Infomedix Odontoiatria Italiana 5/2024

Page 1


La guida all'implantologia mondiale

S.I.O.H.

Il ruolo di SIOH nell'aggiornamento scientifico in Odontoiatria Speciale

Salutiamo da queste pagine Vincenzo Bucci Sabattini che in questi giorni ci ha lasciato.

La sua passione per l'odontoiatria era contagiosa e ispirava colleghi e collaboratori. La sua disponibilità a condividere conoscenze e competenze ha contribuito a formare una nuova generazione di dentisti che porteranno avanti il suo esempio. Ricorderemo sempre i suoi insegnamenti, le sue indicazioni professionali e con grande affetto il suo sorriso e la sua amicizia

A.I.O.L.A.

La sostenibilità in Odontoiatria

Accademia 17th International Meeting

Dipartimento di Scienze Odontostomatologiche e Maxillo-Facciali Sapienza Università di Roma, via Caserta 6

LA SOSTENIBILITÀ IN ODONTOIATRIA:

conoscere i problemi e progettare un futuro possibile

Il problema dello sviluppo sostenibile è quello di conciliare i requisiti della crescita economica con lo sviluppo umano e sociale, la qualità della vita e la protezione del pianeta in termini di equilibrio a lungo termine.

Gli aspetti ambientali, economici e sociali dello sviluppo sostenibile devono integrarsi l’un l’altro al fine di realizzare una società più giusta, più sana e più armoniosa per tutti.

La SIDO vi aspetta a Firenze dal 17 al 19 Ottobre 2024 per il 55° SIDO International Congress, presso la Fortezza da Basso; la manifestazione sarà organizzata fuori dagli

schemi dando maggiore enfasi sull’incontro dei soci SIDO, lo scambio intellettuale e il networking tra colleghi italiani ed internazionali [...] Continua

Nel mondo delle tecnologie mediche e odontoiatriche, la ricerca di profili specialistici è un elemento cruciale per l'innovazione e lo sviluppo di soluzioni avanzate che migliorano la qualità della vita dei pazienti. La crescente complessità di questi settori richiede professionisti altamente qualificati con competenze specifiche che spaziano dalla bioingegneria alla robotica, passando per l'informatica medica e la biotecnologia.

In particolare, l'integrazione di tecnologie avanzate come l'intelligenza artificiale, la stampa 3D e i dispositivi indossabili ha creato una domanda crescente per ingegneri biomedici, sviluppatori di software specializzati in applicazioni mediche, e esperti in materiali biocompatibili. Questi professionisti lavorano alla progettazione di dispositivi medici innovativi, alla creazione di software per la gestione dei dati clinici e allo sviluppo di protesi dentali personalizzate e impianti ortodontici.

La selezione di tali profili specialistici richiede un approccio mirato e l'utilizzo di strumenti avanzati di recruitment. Le

aziende spesso collaborano con università e istituti di ricerca per individuare talenti promettenti e investono in programmi di formazione continua per aggiornare le competenze dei loro dipendenti. Inoltre, piattaforme di recruiting online e reti professionali giocano un ruolo chiave nel connettere le aziende con i candidati ideali.

L'importanza di una ricerca accurata dei profili specialistici non può essere sottovalutata, poiché la qualità e l'innovazione dei prodotti finali dipendono direttamente dalle competenze e dall'esperienza del personale impiegato. Solo attraverso una selezione rigorosa e un continuo aggiornamento professionale, le aziende del settore medico e odontoiatrico possono mantenere un vantaggio competitivo e rispondere efficacemente alle sfide di un mercato in rapida evoluzione.

Proponi la tua candidatura contattando jobs@infomedix.it Per maggiori informazioni vedi pag. 5

Infomedix Odontoiatria 5/2024 bimestrale • anno IV • numero 21 settembre-ottobre 2024

Direttore Responsabile

Silvia Borriello - silvia.borriello@infomedix.it Coordinatore Editoriale Alberto Faini - a.faini@infomedix.it Redazione

Nadia Coletta - nadia@infomedix.it

Claudia Proietti Ragonesi - pressoffice@infomedix.it

Infodent Srl

Sede Operativa: Via dell'Industria, 65 01100 Viterbo redazione@infomedix.it 0761.352133

Sede Legale: C.ne Gianicolense, 68 00152 Roma P. IVA / C.F. 01612570562

Amministratore: Baldassare Pipitone

Responsabile Scientifico

Gianna Maria Nardi

Luca Maria Pipitone

Roberta Grassi Chiara Faini

Grafica

Antonio Maggini - artwork@infomedix.it

Progetto Grafico Studio Frasi Ufficio Stampa Claudia Proietti Ragonesi pressoffice@infomedix.it Marketing e pubblicità Riccardo Bonati riccardo.bonati@infomedix.it Alessandra Brunetti alessandra.brunetti@infomedix.it

Organizzazione Eventi Cristina Garbuglia eventi@infomedix.it

Stampa

Graffietti Stampati Snc

Strada Umbro Casentinese Km 4.500 01027 Montefiascone (VT) Spedizione

Poste Italiane S.p.A – Spedizione in Abbonamento

Postale - AUT. CENTRO/01673/05.2021

PERIODICO ROC Contiene I.P.

Registrazione al Tribunale di Viterbo n° 679/2021 del 08/03/2021

Costo copia euro 0.77

Questo numero è stato chiuso il: 29/08/2024

IMPLANTOLOGIA GUIDATA Chiavi in mano Per saperne di più contatta ora dentecom.srl@gmail.com

Rigenerazione ossea

Lettura digitale

Via Francesco Saverio Sprovieri, 35 - 00152 Roma (RM) T. +39 06 58330870 | +39 392 6060066 dentecom.srl@gmail.com - www.dentecom.it

E REDAZIONE Via dell’Industria 65 01100 Viterbo - Italy VAT 01612570562

Per informazioni, richieste e invio materiale da pubblicare contattaci: redazione@infomedix.it

T. +39 0761 352133 www.infomedixodontoiatria.it

Azienda certificata dal 26/11/2004, per la realizzazione ed erogazione di sistemi di comunicazione di marketing multicanale secondo la norma ISO 9001:2015. Certificato n. CERT-15119-2004-AQ-ROM-SINCERT

QR Code e sito Al termine di alcuni articoli è possibile trovare un QR CODE specifico per leggerli interamente sul sito dedicato al tabloid Infomedix Odontoiatria Italiana www.infomedixodontoiatria.it

Tutti coloro che vogliono condividere esperienze di trattamenti al cavo orale e periorale, maturate e documentate all’interno di studi dentistici privati o di cliniche odontoiatriche possono contribuire contattando la redazione chiamando il numero +39 0761 352133 o inviando una mail a: redazione@infomedix.it

La responsabilità degli articoli e dei contenuti appartiene ai rispettivi autori, che ne rispondono interamente.

DIREZIONE

Fuochi d’artificio scientifico-culturali al 55° SIDO International Congress

Firenze 17-19 ottobre, Fortezza da Basso

Dott.ssa Ute Schneider-Moser

Presidente SIDO 2024

La SIDO vi aspetta a Firenze dal 17 al 19 Ottobre 2024 per il 55° SIDO International Congress, presso la Fortezza da Basso; la manifestazione sarà organizzata fuori dagli schemi dando maggiore enfasi sull’incontro dei soci SIDO, lo scambio intellettuale e il networking tra colleghi italiani ed internazionali e sulla realizzazione di una festa con un tocco di rosa il venerdì sera per vivere tre giornate stimolanti e suggestive INSIEME IN SIDO!

Dopo il grande successo del SIDO Spring Meeting a Verona la presidente Ute Schneider-Moser ha composto un altro programma scientifico-culturale 2024 di altissimo livello con una miriade di rela -

tori di fama mondiale provenienti da 23 paesi di 5 continenti per continuare a realizzare il suo sogno della costruzione dei ponti ‘Building Bridges for the Future 2024’

1 a Giornata PRECONGRESS giovedì 17 ottobre

Sono previste 5 manifestazioni interessantissime:

• Il 2° Memorial Sandro Segù organizzato in collaborazione con l’Italian Board of Orthodontics IBO sui ‘Trattamenti Ortodontici nel Paziente Adulto’

• Tre corsi monotematici ‘La Buona Pratica Temporomandibolare’, ‘I Limiti delle Meccaniche Ortodontiche Intrusive’ e ‘La Sinergia Vincente dell’Ortodonzia con il Digitale e la Restaurativa’

• Il Simposio ‘Angle-net comes ALIVE in SIDO’, una joint-venture di SIDO e l’Angle Society of Europe e America che tratterà i due topics ‘Trattamenti Elettivi di Alta Tecnologia’ e ‘Il Trattamento del Paziente Anziano: Una Nuova Sfida Ortodontica’

Giovedí si terrà anche la sessione del Model Display SIDO per i Soci Provvisori che intendono assumere la qualità di Socio Ordinario SIDO.

2 a Giornata venerdì 18 ottobre

Il programma scientifico inizierà con la Tiziano Baccetti Memorial Lecture che riprenderà il tema del ‘Building bridges for the future. Per la prima volta in SIDO questa opening lecture verrà presentata da un trio di presidenti di fama mondiale insieme sul podio: Nikhillesh Vaiid (President World Federation of Orthodontists WFO), Stella Chaushu (President Mediterranean International Orthodontic Project - MOIP) e Flavia Artese (President International Orthodontic Conference - IOC 2025).

Le due sessioni congressuali ‘Cura e Risoluzione Interdisciplinare di Problemi in Ortodonzia’ e ‘La Ricerca dell’Eccellenza Continuerà’ si svolgeranno in due sale principali per dare lustro ai noti relatori nazionali ed internazionali che presenteranno i loro lavori di squadra in duetto o addirittura in trio sul podio e davanti a un’aula auspicabilmente piena.

3 a Giornata sabato 19 ottobre

Il programma si focalizzerà sul ‘Futuro dell’Ortodonzia’ presentando un ventaglio di nuove tecnologie e il report della Consensus Conference sugli Allineatori 2024 mentre nell’altra sala si terrà il ‘1° SIDO Female Leadership Summit’ con solo

relatrici sul podio per rendere omaggio alle donne che hanno influenzato e che stanno trasformando il mondo ortodontico. Supportata da Leone e Firenze Fiera, SIDO si unisce all’Associazione Artemisia nella lotta contro la violenza sulle donne e sui bambini.

Per la presidente SIDO 2024 il ponte più importante da costruire per il futuro è il coinvolgimento della generazione ‘Young in SIDO’. Per questo motivo ha organizzato la sessione ‘SIDO Young UNPLUGGED’ a porte chiuse che permetterà agli specializzandi in ortodonzia e ai giovani ortodontisti meno esperti di chiedere consigli pratici a degli esperti della loro fascia di età in un’atmosfera meno formale per incentivare la loro partecipazione attiva e avvicinandoli a SIDO.

Per dare un tocco diverso alla serata di venerdì la tradizionale ‘President’s reception’ verrà sostituita dalla ‘SIDO Touch of Pink Reception’ Aspettatevi momenti emozionanti durante la cena itinerante grazie alla strepitosa performance dei ‘Roland’s Stones’ dell’Angle Society of Europe e alla competizione karaoke ‘YOUNG at NIGHT’seguita da un’altra edizione indimenticabile del SIDO Party. Dresscode della serata: ‘Un tocco di rosa ’.

Nel frattempo, SIDO propone ai propri soci un programma FAD di 42 crediti ECM ‘Dal Trattamento Intercettivo al Trattamento Interdisciplinare’ e un secondo Study Club in via telematica su Zoom tra il 10-12 Settembre alle ore 21 sul ‘Finishing in Ortodonzia’ sperando in una grande partecipazione a queste iniziative fino all’International Congress a Firenze.

Restart U.N.I.D.

La fine delle vacanze segna come ogni anno una sorta di ripartenza. Settembre per tutti diventa il gennaio lavorativo e la sindrome del rientro prende il sopravvento. Sentimenti misti tra ansia lavorativa e nostalgia delle vacanze appena trascorse prendono il posto della spensieratezza appena percepita. Quale antidoto per fronteggiare tutto questo?

Uno dei migliori è la “programmazione”. Riprogrammare agenda, attività e perché no anche formazione, abitua ad un ritmo regolare per poter seguire tutto ciò che da settembre a Natale abbiamo opportunità di svolgere.

U.N.I.D. , a questo scopo, vuole ricordare alcuni appuntamenti imperdibili. Il calendario è fitto e comprende eventi di tutto il territorio. Quelli imperdibili che vogliamo evidenziare sono:

XXIII Congresso Nazionale

U.N.I.D Roma 18-19 ottobre 2024 “Professional Updating in Oral and Systemic Health”

Congresso Sardegna Cagliari, 26 ottobre

Congresso Toscana Pisa, 23 novembre

Il direttivo Nazionale U.N.I.D. POWER steamer & STEAM tube

Vi ricordiamo che entro il 15 settembre l'iscrizione al congresso nazionale per i soci è gratuita previa conferma della prenotazione al seguente link : https://www.betaeventi-cms.it

Inoltre interessante novità legata sempre al Congresso Nazionale, sarà la possibilità di partecipare al premio poster.

La data di scadenza per la presentazione del proprio poster è il 25 Settembre da inviare a poster@unid.it Il regolamento è presente sulla brochure che appare sul sito U.N.I.D. così come il calendario completo con tutti gli eventi formativi per il prossimo autunno.

Noi Vi aspettiamo, sicuri che il tempo trascorso a migliorare le nostre competenze è sempre vincente, ci riserveremo di trattare temi attuali con relatori d’eccezione.

