglio di Friedemann per gli utenti: “Parametri di individuazione della curva”:
Gli utenti possono ora scegliere tra diverse opzioni per la definizione di una curva del bite. Questo consente di definire individualmente la curva “giusta” in base ai requisiti del caso e dello specialista.
Dott. Roberto Rozza
Reparto di Odontoiatria per la disabilità, Clinica Odontoiatrica “Giorgio Vogel” - Milano
Past President SIOH
iADH (International Association for Disability and Oral Health) è un’organizzazione internazionale di professionisti che si occupano della salute orale dei pazienti con esigenze speciali. Ne fanno parte odontoiatri, igienisti, logopedisti, assistenti alla poltrona e infermieri con una particolare formazione nel trattamento di persone con disabilità.
La società mira a sostenere e promuovere un accesso equo all'assistenza sanitaria orale di alta qualità in tutto il mondo. Coloro che aderiscono alla missione di iADH entrano a far parte di un network internazionale di esperti che si confrontano sulle diverse realtà sociali e culturali con l’obiettivo di migliorare la salute orale e la qualità della vita delle persone con bisogni speciali.
La SIOH fa parte da anni del gruppo di società scientifiche che sostengono questo importante progetto, fungendo da tramite per la divulgazione scientifica di iADH. Iscriversi a SIOH, infatti, permette di ricevere un numero identificativo per l’accesso ai contenuti del portale di iADH. Qui è possibile aderire a progetti di ricerca, accedere ad articoli scientifici e utilizzare programmi di insegnamento universitario in Special Care Dentistry. iADH ha infatti prodotto programmi di studio rivolti a educatori e studenti, per guidare la formazione sia a livello universitario che post-laurea. Tali programmi sono disponibili per il download sul sito di iADH.
iADH organizza, con cadenza biennale, un Congresso che rappresenta un momento di confronto tra ricercatori e medici. In questa occasione vengono illustrati i lavori svolti dai vari gruppi di studio durante l’anno e si pianificano i nuovi progetti. Quest’anno il Congresso si terrà in Corea del Sud, a Seul, dal 26 al 29 settembre 2024, con il titolo “Bridging the
Gap in Dental Care: Now and Beyond”. Questa conferenza riunirà professionisti provenienti da tutto il mondo per condividere le loro esperienze e competenze in materia di disabilità e salute orale e fornirà un'eccellente opportunità per i partecipanti di ampliare le proprie conoscenze, fare rete con altri professionisti e impegnarsi in discussioni che daranno forma al futuro dell’associazione.
Il nostro Paese è stato invitato a tenere una relazione su un Progetto multidisciplinare per il trattamento dei soggetti fragili in ospedale, rivolto in particolare ai pazienti con disabilità gravi e gravissime. La relazione, dal titolo “D.A.M.A. (Disabled Advance Medical Assistance) Project for Disabled Dental Patients Throughout Italy”, sarà tenuta dal Dott. Rozza, consigliere SIOH e Advisor per il Sud Europa di iADH.
Il Progetto D.A.M.A., presentato recentemente all’ONU e alla Camera dei Deputati, nasce a Milano presso l’ospedale San Paolo nel 2000, accogliendo le istanze di famiglie di Persone con disabilità che avvertivano nel quotidiano la difficoltà della struttura ospedaliera a garantire loro un’assistenza sanitaria pari a quella delle altre persone. Per questa ragione, è stata ideata una corsia preferenziale all’interno della struttura ospedaliera dove l’accesso è garantito tramite numero verde dedicato; le richieste vengono prese in carico dall’equipe che si coordina con gli specialisti ospedalieri, strutturando e programmando le prestazioni necessarie a soddisfare i bisogni espressi dai familiari. Oggi il modello D.A.M.A è una vera e propria rete denominata ASMED (Associazione per lo Studio e l’Assistenza Medica alla Persona con Disabilità) che in diverse regioni italiane punta a rendere più efficiente ed umana l’esperienza dei disabili e delle loro famiglie prima, durante e dopo visite, esami ed interventi chirurgici in ospedale.
Tra tutte le specialità ospedaliere, l’odontoiatria ha riscontrato enorme successo. Le ragioni sono diverse e legate principalmente alla ricerca di professionisti preparati nel trattamento di persone con disabilità, a strutture ospedaliere studiate per l’accoglienza, alla possibilità di trattare pazienti in sedazione o narcosi (solo se strettamente necessario) ed, infine, alla possibilità di ottenere un contenimento dei costi per le famiglie che, in ambito odontoiatrico, spesso rappresentano un carico molto oneroso.
La presenza di ormai numerosi ambulatori di Odontoiatria Speciale, sia in strutture universitarie che in ospedali pubblici, ha permesso di elaborare anche modelli didattico-assistenziali che rappresentano un'importante occasione di insegnamento e sensibilizzazione di operatori, caregiver e familiari verso percorsi corretti di trattamento e prevenzione delle più comuni patologie del cavo orale che, se non adeguatamente considerate, rappresentano un ulteriore disagio per chi già soffre.
La cultura della prevenzione e l’importanza del trattamento interdisciplinare del paziente speciale è un argomento che sta particolarmente a cuore a SIOH, che da anni si impegna nella diffusione di questi concetti.
L’attuale concezione personalistica della salute si pone ad un livello diverso, in un orizzonte più vasto, rispetto alla definizione della salute dell’Organizzazione Mondiale della Sanità contenuta nel preambolo del protocollo di Costituzione del 1946, che recita: la salute è “lo stato di completo benessere fisico,
psichico e sociale e non solo assenza di malattia o di infermità”. La nuova definizione, presentata nel 2011 dall’OMS, definisce la salute come “la capacità di adattamento e di autogestirsi di fronte alle sfide sociali, fisiche ed emotive”
Oggi, nella concezione personalistica, la salute è intesa come “equilibrio dinamico all’interno della persona tra soma, psiche e spirito, e all’esterno della persona tra soggetto e ambiente”. La prospettiva personalistica difende la tesi della dignità intrinseca di ogni persona umana in ogni istante della vita, dal concepimento alla morte naturale. La salute, quindi, non è acquisita una volta per sempre, ma è continuamente da conquistare, sviluppare e anche da ricostruire e questo è un concetto molto importante perché è possibile la ricerca della salute anche là dove non è più possibile il perfetto benessere come nella vita di una persona con disabilità. L’approccio interdisciplinare che si sviluppa nel confronto tra diverse figure professionali ha questo preciso obiettivo.
S.I.O.H. Società Italiana di Odontostomatologia per l’Handicap
www.sioh.it
Convegno Nazionale S.I.O.H. SALUTE ORALE E SALUTE SISTEMICA NEL PAZIENTE CON BISOGNI SPECIALI Indicazioni, nuovi protocolli, multidisciplinarietà
12 Ottobre 2024
Nel 2007 grazie alla collaborazione tra l'International Federation on Dental Hygiene (IFDH) e la Fondazione Sunstar, viene istituito il World Dental Hygienist Awards con l'obiettivo di riconoscere l’eccellenza espressa dagli igienisti dentali nel mondo.
A presenziare la cerimonia di premiazione con gremita platea internazionale, tenutasi nell'ambito dell'International Symposium on Dental Hygiene (ISDH, Seoul, Korea, 2024), la presidente della Fondazione Sunstar Hiroo Kaneda, Jill Rethman e Wanda Fedora, presidente e presidente eletta della IFDH.
I premi sono dedicati a igienisti dentali che hanno dato un contributo si -
gnificativo al campo dell'igiene dentale in un'ampia varietà di settori, come la ricerca, l'istruzione, la cura dei pazienti, la salute pubblica o il lavoro espresso nel pubblico in generale.
I vincitori di questa edizione nelle differenti categorie sono stati:
Public Health - Federica D’Anteo
Full-time Clinician - Lorella Mengarelli Academy - Gianna Maria Nardi
Entrepreneur - Juhwa Lee, Korea
New RDH - Brittany Glauz, U.S.A.
Research - Therese Elkerbout, Olanda
Tre igienisti dentali italiani premiati dalla IFDH per World Dental Hygie-
nist Awards: la Prof.ssa Gianna Maria Nardi, professore associato del Dipartimento di Scienze Odontostomatologiche e Maxillo Facciali diretto dal prof. Umberto Romeo, è stata premiata sia con il Premio Europeo che con il Global Award, di rilevanza internazionale, nella categoria Academy. I suoi studi costanti e la sua ricerca su protocolli innovativi hanno contribuito all’evoluzione della scienza dell'igiene orale, e stimolato i futuri igienisti dentali all’impegno formativo.
La Dott.ssa Federica D’Anteo è stata premiata nella categoria Public Health per il suo impegno nell'educare la comunità sull'importanza dell'igie -
ne dentale e diffondere conoscenza sull’igiene orale.
La Dott.ssa Lorella Mengarelli è stata premiata nella categoria di Full time Clinician, riconoscimento del suo impegno quotidiano nel fornire cure e gestire le terapie dei pazienti appartenenti alle categorie più fragili.
