Lab+Life Scientist Feb/March 2025

Page 1


LIFE’S BUILDING BLOCKS FOUND IN ASTEROID SAMPLES

GENE THERAPY REVERSES HEART

FAILURE

6 SPECIALLY DESIGNED PEPTIDES CAN TREAT COMPLEX DISEASES

29 FETUSES CAN FIGHT INFECTIONS WITHIN THE WOMB

Two separate research teams have found ways to create short chains of amino acids, or peptides, for the purpose of treating a variety of diseases — including cancer.

14 LIFE’S BUILDING BLOCKS FOUND IN BENNU ASTEROID SAMPLES

Analysis of the samples reveals that evaporated water left a briny broth where salts and minerals allowed the elemental ingredients of life to intermingle

19 STORING HIGHLY FLAMMABLE CHEMICALS IN A LAB

Understanding the risks associated with storing flammable chemicals is crucial for maintaining a safe laboratory environment.

23 GENE THERAPY REVERSES HEART FAILURE IN LARGE ANIMAL MODEL

The therapy increases the amount of blood the heart can pump and dramatically improves survival, in an apparently unprecedented recovery of cardiac function.

26 NOVEL FLUIDIC PROCESSOR OFFERS SWITCHABLE CAPTURE AND RELEASE

It has been a longstanding challenge to design a platform that enables the switchable capture and release of liquids with precise spatial and temporal control.

A fetus has a functional immune system that is well-equipped to combat infections in its developing nervous system, long before birth.

30 PREDICTING THE IMPACT OF PROTEIN MUTATIONS WITH SIMPLE MATHS

It turns out that the impact of mutations on protein stability is more predictable than previously thought.

33 NEWLY DEVELOPED PLASTIC IS RECYCLABLE AND OCEAN-DEGRADABLE

While some recyclable and biodegradable plastics exist, one big problem remains: current biodegradable plastics like PLA often find their way into the ocean.

(Don’t) look up

At the time of writing, there’s a feeling in the air that planet Earth isn’t faring too well. In the wake of the Los Angeles wildfires, the World Meteorological Organization confirmed that 2024 was the warmest year on record, with a global average surface temperature 1.55°C above the 1850–1900 average. Bird flu is continuing to make its way around the world, with a new strain recently detected on not one but two Victorian poultry farms — literally days after Australia declared itself bird flu-free. Oh, and NASA has just announced that the asteroid 2024 YR4 has a 2% chance of impacting Earth on 22 December 2032, increasing from the 1% chance that was originally proposed.

While a 2% chance of impact remains very small, according to NASA, astronomers would like to reduce their uncertainty about the asteroid and its impact risk. The problem is, asteroid 2024 YR4 is set to fade from view in a few months’ time, and will only become visible again in 2028. With this in mind, an international team has been granted emergency use of the James Webb Space Telescope to improve our understanding of the size and orbit of the asteroid.

The main thing astronomers wish to gain is a more accurate estimate of the asteroid’s size, which is currently believed to be somewhere between 40

and 90 metres in diameter. This will help them to more accurately assess the hazard posed by a potential impact: while this would be limited to a local scale, the hazard represented by a 40 m asteroid is very different to that of a 90 m asteroid. The Webb telescope was of course created to help the human race better understand our place in the universe, but on this occasion, it could very well play a part in saving us from destruction.

Ironically, while one asteroid has the ability to end life on Earth (at least some of it), another appears to be carrying the building blocks that allowed life on Earth to form in the first place.

Yes, this issue of Lab+Life Scientist includes a look at the Bennu asteroid, which has long intrigued researchers due to its near-Earth orbit and carbon-rich composition. Samples of the asteroid were collected in space back in 2020 and returned to Earth in September 2023; now, the results of their analysis have finally been revealed (you can find our article on page 14).

Other highlights this issue include the story of two research teams who are creating peptides for the purpose of fighting complex diseases (page 6); some essential guidelines for storing flammable chemicals in the lab (page 19); and a new gene therapy that can reverse the effects of heart failure and restore heart function in a large animal model (page 23).

In conclusion: the world can be a pretty scary place sometimes, and it can be tempting to just

turn off the news and live in ignorance. But if we did that, we’d miss out on all the good news as well — all the discoveries, all the treatments, all the improvements in the way things can be done. Take the recent construction of the final chromosome in the world’s first synthetic yeast genome, which could lead to the creation of more resilient organisms in the face of climate change and future pandemics. Or the development of a new twice-yearly injection for HIV prevention, which offers a 96% reduced risk of infection and could be life-changing for those who have limited access to health care. I hope this publication does a half-decent job at bringing you the latest science news from around the world, and we’ll keep doing so for as long as possible — just as long as we don’t get taken out by an asteroid first.

Lauren Davis

Disordered proteins such as this are extremely difficult to destroy with therapeutics due to a lack of structured, ordered segments to target.

Specially designed peptides can treat complex diseases

Two separate research teams have found ways to create short chains of amino acids, termed peptides, for the purpose of treating a variety of diseases — including cancer.

One approach to treat disease is to develop therapeutics that can specifically target and destroy the proteins driving it. Sometimes these key proteins have well-defined structures, like a neatly folded origami crane, so conventional small molecule therapies can easily bind to them. But more than 80% of disease-causing proteins instead resemble a messy ball of yarn — disordered and tangled — making it difficult for standard therapies to find a pocket on the surface to latch on and do their job.

To circumvent this issue, researchers have explored how peptides can be used to bind to and degrade disease-causing proteins. Because peptides are small versions of proteins, they don’t require surface pockets for binding. Instead, they can bind to various amino acid sequences throughout the protein. But even these approaches have their limits, as existing ‘off-the-shelf’ binders have not been designed to attach to unstable or overly tangled protein structures. While scientists have been working on developing new binding proteins, these approaches still rely on mapping out the 3D structural information of the target protein, which is not available for disordered targets.

Rather than try to map out the structures of disease-causing proteins, Assistant Professor Pranam Chatterjee and his team of biomedical engineers at Duke University took inspiration from generative large language models (LLMs) to create a solution. The result, described in the journal Science Advances, is PepPrCLIP, or Peptide Prioritization via CLIP.

The first component of the tool, PepPr, uses a generative algorithm trained on a vast library of

natural protein sequences to design new ‘guide’ proteins with specified characteristics. CLIP, the second component of the platform, utilises an algorithm framework, initially developed by OpenAI to match images and corresponding captions together, to test and screen which of these peptides match with their targeted proteins. The CLIP model here only requires the target sequence.

“OpenAI’s CLIP algorithm connects language with an image,” Chatterjee explained. “If you have text that says ‘dog’, you should get an image of a dog. Instead of language and image, we trained it to match peptides and proteins. PepPr makes the peptides, and our adapted CLIP algorithm will screen those peptides and tell us which ones will make a good match.”

In a comparison against RFDiffusion, an existing platform for generating peptides using the 3D structure of a target, PepPrCLIP was faster and was able to create peptides that were almost always a better match for their targeted protein. To gauge how well PepPrCLIP could work with both ordered and disordered protein targets, Chatterjee and his lab teamed up with researchers from Duke University Medical School, Cornell University and Sanford Burnham Prebys Medical Discovery Institute to experimentally test the platform.

In the first test, the team showed that PepPrCLIP-generated peptides could effectively bind to and inhibit the activity of UltraID, a relatively simple and stable enzyme protein. Next, they used PepPrCLIP to design peptides that could attach to beta-catenin — a disordered, complex protein involved in signalling for several different types of cancer. The team generated six peptides that CLIP indicated could bind to the protein and showed that four could effectively bond to and degrade their target. By destroying the protein, they can slow down cancer cell signalling.

Assistant Professor Pranam Chatterjee (left), in the lab with one of his students.

In their most complicated test, the team designed peptides that could bind to a highly disordered protein affiliated with synovial sarcoma — a rare, aggressive cancer that can develop in soft tissue and mostly affects children and young adults. According to Chatterjee, “It’s like a bowl of spaghetti; it’s the most disordered protein in the world.”

The team tested 10 designs by putting their peptides into synovial sarcoma cells. They observed that the PepPrCLIP-designed peptides could both bind and degrade the protein, just as it had with simpler targets. And if they can destroy the protein, they have an opportunity to develop a therapy for a previously undruggable cancer.

Beyond plans to continue to improve their platform, Chatterjee and his team plan to partner with medical and industry professionals to begin creating peptides that could eventually be used in new therapies for diseases caused by unstable proteins like Alexander disease, a fatal neurological disease that primarily affects children, and different types of cancers. According to Chatterjee, “These complex, disordered proteins have made a lot of cancers and diseases practically undruggable because we couldn’t design molecules that bind to them” — but PepPrCLIP has shown that it can work on even the most complicated protein, which opens up a lot of exciting clinical possibilities.

Enhancing efficacy

In a separate study, published in the journal Chem, scientists from the City University of New York (CUNY) and Memorial Sloan Kettering Cancer Center revealed how they are using specially designed peptides to improve drug formulations. This innovative method was found to significantly enhance anti-tumour efficacy, as demonstrated in leukaemia models.

The researchers set out to solve two critical challenges faced by drug delivery systems: poor solubility and inefficient delivery within the body. Many drugs do not dissolve well, making it difficult for them to reach their intended targets. Furthermore, current delivery systems waste a significant portion of the drug during preparation — only 5–10% of the drug is successfully loaded, leading to less effective treatments.

The research team has developed a novel solution by designing peptides to bind with specific drugs and create therapeutic nanoparticles. These nanoparticles are primarily composed of the drug, with a thin peptide coating that improves

solubility, enhances stability in the body and optimises delivery to targeted areas. This approach was found to achieve drug loadings of up to 98%, a dramatic improvement over traditional methods.

By using a combination of computer models and laboratory tests, new drug/peptide nanoparticles were identified. These subsequently demonstrated remarkable results in leukaemia models, with the nanoparticles proving more effective at shrinking tumours compared to the drugs alone. Additionally, their high efficiency allows for lower doses of drugs, potentially reducing the side effects.

“Peptides, which are designed molecules made from the same building blocks as the proteins in our body, are extremely versatile,” said co-principal investigator Rein Ulijn, Director of the Nanoscience Initiative at CUNY’s Advanced Science Research Center and a chemistry professor at Hunter College. “We thought they could be useful in solving two big problems seen in many drugs: poor solubility and inefficient delivery. By designing a peptide that binds the drug while enhancing its solubility, we were able to create nanoparticles with very high loading.”

The researchers believe their innovation holds significant potential because peptides can be customised to enhance the effectiveness of various drugs. Given the vast range of possible interactions

in peptide design, they say it may be feasible to tailor peptides for specific drugs, extending their applicability beyond cancer treatments.

“This breakthrough enables the development of better precision medicines,” said co-principal investigator Daniel Heller, Head of the Cancer Nanomedicine Laboratory at Memorial Sloan Kettering Cancer Center’s Molecular Pharmacology Program. “Using specially designed peptides, we can build nanomedicines that make existing drugs more effective and less toxic and even enable the development of drugs that might not be able to work without these nanoparticles.”

The research team is now adopting lab automation methods to further refine and accelerate the peptide-drug matching process. Their next steps include verifying the approach’s potential in a wider range of diseases. If successful, this innovation could lead to more effective treatments, reduced side effects, and significant cost savings in drug development.

“It’s incredible to see how simple variations in peptide sequence could match specific drugs,” said Naxhije ‘Gia’ Berisha, a former CUNY Graduate Center PhD student who performed much of the experimental work. “This suggests there may be a peptide match for every drug, potentially revolutionising the way medicines are delivered.”