Con l’impegno si trova sempre una soluzione e allora buon aggiornamento con U.N.I.D.

Soluzioni innovative per la pulizia a vapore

making work easy

Elevate prestazioni di pulizia

Pressione costante

Visibilità ideale

Postazione di lavoro pulita

La tecnologia che sblocca una nuova era di materiali per la stampa 3D

SprintRay ridisegna il panorama della stampa 3D con due prodotti che aprono la strada ad una nuova era dell’odontoiatria. Pro 2 è una stampante 3D dentale di nuova generazione che offre una precisione e una produttività senza precedenti. Grazie alla tecnologia Optical Panel e alla luce UV-A da 385 nm, Pro 2 è la stampante 3D più avanzata che abbiamo mai costruito. Dai profili delle resine rielaborati al pannello ottico in attesa di brevetto, ogni decisione presa è volta a migliorare i risultati nelle oltre 15 indicazioni che i nostri dispositivi sono in grado di fornire. Con Pro 2, nulla è lasciato al caso. Midas è la soluzione definitiva per la realizzazione di restauri in studio. Utilizza una Tecnologia a Pressione Digitale brevettata per superare le sfide della stampa di materiali viscosi ad alto contenuto di ceramica. Questo rivoluzionario metodo di stampa sostituisce la resina, il serbatoio e la piattaforma di costruzione con una capsula singola di resina e consente a Midas di stampare resine troppo viscose per essere utilizzate con una stampante 3D convenzionale. Ogni capsula Midas è codificata per tipo di materiale, tonalità, informazioni di produzione e data di scadenza. Quando è il momento di stampare, basta scansionare la capsula con il lettore di codici a barre e poi posizionarla su uno de 3 slot di stampa su vetro riscaldato. Una volta scansionate e posizionate tutte le capsule per un lavoro di stampa, Midas inizierà il processo di pressione. Il braccio di stampa si abbasserà lenta-

mente mentre la resina passa nella seconda camera della cartuccia e si indurisce.

Basta poi rimuovere la capsula dal vetro di stampa, tirare la linguetta della piattaforma di costruzione per rimuoverla dalla capsula. Il restauro è pronto per la post-elaborazione.

Pro 2 sará disponibile per il mercato europeo a partire da Q3/2024, mentre Midas sará disponibile in Europa in Q1/2025. La nuova era dell’odontoiatria in EMEA passa anche dai materiali, finalmente stanno per arrivare anche due resine che hanno cambiato le regole del gioco in US e molto attese da questo lato dell’oceano, OnX Tough 2 e Ceramic Crown.

OnX Tough 2 segna una svolta nell'odontoiatria digitale grazie alle sue caratteristiche uniche. È la prima e unica resina certificata per la stampa 3D di protesi ibride fisse, rendendola una scelta senza pari per i professionisti del settore odontoiatrico che cercano soluzioni affidabili e di alta qualità per i loro pazienti. Un aspetto fondamentale di questa resina è la sua radiopacità, essenziale per garantire un monitoraggio accurato delle protesi durante i controlli radiografici, migliorando la sicurezza e l'efficacia dei trattamenti. Inoltre, offre una chiarezza naturale, una traslucenza e una trasmissione della luce superiori, per ottenere risultati estetici di alto livello.

Un'altra caratteristica rivoluzionaria di OnX Tough 2 è la tecnologia NanoFusion, che assicura una distribuzione ottimale delle nanoparticelle ceramiche

all'interno della resina. Questo avanzato processo conferisce alle parti stampate una resistenza e una durezza eccezionali, rendendole ideali per applicazioni esigenti come le protesi ibride fisse.

Oltre a OnX Tough 2, arriva anche Ceramic Crown, una nuova classe di resine da restauro perfetta per piccoli restauri come corone, inlay, onlay e faccette. Composta per oltre il 50% da ceramica e sviluppata per una post-produzione impeccabile, Ceramic Crown non è sem-

plicemente un altro ibrido, ma si tratta di una resina con predominanza di ceramica. Progettato come parte essenziale della soluzione per corone SprintRay, insieme al Crown Kit (che permette di stampare fino a sei corone singole in 15 minuti) e al servizio di Cloud Design AI per corone singole, questo materiale è autorizzato dalla FDA per corone complete, corone parziali e faccette definitive.

Sono in arrivo moltissime novità che porteranno l’odontoiatria in una nuova era.

ONX TOUGH 2

SprintRay OnX è una resina nanoceramica ibrida di classe II per la stampa 3D per la produzione di protesi . SprintRay OnX presenta una combinazione ottimale di traslucenza e opacità per riprodurre la dentatura naturale. Il contenuto di ceramica garantisce ai vostri pazienti qualcosa per cui sorridere.

Sostenibilità in odontoiatria: un sogno o una realtà piena di buchi?

Presidente Nazionale Associazione Italiana Odontoiatri

Past-president FDI World Dental Federation

Immediate Past-president Academy of Dentistry International

L'esperienza nella pratica quotidiana mostra che i guanti da esame, a causa di difetti quali perforazioni, spessore incoerente, fori di spillo, parti mancanti, inclusione di materiale estraneo, ecc., sebbene etichettati con un AQL pari a 1,5, richiederebbero una nuova categoria AQL pari a 60 o superiore. Inoltre, i guanti rovesciati sottraggono tempo prezioso a un professionista intellettuale altamente qualificato, il dentista, il cui obiettivo è di contribuire a ridurre il peso delle malattie orali, di altre malattie non trasmissibili e delle malattie infettive. Gli aspirasaliva monouso pieghevoli cambiano funzione e diventano, una volta piegati, un “turasaliva”, a causa del materiale plastico di bassa qualità e incoerente. Le mascherine usa e getta hanno recentemente riacquistato livelli di qualità accettabili, ma, sebbene oggi siano più costose, non sono ancora tornate ai livelli di qualità precedenti al COVID-19.

I guanti monouso, adatti per uso clinico generale, di emergenza, di pronto soccorso e di emergenza, diversi dagli altri materiali monouso come le punte di aspirazione, sono classificati in diversi livelli di qualità accettabili, AQL, che vanno da 0,65 (6,5 difetti per mille) per la chirurgia al grado 10 (100 difetti per mille) per i prodotti low cost.

La norma europea EN455 afferma che i guanti per visita medica devono soddisfare un punteggio AQL di 1,5. L'OMS si impegna a raggiungere l'obiettivo di sviluppo sostenibile SDG 3, Buona Salute e Benessere entro il 2030, riconosce le specifiche tecniche definite negli standard europei EN455 e EN374, lo standard dell'Organizzazione internazionale per la standardizzazione, ISO 11193-1, lo standard di Classe 1 della Food and Drug Administration, lo Standard dell’American Society for Testing Materials, ASTM D6319, D3578, D5250, D6977 e una serie di standard aggiuntivi o alternativi facoltativi o equivalenti. I prezzi per i guanti da esame che soddisfano questi standard sono saliti fino a 140 dollari USA per 1.000 guanti nel 2022 durante il picco della pandemia di COVID-19, e oggi sono scesi a una media di 18 dollari USA, con un minimo di 14 dollari USA se provenienti dalla Cina.

Dopo una rapida analisi, si può constatare che i prodotti monouso hanno triplicato i costi, la quantità di rifiuti è cresciuta in modo esponenziale a causa della mancanza di qualità, le tasse sono state pagate alle amministrazioni per la produzione, l’acquisto e la gestione dei rifiuti, la sicurezza dei pazienti e del personale è messa a repentaglio in modo significativo e nessuno di tutti i sogni dell’odontoiatria sostenibile e gli accordi verdi potranno mai essere raggiunti se i prodotti sono già rifiuti sin dal momento della produzione. La FDI World Dental Federation ha lanciato il suo progetto di sostenibilità in odontoiatria, destinato a evolversi in un’iniziativa multi-partner di alto livello per raggiungere gli obiettivi di sostenibilità per la professione odontoiatrica. Sebbene la consapevolezza, l’educazione e la conoscenza professionale e pubblica non costituiscano più un ostacolo alla sostenibilità in odontoiatria, metà dei 17 obiettivi di

sviluppo sostenibile dell’Agenda 2030 subiranno una regressione, se gli altri attori chiave coinvolti nell’approccio One Health dell’OMS non reagiranno. Non dovremmo informare i suddetti organismi, come facciamo quando si tratta di farma-vigilanza?

Noi, gli odontoiatri, e i nostri team siamo pronti da un po' di tempo a seguire tutti gli approcci, gli accordi, gli obiettivi e i progetti per rendere questo mondo e la sua gente più sani e più benestanti. Sappiamo che non saremo lasciati soli. Ma vorremmo vedere un supporto più costante e, innanzitutto, tempestivo.

Il contenuto di questo articolo non rappresenta in nessun modo le posizioni ufficiale di Associazione Italiana Odontoiatri, FDI World Dental Federation e Academy of Dentistry International, ma il personale pensiero dell’autore.

Siamo una Casa Editrice con esperienza pluriennale nel settore odontoiatrico, medicale e farmaceutico. Pubblica con noi la tua monografia!

Aperte le iscrizioni alla 4° edizione del Master in Comunicazione scientifica dell’Università di Parma

Fino al 28 ottobre le domande per il Master in e-learning, che quest’anno approfondisce anche i temi legati all’Intelligenza Artificiale. 70 i posti disponibili.

Imparare a comunicare la scienza : apprendere le strategie , individuare i target , utilizzare gli strumenti più adeguati per trasmettere temi scientifici efficacemente , accompagnati dai più prestigiosi docenti e professionisti del panorama nazionale. Questa la proposta di uno dei Master universitari di maggior successo nel campo della comunicazione.

Dal 25 giugno sono aperte le iscrizioni al Master in Comunicazione scientifica www.mastercose.unipr. it per l’anno accademico 2024-2025. Il bando del corso (www.mastercose. unipr.it/#bando) universitario annuale, nato nell’ambito del Dipartimento di Medicina e Chirurgia dell’Università di Parma, è già online : possono presentare domanda di iscrizione al corso di studi, svolto interamente in modalità e-learning , sia coloro che intendono intraprendere una professione nell’ambito della comunicazione scientifica , sia professionisti già inseriti nel mondo della comunicazione o della scienza, che desiderano approfondire le proprie conoscenze e acquisire nuove competenze per valorizzare il proprio curriculum.

Iscrizioni già aperte, fino al 28 ottobre 2024

La finestra per le iscrizioni al Master, dopo tre edizioni dal successo crescente, è stata anticipata quest’anno al 25 giugno 2024 e resterà aperta fino al 28 ottobre 2024. Le domande saranno accettate in ordine cronologico di presentazione: le prime 70 persone che avranno inviato la domanda e saranno ritenute ammissibili potranno successivamente immatricolarsi. Può iscriversi chiunque sia in possesso di una laurea triennale, magistrale o del vecchio ordinamento , in qualunque ambito.

Formazione a 360° per comunicatori e divulgatori scientifici

L’obiettivo del corso è la formazione a livello professionale di comunicatori e divulgatori scientifici , una specializzazione fortemente richiesta nel mondo delle istituzioni, del giornalismo, delle aziende e della politica. I partecipanti, provenienti da percorsi di studio sia scientifici che umanistici, acquisiscono il know-how necessario per diventare figure professionali capaci di guidare le strategie e i processi comunicativi legati a tematiche scientifiche e della salute.

Tra i nuovi temi, l’AI per la comunicazione scientifica

L’utilizzo dell’ Intelligenza Artificiale per la comunicazione in ambito scientifico rappresenta una grande risorsa, in grado di portare numerosi vantaggi ma anche nuove sfide. Nel -

la consapevolezza della necessità di approfondire questo tema particolarmente attuale, quest’anno il Master di I livello in Comunicazione scientifica ha incrementato il numero di ore dedicate al rapporto tra giornalismo digitale e IA . Si tratta di un ulteriore valore aggiunto a un’esperienza di formazione che dal 2021 contribuisce a migliorare in modo significativo le competenze di un sempre maggior numero di professionisti della comunicazione della scienza.

Multidisciplinarietà e sbocchi professionali

Una delle caratteristiche principali del Master CoSE e dei suoi docenti è la multidisciplinarietà e il numero di opportunità professionali . Gli iscritti saranno preparati a entrare nei campi della comunicazione e del giornalismo scientifico con l’utilizzo dei vari mezzi di comunicazione, da quelli più tradizionali agli strumenti digitali e social, a predisporre e gestire piani di comunicazione per enti di ricerca, istituzioni pubbliche e private, con particolare riferimento ad aziende e strutture sanitarie, università, musei scientifici e centri di ricerca, scuole, nonché alle imprese private dell’ambito sanitario, scientifico, editoriale, ecc.

Oltre cento docenti per un percorso formativo completo Le lezioni saranno condotte da 100 tra docenti universitari, giornalisti, comunicatori e divulgatori, esperti e

professionisti d’eccellenza nel settore della comunicazione scientifica.

Docenti (www.mastercose.unipr.it/#docenti)

Diretto da Susanna Esposito , docente ordinaria di Pediatria e Primaria all’Ospedale dei Bambini dell’Azienda Ospedaliero-Universitaria di Parma, il Master propone un percorso formativo di 1500 ore che comprendono lezioni on line, in modalità sincrona e asincrona, studio individuale, tirocinio o progetto di ricerca ed elaborato finale. Al termine del percorso vengono rilasciati 60 crediti formativi universitari

Programma didattico (www.mastercose.unipr.it/#programma)

Focus sulla comunicazione della nutrizione e sulla sostenibilità Nell’ambito dei moduli proposti dal Master figurano lezioni specifiche sulla comunicazione della nutrizione e sulla sostenibilità , entrambi temi di rilievo e attualità che mettono al centro il bisogno di saper trasmettere e diffondere informazioni corrette e scientificamente fondate, anche per fronteggiare il diffondersi di pericolose fake news.

