Dental World 2023 programfüzet

Page 1

XXIII. Dental World Nemzetközi Fogászati Kiállítás & Konferencia 2023. október 12–13–14. Budapest, Hungexpo dentalworld.hu Programfüzet 23
YOUR WORLDWIDE NO.1 REFERENCE UNIQUE BIOFUNCTIONALITY OUTSTANDING QUALITY 1,2 > Strictly controlled raw material selection > Cutting-edge production > Quality management of the final product References ISO 13485 certificate, research and development 2 ISO 9001 certificate, multi site quality management www.geistlich-pharma.com/en/about-us/geistlich/ about-geistlich/quality/ FROM
PRODUCT KNOWLEDGE IS IN OUR HANDS alphaimplant.hu More details about our products: www.geistlich-biomaterials.com
A TO Z: THE WHOLE

Tisztelt Olvasó!

A Dental Press 2023-ban immár 23. alkalommal rendezi meg a Dental World Nemzetközi Továbbképző Konferenciát és Fogászati Szakkiállítást, a fogászat egyik legrangosabb találkozóját. Rendezvényünkre az előkészületeket már az elmúlt évben elkezdtük, de munkánk minden esztendőben újabb felelősséggel jár, hiszen meg kell felelnünk a szakma folyamatos fejlődésének és az állandóan változó igényeknek.

Mostani kiadványunk összeállításával az a célunk, hogy részletesebb és pontosabb tájékoztatást adjunk a Dental World ez évi rendezvényéről, hiszen a már jól bevált, hagyományos programok mellett mindig tovább kell lépnünk, a fogászat nóvumainak a bemutatása most is a céljaink között szerepel. Idén is sikerült olyan előadókat elhozni Budapestre, akik nemzetközi szinten is kiemelten elismert szakemberek.

A három nap során a fogászat legaktuálisabb témáit felölelő előadások várják majd Önöket, ahol hallhatnak pl. az implantológiai kutatások legfrissebb eredményeiről, a konzerváló fogászat, az orthodontia, az esztétika, az endodontia, a dentoalveoláris sebészet, a prevenció és a fogtechnika időszerű kérdéseiről, a legkorszerűbb módszerek alkalmazásának újdonságairól. A kiadványunk belső oldalain részletesen olvashatnak a szakmai előadásokról és a workshop programokról egyaránt, valamint a meghívott előadók életébe, kutatásaikba, gyógyító munkájuk eredményeibe is bepillanthatnak.

Célunk olyan rendezvénnyel várni Önt/Önöket, olyan érdekes és tartalmas eseményekkel, hogy a fogászatban dolgozók már év közben felírják a naptárjukba: 2023. október 12–13–14., azaz Dental World!

A szervezők nagyon örülnének, ha minél többen részesei lennének e rendezvénynek, ezért most kedvezményes jegy vásárlására is ösztönözzük a csatlakozni vágyókat.

Kérjük, tanulmányozza át a szakmai programokat, ahol több mint 20 országból, közel 60 ismert/elismert szakemberrel találkozhat, bővítheti tudását, és utána, majd a rendelőben szinte azonnal hasznosíthatja a naprakész ismereteit!

A kiállítótérben az eddigieknél még változatosabb, színesebb bemutatókkal, versenyekkel és élő műtétekkel is várjuk a látogatóinkat.

A körültekintő és alapos tájékoztatás érdekében küldjük el Önnek a DW 2023-as eseményeit tartalmazó Programfüzetünket, melyet úgy szerkesztettünk, hogy az eddigieknél még könnyebben megtalálja azokat az információkat, amelyek Ön számára a legfontosabbak!

„Három nap a fogászat szolgálatában” – a 23 évvel ezelőtt megfogalmazott mottónkat felidézve a szervezők és a rendezők nevében arra készülünk és reméljük, hogy a 2023-as Dental World is a fogászat emlékezetes és sikeres „nagy találkozója” lesz!

Legyen Ön is részese a fogászati világ budapesti „seregszemléjének”, várjuk szeretettel!

23
LACZKÓ
TAMÁS főszervező

Dental World Kongresszusok

3 napos konferenciák:

ALL ACCESS mind a 4 témakörű kongresszusra belépést biztosít

Digitális Fogászati Kongresszus: 25 000 Ft (teljes ár: 50 000 Ft)

Prevenciós, Földvári Imre Kongresszus: 18 000 Ft (teljes ár: 28 000 Ft)

Praxismenedzsment Kongresszus: 34 990 Ft (teljes ár: 49 900 Ft)

Jelentkezzen most!

EARLY BIRD kedvezmény

Július 31-ig!

DENTALWORLD.HU

Impresszum

Szervező és kiadó: Event Organizer Hungary Kft. 1012 Budapest, Kuny Domokos u. 9. tel.: 06-30-472-0030, info@dentalworld.hu, www.dentalworld.hu

Felelős kiadó: Laczkó Tamás

Nyomdai előkészítés: Event Organizer Hungary Kft. –Sárközi András

Nyomdai kivitelezés: Pharma Press Nyomdaipari Kft.

Kézirat lezárva: 2023. július 18.

ENDODONTIA ORTHODONTIA
IMPLANTOLÓGIA KONGRESSZUSI JEGYÁRAK 1 VÁLASZTOTT KONGRESSZUS: esztétika
implantológia
endodontia / orthodontia
ESZTÉTIKA •
/
/
KEDVEZMÉNYES ÁRAK HATÁRIDEJE EARLY BIRD 2023. 07. 31-ig 70 000 Ft 105 000 Ft LATE BIRD 2023. 08. 31-ig 80 000 Ft 120 000 Ft LAST MINUTE 2023. 09. 30-ig 90 000 Ft 135 000 Ft TELJES ÁR 2023. 10. 01-től 100 000 Ft 150 000 Ft

Általános információk

Kiállítás helyszíne

Hungexpo Vásárközpont, 1101 Budapest, Albertirsai út 10. „A” pavilon

Kiállítás nyitvatartása

2023. október 12–13., csütörtök, péntek: 08.30–18.00

2023. október 14., szombat: 08.30–17.00

A háromnapos rendezvény alatt közel 250 szakkiállító várja az érdeklődőket, a kiállítás megtekintése díjmentes, de regisztrációköteles.

Kongresszusi regisztráció

2023. október 12–13–14. reggel 8 órától

A regisztráció a szakmai programokra kötelező. A regisztráció a Hungexpo „A" pavilon bejáratánál található. Regisztrációs kártyáját be- és kilépéskor kérjük, egyaránt érvényesítse! (Kérjük, a tanfolyamokra történt befizetést igazoló csekkszelvényét, banki átutalási bizonylatát mindenképp hozza magával!)

Kreditpont

*A három napos kongresszusok programjainak összpontértéke: 24, napi pontérték: 8

A tanfolyamok a szakma szerinti kategóriába tartoznak (szakképesítések, amelyekhez szakma szerinti pontszámként elszámolható: 1. arc-állcsont-szájsebészet, 2. dento-alveoláris sebészet, 3. fogszabályozás [fogorvos], 4. konzerváló fogászat és fogpótlástan), vizsga nincs, a kreditpontigazolást a rendezvényt követően küldjük el. A szakmai programokban a változtatás jogát fenntartjuk.

Workshop

A tudományos programok mellett megrendezésre kerülő workshopok és gyakorlati kurzusok termei az „A" pavilon galériáján találhatók, melyeket a helyszínen irányítótáblákkal jelölünk.

Megközelítés, parkolás

A parkolás a konferencia résztvevői és a látogatók számára ingyenes, behajtás gépjárművel a 4-es kapunál lehetséges. A környező utcákban díjmentes parkolási övezet található.

A rendezvény megközelíthető tömegközlekedéssel is:

Az Örs vezér tere metrómegálló és a Hungexpo vásárváros között a rendezvény napjain is közlekedik a 10-es autóbusz. Az M2-es metró Pillangó utcai állomásától a Hungexpo vásárváros főbejárata körülbelül 15 perces sétával elérhető. A Blaha Lujza téri metrómegálló közeléből, a Népszínház utcai végállomásról induló 37-es, illetve 37A villamosok Kőbánya felső vasútállomás megállóhelyétől a Hungexpo vásárváros III. kapuja – a vasútállomás alatti aluljárón át – 6-7 perces sétával elérhető.

Dental World

Nemzetközi Fogászati

Szakkiállítás és Konferencia

2023. október 12–13–14.

*
23

Dental World

Nemzetközi Fogászati Szakkiállítás és Konferencia 2023. október 12–13–14.

Helyszín:

Hungexpo Budapest Vásárközpont, 1101 Budapest, Albertirsai út 10. „A” pavilon

„A” PAVILON – KONFERENCIATERMEK – KIÁLLÍTÓTÉR

Programfelelős: Dr. Benyőcs Gergely

Programfelelősök: Dr. Volom András Dr. Gombos Ádám

Programfelelősök: Dr. Németh Zsolt Dr. Sidó Levente

Programfelelős: Dr. Borbély Péter

Programfelelős: Dr. Borbély Péter Programfelelős: Dr. Borbély Péter

23
Konferenciaterem 1. Konferenciaterem 2. Konferenciaterem 3. Konferenciaterem 4. Csütörtök, október 12. 09.50–18.00 Endodoncia Kongresszus 1 09.30–17.30 Esztétikai Kongresszus 1 09.30–17.30 Implantológiai Kongresszus 1 09.50–17.00 Orthodontia Kongresszus 1 Péntek, október 13. 09.50–17.30 Endodoncia Kongresszus 2 09.30–17.00 Esztétikai Kongresszus 2 09.30–17.00 Implantológiai Kongresszus 2 09.50–17.00 Orthodontia Kongresszus 2 Szombat, október 14. 09.50–17.00 Endodoncia Kongresszus 3 09.50–16.30 Esztétikai Kongresszus 3 09.50–16.30 Implantológiai Kongresszus 3 09.50–16.30 Orthodontia Kongresszus 3 Programfelelősök: Dr. Volom András Dr. Gombos Ádám Programfelelős: Dr. Benyőcs Gergely Programfelelősök: Dr. Volom András Dr. Gombos Ádám Programfelelős: Dr. Benyőcs Gergely

Dental World

Nemzetközi Fogászati Szakkiállítás és Konferencia 2023. október 12–13–14.

Helyszín: Hungexpo Budapest Vásárközpont, 1102 Budapest, Albertirsai út 10. „A” pavilon

KONFERENCIA- ÉS WORKSHOP TERMEK – GALÉRIA

Programfelelősök:

Pósáné Szűcs Erika

Róth Lajos

14.00–17.30

–technika a molárisokhoz

Programfelelős: Friss Tamás

Programfelelős: Dental World

09.00–12.30

Hogyan tudjuk meggyőzni pácienseinket a komplett rehabilitációról a minimál beavatkozás helyett?

17 kreditpont

Programfelelősök:

Hanser Zsolt

Kónya János

Róth Lajos

09.50–17.00

Digitális Fogászati Kongr.

Programfelelős: Dr. Radánovics-Nagy

Dániel

10.00–16.45

Prevenciós Kongresszus 2

15 kreditpont

Programfelelős: Volom Dental

09.00–16.00

Recepciósképzés 3.0avagy régi eszközökkel nem nézhetünk szembe az új kihívásokkal

Programfelelős: Flexi-Dent

13.00–16.30

Mennyit fizessek az asszisztensnek, mi marad nekem?

Programfelelős: Flexi-Dent

10.00–12.00

Espresso Anterior

Programfelelős: Dental World

09.30–13.00

Modern endodonciai kezelések a gyakorlatban

09.00–12.30

Páciensélménytervezés a fogászati praxisban

Programfelelős: Flexi-Dent

13.00–16.30

Hogyan toborozzunk új munkatársakat és tartsuk meg őket?

Programfelelős: Flexi-Dent

09.00–12.30

2023 leghatékonyabb fogászati marketing eszközei és kampányai

Programfelelős: Flexi-Dent

13.00–16.30

Az egészséges árak kialakítása

Programfelelős: Dr. Nagy Zsolt

8 kreditpont

Programfelelős: Dr. Radánovics-Nagy

Dániel

Programfelelős: Flexi-Dent

Programfelelős: Volom Dental

Programfelelős: Flexi-Dent

Konferenciaterem 5. Konferenciaterem 6. Workshop terem 1. Workshop terem 2. Workshop terem 3. Csütörtök, október 12. 10.00–17.00 Fogorvos- és fogtechnikushallgatói Kongresszus 09.20–17.30 Praxismenedzsment Kongresszus
09.30–17.00 Dental Talent
Péntek, október 13. 10.00–17.00 Földvári Imre Fogtechnikai Kongresszus 09.30–17.30 Prevenciós Kongresszus
Bioarchitektúra
1 10.00–17.00 Bioclear Modern Anterior Kompozit Technikák dr. Arthur Volkerrel
Szombat,
14.
október
23
a képzés napja választható

Open Dental Academy

Live Dental Show

2023-ban is a Dental World egyik kiemelkedő rendezvénye lesz az Implantológia Show az „Élő műtétek” bemutatásával. Jövőre is az üvegfalú „látványműtőben” felkért orvosok végzik majd egy-egy páciens nyilvános kezelését. A rutinszerűen alkalmazott műtéti technikák mellett új eljárásokat is bemutatnak az implantológia repertoárjából.

Fogorvos/fogtechnikus tanulóverseny

Az orvosi verseny résztvevői az ország négy, fogorvosi képzést nyújtó egyeteméről érkeznek, ahol belső versenyeken választják ki azt az egyetemenként 3-3 indulót, akik a Dental World-ön mérik össze tudásukat. Minden versenyző ötödéves egyetemi hallgató, és nyereményük többek közt egy út Leuven-be, a GC központjába. A fogtechnikus-tanulók részére 2023-ban már 12. alkalommal megrendezésre kerülő Győztesek Versenyére a Protetika Verseny győztese, az Országos Mintázó Verseny legjobbjai és az Ipartestület által rendezett Kerámiás Verseny helyezettjei kapnak személyes meghívást. A 12 magyar tanuló számára az idei évben is nagy kihívás a szakma egésze előtt a Dental World szakkiállításon bemutatni képességeiket, szakmai elhivatottságukat.

Demo Stage

2023-ban ismét a kiállítótér sugárútján kap helyet a Live Demo.

4 különböző programot szervezünk az alábbi témakörökben:

• Endodontia & Esztétika

• MicroWorld & Lézer

• Fogtechnika

• Oralszkenner

AlphaBio Buborék bár

Flexi kávézó

Dental Lounge

Várjuk szeretettel 2023-ban is!

Az Open Dental Academy programja minden látogató számára díjmentesen megtekinthető.

Digitális

A Dental World tudományos

Dr. Volom András Dr. Gombos Ádám Dr. Benyőcs Gergely Dr. Németh Zsolt Dr. Sidó Levente Dr. Nagy Zsolt Friss Tamás Dr. Borbély Péter Dr. Radánovics-Nagy Dániel
kongresszusainak programfelelősei Esztétika Kongresszus Endodontia Kongresszus Implantológia Kongresszus Orthodontia Kongresszus
Fogászati Kongresszus Praxismenedzsment Kongresszus Prevenciós Kongresszus
Platina szponzor Arany+ szponzorok Arany szponzorok Ezüst szponzorok Hialuronsav Az egészséges fogíny receptje Az egészséges fogíny receptje Az egész csalàd számára

Gálaest

19:30 kapunyitás, asztalfoglalás, welcome koktél

20:00 köszöntő, büféasztalos vacsora ínyencségekkel

Program:
2023.
13., péntek
október
19.30–01.00
21:30 élő koncert 23:30 funkypop & dance
20:30 revüműsor
www.shop.realtrade.hu További információ: +36 1 261 6630
Színadaptív fényre keményedő kompozit ragasztócement
ÚJDONSÁG

Esztétika Kongresszus programajánló

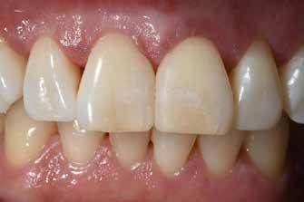
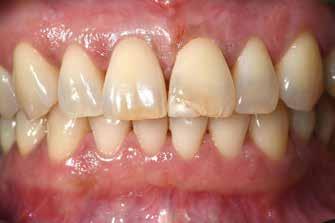
Mindannyian érezzük, hogy a fogászat elképesztő sebességgel változik. Az idei kongresszusunk ennek megfelelően azokat a területeket igyekszik érinteni, ahol komolyak a változások vagy sok a nem eléggé feltárt terület. Nagy nevű előadókat nyertünk meg ebben az évben is. A teljesség igénye nélkül említenék meg néhányat: prof. Mutlu Özcan az egyik legtermékenyebb kutató, akinek munkásságát világszerte figyelik. A zürichi egyetem oktatója. A rohamosan fejlődő restauráló-, ragasztó- és protetikai anyagokban segít eligazodni. Jordi Manauta örökzöld és folyamatosan gondot okozó témát hoz el nekünk: szín és forma miképp reprodukálható jól a protetikában. Marco Maiolino a fogak repedéseinek titkait tárja fel. Arthur Volker a napjainkban annyira felfutó injection moulding-ot és különleges matricázási módszereket ismertet. Giedré Kobs komplex kezelési protokollját ismerteti, amellyel okklúzióhelyes, teljes szájrehabilitációkat végez. Természetesen az esztétikai kongresszuson is lesz szó a digitalizációról, hisz ez mára megkerülhetetlen és roppant izgalmas téma. Várjuk a kollégákat erre az élvezetes kalandra, amit idén az esztétikai kongresszus nyújt Önöknek.

23
témavezetők
Dr. Volom András Dr. Gombos Ádám

használják ezt a módszert, nem térnek vissza más technikákhoz”

Interjú dr. Jordi Manautával

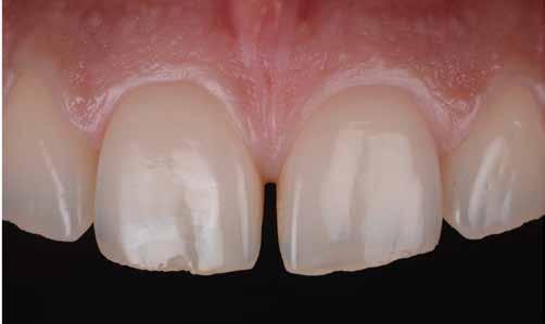
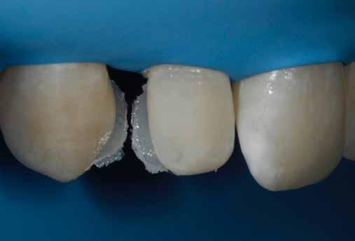
Dr. Jordi P. Manautát kérdeztük a Style Italiano csoporttól a közvetlen kompozitokkal történő diastema lezárására kifejlesztett front-wing technikájukról.

ni, akkor nem hagyunk ki valamit? Ez elgondolkodtatott minket.

A múltbeli klinikai tapasztalatokkal együtt azon a délutánon véglegesítettük azt az elképzelést, ami ma van. Gyors, közvetlen, wax-up nélkül, és a végleges restauráció minőségének kompromisszum nélkül. Megszületett a front-wing technika.

Milyen technikákat használt korábban a közvetlen diastema lezárására? Melyik volt a kedvenc technikája korábban?

Azt mondhatom, hogy szinte minden technikát kipróbáltam... és mindegyik jól működött egy bizonyos ponton, és egy bizonyos ponton mindegyik kudarcot vallott. A közvetlen diastema zárási technikákat három kategóriába sorolhatjuk:

• Wax-up alapú

Köszönjük, hogy időt szakított a kérdéseink megválaszolására. Nagy megtiszteltetés, hogy interjút készíthetünk a mai fogászat egyik legbriliánsabb és legkreatívabb elméjével.

Köszönöm ezt a bókot, büszkén veszem, mert ezzel teljesül az a cél, amit az évek során kitűztem magam elé. „Értelmes és hasznos megoldásokkal elérni a keményen dolgozó fogorvosokat”... Úgy gondolom, hogy oktatóként ez az egyik legjobb dolog, ami velem történt.

Először is, mi késztette Önt arra, hogy átgondolja és átalakítsa a jelenleg elérhető diastema zárási technikákat?

A megbízhatósága annak, amink akkoriban volt, legalábbis az én kezemben, szűkös és nem túl kiszámítható volt.

2015-ben történt, amikor az egyik gyakorlati foglalkozásunkat terveztük, és nehezen tudtunk lezárni egy diasztémát egy gyakorlati modellen, annak ellenére, hogy minden rendelkezésre álló erőforrással és ideális helyzettel rendelkeztünk a nagyszerű extrakorális munkához. Ehelyett mindig bonyolult technikákkal, furcsa klinikai lépésekkel és csúnya restaurációkkal végeztük.

Ettől kezdve... a kérdés az volt... ha még egy modellben sem vagyunk képesek valami jelentőset produkál-

• Nem wax-up alapú (mátrix formázott és szabadkézi)

• Hibrid (wax-up és intraoperatív szabadkézi módosítások)

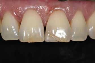
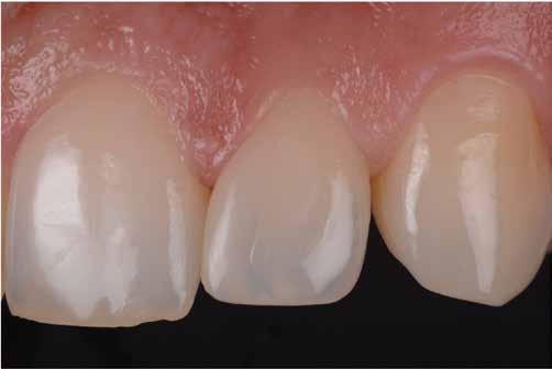
Nem volt kedvencem, de kevésbé kedveltem a hibrid technikát, ahol a palatális fal wax-uppal történő felépítése, majd a nyaki terület szabadkézi megerősítése után a restauráció többi részét mátrixszal lehetett kivitelezni (1. ábra). Bár a kezemben ez valahogy hatékony volt, mégis bonyolult volt.

„Ha az emberek egyszer
1. ábra: A wax-up alapú technikák gyakori problémái, a szájpadlásfal apikális része hibás.

Milyen problémák merültek fel a régebbi technikákkal, beleértve az Ön által használtat is?

A szabadkézi technikák legnagyobb problémája kétségtelenül a nyaki pontosság hiánya és a túlnyúlások létrehozása. Számtalan olyan pácienst láttam, akiknek vérző ínyük volt, és nem tudtak megfelelően fogselymet használni. A másik gyakori probléma a klasszikus megközelítéssel kapcsolatban a végső forma volt. A dupla kiemelkedő profil miatt a végleges restaurációnak kellemetlen alakja volt (2-4. ábra). A kizárólag mátrixokkal történő közvetlen diasztémazárás problémái a nyaki szinten a túlkontúrozás és az alulkontúrozás, a diszkordáns kontaktpontok, az eltolt proximális kontaktok és a masszív többlettermelés. Hogy őszinte legyek, engem mindig is lebeszéltek arról, hogy ezzel a megközelítéssel próbálkozzam.