High-loading peptide-drug nanoparticles.

Soccer heading damages the brain more than we thought

control the direction of the ball by hitting it with their head. Now, a study presented at the annual meeting of the Radiological Society of North America (RSNA) has suggested that heading may cause more damage to the brain than previously thought, and could even be linked to neurodegenerative diseases such as chronic traumatic encephalopathy (CTE).

While prior studies have identified injuries to the brain’s white matter in soccer players, Dr Michael L Lipton and colleagues at Columbia University Irving Medical Center utilised a new approach to brain imaging called diffusion MRI to analyse microstructures close to the surface of the brain. To identify how repeated head impacts affect the brain, the researchers compared brain MRIs of 352 male and female amateur soccer players, ranging in age from 18 to 53, to brain MRIs of 77 non-collision sport athletes, such as runners.

Soccer players who headed the ball at high levels showed abnormality in the brain’s white matter adjacent to sulci, which are

deep grooves in the brain’s surface. Abnormalities in this region of the brain are known to occur in very severe traumatic brain injuries.

The abnormalities were most prominent in the frontal lobe of the brain, an area most susceptible to damage from trauma and frequently impacted during soccer heading. More repetitive head impacts were also associated with poorer verbal learning.

“Our analysis showed that the white matter abnormalities represent a mechanism by which heading leads to worse cognitive performance,” Lipton said.

Most of the participants of the study had never sustained a concussion or been diagnosed with a traumatic brain injury. This suggests that repeated head impacts that don’t result in serious injury may still adversely affect the brain.

“The study identifies structural brain abnormalities from repeated head impacts among healthy athletes,” Lipton said. “The abnormalities occur in the locations most characteristic of CTE, are associated with worse ability to learn a cognitive task and could affect function in the future.”

The results of this study are also relevant to head injuries from other contact sports. The researchers thus stress the importance of knowing the risks of repeated head impacts and their potential to harm brain health over time.

TGA approves first treatment for geographic atrophy

The Therapeutic Goods Administration (TGA) has approved the use of the first treatment in Australia for geographic atrophy (GA) — a disease which causes severe, progressive central vision loss and is a leading cause of legal blindness for people over 50. The approval has been welcomed by the macular disease community, who to date have had limited treatment options.

More than 75,000 Australians are living with GA, also known as late ‘dry’ age-related macular degeneration (AMD). It is a progressive and irreversible disease caused by the growth of lesions, which destroy the retinal cells responsible for vision. The vision loss caused by GA severely impairs independence and quality of life.

Australia has now become the first country outside of the United States to approve the use of the drug pegcetacoplan (SYFOVRE) to slow down the progression of GA. The approval is based on results from the Phase 3 OAKS and DERBY studies at 24 months, which demonstrated that regular eye injections with pegcetacoplan slowed down lesion growth.

“For the first time, Australians with GA will have a treatment to slow the progression of this irreversible form of vision loss, said Dr Jeffrey Eisele, Chief Development Officer at Apellis Pharmaceuticals. “Building

“Characterising the potential risks of repetitive head impacts can facilitate safer sport engagement to maximise benefits while minimising potential harms,” Lipton said. “The next phase of the study is ongoing and examines the brain mechanisms underlying the MRI effects and potential protective factors.” on the success in the US, we are excited to bring SYFOVRE to even more patients who are impacted by this devastating disease.”

Professor Robyn Guymer AM led the Centre for Eye Research Australia’s (CERA) site of the international clinical trials into the new drug and was on the global advisory committee for Apellis. She said the approval of a treatment that can slow the progression of GA is a positive first step, with scientists now hoping to continue research which aims to find ways of preventing damage before it occurs.

“As a retina specialist, I have seen how GA often takes away a person’s ability to read, drive and even see faces of their loved ones,” Guymer said. “The approval of SYFOVRE is a historic moment full of hope for the Australian GA community, who have been waiting for a treatment.”

Dr Kathy Chapman, CEO of Macular Disease Foundation Australia, said the approval of SYFOVRE is welcome news but that not everyone with GA will necessarily be eligible for the treatment. Those with GA should therefore consult their ophthalmologist, who will weigh up the benefits and risks to determine if the new treatment is suitable for them.

ADHD drug shows promise for treating meth addiction

A prescription medication used to treat attention deficit hyperactivity disorder (ADHD) could be repurposed as the first pharmacotherapy for people with methamphetamine dependence, according to a new study published in the journal Addiction

As noted by addiction medicine specialist Professor Nadine Ezard, who is Director of the National Centre for Clinical Research on Emerging Drugs (NCCRED), there is currently no pharmacotherapy approved for treating methamphetamine dependence. But results from the landmark LiMA trial show that the psychostimulant known as lisdexamfetamine can drastically reduce the need to use methamphetamine among those who are dependent on the illicit drug.

As part of the trial, Ezard’s team at NCCRED — which is based at the National Drug and Alcohol Research Centre (NDARC), UNSW Sydney — recruited 164 adults who were dependent on methamphetamine and who had reported using the drug on at least 14 of the previous 28 days. Participants were randomly assigned to a 15-week regimen with lisdexamfetamine (one-week induction, 12-week maintenance on 250 mg/day and two-week reduction) or placebo, and tracked for four weeks after treatment.

Overall, those who received lisdexamfetamine had 8.8 fewer days of methamphetamine use on average during the 12-week maintenance phase than those in the placebo group. Those given the ADHD medication also had higher self-reported rates of treatment effectiveness (2.9 times higher) and treatment satisfaction (3.8 times higher) compared to participants given placebo. The effects were seen most strongly in the early weeks of the trial.

“While the beneficial effect waned towards the end of the treatment period, exploring the characteristics of ‘early responders’ in our study will be useful to understand who may benefit most from agonist therapies,” said Ezard, who was lead author on the study. She added that there were no unexpected safety concerns with high-dose lisdexamfetamine, with most adverse events deemed mild or moderate in severity.

An important limitation of the study was the high attrition rate of 39%; while this was consistent with other outpatient studies for methamphetamine use disorder, it impacted the statistical strength of the findings. Nevertheless, Ezard said the results were promising.

“While further research is needed, experienced clinicians could consider off-label prescription of lisdexamfetamine, with close monitoring of risks and benefits in line with current guidelines for psychostimulants, for people with methamphetamine use disorder,” she said.

People can access free and confidential advice about alcohol and other drugs by calling the National Alcohol and Other Drug Hotline on 1800 250 015.

Desalination breakthrough could bring fresh water to the world

Australian and Chinese researchers have found a way to make sea water evaporate faster than fresh water, in a breakthrough for desalination technology that should benefit billions of people worldwide. Their findings have been published in the journal Advanced Materials

Up to 36% of the world’s eight billion people currently suffer from severe water shortages for at least four months of the year, and this could potentially increase to 75% by 2050. Seawater desalination is one of the most effective strategies to alleviate the impending scarcity, but existing processes consume massive amounts of energy, leaving a large carbon footprint.

Researchers at the University of South Australia (UniSA) have already demonstrated the potential of interfacial solar-powered evaporation as an energy-efficient alternative to current desalination methods, but they are still limited by a lower evaporation rate for sea water compared to pure water due to the negative effect of salt ions on water evaporation. UniSA materials science researcher Professor Haolan Xu has now collaborated with researchers from China on a project to develop a simple yet effective strategy to reverse this limitation.

By introducing various inexpensive and common clay minerals into a floating photothermal hydrogel evaporator, the team achieved seawater evaporation rates that were 18.8% higher than pure water. This is a significant breakthrough given that previous studies had found seawater evaporation rates were around 8% lower than pure water.

“The key to this breakthrough lies in the ion exchange process at the air–water interface,” Xu said.

“The minerals selectively enrich magnesium and calcium ions from sea water to the evaporation surfaces, which boosts the evaporation rate of sea water. This ion exchange process occurs spontaneously during solar evaporation, making it highly convenient and cost-effective.”

According to the researchers, the hydrogel evaporator maintained its performance even after months of immersion in sea water. This is significant as even small declines in desalination performance can result in the loss of tens of millions of tons of clean water, due to the size of the global desalination market.

“This new strategy, which could be easily integrated into existing evaporation-based desalination systems, will provide additional access to massive amounts of clean water, benefiting billions of people worldwide,” Xu said.

The next steps will involve exploring more strategies that can make seawater evaporation faster than pure water evaporation and applying them to practical seawater desalination.

Breakthrough blood test for endometriosis developed

Australian researchers have developed a novel blood test to diagnose endometriosis — a debilitating condition affecting one in nine Australian women and girls. Their breakthrough, described in the journal Human Reproduction, is a significant step towards providing women with a noninvasive test that can detect all stages of the disease.

A chronic condition affecting approximately 190 million women and teenage girls globally, endometriosis can cause severe pelvic pain, painful periods and infertility. It occurs when tissue similar to the lining of the uterus grows in other parts of the body where it does not belong.

The breakthrough blood test was developed by Proteomics International, a Perth-based medical technology company. In collaboration with The Royal Women’s Hospital and The University of Melbourne, the company’s scientists analysed plasma samples from 805 participants across two independent groups.

“We identified 10 protein biomarkers, or ‘fingerprints’ in the blood, that can be found using our test in women and girls with endometriosis,” said Proteomics International’s Managing Director, Dr Richard Lipscombe.

The blood test, called PromarkerEndo, shows excellent results in distinguishing healthy people and those who are symptomatic for the disease from those who actually have early stages of endometriosis; indeed, it can diagnose all stages of endometriosis with a high degree of accuracy. And while there is currently no known cure for endometriosis and treatment is usually aimed at controlling symptoms, access to early diagnosis and effective treatment is extremely important.

“Currently, it takes on average seven years for a woman to receive a diagnosis and during that time she is enduring significant life impacting symptoms, her years of fertility are reducing and the endometriosis is spreading,” said Peter Rogers, Research Director at The Royal Women’s Hospital and Professor of Women’s Health Research at The University of Melbourne.

“These results are a significant step towards solving the critical need for a non-invasive, accurate test that can diagnose endometriosis at an early stage as well as when it is more advanced.”

Lipscombe added, “PromarkerEndo could significantly reduce the cost and the amount of time typically spent on trying to solve the cause of symptoms suffered by women and girls over years, often from as early as when they start having periods.

“A blood test is more cost-effective for patients and the health system than the current use of ultrasounds, invasive laparoscopies, MRIs and biopsies to diagnose endometriosis, and work is underway to fortify the robustness and reliability of the new test for clinical use.”

• PURE-GARD FOR CLEANABILITy

- CREVICE AND DIMPLE FREE DEsIGN

• PURE-GARD FOR sTRUCTURAL sTABILITy

- ONE PIECE AssEMBLy PROTECTs THE DIsC

- ALLOWs FOR MINOR PIPE MIsALIGNMENT

• PURE-GARD FOR EXTENDED PRODUCT LIFE

- ALLOWs FOR REGULAR GAsKET CHANGEs

• PURE-GARD Is TAG FREE

- ALL TECHNICAL DETAILs ETCHED ON BODy

• PURE-GARD HAs OPTIONAL BURsT DETECTION

PURE-GARD: 1”–4” Ø 40 – 300 psig

PURE-GARD SOLO: 1”–8” Ø 18 – 75 psig

aUSTraLIaN aGENT

A new way to cross the blood–brain barrier

Researchers at the Icahn School of Medicine at Mount Sinai have developed an innovative approach to deliver therapeutics into the brain, creating a blood–brain barrier-crossing conjugate (BCC) system designed to overcome the protective barrier that typically blocks large biomolecules from reaching the central nervous system (CNS). Their breakthrough, which has been published as a study in the journal Nature Biotechnology, provides new possibilities for treating a wide range of neurological and psychiatric diseases.