Un Master interamente online

Il Master in Comunicazione scientifica dell’Università di Parma, unico a livello nazionale per numero di docenti altamente qualificati e per l’uso di tecnologie digitali e di internet per l’apprendimento a distanza, si svolge interamente online . Sia le lezioni che i 2 esami previsti sono fruibili via Teams, mentre l’unico evento in presenza è la presentazione della tesi: in questo modo è possibile venire incontro alle esigenze degli studenti che lavorano o che non possono trasferirsi a Parma.

Il Master in Comunicazione scientifica ha il patrocinio della Regione Emilia-Romagna, dell’Azienda Ospedaliero-Universitaria di Parma e dell’Azienda USL di Parma.

Per informazioni : mastercomunicazionescientifica@unipr.it web www.mastercose.unipr.it

La masticazione rimane ancora oggi un importante stimolo per la crescita delle ossa mascellari

Professore Associato di OrtognatodonziaDental School, Università di Torino. Titolare dell’insegnamento di Ortognatodonzia I e II e di Fisiopatologia della masticazione al CLOPD, alla Scuola di Specializzazione in Ortognatodonzia, alla Scuola di Dottorato, ai Masters di II livello. Responsabile delle terapie precoci funzionalizzanti e ortopediche e della ricerca clinica sulla masticazione, sulla postura del soma e sull’attività cognitiva nei pazienti portatori di malocclusione. Past president del Gruppo di ricerca internazionale Nutrition Research Group dell’International Association for Dental Oral and Craniofacial Research (IADR). Referee, autore e coautore di numerose pubblicazioni scientifiche, comunicazioni, posters e inviti a congressi nazionali e internazionali. Autore del libro “Masticatory Function in Unilateral Crossbites.” edito da John Wiley USA 2016 e da EdiErmes Milano Italia 2018.

Facendo seguito alla prima puntata di questa rubrica nella quale abbiamo evidenziato la capacità della masticazione di promuovere la neoformazione di nuovi neuroni e di potenziare la memoria e l’attività cognitiva a qualsiasi età, questa puntata è dedicata al ruolo della masticazione come stimolo insostituibile alla crescita delle ossa mascellari, soprattutto del superiore.

Da tempo le ricerche scientifiche hanno dimostrato come la forza della masticazione, che si sviluppa con cibi consistenti tipo verdure crude, carote, finocchi, sedano, pane, mele, ecc. sia fondamentale per la crescita delle ossa mascellari che portano i denti sia superiori sia inferiori. Gli studi risalgono agli anni ’70 e l’autore principale nel campo è stata l’ortodontista di Gotheborg Birgit Thilander che ha avuto la possibilità di lavorare come clinico e come ricercatore di base con animali di laboratorio. Questo ha fatto sì che le sue ricerche sull’animale fossero mirate a chiarire quesiti clinici ai tempi senza risposta. Il lavoro più conosciuto è stato condotto su un gruppo di topi alimentati con dieta molle confrontato con un gruppo di topi alimentati con dieta consistente tipo crocchette. Allo scopo è stata valutata istologicamente la sutura palatina che ha risposto con un’attività cellulare significativamente elevata nei topi alimentati con dieta consistente rispetto alla ridotta attività cellulare con sutura quasi calcificata nei topi con dieta molle. Sappiamo che la sutura palatina risponde alle forze tensionali della masticazione apponendo osso ai suoi bordi e aumentando le dimensioni del palato che acquisisce, in questo modo fisiologico, durante la crescita, dimensioni adeguate ad accogliere i denti definitivi in modo congruo.

Le terapie che prevedono l’apertura traumatica della sutura palatina tolgono al bambino la possibilità di apposizione ossea in questa sede poiché il traumatismo distrugge la microvascolarizzazione della sutura in modo irreversibile. Vedremo in una prossima puntata della rubrica

come e cosa si può fare per stimolare in modo fisiologico l’apposizione ossea della sutura quando è necessario. Ma c’è un altro aspetto importante legato all’evoluzione, soprattutto nei paesi civilizzati, che è rappresentato dalla tendenza, in aumento costante, a scegliere e preferire cibi di consistenza molle. Questo è vero soprattutto per i bambini per i quali l’antica merenda con pane e olio o pane e marmellata è oggi sostituita dalle merendine molli di produzione industriale che piacciono tanto e sono molto comode. Oggi si riscontrano spesso denti storti dovuti anche al fatto che i bambini mangiano cibi sempre più molli; di conseguenza l’osso che li sostiene non viene sufficientemente stimolano dalle forze fisiologiche della masticazione, non cresce abbastanza e i denti, non trovando un sostegno osseo adeguato, si affollano.

Il consiglio da dare alle mamme è di introdurre gradualmente cibi consistenti già dallo svezzamento in modo che il bambino si abitui pian piano. Nei primi anni di vita si programmano la memoria motoria di tutti i movimenti più importanti tra cui la masticazione, che ha bisogno di allenamento.

Tanto più che, come descritto nella prima puntata di questa rubrica, oggi sappiamo che l’attivazione dei muscoli masticatori ha un’influenza diretta sulla produzione di neuroni e sull’aumento della memoria e dell’attività cognitiva del bambino.

È importante che i neuroni vengano prodotti fin dallo svezzamento e vengano continuamente mantenuti e conservati per salvaguardare la salute psicofisica lungo tutta la durata della vita.

Prof.ssa Maria Grazia Piancino
Rubrica in collaborazione con la Prof.ssa Maria Grazia Piancino, Dental School, Università di Torino

Akira Schüttler, Global Head of Technology

Integration presso exocad, a proposito delle ultimissime funzionalità dei moduli Virtual Articulator e Implant Module

Inoltre, anche la visualizzazione dell’articolatore in un modello anatomico del cranio (“in-skull”, fig. 7) è ora supportata.

Implant Module con nuove funzionalità per l’angolazione del canale della vite: Implant Module per la progettazione di restauri implantari supporta singolarmente i canali della vite angolati. Con DentalCAD 3.2 Elefsina , il flusso di lavoro per configurare canali della vite angolati è stato reso più semplice e intuitivo e, per citare un esempio, una nuova funzionalità rende più semplice la configurazione dei canali vite angolati nei casi in cui l’inclinazione si trovi nella base in titanio.

Con la versione DentalCAD 3.2 Elefsina abbiamo soddisfatto alcune richieste avanzate da tempo dai nostri clienti nel campo dell’integrazione tecnica. Le nuove funzionalità dei moduli Virtual Articulator e Implant Module sono a mio avviso i punti di forza di questa versione.

Virtual Articulator: questo modulo aggiuntivo di DentalCAD ha una nuova funzionalità che permette agli utenti di utilizzare gli articolatori con piatto incisale posizionato nella parte superiore dell’articolatore, una tipologia di articolatori che offrono un modo alternativo di simulare i movimenti della mascella del paziente.

Questa opzione è stata la più richiesta ed è stata implementata per la prima volta con l’integrazione dell’articolatore virtuale GAMMA Dental Reference SL (Fig. 1).

Il software supporta tutte le funzioni di questo articolatore, come ad esempio l’eccentricità personalizzabile cinque volte attraverso elementi intercambiabili SKN e TKN.

Successivamente si procederà con l’integrazione di altri articolatori con piatto incisale montato nella parte superiore.

Tra gli altri nuovi articolatori supportati da DentalCAD 3.2 Elefsina figurano KaVo PROTARevo 5B e Mälzer Dental CORSOART BKR AC-Line.

Funziona così: all’interno del flusso di lavoro, gli utenti ora possono creare canali della vite angolati solo dopo aver posizionato il dente nella fase “Base dell’abutment” (Fig. 2 e 3 e successive con tecnica angolata per soluzioni Straumann ® Variobase ® utilizzate come esempio).

La nuova funzionalità permette di archiviare nel software la geometria della base in titanio definita dal produttore e di considerarla automaticamente durante la progettazione del canale della vite angolato. (Fig. 4 e 5).

Se il produttore permette di angolare la base in titanio in una determinata direzione, gli utenti possono regolare il canale della vite in modo preciso e individuale entro un determinato angolo di campo (Fig. 6). Se una base in titanio con una protezione antirotazionale è collegata a un impianto con antirotazione, la protezione è automaticamente rispettata.

La base di titanio ruota nella posizione corretta ed il canale della vite angolato è collocato nella posizione desiderata. Ciò ha reso il processo di definizione di un canale della vite angolato molto più semplice ed efficiente.

Implant Module offre già una selezione di librerie di impianti con i componenti protesici corrispondenti (ad esempio basi in titanio) dei principali produttori.

Akira Schüttler
Global Head of Technology Integration di exocad
Figura 1
Figura 2
Figura 3

Il consiglio personale di Akira per l’articolatore "in-skull”: nella visualizzazione standard "opaco", l’osso del cranio appare solido e di conseguenza la visualizzazione del restauro pianificato può risultare ridotta. Io preferisco quindi una visualizzazione più trasparente: imposto un livello di trasparenza del

75% per l’arcata superiore e del 50% per quella inferiore (Fig. 7), cosa che mi consente una migliore visualizzazione del restauro pianificato in movimento e di riconoscere persino le radici virtuali dei denti nell’arcata superiore del nostro modello del cranio.

Il consiglio personale di Akira sulle librerie per impianti: iscrivendovi alla nostra newsletter mensile "NEWS BITES" riceverete tutti gli ultimissimi aggiornamenti di exocad, compresi i nuovi articolatori integrati e le librerie per impianti: https://exocad.com/newsletter

Oltre al download giornaliero aggiornato di tutte le librerie exocad, exocad.com/integration/overview offre la possibilità di scaricare le ultimissime impostazioni predefinite per stampanti 3D nonché una panoramica dei 19 modelli di articolatori ora integrati.

Figura 4
Figura 5
Figura 6
Figura 7

con il software Horizon Blue

Horizon Blue è la punta di diamante di Caes Software ed è il risultato dell'evoluzione dei gestionali per medici dentisti dal 1991 ad oggi.

Il controllo di gestione è una parte essenziale della gestione aziendale in qualsiasi settore, compresa l'odontoiatria. L'obiettivo del controllo di gestione è quello di monitorare, analizzare e ottimizzare le performance finanziarie e operative di un'azienda, al fine di raggiungere gli obiettivi prefissati.

Ecco alcuni aspetti che possono essere inclusi nel controllo di gestione in odontoiatria fatto con il software Horizon Blue:

1) Monitoraggio dei preventivi

Permette di analizzare nel periodo di tempo indicato lo stato del numero totale di preventivi fatti, preventivi accettati, prestazioni eseguite e fatturato sui preventivi accettati, nonché gli scostamenti tra fatto/fatturato, preventivato/eseguito, etc.

Periodicamente, è importante analizzare i risultati dei preventivi rispetto ai ricavi effettivi generati dai trattamenti.

Questo permette di valutare l'accuratezza dei preventivi, l'efficacia delle strategie di pricing e l'andamento complessivo dell'attività odontoiatrica.

L'analisi dei risultati aiuta anche a identificare eventuali aree di miglioramento o problematiche finanziarie.

2) Monitoraggio pazienti

Consente di avere le statistiche sui pazienti Attivi, Dormienti e Persi. Fornisce indicazioni sulle strategie di marketing ed aiuta ad identificare il target di mercato dei potenziali pazienti. Dal monitoraggio pazienti e dai vari filtri a disposizione è possibile generare liste di pazienti a cui inviare campagne SMS o esportare i dati verso i CRM.

Per informazioni

Caes Software Tel. 06 94316041 www.caes.it

VII Congresso Nazionale ATASIO Universo Donna

Percorso evolutivo tra salute e tecnologie

Roma, 7-8 febbraio 2025

Il VII Congresso Nazionale ATASIO esaminerà i temi cruciali per la salute orale della donna nelle diverse fasi della vita, evidenziando le sfide e le migliori pratiche per la gestione clinica.

Verranno presentate le tecnologie che permettono approcci clinici mininvasivi ed efficaci per aggiornare i protocolli operativi dedicati all'universo femminile in tutte le fascie d'età.

Esamineremo i cambiamenti durante la gravidanza e le indicazioni cliniche per trattamenti sicuri ed efficaci, inclusa la gestione farmacologica. Forniremo linee guida per il supporto durante l'allattamento, considerando gli aspetti psicologici e nutrizionali.

Analizzeremo l'importanza della nutrizione nella prevenzione delle malattie orali e sistemiche, e i protocolli

per prevenire gengivite e carie in pubertà e adolescenza.

La malattia parodontale sarà un tema centrale, con un focus sulle differenze di genere nella sua incidenza e gestione clinica. Affronteremo i cambiamenti associati alla menopausa e le relative implicazioni per l’igiene orale.

In maniera interattiva verranno richieste opinioni ai partecipanti in modo da poterle pubblicare con l'obiettivo di creare condivisione degli approcci clinici e percepire la conoscenza sulle tecnologie dedicate alla prevenzione

Discuteremo infine l'uguaglianza di genere nel mondo del lavoro degli igienisti dentali e le tutele legali per le donne professioniste.