Hogyan oldja meg az új technika a régi problémákat?

A következő négy módon:

1. A kofferdámmal a legkritikusabb területen, amely megfelel a zenit és a kiemelkedési profilnak, RETRAKCIÓT hoz létre, amit semmilyen wax-uppal nem lehet megtenni (5. ábra).

2. A bukkális növekmény stabil kompozittal létrehozott szabadkézi felépítése, amely követi az Ön közvetlen látását és a fog megjelenését, ugyanolyan pontosan meghatározza a FORMÁT, mint egy wax-up. Más szóval, ez egy direkt wax-up.

3. A hátsó mátrixok OPTIMÁLJÁK az előzőleg felépített formát, és létrehozzák az ideális érintkezési pontot.

4. A hátsó kitöltés minden hézagot kiküszöböl, és tökéletes ZÁRÓDÁS-t hoz létre, különösen a restauráció legapikálisabb részén.

Hadd mutassak két esetet.

1. eset: Egyárnyalatú oldalsó peg (1 óra ülésidő)

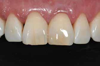
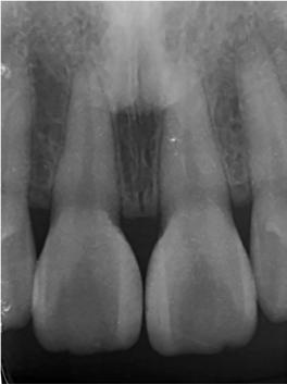
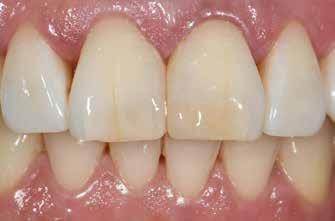
2-4. ábra: Gyakori problémák klasszikus megközelítéssel. 5. ábra: Tökéletes vészhelyzeti profil elülső szárnyas technikával. Dr. Jun Iwata, Japán jóvoltából.

2. eset: Egyszínű restauráció egy mikrodiasztémán, ahol a viasz nem kivitelezhető (1 óra ülésidő)

Használható-e a front-wing technika különböző opacitású kompozitok, például zománc- és dentinárnyalatú kompozitok rétegezése során?

Ez kedves kérdés! A szájpadláshibáktól vagy a nyaki túlnyúlásoktól való félelem nélküli felépítés szabadsága lehetővé teszi a felhasználó számára, hogy kreatív legyen a fedésekkel és a karakterisztikákkal, miközben tökéletes formát és tömítést biztosít. Bár az egyszínű restaurációk a legjobb indikáció, több színárnyalat is használható, és a zománc és a dentin többféle konfigurációjában is. Lehetőség van egy testszínt a nyaki és egy másik testszínt a metszőfogakba helyezni, vagy egy dentin a mélyben és zománc a felszínen, vagy dentin-test keverék. A lehetőségek tárháza végtelen.

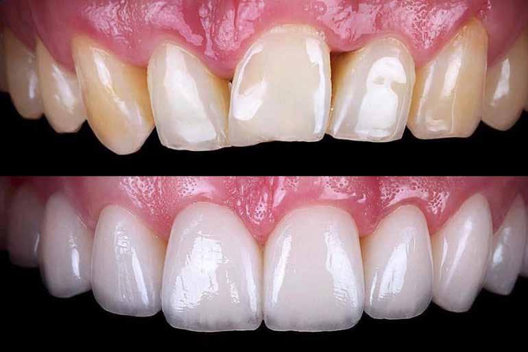
3. eset: Diasztéma zárása, dentin és zománc rétegezéssel az opacitás és a metszőfogtörések korrekciója érdekében (1 óra székben töltött idő)

Javasolja, hogy ehhez a technikához az utólagos metszeti mátrixokon kívül más mátrixot is használjanak? Ha igen, melyiket, és ha nem, milyen lehetséges problémák merülhetnek fel?

A kevesebb több. Minél összetettebb egy mátrix, annál több problémát okoz a beillesztés, az ülés, az adaptálás és a befejezés. Sokszor ezek az extravagáns anatómiák bizonyos mátrixokból károsak. Egy klasszikus mátrix itt univerzálisan megoldja az összes problémát, nagyobb láthatóságot ad, tökéletes anatómiát biztosít, és a legjobb az, hogy olcsó. Ahogy mindig ismétlem a résztvevőknek... „A mátrix beszél!”

Hogyan népszerűsítette a front-wing technikát?

Először a www.styleitaliano.org oldalon terjedt el cikként, és így lett elég népszerű a közösségi hálózatainkon. Számos Style Italiano tag és követő több esete mutatta be a technika alkalmazását és sikerét.

2022 áprilisában jelent meg a Quintessence kiadó gondozásában a Layers 2 című új könyvünk, amelynek diasztéma fejezete minden információt tartalmaz ennek a technikának a múltjáról és jelenéről.

De hogy őszinte legyek, a technika népszerűsítésének legmegfelelőbb módja a kurzusainkon részt vevő fogorvosok munkája. A front-wing technika előtt szinte lehetetlen volt jó diasztémát látni, de a front-wing technika alkalmazásakor a csoport 98%-ának következetesen tökéletesen sikerül, és az a néhány ember, aki elrontotta, azonnal felismeri, hol történt a hiba. Igazi élmény a tanulásban.

Milyen volt a visszajelzés és az elfogadás a klinikusok részéről, akik alkalmazták ezt a technikát a napi munkafolyamatukban?

Túláradó... olyan mondatokkal, mint „Most már teljes az életem”, „El sem tudom képzelni, hogy a front-wing technika nélkül dolgozzak” vagy „Mit csináltam a front-wing előtt?” Mivel mindennapi megoldásként megvalósíthatóvá vált, mivel nem volt wax-up, nem voltak buborékok, tökéletes kontúr és megbízható építési módszer, a klinikusok mindennapi gyakorlatában maradt. Ha az emberek egyszer használják ezt a módszert, többé nem térnek vissza más technikákhoz.

Végezetül, mesélne nekünk egy kicsit a Style Italianóval való kapcsolatáról és a csoport alapfilozófiájáról?

A Style Italiano a szerelmem és az életem. Hivatalos tag vagyok. Alapítóink, prof. Putignano és dr. Walter Devoto, akkoriban világos vízióval és üzenettel rendelkeztek, és történetesen ugyanaz, amit ma is terjesztünk: Megvalósítható, tanítható és megismételhető.

A Style Italiano csoportban az én szerepem az „ötletgyár”, amely a csoport 2009-es megalakulásával jött létre. Később, a 2014es évben hivatalosan is megalakult mint egy cég, amely három szabadalmat jelentett be, két színszoftver tulajdonosa, és több mint 30 eredeti eszközt és anyagot fejlesztett ki különböző cégekkel, és öt technikát publikált (az egyik az első szárny), jelenleg egy lakóhelyi és két világméretű oktatási projektet és egy új koncepciót működtet az online oktatásban.

Dr. Jordi Manauta

Mexikóvárosban született, és a Mexikói Technológiai Egyetemen (UNITEC) szerzett fogorvosi diplomát, jelentős ösztöndíjakkal. Posztgraduális tanulmányait az operatív és esztétikai fogászat területén folytatta, és a spanyolországi Barcelonában, a Katalán Nemzetközi Egyetemen (UIC) szerzett mesterdiplomát. Miguel Tames (Mexikóváros) és Walter Devoto (Olaszország) tanítványa, aki nemzetközi cégekkel együttműködve különböző anyagokat és műszereket fejlesztett és fejleszt jelenleg is az esztétikai fogászat, a fogászati kalorimetria és a fényképezés területén. Vendégtanár a Sienai Egyetemen, és két európai folyóirat tudományos tanácsadója. Dr. Manauta 2008 óta tagja a Style Italiano tanulmányi csoportnak. A Layers (Quintessence 2012) és a Layers 2 (Quintessence 2022) című könyv szerzője, valamint számos nemzetközi folyóiratban megjelent publikáció szerzője és társszerzője, Dr. Manauta gyakran meghívott előadó az esztétikai és operatív fogászat területén. 2023. 10. 14-én hands-on kurzust tart a Dental World-ön (részletek a workshop programoknál).

Esztétika Kongresszus

2023. október 12., csütörtök

09.35–09.45 Dr. Gombos Ádám, Dr. Volom András: Megnyitó

09.45–11.30 Daniele Rondoni (Olaszország): A helyreállítás hosszú élettartama döntő kritérium a kezelési választásunkban?

Az első részben az új generációs anyagok különbségét és tulajdonságait fogjuk elemezni, bemutatva a klinikai esetek végeredményeit és hosszú élettartamát. Fontos szempont, hogy mélyrehatóan megvizsgáljuk azokat a befolyásoló tényezőket, amelyek fontosak az ideális anyag kiválasztásához az egyéni türelmi igényeknek megfelelően. Az előadó továbbá egy új megközelítést mutat be, amely nagyon egyszerűen segít Önnek a kiszámítható esztétika megteremtésében az ideális indirekt kezelésekkel készült fogpótlások előállítása során. Emellett bemutatja, hogyan javíthatjuk képességeinket és hatékonyságunkat egy ideális digitális munkafolyamat segítségével.

11.30–12.30 Dr. Ronaldo Hirata (Brazília): Esztétikus

kompozitrestaurációk receptjei

A kompozitrestaurációkat széles körben indikálják a mindennapi gyakorlatban a hagyományos amalgám alapú anyagok kiváltása és a polimer alapú anyagok esztétikai eredményének javítása miatt. A klinikai helyzetekben a kompozitrestaurációk konzervatív megközelítésük, reverzibilitásuk és javíthatóságuk miatt jobban indikáltak, mint más lehetőségek, különösen a fiatalabb páciensek esetében. Kötelező felismerni ezeket a speciális klinikai helyzeteket.

A szakirodalomban leírt számos technika közül a rétegezési technikáról általában azt állítják, hogy reprodukálja a természetes fogazat szempontjait, és lehetővé teszi a polimerizációs zsugorodás által generált stressz szabályozását.

A rétegezési technika azonban a ragasztási eljárások, az anyagkezelés és a fogászati anatómia mélyreható ismeretét igényli, ami összetetté és időigényessé teszi. Az ilyen hátrányok leküzdése érdekében a polimerkémiai technika fejlődését és új rétegezési technikákat javasoltak. Például alacsony zsugorodású kompozitokat fejlesztettek ki az üregek tömeges kitöltésére, amelyek kiküszöbölik a hagyományos rétegezési technikákhoz szükséges lépéseket, ami jelentősen leegyszerűsíti a kompozitgyanta-restaurációs eljárásokat. A tömeges kitöltés lehetővé teszi, hogy a restauráció egy vagy két rétegben épüljön fel, a tömeges kitöltésű kompozit típusától és tulajdonságaitól függően. Ez az előadás a kompozitok mai indikációit tárgyalja, és kitér a kompozitrétegezés alapvető technikáira (dentin/kromatikus/akromatikus zománc), valamint a kevesebb réteget használó módosított technikára és az alacsony zsugorodási sebességű kompozitokra. Az egyes technikák lépésről lépésre történő sorrendjét ismertetjük, valamint az egyes technikák kihívásait és lényegét. A NYU-n végzett kutatás során kapott eredmények is bemutatásra kerülnek.

12.30–14.00 Ebédszünet

14.00–15.30 Prof. dr. Marko Jakovac, Dragan Stolica (Horvátország): Digitális protokoll a minimálisan invazív fogászatban

A fogászat és a rögzített fogpótlás megváltoztatja protokolljait. A digitális forradalom egyre inkább betör a mindennapi fogászati gyakorlatba. A digitális munkafolyamatok felé tett első lépések már évtizedek óta ismertek. A teljesen digitális protokoll azonban nem volt lehetséges mindaddig, amíg nem rendelkeztünk a szájüregi rehabilitációkhoz elég pontos digitális szkennerekkel. A szkennerek mellett új, nagy pontosságú 3D nyomtatókra, maróeszközökre és anyagokra is szükségünk volt. Néhány évvel ezelőtt nem tudtunk nagy fesztávolságú hidakat készíteni kompromiszszumok vagy kézi rétegezési technikák nélkül. Ma már tudományos bizonyítékunk van arra, hogy a digitális szkennerek pontosság tekintetében közel állnak az analóg lenyomatokhoz. Az új anyagok kivételes esztétikai és mechanikai tulajdonságokkal rendelkeznek, és rétegezés nélkül használhatjuk őket teljes ívű restaurációkhoz. Bizonyos korlátozásokkal ma már áttérhetünk a teljesen digitális munkafolyamatra. A legtöbb fogorvos ismer néhány analóg protokollt, és képesnek kell lennie arra, hogy ezeket a digitális fogászatban is használja. A protokollok nagyon fontosak a prediktív terápia szempontjából. Az előadás a digitális protokollt egy komplex klinikai eseten keresztül mutatja be, ami egy teljes szájrehabilitáció.

15.30–17.30 Dr. Arthur Volker (Amerikai Egyesült Államok):

mátrixolási

Injection moulding és

stratégiák a direkt anterior kompozitokhoz

A mátrix célja, hogy alakformálóként működjön, és megkönnyítse a anyagok, például az amalgám vagy a kompozit gyanta elhelyezését. Számos lehetőség áll rendelkezésre az anyagválasztás és a terjedelem tekintetében. Ez a kurzus a különböző mátrixkészítési lehetőségeket tárgyalja az anterior területen alkalmazott kompozitrestaurációkhoz. Konkrétan a fém- és műanyag matricákról lesz szó, valamint a szekcionált és a „teljes kontúrú” anyagokat is megvitatjuk.

Célkitűzések:

1. Megismerkedés az esztétikát meghatározó tényezőkkel

2. A kompozit lehetőségek, valamint a mátrixválasztás meghatározó tényezőinek megvitatása a elülső fogazat

3. Rendszerezze a preparálási protokollokat, mint például az izolálás és a részecskeabrázió a szuvas és nem szuvas restaurációknál

4. A közvetlen kompozitinjektálás protokolljának megértése.

23

Esztétika Kongresszus

2023. október 13., péntek

09.35–09.45 Dr. Gombos Ádám, Dr. Volom András: Megnyitó

09.45–11.45 Dr. Giedre Kobs (Litvánia): Az ember egészének kezelése okklúzión keresztül

A fogászatban a legnagyobb kihívás az összetett esetek megközelítése. Hogyan kezeljük az ember egészét, nem csak az egyes fogakat az okklúzión keresztül? Fogorvosként befolyásolhatjuk-e a fogcsikorgató és fogösszeszorító erőket? Egy fogorvos számára nincs értékesebb, mint a súlyos TMD-páciensek kezelésében szerzett hosszú távú gyakorlat. A fájdalom mindennapos kezelése adja meg a választ. Megadja a kezelés helyes irányát. Ha ismeri a helyes irányt, mindig sikeresen kijuttathatja páciensét a fájdalomból. És igen – van egy protokoll. Ebben az előadásban megosztom Önnel 24 éves tapasztalatomat, amit több mint 18 000 beteg ellátása és kezelése során szereztem.

11.45–12.45 Prof. dr. Mutlu Özcan (Svájc): Fogászati anyagok a helyreállító fogászatban: szubtraktív vagy additív?

A technológiai fejlődés előrehaladásával és a szubtraktív és additív gyártási módszerek bevezetésével új anyagok kerülnek bevezetésre a fog-, implantátum- és nyálkahártya-alapú rekonstrukciókhoz, valamint a csontpótlókhoz. Miközben a bioanyagok területén bekövetkező fejlesztések a fogászat szinte minden szakterületére hatással vannak, a klinikusoknak el kell sajátítaniuk az anyagtípusok, alapvető fizikai és kémiai tulajdonságaik, valamint biokompatibilitásuk ismeretét. Ebben az előadásban áttekintést adunk a fogászatban használt új anyagok jelenlegi klinikai lehetőségeiről, korlátairól és jövőbeli kilátásairól, különös tekintettel a fémekre, polimerekre, hibridekre és kerámiákra.

12.45–14.15 Ebédszünet

14.15–16.00 Dr. Jordi Manauta (Olaszország): Szín és forma, a tökéletes anterior kompozitok titkai – a Layers 2 és a Style Italiano módszer Gyakran úgy gondolják, hogy a rendkívül esztétikus fogpótlások elkészítéséhez kifinomult és összetett technikákra van szükség, amelyeket csak néhány kivételesen tehetséges személy képes elsajátítani. Én azonban azt mondom, hogy a tökéletes, nagy sikerarányú fogpótlások elérése valóban mindenki számára lehetséges. Megközelítésünk az egyszerűséget és a logikát hangsúlyozza a racionális színegyeztetés elvégzésében, biztosítva a kiválasztott szín pontos reprodukcióját és a hibákból való tanulást. Napjainkban a megfelelő anyagok kiválasztása, a megfelelő rétegezési technikák alkalmazása és a morfológia kezelése elengedhetetlen ahhoz, hogy pácienseink fogainak legapróbb árnyalatait is utánozzuk, miközben elkerüljük a felesleges kihívásokat, vagy ahogy én szeretem nevezni, a szenvedő fogorvoslást. A 27 év tapasztalatai során felhalmozott tippek és trükkök kincsesbányája áll rendelkezésemre, amelyet szívesen megosztok Önökkel.

16.00–17.30 Dr. Andrea Franzo (Olaszország): A RESTO-PROSTHETIC dilemma: hogyan változtatott meg mindent az adhézió?

Az adhezív esztétikai anyagok és technikák kulcsszerepet játszanak a modern fogászatban, elmozdítva a konzerváló és a protetikai fogászat közötti határokat. Manapság az esztétikát és a funkciót egyaránt helyreállíthatjuk a hátsó és elülső régióban, direkt vagy indirekt technikákkal, a megmaradt fogszerkezet megőrzésével és jelentős időmegtakarítással. Az előadás célja, hogy rámutasson a klinikai bizonyítékokon alapuló protokollok különböző aspektusaira, amelyekkel számos klinikai helyzetet kiszámítható módon lehet megoldani.

23

Esztétika Kongresszus

2023. október 14., szombat

09.50–10.00 Dr. Gombos Ádám, Dr. Volom András: Megnyitó

10.00–12.00 Dr. Marco Maiolino (Olaszország): A „repedt” fogak kódexének megfejtése

A repedések az egyik legnagyobb kihívást jelentő és legvitatottabb téma a fogászatban. A különböző vélemények és kezelések miatt ez a téma nem egyértelmű az átlagos klinikus számára. Az előadás során az előadó rávilágít a repedések mögött álló összes mechanikára, arra, hogy hogyan lehet elkerülni őket a való életben, valamint a sikeres kezelésükre vonatkozó stratégiákra.

12.00–12.30 Dr. Takács Ildikó:

Sokoldalú esztétikai arckezelési lehetőségek fogászati lézerrel

Napjaink versenyképes fogászati egészségügyi ágazatában széleskörűen elterjedt a lézeres kezelések alkalmazása. Továbbá lassan önálló tudományágként az esztétikai beavatkozások is teret nyernek a fogászatban is, ld.: mosolytervezés, makroesztétika, kozmetikai fogászat. Nemzetközileg is egyre nő az igény, mind a páciens, mind a kezelőorvos oldaláról, hogy egyszerre teljeskörű ellátást kapjon/kínáljon. A Fotona LightWalker® lézereket a maximális sokoldalúságra tervezték, így a kemény- és lágyszövetes fogászati kezelések széles választékán túl, számos népszerű arcesztétikai kezelést is lehetővé tesz, a hideg és nagyon felületes bőrfelújítástól, a szövettel való mély hőkölcsönhatásig az öregedésgátló és fiatalító hatások érdekében.

12.30–14.00 Ebédszünet

14.00–15.15 Dr. Salem Jusic (Bosznia-Hercegovina): Az anterior fogak különösen esztétikus kompozitrestaurációi

Előadás témái:

- A mosoly architektúrája (az elülső fogak morfológiája)

- Előkészítés (tippek a láthatatlan restaurációkhoz)

- Eszközök és mátrixok

- Hogyan válasszuk ki a megfelelő kompozitot?

- Kompozitrétegezés (mono, duo, polyshade)

- Befejezés és polírozás (tippek és trükkök a magasfényűséghez)

15.15–16.30 Dr. Maciej Czerwiński (Lengyelország): Mérföldkövek a restauratív kezelésben

Ezen az előadáson az izolációs stratégiákat ismerheti meg:

- A rubber dam és a teflonszalag szerepe a hatékony izolálásban

- Előkészítési stratégiák és felkészülés az izolációra

- Shape Factor és a gingivectomia

- Mátrix kiválasztási rendszer és a TeflonFloss technika.

23
Eighteeth Brilliance 48° Döntött Lecséjű Loupe Állítható Nagyítással (4,9-5,6X) 499 990 Ft Bioclear Matricarendszer BT Anterior, Evolve és a Diamond Wedge-ek 5 490 - 349 990 Ft Eighteeth Curing Pen Hipererős és Ergonomikus Polimerizációs Lámpa 79 990 Ft Helios 500 Oralscanner Ultragyors, Pillekönnyű, Pontos és Egyszerű 4 999 990 Ft 20 ÉVE ÚJDONSÁGOKKAL AZ ESZTÉTIKA MINDEN TERÜLETÉN @volomshop volomshop.com shop@volomshop.com Olvassa be a QR-kódot termékeinkért!

Rekonstrukciós fogászat fókusza

Ebben az interjúban prof. dr. Mutlu Özcan, a Zürichi Egyetemről részleteket árul el a rekonstrukciós fogászatról

Mutlu Özcan, a Zürichi Egyetem munkatársa ebben a tanulságos interjúban részletekkel szolgál a rekonstrukciós fogászatról. Először is elmagyarázza, hogy mivel foglalkozik, valamint a klinikai szakértői tevékenységét ezen a területen, különös hangsúlyt fektetve a fogászati bioanyagok alkalmazására. Megtudjuk továbbá, hogy milyen kutatások folynak a területen, valamint néhány jelenlegi és jövőbeli fogászati alkalmazásban használt bioanyagot. Azt is elmagyarázza, hogyan változott a fogászati terápiák és beavatkozási megközelítések iránti igény az elmúlt évek során. Továbbá megvizsgáljuk, hogy a rekonstrukciós fogászat hogyan kínál gyorsabb, egyszerűbb és megbízhatóbb alkalmazásokat, amelyek technikai szempontból előnyösek, és a páciens számára is előnyösek. Végül elárulja, hogy milyen reményeket fűz a rekonstrukciós fogászat jövőjéhez és a fogászati bioanyagok használatához.