The blood–brain barrier is a natural protective shield that prevents harmful substances from entering the brain; however, it also blocks the delivery of life-saving drugs, creating a significant challenge in treating conditions like amyotrophic lateral sclerosis (ALS), Alzheimer’s disease, addiction and many other CNS disorders. As noted by Professor Yizhou Dong, co-corresponding senior author on the study, “The blood–brain barrier is an essential defence mechanism, but it also presents a significant challenge for delivering drugs to the brain.”

The BCC platform has been designed to break this barrier by taking advantage of a specialised biological process called γ-secretasemediated transcytosis to deliver large therapeutic molecules, like oligonucleotides and proteins, directly into the brain through a simple intravenous injection. This allows these biomacromolecules to reach the CNS safely and efficiently, addressing a pressing need.

The study showed that when the researchers injected a compound called BCC10 linked to specialised genetic tools known as antisense oligonucleotides into mice, it successfully reduced the activity of harmful genes in the brain. In a transgenic mouse model of ALS, the

treatment significantly lowered levels of the disease-causing gene called Sod1 and its associated protein. Similarly, a different antisense oligonucleotide linked to BCC10 greatly reduced another gene, Mapt, which encodes the tau protein and is a target for the treatment of Alzheimer’s disease and other dementias.

BCC10 proved to be highly effective at delivering these genetic tools to the brain, improving their ability to silence harmful genes in different models and even in samples of excised human brain tissue studied in the laboratory. Importantly, the treatment was well tolerated in mice, causing little or no damage to major organs at the tested doses, the investigators said.

“Our platform could potentially solve one of the biggest hurdles in brain research — getting large therapeutic molecules past the blood–brain barrier safely and efficiently,” said co-corresponding senior author Professor Eric J Nestler, Chief Scientific Officer of the Mount Sinai Health System. “This development has the potential to advance treatments for a broad range of brain diseases.”

Next, the investigators plan to conduct further studies in large animal models to validate the platform and develop its therapeutic potential.

Moderna opens mRNA manufacturing facility in Victoria

The only known mRNA manufacturing facility in the Southern Hemisphere has opened in Victoria, creating hundreds of jobs and ensuring that world-class mRNA vaccines and medicines will be able to be made in Australia.

The facility is the result of a 10-year partnership between the Australian Government, the Victorian Government and Moderna to advance Australia’s sovereign manufacturing and R&D capability in mRNA medicines and therapeutics. It is a key component of Moderna’s strategic investment in Australia and Victoria, complemented by the opening of its Regional Research Centre for Respiratory Medicines and Tropical Diseases as well as its headquarters for Australia, New Zealand, South-East Asia and Oceania in Victoria in 2023.

Victorian Premier Jacinta Allan, Minister for Health and Aged Care Mark Butler and Acting Economic Growth Minister Danny Pearson opened the Moderna Technology Centre – Melbourne (MTC-M) at Monash

University’s Clayton campus, which will have the capacity to produce up to 100 million vaccine doses each year for respiratory diseases including influenza, respiratory syncytial virus (RSV) and COVID-19. The opening of the facility makes Australia one of few countries in the world, and the only country in the Southern Hemisphere, with an end-to-end mRNA manufacturing capability.

“We’ll never have to fight to get our fair share of vaccines again because the Southern Hemisphere’s first end-to-end mRNA vaccine facility has opened in Victoria, setting a new

benchmark in innovation and economic growth,” Pearson said.

“This is a major step forward in helping protect Australians against future pandemics, while creating highly skilled jobs, supporting local industry and promoting research collaboration,” Butler added.

Moderna’s Australian operations will create 140 highly skilled direct jobs and up to 500 jobs will be supported across advanced medical manufacturing, R&D, supply chains and the broader workforce. Subject to regulatory approval, the new facility is expected to produce its first mRNA vaccines in 2025.

“I’m incredibly proud that Moderna has been able to deliver this landmark facility to produce vaccines in Australia for Australians; a significant investment into the country’s biosecurity by our company,” said Moderna’s General Manager for Australia & New Zealand, Michael Azrak.

“We are grateful to the Australian and Victorian Governments, who have been pivotal in bringing this to fruition.”

Global competition targets ‘undruggable’ cancer protein

A new global competition offering over US$500,000 in prizes aims to spur drug discovery breakthroughs for the cancer target known as TBXT.

TBXT (also called Brachyury) is implicated in multiple tumour types, including breast, lung, colon and prostate cancers. It is also a defining feature and key vulnerability of chordoma, a rare and difficult-to-treat bone cancer. Unlike many other cancer-related proteins, TBXT is absent in most normal cells, making it an attractive and specific target for cancer therapies.

TBXT belongs to a class of proteins called transcription factors which, though implicated in many diseases, have historically been considered ‘undruggable’. However, new therapeutic modalities and technological advances, such as in chemical biology and artificial intelligence (AI), offer the potential to overcome these historical obstacles.

To realise that potential, the Chordoma Foundation, with support from multiple philanthropic partners, has launched the TBXT Challenge, which offers prizes for reaching key milestones in TBXT drug discovery. The inaugural prize, with a purse of US$500,000, will reward the discovery of compounds that bind potently to the TBXT protein — a crucial step in developing inhibitors or targeted protein degraders.

Two prize levels are available: US$250,000 for compounds with dissociation constant (Kd) less than 300 nM and US$100,000 for Kd less than 1 µM. Up to three teams can win the prize.

Companies and academic investigators can submit up to 96 compounds for free biophysical evaluation by the Chordoma Foundation’s laboratory, CF Labs. The foundation also offers scientific resources to assist prize competitors, and a suite of preclinical and clinical research capabilities to enable subsequent development of winning compounds. All competitors will retain ownership of their intellectual property and data.

“With the TBXT Challenge, we invite drug discovery innovators to partner with us to validate new approaches capable of achieving breakthroughs in drugging difficult targets like TBXT,” said Josh Sommer, Executive Director of the Chordoma Foundation. “We hope this will not only accelerate discovery of urgently needed TBXT drugs, but may also set a precedent for other targets currently considered undruggable.”

For more information on the competition, visit https://tbxtchallenge.org/.

Life’s building blocks found in Bennu asteroid samples

A new analysis of samples from the asteroid Bennu — NASA’s first asteroid samples captured in space and delivered to Earth — reveals that evaporated water left a briny broth where salts and minerals allowed the elemental ingredients of life to intermingle and create more complex structures. The discovery suggests that extra-terrestrial brines provided a crucial setting for the development of organic compounds.

In a paper published in the journal Nature, scientists at the Smithsonian’s National Museum of Natural History describe a sequence of evaporated minerals that date back to the early formation of the solar system. The assortment of minerals includes compounds that have never been observed in other extra-terrestrial samples.

“We now know from Bennu that the raw ingredients of life were combining in really interesting and complex ways on Bennu’s parent body,” said Tim McCoy, the museum’s curator of meteorites and co-lead author on the new paper. “We have discovered that next step on a pathway to life.”

Bennu’s parent asteroid, which formed around 4.5 billion years ago, seems to have been home to pockets of liquid water. The new findings indicate that water evaporated and left behind brines that resemble the salty crusts of dry lakebeds on Earth.

A historic mission

Bennu has long intrigued researchers due to its near-Earth orbit and carbonrich composition. Scientists posited that the asteroid contained traces of

Jason Dworkin holds up a vial that contains part of the sample from asteroid Bennu delivered to Earth by NASA’s OSIRIS-REx mission in 2023. Dworkin is the mission’s project scientist at NASA’s Goddard Space Flight Center.

water and organic molecules and theorised that similar asteroids could have brought these materials to a primordial Earth.

In 2020, NASA’s OSIRIS-REx (Origins, Spectral Interpretation, Resource Identification and Security-Regolith Explorer) spacecraft collected samples from Bennu, and in doing so became the first US space mission to collect a sample from the surface of an asteroid. In September 2023, as OSIRIS-

Image credit:
NASA/James Tralie.

REx soared past Earth, it dropped a capsule containing the Bennu samples. When the capsule touched down in the Utah desert, scientists were on site to retrieve it and protect the samples inside from terrestrial contamination.

“The clues we’re looking for are so minuscule and so easily destroyed or altered from exposure to Earth’s environment,” noted Danny Glavin, a senior sample scientist at NASA’s Goddard Space Flight Center and co-lead author of a second paper in Nature Astronomy. “That’s why some of these new discoveries would not be possible without a sample-return mission, meticulous contamination-control measures, and careful curation and storage of this precious material from Bennu.”

In total, OSIRIS-REx collected around 120 grams of material, which is about the weight of a bar of soap and double the mission-required amount. The invaluable samples were divvied up and sent to researchers around the world to analyse. NASA sent the Smithsonian multiple Bennu samples, which were analysed by McCoy and his colleagues using the museum’s state-of-theart scanning electron microscope. This allowed the researchers to inspect microscopic features on asteroid fragments less than a micrometre — or 1/100th the width of a human hair — in size.

The team was surprised to find traces of water-bearing sodium carbonate compounds in the Bennu samples studied at the museum. Commonly known as soda ash or by the mineral name trona, these compounds have never

been directly observed in any other asteroid or meteorite. On Earth, sodium carbonates often resemble baking soda and naturally occur in evaporated lakes that were rich in sodium, such as Searles Lake in the Mojave Desert.

The surprising discovery of sodium carbonate prompted McCoy to examine mineral specimens in the museum’s National Mineral Collection that contained the compound. He also reached out to his teammates around the world to see if they had observed anything noteworthy in other Bennu samples. The scientists discovered 11 minerals in total that likely existed in a brine-like environment on Bennu’s parent body, ranging from calcite to halite and sylvite.

Bennu’s brine differs from terrestrial brines due to its mineral makeup. For example, the Bennu samples are rich in phosphorus, which is abundant in meteorites and relatively scarce on Earth. The samples also largely lack boron, which is a common element in hypersaline soda lakes on Earth but extremely rare in meteorites.

The researchers posit that similar brines likely still exist on other extraterrestrial bodies, including the dwarf planet Ceres and Saturn’s icy moon, Enceladus, where spacecraft have detected sodium carbonate. These brines likely also exist on other asteroids, and McCoy and his colleagues plan to re-examine meteorite specimens in the museum’s collection. While some of the salts observed in the Bennu brine would break down in Earth’s atmosphere, these minerals may leave tell-tale traces on meteorites that past scientists may have missed.

A

pathway towards life

While the Bennu brines contain an intriguing suite of minerals and elements, it remains unclear if the local environment was suitable to craft these ingredients into highly complex organic structures.

“We now know we have the basic building blocks to move along this pathway towards life, but we don’t know how far along that pathway this environment could allow things to progress,” McCoy said.

The second study, in Nature Astronomy, offers additional insights into Bennu’s composition. Among the most compelling detections were all five nucleobases that life on Earth uses to store and transmit genetic instructions in more complex terrestrial biomolecules, such as DNA and RNA, including how to arrange amino acids into proteins. The researchers also found xanthine, hypoxanthine and nicotinic acid (vitamin B3).