Per iscriverti al Congresso scansiona il QR Code

Roma, 7-8 febbraio 2025

Dipartimento di Scienze Odontostomatologiche e Maxillo Facciali Sapienza Università di Roma

ATASIO TECHNOLOGY News

L'evoluzione dell'ozonoterapia professionale si avvale del Trolley Komby Dental Ozone Active (GEMAVIP), un apparecchio professionale che utilizza un generatore medicale di ozono per trasformare l’ossigeno fornito da ossigenatore (93% purezza) in ozono, e quindi per ozonizzare l’acqua bidistillata posta in una ampolla di vetro pirex da 3 lt. La saturazione dell’acqua avviene dopo 15 minuti pari a circa 20ugr/ml disciolti. L’apparecchio elettronico è automatico, con tutte le funzioni operative poste su touch screen.

L’acqua ozonizzata prodotta da questo medical device potrà essere inserita nei contenitori degli ablatori in modo da eseguire un debridement parodontale potenziato dalle proprietà battericida dell’ozono durante il trattamento parodontale non chirugico.

L’uso dell’acqua ozonizzata dal Trolley Komby Dental Ozone Active permetterà durante i trattamenti odontoiatrici di avere tutti i vantaggi clinici descritti in letteratura dall’ozonoterapia e quindi contrastare l’infiammazione dei tessuti parodontali e implantari ed accelerare i processi di guarigione. Incoming ulteriori evidenze scientifiche. L'ATASIO ha programmato

una serie di eventi dedicati all'ozonoterapia domiciliare e professionale alla luce dell'evoluzione dei protocolli operativi con utilizzo di questa significativa tecnologia.

Per maggiori informazioni scrivi a: segreteria@atasio.it

Bibliografia

* F. Carinci (e altri) - Università degli Studi di FerraraDepartment of Morfology “Surgery and Experimental Medicine”

* D. Lauritano (e altri) Neurosciences and Biomedical Technologies, University of Milano Bicocca “Efficacy Ozone Therapy in reducing oral infection of periodontal disease: a randomized clinical trial”

* A.M. Genovesi (e altri) - Istituto Stomatologico ToscanoGeneral Hospital - Lido di Camaiore (LU) “A short - term study of the effects of ozone irrigation in an orthodontic population with fixed appliances”

* A.M. Genovesi - Istituto Stomatologico Toscano - General Hospital - Lido di Camaiore (LU) Protocollo Ottavi/ Ozono

* A.M. Genovesi (e altri) – Istituto Stomatologico Toscano - General Hospital - Lido di Camaiore (LU) “Ozone Therapy for oral palatal ulcer in leukaemic patient”

* S. Sparabombe - S. Tricarico - Università Politecnica delle Marche - Facoltà di Medicina e Chirurgia. “Strumentazione meccanica con acqua ozonizzata - Studio pilota”

* Ozonoterapia in Odontoiatria. Protocolli di pratica clinica basati sulle evidenze.

Gianna Maria Nardi (e altri) Prof. Associato presso Dip. di Scienze Odontostomatologiche e Maxillo Facciali Università di Roma “La Sapienza”

* La Salute della Bocca nell’era del Microbioma

A.M. Genovesi (e altri) - Istituto Stomatologico ToscanoGeneral Hospital - Lido di Camaiore (LU)

VII Congresso Nazionale A.T.A.S.I.O.

VI Edizione dei World Dental Hygienist Awards Tre igieniste dentali italiane tra i vincitori

Nel 2007 grazie alla collaborazione tra l'International Federation on Dental Hygiene (IFDH) e la Fondazione Sunstar, viene istituito il World Dental Hygienist Awards con l'obiettivo di riconoscere l’eccellenza espressa dagli igienisti dentali nel mondo.

A presenziare la cerimonia di premiazione con gremita platea internazionale, tenutasi nell'ambito dell'International Symposium on Dental Hygiene (ISDH, Seoul, Korea, 2024), la presidente della Fondazione Sunstar Hiroo Kaneda, Jill Rethman e Wanda Fedora, presidente e presidente eletta della IFDH.

I premi sono dedicati a igienisti dentali che hanno dato un contributo significativo al campo dell'igiene dentale in un'ampia varietà di settori, come la ricerca, l'istruzione, la cura dei pazienti, la salute pubblica o il lavoro espresso nel pubblico in generale.

I vincitori di questa edizione nelle differenti categorie sono stati:

Public Health - Federica D’Anteo

Full-time Clinician - Lorella Mengarelli Academy - Gianna Maria Nardi

Entrepreneur - Juhwa Lee, Korea

New RDH - Brittany Glauz, U.S.A. Research - Therese Elkerbout, Olanda

Tre igienisti dentali italiani premiati dalla IFDH per World Dental Hygienist Awards: la Prof.ssa Gianna Maria Nardi, professore associato del Dipartimento di Scienze Odontostomatologiche e Maxillo Facciali diretto dal prof. Umberto Romeo, è stata premiata sia con il Premio Europeo che con il Global Award, di rilevanza internazionale, nella categoria Academy. I suoi studi costanti e la sua ricerca su protocolli innovativi hanno contribuito all’evoluzione della scienza dell'igiene orale, e stimolato i futuri igienisti dentali all’impegno formativo.

La Dott.ssa Federica D’Anteo è stata premiata nella categoria Public Health per il suo impegno nell'educare la comunità sull'importanza dell'igiene dentale e diffondere conoscenza sull’igiene orale.

La Dott.ssa Lorella Mengarelli è stata premiata nella categoria di Full time Clinician, riconoscimento del suo impegno quotidiano nel fornire cure e gestire le terapie dei pazienti appartenenti alle categorie più fragili.

Le innovazioni tecnologiche per la gestione della salute del paziente in terapia ortodontica

Professore

La terapia ortodontica richiede un approccio clinico interdisciplinare tra ortodontista, pedodontista, odontoiatra, parodontologo, protesista, implantologo e/o chirurgo maxillo facciale per i casi più complessi, ed un approccio clinico di prevenzione attento e personalizzato in base al tipo di terapia e dispositivo scelto per risolvere malformazioni, malocclusioni e/o disfunzioni conclamate o per risolvere quei disturbi o disordini della crescita in odontoiatria pediatrica.

Esiste un indice di necessità del trattamento ortodontico (IOTN) che va dal grado 1 che contempla lievissime malocclusioni con malposizioni dei denti inferiori a 1 mm, fino al grado 5 che contempla diverse situazioni contemporanee come l’eruzione ostacolata a causa di affollamento, dislocazione o presenza di denti soprannumerati e/o agenesie (mancanza congenita di elementi dentali) o problemi di funzione della lingua o della respirazione.

dentali con i differenti allineatori e far percepire le differenti simmetrie e movimenti durante la terapia ortodontica.

FlexiLigner, nella produzione dei suoi allineatori ortodontici, mette a disposizione il suo software FlexiSoft, una piattaforma online innovativa che integra avanzati strumenti ortodontici per il controllo e la pianificazione dei trattamenti. Include Ortho Check, Ortho Tuner e Photo Editor che offrono visualizzazioni, azioni 3D interattive, movimentazioni dentali precise, analisi dell'occlusione e gestione dei movimenti mandibolari; il tutto gestendo simmetrie facciali e dentali mediante le foto del viso e intraorali. Attraverso la funzione opzionale Cone Beam + Modello 3D, è possibile inoltre controllare dettagliatamente lo spessore osseo, prevenendo complicazioni come le recessioni gengivali e avere il controllo completo delle movimentazioni reali delle radici anatomiche. Inoltre, un'app mobile facilita la comunicazione con il laboratorio,

La progettazione computerizzata del trattamento ortodontico offre la possibilità al professionista di condividere con la persona assistita la visualizzazione dei percorsi terapeutici stimolando una migliore aderence alla gestione della terapia.

L’approccio motivazionale al rispetto delle indicazioni della terapia è fondamentale per il successo della stessa, e le terapie con allineatori ortodontici invisibili, sono preferite dalle persone assistite di tutte le età e con diverse complessità di trattamento, poiché rispettano la discrezione del trattamento e salvaguardano la vita di relazione. L’innovazione tecnologica permette, attraverso sofisticati strumenti di supporto, di condividere attraverso piattaforme on-line o con applicazioni mobili, di interagire con la persona assistita e visualizzare i movimenti

garantendo un'operatività continua e accesso rapido ai dati clinici. www.flexiligner.it e riservato ai medici www.flexiligner.it/medici/

L’apprendimento esperenziale attraverso le immagini stimola l’osservazione riflessiva e favorisce una predisposizione ad accettare la terapia e ad accogliere le indicazioni sul trattamento proposto dall’ortodontista favorendo maggiore aderence alle indicazioni sull’igiene domiciliare che verranno fornite successivamente dalla competenza dell’igienista dentale. Il trattamento ortodontico richiede comunque un livello di attenzione alto sul controllo dell’equilibrio dell’ecosistema microbiologico attraverso l’azione meccanica data da un efficace spazzolamento e dal controllo chimico del biofilm batterico. L’uso di collutori, dentifrici e gel deve prevedere la scelta di molecole che con-

trollino l’attività batterica e che abbiano un potere remineralizzante per salvaguardare la salute dello smalto dentale. La scelta del kit domiciliare deve essere personalizzata in base alla situazione clinica presente ed in base alla scelta condivisa con la persona assistita, tenendo in considerazione sia la manualità che esso esprime durante le manovre di spazzolamento, che le caratteristiche tissutali e anatomiche del cavo orale, e soprattutto il tipo di terapia ortodontica in atto. (TBM) L’ozonoterapia domiciliare con olio di oliva ozonizzato ha il vantaggio di essere efficace sul controllo dell’attività batterica non creando gli inestetismi delle discromie.

Consegnare l’allineatore invisibile con un kit dedicato alla cura dell’igienizzazione della mascherina è un momento importante di sensibilizzazione a corretti stili di vita. La terapia ortodontica con allineatori invisibili deve prevedere una particolare attenzione alla gestione dell’igienizzazione dello stesso, che deve consentire in maniera agevole di mantenere la trasparenza dell’allineatore ed assicurare l’efficacia nel contra-

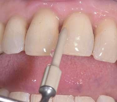
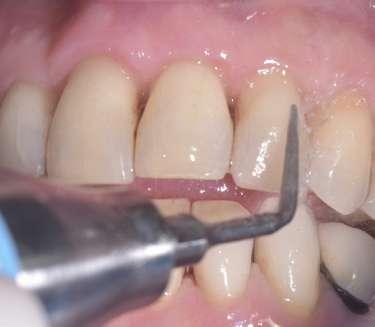
stare inquinamento da batteri e virus. L’igienizzazione degli allineatori invisibili e degli apparecchi ortodontici mobili con ergonomici spray all’olio di oliva ozonizzato Ialozon clean (Gemavip) permette di mantenere la trasparenza del dispositivo ortodontico invisibile ed un più facile utilizzo nella fascia d’età adolescenziale. Al termine della terapia è fondamentale dopo il debonding, eseguire un clean-up ortodontico attento. Il Clean Up è l'innovativo approccio clinico che, grazie all’ausilio degli ultrasuoni e dell’inserto piezoelettrico D05120 con diamantatura D30 e dell’inserto D07102 con parte operativa in PEEK D06007 (MECTRON) permette la rimozione minimamente invasiva dei residui di adesivi e/o compositi a seguito di terapia ortodontica standard o invisibile. Il nuovo protocollo ENAMEL SAFE POST DEBONDING (G. M. Nardi et al.) “SMALTO SICURO POST DEBONDING” con tecnologia piezoelettrica si è dimostrato efficace e sicuro per il clean-up ortodontico. (Enamel Analysis by 3D Scanning after Three Orthodontic Clean- Up Procedures: An In-Vitro Test of a New Piezoelectric Tool).

Dopo il clean up sarà opportuno remineralizzare le superfici dentali e programmare i follow-up delle sedute di profilassi professionale.

Un italiano su tre ne soffre

I 5 consigli di Elty di DaVinci Salute per sentirsi rigenerati e pronti ad affrontare al meglio la quotidianità dopo la pausa estiva

Il rientro dalle vacanze genera di solito emozioni contrastanti: da un lato, c'è il desiderio di ritrovare la propria routine quotidiana, ma dall'altro, l'idea di riprendere le attività e le responsabilità abituali può diventare fonte di stress. Il brusco passaggio dal relax al tran-tran di tutti i giorni, sommato a responsabilità lavorative e personali, possono innescare sensazioni di ansia, tristezza, irritabilità, fatica e tensione.

Secondo i dati Istat, si stima che lo stress da rientro colpisca circa il 35% della popolazione, con maggior incidenza tra i 25 e i 45 anni e coloro che svolgono attività lavorative ad alto contenuto intellettuale.

Durante le vacanze, tendiamo infatti ad allontanare le preoccupazioni quotidiane e i pensieri che generano ansia, per immergerci in uno stato di completa serenità e rilassamento. Tuttavia, al rientro nella routine quotidiana, siamo improvvisamente chiamati a riadattare la nostra attenzione agli impegni familiari, lavorativi o scolastici che caratterizzano la nostra vita di tutti i giorni.

Per superare la cosiddetta sindrome da rientro, detta anche back-to-work blues, ed esseri pronti a inaugurare un nuovo anno lavorativo con entusiasmo e voglia di fare, la dott.ssa Cupperi, psicologa che collabora con Elty di DaVinci Salute suggerisce alcuni semplici comportamenti per riprendere i ritmi abituali:

1. Concedersi un periodo di adattamento: non è necessario tornare immediatamente alla frenesia quotidiana. Cercare di pianificare il rientro in modo da avere uno o due giorni per riorganizzarsi, riprendendo gradualmente i ritmi. Ritagliarsi dei momenti di pausa un po’ più lunghi è fondamentale così da consentire a corpo e mente di riabituarsi ai ritmi lavorativi, decisamente differenti da quelli delle ferie e organizzare il lavoro con intelligenza senza caricarsi subito di troppi impegni. Creare una lista di priorità e affrontare i compiti uno alla volta, può aiutare a prevenire il senso di sopraffazione dalla mole di lavoro accumulata.