Először is, mesélne nekünk egy kicsit többet arról, hogy mivel foglalkozik és milyen klinikai szakértelemmel rendelkezik a rekonstrukciós fogászatban, különös tekintettel a fogászati bioanyagok alkalmazására?

Miután 1993-ban megszereztem a fogsebészi (DDS) diplomámat, elvégeztem a fogszabályozás szakirányú rezidensképzést, és erre a területre specializálódtam. A bioanyagok és technológiák terén elért előrelépések mindig is hajtóerőt jelentettek az alternatív terápiás lehetőségek létrehozásában a fogászat szinte minden szakterületén. Amióta elkezdődött a szakosodásom

ezen a területen, a fogászat profitál az ilyen fejlesztésekből, és ma már számos kezelési megoldást kínálunk pácienseinknek. Rezidens korom alatt klinikai szakfelügyelőként dolgoztam akadémiai környezetben, ahol elsősorban kivehető fogpótlásra szoruló geriátriai betegeket kezeltem, valamint olyanokat, akiknek fix fogpótlásra, például fog- vagy implantátummal ellátott hagyományos rögzített fogpótlásra (azaz korona és híd) volt szükségük, elsősorban arany vagy fémkerámia felhasználásával. Az ezekben az években megfigyelt klinikai kudarcok és a beavatkozások invazív jellege, nevezetesen a foghúzásra vonatkozó több fúrás és egyszerűbb döntések jelentős szerepet játszottak a kutatási irányvonalam kialakításában az évek során. Ez volt az az időszak is, amikor elkezdtem többet foglalkozni az adhezív fogászattal, ami megváltoztatta a protetikai fogászat klasszikus arculatát, és határozottan kevésbé invazívvá tette azt (1. a-d ábrák). Ma, az intenzív transzlációs és klinikai kutatás eredményeként, különös tekintettel a fogászati bioanyagok alkalmazására, klinikai szakértelmem a minimálisan invazív, adhezív eljárások alkalmazására összpontosít a protetikai fogászatban, a szövődmények kezelésére és a költséghatékony kezelési lehetőségek felkínálására.

Lényegében az adhezív fogászat szűkítette a fogszabályozás és a helyreállító fogászat közötti határfelületet, ezért a fogszabályozás tudományágat rekonstrukciós fogászatnak nevezik. Minden kutatási és klinikai erőfeszítésem arra irányul, hogy minden rendelkezésre álló fogászati kemény- és lágyszövetet megmentsek, elkerüljem a foghúzásokat, megelőző intézkedéseket gyakoroljak, és növeljem a fogászati rekonstrukciók hosszú távú tartósságát, miközben új bioanyagokat fejlesztek ki.

Mik azok a fogászati bioanyagok, és miért olyan fontosak az ezen a területen folyó kutatások? Beszéljen nekünk néhány jelenlegi és jövőbeli fogászati alkalmazásban használt bioanyagról.

A fogászati bioanyagok jellemzően a fémek, polimerek és kerámiák közé sorolhatók, amelyek mindegyike rendelkezik bizonyos előnyökkel és korlátokkal. A fémek még mindig a legjobb tartósságot biztosítják a nagy méretű fogászati rekonstrukciók vagy implantátumok esetében, különösen duktilitásuk miatt.

A legújabb, maráson és additív feldolgozási stratégiákon alapuló technológiák szintén csökkentették a nehézkes gyártási módszereket. A nagy szilárdságú kerámiák, mint például a lítium-diszilikát és a cirkónia területén az elmúlt három évtizedben bekövetkezett fejlődés lehetővé tette, hogy fémmentes, esztétikus rekonstrukciókat vagy cirkóniaimplantátumokat gyártsunk. Mégis, a ridegségük még mindig problémát jelent, és ennek a korlátozásnak a leküzdése érdekében folyamatosan fejlesztik a kompozitkerámiákat. Másrészt a polimerek széles választéka, nevezetesen a műgyanta alapú kompozitanyagok különö -

sen sokat segítettek a gyakorló orvosoknak a hiányzó fogszövetek közvetlen, minimálisan invazív módon történő helyreállításában.

Az additív technológiák a polimer anyagok széles palettáját képesek feldolgozni, ami új lehetőségeket nyitott meg a regenerációs célokra.

Az e területen folyó kutatás fontos, különösen a várható élettartam növekedését figyelembe véve. A népesség elöregedése miatt nőnek az elvárások a fogászati rehabilitációk hosszú távú túlélésével kapcsolatban, ami a hagyományos vagy digitális technológiával feldolgozott bioanyagok méreteinek és saját tulajdonságainak optimalizálását teszi szükségessé. Ezért a természetes szövetek – legyen szó zománcról, dentinről vagy csontról – anizotróp szerkezetét imitáló, fokozott tartósságú és regeneratív szempontokkal rendelkező új anyagok területén az innováció a jelenlegi kihívások közé tartozik.

Hogyan változtak a fogászati terápiák és beavatkozási módszerek iránti igények az elmúlt években?

A társadalom jelenlegi fogászati igényei többdimenziósak, de alapvetően az emberek növekvő élettartamából, a folyamatosan működő agresszív szájüregi környezetből, a multimorbiditásból, a nyáláramlás és a pH változásából, valamint természetesen a biofilm jelenlétéből és a fogíny gyulladásából, amely a fogszövetek elvesztéséhez vezet. Ezen túlmenően az életmódbeli változások, a stressz okozta fogazati leépülés vagy a fogszuvasodás is eredményezheti a fogazat helyreállításának szükségességét. Az utóbbi években a szakma szembesül a

pácienseknél jelent-
1a 1c 1b 1d
1. a-d ábrák: a) Fogerózió a molárisok okkluzális felszínén, b) maratás foszforsavval, c) minimálisan invazív műgyanta-kompozit fedőréteg levegővel történő felszívása, d) adhezív ragasztott fedőréteg a hiányzó zománc és dentin helyreállítására.

kező fogerózió problémájával is, amely a mineralizált fogszerkezet elvesztésének egyik fő oka, az eróziós étrend extrinsic savai vagy intrinsic etiológia, például anorexia, bulimia nervosa vagy gyomorreflux következtében.

A beavatkozás tekintetében –részben a betegek igényei miatt – a megközelítések a kivehető helyett a rögzített rekonstrukciók, az esztétikusabb megoldások és – ahol lehetséges – a fémmentes rekonstrukciók felé mozdultak el.

Hogyan tud a rekonstrukciós fogászat gyorsabb, egyszerűbb és megbízhatóbb alkalmazásokat kínálni, amelyek technikai szempontból is előnyösek, és a páciens számára is előnyösek?

A rekonstrukciós fogászatban a gyártási oldalon a számítógépes tervezés és a számítógépes gyártás (CAD/CAM) rendszerek, a gyors prototípusgyártás, az additív technológiák (3D nyomtatás) gyorsabb, egyszerűbb és megbízhatóbb alkalmazásokat tesznek lehetővé. Mivel a kezelővel kapcsolatos hibák minimálisra csökkennek, a rekonstrukciók kiváló minőségű változatai biztosíthatók. A digitális munkafolyamatok azt is lehetővé teszik a klinikusok számá -

ra, hogy a diagnosztikai fázisban minden lehetséges információt egyesítsenek, ami a rekonstrukció tervezése és gyártása során előnyös lehet. A terület nagyon dinamikus, de a digitális munkafolyamatok gyakran költséges beruházásokat igényelnek. Mindazonáltal a chairside alkalmazások és a rekonstrukciónak a fogorvosi vizit napján történő átadása a rekonstrukció méretétől függően néha néhány órán belül – csökkenti a fogorvosnál tett látogatások számát, és ezért hatékonyabb és költséghatékonyabb lehet a páciensek számára.

Mit remél a rekonstrukciós fogászat és a fogászati bioanyagok használatának jövőjétől?

A Miolite® egy célirányosan a szájüregben történő felhasználás céljára kialakított, speciális orvostechnikai eszköz

• Krónikus parodontitis kiegészítő kezelése

• Fogászati beavatkozások (pl. implantáció, extrakció) utáni fertőzések megelőzése, sebek gyógyulásának gyorsítása

• Fájdalomcsillapítás a szájüregben

• Különböző szájnyálkahártya-betegségek gyógyítása, beleértve a fájdalomérzet enyhítését (pl. COMP, BMS, oral SLE)

A kezelés nem foglal el szék-időt.

www.miolite.hu

Már több évtizede sok erőfeszítést fordítanak a fogászati helyreállításban használt fém-, kerámia- és polimeranyagok javítására, de a kerámiák, polimerek és fogászati ötvözetek öregedése, kopása, elszíneződése, törése, felületi degradációja vagy biokorróziója jelentős problémákat vet fel, amelyek olyan kihívásokat jelentenek, amelyeket még mindig meg kell oldanunk a fogászati bioanyagok kutatásának területén. Ez vonatkozik az implantátumanyagokra is. Az egyik legpusztítóbb jelenlegi klinikai kihívás a periimplantitisz növekvő előfordulása és az általános szisztémás egészségre gyakorolt következményei, ahol a patológia és a genetikai elemek a biokorrózióval együtt jelentős szerepet játszanak az etiológiában. Remélem, hogy hamarosan új, bioinspirált, regenerációs potenciállal rendelkező anyagok kerülnek forgalomba, amelyek felületi tulajdonságai nem halmozzák fel a mikroorganizmusokat.

Szeretne még valamit hozzátenni?

Függetlenül a fogászati bioanyagok mint rekonstrukciós vagy implantációs anyagok terén elért minden előrelépéstől, a fogorvosi szakma végső célja a megelőzés kell hogy legyen. Meg kell azonban jegyezni, hogy a jövőbeni megelőző megoldásokhoz az anyagtudományi ismeretek alkalmazására is szükség lesz, de talán inkább mikro-, mezo- vagy nanoszinten.

C M Y CM MY CY CMY K miolite_83x127_print.pdf 1 2023. 06. 27. 16:22
A polarizált fényterápia, mint kiegészítő kezelés már a fogorvosok számára is elérhető!
Európai orvostechnikai engedélyszám: MDD-201

KAVOSZ SZÉCHÉNYI LÍZING MAX+

• 5 % fix kamatozás

• 2,5 % szerződéskötési díj

• Önerő 30 %

A-dec 500

Prémium kategóriás alsó/felső karos kezelőegység

5 É V GARANCIA

2003 ÓTA FOLYAMATOSAN ELNYERTE A LEGJOBB KEZELŐEGYSÉG FŐDÍJAT

Csak az a gyártó ad 5 év garanciát a termékére, aki biztos a gyártmánya minőségében

DELUXE vezérlés, 8+4 LED páciens lámpa, NSK NLZ LED-es mikromotor www.a-dec.com/virtual-tour www.dent-east.hu

Az A-dec kezelőegységek szervizeléséhez a vételár mindössze átlagosan 1,97%-át teszi ki az évente vásárolt alkatrész. Ebben az A-dec páratlan.

A-dec 230

Felsőkaros kezelőegység, DELUXE vezérlés, 8+4 LED vagy 4 LED páciens lámpa, NSK NLZ LED-es mikromotor

A-dec 200

Kompakt alsókaros kezelőegység

DELUXE vezérlés, 8+4 LED vagy 4 LED páciens lámpa, NSK NLZ LED-es mikromotor

A-dec/NSK elektromos, nyomaték szabályozott LED-es, ENDO funkciós mikromotor, rpm 100-40000
ÚJ MEGKÖZELÍTÉS! Dr. Faluhelyi Péter egynapos ergonomiai tréningje – ajándék a gép mellé
Keressen bennünket! Telefon: 06 20 943 8109 • 06 20 929 0701 • 06 20 922 8508 E-mail: mail@dent-east.com
„Amit ma megvehetsz, ne halaszd holnapra”
Ügyintézést biztosítunk
KIZÁRÓLAGOS MAGYARORSZÁGI FORGALMAZÓ alphaimplant.hu powered by TM Launch!
Immediacy
Empowering Predictability and Performance in

Endodontia Kongresszus programajánló

Ajánlom a háromnapos kongresszust minden gyakorló fogorvosnak, aki szeretné elmélyíteni a tudását az endodoncia területén, megismerni a legújabb trendeket és kezelési lehetőségeket.

2023-ban a minőségvezérelt, nagyítás fókuszú, pácienscentrikus endodonciai megközelítés mellett nagy szerepet kap a konzervatív szemlélet és a sebészi replantáció témaköre is.

23
témavezető
Dr. Benyőcs Gergely

Endodontia Kongresszus

2023. október 12., csütörtök

09.50–10.00 Dr. Benyőcs Gergely: Megnyitó

10.00–12.30

Alfayate (Spanyolország): Komplex diagnózis az endodontiában

A pontos diagnózis alapvető fontosságú a megfelelő kezelési terv meghatározásához. Hangsúlyozni kell, hogy az esetek többsége egyszerűsített módon megoldható, más eseteknél azonban a sajátosságok elfedhetik a diagnózist, amihez invazívabb kiegészítő vizsgálatokra van szükség az etiológia megértéséhez. Ugyanakkor, a diagnosztikai tesztek alkalmazása nagyfokú kétségeket vethet fel. Ezért, amikor összetett diagnózisú esetekkel szembesülünk, fontos a tudományos ismeretek és a józan ész alkalmazása, egyesítve a kiegészítő tesztek eredményeinek értelmezésére, a prognózis eldöntésére és az eset megfelelő kiválasztására az első fázisban a sikeres kezelés felé vezető úton.

12.30–14.00 Ebédszünet

14.00–15.30 Dr. Byron Tsivos (Egyesült Királyság): Hogyan javítják az innovációk és a technológiai stratégiák a hosszú távú prognózist az endodontia területén?

Az 1990-es évek előtt csak hagyományos endodontiai kezelés létezett, a gyökércsatorna előkészítése rozsdamentes acél kézi reszelővel történt, az obturációhoz pedig hideg laterális guttapercha tömörítéssel. A kezelés során a vizualizáció nem volt egyszerű, mivel nagyítást (azaz fogászati lupét) alig használtak. A klinikus számára pedig a (kétdimenziós) röntgenfelvételek jelentették az egyetlen támpontot a munkahossz és a kezelés módjának meghatározásához. Azóta az endodontia területe magáévá tette a technológiai fejlesztéseket és változásokat a gyökérkezelés jobb elvégzése érdekében. A mai újítások a műszerezésben (új reszelőrendszerek, ultrahangos eszközök stb.), az obturációban, a vizualizációban (a nagyítás) és a sebészeti műtéti technikákban lehetővé tették az endodontológusok számára, hogy jobb hosszú távú prognózist nyújtsanak betegeik kezeléséhez. Az endodontia jövőbeli trendjei közé tartoznak a regenerációs technikák és a 3D nyomtatás használata. Ez az előadás mindezen innovatív és technológiai stratégiákról szól a jelenlegi endodontiai kezelésben.

15.30–17.00 Dr. Forster András: Gyökérkezelt fogak helyreállítása modern szálerősítéses stratégiákkal

A gyökérkezelések sikertelenségének körülbelül 50%-át egy rosszul záró restaurátum okozza és a gyökérkezelt fogak elvesztésének egyik vezető oka ezen fogak katasztrofális törése. A fogászat elmúlt évszázadai nem tudtak olyan megoldást felmutatni, amely ezeket a problémákat hatékonyan és reprodukálhatóan orvosolta volna. A szálerősítéses műanyag technológia fejlődése ès a biomimetikus koncepció alkalmazása megoldást jelenthet a mechanikai és bakteriális kihívásokra. Előadásomban az elmúlt 10 év tudományos és klinikai eredményein keresztül mutatom be, merre vezethet a jövő endo-restorative fogászatának útja.

23
Dr. Ruth Perez

Endodontia Kongresszus

2023. október 13., péntek

09.50–10.00 Dr. Benyőcs Gergely: Megnyitó

10.00–12.30 Dr. Mile Churlinov (Észak-Macedónia): Navigált fog autotranszplantáció „A fogvesztés általában parodontális patológiát, függőleges gyökértörést, szuvas destrukciót és traumát követően következik be. A fogak autotranszplantációja olyan technika, amely magában foglalja egy mesterséges fogágy sebészi létrehozását vagy frissen kihúzott fogazat felhasználását, és egy autogén kitört vagy kitöredezett fog újrapozicionálását a fogazat elsődleges szerepének helyreállítása érdekében a funkció, a beszéd és az esztétika szempontjából. (1,2) Míg a donorfog „”PDL”” megőrzése a siker kulcstényezőjének tűnik, (4,5) egyes kutatók úgy találták, hogy az éretlen fogaknak jobb a prognózisa autotranszplantáció esetén, mivel könnyebben elősegíthetik a revascularizációt, mint az érett fogak (3), több esetismertető tanulmány is magas sikerességi arányról számolt be az érett fogak autotranszplantációja esetén (6-8), és 98,0% és 90,5% 1 és 5 év alatt, a szisztematikus áttekintések szerint (6). Korábbi kutatók megállapították, hogy egy nyomtatott donorfog (3D replika) a foghúzás előtt optimalizálhatja az eljárás teljes idejét, és ami a legfontosabb, csökkentheti a donorfog extraorális idejét (9). A digitális tervezéssel és a CBCT-vel a frissen kihúzott fogazat már nem jelent korlátot, ha az egész eljárást jól megtervezték, és az eljárást gyorsan végzik (12). Anssari Moin és munkatársai leírták a számítógépes sablonvezérelt autotranszplantáció módszerét egyedi, 3D-ben tervezett/nyomtatott sebészi eszközökkel (13), néhány évvel később pedig Abella és munkatársai még tovább mentek egy egyedi tervezésű oszteotómmal és a donorfog teljesen feltárt bukkális falával (14). Ebben az előadásban a szerző bemutatja, hogyan lehet a modern technológia segítségével autotranszplantációt tervezni és végrehajtani különböző klinikai helyzetekben, és hogyan lehet azt a szakirodalom által is alátámasztani. A véletlen fogvesztés gyakoribb a fiatalabbaknál, mint a felnőtteknél. A hiányzó fog/fogak implantátummal történő kezelése felnőtteknél kiváló és kiszámítható módszer, de ellenjavallt növekvő egyéneknél, mivel nem biztosítja az alveoláris gerinc további növekedését függőlegesen, ahogyan a természetes fogazat hajlamos erre. A növésben lévő páciensek hiányzó metszőfogaival kapcsolatos követéses vizsgálatok azt mutatták, hogy hosszú távon a protetikai rehabilitáció volt a legkevésbé kívánatos kezelési lehetőség a fogszabályozással és az autotranszplantációval szemben. A sikeres implantációs eljárás elvégzése károsodott fogüreg esetén még legtapasztaltabb klinikusok számára is nagy kihívást jelentő feladat, illetve felnőtteknél jelentős csontveszteséggel és/vagy sinuslift beavatkozással jár. A rendelkezésre álló friss üreg vagy csontmagasság/szélesség gyors és kiszámíthatóvá teszi az eljárást. Másrészt, ha lágy- és keményszövethiány van, az autotranszplantáció előnyös lehet az implantátumokkal szemben, főként a „”PDL ‚’ csontinduktív potenciál és a lágyszövetekkel való optimális biológiai kölcsönhatás miatt.

12.30–14.00 Ebédszünet

14.00–15.30 Dr. Giovanni Olivi (Olaszország): Innovatív endodoncia lökéshullámokkal erősített emissziós fotoakusztikus áramoltatás használatával

„Az elmúlt 20 évben az endodontia területén a technológiák vulkanikus kitörése volt tapasztalható. A NiTi formázó reszelő kifejlesztése, a biokompatibilis anyagok debütálása, a CBCT megjelenése a jobb diagnosztika érdekében. Ezek a minimálisan invazív technológiák elősegítik a fogszerkezet maximális megőrzését, de egy régi, Herbert Schilder által megfogalmazott aforizma szerint az endodontiai terápia sikere szempontjából fontosabb, hogy „”mit távolítunk el””, mint hogy „”mit viszünk be”” a csatornarendszerbe. Ebből a szempontból a lézerrel aktivált irrigálás, pontosabban a SWEEPS technológia áttörést jelent a gyökércsatorna-rendszer 3D-s tisztítására és fertőtlenítésére. A fotoakusztikus technológiát az endodonciában általánosan használt irrigálószerek (NaOCl és EDTA) aktiválására használják, és nem helyettesíti a hagyományos műszeres kezelést. Az első SSP technológiát (single super short pulse) és a SWEEPS technológiát (dual ultra rövid impulzus) ma már számos publikált és nem publikált kísérlet és adat igazolja. Nagy sebességű, 100 000 képkockás videókon bemutatjuk az innovatív kettős impulzuslézer-kibocsátást endodontiai környezetben. Scanning Electron Microscopy és CT képalkotás segítségével értékelték a szövetek feloldódását, a tisztítást, a kenetréteg és az endodontikus tömőanyag eltávolítását az endodontikus térből. Bakteriológiai vizsgálatokat, valamint konfokális elemzést végeztünk e technikák dekontamináló hatásának értékelésére. Az előadás áttekintést nyújt a klinikai alkalmazás mögött álló tudományos koncepciókról, és egy sor klinikai esetet tárgyal.

Az előadás céljai:

- Az endodontiai irrigálás jelentőségének megértése az endodontia területén;

- megérteni a hagyományos rendszerek endodontiai irrigálásra történő alkalmazásának korlátait;

- a szonikus, ultrahangos, multisonikus és lézerrel aktivált irrigálás közötti különbség megértése;

- a SWEEPS technológia fő előnyeinek megértése a gyökércsatorna-öblítésben;

- a NaOCl és az EDTA különböző szerepének és időzítésének megértése a gyökérkezelés különböző lépései során;

- a lézer hatékony és biztonságos endodontiai használatára vonatkozó tippek és trükkök elsajátítása.

15.30–17.00 Dr. Nuno Pinto (Portugália): A reciproc fájlok fejlődése

Kétségtelenül előrelépés volt a tisztítás és a formázás fejlődésében, az egységes reciproc fájl megjelenése új távlatokat nyitott a fogalmak tekintetében. Feltétlen híve vagyok a reciproknak, mert biztonságosabbnak és egyszerűbbnek tartom, szakértők és kezdők egyaránt használhatják, és lényegében nagy előnyét látom az egyetlen fájlnak és az egyszeri használatnak. E rendszer fejlődése nélkül még mindig kevésbé invazív fájlokat hoznánk létre. Mindannyian tudjuk, hogy egy reciproc fájlnak mindig követnie kell bizonyos követelményeket a minőség és a megbízhatóság fenntartása érdekében, és ez volt a nagy nehézség ennek az új fájlnak a létrehozásában is, azonban sikerült hozzáadni a reciproc fájlok minden megbízhatóságát. A Flatside bevezetése és az alacsonyobb kúp számos előnyt biztosít ennek a fájlnak a versenytársakkal szemben. A Flash a Bondent által kifejlesztett új reciproc fájl, amely előrelépést jelent a tisztítási és formázási eljárás terén.