Prof.ssa Gianna Maria Nardi
Professore
Associato Sapienza Università di Roma
La terapia ortodontica richiede un approccio clinico interdisciplinare tra ortodontista, pedodontista, odontoiatra, parodontologo, protesista, implantologo e/o chirurgo maxillo facciale per i casi più complessi, ed un approccio clinico di prevenzione attento e personalizzato in base al tipo di terapia e dispositivo scelto per risolvere malformazioni, malocclusioni e/o disfunzioni conclamate o per risolvere quei disturbi o disordini della crescita in odontoiatria pediatrica.
Esiste un indice di necessità del trattamento ortodontico (IOTN) che va dal grado 1 che contempla lievissime malocclusioni con malposizioni dei denti inferiori a 1 mm, fino al grado 5 che contempla diverse situazioni contemporanee come l’eruzione ostacolata a causa di affollamento, dislocazione o presenza di denti soprannumerati e/o agenesie (mancanza congenita di elementi dentali) o problemi di funzione della lingua o della respirazione.
dentali con i differenti allineatori e far percepire le differenti simmetrie e movimenti durante la terapia ortodontica.
FlexiLigner, nella produzione dei suoi allineatori ortodontici, mette a disposizione il suo software FlexiSoft, una piattaforma online innovativa che integra avanzati strumenti ortodontici per il controllo e la pianificazione dei trattamenti. Include Ortho Check, Ortho Tuner e Photo Editor che offrono visualizzazioni, azioni 3D interattive, movimentazioni dentali precise, analisi dell'occlusione e gestione dei movimenti mandibolari; il tutto gestendo simmetrie facciali e dentali mediante le foto del viso e intraorali. Attraverso la funzione opzionale Cone Beam + Modello 3D, è possibile inoltre controllare dettagliatamente lo spessore osseo, prevenendo complicazioni come le recessioni gengivali e avere il controllo completo delle movimentazioni reali delle radici anatomiche. Inoltre, un'app mobile facilita la comunicazione con il laboratorio,
La progettazione computerizzata del trattamento ortodontico offre la possibilità al professionista di condividere con la persona assistita la visualizzazione dei percorsi terapeutici stimolando una migliore aderence alla gestione della terapia.
L’approccio motivazionale al rispetto delle indicazioni della terapia è fondamentale per il successo della stessa, e le terapie con allineatori ortodontici invisibili, sono preferite dalle persone assistite di tutte le età e con diverse complessità di trattamento, poiché rispettano la discrezione del trattamento e salvaguardano la vita di relazione. L’innovazione tecnologica permette, attraverso sofisticati strumenti di supporto, di condividere attraverso piattaforme on-line o con applicazioni mobili, di interagire con la persona assistita e visualizzare i movimenti
garantendo un'operatività continua e accesso rapido ai dati clinici. www.flexiligner.it e riservato ai medici www.flexiligner.it/medici/
L’apprendimento esperenziale attraverso le immagini stimola l’osservazione riflessiva e favorisce una predisposizione ad accettare la terapia e ad accogliere le indicazioni sul trattamento proposto dall’ortodontista favorendo maggiore aderence alle indicazioni sull’igiene domiciliare che verranno fornite successivamente dalla competenza dell’igienista dentale. Il trattamento ortodontico richiede comunque un livello di attenzione alto sul controllo dell’equilibrio dell’ecosistema microbiologico attraverso l’azione meccanica data da un efficace spazzolamento e dal controllo chimico del biofilm batterico. L’uso di collutori, dentifrici e gel deve prevedere la scelta di molecole che con-
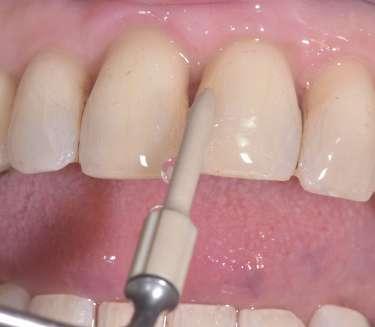
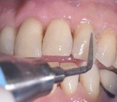
trollino l’attività batterica e che abbiano un potere remineralizzante per salvaguardare la salute dello smalto dentale. La scelta del kit domiciliare deve essere personalizzata in base alla situazione clinica presente ed in base alla scelta condivisa con la persona assistita, tenendo in considerazione sia la manualità che esso esprime durante le manovre di spazzolamento, che le caratteristiche tissutali e anatomiche del cavo orale, e soprattutto il tipo di terapia ortodontica in atto. (TBM) L’ozonoterapia domiciliare con olio di oliva ozonizzato ha il vantaggio di essere efficace sul controllo dell’attività batterica non creando gli inestetismi delle discromie.
Consegnare l’allineatore invisibile con un kit dedicato alla cura dell’igienizzazione della mascherina è un momento importante di sensibilizzazione a corretti stili di vita. La terapia ortodontica con allineatori invisibili deve prevedere una particolare attenzione alla gestione dell’igienizzazione dello stesso, che deve consentire in maniera agevole di mantenere la trasparenza dell’allineatore ed assicurare l’efficacia nel contra-
stare inquinamento da batteri e virus. L’igienizzazione degli allineatori invisibili e degli apparecchi ortodontici mobili con ergonomici spray all’olio di oliva ozonizzato Ialozon clean (Gemavip) permette di mantenere la trasparenza del dispositivo ortodontico invisibile ed un più facile utilizzo nella fascia d’età adolescenziale. Al termine della terapia è fondamentale dopo il debonding, eseguire un clean-up ortodontico attento. Il Clean Up è l'innovativo approccio clinico che, grazie all’ausilio degli ultrasuoni e dell’inserto piezoelettrico D05120 con diamantatura D30 e dell’inserto D07102 con parte operativa in PEEK D06007 (MECTRON) permette la rimozione minimamente invasiva dei residui di adesivi e/o compositi a seguito di terapia ortodontica standard o invisibile. Il nuovo protocollo ENAMEL SAFE POST DEBONDING (G. M. Nardi et al.) “SMALTO SICURO POST DEBONDING” con tecnologia piezoelettrica si è dimostrato efficace e sicuro per il clean-up ortodontico. (Enamel Analysis by 3D Scanning after Three Orthodontic Clean- Up Procedures: An In-Vitro Test of a New Piezoelectric Tool).
Dopo il clean up sarà opportuno remineralizzare le superfici dentali e programmare i follow-up delle sedute di profilassi professionale.
Il VII Congresso Nazionale ATASIO esaminerà i temi cruciali per la salute orale della donna nelle diverse fasi della vita, evidenziando le sfide e le migliori pratiche per la gestione clinica.
Verranno presentate le tecnologie che permettono approcci clinici mininvasivi ed efficaci per aggiornare i protocolli operativi dedicati all'universo femminile in tutte le fascie d'età.
Esamineremo i cambiamenti durante la gravidanza e le indicazioni cliniche per trattamenti sicuri ed efficaci, inclusa la gestione farmacologica. Forniremo linee guida per il supporto durante l'allattamento, considerando gli aspetti psicologici e nutrizionali.
Analizzeremo l'importanza della nutrizione nella prevenzione delle malattie orali e sistemiche, e i protocolli
per prevenire gengivite e carie in pubertà e adolescenza.
La malattia parodontale sarà un tema centrale, con un focus sulle differenze di genere nella sua incidenza e gestione clinica. Affronteremo i cambiamenti associati alla menopausa e le relative implicazioni per l’igiene orale.
In maniera interattiva verranno richieste opinioni ai partecipanti in modo da poterle pubblicare con l'obiettivo di creare condivisione degli approcci clinici e percepire la conoscenza sulle tecnologie dedicate alla prevenzione
Discuteremo infine l'uguaglianza di genere nel mondo del lavoro degli igienisti dentali e le tutele legali per le donne professioniste.
Per iscriverti al Congresso scansiona il QR Code
Roma, 7-8 febbraio 2025
Dipartimento di Scienze Odontostomatologiche e Maxillo Facciali Sapienza Università di Roma
–
L'evoluzione dell'ozonoterapia professionale si avvale del Trolley Komby Dental Ozone Active (GEMAVIP), un apparecchio professionale che utilizza un generatore medicale di ozono per trasformare l’ossigeno fornito da ossigenatore (93% purezza) in ozono, e quindi per ozonizzare l’acqua bidistillata posta in una ampolla di vetro pirex da 3 lt. La saturazione dell’acqua avviene dopo 15 minuti pari a circa 20ugr/ml disciolti. L’apparecchio elettronico è automatico, con tutte le funzioni operative poste su touch screen.
L’acqua ozonizzata prodotta da questo medical device potrà essere inserita nei contenitori degli ablatori in modo da eseguire un debridement parodontale potenziato dalle proprietà battericida dell’ozono durante il trattamento parodontale non chirugico.