2. Mantenere uno stile di vita sano: integrare nella propria routine qualche elemento che ci ha fatto sentire bene durante le vacanze, come una

passeggiata serale, la lettura di un buon libro o la preparazione di un piatto speciale. Piccoli gesti possono aiutare a mantenere una connessione con il senso di benessere sperimentato in ferie. Praticare attività fisica dicendo addio alla sedentarietà e curare il nostro sonno ri-abituandosi al solito ritmo sonno sveglia.

3. Coltivare le relazioni: restare in contatto con le persone conosciute in vacanza e ritrovare quelle che abbiamo lasciato in città. Stare in compagnia di amici e persone care può aiutare a superare lo stress da rientro così come coltivare la gratitudine focalizzandosi sugli aspetti positivi del-

conto che i sintomi di ansia e depressione al rientro dalle vacanze estive non ci consentono di vivere serenamente, parlare con uno psicologo può essere d’aiuto per ritrovare il proprio equilibrio emotivo.

Ritornare alla propria quotidianità dopo le vacanze può essere quindi molto impegnativo, ed è fondamentale comprendere le proprie emozioni e ciò che davvero ci disturba. Un terapeuta potrà sostenerci proprio in questo, aiutandoci a mettere a fuoco le cause profonde della sindrome da rientro e a capire come far sì che non incidano sulla nostra vita, supportandoci nello sviluppare strategie efficaci

attento al proprio benessere psicofisico rispetto al passato. Pertanto, implementare servizi di welfare che rispondano a queste esigenze può contribuire significativamente al successo aziendale, creando un ambiente lavorativo più sano e produttivo. La promozione della salute psicologica, insieme a quella fisica, deve essere ritenuta una base essenziale delle strategie aziendali per valorizzare il capitale umano e aumentare, al contempo, la produttività del business.

Da sempre Elty di DaVinci Salute è attenta a rendere la salute fisica e mentale sempre più accessibile alle

la quotidianità e delle vacanze appena trascorse. La gratitudine può aiutare a ridurre lo stress, migliorando l’umore.

4. Self care: lo stress post-vacanze può essere ridotto con semplici pratiche di auto-cura. Il prendersi cura di sé attraverso pratiche come lo yoga, meditazione o anche semplicemente un po' di tempo dedicato a un hobby possono fare una grande differenza. Inoltre essere pazienti con sé stessi è fondamentale soprattutto i primi giorni quando si è un po’ fuori forma. Accettare queste sensazioni senza giudicarle e senza pretendere troppo da noi stessi è un passo importante per superare questa fase in modo sereno.

5. Avvalersi di supporto psicologico se necessario: se però ci rendiamo

per affrontare lo stress lavorativo, migliorare le relazioni interpersonali, favorendo il benessere emotivo sia nella vita privata che professionale.

Sostenere le persone e i dipendenti attraverso una serie di servizi ad alto valore inserendoli nei programmi di welfare aziendale, rappresenta un gesto concreto da parte delle aziende per il benessere collettivo. Il welfare aziendale, oggi, va ben oltre i tradizionali fringe benefits, includendo servizi che promuovono il benessere fisico e mentale dei lavoratori. Le aziende che investono in questi programmi non solo migliorano la soddisfazione e la fedeltà dei propri dipendenti ma attraggono anche nuovi talenti.

Secondo il VII Rapporto Censis-Eudaimon, l'82,8% degli italiani è più

persone. Tramite la piattaforma digitale dedicata ai servizi di benessere fisico e mentale, Elty di DaVinci Salute fornisce un aiuto concreto alle aziende che vogliono rafforzare i servizi welfare per i loro dipendenti, grazie al medico e al pediatra online e al supporto psicologico.

“Il rientro dalle vacanze non deve essere visto come una brusca fine del divertimento ma piuttosto come un'opportunità per portare nella nostra vita quotidiana ciò che ci ha fatto stare bene.” aggiunge la Dott.ssa Cupperi.

In conclusione, lo stress da rientro dalle vacanze è un fenomeno comune, ma con i giusti accorgimenti e il supporto dei professionisti di Elty di DaVinci Salute, è possibile affrontarlo e superarlo ritrovando un sano equilibrio nella propria vita.

Intelligenza Artificiale, pilastro della sanità del futuro?

Negli ultimi venti anni, l'intelligenza artificiale (IA) è passata dall'essere una nozione fantascientifica a una realtà concreta e sempre più integrata nelle nostre vite quotidiane. Questo progresso è stato particolarmente significativo nel settore sanitario, dove l'IA sta rivoluzionando la fornitura di cure mediche, migliorando l'efficienza operativa e l'esperienza dei pazienti. Fino a poche decine di anni fa, la conoscenza medica raddoppiava ogni 50 anni, nel 2024 questo tempo si è ridotto a poche settimane. Questo incremento esponenziale è facilitato dalla generazione automatica di dati, come quelli provenienti dai dispositivi indossabili e dall'accessibilità crescente dei dati.

Il recente via libera dato dal Consiglio Europeo all'AI Act, cioè la proposta legislativa dell'Unione Europea volta a regolamentare l'uso dell'intelligenza artificiale all'interno del mercato unico europeo, rappresenta un passo cruciale per garantire che l'adozione di tecnologie di AI avvenga in modo sicuro e responsabile, particolarmente nelle applicazioni critiche del settore healthcare come ad esempio la gestione delle cartelle cliniche elettroniche o il monitoraggio dei pazienti. Il principale obiettivo dell'AI Act, pertanto, è mitigare i potenziali rischi associati all'uso dell'IA, promuovendo al contempo l'innovazione tecnologica e la competitività dell'industria europea.

Sebbene l'adozione dell'intelligenza artificiale nel settore sanitario sia ancora agli inizi, secondo il report di McKinsey sull’AI, si prevedono tre fasi di scalabilità che trasformeranno radicalmente la cura dei pazienti e le operazioni sanitarie. Nella prima fase, le soluzioni IA si concentreranno su compiti amministrativi e ripetitivi che occupano

le, aumentando allo stesso tempo la produttività e l'efficienza della consegna delle cure a un maggior numero di persone. Diverse trasformazioni sono già in atto e la domanda che molti si pongono è come queste tecnologie influenzeranno il numero di posti di lavoro. La realtà è che il settore sanitario europeo affronta una significativa carenza

inevitabilmente portando a nuove attività per i professionisti della salute e alla necessità di acquisire competenze completamente nuove. I pazienti oggi hanno un accesso senza precedenti alla conoscenza medica e le loro aspettative per i servizi digitali sono elevate, spesso arrivando a una consulenza con informazioni già acquisite, pron -

una parte significativa del tempo dei professionisti sanitari. Questo include la gestione delle prenotazioni, la compilazione dei referti e altre attività burocratiche. La seconda fase vedrà un'espansione delle soluzioni IA per supportare la transizione delle cure dalla clinica alla casa del paziente. Questo includerà sistemi di monitoraggio remoto che utilizzano IA per inviare avvisi tempestivi ai medici e assistenti virtuali per la gestione delle cure quotidiane. La terza fase sarà caratterizzata dall'integrazione di soluzioni IA nella pratica clinica basate su evidenze raccolte da trial clinici. Ci sarà un crescente focus sul miglioramento e sulla scalabilità degli strumenti di supporto decisionale clinico.

Pertanto, l'AI diventerà parte integrante della catena del valore della sanità, influenzando ogni aspetto, dall'educazione e la ricerca fino alla cura e al miglioramento della salute della popolazione mondia -

di personale, una lacuna che è destinata a crescere ulteriormente nei prossimi anni.

Secondo l'Organizzazione Mondiale della Sanità, la domanda di operatori sanitari in Europa raggiungerà i 18,2 milioni entro il 2030 e l'attuale disponibilità di 8,6 milioni di assistenti sanitari non sarà sufficiente a soddisfare le necessità attuali e future.

Per questo motivo, un passo cruciale sarà l'integrazione di nuove competenze digitali all'interno delle organizzazioni sanitarie, sia per i medici che per tutto il personale di “prima linea”. Infatti, l'introduzione di nuove tecnologie sta

te per essere discusse con il medico. L'introduzione di soluzioni IA, come gli strumenti di e-triage o di autodiagnosi, potrebbe accentuare questa tendenza dei pazienti a presentarsi con una diagnosi e un trattamento preformati. Inoltre, la qualità delle informazioni ottenute può variare ampiamente, portando a frustrazione per i medici che devono rispondere a domande basate su informazioni incomplete o talvolta errate.

Continua la lettura qui:

https://shorturl.at/A94iW

Formazione continua. Base per un corretto rapporto di lavoro

Ciao a tutti, mi presento: mi chiamo Sara Guida, ho 37 anni sono di Roma e sono 7 anni che svolgo la professione di Assistente di Studio Odontoiatrico.

Mi trovo oggi a scrivere questo articolo a seguito di una piacevole conversazione avuta con Rossella Abbondanza, Presidente dell’associazione IDEA, sull’importanza della formazione continua, in quanto nel mio quotidiano senza di essa, non avrei avuto le basi e soprattutto la coscienza giusta per potermi rapportare con il mio datore di lavoro e con tutto il team del mio studio.

Fortunatamente ho con il mio titolare un ottimo rapporto che mi ha permesso di confrontarmi apertamente sulle novità introdotte dal rinnovo del CCNL Studi Professionali. Dopo aver partecipato al webinar di aggiornamento su questo argomento organizzato da IDEA a maggio scorso, ho scoperto che nella mia busta paga mancavano alcune voci. In virtù della buona relazione, ho potuto quindi esporgli i punti chiave discussi sul nuovo contratto ASO e contestualmente ragionare assieme sui passi da intraprendere per poterli applicare, a beneficio non soltanto mia ma anche della mia collega che, invece, era all’oscuro di tutto.

Tutto ciò non sarebbe avvenuto se non avessi seguito il webinar sul rinnovo del contratto che riguarda anche gli ASO e adesso vi racconto perché. Qualche settimana fa è accaduto che, con il mio titolare, abbiamo iniziato a ricercare le specifiche contrattuali e i riferimenti di legge sul nuovo CCNL, soprattutto sulla tantum di vacanza contrattuale e il passaggio di livello,

Avendo presenziato al webinar proposto dall’ associazione dal loro consulente del lavoro Francesco Ricciolo e grazie soprattutto alla sua disponibilità e al servizio offerto da IDEA di consulenza gratuita per i Soci IDEA (accogliendo anche quella del mio datore di lavoro) ho potuto metterli in contatto telefonicamente in modo da avere una visione chiara sul da farsi.

La consulenza è stata assolutamente efficace in quanto, offrendo al mio titolare le giuste indicazioni e motivazioni, ho potuto anche richiedere con estrema tranquillità e sicurezza il passaggio di livello. Infatti, dopo aver chiarito e motivato la mia richiesta il dottore è stato ben predisposto. Non mi ha sorpreso perché so che è una persona corretta ma questo evento mi ha fatto comprendere quanto sia importante essere seguiti e supportati da una associazione di categoria seria che si avvale di professionisti seri e disponibili.

Questo per dirvi ragazze che siamo nel 2024, abbiamo visto la nostra figura professionale nascere, prendere forma e ottenere finalmente un riconoscimento che purtroppo da molti odontoiatri non è ancora del tutto compreso e spetta a noi far arrivare il messaggio

a destinazione. Abbiamo ancora tanto da fare e in questo la formazione ha un ruolo cruciale perché consente a noi, nuove figure professionali, di confrontarci attraverso i congressi e webinar, così da comprendere e far comprendere a tutti i colleghi che non basta solo un attestato, anni di lavoro e un contratto per essere ASO, soprattutto nel nostro lavoro, un lavoro tecnico, che cambia già da paziente a paziente ed è in continua e rapida evoluzione.

Dobbiamo quindi, in primis, essere ancora noi a ricordare che l’assistente è molto più di una persona che affianca il dottore alla poltrona ed aspira la saliva, ma è colei che agevola il lavoro e le relazioni tra tutte le figure professionali che circolano in studio, organizza il lavoro dall’inizio alla fine espletando le proprie mansioni con rapidità, precisione e attenzione assoluta al mantenimento di una buona relazione con i pazienti e alla salute del paziente e del team.

Tutto ciò possiamo ottenerlo solo aggiornandoci e soprattutto confrontandoci tra colleghe, ma anche con il nostro datore di lavoro, ricordandoci che quello che oggi è utile a me, domani può aiutare un altro collega.

Riassumendo, il webinar ma soprattutto l’associazione IDEA, mettendo a disposizione dei propri soci tantissime ore di aggiornamento gratuite, inserendo sempre gli aggiornamenti necessari seguendo le novità del momento, sia in ambito lavorativo che amministrativo e legale, offrendo anche assistenza continua con grande professionalità, mi ha permesso di:

1. Conoscere bene quali sono i miei doveri ma anche i diritti;

2. Analizzare in modo razionale e oggettivo la situazione e ottenere un risultato importante;

3. Comprendere bene quali sono le aspettative del mio titolare;

4. Riconoscere le mie lacune o i miei limiti e porvi rimedio studiando e perfezionando le competenze, offrendo così la massima professionalità (sempre più richiesta).