23

Endodontia Kongresszus

2023. október 14., szombat

09.50–10.00 Dr. Benyőcs Gergely: Megnyitó

10.00–11.30 Dr. Alexandru Gliga (Románia): Komplex klinikai endodontiai esetek kezelése

Ez az előadás a legfontosabb endodontiai témákat fogja érinteni, mint: Diagnosztikai módszerek; Hozzáférési üregek endodontiai retorzióban; A műszerek kiválasztása; Obturációs technikák - (reciprok mozgás); Az endodontiai rendszer fertőtlenítése; Fém- és üvegszálas csapok eltávolítása; Az apikális ⅓ mechanikai előkészítése; A munkahossz meghatározása endodontiai retorzióban.

11.30–12.30 Dr. Agnieszka Pacyk (Lengyelország): A lokális dentális érzéstelenítés 7 veszélye az endodontiai kezelés során

Az endodontiai kezelés során jelentkező fájdalom megelőzése minden beteg számára kiemelkedően fontos. Manapság a betegek minden eddiginél jobban elvárják a biztonságos, hatékony és egy látogatással járó kezelést. Az előadás során a fájdalommentes és biztonságos érzéstelenítés szabályai kerülnek bemutatásra. Az egyik legnagyobb kihívást jelentő klinikai helyzet a pulpitis, és ilyenkor fontos ismerni a hatékony helyi érzéstelenítés legjobb stratégiáit. Ezen túlmenően az előadás bemutatja a helyi érzéstelenítők és eszközök kiválasztásának és használatának legjobb módjait, hogy megvédjük a betegeket a szövődményektől, magunkat pedig a komplikációktól.

12.30–14.00 Ebédszünet

14.00–15.15 Dr. Michał Ganowicz (Lengyelország): A fogak biológiai kezelése –a bioaktív cementek szinte minden indikációja

Mély üreg készítésekor elgondolkodik azon, hogy milyen mélyre lehet fúrni? Mennyi demineralizált dentint lehet biztonságosan eltávolítani? Aggódik-e amiatt, hogy feltárja a pulpát, és gyökérkezelést kell végeznie? Vagy esetleg szeretné növelni a gyökérkezelés hatékonyságát? Szeretné látni, hogy az olyan szövődmények, mint például a csatorna perforációja kezelhető-e? Ha igen, akkor várom Önt előadásomra, ahol a bioaktív cementek meglepő tulajdonságairól fogok beszélni a szuvasodás, a fogpulpa és a periapikális szövetek kezelésében. Látni fogja, hogyan használható a Bioroot RCS és a Biodentine a mindennapi gyakorlatban. Megtudhatja, hogy egy adott helyzetben melyik anyagot válassza. Megmutatom Önnek a mély szuvasodás kezelésére szolgáló egyszerű eljárásokat, az egyszeri látogatással végzett gyökérkezeléseket, valamint a gyökércsatornákban lévő perforációk és széles fiziológiás foramenek kezelését.

15.15–16.30 Dr. Cátia Patricio Manilha (Portugália): Gyökércsatornák megmunkálása modern file-rendszerekkel

23

STRAUMANN® BLX IMPLANT SYSTEM

Confidence beyond Immediacy.

System overview

A mikroszkóp a kezelések minőségének ugrásszerű

javításához alapvető darab

Dr. Nuno Pintóval beszélgettünk

lógiák megkönnyítik a munkát. Az én generációmban rendkívüli változás történt, és ugyanez a forradalom volt felelős azért, hogy a mai endodoncia megváltozott.

Ön szerint milyen feltételek megléte nélkül nem érdemes a gyökérkezelésbe belekezdeni?

Ma a minimális feltételek nagyon különböznek a 20 vagy 25 évvel ezelőtt lehetséges feltételektől. Ma, a megkövetelt jelenlegi minőségi szabványok mellett szükség van elméleti és gyakorlati ismeretekre és olyan eszközökre, amelyek segíthetnek a minőség javításában, mint például a mikroszkóp, amely a kezelések minőségének ugrásszerű javításához alapvető darab, és amely mindig az ultrahangos hegyekhez kapcsolódik. Bár az endodoncia területén sok mítosz létezik, amelyeknek szerintem semmi értelme!

Véleménye szerint a mai modern technikák és eszközök már lehetővé teszik a kevésbé invazív kezelések tervezését és kivitelezését?

Kérem, mondja el röviden szakmai életútjának és tudományos munkásságának legfontosabb állomásait!

Lisszabonban élek és dolgozom, és 2001-es diplomám megszerzése óta foglalkozom endodontiával. Az elmúlt 21 évben lehetőségem volt arra, hogy Európa egyik legjelentősebb klinikáján (maloclinics) endodonciai osztályon dolgozzak, még akkor is, amikor Barcelonában, a Catalunya nemzetközi egyetemen végeztem az endodoncia mesterképzést. Azóta lehetőségem volt a csúcstechnológiával dolgozni. Klinikus vagyok, és néha tudományos projekteken dolgozom, csak azért, hogy javítsam a klinikai eljárásokat.

Mikor döntött arról, hogy a fogászat óriási tudástárában az endodoncia szakterülete irányába szeretne fordulni?

Kezdettől fogva tudtam, hogy egy nap az endodoncia területén fogok dolgozni. Abban az időben sok fejlesztés megváltoztatta a perspektívámat, és rájöttem, hogy az endodoncia világa az én utam, ez egy titokzatos terület, de ugyanakkor lenyűgöző, az új techno -

Az endodoncia ma sokkal kevésbé invazív, mint az elmúlt évtizedben. A mikroszkópos, ultrahangos hegyek, mechanikus reszelők (rugalmas, torziós és fáradással szemben ellenálló ötvözetekkel), valamint a háromdimenziós obturációt lehetővé tevő obturációs rendszerekkel együtt, amelyek lehetővé teszik a háromdimenziós obturációt anélkül, hogy a csatornákat túlzottan meg kellene tágítani, már nincs szükségünk a struktúra eltávolítására a vizualizáció, a tisztítás és alakítás, az irrigálás és az obturáció hatékonyabbá tétele érdekében. Ma már kiszámíthatóbb hosszú távú eredményekkel rendelkező kezeléseket érünk el. Az, hogy kevésbé invazívak vagyunk, azonban nem jelenti azt, hogy eljárásunkat ostobán megnehezítjük.

Ön szerint is a megfelelő bemeneti kavitás a hosszú távú siker záloga?

A hozzáférés kétségtelenül az egyik legfontosabb lépés a végeredmény szempontjából. A hozzáférés az a szakasz, ahol a legtöbb időt pazarolom, és amely meghatározza a kezelés nagyobb vagy kisebb nehézségét és a jobb vagy rosszabb végeredményt. Ebben a szakaszban fontos szerepet játszik a CBCT, az anterior rx, valamint a mikroszkóp és az ultrahangos adatok.

A gépi tágítás határai, hova fejlődhet a precizitás? Őszintén szólva, jobban szeretem a dugattyús műszerezést, mivel sokkal biztonságosabbnak és bizonyos mértékig könnyebben megoldhatónak tartom az esetek kb. 80%-ában. A VDW elhagyása után meg kellett változtatnom a gondolkodásmódomat, és vissza kellett térnem a forgó reszelőkhöz, de teljesen megváltoztatva annak működési módját, és elkezdtem csak egy reszelőt használni (mintha az egy dugattyús reszelő lenne) az esetek többségében. Egy másik fontos eredmény, hogy ma már a beépített csúcspontkeresővel ellátott motorok szerepe lehetővé teszi a műszereink jobb vezérlését, olyan pontossággal, amely néhány évvel ezelőtt még elképzelhetetlen volt.

Melyik az ön számára leghatékonyabb gyökércsatorna-fertőtlenítési módszer?

Mindannyian tudjuk, hogy nincs tökéletes megoldás. Az elmúlt évtizedekben számos kísérlet történt arra, hogy a leghatékonyabb és tudományosan bizonyított megoldást letaszítsák a trónról, a hipoklorit a legolcsóbb és leghatékonyabb megoldás, és még sokáig az is marad. De játszhatunk a koncentrációjukkal és a teljesítési idejükkel, valamint az aktiválásukkal, ahol véleményem szerint az Eddy óriási előnyben van a többivel szemben. Klinikai gyakorlatomban a hipoklorit, az EDTA és az aktiválás a protokollom része.

Ön szerint hogyan fog kinézni az endodonciai kezelés a jövőben? A mesterséges intelligencia és a digitalizáció mindent megváltoztat?

A digitalizálásban, ahogyan azt ma használják, úgy gondolom, hogy az út nem ezen keresztül vezet majd, hanem a mikroszkópot a digitalizálás részeként használva, és a navigációt háromdimenziós vizualizációval beépítve, a CBCT segítségével együtt. Az elkövetkező időkben látni fogjuk a mikroszkópok fejlődését, amelyek lehetővé teszik az egyes lépések vizualizálását háromdimenziós információk segítségével és valós időben, a CBCT-adatok integrálásával.

Szabadidejében mi jelenti ön számára a kikapcsolódást, a pihenést?

Őszintén szólva, az endodoncia nekem kikapcsolódást jelent, szabadidőmben azonban szeretek szörfözni és búvárkodni.

Kónuszos felépítmény kapcsolat

Kisebb mikromozgás

Erősebb és egyenletesebb csatlakozás

Platform switching

KIZÁRÓLAGOS MAGYARORSZÁGI FORGALMAZÓ
www.alphaimplant.hu

Implantológia Kongresszus programajánló

Ajánljuk a háromnapos kongresszust minden gyakorló fogorvosnak, aki szeretné elmélyíteni a tudását, illetve megismerni a legújabb implantológiai trendeket.

23
témavezetők
Dr. Németh Zsolt Dr. Sidó Levente

Még

rehabilitáció a páciensek életminőségének javítása érdekében

Interjú dr. Matteo Bassó-val

képesek vagyunk megérteni, hogy a biofilmeken belül mi az, amely képes általánossá tenni azt az „ökológiai katasztrófát”, amely az implantátumok körüli gyulladásokhoz, majd ezt követően visszafordíthatatlan elváltozások megjelenéséhez vezet az elégedetlen pácienseknél.

Mikor döntött arról, hogy az implantológia szakterületének tudásanyagában, majd gyakorlati megoldásaiban kíván elmélyülni?

Első klinikai tapasztalatom 25 évvel ezelőtt a parodontológia területén volt, amely akkoriban gyorsan fejlődő tudományág volt, a gyulladásos problémák megoldását és a fogak fenntartását célozta. Ugyanezen az osztályon már létezett egy fejlett implantológiai részleg, amellyel lehetőség nyílt az implantológiai patológiák megelőzésére és kezelésére vonatkozó ötletek és kezelési protokollok cseréjére. Az implantológia iránti érdeklődés tehát spontán módon alakult ki, és arra késztetett, hogy részt vegyek az innovatív sebészeti rehabilitációs technikákkal és a fogászati implantátumokkal kapcsolatos kutatási doktori képzésben, olyan ismeretekkel, amelyek ma is a tevékenységem alapját képezik.

A nemzetközi szakirodalomban az ön publikációi igen rangos helyen állnak, fontos információkat adnak egy-egy új eljárás vagy lehetőség megoldásához. Jelenleg milyen témában folynak a kutatásai?

Az implantológia folyamatosan fejlődő terület. Sok évvel ezelőtt a probléma elsősorban technikai jellegű volt, hatékony megoldásokat és egyszerűsített eljárásokat kerestek a maximális eredmények biztosítása érdekében. Kutatásaim középpontjában például az azonnali terheléses eljárások álltak, a 90-es évek végén pedig a ferde implantátumok elhelyezése, amely ma már normális, de akkoriban hibának, sőt eretnekségnek tűnt. Ma azonban az egyre fejlettebb implantátumanyagok miatt a rehabilitáció már nem jelent komoly technikai problémát, és a figyelem az implantátumok hosszú távú tartósságának lehetőségére terelődött. Jelenlegi kutatásom tehát arra törekszik, hogy megoldásokat találjon mindazon tényezők ellensúlyozására, amelyek az implantátumok behelyezését és a protézis elkészítését követően olyan patológiákat generálhatnak, mint a periimplantitis és az idő múlásával bekövetkező teljes rehabilitáció elvesztése. A tudomány révén ma már

Ön szerint várható-e jelentős előrelépés vagy fordulópont az implantológia területén? Főképp most, mikor a mesterséges intelligencia és a digitális fogászat nagymértékben fejlődik. Nehéz megmondani, hogy a ma ismert implantológia rövid távon forradalmi változásokon fog-e átesni, köszönhetően az új technológiáknak, amelyekkel nap mint nap találkozunk a világunkban. Bizonyára lesznek forradalmi módszereink a mesterséges intelligencia révén, amelyekkel másképp (valószínűleg hatékonyabb és kiszámíthatóbb módon) tudjuk majd elvégezni azt, amelyet ma már kiválóan tudunk. Emblematikus, hogy ha valaki a szakirodalomban vagy akár az interneten keres információt a „fogászat jövőjéről”, akkor szinte minden, amelyet a jövőnkre vonatkozóan előre látnak, a mesterséges intelligenciával kapcsolatos. Kötelező tehát azt gondolni, hogy az implantológia, ami talán a digitális módszerekre leginkább alkalmas tudományág, már rövid távon is jelentős változásokon és alkalmazkodáson fog átesni.

A fogászat különböző szakterületei óriási léptékben változnak az utóbbi években is. Mit gondol, ez a

hatékonyabb és tartósabb

fejlődés elsősorban a páciensek életminőségének a javulását segíti, vagy főleg a fogorvosok, a fogtechnikusok munkáját könnyíti?

Minden nagyobb változás bármely területen a tudás bővülésének és javulásának köszönhető. Már nem ugyanúgy kezeljük betegeinket, mint akár csak öt évvel ezelőtt: sokkal ellenállóbb biomatériák állnak rendelkezésünkre, amelyek képesek kölcsönhatásba lépni a szájüregi biofilmmel, megelőzni a patológiákat, és nyilvánvalóan korlátozzák az esetleges hibalehetőségeket is, mivel a mi szakmánk kézműves szakma, és még mindig nagyban függ az egyes kezelők manuális és szakmai készségeitől. Ezek a nagy változások javítják a fogorvos és a fogtechnikus munkáját, de összességében, idővel a legnagyobb előny a páciensre hárul, aki hatékonyabb és tartósabb rehabilitációkat kap, kevesebb problémával és határozottan kevesebb kellemetlenséggel, mint például a műtárgyak véletlen törése, kopása, esztétikai elváltozás.

A mai gyártói/fejlesztői magatartás a digitális munkafolyamatokat részesíti előnyben, háttérbe szorítva a szakemberi munkát. Ön egyetért ezzel?

A digitális eszközök használhatatlanok egy erre szakosodott kezelő jelenléte nélkül. Egyfelől igaz, hogy a digitális munkafolyamatok a történelmi anyagokra, például a rétegelt kerámiára jellemző kézi eljárások egész sorának elvesztésével járnak, de két fő szempontot kell figyelembe venni:

1. A mesterséges intelligencia még mindig nem képes olyan korlátozott hibahatárokat biztosítani, hogy akár csak távolról is feltételezhető legyen, hogy helyettesíteni tudja a fogtechnikus speciális szakmai munkáját;

2. A mai napig nem létezik olyan digitális technológia, amely lehetővé tenné a fogorvos által megkövetelt eljárások teljes variabilitásának elvégzését. Bármennyire is találunk érdekes protokollokat az olyan szolgáltatásokra, mint például a teljes mobilprotézisek teljesen digitális úton történő elvégzésére, az emberi beavatkozás továbbra is elengedhetetlen ahhoz, hogy ezek a műtárgyak megfelelő minőségűek legyenek ahhoz, hogy a páciens valóban klinikailag használhassa őket. Személyes elképzelésem szerint ezek a technológiák egyre inkább az eredmények elérésének eszközévé válnak, de a szakképzett operátor, aki a digitalizálás esetében talán még specializáltabb, továbbra is alapvető fontosságú marad.

Véleménye szerint a navigált implantációs műtétek további lehetőségei pótolhatják valaha is a szájsebész tudását és sebészi képességeit?

Sok évvel ezelőtt – szintén a nagy implantátumgyártó cégek támogatásának köszönhetően – az egyetememen számos vizsgálatot végeztünk az irányított műtétekkel és a műtéti navigáció első prototípusaival, a helyiségben elhelyezett érzékelőkkel. A pontossági szint nem volt összeegyeztethető a folyamatos operátori beavatkozás és korrekció nélküli kockázatmentes műtéttel. E személyes tapasztalataim alapján ma már olyan fejlődést látok, amely ezt a navigációs technológiát a megbízhatóság és a pontosság több mint kielégítő szintjére emelte. Ha csak arra gondolok, amelyet az intézetemben az idegsebészet területén végeznek olyan gépekkel, amelyek szinte nulla hibahatárral képesek vezetni a sebészt a kényes műtétek végrehajtása során, azt mondanám, hogy jelenleg az

egyetlen akadály, amely az ilyen műszerek használatának útjában állhat, valószínűleg a legfejlettebb gépek ára. A fogászatban azonban a sebészeti navigáció csak a betegek bizonyos kategóriáinál lehet indikált, különösen azoknál, akiknek elegendő csonttérfogatuk van a biztonságos implantátum-beültetéshez. Sajnos az ilyen betegek a kisebbséget alkotják, gyakran van szükség beavatkozásra regeneratív eljárásokkal, jól elvégzett hozzáférési lebenyekkel, az implantátum helyének változtatásával a munka során, mert esetleg az eredetileg kiválasztott, röntgenszinten optimálisnak tűnő helyről kiderülhet, hogy nem ideális. Ezért elképzelhetetlen, hogy a kezelőt és tapasztalatát egy gép helyettesítse, bármilyen precíz is legyen az. És ez igaz az orvostudomány minden olyan területére is, ahol ez a fajta irányított navigáció már széles körben elérhető.

Ki a példaképe a

szakmájában?

A parodontológia területén szerzett tapasztalataim alapján mindig is lenyűgöztek azok a személyiségek, akik nagy nyomot tudtak hagyni a parodontális patológiák megértése és kezelése terén, mint például Harald Loe és Jan Lindhe, akik jelenleg is e tudományág alapító atyái közé tartoznak. Ha az implantológia területén maradunk, egy olyan személy, akit nagyon tisztelek – és akivel volt szerencsém együtt dolgozni –, Tiziano Testori, aki minden kutatásával képes volt elmagyarázni a világnak, hogy az azonnali terhelés egy biztonságos eljárás, amely képes elősegíteni a csont érésének a fejlődését. Ő magyarázta el nekünk a regeneratív eljárások számos, ma általánosan használt technikáját, mint például a sinus maxillaris lift, amelynek kétségtelenül az egyik legnagyobb szakértője maradt. Testori ma nagyon aktív személyiség a szakirodalomban is, ő megosztja velem az implantátumok védelmi tervének a kidolgozását, egyfajta garanciát, amelyet a páciensnek kell nyújtani. Valójában nem elég jól elhelyezni egy implantátumot, hanem a pácienssel együttműködve az igazi siker az, ha tudjuk, hogyan tudjuk garantálni az elvégzett munka időtartamát.

Ön szerint meghatározható, hogy mennyi lágyszövetre van szüksége egy implantátumnak?

A szakirodalom már évek óta meglehetősen pontos útmutatásokat ad az implantátum helyes háromdimenziós elhelyezésére, arra vonatkozóan, hogy mennyi csontnak kell körülvennie az implantátumot a szomszédos fogak távolságára, a regeneráció szükségességére, a szomszédos lágyszövetek vastagságának meglétére. Az implantátumok körüli keratinizált nyálkahártya megfelelő vastagságát ma már pozitív prognosztikai tényezőnek tekintik az implantátumok élettartamát illetően. Tudjuk, hogy a vastagság közvetlen kapcsolatban áll az agresszív tényezőkkel, például a traumával, a nem megfelelő fogmosással, a gyulladással és egyéb tényezőkkel, köztük nem utolsósorban a dohányzással szembeni ellenálló képességgel is. Nincs azonban olyan szabály, amely minden páciensre megfelelő, univerzális lágyrész-vastagságot tudna meghatározni. Azt tudjuk, hogy egy implantációs műtét során növelhetjük a nyálkahártya vastagságát és minőségét, és ez minden bizonnyal segít a páciensnek abban, hogy ne alakuljanak ki patológiák. Ezért egy jó implantológusnak jó parodontológusnak is kell lenni.

Elárulná speciális érdeklődési körét, hobbiját, amellyel a legszívesebben tölti a szabadidejét?

Mivel főleg ülőmunkát végzek, a szabadidőmben mindig keresek valamit, amely nem kényszerít arra, hogy egy helyben üljek. Nagyon szeretek utazni, és sajnos, amikor ezt a munkám miatt teszem, gyakran nagyon kevés, vagy egyáltalán nincs időm arra, hogy megismerjem a meglátogatott helyet. Ezért szeretek akár néhány napos kirándulásokat szervezni olyan helyekre, amelyeket még sosem láttam, gyakran a szokásos turistautakon kívülre, és mindent megtudni az adott helyről, a történelmétől kezdve az ételeken át a kultúráig. Ha már otthon vagyok, szeretem ezeket az új ismereteket megismételni, különösen a konyhában, ahol mindig is szenvedélyesen szerettem új dolgokkal kísérletezni.

Implantológia Kongresszus

2023. október 12., csütörtök

09.30–09.45 Dr. Sidó Levente, dr. Németh Zsolt: Megnyitó

09.45–10.45 Dr. Michaela von Geijer (Svédország): Utak az implantátum sikeréhez

A páciensek azt hihetik, hogy az implantátumok könnyű megoldást jelentenek a hiányzó fogakra, de az implantátum körüli betegségek előfordulása egyre gyakoribb és világszerte jelentős problémává válik. Klinikusként felelősségünk, hogy hozzájáruljunk a betegek fogászati implantátumokkal kapcsolatos ismereteinek bővítéséhez, hogy javítsuk az implantátumok egészségét és hozzájáruljunk az egészségesebb implantátumokhoz. Az előadásokon tippeket és tanácsokat kaphat arra vonatkozóan, hogyan javíthatja a fogászati implantátumokkal rendelkező betegek szájüregi egészségét.