L’uso dell’acqua ozonizzata dal Trolley Komby Dental Ozone Active permetterà durante i trattamenti odontoiatrici di avere tutti i vantaggi clinici descritti in letteratura dall’ozonoterapia e quindi contrastare l’infiammazione dei tessuti parodontali e implantari ed accelerare i processi di guarigione. Incoming ulteriori
evidenze scientifiche. L'ATASIO ha programmato una serie di eventi dedicati all'ozonoterapia domiciliare e professionale alla luce dell'evoluzione dei protocolli operativi con utilizzo di questa significativa tecnologia.
Per maggiori informazioni scrivi a: segreteria@atasio.it
Bibliografia
* F. Carinci (e altri) - Università degli Studi di Ferrara - Department of Morfology “Surgery and Experimental Medicine”
* D. Lauritano (e altri) Neurosciences and Biomedical Technologies, University of Milano Bicocca “Efficacy Ozone Therapy in reducing oral infection of periodontal disease: a randomized clinical trial”
* A.M. Genovesi (e altri) - Istituto Stomatologico Toscano - General Hospital - Lido di Camaiore (LU) “A short - term study of the effects of ozone irrigation in an orthodontic population with fixed appliances”
* A.M. Genovesi - Istituto Stomatologico Toscano
- General Hospital - Lido di Camaiore (LU) Protocollo Ottavi/Ozono
* A.M. Genovesi (e altri) – Istituto Stomatologico Toscano - General Hospital - Lido di Camaiore (LU) “Ozone Therapy for oral palatal ulcer in leukaemic patient”
* S. Sparabombe - S. Tricarico - Università Politecnica delle Marche - Facoltà di Medicina e Chirurgia. “Strumentazione meccanica con acqua ozonizzata - Studio pilota”
* Ozonoterapia in Odontoiatria. Protocolli di pratica clinica basati sulle evidenze. Gianna Maria Nardi (e altri) Prof. Associato presso Dip. di Scienze Odontostomatologiche e Maxillo Facciali Università di Roma “La Sapienza”
* La Salute della Bocca nell’era del Microbioma
A.M. Genovesi (e altri) - Istituto Stomatologico Toscano - General Hospital - Lido di Camaiore (LU)
Jorida Agolli
Volontaria IDEA - Italian Dental Assistant, Regione Lazio
Conciliare la vita lavorativa e privata è importante, anche se non semplice per raggiungere un equilibrio che possa permettere di dedicare il giusto tempo ed energie tanto alla famiglia, e a se stessi, quanto al lavoro.
Avere la capacità di conciliare vita lavorativa e privata è importante, e raggiungere un equilibrio aiuta a dedicare il tempo necessario a questi due aspetti della vita, senza che uno dei due prenda il sopravvento sull’altro. Scegliere tra lavoro o famiglia per molti può essere un vero dilemma e non è sempre facile, ma in realtà trovare un equilibrio può essere semplice. Un buon punto di partenza è iniziare a definire le priorità che aiutano a capire dove focalizzare l’attenzione: a casa, sulla famiglia; in ufficio, sul lavoro.
La conciliazione lavoro-famiglia è un punto importante nelle vite frenetiche anche di noi ASO, un tempo figura sminuita e ridotta all’ombra del medico odontoiatra, oggi, una figura che inizia a godere di tutta la valorizzazione che merita. Una professione, questa, che, per essere svolta, richiede non solo studi teorici e costante aggiornamento, ma anche molte competenze trasversali, doti umane e molta concentrazione, poiché i compiti da svolgere variano da: ● compiti amministrativi e organizzativi: oltre a tenere l’agenda degli appuntamenti, si occupa dell’archiviazione delle cartelle cliniche. Inoltre, quando necessario, l’ASO coordina i rapporti tra l’odontoiatra e altri pro-
fessionisti, come il tecnico di laboratorio, l’odontotecnico o l’igienista;
● gestione del magazzino e dei rifiuti: in questo senso, l’ASO si occupa di controllare le scorte di magazzino e di effettuare gli ordini di forniture odontoiatriche, oltre che dello smaltimento dei rifiuti;
● accoglienza e gestione dei pazienti: come anticipato, la prima persona che i pazienti incontrano, entrando in studio, è proprio l’ASO. Dare il benvenuto ai pazienti, farli accomodare in sala d’attesa e metterli a proprio agio è importante quanto assistere il medico;
● mansioni di preparazione e riordino: predispone la postazione di lavoro con tutti gli strumenti necessari al medico. Al termine di ogni intervento provvede a riordinare la postazione, smaltendo i materiali monouso e sterilizzando e/o disinfettando quelli riutilizzabili;
● assistenza tecnico-operativa: durante la fase operativa, l’ASO si occupa, da una parte, di supportare il medico, passando la strumentazione necessaria, e, dall’altra, di assistere il paziente, aspirando saliva e detriti, assicurandosi che stia bene, che faccia gli sciacqui e, se necessario, rassicurandolo.
Nello svolgimento del proprio lavoro, noi ASO ci atteniamo a protocolli ben precisi che vanno dalle norme di sicurezza, alle procedure di disinfezione e sterilizzazione di strumenti e macchinari, che dovremmo riconoscere, pulire e maneggiare in modo corretto.
Parola chiave ORGANIZZAZIONE
Il segreto per restare focalizzati sul lavoro quando si è immersi nelle attività quotidiane e non portarsi pensieri e tensioni quando si è a casa, dipende dai confini che siamo capaci di delineare, attribuendo priorità a certe attività piuttosto che ad altre. Gestione è la parola chiave, in modo da ridurre lo stress e migliorare il proprio umore, per non incorrere in errori o mancanze. Prima regola fondamentale: prendersi cura di sé, del proprio riposo, della propria salute, ma soprattutto del proprio equilibrio personale. Dedicare alcune ore settimanali al proprio Io, frequentando una palestra, cure di bellezza o passeggiate con le amiche, aiuta a far
crescere l’autostima e la motivazione, a riflettere e pensare in modo appropriato all’organizzazione tra casa e lavoro. Ricordo per esempio che il nostro lavoro ci porta problemi non poco significativi all’apparato circolatorio, per cui la camminata e massaggi drenanti e defaticanti sono fondamentali per risolvere e mantenere sotto controllo questo problema, problema che porterebbe a un malessere quotidiano sia al lavoro che a casa. Quindi, quale modo migliore per conciliare relax e lavoro? Personalmente non rinuncio mai, in quanto questo mi da la carica per affrontare in modo sereno la mia quotidianità. Quando tocca alle ASO mamme conciliare casa e lavoro, tutto sembra più difficile. Oltre ai propri impegni professionali bisogna seguire e programmare le attività dei figli piccoli e trovare del tempo per la gestione della casa. È qui che entra in scena la parola d’ordine fondamentale per la mamma che lavora: organizzazione, in modo da conciliare tutto, perché in fondo, noi ASO facciamo il doppio lavoro. Avere alleati è fondamentale (marito, genitori e figli grandi e colleghi), in modo da distribuire e condividere i compiti quotidiani, in modo da non portare tutto il peso della gestione. Basta pensare a quel momento critico, quando durante un intervento chirurgico importante, chiama la scuola per avvisare che tuo figlio/a sta poco bene. Immagino lo stress emotivo che viene a crearsi in quel momento. Scegliere la scuola accanto allo Studio potrebbe aiutare a gestire in modo veloce e senza dover
assentarsi per molto tempo dallo studio, evitando di mettere in difficoltà il resto del team.
Lo stesso vale nel luogo del lavoro. Distribuire e condividere i compiti nella gestione dello studio con i colleghi e confrontarsi quotidianamente su come migliorare tale gestione. Programmare la settimana di lavoro, attraverso una check list settimanale - dai materiali di consumo, lavori di protesi e interventi chirurgici - in modo da avere una visuale immediata e intervenire in tempi brevi a determinate mancanze per quella determinata terapia.
Incoraggiando marito, figli e colleghi per i loro sforzi nell'aiutare a vicenda l’un l’altro, ritagliandosi dei momenti in famiglia o un aperitivo con i colleghi, alzerà il livello di fiducia globale in se
stessi e nelle proprie capacità professionali.
Tante idee per una sola nostra IDEA
Amare il proprio lavoro significa anche avere una buona visione e una buona capacità progettuale al futuro, in quanto questo determina il successo personale che è direttamente proporzionale alla passione e alla determinazione. Ma non basta solo la passione e la determinazione se mancano le vele che il vento può spingere verso una meta precisa, meta importante da seguire per la direzione giusta e strategica, in modo da raggiungere con successo l’obiettivo prefissato. La strategia e il progetto saranno il timone della nostra navigazione, ciò che ci aiuterà a non perderci per strada e a non disperdere le energie su percorsi non nostri.
Per questo la nostra associazione ha attivato vari corsi di aggiornamento e supporta gli ASO, in modo da contribuire a valorizzare e tutelare la professionalità della figura dell’assistente di studio odontoiatrico, a qualsiasi titolo e livello. Offrendo non solo percorsi formativi rivolti all’aggiornamento professionale, in linea con quello spazio di tempo organizzativo e ritagliato tra lavoro e famiglia, ma anche opportunità di una pausa dallo stress organizzativo quotidiano, attraverso incontri serali di meditazione e il supporto di professionisti. Inoltre, grazie all’introduzione della nuova Accademia della Formazione e della Comunicazione, IDEA si prefigge l'obiettivo di affiancare e sostenere i colleghi di tutta Italia fornendo gli strumenti necessari per proporsi nel mondo del lavoro nella maniera più completa possibile.