Spero che la mia esperienza possa essere di aiuto a tutti i colleghi e odontoiatri nell’ottenere tutti i risultati prefissati, ma soprattutto che aiuti a generare un ottimo rapporto con il datore e le altre figure di collaborazione, perché solo con il confronto e l’armonia un team può essere vincente.

Primo Simposio Congiunto delle Associazioni di studio sulla laser-terapia

Maurizio Maggioni

Presidente AIOLA

Desidero ringraziare il Direttivo in carica per quanto ha fatto quest’anno, dalla realizzazione dei webinar del Lunedì da gennaio ad oggi e per la partecipazione agli appuntamenti istituzionali. Chi non avesse avuto la possibilità di seguirci potrà rivedere la lezione molto interessante cliccando sul link di seguito: https://t.ly/iBngl

I nostri incontri ricominceranno ad ottobre il secondo lunedì del mese, perciò il 24 ottobre alle ore 21.00.

A settembre AIOLA e le Associazio-

ni consorelle del mondo laser italiano hanno organizzato il primo simposio congiunto a Paestum nei giorni 27 e 28.

“2024 La rigenerazione tessutale: laser, emocomponenti e biomateriali. Lo stato dell’arte e le prospettive future”

Tutti i soci potranno intervenire gratuitamente e solo se necessitano di ECM vi sarà la quota speciale riservata. Un’occasione imperdibile per chi ancora non è socio, iscrivendosi ora per l’anno 2025 si potrà usufruire di questa agevolazione: www.aiola.org

2024 La rigenerazione tessutale: Laser, Emocomponenti e Biomateriali

Nel programma i migliori nomi della Università di San Paolo del Brasile, che, come sapete, ha con AIOLA un rapporto di partenariato internazionale per la ricerca e la divulgazione della laser terapia, inoltre i colleghi di SILO e ANTHEC, ma soprattutto i nostri relatori Aiola e moderatori.

Momento importante per iniziare un percorso tra le associazioni che possa permettere a tutti di fruire dei migliori servizi e soprattutto di avere in anteprima ogni informazione utile alla professione.

Venerdì 27 Settembre

Preoccupazioni per la sicurezza del filo interdentale

Una recente indagine di Consumer Reports ha fatto luce sulle sostanze chimiche potenzialmente dannose presenti in alcune marche di filo interdentale ampiamente utilizzate.

I risultati, originariamente riportati dalla NBC Chicago, sollevano interrogativi sulla sicurezza di alcuni prodotti per il filo interdentale e sul loro potenziale impatto sulla salute dei consumatori. Una delle preoccupazioni principali evidenziate nel rapporto è la presenza di sostanze per- e polifluoroalchiliche (PFAS) in alcuni fili interdentali.

Per ulteriori informazioni: https://dentalresourceasia.com/it/dental-floss-safety-concerns-new-analysis-reveals-hazards/

Dror Ortho-Design, Inc. inizia una sperimentazione con ZSMILE

Dror Ortho-Design, Inc (OTC PINK: DROR), società sviluppatrice di soluzioni ortodontiche, basate sull'intelligenza artificiale, che ha realizzato un sistema per correggere il sorriso delle persone allineando i denti, utilizzando aria pulsante erogata da un singolo allineatore intelligente personalizzato, ha annunciatol’inizio di una sperimentazione sui pazienti prima del lancio di una nuova rivoluzionaria soluzione per l’allineamento dentale, pensata per essere utilizzata durante il sonno o comunque in casa. La sperimentazione della nuova soluzione ortodontica basata, sull'intelligenza artificiale, di Dror coinvolgerà un gruppo di pazienti idonei, ortodontisti e professionisti del settore odontoiatrico in Israele. La soluzione di prima generazione dell'azienda ha ricevuto il marchio CE europeo nel 2013 e l'autorizzazione FDA 510(k) nel 2020, dimostrando che il sistema ad aria pulsante raddrizza efficacemente i denti in modo simile agli allineatori tradizionali. Oltre alle sperimentazioni cliniche, questo sistema ha trattato con successo oltre 250 pazienti in Israele e in Europa.

Presentato Platinum Pro Glow di MOON:

la soluzione 3 in 1 definitiva per lo sbiancamento dei denti

MOON Oral Beauty, un pioniere nell'innovazione per la cura orale, lancia la nuova generazione del suo dispositivo per lo sbiancamento dei denti. Un trattamento 3 in 1 con luci LED blu, rosse e gialle per risultati personalizzabili e mirati e uno sbiancamento cosmetico senza pari. Con questa nuova innovazione, MOON guida il settore in rapida crescita, offrendo una soluzione di sbiancamento dei denti a casa di alta qualità che affronta sia i risultati estetici che la salute orale in un formato accessibile e facile da usare.

Il dispositivo per lo sbiancamento dei denti Platinum Pro Glow è clinicamente provato per sbian-

care i denti fino a 18 tonalità in una sola settimana se usato due volte al giorno per 5 minuti a sessione. Le strisce sbiancanti Platinum Express Dissolving più avanzate di MOON, formulate con idrossiapatite protettiva dello smalto per un uso sicuro sui denti sensibili.

L'applicazione delicata è senza problemi, senza risciacquo o rimozione. Oltre allo sbiancamento avanzato con luce LED blu, MOON sta integrando nuove frequenze di terapia con luce LED per offrire il triplo dei benefici per lo sbiancamento dentale in una singola sessione.

Per ulteriori informazioni:

www.dentistrytoday.com/introducing-moons-platinum-pro-glow-the-ultimate-3-in-1-teeth-whitening-solution/

Il ruolo della dieta in odontoiatria

La dieta gioca un ruolo fondamentale nella salute generale e il suo impatto sulla salute orale è profondo. Come dentisti, comprendere la connessione tra nutrizione e salute orale può migliorare l'assistenza e i risultati dei pazienti. Questo articolo si basa su recenti ricerche e linee guida per chiarire in che modo la dieta influisce sulla salute dentale e come i professionisti del settore dentale possono integrare la consulenza nutrizionale nella loro pratica.

La dieta influenza lo sviluppo di condizioni orali croniche come carie, malattia parodontale e cancro orale.

Le linee guida dietetiche per gli americani (2020-2025) del Dipartimento dell'agricoltura degli Stati Uniti sottolineano l'importanza di una dieta equilibrata nelle diverse fasi della vita, sottolineando che una cattiva alimentazione è una delle principali cause di malattie prevenibili e morte negli Stati Uniti.

Per ulteriori informazioni: https://shorturl.at/VuHi7

L’analisi della lingua basata

sull’intelligenza

artificiale si dimostra promettente nel rilevamento delle malattie

La nuova tecnologia vanta una precisione del 98% nella diagnosi di varie malattie Un recente articolo pubblicato su dentistry. co.uk riporta uno sviluppo rivoluzionario nella diagnostica medica: un algoritmo di intelligenza artificiale (AI) in grado di rilevare varie malattie analizzando il colore della lingua di un paziente.

Questo approccio innovativo, che combina tecnologie all’avanguardia con le pratiche della medicina tradizionale cinese, ha dimostrato una notevole accuratezza nei test iniziali.

Il sistema di intelligenza artificiale, sviluppato da un team di ricercatori iracheni e australiani, si basa sulla premessa che l'aspetto della lingua può essere indicativo di varie condizioni di salute.

Secondo il gruppo di ricerca, il colore, la forma e lo spessore della lingua possono fornire preziose informazioni sullo stato di salute di una persona.

L'autore senior Ali Al-Naji ha spiegato l'importanza dell'analisi della lingua, affermando: "Il colore, la forma e lo spessore della lingua possono rivelare una serie di condizioni di salute"

Per ulteriori informazioni: https://dentalresourceasia.com/it/ai-powered-tongue-analysis-shows-promise-in-disease-detection/

nell'aggiornamento scientifico in Odontoiatria Speciale

Dott.ssa Elisabetta Merigo

Specialista Ambulatoriale UOSD Odontostomatologia "Disabilità e Progetti speciali" - Ospedale Guglielmo da Saliceto AUSL Piacenza

Dott. Aldo Oppici

Direttore UOSD Odontostomatologia "Disabilità e Progetti speciali" - Ospedale Guglielmo da Saliceto - AUSL Piacenza

In campo medico, l'aggiornamento scientifico rappresenta un pilastro fondamentale per garantire la qualità e l'efficacia delle cure offerte ai pazienti. Questa necessità di costante aggiornamento è particolarmente evidente in odontoiatria, un settore in cui le innovazioni tecnologiche e le nuove scoperte scientifiche hanno un impatto diretto sulla pratica clinica e sulla qualità di vita dei pazienti. Ogni anno, nuove ricerche e studi clinici rivelano scoperte che possono migliorare le metodologie diagnostiche, le opzioni terapeutiche e i protocolli di trattamento. Questo rapido progresso rende indispensabile per i professionisti della salute mantenersi aggiornati sulle ultime evidenze scientifiche.

L'odontoiatria, e, in particolare, l'Odontoiatria Speciale, non fa eccezione a questa regola. I professionisti della salute che si occupano di Persone special needs devono affrontare una varietà di condizioni e patologie orali che richiedono un approccio interdisciplinare e una conoscenza di condizioni spesso inusuali e da approfondire.

Chi si occupa di Odontoiatria Speciale deve spesso accettare la sfida di trovare soluzioni efficaci in pazienti complessi. Ad esempio, le innovazioni tecnologiche che stanno rivoluzionando la diagnosi e il trattamento delle patologie del cavo orale possono rappresentare in questa disciplina una soluzione a problemi sino ad ora difficilmente affrontabili.

Allo stesso modo, l’introduzione di nuovi materiali ha migliorato le opzioni restaurative in pazienti che offrono minor tempo di collaborazione o caratterizzati dall'impossibilità a mantenere un campo operatorio in condizioni ottimali.

Visto che l'approccio personalizzato è cruciale in Odontoiatria Speciale, conoscere e aggiornarsi sulle migliori strategie di comunicazione con i pazienti special needs, interagendo con esperti di altre discipline (educatori, logopedisti, pedagogisti, psicologi…) può fare la differenza sul risultato terapeutico.

La Società Italiana di Odontostomatologia per l'Handicap (SIOH) rappresenta un importante punto di riferimento nell'ambito dell'Odontoiatria Speciale, dedicandosi alla promozione della salute orale e sistemica nei pazienti con bisogni speciali ed, al tempo stesso, definendo l'aggiornamento scientifico come una componente essenziale per garantire un'assistenza di alta qualità e basata sulle più recenti evidenze.

L'aggiornamento scientifico, secondo

SIOH, non è solo un'opzione, ma una necessità imprescindibile per affrontare le sfide dell'Odontoiatria Speciale, motivo per cui, nel proprio manifesto “SIOH: la nostra identità” (www.sioh.it), il secondo punto propone come mission: “Promuovere la conoscenza dell’Odontoiatria Speciale attraverso la formazione continua e l'aggiornamento dei professionisti della salute, in maniera conforme ai principi deontologici, al fine di migliorare costantemente la qualità dell'assistenza”

SIOH promuove un approccio interdisciplinare e innovativo nel panorama odontoiatrico che coinvolge diverse figure professionali (odontoiatri, medici, igienisti e ASO).

Per il Convegno Nazionale che si terrà a Piacenza il 12 ottobre, SIOH ha organizzato sessioni specifiche vertenti su temi cruciali quali la gestione ambulatoriale dei pazienti con disturbi del neurosviluppo, le nuove strategie di prevenzione per

Con il patrocinio

i pazienti oncologici e l'uso delle tecnologie digitali nella riabilitazione protesica con lo scopo di fornire ai partecipanti le competenze necessarie per adottare i protocolli più recenti e le migliori pratiche nel trattamento dei pazienti con bisogni speciali.

Ulteriore aspetto significativo dell'aggiornamento scientifico promosso da SIOH è la gestione del rischio clinico: attraverso la presentazione di casi clinici e la discussione delle migliori pratiche, la Società mira a preparare gli odontoiatri a riconoscere e gestire le complicanze che possono sorgere nel trattamento dei pazienti speciali. Questo tipo di formazione pratica viene considerata fondamentale ed è rivolta soprattutto ai liberi professionisti, che hanno così modo di aggiornarsi su tematiche mediche complesse, al fine di divenire più sicuri ed efficaci nella pratica clinica quotidiana.

Un elemento distintivo del Convegno

Dipartimento Regionale Emilia Romagna

S.I.O.H. Società Italiana di Odontostomatologia per l’Handicap

www.sioh.it

Convegno Nazionale S.I.O.H. SALUTE ORALE E SALUTE SISTEMICA

PIACENZA

12 Ottobre 2024

Presidente del Convegno Dott. Aldo Oppici

Sede del Convegno PALAZZO FARNESE

Piazza della Cittadella, 29 - Piacenza

della carico quanto Salute momento SSN. presa in team? dare specialistica spesso

Nazionale strumenti odontoiatrico valutazione multidisciplinare, solo inteso comunque ogni tutti i necessità, Oppici Convegno

Nazionale SIOH 2024 è la Tavola rotonda dedicata ad Associazioni di familiari dei pazienti con bisogni speciali, un'opportunità unica per creare un dialogo diretto tra i professionisti della salute e le persone che vivono quotidianamente a contatto con i pazienti special needs. Coinvolgere le Associazioni di familiari è cruciale per SIOH e per l’aggiornamento

dei propri Soci, poiché esse offrono uno sguardo insostituibile sulle Persone con disabilità. Tale collaborazione permette di comprendere meglio, da una parte, quali sono le richieste dei familiari e dall’altra quali sono le reali possibilità di fornire risposte efficaci. SIOH ritiene, inoltre, che trasmettere le conoscenze di Odontoiatria Speciale agli

Programma della giornata

08.00-08.30 Registrazione partecipanti

08.30-08.45 Introduzione al XXII Convegno Nazionale S.I.O.H.