Tanulási célok:

- Legyen tisztában a periimplantáris betegségek gyakoriságával, kialakulásával és kockázati tényezőivel.

- Legyen képes felismerni és megkülönböztetni a peri-mucositist és a peri-implantitist

- Legyen képes hatékony karbantartó látogatások megtervezésére és végrehajtására

- Legyen képes a páciens otthoni ápolási rutinját úgy alakítani, hogy javítsa a plakkok ellenőrzését az implantátumok körül.

- Segítsen a pácienseknek kiválasztani és használni az adott implantátum kialakításánál hatékony szájhigiéniai termékeket.

10.45–12.15 Dr. Matteo Basso (Olaszország): Mikrobiom, a diszbiózis és az antiszeptikumok szerepe hogyan védheti az implantátum gyógyulását és megtartását?

A szájüregi biofilm szerepét az utóbbi időben sokat vitatják, és kezelését tulajdonképpen a sikeres implantátumgyógyulás és a hosszú távú periimplantáris egészségmegőrzés kulcsának tekintik. A szájüregi mikroorganizmusok adhéziójának, fejlődésének és anyagcseréjének egyensúlyának megőrzése a foglepedékben hatékony megközelítést jelent a nyálkahártya-gyulladások ellen, az erős antiszeptikumok aszpecifikus, destruktívabb hatása helyett, amelyek továbbra is ideálisak az aktív sebészeti terápiákhoz, de túl agresszívek és nem szelektívek a szájüregi karbantartó programokhoz. Még a klórhexidint is figyelembe véve, amelyet az összes legújabb nemzetközi protokoll még mindig az arany standard antiszeptikumnak tekint, számos szempontot kell értékelni azzal kapcsolatban, hogy a különböző kémiai oldatok hogyan hathatnak a mikrobiótára és a beteg sejtjeire a gyógyulási fázisban. Az előadás célja, hogy bemutassa és megvitassa a legújabb koncepciókat és kutatásokat a szájüregi kezelés új szerepéről. A szájüregi mikrobióta szerepének új szerepét a periimplantációs betegségek kialakulásában, figyelembe véve a következő szempontokat

a) az implantátumpatológiák különböző szakaszaihoz kapcsolódó specifikus patológiai „szignatúrák”, a beültetéstől a hosszú távú fenntartásig, és

b) az új antiszeptikus készítmények hatékonyan elősegíthetik a klinikai sikert.

12.15–13.45 Ebédszünet

13.45–15.15 Prof. dr. Mihai Juncar (Románia): Azonnali implantátumok beültetése – indikációk és korlátok

Napjainkban a fogászat egyik alapvető eleme az implantációs protetikai rehabilitáció, mely számtalan előnnyel jár. A rehabilitáció e módszerének egyik hátránya azonban az az idő, amelyet a páciensnek várnia kellett attól a pillanattól kezdve, hogy megtudta, hogy egy fogat ki kell húzni, s amíg az implantátummal támogatott fogkoronát megkapta. E hiányosság ellensúlyozására különböző sebészeti technikák jelentek meg, amelyek lehetővé teszik a fogászati implantátumok behelyezését közvetlenül a foghúzás után, és a fogászati implantátumgyártók olyan implantátumrendszerek kifejlesztésére törekedtek, amelyek a foghúzás után azonnal behelyezhetők, és ideális esetben protetikai eszközökkel is terhelhetők. Nem szabad azonban elfelejtenünk, hogy minden kezelési lehetőségnek vannak bizonyos korlátai és egyértelmű indikációi, és ezek be nem tartása a kezelés kudarcához vezet, ami időbe, erőfeszítésbe és pénzügyi forrásokba kerül. Ezen az előadáson a fogászati implantátumok behelyezésének fő lehetőségeit fogjuk megvitatni a foghúzástól a fogászati implantátum behelyezéséig eltelt idő szerint. Azt is megvizsgáljuk, hogy az egyes fogászati implantátumok behelyezési idejének milyen indikációi vannak, és mi történik, ha ezeket az indikációkat nem tartjuk be. A cél az, hogy tanuljunk a hibákból, és megértsük, mi okozhatja azt. Továbbá, hogy tudatosan tudjunk dönteni, és a lehető legjobban kontrollálni tudjuk a hibát.

15.15–17.15 Dr. Fomina Antonina (Oroszország):

Biomateriálok

A-tól Z-ig:

a tudománytól a napi gyakorlatig

Az esztétikai területen fontos, hogy az implantátum körüli lágy és kemény szövetek a lehető legnagyobb stabilitást kapják. Az implantátum körüli térfogathiány nemcsak az esztétikai eredményt, hanem az implantátum stabilitását és sikerét is veszélyeztetheti. Az előadás végig vezeti a résztvevőket a csontregenerációtól az implantátum beültetéséig, miközben bemutatja a Geistlich teljes regenerációs palettáját is.

23
“Trusted Quality” Over 10 years! ANYRIDGE gets it right! CleanImplant Trusted Quality Award for 7 CONSECUTIVE years… MegaGen’s AnyRidge is one of few implants to maintain this

Implantológia Kongresszus

2023. október 13., péntek

09.30–09.45 Dr. Sidó Levente, dr. Németh Zsolt: Megnyitó

09.45–11.00 Dr. Yoav Leiser (Izrael): Fejlett protokoll az azonnali terheléshez minden csonttípusnál és magasságnál

A bemutatott előadás az implantátumok helyreállításának protokolljára összpontosít a 10 mm feletti és 1 mm közötti csonttérfogatokban. Az azonnali implantációt és terhelést is áttekintjük a maradék csonttérfogat több lehetőségében. A hangsúlyt a különböző sebészeti technikákra helyezzük, amelyek szükségesek ahhoz, hogy a sebész képes legyen a teljes állkapocs azonnali terhelésére és rehabilitációjára.

11.00–12.00 Dr. Joseph Choukroun (Franciaország):

PRF és oszteoimmunológia

Az oszteoimmunológia az a modern tudomány, amely az immunrendszer csontanyagcserére, de minden szövetgyógyulási jelenségre gyakorolt hatását mutatja be. A csontgyógyulás ugyanis immunreakcióval kezdődik: gyulladással, amelyet a gyulladásos citokinek felszabadulása vált ki. Ezek a citokinek felelősek az angiogenezisért, amely aktiválja a csontkallusz kialakulását. A csontsejtek viselkedése az immunrendszer működésétől függ, amely az oxidánsok szintjétől függ. Az oxidánsok magas szintű termelődését oxidatív stressznek nevezik, ez vezet az immunrendszer összeomlásához, ami olyan járulékos hatásokkal jár, mint a fertőzés, a remodelling leállításával a csont felszívódása, vagy a fibrointegráció. Ez a helyzet például cukorbetegeknél, dohányosoknál, penicillinre allergiás betegeknél vagy krónikus gyulladásos betegségeknél. A kedvező csontanyagcsere szükségszerűen megköveteli az oxidatív stressz csökkentését különböző megoldásokkal, például megfelelő D-vitamin-pótlással, az LDL-koleszterinszint csökkentésével vagy egyéb megfelelő immunstimulánsok. Az antibiotikum-profilaxist is felül kell vizsgálni, hogy jelentős immunstimuláló tulajdonságokkal rendelkező antibiotikumokat alkalmazzunk. A PRF-nek immunfunkciója is van: csökkenti a gyulladásos szintet és növeli a helyi antioxidánsokat. Könnyű bizonyítani, hogy a periimplantitis egy immunbetegség, amely csontvesztést okoz az implantátum körül, amelyet az oxidatív csont stressz vált ki.

12.00–13.00 Dr. Jerome Surmenian (Franciaország): Hogyan teszi az oszteoimmunológia kiszámíthatóvá és reprodukálhatóvá a sikert a GBR-ben?

A regeneratív sebészetben a siker elérése a páciens gyógyulási potenciáljának javítását és a megfelelő sebészeti megközelítést jelenti a legkompatibilisebb biomasszával. A kiszámítható és reprodukálható siker elérése protokollok alkalmazását jelenti. Az osteoimmunológiai protokoll klinikai alkalmazását, valamint a sebészeti protokollt részletesen bemutatjuk, és a résztvevőknek készen kell állniuk arra, hogy azt azonnal alkalmazhassák a napi gyakorlatukban.

13.00–14.00 Ebédszünet

14.00–15.30

Dr. Francesco Amato (Olaszország): Egyetlen fog implantátumpótlása az elülső zónában egészséges vagy veszélyeztetett helyeken: minimálisan

invazív sebészeti megközelítés és innovatív protetikai protokollok

Az előadás témája az elülső állkapocs zónában az egyetlen fog implantációs pótlása egészséges vagy súlyosan veszélyeztetett helyeken egyaránt: Milyen kezelési protokollt kell helyesen alkalmazni az ideális esztétikai eredmény elérése érdekében, minimálisan invazív megközelítéssel? Három különböző klinikai forgatókönyv kerül ismertetésre: 1 típus: Klinikai esetek, amikor a recipiens terület lágy- és keményszövetei épek. 2. típus: Klinikai esetek, amikor a lágyszövetek jelen vannak, de a recipiens terület keményszövetei sérültek. 3. típus: Klinikai esetek, amikor a lágyszövet és a recipiens hely keményszövete is sérült. A diagnózist, a kezelési tervet, az időzítést és a kezelési lehetőségeket minden egyes kategória esetében megvitatjuk, a következőkre összpontosítva: Az implantátum kiválasztása, a kemény- és lágyszövetek kezelése, mind a sebészeti, mind a lágyszöveti kezelés, protetikai kezelés, különböző augmentációs eljárások, a graft típusa, valamint az ideális fogpótlás elkészítésének innovatív technikái, ideiglenes restauráció szöveti alátámasztására és kondicionálására az optimális esztétikai eredmény elérése érdekében, még a veszélyeztetett implantátumhelyek esetében is. Elemzésre kerülnek az egyes kezelési irányvonalak előnyei és hátrányai. A klinikai tapasztalatokat és a bizonyítékokon alapuló döntéseket a szakirodalom támogatásával kombináljuk annak érdekében, hogy a klinikus gyakorlati útmutatást kapjon a kiszámítható eredmények eléréséhez.

15.30–17.00 Dr. Alain Simonpieri (Franciaország): A csontkezelés az azonnali terhelés sikerének kulcstényezője

Főbb kihívások:

- Függőleges csontszint biztosítása: A függőleges dimenzió eléréséhez szükséges tényezők meghatározása

- Megfelelő lágyrészek elérése: Vastagság és papillák

Biotípus javítása: Lágyszöveti vaszkuláris túlfolyás

Átültetés ragadós csonttal

- Hogyan segíthetjük a beteg immunrendszerét osteo-immunológiai protokollokkal?

Lágyrészek kezelése: Lappkezelés, lágy kefélés, varratok (apikális matrac)

Implantátum behelyezése: Előkészítés, tengely (gyors útmutató), mélység, a gallérok szimmetriája (gallér vonalvezetése), átmérő, szám..., sub-crestal elhelyezés, gallér vonalvezetése. Biológiai szabályok

- A beteg biológiai értékelése

- Hogyan javítható a beteg immunrendszere?

- Nem gyulladáscsökkentő hatású biomatériák használata

- Prf és ragadós csont előkészítés

Az esztétikai eredmények eléréséhez szükséges tényezők meghatározása

Az ideiglenes restauráció lenyomata és szerepe

23

A 10 éves Alpha Implant Kft. a hagyományos munkafolyamatok mellett a digitális workflow minden lépésére megoldást kínál. A digitális technika fejlődése a fogászati piacon is egyre nagyobb teret hódít. Ebben nyújt

segítséget a 6 lépésből álló Alpha Digital Workflow, amely az intraorál scanneléstől a kész fogmű behelyezéséig terjed. Ne zárja magát keretek közé, lépjen az Alpha Implant Kft.-vel a Digitális Szabadság Világába!

ÜDVÖZÖLJÜK
IMPLANTÁTUM IRÁNYÍTOTT SEBÉSZET
A DIGITÁLIS SZABADSÁG VILÁGÁBAN!
INTRAORAL SCANNER
PROTETIKAI FELÉPÍTMÉNYEK +36 1 353 9090 | info@alphaimplant.hu | www.alphaimplant.hu
CIRKON TÖMB
3D NYOMTATÓ REGIONÁLIS KÉPVISELŐ:

Implantológia Kongresszus

2023. október 14., szombat

09.30–09.45 Dr. Sidó Levente, dr. Németh Zsolt: Megnyitó

09.45–11.15 Dr. Andres Pascual La Rocca (Spanyolország): Szövetregeneratív megközelítés sertéseredetű

acelluláris bőrmátrix

felhasználásával – jelenlegi koncepciók és alkalmazási javallatok

A megelőzés és a társadalmi tudatosság ellenére a szájüreg betegségei, a fogszuvasodás és a fogágybetegségek még mindig nagyon gyakoriak. A következmények közé tartoznak a különböző szövődmények, amelyek fogvesztéshez vezethetnek. A fogászat fejlődése és az új technológiák alkalmazása jobb eredményeket tett lehetővé e kórképek kezelésében. Így a lágy- és keményszöveti regeneráció területe a rekonstrukció során kihívást jelentett és jelent a szakemberek számára. A múltban az autograftokat használták standard kezelésként, de a forrás és a donorhelyek korlátozásokkal járnak. Emiatt a pácienséhez hasonló tulajdonságokkal és eredményekkel rendelkező biokompatibilis anyagok kifejlesztése folyamatosan fejlődött. A különböző eredetű, pl. emberi vagy állati eredetű bőrmátrixok kiváló eredményeket mutattak. A közelmúltban sertéseredetű bőrmátrixokon olyan módosításokat végeztek, amelyek jobb tulajdonságokat eredményeztek, és a páciens saját szövetének felhasználásához hasonló optimális eredményeket tesznek lehetővé. Az előadásban ismertetésre kerülnek ennek az újszerű membránnak a fő indikációi, és számos olyan klinikai helyzet kerül bemutatásra, amelyekben kiváló eredményeket értek el az alkalmazásával.

11.15–12.30 Dr. Stefan Röhling (Svájc): Front fogak implantációja: a kétrészes kerámia implantátumokkal történő esztétikai rehabilitáció Ezen az előadáson a kerámiaimplantátum-specialista, dr. Stefan Röhling nemcsak a kerámiaimplantátumok szakszerű kezelését mutatja be releváns klinikai esetek segítségével, hanem a kerámiaimplantátumok legújabb generációjával kapcsolatos aktuális tudományos tényeket is ismerteti.

12.30–13.45 Ebédszünet

13.45–15.00

Dr. Michael Ainsworth (Egyesült Királyság): A csontpótlás forradalmasítása: mire van szüksége a szervezetnek a gyógyuláshoz?

Dr. Ainsworth a modern alloplasztikus anyagok használatáról fog beszélni, és arról, hogy ezek hogyan forradalmasítják a fogászati piacot, a testtel való együttműködést vizsgálva a gazdaszervezet gyógyulásának optimalizálása érdekében. A cél az, hogy a fogorvosnak a legjobb eszközöket adjuk a kezébe az elveszett csont formájának és funkciójának helyreállításához, hogy pontosan ugyanazt a szövetet, egészséges csontszövetet adhassuk vissza pácienseinknek, amely képes újjáalakulni és alkalmazkodni az átvivő okkluzális erőkhöz. Ezek a koncepciók az orvostudomány területéről származnak, ahol kiterjedt kutatások folynak a gazdaszövet eredeti állapotának visszaállításának fontosságáról. A betegek ezt részesítik előnyben (nincs állati, emberi donoranyag, nem marad a helyén hosszú távon maradék anyag), valamint optimális a fiziológiájuk szempontjából, mivel a csont élő szövet. Az esetek variációjával együtt a résztvevők láthatják a legújabb kutatásokat a varratszedés technikájáról és arról, hogy hogyan működik jól az alloplasztikus anyagokkal, hogy segítse a csont stabilitását. Továbbá, megvizsgálják a klinikai kihívásokat és a lehetséges megoldásokat a varratszedési technika alkalmazása során.

15.00–16.15 Dr. Jay Neugarten (Amerikai Egyesült Államok): Teljes állcsont- és komplex rehabilitáció

23

KÉTELYEK NÉLKÜL.

Magabiztosság minden csontban

KIÁLLÍTÁSI AJÁNLATOK a standnál.

ENAMEL PLUS HRi BIO FUNCTION

ÚJ BIOKOMPATIBILIS KOMPOZIT

> Nagyfokú biokpmpatibilitás: nem tartalmaz

Bis-GMA-t és szabad nanopartikulát

> A természetes zománccal megegyező abrázió

> Mechanikai és funkcionális jellemzői megegyeznek az arannyal

> Könnyű kezelhetőség és ideális polírozhatóság

> Egyaránt alkalmas direkt és indirekt felhasználásra

> Röntgenárnyékot ad

> Fluoridot tartalmaz

®

bpafree
E N LOA BISGMA FREE
DOESNOT CONTAINBISPH
Cím: 1123 Budapest, Alkotás u. 15. 4. em. 4. • Tel: (06-1) 201-7103 Mobil: (+36-30) 957-0500 • E-mail: csk@densalba.hu
Clinical case by Dr. Lorenzo Vanini
dens.Alba NOVA
Esztétikus megoldás bármilyen restaurációhoz!
Csatlakozz országos hálózatához, a MINDEN ELŐNYÉVEL! info@smilezor.hu www.smilezor.hu MULTILAYER ANYAG GARANCIA
KEZELÉS 4 ORSZÁGBAN JELEN ONLINE DOKUMENTÁLÓ RENDSZER
6,000

Orthodontia Kongresszus programajánló

Ajánlom a háromnapos kongresszust minden gyakorló fogorvosnak, aki szeretné elmélyíteni a tudását, illetve megismerni a legújabb orthodonciai trendeket. témavezető

23
Dr.

A fogszabályozásban a csapatmunka filozófiája elengedhetetlen

Beszélgetés dr. Shadi Gerával

Milyen szempontokat vesz figyelembe, amikor a szükséges és lehetséges kezelési lehetőségekről dönt?

A szükséges és lehetséges kezelési lehetőségekről való döntés során számos szempontot kell figyelembe venni. Először is, minden egyes beteg egyéni szükségletei és sajátos klinikai megjelenése elsődleges fontosságú. Ez magában foglalja a szájüregi egészségi állapot, a malokklúzió súlyosságának és a páciens esetlegesen fennálló speciális funkcionális problémáinak alapos értékelését.

Ezen túlmenően mint epidemiológiai háttérrel rendelkező egészségügyi szakember, az egyes kezelési lehetőségek szélesebb körű következményeit is figyelembe veszem. Ez azt jelenti, hogy értékelem, hogy a javasolt kezelés hosszú távon milyen hatással lehet a páciens általános egészségére, jólétére és életmódjára.

Ki volt Önre hatással, hogy a fogszabályozói pályafutását elkezdje?

Kezdetben az esztétikai fogászat az eredmények azonnalisága miatt vonzott, de prof. Birte Melsen jeruzsálemi előadásán való részvétel mélyen megváltoztatta a szemléletemet. Magával ragadott a fogszabályozás iránti elkötelezettsége, és ezt követően egy fogszabályozó rendelőben kezdtem el dolgozni. Hihetetlenül kifizetődő volt végignézni a páciensek átalakulását az elejétől a végéig, amely igazi bizonyítéka a fogszabályozás erejének. Végül abban a kiváltságban részesültem, hogy Dániában, Melsen professzor öröksége alatt specializálódhattam, amely döntő lépés volt és megszilárdította a fogszabályozói karrieremet.

Napjainkban a fogszabályozás rendkívül népszerű. Hogyan látja ennek a szakterületnek a jelentőségét?

Fogszabályozóként úgy látom, hogy ez a nagy népszerűség a szájhigiénia általános jólétre gyakorolt hatásának növekvő tudatosságát tükrözi. A fogszabályozás nem csupán az esztétikus mosoly megteremtéséről szól; a funkcionalitás, az önbecsülés és az életminőség javításáról is. Ennek a szakterületnek a jelentősége valóban többdimenziós, az egészséget és a magabiztosságot egyaránt szolgálja.

Érdekes módon, annak ellenére, hogy a sokak által a biomechanika Mekkájának tekintett helyen tanultam, egyre inkább az Invisalign mint preferált kezelési mód felé húzódtam. Ezt a változást kezdetben nem vártam, de ez a terület technológiai fejlődésének bizonyítéka. Az Invisalign a nagyfokú testreszabhatóság és a kényelem révén gyakran megfelelő és páciensbarát megoldást jelent, amely összhangban van a páciensek kezelésének holisztikus megközelítésével.

Természetesen minden kezelési döntés a pácienssel szoros együttműködésben születik, biztosítva, hogy a páciens jól informált és kényelmesen érezze magát a tervezett eljárás során. Ez a betegközpontú megközelítés a praxisom szerves részét képezi, elismerve, hogy a legjobb kezelési döntéseket a klinikai szakértelem és a beteg preferenciáinak figyelembevételével lehet meghozni.

Manapság egyre nagyobb hangsúlyt fektetnek a mosoly esztétikájára a fogszabályozásban is. Ön szerint az ideális fogazat elérése – megfelelő esztétikai eredménnyel – „csapatmunkát” igényel?

Az elmúlt években a fogszabályozás fejlődése során egyre nagyobb hangsúlyt kaptak a kezelés esztétikai eredményei mellett a hagyományos szempontok, például a funkcionális és strukturális korrekció is. Kétségtelen, hogy az optimális fogazás és a kiváló esztétika ideális keverékének elérése „csapatmunkát” igényel. Ez a csapatmunka sokoldalú, és azzal kezdődik, hogy a fogszabályozó orvos szorosan együttműködik a pácienssel, megérti egyéni igényeit és esztétikai vágyait. A páciens a csapat szerves része; az ő hozzájárulása,

elvárásai és elkötelezettsége kulcsfontosságú elemei az esztétikailag kellemes és funkcionálisan hatékony mosoly felé vezető sikeres útnak. A sikeres eredményekhez a fogszabályozó–páciens pároson túlmenően gyakran más fogorvosi és orvosi szakemberekkel való együttműködés is szükséges. Ide tartozhatnak általános fogorvosok, szájsebészek, parodontológusok, sőt néha még logopédusok vagy fül-orr-gégészek is. A kollektív megközelítés biztosítja, hogy a páciens szájüregi egészségének minden aspektusával foglalkozni tudunk, holisztikus megoldást nyújtva, amely a kívánt funkcionális és esztétikai eredményeket biztosítja. Így a fogszabályozásban a csapatmunka filozófiája elengedhetetlen ahhoz, hogy pácienseink számára a legjobb eredményeket érjük el.