Essere una Socia Attiva IDEA, mi ha portato a trovare il giusto punto di equilibrio tra crescita professionale e famiglia. Rendere partecipe la mia famiglia nelle mie scelte lavorative e nella mia voglia di crescere professionalmente, mi ha portato grandi soddisfazioni. Quindi smettiamo di pensare che conciliare lavoro e famiglia significhi incastrare slot di tempo come mattoncini Lego. Ricordiamoci che la vita privata e il lavoro fanno parte del nostro quotidiano e devono vivere in sinergia. Tutte le nostre risorse, passioni ed emozioni positive sono un valore aggiunto, influenzando anche chi ci sta intorno.
Maurizio Maggioni
Presidente AIOLA
Desidero ringraziare il Direttivo in carica per quanto ha fatto quest’anno, dalla realizzazione dei webinar del Lunedì da gennaio ad oggi e per la partecipazione agli appuntamenti istituzionali.
Lunedì 17 giugno abbiamo chiuso i nostri incontri con una serata tenuta da Simone Stori sull’intelligenza artificiale e le sue applicazioni in odontostomatologia, sia a livello medicale che gestionale. Oltre 90 persone ci hanno seguito, su 100 posti disponibili.
Chi non avesse avuto la possibilità di seguirci potrà rivedere la lezione molto interessante cliccando sul link di seguito: https://t.ly/iBngl
I nostri incontri ricominceranno ad ottobre il secondo lunedì del mese, perciò il 24 ottobre alle ore 21.00.
A settembre AIOLA e le Associazioni consorelle del mondo laser italiano hanno organizzato il primo simposio congiunto a Paestum nei giorni 27 e 28. “2024 La rigenerazione tessutale: laser, emocomponenti e biomateriali. Lo stato dell’arte e le prospettive future”
Tutti i soci potranno intervenire gratuitamente e solo se necessitano di ECM vi sarà la quota speciale riservata. Un’occasione imperdibile per chi ancora non è socio, iscrivendosi ora per l’anno 2025 si potrà usufruire di questa agevolazione: www.aiola.org
Nel programma i migliori nomi della Università di San Paolo del Brasile, che, come sapete, ha con AIOLA un rapporto di partenariato internazionale per la ricerca e la
divulgazione della laser terapia, inoltre i colleghi di SILO e ANTHEC, ma soprattutto i nostri relatori Aiola e moderatori.
Momento importante per iniziare un percorso tra le associazioni che possa permettere a tutti di fruire dei migliori servizi e
soprattutto di avere in anteprima ogni informazione utile alla professione.
La richiesta di partecipazione e il relativo abstract dovranno essere inviati all’email congressi@tueorservizi.it entro il 30 agosto.
I contenuti dei poster vincitori verranno pubblicati sul Dental Tribune di novembre 2024.
MORTELLARO, M. AMATO, G. FAVIA, D. PARROCCINI
11.00 - 11.30 Nuovi approcci biotecnologici come strumento rigenerativo nel distretto testa collo
11.30 - 12.00 Valutazione clinica e istologica della rigenerazione dell’alveolo post-estrattivo mediante uno scaffold ibrido di idrossiapatite / collagene rispetto a osso bovino demineralizzato
12.00 - 12.30 Diagnostica, terapia e rigenerazione tissutale: il punto di vista delle grandi macchine della fisica
12.30 - 13.00 Emocomponenti nella
Francesco Buoncristiani, Arianna Mosca, Barbara Giovannini, Nicole Cappuccini, Rosamarina Maggioni
Soci AIOLA
Negli ultimi decenni, ma soprattutto ai giorni nostri, la comunità scientifica si è interessata sempre più alla qualità dell’aria negli spazi interni e ai suoi effetti sulla salute umana (1); anche gli studi dentistici sono stati oggetto di questa ricerca a causa degli inquinanti atmosferici microbici e chimici presenti nell’aria (2).
L’inquinamento atmosferico microbico è correlato ad agenti infettivi biologici (3,4) che possono essere trasmessi al personale sanitario e ai pazienti tramite lo sviluppo di aerosol.
Durante le varie procedure odontoiatriche si generano e vengono poi emessi nell’aria alcuni contaminanti in fase gassosa rappresentati dai composti organici volatili; si tratta di sostanze chimiche organiche che hanno un’elevata capacità di vaporizzazione a temperatura ambiente, grazie al loro basso punto di ebollizione.
Tutto ciò fa sì che un alto numero di molecole evaporino o sublimino dalla forma liquida o solida del composto e si diffonda nell’ambiente circostante.
Tali composti organici volatili (COV) includono comunemente metanolo, formaldeide, metil-acrilato, metil-metacrilato e isobutilmetacilato (5,6).
Le ripercussioni sulla salute associate alle alte concentrazioni di COV includono principalmente effetti irritanti dovuti all’infezione delle mucose, ma anche effetti sistemici come affaticamento e difficoltà di concentrazione. L’esposizione prolungata può causa -
re allergie, danni al fegato o ai reni, asma e vari effetti tossici (5).
I principali componenti del particolato di materia (PM) sono rappresentati da solfato, nitrati, ammoniaca, cloruro di sodio, polvere minerale e acqua. In altri termini è rappresentato da una miscela complessa di particelle solide e liquide, di sostanze organiche e inorganiche, sospese nell’aria. Queste particelle sono state associate a vari effetti sulla salute umana ma principalmente a disturbi respiratori. La penetrazione nel tratto respiratorio e la capacità del sistema respiratorio di rimuovere tali agenti dipendono dalle dimensioni delle particelle e dalla composizione chimica.
Il PM grande (2,5-10 μm), fine (0,12,5 μm) e ultrafine (<0,1 μm) tende a depositarsi in aree diverse del sistema respiratorio.
Più piccole sono le particelle, più in profondità penetrano nei polmoni; le particelle più grandi tendono a rimanere intrappolate nel naso, nella bocca o nella gola.
Per questa ragione le PM10 sono indicate come particolato inalabile e sono considerate un indicatore della qualità dell’aria degli ambienti interni.
Le PM2.5 sono indicate come respirabili e possono, pertanto, penetrare nel sacco alveolare.
L’esposizione cronica alle particelle contribuisce al rischio di sviluppare malattie cardiovascolari e respiratorie, nonché neoplasie polmonari.
La maggior parte degli aerosol dentali ha un diametro massimo di 5 μm,
quindi l’esposizione a lungo termine è potenzialmente pericolosa non soltanto per i pazienti ma, principalmente, per il personale odontoiatrico (2).
Oltre alla turbina ad aria ad alta velocità, che per decenni è stata una causa nota di contaminazione dell’aria, la moderna odontoiatria utilizza un’altra tecnologia che potrebbe anche aumentare il deterioramento della qualità dell’aria dello studio dentistico: i dispositivi laser, compresi quelli a Erbio.
Il principale vantaggio dei laser Erbium è che possono rimuovere i materiali compositi dei restauri con uno stress termico minimo sulla polpa dentale; la lunghezza d’onda specifica (2940 nm), a causa della sua grande affinità con l’acqua e con l’idrossiapatite, determina la vaporizzazione esplosiva dell’acqua interna determinando l’aumento della porosità della superficie dentale. Si pensa che tale meccanismo di ablazione crei un particolato aero-disperso; d’altronde, qualsiasi dentista che abbia utilizzato il laser Er:YAG avrà sicuramente percepito l’odore particolare che si diffonde nell’ambiente circostante.
Attualmente, i dispositivi laser vengono adottati più frequentemente in Odontoiatria per una vasta gamma di applicazioni cliniche: dall’endodonzia, alla parodontologia, all’ortodonzia, solo per citarne alcune.
Anche i materiali estremamente duri come la ceramica di zirconio possono, oggi, essere modificati da laser ultraveloci di nuova generazione. Diversi studi hanno dimostrato che i batteri presenti nell’aria vengono diffusi nell’ambiente circostante dall’aerosol (5) e la carica batterica aumenta durante la preparazione della cavità. Questi risultati hanno attirato l’attenzione sulla possibilità di sviluppare infezioni crociate di malattie trasmesse quando si utilizzano manipoli ad alta velocità; esistono correlazioni tra PM2,5 (<2,5μm) e la presenza di bronchiti e sintomatologia asmatica (14,15).
Secondo la Direttiva 2008/50/CE non esiste un valore limite identificabile al di sotto del quale il PM2,5 non rappresenti un rischio, ed è per questo che tali particelle non dovrebbero
essere regolate allo stesso modo degli altri inquinanti atmosferici. L’ OMS fornisce come valori di concentrazione limite per l’esposizione giornaliera 25μg/m3 per PM2,5 e 50μg/m3 per PM10.