Saluto del Presidente S.I.O.H. Saluto delle Autorità

08.45-09.05 PIERDANTE PICCIONI

La medicina di prossimità: invisibili e intrasportabili

09.05-09.25 MARCO MAGI

La consapevolezza dei pazienti nella medicina di genere in Odontoiatria Speciale: una nuova grande sfida

Prima Sessione

LA GESTIONE AMBULATORIALE POSSIBILE

Moderatori: Claudia Dellavia, Pamela Armi, Umberto Esposito

09.25-09.50 ELENA ZAFFIGNANI, ALMUDENA SANCHEZ ORTÌ

L’approccio ragionato al paziente oncologico: i nuovi farmaci antitumorali e la gestione odontoiatrica

09.50-10.15 SIMONE BUTTIGLIERI

La ricerca del successo clinico nei pazienti con disturbi del neurosviluppo

10.15-10.40 GIULIANA BONTÀ L’efficacia dei protocolli di prevenzione primaria nel paziente speciale: lo stato dell’arte

10.40-11.00 Coffee break

Seconda Sessione

STRATEGIE E INNOVAZIONE

Moderatori: Laura Strohmenger, Federica Demarosi

11.00-11.25 MATTEO BASSO

La carenza di autonomia e collaborazione in ambito ambulatoriale: strategie in conservativa

11.25-11.50 CHRISTIAN BARBIERI

Dall’analogico al digitale nella riabilitazione protesica rimovibile: quali miglioramenti reali?

11.50-12.10 Discussione

12.10-13.00 Tavola Rotonda - Educare, formare e informare: una carenza culturale da colmare?

Moderatore: Paolo Ottolina

formazione specifica in Odontoiatria Speciale consente di migliorare l'accoglienza e l'accompagnamento dei pazienti, di ottimizzare la comunicazione tra il paziente, la famiglia e l'equipe odontoiatrica e di gestire con competenza situazioni complesse che possono sorgere durante le visite e i trattamenti (ad esempio, le problematiche relative alla postura o alla gestione del paziente disfagico).

In conclusione, SIOH considera l'aggiornamento scientifico un elemento fondamentale per la pratica dell'Odontoiatria Speciale. Attraverso un approccio multidisciplinare e interdisciplinare, l'adozione di nuove tecnologie e una costante formazione continua, la Società si impegna a garantire professionisti sempre pronti a offrire cure di alta qualità basate sulle più recenti evidenze scientifiche, impegno verso l'aggiornamento finalizzato non solo a migliorare la pratica clinica, ma contribuisce soprattutto la qualità di vita dei pazienti con bisogni speciali.

assistenti di studio odontoiatrico (ASO) sia di importanza strategica per garantire un'assistenza integrata e di alta qualità ai pazienti con bisogni speciali. Gli ASO svolgono un ruolo cruciale nel supporto quotidiano delle attività cliniche, contribuendo non solo alla gestione operativa dello studio, ma anche al benessere psicologico e al comfort dei pazienti. La loro

Per maggiori informazioni

Programma della giornata

13.00-14.00 Light lunch

Terza Sessione

PERCORSI E APPROCCI MULTIDISCIPLINARI

Moderatori: Nicola Laffi, Franco Goia, Enrico Calcagno

14.00-14.25 ROBERTO ROZZA

Le implicazioni sistemiche dei disturbi del sonno e il ruolo del medico odontoiatra

14.25-14.50 ELENA PETA, DEBORA SASSO, ANNA MARIA BAIETTI Il percorso del paziente pediatrico in regime di ricovero

14.50-15.15 VIVIANA CORTESI ARDIZZONE

La prevenzione nel paziente geriatrico speciale in ambito domiciliare: l’insegnamento di un’esperienza decennale

Sessione poster NO ECM

Commissione: Paola Morgagni, Elisabetta Merigo, Benedetta Bellettini, Vladimiro Lanza, Sebastiano Cutrupi

15.50-16.10 Pausa

Quarta Sessione

LA GESTIONE DEL RISCHIO CLINICO

NEL PAZIENTE SPECIALE: CASI CLINICI

Moderatori: Antonio Lauria, Elisabetta Merigo, Carlo Fornaseri

16.10-17.30 GIULIANO ASCANI

Approccio ambulatoriale precoce alle MRONJ

SERGIO SALINA

Il laser nella terapia parodontale del paziente fragile

PAOLA SALERNO

Buone pratiche nel percorso chirurgico del paziente complesso

RAFFAELE PICCINONNO

Gestione della patologia ascessuale e delle sue complicanze

17.30-18.00 Discussione

18.00

Conclusione e termine dei lavori

La normalità è lusso

Negli anni 80 - 90 si cercava di fare protesi che durassero una vita, mentre oggi pare debbano andare in estinzione nel giro di 4-5 anni, come fanno i dispositivi che usiamo giornalmente, cellulari e poi tutto il resto. È sotto gli occhi di tutti che l’utile aziendale - ospedali compresi - supera di gran lunga l’interesse per il paziente. Nei bei discorsi da salotto il paziente è evocato come un politico fa col suo elettore, ma poi sui letti di ospedale, sulle poltrone odontoiatriche o nelle scatole dei lavori sugli scaffali dei laboratori, le cose stanno spesso ben diversamente, fatte le dovute, anche se rare eccezioni. Potrei stare qui a raccontare su che fine hanno fatto i concetti di precisione rispetto agli anni suddetti, elencando una quantità smisurata di risibili giustificazioni alla sciatteria e all’imprecisione, ma voglio concentrarmi su qualcosa che non è possibile non elencare: la conoscenza dei denti! Le scuole di oltreoceano e d’oltralpe del secolo scorso, hanno portato al buio della conoscenza e lo dico senza mezzi termini! Libri intrisi di denti falsi e inventati che hanno invaso le menti degli operatori, me compreso! Forme astruse legate alla vendita di apparecchi con la presunzione meccanica dell’individualità funzionale, che farebbero sgranare gli occhi e storcere il naso di uno studente del primo anno di ingegneria. Ancora oggi nei miei test che eseguo

da 24 anni su dentisti e odontotecnici, riscontro che oltre il 90% non riconosce un primo da un secondo premolare, ne se è destro o sinistro ecc. Danni enormi sulle menti che riverberano nelle mani e che trasformano i denti in capsule e i restauri in piatte e squallide otturazioni, la cui parola andrebbe cancellata da ogni piano di trattamento e preventivo annesso. I denti hanno un loro progetto interno leggibile sul piano matematico- geometrico (AFG) che li rende umani e soprattutto funzionali. I denti secondo natura servono a tenerci in vita tramite la masticazione, che è la vera funzione e che avviene a denti staccati tra loro e mai a contatto! I denti poi servono alla componente esteti -

considerati “falsi” o “contraffazioni”. Sulla base di cosa si può dire che un oggetto è falso? Pensiamo a un orologio o a una borsa di lusso, il falso emerge prima di ogni cosa da errori numerici e geometrici, così è per i denti! Il problema è che un errore nel cavo orale può compromettere la funzionalità, non intesa solamente come rapporto tra i denti ma soprattutto tra denti e cibo.

Il paziente va dai professionisti per rimettersi i denti e una protesi nemmeno la vorrebbe, ma qui si parla ormai solo di protesi e si propongono varie tipologie di artifici meccanici, ma non si sente mai parlare di ciò che essi “trasportano”. “La domanda nasce spontanea”: ma ci sono i den -

ca della vita di relazione, ovvero al mantenimento della specie tramite la ricerca del partner. Tutto ciò avviene solo se il dente rispetta le regole (non le forme!) ripetitive imposte dalla natura e che quasi mai si vedono sulle protesi o sui cosiddetti denti da passerella per i social. Di fatto si potrebbe affermare che “sulle protesi non ci sono denti” ma artifici, che se fossero venduti in altri settori sarebbero

ti sopra le protesi? Secondo me no! Ovviamente facendo le dovute, rare, eccezioni.

Se guardassimo - ad esempio - ai denti per le protesi mobili o alla stragrande maggioranza delle librerie digitali, si potrebbero notare forme astruse, senza rispetto delle regole della natura e soprattutto della fluidodinamica durante la masticazione. Se vogliamo fare un altro test molto semplice,

possiamo catalogare le bocche scannerizzate e osservare le cosiddette “otturazioni” nei denti rappresentati digitalmente. Si potrà facilmente notare come i denti che hanno subito trattamenti o protesi sono quasi sempre stati privati dei requisiti di anatomia umana normale. Provare per credere! Alla fine di questa breve, ma credo intensa e cruda disamina, potrei provare ad affermare che “La normalità è un lusso!”.

Avere un dente che assomiglia a quelli naturali in modo serio e non solo apparente, non è affatto cosa quotidiana, anzi direi assai rara! Certe capacità richiedono studio a lungo termine da parte del professionista (quai mai impartite da scuole o università) conoscenze matematico - geometriche della forma dentale (es: AFG), nonché capacità soprattutto manuali. Chiudo facendo un accostamento apparentemente fuori luogo. Immaginiamo di dover prendere un aereo da Roma a Milano in classe economy, se fossimo alti sopra ai 180 cm ci ritroveremmo con le ginocchia sotto il mento; se capitassimo nel claustrofobico posto centrale, potremmo leggere un giornale solo facendo a gomitate col vicino. Questo è NORMALE!

Se fossimo su un aereo con la business class ci ritroveremmo a pagare uno sproposito per avere ciò che a casa abbiamo già e molto meglio sul nostro divano: normalità = lusso. Ora facciamo il nostro bel volo pindarico e trasformiamoci in pazienti bisognosi di curare un dente, la “NORMALIT À ” prevede una bella “toppa” sul nostro dente o una bella capsula con una “croce in testa”. Se volessimo un dente che assomiglia e funziona davvero come un dente naturale, ovvero LA NORMALIT À , tutto diventerebbe LUSSO, che assomiglierebbe molto alla business class del nostro aereo.

“Perciò chiusi in bottiglia quei fiori di neve, l’etichetta diceva elisir di giovinezza!” (Il medico - Fabrizio De Andrè)

PRESIDENTI

COORDINAMENTO

Mazur

Livia Ottolenghi

Gaspare Palaia

Umberto Romeo

Gianluca Tenore

Iole Vozza

08.30

VENERDÍ 13 SETTEMBRE 2024

Registrazione dei partecipanti

09.00 Apertura dei lavori congressuali

09.15

17th International Meeting Accademia Il Chirone 13 - 14 settembre 2024

LA SOSTENIBILITÀ IN ODONTOIATRIA: conoscere i problemi e progettare un futuro possibile

SUSTAINABILITY IN DENTISTRY: Understanding Problems and Designing a Possible Future

Ugo Covani

Intervento di apertura della Magni ca Rettrice della Sapienza Università di Roma e Presidente del Comitato Scienti co

Antonella Polimeni

Intervento e saluto del Direttore del Dipartimento

Umberto Romeo

Moderatori: Fabrizio Guerra, Gianluca Tenore

09.30 Studio delle problematiche a impatto ambientale nell'ottica di una ottimizzazione dell'economia circolare in ambito odontoiatrico: dal produttore all'utilizzatore

10.00

Maurizio Bossù, Gabriele Di Carlo

Osteonecrosi delle ossa mascellari farmaco-relata: an update

Michele Davide Mignogna

10.30 Sostenibilità del sistema salute, nuovi approcci nella gestione delle infezioni del cavo orale

Germano Orrù

11.00 Pausa: visita all‘area tecnologica

11.30 Med Device Lab: Conoscere per decidere: un supporto concreto ai professionisti

12.00

Fernanda Gellona

Cancro Orale: la sottostima ed il ritardo diagnostico

Gianluca Tenore, Giovanni Maria Gaeta

12.30 Protocolli clinici per il clean-up e per la contenzione a seguito della terapia ortodontica

Maciej Jedlinski, Marta Mazur, Gianna Maria Nardi

13.00 Pausa

Moderatore: Gaspare Palaia

14.00 Nuovo dispositivo per il trattamento della mucosite e perimplantite

Giovanni Falisi

14.30 È veramente necessario sottoporre il paziente a lunghi periodi con dei trattamenti remineralizzanti? Timing sostenibili e protocolli personalizzati.