Számítanak-e logopédusokra bizonyos esetek (pl. fordított nyelés) kezelésében?

Valóban, szilárdan hiszek az interdiszciplináris együttműködés értékében az összetett esetek kezelésében, és ez természetesen magában foglalja a logopédusokkal való együttműködést is. Az olyan esetekben, mint a fordított nyelés, a helyzet gyakran hasonlít a klasszikus „tyúk vagy tojás” problémára. Nem világos, hogy a fogszabályozási problémák okozzák-e a nyelési problémát, vagy fordítva. Ezért az átfogó, a probléma minden aspektusával foglalkozó ellátás érdekében elengedhetetlen, hogy olyan szakembereket vonjunk be, mint a logopédusok, akik speciális szaktudásukkal rendelkezésre tudnak állni. Az összes lehetséges ok figyelembevételével és kezelésével javíthatjuk a sikeres és holisztikus kezelési eredmény valószínűségét.

Ismeri a „Hasund kezelési rendszert”? Ha igen, mi a véleménye róla?

Igen, ismerem a Hasund kezelési rendszert. Ez azonban nem egy olyan eszköz, amelyet aktívan használok a praxisomban, mivel más módszerek és technológiák felé hajlok, amelyek jobban illeszkednek a páciensek értékeléséhez és ellátásához való hozzáállásomhoz.

Mióta használja a Clear Alignereket, és mit gondol, ha összehasonlítja az Alignereket és a hagyományos fogszabályzókat? Milyen előnyei és hátrányai vannak mindkettőnek tudományos szempontból?

Az Invisalign átlátszó fogszabályozókat a diploma utáni éveim alatt kezdtem el használni, és körülbelül két évvel a diploma megszerzése után teljesen Invisa-

lign-központú praxisra tértem át. Az én szemszögemből nézve a hagyományos fogszabályozóktól az átlátszó alignerekig tartó fejlődés természetes evolúció a fogszabályozáson belül.

Tudományos szempontból az Invisalignhoz hasonló átlátszó fogszabályozóknak számos előnyük van a hagyományos fogszabályozókkal szemben. Kényelmesebbek, esztétikusabbak, és rugalmasan eltávolíthatók étkezés vagy fontos alkalmakkor. A technológia fejlődése jelentősen javította a clear alignerek kezelési képességeit is, lehetővé téve a korábbinál összetettebb malokklúziók korrekcióját. Ezzel szemben a hagyományos fogszabályozók, bár kevésbé esztétikusak és kényelmesek, régóta sikeresen alkalmazzák őket, és bizonyos összetett esetekben hatékonyabbak lehetnek. A clear aligner technológia folyamatos fejlődésével azonban úgy vélem, hogy előnyei és alkalmazhatósága csak tovább fog nőni, így egyre elterjedtebb eszközzé válik a fogszabályozásban.

Hogyan látja a fogszabályozás jövőjét? A mesterséges intelligencia és a digitalizáció megváltoztatja majd a kezelést?

A technológiai fejlődés pályáját tekintve a fogszabályozás jövője vitathatatlanul összefonódik a mesterséges intelligenciával és a digitalizációval. Ezek az eszközök megkönnyítik a pontosabb diagnózist, javítják a kezelés tervezését, és személyre szabottabb betegellátást tesznek lehetővé. A mesterséges intelligencia integrálása az olyan területeken, mint a koponyaelemzés és a kezelési eredmények előrejelzése, a digitalizációval párosulva a 3D képalkotás és a clear aligner technológia formájában, nem csak a kezelés menetét fogja megváltoztatni, hanem véleményem szerint teljesen újra fogja definiálni a fogszabályozás gyakorlatát.

Mit csinál szabadidejében kikapcsolódás vagy pihenés céljából?

Szabadidőmben nagyon élvezem azokat a tevékenységeket, amelyek ellensúlyozzák a szakmai életem aprólékosságát. Az úszás az egyik ilyen tevékenység – a ritmusa és a fizikai aktivitása remek kikapcsolódási lehetőséget nyújt, és fantasztikus mozgásformaként is szolgál. Ezenkívül különösen kedvelem a gokartozást, mert nagyon izgalmas, és tökéletes ellentéte a fogszabályozáshoz szükséges precizitásnak és türelemnek. Mindkét tevékenység lehetővé teszi számomra a hatékony kikapcsolódást és felfrissülést.

Orthodontia Kongresszus

2023. október 12., csütörtök

10.00–12.30 Dr. Daniel C. Neves (Brazília): Digitális fogszabályozási ökoszisztéma –teljes körű megoldás kölcsönösen előnyös eredményekkel

A technológia alapvető információkkal és innovatív ötletekkel alakítja a jövőt. A fogszabályozás területe, a hardver, a szoftver és az ember együttesen, gyorsan változik, valószínűleg gyorsabban, mint történelme során bármikor. Ha úgy gondolja, hogy az ember a legértékesebb érték a vállalkozásában, akkor kommunikálnia, terveznie és következetesnek kell lennie. Az előadás középpontjában a modern digitális munkafolyamatok állnak majd, Clear Alignerekkel és interdiszciplináris megközelítésekkel, valamint a jobb higiéniát, a kezelés következő szintű nyomon követését és a fokozott kiszámíthatóságot célzó intelligens szkennelési technológia alkalmazásával.

12.30–14.00

14.00–15.30

Dr. Shadi Samawi (Jordánia): Anterior esztétika: multidiszciplináris perspektíva

A modern korban a frontális fogak - arc esztétikájának interdiszciplináris kezelése a legtöbb fogászati szakterületen belül a modern fogászati gyakorlat alappillérévé vált. Az esztétikai ítéletek szubjektivitása, valamint a szakmabeliek és a laikusok közötti különbségek a legáltalánosabban elfogadott „szépségi normák” tekintetében - valamint ezek folyamatos ingadozása az idők folyamán - arra késztette a klinikusokat, hogy megpróbálják tisztázni és szabványosítani ezeket az értékelési és kezelési tervezési módszereket, hogy könnyebben és következetesebben kommunikálhassuk, tervezhessük és alkalmazhassuk a meglévő és jövőbeli kezelési technikákat pácienseink érdekében. Ez az előadás orthodontusoknak, valamint a dento-faciális esztétikai problémák interdiszciplináris kezelése iránt érdeklődő fogorvosoknak is szól, ahol az anterior fogászati esztétika interdiszciplináris kezelésének legmodernebb megközelítései kerülnek megvitatásra, a makro-, mini- és mikroesztétikára összpontosítva. Bemutatja a „holisztikus gondolkodás” fontosságát a fogászatban, és bemutatja, hogy a fogszabályozás a legtöbb esetben hogyan lehet a sikeres esztétikai kezelések fontos alapköve. Célja továbbá, hogy tisztázza a multidiszciplináris környezetben együtt dolgozó szakemberek által megkövetelt jelenlegi értékelési, kezelési, tervezési és gondozási standardokat, hogy jobban tudjanak egymással kommunikálni, harmonikusan gondolkodni és cselekedni a kezelés különböző szakaszai során, különösen, ha fogszabályozásra van szükség. Az előadás végére mind a fogszabályozó orvosoknak, mind a nem fogszabályozó orvosoknak képesnek kell lenniük arra, hogy világosan megértsék a multidiszciplináris esztétikai kezelésnek a fogszabályozó szakemberrel együtt történő kezeléséhez szükséges modern szisztematikus megközelítést.

15.30–17.00 Dr. Nimet Guiga (Portugália): Korai fogszabályozó kezelés

A komplex fogszabályozó kezelések, az arc egyensúlyhiány, a beszédzavarok, és a POSA megelőzése & összességében jobb eredmények elérésére. Az 1. osztályú fogszabályozó kezelés igen ellentmondásos a fogszabályozó orvosok körében. Ennek az előadásnak a célja az 1. osztályú kezelés szerepének pontosítása és bővítése. Ahelyett, hogy a korai kezelést „interceptív” vagy „megelőző” jellegűnek tekintenénk, azt javasoljuk, hogy az 1. osztályú beavatkozást tekintsük egy átfogó kezelési terv szerves részének, amely a gyermekkortól a serdülőkorig terjed, és SMART (specifikus, mérhető, elérhető, releváns és időhöz kötött) célokkal rendelkezik. A bizonyítékokkal alátámasztott koncepciókat konkrét esetpéldákkal támasztjuk alá, hogy szemléltessük az 1. osztályú kezelésnek a legtöbbünk által ismertnél sokkal szélesebb körű szerepét.

09.50–10.00 Dr. Borbély Péter: Megnyitó
23
Ebédszünet

Orthodontia Kongresszus

2023. október 13., péntek

09.50–10.00 Dr. Borbély Péter: Megnyitó

10.00–12.30 Dr. Hazem Idriss (Csehország): Munkafolyamatok a kiszámítható aligner kezeléshez

A spark Clear Aligner rendszer számos eszközt és funkciót kínál, de hogyan használjuk ezeket a legjobb eredmények és a legkiszámíthatóbb kezelési tervek érdekében?

Az előadás ezeket a lehetőségeket veszi górcső alá, mutatja be gyakorlati oldalról. Egyértelmű munkafolyamatok segítségével segít a leggyakoribb problémák kezelésében és a gyakran felmerülő kérdések megválaszolásában.

12.30–14.00 Ebédszünet

14.00–15.30 Dr. Shadi Gerá (Izrael): A fogszabályozás

forradalmi fejlődése

Ez az előadás az Invisalign és az Align digitális platform transzformatív hatását vizsgálja a fogszabályozásra. Az Invisalign átlátszó alignereket használ a kényelmes és hatékony fogszabályozáshoz, míg az iTero szkenner fejlett digitális képalkotása fokozza a pontosságot. A résztvevők betekintést nyerhetnek különböző esetekbe, a kezelés tervezésébe és e technológiák zökkenőmentes integrációjába. Az Invisalign és az iTero alkalmazása lehetővé teszi a fogorvosok számára, hogy élvonalbeli fogszabályozási megoldásokat nyújtsanak, javítva a páciensek eredményeit és elégedettségét.

15.30–17.00 Dr. Németh Kinga, dr. Felső Zita:

Az aligner technológia nyújtotta lehetőségek, fényterápiával kombinálva

Az előadás során szakorvosi irányból mutatja be a Smilezor Aligner rendszer adta lehetőségek és kívánalmak teljesülését. Hogyan/miként adaptálható ez a típusú fogszabályozó rendszer a praxisok mindennapjaiba? Milyen módon képes a klinikailag igazolt, valamint FDA által is jóváhagyott készülék - OrthoPulse® - a fogszabályozó kezelések idejét kontrolláltan lerövidíteni?

23

Orthodontia Kongresszus

2023. október 14., szombat

09.50–10.00 Dr. Borbély Péter: Megnyitó

10.00–12.00 Dr. Peter Vaughan és dr. Matthew Vaughan (Ausztrália):

Rögzített retainer: miként készítsük, hogy működjön is? 1.

A kezelés utáni stabil eredmény elérése a klinikai siker egyik jellemzője a fogszabályozás megjelenése óta. Az egyre növekvő számú fogszabályozási protokoll, termék és technika miatt a klinikusok számára egyre nehezebb meghatározni, hogy mi a tudományosan és klinikailag legjobb választás a páciens számára malocclusió esetén. Továbbá, egy olyan világban, ahol a páciensek egyre inkább részt vesznek saját egészségügyi döntéseikben, a fogszabályozó orvos már nem dönthet önállóan, hogy „mit tart a legjobbnak”. Minden eddiginél több páciens kér fix fogszabályozó kezelést, és a fogorvosok felelőssége, hogy ezeket a kezeléseket példamutató ellátási színvonalon tudják biztosítani.

12.00–13.30 Ebédszünet

13.30–14.45 Dr. Peter Vaughan és dr. Matthew Vaughan (Ausztrália): Rögzített retainer: miként készítsük, hogy működjön is? 2.

Ez az előadás a rögzített retenció koncepciójával és annak különböző változataival foglalkozik, pragmatikusan összpontosítva a hatékony és bevált klinikai technikák alkalmazására. Megvitatásra kerül a rögzített és kivehető retenciós rendszerekkel kapcsolatos legfrissebb evidenciaalap, valamint a betegközpontú preferenciákat vizsgáló új kutatások. A rögzített rendszer többféle módszerét, valamint azok előnyeit és hátrányait a több évtizedes klinikai gyakorlatból vett valós példákkal ismertetjük. Végül részletes technikát mutatunk be arra vonatkozóan, hogyan lehet a klinikailag bizonyított rögzítési protokollt beépíteni a mindennapi klinikai gyakorlatba, hogy páciensei számára egész életük során a lehető legkisebb legyen a visszaesés esélye.

14.45–16.00 Dr. Csiki Péter: A Pitts21 recept: hogyan alakítsuk át pácienseink életét a maximális hatékonysággal?

Manapság a fogszabályozó kezelésbe belevágó páciensek túlnyomó részének esztétikai igényei vannak, más szóval a kezelésük végén gyönyörű mosolyt szeretnének. Dr. Thomas Pitts az egyik úttörője volt az esztétikavezérelt fogszabályozásnak, a Pitts21-es fix készülékkel és egyszerűsített protokolljaival, lágy és folyamatos erőket használva a fogmozgatásokhoz, gyönyörű esztétikai eredményeket érhetünk el kiváló funkcióval, mindezt rövidebb kezelési idővel. Az előadásom során bemutatom a legfontosabb arcesztétikai paramétereket, amelyek a fogszabályozó orvos kontrollja alatt állnak, hogyan használjuk a Mosolyvonal Beállító (SAP) bracket pozicionálást és hogy mennyire fontos a bio-esztétikai elemek alkalmazása, úgymint a fogkonturálás, interproximális redukció és a lézeres ínykonturálás, annak érdekében, hogy a lehető legtökéletesebb esztétikai eredményt érjük el a kezelés során, mindezeket kiegészítve Digitális Mosoly Tervezéssel. Ami a Pitts Biomechanikát illeti, a Pitts „Korán Aktív” koncepcióról, a torque választásról, az ívszekvenciákról, a diszartikulációról és az azonnali lágy elasztikus gumihúzásokról (ILSE) is fogunk beszélni. A retenciós fázis mindig nagyon fontos a kezelés után az eredmény megtartásához. Az esetbemutatásokon keresztül pedig valódi képet kaphatunk a Pitts Protokollok hatékonyságáról.

23

A magabiztos mosolygás nem csak álom!

Vágj bele a láthatatlan fogszabályozásba

és mosolyogj bátran!

Mosolyogj felszabadultan!

Hogy mi szól a ClearCorrect mellett?

kényelmes

hatékony

víztisztán áttetsző, vagyis

teljesen láthatatlan

fémmentes

könnyű tisztítani

Láthatatlan Egyszerű használat Kényelmes
Látogasson el weblapunkra a QR kód segítségével ACC017/it/00 04/19

Komplett megoldás a digitális fogászatban

– egy szoftverrel

A Planmeca biztosítja a digitális munkafolyamat összes eszközét, amelyekkel lehetővé válik a páciens adatok megszerzése, a kezelések megtervezése, a sebészeti sablonok 3D nyomtatása és a restaurációk kimarása.

Így a munkafolyamat összes lépése egy szoftverben kivitelezhető: Planmeca Romexis

Magyarországon forgalmazza:

Bővebb információ, árajánlat kérés: (+36-1) 336-0884, 336-0885

E-mail: shop@sanidental.hu • Honlap, webshop: www.sanidental.hu

Kongresszus programajánló

Az idei Dental World-ön a Digitális Fogászati szekció számos szakmai érdekességet és izgalmat tartogat a résztvevők számára.

Szeretettel várunk minden érdeklődőt, a digitális fogászati technológia kezdő és haladó felhasználóit egyaránt, hiszen a felkért előadók olyan tartalmat adnak majd át, mely mindenki

számára inspiráló és hasznos tudást jelent.

23 Digitális
Fogászat
témavezető
Dr. Nagy Zsolt

a mesterséges intelligenciára fogunk

támaszkodni

Interjú dr. Byron Tsivos-szal

Mikor döntött úgy, hogy az endodontia és a digitális fogászat felé fordul?

Kérjük, röviden mutassa be szakmai pályafutását és tudományos munkásságát!

2006 óta az Egyesült Királyságban élek és dolgozom, és 2008-ban a világhírű és tekintélyes Eastman Dental Institute (University College of London) egyetemén szereztem MSc diplomát endodontia szakon, a kutatási komponensben kitüntetéssel. 2008 óta nyújtok referenciát a Man-szigeti fogorvosok és betegek számára a gyökérkezeléshez. A Man-szigeti Fogászati Egyesület elnöke vagyok, aktív tagja a Brit Endodontiai Társaságnak, az Európai Endodontológiai Társaságnak és a Brit Fogászati és Maxillofaciális Radiológiai Társaságnak. A bostoni Harvard Egyetemen stratégiai menedzsmentből, a londoni Kings College-ban pedig a fogászati Cone Beam CT radiológiai értelmezésből szereztem posztgraduális oklevelet. 2022 óta a Kings College London külsős előadója vagyok, amely az utóbbi PGCert keretében a CBCT és az endodontia témakörét tárgyalja. Folyamatosan tartok előadásokat görög, brit, európai és világkonferenciákon, több mint 55 országban tartottam már előadást. Az endodontia egyik legfontosabb véleményformálójának tartanak, különösen a statikus és dinamikus navigáció terén, előadásokat és gyakorlati endodontiai tanfolyamokat kínálva az Egyesült Királyságban és nemzetközi szinten egyaránt. Az Egyesült Királyságban a klinikám – a The Square Referral Clinic – elnyerte a 2021-es év legjobb beutaló klinikájának első díját az Egyesült Királyság északi részén, a Londonban megrendezett Private Dentistry Awardson, valamint a 2022-es év legjobb multidiszciplináris praxisának díját az Egyesült Királyságban a Clinical dentistry Awardson.

Az „endo” nagyon megijesztett az athéni fogorvosi egyetemen folytatott egyetemi tanulmányaim során, és a természetem vonz ahhoz, hogy amelytől megijedek, azon a területen szeretnék továbbfejlődni. Néhány évvel később rezidensi helyet ajánlottak fel a tekintélyes Eastman Dental Institute UCL Londonban, ahová nem volt könnyű bekerülni, mivel a verseny nagyon nagy volt. Ott találkoztam mentorommal, Kish Gulabivala professzorral, aki szó szerint megváltoztatta az endodontia területén való gondolkodásomat. Ha egyszer valakit Kish képzett ki, akkor az endodontia területén való elkötelezettsége elkerülhetetlen. Ami a digitális fogászatot illeti, azt hiszem, a váltás abban a pillanatban következett be, amikor megvettem a CBCT-szkennert a klinikámra. Ez 2015-ben történt, és a fogászati műtéti mikroszkóppal együtt a szakterületünkön a kezelés megváltoztatójának tartom. Minél tapasztaltabb lettem, és minél többet kutattam és tanultam a CBCT-ről, annál inkább megismertem a mesterséges intelligenciát és a szoftvereket, de a 3D-s röntgenfelvétellel házasított digitális alkalmazásokat is. Egyik dolog a másikhoz vezetett, és hamarosan a klinikai alkalmazások, mint a navigált endodontia a mindennapi gyakorlatom részévé váltak.

Úgy gondolja, hogy a modern technikák és berendezések lehetővé teszik számunkra, hogy kevésbé invazív kezeléseket tervezzünk és végezzünk?

A tudományágunk gyorsan fejlődik, túl gyorsan, ha figyelembe vesszük, hogy valaki, aki pl. öt évvel ezelőtt fejezte be posztgraduális tanulmányait, az ma nehezen tud lépést tartani az új fejlesztésekkel. Folyamatosan tanfolyamokra és konferenciákra kell befektetni, hogy lépést tudjunk tartani.

A modern technikák és berendezések segítségével a műtétek során kevesebb fogszövetet és csontot tudunk eltávolítani, de ami a legfontosabb, a klinikai eljárások minden eddiginél biztonságosabbá válnak a technológia ilyen irányításával. Nem azt mondom, hogy a technológia a csodaszer, és fontos, hogy továbbra is szükség van a klinikai készségre.

Milyen gyökértömési módszert részesít ön előnyben? A hevített guttapercha technika tömítőanyag nélkül biztosítja-e a gyökércsatorna-rendszer hatékony lezárását?

Az általam választott obturációs technika a hagyományos ZnOE tömítőanyaggal történik. Az egykúpú

Én olyan jövőt látok, ahol diagnosztikailag csak

és biokerámia tömőanyag új trendjével kapcsolatban két fő aggályom van. Egyre több bizonyíték van arra, hogy hosszú távon kudarcot vallanak ezek a technikák. Problémák merülnek fel a rögzüléssel kapcsolatban, másodszor pedig aggódom amiatt, hogy az endodontusok vagy az általános fogorvosok elveszítik a meleg technikákhoz szükséges készségüket. Ezeket ugyanis nehéz elsajátítani, és tíz évvel később, ha eltávolodunk a biokerámia korszakától, akkor nagy hiány lesz a hatékony obturációhoz szükséges készségekben.

Amennyiben biokerámia tömőanyagot használnék, megpróbálnék olyant használni, amelyet erős bizonyítékok támasztanak alá, és a HOT módosított obturációs technikával kombinálnám.

Ön szerint hogyan fogja átalakítani a fogorvos és a fogtechnikus közötti kommunikációt és interakciót a technológia fejlődése?

Az elmúlt 7 évben négy intraorális szkennerrel rendelkeztünk. Kezdetben sok ellenállásba ütközött a mindennapi gyakorlatunkba való beépítés, de bátran állíthatom, hogy az új Clinic The Square a klinikánkon Athénban a hagyományos lenyomatvételek már történelemnek számítanak. Teljesen digitálisak vagyunk, és a technikusokkal való kommunikáció azonnali és minden eddiginél jobb, olyan funkciókkal, mint a dinamikus okklúzió stb. A DIOS most már nagyon pontos – 20 µm-es pontossággal – és nagyon gyors.

Ön teljes szék melletti CAD/CAM rendszerrel dolgozik? Elmondaná olvasóinknak, hogy melyek a legfőbb előnyei ennek a rendszernek? Különösen milyen esetekben használja?

Úgy éreztem, hogy a szék melletti CAD/CAM a korszakának végén jár. Úgy gondolom, hogy a jövő a 3D nyomtatóké. Van egy új formlabs nyomtatónk, és a klinikánkon nem csak ideiglenes, hanem végleges műgyantás fogpótlásokat is gyártunk. A végleges restaurációkhoz még mindig úgy érezzük, hogy a laboratóriumi CAD/CAM még jelenleg is jobb.

Az endodontia területén statikus navigációs stenteket nyomtatok, ahogyan az implantátumok esetében is.