Scientists also described exceptionally high abundances of ammonia in the Bennu samples. Ammonia is important to biology because it can react with formaldehyde, which also was detected in the samples, to form complex molecules such as amino acids in the right conditions. When amino acids link up into long chains, they make proteins, which go on to power nearly every biological function.

McCoy thinks the new discoveries illustrate the scientific legacy of the OSIRIS-REx mission, as the samples it collected will fuel research for decades. His co-lead author, Sara Russell from the Natural History Museum in London, heartily agrees.

“It’s been an absolute joy to be involved in this amazing mission, and to collaborate with scientists from around the world to attempt to answer one of the biggest questions asked by humanity: how did life begin?” Russell said. “Together we have made huge progress in understanding how asteroids like Bennu evolved, and how they may have helped make the Earth habitable.”

A mosaic image of asteroid Bennu, composed of 12 PolyCam images collected by the OSIRIS-REx spacecraft from a range of 24 km.
credit: NASA/Goddard/University of Arizona.

Extracellular Vesicles: The Wonder-somesWhat’s the hold up?

Why is it that scientific discoveries often take years — or even decades — to be fully recognised for their value? Perhaps it’s because technological advancements are needed to reveal their true significance, or because the body of knowledge must first grow to embrace new theories that spark further research. More likely, it’s the convergence of both: the evolution of technology meeting the maturity of ideas.

In 1946 Erwin Chargaff reported “The particulate fraction sedimented at 31,000 g probably includes, in addition to the thromboplastic agent, a variety of minute breakdown products of the blood corpuscles. Whether the thromboplastic protein exists in circulating blood remains, unfortunately, an inherently unanswerable question.”1 This statement references what we now recognise as exosomes. Subsequent citations appeared in 1967, describing ‘Platelet Dust’2 and 1969

‘Matrix Vesicles in Bone Calcification’3. In 1978 they were coined ‘Prostosomes’ by Ronquist4

The breakthrough came in 1983 when two independent research teams working on Transferrin formally adopted the term

‘Exosomes’5,6. Yet it wasn’t until 2012 that the first International Society for Extracellular Vesicles meeting convened in Gothenburg, Sweden — over 65 years post the earliest record in 1946, and in 2025 the field is expanding considerably. This expansion is largely a result of the wide appeal and optimism exosomes will have far reaching applications, somewhat likened to a magic bullet with multitudes of functionalisation capacity to treat cancer, neurodegenerative diseases, impact senescent cells, cosmetics, and regenerative medicines. Given their biogenesis, they offer a snapshot into intercellular life making them terrific candidates for biomarkers. Sounds like they may even wash your car and put your bins out for you.

Clinical Challenges in Exosome Isolation

Exosomes are a particular category of extracellular vesicles (EVs) with a diameter of 30–150 nm. Secreted by most human cells; they serve as mediators of intercellular communication8,9. However, removing nanoscale contaminants such as cell-free

nucleic acids and lipoproteins is difficult and essential for reliable biomarker analysis7,8 Conventional methods of isolation include Ultracentrifugation (UC), the most common method, Density gradient centrifugation (DGC), Size Exclusion Chromatography (SEC), Ultrafiltration, Field flow fractionation, Precipitation and Microfluidics to name a few, all with varying degrees of capability. Despite this arsenal, limitations in yield (UC is about 40%), integrity, stability, and processing time prevail, which continue to sideline exosomes from widespread clinical adoption.

Technologies like tangential flow filtration (TFF) are popular for isolating exosomes from conditioned cell culture media. However, their clinical adoption faces hurdles due to the high cost of disposable modules, shear stressinduced damage, and large dead volumes that restrict use in diagnostic applications requiring small sample sizes.

Enter EXODUS: An automated isolation system

The aptly named EXODUS system is a novel approach offering high yields (~90%)

and exceptional purity (~99%). This flexible system adapts to a wide range of sample types, including urine, plasma, cell culture media, saliva, tears, cerebrospinal fluid (CSF), aqueous humor, bacterial culture media, and even plant samples. It operates label-free using PBS buffer and is remarkably efficient, with labscale processing speeds of up to 200 mL/hour and GMP-scale capacities reaching 2 L/hour. This technology incorporates existing filtration methods but enhances them. According to

its developers: “To achieve ultrafast exosome isolation, we designed EXODUS using a dualfilter sample reservoir with two outlets (L, left and R, right), each connected to a nanoporous anodic aluminum oxide (AAO) membrane. Periodic negative pressure oscillations (NPOs) are created on the AAO membrane by switching the direction of negative pressure (NP) and air pressure (AP) (Fig 1a). The periodic NP switching from one side of the device to the other serves two purposes. First, NP applied to the nanoporous membrane allows small particles (such as proteins and nucleic acids) and fluids to pass through, while larger exosomes remain inside the central chamber (Fig. 1a, left). Second, switching NP to AP induces membrane vibrations, promoting resuspension of particles

1. E. Charga and R. West, “THE BIOLOGICAL SIGNIFICANCE OF THE THROMBOPLASTIC PROTEIN OF BLOOD,” Journal of Biological Chemistry, vol. Volume 166, no. 1, pp. Pages 189-197, 1946.

2. P. Wolf, “The nature and signi cance of platelet products in human plasma,” British Journal of Haematology, vol. May;13, no. 3, pp. 269-88, 197.

3. H.C. Anderson, “Vesicles associated with calci cation in the matrix of epiphyseal cartilage,” Journal of Cell Biology, vol. Apr;41, no. 1, pp. 59-72, 1969.

4. I. Brody, A. Gottfries, B. Stegmayr and G. Ronquist, “An Mg2+ and Ca2+-stimulated adenosine triphosphatase in human prostatic uid: part I,” Andrologia, Vols. Jul-Aug;10, no. 4, pp. 261-72, 1978.

5. R.M. Johnstone and B.T. Pan, “Fate of the transferrin receptor during maturation of sheep reticulocytes in vitro: selective externalization of the receptor,” Cell, vol. Jul;33, no. 3, pp. 967-78, 1983.

6. J. Heuser, P. Stahl and C. Harding, “Receptor-mediated endocytosis of transferrin and recycling of the transferrin receptor in rat reticulocytes,” Journal of Cell Biology, vol. Aug;97, no. 2, pp. 329-39, 1983.

7. Shuang Du et al., “Extracellular vesicles: a rising star for therapeutics and drug delivery,” Journal of Nanobiotechnology, vol. 21, p. 231, 2023.

8. M.L. Merchant, I.M. Rood, J.K. Deegens and J.B. Lein, “Isolation and characterization of urinary extracellular vesicles: implications for biomarker discovery,” Nature Reviews Nephrology, vol. 13, pp. 731-749, 2017.

9. W. Wang, J. Luo and S. Wang, “Recent Progress in Isolation and Detection of Extracellular Vesicles for Cancer Diagnostics,” Advanced Healthcare Materials, vol. 7, no. 20, p. 1800484, 2018.

10. Y. Chen et al., “Exosome detection via the ultrafast-isolation system: EXODUS,” Nature Methods, vol. 18, pp. 212218, 2021.

pressed onto the inner membrane surface by fluid flow (Fig 1a, right).”10

Additionally, the device integrates piezoelectric transducers near the membranes to generate high-frequency harmonic oscillations. Vibration motors induce lowfrequency oscillations to further prevent fouling and particle aggregation, maintaining efficient isolation (Fig 1b & 1c).

Conclusion

The EXODUS system is an advanced exosome isolation technology, offering significant improvements in yield, purity, and scalability. By overcoming many of the limitations associated with traditional techniques, EXODUS holds great promise for enabling the widespread clinical and research use of exosomes across numerous fields.

To learn more or secure a demo of the EXODUS system, please contact us.

For more detailed information, contact ATA Scientific Pty Ltd Ph: +61 2 9541 3500 enquiries@atascientific.com.au

ATA Scientific Pty Ltd www.atascientific.com.au

Fig 1. The hybrid macro- and nanomechanical oscillator-based exosome isolation system: EXODUS. a, The mechanism of NPO (AP, air pressure; NP, negative pressure). b, Photographs of the EXODUS device: 1, cartridge; 2, nanoporous membrane; 3, HF harmonic oscillator; 4, LF harmonic oscillator and 5, outlet (NP to AP switch). Scale bar, 1 cm. c, Schematic diagram of the control module for the resonator of EXODUS.

Tissue homogeniser (room temperature)

Servicebio’s SWE-C6 tissue homogeniser, available from Pacific Laboratory Products, utilises a vertical shock system with high-speed reciprocating motion to make the frozen samples in the grinding tube collide with the grinding beads. The resulting grinding shear force and impact force completely crush the tissues, making it a specialised device for rapid one-time processing of multiple samples in research institutions, universities, agricultural colleges, biomedical and food testing fields.

The product features a stable and durable linear guide rail, capable of continuous grinding for 24 h. It is capable of processing up to 96 samples simultaneously, with a standard configuration of 24 samples.

The unit has a compact and sleek appearance and operates at room temperature, from 5–40°C The adapter module can be pre-cooled at low temperature to reduce sample degradation. Multiple adapters are optional.

The product measures 296 x 452 x 376 mm and weighs 54 kg, with a screen size of 5 ″. With an operating time of 0–9999 s and a pause time of 0–999 s, it can be go through 1–99 operating cycles in one session.

Pacific Laboratory Products www.pacificlab.com.au

Label-free analysis of binding kinetics and affinity

Conventional bioassays like ELISA have relied on enzyme or fluorescent labels to detect and monitor biomolecular interactions; however, these labels can introduce artefacts, complicating data interpretation. Such assays are also incapable of providing kinetic insights, such as binding speed or duration. While surface plasmon resonance (SPR) offers label-free analysis, it often captures only a snapshot in time and is prone to issues like clogging and non-specific binding, which can compromise results.

Malvern Panalytical’s Creoptix WAVEsystem overcomes these limitations by delivering a robust, label-free technology for real-time analysis of biomolecular interactions. The system delivers deep insight into previously undetectable interactions and provides detailed kinetic rate parameters and affinity constants (ka, kd, KD), as well as binding specificity, even for challenging samples and complex biological matrices.

The power behind the Creoptix WAVEsystem is in its patented Grating-Coupled Interferometry (GCI) technology, paired with the innovative, non-clogging WAVEchip microfluidics system. GCI measures the evanescent wave across the entire sensor surface, offering high sensitivity. The kinetics of weakly binding fragments and large molecules with high affinity and slow dissociation can be measured simply (even native proteins in complex matrices) without purification.

For applications requiring higher throughput, the system’s waveRAPID method enables faster screening by generating a pulsating concentration profile, streamlining workflows for screening studies. Additionally, calibration-free concentration analysis (CFCA) provides a quick approach for quantifying active protein concentration. ATA Scientific Pty Ltd www.atascientific.com.au

Raman spectrometer

The PR-1w Palmtop Raman spectrometer is an innovative instrument from JASCO that is compact, has easy-to-use software and produces impressive data quality. A step away from microscope-based Raman systems, the simplicity of the system is useful for undergraduate teaching labs, research labs or even commercial labs that require quick data analysis and sampling.

The various attachments further enhance the spectrometer’s flexibility, allowing the instrument to measure sample matrices ranging from solids to powders, liquids and even gases. The product can also be attached to JASCO’s FTIR-ATR accessory for complementary IR and Raman sample measurement, giving users the benefit of two different instruments for the footprint of one.