I composti organici volatili hanno anche una forte influenza sulla salute ed il valore di sicurezza più comunemente accettato è considerato quello di 300 μg/m3 sebbene il suggerimento generale sia di ridurre l’esposizione dell’uomo il meno possibile. In questo contesto la riduzione delle concentrazioni di PM e composti organici volatili dovrebbe essere una priorità per i professionisti del settore dentale al fine di garantire una qualità dell’aria interna non pericolosa.
Il laser Er:YAG ha teoricamente un coefficiente di assorbimento dell’acqua che è dieci volte superiore all’irradiazione di CO 2 e 15-20mila volte superiore ai laser Nd:YAG.
Pertanto, l’irradiazione con laser Er:YAG sui tessuti dentali duri produce un pennacchio laser (i sottoprodotti di procedure quali la vaporizzazione, la coagulazione e ablazione includono vapori, fumo e detriti di particolato, che sono collettivamente chiamati pennacchio).
Questo è dovuto alla disidratazione del tessuto, alla cavitazione del contenuto di acqua irradiata e al successivo riscaldamento della materia solida residua a temperature sufficienti per la combustione.
Successivamente, l’ossigeno presente nell’aria ambiente, si combinerà con gli elementi tissutali per formare una varietà di sottoprodotti, molti dei quali non sono sicuri.
Quindi l’ablazione del tessuto infetto può creare suscettibilità alle infezioni crociate a causa della possibile presenza di agenti infettivi nel pennacchio laser.
Nel 1987 Frietag e altri hanno realizzato uno studio in vivo che ha evidenziato il pericolo alla base dell’inalazione del fumo del laser Nd:YAG; alla luce dei loro risultati, abbiamo concluso che la funzione muco-ciliare del polmone era significativamente depressa e che questa depressione era dose-dipendente.
Nel 1991 un rapporto ha confermato la trasmissione del DNA del papil -
lomavirus umano attraverso il fumo del laser Nd:YAG.
Anche McKinley e Ludow hanno riferito che il fumo prodotto dopo l’irradiazione con laser Argon dei canali radicolari dei denti estratti inoculati con E.Coli era positivo per la crescita del batterio utilizzato.
Sebbene ci siano documenti che descrivono il cambiamento nella qualità dell’aria all’interno delle procedure odontoiatriche quotidiane, alcuni studi dimostrano che la superficie della stanza in cui si lavora è fondamentale per la sicurezza. Ambienti piccoli e l’assenza di venti -
lazione fanno sì che le concentrazioni di particelle siano mantenute a livelli molto elevati per un lungo periodo di tempo.
L’aspetto più preoccupante di questi risultati, rispetto ai potenziali rischi per la salute, è dato dal fatto che la combustione di materia organica ha causato un’altissima concentrazione di particelle fini.
Possiamo concludere che nessuna delle concentrazioni di particelle misurate ha superato i valori limite raccomandati all’interno mentre le finestre erano aperte, sebbene l’influenza del laser fosse ancora rilevabile.
Pertanto, il contributo della ventilazione fisica nel mantenere la concentrazione di PM a livelli più bassi è molto importante indipendentemente dalle procedure odontoiatriche che vengono effettuate.
Una porzione significativa delle particelle presenti nel pennacchio laser si trova nell’intervallo di dimensioni di 0,5-5,0 micron.
Queste particelle sono troppo piccole per essere efficacemente filtrate dalle maschere chirurgiche attualmente disponibili; sono necessari studi che valutino la potenza degli aspiratori dentali nell’eliminazione dei pennacchi di fumo.
È stato dimostrato inoltre che l’isolamento della diga di gomma nella pratica clinica contribuisce a ridurre la contaminazione nell’aria, ma la sua influenza sui composti organici volatili e sui PM totali, insieme all’aspirazione ad alta potenza, resta da valutare.
Recentemente, a causa della rapida diffusione del Covid-19, sono consigliati sistemi di purificazione che filtrano l’aria degli studi dentistici perché possono ridurre la contaminazione da aerosol durante la preparazione della cavità.
La maggior parte di essi include filtri HEPA ad alta efficienza di assorbimento delle particelle; tali dispositivi sono fondamentali per le procedure di purificazione dell’aria e riducono il PM2,5 indoor. Pertanto, l’inquinamento chimico dell’aria negli studi dentistici è do -
SprintRay OnX è una resina nanoceramica ibrida di classe II per la stampa 3D per la produzione di protesi . SprintRay OnX presenta una combinazione ottimale di traslucenza e opacità per riprodurre la dentatura naturale. Il contenuto di ceramica garantisce ai vostri pazienti qualcosa per cui sorridere.
vuto all’emissione di gas e particolato di materia (PM) generate sia dalle apparecchiature odontoiatriche sia dai tessuti dentali.
La ventilazione fisica nell’ambiente rappresenta un fattore chiave nel miglioramento della qualità dell’aria poiché sia le concentrazioni di PM sia quelle dei composti organici volatili (COV) diminuiscono in modo significativo.
Bibliografia:
1. Helmis, C.G.; Tzoutzas, J; Flocas, H.A.; Halios, C.H.; Stathopoulou, O.I.; Assimakopoulos, V.D.; Panis, V.; Apostolatu, M.; Sgouros, G.; Adam, E. Indoor air quality in a dentistry clinic. Sci. Total Environ. 2007, 377, 349-365
2. Ehtezazi, T.; Evans, D.G.; Jenkinson, I.D..; Evans, P.A.; Vadgama, V.I.; Vadgama, J.; Jarad, F.; Grey, N.; Chilcott, R.P.; SARS-CoV-2: Characterisation and mitigation of risks associated with aerosol generating procedures in dental practices. Br. Dent. J.2021,7, 1-7.
3. Miller, R.L.; Micik, R.E. Air pollution and its control in the dental office. Dent. Clin. N. Am. 1978, 22, 453–476.
4. Harrel, S.; Molinari, J. Aerosols and splatter in dentistry: A brief review of the literature and infection control implications. J. Am. Dent. Assoc. 2004, 135, 429–437.
5. Godwin, C.C.; Batterman, S.A.; Sahni, S.P.; Peng, C.-Y. Indoor environment quality in dental clinics: Potential concerns from particulate matter. Am. J. Dent. 2003, 16, 260–266.
6. Barrett, W.L.; Garber, S.M. Surgical smoke: A review of the literature. Is this just a lot of hot air? Surg. Endosc. 2003, 17, 979–987
Sdt Alberto Battistelli
Perché nelle sfilate di moda non sorridono mai?
Questa è la prima domanda che mi viene spontanea osservando un défilé.
Me ne sorge subito un’altra ancor più evidente: come mai nonostante la ricchezza molti VIP hanno sorrisi così brutti e innaturali causati dalle protesi dentarie?
Alla prima domanda non è così semplice dare una risposta dall’esterno, ci si chiede se sorridendo, ovvero scoprendo i denti si perderebbe - in alcuni casi - un po' di fascino? Se così fosse imitare “La Gioconda” risolverebbe il problema per tutti, rimanendo prudentemente a bocca chiusa. Nella seconda invece, le cose stanno certamente in modo diverso. Partiamo da un esperimento con dati tanto assurdi quanto inoppugnabili, perché messi su carta dagli stessi diretti interessati negli ultimi 25 anni. Dentisti e odontotecnici di ogni specie e provenienza, sottoposti da noi a test di riconoscimento dentale (premolare superiore estratto), hanno fornito questo dato: 94% ha sbagliato confondendo quarto con quinto, destro con sinistro, ma anche superiore con inferiore fino a premolare con molare.
Anche sui social si vedono “maestri” con abilità manuali eccelse che però difettano di conoscenza delle regole matematico – geometriche, con cui la natura progetta in modo ripetitivo alcuni aspetti estetici e funzionali dei denti umani normali. Spesso capitaanche in questi casi - di vedere gravi errori dove le caratteristiche del dente di destra stanno a sinistra e viceversa.
Tanto è, questo è! Il campione è più che attendibile perché il test è stato ripetuto nei congressi, nelle università, nei corsi in Italia e all’estero indifferentemente, dal 2000 ad oggi. Forse una persona che vive nel mondo del lusso pensa che questo non possa accadere al suo dentista personale, perché sfoggia uno studio nel cuore della “city”, ostenta “il bello” e via dicendo. Purtroppo non è così, la location
o la gentilezza non c’entrano nulla con certe competenze, anche essere molto esperti di protesi non significa affatto essere esperti denti. Anzi oso dire che di denti sulle protesi se ne vedono pochi! Capsule si, denti no! Da 40 anni esatti insegno e faccio corsi sulla materia e conosco perfettamente le ragioni per cui si è giunti a questo. Riflettere sulla realtà cruda, mi ha portato a studiare per 30 anni i denti, usando il calibro come un sarto usa il centimetro - ragionando come lui per taglie anche nei denti - fino a pubblicare un lavoro in 13 lingue (Libro AFG Modelling –Team work media editore) e ottenere nel 2019 un riconoscimento ufficiale dell’Ufficio di Presidenza del Senato della Repubblica, per aver reso AFG una “ECCELLENZA ITALIANA NEL MONDO”, con cerimonia dedicata presso la sala ISMA del Senato stesso in piazza Capranica a Roma.