Az intraorális szkennerek mostanában „dübörögnek” Magyarországon, tudna tanácsot adni a min-

dennapi használatukról, miért hasznosak és ajánlottak minden rendelőben?

Az intraorális szkennerek most nagyon népszerűek, és ami a legfontosabb, végre hatékonyak és megbízhatóak! A mi klinikánkon az implantológus és a fogszabályozó orvosaink használják ezeket a protetikai és implantációs munkákhoz, de mind én, mind a kollégáim sokat alkalmazzuk a dinamikus navigációs esetek során a CBCT helyett.

A mesterséges intelligencia és a digitalizáció általános megjelenésével milyen jövőt jósol a fogorvosoknak?

Klinikánkon jelenleg is használunk mesterséges intelligencia-szoftvereket a fogszabályozásban, az endodontia, de az implantológia területén is. Én olyan jövőt látok, amikor diagnosztikailag csak a mesterséges intelligenciára fogunk támaszkodni, és valószínűleg a klinikai munkánkat a robotika fogja irányítani.

Mivel tölti a szabadidejét kikapcsolódás vagy pihenés céljából?

Amikor nem a klinikai kísérleteimmel foglalkozom, illetve amikor nem a lányaimmal vagyok, olyankor van egy kis időm magamra is. Ilyenkor a csend világa vonz, a tenger és a víz alatti szigonyhorgászat. A focizás és az edzés is segít levezetni a bennem felgyűlt feszültséget, és hozzájárul, hogy megteremtsem önmagamban az egyensúlyt.

Aoralscan 3

Bevezető ár:

br. 4 999 000 Ft-tól

Wireless vagy vezetékes változat

Világszerte > 10.000 eladott darab

MetiSmile

Face Scanner

Automatikus intraorális lenyomat beillesztés. Ortho szimuláció; anatómiai analízis.

Mandibuláris mozgáspálya mérés.

Bevezető ár: br. 2 499 000 Ft-tól

A leggyorsabb* Az egyik legpontosabb*
*Semmelweis Egyetem Digitális Munkacsoportja által összehasonlított 24 szkennerből minden kategóriában az Aoralscan 3 volt a leggyorsabb és az egyik legpontosabb (2023).
Tel.: 06-20-982-6148 info@nextdental.hu www.nextdental.hu Szkennelje be! SCAN – DESIGN – PRINT
szkenner
Intraorális

Digitális Fogászat Kongresszus

2023. október 14., szombat

09.50–10.00 Dr. Nagy Zsolt: Megnyitó

10.00–11.00 Dr. Luigi Rubino (Olaszország): Virtuális valóság és kiterjesztett valóság a fogászatban

„A kiterjesztett valóság és a virtuális valóság szorosan összefügg. Mindkettőben részt vehetünk egy számítógépes virtuális világban, amely megjelenik Ön előtt. VRubino egy új módszer a 3D-s KÉPEK megjelenítésére, az IMPLANTÁTU-

MOK TERVEZÉSÉRE ÉS IRÁNYÍTOTT MŰTÉTI ADATOK MENTÉSÉRE. A kezelő, a szemén egy nézővel és érzékelőkkel, az ujjain haptikus alapú szimulációval, elmerülhet egy virtuális világban. A VRubino segítségével az STL-adatok virtuálisan átalakulnak valóságba, majd a speciális érzékelőkkel felszerelt kezekkel megragadják az implantátumokat (de hasonlóképpen ez is csípőprotézisre vagy másra is alkalmazható), amelyeket ideálisan elhelyeznek az állkapocs belsejében ugyanezzel a könnyedséggel, mint ahogyan egy fischer típusú csavart behelyeznek egy viaszszerkezetbe. A beültetés helyzetét, koordinátáit elmentjük, majd mindent automatikusan CAD-be konvertálunk, amely elküldhető bárkinek, aki a továbbiakban hagyományos módon szeretné megtekinteni vagy megtervezni. Mindez bármilyen CAD-re alkalmazható, akár fogászati, akár nem.

KITERJESZTETT VALÓSÁG A FOGÁSZATBAN

A kiterjesztett valóság a valós világból származó információk és további számítógép által generált információk keverékét mutatja be a felhasználó számára. Az információk ilyen keverékét általában két különböző, egymásra helyezett információval mutatják be egy monitorra vagy egy fejre szerelt kijelzőre, amely lehetővé teszi a néző számára, hogy egy vegyes képet lásson, a valós világ és a számítógép által generált szöveg vagy kép keverékét.

11.00–12.00 Dr. Byron Tsivos (Egyesült Királyság):

Statikus

és dinamikus irányított

endodontiai mikrosebészet a tervezéstől a munkafolyamatig

2023-ban a negyedik ipari forradalom lesz a jelenlegi standard az endodontiai ellátásban. A nagy nagyítású és alacsony sugárzású Cone beam CT szkennerek mellett, amelyek forradalmasították a diagnosztikát szakterületünkön, a szoftverek fejlődése, a mesterséges intelligencia és általában a digitális fogászat olyan kezelési lehetőségekhez vezetik a kortárs endodontiai gyakorlatot, amelyek néhány évvel ezelőtt még nem léteztek. Ez az előadás a statikus és dinamikus irányítású endodontiai mikrosebészetről szól a tervezéstől a munkafolyamatig.

12.00–13.30 Ebédszünet

13.00–14.30 Dr. Steffen Ulbrich (Ausztria):

Esztétika és funkció digitálisan

Az előadás azt vizsgálja, hogyan lehet összekapcsolni a digitális tervezés technológiáit az esztétika és a funkció harmonikus egyensúlyával. Bemutatja, hogyan segíthetnek a digitális eszközök az esztétikailag vonzó, ugyanakkor funkcionális design megalkotásában. Ezen kívül feltárja az ilyen technológiák által felvetett új kihívásokat és lehetőségeket, valamint azt, hogy ezek hogyan befolyásolják a jövő designja és gyártási folyamatainak alakulását.

14.30–15.30 Andrey Maystrenko (Ukrajna): Komplex digitális protetika funkcionális alapokkal

Az előadás a jelenlegi technológiai fejlesztések és újítások által kínált lehetőségekre koncentrál a protetikában. A digitális tervezést és a funkcionális szimulációt alkalmazva, megmutatja, hogyan változtathatják meg az új technológiák a fogpótlások tervezését és gyártását, ezáltal javítva a viselők életminőségét. Az előadás betekintést nyújt a digitális protetikai rendszerek legújabb trendjeibe és a komplex funkcionális alapokhoz való integrálásának kihívásaiba és lehetőségeibe.

15.30–16.30 Dr. Nagy Zsolt: Extrém fokú mélyharapás protetikai ellátása digitális

workflow segítségével, monolitikus restaurátumokkal

Az előadásom során innovatív protetikai technikával ellátott fedőharapásos páciens kezelését és a harapásemelési folyamatot mutatom be, ahol a digitális workflow és a monolitikus restaurátumok alkalmazásának előnyeit ismertetem, kiemelve a kiszámíthatóságot, pontosságot, gyorsaságot és a betegkommunikációt, valamint az esztétikai eredményeket és a hosszú távú stabilitást. Az előadás célja, hogy a fogorvosokat inspirálja az új technológiák és technikák alkalmazására saját gyakorlatukban.

23

Prevenciós Kongresszus programajánló

A Dental World szakkiállítás és kongresszus regionális térnyerése évről évre jelentősebb, mind több hazai és külföldi résztvevővel, előadóval és programmal futó rendezvény. Nem lesz ez másképp idén sem: 3 tartalmas nap a modern fogászat szerteágazó témáiban. A 2023-as Dental World rendkívül „színes-szagos” szakmai programjában kétnapos eseményként jelenik meg a Szájhigiénés és Prevenciós Kongresszus.

A téma nyilvánvaló fontosságán túl ez azt is reprezentálja, hogy igény is mutatkozik az ilyen jellegű előadásokra. Bár az esemény fogászati asszisztensek és higiénikusok számára akkreditált, minden esztendőben több és több fogorvostan-hallgató és végzett fogorvos mutat érdeklődést. Ezúttal is neves és agilis előadók fogadták el felkérésünket.

23
témavezető
Dr. Radánovics-Nagy Dániel

Prof Syringes

A szövetek gyorsabb regenerálódásáért, minden fogászati eljárás után.

A hialuronsav természetes anyag, a kötőszövet fiziológiai alkotórésze.

Különösen fontos a fogínynek, mivel elősegíti a szövetek regenerációját, enyhíti a duzzanatokat és gyulladásgátló hatású.1

0,8 % hialuronsav 4 db előretöltött fecskendő

Alkalmazás: Alkalmazza sebészeti és nem sebészeti beavatkozások után a sebre és a környező területre.

1 Gengigel Hialuronsav Termékmonográfia, Medis archívum

Gengigel Prof Syringes, 4x: gyógyászati segédeszköznek minősülő orvostechnikai eszköz. Magyarországon forgalmazza: Pharmanext Kft. • 1085 Budapest, Stáhly u.

2/a • info@pharmanext.hu • www.gengigel.hu
A KOCKÁZATOKRÓL OLVASSA EL A HASZNÁLATI ÚTMUTATÓT, VAGY KÉRDEZZE MEG KEZELŐORVOSÁT!

Prevenciós Kongresszus

2023. október 13., péntek

09.30–09.40 Dr. Radánovics-Nagy Dániel: Megnyitó

09.40–10.25 Dr. Kemper Róbert, dr. Komarek Edit: GBT - The next level

Az EMS rendszerrel történő profilaxis, az Irányított Biofilm Terápia (GBT) ma már a világ számos országában, így Magyarországon is egy bizonyított, nagy hatékonyságú terápiás rendszer. A rendszer használói dentálhigiénikusok és fogorvosok. A fejlesztők folyamatosan arra törekednek, hogy a páciensek számára a kezelés komfortosabb, fájdalommentesebb, ennek ellenére effektívebb legyen. Az előadás célja, hogy megismertesse a GBT-t használók között az új fejlesztéseket, valamint rövid betekintést nyújtson a rendszert nem ismerőknek. Az előadás második részében konkrét parodontológiai, implantológiai eseteket mutatunk be, melyekben szerepet játszott a GBT rendszer mint a gyógyítás segédeszköze. Ezt a részt kifejezetten fogorvos kollégáink figyelmébe ajánljuk.

10.25–11.10 Dr. Mandel Iván: Parodontalis prevenció és parodontium prezerváció

Jól ismert tény, hogy a parodontalis gyulladások megelőzése és a parodontalis fenntartó terápia során a bakteriális biofilm mechanikai eltávolítása a legfőbb és leghatékonyabb prevenciós eszközünk. Kevésbé ismert viszont, hogy milyen gyakran érdemes ezt elvégezni és mennyire lehetünk agresszívek a tisztítás során. Árthatunk-e a fogaknak és a parodontalis szöveteknek a túlzásba vitt prevencióval? Milyen hatással vannak ezek a kezeléseink a pácienseink általános egészségi állapotára? Az előadás megkísérli összefoglalni, hogy milyen eszközök és technikák segíthetnek maximalizálni a hatékonyságot, ugyanakkor minimalizálni a káros hatásokat.

11.10–11.55

Dr. Tihanyi Dóra: Implantátum – örök élet(ű)?

A hosszú távú siker kulcsa

„Az implantátumok a mai modern, minőségi fogászatban a protetikai ellátás megkerülhetetlen és szerves részei. A sikeres implantációhoz elengedhetetlen a precíz tervezés, a megfelelő sebészi és protetikai ellátás, az implantátum és a felépítmény körültekintő megválasztása és az emergenciaprofil helyes kialakítása. Azonban elegendő mindez a siker hosszú távú fenntartásához? A periimplantális elváltozások (mucositis, periimplantitis) előfordulása gyakori és kezelésük hatalmas kihívást jelent. Kialakulásuk legfőbb etológiai tényezője azonban ismert, hasonlóan a parodontális folyamatokhoz, a struktúrált biofilm felhalmozódásához kötött. A hatékony biofilm-menedzsment tehát kulcsfontosságú a kiszámítható eredményességhez, az implantáció hosszú távú fenntartásához pedig elengedhetetlen a páciens edukációja. Az előadás röviden megvilágítja az implantátumok körüli biofilm-felhalmozódás sajátosságait, és bemutatja a hatékony biofilm-menedzsment eszközeit és módszereit. Gyakorlati tanácsokat ad arra, hogyan járulhatnak hozzá a dentálhigiénikusok az implantációs fogpótlások hosszú távú fenntartásához.

13.15–14.00 Dr. Irmes Ferenc: Ajánlások a fogérzékenység csökkentésére professzionális tisztítást és fogfehérítést követően fogorvosok és dentálhigiénikusok részére

A dentin túlérzékenység gyakori probléma a fogorvosi rendelőben. A dentin tubulus okklúziós technológia jelenleg a legoptimálisabb választás a professzionális rendelői fogtisztítás és/vagy fehérítő eljárások után, valamint ennek folytatásaként otthoni alkalmazásra.

17

14.00–14.45 Dr. Faragó Ildikó: Miért éppen

a hyaluronsav?

Kérdések és válaszok a hyaluronsav használatára a fogászatban

A hialuronsav használata széles körben elterjedt, és eredményesnek bizonyul a térdízület és a temporomandibuláris ízület számos gyulladásos folyamatának kezelése során. A fogíny szövetében megnövekedett koncentrációban találtak endogén hialuronsavat, ami a szövetek javítómechanizmusait segíti fogászati beavatkozásokat követően, és a szövetek szerkezeti regenerációját biztosítja ínygyulladás lezajlása után. Ezek a tények vezettek el a hialuronsavnak a parodontális betegségek kezelését célzó helyi alkalmazását vizsgáló kutatásokhoz. A klinikai vizsgálatok jó eredményeket igazoltak, a páciensek nagymértékű toleranciát mutattak, ez alátámasztja a hialuronsav klinikai jelentőségét a fogászatban.

14.45–15.30 Dr. Markgruber Bence: Orálbiotikumokkal a modern fogászatért – elméleti és gyakorlati tapasztalatok

16.00–16.30 Dr. Sólyom Eleonóra:

A fogkrémek összetevőinek fontossága és hatásai

Az előadás részleteiben kitér a fogkrémek összetevőinek fontosságára és hatásaira. Az egyes összetevők, mint például a fluorid, a nátrium-bikarbonát vagy a kálium vagy akár olyan technológiák, mint a pro-arginin vagy a novamin technológiák különböző előnyöket és funkciókat hordozhatnak. A dentalhigiénikusoknak ismerniük kell ezeket és a mögöttük álló tudományos alapokat annak érdekében, hogy a páciensek számára személyre szabottan megfelelő tanácsokat és ajánlásokat tudjanak adni. Ezenkívül, a fogkrémekben található esetleges allergének vagy irritáló anyagok felismerése és megértése vagy a fogkrémek dörzsölési hatékonyságának ismerete is kulcsfontosságú, hogy segítsék a páciensek számára az optimális fogkrém kiválasztását és a szájhigiéniai problémák megelőzését. A fogkrémek összetevőinek ismerete tehát meghatározó ahhoz, hogy hatékonyan támogassák a páciensek egészségét.

16.30–16.50 Dr. Tóth György:

A dohányzási ártalomcsökkentés szerepe és gyakorlata a száj- és fogápolásban

Ma már tudjuk, hogy a dohányzáshoz köthető betegségeket elsősorban nem a nikotin okozza, hanem a cigaretta égetése során felszabaduló vegyi anyagok. Ahhoz, hogy a világon megszűnjenek a dohányzás okozta betegségek, mind az 1,3 milliárd – Magyarországon ez 2 millió főt jelent – dohányzónak le kellene szoknia e káros szenvedélyéről, ami az előrejelzések szerint nehezen megvalósítható. Ennek okán, ha egy ártalmat nem tudunk eliminálni, csökkenteni szükséges azt.

16.50–17.15 Prof. dr. Noszticzius Zoltán: Lehet-e hatásos és ugyanakkor szelektív is egy tisztán klór-dioxid alapú szájvíz?

11.55–13.15 Ebédszünet
15.30–16.00 Kávészünet

A LEGÁTFOGÓBB MEGOLDÁS A PROFILAXISBAN

THE ORIGINAL. THE MASTER. THE GAME CHANGER.

SZKENNELJE BE ÉS TUDJON MEG TÖBBET A

SZKENNELJE BE AZ INGYENES BEMUTATÓ LEFOGLALÁSÁHOZ

LÉPJÉL VELÜNK K APCSO L ATBA
GBT-RŐL

Prevenciós Kongresszus

2023. október 14., szombat

09.30–09.40 Dr. Radánovics-Nagy Dániel, Székelyhidi Éva: Megnyitó

09.40–10.25 Dr. Orsós Mercédesz: Rehabilitáció alatt álló páciensek és konduktív edukációban résztvevő gyermekek fogászati és szájhigiéniás állapotfelmérése

Szájüregünk egészsége elengedhetetlen része jóllétünknek, az általános egészségi állapottal szoros kapcsolatban áll, különösen fontos azok számára, akik akadályba ütköznek ennek fenntartása során. A megfelelő szájhigiénia jobb életminőséggel párosul. Vizsgálataink három különböző speciális ellátást igénylő betegcsoportra terjedtek ki. Adatbázist hoztunk létre orvosi rehabilitációs kezelés alatt álló fekvőbetegek, orvosi rehabilitációs kezelés alatt álló mozgásfogyatékos fekvőbetegek, valamint konduktív nevelésben résztvevő cerebrális parézissel élő gyermekek szájüregi állapotáról, egészség-magatartásáról, táplálkozási szokásairól és ezek összefüggéséről a DMF-T értékkel. Kutatásunk alapján elmondható, hogy a fogyatékossággal élő emberek fogászati szempontból is súlyosan veszélyeztetett csoportba tartoznak, speciális ellátást igényelnek.

10.25–11.10 Prof. dr. Kivovics Péter:

betegek fogászati ellátásában

A lakáshoz, ágyhoz kötött páciensek szájüregi egészsége jelentősen befolyásolja a beteg általános egészségi állapotát, ezen kívül fontos szerepe van a beteg életminőségének javításában és fenntartásában. Míg a fogorvos szerepe adott panasz kezelése, illetve a betegség gyógyítása, a dentálhigiénikus munkája inkább gondozásjellegű. Az előadásban nem csupán a szájüregi gondozásról esik szó, hanem arról is, hogy milyen egyéb, a kezelést jelentősen befolyásoló tényezőkre kell odafigyelnie a dentálhigiénikusnak. Melyek azok a beavatkozások, melyekben segítséget nyújt a fogorvosnak a beteg ellátásában és melyek azok a tevékenységek, amelyeket önállóan kell elvégeznie. A téma aktualitását, fontosságát és hasznosságát az indokolja, hogy növekszik azoknak a pácienseknek a száma, kiknek gondozása nem lehetséges fogorvosi rendelői körülmények között.

11.10–11.25 Kávészünet

11.25–11.55 Ványi Zsuzsa: A fekvőbetegosztályokon végzett napi szájápolás jelentősége és kivitelezése

Fogászati prevenció alatt – különösen a jelen előadás keretei között – nem csak és kizárólag a szájüregi prevenciót kell érteni. Az előadás célja elsődlegesen az, hogy a fogászati területen dolgozó szakemberek számára nyújtson egy közérthető és átfogó képet az önellátásukban korlátozott betegek napi szájápolásának jelentőségéről. A prezentáció ezen alapápolási tevékenység rendszeres és szakszerű kivitelezését mutatja be a fekvőbetegek ellátása során és hangsúlyozza a fogászati végzettséggel (is) rendelkező egészségügyi szakdolgozók tevékenységének fontosságát. A szájüreg potencionális baktériumrezervoárt biztosít a légzőszervi patogén kórokozók számára. Önellátásukban akadályozott betegeknél (intenzív osztályon, neurológián, krónikus belgyógyászati osztályon fekvők stb.) a rossz szájhigiénia által az oropharingealis tartalom aspirációja bakteriális pneumonia kialakulásához vezet. A megfelelő szájhigiénia biztosítása – a fekvőbetegeknél végzett rendszeres szájtoalettet – számos betegség kialakulásának kockázatát csökkentheti, illetve azok lefolyását pozitívan befolyásolhatja. Mai álláspont szerint a fogászat már sokkal több, mint a szájüregi elváltozások szakszerű kezelését, illetve az ilyen elváltozások megelőzését művelő tudományág. A fogászati rendelőben, fogászati team tagjaként végzett preventív és kuratív ellátás mellett az egészségügy egyéb szegmenseiben is jelentős szerepe lenne a klinikai fogászati higiénikusnak, dentálhigiénikusnak, ahol szakmai ismereteikkel és készségeikkel a betegek gyógyulását segíthetnék elő.

15

11.55–12.35 Dr. Bérczy Kinga: Az elektromos fogkefék múltja és jelene az otthoni szájápolásban

Az elektromos fogkefék története több mint 70 éves múltra tekint vissza. Ez idő alatt az elektromos fogkefék jelentős változáson mentek keresztül. Többféle technológia került kifejlesztésre, úgymint az oszcillációs-rotációs (OR) vagy a „side to side” technológia. Az elektromos fogkefék, a kezdeti nehézségek után, mára kiemelkedő szerepet töltenek be a mechanikai plakk-kontrollban, az otthoni szájápolásban és bizonyítottan hatékonyabbak a biofilm eltávolításban a manuális fogkefékkel szemben. Az előadás során röviden áttekintjük az elektromos fogkefék fejlődését, a különböző típusú elektromos fogkefék működési elvét és azok hatékonyságát alátámasztó irodalmi adatokat. Rávilágítunk arra, napjainkra miért lehet több az elektromos fogkefe egyszerű tisztító eszköznél.

14.15–14.55 Dr. Kenyeres Krisztina:

A caries prevenció lehetőségei –a dentálhigiénikus szerepe

„A fogszuvasodás megelőzésének alapelvei, ú.m. a fogak ellenálló képességének fokozása, a caries rizikótényezők csökkentése, az egészségtudatos étrend követése és a rendszeres fogászati szűrővizsgálatok szerepe hosszú ideje ismertek. A változás az újabb módszerek megjelenésében, mind érzékenyebb diagnosztikai eljárások elterjedésében és különböző preventív kezelések gyakorlatában jelentkezik. Amióta ismert, hogy a korai carieses laesio megállítható, ill. visszafordítható, a korai diagnosztika jelentősége felértékelődött. A szájüregi egészség megóvásához és fenntartásához örök érvényűen nélkülözhetetlen a páciensek (gyermekek, fiatalok, szülők) folyamatos szájhigiénés edukációja, mind ezekben egyre nagyobb szerepet kapnak a dentálhigiénikus kollégák. Az előadás célja a prevenció professzionális lehetőségeinek áttekintése, az egészségtudatos magatartás formálása és a szájhigiénés edukáció a mai kor igényei szerint.