Andrea Butera

15.00 Tecnologie: l’impatto delle nuove regole comunitarie sull’organizzazione e la sostenibilità della ricerca

Roberto Poscia

15.30 Evoluzione del piano di trattamento chirurgico: etica vs estetica

16.00

Felice Roberto Grassi, Fabio Scarano Catanzaro

Pausa: visita all’area tecnologica

16.30 NON BRUCIAMOCI IL SORRISO: RIDUCIAMO IL RISCHIO

Comportamenti tabagici degli studenti e laureati in igiene dentale e delle professioni sanitarie

Gianna Maria Nardi, Roberta Grassi

Riduzione del rischio e impatto sulla Salute Orale: Studio Smile

Roberto Lo Giudice, Riccardo Polosa

18.00 Cambiamenti siologici ed ormonali della gravidanza ed impatto sulla salute orale

Michela Antonioni, Laura Bertuzzo, Ilenia Mappa, Gianna Maria Nardi

ATASIO PER L’ACCADEMIA IL CHIRONE

18.30 Chiusura dei lavori congressuali

SABATO 14 SETTEMBRE 2024

08.45

Apertura dei lavori congressuali

Moderatori: Annamaria Genovesi, Marta Mazur

09.00 Mozione per una “green osteology”

Ugo Covani

09.30 Salute orale e stili di vita: il cambiamento comportamentale

Antonella Abbinante, Caterina Di Marco, Maurizio Luperini, Silvia Cotellessa, Gianna Maria Nardi

10.30 La sostenibilità nel tessile medicale, tra fake news, green washing e realtà

Gianna Pamich

11.00 Pausa: visita all‘area tecnologica

11.30 Sorrisi individuali per pazienti unici

Come rendere I nostri restauri armonici e credibili nei visi dei nostri pazienti con restauri indiretti non invasivi (faccette e faccette addizionali)

Luca L. Dalloca

12.00

L'igienista dentale nella gestione dell'eruzione passiva alterata (APE)

Andrea Pilloni

12.30 La forza di un sorriso tra le corsie d’ospedale

Marina Nanni, Iacopo Scascitelli

13.00 Chiusura dei lavori del 17th International Meeting Accademia Il Chirone

SPONSOR

Odontostomatologiche e Maxillo-Facciali

FRIDAY 13 SEPTEMBER 2024

08.30 Participants registration

09.00

09.15

09.30

10.00

10.30

11.00

11.30

12.00

12.30

13.00

Opening of the Congress proceedings

Ugo Covani

Opening Speech by the Chancellor of Sapienza University of Rome and President of the Scienti c Committee

Antonella Polimeni

Greetings from the Director of the Department

Umberto Romeo

Chairmen: Fabrizio Guerra, Gianluca Tenore

Study of problems with environmental impact with a view to optimize the circular economy in the dental sector: from the producer to the user

Maurizio Bossù, Gabriele Di Carlo

Medication-related osteonecrosis of the jaw: an update

Michele Davide Mignogna

Sustainability of the Health System: New Approaches in the Management of Oral Cavity Infections

Germano Orrù

Break: Visit to the Technology Area

Med Device Lab: Knowing to Decide: Concrete Support for Professionals

Fernanda Gellona

Oral Cancer: Underestimation and Diagnostic Delay

Gianluca Tenore, Giovanni Maria Gaeta

Clinical Protocols for Clean-Up and Retention Application and Maintenance

Following Orthodontic Therapy

Maciej Jedlinski, Marta Mazur, Gianna Maria Nardi

Break

Chairman: Gaspare Palaia

14.00 A new device for treatment of mucositis and perimplantitis

Giovanni Falisi

14.30 Is it really necessary to subject the patient to long periods of remineralizing treatments?

Sustainable timing and personalized protocols

Andrea Butera

15.00 Technologies: Impact of new EU rules on Research Organisation and Sustainability

Roberto Poscia

15.30 Evolution of the Surgical Treatment Plan: Ethics vs. Aesthetics

16.00

16.30

Felice Roberto Grassi, Fabio Scarano Catanzaro

Break: Visit to the Technology Area

LET'S NOT BURN A SMILE: LET'S REDUCE THE RISK

Smoking Behaviour of Dental Hygiene and Allied Health Students and Graduates

Gianna Maria Nardi, Roberta Grassi

Riduzione del rischio e impatto sulla Salute Orale: Studio Smile

Roberto Lo Giudice, Riccardo Polosa

18.00 Physiological and Hormonal Changes in Pregnancy and Their Impact on Oral Health

Michela Antonioni, Laura Bertuzzo, Ilenia Mappa, Gianna Maria Nardi

ATASIO PER L’ACCADEMIA IL CHIRONE

18.30 Closing of the Congress Sessions

SATURDAY 14 SEPTEMBER 2024

08.45 Opening of the Congress Sessions

Chairmen: Annamaria Genovesi, Marta Mazur

09.00 Motion for a "Green Osteology"

Ugo Covani

09.30 Oral Health and Lifestyles: Behavioral Change

Antonella Abbinante, Caterina Di Marco, Maurizio Luperini, Silvia Cotellessa, Gianna Maria Nardi

10.30 Sustainability in medical textiles, between fake news, green washing and reality

Gianna Pamich

11.00 Break: visit to the technological area

11.30 Unique smiles for unique patients.

How non-invasive indirect restorations (veneers and add-on veneers) make our restorations harmonious and believable in our patients' faces.

Luca L. Dalloca

12.00 The dental hygienist in the management of Altered Passive Eruption (APE)

Andrea Pilloni

12.30 The strength of a smile in the hospital wards

Marina Nanni, Iacopo Scascitelli

13.00 Closing of the 17th International Meeting Accademia Il Chirone

Iscrizioni

L’iscrizione è gratuita ma obbligatoria e dà diritto alla partecipazione alle sessioni scienti che e all’attestato di partecipazione. Scansiona il qr-code e compila il form on-line

Website www.accademiailchirone.it

Segreteria organizzativa Sorriso.it Srl

Via Giovanni Falcone10 - 70018 Rutigliano (BA) Per informazioni

congresso.accademiailchirone@gmail.com

Referente: Stefania Nanni (cell. +39 349 8164735)

Elaborazione e gra ca a cura di

redazione@infomedix.it

Festeggiamo un secolo di eccellenza: The Greater New York Dental Meeting

La celebrazione del centenario del Greater New York Dental Meeting (GNYDM) rappresenta il momento più opportuno per riflettere sullo straordinario viaggio che ci ha portato al punto in cui ci troviamo oggi: il più grande evento dentale e convention negli Stati Uniti.

La nostra storia è sommessamente iniziata negli anni '20, con solo poche centinaia di partecipanti e un paio di programmi educativi. Sono stati gli sforzi collettivi di un gruppo di dentisti di Brooklyn, Staten Island e Manhattan a gettare le basi per quello che sarebbe diventato un evento iconico nel campo dell’odontoiatria.

Gli anni ’40 portarono con sé nuove sfide poiché gli Stati Uniti dovettero affrontare la minaccia di guerra e la possibilità di attacchi aerei. L’odonto -

iatria si trovò a un bivio, con una nuova necessità per i dentisti di diventare chirurghi ausiliari più attivi nel trattamento delle lesioni facciali durante la Seconda Guerra Mondiale. Questo periodo segnò l’inizio di una nuova era in cui gli americani riconobbero l’importanza di un’adeguata assistenza sanitaria orale, la necessità di una riforma dentale e di accesso alle cure.

Con meno di 1.000 partecipanti provenienti dall'area dei tre stati, il Greater New York Dental Meeting iniziò presso l'Hotel Pennsylvania a New York City. Il concetto era semplice ma rivoluzionario: creare una piattaforma in cui i professionisti del settore dentale potessero incontrarsi per apprendere, condividere idee e far progredire la propria professione.

Nel 1975 il GNYDM si trasferì all'Hil -

ton Hotel, espandendosi per integrare fiere ed aziende di prodotti dentali con la formazione dentale. Questa unione delle interazioni tra espositori e partecipanti ha aperto la strada a nuove opportunità di vendita, spingendo il GNYDM verso nuovi livelli.

Nel 1987 il GNYDM firmò l’accordo con il Jacob K. Javits Convention Center, segnando un nuovo inizio con nuove prospettive. Riconoscendo la propria responsabilità sia nei confronti dei partecipanti che degli espositori, il GNYDM è diventato l'unico incontro odontoiatrico scelto dal Dipartimento del Commercio degli Stati Uniti per aiutare i produttori ad avere successo in un mercato globale. Oggi

gnolo, portoghese, russo e cinese, ci impegniamo a soddisfare le diverse esigenze dei nostri partecipanti. Inoltre, i nostri incontri per specialisti coprono una vasta gamma di argomenti, dall'implantologia e l'ortodonzia all'odontoiatria pediatrica, all'apnea notturna e al cancro orale.

Guardando indietro a un secolo di eccellenza, siamo grati per il supporto dei nostri partecipanti, espositori e partner che ci hanno aiutato a raggiungere questo traguardo. Brindiamo ad un altro secolo di progresso della salute orale e di miglioramento della qualità di vita attraverso il Greater New York Dental Meeting!

siamo il leader del settore dentale statunitense nel commercio nazionale ed internazionale.

Nel 2023 il GNYDM ha registrato il numero record di 36.081 partecipanti, tra cui 13.302 dentisti, 2.793 studenti e specializzandi in odontoiatria, 2.027 assistenti dentali e 2.320 igienisti dentali provenienti da 139 Paesi. Il nostro piano espositivo offre sconti speciali ed omaggi. I professionisti del settore dentale hanno la possibilità di visitare oltre 1.020 stand espositivi.

Ma non è solo una questione di numeri: riguarda la qualità dell'istruzione e delle esperienze che offriamo. Con oltre 265 seminari e workshop pratici, inclusi programmi in spa -

2024 CENTENNIAL CELEBRATION FREE PRE-REGISTRATION OPENS IN APRIL

Greater New York Dental Meeting November 29th – December 4th

Contact Us: info@gnydm.com www.gnydm.com @GNYDM #GNYDM

Art Hotel Museo, Prato

Prof. Grassi e Dott. Scarano Catanzaro

La chirurgia guidata totalmente digitale: dall’impronta facciale alla protesi a carico immediato

PROF. FELICE ROBERTO GRASSI

Professore Ordinario SSD MED/28(Malattie Odontostomatologiche) presso la Scuola di Medicina e dell'Università degli Studi di Bari "Aldo Moro”,dal 2000 al 2023,attualmente in quiescenza.Direttore del Dipartimento di Odontostomatologia e Chirurgia dell'Università degli Studi di Bari per trienni dal 2004-2007 e 2008-2011 (incarico ricoperto sino a novembre 2008).Direttore del Dipartimento di Metologia clinica e tecnologie medico chirurgiche chirurgica 2011 -2012. Responsabile italiano del progetto di ricerca (Ultra fast laser surfacing of teeth for resistance to erosion. Grant agreement for: industry-academia partnerships and pathways) LUSTRE. IAPP project (EU Project No. 324538) Co-Autore delle "Linee guida nazionali per la promozione della salute orale e la prevenzione delle patologie orali in età adulta" per il Ministero della Salute.Revisore esterno designato dall’Agenzia Nazionale (ANVUR) nell ambito della Valutazione della Qualità della Ricerca Nazionale 2015-2019 per il Settore Disciplinare MED-28 e MED 50. Componente della Commissione per l’abilitazioneScientifica Nazionale(ASN) 2021-2022.Sett.Concorsuale:06/F1 Malattie odontostomatologiche. Presidente Corso di Laurea in Odontoiatria e Protesi Dentaria nel triennio accademico 2008-2011 c/o Facolta di medicina e chirurgia dell, Universita degli

ABSTRACT

l’uso di

dedicati. In questo modo ogni odontoiatra avrà l’opportunità di eseguire la progettazione chirurgica di un proprio caso con la realizzazione di una mascherina chirurgica per un suo paziente. Il software sarà dato in omaggio ad ogni partecipante.

OBIETTIVI

L'obiettivo del corso di implantologia computer guidata è quello di indicare un protocollo che partendo dalla diagnosi si prefigge un percorso in moduli, volti alla programmazione, passando dalla progettazione sino alla realizzazione del manufatto protesico.

PROGRAMMA

Materiali, metodi e strumentario chirurgico

Acquisizione di materiali digitali

Studio del caso con file digitali

Importare e valutare immagini acquisite con tac o dental scan

Pianificare il trattamento implantare guidato con software di progettazione

PROF. FELICE ROBERTO GRASSI

Preparazione sito implantare con mascherine per chirurgia guidata • Presa dell’ impronta analogica o digitale e finalizzazione protesica

Professore Ordinario SSD MED/28(Malattie Odontostomatologiche) presso la Scuola di Medicina e dell'Università degli Studi di Bari "Aldo Moro”,dal 2000 al 2023,attualmente in quiescenza.Direttore del Dipartimento

Il carico immediato: elemento singolo, all-on-4 e all-on-6, la chirurgia guidata: dalla pianificazione chirurgica al carico immediato

ed esteri. Past-Presidente della Società Italiana di Chirurgia Orale ed Implantologia (SICOI). Socio attivo e fondatore dell'italian Academy of Osteointegration (lAO). Socio attivo della Società Italiana di Parodontologia; membro della Società Europea di Parodontologia. Socio attivo della Società Italiana di Chirurgia Orale (SICO). Socio attivo dell'Accademia Italiana di Odontoiatria al MicroscopioSocio attivo Computer Aided Implantology (CAl) Academy. Socio attivo della Società Italiana di Chirurgia Orale ed Implantologia (SICOl). Socio attivo della Società Italiana di chirurgia orale (SIDCO). Socio onorario dell'Associazione Igienisti Dentali Italiani (AIDI). Socio fondatore dell'Accademia "Il Chirone”. IN FEDE PROF.FELICE ROBERTO GRASSI 12 SETTEMBRE 2023. DOTT. FABIO SCARANO CATANZARO Odontoiatra. Laureato in Odontoiatria e protesi dentaria Università

Progettare sorrisi che i pazienti adorano

DentalCAD® offre strumenti innovativi per migliorare comunicazione e aumentare il coinvolgimento del paziente, come il modulo Smile Creator I pazienti amano le previsualizzazioni. I laboratori amano la predicibilità. Imagine the CADabilities!

exocad.com/dentalcad

Magdalena Kotula, Odontotecnico

Turn static files into dynamic content formats.

Create a flipbook
Issuu converts static files into: digital portfolios, online yearbooks, online catalogs, digital photo albums and more. Sign up and create your flipbook.