The simplified software user interface is useful for beginners. With the capability to perform real-time data correction, there is no need to spend time post-processing already acquired data. The instrument also comes with a one-year complimentary subscription to the Wiley online Raman database and spectra search functionality; being able to match to commercially available data saves users from having to compile their own reference library.

Bio-Strategy - Part of DKSH Group www.bio-strategy.com

Storing highly flammable chemicals in a lab

Essential guidelines for safety in Australia

Understanding the risks associated with storing flammable chemicals is crucial for maintaining a safe laboratory environment. Flammable chemicals pose significant lab safety risks, as they can easily ignite and lead to catastrophic consequences if not handled properly.

One of the primary chemical hazards in laboratories is the improper storage of these substances. It is essential to store flammable chemicals in designated cabinets that are specifically designed to contain fires and prevent explosions. These cabinets should be clearly labelled and located away from heat sources, electrical equipment and areas with high foot traffic. Moreover, implementing robust fire safety protocols in laboratories is vital. This includes regular training for all staff on the proper handling and storage of flammable materials, as well as ensuring that appropriate fire extinguishers are readily available and maintained. By understanding these risks and adhering to strict safety measures, laboratories can significantly reduce the likelihood of accidents related to flammable chemicals.

Examples of Class 3 flammable liquids used in Australian laboratories

In Australian laboratories, safety is of prime importance, particularly when handling flammable substances. Class 3 flammable liquids are defined as those with a flash point of less than 60°C and are commonly used in various scientific applications. Here is a list of some notable examples of Class 3 flammable liquids frequently found in laboratories:

1. Acetone. Widely employed as a solvent, this substance plays a crucial role in various cleaning and degreasing applications across numerous industries. Its exceptional ability to dissolve oils, grease and other stubborn residues makes it an indispensable tool for maintaining cleanliness and operational efficiency in both commercial and industrial settings.

chemical storage

2. Ethanol. Commonly employed in various fields of biological and chemical research, certain substances serve dual purposes as both solvents and disinfectants. Solvents are crucial in these disciplines as they facilitate the dissolution of solutes, thereby enabling the preparation of solutions that are essential for conducting experiments or analyses.

3. Methanol. Utilised in the field of organic synthesis, various compounds play a critical role in the creation of complex molecules that are essential for pharmaceuticals and other chemical products. These compounds not only facilitate reactions but also enhance yields and selectivity, making them invaluable tools for chemists.

4. Toluene. Often utilised in paint thinners, adhesives and coatings, this substance is prized for its highly effective solvent properties. Solvents play a crucial role in various applications by dissolving other substances, thereby allowing for the creation of smooth and uniform mixtures that enhance the performance of products.

5. Hexane. Frequently applied in the extraction processes within organic chemistry, these techniques are essential for isolating specific compounds from complex mixtures. Extraction methods, such as liquid-liquid extraction and solid-phase extraction, enable chemists to separate desired substances based on their chemical properties or affinities. These examples highlight the diverse applications of Class 3 flammable liquids within laboratory settings. It is crucial for laboratory personnel to be aware of the properties and hazards associated with these substances to ensure safe handling practices are maintained at all times.

The importance of flammable liquid safety cabinets in laboratories

Flammable liquid safety cabinets play a crucial role in maintaining a safe laboratory environment. These cabinets are designed to contain and safely

store flammable substances, significantly reducing the risk of fire hazards. One of the primary benefits of safety cabinets is their ability to provide fireresistant storage solutions, ensuring that flammable liquids are kept away from potential ignition sources.

Flammable liquid storage cabinets feature important safety mechanisms such as self-closing doors, containment sumps, double wall construction, vent ports, flash arrestors and perforated shelving which further mitigate risks associated with flammable materials. In essence, the importance of flammable liquid safety cabinets cannot be overstated; they are an indispensable component in safeguarding laboratory operations against fire-related incidents. By investing in these cabinets, laboratories can protect both personnel and property while promoting a culture of safety.

Choosing the right flammable storage cabinets for your laboratory needs

When it comes to ensuring safety in laboratories, selecting the right flammable storage cabinets is paramount. It is important to consider the amount of flammable liquid your business stores at any given time, as well as to consider available space and to make sure the dimensions of the chosen cabinet fit in an area that is away from ignition sources or in a high-traffic area.

Titan Safety has a wide range of flammable liquid safety cabinets that have been manufactured in Australia to meet the requirements of Australian Standard AS1940. This standard outlines essential requirements for the safe storage of flammable and combustible liquids, making it a critical reference point when choosing your cabinets. For more information, visit titansafety.com.au.

This article was originally posted on the Titan Safety blog and has been republished here with permission.

Tissue microarrayers

For those who want to experience precision and automation in their tissue microarray creation and to leave behind the days of manual microarray sample creation, the 3DHISTECH tissue microarrayers offered by Epredia are designed to elevate the tissue microarray workflow to the next level.

These easy-to-use, highly automated instruments have been developed to streamline the creation of high-density and high-quality tissue microarrays (TMAs) with ease and precision, due to the advanced features of the innovative hardware design. Users can easily and quickly prepare TMA blocks from biological specimens and samples of human or animal tissues with complete traceability and reproducibility for various molecular pathology related applications.

The microarrayers offer a fully automated process — from core selection to recipient block creation of up to 500 samples in one block. They feature digital image overlay and annotation import functions, for region-of-interest coring, while automated recipient block drilling and punching enable high-throughput TMA creation.

An automated reporting feature allows a full chain of custody of every core and block. 1D and 2D barcode reading means donor blocks are automatically matched to their digital images for an automated workflow. Automatic block height measurement means the embedded cores will be in alignment with the recipient block surface.

There are four core size options: 0.6, 1, 1.5 and 2 mm. A customisable recipient block layout allows for a range of TMA block project designs. There is also a PCR core extraction function for molecular applications.

Bio-Strategy - Part of DKSH Group www.bio-strategy.com

Rapid protein thermal stability analysis

When developing safe and effective therapeutics using novel drug delivery systems, ensuring sample purity, stability and consistency is essential. Equally important is obtaining detailed insights into these complex systems to understand the intricate relationship between the composition of these systems and their therapeutic effects. A key aspect of this research is investigating protein aggregation, a process that can trigger an immune response (immunogenicity) and compromise therapeutic efficacy. Since thermal reactions are a key driver of protein aggregation, studying the thermal stability of proteins provides valuable insights into their lifespan, storage requirements and transportation conditions.

The Malvern Panalytical NanoSight Pro with Nanoparticle Tracking Analysis (NTA) technology offers an easy and effective way to investigate protein thermal stability. NanoSight can measure protein size and monitor its change (which indicates the beginning of denaturation and aggregation) while increasing the measurement temperature. Thermal ramp experiments can be scheduled in the NS Xplorer software to support protein aggregation studies with extended temperature ranges up to 70°C. NanoSight not only yields information of early-stage formed aggregates and their concentration, it also provides a visual assessment of the aggregation state. High-resolution size and concentration data are generated within minutes, enabling rapid evaluation of both sample stability and complexity.

NanoSight Pro has become a standard toolbox in the characterisation of biomaterials including extracellular vesicles, drug delivery systems, viral vectors and protein aggregates. Packed with smart features, the NanoSight Pro provides high sensitivity in biologics detection, high reproducibility and enhanced fluorescence measurements for detecting sample subpopulations including surface markers and internal cargo analysis. Powered by machine learning algorithms, measurement subjectivity is reduced and automated processing should result in easy, quick and accurate characterisation for all users.

ATA Scientific Pty Ltd www.atascientific.com.au

Largest in-house manufactured human antibody portfolio to meet all your needs. We offer all types and formats of antibodies to help you reach your goal.

LC-MS/MS system

SCIEX is advancing its high-resolution accurate mass spectrometry portfolio with the launch of the ZenoTOF 7600+ system.

As the latest addition to the ZenoTOF line, the product features the ZT Scan DIA strategy, leveraging the combination of the quadrupole dimension with the rich MS/MS data achievable from the Zeno trap. The system aims to address a research gap — simplifying the transition of protein biomarker candidates beyond the discovery stage.

The inclusion of ZT Scan DIA, the latest evolution of data independent acquisition, means the system encompasses a multi-acquisition combination of DDA, DIA and targeted approaches within a single workflow. Results are achieving over 125% more quantifiable protein groups at sub-nanogram levels than conventional discrete-window DIA, according to the company.

Scanning speeds of up to 640 Hz make this the fastest SCIEX accurate mass system, increasing the scope for large quantitation panels. Electron activated dissociation (EAD) meanwhile offers tunable fragmentation of all molecule types, further extending analytical capabilities.

The system maps the MS/MS scans with the scanning Q1 quadrupole dimension, to further increase confidence for the differentiation of isomeric peptides and localise post-translational modifications (PTMs). It also offers flexibility of acquisition by allowing DDA, DIA and MRMHR using CID, EAD or both fragmentation modes.

SCIEX has announced three strategic collaborations that work to further propel key proteomics capabilities, meaning the system is compatible with the PEAKS 12.5 from Bioinformatics Solutions, the Evosep One from Evosep and the Aurora Series XS Range from IonOpticks. DIA analysis using DIA-NN is also fully supported.

AB Sciex Australia Pty Ltd www.sciex.com

Island canopy hoods

HEMCO Island Canopy Hoods are designed to be located over peninsulas to collect and exhaust corrosive vapours, heat, steam and odours when mounted over areas with water baths, hotplates or portable equipment.

Manufactured of moulded one-piece composite resin, the canopy hoods are lightweight and can be wall-mounted or suspended from the ceiling. The canopy fume hood’s glass smooth surfaces provide chemical, corrosion and heat resistance. Optional side panels are designed to prevent cross drafts and improve airflow while providing a way to contain chemical spills.

HEMCO Corporation www.hemcocorp.com

Matched antibody pairs

Matched antibody pairs are used in a wide variety of immunoassays to detect a protein of interest. The use of two antibodies against the same antigen enhances the sensitivity and selectivity of that assay. Antibody pairs consist of a capture antibody and a detection antibody specific for different epitopes on the same protein antigen.

Proteintech’s matched antibody pairs are validated using the company’s proprietary in-house multiplex bead array technology and sandwich ELISA platforms. Rabbit recombinant and mouse monoclonal antibodies are used for reproducibility and future security of supply.

With multiple clones available for different pairing combinations to one target, the antibodies are ready for a wide variety of multiplex platforms. They are supplied in PBS-only formulation and are thus ready for custom conjugation.

The use of recombinant antibody production enables batch-to-batch consistency and easy scale-up, with no future supply issues.

United Bioresearch Products Pty Ltd www.unitedbioresearch.com.au

Gene therapy

reverses heart failure in large animal model

A new gene therapy has been found to reverse the effects of heart failure and restore heart function in a large animal model. Developed at The University of Utah and described in npj Regenerative Medicine, the therapy increases the amount of blood the heart can pump and dramatically improves survival, in what has been described as an unprecedented recovery of cardiac function.

Currently, heart failure is irreversible. In the absence of a heart transplant, most medical treatments aim to reduce the stress on the heart and slow the progression of the often-deadly disease. The Utah researchers were instead focused on restoring levels of a critical heart protein called cardiac bridging integrator 1 (cBIN1), which is lower in heart failure patients — and the lower it is, the greater the risk of severe disease.

“When cBIN1 is down, we know patients are not going to do well,” said Dr Robin Shaw, Director of Utah’s Nora Eccles Harrison Cardiovascular Research and Training Institute (CVRTI) and a co-senior author on the new study. “It doesn’t take a rocket scientist to say, ‘What happens when we give it back?’”