14.55–15.35 Mester Emese: Szájápolási eszközök karbonsemlegesen –ez a Tepe példamutató cégpolitikája

Az éghajlatváltozás elleni küzdelem napjaink egyik legnagyobb kihívása. Az egészség megőrzése és a fenntartható jövő építése kéz a kézben járnak. Egészségügyi szakemberként ebben a folyamatban a szerepünk kulcsfontosságú. A jövőben a mai döntéseink számítanak majd. Az előadás során megismerhetjük a TePe márka kötelezettségvállalásait, melyek között fő cél az üvegházhatást okozó gázok kicsocsátásának csökkentése és a megújuló vagy újrahasznosított anyagokra való teljes átállás. Az elmúlt években követendő példaként a termékeik és annak csomagolása minimalizálja a hulladéktermelést. Szájápolás terén az elsők között ismerik el azt is, hogy a termékek élettartamának lejártával kapcsolatos megoldás kardinális a körkörös gazdaságra való átálláshoz. Ezért stratégiai partnerekkel dolgoznak együtt, és fenntartható technológiát alkalmaznak.

15.35–16.15 Kovács Linda: A Nemzeti

Népegészségügyi Központ szervezésében végzett szűrési programon megjelent lakosság szájüregi egészsége

Magyarországon a szájüregi betegségek, mint a szájnyálkahártya, a fogágy és a fogak gyulladásos elváltozásainak következményes betegségei jelentősek és az egészségügyi ellátórendszert is megterhelő problémát jelent. Ezen betegségek megelőzése és korai diagnosztizálása nem csupán a kezelés szempontjából meghatározó, hanem hatással van az emberek általános egészségére és életminőségére. A hazai epidemiológiai adatokat és rossz orális egészségmutatókat látva a Nemzeti Népegészségügyi Központ (továbbiakban: NNK) 2021-től kínált a lakosság számára szájüregi szűréseket. Az NNK prevenciós programja Európában egyedülálló módon, mobil szűrőegységek segítségével juttatta el a vizsgálatokat a lakosság számára.

A dentálhigiénikus feladatai az ágyhoz, lakáshoz kötött
12.35–14.15 Ebédszünet

Praxismenedzsment Kongresszus 2023.

október 12., csütörtök

10.00–10.10 Friss Tamás: Megnyitó

10.10–11.00 Dr. Gyarmathy Miklós: Delegálás: lépj ki a túlterhelés csapdájából és szerezd vissza a vezetői idődet!

Sokat hallunk a delegálás fontosságáról, de mi is az pontosan? Rengeteg tévhit kering a delegálással kapcsolatban. Az előadásban eloszlatom a tévhiteket, felfedem a delegálás erejét, amely lehetővé teszi, hogy megszabaduljunk a vezetői túlterhelés és időhiány ördögi körforgásától. Megismertetem a delegálás hatékony technikáit és eszközeit, emellett bemutatom, hogyan alkalmazhatod a delegálást a mindennapokban. Célom, hogy bemutassam, hogyan szerezheted vissza a vezetői idődet.

11.00–11.50 Kluka Attila: Hogyan toborozzunk új munkatársakat és tartsuk meg őket?

Orvos- és asszisztenstoborzás. Az értékes munkaerő, avagy a dolgozók megtartásának módszerei és eszközei. Hogyan segíthet mindebben a mesterséges intelligencia?

11.50–12.40 Horváth Krisztina: Hogyan vezessem be az új orvosaim és építsük fel az én-márkájukat?

Létrehoztam a praxisom, növekedtem, egyre több orvosom van, de mindenki engem ismer és hozzám szeretne időpontot kérni. Hogyan ne legyen a nevem a növekedésem akadálya? Hogyan építsem fel az orvosaim „ én-márkáját”?

Milyen kommunikációs eszközök és technikák léteznek a helyzet megoldására? A betegek hűsége a fogorvosukhoz természetes és gyakori jelenség. Az új orvosok bevezetésekor lényeges, hogy meggyőző és átgondolt stratégiát alkalmazzunk, ami elősegíti az új fogorvosok elfogadását. Online és offline praktikák már a páciens első telefonhívásától…

12.40–14.00 Ebédszünet

14.00–14.50 Máté Zoltán: Mennyit kereshet egy rendelőtulajdonos

2024-ben?

Na mégis mennyi az annyi? Másoknak hogy jön ki a matek? Mi megy ki, és mi marad benn? Amit keresni lehet, az vajon elég-e arra, hogy megérje csinálni az egészet? Gyakori kérdések, amelyek minden rendelőtulajdonos fejében ott vannak, és a megválaszolásuk talán nem is olyan egyszerű. Az előadáson körbejárjuk, hogy jelenleg Magyarországon mi a realitás, milyen racionális anyagi elvárásaink lehetnek és mik az iparági átlagok. Megbeszéljük, hogy milyen tényezők befolyásolják pozitívan a bevételünket és mik ronthatják az eredményeinket.

14.50–15.50 Kluka Attila: Hogyan tudjuk meggyőzni pácienseinket a komplett rehabilitációról a minimál beavatkozás helyett?

Kommunikációs és értékesítést támogató eszközök gyakorlati használata.

15.50–16.40 Horváth Krisztina: Az üzleti intelligencia használata a maximális profitért

Az üzleti intelligencia az üzletvitel tervezéséhez, előrejelzéséhez és optimalizálásához elengedhetetlen információkat biztosít a praxistulajdonos számára. Használatával olyan kérdéseket válaszolhatunk meg, mint pl.: „Milyen állapotban van most üzletileg a praxisom és miért?”, „Mire számíthatok a következő egy évben?”, „Milyen tényezők befolyásolják leginkább a nyereségességem?”, „Hogyan tudok ezekre hatni?” „Hol szeretnék lenni egy év múlva és mit kell tennem hozzá, hogy elérjem?” Páciens-életút tervezés, elemzések, kampányok és stratégiaalkotás. Adatalapú döntés-előkészítés és tudatos üzleti működés a rendelővezetésben.

23

Workshop program

Bioarchitektúra –technika a molárisokhoz

2023. október 12., csütörtök

Tippek & trükkök – egy módszer, mellyel gyorsan és esztétikafunkció helyesen tudunk molárisokat restaurálni

A cél, hogy megértsük és elsajátítsuk e módszer protokollját lépésről lépésre

1. ELMÉLET FOGORVOSOK ÉS FOGTECHNIKUSOK részére

- Szín elmélet – mit nézzünk és hogy reprodukáljuk

- A molárisok morfológiai elemei – a dentinmag formája

- Anyag- és technikaválasztás az eset függvényében

- A felszíni textúra fontossága

- A kor és a fog funkciójának jelentősége

- A polírozás, finírozás jelentősége a hosszú távú sikeresség érdekében.

2. GYAKORLATI RÉSZ (FOGORVOSOK & FOGTECHNIKUSOK)

A 16-os és 24-es fog felépítése lépésről lépésre – két módon

Nagyon fontos, hogy a feladat megoldásához a megfelelő anyagot és a hozzáillő megismételhető technikát alkalmazzuk a hosszú távú, előre megjósolható eredmény érdekében. Az optikai effektusokat figyelembe véve főleg a belső és külső morfológia szabályait követve érhetjük el a kivánt esztétikát és a funkcionális egyensúlyt. A restaurációhoz használt anyag ismerete és a felépítendő fog minden egyes elemének kódolása teszi lehetővé az ideális eredmény gyors elérését.

Cél: a felépítendő természetes fog morfológiai analízise biomechanikai és dentalis harmóniai szempontból.

Olyan rétegzési technika elsajátítása, amely a belső elemek helyes elhelyezésén keresztül vezet gyors felépítéshez.

Egyszerűsített rétegzés

– Biodinamikai analízis – Funkcióanalízis

– Biokonstrukció a belső elemek felépítésén keresztül – „kúp technika” kompozittal

– Két moláris fog, 16-os és 24-es felépítése – a belső elemek orientációja – A belső elemek rétegzése

– Biomechanikai szabályok a dentinmag orientációja tekintetében

– A sulcus kialakítása

– A kompozitfelszín kezelése – polírozási protokoll

Részvételi díj: 80 000 Ft (elővételben)

Jelentkezés: dentalworld.hu

23
Danielle Rondoni
ARANY MUNKÁIT RENDELJE MEG A SCHULZE LABORTÓL! Több mint 100 éves tapasztalat! INLAY, ONLAY ARANY KERÁMIA ARANY LEMEZ ARANY KOMBINÁLT MUNKA LEMEZ ARANYOZÁS GALVÁN MUNKÁK KESZÍTÉSE ELÉRHETŐSÉG: +36 20 366 10 80 schulzefogtechnika@gmail.com labor@dentartttechnik.hu www.dentarttechnik.hu +36 30 682 3827 Virtuális tervezés Ti és CoCr 3D nyomtatása Egyéni implantátumok Egyedi titán zsaluhálók Csontpótlás Csontpótlás eszközei Implantológiai fúrósablonok Műtéti segédeszközök 9024 Győr, Csokonai u. 10. Impl lantológiában és csontpótlásban az első!

Páciensélmény-tervezés a fogászati praxisban

2023. október 13., péntek 9.00-12.30

Tudta, hogy a páciens már akkor élményeket gyűjt a fogászati praxisról, amikor még az orvos nem is tud a létezéséről? A bejelentkezés előtt keres, mérlegel és dönt az adott fogászat mellett. Hogyan tudjuk ezt úgy befolyásolni, hogy minket válasszon? Az egészségügyi marketing legfontosabb módszertana a páciensélmény-tervezés lett, mert az értékteremtés és élménynyújtás az, amely megkülönbözteti az egyik fogászati praxist a másiktól. Közösen végigmegyünk a páciensút-készítés és páciensélmény-tervezés minden apró lépésén.

Részvételi díj: 49 900 Ft+áfa

Jelentkezés: www.flexi-dent.hu/trening

Hogyan tudjuk meggyőzni pácienseinket a komplett rehabilitációról a minimál beavatkozás helyett?

2023. október 13., péntek 9.00-12.30 Különösen ajánlott pályakezdő orvosok számára

Részvételi díj: 49 900 Ft+áfa

Jelentkezés: www.flexi-dent.hu/trening

Hogyan toborozzunk új munkatársakat és tartsuk meg őket?

2023. október 13., péntek 13.00-16.30

Előadó: Kluka Attila

Orvos- és asszisztenstoborzás. Az értékes munkaerő, avagy a dolgozók megtartásának módszerei és eszközei. Hogyan segíthet mindebben a mesterséges intelligencia?

Részvételi díj: 49 900 Ft+áfa

Jelentkezés: www.flexi-dent.hu/trening

Recepciósképzés 3.0 – avagy régi eszközökkel nem nézhetünk

szembe az új kihívásokkal

2023. október 14., szombat 09.00-16.00

Előadó: Kluka Attila

Nemzetközi trendek és mesterséges intelligencia a recepción a páciensek magasabb szintű kiszolgálásának érdekében. Orvos- és asszisztenstoborzás. Az értékes munkaerő, avagy a dolgozók megtartásának módszerei és eszközei. Hogyan segíthet mindebben a mesterséges intelligencia?

Részvételi díj: 74 900 Ft+áfa

Jelentkezés: www.flexi-dent.hu/trening

Mennyit fizessek az asszisztensnek, mi marad nekem? – bizalmi workshop iparági átlagokról rendelőtulajdonosoknak!

2023. október 13., péntek 13.00-16.30

Hogy állok a többiekhez képest? Ti mennyit fizettek az asszisztenseknek? És az orvosoknak? A workshopon egy alapvető bevételszerkezet és költségszerkezet áttekintést követően megbeszéljük, hogy a résztvevők közül ki milyen mértékben tér el az iparági átlagoktól. Megtudhatod, mások hogy csinálják, kinek milyen arányokat képviselnek a különböző kiadások és ki hogyan tudja maximalizálni a bevételeit. Egy egyedi, korábban még nem létező kiscsoportos workshop, ahol az interaktív prezentációs technikának köszönhetően úgy osztjuk meg egymással a tudást, hogy mindeközben senki sem adja ki a titkait.

Részvételi díj: 49 900 Ft+áfa

Jelentkezés: www.flexi-dent.hu/trening

23
Workshop programok
Horváth Krisztina Máté Zoltán Kluka Attila

Workshop programok 23

2023 leghatékonyabb fogászati marketingeszközei és kampányai

2023. október 14., szombat 09.00-12.30

A fogászati páciensúton végighaladva, annak megfelelően éppen melyik fázisban tart a potenciális páciens, sorba vesszük az összes lehetséges működő, eredményt hozó marketingeszközt. Minden egyes páciensút szakaszhoz hozok konkrét megoldási javaslatot, kampánytervet. Ezek eredményességét konkrét eseteken keresztül bemutatom, elemzem és közösen kiértékeljük. A workshopot követően már csak a megvalósítás vár a praxis vezetőjére, de ha szeretné, ebben is tudunk segíteni. Jelentkezzen a workshopra és küldje el előre kérdéseit, akár anonim módon: horvath.krisztina@positive.hu Garantáltan válaszolok minden beérkező kérdésre!

Részvételi díj: 49 900 Ft+áfa

Jelentkezés: www.flexi-dent.hu/trening

Az egészséges árak kialakítása

2023. október 14., szombat 13.00-16.30

Kapott excelek és kalkulátorok segítségével, az iránymutatásaink alapján, ott helyben ki tudod alakítani a megfelelő árazási stratégiádat. 100% gyakorlat és egy hatalmas mankó a kezedben! Te mi alapján határozod meg az áraidat? Szétnézel, hogy a környéken melyik rendelő milyen árszabással dolgozik? Vagy érzésre emelsz ezen a szolgáltatáson egy picit, a másikon többet? Az árazás kérdése sokkal komplexebb ennél, főleg a jelenlegi gazdasági helyzetben. Az anyagok ára hirtelen megnőtt, a munkatársak egyre magasabb bért szeretnének és arra döbbensz rá, hogy „egyre kevésbé jön ki a matek” és mindenki jól jár a rendelőd szolgáltatásaival, csak pont Te nem. Ennek vetünk véget és vezetünk végig az úton, hogy miként hozz megalapozott, tudatos döntést, és alakítsd ki úgy az áraidat, hogy az Neked is megérje. A képzés során a metodikához és áraid folyamatos felülvizsgálatához a szoftveres segítséget is bemutatjuk.

Részvételi díj: 49 900 Ft+áfa

Jelentkezés: www.flexi-dent.hu/trening

Modern endodonciai kezelések a gyakorlatban: a gépi tágítástól a guttapercha-pisztolyokig 2023. október 14., szombat

Bevezetés

Az endodonciai eszközök fejlődése nagyon intenzív, sokszor követni sem tudjuk mi az újdonság. Megveszünk egy endomotort, csilli-villi funkciókkal, aztán mégis csak úgy használjuk, mint az előzőt (rosszabb esetben helytelenül is). A fiók mélyére süppedhet egy ultrahangos aktivátor, heatplugger vagy guttapercha-pisztoly is, pedig a megfelelő knowhow birtokában biztonságosabbá, gyorsabbá, kiszámíthatóbbá teszik a munkánkat. Ezen a tanfolyamon nem csak beszélünk ezekről a technológiákról, hanem lehetőséget adunk arra, hogy résztvevőink kipróbálják magukat a gyakorlatban is!

Mi fog történni a tanfolyamon?

A képzés során a résztvevők megismerkednek a különböző anatómiájú fogak ellátásának tervezésével és kezelési stratégiáival. Megvitatásra kerülnek a gyökérkezelések buktatói is. Bemutatásra kerülnek a modern endodonciai kezelések eszközei: modern gépi tűk, új generációs endomotorok, ultrahangos aktivátorok, heatpluggerek és guttapercha-pisztolyok, valamint a diagnosztikai eszközök: CBCT a tervezéshez, kézi röntgen a gyors tűskontrollhoz. A gyakorlati szegmensben modellen próbálhatják ki a résztvevők a helyes tágítás, tisztítás és gyökértömés gyakorlatát, melyhez használni fogják a megismertetett eszközöket.

A tanfolyamon elsajátítható ismeretek

• Endodonciai kezelési stratégiák

• A különböző endo file-ok használata, anyaga és indikációi

• Az endomotorok funkcióinak megismerése: reciprokálás, ATC, apexlokátor és az apikális referenciapont funkció használata a még biztonságosabb tágításért

• Kémiai tágítás, avagy az átöblítési protokoll rejtelmei

• Ultrahang az endodonciában: aktivátorok működése és haszna, a leggyakoribb hibák elkerülése

• Gyökércsatornák lezárásának technikái

• Az intelligens heatpluggerek használata

• Gyors befejezés guttapercha-pisztolyokkal

Részvételi díj: 45 000 Ft • Kredit: Utóakkreditáció alatt • Jelentkezés: volomshop.com

Horváth Krisztina Máté Zoltán Dr. Mekis Miklós

Workshop programok 23

Bioclear Modern Anterior Kompozit Technikák dr. Arthur Volkerrel

2023. október 13., péntek

Injection molding a szép, egyszerű és megbízható diasztéma-zárásokhoz és Class II tömésekhez. A Bioclear világelső matricáinak bevezetése alkalmából különleges hands-on tréninggel készülünk a Dental World-ön: Dr. Volker segítségével a résztvevők elsajátíthatják a modern „fröccsöntéses” töméstechnika alapjait és megtanulhatják, hogyan válasszanak helyesen Bioclear matricákat. Kuriózum, és először Magyarországon!

Miért érdemes részt venni a tanfolyamon?

Tömérdek tömőanyag és matrica van ma a piacon – nehéz a rengetegükben kiigazodni. Ezen a képzésen a résztvevők elsajátíthatják a forradalmian új megközelítést hozó Bioclear Method „fröccsöntéses” töméstechnikáját, mellyel egyszerűen és kiszámíthatóan kezelhetnek olyan gyakran előforduló (mégis sokszor problémát okozó) klinikai eseteket, mint a diasztéma-zárás, valamint a Class II tömések. Szerkesztői megjegyzés: Dr. Volker nagy visszatérőnk, kiváló esztétikai fogorvos – a Dental Worldre először a 2000-es évek közepén, még Cosmedent előadóként hívtuk meg

A tanfolyamon elsajátítható ismeretek

• A különböző kompozitok hasznosságának megállapítása, a helyes matricaválasztás alapvetései

• Rendszerszerű előkészítési protokollok (izoláció, speciális homokfúvás) szuvas és nem szuvas restaurációk esetében

• A különböző direkt kompozit tömési technikák összehasonlítása

• A Bioclear rendszer és használata (injection molding)

• Helyes polírozási technika

Részvételi díj: 150 000 Ft • Kredit: Utóakkreditáció alatt • Jelentkezés: volomshop.com

Espresso Anterior

2023. október 14., szombat 10.00–12.00

Az egyszerűség a végső kifinomultság. Annak érdekében, hogy eredményként tökéletes anterior kompozitot kapjunk, a héjpreparációnál több száz tippre és trükkre bukkantunk, hogy a mindennapi feladatokat egyszerűen, a legjobb minőség feladása nélkül oldjuk meg. Ezen a kurzuson áttekintjük a modellezés lépéseit, mint az időmegtakarítás és a kompozitanyag minőségének javítási módjait, és beleássuk magunkat a forma és a szín elemeibe, ami a tökéletes restauráció egyik leghatásosabb eszköze.

Ennek a tanfolyamnak az a fő célja, hogy a gyakorló fogorvos hasznos technikákat tanuljon, amelyeket a tanfolyam után azonnal alkalmazhat a mindennapi fogászatban, hogy növelje munkája minőségét, különösen a funkció és az esztétika tekintetében, de mindig egyszerű módon.

- Legyen rendkívül hatékony a színegyeztetésben

- Sajátítsa el a kompozitgyanták rétegzését

- Gyors és szép restaurációk modellezése

- Morfológia

- Ismerje meg, hogy maximalizálhatja az adhezív fogászat élettartamát

Részvételi díj: 55 000 Ft

Jelentkezés: dentalworld.hu

Dr. Arthur Volker Dr. Jordi Manauta

Teljes szájrehabilitáció 72 óraalatt

▶ Egyfázisútechnika

▶ Azonnaliterhelésesprotokoll

▶ Egyedülállóprimerstabilitás

▶ Azegyetlentökéletesimplantátum-felépítmény „kapcsolat”–nincsmikromozgás

▶ Polírozottfelszín–nincstöbbéperiimplantitis

▶ Csontpótlásmentes,apáciensszámáraisigazán egyszerű,gyors, költséghatékonyimplantológia*

*Aköltséghatékonyság aztfejeziki,hogyazonoshatásosság(eredményesség)milyenköltséggel(ráfordítással) érhetőel.Aleginkábbköltséghatékonyazazeljárás,technológia,amelyikalegkisebbráfordítássalalegnagyobb eredménytériel.Azaz egészségügyitechnológia tekinthetőköltséghatékonynak,amelyazakárszűkösenrendelkezésreállóerőforrásokbólalehetőlegtöbb egészség-nyereséget termeli,illetveaztalegkisebberőforrás felhasználássalállítjaaztelő. (Azegészségügyifogalomtáralapján.)

sofortimplant sofortimplant sofortimplant ihdedental SofortimplantKft. | H–9400Sopron,Deákkútiút16. | +36703640600 info@sofortimplant.com | sofortimplant.com
Nobel Biocare N1™ nobelbiocare.com/n1 GMT70838 HU © Nobel Biocare Services AG, 2020. Minden jog fenntartva. A Nobel Biocare, a Nobel Biocare logó és az összes egyéb márkanév a Nobel Biocare tulajdonát képezi, ha a márkanév tulajdonosa nincs feltüntetve, vagy a szövegkörnyezetből nem derül ki. További tudnivalókért keresse fel a www.nobelbiocare.com/trademarks oldalt. A termékképek nem feltétlenül méretarányosak. Jogi nyilatkozat: Előfordulhat, hogy egyes termékek nem minden piacon rendelkeznek forgalomba hozatali engedéllyel. Az aktuális termékválasztékunkkal és elérhetőségekkel kapcsolatban forduljon a Nobel Biocare helyi értékesítési irodájához. Kizárólag orvosi rendelvényre kapható eszköz. A termék felírásához szükséges információkat, így a javallatokat, ellenjavallatokat, figyelmeztetéseket és óvintézkedéseket a termék használati útmutatójában találja. Megreformáljuk AZ IMPLANTOLÓGIÁT

Turn static files into dynamic content formats.

Create a flipbook
Issuu converts static files into: digital portfolios, online yearbooks, online catalogs, digital photo albums and more. Sign up and create your flipbook.