L’obiettivo era e rimane quello di sopperire alle gravi carenze della formazione sull’anatomia dei denti, provenienti da scuole d’oltre oceano e d’oltralpe. Il cuore delle scuole occidentali sulla forma - in ogni sua espressione - è di origine mediterranea.
L’anima artistica del mediterraneo ispira da sempre i nostri stilisti e questo vale e deve valere anche per le scuole di estetica dentale. Ma non bisogna confondere l’estro con una libertà espressiva priva di progettazione.
Forme dentali innaturali, sintetiche, finte e non funzionali, sono state messe - e ancora lo sono - su libri di scuola o universitari, peggio ancora su riviste scientifiche e insegnate a studenti ignari. Fino all’uscita del libro AFG di cui sopra, non esisteva un testo di anatomia umana dentale normale, paragonabile a quelli di medicina generale, con tanto di misurazioni medie.
Ovvio che qui stiamo parlando del mondo delle protesi dentali e non di quello ortodontico, dove i numeri sono sempre esistiti, ma fuori dai denti e non dentro.
Soprattutto non esisteva nulla che definisse i denti in forma astratta, oggettiva, matematico-geometrica e che consentisse a chiunque - paziente compreso - di capire quando una forma è giusta e quando è sbagliata in termini di progetto.
I numeri studiati e estrapolati dalla natura da AFG, sono talmente chiari e semplici che li può capire anche una persona che ha fatto appena la terza elementare, se guidato per esempio con modellini grandi o con le immagini 3D di uno scanner orale.
Appare ora più evidente che il VIP che esce da un lussuoso studio con
quel sorriso inguardabile, non ha né lui né i suoi interlocutori medici o tecnici, conoscenza alcuna di cosa è oggettivamente e naturalmente bello e funzionale.
Quando ci si muove guidati dai gusti e non dai codici naturali, vince sempre chi ha più “potere”, ma poi a perderci sarà per primo chi ha pagato tanto denaro per un brutto risultato, poi di seguito anche dentista e odontotecnico.
Avere uno studio dentistico nella “Down Town” significa avere una location lussuosa, ma se non si hanno conoscenze oggettivabili e trasferibili questo “lusso” non finisce nel cavo orale del paziente, anzi c’è il rischio che sia il paziente stesso a dominare la scena e rovinarsi con le sue stesse mani.
A mio avviso il paziente va preparato e formato astraendo la forma dei denti in semplici simboli e codici, dove ci si incontra in piccoli numeri e stilizzazioni geometriche, che tutti possono capire (AFG). Non bastano le solite foto o le riviste. Le astrazioni
numeriche non mettono insieme solo i denti tra loro o con il viso del paziente, ma aiutano ad armonizzare il sorriso con il corpo e la personalità fino al modo di vestire. Ecco che allora la Moda e l’Alta Sartoria incontrano la “Sartoria Dentale AFG” e il nuovo sorriso sarà davvero “SU MISURA” a 360°.
Qui dentista e odontotecnico con la O maiuscola possono relazionarsi con le altre professioni legate all’estetica e come proposto precedentemente su questa stessa rivista, accedere alle collaborazioni innovative anche con Personal Stylist e consulenti di immagine.
Il lusso è in questi concetti oggettivi e in queste collaborazioni, non certo nella location o altri orpelli.
Un lavoro per il mondo del lusso non può neanche prevedere un approccio standardizzato e industrializzato nella sua finalizzazione, questo non sarebbe corretto.
Un lavoro di valore deve avere il tocco di “mani sapienti”.
DentalCAD® offre strumenti innovativi per migliorare comunicazione e aumentare il coinvolgimento del paziente, come il modulo Smile Creator I pazienti amano le previsualizzazioni. I laboratori amano la predicibilità. Imagine the CADabilities!
exocad.com/dentalcad
Percorso FULL IMMERSION:
Management, strategia di successo, leadership motivazionale, controllo di gestione.
Durata: 8 giornate da novembre 2024 a febbraio 2025.
Il Corso di eccellenza che prevede la frequenza al programma completo.
Verranno trattati tutti i temi specifici di approfondimento con i più esperti professionisti operativi del settore professionale della consulenza strategica.
I docenti selezionati nel Post Graduate adottano esperienza e didattica finalizzata al raggiungimento degli obiettivi formativi.
Rettore dell’Università Vita Salute del San Raffaele
Prof. Enrico Gherlone:
“Le trasformazioni organizzative e culturali che oggi coinvolgono il mercato del settore odontoiatrico richiedono capacità di analisi, di adattamento e di gestione delle criticità a diversi livelli come quelli gestionali amministrativi, economici e relazionali.”
Percorso STRATEGY CONTROLLING: iscrizione limitata alle ultime 2 giornate, sviluppo informatico clinico.
Durata: 2 giornate a febbraio 2025
Questo secondo percorso limita la partecipazione alle sole ultime 2 giornate.
Due giorni (venerdì e sabato) dedicati integralmente alla formazione pratica ed esclusivamente centrata all’operatività e al controllo di gestione economico, con:
• esempi di Case History
• soluzioni applicate
• strategie di successo professionale.
Coordinamento didattico-scientifico Prof. Antonio Pelliccia:
“Un corso di ampio respiro imprenditoriale, manageriale ed organizzativo, strutturato con modalità didattiche sempre innovative e centrato sulle esigenze concrete di coloro che quotidianamente si trovano ad affrontare la gestione e lo sviluppo dell’attività odontoiatrica.”
Per maggiori informazioni: www.arianto.it/post-graduate-2024/
ROMA
Studio D'Ambrosio Via A. Torlonia, 13 | 00161 Roma T. 06 4420 2722 | 06 4420 2728 info@radiologiadambrosio.it
www.radiologiadambrosio.it
CERVETERI (ROMA)
Radiologia D'Ambrosio Caere Via Settevene Palo, 183 - Cerveteri T. 06 9940653 caere@radiologiadambrosio.it
Dott.ssa Paola Pederzoli - Dott.ssa Gessica Batani
Oggi la tecnologia moderna attraverso la ricerca scientifica applicata viene in aiuto alla medicina con soluzioni capaci di migliorare la terapia e la modalità di trattamento, monitorandone lo stato di salute e accelerando la diagnosi di patologie complesse -Tutto questo si può fare in modo personalizzato, preciso, acquisendo in tal modo la fiducia del paziente e dei familiari nella complessità della terapia.
A monte di tutto ciò è necessaria una formazione medico scientifica ineccepibile per la tutela della salute, che si prenda cura del paziente senza distinzioni di età, sesso e origini.
LA MEDICINA RIGENERATIVA AUTOLOGA riduce i costi, accelera il processo di guarigione, riduce i rischi e conferisce, nel rispetto delle procedure, maggior tutela e minor rischi per il paziente.
Parliamo di MEDICINA RIGENERATIVA AUTOLOGA in senso lato aprendoci nuovi orizzonti, esplorando ed approfondendo un sistema complesso che sta alla base della tutela della salute, per approdare ad un nuovo concetto di BENESSERE. UN CIRCUITO che può essere migliorato grazie alla ricerca sicura e responsabile: SANITÀ e SALUTE devono coincidere.
Il diritto alle cure e cioè allo stato di salute ha un valore inestimabile per ciascun cittadino; la facoltà dell’essere in salute vale più dell’avere in quanto è un diritto fondamentale.
Lo stato di benessere è sancito dal Consiglio Superiore della Sanità e da tutte le costituzioni.
Non si tratta di un concetto astratto ma di un benessere reale effettivo rapportato alle condizioni di età di vita di ciascuno di noi, non solo dal punto di vista anagrafico ma anche fisico, emotivo, spirituale.
Art Hotel Museo, Prato
La SALUTE è un bene individuale e nel contempo relazionale. L’essere umano va preso in cura nella sua vulnerabilità che fa parte del nostro vivere.
La presa in cura è un fatto reciproco in cui tutti siamo coinvolti. CURARE PER PREVENIRE, CURARE PER SANARE, CURARE PER RIABILITARE. A monte di tutto abbiamo la ricerca scientifica che garantisce il progresso della MEDICINA.
Una ricerca che pone al centro l'individuo e con l’obbiettivo di migliorare in modo innovativo e sicuro l’efficacia e la sicurezza delle cure. La ricerca, l’insegnamento, favoriscono l'acquisizione delle competenze e lo sviluppo di una visione globale delle persone perché il pensiero che muove le cure stesse comporta la presa in carico dell'ambiente e delle biodiversità garantendone lo stato di benessere. Il progresso favorito dai successi della ricerca scientifica e dell’innovazione tecnologica in ambito BIOMEDICO ha portato a traguardi considerevoli, sia in termini di qualità di vita che di tempi di guarigione. In tale contesto i sistemi organizzativi sanitari si sono evoluti, DA qui le sollecitazioni provenienti dalla MEDICAL HUMANITAS che evidenziano il bisogno di coniugare le medical devices thecnologies con le conoscenze medico scientifico, dal cui connubio emerge l’esigenza di una riumanizzazione della medicina per ritrovare il carattere etico che le è proprio. Si tratta di una medicina che coniuga umanità e sostenibilità accrescendone l'efficacia. Dobbiamo mettere a punto una Medicina che ci permetta di operare nel migliore dei modi eliminando eventuali competizioni nell'interesse del paziente.