To try and increase cBIN1 levels in cases of heart failure, the scientists turned to a harmless virus commonly used in gene therapy to deliver an extra copy of the cBIN1 gene to heart cells. They injected the virus into the bloodstream of pigs with heart failure; the virus moved through

the bloodstream into the heart, where it delivered the cBIN1 gene into heart cells.

For this heart failure model, heart failure generally leads to death within a few months. But all four pigs that received the gene therapy in their heart cells survived for six months, the endpoint of the study. Furthermore, the treatment didn’t just prevent heart failure from worsening; some key measures of heart function actually improved, suggesting the damaged heart was repairing itself. According to Shaw, this kind of reversal of existing damage is highly unusual.

“In the history of heart failure research, we have not seen efficacy like this,” he said. Previous attempted therapies for heart failure have shown improvements to heart function on the order of 5–10%, but cBIN1 gene therapy improved function by 30%. “It’s night and day,” Shaw said.

The treated hearts’ efficiency at pumping blood, which is the main measure of the severity of heart failure, increased over time — not to fully

healthy levels, but to close that of healthy hearts. The hearts also stayed less dilated and less thinned out, closer in appearance to that of non-failing hearts. Furthermore, despite the fact that the genetransferred animals experienced the same level of cardiovascular stress that had led to their heart failure, the treatment restored the amount of blood pumped per heartbeat back to entirely normal levels.

“Even though the animals are still facing stress on the heart to induce heart failure, in animals that got the treatment, we saw recovery

of heart function and that the heart also stabilises or shrinks,” said Associate Professor TingTing Hong, co-senior author on the study. “We call this reverse remodelling. It’s going back to what the normal heart should look like.”

The researchers think that cBIN1’s ability to rescue heart function hinges on its position as a scaffold that interacts with many of the other proteins important to the function of heart muscle. So, by organising the rest of the heart cell, cBIN1 helps to restore critical functions.

Quantitative analysis of protein functions in tissue and cells

“cBIN1 serves as a centralised signalling hub, which actually regulates multiple downstream proteins,” explained Dr Jing Li, associate instructor at CVRTI and first author on the study.

Indeed, the gene therapy seemed to improve heart function on the microscopic level, with betterorganised heart cells and proteins. The researchers hope that cBIN1’s role as a master regulator of heart cell architecture could help cBIN1 gene therapy succeed and introduce a new paradigm of heart failure treatment that targets heart muscle itself.

Along with industry partner TikkunLev Therapeutics, the team is currently adapting the gene therapy for use in humans and intends to apply for FDA approval for human clinical trial in 2025. Of course, the therapy still has to pass toxicology testing and other safeguards, and it remains to be seen if it will work for people who have picked up a natural immunity to the virus that carries the therapy. But the researchers are optimistic.

“When you see large animal data that’s really close to human physiology, it makes you think,” Hong said. “This human disease, which affects more than six million Americans, maybe this is something we can cure.”

Quantifying Functions in Proteins (QF-Pro) from Hawk Biosystems is a state-of-the-art bio-imaging platform able to spatially quantify functional proteomic events within fixed patient samples (FFPE, cell lines, PBMC, etc), such as protein–protein interactions and protein post-translational modifications, at a high resolution and dynamic range. It does this by using an adaptation of Förster resonance energy transfer (FRET). According to the company, this patented adaptation allows FRET to work in patient tissue samples, with a high signal to noise ratio, for the first time.

QF-Pro not only enhances the understanding of biological pathways and protein functional states but also facilitates the identification of new biomarkers at single-cell resolution. Moreover, it enables deep phenotypic profiling in both cell and tissue models, providing early insights into drug mechanism of action and facilitating precise drug target engagement in tissues.

Unlike competing technologies, such as the proximity ligation assay (PLA) or colocalisation experiments, QF-Pro is designed to precisely measure these events at ≤10 nm resolution. Quantifying protein functions at this resolution yields mechanistic insights into signalling pathways and drug targets directly within samples.

QF-Pro is currently validated for various applications and biomarkers, including: PD1/ PD-L1 interaction state (validated in cell models, ccRCC, NSCLC, melanoma, CRC and tonsil); CTLA4/CD80 interaction state (validated in cell models, NSCLC, CRC-derived lung metastases and tonsil); TIGIT/CD155 interaction state (validated in cell models, NSCLC, melanoma and tonsil); LAG3/MHC II interaction state (validated in NSCLC, lymph nodes, thymus and appendix); TIM-3/Gal9 interaction state (validated in NSCLC and tonsil); Akt/PKB activation state (validated in HNSCC, ccRCC, breast cancer, prostate cancer, sarcoma and cell models); STAT3 activation state (validated in ccRCC and cell models); HER2/HER3 interaction state (validated in cell models and FFPE tissue samples); PKB/ PDK1 interaction state (validated in cell models); and beta-catenin/e-cadherin interaction state (validated in cell models, NSCLC and breast cancer). SciTech Pty Ltd www.scitech.com.au

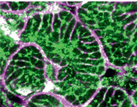
Microscope image of failing heart cells
Heart cells that received gene therapy
Cell boundaries, labelled in magenta, are more organised after gene therapy, and the level of cBIN1 protein (green) is higher.
Hong Lab.
Hong Lab.

Chromatography columns

Bio-Rad Laboratories has launched its Foresight Pro 45 cm inner diameter (ID) chromatography columns, designed to support downstream process-scale chromatography applications across different stages of biological drug production. Expanding on the company’s portfolio of columns with inner diameters ranging from 5 to 33 cm, the larger 45 cm ID Foresight Pro Column offers biopharma manufacturers an easily integrated solution for downstream purification of biomolecules, including vaccines, antibodies and recombinant proteins.

The columns are manufactured and packed in a controlled ISO Class 7 cleanroom, providing GMP readiness. The standardised design and format, in a range of diameters and bed heights, offers a convenient solution, packed with either CHT Ceramic Hydroxyapatite Media

Type I, Type II or XT. Bio-Rad’s CHT Media is a rigid mixed-mode support media for biomolecule purification, with a novel composition — Ca10(PO4)6(OH)2 — that allows biomolecules to interact with the media by means of metal affinity interactions via calcium atoms and/ or cation exchange interactions via phosphate groups.

Bio-Rad Laboratories Pty Ltd www.bio-rad.com

Dye for studying synaptic activity

Lumiprobe’s SynaptoProbe Red is an analogue of FM 4-64, a widely used red fluorescent dye for studying synaptic activity in the synapses or neuromuscular junctions by staining synaptic vesicles. The dye is water-soluble and non-toxic to cells. It is non-fluorescent in an aqueous medium but becomes highly fluorescent after embedding into the outer leaflet of the cell membrane. When a neuron actively releases neurotransmitters, the dye becomes internalised within the recycled synaptic vesicles and stains the nerve terminals.

The product has an excitation/absorption maximum of 536 nm and an emission maximum of 736 nm. It can be used to visualise synaptic vesicles and their exocytosis and endocytosis in living neurons, identify actively firing neurons and investigate the mechanisms of activity-dependent vesicle cycling. It is also helpful for the visualisation of shear stress-induced plasma membrane damage in fibroblasts. Sapphire Bioscience www.sapphirebioscience.com

NGS panel for genetic profiling of CLL samples

OGT has announced its updated SureSeq CLL + CNV V3 Panel, which further incorporates the company’s highly sensitive proprietary bait designs to offer more expansive coverage of disease-associated genes and enhanced CNV detection. The NGS panel now offers users more comprehensive variant detection to improve confidence in classification of CLL research samples to strengthen the understanding of CLL progression.

Harnessing direct input from leading clinical researchers in the field of CLL, the panel includes an expanded list of targeted genes alongside increases in probe density allowing for higher resolution and improved tumour content estimation. Changes in reference sample processing from external to internal reference DNA reduces inter-run variability and improves confidence in CNV calls. When compared to its predecessor, the updated panel — coupled with OGT’s complimentary NGS analysis software, Interpret — demonstrates a 38% increase in CNV detection, meaning users receive the optimal experience for profiling their samples.

Recent trials with the panel have demonstrated 100% detection of expected TP53 SNVs, with half of these estimated at between 1–5% VAF. Additionally, CNVs were confidently detected down to 20% tumour content with a 99% concordance with FISH testing.

The robust technical support provided by OGT makes the panel accessible to users with varying levels of expertise in molecular techniques. Additionally, the integration with bioinformatics software simplifies the data analysis process, providing clear and actionable results.

The product allows researchers to make informed decisions regarding their samples, with comprehensive variant detection and reassurance in their sample/ disease classification, which is key to furthering our understanding of CLL progression. The addition of OGT’s Interpret software means users will be able to easily analyse their NGS data without the need for additional bioinformatic resources, maximising their efficiency. Sysmex Australia Pty Ltd www.sysmex.com.au

Novel fluidic processor offers switchable capture and release

While the ability to precisely capture and release various chemical and biological fluids plays a fundamental role in many fields, it has been a longstanding challenge to design a platform that enables the switchable capture and release of liquids with precise spatial and temporal control.

Researchers at The Hong Kong Polytechnic University (PolyU) recently developed a novel fluidic processor, dubbed ‘connected polyhedral frames’ (CPFs), to overcome this challenge. Their work was led by Professor Liqiu Wang and has been described in the journal Nature Chemical Engineering

Unlike in the highly developed area of solids manipulation, convenient handling of fluids remains a cumbersome task despite the ubiquity of fluids in, for example, the healthcare, pharmaceutical, biological and chemical industries. As fluids interact with tools, they frequently wet and spread on the solids, preventing complete liquid transfer, impairing volumetric accuracy and causing

inter-sample cross contamination. To preserve the purity of fluids, disposable plastics such as pipettes and microtubes are widely used, adding to the global problem of plastic waste.

Reversible switching between capture and release is the key to CPFs’ capability to precisely process liquids, enabling the liquid in the network to be retained or drained locally, dynamically and reversibly as desired. In the CPFs, frames above the single-rod connection without a pathway for liquid drainage capture and retain liquids, thus functioning as capturers, whereas the frames above the doublerod connection imbibe but release liquids, serving as releasers. This is because when the CPFs are lifted from the liquid, a liquid film forms between the double-rod connections, creating channels between frames that facilitate liquid release.

Reversible switching between capture and release can be achieved, using available tools, by

The 3D liquid array is prepared using a capturer array. Image has been cropped from the original, with the background enhanced using Photoshop Generative Fill. It is used courtesy of the study authors under CC BY 4.0

Liquid nitrogen generator

constructing or breaking the liquid continuity between frames. CPFs thus offer a versatile platform that enables functions including 3D programmable patterning of liquids, 3D spatiotemporal control of concentrations of multiple materials, packaging of 3D liquid arrays and large-scale manipulation of multiple liquids. It is compatible with a broad range of liquids, including aqueous solutions, biofluids, hydrogels, organic solvents, polymer solutions and oils. Therefore, a variety of biomaterials and chemicals can be incorporated into CPFs for various applications.

To demonstrate the practical utility of CPFs in controlled multidrug release, Wang’s team designed a CPF network for the 3D binary liquid patterning of vitamins B2 and B12. The two vitamins, representing two different types of drug molecules, were encapsulated in sodium alginate hydrogel and gellan gum, respectively, and released in aqueous solution. By altering the thickness of the gel membrane, the relative release rates of the two ‘drugs’ can be precisely controlled. Traditional cotton swabs and flocking swabs suffer from severe sample residues during their sample release. CPFs can effectively overcome this challenge because their frame structure renders free liquid–liquid interfaces for high release efficiency. Using the influenza virus as an example, the research team demonstrated the superiority of CPFs as sampling tools with much better release performance. When the virus concentration was low, the CPFs detected the virus, while both the flocking swab and cotton swab failed to do so.