Prof. Grassi e Dott. Scarano Catanzaro
La chirurgia guidata totalmente digitale: dall’impronta facciale alla protesi a carico immediato
PROF. FELICE ROBERTO GRASSI
Professore Ordinario SSD MED/28(Malattie Odontostomatologiche) presso la Scuola di Medicina e dell'Università degli Studi di Bari "Aldo Moro”,dal 2000 al 2023,attualmente in quiescenza.Direttore del Dipartimento di Odontostomatologia e Chirurgia dell'Università degli Studi di Bari per trienni dal 2004-2007 e 2008-2011 (incarico ricoperto sino a novembre 2008).Direttore del Dipartimento di Metologia clinica e tecnologie medico chirurgiche chirurgica 2011 -2012. Responsabile italiano del progetto di ricerca (Ultra fast laser surfacing of teeth for resistance to erosion. Grant agreement for: industry-academia partnerships and pathways) LUSTRE. IAPP project (EU Project No. 324538) Co-Autore delle "Linee guida nazionali per la promozione della salute orale e la prevenzione delle patologie orali in età adulta" per il Ministero della Salute.Revisore esterno designato dall’Agenzia Nazionale (ANVUR) nell ambito della Valutazione della Qualità della Ricerca Nazionale 2015-2019 per il Settore Disciplinare MED-28 e MED 50. Componente della Commissione per l’abilitazioneScientifica Nazionale(ASN) 2021-2022.Sett.Concorsuale:06/F1 Malattie odontostomatologiche. Presidente Corso di Laurea in Odontoiatria e Protesi Dentaria nel triennio accademico 2008-2011 c/o Facolta di medicina e chirurgia dell, Universita degli
mascherina chirurgica per un suo paziente. Il software sarà dato in omaggio ad ogni partecipante.
OBIETTIVI
L'obiettivo del corso di implantologia computer guidata è quello di indicare un protocollo che partendo dalla diagnosi si prefigge un percorso in moduli, volti alla programmazione, passando dalla progettazione sino alla realizzazione del manufatto protesico.
Materiali, metodi e strumentario chirurgico
Acquisizione di materiali digitali
Studio del caso con file digitali
Importare e valutare immagini acquisite con tac o dental scan
Pianificare il trattamento implantare guidato con software di progettazione
PROF. FELICE ROBERTO GRASSI
Preparazione sito implantare con mascherine per chirurgia guidata • Presa dell’ impronta analogica o digitale e finalizzazione protesica
Professore Ordinario SSD MED/28(Malattie Odontostomatologiche) presso la Scuola di Medicina e dell'Università degli Studi di Bari "Aldo Moro”,dal 2000 al 2023,attualmente in quiescenza.Direttore del Dipartimento
Il carico immediato: elemento singolo, all-on-4 e all-on-6, la chirurgia guidata: dalla pianificazione chirurgica al carico immediato
attivo della Società Italiana di chirurgia orale (SIDCO). Socio onorario dell'Associazione Igienisti Dentali Italiani (AIDI). Socio fondatore dell'Accademia "Il Chirone”.
Riparte l’attività estiva del Piano Caldo finalizzato a prevenire gli effetti negativi del caldo sulla salute, soprattutto nelle persone più fragili.
Il programma di attività prevede:
• l’elaborazione giornaliera di un bollettino sulle ondate di calore città specifico
• l’invio al Centro di riferimento locale (CL) competente per gli interventi di prevenzione socio-sanitari
• la pubblicazione sul portale del Ministero della Salute per l’informazione generale alla popolazione.
I bollettini sulle ondate di calore sono elaborati dal Dipartimento di Epidemiologia SSR Regione Lazio, nell'am-
bito del Sistema operativo nazionale di previsione e prevenzione degli effetti del caldo sulla salute, coordinato dal Ministero. Vengono pubblicati, come ogni anno dal lunedì al venerdì, fino a metà settembre.
Nel bollettino sono indicati 4 livelli di rischio graduato:
• livello 0 – nessun rischio
• livello 1 – rischio basso previsto per le successive 24-72 ore
• livello 2 – rischio elevato previsto per le successive 24-72 ore
• livello 3 – condizioni di rischio elevato (livello 2) persistenti per 3 o più giorni consecutivi per le successive 24-48 ore.
Il sistema operativo è dislocato in 27 città italiane e consente di individuare, giornalmente, per ogni specifica area urbana, le condizioni meteo-climatiche a rischio per la salute, soprattutto
dei soggetti vulnerabili: anziani, malati cronici, bambini, donne in gravidanza. Le città monitorate sono: Ancona, Bari, Bologna, Bolzano, Brescia, Cagliari, Campobasso, Catania, Civitavecchia, Firenze, Frosinone, Genova, Latina, Messina, Milano, Napoli, Palermo, Perugia, Pescara, Reggio Calabria, Rieti, Roma, Torino, Trieste, Venezia, Verona, Viterbo.
Dal portale del Ministero è possibile scaricare numerosi opuscoli e materiale informativo sulle ondate di calore, per la popolazione generale e gli operatori del settore sanitario e socio-sanitario (medici, personale delle strutture per gli anziani, personale che assiste gli anziani).
Jayme S. Spicciatie
La celebrazione del centenario del Greater New York Dental Meeting (GNYDM) rappresenta il momento più opportuno per riflettere sullo straordinario viaggio che ci ha portato al punto in cui ci troviamo oggi: il più grande evento dentale e convention negli Stati Uniti.
La nostra storia è sommessamente iniziata negli anni '20, con solo poche centinaia di partecipanti e un paio di programmi educativi. Sono stati gli sforzi collettivi di un gruppo di dentisti di Brooklyn, Staten Island e Manhattan a gettare le basi per quello che sarebbe diventato un evento iconico nel campo dell’odontoiatria.
Gli anni ’40 portarono con sé nuove sfide poiché gli Stati Uniti dovettero affrontare la minaccia di guerra e la possibilità di attacchi aerei. L’odonto -
iatria si trovò a un bivio, con una nuova necessità per i dentisti di diventare chirurghi ausiliari più attivi nel trattamento delle lesioni facciali durante la Seconda Guerra Mondiale. Questo periodo segnò l’inizio di una nuova era in cui gli americani riconobbero l’importanza di un’adeguata assistenza sanitaria orale, la necessità di una riforma dentale e di accesso alle cure.
Con meno di 1.000 partecipanti provenienti dall'area dei tre stati, il Greater New York Dental Meeting iniziò presso l'Hotel Pennsylvania a New York City. Il concetto era semplice ma rivoluzionario: creare una piattaforma in cui i professionisti del settore dentale potessero incontrarsi per apprendere, condividere idee e far progredire la propria professione.
Nel 1975 il GNYDM si trasferì all'Hil -
ton Hotel, espandendosi per integrare fiere ed aziende di prodotti dentali con la formazione dentale. Questa unione delle interazioni tra espositori e partecipanti ha aperto la strada a nuove opportunità di vendita, spingendo il GNYDM verso nuovi livelli.
Nel 1987 il GNYDM firmò l’accordo con il Jacob K. Javits Convention Center, segnando un nuovo inizio con nuove prospettive. Riconoscendo la propria responsabilità sia nei confronti dei partecipanti che degli espositori, il GNYDM è diventato l'unico incontro odontoiatrico scelto dal Dipartimento del Commercio degli Stati Uniti per aiutare i produttori ad avere successo in un mercato globale. Oggi
gnolo, portoghese, russo e cinese, ci impegniamo a soddisfare le diverse esigenze dei nostri partecipanti. Inoltre, i nostri incontri per specialisti coprono una vasta gamma di argomenti, dall'implantologia e l'ortodonzia all'odontoiatria pediatrica, all'apnea notturna e al cancro orale.
Guardando indietro a un secolo di eccellenza, siamo grati per il supporto dei nostri partecipanti, espositori e partner che ci hanno aiutato a raggiungere questo traguardo. Brindiamo ad un altro secolo di progresso della salute orale e di miglioramento della qualità di vita attraverso il Greater New York Dental Meeting!
siamo il leader del settore dentale statunitense nel commercio nazionale ed internazionale.
Nel 2023 il GNYDM ha registrato il numero record di 36.081 partecipanti, tra cui 13.302 dentisti, 2.793 studenti e specializzandi in odontoiatria, 2.027 assistenti dentali e 2.320 igienisti dentali provenienti da 139 Paesi. Il nostro piano espositivo offre sconti speciali ed omaggi. I professionisti del settore dentale hanno la possibilità di visitare oltre 1.020 stand espositivi.
Ma non è solo una questione di numeri: riguarda la qualità dell'istruzione e delle esperienze che offriamo. Con oltre 265 seminari e workshop pratici, inclusi programmi in spa -
2024 CENTENNIAL CELEBRATION FREE PRE-REGISTRATION OPENS IN APRIL
Greater New York Dental Meeting
November 29th – December 4th
Contact Us: info@gnydm.com www.gnydm.com @GNYDM #GNYDM
PRESIDENTI
Ugo
COORDINAMENTO
Livia Ottolenghi
Gaspare Palaia
Umberto Romeo
Gianluca Tenore
Iole Vozza
08.30
VENERDÍ 13 SETTEMBRE 2024
Registrazione dei partecipanti
09.00 Apertura dei lavori congressuali
09.15
17th International Meeting Accademia Il Chirone 13 - 14 settembre 2024
LA SOSTENIBILITÀ IN ODONTOIATRIA: conoscere i problemi e progettare un futuro possibile
SUSTAINABILITY IN DENTISTRY: Understanding Problems and Designing a Possible Future
08.30
09.00
Ugo Covani
Intervento di apertura della Magni ca Rettrice della Sapienza Università di Roma e Presidente del Comitato Scienti co Antonella Polimeni
Intervento e saluto del Direttore del Dipartimento
Umberto Romeo
Moderatori: Fabrizio Guerra, Gianluca Tenore
09.30 Studio delle problematiche a impatto ambientale nell'ottica di una ottimizzazione dell'economia circolare in ambito odontoiatrico: dal produttore all'utilizzatore
10.00
Maurizio Bossù, Gabriele Di Carlo
Osteonecrosi delle ossa mascellari farmaco-relata: an update
Michele Davide Mignogna
10.30 Sostenibilità del sistema salute, nuovi approcci nella gestione delle infezioni del cavo orale
Germano Orrù
11.00 Pausa: visita all‘area tecnologica
11.30 Med Device Lab: Conoscere per decidere: un supporto concreto ai professionisti
12.00
Fernanda Gellona
Cancro Orale: la sottostima ed il ritardo diagnostico
Gianluca Tenore, Giovanni Maria Gaeta
12.30 Protocolli clinici per il clean-up e per la contenzione a seguito della terapia ortodontica
Maciej Jedlinski, Marta Mazur, Gianna Maria Nardi
13.00 Pausa
Moderatore: Gaspare Palaia
14.00 Nuovo dispositivo per il trattamento della mucosite e perimplantite
Giovanni Falisi
14.30 È veramente necessario sottoporre il paziente a lunghi periodi con dei trattamenti remineralizzanti? Timing sostenibili e protocolli personalizzati.
Andrea Butera
15.00 Tecnologie: l’impatto delle nuove regole comunitarie sull’organizzazione e la sostenibilità della ricerca
Roberto Poscia
15.30 Evoluzione del piano di trattamento chirurgico: etica vs estetica
Felice Roberto Grassi, Fabio Scarano Catanzaro
16.00 Pausa: visita all’area tecnologica
16.30 NON BRUCIAMOCI IL SORRISO: RIDUCIAMO IL RISCHIO
Comportamenti tabagici degli studenti e laureati in igiene dentale e delle professioni sanitarie
Gianna Maria Nardi, Roberta Grassi
Riduzione del rischio e impatto sulla Salute Orale: Studio Smile
Roberto Lo Giudice, Riccardo Polosa
18.00 Cambiamenti siologici ed ormonali della gravidanza ed impatto sulla salute orale
18.30
08.45
Michela Antonioni, Laura Bertuzzo, Ilenia Mappa, Gianna Maria Nardi
ATASIO PER L’ACCADEMIA IL CHIRONE
Chiusura dei lavori congressuali
SABATO 14 SETTEMBRE 2024
Apertura dei lavori congressuali
Moderatori: Annamaria Genovesi, Marta Mazur
09.00 Mozione per una “green osteology”
Ugo Covani
09.30 Salute orale e stili di vita: il cambiamento comportamentale
Antonella Abbinante, Caterina Di Marco, Maurizio Luperini, Silvia Cotellessa, Gianna Maria Nardi
10.30 La sostenibilità nel tessile medicale, tra fake news, green washing e realtà
Gianna Pamich
11.00
11.30
12.00
In collaborazione con il Dipartimento di Scienze Odontostomatologiche e Maxillo-Facciali
FRIDAY 13 SEPTEMBER 2024
Participants registration
Opening of the Congress proceedings
Ugo Covani
09.15
Opening Speech by the Chancellor of Sapienza University of Rome and President of the Scienti c Committee
Antonella Polimeni
Greetings from the Director of the Department
Umberto Romeo
Chairmen: Fabrizio Guerra, Gianluca Tenore
09.30
10.00
10.30
11.00
11.30
12.00
12.30
13.00
Study of problems with environmental impact with a view to optimize the circular economy in the dental sector: from the producer to the user
Maurizio Bossù, Gabriele Di Carlo
Medication-related osteonecrosis of the jaw: an update
Michele Davide Mignogna
Sustainability of the Health System: New Approaches in the Management of Oral Cavity Infections
Germano Orrù
Break: Visit to the Technology Area
Med Device Lab: Knowing to Decide: Concrete Support for Professionals
Fernanda Gellona
Oral Cancer: Underestimation and Diagnostic Delay
Gianluca Tenore, Giovanni Maria Gaeta
Clinical Protocols for Clean-Up and Retention Application and Maintenance
Following Orthodontic Therapy
Maciej Jedlinski, Marta Mazur, Gianna Maria Nardi
Break
Chairman: Gaspare Palaia
14.00 A new device for treatment of mucositis and perimplantitis
Giovanni Falisi
14.30 Is it really necessary to subject the patient to long periods of remineralizing treatments?
Sustainable timing and personalized protocols
Andrea Butera
15.00
Technologies: Impact of new EU rules on Research Organisation and Sustainability
Roberto Poscia
15.30 Evolution of the Surgical Treatment Plan: Ethics vs. Aesthetics
Felice Roberto Grassi, Fabio Scarano Catanzaro
16.00
16.30
Break: Visit to the Technology Area
LET'S NOT BURN A SMILE: LET'S REDUCE THE RISK
Smoking Behaviour of Dental Hygiene and Allied Health Students and Graduates
Gianna Maria Nardi, Roberta Grassi
Riduzione del rischio e impatto sulla Salute Orale: Studio Smile
Roberto Lo Giudice, Riccardo Polosa
18.00 Physiological and Hormonal Changes in Pregnancy and Their Impact on Oral Health
Michela Antonioni, Laura Bertuzzo, Ilenia Mappa, Gianna Maria Nardi
ATASIO PER L’ACCADEMIA IL CHIRONE
18.30
Closing of the Congress Sessions
SATURDAY 14 SEPTEMBER 2024
08.45 Opening of the Congress Sessions
Chairmen: Annamaria Genovesi, Marta Mazur
09.00 Motion for a "Green Osteology"
Ugo Covani
09.30
10.30
Oral Health and Lifestyles: Behavioral Change
Antonella Abbinante, Caterina Di Marco, Maurizio Luperini, Silvia Cotellessa, Gianna Maria Nardi
Sustainability in medical textiles, between fake news, green washing and reality
Gianna Pamich
Pausa: visita all‘area tecnologica
Sorrisi individuali per pazienti unici
Come rendere I nostri restauri armonici e credibili nei visi dei nostri pazienti con restauri indiretti non invasivi (faccette e faccette addizionali)
Luca L. Dalloca
L'igienista dentale nella gestione dell'eruzione passiva alterata (APE)
Andrea Pilloni
12.30 La forza di un sorriso tra le corsie d’ospedale
Marina Nanni, Iacopo Scascitelli
13.00 Chiusura dei lavori del 17th International Meeting Accademia Il Chirone
SPONSOR
11.00
11.30
Break: visit to the technological area
Unique smiles for unique patients.
How non-invasive indirect restorations (veneers and add-on veneers) make our restorations harmonious and believable in our patients' faces.
Luca L. Dalloca
12.00 The dental hygienist in the management of Altered Passive Eruption (APE)
Andrea Pilloni
12.30 The strength of a smile in the hospital wards
Marina Nanni, Iacopo Scascitelli
13.00
Closing of the 17th International Meeting Accademia Il Chirone
Iscrizioni
L’iscrizione è gratuita ma obbligatoria e dà diritto alla partecipazione alle sessioni scienti che e all’attestato di partecipazione.
Scansiona il qr-code e compila il form on-line
Website www.accademiailchirone.it
Segreteria organizzativa Sorriso.it Srl
Via Giovanni Falcone10 - 70018 Rutigliano (BA) Per informazioni
congresso.accademiailchirone@gmail.com
Referente: Stefania Nanni (cell. +39 349 8164735) Elaborazione e gra ca a cura di
redazione@infomedix.it