The team has also demonstrated the application of CPFs in biomaterial encapsulation. Taking Acetobacterium encapsulation as an example, the CPFs show many advantages over traditional devices, including by facilitating the separation of bacteria and reaction products, simplifying the microbial reaction process and enhancing the utilisation rate of bacteria. It is conceivable that CPF could also be applied to encapsulate other biological materials for efficient production of other valuable products.

In addition to medical and microbial applications, Wang’s team has further demonstrated the practicability of CPFs for airconditioning. They prepared a commercial-scale humidifier prototype which has a higher water storage capacity and requires less water flow, making it potentially more energy efficient. The CPFs also allow large-scale 3D liquid dispersion to form a larger surface area, making them useful for gas absorption. An ideal CO2 cycle process is successfully generated with CPFs, which includes carbon capture and storage and CO2 reutilisation.

Importantly, each frame in CPFs captures or releases liquids independent of its base materials, structures and handled liquids; this makes it an innovative meta-metamaterial that makes the dream of ‘scooping water with a bamboo basket’ come true. It is hoped that the availability of such a fluidic processor will set a new standard for handling liquids with controllability, versatility and high performance; inspire a new field of meta-metamaterials; and facilitate new scientific and technological breakthroughs in various fields.

Noblegen Cryogenics says that its Triton model is the most compact onsite liquid nitrogen generator on the market. The unit features production of up to 10 L of liquid nitrogen a day, a small internal storage tank (35 L), and front flask or hose dispensing options offering flexibility and safety for all cryogenic applications.

The product is quiet in operation, utilising an Acoustic Wave generator cooling system with very few moving parts. As it is air cooled (up to 32°C ambient temperature), this limits the maintenance requirements and any chance of boil-off losses.

Delivered on wheels, the unit is a true plug-and-play enclosed system that does not need to be moved or refilled, adding to lab members’ safety. Requiring only a standard 10 A AUS/NZ power plug and measuring 170 cm in height and 80 cm depth, it can seamlessly fit beside the user’s workflow and application requirements, including analytical equipment such as NMR, XRD, FTIR, cryo-EM, -80 freezers, biostores, cryosurgery, animal husbandry, IVF, sample preparation and cryostorage.

Larger-volume liquid nitrogen production sizes of 20–240 L per day are also available. Noblegen Cryogenics www.noblegencryogenics.com/

Dew point sensor

Emerson has launched the AVENTICS DS1 dew point sensor, an industrial sensor that is designed to monitor dew point, temperature, humidity levels, and quality of compressed air and other non-corrosive gases in real time from one device. The sensor can help operators detect and mitigate excess moisture in its early stages and prevent moisture-related equipment damage. By optimising air quality in this way, operators can better control processes, extend pneumatic component life, and reduce maintenance and unplanned downtime.

While many industrial sensors only monitor humidity, the DS1 provides dew point monitoring that enables manufacturers to continuously track critical values, address excess moisture and prevent its negative effects. For instance, moisture can affect process reliability by corroding components, washing the lubrication out of moving parts, and extending switching and reaction times. The sensor also allows operators to detect changes in air quality in real time, providing data that facilities need to maintain a stable dew point and protect product quality.

To support industrial digital transformation strategies, the dew point sensor can be integrated into existing systems, including the AVENTICS Series AS3 and AVENTICS Series 652 air preparation units, and connects to networks via Modbus TCP (PoE). One of the key advantages of an integrated dew point sensor is the ability to place the sensor — and track conditions — close to the process rather than where the compressed air is generated, which can be far from the process itself and have very different conditions.

The sensor element is condensation-resistant and provides long-term, drift-proof performance. With fast response time, measurement values include pressure dewpoint, temperature, relative humidity, absolute humidity, moisture content, moisture content V/V, water vapour partial pressure and atmospheric dew point. The sensor is also suitable for other non-corrosive gases, including nitrogen, oxygen, argon, helium and sulfur hexafluoride.

Emerson www.emerson.com/au/automation

Liquid handling platform

Tecan has announced Veya — a liquid handling platform designed to bring efficiency, precision and compliance to laboratories of all sizes. This accessible and versatile platform is designed to streamline complex workflows and enable data-driven decision-making productivity.

The product combines AI-enhanced automation, prebuilt workflows and an intuitive analytics interface, OneView, to simplify complex tasks, including multiomics workflows. Its seamless integration with existing systems enables laboratories to boost productivity and meet important regulatory standards, including Europe’s CE-IVD and IVDR requirements.

The product features live monitoring, real-time data delivery and actionable insights via a user-friendly interface, which should improve decisionmaking and process optimisation. Pre-developed workflows, intelligent analytics and a modular design help to boost productivity while reducing errors, with users reporting improvements of more than 60% in instrument utilisation, according to Tecan.

Equipped with patented Air Restriction Pipetting (ARP), the product handles volumes from 1 µL to 5 mL with precision. Other features include 24-hour remote diagnostics, remote-guided troubleshooting and tailored service packages to minimise unplanned interruptions.

The platform is suitable for labs in regulated environments, enabling compliance with key industry standards and regulatory requirements.

Tecan Australia www.tecan.com

Handheld Vis-NIR analyser for mineral exploration

SciAps has launched its handheld Vis-NIR (visible and near-infrared) analyser, reveNIR, for mineral reconnaissance and exploration.

Compact, powerful and built with cutting-edge technology, the analyser is designed to provide precision and portability. It is lightweight, rugged and technologically advanced, empowering geologists and field professionals to make fast decisions where it matters most — in the field.

Operating within a spectral range of 350 to 2510 nm, the analyser records reflectance spectra to predict mineral compositions. It includes a basic mineral spectral library of 50 essential exploration minerals and supports userdefined spectral additions.

Suitable for reconnaissance, core logging, rock chip analysis and expanded mapping areas, the analyser allows users to assess outcrops, measure various positions and evaluate the mineralogy of geological formations with ease. It also weighs just 2 kg with the battery, making it suitable for use in challenging terrains, including mountainous areas and remote mines accessible only by helicopter or small plane.

The product is capable of detecting key minerals such as epidote, calcite, chlorite, kaolinite, halloysite, montmorillonite, muscovite, illite, smectites, dickite, hematite, goethite, rectorite and rare Earth oxides, making it important for pinpointing ore bodies and guiding drilling operations. With real-time mineral spectra analysis, the device eliminates lab delays, enabling geologists to adjust exploration strategies instantly.

SciAps

www.sciaps.com.au/

Fetuses can fight

within the womb infections

A research team led by Duke-NUS Medical School has discovered that fetuses are not as defenceless as once thought; they can actually fight infections from within the womb. This could significantly change the way doctors protect fetuses from infections that lead to serious health conditions, like microcephaly, where the baby’s head is significantly smaller than expected for its age.

It had previously been thought that the mother’s immune system was the sole source of protection from infection for a fetus, but the new study, published in the journal Cell, found that a fetus has a functional immune system that is wellequipped to combat infections in its developing nervous system. This could potentially benefit women who contract infections during pregnancy, putting the life of their fetus at risk.

“Early in pregnancy, a fetus cannot survive on its own and we have always assumed that it mostly relies on the mother’s immune system for protection against infections,” said Associate Professor Ashley St John, lead author on the study. “However, we found that the fetus’s own immune system is already able to mount defences against infections much earlier than previously thought.”

Investigating further, the scientists studied the fetal immune response in a preclinical model using Zika virus strains from around the world. They found that immune cells react differently to infection — either taking on a protective role and reducing damage to the fetus’s developing

brain or harming the fetus’s brain by causing non-protective inflammation.

The study revealed new insights into the role of microglia, a type of immune cell found in the brain. Using human brain models known as organoids or mini-brains, the researchers confirmed that these cells take on a protective role during an infection and are crucial to the fetal immune system’s defence against pathogens.

Monocytes — white blood cells produced in the bone marrow — were another type of immune cell that the researchers studied. The team found that besides being drawn to the fetal brain during an infection, they triggered detrimental inflammation in the brain, killing brain cells instead of eliminating the virus. While it had previously been shown that monocytes’ harmful nature only manifests after birth, it turns out that these immune cells can also cause damage to a developing fetal brain before birth.

Additionally, monocytes produce highly reactive molecules known as reactive oxygen species that help the body combat pathogens by alerting cells to a pathogen, a state in which they release inflammatory signals. However, the researchers observed that an increased release of a particular inflammatory signal, called nitric oxide

A 3D reconstruction of a Zika virus-infected mouse embryo on embryonic day 10.5, imaged by light sheet microscope.

synthase-2 (NOS2), caused neuron damage when combined with reactive oxygen species in large volumes. Just as bleach can damage the fibres of a piece of clothing when used in excess, so too can immune responses harm a fetus’s brain if they are not properly regulated.

In response to this finding, the scientists used an experimental anti-inflammatory drug to block the function of NOS2. This led to the reduction of non-protective inflammation induced by monocytes in the brain and protected the foetal brain from the damage that Zika infections can cause.

St John said the study brings a fresh perspective to the fight against congenital disorders, particularly those caused by diseases transmitted from mothers to fetuses during pregnancy.

“Our work has shown that the immune responses of fetuses can be either protective or harmful,” she said. “Knowing how various immune cells contribute to fetal immune protection will be important in our continued search for ways to improve pregnancy outcomes.

“We hope that with further testing, we can establish the safety of the anti-inflammatory drug so that it can be developed into a viable form of treatment that protects foetuses from harmful inflammation in their brains.”

Predicting the impact of protein mutations with simple maths

Researchers from the Centre for Genomic Regulation (CRG) in Spain and the Wellcome Sanger Institute in the UK have discovered that mutations affect protein stability following remarkably simple rules. Their discovery, published in the journal Nature, could help accelerate the development of new treatments for diseases, as well as the design of new proteins with industrial applications.

PGRB2-SH3 is a protein with 34 amino acids, meaning there are 17 billion different combinations if only a single change allowed at each position.

roteins — the building blocks of life — are chains made up of 20 different types of smaller units called amino acids. A single mutation swaps one amino acid for another, changing the protein’s shape. This can mark the difference between health and disease. Many diseases, including cancer and neurodegenerative disorders, are caused by more than one mutation in a protein.

Predicting how mutations alter a protein’s shape is critical for understanding their contribution to disease. However, with so many amino acids in a protein, there are an astronomical number of ways mutations can combine — and as proteins get longer, the different number of combinations rises exponentially. For a protein 100 amino acids long, there are more possible combinations than there are atoms in the entire universe. The vast majority of known proteins, especially those contributing to human disease, are much longer.

“There are 17 billion different combinations of a protein that is 34 amino acids in length with only a single change allowed at each position,” said study co-author Aina Martí Aranda, who began the project at the CRG and is currently a PhD student at the Wellcome Sanger Institute. “If it took just one second to test a single combination, we’d need a total of 539 years to try them all. It’s not a feasible experiment.”

For years, there has been an underlying assumption that two mutations might interact with each other in unexpected ways, enhancing or suppressing each other’s effects. As noted by Martí Aranda, “The fear that two mutations interacting can unpredictably affect the whole structure made us use incredibly complex models.”

Now, a team led by CRG’s Dr André Faure and Professor Ben Lehner, with dual affiliation between the CRG and the Wellcome Sanger Institute,

Image credit: Aina Martí Aranda.

has discovered that the impact of mutations on protein stability is more predictable than previously thought. Their study found that while mutations do interact, it is a relatively rare occurrence, and the vast majority affect a protein independently of each other.

“Our discovery turns an old understanding on its head, showing that the endless possibilities of protein mutations boil down to straightforward rules,” Lehner said. “We don’t need supercomputers to predict a protein’s behaviour — just good measurements and simple maths will do.”

The researchers made the discovery by generating thousands of protein variants, each with different combinations of mutations that could produce functional proteins. They then tested the stability of the proteins, generating a vast amount of data on how each mutation and combination of mutations affect proteins. The experimental outcomes closely matched models which assume that the total effect of multiple mutations can be calculated by simply adding up the effects of each individual mutation.

The team’s findings can help better understand and target genetic diseases. For example, some genetic disorders are caused by many mutations in one protein and patients may have different combinations of mutations, making it challenging to predict disease severity and response to treatments. With the new understanding that most mutations act independently, clinicians can find new ways of predicting how various mutation combinations affect a protein’s stability and function, leading to more accurate prognoses and personalised treatment plans.

The study can also lead to more efficient drug development. Some drugs correct misfolded proteins, such as in Alzheimer’s disease, where the changing shape of amyloid-beta proteins forms plaques in the brain. Researchers can now better predict which mutations are most destabilising and design molecules that specifically stabilise these regions.

Anti-cancer compound library

For years, there has been an underlying assumption that two mutations might interact with each other in unexpected ways, enhancing or suppressing each other’s effects.

The study also has implications for biotechnologists using protein design to tackle different types of problems. For example, some enzymes have the ability to break down plastics in the environment. Researchers could design new enzymes with enhanced activity and stability by adding beneficial mutations together.

That said, the new study does have some limitations. For example, the researchers did not capture more complex interactions involving three or more mutations. In some proteins, these higher-order interactions could significantly impact stability and are not predicted by simply adding up individual effects. Also, while the findings can dramatically reduce the number of experiments needed, some level of experimental validation is still necessary to confirm predictions, especially for critical applications like drug development where there may be unforeseen effects or rare interactions that the models do not capture.

MedChemExpress (MCE) is a supplier of high-quality chemicals, biochemicals and compound libraries, supporting the global scientific research community. MCE’s extensive product portfolio includes a range of screening libraries designed to accelerate drug discovery and development across multiple therapeutic areas. Among these, the AntiCancer Compound Library is a powerful tool for researchers seeking targeted solutions and novel cancer therapies.

The library offers over 8000 compounds with activity against both solid and haematologic tumours, making it suitable for high-throughput screening (HTS) and high-content screening (HCS).

This collection spans key cancer-related pathways such as apoptosis, cell cycle regulation and signal transduction. It also covers diverse signalling pathways — including kinase, GPCR and epigenetics — providing researchers with a comprehensive platform to explore and identify potential anti-cancer agents.

Many of the compounds have undergone rigorous clinical or preclinical evaluations, with some already approved by the FDA, highlighting their therapeutic potential.

The bioactivity and safety profiles of the compounds make the library a useful resource for advancing cancer research. Each compound is also validated for high purity and quality using NMR and LC/MS techniques, which should lead to precise and reproducible results.

A key advantage of MCE’s compound libraries is that users can fully customise a library to meet research needs from the type, quantity and concentrations of compounds and layout, offering the flexibility that researchers need to drive meaningful discoveries in oncology.

Millennium Science Pty Ltd www.mscience.com.au

Newly developed plastic is recyclable and ocean-degradable

Artistic rendering of the new plastic. Cross-linked salt bridges visible in the plastic outside the sea water give it its structure and strength. In sea water (and in soil), resalting destroys the bridges, making it water soluble and thus preventing microplastic formation.

Researchers from Japan’s RIKEN Center for Emergent Matter Science (CEMS) have developed a new plastic material that is as strong as conventional plastics but also breaks down in sea water, meaning it should help reduce harmful microplastic pollution that accumulates in our oceans and soil and eventually enters the food chain. The team’s experimental findings have been published in the journal Science

Scientists have been trying for some time to develop safe and sustainable materials that can replace traditional plastics, which are nonsustainable and harm the environment. But while some recyclable and biodegradable plastics exist, one big problem remains: current biodegradable plastics like PLA often find their way into the ocean, where they cannot be degraded as they are water insoluble. As a result, microplastics — plastic bits smaller than 5 mm — are harming aquatic life and finding their way into the food chain, including our own bodies.

The RIKEN team focused on solving this problem with supramolecular plastics — polymers with structures held together by reversible interactions. These new plastics were made by combining two ionic monomers that form cross-linked salt bridges, which provide strength and flexibility. In the initial tests, one of the monomers was a common food additive called sodium hexametaphosphate and the other was any of several guanidinium ion-based monomers. Both monomers can be metabolised by bacteria, ensuring biodegradability once the plastic is dissolved into its components.

“While the reversible nature of the bonds in supramolecular plastics had been thought to make

them weak and unstable, our new materials are just the opposite,” said research leader Takuzo Aida. This is because the salt bridges structure is irreversible unless exposed to electrolytes like those found in sea water. The key discovery was how to create these selectively irreversible cross links.

As with oil with water, after mixing the two monomers together in water, the researchers observed two separated liquids. One was thick and viscous and contained the important structural cross-linked salt bridges, while the other was watery and contained salt ions. For example, when sodium hexametaphosphate and alkyl diguanidinium sulfate were used, sodium sulfate salt was expelled into the watery layer. The final plastic, alkyl SP2, was made by drying what remained in the thick viscous liquid layer.

The ‘desalting’ turned out to be the critical step; without it, the resulting dried material was a brittle crystal, unfit for use. Resalting the plastic by placing it in salt water caused the interactions to reverse and the plastic’s structure destabilised in a matter of hours.

The new plastics are non-toxic and nonflammable — meaning they generate no CO2 emissions — and can be reshaped at temperatures above 120°C, just like other thermoplastics. By testing different types of guanidinium sulfates, the team was able to generate plastics with varying levels of hardness and tensile strength,

all comparable or better than conventional plastics. This means that the new type of plastic can be customised for need; hard scratchresistant plastics, rubber silicone-like plastics, strong weight-bearing plastics, or low tensile flexible plastics are all possible. The researchers also created ocean-degradable plastics using polysaccharides that form cross-linked salt bridges with guanidinium monomers. Plastics like these can be used in 3D printing as well as medical or health-related applications.

Lastly, the researchers investigated the new plastic’s recyclability and biodegradability. After dissolving the initial new plastic in salt water, they were able to recover 91% of the hexametaphosphate and 82% of the guanidinium as powders, indicating that recycling is easy and efficient. In soil, sheets of the new plastic degraded completely over the course of 10 days, supplying the soil with phosphorous and nitrogen similar to a fertiliser.

“With this new material, we have created a new family of plastics that are strong, stable, recyclable, can serve multiple functions and, importantly, do not generate microplastics,” Aida said.

A thin square of the glassy new plastic.

Quantum Australia Conference 2025

March 25–27, Brisbane

The Quantum Australia Conference 2025 will bring together world-leading quantum researchers, businesses, government decisionmakers, startups and big tech to share the latest developments and ideas in this rapidly evolving field.

Under the theme ‘The Translation of Quantum – how current and future industries can leverage the power of quantum’, the event will feature engaging presentations, insightful discussions and rare networking opportunities with key players in the Australian and global quantum landscape.

2025 Food Microbiology Conference March 5–6, Sydney www.aifst.asn.au/AIFST-2025-Food-MicroConference

Australian Healthcare Week 2025 March 19–20, Sydney www.ahwdigital.com.au/events-austhealthweek

TSANZSRS 2025

March 21–25, Adelaide tsanzsrsasm.com

World Science Festival Brisbane 2025 March 21–30, Brisbane worldsciencefestival.com.au

ANZSNR 2025 Annual Scientific Meeting March 27–29, Perth www.anzsnrasm.com

ASID Annual Scientific Meeting 2025 April 3–5, Canberra www.asidasm.com

AusMedtechInvest 2025 May 6, Sydney www.ausbiotechinvestment.com.au/aboutausmedtechinvest

AusMedtech 2025 May 7–8, Sydney www.ausmedtech.com.au

AUS-oMicS 2025 May 18–21, Cairns www.ausomics.com

ANZAN Annual Scientific Meeting June 10–13, Brisbane and online www.anzanasm.com.au

15th International Nanomedicine Conference

June 16–18, Sydney www.oznanomed.org

ASERA56 Conference

July 1–4, Melbourne www.asera.org.au/2025-conference/

Program highlights include: an exploration of global advancements in quantum technology, showcasing international efforts to leverage quantum for innovation and industry growth; a deep dive into Australia’s quantum ecosystem, and the contributions from universities, startups and the private sector in advancing quantum; and an examination of how quantum technologies can revolutionise industries and create new opportunities for investment. quantumaus.eventsair.com/qac2025/

ASM National Meeting 2025 July 14–17, Adelaide www.theasmmeeting.org.au

Accreditation Matters 2025 July 30–31, Sydney nata.com.au/events/accreditation-matters-2025/

National Science Week 2025 August 9–17, Australia-wide www.scienceweek.net.au

AIFST25 Convention August 12–13, Melbourne www.aifst.asn.au/AIFST-2025-Convention

Beaker Street Festival 2025 August 12–19, Hobart www.beakerstreet.com.au

73rd CSANZ Annual Scientific Meeting August 14–17, Brisbane www.csanzasm.com

ASCIA 2025 Conference September 2–5, Brisbane and online ascia2025.com

IVC-23: 23rd International Vacuum Congress September 15–19, Sydney ivc23.org

Australasian Radiation Protection Society (ARPS) 2025 Conference October 19–22, Melbourne arpsconference.com.au

AusBiotech 2025 October 21–24, Melbourne www.ausbiotech.org/conference-information

Acoustics 2025 — Sounds of the Sunset Coast November 12–14, Busselton www.acoustics.org.au/events/acoustics-2025/

CYTO-Connect Perth November 27–29, Perth cytoconnectperth2025.com.au

Westwick-Farrow Media

A.B.N. 22 152 305 336 www.wfmedia.com.au

Head Office

Unit 5, 6-8 Byfield Street, (Locked Bag 2226) North Ryde BC NSW 1670, AUSTRALIA Ph: +61 2 9168 2500

Editor Lauren Davis LLS@wfmedia.com.au

Publishing Director/MD Janice Williams

Art Director/Production Manager Linda Klobusiak

Art/Production Marija Tutkovska

Circulation

Alex Dalland circulation@wfmedia.com.au

Copy Control Ashna Mehta copy@wfmedia.com.au

Advertising Sales

Sales Manager: Kerrie Robinson Ph:0400 886 311 krobinson@wfmedia.com.au

Andrew Jackson Ph: 0400 604 646 ajackson@wfmedia.com.au

Tim Thompson Ph: 0421 623 958 tthompson@wfmedia.com.au

If you have any queries regarding our

policy please email privacy@wfmedia.com.au

iStock.com/imaginima

Turn static files into dynamic content formats.

Create a flipbook
Issuu converts static files into: digital portfolios, online yearbooks, online catalogs, digital photo albums and more. Sign up and create your flipbook.